Структура зубной бляшки. Состав зубной бляшки при различных патологиях
Добавил пользователь Владимир З. Обновлено: 25.12.2025
• Зубная бляшка — скопление микроорганизмов различных типов, которые плотно фиксированы на матрице, расположенной на поверхности зуба.
Концентрация бактерий в единице объема зубной бляшки и их соотношение имеют значительные индивидуальные колебания, однако считают, что более 70 % колоний составляют стрептококки, 15 % — вейлонеллы и нейссерии и 15 % вся остальная микрофлора.
В зубной бляшке большинство бактерий кислотообразующие, хотя имеются протеолитические бактерии, грибы (в первую очередь Candida albicans), дифтероиды, в том числе анаэробные бактероиды, фузобактерии и др.
Зубная бляшка начинает накапливаться уже через 2 ч после чистки зубов. В течение суток в налете преобладает кокковая флора, а затем она меняется. Первоначально образованный налет содержит анаэробные микроорганизмы, более зрелый — аэробные и анаэробные.
Установлено, что в механизме образования зубного налета и его фиксации на поверхности эмали важная роль принадлежит сахарам — моно- и дисахаридам, и микроорганизмам, в первую очередь Str. mutans, которые активно формируют зубной налет на гладких поверхностях зуба. Распространение зубного налета по поверхности зуба происходит от межзубных промежутков и десневых желобков.
На интенсивность развития зубного налета, кроме микроорганизмов полости рта и углеводов, влияют вязкость слюны, десквамация эпителия слизистой оболочки рта. наличие очагов воспаления в полости рта, характер самоочищения.
? Зубная бляшка устойчива к полосканию рта, не смывается слюной, так как ее поверхность покрыта полупроницаемым мукоидным слоем, который в значительной степени препятствует нейтрализации очага снижения pH, образующегося по поверхности эмали. Она снимается при тщательной механической обработке зубной щеткой.
Содержание микроэлементов в зубной бляшке изменчиво. Однако установлено, что в поверхностном слое эмали наиболее высокие концентрации тех элементов, которые в значительном количестве содержатся в зубном налете: железо, цинк, фтор.
Особого внимания заслуживает фтор, противокариесное действие которого является бесспорным. Установлено, что содержание фтора в зубной бляшке может быть в десятки и даже сотни раз больше, чем в слюне. Важно, что концентрация фтора в зубном налете в значительной степени зависит от его содержания в питьевой воде.
Не вызывает сомнения, что зубная бляшка способствует возникновению кариеса. В эпидемиологических исследованиях установлена высокая зависимость между большим количеством зубного налета и развитием кариеса. Однако имеются факты, когда у отдельных лиц и этнических групп налета много, а кариеса нет. Клинические исследования показали, что кариесогенность углеводов уменьшается при длительном пережевывании пищи, что объясняют увеличением слюноотделения и нейтрализации образующихся кислот. Указывают также на зависимость кариесогенности зубной бляшки от содержания в ней минеральных компонентов: чем больше в ней кальция и фосфора, тем меньше ее кариесогенный потенциал. Не исключено также противокариозное действие фтора зубного налета, ингибирующего процесс кислотообразования бактериями.
6.5.1.1. Образование и развитие зубной бляшки
Сразу после прорезывания зуб покрыт кутикулой и клеточными компонентами редуцированного эмалевого эпителия. Затем эмаль покрывается бесструктурными образованиями. Различают следующие образования: первичную эмалевую кутикулу (подповерхностная и поверхностная) и пелликулу.
Пелликула — производное слюны, состоит из аминокислот и сахаров, из которых образуются полисахариды. Существует мнение, что пелликула образуется на кристаллах гидроксиапатитов. Роль пелликулы неоднозначна: с одной стороны, она выполняет защитную функцию, предохраняя кристаллы эмали от действия кислот, поступающих в полость рта, с другой — способствует прикреплению микроорганизмов и образованию их колоний — зубной бляшки.
Образование налета происходит в определенной последовательности: 1) прикрепление бактерий к пелликуле; 2) образование внеклеточной структуры (матрикса); 3) рост бактерий и образование зубной бляшки.
Существуют различные механизмы прикрепления бактерий в пелликуле. Этому процессу уделяют большое внимание, так как уменьшение фиксации бактерий позволяет снизить кариесогенный потенциал налета на поверхности зуба.
Silvesione указывает на наличие следующих этапов в процессе прикрепления бактерий к пелликуле:
? химическое прикрепление мобильных бактерий;
? обратимая фиксация бактерий на поверхности;
? необратимая их фиксация;
? развитие вторичной микрофлоры.
Образование внеклеточной структуры (матрикса) обусловлено деятельностью микроорганизмов. Матрикс состоит из двух компонентов: белков (преимущественно производных гликопротеинов слюны) и бактериальных экстрацеллюлярных полисахаридов (в основном полимеры углеводов). Белковый компонент образуется за счет осаждения из слюны сиаловых кислот под воздействием ферментов, вырабатываемых микроорганизмами.
При изучении углеводного состава зубной бляшки установлено, что растворимая фракция сухой части налета содержит 6,9 %, а нерастворимая — 11,3 % углеводов.
Налет быстро образуется при употреблении мягкой пиши, особенно при наличии в пище сахарозы.
Клеточные элементы налета вместе с внеклеточными образованиями создают пористую структуру, что обеспечивает проникновение внутрь слюны и жидких компонентов пищи. Однако накопление в налете конечных продуктов жизнедеятельности микроорганизмов замедляет диффузию, особенно при обильном поступлении углеводов с пищей, так как закрываются межклеточные пространства в нем. В результате этого и происходит накопление органических кислот (молочная, пировиноградная и др.) на ограниченном участке поверхности зуба.
В зубном налете содержатся бактерии — стрептококки, в частности Str. mutans, Str. sanguis и Str. salivarius, для которых характерно анаэробное брожение. В этом процессе субстратом для бактерий в основном являются углеводы, а для отдельных штаммов — аминокислоты. Сахароза — дисахарид, состоящий из фруктозы и глюкозы, которому принадлежит ведущая роль в возникновении кариеса.
Процессы брожения в зубном налете и их активность зависят от количества вовлекаемых углеводов. Наиболее быстро pH снижается при брожении сахаров (от 6 до 4 в течение нескольких минут), а возвращение к прежнему значению pH (кривая Стефана) происходит медленно. В зубном налете, кроме молочной кислоты, содержатся муравьиная, масляная, пропионовая и другие органические кислоты.
При рассмотрении возможности локального изменения pH на поверхности эмали под зубной бляшкой всегда возникает вопрос о роли буферной емкости слюны. Почему слюна, обладая карбонатной, фосфорной и белковой буферными системами, не оказывает нейтрализующего влияния? Недостаточная нейтрализация образующейся в налете кислоты объясняется Ограничением диффузии нейтрализующих соединений, например кальция, в налет и ограничением диффузии кислотных продуктов из него.
Бактерии, как и другие клетки, содержат биополимеры (нуклеиновые кислоты, белки, полисахариды, липиды и др.), необходимые для их жизни.
Как уже отмечалось, в зубной бляшке преобладают анаэробные бактерии, которые вырабатывают значительное количество ферментов анаэробного гликолиза. В процессе своего роста большинство молочнокислых бактерий, сбраживающих сахара, продуцирует до 90 % молочной кислоты. Другие микроорганизмы продуцируют молочной кислоты меньше. Особенно интенсивно происходит процесс гликолиза в присутствии углеводов в период уменьшенного слюноотделения (во время сна). Установлено, что наличие и активность брожения в налете во многом зависят от количества доступных углеводов. Как указывалось ранее, в присутствии углеводов в зубном налете быстро и значительно снижается pH, затем его значение медленно восстанавливается до нормального уровня.
Низкомолекулярные вещества (сорбит, маннит, ксилит) проникают в зубную бляшку, однако вследствие малой активности фермента, превращающего их во фруктозу, молочная кислота образуется в небольшом количестве. Поэтому не происходит выраженного снижения pH. Крахмал также является «некариесогенным» углеводом, так как молекулы крахмала не способны проникать в зубной налет. Но главное заключается в том, что процессу брожения в этом случае должен предшествовать процесс гидролиза крахмала с образованием глюкозы или мальтозы.
Бактерии зубной бляшки обладают способностью производить внутриклеточные полимеры и накапливать их. Накопление происходит при избытке энергии (в форме углеводов), а расщепление и утилизация резервных веществ в клетках — при недостаточности экзогенных источников для поддержания жизнедеятельности и роста.
Важная роль в развитии кариеса зубов принадлежит образованию микроорганизмами внеклеточных гетерополисахаридов — биополимеров, содержащих различные углеводы (гликаны, леваны, декстраны). Гликаны, обеспечивая слипание бактерий друг с другом и с поверхностью зуба, активно влияют на возникновение кариеса. Установлено, что снижение содержания гликанов ведет к уменьшению кариеса. Продуцирование гликана обусловливает рост (утолщение) зубного налета. Декстран, образующийся из сахарозы при участии декстраназы, является резервным полисахаридом. В процессе расщепления и утилизации декстрана микроорганизмами образуются органические кислоты, которые и оказывают деминерализующее влияние на эмаль зуба. Леван — биополимер, образующийся из сахарозы при участии левансахаразы. При расщеплении левана также образуются органические кислоты, однако леван в большей степени используется микроорганизмами зубной бляшки в качестве источника энергии.
Микрофлора полости рта изменяется на всех стадиях развития кариозного процесса. Отмечается увеличение высеваемости кислотообразующих штаммов. Особенно большое количество микроорганизмов обнаруживается в зубном налете: Str. mitis, Str. sanguis, Str. mutans, лактобактерий, фузобактерий и др. Заслуживает внимания и тот факт, что у лиц с множественным кариесом установлено повышение биохимической активности стрептококков и лактобактерий, расположенных на поверхности зубов. Избирательная локализация Str.mutans на эмали и высокая адгезивность полисахаридов типа декстрана, левана и др., а также высокая ферментативная активность микроорганизмов расцениваются рядом авторов как состояние кариесовосприимчивости.
В настоящее время имеются данные, что при кариесе изменяются иммунологические показатели. В биологических жидкостях у лиц с пораженными кариесом зубами (кариесиммунные) уровень иммуноглобулинов класса А значительно выше, чем в норме. У лиц с множественным кариесом в слюне и сыворотке крови снижаются показатели неспецифической резистентности (уровень лизоцима, ?-лизинов и др.).
Клинико-экспериментальные наблюдения позволили выявить закономерную связь между частотой поражения зубов кариесом и количеством микроорганизмов и их ферментативной активностью. Это позволило разработать ряд тестов, определяющих предрасположенность к кариесу:
лактобациллен-тест, основанный на микробиологическом подсчете лактобацилл в пробах слюны;
тест Снайдера, основанный на определении времени наступления и величины зоны изменения окраски питательной среды вокруг колоний бактерий.
6.5.1.2. Роль микроорганизмов в развитии кариеса зубов
Результаты исследований последних лет показали, что под воздействием микроорганизмов, находящихся на поверхности зуба, в эмали возникают такие же изменения, как и при кариесе. Использование модели «искусственный рост» позволило установить, что ряд микроорганизмов и в первую очередь стрептококки обусловливают процесс деминерализации в условиях эксперимента.
В настоящее время установлено, что без микроорганизмов кариес не возникает. Выше говорилось об опытах Orlander и соавт. в 50-х годах, когда у молодых крыс, содержащихся на кариесогенном рационе, но в стерильных условиях, кариес не возникал, тогда как у животных контрольной группы зубы были поражены. В литературе имеются данные экспериментальных исследований, согласно которым применение антибиотиков значительно снижает поражаемость зубов кариесом. Установлено также, что у детей, длительное время применяющих антибиотики по каким-либо медицинским показаниям, снижается интенсивность поражения кариесом. Этот факт, однако, нельзя трактовать как показание к применению антибиотиков с профилактической целью, так как эти препараты вызывают ряд нежелательных побочных эффектов.
Лактобациллы. Грамположительные микроорганизмы, продуцирующие кислоту, характеризуются устойчивостью к ней. Установлено, что у лиц с множественным кариесом в слюне содержится большое количество лактобацилл, которое уменьшается при пломбировании кариозных полостей. Наряду с этим отмечается их малое количество в зубном налете. На основании изложенных фактов был сделан вывод, что лактобациллы не играют ведущей роли в возникновении кариеса, но становятся более активными при наличии кариозной полости.
Стрептококки. Это грамположительные кокки. К кариесогенным видам относят Str. sanguis, Str. salivarius. В возникновении кариеса ведущая роль принадлежит Str. mutans. По данным некоторых авторов, в зубном налете 80-90 % общего количества микроорганизмов составляют Str. mutans. Указано на прямую связь между интенсивностью кариеса и количеством микроорганизмов. Считают, что значительный рост числа представителей вида Str. mutans на определенных участках способствует прогрессирующей деструкции эмали.
В результате многочисленных исследований установлено, что в возникновении кариеса важную роль играют следующие свойства микроорганизмов: образование органических кислот и в первую очередь молочной как конечного продукта ферментации углеводов, продуцирование внеклеточного полимера глюкозы (гликана) из сахарозы; способность фиксации и роста микроорганизмов на твердых поверхностях (зуб, стекло, металлическая пластинка).
Указанными свойствами обладает Str. mutans и Str. sanguis, которым отводится наибольшая роль в возникновении кариеса.
12. Роль воды в возникновении заболеваний человека
12. Роль воды в возникновении заболеваний человека Давно отмечена связь между заболеваемостью населения и характером водопотребления. Уже в древности были известны некоторые признаки воды, опасной для здоровья. Однако лишь в середине XIX в. эпидемиологические наблюдения
Профилактика кариеса зубов
Профилактика кариеса зубов В целях предупреждения кариеса зубов рекомендуется дважды в год проводить профилактику, используя яичную скорлупу. Куриные яйца предварительно помыть теплой водой с мылом, тщательно ополоснуть кипяченой водой. В большинстве случаев скорлупа
6.2. КЛАССИФИКАЦИЯ КАРИЕСА ЗУБОВ
6.2. КЛАССИФИКАЦИЯ КАРИЕСА ЗУБОВ Клинические признаки кариеса зубов хорошо изучены. В соответствии с изменениями в тканях зуба и клиническим проявлением создано несколько классификаций, в основу которых положены различные признаки.В классификации ВОЗ (9-й пересмотр)
6.3. КЛИНИЧЕСКАЯ КАРТИНА КАРИЕСА ЗУБОВ
6.3. КЛИНИЧЕСКАЯ КАРТИНА КАРИЕСА ЗУБОВ Стадия пятна (macula cariosa), или кариозная деминерализация. Деминерализация эмали при осмотре проявляется изменением ее нормального цвета на ограниченном участке и появлением матового, белого, светло-коричневого, темно-коричневого пятен
6.4. ПАТОЛОГИЧЕСКАЯ АНАТОМИЯ КАРИЕСА ЗУБОВ
6.4. ПАТОЛОГИЧЕСКАЯ АНАТОМИЯ КАРИЕСА ЗУБОВ В клиническом течении кариеса различают два этапа: первый характеризуется изменением цвета и, видимо, неповрежденной поверхности эмали, второй — образованием дефекта тканей (кариозной полости).Второй этап нашел довольно полное
6.5. ТЕОРИИ ПРОИСХОЖДЕНИЯ КАРИЕСА ЗУБОВ
6.5. ТЕОРИИ ПРОИСХОЖДЕНИЯ КАРИЕСА ЗУБОВ Тот факт, что до настоящего времени дискутируются некоторые механизмы кариозного процесса при наличии огромного количества научных исследований, указывает на его сложность. Высокая специфичность эмали зуба, не имеющей в своем
6.6. ЛЕЧЕНИЕ КАРИЕСА ЗУБОВ
6.6. ЛЕЧЕНИЕ КАРИЕСА ЗУБОВ Как следует из вышеизложенного материала, изменения в твердых тканях зубов при кариесе могут выражаться в очаговой деминерализации или в деструкции ткани, приводящей к появлению кариозной полости. Характер изменений в тканях и определяет выбор
3.13.1. Роль минералов в возникновении и устранении диабета
3.13.1. Роль минералов в возникновении и устранении диабета Дефицит минералов «уличен» в еще большем количестве «преступлений» против жертв сахарного диабета. Речь идет не столько о самой болезни, сколько о ее последствиях, связанных со скелетно-костным аппаратом: артрит,
При возникновении затрудненного дыхания
При возникновении затрудненного дыхания 1. Успокойте ребенка и не паникуйте сами, так как ваше беспокойство усилит аллергическую реакцию и ухудшит состояние ребенка.2. Откройте форточки и окна, чтобы в комнату поступал свежий воздух.3. Быстро увлажните воздух в комнате.
О возникновении артериосклероза
О возникновении артериосклероза В последнее время накоплено значительное количество данных, которые могут привести к пересмотру теории возникновения артериосклероза как следствия закупорки и разрушения сосудов холестерином.«Враг обнаружен!» — писал в 1997 году
Глава XIV. РОЛЬ ПИТАНИЯ В ВОЗНИКНОВЕНИИ И ЛЕЧЕНИИ РАКА
Глава XIV. РОЛЬ ПИТАНИЯ В ВОЗНИКНОВЕНИИ И ЛЕЧЕНИИ РАКА В разладе с природой Даже сильные духом люди бледнеют, едва услышат диагноз — рак. Это слово воспринимается как смертный приговор, не подлежащий обжалованию. Рак называют болезнью XX века, по числу смертельных исходов
ЧТО ДЕЛАТЬ ПРИ ВОЗНИКНОВЕНИИ АЛЛЕРГИЧЕСКОГО НАСМОРКА
ЧТО ДЕЛАТЬ ПРИ ВОЗНИКНОВЕНИИ АЛЛЕРГИЧЕСКОГО НАСМОРКА 1. Прежде всего, прервите контакт с виновным аллергеном. Так, если насморк появился, например, в цирке, то немедленно выведите ребенка на улицу. Насморк может возникнуть, если вы занимаетесь вязанием или шитьем.
Как защититься от кариеса?
Как защититься от кариеса? Кариес — это проблема не только детей, но и взрослых. Кого-то природа наградила сильными и здоровыми зубами, а кто-то постоянно мучается от зубной боли и обращается к стоматологу. Кариес возникает в результате плохой гигиены полости рта и
Холестериновая бляшка и аминокислота гомоцистеин
Холестериновая бляшка и аминокислота гомоцистеин Считается, что, проникнув в стенки сосудов, липопротеиды низкой плотности, несущие холестерин, образуют холестериновые бляшки. Вначале холестериновая бляшка мягкая, но затем в ней начинает накапливаться кальций, и она
Зубные бляшки

Зубные бляшки представляют собой обширные наросты патогенных микроорганизмов на поверхности одного или нескольких зубов. Образуемая при этом кислая среда является агрессивной для эмали, приводя к ее разрушению - вплоть до глубокого кариеса.
Зубные бляшки: состав и типичные локализации
«Излюбленными местами» бактерий считаются задние стенки зубов, фиссуры, а также слепые ямки. Чуть реже локальные отложения образуются на гладких частях зубов, непосредственно прилегающих к контактным поверхностям прикорневой зоны.
В составе зубных бляшек практически отсутствуют пищевые остатки. Они представляют собой склизкую субстанцию, состоящую из следующих групп микроорганизмов:
- cтрептококки - до 50%;
- дифтероиды - до 30%;
- бактероиды, вейлонеллы, фузобактерии, нейссерии и вибрионы - остальной объем.

Причины скопления патогенной микрофлоры
Выделим главные из них:
- общий сбой в работе иммунной системы;
- чрезмерное употребление сахара и сладких продуктов;
- пренебрежение чисткой зубов и другими гигиеническими процедурами полости рта;
- специфический состав слюны.


Симптоматика и этапы образования зубных бляшек
Основным способом выявить зубные бляшки является визуальный осмотр. При этом хорошо заметны отложения на поверхностях зубов. Они могут быть как белыми - практически в цвет эмали, так и в бежевых тонах - из-за курения и/или употребления кофе. Консистенция бляшек -мягкая пластинчатая либо твердая.
По наблюдениям врачей-стоматологов, светлые отложения чаще всего мягкие. Потемнение происходит в процессе твердения. Более темный налет разрастается медленнее светлого.
Скорость, с которой появляются зубные бляшки, а также место, зависят от индивидуальных особенностей организма каждого человека. При этом друг за другом сменяются 3 этапа:
- созревание первичной пелликулы, покрывающей зуб частично или полностью;
- обсеменение колониями микроорганизмов;
- закрепление патогенных микробов на зубной эмали.
Диагностика
Первое, что делает врач стоматологии «Имплант Эксперт» при очном осмотре пациента - это дифференцирует зубную бляшку и зубной камень. При малейших подозрениях на скопления микроорганизмов берутся образцы отложений, которые затем исследуются в лаборатории.
Для качественного лечения важно своевременное и точное определение происхождения патогенной микрофлоры.
Лечение зубных бляшек
В зависимости от запущенности, зубные бляшки лечат как в кабинете у стоматолога, так и в домашних условиях.
Врач выполняет тщательную чистку поверхностей зубов и пародонтальных карманов. Затем проводится обработка антисептиками, подобранными индивидуально с учетом бактериологического анализа.Потребуется несколько визитов в клинику.
В случае лечения дома пациенту назначают полоскания специальными растворами. Длительность использования и концентрацию раствора определяет врач.о

Возможные осложнения
Бляшки на зубах не только портят их внешний вид, но и являются причиной кариеса, который развивается стремительно и приводит к быстрой утрате здоровых зубов.
Несвоевременное обращение к врачу по поводу зубных бляшек приводит и к воспалительным заболеваниям десен.

Меры профилактики
Избежать появления зубных бляшек поможет тщательная гигиена ротовой полости. Она включает чистку зубов дважды в день минимум 3 минуты. При этом следует использовать зубную щетку со щетиной средней жесткости и зубную пасту с фтором.
Раз в полгода-год рекомендована ультразвуковая чистка у стоматолога. Также, в зависимости от ситуации, специалист может предложить следующие меры профилактики:
Вопрос 1. Классификация зубных отложений.
Зубные отложения подразделяют на 2 группы (минерализованные и неминерализованные). К неминерализованным относится: кутикула, пелликула, мягкий зубной налет, зубная бляшка. К минерализованным относится: наддесневой и поддесневой зубной камень.
Неминерализованные зубные отложения.
Кутикула- это остатки эмалевого органа, то есть эта оболочка зуба присутсвует на зубе в момент его прорезывания. Однако при жевании в области бугров эта оболочка стирается.
Пелликула- производное слюны, состоит из аминокислот и сахаров, из которых образуются полисахариды. Роль пелликулы неоднозначна: с одной стороны, она защищает кристаллы гидроксиапатита от килост, с другой - способствует прикреплению микроорганизмов к поверхности зуба.
Мягкий зубной налет- состоит из остатков пищи, слущенных клеток эпителия полости рта и отдельных микроорганизмов. Зубной налет определяется визуально, удаляется при интесивном полоскании или с помощью зубной щетки. Сам по себе зубной налет не является кариесогенным, так как в его составе нет колоний анаэробных микроорганизмов.
Вопрос 2. (продолжение) Зубная бляшка. Состав и механизм образования.
Зубная бляшка- скопление бактерий, которые плотно фиксированы на поверхности зуба и способны при определенных условиях создать кислую среду на ограниченном участке эмали. Это мягкий, ПРОЗРАЧНЫЙ, клейкий материал, состоящий из бактерий и продуктов их жизнедеятельности, НЕ СОДЕРЖИТ ОСТАТКОВ ПИЩИ, НЕ УДАЛЯЕТСЯ ОБЫЧНОЙ ЗУБНОЙ ЩЕТКОЙ.
Рост зубной бляшки:
Уже через 2 часа после профессиональной гигиены полости рта на поверхности эмали образуется пелликула.
На поверхности зуба фиксируются микроорганизмы, имеющие способность к избирательному прикреплению к гидроксиапатиту и пелликуле (СТРЕПТОКОККИ - STR.SANGUIS, АКТИНОМИЦЕТЫ, ПЕПТОСТРЕПТОКОККИ). В этот период бляшка в основном состоит из аэробных колоний микроорганизмов (незрелая бляшка).
В течение 3-х суток происходит «созревание» бляшки - рост анаэробных колоний (STR.MUTANS). С этого времени сахароза, находящаяся в зубном налете в результате гликолиза преобразуется в большое количество молочной кислоты, значение рН достигает 5,5-5,0.
Вопрос 3. Какова роль зубной бляшки в развитии кариеса?
В результате процессов гликолиза, происходящих на поверхности эмали, образуется молочная кислота, происходит закисление среды, что приводит к локальной деминерализации эмали. В результате увеличиваются межпризменные пространства и микроорганизмы проникают в эмаль - начинается кариозный процесс.
Почему слюна, обладающая буферной емкостью, не нейтрализует образующуюся молочную кислоту?
Зубная бляшка выполняет роль щита: она препятствует проникновению кислорода к поверхности эмали, препятствует проникновению кальция и фосфора из слюны, препятствует деятельности буферных систем слюны.
ПРИМЕНЕНИЕ ФТОРСОДЕРЖАЩИХ ПАСТ И ЭЛИКСИРОВ БЕСПОЛЕЗНО, ЕСЛИ ПАЦИЕНТ ЧИСТИТ ЗУБЫ ПЛОХО, И НА ПОВЕРХНОСТИ ЗУБОВ ПРИСУТСВЕТ ЗУБНАЯ БЛЯШКА.
Где наиболее часто локализуется зубная бляшка?
Там, где не происходит механического очищения поверхности эмали при жевании, где пациенты недостаточно хорошо очищают поверхность эмали. ПРИШЕЕЧНЫЕ ОБЛАСТИ, ФИССУРЫ, МЕЖЗУБНЫЕ ПРОМЕЖУТКИ, СЛЕПЫЕ ЯМКИ ЗУБОВ.
90. Зубные бляшки и механизмы их образования. Влияние различных факторов на формирование зубной бляшки. Зубные бляшки разной локализации: особенности микрофлоры, роль в патологии.
Зубная бляшка - одно из наиболее хорошо изученных мультивидовых бактериальных сообществ. Она легко доступна исследованию и поэтому удобна для изучения в качестве комплексной модели экосистемы. В бляшке содержится большое количество микроорганизмов: от 100 тыс. до 1 млрд. в 1 г зубного налета
Зубная бляшка — это скопление бактерий в матриксе органических веществ, главным образом протеинов и полисахаридов, приносимых туда слюной и продуцируемых самими микроорганизмами. Бляшки плотно прикрепляются к поверхности зубов.
Зубная бляшка обычно является результатом структурных изменений ЗН(зубной налёт)— белого аморфного вещества, плотно прилегающего к поверхности зуба, имеющего пористую структуру, что обеспечивает проникновение внутрь его слюны и жидких компонентов пищи.
Накопление в налете конечных продуктов жизнедеятельности микроорганизмов и минеральных солей замедляет диффузию, так исчезает его пористость. В итоге возникает новое образование — зубная бляшка, удалить которую можно только насильственно и то не полностью.
Механизмы образования зубных бляшек.
Образование зубных бляшек на гладких поверхностях широко изучено in vitro и in vivo. Их развитие повторяет общую бактериальную последовательность формирования микробного сообщества в ротовой экосистеме.
Процесс бляшкообразования начинается после чистки зубов со взаимодействия гликопротеинов слюны с поверхностью зуба, причем кислые группы гликопротеинов соединяются с ионами кальция, а основные — взаимодействуют с фосфатами гидроксиапатитов.
Процесс адгезии происходит очень быстро: через 5 минут количество бактериальных клеток на 1 см² увеличивается с 10³до 105-106 .
В дальнейшем скорость адгезии снижается и в течение примерно 8 часов остается стабильной. Через 1—2 дня количество прикрепившихся бактерий вновь увеличивается, достигая концентрации 107-108. Формируется ЗН.
Процесс колонизации зубов начинается с процесса прилипания жизнеспособных бактерий - первичной адгезии. Процессы первичной адгезии могут быть неспецифическими и специфическими.
Неспецифическая адгезия определяется следующими механизмами:
Химическими связями, возникающими между поверхностями микро- и макроорганизма (ионными, гидрофобными, водородными, Ван-дер-Ваальса)
Наличием клейких, обычно мукополисахаридных субстанций (гликокаликса, капсулы)
Специфическая адгезия определяется стереохимическими взаимодействиями между адгезинами (специфическими белковыми или гликопротеиновыми молекулами) бактериальной поверхности и рецепторами пеликулы или эпителиальных клеток. В качестве рецептора выступает другой белок или углевод.
Совокупность неспецифических и специфических связей при условии бурного размножения бактерий обеспечивает селективную колонизацию тканей хозяина
Первые микробные клетки оседают в углублениях на зубной поверхности, где происходит их размножение, после чего они вначале заполняют все углубления, а затем переходят на гладкую поверхность зуба. В это время наряду с кокками появляется большое количество палочек и нитевидных форм бактерий. Многие микробные клетки сами неспособны прикрепляться непосредственно к эмали, но могут оседать на поверхности других бактерий, уже адгезировавшихся, т.е. идет процесс коадгезии.
Оседание кокков по периметру нитевидных бактерий приводит к образованию так называемых «кукурузных початков».
ФАЗЫ ФОРМИРОВАНИЯ ЗУБНОЙ БЛЯШКИ
1 фаза - первые 2-4 часа после тщательной чистки зубов. Преимущественно состоит из грамположительных факультативно-анаэробных кокков(стрептококки, нейссерии, стафилококки) и факультативно-анаэробных палочек(ацинетобактерии, лактобактерии, ротии и т.д).
Это, так называемая «ранняя» зубная бляшка.
2 фаза - до 4-5 дней. Характерезуется уменьшением доли грамположительных кокков и превалированием грамвариабельных палочковидных и нитевидных форм лактобактерий, коринебактерий, актиномицетов, ротий. В небольших количествах встречаются облигатные анаэробы(лептотрихии, фузобактерий, вейлонеллы и микроаэрофильные стрептококки)
3 фаза - 6-7 дней и далее. Зубная бляшка принимает окончательный по составу симбионтов вид. Резко снижается количество аэробных - нессерий, ротий, факультативно - анаэробных стрептококков. Доминируют грамнегативные облигатно - анаэробные бактерии(фузобактерии, бактероиды, вейлонеллы) и грампозитивные(микроаэрофильные стрептококки, пептострептококки, актиномицеты)
Роль оральных стрептококков в качественном переходе от зубного налета к зубной бляшке
В формировании зубных бляшек важная роль принадлежит оральным стрептококкам.
Особое значение имеет S.mutans, так как эти микроорганизмы активно формируют ЗН, а затем и бляшки на любых поверхностях.
Определенная роль отводится S.sanguis. Так, в течение первых 8 часов количество клеток S.sanguis в бляшках составляет 15—35% от общего числа микробов, а ко второму дню — 70%; и только потом их количество снижается. S.salivarius в бляшках обнаруживается лишь в течение первых 15 минут, его количество незначительно (1%).
Этому феномену есть объяснение (S.salivarius, S.sanguis являются кислоточувствительными стрептококками).
Интенсивное и быстрое расходование (потребление) углеводов приводит к резкому снижению рН бляшки. Это создает условия для уменьшения доли кислоточувствительных бактерий, таких как S.sanguis, S.mitis, S.oralis и возрастания количества S.mutans и лактобацилл.
Такие популяции подготавливают поверхность к зубному кариесу. Увеличение числа S.mutans и лактобацилл приводит к продукции кислоты в высоком темпе, усиливая деминерализацию зубов.
Затем к ним присоединяются вейллонеллы, коринебактерии и актиномицеты. На 9—11-й день появляются фузиформные бактерии (бактероиды), количество которых быстро возрастает.
Таким образом, при образовании бляшек вначале превалирует аэробная и факультативно-анаэробная микрофлора, которая резко снижает окислительно-восстановительный потенциал в данной области, создавая тем самым условия для развития строгих анаэробов.
Локализация зубной бляшки. Особенности микрофлоры, роль в патологии.
Различают над- и поддесневые бляшки. Первые имеют патогенетическое значение при развитии кариеса зубов, вторые — при развитии патологических процессов в пародонте.
Микрофлора бляшек на зубах верхней и нижней челюстей различается по составу: на бляшках зубов верхней челюсти чаще обитают стрептококки и лактобациллы, на бляшках нижней — вейллонеллы и нитевидные бактерии. Актиномицеты выделяются из бляшек на обеих челюстях в одинаковом количестве. Возможно, что такое распределение микрофлоры объясняется различными значениями рН среды.
Бляшкообразование на поверхности фиссур и межзубных промежутков происходит иначе. Первичная колонизация идет очень быстро и уже в первый день достигает максимума. Распространение по поверхности зуба происходит от межзубных промежутков и десневых желобков; рост колоний подобен развитию последних на агаре.
В дальнейшем количество бактериальных клеток в течение длительного времени остается постоянным. В бляшках фиссур и межзубных промежутков превалируют грамположительные кокки и палочки, а анаэробы отсутствуют.
Таким образом, здесь не происходит замены аэробных микроорганизмов анаэробной микрофлорой, которая наблюдается в бляшках гладкой поверхности зубов.
Особенности зубной бляшки при патологии
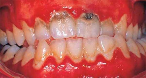
Зубная бляшка при гингивите
Гингивит - воспаление эпителия и соединительных тканей вокруг зуба, но без разрушения структур, поддерживающих зуб в костной лунке.
По сравнению с бляшками в здоровых участках, способствующая развитию гингивита, выглядит более толстой, в её глубоких слоях часто обнаруживаются «тени», по-видимому, лизированых бактерий, а отложение в ней солей обычно приводит к образованию зубного камня.
В таких бляшках высоко содержание нитевидных и грамотрицательных бактерий:
Зубная бляшка при пародонтите
При хроническом пародонтите под влиянием патогенных бактерий и индуцированного бляшкой воспаления утрачивается соединительная ткань, удерживающая зуб в лунке. При этом бляшка, как правило, распространяется на цемент; она такая же или толще, чем при гингивите.
В ней доминируют нитевидные грамположительные и подвижные грамотрицательные бактерии и спирохеты. В субгингивальной бляшке наблюдаются определенные формы взаимодействий между бактериями с образованием, например «кукурузных початков», или «кухонных ершиков»- множество различных бактериальных клеток, прилипших к поверхности центральной нитевидной клетки.
Для субгингивальной бляшки при пародонтите характерно присутствие анаэробных видов:
Tannerella forsythia и спирохет
Между супра и субгингивальной частью бляшки находится переходная зона.
В субгингивальной части преобладают нитевидные и жгутиковые формы бактерий.
Такая бляшка имеет все признаки сложившегося стабильного бактериального сообщества.
Бляшки у больных острым и хроническим пародонтитом существенно различаются.
При остром локальном пародонтите их мало и морфологически они более однородны, в них доминируют небольшие грамотрицательные кокки.
Основным возбудителем острого локального пародонтита является Aggregatibacter actinomycetemcomitans.
4. Зубная бляшка, состав, способы удаления.
Зубная бляшка. Второй слой поверхностных образований. Располагается на пелликуле в над- и поддесневой области. А ней активно размножаются микроорганизмы, происходит кислотообразование. Это аморфное гранулированное отложение, которое накапливается на поверхности зубов, пломб и протезов. Бесцветна, в малых количествах не видна. Если она не пигментированная, для ее обнаружения необходимо окрашивание. Не смывается при полоскании, т к поверхность покрыта слизистым гелем. Не всегда удаляется при чистки зубов, но соскабливается инструментом.
Состав: микроорганизмы, эпителиальные клетки, лейкоциты, макрофаги, органический и неорганический твердый компонент 20% бляшки, остальное вода. От твердого компонента 70%- микроорганизмы, 30% - межклеточный матрикс. Матрикс - комплекс - полисахаридов и липопротеинов. Неорганический компонент - Са, фосф, К, маг , фтор. Микробный состав изменяется по мере роста. Сначала она состоит преимущественно из кокков (мутанс, саливарис и др.) по мере утолщения бляшки в ней создаются анаэробные условия, появляются Грам - кокки, фузобактерии, актиномицеты, спирохеты. Питание для микробов - легкоусваяемые углеводы. Во время сна образование бляшки увеличивается, за счет уменьшения слюноотделения. Накапливается спустя 2 часа после чистки зубов.
Этапы образования бляшки
1. Фиксация бактерий к пелликуле - этому способствуют эпителиальные клетки, которые прикрепляются к пелликуле в течении 1 часа после чистки зубов и адсорбирую.т на своей поверхности микроорганизмы (сначала саливарис, затем мутанс).
2. Образование внеклеточного матрикса
3. Рост бактерий и образование зубной бляшки, чем больше зубной бляшки, тем выше интенсивность кариеса. Сейчас многие рассматривают зубную бляшку как биопленку.
Основные свойства биопленки:
1. Действующая общность разных типов микроорганизмов
2. Микроорганизмы собраны в микроколлонии
3. Микроколлонии окружены защитным матриксом
4. Внутри микроколлонии различная среда
5. Микроорганизмы имеет приметивную систему связи
6. Микроорганизмы в биопленки устойчивы к антибиотикам, антимикробным средствам и реакции организма хозяина
Способы борьбы:
1. регуляция питания
a. примесь питательных веществ, образующих основания (аргинин)
b. уменьшение циркуляции в зубодесневом желобке, за счет противовоспалительных средств
c. ингибирование ключевых микробных ферментов
Регулирование рН биопленки
• стимуляция выработки оснований
Регулирование окислительно-восстановительного потенциала. Используются в-ва окислители и восстановители
5. Минерализованные зубные отложения, виды, состав, способы удаления.
Минерализованные зубные отложения.
Наддесневой зубной камень - располагается над гребнем альв отростка, визуально хорошо заметен, обычно серого или желтого цвета. Твердой консистенции. Чаще образуется на зубах, располагающихся напротив протоков слюнных желез. Тип камня - слюнной (минеральные компаненты поступают из слюны).
Время кальцификации зубной бляки составляет 12 дней. Образование ЗК продолжается до тех пор, пока он не достигнет мак размеров для данного индивидуума.
Состав: 70 - 90% не органический компанент, 10 - 30% органический компанент.
Неорганический компанент - фосфат Са, карбонат Са, фосфат магния. Всего Са - 39%, Р - 19%, магний - 0,8%, карбонат - 1,9%, натрий, цинк, золото, железо, хром.
Органический компанент - протеин полисахаридный комплекс, слущенный эпитей, микро, лейкоциты, углеводы(галактоза, гл, моноза, глюкуроновая кислота, преоб-ют грам + волокнистые микроорганизмы.
Поддесневой зубной камень - располагается под маргинальной десной и в пародонтальных карманах. На виден при визуальном осмотре, обнареживается при зондировании, иммет твердую консистенцию, цвет темно-коричневый или зелено-черный, плотно прикреплен к поверхности зуба. Тип камня - сывороточный (минеральные компаненты поступают из десневой жидкости). По составу больше Са и Р. отсутствуют слюнные белки, микроорганизмы грам+ и -.
На интенсивность отложения влияет:
Состояние зубов и прикуса
Состояние тканей пародонта
Общее состояние организма
Ввиду плотной консистенции зубной камень оказывает механическое давление, создает условия микротравмы эпителия десны, маргинальных волокон пародонта, оказывает химическое воздействие вследствие наличия токсических элементов.
Читайте также:
- Причины гломусной опухоли яремного отверстия и ее развитие
- Диагностика образований средостения. Обезболивание при образованиях средостения
- Широкоугольные фотографии меланомы цилиарного тела
- Стеноз легочной артерии у детей: признаки, диагностика
- КТ при рентгенонегативном поражении височно-нижнечелюстного сустава (ВНЧС)
