Субдолевая резекция легкого на рентгенограмме, КТ
Добавил пользователь Евгений Кузнецов Обновлено: 31.10.2025
В чем разница между этими методами обследования? Когда лучше делать КТ легких, а когда рентгенографию? Подробнее рассмотрим в этой статье.
Чем отличается КТ от рентгена легких?
Компьютерная томография — это современный метод лучевой диагностки различных заболеваний, в основе которого лежит рентгенография. . Метод был разработан и предложен учеными, лауреатами Нобелевской премии Г. Хаунсфилдом и А. Кормаком в 1972 году. Классическая рентгенография была изобретена в 1896 году, чаще всего она применялась в стоматологии и для исследования легких, поскольку на рубеже XIX-XX вв. смертность от пневмонии, туберкулеза и астмы была крайне велика.
Ключевое отличие цифрового рентгена от компьютерной томографии легких — траектория прохождения рентгеновских лучей и техника визуализации. В процессе обычной рентгенографии Х-лучи проходят через исследуемый участок тела перпендикулярно всего один раз, поэтому рентгенограмма представляет собой двухмерное однослойное изображение. Рентген легких — наиболее доступное по цене исследование, которое часто назначается в первую очередь, если у пациента есть признаки пневмонии, туберкулеза, обструктивной болезни легких, опухолей. Проблема данного вида диагностики заключается в том, что, например, при пневмонии на рентгене достоверно можно определить только поражение легких III и IV степени, а тени от крупных органов могут затенять другие ткани.
Сканы КТ отличаются более высокой четкостью изображений и информативностью. В ходе компьютерной томографии рентгеновская трубка вместе с чувствительными датчиками совершает несколько оборотов по спиральной траектории, сканируя исследуемую область. Аппарат КТ делает множество сканов толщиной до 1 мм, на основании которых воссоздается трехмерная модель легких, сосудов, органов и костей грудной клетки в высоком разрешении. Таким образом после компьютерной обработки изображений ткани и органы можно исследовать в трех проекциях, эффект наложения теней от органов в случае с компьютерной томографией отсутствует.
Высокая четкость изображения при компьютерной томографии связана с техникой проведения диагностики и физическими свойствами излучения. Рентген обладает 20% коэффициентом ослабления, в то время как томография - коэффициентом 0,5%, а следовательно и более высокой разрешающей способностью.
И рентгенографию, и компьютерную томографию можно делать с контрастированием. Рентгенография или КТ легких с контрастом поможет визуализировать сосуды и опухоли. Однако первичная дифференциация новообразований на доброкачественные и онкогенные возможна только в рамках КТ, что также связано с качеством изображений.
Поскольку рентгенограмма грудной клетки в сущности представляет 1 снимок, а томограмм делают множество, то и излучение при КТ легких выше из-за многократной экспозиции. В среднем, за одну процедуру рентгена легких пациент получает 0,1 мЗв облучения, во время КТ легких - 2,5 мЗв. Однако эта доза ионизирующего излучения безопасна для пациента. В год допустимо делать КТ-сканирование 5 зон. Направляя на тот или иной рентгенографический метод обследования, врачи всегда руководствуются критерием целесообразности и безопасности пациента.
В специализированном центре КТ «Ами» процедура проходит на аппарате нового поколения Siemens Somatom go.Now со сниженной лучевой нагрузкой.
Что лучше: КТ или рентген легких?
КТ легких и рентгенография назначаются при воспалении легких, туберкулезе, бронхиальной астме. Оба исследования показывают состояние легких, бронхов, трахеи, средостения. И на КТ, и на рентгене выявляют опухоли, инородные предметы в полости легких и дыхательных путях. Как и компьютерная томография, рентген показывает скопления жидкости в альвеолах или фиброз (поражение легких при пневмонии), наличие эмфиземы (хронический бронхит курильщика), отек и саркоидоз легких (гранулемы и узловые новообразования легких).
Однако большинство медиков склоняются к мнению, что если есть возможность сделать КТ легких вместо рентгена, то лучше исследовать органы грудной клетки именно так. Во-первых, врач точно не пропустит заболевание или опухоль в начальной стадии. Во-вторых, после КТ легких уже нет необходимости в дополнительном уточняющем обследовании (кроме лабораторной диагностики, поскольку инфекционные, вирусные и бактериальные агенты-возбудители определяют с помощью анализа биологического материала). В-третьих, небольшие кальцификаты, деструкции и опухоли видны только на сканах КТ.
Согласно докладам Всемирной организации здравоохранения, рак легких по-прежнему представляет угрозу для жизни и здоровья миллионов людей. Поэтому пациентам старше 40 лет, особенно попадающим в группу риска, рекомендован ежегодный профилактический скрининг. Флюорография и рентген считаются традиционным методом профилактики, однако лучше всего для этой цели подойдет низкодозная компьютерная томография легких.
Плюсы рентгена легких
- Низкая цена обследования.
- Облучение около 0,1 мЗв.
- Аппаратами для рентгена оснащены многие медицинские учреждения.
Минусы рентгена легких
- Малая информативность.
- Низкая специфичность.
- Двухмерные снимки, подозрительные участки могут быть закрыты тенями органов.
- Не показывает пневмонии, опухоли и другие патологии легких на ранних стадиях. Также для обследования лимфатических узлов более информативна КТ.
- Невозможно дать первичную оценку новообразованиям, дифференцировать их на доброкачественные и онкогенные.
- Есть вероятность получения неполной картины.
Плюсы КТ легких
- Трехмерное (пространственное) изображение легких, исчерпывающая информативность.
- Показывает заболевания и патологии легких на ранних стадиях.
- Ранняя диагностика рака легких.
- Врач может первично дифференцировать новообразования.
- Назначается при атипичном течении заболеваний, в качестве уточняющего метода обследования после рентгена.
Минусы КТ легких
- Более высокая цена.
- Более высокая доза ионизирующего излучения.
- Сравнительно невысокая распространенность медицинских центров, оснащенных томографами.
Что информативнее: КТ легких или рентген?
Компьютерная томография - наиболее современный и информативный рентгенологический метод обследования. На сканах в трех проекциях визуализируются мягкие ткани, внутренние органы, кости и сосуды. Двухмерная рентгенография дает более общее представление о состоянии легких, однако иногда этого достаточно для последующего успешного лечения пациента.
Не опасно ли делать КТ легких после рентгена?
Ионизирующее (рентгеновское) излучение не полезно для человека, а в избыточном количестве вызывает радиационный синдром и может стать «спусковым механизмом» для развития онкологических заболеваний у пациентов, предрасположенных к ним. Согласно действующим «Нормам радиационной безопасности» в год допустимо до 30-50 мВз излучения, но не следует забывать и о естественном радиационном фоне. КТ легких (около 2,5 мЗв) после рентгена (около 0,1 мЗв) безопасно, и такая прецизионная диагностика может спасти пациенту жизнь.
Однако, чтобы избежать дополнительной лучевой нагрузки, наиболее целесообразно сразу сделать КТ легких, не прибегая к рентгену.
Что лучше делать при воспалении легких: КТ или рентген?
Назначить КТ или рентген легких при пневмонии сможет только врач после изучения симптомов, лабораторных анализов, индивидуальной клинической картины пациента. Наличие жидкости или гноя в альвеолах, а также фиброз визуализируется и на рентгенограмме и на сканах КТ. Однако традиционного рентгена при пневмонии I-II степени может быть недостаточно, в то время как на КТ она видна более определенно как «матовые стекла». При атипичной пневмонии и при коронавирусе рекомендуется сделать КТ легких.
Можно ли сделать КТ легких вместо рентгена?
Да, КТ легких может заменить рентген. Однако врач, назначающий то или иное исследование, всегда учитывает индивидуальные особенности пациента, например, сколько рентгенологических исследований уже было проведено в течение года, нет ли противопоказаний к КТ. Также ионизирующее излучение вредно для беременных женщин и плода, поэтому в этом случае при пневмонии предпочтительнее МРТ легких.
Какие осложнения могут возникнуть в первые дни после операции и какова их вероятность?
По данным зарубежной статистики (Швейцария), с послеоперационными осложнениями сталкиваются 3 человека из 10.
Оперативное вмешательство по поводу рака легкого может проводиться в разных объемах:
- удаление доли легкого, лобэктомия,
- удаление всего легкого, пульмонэктомия.
В раннем послеоперационном периоде как после открытого оперативного вмешательства, так и после малоинвазивного торакоскопического вмешательства, могут возникнуть осложнения.
1. Утечка воздуха из легкого в плевральную полость, в норме герметичную и воздуха не содержащую — естественное и закономерное явление, после операций на легких с ним сталкивается каждый второй пациент, и оно прекращается самопроизвольно через несколько часов или дней. Лишь у семи-восьми человек из ста она сохраняется дольше 5 дней и только в этом случае расценивается как осложнение.
Изначальным проявлением сброса воздуха после лобэктомии является бурление в дренажной банке, которая соединена с послеоперационной дренажной системой
Сброс воздуха замечают по бурлению проходящих сквозь жидкость пузырьков воздуха в банке, соединенной с установленной после операции системой дренажа плевральной полости.
2. Пневмоторакс — присутствие воздуха в полости грудной клетки. Пока стоит дренажная система, воздух, поступающий в плевральную полость из поврежденного оперативным вмешательством легкого, выходит по ней. Это открытый пневмоторакс. Если же дренаж удаляют до прекращения утечки воздуха из легкого, пневмоторакс становится закрытым. Воздух, попав в плевральную полость, не находит выхода, скапливается и сдавливает легкое.
В отличии от простой утечки воздуха, закрытый пневмоторакс проявляется внезапно возникающей и усиливающейся одышкой в покое. Когда воздух попадает под кожу, появляется вздутие, при нажатии на него слышен хруст, потрескивание.
3. Ателектаз — спадение отдельных участков или всего легкого. Ткань легкого «сдувается», теряет воздушность и способность выполнять функцию газообмена. Чаще всего это происходит в первые несколько суток после операции. Может быть связано как с закрытым пневмотораксом, так и со скоплением мокроты в бронхах. Ателектаз может протекать как бессимптомно, так и с одышкой, в зависимости от того, какая часть легкого находится в «спавшемся» состоянии.
5. Пневмония (воспаление легких). С инфекционным поражением легких сталкивается шесть человек из ста. Пневмония проявляется повышением температуры, постепенно нарастающей одышкой, слабостью, кашлем, сухим или с отхождением мокроты. Иногда протекает бессимптомно. Требует от медицинского персонала своевременного реагирования.
6. Нарушения сердечного ритма (наиболее часто в виде фибрилляции предсердий) бывают у двух человек из десяти после удаления доли легкого (лобэктомии) и трех-четырех человек из десяти после удаления всего легкого (пульмонэктомии). Опасность большинства вариантов нарушения сердечного ритма кроется в нарушении кровоснабжения органов и тканей, что утяжеляет послеоперационный период. В некоторых случаях нарушения ритма способны привести к инсульту.
- ощущение перебоев в работе сердца,
- предобморочные и обморочные (синкопальные) состояния,
- слабость,
- одышку при движениях,
- головокружения.
7. Кровотечение в области оперативного вмешательства — возникает в одном-трех случаях из ста. В тяжелых случаях кровь скапливается в грудной полости и сдавливает легкое (гемоторакс).
При развитии кровотечения:
- постепенно снижается артериальное давление,
- учащается пульс,
- нарастает слабость,
- появляется головокружение, усиливающееся, когда пациент встает с постели.
При присоединении гемоторакса происходит усугубление тяжести всех симптомов, появляется одышка. Одышка нарастает по мере нарастания гемоторакса.
8. Тромбоэмболические осложнения, наиболее часто тромбоэмболия легочной артерии (ТЭЛА). Настигают до пяти пациентов из ста при лобэктомии и семь человек из ста после пульмонэктомии. Для каждого второго пациента ТЭЛА может закончиться летальным исходом.
При ТЭЛА тромбами закупориваются и блокируются сосуды легких.
- При массивной ТЭЛА, закупорке многих или крупных сосудов, могут возникать боль в грудной клетке и одышка, появляющаяся внезапно и быстро нарастающая, иногда потеря сознания.
- В менее тяжелых случаях, при закупорке отдельных мелких ветвей легочной артерии, возможны дискомфорт в грудной клетке, кашель, в том числе с кровохарканьем.
При поражении сосуда малого калибра симптомов может не быть, лишь через какое-то время возникает так называемая инфаркт-пневмония.
9. По данным зарубежной статистики, для одного-трех человек из ста операция на легких может закончиться смертью в силу вышеописанных причин. Это может быть как при открытом, так и при малоинвазивном, торакоскопическом вмешательстве.
Можно ли предотвратить ранние послеоперационные осложнения?
Утечка воздуха (пневмоторакс) и ателектаз — профилактика заключается в совершенствовании техники операции и восстановлении целостности тканей (формировании швов). Применение дренажной трубки позволяет уже к третьему дню после операции добиться прекращения утечки воздуха у семи пациентов из десяти. Дренажная система — первый, важный элемент лечения пневмоторакса и ателектаза легкого.
Лечение при утечке воздуха и пневмотораксе осуществляется по принципу «от простого к сложному»
- Вначале обеспечивают дренирование плевральной полости. Повторно устанавливают дренажную трубку, если она была удалена. Либо оставляют установленную после операции дренажную систему на длительный срок.
- Следующим этапом при неэффективности дренирования может быть плевродез. Чтобы закрыть дефект в легком и прекратить утечку воздуха, провоцируют рубцевание в плевральной полости. Обычно вводят химические вещества, вызывающие воспаление. Воспаленные листки плевры слипаются, легкое «приклеивается» к стенке грудной клетки. На месте плевральной щели образуется рубец.
- Для лечения упорного сброса воздуха и пневмоторакса могут быть использованы эндоскопические методики или повторное оперативное вмешательство.
Ателектаз. Профилактика и лечение в послеоперационном периоде сводятся к выполнению:
- дыхательной гимнастики — более подробно описанной тут,
- расширения двигательного режима,
- ингаляции препаратов для расширения дыхательных путей, улучшения отхождения мокроты и вентиляции легких,
- удаления мокроты с помощью бронхоскопа, в наиболее сложных случаях.
Пневмония
- Адекватное обезболивание после операции позволяет свободнее дышать, что улучшает вентиляцию легких и снижает риск пневмонии.
- Откашливание и постукивание по грудной клетки — постуральный дренаж, а также ранняя активизация пациента после операции улучшают отхождение мокроты из дыхательных путей.
- Антибиотики для профилактики пневмонии применяют непосредственно перед операцией, в ходе операции и в первые часы после операции (до 3 введений антибиотика с интервалом в 8 часов).
Польза более длительной профилактической антибактериальной терапии не доказана: крупных исследований, подтверждающих пользу их профилактического применения после операции нет.
Риск тромбоэмболических осложнений, в том числе ТЭЛА, уменьшают антикоагулянты, препараты, снижающие свертываемость крови и вероятность образования кровяных сгустков — тромбов. При отсутствии противопоказаний их назначают всем пациентам после операции на лёгких.
Нарушения сердечного ритма наиболее эффективно предотвращают препараты, восстанавливающие нормальный ритм сердца. Удаление легкого — один из факторов риска развития аритмии, нарушения ритма сокращений сердца.
Как лечат осложнения, возникающие сразу после операции?
Пневмония требует антибактериальной терапии, в соответствии с чувствительностью вызвавших ее бактерий.
При появлении признаков пневмонии:
- повышении температуры,
- усилении кашля,
- появлении мокроты,
- обнаружении инфильтративных изменений на рентгенографии/компьютерной томографии грудной клетки,
- выявлении изменений в анализах крови,
берут кровь, мокроту, жидкости из плевральной полости (дренажной системы) на бактериологическое исследование, чтобы выяснить, к каким антибиотикам чувствителен вызвавший воспаление микроорганизм.
После забора материала на бактериологическое исследование врач назначает антибиотик широкого спектра действия. По результатам бактериологического исследования, обычно через 3 — 4 дня, антибактериальную терапию корректируют.
ТЭЛА
Антикоагулянты, препараты, уменьшающие свертываемость крови, могут быть назначены, если удалось достичь устойчивой остановки кровотечения.
Тромбоэкстракция (тромбэктомия) — удаление тромба из сосуда с помощью катетера, введенного через крупные вены. Выполняется под рентгеноскопическим контролем.
Осуществлялись попытки хирургического лечения, однако, для пациентов с ТЭЛА после операции, хирургическое лечение ТЭЛА чревато высоким риском осложнений.
Что значит торакальная хирургия?
Дословно — внутригрудная хирургия, то есть на органах грудной клетки, от латинского слова thorax — грудная клетка.
По характеру выполнения операции подразделяют на радикальные и нерадикальные.
Под радикальной операцией (R0) понимают удаление пораженного органа или его резекцию (удаление, иссечение) в пределах здоровых тканей с клетчаткой и лимфатическими узлами.
Операция считается нерадикальной, если по линии резекции удаленной ткани микроскопически выявляются опухолевые клетки (R1) либо в оставшейся части органа визуально определяется опухоль (R2).
По объему удаляемой ткани операции делятся на анатомические и неанатомические резекции.
В современной онкологии радикальное хирургическое лечение РЛ подразумевает пневмонэктомию (удаление всего легкого) или анатомическое удаление части легкого и лимфатических узлов.
Что значит анатомическая резекция легкого?
Это удаление легочной ткани по анатомическому строению легких. Анатомической резекцией является удаление одной доли (лобэктомия), двух долей (билобэктомия), сегмента (сегментэктомия) и бронхопластика легких.
К неанатомической резекции легкого относится атипичная (она же клиновидная или краевая) резекция легкого, применяемая в определенных ситуациях.
Пневмонэктомия — удаление всего легкого целиком.
Лобэктомия — удаление доли легкого, то есть анатомическая резекция доли. При удалении отдельной доли перевязываются входящие в нее сосуды и бронхи. В норме в правом легком три доли, а в левом — две. Соответственно, если удаляют одну долю справа — это одна треть легкого, удаление двух долей (билобэктомия) в правом легком — две трети, а удаление одной доли слева — половина легкого.
Сегментэктомия — удаление одного или нескольких сегментов путем разделения входящих в них сосудистых и бронхиальных структур. Один сегмент составляет приблизительно одну десятую часть легкого. Эта процедура часто применяется для лечения пациентов, которые по медицинским показаниям не смогут перенести удаление большого объема легочной ткани, или при очень маленьких опухолях.

Резекция с бронхопластикой является альтернативой пневмонэктомии или билобэктомии. Эта процедура позволяет сохранить легочную ткань путем удаления доли, содержащей опухоль, с частью вовлеченного бронха в здоровой доле. После удаления пораженного участка здоровые части бронхов сшиваются между собой.

Таким образом, альтернативой полному удалению легкого является бронхопластика с сохранением здоровой части легочной ткани. К сожалению, такие операции не всегда выполнимы, иногда даже во время операции приходится принимать решение об удалении легкого целиком.
Атипичная (клиновидная или краевая) резекция — это неанатомическое удаление части легкого, то есть сосуды и мелкие дыхательные пути не иссекаются и не перевязываются по отдельности. Клиновидная резекция легкого напоминает удаление куска пирога.
Хирургическая резекция легких может быть выполнена:
- открытым способом, то есть торакотомия;
- минимально инвазивными методами:
- видеоассистированная торакоскопическая хирургия;
- робот-ассистированная торакоскопическая хирургия.
Как производятся операции на органах грудной клетки?
Один из наиболее часто используемых доступов (разрезов) при открытых операциях — торакотомия. Разрез производится в одном из межреберных промежутков, его точное место зависит от расположения опухоли и планируемого объема операции. В разрез устанавливается ранорасширитель, чтобы хирурги могли работать инструментами в крайне ограниченном пространстве грудной клетки.
В минимально инвазивной торакальной хирургии используется торакоскоп, соединенный с видеокамерой. Объектив и инструменты, необходимые для проведения операции, вводятся между ребер в грудную полость через несколько небольших разрезов.
В отличие от открытых операций, руки хирурга остаются снаружи и манипулируют инструментами, находящимися внутри грудной клетки.
При роботизированном доступе хирург управляет инструментами с отдельной консоли.
![]()
Хирург во время операции находится за консолью, он видит перед собой изображение операционного поля и управляет инструментами. Непосредственно в теле пациента работает робот-манипулятор, оснащенный камерой и инструментами, которые перемещаются в режиме реального времени в ответ на движения рук хирурга на консоли.
Минимально инвазивные методы все чаще демонстрируют преимущества по сравнению с открытой торакотомией, например, более короткий период восстановления. С точки зрения онкологического прогноза сравнение минимально инвазивных и открытых лобэктомий ранних стадий рака легкого разницы не показало.
Выводы:
При раке легкого наиболее часто выполняется операция по удалению доли легкого с прилежащими лимфатическими узлами. Врачи всегда стараются сохранить максимальное количество здорового органа, поэтому вместо удаления целой доли может быть выполнено удаление сегмента, а вместо удаления целого легкого — резекция с бронхопластикой. И несмотря на, казалось бы, явные преимущества минимально инвазивной хирургии перед открытыми операциями, не всегда это может быть лучшим решением для конкретного пациента. Необходимо обсуждать с хирургом различные варианты оперативного вмешательства.
Рак легких
Рак легкого - это злокачественная опухоль, источником которой являются клетки бронхиального и альвеолярного эпителия. Это опасное заболевание характеризуется неконтролируемым ростом клеток в тканях лёгкого, склонностью к метастазированию. При отсутствии лечения опухолевый процесс может распространиться за пределы легкого в близлежащие или отдаленные органы. В зависимости от характеристик опухолеобразующих клеток, основными типами рака легких являются мелкоклеточный рак легкого (МРЛ) и немелкоклеточный рак лёгкого (НМРЛ).
По данным ВОЗ эта болезнь занимает одну из лидирующих позиций неинфекционных заболеваний, ставших причиной смерти до 70 лет.
Классификация
По месту первичного очага классифицируют виды опухоли легкого.
Центральный рак локализирован в проксимальных (центральных) отделах бронхиального дерева. Первые признаки рака легких (симптомы), которые должны насторожить, в этом случае выражены ярко:
- сухой продолжительный кашель, не поддающийся лечению.
- начинается кровохарканье с присоединением мокроты.
- закупорка просвета бронха опухолевыми массами приводит к одышке даже в состоянии покоя. В некоторых случаях возможно повышение температуры.
![Центральный рак правого нижнедолевого бронха с обтурацией и метастазами]()
Фото 1 — Центральный рак правого нижнедолевого бронха (1) с обтурацией и метастазами (2) в бифуркационные лимфатические узлы
Периферический рак постепенно сформировывается в боковых отделах легких, медленно прорастая и ничем себя не обнаруживая. Данная опухоль легкого симптомы долгое время может не давать, они появляются при значительном местном распространении, вовлечении соседних органов и структур, прорастания бронхов. Диагностика рака легких этого типа локализации чаще всего возможна при профилактическом обследовании (рентгенографии или компьютерной томографии).
![Периферический рак]()
Фото 2 — Периферический рак (1) верхней доли правого легкого
Причины
Причиной рака легких, в подавляющем большинстве случаев (до 85%), становится долгосрочное табакокурение. В 10-15-процентной вероятностью заболевание проявляется у людей, которые не имеют этой вредной привычки. В этом случае можно отметить сочетание генетических факторов и воздействие радона, асбеста, вторичного табачного дыма или других форм загрязнения воздуха.
Диагностика
Онкология легких обычно выявляется при рентгенографическом исследовании грудной клетки и компьютерно-томографическом сканировании (КТ). Диагноз подтверждается биопсией, которая обычно выполняется при трахеобронхоскопии или под КТ контролем.
![Рак легких диагностика]()
Профилактика
Профилактикой рака легкого является снижение влияния факторов риска:
- отказ от курения, в том числе и «пассивного» (вдыхание табачного дыма от находящегося рядом курящего человека),
- применение средств индивидуальной защиты (маски, респираторы) при работе с вредными материалами.
Лечение
Лечение онкологии легких и отдаленные результаты зависят от типа рака, степени распространения (стадии), а также общего состояния здоровья человека. При немелкоклеточном раке легкого применяют:
- хирургический
- химиотерапевтический
- лучевой методы лечения
Для мелкоклеточного рака легкого характерна лучшая чувствительность к медикаментозной и лучевой терапии.
Хирургический метод лечения рака легкого
— основной радикальный способ при 1-3 стадии болезни. Операции, выполняемые при данном заболевании классифицируются:
- по объему резекции (лобэктомии (удаление доли легкого), билобэктомии (удаление двух долей легкого), пневмонэктомии (удаление целого легкого)),
![Лобэктомия и пневмонэктомия]()
Фото 3 — Лобэктомия
Фото 4 — Пневмонэктомия
- по объему удаления лимфатических узлов грудной полости (стандартные, расширенные, сверхрасширенные),
- по наличию резекции соседних органов и структур (комбинированные операции проводятся при прорастании опухоли в перикард, трахею, верхнюю полую вену, пищевод, аорту, предсердие, грудную стенку, позвоночник). Помимо оперативного лечения возможно применение комплексного подхода, включающего лучевую и химиотерпию.
![Хирургический метод лечения рака легкого]()
При лечении местнораспространенного злокачественного образования с переходом на главный бронх и лёгочную артерию, в тех случаях, где раньше единственным вариантом оперативного лечения являлась пневмонэктомия, сейчас возможно выполнение органосохранных операций. В этом случае иссекается пораженный участок главного бронха с последующим восстановлением непрерывности (бронхопластические и ангиопластические лобэктомии)
![Схема верхней бронхопластической лобэктомии]()
Фото 5 — Схема верхней бронхопластической лобэктомии
Лучевая терапия рака лёгкого
На сегодняшний день активное внедрение получают такие современные методы радиотерапии, как IMRT (радиационная терапия с возможностью изменения дозы излучения), 3Д конформная лучевая терапия (трехмерное компьютерное планирование избирательного облучения) стереотаксическая (точно сфокусированная) лучевая терапия. В проведении этих манипуляций, помимо онкологов, участвуют медицинские физики, врачи-радиологи, физики-дозиметристы и др. специалисты.
- пациентам с резектабельной опухолью лёгкого, которым оперативное лечение выполнить невозможно ввиду противопоказаний со стороны сердечно-сосудистой системы или по другим причинам;
- как альтернатива хирургическому вмешательству;
- для снижения риска рецидива при поражении лимфаузлов средостения, положительном крае резекции по данным гистологического исследования.
Химиотерапия
Планирование курса лечения немелкоклеточного рака лёгкого включает в себя использование фармакологических средств. Применяется в целях профилактики: адъювантная (вспомогательная), послеоперационная химиотерапия при 2-3 стадии заболевания и в терапевтическом курсе.
В зависимости от гистологического типа опухоли, стадии заболевания и предполагаемой чувствительности к воздействию, разработаны различные схемы применения химиопрепаратов.
Таргетная терапия (англ. target - мишень, цель)
Отдельный вид фармакологического лечения, заключающийся в назначении препаратов-ингибиторов, действующих только на опухолевые клетки, в которых выделены различные нарушения, задерживающих или даже блокирующих дальнейший рост.
- ингибиторы тирозинкиназы (гефитиниб, эрлотиниб, афатиниб) используются в лечении больных, в опухолевой ткани которых выявлены мутации в гене EGFR.
- При отрицательном статусе EGFR-мутации — ингибиторы ALK (кризотиниб, алектиниб).
Существуют таргетные препараты, для назначения которых не требуется выявление каких-либо нарушений в опухолевых клетках. К ним относятся бевацизумаб (ингибитор VEGF), ниволюмаб и пембролизумаб (анти PDL1 антитела).
Прогноз жизни
Прогноз онкологии легких при НМРЛ включает симптоматику, размер опухоли (> 3 см), неплоскоклеточный гистологический вариант, степень распространения (стадию), метастазирование в лимфаузлы и сосудистую инвазию. Неоперабельность заболевания, выраженная клиника и потеря веса более, чем на 10% — дают более низкие результаты. Прогностические факторы при мелкоклеточном раке легкого включают в себя статус состояния, пол, стадию заболевания и вовлеченность центральной нервной системы или печени во время диагностики.
Для немелкоклеточного рака легкого прогноз жизни, при полной хирургической резекции стадии IA (ранняя стадия заболевания) — 70% пятилетняя выживаемость.
Случай успешного радикального хирургического лечения ложно местно-распространённого рака лёгкого
![Головинский Сергей Владимирович, торакальный хирург - Москва]()
Несмотря на достижения современных медицинских технологий в торакальной онкологии, рак лёгкого остаётся одной из основных причин смертности населения. Алгоритм и тактика лечения пациентов со злокачественными опухолями лёгких определяются на основании клинической стадии заболевания. Стадия устанавливается по результатами диагностических исследований: компьютерной (КТ) и позитронно-эмиссионной томографии (ПЭТ-КТ), радиоизотопных исследований и бронхоскопии.
Достаточно часто (13-30 %) течение рака лёгкого осложняется вторичным параканкрозным (расположенным вокруг опухоли ) воспалением, которое затрудняет своевременную диагностику и адекватное стадирование рака лёгкого. Нередко это приводит к гипердиагностике, то есть ошибочному медицинскому заключению о наличии у пациента осложнений, которые на самом деле отсутствуют. Применимо к раку лёгких, гипердиагностика возможна по характеристикам первичной опухоли и поражению лимфатических узлов (категории "T" и "N" в классификации TNM), что отодвигает хирургические методы лечения на второй план или вовсе исключает их из возможных опций лечения рака лёгкого.
Приводим клиническое наблюдение пациента с ложно местно-распространённой злокачественной опухолью лёгкого. Учёт характера новообразования в этом случае позволил провести пациенту успешное хирургическое лечение первым этапом.
31.07.2020 мужчина 57 лет обратился в Клиническую больницу № 2 АО ГК МЕДСИ с данными компьютерной томографии, где выявлено центральное новообразование в корне нижней доли левого лёгкого.
Жалобы
Пациент предъявлял жалобы на боль в груди (в проекции грудины и нижне-грудного отдела позвоночника), эпизоды повышения температуры тела до субфебрильных значений (до 38 °C) и постоянный кашель с выделением небольшого количества светлой мокроты.
Сначала болезненные ощущения трактовались как проявления гастроэзофагеальной рефлюксной болезни (ГЭРБ). Пациент получал лекарственную терапию, но без существенного эффекта.
Анамнез
У пациента длительный анамнез курения — 40 пачколет (т. е., 1 пачка в день в течение 40 лет или 2 пачки в день в течение 20 лет и т .д.). Считает себя больным с апреля 2020 года, когда появилась боль в груди и кашель. С этими симптомами больной обратился к терапевту в поликлинику по месту жительства. Жалобы были расценены как проявления гастро-эзофагеальной рефлюксной болезни (ГЭРБ). По результатам гастроскопии диагностированы признаки хронического гастрита и косвенные признаки ГЭРБ. Назначенное лечение не дало эффекта.
При дальнейшем дообследовании, по данным рентгенографии и компьютерной томографии органов грудной клетки выявлено новообразование в нижней доле левого лёгкого. После этого пациент был направлен на консультацию к торакальному онкологу.
- (терапия метформином и гликлазидом);
- мультифокальный атеросклероз с преимущественным поражением сосудов головного мозга. 27.12.2019 зафиксирована транзиторная ишемическая атака (острое кратковременное нарушение кровообращения головного мозга).
Обследование
При осмотре и физикальном обследовании обращало на себя внимание наличие экспираторных (при выдохе) свистящих хрипов по всем лёгочным полям (больше слева) и ослабление дыхания в нижних отделах слева.
Периферические лимфатические узлы шеи, подмышечных, над- и подключичных областей не увеличены в размерах или не пальпируются (не прощупываются).
Первым этапом пациенту была проведена фибробронхоскопия, по данным которой выявлено, что устье нижнедолевого бронха слева сужено за счёт подслизистого и перибронхиального распространения опухоли.
Выполнена многократная биопсия из устья нижнедолевого бронха слева. По данным гистологического исследования материала эндоскопической биопсии верифицирован диагноз немелкоклеточного рака лёгкого.
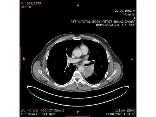
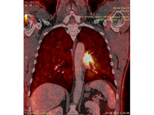
Чтобы провести первичное стадирование опухоли, пациенту проведена позитронно-эмиссионная томография в сочетании с компьютерной томографией (ПЭТ-КТ). По данным исследования, выявлена метаболически активная опухоль в корне левого лёгкого с бугристыми контурами размерами 41 х 43 мм. В толще опухоли проходят нижнедолевой бронх и бронх 6-го сегмента левого лёгкого, просветы бронхов значительно сужены. Нижняя доля левого лёгкого уменьшена в размерах за счёт того, что сегменты 6, 9 и 10 субтотально (частично) инфильтрированы и безвоздушны. Лимфатические узлы корня лёгкого и средостения не увеличены в размерах и не накапливают радиофармпрепарат (РФП), который был введён пациенту перед обследованием внутривенно. Других очаговых образований и очагов гиперметаболизма в организме не обнаружено.
При этом отмечено, что опухоль распространяется в средостение по нижней стенке левого главного бронха и широко прилежит к нижнегрудному отделу аорты (по заключению специалиста ПЭТ-КТ — имеется инвазия опухоли в ткани средостения и возможное врастание в стенку аорты). При самостоятельном пересмотре изображений отмечено, что "опухолевая" ткань, которая распространяется по нижней стенке левого главного бронха в средостение, не накапливает РФП (т. е. не является злокачественной), а стенка аорты в области "инвазии" опухоли имеет ровный чёткий контур и адвентициальную границу, что также свидетельствует об отсутствии онкологического процесса в этой области.
- эхокардиография;
- ультразвуковая допплерография (УЗДГ) артерий и вен нижних конечностей и брахиоцефальных артерий;
- спирометрия (измерение объёмных и скоростных показателей дыхания с целью диагностики и оценки функционального состояния лёгких).
По результатам исследований не выявлено существенных патологий, которые могли бы ограничить возможности хирургического вмешательства на лёгких.
На период обследования пациенту была рекомендована противовоспалительная (НПВС) и ингаляционная терапия, на фоне чего пациент отметил уменьшение болевого синдрома и выраженности кашля.
Диагноз
Основное заболевание: Центральный немелкоклеточный рак нижней доли левого лёгкого, сT2bN0M0, IIА стадия. (T2b — опухоль более 5 см, но менее 7 см в наибольшем измерении; N0 — нет метастазов в региональных лимфатических узлах; M0 — нет отдалённых метастазов).
- Сахарный диабет 2 типа, субкомпенсированный (среднетяжёлое течение болезни).
- Мультифокальный атеросклероз с преимущественным поражением сосудов головного мозга (транзиторная ишемическая атака от 27.12.2019). Код МКБ-10 — E11.9.







Интраоперационное фото: клипированные межрёберные артерии; аорта на тесёмочных держалках по краям зоны резекции адвентиции; культя главного бронха с провизорными швами при ушивании по Оверхольту


Проведён онкологический консилиум (Клиническая больница № 2 АО ГК МЕДСИ). Решением консилиума рекомендовано первым этапом провести хирургическое лечение в объёме нижней лобэктомии (удаления доли органа) с циркулярной резекцией левого главного бронха (удалением сегмента бронха с восстановлением целостности бронхиального дерева) или пневмонэктомии слева (полного удаления лёгкого) после интраоперационной ревизии с систематической медиастинальной лимфодиссекцией (иссечением лимфатических узлов).
- боковая торакотомия (вскрытие грудной клетки) слева;
- пневмонэктомия с резекцией адвентиции (наружной оболочки) аорты, париетальной и медиастинальной плевры и мышечной стенки пищевода;
- медиастинальная лимфаденэктомия.
1. В положении на правом боку с раздельной вентиляцией лёгких выполнена боковая торакотомия слева. При ревизии:
- в плевральной полости выпота (скопления жидкости) нет;
- имеются единичные сращения в области верхней доли и 6 сегмента — разделены при помощи электрокоагуляции;
- очагового поражения париетальной и висцеральной плевры нет.
- в нижней доле имеется плотная большая опухоль, подрастающая к грудной аорте и врастающая в медиастинальную плевру и средостение;
- сосуды корня лёгкого в опухолевый процесс не вовлечены;
- определяются множественные неувеличенные в размерах лимфатические узлы.
Учитывая данные интраоперационной ревизии, диагноз скорректирован: центральный местно-распространённый немелкоклеточный рак нижней доли левого лёгкого с врастанием в адвентицию аорты и ткани средостения — cT4NxM0. Принято решение о выполнении пневмонэктомии (полного удаления лёгкого).
2. Выделены и взяты на держалки верхняя и нижняя лёгочные вены, выделен ствол лёгочной артерии, который также взят на держалку. Выполнено пробное пережатие лёгочной артерии — нарушений гемодинамики (движения крови по сосудам) и гемоксигенации (насыщения крови кислородом) нет.
3. Последовательно прошиты сшивающими аппаратами и пересечены нижняя и верхняя лёгочные вены и ствол лёгочной артерии. Выявлено, что опухоль подрастает к мышечной стенке пищевода, выполнена краевая резекция мышечной стенки пищевода на протяжении 2 см.
4. Острым путём отсечён левый главный бронх, при этом обнаружено, что опухоль распространяется перибронхиально. Культя левого главного бронха реампутирована (ампутирована повторно) в пределах визуально здоровой ткани стенки бронха, до 1,5-2 см от карины трахеи (гребня хряща между разделением двух главных бронхов). Центральная часть культи левого главного бронха ушита по Оверхольту.
5. Отступив по грудной стенке от края врастания опухоли в аорты на 2 см, рассечена и отсепарована (отделена хирургически) париетальная плевра и адвентиция аорты. Аорта мобилизована по типу "ручки чемодана" и взята на тесёмочные держалки выше и ниже места врастания опухоли.
6. Скелетизируя грудную стенку и аорту, с перевязкой левых межрёберных артерий, на участке рёбер 4, 5, 6 и 7 выполнена полуциркулярная резекция адвентиции аорты, мягких тканей грудной стенки с париетальной плеврой и тканей средостения.
7. Пневмонэктомия. Проверка аэростаза (герметичности) под уровнем жидкости — просачивания воздуха в области культи бронха нет.
8. Выполнена лимфодиссекция из области лёгочной связки, области бифуркации трахеи (места её разделения на главные бронхи), аортального окна, левого трахеобронхаильного угла и нижних паратрахеальных лимфатических узлов слева. Проверка гемостаза — сухо.
10. В плевральную полость заведён толстый силиконовый дренаж. Послойное ушивание раны, рёбра сведены тремя перикостальными швами. Наложена асептическая повязка.
- дренаж из плевральной полости удалён на первый послеоперационный день;
- из отделения реанимации и интенсивной терапии (ОРИТ) пациент переведён в госпитальное отделение с целью активизации.
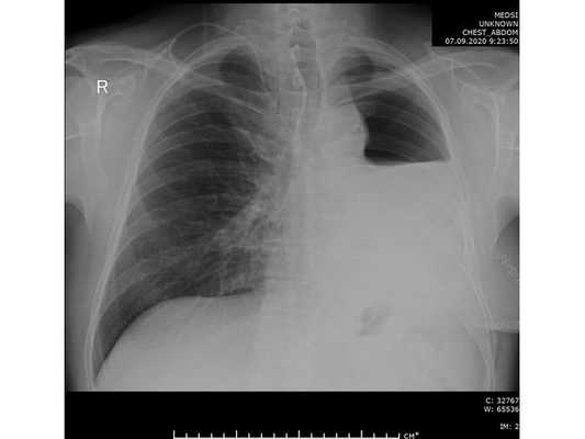
Проведена профилактическая стандартная антибактериальная терапия в течение пяти суток. По данным контрольной рентгенографии, отмечено смещение средостения в оперированную сторону.
- умеренно-дифференцированная аденокарцинома лёгкого (G2) с очаговой периневральной и лимфо-васкулярной инвазией (Pn1, LV1), выраженной фибропластической реакцией стромы, умеренной воспалительной инфильтрацией, фокусами некрозов.
- Размер опухоли — 6,0 х 4,5 х 3,5 см — pT2b.
- В 40 исследованных лимфатических узлах (4 группа — 5 шт., 5 группа — 4 шт., 7 группа — 10 шт., 9 группа — 1 шт., 10 группа — 2 шт., 11 группа и внутрилегочные — 18 шт.) метастазов опухоли не обнаружено — pN0.
- Края резекции без опухоли — R0.
- Область "подрастания" опухоли к адвентиции аорты и врастания опухоли в средостения была представлена фиброзной тканью с воспалительной инфильтрацией стромы.
Еженедельный амбулаторный контроль состояния пациента в течение трёх недель констатировал неосложнённый поздний послеоперационный период.
Проведён повторный онкологический консилиум Клинической больницы № 2 АО ГК МЕДСИ по результату первого этапа лечения: учитывая размеры опухоли, периневральную и лимфо-васкулярную инфильтрацию, степень дифференцировки опухоли и возраст пациента, рекомендовано проведение химиотерапии в адъювантном режиме по схеме Пеметрексед + Карбоплатин (4 курса). Первый курс химиотерапии проведён в штатном режиме на 28 послеоперационный день.
Заключение
Таким образом, принимая во внимание данные предоперационного обследования и заключение специалистов лучевой диагностики, можно было ложно определить "нехирургическую" стадию рака лёгкого и констатировать полную невозможность радикального хирургического лечения (инвазия в стенку аорты). Однако прицельный пересмотр данных ПЭТ-КТ и учёт клинической картины воспалительного синдрома ( температура тела до 38 °С ; кашель, купированный на фоне ингаляционной терапии; болевой синдром, купированный приёмом НПВС) позволили принять решение о возможности хирургического лечения. Интраоперационная ревизия на мгновение пошатнула уверенность в правильности стадирования онкологического процесса, однако патологоанатомическое исследование полностью подтвердило предоперационную трактовку клинической ситуации.
Данное клиническое наблюдение свидетельствует о важности учёта параканкрозного воспаления при раке лёгких, которое может вносить существенный вклад в ложную трактовку стадии заболевания. Каждый пациент с злокачественной опухолью лёгкого требует индивидуального подхода и оценки рисков и возможностей радикального хирургического лечения.
Читайте также:








