Суставы стопы. Подтаранный сустав. Пяточно-кубовидный сустав. Поперечный сустав предплюсны. Сустав Шопара. Связки сустава Шопара. Ключ сустава Шопара.
Добавил пользователь Евгений Кузнецов Обновлено: 21.11.2025
, lig. plantare longum. Компактный, прочный тяж, направляющийся от бугра пяточной кости вперед к os cuboideum и основаниям II - V плюсневых костей. Удерживает продольные своды стопы. Рис. А.
Подошвенная пяточно-кубовидная связка
Подошвенная пяточно-ладьевидная связка
, lig.calcaneonaviculare plantare. Располагается медиально от предыдущей связки и увеличивает размеры суставной впадины для сочленения с головкой таранной кости. Однако это классическое утверждение является спорным, т.к. со стороны caput tali связка слабо натянута и не содержит волокнистого хряща. Рис. А.
Подошвенные клиноладьевидные связки
, ligg. cuneonavicularia plantaria. Группа связок, соединяющих ладьевидную кость с расположенными кпереди от нее клиновидными костями. Рис. А.
Подошвенная кубовидно-ладьевидная связка
, lig. cuboideonaviculare plantare. Идет почти под прямым углом к оси стопы на ее подошвенной поверхности. Соединяет кубовидную кость с ладьевидной и участвует в укреплении поперечного свода стопы. Рис. А.
Подошвенные межклиновидные связки
, ligg. intercuneiformia plantaria. Расположены на подошвенной поверхности стопы между клиновидными костями. Укрепляют поперечный свод стопы. Рис. А.
Подошвенная клинокубовидная связка
Предплюсне-плюсневые суставы
, articulationes tarsometatarsales. Сочленения между костями предплюсны и плюсны. Рис. А, Рис. Б, Рис. В.
Тыльные предплюсне-плюсневые связки
Подошвенные предплюсне-плюсневые связки
Межкостные клиноплюсневые связки
, ligg.cuneometatarsalia interossea. Лежат между клиновидными и плюсневыми костями внутри полости соответствующих суставов. Рис. В.
Межплюсневые суставы
Межкостные плюсневые связки
, ligg. metatarsalia interossea. Фиброзные пучки между основаниями плюсневых костей. Находятся дистальнее полости межплюсневых суставов. Рис. В.
Тыльные плюсневые связки
Подошвенные плюсневые связки
, ligg. metatarsalia plantaria. Находятся на подошвенной стороне стопы между основаниями плюсневых костей. Рис. А.
Межкостные промежутки плюсны
, spatia interossea metatarsi. Пространство между телами плюсневых костей, заполненное одноименными мышцами. Рис. А.
Плюснефаланговые суставы
Коллатеральные связки
Подошвенные связки
, ligg.plantaria. Укрепляют с подошвенной стороны капсулу плюснефаланговых суставов. Волокна этих связок срастаются с проксимальными фалангами и головками плюсневых костей, образуя ложе для сухожилий мышц-сгибателей. Рис. А.
Глубокая поперечная плюсневая связка
Межфаланговые суставы стопы
, ligg. plantaria. Укрепляют c подошвенной стороны капсулу межфаланговых суставов. редплюсны. (См.24 - 31).
Швы, суставы и связки
Голеностопный сустав - Тыльная пяточно-кубовидная связка
Голеностопный сустав
, articulatio talocruralis. Сочленение между таранной, большеберцовой и малоберцовой костями. Рис. Г.
Медиальная (дельтовидная) связка
, lig. mediale (deltoideum). Расположена с внутренней стороны капсулы сустава и состоит из четырех частей. Рис. Г.
Большеберцово-ладьевидная часть
, pars tibionavicularis. Направляется от медиальной лодыжки к тыльной и медиальной поверхностям ладьевидной кости. Рис. Г.
Большеберцовопяточная часть
Передняя большеберцово-таранная часть
, pars tibiotalaris anterior. Соединяет медиальную лодыжку с внутренней поверхностью шейки таранной кости. Рис. Г.
Задняя большеберцово-таранная часть
, pars tibiоtalaris posterior. Направляется позади медиальной лодыжки к заднему отростку таранной кости. Рис. Б, Рис. Г.
Передняя таранно-малоберцовая связка
, lig. talofibulare anterius. Соединяет латеральную лодыжку с боковой поверхностью шейки таранной кости. Рис. А.
Задняя таранно-малоберцовая связка
, lig. talofibulare posterius. Начинается от ямки латеральной лодыжки и прикрепляется к латеральному бугорку заднего отростка таранной кости. Рис. А, Рис. Б.
Пяточно-малоберцовая связка
, lig.calcaneofibulare. Направляется от верхушки латеральной лодыжки косо назад к пяточной кости. Рис. А, Рис. Б.
Суставы стопы
Таранно-пяточноладьевидный сустав
, articulatio talocalcaneonavicularis. Образован головкой таранной, ладьевидной и пяточной костями. Рис. А, Рис. В.
Подтаранный сустав
, articulatio subtalaris (talocalcaneа). Сочленение между задними суставными поверхностями пяточной и таранной костей. Рис. А, Рис. Б, Рис. В, Рис. Г.
Латеральная таранно-пяточная связка
, lig. talocalcaneum laterale. Соединяет блок таранной кости с латеральной поверхностью пяточной кости. Частично прикрыта пяточно-малоберцовой связкой. Рис. А.
Медиальная таранно-пяточная связка
, lig. talocalcaneum mediale. Находится с внутреннего края стопы и соединяет медиальный бугорок заднего отростка таранной кости с sustentaculum tali. Рис. Б, Рис. Г.
Поперечный сустав предплюсны [[сустав Шопара]]
, articulatio tarsi transversa. Находится между таранной и пяточной костями с одной стороны, кубовидной и ладьевидной - с другой. Рис. В.
Пяточно-кубовидный сустав
Клинокубовидный сустав
Клиноладьевидный сустав
Межклиновидные суставы
Межкостные связки предплюсны
Межкостная таранно-пяточная связка
Межкостная клинокубовидная связка
, lig.cuneocuboideum interosseum. Натянута между латеральной клиновидной и кубовидной костями. Рис. А, Рис. В.
Межкостные межклиновидные связки
, ligg. intercuneiformia interossea. Прочные фиброзные тяжи между тремя клиновидными костями. Рис. В.
Тыльные связки предплюсны
Таранно-ладьевидная связка
, lig. talonaviculare. Проходит на тыле стопы между головкой таранной кости и os naviaculare. Рис. А, Рис. Г.
Тыльные межклиновидные связки
Тыльная клинокубовидная связка
Тыльная кубовидно-ладьевидная связка
Раздвоенная связка
, lig. bifurcatum. V- образной формы структура, расположенная на тыле стопы спереди от входа в пазуху предплюсны. Состоит из двух частей, которые начинаются от пяточной кости (См. 29 - 30). Рис. А.
Пяточно-ладьевидная связка
, lig. calcaneonaviculare. Проходит латерально от головки таранной кости и заканчивается на os naviculare. Рис. А.
Пяточно-кубовидная связка
Тыльные клиноладьевидные связки
Тыльная пяточно-кубовидная связка
, lig. calcaneocuboideum dorsale. Утолщение капсулы пяточно-кубовидного сустава с латеральной стороны от раздвоенной связки. Рис. А.
Анатомия стопы человека: основные отделы, кости, суставы, мышцы

Стопа представляет собой отдел нижней конечности, который состоит из нескольких костей, связок и мышц. Главные отделы - это плюсна, собственно пальцы, а также предплюсна. Связочный аппарат представлен голеностопным, таранным и другими суставами. Также неотъемлемым элементом являются мышцы и фасции стопы, обеспечивающие всевозможные движения пальцами.
Кости стопы: предплюсна
Предплюсна является одним из неотъемлемых элементов стопы. Она состоит из 2 отделов - заднего и переднего. Задний представлен пяточной костью, а также таранной. Передний состоит из 3 клиновидных костей. Также в его состав входят кубовидная кость и ладьевидная.
Если рассматривать анатомию заднего отдела, необходимо упомянуть о таких костях, как пяточная и таранная. Составным элементами последней являются тело и головка, причем между этими отделами идет шейка (узкая часть). Сверху идет суставная поверхность, которая выполняет функции сочленения с соседним отделом конечности - голенью.
Форма пяточной кости удлиненная, причем она сплюснута с боков. Это самая крупная кость стопы. Состоит из тела и бугра, который легко прощупывается руками. На внутренней части имеется выступ, который выполняет функцию опоры соседней таранной кости.
В переднем отделе идут связанные друг с другом клиновидные кости. Также есть кубовидная и еще ладьевидная. Последняя находится рядом с внутренним краем. Изнутри ее поверхность бугристая, что при прощупывании позволяет определить высоту свода стопы. Имеет несколько суставных поверхностей, с помощью которых сочленяется с соседними костями.
Кубовидная кость идет вдоль наружного края и соединяется с клиновидной костью. Также она непосредственно контактирует с такими костями, как ладьевидная и пяточная и еще с плюсневым отделом. Также есть 3 клиновидных кости - латеральная (сзади), медиальная и еще промежуточная.
Анатомия стопы: плюсна
Следующий отдел стопы - плюсна. Ее форма трубчатая. Кость предсталена основанием, а также головкой и телом. Последнее по форме представляет собой условную призму с 3 гранями. Поверх оснований плюсны идут суставные поверхности, соединяющиеся с соседним отделом - предплюсной.
Также они соединяются с суставными поверхностями фалангов пальцев. Все кости плюсны хорошо прощупываются пальцами, Поскольку слой мягких тканей небольшой. При этом ее составляющие части располагаются в разных плоскостях. Образуемый ими свод идет поперек.
Строение пальцев стопы человека
Пальцы стопы, как и руки, представлены несколькими фалангами. Все пальцы имеют по 3 фаланги, кроме первого (состоит из 2). Анатомы выделяют 3 вида фаланги - дистальная, средняя и проксимальная. В отличие от руки, фаланги пальцев ног намного короче, что особенно справедливо для дистальных.
На стопе также есть кости сесамовидного типа, причем они развиты больше, чем на руке. Основная функция - увеличение поперечной сводчатости плюсны в переднем отделе.
Связочный аппарат
Этот аппарат представлен рядом суставов - голеностопным, таранным, межфаланговыми и другими:
Голеностопный включает в себя таранную кость и кости голени. Он имеет форму блока. Обеспечивает сгибание, разгибание стопы, причем в довольно подвижной форме до прямого угла (90 градусов). Голеностоп надежно укрепляется связками, которые находятся с обеих сторон - сверху и снизу. Также на внутренней поверхности идет дельтовидная связка, имеющая форму условного треугольника. На наружной поверхности располагаются другие связки, которые идут по направлению к пяточной и таранной костям.
Подтаранный обеспечивает сочленение пяточной и таранной костей, его можно найти в заднем отделе. Имеет форму условного цилиндра, отчасти напоминает спираль. Вокруг сустава идет тонкая капсула - в ней присутствуют небольшие связки.
Таранно-пяточно-ладьевидный находится между пяточной и таранными костями. Этот сустав имеет форму шара. Причем он движется одновременно с подтаранным суставом, поскольку вместе с ним образует функциональное сочленение. Как тот, так и другой сустав укреплены с помощью межкостной связки (так называемый синдесмоз).
Предплюсне-плюсневые - несколько мелких суставов, которые располагаются между костями основных отделов (предплюсна и плюсна). В основном они имеют плоскую форму, подвижность функционально ограничена.
Плюсне-фаланговые - суставы шаровидной формы со сравнительно невысокой подвижностью. Состоят из головок плюсны, обеспечивают сгибание, разгибание всех пальцев ног.
Межфаланговые - мелкие суставы между отдельными фалангами. Обеспечивают полную подвижность пальцев.
Мышцы стопы человека
Мышцы стопы обеспечивают подвижность всех суставов, сгибательные и разгибательные движения. С тыльной стороны стопы идут 2 мышцы - одна обеспечивает подвижность только большого пальца, вторая - всех остальных пальцев (со второго по пятый включительно).
На поверхности подошвы до этого единые мышцы делятся на 3 группы - внутренняя, наружная и средняя:
Внутренняя группа представлена мышцами, которые обеспечивают подвижность большого пальца.
Наружная - мышцы, которые воздействуют на пятый палец (его можно сгибать либо отводить в сторону).
Средняя - самая важная. Здесь присутствуют сгибатели фалангов от второго до пятого пальца включительно.
Также в состав мышечного аппарата входят фасции. Это связки, которые укрепляют мышцы. Фасции стопы намного толще на подошвенной части, чем на тыльной. Именно здесь находится утолщение, которое называют подошвенным апоневрозом (толщина до 2 мм). Фасции обеспечивают подвижность и нормальную работу всех суставов стопы человека.
Суставы стопы. Подтаранный сустав. Пяточно-кубовидный сустав. Поперечный сустав предплюсны. Сустав Шопара. Связки сустава Шопара. Ключ сустава Шопара.

17.09.2014
Костно-суставной аппарат стопы
В руководствах по анатомии человека в стопе выделяют предплюсну, плюсну и фаланги пальцев. В клинической практике ее принято также делить на три отдела — передний, средний и задний. К переднему отделу стопы отнесены фаланги пальцев и плюсневые кости, к среднему — клиновидная, ладьевидная и кубовидная кости, к заднему — таранная и пяточная кости. В состав скелета стопы, помимо указанных костей, входят дистальные концы костей голени. Кости голени, как вилка, охватывают блок таранной кости и образуют вместе с ней голеностопный сустав.
В таранной кости различают тело (задний отдел), переходящее в задний отросток; последний бороздой разделен на два бугорка. Выделяют три наиболее часто встречающиеся формы заднего края таранной кости: зубовидный, крючковидный и овальный. Повреждения заднего отростка чаще всего наблюдаются при первой из этих форм, реже при второй и почти не встречаются при третьей. При сильно выраженном заднем отростке его наружная часть представляет собой отдельную треугольную (дополнительную) кость, ее необходимо дифференцировать с переломом заднего края таранной кости. О наличии перелома часто свидетельствует механизм возникновения травмы, а также зазубренность (неровность) контуров, четко определяющаяся на рентгенограммах с малой жесткостью [Реут Н. Е., 1975].
Пяточная кость располагается книзу и кзади от таранной. Внесуставная часть ее — тело пяточной кости — заканчивается образованием, имеющим вид бугра. В образовании сочленений с таранной костью принимают участие обширная задняя таранная суставная поверхность пяточной кости (подтаранный сустав), передняя и средняя таранные суставные поверхности (таранно-пяточно-ладьевидный сустав).
С наружной стороны пяточная кость сочленяется с кубовидной; пяточно-кубовидный сустав образуют кубовидная суставная поверхность пяточной кости и задняя суставная поверхность кубовидной кости. При компрессионных переломах пяточной кости тяжесть травмы, выбор метода лечения и прогноз определяются в основном характером повреждения подтаранного и пяточно-кубовидного суставов, а также степенью смещения костных отломков.
Важное значение в архитектонике стопы имеет ладьевидная кость, тесно связанная с другими костями среднего отдела стопы. Она находится в области внутреннего края стопы между головкой таранной кости и тремя клиновидными костями. На латеральной поверхности ладьевидной кости имеется небольшая суставная поверхность для соединения с кубовидной костью. Нижняя поверхность ладьевидной кости по медиальному краю несколько заострена и образует бугристость, хорошо прощупываемую через кожу, на нижней поверхности которой имеется фасетка для сесамовидной косточки. Иногда бугристость не связана с ладьевидной костью, являясь самостоятельным костным образованием.
На передней поверхности ладьевидной кости имеются три суставные площадки для соединения с клиновидными костями, размеры и форма которых неодинаковы. Ввиду того что промежуточная клиновидная кость короче остальных, основание II плюсневой кости расположено в нише, образованной боковыми поверхностями медиальной и латеральной клиновидных костей.
Латеральный край среднего отдела стопы представлен кубовидной костью, расположенной между пяточной костью и основаниями и IV—V плюсневых костей. Небольшим участком внутренней суставной поверхности кубовидная кость соприкасается с наружным краем латеральной клиновидной кости и с ладьевидной костью. На нижней поверхности кубовидной кости впереди бугристости имеется борозда сухожилия длинной малоберцовой мышцы, являющейся сгибателем стопы. В этом сухожилии в области подошвенной поверхности кубовидной кости могут находиться непостоянные сесамовидные кости.
Кости среднего отдела стопы принимают участие в образовании трех функционально важных суставов, характеризующихся сложностью анатомических взаимоотношений костных образований. Схема суставов и связок стопы представлена на рис. 1.1.
Суставная линия таранно-пяточно-ладьевидного и пяточнокубовидного суставов имеет вид S-образной кривой. Эти два сустава, полости которых обособлены, представляют поперечный сустав предплюсны (сустав Шопара). Прочная фиксация сустава обеспечивается раздвоенной связкой, берущей начало на тыльной поверхности пяточной кости у ее переднего края.

Рис. 1.1. Суставы и связки стопы [Мовшович И.А., 1983].
1 — голеностопный сустав; 2, 3 — таранно-пяточно-ладьевидный сустав (сустав Шопара); 4 — клино-ладьевидный сустав; 5, 7 — предплюсне-плюсневый сустав Лисфранка; 6 — межкостная клино-плюсневая связка («ключ» сустава Лисфранка); 8 — раздвоенная связка («ключ» сустава Шопара); 9 — межкостная таранно-пяточная связка; 10 — задняя таранно-малоберцовая связка; 11 — межберцовый синдесмоз.
Связка имеет две части: одна прикрепляется к тыльной поверхности кубовидной кости (пяточно-кубовидная связка), другая — к ладьевидной кости (пяточно-ладьевидная связка). Раздвоенная связка считается «ключом» сустава Шопара, так как ни одна из связок, расположенных в окружности этого сочленения, не может сравниться с ней прочностью.
Кпереди от поперечного сустава предплюсны расположен клино-кубовидно-ладьевидный сустав, имеющий сложное строение. Он образован суставными поверхностями ладьевидной кости и трех клиновидных костей (клино-ладьевидный сустав), а также обращенными друг к другу суставными поверхностями кубовидной, ладьевидной и латеральной клиновидной костей, которые образуют отдельный сустав. Полости обоих суставов сообщаются между собой и соединены с полостью предплюсне-плюсневого сустава. Клино-кубовидно-ладьевидный сустав укреплен множеством прочных связок, располагающихся между смежными костями, в том числе в полости суставов. Сочленение относится к малоподвижным соединениям.
Границей между передним и средним отделами стопы является линия, проходящая в области сочленения костей предплюсны с костями плюсны — сустав Лисфранка. Он образован спереди суставными поверхностями всех плюсневых костей, а сзади суставными поверхностями кубовидной и всех клиновидных костей. Составные части сустава тесно связаны друг с другом множеством связок, что обеспечивает высокую прочность стопы при механических нагрузках. Связочный аппарат сустава Лисфранка состоит из тыльных и подошвенных предплюсно-плюсневых и межкостных клиноплюсневых связок, соединяющих основания плюсневых костей с клиновидными и кубовидной костями.

Рис. 1.2. «Ключ» сустава Лисфранка — связка между II плюсневой и медиальной клиновидной костью.
1 — медиальная клиновидная кость; 2 — II плюсневая кость; 3 — межкостная клино-плюсневая связка; 4 — сухожилие длинной малоберцовой мышцы; 5 — I плюсневая кость.
Наиболее мощной из связок сустава Лисфранка является медиальная межкостная клино-плюсневая, соединяющая медиальную клиновидную кость с основанием II плюсневой. Эта связка — «ключ» сустава Лисфранка (рис. 1.2): только ее повреждение приводит к вывиху оснований плюсневых костей в данном суставе. Из-за прочной связи фиксированных этой связкой костей очень часто вывих в суставе Лисфранка сочетается с переломом основания II плюсневой кости, иногда одновременно с краевым переломом медиальной клиновидной кости.
Передний отдел стопы представлен пятью плюсневыми костями и фалангами пальцев. Тела плюсневых костей имеют трехгранную форму, спереди заканчиваются полусферической суставной поверхностью — головкой, сочленяющейся с проксимальной фалангой соответствующего пальца. Наиболее массивными являются проксимальные концы плюсневых костей, носящие название оснований. Задняя поверхность оснований представлена суставными поверхностями, предназначенными для сочленения с костями предплюсны.
Основания плюсневых костей плотно прилегают друг к другу и сочленяются посредством суставных площадок, расположенных на боковых поверхностях. Основание V плюсневой кости с наружной стороны имеет бугристость, которая служит местом прикрепления сухожилия короткой малоберцовой мышцы. Болезненность в этом месте может свидетельствовать не только о переломе основания V плюсневой кости, но и о наличии бурсита, развившегося в результате давления на кожу не соответствующей ноге обувью.
На нижней поверхности головки I плюсневой кости по бокам часто располагаются сесамовидные кости. Патология этих костей может служить причиной болей. Частой локализацией сесамовидных костей на стопе является также область межфалангового сустава большого пальца.
Плюсневые кости имеют разную механическую прочность, чем объясняется неодинаковая частота их переломов. С помощью специальных исследований установлено, что механическая прочность I и V плюсневых костей почти в 3 раза выше, чем остальных. Неодинаковую прочность имеют и разные участки плюсневых костей. Компактное вещество менее всего выражено в области головок и оснований плюсневых костей. Именно в этих участках чаще всего и возникают переломы. Пальцы являются важной частью стопы. Их костную основу составляют короткие трубчатые кости — фаланги, которые по форме, количеству и взаимоотношениям соответствуют фалангам пальцев кисти. II—V пальцы имеют по три фаланги (проксимальную, или основную, среднюю и дистальную, или ногтевую), I — две (проксимальную и среднюю). В каждой фаланге различают тело и два конца: передний (дистальный) — головка и задний (проксимальный) — основание.
Кости переднего отдела стопы принимают участие в образовании плюснефаланговых и межфаланговых суставов, играющих важную роль в реализации опорной и локомоторной функций стопы.
Хирургия стопы
Д.И.Черкес-Заде, Ю.Ф.Каменев
Теги:
234567 Начало активности (дата): 17.09.2014 16:50:00
234567 Кем создан (ID): 1
234567 Ключевые слова: стопа
12354567899
- Обувь по индивидуальной ортопедической колодке
Повреждение сустава Шопара
Повреждение сустава Шопара
Строение сустава
Поперечный сустав предплюсны или сустав Шопара состоит из таранно-ладьевидного и пяточно-кубовидного суставов. В обоих суставах есть фасетки овальной формы, ось которых проходит по наибольшему диаметру овала. В нейтральном положении стопы оси находятся под углом, а в положении пронации стопы оси становятся параллельными. В положении супинации угол между фасетками достигает максимума. Он больше, чем угол в нейтральном положении и чем угол в положении пронации. Головка таранной кости имеет выпуклую поверхность, а головка ладьевидной кости, которая сочленяется с ней, имеет, соответственно, вогнутую поверхность. Площадь фасетки таранной кости больше, чем площадь фасетки ладьевидной кости. В сагиттальной плоскости сустав Шопара расположен на расстоянии 32-36% от крайней точки пяточного бугра.

Рис. 1. Сустав Шопара с наружной и внутренней поверхности

Рис. 2. Сустав Шопара по тыльной поверхности стопы. Сустав включает в себя пяточно-кубовидный и таранно-ладьевидный суставы
Сустав Шопара укреплен несколькими связками. На тыльной поверхности сустава имеются 4 связки.
- Вилкообразная пяточно-ладьевидно-кубовидная связка состоит из двух частей - пяточно-ладьевидной и пяточно-кубовидной, которые расположены наподобие буквы V. Связка соединяет между собой пяточную, ладьевидную и кубовидную кости, имеет наибольшее значение для удержания этих костей и носит название «ключа» сустава.
- Тыльная пяточно-кубовидная связка расположена более дорзально, чем вилкообразная.
- Длинная пяточно-кубовидная связка расположена более поверхностно, идет от пяточной к кубовидной кости и своими поверхностными волокнами достигает латеральных плюсневых костей.
- Короткая пяточно-кубовидная связка представляет собой широкое образование, которое имеет длину 2 см.
На подошвенной поверхности есть 3 связки.
1. Пяточно-ладьевидная или прыжковая связка. Связка проходит по подошвенной и медиальной поверхности сустава и состоит из верхне-медиальной и нижней связок, которые образуют аппарат, поддерживающий таранную кость по подошвенной поверхности стопы. Связки противостоят смещению головки таранной кости в медиальном и подошвенном направлении, и, т.о. удерживают продольный свод стопы.
2. Верхне-медиальная связка. Пучки волокон перемежается с участками хряща. Эластические волокна отсутствуют. Верхне-медиальная связка вместе с ладьевидной костью и апофизом пяточной кости образует костно-гленоидальную полость. Это полость вогнутой формы, которая охватывает головку таранной кости. Во время физической нагрузки под давлением таранной кости полость деформируется. При этом связка не растягивается и сохраняет свою длину. Верхне-медиальная связка вплетается в дельтовидную связку голеностопного сустава. Вместе обе связки соединяются с сухожилием задней большеберцовой мышцы. Связки обладают практически одинаковыми механическими свойствами.
3. Нижняя связка. Нижняя связка расположена под верхне-медиальной связкой. Она растягивается под давлением со стороны таранной кости.

Рис. 3. Связки сустава Шопара:
TN - тыльная таранно-ладьевидная связка.
DDC - тыльная пяточно-кубовидная связка (Tafur M.)
В конструкции сустава Шопара имеются 2 опорные колонны. В состав медиальной колонны входят структуры, образующие таранно-ладьевидный сустав, в состав латеральной колонны - структуры, которые образуют пяточно-кубовидный сустав. Отдельные части сустава Шопара неравноценны с функциональной точки зрения. Для движения стопы в нескольких плоскостях таранно-ладьевидный сустав более важен, чем пяточно-кубовидный. Основное движение, которое происходит в таранно-ладьевидном и пяточно-кубовидном суставах - это ротация переднего отдела стопы относительно заднего отдела. Ротация осуществляется вокруг продольной оси, которая расположена в горизонтальной плоскости. Ротация лежит в основе инверсии и эверсии заднего отдела стопы и супинации-пронации всей стопы. Движение в суставе Шопара сопряжены с движением в голеностопном и подтаранном суставах. Разгибание стопы сочетается с эверсией и отведением, сгибание - с инверсией и приведением стопы. Суставы, которые входят в состав медиальной колонны, обладают разной подвижностью. В таранно-ладьевидном суставе сгибание и разгибание превышает подвижность в дистально расположенном ладьевидно-клиновидном суставе. В суставе Шопара происходит 1/5 всей амплитуды сгибания дистального отдела нижней конечности. Строение сустава Шопара позволяет сочетать движения в сагиттальной плоскости с ротацией стопы. Работа сустава Шопара дополняет функцию голеностопного и подтаранного сустава, делает стопу эластичной для прилегания к опоре и создает жесткий рычаг для отталкивания от неё.

Рис. 4. Пронация, нейтральное положение и супинация в суставе во время ходьбы
Стабилизация сустава Шопара происходит во время замыкания таранно-ладьевидного и пяточно-кубовидного суставов, когда идет супинация стопы. При этом натягиваются пяточно-ладьевидная связка, вилкообразная связка и подошвенный апоневроз, который удерживает своды стопы. Стабилизацию осуществляют 3 мышцы: 1) Длинный разгибатель пальцев. 2) Задняя большеберцовая мышца. Обе мышцы продуцируют пару сил, что удерживает медиальную колонну сустава Шопара. 3) Подошвенная мышца, вызывающая сгибание пальцев и стабилизацию суставов по подошвенной поверхности.
Работа сустава связана с фазами ходьбы. В фазу переднего толчка, когда стопа пребывает в положения разгибания в голеностопе, в суставе Шопара имеет место эверсия. Оси таранно-ладьевидного и пяточно-кубовидного суставов параллельны между собой, что минимизирует жесткость суставов плюсны. Средний отдел стопы совершает эверсию в нужном объеме и обеспечивает максимально полное прилегание к опоре переднего отдела стопы. По мере переката стопы происходит сгибание в голеностопном суставе. Стопа переходит из горизонтального в вертикальное положение, в её суставах происходит супинация. Оси таранно-ладьевидного и пяточно-кубовидного суставов во фронтальной плоскости устанавливаются под углом друг к другу, что приводит к замыканию в суставе Шопара. В фазе заднего толчка, когда стопа находится в вертикальном положении, а плоскость сустава перпендикулярна вектору реакции опоры, происходит замыкание сустава для концентрации сил с целью совершить отталкивание от опоры.
Повреждение сустава
Травматическая нестабильность сустава Шопара происходит в результате его повреждения при высокоэнергетической травме. Это падение с высоты с упором на стопу, или падение груза на стопу, либо автодорожная травма у мотоциклиста. Силы, которые травмируют поперечный сустав предплюсны, разделяются в зависимости от направления действия.
- Сила, которая действует в направлении сверху вниз на стопу, если стопа находится на опоре, приводит к подошвенному вывиху или к переломо-вывиху в обоих таранно-ладьевидном и пяточно-кубовидном суставах.
- Сила, которая действует снаружи внутрь, вызывает медиальное смещение переднего и среднего отделов стопы. При травме Шопарова сустава такая сила встречается чаще всего. Представляет собой сочетание инверсии и сгибания стопы под нагрузкой. Вызывает ротацию в таранно-ладьевидном и пяточно-кубовидном суставах, в результате чего происходит вывих ладьевидной кости. Ладьевидная кость смещается в горизонтальной плоскости в медиальном направлении, во фронтальной плоскости - в подошвенном направлении или к тылу. Высокий свод стопы предрасполагает к смещению в подошвенном направлении. Подошвенный вывих сопровождается переломом ладьевидной кости. При разрыве пяточно-ладьевидной связки происходит смещение ладьевидной кости в тыльном направлении. При разрыве прыжковой связки наступает дестабилизация таранно-ладьевидного сустава и опускание головки таранной кости в подошвенном направлении, в результате чего ладьевидная кость вывихивается к тылу и наружу. Повреждение прыжковой связки часто протекает вместе с переломом таранной кости и пяточной кости.
- Сила, которая действует изнутри наружу, возникает при эверсии стопы и приводит к смещению костей среднего и переднего отдела стопы в латеральном направлении. Латеральный вывих сопровождается сдавлением костей латеральной колонны, что приводит к компрессионному перелому кубовидной кости или пяточной кости.
- Сила, которая действует аксиально вдоль оси стопы, вызывает либо перелом ладьевидной кости в центральной части, либо приводит к смещению костей плюсны.
Среди травм сустава до одной четверти составляют вывихи вследствие разрыва связок и более трех четвертей составляют переломо-вывихи. Вывихи без повреждения костей представляют собой редкое явление. В первую очередь поражается пяточно-кубовидный сустав. Разрываются пяточно-кубовидная и пяточно-ладьевидная вилкообразная связки. Происходит эверсия и латеральное смещение костей переднего отдела стопы. При остром повреждении таранной кости и таранно-ладьевидной связки ладьевидная кость ломается по проксимальной суставной поверхности. При переломе ладьевидной кости повреждается капсула сустава Шопара. Изолированный отрыв бугристости ладьевидной кости происходит под действием тяги задней большеберцовой мышцы. Переломо-вывих ладьевидной кости вызывает нестабильность медиальной опорной колонны сустава и первого луча стопы. Перелом кубовидной кости происходит при сдавлении кости во время ротации фиксированной стопы наружу. Отрывной перелом с захватом капсулы пяточно-кубовидного сустава встречается чаще, чем внутрисуставной и внесуставной перелом тела кости. Перелом кубовидной кости происходит при обширных повреждениях сустава Шопара, деструкции опорных колонн и дезинтеграции их костей. Стрессовый перелом кубовидной кости происходит при хронической перегрузке у пациентов с продольно-поперечным плоскостопием, у которых имеется подошвенный фасциит, тендинит задней большеберцовой мышцы, растяжение подошвенного апоневроза, разрыв подошвенной пяточно-кубовидной связки. У пациента происходит гиперпронация стопы во время ходьбы, рост давления в пяточно-кубовидном суставе, рост напряжения в ткани кубовидной кости.
При изолированном вывихе в таранно-ладьевидном суставе происходит смещение ладьевидной кости относительно таранной, в то время, как пяточно-кубовидный сустав остается интактном. Вывих наступает в результате действия приводящей или отводящей силы на стопу, которая находится под нагрузкой. Сила вызывает растяжение связок медиальной опорной колонны. Тыльные связки страдают сильнее, чем связки на подошвенной поверхности стопы. Ладьевидная кость вывихивается в медиальном и подошвенном направлении. Вывих в пяточно-кубовидном суставе происходит при повреждении тыльной и вилкообразной пяточно-кубовидных связок. Смещению костей способствует инверсия в суставе Шопара. Разрыв тыльной связки приводит к дестабилизации пяточно-кубовидного сустава. Критической величиной пяточно-кубовидного угла считается 10°. При величине пяточно-кубовидного угла до 10° имеется повреждение в виде растяжения или частичного разрыва пяточно-кубовидной связки. Вывих считается стабильным, а повреждение - легким. При пяточно-кубовидном угле больше 10° повреждение сустава носит грубый характер, когда у больного имеется разрыв всех пяточно-кубовидных связок, вилкообразной связки, отрыв костного фрагмента от пяточной кости, переломо-вывих с компрессией кубовидной кости, которая сдавлена соседними костями. Разрыв связок пяточно-кубовидного сустава сочетается с повреждением латеральных связок голеностопного сустава.

Рис. 5. Схема костного дефекта при дезинтеграции сустава Шопара
Диспластическая нестабильность поперечного сустава предплюсны представляет собой редкое явление. В норме имеется большая вариативность строения таранно-ладьевидного и пяточно-кубовидного суставов. Более, чем в половине случаев находят расширение латеральной щели пяточно-кубовидного сустава. При дисплазии имеется несоответствие размеров головки тарана и углубления ладьевидной кости. При нестабильности есть слабость пяточно-кубовидной и пяточно-ладьевидной связок. При недостаточности пяточно-ладьевидной связки происходит опускание таранной кости в подошвенном и медиальном направлении, что приводит к снижению свода, развитию продольного плоскостопия и способствует ограничению движений в таранно-пяточно-ладьевидном суставе. При слабости задней большеберцовой мышцы возникает её дисбаланс с мышцей-антагонистом - длинным разгибателем пальцев. Развивается неустойчивость сустава, стопа теряет жесткость в среднем отделе. Во время ходьбы происходит уменьшение силы отталкивания от опоры. Диспластическая нестабильность развивается при врожденном синостозе таранной и пяточной костей, который встречается у 1% людей. В половине случаев процесс носит двусторонний характер и проявляется в подростковом возрасте. Ограничение движения между таранной и пяточной костями вызывает компенсаторное увеличение подвижности в соседних сочленениях. При пронации стопы происходит увеличение подвижности, что ведет к развитию вальгусной деформации стопы с болью при нагрузке. Дестабилизация при дисплазии протекает медленно. Появление стойкой метатарзалгии свидетельствует о нестабильности сустава.
При остром переломо-вывихе в суставе Шопара имеется отек тыла стопы, деформация стопы, смещение её переднего отдела чаще в латеральном направлении, резкая боль в среднем отделе стопы при движениях. При повреждении пяточно-кубовидной и вилкообразной связок имеется отек и боль по наружной поверхности стопы в средней трети и боль при супинации. При хронической нестабильности сустава Шопара определяется недостаточность замыкательного механизма таранно-ладьевидного и пяточно-кубовидного суставов. При нестабильности есть жалобы на боль в стопе при ходьбе, когда человек отталкивается от опоры. Ходьба становится асимметричной
Рентгенологическое исследование
Для диагностики повреждения сустава Шопара делают рентген, КТ и МРТ. На передне-задней рентгенограмме определяют величину пяточно-кубовидного угла. Проводят одну касательную к наружному краю кубовидной кости и вторую касательную к наружному краю пяточной кости. В норме угол между касательными колеблется в пределах от 0 до 5°. Увеличение угла свидетельствует о нарушении стабильности пяточно-кубовидного сочленения. КТ во фронтальной и сагиттальной плоскостях позволяет выявить дефект суставных фасеток, смещение костей при вывихе и фрагментацию костей при переломе. КТ, по сравнению с рентгенографией, является более информативным методом диагностики. МРТ позволяет выявить дефекты отдельных связок.

Рис. 6. Отрывной перелом по тылу таранной кости на границе с суставом Шопара

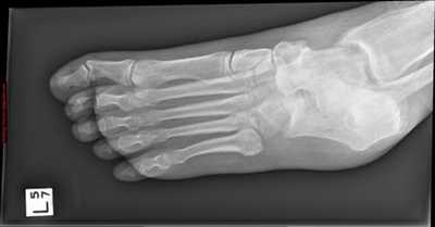
Рис. 7. Перелом кубовидной кости по передней поверхности
Рис. 8. Переломо-вывих в суставе Шопара

Рис. 9. Переломо-вывих в суставе Шопара
Консервативное и оперативное лечение
Показанием к восстановительной операции на костях является укорочение одной из опорных колонн с асимметрией стопы. Кости фиксируют винтом или пластиной. Костная пластика позволяет восстановить размер опорной колонны и симметрию стопы. При переломо-вывихе костную пластику совмещают с пластикой связок сустава. Производят восстановление пяточно-ладьевидной связки, при недостаточности таранно-ладьевидной связки делают сухожильную пластику. У больных с сочетанным нарушением целостности костей и связок срастание разорванных связок происходит, если между костями восстановлены нормальные соотношения.
У больного с повреждением шейки таранной кости делают закрытое вправление, при переломе шейки с ротационной деформацией и дорзальным смещением фрагмента более 5 мм показана операция - открытая репозиция и фиксация отломков, при переломе шейки с разрывом таранно-пяточной связки делают операцию с фиксацией фрагментов спицами или винтом, при нестабильном вывихе в подтаранном суставе делают либо закрытое вправление с фиксацией спицами, либо открытое вправление с применением фиксирующих устройств. Артродез делают по следующим показаниям: нарушение размеров и формы кости, нарушение соотношения между опорными колоннами, нарушение конгруентности таранно-ладьевидного и пяточно-кубовидного суставов, значительное расхождение суставных концов, которое препятствует сращению связок, хронический подвывих в поперечном суставе предплюсны. В далеко зашедших случаях хронической нестабильности артродез позволяет уменьшить боль в стопе и улучшить ходьбу. При разрушении таранно-ладьевидного сустава артродез приводит к диспропорции медиальной и латеральной опорных колонн, что может потребовать дополнительного вмешательства на пяточно-кубовидном суставе для восстановления симметрии. После артродеза срок иммобилизации в гипсовом сапожке составляет не менее 10 недель.
После операции больному показана ортопедическая индивидуальная обувь или вкладные ортезы. В конструкции обуви предусматривают жесткие берцы для удержания пятки в правильном положении. При вальгусной деформации и уплощении стопы делают продленный внутренний берец и супинатор на вкладном элементе. Самую высокую часть супинатора помещают на расстоянии 32-35% дины стопы так, чтобы она приходилась под ладьевидную кость.


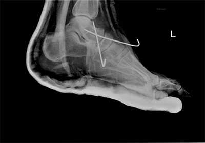
Рис. 10. Чрезкожная фиксация костей предплюсны после вправления вывиха в суставе Шопара, стопа в гипсовой лонгете

Рис. 11. Индивидуальные стельки компании Персей, выполненные по технологии 3D

Рис. 12. Индивидуальная обувь компании Персей, выполненная по гипсовому слепку и технологии 3D
Читайте также:
