Технические параметры рентгенографии таза и тазобедренных суставов
Добавил пользователь Валентин П. Обновлено: 02.11.2025
Направляя пациента на рентгенографию, травматолог, ортопед, хирург или ревматолог имеют возможность оценить состояние структур данного костного сочленения.
Наиболее распространенные показания к проведению рентген-диагностики тазобедренных суставов касаются:
- травматических повреждение тазобедренной области, в частности, переломов шейки бедра;
- врожденного вывиха или дисплазии тазобедренных суставов;
- юношеского эпифизеолита головки бедренной кости;
- артрита, артроза тазобедренного сустава, деформирующего артроза или коксартроза;
- коксита (воспаления тазобедренного сустава);
- некроза головки бедренной кости;
- остеоартрита, остеомиелита и остеохондроматоза;
- суставных кист и других образований;
- затронувшего суставы костного туберкулеза.
В принципе, жалобы пациента на ощущаемые боли в тазобедренном суставе считаются достаточным поводом для назначения рентгенографии — чтобы установить их точную причину. Если перечисленные выше заболевания и состояния отсутствуют, в протоколе (описании) рентгеновского снимка будет указано, что рентген в норме. Это означает, что полученные изображения всех суставные элементы не имеют анатомических нарушений, подробнее см. — Тазобедренный сустав
Рентген тазобедренных суставов у детей проводится по строгим показаниям - только после достижения ребенком девяти месяцев. Основной патологией является врожденный вывих бедра. Кроме того, рентген может назначаться при боли в тазобедренном суставе у детей разного возраста.
Для проведения рентгенографии подготовка заключается в ограничении приема пищи, вызывающей метеоризм, и очищении кишечника (с помощью клизмы) — за несколько часов до посещения рентгенкабинета.
Непосредственно перед началом процедуры на пациента надевают защиту — в виде специальных экранирующих покрытий, которые предотвращают проникновение рентгеновского облучения в другие части тела и внутренние органы.
Стандартизированная техника проведения рентгенографии мало зависит от используемого метода - аналогового или цифрового. Если в первом случае процедура длится около 10 минут, и снимок получают на пленке, то при втором методе время сокращается вдвое, а изображение может быть в двух форматах, в том числе цифровом.
Максимальную визуальную информацию дает рентген тазобедренного сустава в двух проекциях: в прямой проекции (или фронтальной), получаемой фокусировкой рентгеновской трубки перпендикулярно плоскости тела — спереди или сзади, и аксиальной (поперечной или горизонтальной плоскости), фиксирующей элементы сустава сверху вниз — вдоль бедренной кости. Также снимок может делаться при боковой проекции, то есть пациент должен лечь на бок, согнув ногу в коленном и тазобедренном суставах.
При обычной рентгенографии обычно делается переднезадняя и боковая рентгенограмма бедра. Переднезадняя рентгенограмма бедра включает изображения обеих сторон бедра на одной и той же пленке и выступает в направлении середины линии, соединяющей верхнюю часть лобка симфиза и передне-верхнюю подвздошную ость; расстояние между рентгеновской трубкой и пленкой должно составлять 1,2 метра. Если рентгенограммы переднезаднего бедра сделаны в положении лежа на спине, одной из наиболее распространенных ошибок является искажение изображения при повороте бедра снаружи.
Таким образом, либо обе коленные чашечки должны быть направлены вперед, либо нижние конечности должны быть повернуты внутрь на 15-20 ° для приспособления бедренной антиверсии на рентгенограммах переднезаднего бедра.
Если проводится рентген тазобедренных суставов по Лаунштейну (Лауэнштейну), то положение пациента выглядит так: лежа на спине, одна нога в колене сгибается (под углом 30, 45 или 90°), при этом ее ступня опирается на голень выпрямленной ноги; бедро согнутой конечности максимально отводится в сторону так, чтобы тазобедренный сустав занял позицию наружной ротации (то есть головка бедренной кости проворачивается в вертлужной впадине).
Следует иметь в виду, что рентген костей таза и тазобедренных суставов у детей раннего возраста не показывает точных очертаний суставных структур, так как их основная ткань — хрящевая, которую рентгеновские лучи не отображают. Поэтому интерпретацию полученной рентгенограммы — с определением смещения головки бедренной кости по отношению к вертлужной впадине тазовой кости — проводят с помощью накладывания на снимок специальной сетки, основные и вспомогательные линии которой соответствуют анатомически нормальному расположению структур сустава. Используя данные линии, измеряются различные параметры, в том числе центр вертлужной впадины и степень наклона ее крыши (ацетабулярный угол), угол отклонение шейки бедра вперед и т.д.
А если возникает подозрение на нарушение развития ядер окостенения (особенно у недоношенных младенцев) полутора-двухмесячному ребенку следует делать ультразвуковое исследование тазобедренного сустава.
Рентген не проводят при любых острых инфекциях, повышенной температуре, кровотечении, а также при воспалении синовиальной бурсы данного сустава и околосуставных мышечных сухожилий.
Категорически противопоказано проводить рентгенографию беременным и детям первых девяти месяцев жизни (хотя в педиатрии запрет на рентген действует до 14-ти лет).
Каждая рентгенограмма дает важную информацию, необходимую для точной диагностики заболеваний тазобедренного сустава . Как правило, переднезадний профиль предоставляют информацию о форме вертлужной впадины, тогда как другие боковые изображения предоставляют информацию о проксимальных отделах бедра, включая головку бедра.
На рентгенограммах переднезаднего бедра может быть получена следующая информация:
- длина ноги,
- угол шейки,
- покрытие вертлужной впадины: угол наклона латерального центрального края (СЕ) и индекс выдавливания головки бедра,
- глубина вертлужной впадины,
- наклон вертлужной впадины,
- версия вертлужной впадины,
- сферичность головы и
- ширина суставного пространства.
На боковых рентгенограммах тазобедренных суставов оценивается форма и смещение сочленения головки бедра и бедреной кости, а также смещение угла альфа.
Учитывая угол Идельберга-Франка, угол Виберга и MZ-расстоянини децентрализации, статистическими методами можно выделить нормальные и патологические суставы: у взрослых значения тазобедренного сустава от 6 до 15 указывают на нормальную форму сустава; значения между 16 и 21 указывают на небольшую деформацию, а значения от 22 и выше указывают на серьезную деформацию, у детей значения от 15 и выше являются патологическими.
Важно подчеркнуть необходимость использования рентгенограмм в сочетании с результатами физического обследования, поскольку результаты визуализации не всегда связаны с наличием боли, и наоборот.
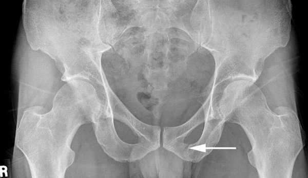
На рентгене признаки вывиха или дисплазии тазобедренных суставов визуализируются в виде вертикального и бокового смещений головки бедренной кости от вертлужной впадины тазовой кости (измеряемого на полученном снимке и сопоставляемого с анатомической нормой). Поверхность головки бедра часто не соответствует вертлужной впадине тазовой кости, например, при большом размере головки и недостаточной глубине впадины. А угол наклона плоскости входа в нее превышает норму.
Также отмечаются смещение центра вертлужной впадины, уменьшение или увеличение шеечно-диафизарного угла (определяемого между вертикальными осями шейки бедренной кости и ее телом — диафизом).
Еще один немаловажный рентген признак данной патологии — излишний наклон вперед узкой части бедренной кости (шейка бедра), который рентгенологи называют преувеличенной антеторсией.
Технические параметры рентгенографии таза и тазобедренных суставов
Рентген ТБС — диагностический метод исследования, который помогает выявить патологические изменения тазобедренного сустава, выполняющего ведущую роль в выполнении движений нижней конечности. Наиболее уязвимо сочленение в периоде новорождённости, так как выявляется множество аномалий развития и в возрастном периоде, на фоне остеопорозных изменений.

Эндопротезирование тазобедренного сустава
Рентгенограмма как метод исследования рассчитана на визуализацию костных структур. При диагностике хорошо просматриваются:
- Кости таза. Видны анатомические дефекты, переломы, трещины, асимметрия.
- Сустав. Выявляют вывихи, подвывихи, расширение суставной щели, сужение или сращение с формированием анкилозов.
- Головка бедренной кости. Просматривается вертел, шейка бедра, выявляются трещины, переломы, аномалии развития и строения, остеомиелитные и остеопорозные изменения.

Перелом лонной кости
Рентген тазобедренных суставов проводится как в раннем детском возрасте, так и более зрелом.
У детей рентгенограмма необходима при ограничении или асимметрии разведения ножек ребёнка в позе «лягушки» (малыш лежит на спине, ноги согнуты в коленях и разводятся в стороны), укорочение конечностей по отношению друг к другу, отсутствии упора на ножки у малыша.
Остеомиелит
Во взрослом возрасте рентген тазобедренного сустава может потребоваться при подозрении на перелом или воспаление в области тазобедренного сустава или остеомиелит бедренной кости. В таком случае общими для всех жалобами являются: выраженная болезненность в данном анатомическом участке, наличие отёка, изменение цвета кожных покровов, локальной температуры в области сустава, резкое ограничение движения, хромота и шаткость при ходьбе, изменение длины конечности.
При подозрении на остеомиелит и другие воспалительные процессы в тазобедренной области (гнойное воспаление костного мозга бедренной кости) к вышеописанным симптомам присоединяется интоксикационный в виде нарушения аппетита, слабости, вялости, апатии и в обязательном порядке — с лихорадкой.

Патологии, которые можно рассмотреть на рентгене, это:

- Дисплазия тазобедренного сустава. Выявляется в раннем детском возрасте и проявляется в виде отставания окостенения ядер, подвывиха бедренной кости (головка находится не в полости суставной впадины).
- Переломы и трещины. На рентгене можно рассмотреть локализацию травмы, наличие смещения и количество отломков и осколков, степень смещения костных структур.
- Вывихи. Визуализируется выход большого вертела бедренной кости из суставной поверхности вертлужной впадины.
- Остеоартроз. Дегенеративное заболевание хрящевой ткани сустава, которое на рентгенограмме выглядит как сужение суставной щели, формирование костных наростов на суставных поверхностях (остеофитов).
- Артрит тазобедренного сустава. Возникает в результате аутоиммунных реактивных изменений мягких тканей сустава, сопровождается выраженной болью, отёчностью, возможно появление выпота в полости. На рентгенограмме выявляют уплотнение мягких тканей, расширение суставной щели, при необходимости проводят контрастное исследование с внутривенным введением йодсодержащего вещества, наблюдают усиление сосудистого рисунка в месте воспаления.
- Некротические изменения. Возникают при нарушении кровообращения в полости сустава при переломе шейки бедра, так как нарушается трофика головки бедренной кости и она отмирает.
- Остеопороз. Дегенерация костной ткани, связанная с возрастными изменениями и гормональным дисбалансом. Характеризуется вымыванием кальция из костей. На рентген-снимке выглядит как снижение плотности костных структур, повышение их прозрачности.
- Болезнь Бехтерева. Стойкие изменения суставов, которые проявляются в виде окостенения, отсутствия движений. На рентгенограмме формирование стойких анкилозов, отсутствие суставной щели, костная мозоль в месте сочленения.
- Остеомиелит. Воспалительное заболевание костного мозга, возникающее при попадании инфекции гематогенным путём или в результате травматического повреждения. При этом происходит лизис костной ткани, что на рентгене выглядит как размытость контуров, просветление в центре кости, гипертрофия надкостницы над местом очага поражения. Возможно проведение исследования с контрастированием.
- Онкологические заболевания костей. Доброкачественные или злокачественные опухолевые разрастания внутри костей, метастатические отсевы. Выглядят как патологические очаги (затемнения при «плюс-ткани» и просветления при появлении кист, секвестр, полостей) с размытыми нечёткими контурами, неправильной формы. Артрит

Дисплазия
Так как рентгеновский диагностический метод относится к ионизирующим, его применение имеет некоторые ограничения. Это связано с патогенным воздействием лучей на клетки с образованием свободных радикалов, действующих повреждающее на здоровые ткани.
Основным противопоказанием является беременность. Для защиты здоровых тканей во время проведения диагностики остальные участки тела закрываются свинцовым фартуком, необходимым для снижения общей дозы облучения. Современные аппараты позволяют снизить дозу максимально без потери качества снимка, но развивающийся плод находится рядом с исследуемой областью и существует вероятность формирования мутаций и аномалий развития.
Относительным противопоказанием является детский возраст. Однако, при подозрении на дисплазию именно рентгенография является основным диагностическим методом исследования. Для снижения общей дозы облучения чётко следят за кратностью проведения методики.
При введении контрастного йодсодержащего вещества («Ультравист», «Урографин» и другие) противопоказания значительно расширяются. Нельзя проводить исследование следующим категориям больных:


- с аллергической реакцией на контраст;
- с почечной недостаточностью (так как контраст выводится почками);
- с сердечно-сосудистой недостаточностью в тяжёлой степени;
- с туберкулёзом в активной стадии;
- в крайне тяжёлом состоянии пациента.
Иногда для диагностики патологии сустава используют ультразвуковой метод. Исследования диаметрально противоположные, так как рентгенография помогает выявить костные патологии, тогда как УЗИ — заболевания мягких тканей.
При рентгенографии смотрят анатомическое строение, тогда как УЗИ выявляет функциональный дефицит, например, недостаточное или чрезмерное количество внутрисуставной жидкости. Часто, для наиболее полной картины заболевания, требуется совместное назначение исследований.
Томографическое исследование — относительно новый, в сравнении с обычным рентгеном метод, который намного информативнее. Основным преимуществом рентгена в сравнении с МРТ является его общедоступность, так как аппараты присутствуют в каждой больнице, и дешевизна, так как МРТ стоит намного дороже.

МРТ
Специальной подготовки рентгенография тазобедренных суставов не требует. При проведении диагностики у грудничков требуется присутствие обоих родителей, так как они должны держать малыша в необходимой позиции во время исследования.

Перед рентгенографией пациент обязан снять с себя верхнюю одежду, металлические предметы (бляшка ремня) и прилечь на кушетку. Тяжёлых неходячих больных укладывают санитары.
Рентген тазобедренных суставов проводится в двух проекциях, которые помогают расширить визуализируемую анатомическую область и точно определить объем поражения:
- Передняя проекция. Пациента укладывают на спину, ноги разводят максимально в стороны, что позволяет раскрыть сустав и увеличить площадь диагностики.
- Боковая проекция. Пациент ложится на бок, вытягивает ноги вперёд.
Тщательный контроль дозы облучения ведётся у маленьких детей, так как рентгенографическое исследование может привести к таким неблагоприятным последствиям, как угнетение функции костного мозга. Осложнениями могут стать заболевания: лейкемия, анемия, тромбоцитопения. Начинают исследование с трёхмесячного возраста. Даже на современных аппаратах обследование у детей до трёх лет проводится не чаще, чем 1 раз в 4 месяца.
Взрослые менее восприимчивы к воздействию ионизирующего облучения, к тому же цифровая современная аппаратура максимально снижает облучение.
Для каждого пациента в зависимости от его массы подбирается своя доза. Плёночный аппарат облучает дозой 0,5-0,9 мЗВ, тогда как цифровой — 0,1-0,3 мЗВ. В месяц не рекомендовано больше 10 исследований на цифровом аппарате, проведение регламентируется строгими показаниями. Воспользуйтесь «Полная версия Дозиметра» в конце статьи для получения информации о лучевой нагрузки.

Расшифровывают результаты исследования врачи-рентгенологи. Компьютерная аппаратура выводит изображение на экран и помогает в анализе результатов. При помощи программного обеспечения можно повысить контрастность и чёткость изображения, приблизить его и отдалить, а также измерить плотность участков костной ткани.

Результаты возвращаются лечащему врачу, который направил на исследование. После анализа результатов и сопоставления с клинической картиной назначается или корректируется терапия.
Проводят процедуру в каждом рентгенологическом кабинете больницы: поликлиники, стационара, травмпункта и так далее. Проводится как в плановом, так и в экстренном порядке при наличии травматического повреждения.
В среднем стоимость процедуры — 500-600 рублей на аппарате с рентген-плёнкой и около 1000 рублей на современной цифровой аппаратуре. В государственных больницах стоимость на 30% ниже, чем в частных клиниках и медицинских центрах.
При наличии направления врача и страхового полиса в бюджетных лечебных учреждениях возможно бесплатное проведение процедуры. При необходимости введения контрастного вещества, цена возрастает вдвое.
При подозрении на перелом шейки бедра пожилые пациенты не транспортабельны. Возможен вызов травматолога на дом. Диагноз устанавливается по клиническим признакам.
Рентгенография на дому проводится только в крупных городах частными медицинскими центрами. Специалисты выезжают к пациенту в течение часа с поступления заявки. Стоимость услуги от 5000 рублей.
Рентгенография тазобедренного сустава проводится для исследования состояния костных структур, сустава. Назначает диагностику чаще ортопед, врач-травматолог или ревматолог. Исследование назначается в качестве первичной диагностики, затем для подтверждения диагноза и коррекции тактики терапии могут потребоваться другие диагностические методики: УЗИ, МРТ.
Рентген тазобедренного сустава в двух проекциях
Весь контент iLive проверяется медицинскими экспертами, чтобы обеспечить максимально возможную точность и соответствие фактам.
У нас есть строгие правила по выбору источников информации и мы ссылаемся только на авторитетные сайты, академические исследовательские институты и, по возможности, доказанные медицинские исследования. Обратите внимание, что цифры в скобках ([1], [2] и т. д.) являются интерактивными ссылками на такие исследования.
Если вы считаете, что какой-либо из наших материалов является неточным, устаревшим или иным образом сомнительным, выберите его и нажмите Ctrl + Enter.
Наиболее информативные методы инструментальной диагностики суставных и костных патологий - визуализация, а самый доступный из них - рентген тазобедренного сустава.
Простое рентгенографическое исследование является фундаментальным подходом к диагностике и принятию решения о лечении тазобедренного сустава. [1]
Показания
- травматических повреждение тазобедренной области, в частности, переломов шейки бедра;
- врожденного вывиха или дисплазии тазобедренных суставов; ;
- артрита, артроза тазобедренного сустава, деформирующего артроза или коксартроза;
- коксита (воспаления тазобедренного сустава);
- некроза головки бедренной кости;
- остеоартрита, остеомиелита и остеохондроматоза;
- суставных кист и других образований;
- затронувшего суставы костного туберкулеза.
В принципе, жалобы пациента на ощущаемые боли в тазобедренном суставе считаются достаточным поводом для назначения рентгенографии - чтобы установить их точную причину. Если перечисленные выше заболевания и состояния отсутствуют, в протоколе (описании) рентгеновского снимка будет указано, что рентген в норме. Это означает, что полученные изображения всех суставные элементы не имеют анатомических нарушений, подробнее см. - Тазобедренный сустав
Подготовка
Для проведения рентгенографии подготовка заключается в ограничении приема пищи, вызывающей метеоризм, и очищении кишечника (с помощью клизмы) - за несколько часов до посещения рентгенкабинета.
Непосредственно перед началом процедуры на пациента надевают защиту - в виде специальных экранирующих покрытий, которые предотвращают проникновение рентгеновского облучения в другие части тела и внутренние органы.
К кому обратиться?
Техника проведения рентгена тазобедренного сустава
Максимальную визуальную информацию дает рентген тазобедренного сустава в двух проекциях: в прямой проекции (или фронтальной), получаемой фокусировкой рентгеновской трубки перпендикулярно плоскости тела - спереди или сзади, и аксиальной (поперечной или горизонтальной плоскости), фиксирующей элементы сустава сверху вниз - вдоль бедренной кости. Также снимок может делаться при боковой проекции, то есть пациент должен лечь на бок, согнув ногу в коленном и тазобедренном суставах.
Следует иметь в виду, что рентген костей таза и тазобедренных суставов у детей раннего возраста не показывает точных очертаний суставных структур, так как их основная ткань - хрящевая, которую рентгеновские лучи не отображают. Поэтому интерпретацию полученной рентгенограммы - с определением смещения головки бедренной кости по отношению к вертлужной впадине тазовой кости - проводят с помощью накладывания на снимок специальной сетки, основные и вспомогательные линии которой соответствуют анатомически нормальному расположению структур сустава. Используя данные линии, измеряются различные параметры, в том числе центр вертлужной впадины и степень наклона ее крыши (ацетабулярный угол), угол отклонение шейки бедра вперед и т.д.
Рентген таза у женщин, мужчин и детей
Рентгенография как метод визуализации различных структур организма, включая рентген таза, имеет решающее значение для выявления и правильной диагностики повреждения, заболевания или патологии, а также отслеживания результатов их лечения. [1]
Необходимость в рентгенологическом обследовании данной анатомической области возникает у поступающих в отделения неотложной помощи пациентов с тяжелыми травмами (в результате ушиба, падения, ДТП и др.) и подозрением на перелом/трещину костей таза (подвздошной, тазовой, лобковой, седалищной); перелом тазового кольца, вертлужной впадины или крестца; вывих или перелом тазобедренного сустава. [2]
Также рентген помогает выявить причины:
- и суставах, в том числе, обусловленные поражением костей и дегенеративными заболеваниями, а также воспалением крестцово-подвздошного сочленения - сакроилеитом; , включая хроническую тазовую боль; ; .
Для определения состояния костных тканей и выявления их деструктивных изменений проводится рентген таза при пролежнях, которые у лежачих пациентов образуются над крестцом, копчиком, седалищной костью или большим вертелом. Особенно опасны пролежни из-за инфекционного поражения ткани подлежащих костей с развитием остеомиелита. Но рентгенологическая диагностика остеомиелита, как правило, выявляет повреждение кости на поздних стадиях патологического процесса. Поэтому в данном случае более информативной является МРТ, которая позволяет получать детальные изображения и костей, и окружающих мягких тканей.
Выявить более поздние стадии кисты, опухоли и инфекции костей таза может рентген органов малого таза (pelvis minor) - полости таза ниже краев тазовых костей, в которой расположены мочевой пузырь и прямая кишка.
Как правильно подготовиться к рентгену костей таза? На нескольких дней нужно отказаться от употребления содержащих клетчатку продуктов, которые провоцируют повышенное образование кишечных газов. Последний прием пищи должен быть не менее, чем за 10-12 часов до процедуры, утром положено делать очистительную клизму.
А при запорах чистка кишечника перед рентгеном таза проводится с помощью слабительных средств, которые принимают в течение трех-четырех дней до посещения рентгенологического кабинета.
Техника проведения рентгена таза
Непосредственно перед просвечиванием верхняя часть брюшной полости пациента защищается от рентгеновских лучей свинцовыми пластинами.
Рентген костей таза и тазобедренных суставов может проводиться в трех проекциях: переднезадней (ПЗ), заднепередней (ЗП) и латеральной (боковой). На снимке спереди видны тазовые кости от верхней части гребня подвздошной кости до проксимального отдела диафиза бедренной кости, лобковая и седалищная кости, тазобедренный сустав, запирательные отверстия, большие вертелы проксимального отдела бедра в профиль.
На снимке сбоку визуализируется крестец, копчик, пояснично-крестцовый переход, наложенные друг на друга бедренные кости и верхняя часть бедра.
Что показывает рентген таза?
Визуализируя гребень подвздошной кости, крестец, подвздошно-крестцовые сочленения, большое тазовое кольцо, лобковую и седалищную кости, проксимальный отдел бедра, рентген таза может показать: анатомические нарушение формы таза или тазобедренного сустава; переломы таза; перелом, вывих или артрит тазобедренного сустава; опухоли костей таза (остеосаркомы).
Рентген признаки перелома таза см. подробнее в публикации Рентген признаки повреждений костей и суставов
Кроме того, рентген таза женщины визуализирует находящиеся в малом тазу матку и ее шейку, фаллопиевы трубы и яичники, то есть органы женской репродуктивной системы. А рентген таза мужчины показывает на снимке предстательную железу и семенные железы (пузырьки). Но для диагностической визуализации перечисленных органов малого таза, а также мочевого пузыря используется ультразвуковое исследование, в частности: абдоминальное УЗИ органов малого таза и матки, трансвагинальное УЗИ матки, допплерография маточных труб, УЗИ и трансректальное ультразвуковое исследование (ТРУЗИ) простаты, УЗИ мочевого пузыря. А для обследования прямой кишки существуют эндоскопические методы - ректоскопия и колоноскопия.
Противопоказания к проведению
Противопоказан рентген таза при беременности, в том числе, на ранних сроках; рентген таза ребенка - до достижения 14-ти лет (используются другие методы диагностической визуализации).
Рентген костей таза

Таз представляет собой часть скелета, которая расположена в основании позвоночного столба. Он не только является опорой для внутренних органов, но и обеспечивает фиксацию к туловищу ног. Именно поэтому его здоровье играет немаловажную роль, а рентген костей таза является неотъемлемой составляющей диагностики при заболеваниях и травмах этой области.
Он является диагностическим высокоинформативным методом, позволяющим получить данные о состоянии костных структур и суставов таза, определить повреждения и патологии мягких тканей и внутренних органов. Рентгенографию широко применяют в поликлиниках, поэтому она является доступным методом, в том числе и в ценовом плане. Пройти рентген костей малого и большого таза можно в диагностическом центре многопрофильной клиники ЦЭЛТ. Мы располагаем современным оборудованием, а наши специалисты практикуют индивидуальный подход, что неизменно позволяет добиваться высокого качества рентгенографических снимков.
Диагностику проводят исключительно по назначению врача при наличии клинических проявлений, которые свидетельствуют о следующих патологических изменениях тазовых костей:
- Трещины, гематомы, ушибы, переломы, вывихи;
- Снижение плотности костных структур (остеопороз);
- Аномалии развития;
- Подвывихи и вывихи бёдер;
- Поражения суставов инфекционной природы, а также вследствие нарушения обменных процессов организма;
- Новообразования добро- или злокачественной природы;
- Метастатические очаги при новообразованиях, расположенных в других местах;
- Оценка эффективности лечебной тактики и необходимости её коррекции.
Современная медицина выделяет ряд состояний, при которых проведение рентгенографических исследований не рекомендуется. К ним относят:
- Беременность и период грудного вскармливания у женщин;
- Большую дозу облучения, полученную за последний год;
- Возраст пациента до 15-ти лет;
- Тяжёлое состояние пациента.
Несмотря на безопасность современных методик, принято считать, что даже минимальная доза облучения способна оказать негативное воздействие на пациентов, вышеперечисленных групп. В то же время при крайней необходимости (если это жизненно важно) рентгенографию всё же проводят.
Подготовка к рентгену костей таза
Подготовка к проведению процедуры требует от пациента исключения из рациона продуктов, способствующих газообразованию, проведению очистительной клизмы или приёму энтеросорбентов. Подготовительные мероприятия начинают за 72 часа до проведения диагностики. На этот период времени из рациона исключают молочные продукты, бобовые, свежие овощи и фрукты, а также чёрный хлеб. Диагностику проводят натощак: между последним приёмом пищи и процедурой должно пройти не менее двенадцати часов. Очистительную клизму делают вечером перед днём, когда будет проводиться исследование, и при необходимости — за два часа до него.
Читайте также:
