Техника бокового доступа к малоберцовой кости
Добавил пользователь Владимир З. Обновлено: 22.11.2025
Латеральная нестабильность голеностопного сустава как следствие "растяжения голеностопа", "подворачивания голеностопа", по прежнему остаётся крайне недооценённой и актуальной проблемой травматологии. Ниже рассмотрим пример обращения пациента с данной проблемой, которая при первичном обращении не была диагностирована (что встречается практически в 100% случаев).
Клинический пример лечения застарелого разрыва передней таранно-малоберцовой связки, пяточно-малоберцовой связки правого голеностопного сустава у пациентки П.38 лет.
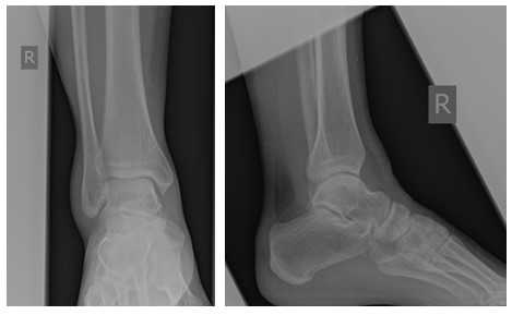
История неоднократных травм голеностопного сустава на протяжении более 10 лет, в среднем 2-3 раза в год подворачивает ногу, после чего наблюдается в травмпункте в связи с болями в голеностопном суставе. Обратилась к нам в клинику из-за того что после последнего эпизода подворачивания стопы боль держалась дольше обычного, и была более интенсивной. На стандартных рентгенограммах - без патологии.

На этом этапе пациентка лечилась по стандартному сценарию «растяжение голеностопа». Носила ортез, мазала голеностоп вольтареном и лиотоном, разгружала его при помощи трости. Но в связи с длительно сохраняющимся болевым синдромом было выполнено МРТ, при котором диагностирован застарелый разрыв передней таранно-малоберцовой связки, пяточно-малоберцовой связки правого голеностопного сустава, контузионное повреждение латеральных отделов таранной кости.


Для подтверждения механической нестабильности выполнены стресс-рентгенограммы голеностопного сустава с «варус-стресс тестом» и «тестом переднего выдвижного ящика». Критериями для постановки диагноза нестабильности является ангуляция таранной кости в коронарной плоскости более 4 градусов и смещение таранной кости кпереди в сагиттальной плоскости на 4 мм, или разница с контрлатеральной стороной в 2 градуса и 2 мм соответственно.

Если с варус-стресс тестом всё очень наглядно, оценивать передний выдвижной ящик рентгенологически чуть сложнее. Для этого можно либо обозначить центр купола таранной кости и встречной суставной поверхности большеберцовой кости точками и сравнивать расстояние между ними с или без нагрузки в задне-переднем направлении, либо использовать в качестве вспомогательного ориентира тень медиальной лодыжки и расстояние от неё до начала шейки таранной кости.

Учитывая историю неоднократных травм, клиническую и рентгенологическую картину антеролатеральной нестабильности голеностопного сустава принято решение о проведении пластики латерального связочного комплекса аутосухожилием нежной мышцы.
В данном случае выбор хирургического вмешательства шёл между стандартной процедурой Бростром в модификации Голда или пластикой аутосухожилием. Так как ранее пациентке оперативные вмешательства не выполнялись, можно было попробовать стандартную операцию по методике Бростром, а пластику оставить в качестве «запасного метода». Но для получения более стабильной конструкции учитывая выраженность нестабильности, длительную историю заболевания, наличие контузионного повреждения купола таранной кости было принято решение о проведении пластики с использованием аутотрансплантата нежной мышцы.
В настоящее время существует 2 основных методики проведения трансплантата через малоберцовую кость. Либо делается 2 канала диаметром соответствующие трансплантату и образующие острый угол, либо делается один канал большего диаметра в который вставляется сложенный вдвое трансплантат. При этом фиксация в малоберцовой кости в первом случае осуществляется при помощи биотенодезных винтов, во втором случае фиксация происходит за счёт титановой пуговицы. Фиксация на таранной и пяточной кости в обоих случаях идентичная при помощи биотенодезных винтов.

Данная методика может быть реализована как открыто, так и артроскопически. Плюсом открытого метода является возможность аугментации за счёт остатков собственной ПМБС и ПТМБС а также дополнительно может быть использован ретинакулум, хотя необходимости при такой жёсткой фиксации в этом обычно нет. Плюсом артроскопической техники является как обычно малоинвазивность, хотя в этом случае она очень условная - по сути всё равно делается 4 доступа, просто один из них меньшего размера, чем при открытом методе (1 см вместо 3см) при этом технически это намного сложнее, но ради искусства можно сделать и так.
Операция начинается с диагностической и санационной артроскопии голеностопного сустава, при которой дополнительно оценивается степень нестабильности, а главное выявляются и устраняются сопутсвующие повреждения суставного хряща таранной кости, синовиальная гипертрофия и прочие внутрисуставные проблемы.

После подтверждения нестабильности и устранения разрастаний синовиальной и рубцовой ткани переходим к этапу забора аутотрансплантата и его подготовки к последующей трансплантации. У транспланатата 2 плеча, сложенная вдвое часть погружается в канал малоберцовой кости, а «рукава» фиксируются в каналах таранной и пяточной кости соответсвенно в месте прикрепления передней таранно-малоберцовой и пяточно-малоберцовой связок.

После подготовки транспланата выполняется продольный доступ в проекции апекса латеральной лодыжки, из которого выделяется передняя таранно-малоберцовая связка, чаще всего она бывает частично замещена рубцом в зоне прикрепления к малоберцовой кости, её желательно сохранить, прошить, и потом произвести аугментацию пластики её остатками, что будет способствовать скорейшему восстановлению проприорецепции, и вообще сделает такое восстановление возможным. Первый этап - проводим пуговичный фиксатор (в нашем случае Tight rope Arthrex) через канал в малоберцовой кости. Канал делается при помощи 2 канюлированных свёрел, 4 мм сверлом делается сквозной канал, для того чтобы через него могла пройти пуговица. Второе сверло соответсвует по диаметру сложенному вдвое транспланатау, обычно это 5 или 6 мм и этот канал заканчивается слепо на глубине 2 см, для жёсткой фиксации трансплантата после затягивания нитей на пуговчатом фиксаторе.

Проведены нити, мы видим пуговчатый фиксатор с дистальной стороны канала.

Пуговица проведена на заднюю поверхность малоберцовой кости, трансплантат частично (на 1 см) погружен в канал. Запас в 1 см оставляем для того, чтобы после фиксации остальных частей трансплантата можно было бы ещё его натянуть если это потребуется.

ПМС проходит под сухожилиями малоберцовых мышц, которые нежелательно избыточно травмировать, поэтому мы предпочитаем проводить эту часть трансплантата полузакрыто. После визуализации проксимальной части сухожилия и малоберцовых сухожилий, под последними проводится сосудистый зажим в направлении места прикрепления пяточно-малоберцовой связки, над кончиком зажима делается небольшой продольный доступ около 1 см, из которого тупо обнажается место прикрепления ПМС к пяточной кости, где и производится рефиксация.
Только на этом этапе определяется окончательная длина рукавов трансплантата. Она вычисляется путём прикладывания трансплантата к нативному месту прикрепдения, или к месту где выполнен канал для его фиксации, + 2 см на погружение в этот канал. Концы сухожилия обрезаются на нужной длине и прошиваются.
Для окончательной фиксации могут быть использованы биотенодезные винты из полимолочной кислоты или высокопрочного медицинского пластика. Мы использовали винты из пластика Swive Lock 5.5 мм. При этом канал в плотной таранной кости мы делаем сверлом такого же диаметра, а в более рыхлой пяточной кости, сверлом 5 мм.

Такие винты обеспечивают надёжную первичную фиксацию трансплантата и позволяют начать более раннюю реабилитацию, для достижения лучшего функционального результата.

Когда обе части трансплантата фиксированы осуществляется дозатягивание нитей на пуговчатом фиксаторе в нейтральном положении стопы. Оценка функциональной и механической стабильности сустава подтверждает адекватность натяжения.

На этой фотографии под остатками ПТМБС виден трансплантат. Культя собственного сухожилия подшивается поверх него к надкостнице малоберцовой кости.
Реабилитационный протокол стандартный для любой пластики связок голеностопного сустава 2 недели гипсовая иммобилизация в лонгете. Через 2 недели снятие швов и переход на Walker - пластиковый сапог. В нём разрешается осевая нагрузка, также начинаем восстановление пассивной и активной амплитуды сгибания-разгибания в голеностопном суставе.
Через 6 недель переходим к фазе закачки мышц голени, тренируем мышечный баланс и выносливость. Возобновление спортивных нагрузок не ранее 12 недель от операции.
Операция Брострома
Повреждение связок составляют около 85% от всех повреждений голеностопного сустава, а из них 80 % составляют наружно-супинационный механизм травмы. Повреждение связок голеностопного сустава составляют от 14 до 21 % от всех спортивных травм, около 40% у баскетболистов, 25 % у футболистов. У женщин эти повреждения встречаются чаще, чем у мужчин, при аналогичных нагрузках.
Часто, при неадекватном лечении острых повреждений связок голеностопного сустава, развивается хроническая наружная нестабильность. Для более детального обсуждения для начала рассмотрим анатомию связок этой области.
Наружные статические стабилизаторы голеностопного сустава состоят из трех связок. Передняя таранно-малоберцовая связка- 2-2,5 мм толщиной, 15-20мм длиной и 6-8мм шириной, начинается сзади от переднего края наружной лодыжки и прикрепляется к шейке таранной кости, где она сливается с передне-наружной капсулой сустава. Это самая слабая и часто повреждающаяся связка из наружных связок. Функция связки состоит в удерживания таранной кости от передне-наружного подвывиха.
Пяточно-малоберцовая связка 20-25 мм длиной, 6-8 мм толщиной, 3-4 мм шириной намного крепче, чем таранно-малоберцовая связка. Она начинается от верхушки наружной лодыжки продолжается глубже малоберцовых сухожилий, и прикрепляется к наружной поверхности пяточной кости. Это единственная из наружных связок, которая экстракапсулярная.
Задняя таранно-малоберцовая связка около 30 мм длиной, 5 мм шириной, и 5-8 мм толщиной самая мощная из латеральных связок. Она начинается от пальцевого вдавления наружной лодыжки и идет кзади и прикрепляется к заднему отделу таранной кости.
Чаще всего повреждается передняя таранно-малоберцовая связка, в результате чего развивается хроническая наружная нестабильность голеностопного сустава.
При хронической латеральной нестабильности голеностопного сустава передняя таранно-малоберцовая связка ослабленная, неэффективная для стабилизации голеностопного сустава. В анамнезе у пациентов обычно имеет место периодически растяжение связок в течение 2-х лет, имеется нестабильность таранной кости на рентгеновских снимках.
Диагностика достаточно легкая, и ставится на основании клинических и рентгенологических данных
При этом наблюдается положительный варус-тест, и на рентгенограммах подвывих таранной кости.
Предложено множество вариантов хирургического лечения наружной нестабильности голеностопного сустава, в том числе анатомическое восстановление связок, пересадка малоберцовых сухожилий, статическая стабилизация с помощью сухожильных трансплантатов и т.д.
Из наиболее распространённых операций анатомического восстановления наружной группы связок (в большей степени передней таранно-малоберцовой связки) можно считать операция Брострума, которая доказала свою эффективность и малотравматичность, достаточно широко применяется за рубежом.
Для доступа к наружному отделу голеностопного сустава разрез идет от верхушки наружной лодыжки, имея незначительную кривизну.
Когда связка идентифицируется, она иссекается на уровне сустава, по контурам переднего отдела наружной лодыжки. Надкостница, покрывающая кость, отделяется проксимально. Далее оценивается состояние капсулы с таранно-малоберцовой связкой, нежизнеспособные и дегенеративные ткани иссекаются, остается лоскут, который прикреплен к малоберцовой кости.
При классической операции Брострума, далее этот лоскут трансоссально сшивается к переднему отделу наружной лодыжки.
В последнее время был предложен вариант артроскопической операции, который известен как «ArthroBrostrum». При этой технике предполагается артроскопический доступ к наружному отделу сустава, чистится место прикрепления передней таранно-малоберцовой связки, вкручивается анкерный винт, и перкутанно связка сшивается и прикрепляется к наружной лодыжке.
В отделении травматологии и ортопедии Волынской больницы освоены и применяются на практике оба вида данного оперативного вмешательства, позволяющие эффективно решить проблему наружной нестабильности голеностопного сустава.
Кафедра травматологии и ортопедии
ОСТЕОСИНТЕЗ КОСТНЫХ ФРАГМЕНТОВ СЛОЖНЫХ ПЕРЕЛОМОВ ПРОКСИМАЛЬНОГО ОТДЕЛА БОЛЬШЕБЕРЦОВОЙ КОСТИ ПРЕДВАРИТЕЛЬНО МОДЕЛИРОВАННЫМ ИМПЛАНТАТОМ
ССЫЛКА ДЛЯ ЦИТИРОВАНИЯ:
Толедо К.В., Гурьев В.В., Паршиков М.В., Лекишвили М.В., ОСТЕОСИНТЕЗ КОСТНЫХ ФРАГМЕНТОВ СЛОЖНЫХ ПЕРЕЛОМОВ ПРОКСИМАЛЬНОГО ОТДЕЛА БОЛЬШЕБЕРЦОВОЙ КОСТИ ПРЕДВАРИТЕЛЬНО МОДЕЛИРОВАННЫМ ИМПЛАНТАТОМ // Кафедра травматологии и ортопедии. 2017.№1(21). с.16-24 [Toledo К.V., Guryev V.V., Parshikov M.V., Lekishvili М.V., OSTEOSYNTHESIS OF BONE FRAGMENTS OF COMPLEX FRACTURES OF THE PROXIMAL TIBIA BY A PRE-MODELED IMPLANT// The Department of Traumatology and Orthopedics. 2017.№1(21). p.16-24]
К. В. ТОЛЕДО 2 , В. В. ГУРЬЕВ 1, 2 , М. В. ПАРШИКОВ 2 , В. В. ТОЛЕДО 3 , А. М. БЕЛЕНЬКИЙ ГОНСАЛЕС 3 , М. В. ЛЕКИШВИЛИ 4
1 НУЗ «ДКБ им. Н.А. Семашко на ст. Люблино ОАО «РЖД»
2 Московски й государственны й медико-стоматологически й университет им. А.И. Евдокимова
3 ГБУЗ ГКБ No 13 МЗ РФ
4 ФГБУ «Центральны й научно-исследовательски й институт Травматологии и Ортопедии имени Н.Н. Приорова» МЗ РФ
Информация об авторах:
Паршиков Михаил Викторович - д.м.н., профессор кафедры травматологии и ортопедии, МГМСУ им. А.И. Евдокимова, РФ, г. Москва.
Переломы проксимального отдела большеберцовой кости - достаточно распространенное явление, сопровождающееся повреждением преимущественно латерального мыщелка с частичным или полным разрывом соответствующего мениска. Авторами разработан фиксатор для накостного остеосинтеза. Фиксатор является индивидуальной анатомической премоделированной пластиной. Проведено исследование, в котором приняли участие пациенты с переломами проксимального отдела большеберцовой кости. Достигнуты положительные результаты в 96,7% случаев, из них хорошие результаты наблюдались в 73,3%, удовлетворительные результаты в 23,4%, неудовлетворительные результаты отмечались у 3,3% от всей группы пациентов.
Ключевые слова: большеберцовая кость; накостный остеосинтез; премоделированная пластина.
Введение
Переломы проксимального отдела большеберцовой кости относятся к тяжёлым повреждениям нижних конечностей и составляют от 6,5 до 12% всех внутрисуставных переломов коленного сустава и 7% от всех переломов опорно-двигательного аппарата [1, 4]. Внутрисуставные переломы являются результатом осевой нагрузки в сочетании с некоторой варусной и вальгусной силой [13]. Подобные переломы проксимального отдела большеберцовой кости характеризуются сложностью восстановления функции коленного сустава, что приводит к стойкой инвалидизации пациента [3, 5]. За последнее десятилетие число осложнений выросло на 20-40%, а процент больных, получивших инвалидность в результате неполностью восстановленной функции коленного сустава, составляет 5,9 - 9,1% [2, 14]. Развитию осложнений частично способствует несвоевременная диагностика данных повреждений [11, 12]. Рентгенологическое исследование и КТ-исследование поврежденного сустава уже вошло в стандарт предоперационного планирования [9, 10, 15]. Именно поэтому адекватная диагностика и своевременное лечение перелома проксимального отдела большеберцовой кости представляет собой актуальную задачу.
Целью лечения таких переломов является анатомическое восстановление суставной поверхности, профилактика посттравматического дегенеративного заболевания сустава, устойчивый остеосинтез, позволяющий раннюю мобилизацию [7, 8]. Выбор лечения зависит от возраста пациента, его состояния, конфигурации перелома, степени смещения отломков и состояния поверхностных мягких тканей, связанных с костными повреждениями и любыми нейроваскулярными осложнениями [6].
Цель исследования
Оценка результатов хирургического лечения переломов проксимального отдела большеберцовой кости с помощью премоделированной пластины.
Материалы и методы


Имплантат “ПЕГАС 3D” представляет собой две металлические пластины, соединяемые между собой с помощью специального замка и зафиксированные на определенный угол специальным штифтом, и изготавливается по рентгенологическим снимкам большеберцовой кости в прямой и боковой проекции.
Основной отличительной характеристикой является использование специальных элементов - стабилизаторов положения - для придания элементам имплантата 6-и и более степеней свободы для осуществления максимального совпадения геометрии кости с геометрией пластины и обеспечения жесткой фиксации при сложных многооскольчатых переломах.
При сохранении конечной жесткости пластины конструкция позволяет осуществлять монтаж фиксатора на кости пациента в процессе операции, подгоняя отдельные элементы вверх-вниз, влево-вправо с возможностью изменений по углу тангажа и по углу рыскания. Это позволяет полностью спрятать имплантат на кости, сохраняя жесткость конструкции и обеспечивая стабильность положения перелома в процессе всего периода эксплуатации пластины. Конструкторский расчёт и моделирование производились как матрица параметрических уравнений, где переменными выступили:
угол скоса центра кости относительно центральной оси (поперечная возрастная и индивидуальная деформация);
длина и локализация перелома;
ширина и форма L-образного среза кости в месте соединения фиксирующих пластин.
Применение имплантата показано при оскольчатых компрессионных и импрессионных переломах проксимального отдела большеберцовой кости.
Внутренняя поверхность пластины представляет собой абсолютно анатомический «слепок» поверхности большеберцовой кости. Имплантат имеет 3 типоразмера в зависимости от роста пациента, и левую и правую симметрию в зависимости стороны повреждения.
Имплантат имеет стабильную фиксацию в трёх плоскостях. Он имеет ряд направленных отверстий для винтов диаметром 5,0 мм, 3,5 мм и 2,5 мм и спиц Киршнера диаметром 2,0 мм, что обеспечивает возможность получения стабильной фиксации любого перелома, в том числе компрессионного и импрессионного, наружного и заднего отдела мыщелков. Вес имплантата в сборе варьируется в диапазоне от 90 грамм до 150 грамм. Благодаря предварительному моделированию поверхностей имплантата существенно снижается время и трудоёмкость операции - на 10-20 минут в зависимости от вида перелома. Высота репонирующих шипов составляет 0,9-1,2 мм. Форма имплантата имеет плавные очертания и плавную геометрию для снижения риска травматизации тканей при установке.
Высокая биосовместимость имплантата обеспечена его изготовлением из специального медицинского сплава методом селективного спекания из материала Сталь AISI 316L | 0 3Х16Н15М3 в соответствии с ГОСТ No 5632-72, и исключает риск наступления тканевого окисления (металлоза) и развития хронической интоксикации тяжелыми металлами.
Имплантат «ПЕГАС 3D» в рабочем состоянии может легко переносить момент нагрузки 2000 кН или постоянную нагрузку в 200-300 кг на сгибание и на разрыв, осуществляя таким образом свою функцию скрепления разрушенной кости в течение длительного времени (до нескольких лет). Для расчета прочности фиксатора была использована программа CREO PARAMETRIC (рис. 3).
При различных переломах проксимального отдела большеберцовой кости возможно использование пластины в сборе, а при изолированных переломах мыщелков возможно устанавливать отдельные части пластины как на внутренний мыщелок, так и на наружный мыщелок (рис. 4, 5).

В период с 2014 по 2016 было проведено клиническое исследование, которое является проспективным и контролируемым. В исследовании приняла участие группа из 18 пациентов с переломами проксимального отдела большеберцовой кости. В группу были включены пациенты мужского и женского пола в возрастном диапазоне от 28 до 67 лет, средний возраст пациентов составил 46 лет (диагр. 1, 2). Мужчины составили 55,6 %, а женщины 44,4% от общего количества пациентов. Перелом проксимального отдела большеберцовой кости диагностирован у 12 больных справа и у 6 - слева.


Для удобства распределения пациентов с переломами проксимального отдела большеберцовой кости по группам была использована классификация AO/ASIF. Распределение пациентов по типу перелома представлено на диаграмме 3.

Анализ локализации переломов выявил: в 10 случаях повреждение латерального мыщелка большеберцовой кости, что составило 55,6% от всего количества больных, принявших участие в исследовании. В 3 случаях было диагностировано повреждение медиального мыщелка без повреждения медиального мениска, что составило 16,7% от всего количества больных. В 5 случаях был выявлен перелом обоих мыщелков проксимального метаэпифиза, что составило 27,8% от всего количества больных, принявших участие в исследовании, из которых в 2 случаях был выявлен частичный разрыв обоих менисков, в 1 случае частичный отрыв медиального мениска, и в 1 случае диагностирован полный отрыв латерального мениска. При полных отрывах менисков производилась менискэктомия, при частичных отрывах делали порционную резекцию мениска. Как показано в таблице 3, большинство пациентов имели переломы проксимального отдела большеберцовой кости типа В (В1, В2) и типа С (С1, С2).
При поступлении больных с переломами проксимального отдела большеберцовой кости в стационар проводились обследования в соответствии с МЭС 79.100. Выполнялись рентгенограммы в двух проекциях в масштабе 1:1, МСКТи МРТисследования коленного сустава. По данным рентгенограмм в прямой и боковой проекции снимались размеры проксимального метаэпифиза большеберцовой кости. Далее подготавливалась индивидуальная анатомическая премоделированная пластина «Пегас 3 D» (рис 6, 7). Предоперационные рентгенологическое и КТ исследования поврежденных коленных суставов позволили точнее оценить изучаемые структуры коленного сустава, подобрать вид фиксаторов и их размер.
В зависимости от вида перелома больным были установлены несколько видов пластин-фиксаторов: одна ветвь пластины на латеральный мыщелок, две ветви пластины с замком, монолитная пластина, а также медиальный компонент пластины на медиальный мыщелок. Распределение больных в зависимости от вида перелома и установленного фиксатора представлено в таблице 1.
Техника операционного вмешательства
Операции выполняли в положении больного на спине, под общим обезболиванием после обработки операционного поля через линейный разрез по передне-наружной поверхности коленного сустава длинной 12-16 см. Выполнялась артротомия коленного сустава. Проводили мобилизацию метаэпифиза большеберцовой кости в наружной его части. При ревизии коленного сустава в случае выявления разрыва наружного
мениска производили частичную или полную его резекцию. При наличии консолидации долотом проводили остеотомию наружного мыщелка большеберцовой кости. Далее осуществлялся подъем смещенной части мыщелка кверху с восстановлением конгруэнтности суставной поверхности большеберцовой кости. Передненаружная часть мыщелка укладывалась на место. При наличии костного дефекта закладывался костный трансплантат, взятый с бугристости большеберцовой кости, или гранулы Repro Bone. Фиксацию костных фрагментов осуществляли спицами Киршнера. Интраоперационную визуализацию костных фрагментов и суставной поверхности делали с использованием электронно-оптического преобразователя (ЭОП). После устранения смещения производили остеосинтез премоделированной пластиной с кортикальными блокирующими винтами необходимого размера и в достаточном количестве для стабильного остеосинтеза. Спицы Киршнера удалялись. Контроль за устранением смещения фрагментов и расположением винтов осуществлялся под электронно-оптическим преобразователем с С-дугой. Послойно ушивали рану с наложением асептической повязки.
Иммобилизацию в послеоперационном периоде не выполняли, ограничение нагрузки на оперированную конечность длилось до 2-х месяцев. На 2-3 сутки после операции назначались ЛФК, активная-пассивная разработка движений в коленном суставе.
Клинический пример No1
Пациент Б., 65 лет. Травма получена в результате ДТП (пешеход). Первая помощь была оказана по месту травмы. Затем был переведен в ДКБ им. Н.А. Семашко. При поступлении в клинику выполнена рентгенография в двух стандартных проекциях (рис. 8 а, б), КТ-исследования коленного сустава (рис. 9). Поставлен диагноз: «Компрессионный перелом наружного мыщелка большеберцовой кости справа со смещением. Разрыв наружного мениска. Гемартроз». Тип В3 по классификации АО/ASIF. Выполнена операция: открытая репозиция наружного мыщелка правой большеберцовой кости с остеосинтезом наружного мыщелка премоделированной пластиной с частичной резекцией наружного мениска (рис. 10 а, б). Пациенту была установлена одна ветвь фиксатора на латеральный мыщелок (рис. 11 а, б). Послеоперационной иммобилизации не было. Разработка коленного сустава осуществлялась на 2-3 сутки. После полного сращения перелома, через 7 месяцев после установки фиксатора выполнена операция удаления фиксатора (рис.12 а, б). Функция коленного сустава сохранена, сгибание более 600, разгибание 1800 (рис.13 а, б).
Реконструкция альвеолярной кости верхней и нижней челюсти с помощью свободных костных трансплантатов
Реконструкция головы и шеи на протяжении многих лет показывала огромные успехи в связи с появлением свободного переноса ткани, замещая архаичными «вальсирующими» лоскутами и вытесняя лоскутами на ножке с улучшенным функционированием и общей косметической коррекцией. В настоящее время описано несколько различных лоскутов, дающих реконструктивной микрохирургии обилие вариантов донорских участков, которые могут быть использованы индивидуально для любого конкретного дефекта . Дефекты мягких тканей могут быть восстановлены с помощью большого количетсва различных лоскутов в зависимости от размера и местоположения дефекта, в то время как костные дефекты также могут быть восстановлены с помощью различных свободных костно-кожных лоскутов. С момента описания Hidalgo свободный малоберцовый костно-кожный лоскут стал одним из наиболее надежных лоскутов для реконструкции нижней челюсти и служил основой для оптимизации формы и функции при реконструкции черепно-лицевого скелета. Однако, хотя использование васкуляризированных костных лоскутов считается наиболее оптимальным способом восстановления нижней челюсти, необходима передовая подготовка, чтобы минимизировать осложнения и увеличить выживаемость лоскутов и результаты лечения.
Свободный малоберцовый лоскут
Вероятно, наиболее часто используемой зоной для реконструкции нижней челюсти является костно-кожный малоберцовый лоскут. Малоберцовая кость в основном стабилизирует лодыжку и обеспечивает опору нескольким мышцам нижней части ноги, но также является расходной, если дистальная кость, простирающаяся на 5-7 см над боковой лодыжкой, сохраняется. Как правило, сегмент малоберцовой кости от 22 до 25 см может быть забран у взрослого пациента, что позволяет восстановить почти все дефекты нижней челюсти. Кроме того, преимущество забора кожного лоскута вместе с малоберцовой костью позволяет восстанавливать комбинированные дефекты мягкой ткани и слизистой оболочки, так как многие дефекты нижней челюсти вовлекают некоторый компонент, выстилающий слизистую оболочку полости рта и языка.
Свободный малоберцовый лоскут получает кровоснабжение и венозный отток от малоберцовой артерии и вены. Важно предварительно осмотреть обе нижние конечности и пропальпировать пульсацию тыльной артерии стопы и задней большеберцовой артерии. Пациент с недостаточностью артерий или венозным застоем может не подойти для забора свободного малоберцового лоскута. В дополнение к патологическим состояниям важно дифференцировать большую малоберцовую артерию; существует анатомический вариант, где малоберцовая артерия несет в себе основной артериальный поток к дистальной части нижней конечности. Когда периферические артерии не пальпируются или циркуляция к нижней конечности сомнительна, могут потребоваться дополнительные исследования, такие как обычная, магнитно резонансная или компьютерная томографическая ангиография.
Выбор ноги основан на предполагаемой стороне кровеносных сосудов реципиента и ожидаемой потребности в дополнительной вне-или внутриротовой выстилки. В общем, мы предпочитаем использовать ногу, которая находится с другой стороны кровеносных сосудов участка реципиента для реконструкции нижней челюсти, когда необходима внутриротовая выстилка. Для реконструкции верхней челюсти используется нога на той же стороне для ориентации кожной части, чтобы закрыть дефект слизистой неба. Лоскут обычно ориентирован так, чтобы ножка была с язычной стороны, чтобы свести к минимуму внешнее сжатие и установить пластинку на боковом участке малоберцовой кости.
Остеотомия может быть выполнена, в то время как лоскут остается на месте или во время пос
Корригирующая остеотомия коленного сустава: показания, виды операции и реабилитация
Корригирующая остеотомия коленного сустава является проверенным методом хирургического лечения деформаций большеберцовой и бедренной костей. Эта операция снижает нагрузку на суставные поверхности, устраняет уже имеющиеся патологии и замедляет дегенерацию нижней конечности.

Схематичное изображение проведения операции.
Что такое остеотомия коленного сустава?
Корригирующая остеотомия коленного сустава — операция, устраняющая врожденные и приобретенные костные деформации. Во время хирургического вмешательства врач иссекает заранее обозначенный участок костной ткани и соединяет свободные фрагменты костей имплантатами. В результате ось механической нагрузки переносится на здоровый участок сустава. Операция проводится под полной или спинальной анестезией. После лечения ортопед фиксирует нижнюю конечность пациента гипсовой повязкой на время восстановления. Проводится реабилитация.

Остеотомия с металлоконструкцией.
Описанный метод коррекции традиционно сравнивается с эндопротезированием коленного сустава. Остеотомия — менее травматичный способ лечения. Эта медицинская манипуляция отлично подходит молодым пациентам, страдающим от поздних стадий гонартроза. Выбор остеотомии в качестве способа восстановления подвижности нижней конечности позволяет отсрочить проведение эндопротезирования на длительный срок.
Остеотомия применяется на протяжении двух веков. После открытия методов заместительной артропластики это оперативное вмешательство отошло на второй план, однако такой способ лечения применяется до сих пор. В начале 21 века были разработаны современные способы закрепления костных участков, уменьшающие длительность реабилитации.
Показания к операции
Главным показанием к оперативному вмешательству является гонартроз. Это дегенеративное заболевание коленного сустава, проявляющееся постепенным разрушением хрящевой ткани и деформацией нижней конечности. На поздних стадиях гонартроза у пациентов формируются вальгусные и варусные деформации. Объем движений ограничивается, возникает хронический болевой синдром.

- Врожденная деформация нижней конечности.
- Искривление костей после травмы.
- Подготовка к эндопротезированию коленного сустава.
- Смещение оси нижней конечности при патологиях суставных связок.
- Рахит, деформирующий остеит и другие болезни костной ткани.
Вмешательство рекомендуется проводить при удовлетворительном состоянии хрящевой поверхности костей и изолированном поражении одного участка коленного сустава. Такой метод коррекции дает возможность сохранить подвижность нижней конечности у молодых пациентов.
В каких случаях остеотомия не поможет?
Эффективность лечения зависит от возраста, пола и массы тела пациента. Неудовлетворительные результаты операции могут быть обусловлены пожилым возрастом больного, значительным поражением костей и разрушением гиалинового хряща.
Состояния, при которых проведение вмешательства нецелесообразно:
- ;
- остеопороз;
- внесуставные патологии;
- недостаток кровоснабжения нижней конечности;
- нарушение роста костной ткани;
- отсутствие мениска;
- выраженное ожирение (ИМТ: 40 и выше).
При неправильной оценке показаний остеотомия может ускорить дегенерацию коленного сустава. Перед лечением врачи проводят лабораторные исследования, получают снимки нижней конечности на протяжении и назначают дополнительные диагностические манипуляции.
Виды хирургических техник
Вмешательства классифицируют по месту проведения, способу иссечения тканей и характеру костной пластики. Исправляется структура большеберцовой или бедренной кости. Классификация по характеру пластики включает открытую, закрытую, латеральную и прямую остеотомии. Коррекция большеберцовой кости может быть высокой или низкой. Конкретная хирургическая техника подбирается врачом индивидуально по результатам предварительного обследования.
Основные виды остеотомии:
- Клиновидная закрытая. Разрез кожи производится в латеральной или передней области колена для доступа к верхнему эпифизу большеберцовой кости или нижнему эпифизу бедренной кости. После иссечения ткани свободные поверхности кости фиксируют металлическими пластинами или скобами.
- Клиновидная открытая. После разреза кожи в передней или боковой области колена проводится неполная остеотомия. Концевой отдел большеберцовой кости разъединяется на две части с формированием диастаза. Далее костные участки соединяют металлической пластиной и аутотрансплантатом из таза пациента.

Остеотомия коленного сустава: визуальное изображение процедуры.
Костная ткань удаляется с помощью остеотома. Для предотвращения повреждения сосудов и нервов, проходящих через коленный сустав, коррекция проводится под контролем флуороскопа или рентгеновского аппарата. После пластики кожный покров сшивается, и нижняя конечность фиксируется гипсовой повязкой или шиной.
Не существует единого метода оперативного вмешательства, подходящего при любых показаниях. При выборе хирургической техники врач учитывает запланированный угол коррекции. Методы визуализации помогают точнее восстанавливать ось нижней конечности. В современной ортопедии чаще всего проводится открытая клиновидная остеотомия большеберцовой кости выше уровня бугристости.
Реабилитация
Результаты лечения в долгосрочном периоде зависят от реабилитационных мероприятий. После хирургического вмешательства врач проводит контрольные обследования и подбирает методы восстановления подвижности коленного сустава. Цели реабилитации включают устранение боли, предупреждение послеоперационных осложнений и восстановление мышечного аппарата нижней конечности.
- Физиотерапия: электростимуляция, криотерапия и тепловое воздействие. Физическая терапия облегчает боль и уменьшает отечность тканей в послеоперационном периоде.
- Лечебный массаж. Мануальная терапия улучшает кровоток в тканях, облегчает боль и нормализует мышечный тонус. . Упражнения можно проводить в домашних условиях. Главной задачей является восстановление сгибательных и разгибательных движений в коленном суставе.
- Ортопедическая реабилитация для предупреждения рецидива болезни. Пациенту рекомендуется носить наколенник или эластичный бинт для фиксации сустава. В первое время после операции необходимо использовать трость и носить обувь с ортопедическими стельками для снижения нагрузки на суставные поверхности.
Схема реабилитации составляется ортопедом и врачом ЛФК. Подбирается медикаментозная терапия. Полное восстановление двигательной активности происходит в течение года.
Жизнь после лечения
Прогноз определяется изначальным диагнозом, выбранной техникой хирургического лечения, квалификацией хирурга, возрастом пациента и другими критериями. По данным медицинского центра имени Г. А. Илизарова, положительные результаты были отмечены у 95% пациентов после вмешательства. В течение 10 лет после костной пластики наблюдается отсутствие боли и других симптомов гонартроза. Молодые люди, перенесшие остеотомию, после реабилитации возвращаются к полноценной жизни. Последующее проведение заместительной артропластики облегчается.
Долгосрочные результаты коррекции предсказать сложно. Пациентам рекомендуется регулярно посещать ортопеда и проходить обследования для контроля состояния сустава. Остеотомия в качестве самостоятельного метода лечения не устраняет артроз полностью, а только замедляет развитие дегенеративных процессов. У некоторых больных рецидив возникает уже через 4 года после вмешательства.
Цены на остеотомию коленного сустава
Стоимость лечения зависит от квалификации врача, хирургической техники и диагноза.
Читайте также:
- Техника операции задней тимпанопластики хрящом
- Цереброваскулярная болезнь: транзиторные ишемические атаки, клиническая анатомия окклюзии сосудов головного мозга
- Дальнейшее обследование при выявлении пороков у плода. Прерывание беременности при пороках развития
- Лабораторная диагностика ДВС
- Рентгенограмма, КТ, МРТ при отрывной травме колена
