Техника доступа к голеностопному суставу с остеотомией медиальной лодыжки
Добавил пользователь Алексей Ф. Обновлено: 13.12.2025
Корригирующая остеотомия (коррекция оси) коленного сустава относится к суставосохраняющим операциям и может скорректировать ось нижней конечности пациента. Это вмешательство необходимо для устранения неправильного распределения нагрузки. Таким образом ось пораженной конечности может быть исправлена близко к оригиналу. Кроме того, операция останавливает или по крайней мере замедляет процесс износа вследствие артроза.
Почему корригирующая остеотомия коленного сустава может замедлить процесс износа?
Остеотомия колена проводится в тех случаях, когда остеоартроз развился только на одной стороне коленного сустава.
Цель этой операции заключается в снятии давления на поврежденные части хряща путем изменения оси ноги. Проведение остеотомия значительно отодвигает необходимость эндопротезирования коленного сустава.
При смещении оси нижних конечностей, механическая ось проходит нечерез середину поврежденной кости, а со смещением в сторону (пунктирная линия). Это приводит к неравной нагрузке (красная стрела) и автоматически к износу суставного хряща.© Gelenk-Klinik © Viewmedica Корригирующая остеотомия исправляет деформации оси нижних конечностей и распределяет нагрузку на всю поверхность хряща. © Gelenk-Klinik.© Gelenk-Klinik © Viewmedica
Деформации колена влияют на способность сустава принимать на себя нагрузки и могут привести к травмам суставного хряща. Операция по коррекции оси позволяет равномерно распределить нагрузку, которая действует на небольшую площадь хрящевых поверхностей во время стояния или ходьбы. Таким образом хирурги Геленк Клиники продлевают продолжительность существования хряща.
Коррекция оси в колене также имеет смысл при наличии первых повреждений суставного хряща. Частичное снятие нагрузки замедляет прогрессирование артроза и значительно уменьшает боль в коленном суставе.
Специалисты Геленк Клиники проводят коррекцию оси в коленном суставе в рамках малоинвазивных операций. По причине изменения оси ног и тем самым направления нагрузки, хирургическое вмешательство освобождает поврежденный хрящ.
Как корригирующая остеотомия может предотвратить необходимость тотального эндопротезирования?
Сохранение собственных структур организма всегда предпочтительней тотального либо частичного эндопротезирования. Хирургическая корригирующая остеотомия сохраняет естественные функции колена, поскольку хирург не делает никаких манипуляций на самом суставе.
Суставосохраняющая хирургия колена устраняет факторы, ведущие к локальной перенагрузке суставного хряща. Одной из самых главных причин артроза является вальгусная либо варусная деформация. Из-за этих часто встречающихся смещений на внутреннюю или внешнюю часть колена приходятся слишком большие нагрузки, вследствие чего наблюдается чрезмерный износ на травмированном участке коленного сустава.
Какая диагностика необходима для проведения остеотомии?

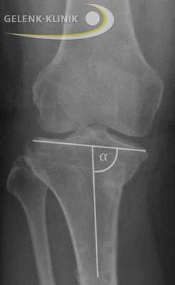
Анализ оси нижней конечности перед операцией, когда пациент стоит. В данном случае наблюдается варусная деформация голени с перегрузкой медиальной внутренней стороны сустава. © Gelenk-Klinik
Сначала проводится клиническое обследование, во время которого ортопед собирает всю информацию касательно имеющегося дефекта коленного сустава. Затем он осматривает ногу пациента и примерно определяет ось конечности. Рентген от бедра до ступни позволяет точно установить степень отклонения. На основании полученных снимков врач может планировать операцию.
Также пациента направляют на МРТ. Во время данного исследования можно распознать травмы мениска, а также отличить локализированные повреждения суставного хряща от крупных изменений.
Как проводится операция?
Остеотомия большеберцовой кости, как правило, выполняется с использованием общего наркоза. На внутренней стороне или в передней части колена делается надрез, чтобы дать доступ к коленному суставу и голени. После этого сустав обследуется. Для того, чтобы выровнять ось берцовой кости, ее обрезают под углом и создают клиновидное отверстие. Это отверстие заполняется костным трансплантатом, который крепится с помощью металлической пластины и винтов. Это помогает удерживать клин на месте. Разрез зашивается, колено и ногу помещают в шину.
Реабилитация и послеоперационное лечение
Обычно после остеотомии коленного сустава пациент остается в клинике на три ночи. Ногу можно нагружать примерно половиной веса тела уже в день операции. Полная нагрузка разрешена, как правило, примерно через 4-6 недель.
Физиотерапия значительно ускоряет процесс выздоровления.
После остеотомии коленного сустава спокойными видами спорта, такими как плавание или езда на велосипеде, можно начинать заниматься уже после четырех недель. По поводу занятий другими видами спорта необходима консультация с лечащим врачом.
Выбор оперативного доступа при внутрисуставных переломах голеностопного сустава: обзор
В статье приведен анализ рациональности выбора оперативного доступа к голеностопному суставу при хирургических вмешательствах с учетом показаний, сложности выполнения и операционных осложнений. Также проведен разбор современных методик выполнения оперативных доступов.
Ключевые слова: оперативный доступ, голеностопный сустав, внутрисуставные переломы, осложнения .
Травматизм сопровождает человечество на всем протяжении его эволюции. Внутрисуставные переломы дистального отдела костей голени составляют 9 % случаев среди всех переломов голени. Важно и то, что голеностопный сустав является сложной зоной ввиду риска травматизации мягкотканных структур, сосудов, нервов, сухожилий и может иметь определенный риск развития интра- и послеоперационных осложнений. Поэтому при выборе оперативного доступа необходимо, чтобы он соответствовало определенным требованиям [1].
Клинический мониторинг должен включать оценку:
— состояния мягких тканей
— чувствительной и двигательной функций стопы
В литературе описано около 20 оперативных доступов к данной зоне, которые могут быть продлены в проксимальном или дистальном направлении при необходимости. Наиболее применимы медиальный, латеральный доступы и их комбинации ввиду их соответствия следующим условиям: удобство выполнения оперативного маневра хирургом, обеспечение кратчайшего расстояния до очага поражения, быстрота и техническая простота выполнения, максимальное щажение окружающих тканей и минимизация интраоперационных, ранних и поздних послеоперационных осложнений [2].
1. Латеральный доступ
Разрез длиной не более 7 см вентральнее края наружной лодыжки проводят так, чтобы для репозиции и фиксации потребовалось минимальное рассечение мягких тканей. Разрез, производимый более кзади, применяется для заднего размещения пластины или доступа к задне-латеральному краю большеберцовой кости. При этом следует щадить n. suralis.
— Следует проявлять осторожность относительно поверхностного малоберцового нерва.
— Возможно повреждение икроножного нерва и большеберцовой артерии.
2. Медиальный доступ
Стандартный медиальный доступ представляет собой продольный разрез слегка кпереди или кзади от лодыжки.
— Для выявления, мобилизации и защиты нервно-сосудистой системы используется тупое рассечение.
— Следует защищать подкожную вену и нерв, так как при повреждении последнего возможно образование неврином.
3. Задний доступ
Разрез проходит между ахилловым сухожилием и сухожилиями малоберцовых мышц. Следует щадить n. suralis. Возможны модификации данного оперативного доступа в зависимости от конкретного случая:
— Для обнажения медиальной лодыжки выполняется заднемедиальный разрез , который также лучше всего подходит для восстановления заднемедиального фрагмента голени.
— Возможно выполнение заднелатерального доступа , который показан при переломах в области задней и латеральной колонн и позволяет выполнить остеосинтез малоберцовой и большеберцовой кости с использованием одного доступа.
— Обеспечивает хорошую визуализацию.
— При этом доступе нередки нарушения заживания ран.
— Особенно важен тщательный гемостаз.
- Сочетание медиального илатерального доступов требуется при повреждении медиальной и латеральной колонны, задней и передней колонны.
• Больные с открытыми травмами, пожилые пациенты, пациенты с сахарным диабетом, заболеваниями периферических сосудов и курильщики подвержены более высокому риску развития интра- и послеоперационных осложнений.
Разрез длиной примерно 10 см проходит точно посредине над голеностопным суставом. При рассечении подкожных слоев необходимо обратить особое внимание на поверхностный малоберцовый нерв [3].
Выводы :
- Для оперативного лечения повреждений медиальной лодыжки наиболее предпочтителен медиальный доступ, ввиду его соответствия необходимым требованиям.
- Для оперативного лечения повреждений латеральной лодыжки наиболее предпочтителен латеральный доступ, так как частота осложнений при выполнении данного оперативного доступа минимальна.
- Для оперативного лечения бималлеолярного и трималлеолярного переломов наиболее предпочтительна комбинация медиального и латерального доступов, что обеспечивает лучшую визуализацию медиальной, латеральной и передней колонн и больший объём маневра во время операции.
- Помогаева Е. В. Хирургическое лечение внутрисуставных переломов дистального отдела костей голени: 14.01.15 «Травматология и ортопедия»: автореферат диссертации на соискание ученой степени кандидата медицинских наук/ Помогаева Елена Вячеславовна; «Уральский государственный медицинский университет». — Екатеринбург, 2020 г. — 24 с.
- Борозда И. В. «Современные технологии остеосинтеза в лечении переломов голени и голеностопного сустава»: учебное пособие, Благовещенск, 2017 г., 100 с.
- Рудольф Бауэр «Оперативные доступы в травматологии и ортопедии»/ Рудольф Бауэр, Фридун Кершбаумер, Зепп Пойзель. — 4. — Москва: 2015. — 400 с.
Основные термины (генерируются автоматически): голеностопный сустав, большеберцовая кость, медиальная лодыжка, оперативное лечение повреждений, осложнение, поверхностный малоберцовый нерв, разрез длиной.
Корригирующая остеотомия голеностопного сустава. Почему изменяются оси лодыжки?
Зачастую артроз либо травмы хряща в голеностопном суставе появляются вследствие различных деформаций, для которых характерно отклонение кости в лодыжке от линии оптимальной нагрузки. Данная травма приводит к перегрузке некоторых частей суставных поверхностей. Во многих случаях артроз голеностопного сустава развивается в течение длительного времени. В отличие от травм коленного и тазобедренного суставов, причинами деформаций суставного хряща голеностопного сустава становятся различного рода происшествия и неправильно сросшиеся переломы. Повреждение хряща часто встречается у молодых людей, что с годами может привести к усиливающейся боли в лодыжке. Корригирующая операция (остеотомия) может своевременно восстановить сустав и скорректировать нагрузочную ось. Таким образом хирурги Геленк Клинки в Германии могут предотвратить травмы суставного хряща, ещё до их появления.
Причины изменения оси лодыжки
Отклонения оси в голеностопе появляются вследствие аварий либо неправильно сросшихся переломов таранной (Talus) либо пяточной (Calcaneus) костей. Другими причинами данной деформации могут стать разрывы внешних связок и растяжения.
Травмы стопы также могут спровоцировать начало данной патологии. Кроме того, смещения в голеностопном суставе могут появиться из-за внешней деформации пяточной кости, которая возникает вследствие плоско-вальгусной деформации.
Поэтому раны на голеностопе заживают лишь от части. Результатом данных травматических повреждений зачастую являются смещение оси ног, травмы связок лодыжки или сухожильно-мышечные травмы. Все последствия замечаются только спустя несколько лет. Когда пациенты проходят обследование в Геленк Клинике, врачи часто диагностируют последствия травм, перенесённых несколько лет назад. Для того, чтобы пошагово спрогнозировать лечение, необходимо знать причину боли в стопе.
Диагностика травм голеностопного сустава?

Артроскопическая операция на лодыжке, а также современные визуализационные методики облегчают диагностику и анализ травм в голеностопном сустава. Рентген под нагрузкой показывает положение отдельных костей лодыжки относительно друг друга. Вслучае развития артроза, на рентгене просматривается сужение суставной щели. Если врач своевременно установит причину боли в стопе, он сможет предпринять целенаправленные меры, чтобы избежать обширного повреждения суставного хряща.
В чём заключается цель хирургического лечения?
Целью профилактического лечения молодых пациентов или в общем активных людей является предотвращение травм суставного хряща. Специалисты Геленк Клиники в г. Фрайбург сделают всё возможное, чтобы избежать операции на верхнем голеностопном суставе. Операции по эндопротезированию также должны проводиться в более зрелом возрасте. Неравномерные нагрузки на голеностоп вследствие изменения оси лодыжки могут быть нормализованы в рамках корригирующей остеотомии.
Операция по коррекции оси лодыжки

Рентген после корригирующей операции пяточной кости. Остеотомия деформированной кости может восстановить линию нагрузки нижней конечности. © Gelenk-Klinik
Перед операцией по коррекции оси лодыжки проводится точный анализ сегмента голеностопного сустава с наиболее серьезным смещением. В данном случае целью хирургов Геленк Клиники является нормализация параметров мышечной тяги во время статических и динамических нагрузок. Индивидуально подобранный концепт лечения поможет предотвратить дополнительные травмы суставного хряща. При наличии деформаций лодыжки важно обращать внимание не только на ось центра тяжести. Именно на стопе, которая имеет довольно сложное строение, необходимо проводить точную диагностику.
Анатомически между передним и задним отделом стопы наблюдается торсионный процесс (перекрут). Это значит, что обе оси лодыжки скручены друг против друга. В зависимости от формы (напр. полая стопа) оси переднего отдела стопы все сильнее поворачиваются по отношению к заднему отделу.
Из этого следует, что для оценки состояния лодыжки под нагрузкой важное значение имеет не только положение тазобедренного, коленного или голеностопного суставов. Расположение пяточной кости по отношение к переднему отделу стопы имеет решающую роль, так как в этом случае на голеностопный сустав оказываются самые сильные нагрузки.
Корригирующая операция на примере деформации пяточной кости
Деформации задней части стопы по отношению к переднему отделу должны лечиться в рамках операции. Смещение или наклон пяточной кости сможет выровнять голеностопный сустав и улучшить коэффициент нагрузки. В дополнение к данной операции на лодыжке иногда требуется коррекционное вмешательство на переднем отделе стопы. Таким образом, несмотря на изменённое положение стопы пациент может нормально ступать на ногу.
Доктор Шнайдер и доктор Ринио являются специалистами в данной области и обладают долголетним опытом в проведении подобных операций.
Остеотомия как частный случай остеопластики
Остеотомия — хирургическая операция, направленная на устранение деформации или устранение анатомических и функциональных нарушений путем искусственного перелома кости и корректного сращивания. Т акая операция проводится для лечения как врожденных, так и приобретенных патологиях, например, при неправильно сросшихся переломах.
Показания к остеотомии:
- неправильно сросшиеся костные переломы;
- анкилозированные суставы;
- изменение, укорочение конечности;
- рахитические искривления;
- формирование ложного сустава;
- остеомиелит;
- остеоартроз, спондиоартроз;
В зависимости от цели хирурга и клинической картины пациента, могут проводиться следующие виды остеотомии:
- клиновидная;
- линейная (косая и поперечная);
- шарнирная (может быть дугообразной, то есть сделанной в одной плоскости, либо углообразной, сферической — в нескольких плоскостях);
- лестничная;
- Z-образная;
- деротационная.
По назначению выделяют:
- Корригирующую остеотомию — для исправления деформации после осложнений, которые привели к неправильному сращению.
- Шарнирную остеотомию — операция по удлинению конечностей..
Выбор метода зависит от типа патологии, объема и области для хирургического вмешательства — таз, челюсть, бедро и т. д. Чаще всего операция направлена на то, чтобы восстановить функцию опорно-двигательного аппарата, убрать деформации костной ткани.
Для уравнивания длин нижних конечностей выполняется остеотомия по принципу косого разрезания кости в обязательном сочетании с внеочаговым компрессионно-дистракционным остеосинтезом. Конструкция для остеосинтеза подбирается для каждого пациента индивидуально.
Ход операции
Инструментами служат остеотомы (долота) с желобообразным или плоским сечением, пилки Джильи, УЗ-приспособления для рассечения костей, электрические медицинские пилы. После фрагментирования костей в ходе остеотомии требуется их фиксация, для чего применяются спицы, пластины, винты или специальные аппараты. В некоторых случаях дополнительно накладывают гипсовые повязки, однако этого стараются избегать, чтобы не причинять дискомфорт пациентам и устранить риск развития суставных контрактур. Обезболивание — общий наркоз или местная анестезия, все зависит от общего состояния здоровья пациента и объема вмешательства.
Открытая остеотомия
Формируется широкое операционное поле, кость обнажается, отделяется надкостница и выполняется рассечение в нужной области. Фрагменты соединяются металлоконструкциями или накладывается гипсовая повязка.
Закрытая методика
Наружный разрез на коже минимален — 2-3 см. Над местом предполагаемого рассечения кости расслаивают мышечную ткань. Долото устанавливают продольно для рассечения надкостницы. После этого инструмент поворачивают перпендикулярно кости и рассекают ее несколькими ударами молотком по долоту. Близлежащие мягкие ткани, нервы и сосуды с целью предотвращения их повреждения защищают специальными инструментами.
Остеотомии также классифицируются по целевому назначению на: корригирующие (например, при неподвижности коленного сустава), направленные на улучшение опорной функции, укорочение кости или ее удлинение, деротационные и др.
Если у пациента присутствует явное искривление большого пальца стопы, ему показана проксимальная корригирующая остеотомия. Она проводится для коррекции первой плюсневой кости и нужна при следующей симптоматике:
- невозможность надевать обувь;
- болевой синдром;
- неправильная походка;
- бурсит.
Остеотомия верхней и нижней (плоскостная) челюстей может выполняться только на одну из челюстей или на обе одномоментно. Она показана при аномалиях развития, серьезных проблемах с прикусом, имеющихся негативных последствиях от проведенных ранее операций, смещениях, переломах. Хирургическое вмешательство может быть полным или фрагментарным. В результате после операции у пациентов облегчается процесс откусывания и пережевывания пищи, снижается срок износа зубов, устраняется риск разрушения зубов из-за плохого прикуса, нормализуется соотношение между челюстями, что хорошо сказывается на внешности в целом, снижается риск развития болезней височно-нижнечелюстного сустава.
Реабилитация после остеотомии
Рассмотрим период восстановления после операции на примере корригирующей остеотомии.
Пациент находится в стационаре под наблюдением врачей от 3-х до 7-ми дней. В это время проводится регулярная обработка операционной раны, даются обезболивающие препараты, антибиотик и средства против тромбоэмболии. Важно как можно раньше начать вставать, не залеживаться.
После выписки пациент должен на дому продолжить прием прописанных препаратов. На 10-14-й день снимают швы. Далее показана реабилитация — использование костылей до 6-12 недель, регулярное посещение врача для осмотров. Тяжелая физическая нагрузка будет разрешена только спустя 6-8 месяцев после операции. Иногда установленные металлоконструкции по прошествии 1-2 лет удаляются.
Возможные осложнения
Некоторые осложнения возникают уже во время проведения остеотомии, другие — в реабилитационном периоде.
- Неправильное сращение костей. Происходит по причине неправильной фиксации фрагментов костной ткани во время операции. При таком осложнении нужно повторное вмешательство.
- Несращение костей. Может возникнуть из-за тяжелых сопутствующих патологий, курения, нарушенного кровоснабжения прооперированного участка, остеопороза. Для лечения проводится повторная операция и назначается специальная реабилитация.
- Компартмент-синдром. Возникает, если во время хирургической манипуляции мышцы сильно сдавливались жгутом. Для лечения назначают определенные препараты, если случай тяжелый, проводят фасциотомию.
- Неправильная работа суставов, расположенных рядом с операционным полем. Такое осложнение характерно для отсутствия или нарушения правил реабилитации. Назначается ЛФК.
- Инфекции. Их могут заносить во время оперативного вмешательства или при неправильном уходе за раной. Для лечения назначают антибиотик, в тяжелых случаях потребуется ревизионная операция.
- Повреждение нервов — ошибка хирурга или особенность расположения нервных окончаний у пациента. Восстановить функцию поврежденного нерва нельзя.
- Тромбоэмболия. Происходит при неправильном назначении антикоагулянтов, позднем вставании с кровати, невозможности ношения компрессионного трикотажа. Чтобы устранить такое осложнение, нужно высокие дозы антиагрегантов и антикоагулянтов.
Хирургическое лечение предполагает рассечение и последующее соединение тканей в ходе операции. Основные принципы оперативной .
При варикозе стенки сосудов нижних конечностей расширяются, деформируются, снижается их функция. Чаще всего заболевание .
Невринома (шваннома) - доброкачественная опухоль, которая развивается из шванновских клеток. Отличается медленным ростом, в .
Артродез голеностопного сустава
Используются специальные винты, спицы, штифты. В результате суставные поверхности срастаются друг с другом под заданным углом - сочленение становится полностью неподвижным, уходит сильная боль, решается проблема нестабильности стопы.
Операцию по артродезу голеностопного сустава проводят двумя способами:
- классическим, или открытым, (компрессионный, трехсуставный) - через большие разрезы;
- артроскопическим - с помощью артроскопа через небольшие разрезы.
Показания к операции
Артродезирование голеностопного сустава назначают при обнаружении следующих патологий:
- первичный артроз 3-4 степени;
- посттравматический артроз;
- хронический артрит в тяжелой форме;
- постоянная боль в суставе с усилением при небольших нагрузках;
- хромота, вызванная деформацией сустава;
- ограничение сгибательно-разгибательных движений;
- нарушение опорной способности стопы, разболтанность;
- паралич мышц голени на фоне полиомиелита;
- неправильное сращение перелома.
С помощью оперативного вмешательства устраняется стойкий болевой синдром, восстанавливается двигательная функция после продолжительного ограничения.
Противопоказания
Артродез голеностопного сустава не рекомендуется в следующих ситуациях:
- возраст больного до 12 лет (кости и мышцы активно развиваются);
- в зоне вмешательства инфекция или воспаление;
- обострение инфекционных заболеваний;
- тяжелые формы почечной, легочной или сердечной недостаточности;
- сахарный диабет;
- непереносимость анестезии.
Виды артродезирования
- Внутрисуставный. Во время операции капсула сустава вскрывается, поврежденный хрящ удаляется. Кости скрепляются в правильном положении с помощью металлических приспособлений.
- Внесуставной. Фиксация сочленения осуществляется с помощью костного трансплантата, резекция хрящевых покровов не требуется.
- Комбинированный. Сочетает действие внутрисуставного и внесуставного метода. Структуры хряща полностью очищаются с поверхности сустава, устанавливается аутотрансплантат, который крепится металлическими пластинами.
- Компрессионный. Сочленяющиеся поверхности сдавливаются специальным аппаратом - создаются условия для сращения. Применяются аппараты Илизарова, Гришина. Внедрять трансплантат не требуется.
Подготовка
Перед операцией пациенту назначают прохождение диагностических мероприятий:
- анализы крови и мочи;
- МРТ, КТ и рентген сустава в нескольких плоскостях;
- ЭКГ;
- консультации у кардиолога, пульмонолога, анестезиолога.
За неделю до хирургического вмешательства временно прекращают принимать препараты для разжижения крови. Ужин накануне должен быть за 6-8 часов до операции.
Ход хирургического вмешательства
В соответствии с традиционной методикой артродез голеностопного сустава выполняют под общим наркозом открытым способом. Процедура длится 2-3 часа.
- На нижнюю треть бедра накладывают жгут. Скальпелем делают линейный разрез длиной 10 см вдоль сустава.
- Выполняют вскрытие и вращение сустава.
- Подготавливают поверхности таранной и большеберцовой костей. Проводят резекцию хрящевых тканей с помощью хирургического долота, устраняют окостенелости.
- Стопу выводят из неправильного положения. Таранную и большеберцовую кости сочленяют друг с другом в физиологически удобной позиции. Скрепляют металлическими приспособлениями.
- Послойно ушивают мягкие ткани, устанавливают дренаж.
При сильной деформации прибегают к остеотомии малой берцовой кости. Потери костной ткани восполняют трансплантатами - биологическим материалом, который берут у пациента. Если применяются системы наружной фиксации (аппарат Илизарова), гипсование не требуется. При использовании внутренних имплантатов из металла на конечность накладывают гипс. Скорость сращения костей зависит от индивидуальных особенностей пациента. Полное сращение происходит через 3-6 месяцев.
Артроскопический артродез выполняется с помощью артроскопа через небольшие разрезы. Метод характеризуется малой травматизацией тканей, быстрым периодом реабилитации, сниженными рисками осложнений. Хирургическое вмешательство выполняют под спиральной анестезией или общим наркозом.
Хирург удаляет гиалиновый хрящ и суставные части. Стопу ставят в нейтральное положение и фиксируют винтами. Первый винт соединяет таранную и большеберцовую кость, второй - таранную и малоберцовую кость. После операции на разрезы накладывают швы, раны закрывают повязками, обеспечивают обездвиживание.
Реабилитация
После артродеза голеностопа, начиная с первых суток, назначают занятия ЛФК. Упражнения препятствуют атрофии мышечной массы, являются профилактикой тромбообразования, исключают застой в легких. При длительном обездвиживании и малой активности пациента результаты будут плачевными.
В первое время ЛФК заключается в дыхательной гимнастике. Также больной выполняет изометрические упражнения, которые способствуют укреплению бедренных и голенных мышц. Занятия проводятся под контролем специалиста. Со временем нагрузка увеличивается, добавляются новые упражнения.
Во время реабилитации назначают медикаментозное лечение:
- препараты против развития инфекций;
- симптоматические средства;
- препараты против тромбоэмболических осложнений.
Начиная со вторых суток, пациенту разрешено занимать вертикальное положение. Ходить можно с опорой на костыли, нагрузка на поврежденную поверхность не допускается. Только при появлении первых признаков сращения костей (примерно через 6 недель) возможна осевая нагрузка на ногу. Нормально ходить человек сможет спустя 4-6 месяцев после операции. Через 6-12 месяцев назначают снятие металлических конструкций. Внутренние фиксаторы не требуют извлечения. Полное восстановление происходит через 15-18 месяцев.
Чтобы ускорить заживление тканей назначают физиотерапевтические процедуры: УВЧ, электрофорез, магнитотерапию, лазеротерапию.
После артродезирования голеностопа могут возникнуть гематомы, инфекционные осложнения, флеботромбоз, тромбоэмболия, некроз окружающих тканей, нарушение чувствительности. Последствия после стандартной операции возникают чаще, чем после артроскопических операций.
Сравнительная таблица негативных реакций после артродеза и артроскопии в течение первых 3 недель:
Читайте также:
- ЭхоКГ в реанимации (ОРИТ) при боли в груди
- Свойства менингококков. Антигенная структура менингококков. Антигены менингококков. Полисахариды капсулы. Белки клеточной стенки менингококков.
- Гипогликемия у детей. Аномалии селезенки
- Принципы лечебной тактики при сочетанной травме.
- Плоский лишай. Клиника и диагностика плоского лишая полости рта.
