Техника, этапы операции эндопротезирования голеностопного сустава трехкомпонентным протезом (протез HINTEGRA)
Добавил пользователь Владимир З. Обновлено: 21.01.2026
Голеностопный сустав подвергается сильной нагрузке при ходьбе. С возрастом хрящевая ткань в нем видоизменяется, истирается и больше не восстанавливается. Ситуация ухудшается после травм. Вылечить запущенную форму артроза консервативно невозможно. В таких случаях рекомендуют эндопротезирование. Что это за операция, как она проходит и каковы прогнозы?
Эндопротезирование голеностопного сустава делают при запущенных стадиях артроза
В каких случаях показано эндопротезирование
Артрозу подвержен верхний голеностопный сустав, образованный из непосредственно голеностопного сустава, большеберцовой и малоберцовой костей. На поздних стадиях пациенты страдают от хронических болей и не могут нормально передвигаться. Если консервативная терапия бессильна, им рекомендуют замену верхнего голеностопного сустава. После операции:
- боли затихают;
- нормализуется походка, хоть и полностью восстановить подвижность невозможно;
- пациент снова может выполнять ежедневные задачи.
Около 90 % пациентов остаются довольны результатами эндопротезирования голеностопа
Виды артроза голеностопа
Артроз голеностопа возникает не только из-за возрастных изменений в суставах. Его могут спровоцировать травма хряща, растяжение связок, вальгусное плоскостопие, ревматизм. К остеоартрозу приводят также искривленное положение оси ног, нарушение обмена веществ, ревматизм и другие патологии.
Различают несколько разновидностей артроза голеностопного сустава. В зависимости от его вида пациенту подбирают подходящий метод хирургического вмешательства.
- При концентрическом артрозе таранная кость находится по центру.
- При эксцентрическом - она смещена.
- Бывает также заднее и переднее центрирование.
- Вальгусный и варусный артроз.
Если заболевание сопровождается некрозом кости и зашло в запущенную стадию, эндопротезирование бессмысленно. По результатам диагностики врач принимает решение, оценивает состояние связок, положение заднего отдела и свода стопы: операция показана далеко не всегда и помогает далеко не всем.
К операции по замене голеностопного сустава нужно серьезно подготовиться
Какие есть варианты лечения
При артрозе голеностопа практикуют такие виды эндопротезирования сустава:
- Установка протеза из титана с подвижной сердцевиной из полиэтилена. Вариант подходит, даже если хрящ полностью истерся. Технология эндопротезирования голеностопа сильно усовершенствовалась за последние 10 лет и постепенно начала вытеснять «золотой стандарт» (артродез).
- Артродез - терапевтическое обездвижение для того, чтобы снять болезненность при нагрузке на сустав. После операции походка нарушается, увеличивается нагрузка на тазобедренный и соседние голеностопные суставы. Период реабилитации - не менее 4 месяцев. Артродез приходит на помощь, если эндопротезирование противопоказано.
- Остеотомия - изменение таранной и пяточной костей так, чтобы переместить здоровые хрящи в область главной нагрузки и сохранить сустав.
Что лучше - эндопротезирование голеностопного сустава или артродез? Рассуждения эксперта - в видео:
Особенности современного подхода к эндопротезированию голеностопа
При эндопротезировании удаляют малую часть таранной кости, а губчатая костная ткань срастается с поверхностью эндопротеза. Чем плотнее кость, тем более стабильным будет протез.
В последние годы возможности эндопротезирования расширились, операционные методы лечения остеоартроза стали более прогрессивными. Хирурги-ортопеды прибегают к сопроводительным мерам для улучшенной фиксации протеза. В их числе - коррекция опоры, пластика большеберцовой коллатеральной и наружной связок, рефиксация и подтяжка связок, другие операции, улучшающие стабильность в положении стоя, при максимальной нагрузке на протез. Подобные мероприятия проводят за несколько месяцев до эндопротезирования.
Чтобы протез прослужил максимально долго, на подготовительном этапе хирурги устраняют деформации, полученные вследствие аварий и травм. Чем больше отклонений оси от нормы, тем быстрее наступит износ протеза. Поэтому врачи стремятся правильно выставить задний отдел стопы и избавиться от деформаций.
Эндопротезирование проходит успешно при таких условиях:
- щадящий режим голеностопного сустава;
- средний уровень активности;
- достаточный объем костных тканей в суставе;
- удовлетворительное состояние сосудов ног (при плохом кровоснабжении возникнут сложности с заживлением раны);
- высокая степень подвижности верхней области голеностопа;
- достаточная стабилизация сустава связками.
Относительные противопоказания к эндопротезированию такие:
Курение - мощный неблагоприятный фактор при эндопротезировании голеностопа
Как устроены современные эндопротезы голеностопа
Ранее пациентам устанавливали металлические протезы, которые плохо держались на цементе и не давали нужного результата. Сегодня хирурги-ортопеды используют только протезы третьего поколения, которые полностью срастаются с костью и надежно фиксируются, обеспечивая суставу естественную биомеханику.
- На таранную кость надевают специальную металлическую крышку.
- Поверхность большеберцовой кости накрывают металлической пластиной.
- Третий компонент протеза - это свободно двигающийся полиэтиленовый сердечник.
Водить автомобиль вы сможете не ранее чем через 2 месяца после операции
Как проходит операция
Эндопротезирование проводят под общим или местным наркозом. Пациент лежит на спине. Ногу перетягивают манжетой, чтобы предотвратить поступление крови (если операция будет затяжной). Для получения моментального изображения хирург использует мобильный рентгеновский аппарат под стерильным покрытием, что позволяет контролировать ход операции и локализацию протеза.
- Хирург делает надрез вдоль передней части сустава и ведет его вниз до тыльной части стопы.
- Сухожилия над суставом сдвигают в сторону.
- Открывают суставную капсулу, убирают часть костной ткани, чтобы получить хороший обзор.
- С помощью рентген-аппарата и специальных инструментов определяют ось и положение заднего отдела стопы для имплантации.
- Таранную кость покрывают металлическим колпачком (внутри него есть металлические штифты, позволяющие совершать движения).
- Поверхность сустава большеберцовой кости покрывают защитной металлической пластинкой, оба компонента также покрывают специальным слоем для надежного сращивания костной ткани.
- Устанавливают подвижное скользящее ядро.
После эндопротезирования пациент проводит в больнице 5-7 дней
Можно ли заниматься спортом с протезом голеностопа
После эндопротезирования пациенту выдают ряд ограничительных рекомендаций. Самое главное - отказаться от подъема тяжестей более 20 кг. Желательно носить специальную обувь, которая обеспечит стабильность при ходьбе, - особенно в первое время. В период восстановления могут назначить физиотерапевтические процедуры и лимфодренаж.
По окончании восстановительного периода, как правило, разрешают:
- ходить на лыжах;
- плавать;
- ездить на велосипеде;
- бегать трусцой;
- заниматься треккингом;
- играть в гольф.
После эндопротезирования про футбол, теннис или скоростной слалом придется забыть
Каковы прогнозы?
Несмотря на новейшие технологии оперирования, прогнозы не очень утешительны. В 90 % случаев протез служит не более 8 лет. Повторные операции проводят нечасто - всего в 6-8 % случаев. Значит, по истечении этого времени пациент снова испытает боль и вспомнит об ограниченной подвижности.
После эндопротезирования бывают и осложнения. Рана над новым протезом заживает не быстро, голень отекает, не редкость и нагноение, образование сгустков крови и тромбозов. Иногда протез самопроизвольно теряет фиксацию, проседает и неожиданно быстро изнашивается. Поэтому опытные врачи рекомендуют пациентам хорошо подумать, прежде чем решиться на операцию. Во многих случаях избавиться от боли и вернуть подвижность суставу можно с помощью протеза синовиальной жидкости, без хирургического вмешательства.
Противопоказания к замене сустава абсолютные и относительные: почему не допускают к операции
Эндопротезами называют искусственно произведенные приспособления, предназначенные для замены определенных внутренних органов человека и полноценно выполняющие их функцию. Так протезы тазобедренных суставов позволяют пациентам, перенесшим операцию, выполнять весь тот комплекс движений, который выполняют люди без патологий в этой области. Кроме того, протезирование избавляет от болей и дискомфорта, благодаря чему становиться возможным возвращение к полноценной активной жизни.

Такой вид вмешательства может быть показан во многих случаях: при заболеваниях опорно-двигательного аппарата или после перелома шейки бедра, если его двигательная функция была частично или полностью утрачена.
Несмотря на все результаты, которых достигают при помощи операции, назначают ее не всегда. Дело в том, что она имеет множество противопоказаний и факторов риска.
Основные (абсолютные) противопоказания
Абсолютными противопоказаниями считаются те, наличие которых однозначно препятствует проведению операции. В данных ситуациях она либо бесполезна, либо существует высокая вероятность усугубления уже имеющихся патологий.
К таким случаям относят:
- Клинические состояния, при которых пациент не имеет способности самостоятельно передвигаться, но причина этого не связана с дефектом тазобедренного сустава. Проводить процедуру нецелесообразно, так как возобновить двигательную активность человека она не поможет.
- Хронические заболевания в стадии декомпенсации (этап, при котором приспособительные механизмы какого-либо органа исчерпали свои возможности, и он больше не может функционировать нормально из-за присутствующего дефекта). Препятствием к хирургическому вмешательству может быть наличие:
- сердечной недостаточности (3-я ступень);
- тяжелых пороков сердца с выраженным нарушением ритма;
- трехпучковой или предсердно-желудочковой блокады 3-ей степени (патология проводимости);
- расстройств мозгового кровообращения на фоне неврологического дефицита;
- болезней мочевыделительной системы, при которых, в том числе, нарушена азотовыделительная функция почек;
- почечной недостаточности 2-ой или 3-ей степени;
- печеночной недостаточности 2-ой или 3-ей степени;
- патологии органов эндокринной системы (щитовидная железа, надпочечники и др.), не поддающихся лечению (например, сахарный диабет);
- хронических заболеваний легких, при которых ярко выражена дыхательная недостаточность (астмы, эмфиземы, пневмосклероза, бронхоэктатической болезни и т.д.);
- воспалительных процессов в области пораженного тазобедренного сустава (кости, кожа или мягкие ткани);
- инфекции в прилегающей к суставу зоне в активной или латентной фазе (давность до трех месяцев);
- очагов хронических инфекций в организме, требующих санации (гайморит, отит, кариес, кожное заболевание, тонзиллит и др.); -инфекции;
- септических реакций и состояний (связано с высоким риском возникновения нагноения в районе эндопротеза);
- пареза или паралича конечности;
- выраженного остеопороза на фоне недостаточной прочности костей или незрелости скелета (операция по эндопротезированию не сможет уберечь таких пациентов от опасности переломов);
- полиаллергии (перекрестных аллергических реакций на различные лекарственные препараты);
- дефекта бедренной кости, связанного с отсутствием в ней мозгового канала;
- тромбофлебита или тромбоэмболии нижних конечностей в острой форме;
- психических или нейромышечных расстройств;
- технической невозможности установки протеза.
Относительные противопоказания
Относительными противопоказаниями считаются факторы, которые не препятствуют установке протеза, но являются поводом проведения для более детальных исследований и рассмотрения возможности операции в индивидуальном порядке.
К таким показаниям принято относить случаи:
- онкологических заболеваний;
- хронических соматических патологий (иногда);
- печеночной недостаточности легкой формы;
- гормональной остеопатии;
- некоторых технических трудностей установки протеза; .

Современные разработки в области медицины и ортопедии позволяют проводить уникальные операции даже при наличии этих факторов. Со временем многие особенности и вовсе перестают причислять к противопоказаниям.
Реализация индивидуального подхода
Сейчас каждый медицинский работник понимает, что все случаи заболеваний или травм имеют свои особенности и требуют индивидуального рассмотрения. Если раньше относительные противопоказания являлись причиной для однозначного отказа в проведении эндопротезирования, то сегодня шанс вернуться к полноценной жизни есть у гораздо большего числа пациентов. При общении с больными специалисты выясняют, какой образ жизни вел человек до обращения за медицинской помощью, имеет ли он какие-либо генетические особенности и предрасположенности и т.д.
Особого внимания заслуживают ситуации, когда протез желает установить пациент, страдающий 3-ей степенью ожирения.
Дело в том, что послеоперационный период у таких людей ничем не отличается от аналогичного периода у тех, кто проблем с лишним весом не имеет. Но повышенная механическая нагрузка на имплантат может привести к его быстрому повреждению; а расшатывание является поводом для повторного вмешательства и замены устройства.
Важно понимать, что иногда люди хотят избавиться от лишних килограммов, но не могут этого сделать в силу каких-либо особенностей организма. Нередко причиной набора веса является именно тот дефект, который требует протезирования, ведь для похудения необходима двигательная активность. Поэтому таких пациентов сейчас тоже оперируют, если других причин для отказа нет.
После хирургического вмешательства люди, безуспешно борющиеся с лишним весом долгие годы, начинают худеть. Сама процедура является мощнейшим стрессом для организма, препараты для облегчения болевого синдрома тоже этому способствуют, как и постепенное увеличение физических нагрузок в период реабилитации. А нагрузку на имплантат помогают снизить костыли.
Технические трудности (искривленные и очень узкие костномозговые каналы бедренных костей или тонкие кости таза) тоже препятствуют проведению эндопротезирования все реже. Эти особенности сегодня учитывают практически все известные производители устройств, компенсирующих врожденные и приобретенные дефекты строения суставов.
Главное, что определяет возможность протезирования - соотношение риска и пользы. Если патология исключает возможность нормального передвижения, а риск минимален - операция, вероятнее всего, будет проведена. При этом обо всех возможных последствиях пациента и его близких родственников предупреждают заранее, так их решение тоже имеет очень большое значение, и оно должно быть осознанным и обдуманным.
Что такое эндопротезирование тазобедренного сустава от: как проводится операция
Это высокотехнологичное оперативное удаление родного нежизнеспособного сустава с последующей имплантацией искусственного ТБС (эндопротеза). Во всем мире ежегодно выполняют до 500 тыс. подобных вмешательств людям с патологиями тазобедренного сустава, отзывы о лечении достаточно хорошие. Процент развития серьезных послеоперационных осложнений ничтожно мал - 1-2 %, что внушает большие надежды на успех.
Видео разрушения ТБС:
Ревизионная хирургия назначается в связи необходимостью замены изношенного протеза по окончании срока эксплуатации или вышедшего из строя устройства по причине возникших осложнений (инфекции, травм и пр.).

Показания
Если консервативное лечение уже не в силах улучшить качество жизни, хирургия является единственным способом возобновления нормальной амплитуды движений и ликвидации боли. Основные показания следующие:
- деформирующий артроз, или коксартроз (одна из самых частых причин дегенеративно-дистрофической природы); и любого другого системного генеза дегенеративно-дистрофические патологии с дислокацией в ТБ отделе; (вторая по распространенности проблема, нуждающаяся зачастую в срочной установке эндопротеза);
- врожденная или приобретенная дисплазия (вывих) ТБС (преимущественно встречается первый тип аномалии); , то есть омертвение хряща вследствие локального нарушения кровообращения.

Один из видов перелома шейки бедра.
При переломах шейки перспективы на восстановление самые что ни на есть отличные, поскольку до травмы хромоты еще не было.

Пожилым людям такое лечение может существенно продлить жизнь за счет сохранения движения.
Еще недавно после переломов ТБС пациент был приковыван к постели, где он доживал максимум свой последний год. В травматологии, попросту не было еще способа установки искусственного сустава. Сегодня если своевременно поменять шейку сустава вместе с головкой бедра на долговечный имплантат, человек продолжает жить как и до травмы. Особенно актуальным такая хирургия является для пожилых людей, у которых срастание костей проблематично.

Поверхность головки ТБС на последней стадии артроза.
Процедура учитывает возрастное бессилие организма - агрессивным методам наркоза (общей анестезии) пожилого человека не подвергают, обезболивание может проводиться при помощи высокоэффективной и безопасной местной анестезии. После операции разрешается ранняя активизация пациента, при этом реабилитация проходит относительно легко и быстро.

Двухсторонний коксартроз, обратите внимание на симметричное отсутствие суставной щели обоих суставов.
Отметим, жидкое протезирование не лечит суставы. Если кто-то все еще надеется на чудодейственное исцеление необратимых изменений посредством внутрисуставных инъекций, раскроем секрет, он попросту теряет деньги и время. Хрящ уже не восстановится, если имеется коксартроз 3 степени, и уколы здесь делать бессмысленно.
Противопоказания
Их не много, что дает возможность довольно широко применять методику, дарить пациентам свободу и легкость движений, причем даже людям преклонных лет:
- сердечный порок с критическим сбоем ритма сердца;
- тяжелой формы дыхательная и сердечно-сосудистая недостаточность;
- хронические заболевания в декомпенсированной фазе;
- сложно поддающийся контролю сахарный диабет;
- местные инфекционные и воспалительные процессы;
- общие инфекционно-воспалительные патологии в обострении;
- серьезные психические нарушения;
- ярко выраженный остеопороз костных тканей; ; (условное противопоказание);
- непереносимость материалов эндопротеза и используемых медикаментов.
Лучшие клиники эндопротезирования тазобедренного сустава, например, в Чехии, Германии, Израиле, принимают людей, которым было отказано в лечении в медучреждениях на территории своего государства.
Виды операций
В зависимости от характера поражений ТБС подбирается хирургическая техника. Если необходима полная замена, будет применен тотальный эндопротез; если обновление поверхности головки, тогда берется поверхностного вида имплантат; и т.д.
Разные виды, от частичного, до онкологического.
Хирургический подход может быть:
Малоинвазивный способ
В таком медицинском направлении, существует две хирургические техники выполнения артропластики:
Оперировать технически намного проще, если операционная рана будет большой. Поэтому ортопеды-травматологи утверждают, что классическая процедура на крупных суставах, все же, в неоспоримом приоритете.
Во многих клиниках практикуют малоинвазивный подход, используя почти в 2 раза меньший разрез, чем при традиционном вмешательстве. Однако и передовые хирурги с достаточным опытом все больше сходятся во мнении, что лучше лишний раз не рисковать, а использовать проверенную, традиционно устоявшуюся тактику, стандарт протезирования - создавать аккуратный разрез с прямого бокового доступа, длиной приблизительно в 13 см.
Согласно минимально инвазивному приему разрез равен примерно 7 см. Наиболее часто применяемые доступы, обеспечивающие менее травматичный с точки зрения физиологии подход, задне- и переднебоковые. Достоинствами миниинвазивного вида являются сохранность отводящих мышц, компактность операционной раны, ускоренный темп реабилитационного восстановления. Клинические исследования показывают, что интраоперационные кровопотери при щадящем вмешательстве незначительные, болевой синдром в постоперационную фазу менее выражен по сравнению со стандартной процедурой.

Наглядное сравнение размеров разрезов при классической(справа) и малоинвазивной(слева) методике.
Госпитализация
Всю необходимую информацию относительно подготовительных предоперационных мероприятий предоставляет лечащий доктор. Также на этой стадии хирург определяется с выбором эндопротеза и планирует каждый шаг, а анестезиолог подбирает подходящий вид анестезии на основании показателей здоровья пациента.
В клинике поступившего больного тщательно обследуют различные специалисты:
- осмотр у основного специалиста (ортопеда-травматолога);
- рентген, МРТ, УЗИ т/б сустава, при необходимости эндоскопическое обследование проблемного отдела;
- консультация узкопрофильных врачей (терапевт, кардиолог, иммунолог, анестезиолог, стоматолог, гастроэнтеролог и пр.);
- общий и биохимический анализ крови;
- коагулограмма (определяет работу системы гемостаза, в частности механизм и время свертываемости крови);
- тест на группу и резус-фактор крови;
- клинический анализ мочи;
- флюорография;
- электрокардиограмма.
Анестезия
Теперь осветим главные моменты, касающиеся наркоза, который применяется при замене двух тазобедренных суставов. По правилам допускается использование общей (полной эндотрахеальной), спинальной, эпидуральной анестезии или комбинацию двух последних видов.
К первому методу обращаются в крайне редких случаях, почти 90% операций выполняется либо под спинальным, либо под эпидуральным обезболиванием, оба подхода относятся к местному (регионарному) типу наркоза и не сопровождаются отключением сознания.
- Если вам будет показана спинальная анальгезия, тогда в субарахноидальное пространство позвоночника будет внедрена ультратонкая игла, через которую анестезиолог в спинномозговую жидкость произведет введение оптимальной дозы раствора-анестетика, за счет чего произойдет блокада передачи нервных импульсов.

Сам укол практически безболезненный.
- Если эпидурально, тогда наркоз будет подаваться через тонкий катетер в перидуральное пространство позвоночного столба. Такой прием приводит к полной потери болевой чувствительности в активной зоне оперирования.

Частичный наркоз лучше как для врача, так и для пациента.
Ход операции
Хирург самостоятельно определяет, по какой технологии производить замену, какой применить доступ и какую модель импланта устанавливать, исходя из конкретной клинической ситуации. А сейчас проведем краткое описание этапов хирургии.
- После действия анестезии и широкой антисептической обработки кожных покровов, коагулятором или скальпелем выполняется разрез по межвертельной линии до открытия сустава.
- Далее выполняется под правильным углом и уровнем пересечение бедренной кости в зоне шейки. Разверткой врач создает канал в подвергнувшемся остеотомии трубчатом элементе.
- Затем в созданный выпор вставляют клиновидную ножку, которая идеально должна совпадать с его параметрами, поэтому обработка данной кости должна пройти на безупречном уровне. На конусообразную верхушку ножки насаживается шаровидное тело имплантата.
- Сзади или спереди, в зависимости от примененного доступа, бедро смещают в сторону и приступают к подготовке вертлужной впадины. Используя долото и фрезы, специалист всецело удаляет гиалиновый хрящ с ее днища. Имплантат (чашу) вставляют в очищенное ложе. В него помещают полиэтиленовый вкладыш.
- Осуществляется вправление компонента бедра в чашку. После в рану ставится дренаж, рассеченные ткани ушиваются, на конечность накладывается повязка.
Принцип хирургии при всех видах оперативных вмешательств, о которых мы упомянули ранее, почти одинаков.

Интересный случай, двухсторонняя замена ТБС, но по разным технологиям. Слева тотальное протезирование, справа поверхностное.
Одновременное двустороннее эндопротезирование ТБС, рекомендуется в исключительно редких ситуациях, операционная травма будет больше, а, следовательно, и риск осложнений возрастет.
Виды фиксации сустава
В ортопедии и травматологии разработаны 3 способа фиксации, это:
- цементный;
- бесцементный;
- комбинированный.
При цементном креплении ваш новый сустав «посадят» на медицинский цемент на основе акрилатов. Замешанный раствор застывает очень быстро, за 10 минут, образуя плотный монолит, отличающийся мегапрочностью. Цементный раствор вводят в канал трубчатого элемента и углубление повздошной кости, а затем на него осуществляют «посадку» структурных единиц, входящих в комплект эндопротеза. Этот прием как нельзя лучше подходит для пожилых людей и пациентов, у которых обнаружен остепороз. Фиксируемые поверхности у таких имплантов глянцевые.

Вертлужные компоненты импланта ТБС, розовая поверхность из керамики, белая из полиэтилена.
Бесцементная фиксация - это самый распространенный прием. Его принцип заключается в заколачивании деталей, у которых поверхность шероховатая, в подготовленные кости. Сразу, естественно, прочной связи с костями не свершится, имплантат должен хорошо обрасти соединительнотканными структурами, на что уйдет до 3 месяцев.

Комбинированное протезирование - это сочетание двух рассмотренных технологий единовременно в ходе одной операции. Подобной версии технология предназначена для тех, у кого обнаружена различная плотность кости бедра и таза. Когда какая-то из костей имеет хорошие показатели минеральной плотности, в то время как другая находится в неудовлетворительном состоянии.

Остеопороз как видите делает кость рыхлее.

Именно состояние кости определяет какой тип фиксации будет использован.
Виды эндопротезов
Эндопротезная продукция, представлена следующими производителями:

Керамика может треснуть, и если этому суждено случиться, то это в равной степени может произойти независимо от производителя импланта, потому что керамика всегда используется одной торговой марки.
Нельзя выделить из числа перечисленных брендов лучшего. Технологический подход, сборка, материалы, разнообразие типоразмеров, видовой ассортимент у всех одни и те же. Любой имплантат располагает самыми отменными техническими характеристиками. Поэтому отдавать свой приоритет какой-то определенной фирме попросту не имеет смысла. Высококачественные составляющие из диоксида циркония для всех моделей из керамики производит крупный концерн Ceramtech (США).

Линейка керамических компонентов.
Пара трения
Пара трения может быть разной: полностью металлической, керамической или в сочетании с полиэтиленом. Подбор узла трения определяется многими критериями: возрастом, весом, полом, физическим статусом, предполагаемым уровнем активности, заболеваниями в анамнезе и характером и тяжестью основной патологии. Больному может быть рекомендована любая из сочетающихся вариаций, фигурирующая в этом списке:
- металл-металл;
- металл-полиэтилен; ;
- керамика-полиэтилен.

Примеры полностью керамической пары трения.
В данном случае изображена комбинированная пара трения с полиэтиленом в качестве вертлужного компонента.
Объективно лучший вариант керамика-перекрестносвязанный полиэтилен. Это - современная комбинация, которая обеспечивает превосходную амортизацию и скольжение, отлично имитируя работу здорового сустава и гарантируя полную амплитуду движений.
Срок службы протеза
При корректно проведенной операции, грамотной реабилитации и строгом соблюдении правильного образа жизни, искусственный аналог тазобедренного сустава прослужит 20-30 лет. По возвращении домой необходимо не забывать об особенном режиме:
- чаще ходить, не допуская переутомления; сказал специалист, который наблюдает вас;
- продолжать заниматься лечебной гимнастикой, освоенной вами еще в медучреждении;
- следить за общим самочувствием и обращаться в больницу при любых недомоганиях, даже если они не связаны с протезированной ногой;
- следить за осанкой в момент сидения и в вертикальном положении;
- не перекрещивать ноги, кроме того, вы должны сидеть после эндопротезирования так, чтобы колени не находились на одном уровне с бедрами и, тем более, не превышали его;
- избегать интенсивных видов спорта, требующих совершения прыжков, поднятия тяжести, резких рывков телом и махов ногами.
Такое лечение позволяет жить активно без боли, но перегибать палку не стоит, потому что может произойти такой износ импланта как на фото.

У слишком активных пациентов со временем может истончиться полиэтиленовый вкладыш, как это изображено на данном снимке.
Эндопротезирование голеностопного сустава
Эндопротезирование голеностопного сустава: показания, подготовка, прогноз
Травма, генетические дефекты и системные патологии - основные факторы развития артроза голеностопа. Если раньше прогрессирование этого заболевания неуклонно вело к инвалидизации, то теперь ортопедическая хирургия предлагает альтернативу - эндопротезирование голеностопного сустава. Замещение нефункциональных суставных поверхностей имплантатами высокого качества позволяет пациенту на годы сохранить активность и избавиться от мучительных болей.

Голеностоп во время ходьбы выдерживает нагрузку, в несколько раз превышающую основной вес тела человека. У легкоатлетов сила, действующая на сустав, может достигать величины в 60 раз больше собственного веса спортсмена. Анатомия и кинематика столь мощной системы весьма сложна - именно поэтому протезирование голеностопного сустава получило активное развитие лишь после создания третьего поколения имплантов, способных срастаться с натуральной костной тканью.
Кому показано протезирование голеностопного сустава
- артроза, развившегося после травмы;
- деформирующего артроза;
- артрита различной этиологии (ревматоидного, подагрического, псориатического и т. д.);
- врожденных аномалий.

Эндопротезирование голеностопа показано при наличии контрактуры или анкилоза. Проведение операции может быть рассмотрено при наличии асептического некроза таранной кости - с предварительным восстановлением ее кровоснабжения, артродезом таранно-пяточного сустава или заменой кости индивидуально изготовленным протезом.
Противопоказания к протезированию голеностопа
- воспалительный процесс в суставе давностью менее 3 месяцев;
- дефекты костей стопы, препятствующие правильному установлению протеза;
- тяжелый остеопороз костей голени;
- развитие псевдоартроза после проведения артродезирования;
- грубые дефекты мягких тканей в области сустава;
- вальгусная и варусная деформация с отклонением от оси более чем на 10°;
- серьезные повреждения связочного аппарата;
- юный возраст - ввиду того, что скелет еще не сформирован.
Последствия отказа от операции сустава
Больные, которым показано проведение протезирования голеностопного сустава, находятся в постоянном стрессе от болевых ощущений, хромоты, необходимости использования трости или костылей. Иногда в страхе перед скальпелем, спинальной анестезией, наркозом больные не дают согласие на оперативное вмешательство при наличии объективных показаний. Оттягивая решение о замене еще частично функционального суставного механизма на имплант, пациент может упустить время. Деформация и разрушение костей приведет к тому, что единственным вариантом сохранить опорную функцию ноги будет запирание сустава - проведение артродеза.

Подготовка к хирургическому вмешательству
Главные цели подготовки к операции - это укрепление иммунитета, т.е. санация всех очагов инфекции, и уменьшение потенциальной нагрузки на установленный протез. Действенные рекомендации для достижения поставленных задач заключаются в следующем:
- борьба с лишним весом;
- обучение правильному обращению с костылями - для комфортного прохождения раннего реабилитационного периода;
- включение в рацион достаточного количества витаминов и микроэлементов для поддержания защитных сил организма - в ряде случаев возможен прием иммуностимуляторов;
- достижение стойкой ремиссии хронических заболеваний;
- исследование основных параметров крови и коррекция основных показателей при наличии отклонений от нормы, особенно важно пополнить депо организма железом на случай чрезмерной кровопотери во время хирургического вмешательства.
Перед операцией пациент проходит спектр обследований для подбора эндопротеза нужного вида и размера, выявления возможных аллергических реакций на анестетики, оценки состояния сердечно-сосудистой системы, легких, свертывающей системы крови. С целью стабилизации эмоционального состояния может быть назначена психотерапия, для подготовки мышц и связок - индивидуально подобранный комплекс физических упражнений. Непосредственно перед эндопротезированием назначается специальная диета, за 12 часов до операции - сухое голодание.
Выбор импланта: характеристики, виды, производители
Сегодня в клинической практике может быть использован протез голеностопа второго и третьего поколения, цена последнего несколько выше - но достоверно лучшие результаты оправдывают стоимость. Усовершенствованную модель STAR (Waldemar Link) [1] , новую разработку Infinity (Wright) [2] , а также системы Cadence (Integra, USA) и Vantage Total Ankle (Exactech, USA) [3] в свежих научных исследованиях преподносят в качестве имплантов четвертого поколения. При этом ученые продолжают разрабатывать все более совершенные материалы и варианты конструкций. Согласно утверждению профессора M.J. Penner, посвятившего более 15 лет проблемам хирургии голеностопного сустава, он достиг той точки своей практики, когда для пациентов, соответствующих возрасту и показаниям, протезирование голеностопного сустава теперь новый «золотой стандарт». [4]
Как устроен эндопротез голеностопного сустава
Современный эндопротез голеностопного сустава обладает следующими характеристиками:
- Включает три компонента: два из них крепятся к большеберцовой и таранной кости, третий - это вкладыш из полиэтилена для улучшения амортизации, располагающийся между фиксированными частями.
- Все три компонента не связаны между собой, они удерживаются за счет крепления к костям и связочного аппарат.
- Фиксируется бесцементным (естественным) способом - протез частично вколачивается в костный канал. Спустя время кость начинает прорастать в микроотверстия импланта, тем самым образуя с ним единую структуру.

Эти свойства удлиняют срок службы и позволяют совершать суставом все основные движения, хоть и с ограничениями, описанными ниже.
Надежные бренды и лидеры рынка
- Agility, Mobility (DePuy Synthes, США);
- Inbone, Infinity (Wright Medical Group Inc., США);
- STAR (Waldemar Link, Германия);
- Hintegra (New Deal SA, Франция);
- Salto (Tornier S.A.S, Франция).
Инновационные подходы
H.Kofoed, участвовавший в создании немецкой модели импланта S.T.A.R., указал, что устранение недостатков несовершенных протезов возможно при достаточном внимании к анатомии, особенностям биомеханики и принципам стабильности голеностопа. [5] К имплантам нового поколения относят трехкомпонентные мобильные протезы с прочной фиксацией, состоящие из надежных сплавов с напылением и сверхвысокомолекулярного полиэтилена. Они должны быть представлены в разных размерах, чтобы соответствовать особенностям анатомии каждого пациента. Начато внедрение технологии 3D-печати для изготовления идеально подходящих протезов в индивидуальном порядке.Реабилитация после эндопротезирование голеностопа
Увеличение возможностей движения и ослабление болевого синдрома пациенты отмечают уже в первые 3 месяца после проведения операции. После недельного постельного режима, больной начинает расхаживаться на костылях, а через месяц - заниматься по специальной подобранной реабилитационной программе с применением массажа и физиотерапевтических методик. При грамотном проведении восстановительного периода ожидается полное исчезновение болей и увеличение возможностей в физической активности. Следует понимать, что протез не сможет выполнять весь объем движений здорового сустава. Несмотря на то, что теоретически возможно в первые годы после операции заниматься активным спортом, это категорически не рекомендуется. Чем меньше нагрузки будет получаться имплант, тем дольше окажется срок его службы.
Когда возникают осложнения
Выраженная деформация суставных поверхностей костей, активные физические нагрузки и молодой возраст пациента повышают риск развития осложнений. Прогнозы на ближайшие несколько лет после качественно проведенной операции при использовании современных протезов довольно благоприятные даже при наличии факторов риска. При неблагоприятном течении часто развивается нестабильность и последующая протрузия компонентов эндопротеза.
Эндопротезирование голеностопа в Москве и России
В России существуют возможности установить протез голеностопного сустава, цена операции при этом зависит от стоимости используемой модели, сложности клинического случая и места проведения вмешательства. В Москве подобные операции делают в следующих крупных центрах и клиниках:
- ЦКБ Российской академии наук;
- НМХЦ им. Н.И. Пирогова;
- Клинический госпиталь на Яузе;
- Городская клиническая больница им. С.С.Юдина.
Операцию также проводят в СПб, Новосибирске, Ставрополе, Кургане, Ярославле, Барнауле, Смоленске. С каждым годом все больше медицинских центров вводят в клиническую практику этот метод помощи пациентам.
Особенности получения квоты
Протезирование голеностопного сустава доступно как в качестве платной услуги, так и в рамках квоты - цена в России на эту операцию в среднем составляет 350-500 тыс. руб., включая стоимость импланта. Устанавливать протезы голеностопа можно в рамках оказания высокотехнологичной медицинской помощи за счет средств федерального бюджета. Для этого должны быть сформулированы точные показания и собран надлежащий пакет документов для оформления специализированного талона. О том все ли аспекты, которые требует эндопротезирование голеностопного сустава, покроет государство, или цена за ряд манипуляций останется в зоне ответственности пациента, можно будет посмотреть в статье эндопротезирование голеностопного сустава по квоте в России.
Эндопротезирование I плюснефалангового сустава
Эндопротезирование I плюснефалангового сустава - это замена части или полностью всего сустава искусственным аналогом.
Субтотальное эндопротезирование, когда заменяется только часть сустава.
При тотальном эндопротезировании заменяется суставная поверхность I плюсневой кости и проксимальной фаланги I пальца искусственным аналогом.

- остеоартроз 1-го плюснефалангового сустава (ПФС) 3-4 степени разной этиологии.
Исторический очерк
Первым, кто описал дегенеративную болезнь I ПФС был Davies-Colley в 1887г. Годом позже J.M. Cotterill дополнил это описание и назвал эту патологию Hallux Rigidus.
Развитие эндопротезирования IПФС можно разделить на два этапа:
Первое упоминание в литературе касающееся эндопротезов I ПФС было в 1951г.(Endler). Эндопротезы I ПФС стопы начали активно разрабатывать, начиная с 1970 г. Первые имплантаты были изготовлены из металла или акрила.
Одно- или двуствольных навесных силиконовых имплантатов активно применяли, начиная с 1980 г. Осложнения, связанными с этими имплантатами, (реактивный синовит, нестабильность из-за износа, остеолиз, иммунный ответ на инородное тело, перелом и смещение компонентов), стали причиной разработки титановых прокладок, имплантатов из титана, из сплава кобальт — хрома, керамических имплантатов.
Появление тотальных эндопротезов с металл-полиэтиленовым пара-трением.
Обзор имплантатов I ПФС
Seeburger design, first metatarsal head cup (1964)
Downey’s proposed
articulated ball-and-socket
implant (1965)
Swanson design, silicon single stemmed hemiimplant (1967)
Cutter metatarsophalangeal prosthesis (1971)
Weil modification of Swanson hemi-implant (1977)
DePuy two-component implant (1981)
Koenig total two-component implant (1988)
Kinetik Great Toe Implant System
Актуальность проблемы
- отсутствие тенденции к снижению заболеваемости деформирующего остеоартроза I плюснефалангового сустава;
- нарушение нормальной функции I ПФС приводит к расстройствам походки и нарушению опорной функции стопы в целом;
- большой процент неудовлетворительных результатов при использовании традиционных методов лечения (резекционная артропластика, артродез);
- неудовлетворенность пациентов результатами хирургического лечения;
- нарушение переката стопы при артродезе ПФС.
- Воспалительные явления кожи или глубоких тканей стопы в момент выполнения операции либо в анамнезе (гнойный артрит, остеомиелит в области переднего отдела стопы).
- Трофические изменения вследствие хронических сосудистых заболеваний (облитерирующий атеросклероз, варикозная болезнь нижних конечностей, лимфодема).
- Наличие тяжелой соматической патологии, являющейся противопоказанием к проведению оперативного вмешательства.
- Психические расстройства.
- Беременность.
Предоперационное планирование
- Рентгенологическое обследование пациента, выявление рентгенологических признаков остеоартроза плюснефалангового сустава.
- До операции пациент должен быть обучен методике изометрических сокращений мышц бедра и голени, ходьбе при помощи костылей (в ортопедических ботинках) без опоры на больную конечность.
Операция
Положение больного на спине. Выполняется медиальный доступ к первому плюснефаланговому суставу. Резецируется 5-6 мм основания основной фаланги первого пальца, головка первой плюсневой кости. Резекция выполняется строго по продольной и вертикальной осям по резекционным блокам. Готовится ложе для компонентов эндопротеза.
При помощи импактора методом «пресс-фит» устанавливается плюсневый компонент. На порции костного цемента устанавливается фаланговый компонент в положении сгибания первого пальца. Сустав вправляется, проверяется объём движений. Контролируется гемостаз. Рана послойно ушивается. Бинтовая повязка.
Через 2 недели разрешается нагрузка на оперированную конечность. Через 6 недель выполняется контрольная рентгенография, оценка активных и пассивных движений. Окончательный результат оценивается через 6 месяцев после операции.
Возможные осложнения
- Повреждение ветвей кожного нерва в области хирургического доступа: чувствительность восстанавливается в течение 6-8 месяцев.
- Воспаление, нагноение послеоперационной раны.
Клинический пример

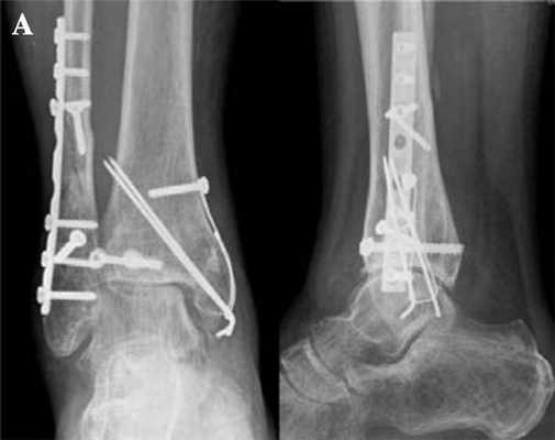
рентгенограмма стопы до операции
рентгенограммы после операции

внешний вид стопы после операции
Не теряйте время и деньги! Не рискуйте своим здоровьем!
Обращайтесь к квалифицированному ортопеду при первых же симптомах заболевания. В нашей клинике мы поможем Вам быстро избавиться от вашего недуга.
Видеоотзывы
Эндопротезирование суставов
Выражаю огромную благодарность врачу травматологу-ортопеду Петросяну Армену Сергеевичу .
ЧЕЛОВЕК -ВРАЧ от «БОГА». Уважительный , внимательный , выслушает и подскажет куда обратиться . Никакого дискомфорта или напряжения. Операция , по замене тазобедренного сустава , прошла удачно.Огромное спасибо и низкий поклон. Возникает необходимость вновь посетить доктора данной специализации,запишусь только к этому высококвалифицированному врачу.
Читайте также:
- Вас интересует мужчина Близнецы? Гороскоп совместимости с мужчиной Близнецом
- Какие привычки мужчин нам не понятны? Вредные мужские привычки
- Тромбофлебит при венепункции. Обработка места венопункции
- Эффекты ацетилхолина. Обмен ацетилхолина в нервно-мышечном соединении
- Анатомия наружного носа. Латеральная стенка полости носа
