Техника, этапы операции релиза икроножной мышцы при эквинусной контрактуре стопы
Добавил пользователь Владимир З. Обновлено: 01.01.2026
Изобретение относится к медицине, а именно к ортопедии, и может быть использовано при хирургическом лечении эквинусной деформации стоп у детей с детским церебральным параличом. В дооперационном периоде определяют пораженные участки в мышцах голени с помощью ультразвукового аппарата. Осуществляют оперативный доступ, рассекая заднюю часть фасции голени продольно и поперечно. Разобщают икроножную и камбаловидную мышцы. Выделяют тупым путем участки рубцово-измененной мышечной ткани, при этом одни участки рубцово-измененной мышечной ткани пересекают в поперечном направлении, а другие, при значительном их разрастании в икроножной и камбаловидной мышцах, - иссекают с сохранением жизнеспособных мышечных волокон. Фиксируют стопу гипсовой повязкой. Способ обеспечивает восстановление функции конечностей, выведение стопы в положение коррекции, снижение травматичности, исключение послеоперационных осложнений, сокращение сроков лечения.
Изобретение относится к медицине, а именно к ортопедии, и может быть использовано при хирургическом лечении эквинусной деформации стоп у детей с детским церебральным параличом (ДЦП).
ДЦП - это органическое поражение мозга, которое возникает в период внутриутробного развития, в период родов или в период новорожденности, и сопровождается различными двигательными и координационными нарушениями, приводящими к стойкой инвалидизации больных. Распространенность его в настоящее время повсеместно увеличивается и составляет в России 2,5-8,9 случаев на 1000 детского населения. Наиболее частым проявлением ДЦП является эквинусная установка стоп. Неэффективность консервативных мероприятий вызывает необходимость применения операции в 12-70% больных ДЦП по данным разных авторов. Раннее оперативное вмешательство позволяет у большинства больных обойтись единственной операцией и прервать цепь развития вторичных деформаций (Чочиев Г.М., Алборов О.И., Филатова Н.Б., Елкина И.А. Хирургическое лечение в комплексе медико-социальной реабилитации больных ДЦП // В кн.: Актуальные вопросы детской травматологии и ортопедии. - СПб., 2002. - С.276). Однако после проведенных оперативных вмешательств отмечается рецидив деформации и различные осложнения у 22,5-27% больных. Существующие методики лечения этой деформации у детей в возрасте от 3 до 8 лет либо излишне консервативны, либо необоснованно радикальны (Сологубов Е.Г., Босых В.Г., Ершова Л.И. и др. Хирургическое лечение эквинусной деформации стоп у детей дошкольного возраста с церебральным параличом // Вестник травм, и ортоп. им. Н.Н.Приорова. - 1995. - №1-2. - С.39-41).
В научной литературе описана операция Страйера при эквинусной деформации стоп у больных ДЦП (Strayer L.M. Recession of gastrocnemius. - J. Bone it Surg., 1950, 32-A, v.5, p.671-676), суть которой состоит в П-образном удлинении ахиллова сухожилия путем рассечения в поперечном направлении икроножной мышцы на границе сухожильно-мышечной части с сохранением по краям его двух-трех миллиметровых ножек, которые пересекаются после выведения стопы из эквинусного положения. Однако на сегодняшний день бесспорным является факт, свидетельствующий, что полное пересечение мышцы формирует зону повышенной реакции в коре головного мозга и формирует новый стереотип движения. Это приводит к дискоординации двигательных актов, обеспечивающих согласованную деятельность мышц антагонистов.
Для устранения эквинусной деформации стоп у больных с ДЦП известен способ апоневротического удлинения икроножной мышцы, осуществляемый путем поперечного рассечения апоневроза икроножной мышцы в нижней трети голени с выведением стопы в положение гиперкоррекции до 75-70° с фиксацией гипсовой повязкой (Сологубов Е.Г., Босых В.Г., Ершова Л.И. и др. Хирургическое лечение эквинусной деформации стоп у детей дошкольного возраста с церебральным параличом // Вестник травм, и ортоп. им. Н.Н.Приорова. - 1995. - №1-2. - С.39-41). Данный способ имеет отрицательные характеристики, подобные предыдущему.
Существует способ устранения эквинусной деформации стопы при ДЦП путем удлинения ахиллова сухожилия (Кутузов А.П. Особенности комплексного ортопедохирургического лечения детей с церебральными параличами // Пособие для врачей РОСНИДОИ им. Г.И.Турнера. - СПб., 1997. - 28 с.) лавсановой нитью, с помощью которой пилящими движениями во фронтальной плоскости сухожилие делится на 2 части с отсечением в проксимальном конце поверхностной части и глубокой от пяточного бугра. Стопа выводится в положении коррекции, дистальный конец сухожилия укутывается в проксимальный и ушивается кетгутом. Представленный способ лечения имеет отрицательные стороны 2-х предыдущих. Кроме того, при выполнении удлинения ахиллова сухожилия пересекаются волокна как икроножной, так и камбаловидной мышцы (биартикулярной и моноартикулярной мышц соответственно). Это приводит к усилению атрофии камбаловидной мышцы и превращению части волокон типа I в тип II, что, в свою очередь, дезадаптирует мышцы-синергисты и усугубляет нарушение двигательного стереотипа. Снижается также тонус передней большеберцовой мышцы, что ведет к рецидиву деформации и рекурвации коленного сустава.
Авторским свидетельством СССР №1178427, МПК А61В 17/56 (1985) защищен способ устранения эквино-полой деформации стопы, который заключается в использовании аппарата Илизарова с одновременным устранением деформации стопы в сагиттальной плоскости и разворачиванием ее по направлению кпереди и кнаружи.
Авторским свидетельством РФ №1821162, МПК А61В 17/56 (1993) защищен способ лечения эквино-варусной стопы, который отличается тем, что исправление эквинусной деформации стопы проводят с помощью аппарата Илизарова путем низведения пяточной кости и поднятия переднего отдела стопы по дуге вокруг фронтальной плоскости.
Компрессионно-дистракционный метод лишен отрицательных сторон хирургических методик и, в частности, такой, как парадоксальная функциональная перестройка нервно-мышечного аппарата конечности. Однако эффективная аппаратная коррекция эквинусной контрактуры стопы может быть получена только у 30-35% пациентов, а достигнутая коррекция деформаций стопы требует в последующем для ее сохранения средств внешней фиксации. Поэтому аппаратная коррекция в «чистом» виде требует четких показаний и является методом выбора в лечении контрактур и деформаций у больных ДЦП.
Патентом РФ №2135111, МПК А61В 17/56 (1999) защищен способ лечения эквино-варусной деформации стоп у детей, который заключается в остеотомии таранной и ладьевидной костей после вскрытия сустава с компенсацией диастаза путем введения трансплантатов в щели остеотомии.
Патентом РФ №2216282, МПК А61В 17/56 (2003) защищен способ хирургической реабилитации больных с эквино-вальгусной и эквино-варусной деформациями стоп, суть которого заключается в удалении суставных поверхностей с таранной, пяточной, ладьевидной и кубовидной костей в суставе Шопара, клиновидной резекции пяточной кости с основанием клина кнутри или кнаружи и шейки таранной кости с введением клиновидных трансплантатов между таранной и пяточной и клиновидной и таранной костями и фиксации стопы в положении коррекции с помощью стержней в аппарате Илизарова.
Представленные способы лечения относятся к стабилизирующим оперативным вмешательствам и могут быть применены только у детей старше 13 лет, т.к. их применение ведет к повреждению эпифизарного хряща, и это становится причиной возникновения прогрессирующего укорочения конечности и развития вторичных деформаций стоп.
Патентом РФ №2254086, МПК А61В 17/56 (2005) защищен способ коррекции эквинусной контрактуры стопы у детей с детским церебральным параличом, суть которого заключается в поперечном пересечении икроножной мышцы в сочетании с пересечением гиперактивных пучков корешков LV-SI с патологическим типом электрической активности.
Однако при выполнении ризотомии через некоторое время из-за возникновения спрутинг-эффекта (Гусев Е.И., Гехт А.Б.. 1999) двигательная единица может пополниться большим количеством вновь образованных «свободных» миофибрилл, лишенных «своей» иннервации. Это приводит к увеличению среднего потенциала двигательной единицы и, следовательно, к увеличению силы спастического сокращения икроножной мышцы. Вместе с тем, пересечение икроножной мышцы само по себе отрицает необходимость применения выборочного пересечения гиперактивных пучков. Ведь в данной ситуации исключаются из движения как двигательные единицы, иннервируемые нормальными пучками, так и двигательные единицы, получающие информацию от гиперактивных нервных волокон.
Наиболее обоснованной у детей, на наш взгляд, является методика дозированного рассечения мышечных волокон и фасций с целью устранения эквинусной деформации стопы. Данному положению соответствует способ лечения ортопедических последствий детского церебрального паралича, защищенный патентом РФ №2124864, МПК А61В 17/00, 17/56 (1999), который выбран в качестве прототипа. Сущность его состоит в пересечении рубцовых тяжей в измененных участках мышц в поперечном направлении, определяемых с помощью пальпации, подкожно и поэтапно, начиная с областей с максимальными контрактурами, при этом на каждом этапе проводят фибротомии всех измененных мышц на одном двигательном сегменте или суставе на доступной глубине; при гиперкинетической форме дополнительно рассекают продольно рубцовые тяжи, направление этапов пересечений и рассечении проксимальное, что устраняет мышечные контрактуры суставов.
Недостатками прототипа являются: 1) невозможность с помощью пальцевого исследования определить глубину и степень рубцового перерождения мышц, что может приводить к ошибке в диагностике и необоснованному пересечению неизмененных мышечных волокон; 2) при подкожном рассечении мышечных волокон невозможно дозировать степень удлинения мышцы, оптимально устранить контрактуру при глубоко расположенном рубцовом процессе, а также велика вероятность получения осложнений в виде повреждения сосудисто-нервных образований; 3) необходимость множественных многократных миотомий приводит к дополнительному рубцеванию мышцы и формированию обратных деформаций в коленном и нестабильности в голеностопном суставах.
Целью изобретения является создание эффективного научно обоснованного способа хирургического лечения эквинусной деформации стопы у детей с ДЦП, позволяющего улучшить функцию нижних конечностей и исключить возникновение вторичных деформаций в послеоперационном периоде.
Поставленная цель достигается путем диагностики измененных участков мышц голени с помощью ультразвукового исследования в предоперационный период, широкого рассечения поверхностной фасции голени, селективной поперечной миотомии рубцово-перерожденных участков икроножной и камбаловидной мышц с фиксацией стопы гипсовой повязкой.
Способ осуществляется следующим образом.
В рамках предоперационного обследования проводят ультразвуковое исследование трехглавой мышцы голени и определяют участки органического перерождения: протяженность, точное расположение, степень рубцового перерождения. Под общим обезболиванием производят S-образный разрез кожи и подкожной клетчатки по задней поверхности голени в проекции трехглавой мышцы. Выделяют заднюю часть поверхностной фасции голени и рассекают ее продольно в сочетании с дополнительными послабляющими поперечными разрезами на разном уровне. Разобщают и мобилизуют икроножную и камбаловидную мышцы тупым путем. Участки рубцово-измененной мышечной ткани выделяют тупым путем с сохранением жизнеспособных мышечных волокон. Затем их пересекают под контролем зрения в поперечном направлении, а при значительном разрастании рубец иссекают. Стопу выводят с помощью ручного пособия в положение коррекции. При этом удлиняется икроножная и камбаловидная мышцы, не теряя своего дооперационного тонуса. По ходу операции осуществляют тщательный гемостаз. Накладывают швы на кожу. Рану обрабатывают раствором иода, накладывают асептическую повязку. Выполняют гипсовую иммобилизацию конечности до в/3 бедра в положении коррекции стопы.
Клинический пример. В клинике детской хирургии и ортопедии Ростовского медицинского университета находилась на лечении больная П., 5 лет, с диагнозом: ДЦП. Правосторонний гемипарез. Эквинусная установка правой стопы. При выполнении ультразвукового исследования трехглавой мышцы правой голени определены две зоны рубцового перерождения в латеральной головке икроножной мышцы и одна - в камбаловидной. Под общим обезболиванием произведена операция - селективная миофасциотомия трехглавой мышцы голени справа. Выполнен S-образный разрез кожи и подкожной клетчатки по задней поверхности в с/3 правой голени. Поверхностная фасция голени при пальпации напряжена. Фасция продольно рассечена в сагиттальной плоскости с дополнительными поперечными рассечениями на границе в/3-с/3 и с/3-н/3. Частично мобилизованы и разобщены икроножная и камбаловидная мышцы. Тупым путем под контролем зрения выделены два участка рубцово-измененной мышечной ткани икроножной мышцы 12×15 мм и 20×25 мм. Один из них поперечно пересечен, а другой - иссечен. Выделен таким же путем рубец размером 10×14 мм в толще камбаловидной мышцы и поперечно пересечен. Ручным пособием стопа выведена в положение коррекции с удлинением икроножной и камбаловидной мышц. Выполнен тщательный гемостаз. Рана ушита наглухо, обработана антисептиками. Наложена асептическая повязка. Иммобилизация правой н/конечности в положении умеренной гиперкоррекции стопы гипсовым «сапожком» до верхней трети бедра.
Послеоперационный период протекал без особенностей. Ребенку на 4 сутки после операции разрешена опора на ногу. Проводилась лечебная гимнастика. Швы сняты на 10 сутки, послеоперационная рана зажила первичным натяжением. Девочка выписана в удовлетворительном состоянии в гипсовой повязке. После снятия гипсовой повязки начат курс реабилитационной терапии, который включал в себя лечебную гимнастику, массаж по расслабляющей методике для правых конечностей, мануальную терапию, физиотерапевтическое лечение и бальнеотерапию. Ребенку выполнялось ортезирование высоким безнагрузочным тутором в течение всего периода реабилитационного лечения.
На контрольном осмотре через 1,5 месяца определялось исчезновение болевого синдрома не только в икроножной мышце справа, но и в передней большеберцовой, длинной малоберцовой и прямой мышце бедра справа, а также в паравертебральной мускулатуре на уровне поясничного отдела позвоночника. Самостоятельно стояла и ходила с опорой на полную стопу справа, уменьшилась хромота, повысилась силовая выносливость мышц правой нижней конечности и спины, увеличилась длина шага, скорость ходьбы, начал формироваться перекат стопы с пятки на носок. Проведенный контрольный осмотр выявил достаточную моторную активность ребенка. Девочка самостоятельно стоит и ходит на длинные расстояния (учится в музыкальной школе). Опора при ходьбе на полную стопу справа. Сформировался задний толчок, значительно уменьшилась асимметрия походки, увеличилась длина шага, болевой синдром не усилился, улучшился рисунок ходьбы. За время наблюдения ребенок вырос на 7 см, однако этот факт не привел к рецидиву деформации. Девочка регулярно получала курсы восстановительной терапии по месту жительства.
По сравнению с прототипом предлагаемый способ обладает следующими преимуществами: 1) определяется на дооперационном этапе точное расположение рубцов в мышечной ткани икроножной и камбаловидной мышц; 2) широкое рассечение фасции голени и мобилизация и разобщение указанных мышц уменьшает напряжение и способствует улучшению трофики трехглавой мышцы; 3) возможность устранения рубцовых тяжей на любой глубине с максимальным сохранением здоровых миофибрилл; 4) дозированное удлинение трехглавой мышцы голени с сохранением сухожильно связочного аппарата стопы; 5) эффективная и более ранняя перестройка функции ходьбы; 6) профилактика осложнений во время операции и в отдаленном послеоперационном периоде.
Предлагаемый способ апробирован в хирургическом отделении ГУЗ «Областная детская больница» г.Ростова-на-Дону у 10 больных.
Способ хирургического лечения эквинусной деформации стопы у детей с детским церебральным параличом, включающий оперативный доступ к икроножной мышце, хирургическое вмешательство на икроножной мышце, выведение стопы и фиксацию стопы гипсовой повязкой, отличающийся тем, что в дооперационном периоде определяют пораженные участки в мышцах голени с помощью ультразвукового аппарата, осуществляют оперативный доступ, рассекая заднюю часть фасции голени продольно и поперечно, а затем разобщают икроножную и камбаловидную мышцы, выделяют тупым путем участки рубцово-измененной мышечной ткани, при этом одни участки рубцово-измененной мышечной ткани пересекают в поперечном направлении, а другие, при значительном их разрастании в икроножной и камбаловидной мышцах, - иссекают с сохранением жизнеспособных мышечных волокон.
Hallux Valgus - вальгусная деформация (косточка на большом пальце ноги)
Косточка на большом пальце ноги, вальгусная деформация первого пальца стопы, вальгусная деформация большого пальца стопы, халлюкс вальгус, Hallux Valgus, - все эти названия относятся к одной и той же патологии.

Hallux Valgus (Халлюкс Вальгус) - медиальная(внутренняя) девиация первой плюсневой кости и латеральная(наружная) девиация и внутренняя ротация (вращение вокруг своей оси) первого пальца стопы. По сути, является не простой деформацией первого плюсне-фалангового сустава, а сложной деформацией всего медиального луча стопы. Часто сопровождается симптомными деформациями второго пальца стопы. Выделяют две формы: халлюкс вальгус у взрослых и подростковый\ювенильный халлюкс вальгус.
История лечения вальгусной деформации первого пальца стопы.
Термин hallux valgus был впервые введён в 1871 году Carl Heuter, который назвал так отклонение первого пальца стопы кнаружи от центральной оси тела. В 19-м веке было распространено мнение что халлюкс вальгус является следствием разрастания костной ткани первой плюсневой кости и её мягкотканной оболочки из-за плохо подобранной обуви. Поэтому хирургическое лечение чаще всего сводилось к иссечению мягких тканей и удалению экзостоза. Хирурги на протяжении длительного времени считали данную патологию неинтересной, что во многом объясняет медленное развитие понимания причин возникновения данного заболевания. Первая операция направленная на коррекцию деформации выполнена Reverdin 4 мая 1881 года в Генфере, после удаления экзостоза была выполнена клиновидная резекция с противоположной стороны что стало праобразом последующих операций по коррекции вальгусной деформации при помощи остеотомии. Начиная с этой самой первой остеотомии были предложены многочисленные модификации, с добавлением латерального релиза, проксимальной остеотомией, Z-образной остеотомией, дистальной остеотомией, - всего порядка 150 различных операций. Многие модификации мало отличались друг от друга и для неопытного специалиста могли бы показаться идентичными. Но и сейчас продолжаются поиски лучшей остеотомии с целью добиться наиболее стабильного и надёжного результата.
Эпидемиология вальгусной деформации первого пальца стопы.
Вальгусная деформация первого пальца стопы является широко распространенной патологией. По данным министерства здравоохранения США она встречается у 1 % населения. В своём исследовании Gould обнаружил увеличение частоты с возрастом: по его данным халлюкс вальгус имеют 3% населения в возрасте 15-30 лет, 9 % в возрасте 31-60 лет и 16% лиц старше 60 лет. Также отмечается преобладание Hallux Valgus среди женщин (по разным данным в 2-4 раза чаще чем у мужчин), хотя вполне возможно, что это относится к частоте обращений, что в свою очередь может быть связано с желанием женщин носить неудобную обувь и косметическими запросами, а не болевым синдромом. Также отмечено, что существует генетическая предрасположенность к Халлюкс Вальгус, с распространением заболевания в семьях, но конкретные гены отвечающие за развитие заболевания пока не выявлены.
Этиология вальгусной деформации первого пальца стопы.
Несмотря на широко распространенное мнение, обувь на высоких каблуках и обувь с узким мысом не вызывает Халлюкс Вальгус. Но, в случае когда такая деформация уже имеется, данные виды обуви приводят к избыточной травматизации мягких тканей с внутренней стороны первого плюсне-фалангового сустава, что провоцирует болевой синдром. Кроме того узкая обувь может сама по себе провоцировать медиальную боль и компрессию нервов. Нельзя выделить единственную причину Hallux Valgus, на сегодняшний день специалисты сходятся во мнении что это мультифакториальное заболевание с комплексом биомеханических, травматических и метаболических причин.
Наиболее распространенной и наиболее трудной для понимания является теория биомеханической нестабильности. Её провоцируют икроножный, и икроножно-камбаловидный эквинус, динамическая или ригидная плосковальгусная деформация стопы, динамическая или ригидная варусная деформация плюсны, дорсифлексия первого луча, гипермобильность клиновидно-плюсневого сустава или короткая первая плюсневая кость. Чаще всего избыточная пронация (внутренняя ротация) в предплюсневых и подтаранном суставе компенсируют вышеперечисленные деформации во время цикла ходьбы. Умеренная пронация стопы необходима для того чтобы погасить силу столкновения стопы с землёй при ходьбе. Однако избыточная пронация создаёт избыточную гипермобильность предплюсны, что в свою очередь нарушает стабильность и препятствует обратному процессу ресупинации в цикле ходьбы. Это приводит к формированию стойкого рычага, что делает толчок стопой затруднительным.
Для нормального толчка стопой необходимо 65° дорсифлексии (тыльного сгибания) в первом предплюсне-плюсневом суставе, только 20-30° из них происходят за счёт собственно большого пальца. Остальные 40° происходят за счёт подошвенного смещения первой плюсневой кости в сесамовидном комплексе. По этой причине для толчка приходится увеличивать подошвенное сгибание первого луча стопы на уровне первого плюсне-фалангового сустава, в сесамивидном комплексе. Это приводит к значительной перегрузке первого плюсне-фалангового сустава и провоцирует развитие вальгусной деформации первого пальца стопы. Если вследствие гиперпронации предплюсны суставы стопы приобретают избыточную подвижность, происходит поперечное распластывание стопы, 2-4 плюсневые кости начинают смещаться кнаружи, а первая плюсневая кость, наоборот, кнутри, избыточно нагруженный сесамовидный коплекс продолжает тянуть за основание основной фаланги первого пальца, что в свою очередь приводит к отклонению первого пальца кнаружи. В случае отсутствия такой гиперподвижности, формируется Hallux Rigidus.
Метаболические расстройства которые приводят к вальгусной деформации первого пальца стопы включают подагру, ревматоидный артрит, псориатический артрит, заболевания соединительной ткани, такие как синдром Элерса-Данлоса, синдром Марфана, синдром Дауна, синдром повышенной растяжимости связок. К нейромышечным причинам можно отнести рассеянный склероз, болезнь Charcot-Marie-Tooth, церебральный паралич. Также к вальгусной деформации могут приводить травматические причины: переломы костей медиального луча, посттравматические артрозы, вывихи первого пальца, turf toe и пр. Также провоцирующими факторами могут стать аномалии длинны плюсневых костей, варусная и вальгусная деформация коленного сустава, ретроторсия бедра.
Патофизиология вальгусной деформации первого пальца стопы.
В норме во время ходьбы hallux и остальные пальцы стопы остаются параллельными продольной оси стопы, вне зависимости от приведения и внутренней ротации стопы. Это связано с силой одновременно передаваемой посредством сухожилия мышцы приводящей большой палец, разгибателя большого пальца, и сгибателей большого пальца стопы. В случае повышенной мобильности сустава разгибатель большого пальца, проходящий более латерально (кнаружи) от центральной оси начинает смещать первый палец в свою сторону. При этом сухожилия натягиваясь во время ходьбы работают как тетива лука, приводя к выгибанию всего первого луча по направлению кнутри. Головка первой плюсневой кости, смещаясь кнутри, оставляет сесамовидные кости снаружи. Сесамовидные кости расположенные в толще короткого и длинного сгибателей большого пальца в норме выполняют роль блока, усиливающего силу мышц за счёт изменения вектора нагрузки, а также несут значительную долю массы тела. При их латеральном смещении нагрузка ложится на головки первой и второй плюсневой костей, что приводит к метатарсалгии. Медиальные отделы капсулы первого плюсне-фалангового сустава натягиваются, в то время как латеральные сокращаются. Далее основной деформирующей силой становится мышца приводящая большой палец. Продолжающееся отклонение большого пальца кнаружи приводит к тому что место прикрепления мышцы приводящей большой палец смещается кнаружи и в подошвенную сторону. С этого момента вместо приведения данная мышца начинает сгибать и ротировать кнутри основную фалангу большого пальца.

Изменение направления векторов действия сил при вальгусной деформации первого пальца стопы.
Симптомы вальгусной деформации первого пальца стопы.
Чаще всего пациенты обращаются с постепенно нарастающей глубокой или острой болью в области первого плюсне-фалангового сустава при ходьбе, что свидетельствует о дегенеративных изменениях суставного хряща. Также пациент может предъявлять жалобы на боль в области головки первой плюсневой кости при ношении обуви, при этом боль проходит при ходьбе босиком, что связано с раздражением мягких тканей по внутренней поверхности первого плюсне-фалангового сустава. Часто имеют место оба вида боли. Боль постепенно прогрессирует и на момент обращения может пройти много лет с её начала. Одновременно с болью прогрессирует и деформация. На этом этапе важно отсечь метаболические причины появления болей, требующие медикаментозного лечения. Другим возможным симптомом может быть жгучая боль или покалывание в области тыльной поверхности большого пальца и первого плюсне-фалангового сустава, что происходит при вовлечении в рубцовый процесс медиального кожного нерва. Помимо этого пациенты часто предъявляют жалобы непосредственно на деформацию, изменения второго пальца, формирование мозоли, повреждения кожи, иногда без характерных жалоб на боли.
Диагностика вальгусной деформации первого пальца стопы.
Осмотр. При осмотре важно выделить основную причину и ведущую деформацию, что влияет на дальнейшую тактику лечения. Необходимо осматривать всю нижнюю конечность: внутреннюю и наружную ротацию бедра, вальгусную и варусную деформацию коленного сустава, торсию тибии, дорсифлексию в голеностопном суставе, объём движений в подтаранном суставе, объём движений в суставах предплюсны, нейтральную позицию пяточной кости, вальгусное\варусное отклонение заднего и переднего отделов стоп. Также необходимо оценить степень эластичности\ригидности, оценить выраженность деформации без нагрузки и под нагрузкой. Положение hallux оценивается относительно второго пальца, оценивается степень вальгусного смещения, внутренней ротации, подвывиха в первом плюсне-фаланговом суставе.
Далее измеряется амплитуда движений первого плюсне-фалангового сустава, нормой считается тыльное сгибание до 65° и подошвенное сгибание до 15°. Во время оценки объёма движений также проверяется наличие крепитации и выраженность болевого синдрома при движении. Подобные находки указывают на дистрофические изменения суставного хряща первого плюсне-фалангового сустава, боль без крепитации указывает на его синовит. Следующим этапом измеряется амплитуда активных движений, при этом необходимо обратить особое внимание на то, не усиливается ли отклонение hallux в наружную сторону при движениях, так как это свидетельствует о спаечном процессе в области наружного отдела суставной капсулы. В дальнейшем оценивается объём движений в первом клиновидно-плюсневом суставе, суммарная амплитуда в подошвенно-тыльном направлении не превышает в норме 10 мм, амплитуда движений в поперечной плоскости в норме близка к нулю.
Следующим этапом производится оценка кожных покровов на предмет зон давления. Мозоль в области первого межпальцевого промежутка указывает на избыточную гиперпронацию первого пальца во время ходьбы.
Мозоль в области головки первой плюсневой кости сигнализирует о эквинусном положении стопы, ригидной подошвенной флексии первой плюсневой кости, гипертрофических разрастаниях сесамовидных костей, ригидной вальгусной деформации предплюсны или же полой стопы. Мозоль в области головки второй плюсневой кости свидетельствует об укороченной первой или же удлиненной второй плюсневой кости, дорсифлексии первой плюсневой кости, ретроградной плантарверсии второго пальца за счёт формирования молотообразной деформации второго пальца или же гипермобильности первой плюсневой кости.
Контрактура длинного разгибателя большого пальца встречается только при длительном латеральном подвывихе в первом плюсне-фаланговом суставе или нейромышечных поражениях.
Часто обнаруживаются такие конкурирующие деформации как молотообразная деформация второго пальца, гипермобильная или ригидная плосковальгусная стопа. Нестабильность и деформация второго пальца часто усугубляет и ускоряет деформацию hallux так как исчезает естественное препятствие для его дальнейшего смещения.
Очень важным элементом осмотра является оценка стопы при нагрузке: увеличение степени отведения первого пальца, приведения первой плюсневой кости, появление дорсифлексии свидетельствующей о контрактуре длинного разгибателя большого пальца.
Инструментальные методы диагностики. Для подтверждения диагноза халлюкс вальгус и предоперационного планирования используются рентгенограммы в прямой, боковой, и иногда косой и сесамовидной проекциях. Основными параметрами которые оцениваются рентгенологически являются:
1. угол халлюкс вальгус (в норме менее 15°)
2. межплюсневый угол (в норме менее 9°)
3. Дистальный плюсневый суставной угол (в норме менее 15°)
4. Межфаланговый угол халлюкс вальгус - угол между проксимальными фалангами первого и второго пальцев (в норме менее 10°)

Рентгенологическое определение углов при вальгусной деформации первого пальца стопы.
Лечение вальгусной деформации первого пальца стопы.
Первым этапом лечения производится коррекция обуви, изготовление стелек, применение специальных вкладышей и устройств. При неэффективности консервативного лечения(сохранение болей при ходьбе), а так же при наличии заходящих друг на друга пальцев, молотообразной деформации второго пальца, невритов пальцевых нервов, сесамоидите, воспалительных изменениях в области деформации - показано оперативное лечение.
Хирургические методы лечения можно разделить на следующие группы:
1) операции на мягких тканях
2) дистальная остеотомия (при лёгкой степени, межплюсневый угол менее 13 °)
3) проксимальная или комбинированная остеотомия (при более тяжёлой степени, межплюсневый угол более 13 °)
4) артродез первого клиновидно-плюсневого сустава (при его нестабильности или артрите)
5) другие артродезы (при выраженной деформации, спастичности, артрозе)
6) резекционная артропластика (в группе пожилых больных с низкими функциональными запросами)
В случае, когда речь идёт о ювенильном Hallux Valgus желательно максимально отсрочить операцию. Если это невозможно лучше использовать операции, не затрагивающие проксимальную часть плюсневой кости.
Степени деформации HalluxValgus. Степень тяжести деформации оценивается при помощи рентгенографии, каждой степени соответствует конкретная хирургическая тактика. Необходимость оперативного вмешательства в большей степени обусловлена выраженностью болевого синдрома и ограничениями в повседневной активности пациента, а не косметическим дефектом.
Контрактуры причины, способы диагностики и лечения
Контрактуры — ограничение нормальной подвижности в суставе. Развивается вследствие заболеваний суставов, рубцевания кожи, сухожилий, стойкой боли, нарушения нервной регуляции, в отдалённом периоде после тяжёлых травм, ожогов, ран. Чаще поражаются голеностопный, тазобедренный, локтевой, плечевой, коленный сустав, реже — мелкие суставы кистей рук, стопы. Контрактуры не позволяют делать движения кнаружи и кнутри, сгибания и разгибания, отведение и приведение конечности.

Причины контрактуры
В зависимости от механизма развития контрактуры бывают двух типов: активные и пассивные. В основе ограничения пассивных движений лежат механические препятствия, возникающие непосредственно в самом суставе, мышцах, окружающих тканях, сухожилиях, фасциях. С учетом причин возникновения разделяют на:
- десмогенные — ограничение движений связано с рубцеванием соединительной ткани;
- артрогенные — в основе нарушения конфигурации сустава лежат переломы, ревматические заболевания, как артрит, артроз;
- миогенные — возникают на фоне мышечных патологий;
- дерматогенные — причиной становятся рубцы на коже после гнойных процессов, ран;
- ишемические — наблюдаются при переломах, и сопровождаются расстройством артериального кровоснабжения конечностей;
- иммобилизационные — обусловленные длительной фиксацией сустава.
Причиной развития активных или неврогенных контрактур становится раздражения отдельных участков нервной системы или выпадение её функций. Вследствие нарушения нервной регуляции мышцы находятся в состоянии длительного тонического напряжения, мышечное равновесие между антагонистами утрачивается, из-за чего происходит сужение, стягивание сустава.
С учетом механизмов возникновения активные контрактуры бывают:
- периферические: болевые — вызванные вынужденным положением конечности из-за интенсивной боли; рефлекторные — появляются в ответ на рефлекторное раздражение нерва; ирритационно-паретические — обусловленные вегетативными нарушениями;
- центральные — развиваются на фоне травм, заболеваний головного мозга, опухоли спинного мозга, нарушений спинномозгового кровообращения;
- психогенные — следствие истерического невроза, психических расстройств.
В некоторых случаях встречаются комбинированные контрактуры, когда сложно точно назвать, что спровоцировало дефект, и врожденные контрактуры— возможно механическое препятствие и/или нарушение нервной регуляции.
способ коррекции эквинусной контрактуры стопы у детей с детским церебральным параличом
Изобретение относится к медицине, а именно травматологии и ортопедии. Сущность: осуществляют выделение задних корешков L5 и S1 спинного мозга, иннервирующих икроножную мышцу, их последующее разделение на отдельные пучки, тестирование каждого пучка с синхронным анализом электрической активности икроножной мышцы и пересечение гиперактивных пучков с патологическим типом электрической активности икроножной мышцы, что предупреждает рецидив контрактуры. 3 ил.
Формула изобретения
Способ коррекции эквинусной контрактуры стопы у детей с детским церебральным параличом, заключающийся в пересечении укороченной икроножной мышцы, отличающийся тем, что одновременно предварительно осуществляют выделение задних корешков L5 и S1 спинного мозга, иннервирующих икроножную мышцу, их последующее разделение на отдельные пучки, тестирование каждого пучка с синхронным анализом электрической активности икроножной мышцы и пересечение гиперактивных пучков с патологическим типом электрической активности икроножной мышцы.
Описание изобретения к патенту
Изобретение относится к медицине, а именно травматологии и ортопедии.
Известен способ устранения эквинусной контрактуры стопы у детей (Strayer L.M. - Recession of the gastrocnemius - J.Bone Jt.Surg., 1950, 32-A, V. 5, P.671-676). Сущность способа заключается в поперечном рассечении икроножной мышцы в средней трети голени, после чего стопе придавали среднее положение под углом 80 градусов по отношению к голени, устраняя контрактуру. Недостатком способа является то, что он не уменьшает избыточный тонус икроножной мышцы. В результате сохраняющегося гипертонуса со временем наступает рецидив контрактуры, требующий повторной операции.
Задачей предложенного изобретения является устранение избыточного тонуса икроножной мышцы.
Поставленная задача достигается тем, что в способе коррекции эквинусной контрактуры стопы у детей с детским церебральным параличом, заключающемся в пересечении укороченной икроножной мышцы, предлагается одновременно предварительно осуществить выделение задних корешков L5 u S1 спинного мозга, иннервирующих икроножную мышцу, их последующее разделение на отдельные пучки, тестирование каждого пучка с синхронным анализом электрической активности икроножной мышцы и пересечение гиперактивных пучков с патологическим типом электрической активности икроножной мышцы, при котором отмечается снижение частоты потенциалов действия (ПД) до 40-60 колебаний в секунду, снижение амплитуды электрогенеза в 2-2,5 раза по сравнению с возрастной нормой, а также распространение электрической активности на соседние мышечные группы.
На фигуре 1 представлены стопа и голень (вид сбоку) и схема коррекции эквинусной контрактуры, где
- позиция 1- икроножная мышца
- позиция 2 - сухожилие икроножной мышцы
- позиция 3 - пяточная кость
На фигуре 2 представлен спинной мозг с отходящими от него задними корешками L5 u S1 (вид сзади), где
- позиция 4 - спинной мозг
- позиция 5 - задние корешки
- позиция 6 - твердая мозговая оболочка спинно-мозгового канала.
На фигуре 3 представлены записи электрической активности икроножной мышцы в норме и у больной К. с гипертонусом икроножной мышцы, где:
- позиция 7 - запись, соответствующая норме
- позиция 8 - запись электрической активности мышцы, находящейся в состоянии гипертонуса
- позиция 9 - запись электрической активности икроножной мышцы через 2 месяца после операции.
Способ осуществляют следующим образом.
Первым этапом после рассечения мягких тканей вдоль остистых отростков от Тh12 до L4 позвонков выполняют заднюю ляминэктомию на уровне L1-L3 позвонков. Продольно рассекают твердую мозговую оболочку спинного мозга 6, осуществляя доступ в полость спино-мозгового канала. В полости спино-мозгового канала выделяют и маркируют выходящие из спинного мозга 4 задние корешки L5 u S1-5. Ближе к месту входа корешков в межпозвонковые отверстия их разделяют на несколько пучков. Выполняют раздельную стимуляцию каждого пучка электростимулятором с синхронным анализом электрической активности икроножной мышцы с помощью прибора «Нейро-МВП-4». Последнюю определяют с помощью накожных электродов, фиксированных в проекции икроножной мышцы. Пучки, стимуляция которых показывает патологический тип электрической активности икроножной мышцы 8, при котором отмечается снижение частоты потенциалов действия до 40-60 колебаний в секунду, снижение амплитуды электрогенеза в 2-2,5 раза по сравнению с возрастной нормой 7, а также распространение электрической активности на соседние мышечные группы, пересекают. Рану послойно ушивают.
Вторым этапом после продольного рассечения кожи и подкожной клетчатки в средней трети голени осуществляют доступ к икроножной мышце 1. Икроножную мышцу 1 и ее сухожилие 2 выделяют и поперечно пересекают. При этом производят опускание пятки 3 до установки ее в положение, при котором стопа полностью нагружается. Рану ушивают послойно, стопу и голень фиксируют гипсовой лонгетой. Лонгету снимают через 3 недели и проводят курс активных и пассивных движений стопы до достижения нормальной их амплитуды.
Пример осуществленного способа. Больная Карговская Кристина, 5 лет, диагноз - детский церебральный паралич, спастическая диплегия, эквинусная контрактура стоп. Степень повышения мышечного тонуса по шкале Ashwort - 5 баллов. Через 2 месяца после операции степень повышения мышечного тонуса - 2 балла (см., поз. 9, фиг.3). Нагрузка стоп полная, контрактура устранена, улучшается походка и значительно снижается вероятность рецидива.
Ошибки и осложнения при хирургическом лечении мобильной эквино-плано-вальгусной деформации стоп у больных детским церебральным параличом с использованием методики корригирующей остеотомии пяточной кости

Цель исследования. Изучить результаты лечения пациентов с мобильной формой эквино-плано-вальгусной деформации стопы при детском церебральном параличе с использованием корригирующей остеотомии пяточной кости по авторской методике. Проанализировать ошибки и осложнения, имевшие место при лечении больных с использованием данной методики.
Материалы и методы. С 2006 по 2014 г. с использованием описанного способа выполнения корригирующей остеотомии пяточной кости прооперировано 64 пациента (103 стопы) в возрасте от 3 до 17 лет. Эквинусную контрактуру устраняли посредством пересечения сухожилия икроножной мышцы и удлиняющей ахиллопластики. Патологический мышечный тонус снижали с помощью введения препарата «Диспорт» в икроножную мышцу или селективной невротомии большеберцового нерва.
Результаты. Проведенный анализ показал, что хороших результатов было 75 %, удовлетворительных — 18 %, неудовлетворительных — 7 %. Неудовлетворительные результаты лечения были связаны с рядом технических и тактических ошибок, которые сгруппированы и проанализированы.
Заключение. Анализ ошибок и осложнений, имевших место при лечении пациентов с детским церебральным параличом с мобильной формой эквино-плано-вальгусной деформации стопы с применением корригирующей остеотомии пяточной кости, позволит избежать их в дальнейшем и повысить качество лечения данной группы больных.
Ключевые слова
Полный текст
Введение
Возможности эффективной оперативной коррекции мобильной эквино-плано-вальгусной деформации стопы у больных с детским церебральным параличом всегда представляли собой большой интерес для специалистов, занимающихся вопросами хирургии спастических параличей [1, 2]. Во многом это связано с тем, что данная форма деформации, в отличие от ригидной, является более перспективной в отношении восстановления формы и функции стопы. Среди методик оперативного лечения особую нишу всегда занимали корригирующие остеотомии пяточной кости [3, 4], поскольку именно они являются наиболее физиологичными. Это связано с тем, что они улучшают амортизационную функцию стопы и не блокируют движения в суставах последней.
На протяжении нескольких лет нами активно применялся способ корригирующей остеотомии пяточной кости, предложенный в нашем отделении [5].
Цель — проанализировать наиболее часто встречавшиеся тактические и технические ошибки, имевшие место в процессе лечения больных с детским церебральным параличом с мобильной эквино-плано-вальгусной деформацией стоп с применением методики корригирующей остеотомии пяточной кости.
Материалы и методы
С 2006 по 2014 г. нами было прооперировано 64 пациента (103 стопы) в возрасте от 3 до 17 лет. Все больные добровольно подписали информированное согласие на участие в исследовании и выполнение хирургического вмешательства.
Показание к выполнению корригирующей остеотомии пяточной кости — наличие у пациента с детским церебральным параличом в возрасте от 3 до 17 лет мобильной формы эквино-плано-вальгусной деформации стопы с отсутствием продольного свода и вальгусным положением пятки свыше 10°. Предложенное нами оперативное вмешательство основано на принципе экстраартикулярного осуществления остеотомии пяточной кости в промежутке между задней и средней фасетками подтаранного сустава. Согласно анатомическим исследованиям некоторых авторов [6], в 99 % случаев использованная нами область пересечения пяточной кости будет располагаться вне суставных фасеток подтаранного сустава. Хирургическое вмешательство выполнялось из двух доступов: по наружной и внутренней сторонам стопы. Первый разрез выполняли по внутренней поверхности стопы от проекционной области таранно-пяточно-ладьевидного сустава до заднего края внутренней лодыжки. После разреза кожи, подкожной жировой клетчатки и тыльной фасции стопы производили мобилизацию сухожилий задней большеберцовой мышцы, длинного сгибателя пальцев и длинного сгибателя первого пальца. Далее выполняли артротомию таранно-пяточно-ладьевидного сустава с таким расчетом, чтобы мощный фрагмент капсулы сустава остался прикреплен к sustentaculum tali. Затем производили артротомию подтаранного сустава для визуализации его суставных фасеток и выбора оптимального направления будущей остеотомии. После рассечения надкостницы выполняли «ступенчатую» остеотомию пяточной кости (рис. 1).

Рис. 1. Направление выполнения остеотомии пяточной кости из доступа по внутренней поверхности стопы
По наружной поверхности стопы разрез выполняли от заднего края наружной лодыжки до дистального конца заплюсневой пазухи. После разреза кожи, подкожной жировой клетчатки и тыльной фасции стопы мобилизовали сухожилия малоберцовых мышц. Далее производили артротомию подтаранного сустава и пересекали таранно-пяточную связку. Затем тупо выделяли и пересекали подошвенную связку. После этого после рассечения надкостницы выполняли остеотомию пяточной кости в направлении, встречном по отношению к остеотомии, произведенной из внутреннего доступа (рис. 2). Фрагмент пяточной кости (который включает sustentaculum tali), полученный в результате остеотомии, транспонировали кнутри, кверху и ротировали наружу. Целью производимых смещений являлось создание надежной опоры под головку и шейку таранной кости в виде sustentaculum tali, что нормализовало соотношение костей в подтаранном и таранно-пяточно-ладьевидном суставах. Фрагменты пяточной кости после их смещения на необходимую величину фиксировали спицами Киршнера (рис. 3). Перед ушиванием раны по внутренней поверхности стопы внутренний отдел капсулы таранно-пяточно-ладьевидного сустава укрепляли с помощью ее дупликатуры, которую формировали швами с использованием толстых лавсановых ниток.

Рис. 2. Направление выполнения остеотомии пяточной кости из доступа по наружной поверхности стопы

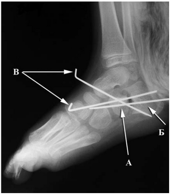
Рис. 3. Интраоперационная рентгенограмма стопы после выполнения корригирующей остеотомии пяточной кости: А — передний фрагмент пяточной кости; Б — задний фрагмент пяточной кости; В — фиксирующие спицы
Эквинусную контрактуру устраняли с помощью удлиняющей ахиллопластики или пересечения сухожилия икроножной мышцы (операция Страйера) одновременно с выполнением корригирующей остеотомии пяточной кости. Эквинус присутствовал в 92,0 % случаев (95 стоп). Ахиллопластика была произведена на 26 стопах, операция Страйера — на 69.
При наличии высокой степени спастичности трехглавой мышцы голени тонус этой мышцы снижали посредством внутримышечных инъекций препарата «Диспорт» в икроножную мышцу или селективной невротомии ветвей большеберцового нерва. «Диспорт» был введен нами в 5 случаях. Селективная невротомия была выполнена в 3 случаях. Показание к невротомии: наличие тонуса трехглавой мышцы голени свыше 3 баллов по шкале Ashworth в сочетании с выраженным клонусом стопы.
Результаты
Оценку результатов лечения производили спустя 6 и более месяцев после начала ходьбы. Сроки наблюдения составили от 6 месяцев до 8 лет.
Критерии оценки: 1) степень коррекции вальгуса пятки, 2) степень коррекции продольного свода стопы относительно исходного, 3) отсутствие/наличие осложнений, 4) степень коррекции угла продольного свода, 5) степень коррекции угла таранно-пяточной дивергенции.
Хорошие результаты: вальгус пятки — 0-6°, продольный свод увеличен более чем на 70 % относительно исходного, осложнений нет, угол продольного свода увеличен не более чем на 5°, угол таранно-пяточной дивергенции увеличен не более чем на 5°.
Удовлетворительные результаты: вальгус пятки — 6-10°, продольный свод увеличен менее чем на 70 %, но не более чем на 50 % относительно исходного, осложнений нет, угол продольного свода увеличен не более чем на 15°, угол таранно-пяточной дивергенции составляет не более 10°.
Неудовлетворительные результаты: вальгус пятки — более 10°, продольный свод увеличен менее чем на 50 % относительно исходного, или наличие осложнений при клинически любом результате лечения, угол продольного свода увеличен более чем на 15°, угол таранно-пяточной дивергенции увеличен более чем на 10°.
Проведенный нами анализ показал, что хороших результатов лечения было 75 % (77 стоп), удовлетворительных — 18 % (19 стоп), неудовлетворительных — 7 % (7 стоп).
Выполненные тонуспонижающие мероприятия привели к снижению тонуса трехглавой мышцы голени в среднем до 1,5 балла.
Ниже приведено клиническое наблюдение в качестве примера хорошего результата лечения.
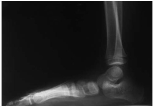
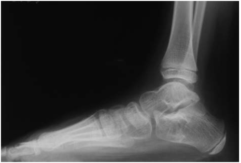
Больная Б., 5 лет, с диагнозом: «ДЦП. Спастическая диплегия. Эквино-плано-вальгусные деформации стоп». Операция — корригирующая остеотомия пяточной кости и пересечение сухожилия икроножной мышцы (рис. 4, 5).

Рис. 4. Рентгенограмма правой стопы в боковой проекции до операции

Рис. 5. Рентгенограмма правой стопы через 1 год 7 месяцев после операции
Неудовлетворительные результаты лечения мы связываем с диагностическими погрешностями (переоценка степени мобильности деформации), а также тактическими и техническими ошибками оперативного лечения.
В результате лечения имели место следующие тактические ошибки: 1) неполная коррекция эквинусной контрактуры (3 случая), 2) переоценка степени мобильности деформации (2 случая).
Также имели место технические ошибки: 1) перелом пяточной кости у основания sustentaculum tali в процессе транспонирования дистального фрагмента пяточной кости (1 случай), 2) избыточное смещение дистального фрагмента пяточной кости в процессе его перемещения в латеральном направлении с исходом в гиперкоррекцию (1 случай).
Коррекция сопутствующей эквинусной контрактуры является очень важной составляющей применявшегося нами оперативного вмешательства. Способ устранения контрактуры выбирался в зависимости от результатов теста Сильвершельда. При отрицательном тесте мы выполняли удлиняющую ахиллопластику, при положительном — пересекали сухожильное растяжение икроножной мышцы. В случаях неубедительности теста мы всегда отдавали предпочтение ахиллопластике. В тех случаях, когда эквинусная контрактура носила характер тонической установки, выполняли снижение тонуса трехглавой мышцы голени с помощью селективной невротомии ветвей большеберцового нерва или с использованием введения в икроножную мышцу препарата ботулотоксина «Диспорт».
Степень мобильности деформации является отчасти субъективным впечатлением, поэтому в случаях оценки стопы по данному признаку возможны ошибочные выводы. Ротация ладьевидной кости, которая нередко имеет место при тяжелых степенях деформации и сопровождается изменением положения ее бугристости и гипертрофией последней, может создавать ложное впечатление о полноценности вправления головки таранной кости в таранно-пяточно-ладьевидный сустав.
Перелом пяточной кости у основания удерживателя таранной кости являлся наиболее тяжелой технической ошибкой описанного нами оперативного вмешательства. В большинстве случаев корригирующую остеотомию пяточной кости мы выполняли пациентам со значительно ограниченной двигательной активностью и, как следствие этого, с выраженными в той или иной степени явлениями остеопороза пяточной кости. Наличие остеопороза в своем роде предопределяет потенциально возможный риск отрыва sustentaculum tali от тела пяточной кости. В том единственном случае, когда мы получили данное осложнение, сустентакулярный отросток был фиксирован к пяточной кости спицами. Однако часть достигнутой коррекции деформации была утрачена уже на операционном столе, оставшаяся — в течение ближайшего года после операции. В дальнейшем пациенту был выполнен в возрасте 16 лет трехсуставной артродез на стопе с хорошим результатом. Необходимо отметить, что, несмотря на полное разобщение при переломе удерживателя sustentaculum tali, не произошло асептического некроза последнего. В качестве профилактики данного осложнения необходимо избегать чрезмерных физических усилий в процессе смещения дистального фрагмента пяточной кости. Особенно аккуратно нужно выполнять его транспозицию у пациентов с выраженными явлениями остеопороза.
Избыточное смещение дистального фрагмента пяточной кости с исходом в гиперкоррекцию наблюдалось нами однократно и было, скорее всего, связано с выраженной гипермобильностью в подтаранном суставе. После наблюдения больного на протяжении двух лет был выполнен трехсуставной артродез на стопе с хорошим косметическим и функциональным результатом. С профилактической точки зрения необходимо обратить особое внимание на положение стопы в процессе наложения иммобилизирующей гипсовой повязки в ситуациях, когда имеет место выраженная гипермобильность в подтаранном суставе.
Заключение
Знание причин ошибок и осложнений при лечении пациентов с применением авторской методики корригирующей остеотомии пяточной кости позволит свести к минимуму риск их возникновения и улучшить результаты лечения больных с мобильной формой эквино-плано-вальгусной деформации стопы при детском церебральном параличе.
Информация о финансировании и конфликте интересов
Работа проведена при поддержке ФГБУ «НИДОИ им. Г.И. Турнера» Минздрава России. Авторы декларируют отсутствие явных и потенциальных конфликтов интересов, связанных с публикацией настоящей статьи.
Читайте также:
