Техника и этапы операции шейной ламинопластики
Добавил пользователь Владимир З. Обновлено: 11.12.2025
Для обеспечения доступа к спинному мозгу при операциях на нем выполняется ламинэктомия (удаление части или целой дуги позвонка), с последующим закрытием дефекта с помощью ламинопластики (Л.). Спинной мозг располагается в спинномозговом канале, который образуется сзади и боков дужками, а спереди телами позвонков. Дужки позвонков по латыни называются lamina.
Анимации о заболеваниях позвоночника и операциях сделаны на основании данных, размещенных в сети Интернет, не специалистами. В связи с этим, просим всех знающих людей оставлять комментарии в форуме сайта, о возможных недочетах и ошибках, которые вы увидите в анимации. Ваши комментарии будут добавляться на соответствующие страницы.
Если вы специалист в этой области, просим вас оставить комментарии относительно ошибок или недочетов присутствующих в анимации на странице нашего форума: "Анимация. Операции на позвоночнике".
Ламинопластика необходима при различных оперативных вмешательствах на спинном мозге и позвоночнике, например, в ходе удаления опухоли позвонков, опухоли спинного мозга, дисков, тел позвонков. В этих случаях Л. представляет собой заключительный этап операции, на котором создается новая дужка позвонка, обеспечивающая целостность спинномозгового канала и защищающая спинной мозг.
Но иногда Л. может являться и самостоятельным хирургическим вмешательством.
Показаниями к ней являются:
- неоперабельные опухоли спинного мозга и/или его оболочек,
- стеноз (сужение) спинномозгового канала. В этом случае врач увеличивает диаметр дужек, что снижает давление на спинной мозг.
Ламинопластика выполняется под общей анестезией. Положение пациента - лежа на животе.
Для создания искусственной дужки позвонка могут использоваться различные материалы.
Новая дужка может быть выкроена из собственной костной ткани пациента, например, из участка подвздошной кости. Полученный аутотрансплантат фиксируется специальными методами непосредственно к телу позвонка.
Преимуществами такой методики является хорошая приживаемость новой дужки и очень низкая вероятность отторжения трансплантата. Недостатками метода являются необходимость выполнения одновременно с ламинопластикой и другой операции на костях таза, а также повышенный риск развития в послеоперационном периоде инфекционно-воспалительных осложнений.
В настоящее время Л. чаще всего выполняют с использованием трансплантатов дужек, изготовленных из искусственных материалов (керамика, титановые сплавы). Подобные искусственные дужки выпускаются различных размеров, обладают высокой прочностью, не вызывают отторжения или локального воспаления.
В ходе операции хирург делает на дужках позвонка небольшие надсечки, а затем по ним рассекает их. После этого дужку отводят в сторону и открывают спинномозговой канал. Этот процесс напоминает открывание двери. Процедура создает доступ к спинному мозгу, а также увеличивает пространство спинномозгового канала, устраняя сдавление как самого спинного мозга, так и отходящих от него нервных корешков.
При необходимости хирург производит необходимые вмешательства на спинном мозге или удаляет костные наросты, которыми может быть обусловлен стеноз спинномозгового канала. После этого вместо удаленных фрагментов дужек позвонков хирург устанавливает трансплантат и фиксирует его к телу позвонка с помощью специальных винтов.
Искусственные дужки увеличивают диаметр спинномозгового канала и предотвращают сдавливание спинного мозга и нервных корешков. Операция заканчивается наложением швов, и операционная рана закрывается стерильной повязкой.
Техника и этапы операции шейной ламинопластики
ФГБУ "НИИ нейрохирургии им. акад. Н.Н. Бурденко" РАМН, Москва
ФГАУ «НИИ нейрохирургии им. акад. Н.Н. Бурденко» Минздрава России, Москва, Россия
Использование резорбируемых пластин для фиксации ламинотомированного лоскута
Журнал: Журнал «Вопросы нейрохирургии» имени Н.Н. Бурденко. 2016;80(6): 55‑57
Работа посвящена применению новой технологии — фиксация ламинотомированного лоскута резорбируемыми пластинами и пинами в детской нейрохирургической практике. В нашей клинике прооперированы 4 пациента. Подробно описана техника операции, проведено сравнение с традиционным методом фиксации с помощью лигатур.
Ламинотомия широко используется для хирургического доступа к патологии позвоночного канала [1]. Сам этап ламинотомии, особенно при много-уровневом доступе, выполняется достаточно быстро (значительно быстрее стандартной ламинэктомии). Однако процесс фиксации ламинотомированного лоскута зачастую занимает время, сопоставимое со временем всех предыдущих этапов операции. Технологии фиксации ламинотомированного лоскута — это либо лигатуры, проведенные через каждую дужку, либо титановые мини-пластины [1, 2]. Мы осознанно не использовали титановые мини-пластины в своей практике по ряду причин: сложность хорошей фиксации шурупов в тонких и мягких дужках позвонков у детей и проблемы при реламинотомии в случае возможного рецидива заболевания. Поэтому основным методом фиксации до последнего времени у нас были лигатуры [1, 3].
Резорбируемые пластины и пины (биодеградируемые плаcтины и специальные шурупы к ним) изготовлены из аморфного полимера, состоящего из D-lacti-de и L-lactide в равной пропорции [4, 5]. Период биодеградации составляет около 90 дней и происходит путем гидролиза. Шурупы, применяемые в данной технике, отличаются от «истинных» отсутствием резьбы и необходимости работать отверткой. По своей сути это штырьки (пины), которые с помощью специальной ультразвуковой насадки на короткое время сильно размягчаются и «затекают» в диплоэ кости, за счет чего и фиксируются в ней после прекращения ультразвукового воздействия и затвердевания. Технология проста и удобна. Кроме того, сами пластины при нагреве в воде до 60 °C становятся мягкими и могут быть моделированы «по месту». Фирма-производитель позиционирует эти изделия для краниальной и челюстно-лицевой хирургии [5, 6]. Наш опыт использования резорбируемых пластин и шурупов в хирургии краниосиностозов и сложных дефектов черепа у детей привел к идее применения такой же технологии фиксации и при ламинотомии.
Материал и методы
Резорбируемые пластины и шурупы использованы для фиксации ламинотомированных лоскутов у 4 пациентов в возрасте от 4 до 11 лет (3, 4, 5 и 9 уровней). Всего фиксация выполнена на 21 уровне. Операции проводились в связи с интрадуральными опухолями и кистами спинного мозга. Среднее время фиксации составило 15 мин (что примерно в 2,5 раза меньше, чем длительность традиционной фиксации лигатурами). Осложнений, смещений лоскута, тканевой реакции не отмечено. Минимальный катамнез составил 3 мес.
Техника операции
После субпериостальной диссекции ламинотомия проводилась во всех случаях по ранее описанной первым автором методике [1]. Интрадуральный этап выполнялся с использованием микрохирургической техники и зависел от конкретной патологии. После герметичного зашивания твердой мозговой оболочки начинался собственно этап фиксации лоскута. Во всех случаях использовали пластины толщиной 1 мм с 4 отверстиями (их длина и расположения отверстий всегда хватало для нашей цели) и штырьки диаметром 2,4 мм и длиной 5 мм. Пластины изгибались «по месту», согласно требуемой конфигурации, непосредственно перед моментом их фиксации. После этого осуществлялась собственно фиксация всех пластин к лоскуту (рис. 1).

Рис. 1. Ламинотомированный лоскут с зафиксированными пластинами.
Далее лоскут прикладывался на место, при необходимости проводилось дополнительное подгибание пластин для их оптимального контакта с основанием дужек. После этого фиксировались наиболее краниальные и каудальные дужки, что обеспечивало правильное положение лоскута в ране. И наконец, фиксировались все остальные пластины (рис. 2). Рана зашивалась послойно в соответствии с общими хирургическими принципами.

Рис. 2. Ламинотомированный костный лоскут, зафиксированный на своем месте.
Схематическое изображение метода фиксации ламинотомированного костного лоскута изображено на рис. 3.

Рис. 3. Схема фиксации лоскута. а — в сагиттальной проекции; б — во фронтальной проекции; в — общий вид в трех проекциях. 1 — ламинотомированный лоскут, зафиксированный на своем месте; 2 — резорбируемые пины (шурупы); 3 — резорбируемые пластины.
Поиск литературы по использованию резорбируемых пластин и шурупов в нейрохирургии дал результаты лишь по краниальному применению [4, 6—8]. Поэтому сравнить наш опыт с данными литературы не представляется возможным. Тем не менее надо сказать, что резорбируемые материалы постепенно приходят в травматологию и ортопедию, спинальную хирургию и уже есть соответствующие публикации. Однако основные вопросы, которые обсуждаются, — это механическая прочность и надежность фиксации в сравнении с металлическими аналогами [5].
В нашем клиническом исследовании это сравнение не является определяющим. Хорошо известно, что идеология ламинотомии и фиксации лоскута — это не столько непосредственная «стабилизация», сколько восстановление места фиксации параспинальной мускулатуры и предотвращение грубого эпидурального фиброзирования. В такой ситуации основная цель фиксации — расположить лоскут «на месте», где механическая нагрузка на него минимальна, поэтому даже фиксация лигатурами достаточна. Мы успешно пользуемся лигатурами для фиксации ламинотомии с 2003 г. (выполнено более 270 ламинотомий), и проблем, связанных с недостаточной жесткостью фиксации, смещением лоскута, не наблюдалось ни разу. Единственным значимым недостатком такой техники является ее трудоемкость и длительность, особенно при ламинотомиях более 3 уровней. Например, процесс фиксации 5-уровневого лоскута в грудном отделе позвоночника может занимать до 40 мин. При узком канале, толстых дужках эта процедура становится еще более трудоемкой. Кроме того, процесс просверливания сквозных отверстий в корнях дужек зачастую приводит к дополнительному венозному кровотечению из эпидуральных вен, что также ведет к ненужному расходованию времени и ресурсов. Использование резорбируемых пластин в такой ситуации выглядит более привлекательным. Применение стандартных титановых пластин у детей менее желательно по причинам, о которых мы уже говорили выше: сложность в достижении хорошей фиксации шурупов в тонких и мягких дужках позвонков у детей и проблемы при реламинотомии в случае возможного рецидива заболевания. Кроме того, классическая технология просверливания отверстий и закручивания шурупов не технологичнее и не удобнее (в узкой и глубокой ране даже сложнее), чем проведение лигатур.
Именно поэтому мы обратили свое внимание на резорбируемые пластины с ультразвуковым «ввариванием» условных шурупов. Наш предварительный опыт использования резорбируемых пластин и пинов оказался положительным. Данная технология обеспечивает надежную и быструю фиксацию при укладывании ламинотомированного лоскута. Кроме того, изогнув пластины определенным образом, можно выполнить небольшое увеличение поперечного размера позвоночного канала с целью декомпрессии. Как самый большой недостаток и основное препятствие к широкому применению описанной технологии возникнет вопрос стоимости имплантируемых изделий и специального оборудования для их установки.
Заключение
В работе представлен начальный опыт использования резорбируемых пластин и пинов (шурупы) для фиксации ламинотомированного лоскута. Описана хирургическая техника и дана сравнительная оценка предлагаемой технологии с уже имеющимися в широкой практике.
На заседании локального этического комитета при НИИ нейрохирургии им. акад. Н.Н. Бурденко Минздрава России от 09.06.16 (протокол № 06/2016) было решено разрешить настоящую публикацию в специализированном медицинском журнале.
Конфликт интересов отсутствует.
Комментарий
Данная работа посвящена применению резорбируемых пластин и пинов для ламинопластики у детей. Изделие, описанное авторами, ранее применялось только для краниопластики, поэтому применение его в спинальной хирургии является off-label.
Практика ламинопластики у пожилых людей нашла широкое применение в лечении шейной спондилогенной миелопатии как в Японии (Hirobayashi, Kurokava), так и в России (А.О. Гуща, О.Н. Древаль). В настоящее время имеются титановые пластины, фиксирующие дужки специальной формы для проведения данной операции. Безусловно, использование рассасывающихся изделий является привлекательной альтернативой металлическим, особенно при возможности ультразвукового «вваривания» фиксирующих пинов.
Остается неясным — возможно ли применение данных изделий у пожилых людей, учитывая частоту проведения ламинопластики при стенозах позвоночного канала на шейном уровне и часто встречаемое склерозирование и ломкость дужек у данной категории больных.
КВМО — корковый вызванный моторный ответ
КТ — компьютерная томография
МРТ — магнитно-резонансная томография
ССВП — соматосенсорные вызванные потенциалы
ТМС — транскраниальная магнитная стимуляция
JOA — Japanese Orthopedic Association (Японская ортопедическая ассоциация)
Классическая шейная спондилогенная миелопатия (нижний спастический парапарез, вялый парез верхних конечностей, чувствительные расстройства проводникового типа) встречается довольно редко. Как правило, больные, обращающиеся за помощью, имеют один или несколько симптомов:
— двигательные расстройства (снижение силы, повышение тонуса и спастичности в ногах, атаксия и др.);
— чувствительные нарушения (снижение/нарушение болевой и суставно-мышечной чувствительности и др.);
— рефлекторные нарушения (повышение/снижение сухожильных рефлексов с ног и рук, патологические стопные и кистевые знаки: Бабинского, Россолимо, Гоффмана).
Самая частая причина формирования миелопатической картины заболевания связана с прогрессирующим течением дегенеративно-дистрофических изменений в позвоночнике и, как следствие, сужением диаметра позвоночного канала. Формирование хронической компрессии спинного мозга и корешков вызывает ишемические изменения нервной ткани.
На современном этапе развития медицины почти все пациенты с дегенеративными проблемами в шейном отделе позвоночника проходят курс комплексного консервативного лечения. Миелопатическая картина заболевания свойственна группе больных, которые страдают длительное время. Средний срок от появления клинической картины до обращения к хирургу составляет 4 года. Следует заметить, что с каждым годом количество обращающихся больных за помощью к неврологам и нейрохирургам растет.
Исторически сложилось так, что стандартом лечения спондилогенной миелопатии была шейная ламинэктомия. Со временем данный метод был вытеснен более современными, и в настоящее время большинство хирургов предпочитают выполнение декомпрессии из переднего доступа (дискэктомия/корпорэктомия) [1]. Одним из методов лечения спондилогенной миелопатии является ламинопластика. Впервые цервикальную Z-образную ламинопластику в 1973 г. описали M. Oyama и соавт. [4] как метод лечения спондилогенной миелопатии, вследствие компрессии спинного мозга оссифицированной продольной связкой. Позднее первичное вмешательство претерпело немало изменений, в настоящее время чаще других используют метод по K. Hirabayashi [2] или по T. Kurokawa [12].
Цель нашего исследования — определение показаний к выполнению ламинопластики у пациентов с миелопатией, анализ ранних и отдаленных результатов вмешательств.
Проведен анализ эффективности лечения шейного спондилогенного стеноза, осложненного миелопатией. Все больные были прооперированы методом ламинопластики. Из 30 пациентов декомпрессия по Hirabayashi выполнена — 26 (76%), по Kurokawa — 4 (24%) пациентам, средний возраст больных составил 58,4 года, соотношение женщин и мужчин 9:21 соответственно. По данным нейровизуализации, 26 (76%) пациентов имели три уровня компрессии, у 3 (18%) пациентов был стеноз 4 уровней и у 1 (6%) больного компрессионное воздействие было на протяжении 5 уровней. Диагноз ставился на основе результатов динамического клинико-неврологического осмотра, рентгенографии, МРТ, КТ, ССВП и ТМС. Показаниями для хирургического лечения служили наличие компрессии на трех уровнях и более, миелопатический синдром, обусловленный компрессией спинного мозга, двигательные и чувствительные нарушения, нарушения функции тазовых органов, изменения по данным ССВП и ТМС. Обязательным условием при выборе хирургической тактики являлось сохранение лордоза или незначительное его выпрямление. Абсолютными противопоказаниями для оперативного лечения являлись острые воспалительные заболевания и грубые признаки сегментарной нестабильности.
Используемый инструментарий
В работе применялся стандартный комплект хирургических инструментов для операций на позвоночнике, дополнительно использован высокоскоростной бор с алмазными насадками и ультразвуковой костный скальпель (MisonixBoneScalpel) (рис. 1).

Рис. 1. Силовое оборудование, необходимое для выполнения ламинопластики с одномоментной фораминотомией. а — костный скальпель; б — высокоскоростной бор.
Техника хирургического метода ламинопластики
По методу Hirabayashi, с использованием общего эндотрахеального наркоза оперированы 26 пациентов. Положение на операционном столе - на животе, верхние конечности укладываются вдоль тела, голова фиксирована в скобе MAYFIELD. Во всех случаях для разметки операционного поля и интраоперационного контроля использовался ЭОП. Выполнялся срединный разрез кожи размером 8—10 см над остистыми отростками, при помощи электроножа скелетировались дужки и дугоотросчатые суставы смежных позвонков. Кровотечение из мягких тканей останавливается марлевыми салфетками с раствором перекиси водорода и биполярной коагуляцией. В рану вводится реечный ранорасширитель. До выполнения основного этапа операции нами выполнялась фораминотомия С4—С5 (рис. 2, 3) как профилактика пареза С5 корешка (встречаемость 8% без фораминотомии).
Рис. 2. Окончательный вид послеоперационной раны. а — визуализация пульсации дурального мешка; б — фораминотомия; в — остистый отросток, надостистая связка. Рис. 3. Послеоперационное КТ-исследование. Фораминотомия С4—С5 указана стрелкой.
После частичной резекции остистых отростков (½ высоты) с помощью высокоскоростного бора или костного скальпеля выполнялся односторонний сквозной пропил дужек позвонков, на противоположной стороне выпиливался ход шириной 2-3 мм (с сохранением внутреннего кортикального слоя дужки). Далее, после сквозного пропила, при помощи микрохирургического инcтрументария в зоне видимости удалялась желтая связка для мобилизации комплекса «дужка — остистый отросток». Данный комплекс единым блоком поднимался и фиксировался при помощи микропластин и винтов (6 мм). Следует отметить, что блок «дужка — остистый отросток» в нашем случае поднимался и фиксировался в положении не менее 30 градусов. Во всех случаях необходимо добиться визуализации дурального мешка (см. рис. 2). В 1-е сутки после операции все больные наблюдались в отделении реанимации, шейный отдел позвоночника иммобилизировался воротником Шанца на сроки от 4 до 6 нед [4, 9].
У 4 пациентов выполнена ламинопластика по Kurokawa — двусторонний пропил дужек с последующим центральным пропилом остистого отростка и его разведения. Таким образом достигалось расширение сечения позвоночного канала, фиксация осуществлялась путем металлоостеосинтеза в заданном положении.
Послеоперационные результаты оценивались как перечисленными методами диагностики (клинико-неврологический осмотр, рентгенография, КТ, МРТ), так и при помощи шкалы JOA, шкалы Nurick и шкалы восстановления (Recovery rate) [13, 14].
Результаты и обсуждение
На сегодняшний день при лечении спондилогенной шейной миелопатии хирургические методы, к сожалению, не имеют 100% эффективности. Наряду с увеличением количества пациентов с шейной миелопатией увеличивается и количество операций, проводимых в мире по поводу шейного стеноза различной локализации, а увеличение количества операций приводит к увеличению числа пациентов, которым проведенное оперативное вмешательство не принесло ожидаемых результатов.
Несмотря на модернизацию и постоянное усовершенствование хирургии позвоночника, проблема поиска оптимального хирургического метода в лечении спондилогенного шейного стеноза остается актуальной. Все используемые хирургические методики имеют как преимущества, так и недостатки.
Ламинопластика, рассматриваемая в настоящей работе, является относительно новым методом лечения шейных стенозов. Со времени первого описания метода в 1973 г. в отечественной практике и литературе он не получил должного внимания.
Основными критериями послеоперационной оценки служили: динамика клинических симптомов, увеличение переднезаднего сечения позвоночного канала и сохранение опороспособности.
Средние сроки от начала заболевания до выполнения операции составили 45 мес.
До операции все больные (100%) имели симптоматику миелопатического синдрома с различной степенью ее выраженности (табл. 1).

Таблица 1. Выраженность неврологической симптоматики у пациентов, оперированных по поводу шейного стеноза
Для объективной оценки неврологической симптоматики использовалась шкала шейной миелопатии JOA [13, 14] с последующим расчетом индекса восстановления. Средний показатель выраженности миелопатии на основе шкалы JOA в дооперационном периоде составил 8,27 балла, в послеоперационном — 11,18 балла (рис. 4). Индекс восстановления в нашей группе довольно высокий — 43,2% (Recovery rate) [14].

Рис. 4. Оценка неврологического статуса пациентов по шкалам — JOA и Nurick в до- и послеоперационном периоде (пояснение в тексте).
Одним из клинических показателей эффективности проведенного лечения стала оценка нарушений походки (Nurick scale) [14]. У большинства больных (88%) отмечены средние значения моторных нарушений I—III степени, клиническая картина у 2 (12%) больных соответствовала VI степени. Средний показатель расчета выраженности нарушений составил 2 балла до хирургического вмешательства и 2,7 балла — после (см. рис. 4). Таким образом, выполненная ламинопластика показала хороший клинический эффект.
Наряду с клинической картиной, мы осуществляли расчет переднезаднего сечения позвоночного канала в до- и послеоперационном периодах. Передней точкой отсчета служила дорзальная поверхность фактора компрессии (оссифицированная продольная связка, грыжа диска, краевые остеофиты), а задней точкой - основание остистого отростка. Средние цифры диаметра позвоночного канала у пациентов без стеноза [3] на шейном уровне и пациентов нашей группы (до и после операции) приведены в табл. 2.

Таблица 2. Показатели диаметра позвоночного канала на разных уровнях у пациентов без шейного стеноза [3] и пациентов нашей группы в до- и послеоперационном периодах
Сагиттальное сечение позвоночного канала после операции измерялось при помощи расчетной программы-локализера ClearCanvas Workstation 2.0. Переднезадний размер позвоночного канала был увеличен в среднем на 0,77±0,23 см (рис. 5 и 6). В трети случаев мы добились увеличения позвоночного канала более чем в 2 раза (рис. 7, 8).
Рис. 5. Расчет поперечного сечения до (а=0,91 см) и после операции (б=1,45 см). Сагиттальный и аксиальный срез на уровне С4—С5. а — грубая компрессия спинного мозга; б — спинной мозг декомпремирован, переднее и заднее субарахноидальное пространство просматривается полностью. Рис. 6. Расчет поперечного сечения до (а=0,84 см) и после операции (б=1,93 см). Сагиттальный и аксиальный срез на уровне С3—С4. а — грубая компрессия спинного мозга; б — спинной мозг декомпремирован, переднее и заднее субарахноидальное пространство просматривается полностью. Рис. 7. МРТ пациента Б. а — до операции. Определяется грубая компрессиия спинного мозга на уровне С2—С4, с формированием миелопатического очага. Полностью отсутствует визуализация переднего и заднего субарахноидальных пространств; б — после операции. Декомпрессия позволила визуализировать часть переднего и полностью заднее субарахноидальное пространства. Рис. 8. МРТ и МСКТ пациента Ш. а — грубая компрессия спинного мозга остеофитом на уровне С5—С6; б, в — МРТ и МСКТ после ламинопластики, несмотря на наличие остеофита подъем заднего комплекса создал полноценную декомпрессию спинного мозга.
Кроме нейровизуализационных методов, для диагностики спондилогенной миелопатии активно используются ТМС и вызванные ССВП. ТМС позволяла оценивать функцию кортико-спинального пути (рис. 9).

Рис. 9. Транскраниальная магнитная стимуляция, отведение m. abductor pollicis brevis с двух сторон, m. abductor digiti minimi справа выявляются признаки билатерального нарушения проведения по кортико-цервикальному пути: умеренного при отведении слева, выраженного при исследовании правой руки.
С помощью ССВП оценивалось состояние афферентных путей. Изменения амплитудно-временных параметров компонентов N13 и N20 отражают степень дисфункции афферентных путей спинного мозга. Компонент N13 является ответом задних рогов и отражает дисфункцию центрального серого вещества. Патогномоничным для миелопатии является снижение амплитуды компонента N13 при записи ССВП со срединного, локтевого и лучевого нервов. Однако метод ССВП не позволяет оценивать функциональное состояние моторных трактов. Еще одним недостатком ССВП является невозможность точной локализации уровня поражения спинного мозга (рис. 10).

Рис. 10. Исследование ССВП показало, что при стимуляции срединных нервов ответы периферического уровня сохранены. Компоненты спинально-стволового и коркового уровня редуцированы, регистрируются недостоверно, со значительным увеличением латентности и снижением амплитуды, лучше выражены при стимуляции справа (с увеличением центрального времени проведения и интервала N9-N11). Выявляется нарушение проведения афферентации на спинальностволовом уровне: выраженное при стимуляции справа, грубое слева.
У пациентов с отсутствием клинических проявлений заболевания решение об операции принималось с учетом данных нейрофизиологического мониторинга (ТМС, ССВП). Наличие изменений амплитудно-временных характеристик, отражающих степень дисфункции спинного мозга, а также изменений времени центрального моторного проведения по кортикоспинальному тракту свидетельствовало о высоком риске появления неврологической симптоматики и данной группе пациентов предлагалась ламинопластика для профилактики развития миелопатического синдрома. При отсутствии указанных операция не предлагалась.
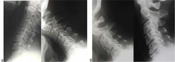
Для исключения сегментарной нестабильности всем больным до операции выполнялось функциональное рентгеновское исследование, в послеоперационном периоде через 3—6 мес выполнялось повторное исследование, не выявившее признаков нестабильности у пациентов нашей группы (рис. 11).

Рис. 11. Пример послеоперационных функциональных рентгенограмм через 16 мес. Признаки сегментарной нестабильности отсутствуют.
Осложнения
У 3 (10,2%) больных развился парез С5, регрессировавший самостоятельно к моменту выписки. Анализ иностранной литературы показал, что данное осложнение встречается в 8% случаев [6, 8]. Так, в работе К. Sasai и Т. Saito [10] в группе с одномоментной фораминотомией дефицита С5 корешка не отмечено, в группе без фораминотомии на указанном уровне выявлено 4 случая пареза С5.
У 1 (3,3%) пациента, с учетом данных дооперационных МРТ, выполнена ламинопластика С3—С4, С6. Был получен хороший послеоперационный исход, однако на контрольной МРТ отмечены нарастание выраженности компрессии на уровне С5 и появление клинической симптоматики (рис. 12). Поэтому первичное оперативное вмешательство позже было дополнено ламинопластикой С5.

Рис. 12. МРТ пациента П. а — МРТ до операции: стрелкой указана компрессия; б — МРТ того же пациента через 3 мес декомпрессии: стрелка указывает сохранение компрессии на уровне С5; в — МРТ после повторного вмешательства: компрессия ликвидирована.
У 1 (3,3%) пациента на контрольной МРТ выявлена напряженная гематома со сдавлением спинного мозга, больному выполнено ревизионное оперативное вмешательство с хорошим клиническим исходом.
В одном случае у больного в раннем послеоперационном периоде развилась выраженная атаксия. Проведенное МРТ-исследование хирургических осложнений не показало. Пациент направлен на реабилитацию с последующим хорошим клиническим исходом.
При оценке болевого синдрома в послеоперационном периоде использовалась визуально-аналоговая шкала — среднее значение по ней составило 2—3 балла, т. е. получен хороший результат.
Результаты наших исследований указывают на необходимость корректного и всестороннего анализа неврологического статуса, нейровизуализационной картины и данных нейрофизиологических исследований у пациентов с шейной миелопатией. Ламинопластика, как адекватный метод лечения, является альтернативой передней декомпрессии, не уступающим ей, а в ряде случаев (протяженные стенозы) имеющим неоспоримые преимущества. Правильно выбранная тактика лечения позволяет значительно улучшить клинический статус пациентов данной группы. Ламинопластика довольно проста в выполнении и не требует от нейрохирурга каких-либо особых, специальных навыков. Малые финансовые затраты на операцию позволяют активно внедрять ее в условиях региональных и областных нейрохирургических стационаров. Метод является «золотой серединой» между большими передними декомпрессиями (многоуровневой корпорэктомией с фиксацией) и стандартной ламинэктомией.
Конфликт интересов отсутствует.
В статье описывается начальный опыт авторов в применении экспансивной ламинопластики для лечения шейного стеноза позвоночника.
Авторы подробно описывают как методику, так и проблемы и осложнения, связанные с данным типом операций. Это полезно для отечественной нейрохирургии, где использование иностранных источников в ежедневном повышении своего образования не является характерным модусом поведения практикующего нейрохирурга.
Что касается преимуществ и недостатков представленной авторами методики по сравнению с передним доступом, определения показаний к вмешательству, то работа не ставит целью освещать именно эти вопросы. Работа авторов дает уверенность, что по мере накопления научных разработок нейрохирургической практики и информации по катамнезу команда проф. А.О. Гущи представит новые работы по эффективности и дифференциальному использованию всех методов лечения шейной миелопатии, обусловленной стенозом позвоночного канала.
Ламинэктомия позвоночника: показания к операции, виды хирургии и риски
Ламинэктомия - нейрохирургическая операция на позвоночнике, которая предназначена для устранения компрессии спинного мозга и нервных спинномозговых окончаний, спровоцированной различными патологиями и травмами позвоночного столба. Декомпрессия достигается путем резекции дужек позвонков, остистых отростков, межпозвонковых суставов, желтой связки, в результате чего сокращается давление на чувствительные спинальные структуры. В итоге нормализуется нервная транспортная передача, а боли, парестезии и парезы прекращаются.

Схематичное изображение места удаления костной ткани.
В ходе сеанса, в зависимости от особенностей клинической картины, может быть выполнена частичная или полная эктомия того или иного элемента, оказывающего компрессионное воздействие, с целью создания дополнительного резервного пространства для спинномозговых образований. Нередко ее завершающим этапом выступает установка специальных стабилизирующих систем для усиления опорных функций прооперированного отдела.

Наибольшее распространение операция получила при стенозах позвоночного канала. Как показывают практические наблюдения, сужение диаметра позвоночного канала диагностируется довольно часто, причем в 75% случаев на уровнях поясничного отдела. На люмбальном уровне l4 l5 такого типа нарушение обнаруживается чаще всего, немного реже его определяют на l3 l4. Таким образом, зона l3 l5 (от 3-го до 5-го позвонка) в целом является тем основным эпицентром, где стеноз преимущественно локализируется. И ламинэктомия по поводу стеноза, соответственно, применяется на указанных уровнях чаще, чем где-либо. Что касается остальных отделов, патологию спинального канала в шейной части позвоночника выявляют примерно в 25% случаев, в грудном отделе недуг развивается крайне редко.
Впервые ламинэктомия была открыта британским нейрофизиологом Горслеем в 1887 году, можно сказать, непосредственно в момент оперирования 42-летнего больного, конечности которого уже практически отказали из-за опухоли спинного мозга. Хирург, обнажив позвоночник, сначала не обнаружил никакого опухолевого образования. Так, ему пришла идея скусить дужку вышерасположенного позвонка, после чего он увидел новообразование и благополучно его удалил. Молодой пациент был спасен от парализации, он прожил долгую, длиной в 33 года, жизнь на своих ногах.
Ламинэктомия может проводиться как самостоятельная процедура, так и использоваться в комбинации с другими оперативными вмешательствами на позвоночнике. Например, помимо своего основного предназначения, данный вид хирургии часто необходим для создания доступа при вмешательствах на спинном мозге, таких как удаление опухолей или инородных тел. В отдельных ситуациях хирургическая тактика задействуется при удалении межпозвонковой грыжи, чтобы обеспечить более удобный к ней доступ. Иногда к ней обращаются для исправления искривлений и деформаций позвоночника, например, при патологических кифозах.
Сразу отметим, что процедура относится к разряду травматичных вмешательств, так как предполагает иссечение важных структурообразующих элементов позвоночной системы, а после - длительное и нелегкое восстановление. Прошло более 100 лет с момента внедрения в практику ламинэктомии и, конечно, современная операция отличается меньшей инвазивностью и рисками последствий. Но и ее более щадящие аналоги, в числе которых эндоскопическая методика, все равно являются агрессивными способами. Поэтому такой подход задействуется в исключительно редких ситуациях и по строгим показаниям, когда медицинскую проблему совсем невозможно разрешить другими, более корректными и органосберегающими методами нейрохирургии.
Виды ламинэктомии и основные показания
Ламинэктомия позвоночника может быть выполнена согласно одному из нескольких технических вариантов. Принцип вмешательства выбирается с учетом состояния позвоночной системы, типа и специфики заболевания. Итак, в современной нейрохирургии, вертебрологии и ортопедии используются такие ведущие декомпрессивные методики, как:
- гемиламинэктомия - процедура по удалению дужки только 1-го позвонка с одной стороны или его дужек одновременно с обеих сторон с сохранением остистых отростков;
- интерламинарная ламинэктомия - способ, при котором частично резецируется желтая связка, а также дуга не только пораженного позвонка, но и дужки позвонковых тел, прилежащих к нему;
- тотальная операция - прием, при котором позвонковая дужка иссекается вместе с остистым отростком;
- костно-пластическая ламинэктомия - объемная операция ламинэктомии с последующим закрытием дефектов костным аутологичным материалом, аллотрансплантатом или искусственной тканью.
Перед выполнением ламинэктомии (процесс хорошо отображен в видео) сначала производят скелетирование со стороны созданного доступа. Скелетирование позвонков заключается в обнажении на уровне пораженного позвоночно-двигательного сегмента основных частей, подлежащих резекции: дуг, остистых отростков, фасеток. Обнажение дужек и остистых отростков шейного отдела сопряжено определенными трудностями. Верхушки дуг здесь раздвоены, глубоко погружены и покрыты внушительным мускульным массивом, а отростки отличаются повышенной подвижностью и низкой прочностью. Поэтому данный отдел требует от хирурга самого что ни на есть высочайшего профессионализма, богатейшего опыта, мегаточности производимых действий и аккуратности.
Конечно же, таким требованиям должен удовлетворять каждый хирург, независимо от того, какая область оперируется. Даже одна маленькая погрешность, допущенная в ходе манипуляций на позвоночнике, может для пациента закончиться весьма плачевно, привести к необратимым повреждениям нервной ткани и вещества спинного мозга, хронической боли, парализации и пр. Так что выбирайте себе врача особенно тщательно.
Итак, операция может быть целесообразна при следующих патологических состояниях, которые обусловили сдавление спинного мозга и нервных корешков:
- межпозвоночные грыжи крупных размеров;
- внутрисуставные и позвонковые остеофиты,
- опухоли позвоночника (костные, спинного мозга и пр.);
- арахноидальные кисты и субарахноидальные спайки;
- защемления спинного мозга травматического генеза;
- врожденные аномалии позвоночника;
- серьезные искривления и деформации хребта (в этом случае иногда имеет смысл прибегать к такой процедуре даже при отсутствии нервных защемлений и стеноза).
При всех вышеперечисленных патологиях вопрос о надобности подобного вмешательства рассматривается строго в индивидуальном порядке. Безусловно, учитывается степень сдавления, тяжесть неврологического дефицита и интенсивность болевого синдрома. Процедура ламинэктомии может быть рекомендована, если консервативные мероприятия не дают эффекта или существует явная угроза физической состоятельности и жизни пациента.
Техника декомпрессивной операции
Сразу отметим, что такой хирургический подход определенным образом чреват дестабилизацией ламинэктомированных костных тел. Поэтому довольно часто возникает необходимость в проведении ламинэктомии с фиксацией позвонков, то есть совместно со спондилодезом. А это означает, что по завершении основного процесса хирургии пара или несколько позвонков могут быть скреплены между собой специальной металлической пластиной, возможно, дополнительно понадобится произвести трансплантацию костной ткани, взятой у пациента из подвздовшной кости. Благодаря произведенной фиксации соединенные элементы хоть и будут обездвижены, каких-либо существенных ограничений подвижности люди, как правило, не испытывают.

Сращение позвонков на рентгене.
Ведущий критерий для показания к оперативному вмешательству - патологическая узость позвоночного канала, компрессия спинномозговых корешков и пережатие спинного мозга. Каким образом происходит операционный сеанс? Далее нами будет изложена техника операции в доступной для понимания форме.
- Процедура выполняется в 90% случаев под общей анестезией. Пациента укладывают в одном из положений: лежа на животе или на боку. Сеанс проходит, как правило, под рентгеноскопическим контролем.
- После широкой обработки антисептиками операционного поля осуществляется разметка для будущего разреза.
- Далее хирург в нужном месте линейно разрезает кожу, подкожную жировую клетчатку и фасции вдоль остистых отростков до их верхушек. Разрез по длине делают таким, чтобы его границы заканчивались на один позвонок выше и на один ниже от предполагаемой зоны открытия спинального канала.
- С целью обеспечения хорошего доступа выполняется разведение разрезанных мягких тканей при помощи ретрактора. Во избежание массивных кровопотерь проводят их тампонаду.
- Затем реализуется отслоение мышечных волокон от дужек, а при необходимости и от остистых отростков. После скелетированные единицы «перекусывают» специальными щипцами и извлекают из анатомического пространства наружу.
- Неотъемлемым этапом выступает удаление тех образований, которые собственно, и стали виновниками компрессии. Например, удаление межпозвонковой грыжи, спаек, костных наростов по краям позвонков, опухоли и т. п.
- Если специалист считает необходимым провести стабилизацию позвонков, дабы воспрепятствовать формированию нестабильности, на нужный участок позвоночника устанавливают специальные опорно-стабилизирующие конструкции, вживляют трансплантаты или синтетические заменители костной ткани.
- Финальный этап заключается в герметичном наложении швов в несколько этажей, начиная с продольных и поверхностных мышц, затем переходят к фасциям, а последним слоем шовного материала стягиваются кожные края раны. В общей сложности весь сеанс длится приблизительно 2-3 часа.
Послеоперационный период и возможные осложнения
На положительный результат после такого многосложного вмешательства можно рассчитывать только при условии безупречно организованного послеоперационного периода. И вам следует четко понимать, что качественная реабилитация крайне (!) важна даже после идеально проделанной операции. И в первую очередь для того, чтобы предупредить и не допустить последствия, полноценно восстановить опорно-двигательные функции и позвоночника, и абсолютно всех частей опорно-двигательного аппарата.
После самостоятельной операции выписка возможна обычно уже на 3 сутки. Однако так как данная методика зачастую является частью многих других спинальных методов хирургии, порой довольно сложных, не исключено, что госпитализация продлится более длительное время. Вне зависимости от срока пребывания пациента в больнице, ему в дальнейшем обязательно нужно будет оформиться в хороший реабилитационный центр, где он получит грамотный курс послеоперационного лечения и физического восстановления.
Каковы сроки реабилитации после декомпрессивной ламинэктомии? Все зависит от изначального диагноза, объема резекционных манипуляций, индивидуальных особенностей организма пациента. На полное восстановление в среднем уходит около 2-4 месяцев, но к несложной профессиональной деятельности, не сопряженной повышенным физическим трудом, обычно разрешается вернуться спустя 3 недели. Обязательно назначается дата следующей контрольной диагностики, ориентировочно на 10-14 сутки после оперативного вмешательства.

Положение тела при хирургии.
Теперь, что касается особенностей раннего периода, здесь стоит сказать, что пока человек не придет в сознание после наркоза и еще на протяжении нескольких часов, он будет находиться в отделении интенсивной терапии. За его состоянием будут пристально наблюдать высококвалифицированные медики, постоянно отслеживая показатели работы внутренних органов и систем (легких, сердца и пр.) на специализированном оборудовании. Уже с первых часов начинают вводить антибиотики для профилактики инфекционного патогенеза. Примерно 24 часа показан строгий постельный режим. При удовлетворительном самочувствии на следующий день переводят в обычную палату.
На 2-е сутки врач разрешает потихоньку вставать и спокойно ходить по палате, безусловно, если к этому нет противопоказаний. Рекомендуется ношение ортопедических приспособлений (воротник, бандаж, корсет). Сразу же начинают приступать к облегченной ЛФК в положении лежа. Вся реабилитационная программа включает несколько этапов, которые базируются на двух основных методах - лечебной физкультуре и физиотерапи. Лечебная гимнастика и физиотерапевтические процедуры рекомендуются исключительно специалистом! Кроме того, пациенту выписывается прием некоторых медикаментозных препаратов, например, препараты кальция, противотромбозные средства, обезболивающие и противовоспалительные лекарства и др. Медикаментозная схема лечения должна так же ответственно соблюдаться, как и меры физической реабилитации.

Восстановление после операции.
Осложнения после ламинэктомии
Хотим сразу предупредить, что безупречно выполненная нейрохирургическая операция, плюс не менее идеально пройденная реабилитация, - залог успешного исхода. Негативные реакции способны в редких случаях последовать в виде:
- интоксикации организма от общей анестезии;
- нарушения стабильности позвоночника;
- глубокого инфекционного воспаления раны или оболочки спинного мозга;
- тромбоза глубоких вен нижних конечностей, редко тромбоэмболии;
- интраоперационного повреждения нервной ткани, что выражается слабостью, параличом, онемением конечностей, дисфункцией мочевой системы и кишечника (недержанием мочи, кала);
- прогрессирующих дегенеративных процессов в других отделах позвоночного столба;
- искривления позвоночной оси (чаще деформация возникает у детей и подростков), вывихами и подвывихами позвонков, хроническим болевым синдромом.
Вероятность благополучного исхода, касающегося существенного снижения симптомов того заболевания, по поводу которого выполнялась данная процедура, равна примерно 80%-85%. Риски осложнений высокие только в отношении развития нестабильности позвоночника (10%), по причине чего возникает потребность в ревизионной (повторной) операции.
Ламинопластика
Ламинопластика — это нейрохирургическая операция, проводимая при стенозах позвоночника и других патологиях, приводящих к компрессии позвонков и сдавливании нервных корешков. В медицинском центре «СМ-Клиника» ламинопластика выполняется на всех отделах позвоночника: шейном, грудном, поясничном.
Подготовка к операции
Перед назначением ламинопластики будет проведено всестороннее обследование пациента, направленное на подтверждение диагноза, а также исключения возможных противопоказаний к проведению хирургического вмешательства.
В перечень необходимых процедур входят:
- МРТ или КТ позвоночника;
- анализы крови (коагулограмма, общий и биохимический анализы, исследования на наличие гепатитов, сифилиса, ВИЧ);
- общий анализ мочи;
- электрокардиограмма;
- рентген грудной клетки.
Воспользуйтесь уникальной возможностью и получите бесплатную консультацию по поводу плановой операции.
Ход операции
Ламинопластика проводится под полным наркозом. В ходе вмешательства за состоянием пациента будет следить анестезиолог. Техника ламинопластики зависит от локализации патологии, состояния здоровья пациента, сопутствующих симптомов, степени компрессии нервных корешков.
В ходе вмешательства хирург сделает разрез там, где выявлена патология. Затем производится удаление позвонка и окружающих тканей, оказывающих давление на спинной мозг и нервные окончания. Вместо удалённых костей врач поставит и закрепит трансплантат. По окончании хирургических манипуляций разрезы зашиваются.
Сразу после операции пациента переводят в палату в стационарное отделение. Продолжительность пребывания в клинике зависит от состояния пациента.
Реабилитация
Реабилитационный период после ламинопластики может растянуться до 3 месяцев. Продолжительность восстановления и её особенности зависят от места проведения операции, возраста пациента и других индивидуальных особенностей.
Чтобы узнать все подробности о ламинопластике и других операциях, выполняемых на позвоночнике в медицинском центре «СМ-Клиника», запишитесь на приём к специалисту.
Стоимость предварительная. Точную стоимость операции может определить только хирург на бесплатной консультации.
Вас также может заинтересовать
Специалисты данного направления 3 врача
Наши отделения в Санкт-Петербурге
Запись на прием, травмпункт и забор анализов
- Работает с 09:00 до 22:00 ежедневно
- Все процедурные кабинеты работают с 08:00 до 22:00 ежедневно
- Травмпункт работает круглосуточно
- Работает с 08:00 до 22:00 ежедневно
- Все процедурные кабинеты работают с 08:00 до 22:00 ежедневно
- Травмпункт работает с 08:00 до 22:00 ежедневно
This site is protected by reCAPTCHA and the Google Privacy Policy and Terms of Service apply.
Используя данный сайт, вы подтверждаете свое согласие на использование файлов cookie. Если вы не согласны с этим, то можете поменять настройки вашего браузера или отказаться от использования данного сайта.
Читайте также:
