Техника медиального доступа к пяточной кости
Добавил пользователь Владимир З. Обновлено: 21.01.2026
1 ФГБУ «Уральский научно-исследовательский институт травматологии и ортопедии им. В.Д. Чаклина» Минздрава России
Работа представляет авторскую методику оперативного лечения внутрисуставных оскольчатых переломов пяточной кости и может использоваться в том числе при двусторонних переломах. Основной проблемой лечения данного вида повреждений является местное воспаление, приводящее в ряде случаев к тяжелым нагноениям, следствием которых может быть (по данным литературы) даже ампутация стопы. Оригинальная методика заключается в проведении первым этапом дистракционного остеосинтеза нижней трети голени и стопы, устранения имеющегося смещения отломков пяточной кости. Вторым этапом выполняется закрытая элевация импрессированной суставной поверхности и окончательная репозиция пяточной кости через минидоступ и фиксация отломков стержнем с блокированием. У прооперированного пациента в срок 2,5 мес. достигнута консолидация пяточной кости с восстановлением опорной функции конечности, сохранена коррекция положения отломков кости, достигнутая во время операции. При этом инфекционных осложнений в виде нагноений, краевых некрозов кожи не зафиксировано.
1. Asik M., Sen C. Surgical management of intraarticular fractures of the calcaneus // Arch. Orthop.Trauma Surg. - 2002. - Vol. 122, № 6. - P. 354-359.
2. Coughlin M.J., Mann R.A., Salzmann C.L. Surgery of the foot and ankle. - 8th ed. - 2007. - Vol. 11. - 2061 p.
3. Ebraheim N.A., Mehalik J.N., Rezcallah A.T. Internal Architecture of the Calcaneus: Implication for Calcaneus Fractures // J.foot and ankle surgery. - 2000. - Vol. 21, № 1. - Р. 323-325.
4. Hutchinson F., Huebener M.K. Treatment of the os calcis fracture by open reduction and internal fixation // Clin. Orthop. - 1993. - Vol. 290. - P. 41-46.
5. Sanders R. [et al.] Results using a prognostic computed tomography scan classification // Clin. Orthop. - 1993. - Vol. 290. - P. 87-95.
Неудовлетворительные исходы лечения тяжелых компрессионных переломов пяточной кости варьируют от 13 до 80,5 % [3], притом что сами переломы пяточной кости составляют 1,1-2,9 % от всех повреждений костей скелета и 40-60 % от всех переломов костей стопы [2], а 75 % переломов пятки являются внутрисуставными [5]. По данным различных авторов первичный выход на инвалидность при переломах пяточной кости составляет от 15 до 78 %, а приблизительно 90 % больных данной категории - это люди молодого и трудоспособного возраста от 18 до 55 лет [1, 4]. Перечисленные статистические показатели подтверждают актуальность дальнейшей оптимизации методик оперативного лечения внутрисуставных переломов пяточной кости.
Материалы и методы исследования
Нами представляется типичный клинический пример оперативного лечения внутрисуставного перелома пяточной кости.
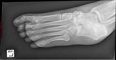
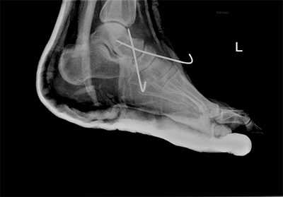
Пациент М. 1980 г.р., травму получил при падении на стопы с высоты 1,5 метра. Лечился по месту жительства (в травмпункте районной больницы) консервативно в гипсовой повязке в течение 14 дней. Консультирован в травматологическом отделении ФГБУ «УНИИТО им. В.Д. Чаклина» Минздрава РФ, предложено оперативное лечение. При поступлении кожные покровы стопы чистые, без признаков воспаления и сдавления тканей. Стопа отечна, уплощена. На рис. 1 представлены рентгенограммы пациента. Прооперирован через 2 недели после травмы. Операция состоит из двух этапов. Первый этап заключается в наложении дистракционного аппарата. Проводятся две спицы 1,8 мм во фронтальной плоскости: первая через нижнюю треть диафиза большеберцовой кости, вторая через бугор пяточной кости (рис. 2). Спицы фиксируются в дистракционном аппарате, выполненном из двух полуколец, соединенных между собой двумя телескопическими тягами. Особое расположение полуколец, фиксация спиц на концах полуколец, крепление кронштейнов для телескопических тяг обеспечивает тракцию пяточной кости в необходимом направлении с использованием минимального количества спиц и внешних опор при сохранении необходимого поля обзора для проведения рентгенологического и визуального контроля репозиции и фиксации. Второй этап - закрытая элевация импрессированной суставной поверхности и окончательная репозиция пяточной кости. Через разрез длиной до 1 см по латеральному краю ахиллова сухожилия (рис. 3) в месте его прикрепления к пяточной кости под соответствующий фрагмент подводится элеватор (рис. 4), манипуляцией которым устраняется смещение и выполняется провизорная фиксация спицами 1,5 мм (рис. 5). При сагиттальном раскалывании суставной фасетки целесообразно проведение одного-двух винтов субхондрально (рис. 6). Стержень вводится с дорзальной поверхности пяточной кости по ее оси через разрез до 2 см по предварительно сформированному остеотомом каналу (рис. 7, 8). Далее через проколы кожи с помощью кондуктора (рис. 9) выполняется запирание винтами с латеральной поверхности, внешнее устройство демонтируется. Достигнуто удовлетворительное стояние отломков (рис. 10).
Результаты исследования и их обсуждение
В послеоперационном периоде внешняя иммобилизация не применялась. Лечебная физкультура голеностопного и подтаранного суставов назначалась с первых суток после операции. Двигательный режим - без опоры на поврежденную стопу до 2,5 месяцев после операции. Разработка движений в голеностопных суставах начата с первых суток после операции. В послеоперационном периоде пациент принимал только обезболивающие препараты в течение трех дней, дополнительной медикаментозной терапии не требовалось. Ходьба на костылях без опоры на оперированную конечность начата с первых суток после операции до 2,5 месяцев. Дозированная нагрузка с доведением до полной назначена к 3 месяцам после оперативного лечения. Пациент реабилитирован полностью, исходом оперативного лечения доволен, приступил к труду по основному месту работы.


Рис. 1. На рентгенограмме левой стопы в прямой и боковой проекциях определяется оскольчатый внутрисуставной перелом левой пяточной кости

Рис. 2. Первый этап оперативного лечения - наложение дистракционного аппарата

Рис. 3. Под контролем ЭОП из разреза длиной до 1 см латеральнее места прикрепления ахиллова сухожилия выполняется элевация суставной поверхности пяточной кости



Рис. 4. Устранение смещения отломка


Рис. 5. Провизорная фиксация репонированной суставной поверхности спицами


Рис. 6. Окончательная фиксация компрессирующим винтом, введенным субхондрально


Рис. 7. По оси пятки проводится спица, по которой затем канюлированным сверлом формируется канал для введения стержня


Рис. 8. Вводится стержень на кондукторе. Данная иллюстрация показывает, что компоновка аппарата внешней фиксации не создает помех для кондуктора


Рис. 9. Внешний вид конечности после демонтажа аппарата и снятия кондуктора


Рис. 10. На рентгенограмме левой стопы в прямой и боковой проекциях определяется удовлетворительное стояние костных фрагментов на фоне металлофиксатора
Предлагаемый авторами способ оперативного лечения переломов пяточной кости является малотравматичным эффективным вариантом хирургического вмешательства, позволяющими профилактировать возможные типичные осложнения, такие как нагноения, и достигать сращения кости в физиологические сроки консолидации.
Рецензенты:
Герасимов А.А., д.м.н., профессор, зав. кафедрой медицины катастроф, ГБОУ ВПО «Уральская государственная медицинская академия» Минздрава РФ, г. Екатеринбург;
Борзунов И.В., д.м.н., зам. декана лечебно-профилактического факультета, ГБОУ ВПО «Уральская государственная медицинская академия» Минздрава РФ, г. Екатеринбург.
Техника медиального доступа к пяточной кости
- Обувь по индивидуальной ортопедической колодке
Повреждение подтаранного сустава

Строение
Рис. 1. Пронация и супинация стопы, подтаранный сустав, вид снаружи
Подтаранный сустав образован двумя костями: таранной и пяточной. Таранная кость имеет в своем составе тело, или задний отдел и головку или передний отдел. Между передним и задним отделами находится шейка кости. Верхняя часть тела образует блок, который контактирует в голеностопном суставе с большеберцовой и малоберцовой костями. Спереди головка тарана сочленяется с ладьевидной костью. На нижней поверхности таранной кости есть суставные фасетки: передняя, медиальная и задняя, самая большая из всех фасеток. Она отделена от медиальной и передней фасеток бороздой. Фасетки являются суставными поверхностями, которыми таранная кость сочленяется с пяточной костью. Пяточная кость состоит из тела или задней части и переднего отростка или передней части и отростка, который поддерживает таранную кость. На отростке есть суставная поверхность для контакта с кубовидной костью. На отростке сверху расположена верхняя и средняя суставная поверхность. На теле кости находится задняя суставная поверхность, самая большая по размерам. Между суставными поверхностями пяточной кости расположена глубокая борозда. Сустав может состоять из трех или двух фасеток, что является наиболее частым вариантом, который встречается в почти в половине случаев. Фасетки могут сливаться в одну или могут быть разделены бороздой, которая имеет разную глубину. Описаны случаи асимметричного строения фасеток сустава слева и справа. Между таранной пяточной костями находится тарзальный синус. Это полость конической формы, которая проходит наискось от латерального к медиальному краю стопы. По внутреннему краю стопы синус переходит в тарзальный канал, который оканчивается рядом с поддерживающим отростком пяточной кости и содержит связки. Это межкостная таранно-пяточная связка, шейная связка, передняя таранно-пяточная связка, латеральная таранно-пяточная связка и нижний ретинакулум разгибателей. Связки отделяют фасетки таранной кости друг от друга, поддерживают дистанцию между таранной и пяточной костями, препятствуют супинации в подтаранном суставе, больше, чем пронации, обеспечивают стабильность заднего отдела стопы в стоянии и при движении, удерживают таранную и пяточную кости от смещающих усилий, которые действуют на пятку снаружи внутрь. Шейная связка - самая прочная из связок, которые соединяют таранную и пяточную кости, ограничивает инверсию заднего отдела стопы. Ретинакулум удерживает сухожилия разгибателей и препятствует их избыточному натяжению, ограничивает инверсию заднего отдела стопы. Наибольшая подвижность блока таранной кости в вилке голеностопа отмечается в положении стопы между нейтральным и углом сгибания 15°.

Рис. 2. Подтаранный сустав, суставные фасетки таранной и пяточной костей
(Krähenbühl N, Horn Lang T., Hintermann B., Knupp M. The subtalar joint. 2017, EFFORT, Open Reviews 2(7):309-316).

Рис. 3. Рентгенограмма подтаранного сустава
Врожденная патология и травма
В подтаранном суставе существует ряд патологических состояний, которые оказывают влияние на его функцию.
• Дисплазия подтаранного сустава. Наиболее частым диспластическим дефектом подтаранного сустава является уплощение суставных фасеток, нарушение расположения и уменьшение их числа. Обычно при дисплазии происходит деформация задней фасетки, что вызывает нарушение стабильности сустава. Деформации способствует эксцентричная нагрузка на стопу. Нестабильности подтаранного сустава способствует дисплазия сустава, диспластический двухфасеточный сустав, который обладает малой устойчивостью.
Нестабильность переднего отдела сустава, который механически более устойчив, чем задний, встречаются реже. При дисплазии из нескольких суставных поверхностей образуется одна большая фасетка. Единая фасетка нарушает стабильность сустава сильнее, если в нем, вместо двух-трех фасеток, имеется одна цельная. Дисплазия фасеток нарушает конгруентность подтаранного сустава, вызывает появление новой степени свободы движения в сочленении и облегчает одновременное смещение в голеностопном и подтаранном суставах. Смещение выражено больше во фронтальной плоскости и меньше в сагиттальной плоскости. Нестабильность не может быть компенсирована работой мышц, которые не в состоянии удержать таранную кость от патологической подвижности.
• Нестабильность подтаранного сустава развивается в результате травмы переломо-вывиха, вывиха или острого растяжения связок, хронической перегрузке стопы, перерастяжения связок у пациента с гипермобильностью суставов. К потере стабильности подтаранного сустава ведет повреждение латеральных связок, шейной связки, межкостной таранно-пяточной связки. Вывих подтаранного сустава бывает чаще медиальный и, реже, латеральный. При вывихе в таранно-ладьевидном суставе, или в таранно-пяточном суставе стопа принимает положение сгибания и супинации. Латеральный вывих происходит, в основном, при высокоэнергетической травме. Для наступления медиального вывиха достаточно повреждающей силы с обычным уровнем энергии. При этом стопа принимает положение пронации и теряет опороспособность. Нестабильность сустава чаще всего возникает при разрыве передней таранно-малоберцовой связки. При нестабильности появляется патологическая подвижность суставных концов во время сгибания и супинации стопы. У больного с повреждением межкостной таранно-пяточной и шейной связок происходит увеличение подвижности в подтаранном суставе во всех направлениях. Амплитуда разгибания стопы возрастает наполовину. У больного с сочетанием повреждения межкостной пяточно-таранной связки с пяточно-малоберцовой связкой увеличивается суставная щель и амплитуда смещения костей возрастает на 1/3. При повреждении межкостной таранно-пяточной, пяточно-малоберцовой и передней таранно-малоберцовой связки таранная кость смещается наружу. При повреждении связок подтаранного сустава и медиальных связок голеностопа развивается нестабильность стопы. У пациента появляются боли в стопе, нарушается устойчивость сустава. На ранних стадиях нестабильности защитное напряжение мышц позволяет компенсировать нестабильность сустава на далеко зашедших стадиях заболевания доминирует патологическая подвижность тарана. Пациент жалуется, что во время ходьбы стопа неустойчива и при постановке стопы на опору возникает неуверенность. При нестабильности подтаранного сустава диагностируют синдром тарзального канала, причиной которого является повреждение одной или нескольких связок. Разрыв или растяжение связок происходит при подворачивании стопы во внутрь. При осмотре у больного определяется гематома, а также неустойчивость стопы в заднем отделе во время нагрузки на ногу. При синдроме тарзального канала пациент жалуется на боль в середине стопы, которая иррадиирует в заднем направлении. При застарелых, нелеченных повреждениях подтаранного сустава развивается артрозо-артрит. Дегенерация сустава осложняет переломы и вывихи таранной кости. На костях разрастаются остеофиты, происходит ограничение движений не только в подтаранном, но и в голеностопном суставах. Боль становится тупой и носит постоянный характер. Пациент становится метеозависимым. Перед пациентом с артрозом встают проблемы с обувью.
![]() | ![]() |
| Рис. 4. Артроз подтаранного сустава после перелома таранной кости | Рис. 5. Артрозо-артрит подтаранного сустава |
Лечение
При травматическом вывихе подтаранного сустава его вправляют. Для репозиции колено и стопа сгибают под прямым углом. Делают тягу за передний отдел стопы для того, чтобы пяточная, таранная и ладьевидная кости разошлись между собой. После растяжения стопу пронируют, отводят и разгибают к тылу. При трудной репозиции давят на головку таранной кости. Если вывих стабильный накладывают гипсовую иммобилизацию сроком на 3-4 недели. При переломо-вывихе, когда сломана шейка таранной кости без смещения, делают закрытую репозицию и накладывают гипсовую повязку сроком на 4 недели. При остром изолированном повреждении связок применяют консервативное лечение с иммобилизацией сустава. При хронической нестабильности подтаранного сустава к консервативному лечению прибегают, когда имеется патологическая подвижность в суставах, слабость мышц голени, а также неустойчивость стопы в ходьбе. Делают упражнения ЛФК, которые направлены на укрепление мышц голени и растяжение ахиллова сухожилия. Тренируют удержание равновесия на балансировочной платформе для уменьшения подворачивания стопы. Проводят курс электростимуляции мышц. При теносиновите для снятия воспаления применяют пероральный курс НПВП, в тарзальный канал вводят кортикостероиды. При синдроме тарзального канала рекомендуют покой, щадящие движения, криоаппликации, стелечные ортезы для ограничения пронации стопы, подбор обуви. Для уменьшения отека и боли делают тейпинг и бинтование заднего отдела стопы.
Лечение нестабильности подтаранного сустава, при которой причиной боли является повышенная подвижность сустава, заключается в его стабилизации. Для стабилизации применяют обувные ортезы, стельки с супинацией заднего отдела и пронацией переднего отдела, что позволяет уменьшить подвижность при разгибании и пронации стопы. Ортез устанавливает стопу в нейтральном положении, уменьшает пронацию стопы. Ортез делают с пронатором под латеральный край стопы. Угол пронации составляет около 6° , что дает возможность ограничить супинацию стопы и уменьшить натяжение латеральных связок. В ортезе поднимают задний отдел для того, чтобы уменьшить натяжение большеберцового нерва и амортизировать ударные нагрузки.

Рис. 6. Стельки Персей с пронатором в переднем отделе стопы и выкладкой продольного свода

Рис. 7. Стельки Персей с дозированным подъемом в заднем отделе
• Артродез делают в далеко зашедших случаях недостаточности подтаранного сустава. Показанием к подтаранному артродезу является нестабильное плоскостопие, постоянный болевой синдром, отсутствие опороспособности нижней конечности. При операции очищают полость тарзального синуса от мягких тканей, делают релиз связок, удаляют хрящевое покрытие таранной и пяточной костей, пространство между костями заполняют костным аллотрансплантатом. Пятку устанавливают во фронтальной плоскости по оси голени, через пяточную и таранную кости проводят винты, которые осуществляют компрессию сустава и препятствуют ротации пятки. Гипсовая иммобилизация продолжается в течение 3 месяцев, на протяжении которых больной пользуется костылями.
![]() | ![]() |
| Рис. 8. Артродез подтаранного сустава с перекрестным положением фиксирующих винтов | Рис. 9. Артродез подтаранного сустава с параллельным положением фиксирующих винтов |
После операции больному рекомендуют ношение ортопедической обуви. Для удержания стопы в правильном положении, для того, чтобы избежать травм стопы делают обувь, в которой предусмотрены особенности функции стопы, вызванные как заболеванием, так и оперативным вмешательством. Для удержания заднего отдела стопы необходима конструкция с высоким задником и берцами. При тенденции к вальгусной деформации делают внутренний берец, при варусной деформации берец устанавливают снаружи стопы. Своим верхним краем берец достигает вершины лодыжки. У взрослого мужчины высота ладьевидной кости над поверхностью опоры колеблется в пределах 4 - 4, 5 см, высота внутренней лодыжки достигает 5,5 - 6 см. Резекция части подтаранного сустава вызывает укорочение конечности, которое, обычно не превышает 1-1,5 см. Такое укорочение компенсируется на ортезе. При выраженной нестабильности пациенту изготавливают тутор, который помещают внутрь обуви для того, чтобы удержать как голень, так и стопу. Повседневную обувь делают такой конструкции, чтобы она могла удержать задний отдел стопы в правильном положении с помощью берцев и задника.

Рис. 10. Стельки Персей с берцем при деформации стопы

Рис. 11. Тутор на голеностопный сустав и стопу.



Рис. 12. Обувь Персей с усиленным задником и внутризаготовочной поддержкой
Литература:
Krähenbühl N., Horn Lang T., Hintermann B., Knupp M. The subtalar joint. 2017, EFFORT, Open Reviews 2(7):309-316
Подошвенный фасциит
Характеристика заболевания
Подошвенный фасциит это воспалительный процесс в области прикрепления подошвенного апоневроза и всех окружающих перифасциальных структур к надкостнице бугра пяточной кости. Воспаление развивается в результате повышенной растяжимости фасции, что приводит к хронической микротравме с разрывами апоневроза и последующим развитием дегенеративного процесса. Синонимами названия фасциит являются пяточная шпора, подпяточная боль, синдром болезненной пятки, кальканеодиния.
Анатомия и функция апоневроза
Подошвенный апоневроз идет от медиального бугра пяточной кости к проксимальным фалангам пальцев стопы. В норме толщина подошвенного апоневроза по данным УЗИ колеблется от 3 до 8 мм. Подошвенная фасция стабилизирует стопу благодаря «эффекту лебедки», который заключается в том, что при отталкивании от опоры пятка оказывается растянутой в двух направлениях. Кверху ее тянет ахиллово сухожилие, а вперед ее тянет подошвенный апоневроз, который при опоре на пальцы, заворачивается вокруг головок плюсневых костей наподобие ворота лебедки. Апоневроз является пассивным стабилизатором свода стопы. Он поддерживает свод стопы, участвует в сгибании пальцев и уменьшает нагрузку на латеральный край стопы.
Причины фасциита
1. Избыточная пронация стопы при перекате. При вальгусе заднего отдела стопы, а также при плоском своде происходит уменьшение супинации в начале переката и увеличение пронации в середине и конце переката. Пронация вызывает перераспределение нагрузки по стопе, уменьшение нагрузки на латеральный край стопы и возрастание нагрузки на медиальный край и апоневроз. Во время избыточной пронации увеличивается натяжение апоневроза, что приводит к его растяжению в месте прикрепления к бугру пяточной кости. Постоянная пронация является причиной хронической микротравме апоневроза. По мере прогрессирования недостаточности подошвенной фасции возрастает нагрузка на головки плюсневых костей с увеличением давления под ними, что приводит к образованию омозолелости кожи в переднем отделе стопы.
2. Полая стопа. При полой стопе ее деформация носит относительно жесткий характер. У человека с полой стопой имеется увеличение угла наклона плюсневых костей за счет увеличения натяжения подошвенного апоневроза и утолщение подошвенного апоневроза. При полой стопе имеется отсутствие опоры на латеральный край стопы, уменьшение площади опоры стопы, что приводит к снижению возможности распределять нагрузку во время отталкивания от опоры. Нагрузка на средний отдел оказывается уменьшенной, а нагрузка на передний отдел и задний отдел оказывается увеличенной. В результате снижения возможности распределять давления по поверхности стопы развивается вторичное утолщение подошвенной фасции. Малая площадь опоры стопы является причиной высокого среднего давления под стопой, что способствует неприятным ощущениям в стопе.
Факторы, способствующие прогрессированию фасциита:
1. Большой вес тела, ожирение.
2. Ночной сон со сгибанием в голеностопном суставе под действием веса переднего отдела стопы и гипертонуса икроножной мышцы, что приводит к сокращению подошвенного апоневроза и постепенному развитию его контрактуры. Утром после пробуждения растяжение апоневроза на протяжении первых шагов оказывается болезненным. Ситуация усугубляется у пациентов с гипермобильностью суставов.
3. При фасциите клиническая симптоматика может быть обусловлена комплексом изменений, к которым относятся: воспаление, неврит первой ветви латерального подошвенного нерва, периневральный фиброз нерва, который иннервирует мышцу, отводящую 5 палец, шпора пяточной кости, травма пяточной области, периостит, травматический разрыв апоневроза, серонегативный артрит.
Симптоматика фасциита
Проявлениями фасциита являются боль в своде стопы, боль в латеральном отделе стопы, отек проксимального отдела стопы, слабость мышц стопы, хромота. При фасциите болевой синдром имеет свои особенности. Неприятные ощущения возникают утром после пробуждения при первых шагах пациента. Боль локализована по внутренней поверхности пятки и усиливается при разгибании пальцев. Если неприятные ощущения появились утром, то за день они полностью проходят. Кроме утренней боли, ощущение дискомфорта в стопе может возникнуть при переходе к движению после длительного сидения. Выраженность боли уменьшается при согревании ног.
Диагностика
При фасциите в результате длительного раздражения в области фиксации связки к пяточному бугру возникает воспалительная реакция, которая сопровождается болью на подошвенной поверхности стопы. На УЗИ отмечается утолщение толщины подошвенной фасции. Разница в толщине фасции на больной и здоровой стопах достигает 4 мм. Фасциит дифференцируют с невропатией пяточного нерва. Пациенты с невропатией предъявляют жалобы на боль в задней поверхности пятки на 4-5 см впереди от ее заднего края в области перехода боковой поверхности на подошвенную от медиальной лодыжки до края пятки. ЭМГ пяточного нерва оказывается без изменений.
Лечение
Основной метод лечения фасциита — консервативный. Консервативное лечение эффективно у 89% больных. Наиболее успешным является комплексное лечение, включающее в себя несколько методов. Каждый по отдельности метод дает меньший эффект от лечения, чем их комплексное применение.
Табл. 1
Частота применения и эффективность методов лечения фасциита
| Метод лечения | Частота применения (%) |
| Покой | 70 |
| НПВП | 69 |
| Ортезы | 63 |
| Модифицированная обувь | 48 |
| Подпяточный косок | 45 |
| Кортикостероиды | 41 |
| Тепловые процедуры | 29 |
| Холодовые процедуры | 27 |
| Ударно-волновая терапия | 24 |
1. Покой
Под покоем понимают пребывание в помещении и ходьба в пределах жилища по гигиеническим надобностям. К покою прибегают при остром приступе заболевания, в основном, у неработающих лиц, на протяжении суток, в сочетании с физическими упражнениями и физиотерапевтическими процедурами для подготовки к другим видам лечения.
2. Холодовые процедуры
Осуществляют в домашних условиях. К подошвенной поверхности стопы прикладывают пакет со льдом.
3. Физкультура с упражнениями на растяжение стопы
Делают растяжение трехглавой мышцы путем пассивного разгибания в голеностопном суставе при разогнутом колене. Выполняют растяжение камбаловидной мышцы путем пассивного разгибания голеностопного сустава при согнутом колене.
4. Подпяточный косок
Уменьшает степень натяжения ахиллова сухожилия и подошвенного апоневроза, облегчает ходьбу. Косок вставляют в обувь, или подбивают под каблук.
5. Конструкция ортеза
Требованиями к ортезу является ограничение пронации стопы для нормализации распределения нагрузки по стопе.
6. Амортизация нагрузок в ортезе
По степени амортизации в порядке убывания материал для ортезов распределяется следующим образом: силикон, резина, фетр, пластик. Ортез показан у людей, труд которых связан с ходьбой или длительным стоянием на протяжении более 8 часов. Наилучшими свойствами обладает сложный ортез из нескольких материалов, который уменьшает ударную нагрузку и ограничивает избыточную пронацию стопы.
7. Специальная обувь
Для постоянного растяжения апоневроза применяют рокерную обувь или обувь на подошве-качалке. В обуви толщина подошвы в переднем отделе меньше, чем в заднем. Благодаря разнице в высоте стопа во время переката перекатывается с пятки на носок относительно легче, что избавляет плюсне-фаланговые суставы от избыточного разгибания. Обычную обувь модифицируют для того, чтобы придать ей функцию ортопедической. Для этого в подошву помещают стальную шину с загнутым носочным концом. Она корригирует стопу и осуществляет необходимую разгрузку пальцев.
8. Шина голеностопного сустава
Шину на голеностопный сустав и стопу надевают на ночь. В шине достигается 5º сгибания стопы в голеностопном суставе по отношению к голени и 30º разгибания пальцев в плюснефаланговых суставах по отношению к плюсне. Шина устраняет контрактуру подошвенного апоневроза и ахиллова сухожилия, обеспечивает безболезненные первые шаги после сна. Эффект от лечения достигают в течение 1 месяца.
9. НПВП
Табл. 2.
Применение НПВП при болях в стопе
| Препарат | Доза | Действие | Противопоказания |
| Ибупрофен | 600-800 мг | Подавляют синтез простагландинов, снижают активность циклооксигеназы, снимают воспалительную реакцию и боль | Язвенная болезнь желудка и кишечника, почечная и печеночная недостаточность, пониженная свертываемость крови, повышенная чувствительность к препарату, гипертония, беременность |
| Кетопрофен | 25-50 мг | ||
| Напроксен | 500 мг |
10. Стероидные препараты
В поликлинической практике инъекции стероидов в область пяточного бугра делают приблизительно у половины пациентов с подошвенным фасциитом. В качестве стероидного препарата применяют инъекцию дипроспана (бетаметазона) в дозе 6 мг на 1 мл лидокаина. Инъекцию делают в пяточный бугор с внутренней стороны стопы. Однократная инъекция дает лечебный эффект у 41% пациентов на срок от 6 до 8 недель. При лечении курсом инъекций гидрокортизона обезболивающий эффект отмечают у 68% пациентов на срок более одного года. При применении стероидов возможны осложнения, приблизительно, в 1 случаев. Встречаются такие осложнения, как атрофия жировой ткани на подошвенной поверхности стопы или разрыв подошвенного апоневроза. При разрыве апоневроза происходит уменьшение боли в пятке и усиление боли по наружному краю стопы, которое носит непродолжительный период. После разрыва фасции наступает ослабление пассивной стабилизации стопы, ее дестабилизация, перераспределение нагрузки по стопе, растяжение структур по внутреннему краю стопы, сжатие структур по ее наружному краю, увеличение нагрузки на связки среднего отдела стопы и сухожилие задней большеберцовой мышцы. Развивается замыкание пяточно-кубовидного сустава с возникновением боли по наружному краю стопы. Недостаточность подошвенного апоневроза компенсируется другими структурами. При жестких связках компенсация наступает относительно быстрее, а при эластичных связках относительно медленнее. При повышенной растяжимости связок и гипермобильности дефект стабилизатора компенсируется хуже и разрыв фасции сопровождается длительной болью в стопе.
Комбинированное консервативное лечение
Оптимальным методом лечения подошвенного фасциита является сочетание нескольких методов воздействия на патологический процесс. Днем это ношение стелечного ортеза, или рокерной обуви, выполнение растягивающих упражнений, а ночью — это сон в шине.
Хирургическое лечение
Операции делают менее, чем у 10% больных подошвенным фасциитом. Показанием является сильная боль в пятке, инвалидизирующая больного.
Для лечения фасциита применяют следующие операции: удаление пяточной шпоры, фасциоэктомия, фасциотомия, невролиз, нейрэктомия, остеотомия пяточной кости, тунелизация пяточной кости, артроскопическая подошвенная фасциотомия.
Фасциотомия
Релиз подошвенной фасции осуществляют с помощью эндоскопической техники. Доступ к фасции делают на подошвенной поверхности стопы на 1 см дистальней медиального края пяточного бугра. Оптику направляют изнутри наружу. Вводят лезвие, которым рассекают фасцию в направлении от медиального к латеральному краю. Для достижения обезболивающего эффекта достаточно пересечь медиальную и центральную части фасции на протяжении 4/5, оставив приблизительно 1/5 поперечника фасции.
Невролиз
Разрез по внутренней поверхности пятки длиной 3 см, либо косой разрез в 2 см от края медиальной лодыжки. Выделяют ветви медиального пяточного нерва и мышцу, отводящую 1 палец. Отделяют поверхностную и глубокую фасцию, делают ее релиз. Под глубокой фасцией выделяют нерв, идущий к мышце, отводящий 5 палец. Нерв может быть прижат между фасцией и верхним краем мышцы. Фасцию вырезают по медиальному краю в месте ее прикрепления к пяточному бугорку на 1 см в ширину и глубину. Если нерв, идущий к мышце, отводящей 5 палец, травмируется пяточной шпорой, то производят декомпрессию нерва путем резекции шпоры. Декомпрессия нерва, идущего к мышце, которая отводит 5 палец и частичная резекция подошвенного апоневроза дает обезболивающий эффект в 75% случаев.
Мицкевич Виктор Александрович
Врач ортопед-травматолог, доктор медицинских наук
Повреждение сустава Шопара
Повреждение сустава Шопара
Строение сустава
Поперечный сустав предплюсны или сустав Шопара состоит из таранно-ладьевидного и пяточно-кубовидного суставов. В обоих суставах есть фасетки овальной формы, ось которых проходит по наибольшему диаметру овала. В нейтральном положении стопы оси находятся под углом, а в положении пронации стопы оси становятся параллельными. В положении супинации угол между фасетками достигает максимума. Он больше, чем угол в нейтральном положении и чем угол в положении пронации. Головка таранной кости имеет выпуклую поверхность, а головка ладьевидной кости, которая сочленяется с ней, имеет, соответственно, вогнутую поверхность. Площадь фасетки таранной кости больше, чем площадь фасетки ладьевидной кости. В сагиттальной плоскости сустав Шопара расположен на расстоянии 32-36% от крайней точки пяточного бугра.

Рис. 1. Сустав Шопара с наружной и внутренней поверхности

Рис. 2. Сустав Шопара по тыльной поверхности стопы. Сустав включает в себя пяточно-кубовидный и таранно-ладьевидный суставы
Сустав Шопара укреплен несколькими связками. На тыльной поверхности сустава имеются 4 связки.
- Вилкообразная пяточно-ладьевидно-кубовидная связка состоит из двух частей - пяточно-ладьевидной и пяточно-кубовидной, которые расположены наподобие буквы V. Связка соединяет между собой пяточную, ладьевидную и кубовидную кости, имеет наибольшее значение для удержания этих костей и носит название «ключа» сустава.
- Тыльная пяточно-кубовидная связка расположена более дорзально, чем вилкообразная.
- Длинная пяточно-кубовидная связка расположена более поверхностно, идет от пяточной к кубовидной кости и своими поверхностными волокнами достигает латеральных плюсневых костей.
- Короткая пяточно-кубовидная связка представляет собой широкое образование, которое имеет длину 2 см.
На подошвенной поверхности есть 3 связки.
1. Пяточно-ладьевидная или прыжковая связка. Связка проходит по подошвенной и медиальной поверхности сустава и состоит из верхне-медиальной и нижней связок, которые образуют аппарат, поддерживающий таранную кость по подошвенной поверхности стопы. Связки противостоят смещению головки таранной кости в медиальном и подошвенном направлении, и, т.о. удерживают продольный свод стопы.
2. Верхне-медиальная связка. Пучки волокон перемежается с участками хряща. Эластические волокна отсутствуют. Верхне-медиальная связка вместе с ладьевидной костью и апофизом пяточной кости образует костно-гленоидальную полость. Это полость вогнутой формы, которая охватывает головку таранной кости. Во время физической нагрузки под давлением таранной кости полость деформируется. При этом связка не растягивается и сохраняет свою длину. Верхне-медиальная связка вплетается в дельтовидную связку голеностопного сустава. Вместе обе связки соединяются с сухожилием задней большеберцовой мышцы. Связки обладают практически одинаковыми механическими свойствами.
3. Нижняя связка. Нижняя связка расположена под верхне-медиальной связкой. Она растягивается под давлением со стороны таранной кости.

Рис. 3. Связки сустава Шопара:
TN - тыльная таранно-ладьевидная связка.
DDC - тыльная пяточно-кубовидная связка (Tafur M.)
В конструкции сустава Шопара имеются 2 опорные колонны. В состав медиальной колонны входят структуры, образующие таранно-ладьевидный сустав, в состав латеральной колонны - структуры, которые образуют пяточно-кубовидный сустав. Отдельные части сустава Шопара неравноценны с функциональной точки зрения. Для движения стопы в нескольких плоскостях таранно-ладьевидный сустав более важен, чем пяточно-кубовидный. Основное движение, которое происходит в таранно-ладьевидном и пяточно-кубовидном суставах - это ротация переднего отдела стопы относительно заднего отдела. Ротация осуществляется вокруг продольной оси, которая расположена в горизонтальной плоскости. Ротация лежит в основе инверсии и эверсии заднего отдела стопы и супинации-пронации всей стопы. Движение в суставе Шопара сопряжены с движением в голеностопном и подтаранном суставах. Разгибание стопы сочетается с эверсией и отведением, сгибание - с инверсией и приведением стопы. Суставы, которые входят в состав медиальной колонны, обладают разной подвижностью. В таранно-ладьевидном суставе сгибание и разгибание превышает подвижность в дистально расположенном ладьевидно-клиновидном суставе. В суставе Шопара происходит 1/5 всей амплитуды сгибания дистального отдела нижней конечности. Строение сустава Шопара позволяет сочетать движения в сагиттальной плоскости с ротацией стопы. Работа сустава Шопара дополняет функцию голеностопного и подтаранного сустава, делает стопу эластичной для прилегания к опоре и создает жесткий рычаг для отталкивания от неё.

Рис. 4. Пронация, нейтральное положение и супинация в суставе во время ходьбы
Стабилизация сустава Шопара происходит во время замыкания таранно-ладьевидного и пяточно-кубовидного суставов, когда идет супинация стопы. При этом натягиваются пяточно-ладьевидная связка, вилкообразная связка и подошвенный апоневроз, который удерживает своды стопы. Стабилизацию осуществляют 3 мышцы: 1) Длинный разгибатель пальцев. 2) Задняя большеберцовая мышца. Обе мышцы продуцируют пару сил, что удерживает медиальную колонну сустава Шопара. 3) Подошвенная мышца, вызывающая сгибание пальцев и стабилизацию суставов по подошвенной поверхности.
Работа сустава связана с фазами ходьбы. В фазу переднего толчка, когда стопа пребывает в положения разгибания в голеностопе, в суставе Шопара имеет место эверсия. Оси таранно-ладьевидного и пяточно-кубовидного суставов параллельны между собой, что минимизирует жесткость суставов плюсны. Средний отдел стопы совершает эверсию в нужном объеме и обеспечивает максимально полное прилегание к опоре переднего отдела стопы. По мере переката стопы происходит сгибание в голеностопном суставе. Стопа переходит из горизонтального в вертикальное положение, в её суставах происходит супинация. Оси таранно-ладьевидного и пяточно-кубовидного суставов во фронтальной плоскости устанавливаются под углом друг к другу, что приводит к замыканию в суставе Шопара. В фазе заднего толчка, когда стопа находится в вертикальном положении, а плоскость сустава перпендикулярна вектору реакции опоры, происходит замыкание сустава для концентрации сил с целью совершить отталкивание от опоры.
Повреждение сустава
Травматическая нестабильность сустава Шопара происходит в результате его повреждения при высокоэнергетической травме. Это падение с высоты с упором на стопу, или падение груза на стопу, либо автодорожная травма у мотоциклиста. Силы, которые травмируют поперечный сустав предплюсны, разделяются в зависимости от направления действия.
- Сила, которая действует в направлении сверху вниз на стопу, если стопа находится на опоре, приводит к подошвенному вывиху или к переломо-вывиху в обоих таранно-ладьевидном и пяточно-кубовидном суставах.
- Сила, которая действует снаружи внутрь, вызывает медиальное смещение переднего и среднего отделов стопы. При травме Шопарова сустава такая сила встречается чаще всего. Представляет собой сочетание инверсии и сгибания стопы под нагрузкой. Вызывает ротацию в таранно-ладьевидном и пяточно-кубовидном суставах, в результате чего происходит вывих ладьевидной кости. Ладьевидная кость смещается в горизонтальной плоскости в медиальном направлении, во фронтальной плоскости - в подошвенном направлении или к тылу. Высокий свод стопы предрасполагает к смещению в подошвенном направлении. Подошвенный вывих сопровождается переломом ладьевидной кости. При разрыве пяточно-ладьевидной связки происходит смещение ладьевидной кости в тыльном направлении. При разрыве прыжковой связки наступает дестабилизация таранно-ладьевидного сустава и опускание головки таранной кости в подошвенном направлении, в результате чего ладьевидная кость вывихивается к тылу и наружу. Повреждение прыжковой связки часто протекает вместе с переломом таранной кости и пяточной кости.
- Сила, которая действует изнутри наружу, возникает при эверсии стопы и приводит к смещению костей среднего и переднего отдела стопы в латеральном направлении. Латеральный вывих сопровождается сдавлением костей латеральной колонны, что приводит к компрессионному перелому кубовидной кости или пяточной кости.
- Сила, которая действует аксиально вдоль оси стопы, вызывает либо перелом ладьевидной кости в центральной части, либо приводит к смещению костей плюсны.
Среди травм сустава до одной четверти составляют вывихи вследствие разрыва связок и более трех четвертей составляют переломо-вывихи. Вывихи без повреждения костей представляют собой редкое явление. В первую очередь поражается пяточно-кубовидный сустав. Разрываются пяточно-кубовидная и пяточно-ладьевидная вилкообразная связки. Происходит эверсия и латеральное смещение костей переднего отдела стопы. При остром повреждении таранной кости и таранно-ладьевидной связки ладьевидная кость ломается по проксимальной суставной поверхности. При переломе ладьевидной кости повреждается капсула сустава Шопара. Изолированный отрыв бугристости ладьевидной кости происходит под действием тяги задней большеберцовой мышцы. Переломо-вывих ладьевидной кости вызывает нестабильность медиальной опорной колонны сустава и первого луча стопы. Перелом кубовидной кости происходит при сдавлении кости во время ротации фиксированной стопы наружу. Отрывной перелом с захватом капсулы пяточно-кубовидного сустава встречается чаще, чем внутрисуставной и внесуставной перелом тела кости. Перелом кубовидной кости происходит при обширных повреждениях сустава Шопара, деструкции опорных колонн и дезинтеграции их костей. Стрессовый перелом кубовидной кости происходит при хронической перегрузке у пациентов с продольно-поперечным плоскостопием, у которых имеется подошвенный фасциит, тендинит задней большеберцовой мышцы, растяжение подошвенного апоневроза, разрыв подошвенной пяточно-кубовидной связки. У пациента происходит гиперпронация стопы во время ходьбы, рост давления в пяточно-кубовидном суставе, рост напряжения в ткани кубовидной кости.
При изолированном вывихе в таранно-ладьевидном суставе происходит смещение ладьевидной кости относительно таранной, в то время, как пяточно-кубовидный сустав остается интактном. Вывих наступает в результате действия приводящей или отводящей силы на стопу, которая находится под нагрузкой. Сила вызывает растяжение связок медиальной опорной колонны. Тыльные связки страдают сильнее, чем связки на подошвенной поверхности стопы. Ладьевидная кость вывихивается в медиальном и подошвенном направлении. Вывих в пяточно-кубовидном суставе происходит при повреждении тыльной и вилкообразной пяточно-кубовидных связок. Смещению костей способствует инверсия в суставе Шопара. Разрыв тыльной связки приводит к дестабилизации пяточно-кубовидного сустава. Критической величиной пяточно-кубовидного угла считается 10°. При величине пяточно-кубовидного угла до 10° имеется повреждение в виде растяжения или частичного разрыва пяточно-кубовидной связки. Вывих считается стабильным, а повреждение - легким. При пяточно-кубовидном угле больше 10° повреждение сустава носит грубый характер, когда у больного имеется разрыв всех пяточно-кубовидных связок, вилкообразной связки, отрыв костного фрагмента от пяточной кости, переломо-вывих с компрессией кубовидной кости, которая сдавлена соседними костями. Разрыв связок пяточно-кубовидного сустава сочетается с повреждением латеральных связок голеностопного сустава.

Рис. 5. Схема костного дефекта при дезинтеграции сустава Шопара
Диспластическая нестабильность поперечного сустава предплюсны представляет собой редкое явление. В норме имеется большая вариативность строения таранно-ладьевидного и пяточно-кубовидного суставов. Более, чем в половине случаев находят расширение латеральной щели пяточно-кубовидного сустава. При дисплазии имеется несоответствие размеров головки тарана и углубления ладьевидной кости. При нестабильности есть слабость пяточно-кубовидной и пяточно-ладьевидной связок. При недостаточности пяточно-ладьевидной связки происходит опускание таранной кости в подошвенном и медиальном направлении, что приводит к снижению свода, развитию продольного плоскостопия и способствует ограничению движений в таранно-пяточно-ладьевидном суставе. При слабости задней большеберцовой мышцы возникает её дисбаланс с мышцей-антагонистом - длинным разгибателем пальцев. Развивается неустойчивость сустава, стопа теряет жесткость в среднем отделе. Во время ходьбы происходит уменьшение силы отталкивания от опоры. Диспластическая нестабильность развивается при врожденном синостозе таранной и пяточной костей, который встречается у 1% людей. В половине случаев процесс носит двусторонний характер и проявляется в подростковом возрасте. Ограничение движения между таранной и пяточной костями вызывает компенсаторное увеличение подвижности в соседних сочленениях. При пронации стопы происходит увеличение подвижности, что ведет к развитию вальгусной деформации стопы с болью при нагрузке. Дестабилизация при дисплазии протекает медленно. Появление стойкой метатарзалгии свидетельствует о нестабильности сустава.
При остром переломо-вывихе в суставе Шопара имеется отек тыла стопы, деформация стопы, смещение её переднего отдела чаще в латеральном направлении, резкая боль в среднем отделе стопы при движениях. При повреждении пяточно-кубовидной и вилкообразной связок имеется отек и боль по наружной поверхности стопы в средней трети и боль при супинации. При хронической нестабильности сустава Шопара определяется недостаточность замыкательного механизма таранно-ладьевидного и пяточно-кубовидного суставов. При нестабильности есть жалобы на боль в стопе при ходьбе, когда человек отталкивается от опоры. Ходьба становится асимметричной
Рентгенологическое исследование
Для диагностики повреждения сустава Шопара делают рентген, КТ и МРТ. На передне-задней рентгенограмме определяют величину пяточно-кубовидного угла. Проводят одну касательную к наружному краю кубовидной кости и вторую касательную к наружному краю пяточной кости. В норме угол между касательными колеблется в пределах от 0 до 5°. Увеличение угла свидетельствует о нарушении стабильности пяточно-кубовидного сочленения. КТ во фронтальной и сагиттальной плоскостях позволяет выявить дефект суставных фасеток, смещение костей при вывихе и фрагментацию костей при переломе. КТ, по сравнению с рентгенографией, является более информативным методом диагностики. МРТ позволяет выявить дефекты отдельных связок.

Рис. 6. Отрывной перелом по тылу таранной кости на границе с суставом Шопара

Рис. 7. Перелом кубовидной кости по передней поверхности

Рис. 8. Переломо-вывих в суставе Шопара

Рис. 9. Переломо-вывих в суставе Шопара
Консервативное и оперативное лечение
Показанием к восстановительной операции на костях является укорочение одной из опорных колонн с асимметрией стопы. Кости фиксируют винтом или пластиной. Костная пластика позволяет восстановить размер опорной колонны и симметрию стопы. При переломо-вывихе костную пластику совмещают с пластикой связок сустава. Производят восстановление пяточно-ладьевидной связки, при недостаточности таранно-ладьевидной связки делают сухожильную пластику. У больных с сочетанным нарушением целостности костей и связок срастание разорванных связок происходит, если между костями восстановлены нормальные соотношения.
У больного с повреждением шейки таранной кости делают закрытое вправление, при переломе шейки с ротационной деформацией и дорзальным смещением фрагмента более 5 мм показана операция - открытая репозиция и фиксация отломков, при переломе шейки с разрывом таранно-пяточной связки делают операцию с фиксацией фрагментов спицами или винтом, при нестабильном вывихе в подтаранном суставе делают либо закрытое вправление с фиксацией спицами, либо открытое вправление с применением фиксирующих устройств. Артродез делают по следующим показаниям: нарушение размеров и формы кости, нарушение соотношения между опорными колоннами, нарушение конгруентности таранно-ладьевидного и пяточно-кубовидного суставов, значительное расхождение суставных концов, которое препятствует сращению связок, хронический подвывих в поперечном суставе предплюсны. В далеко зашедших случаях хронической нестабильности артродез позволяет уменьшить боль в стопе и улучшить ходьбу. При разрушении таранно-ладьевидного сустава артродез приводит к диспропорции медиальной и латеральной опорных колонн, что может потребовать дополнительного вмешательства на пяточно-кубовидном суставе для восстановления симметрии. После артродеза срок иммобилизации в гипсовом сапожке составляет не менее 10 недель.
После операции больному показана ортопедическая индивидуальная обувь или вкладные ортезы. В конструкции обуви предусматривают жесткие берцы для удержания пятки в правильном положении. При вальгусной деформации и уплощении стопы делают продленный внутренний берец и супинатор на вкладном элементе. Самую высокую часть супинатора помещают на расстоянии 32-35% дины стопы так, чтобы она приходилась под ладьевидную кость.


Рис. 10. Чрезкожная фиксация костей предплюсны после вправления вывиха в суставе Шопара, стопа в гипсовой лонгете

Рис. 11. Индивидуальные стельки компании Персей, выполненные по технологии 3D

Рис. 12. Индивидуальная обувь компании Персей, выполненная по гипсовому слепку и технологии 3D
Удаление пяточной шпоры

Это заболевание находится на втором месте по распространенности среди причин болей в области стопы после повреждений связочного аппарата голеностопного сустава. Чаще превалирует у пациентов с СД, ожирением, а так же у спортсменов.
Проблема действительно очень актуальна. По данным зарубежных авторов, данной патологией страдает около 10% населения в какой-то момент своей жизни. Т.е. каждый 10-ый из нас хотя бы раз в жизни испытывает проблемы связанные с подошвенным фасциитом.
Операция по удалению пяточной шпоры рассматривается только после безуспешных попыток консервативного лечения в течение 4-6 месяцев. Сильная боль в пятке, часто может быть почти невыносимой. К счастью, операция успешна в лечении пяточной шпоры в большинстве случаев (95%).

Миниинвазивная методика удаления пяточной шпоры
Из миниинвазивных методик основными, эффективными и зарекомендовавшими себя, можно выделить ЭНДОСКОПИЧЕСКОЕ УДАЛЕНИЕ ШПОРЫ и УДАЛЕНИЕ ПОД РЕНТГЕН КОНТРОЛЕМ. На видео представлен доклад А.А. Мойсова по миниинвазивному лечению плантарного фациита (пяточной шпоры).
Эндоскопическое рассечение подошвенной фасции и удаление пяточной шпоры.
Эндоскопическая фасциотомия. Впервые выполнена 1991г. Выполняется под проводниковой анестезией. Под жгутом на голени. Выполняется 5-ый мм доступ на медиальной поверхности пяточной области, примерно 1 см дистальнее места прикрепления апоневроза. Вводятся эндоскопический троакар и канюля поверхностнее подошвенной фасции до противоположного края пяточной области, где формируется выходное отверстие. Удаляется канюля, в медиальный портал вводится эндоскопическая камера. В латеральный - ретроградно режущий скальпель. И выполняется рассечение.

Камера позволяет хирургу видеть зону хирургического вмешательства. Выполняется рассечение подошвенной фасции от пяточной шпоры (кости), что устраняет её напряжение.
Миниинвазивное рассечение подошвенной фасции и удаление пяточной шпоры под рентген контролем.

В отличии от эндоскопической методики, в данном случае выполняется всего 1 разрез длиной 3 мм. Через который вводится скальпель с трехгранной заточкой для рассечения подошвенной фасции у места прикрепления к пяточной кости.
А затем - фреза для удаления самого экзостоза пяточной кости (шпоры). Огромным плюсом данного метода является минимальная травматизация пяточной области (основы опоры стопы). Следовательно, сроки реабилитации сокращаются до 2-х дней.

Многие пациенты спрашивают меня: а плоскостопие может усугубиться после рассечения фасции?»
Нет! Плоскостопие не усугубится, т.к. на операции мы рассекаем только медиальную ножку фасции (воспаленную), остается еще латеральная, которая прикрепляется к одноименному бугорку пяточной кости. Намного опаснее нарушение походки при сильной боли в пятке. Пациент рефлекторно начинает переносить вес тела на передний отдел стопы и вторую ногу. Появляется хромота, нарушение осанки. Все это может вылиться в ускорение прогрессирования остеохондроза или развития сколиоза!
Результаты операций по удалению пяточной шпоры с фотографиями рентгенограмм можно посмотреть здесь.
Реабилитация после операции
Период восстановления после оперативного лечения пяточной шпоры индивидуальный ввиду отличия высоты болевого порога у людей. Он может варьировать от 2-х дней до 2-х недель. Ограничение нагрузки на оперированную стопу до заживления раны. Швы удаляются через 7-10 дней после операции. Сразу после операции мы сразу рекомендуем пациенту изготовить индивидуальные ортопедические стельки

и носить их в послеоперационный период для коррекции плоскостопия и уменьшения боли. В последующем стельки желательно носить всю жизнь для адекватного распределения нагрузки по стопе и снижения риска развития других патологий, тесно связанных с проблемами плоскостопия и деформаций стопы.
Не занимайтесь самолечением!
Определиться с диагнозом и назначить правильное лечение может только врач. Если у Вас возникли вопросы, можете позвонить по телефону или задать вопрос по электронной почте .
Читайте также:




