Техника медиального доступа к суставам предплюсны и плюсны
Добавил пользователь Владимир З. Обновлено: 22.01.2026

Мобилизации суставов - это техники мануальной терапии, которые используются для снижения уровня боли и увеличения амплитуды движений в суставах. Суставная механика может меняться из-за боли и защитного мышечного напряжения, суставного выпота, контрактур или спаек в суставных капсулах или поддерживающих связках, а также смещения или подвывиха костных поверхностей.
Друзья, этот и другие вопросы будут подробно разбираться на семинаре «Диагностика и терапия проблем суставов нижних конечностей». Узнать подробнее…
Большеберцово-малоберцовый синдесмоз
Эти техники используются для уменьшения боли в области латеральной лодыжки.
Пациент лежит на спине с разогнутыми нижними конечностями. Терапевт становится у края стола и фиксирует большеберцовую кость одной рукой, другая рука осуществляет мобилизацию малоберцовой кости в заднем направлении. В положении пациента лежа на животе мобилизация малоберцовой кости осуществляется в переднем направлении.
Голеностопный сустав
Мобилизация используется для улучшения подошвенного сгибания стопы.
Пациент лежит на животе с прямыми ногами, стопы свешиваются с края кушетки. Стоя у края стола, терапевт кладет проксимальную руку поперек передней поверхности нижней трети голени, а межпальцевой промежуток дистальной руки помещается на задней поверхности пятки. Мобилизация таранной кости осуществляется в переднем направлении.
Данная техника используется для увеличения тыльного сгибания стопы.
Пациент лежит на спине с выпрямленными ногами, пятки свешиваются с края стола. Терапевт стоит у края кушетки и проксимальной рукой фиксирует голень. Дистальная рука располагается поверх таранной кости чуть ниже голеностопного сустава, при этом стопа фиксируется в положении покоя. Мобилизация таранной кости осуществляется в заднем направлении.
Подтаранный (таранно-пяточный) сустав
Эта мобилизация показана для снижения уровня боли и увеличения амплитуды инверсии/эверсии.
Пациент лежит на спине, ноги выпрямлены, пятки свешиваются с края стола. Стопа пациента фиксируется в дорсифлексии посредством давления бедром терапевта. Дистальная рука обхватывает пятку, а проксимальная рука фиксирует нижнюю треть голени. Тракция пяточной кости осуществляется в каудальном направлении.
- Медиальное и латеральное скольжение в подтаранном суставе
Медиальное скольжение увеличивает эверсию, латеральное скольжение увеличивает инверсию.
Пациент лежит на боку или на животе, ноги покоятся на столе или поддерживаются валиком из полотенца. Проксимальная рука терапевта стабилизирует нижнюю треть голени, а дистальная рука основанием ладони располагается на медиальной поверхности пяточной кости, чтобы осуществлять латеральное скольжение, и на латеральной поверхности пяточной кости, чтобы осуществлять медиальное скольжение.
Межплюсневые и предплюсне-плюсневые суставы
Показание: для улучшения вспомогательных движений при подошвенном сгибании.
Пациент лежит на спине (бедро и колено согнуты) или сидит (при этом колено сгибается за краем стола, а пятка располагается на колене терапевта).
Для мобилизации «медиальных» суставов предплюсны терапевт становится сбоку от пациента и кладет проксимальную руку на тыльную поверхность стопы таким образом, чтобы пальцы были ориентированы медиально, при этом указательный палец располагается вплотную к суставу, обхватывая кость сверху и снизу. Возвышение большого пальца дистальной руки располагается на тыльной поверхности мобилизируемой кости, а пальцы обхватывают ее снизу.
Для мобилизации «латеральных» суставов предплюсны, терапевт становится с медиальной стороны стопы, расположение рук такое же, как и при мобилизации медиальных суставов с той лишь разницей, что пальцы ориентированы латерально.
Мобилизация голеностопного сустава и суставов стопы

Источник: Physiopedia — Ankle and Foot Mobilisations.
Hallux valgus: причины, симптомы, лечение

Клиническая анатомия

Hallux — это большой палец стопы. Он образован первой плюсневой костью, первой проксимальный фалангой и первой дистальной фалангой. Таким образом первый палец стопы образован тремя костями, вместо четырёх, как другие пальцы, которые имеют дополнительную кость — среднюю фалангу.
Первый палец имеет три синовиальных сустава. Первый сустав — это предплюсне-плюсневый сустав, располагающийся между медиальной клиновидной и первой плюсневой костями. Это малоподвижный сустав. Второй сустав — это плюсне-фаланговый сустав, который соединяет первую плюсневую кость и первую фалангу. Сустав осуществляет флексию и экстензию большого пальца и немножко отведение и приведение. Он укреплён связками (коллатеральная плюсне-фаланговая связка и плантарная плюсне-фаланговая связка). Межфаланговый сустав соединяет две фаланги большого пальца. Сустав способен выполнять флексию и экстензию, и также усилен связками (коллатеральная межфаланговая связка и плантарная межфаланговая связка).
Кроме того, существуют две сесамовидные кости, которые взаимодействуют с первой плюсневой костью. Эти сесамовидные кости защищают сухожилия, которые к ним прикрепляются, но главной их функцией является является усиление мышц, посредством создания рычага.

Другие структуры: передняя большеберцовый мышца, длинный разгибатель большого пальца, длинная малоберцовая мышца, длинный сгибатель большого пальца стопы, короткий разгибатель большого пальца, мышца отводящая большой палец, короткий сгибатель большого пальца, мышца отводящая большой палец, тыльные межкостные мышцы стопы, подошвенный апоневроз.

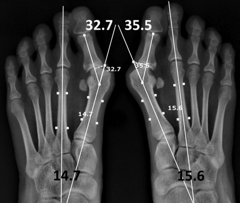
Угол, образованный линиями, одна из которых проходит вдоль проксимальной фаланги, а другая вдоль плюсневой кости, известен как угол отклонения большого пальца. Значение меньше 15° градусов считается нормальным. Угол более 20° и более указывает на патологию. Тяжелый случай — это когда угол составляет 45-50°
Эпидемиология
Точная причина не установлена. Однако определённые факторы могут играть важную роль в развитии данного состояния:
— пол (женщины страдают чаще мужчин);
— обувь (например, обувь на высоком каблуке);
— врожденная деформация или предрасположенность;
— ограничение мобильности голеностопного сустава;
— плоскостопие высокой степени;
— гипермобильность первого предплюсне-плюсневого сустава;
— системные заболевания.
Ношение тесной обуви или обуви на высоком каблуке в возрасте 20-39 лет может быть ключевым фактором развития hallux valgus в более старшем возрасте. Известно, что аномальное присоединение мышц также приводит к развитию данного состояния. Hallux valgus напрямую связан с остеоартритом коленного и тазобедренного суставов, и обратно пропорционально связан с высоким индексом массы тела.
Клиническая картина
При этой деформации медиальная поверхность начинает выступать, поскольку дистальный конец плюсневой кости смещается медиально, а проксимальная фаланга отклоняется латерально. Первый плюсне-фаланговый сустав вывихивается, что приводит к латеральному отклонению большого пальца, медиальному смещению и костному разрастанию дистального конца первой плюсневой кости.
Механизм формирования вальгусной деформации большого пальца стопы начинается с растяжения мышцы отводящей большой палец (например, в результате ношения тесной обуви). Это основная причина почему проксимальная фаланга начинает смещаться латерально. Во время ходьбы передний отдел стопы подвергается избыточной пронации, что приводит к избыточной нагрузке на медиальную коллатеральную связку и капсулу первого плюсне-фалангового сустава. Поскольку первый плюсне-фаланговый сустав состоит из нескольких костей, связок, сесамовидных костей и близлежащих мышц, одни структуры могут влиять на другие структуры по мере их перемещения или растяжения. Вот почему, когда смещение проксимальной фаланги становится критичным, первая плюсневая кость уходит в варусную позицию. Таким образом большой палец занимает вальгусную позицию. Капсула становится слабой, а мышца отводящая большой палец начинает функционировать как сгибатель большого пальца. Со временем ситуация ухудшается, поскольку вектор воздействия других мышц также меняется.
Ношение обуви при деформации большого пальца стопы сопровождается повышенным трением. Со временем возникает повреждение медиальной коллатеральной связки первого плюсне-фалангового сустава, что может привести к воспалению и последующей кальцификации сустава, что только усилит боль. На начальной стадии это сопровождается болезненностью во время ношения обуви. Кожа вокруг сустава становится твёрдой, горячей и красной. В последующем, у пациента могут появиться другие признаки остеоартрита. Постепенно процесс распространяется латерально, и боль становится интенсивнее.
Наиболее распространённой проблемой у людей, имеющих hallux valgus (до операции), является одно или несколько нарушений паттерна ходьбы. Так происходит из-за деформации первого плюсне-фалангового сустава. Дисфункции могут быть следующими:
— Нарушение фазы середины опоры и отрыва носка. Поскольку вес тела смещается на переднюю часть стопы, стоящей на земле, пациент будет стараться сместить центр тяжести на латеральный край стопы. Это будет приводить к латеральному и заднему смещению веса тела.
— Пациенты также имеют пронационную деформацию.
— Пациент не в состоянии супинирвать свою стопу, что будет приводить к смещению центра тяжести на латеральный край стопы и позднему подьему пятки в цикле ходьбы.
— Время опоры снизится.
Во время тестирования вы сможете найти следующее:
— медиальное отклонение плюсне-фаланоговго сустава;
— припухлость первого плюсне-фалангового сустава;
— укорочение, короткой мышцы сгибающей большой палец;
— болезненность при движении и пальпации 1-го плюсне-фалангового сустава;
— слабость мышцы отводящей большой палец;
— боль (основной симптом).
Диагностика

Рентгенография используется для определения угла между линиями, проведёнными между первой плюсневой костью и проксимальной фалангой первого пальца. Если угол больше 15°, подтверждает диагноз hallux valgus. Если угол составляет 45-50° — консервативное лечение не показано. Также должны быть определены степень смещения сесамовидных костей и уровень остеоартрита первого плюсне-фалангового сустава.
Не всегда возможно или необходимо выполнять рентгенографию для того чтобы определить степень тяжести данного состояния. Поэтому была разработана Манчестерская шкала, которая включает стандартизированные фотографии четырёх степеней hallux valgus: нулевой, начальной, средней и тяжелой. Исследование продемонстрировало, что эта шкала является надежной (значение каппа от 0.77 и до 0.86).
Исследование, проведённое Roddy (2007), позволило разработать инструмент, который состоит из пяти фотографий вместо четырёх. Каждая последующая фотография имеет угол отклонения большого пальца на 15° больше. Этот инструмент имеет хорошую надежность при повторном тестированиями (каппа = 0.82), и также является хорошим способом определить степень тяжести hallux valgus. Обе шкалы могут быть использованы для определения степени тяжести этого состояния.
Тестирование пациента должно осуществляться два раза: в положении сидя и стоя. В положении стоя деформация стопы наиболее выражена. Во время исследования также необходимо обратить внимание на плоскостопие и степень натяжения ахиллова сухожилия, высоту продольного свода и положение большого пальца по отношению к остальным.
Дифференциальная диагностика

В процессе диагностики hallux valgus можно принять за другое заболевание. На ранних стадиях гиперемия и боль могут быть спутаны с воспалением или подагрическим артритом первого плюсне-фалангового сустава. Однако боль, связанная с подагрой возникает внезапно, боль вследствие hallux valgus нарастает постепенно. Кроме того, для дифференциальной диагностики имеет значение уровень мочевой кислоты, который повышается при подагре. Многие другие формы артрита похожи hallux valgus. Например, септический артрит первого плюсне-фаланогового сустава также сопровождается гиперемией и отеком. Схожие симптомы имеет такое состояние как «палец бегуна». Не стоит забывать о хирургической и травматической артропатиях.
Лечение
Профилактика
Наследственную предрасположенность (например, общую слабость связочного аппарата) нельзя модифицировать, но можно скорректировать другие факторы. Например, ношение удобной обуви (она не должна быть тесной или иметь высокий каблук) способно предотвратить возникновение hallux valgus (уровень доказательности: 2В).
Неоперативное лечение
При плоскостопии необходимо сделать индивидуальные стельки. Тяжёлая степень плоскостопия может приводить повторному формированию hallux valgus после проведённой операции. Контрактура ахиллова сухожилия требует растяжения и даже удлинения (уровень доказательности: 4)
Эти мероприятия должны осуществляться на ранней стадии, пока такие вещи как контрактура мягких тканей и повреждение поверхностей сустава не стали необратимыми (уровень доказательности: 5).
Оперативное лечение
Если неоперативное лечение не помогло, необходимо рассмотреть вопрос о хирургическом лечении (уровень доказательности: 4). Перед выполнением операции необходимо определить степень тяжести hallux valgus. Для этого следует выполнить рентгенографию стоп в положении стоя.
Существует несколько оперативных подходов, которые могут применяться в зависимости от степени тяжести заболевания:
— операция по Остину/Шеврону.
— операция по Ревердену.
— SCARF остеотомия.
— закрытая клиновидная остеотомия.
— лапидус артродез.
— AKIN остеотомия.
— артродез первого плюсне-фалангового сустава.
Лечение после операции
Сразу после операции (вне зависимости от типа операции) пациент должен в течение двух месяцев носить специальную обувь и использовать компрессионные изделия. Длительное наблюдение за пациентами, которым была осуществлена остеотомия по Шеврону, позволяет сделать вывод о благоприятном исходе заболевания как у лиц молодого возраста, так и у людей старше 50 лет, после проведения такого вмешательства.
Физическая терапия
В результате нарушения паттерна ходьбы целями физиотерапии могут быть:
— подбор обуви с широким и глубоким носком.
— увеличение экстензии плюсне-фалангового сустава.
— уменьшение избыточной весовой нагрузки (ортезирование).
— мобилизация сесамовидных костей.
— растяжка длинной малоберцовый мышцы.
— коррекция паттерна ходьбы:
а) Фаза опоры: можно тренировать посредством коррекции удара пятки — начальный контакт должен осуществляться в большей степени латеральным краем пятки.
в) Фаза опоры: тренировка перехода из середины опоры в пре-перенос, акцент делаем на тыльном сгибании большого пальца стопы.
Это общие рекомендации по восстановлению функции. Помимо них можно добавить дополнительную терапию (крио, электро). Безусловно терапия должна быть индивидуализирована в зависимости от клинической картины, знаков и симптомов пациента.
Условно этапы реабилитации можно разбить на следующие периоды:
Фаза 1 — уменьшение боли, припухлости и защита от повреждений
Боль — это основная причина почему пациенты обращаются за медицинской помощью. При воспалении лучше использовать лёд, мануальные техники и упражнения, которые будут разгружать раздражённые ткани. Показаны НПВС. Можно использовать ортезы.
Фаза 2 — восстановление нормальной амплитуды движений и постуры
Как только воспаление стихнет, фокус лечения должен быть направлен на восстановление нормальной амплитуды движений суставов пальцев и стопы.
Лечение может включать:
— мобилизацию суставов (отведение и флексия) и коррекционные техники (между первой и второй плесневыми костями);
— растяжки мышц и суставов;
— тейпирование;
— ортезирование;
— релиз мягких тканей.
Фаза 3 — восстановление оптимального мышечного контроля и силы
Программа коррекции стопы поможет восстановить нормальную форму стопы.
1. Тыльное сгибание
Можно выполнять с резиновой лентой, которая фиксирует таранную кость.
2. Упражнение «Короткая стопа»
Пациент сидит и выполняет упражнение короткая стопа.
3. Упражнение «Растопыривание пальцев»
Одной из возможных причин формирования hallux valgus является мышечный дисбаланс, который возникает между мышцей отводящей большой палец и мышцей приводящей большой палец. Укрепление мышцы отводящей большой палец может предотвратить данную патологию, а также будет эффективно при коррекции формы стопы на ранней стадии. «Растопыривание пальцев» — это хорошее упражнение для тренировки мышцы отводящей большой палец.
Фаза 4 — восстановление функции
Задачей данного этапа реабилитации является восстановление желаемого уровня активности. У каждого свои потребности, это и будет определять цели физической терапии.
Фаза 5 — профилактика
Если не обращать внимания, первый плюсне-фаланговый сустав в последующем будет деформироваться, и боль может вернуться.
Помимо осуществления физической терапии, физиотерапевт должен оценить биомеханику стопы и, в случае необходимости, порекомендовать либо стандартный ортез, либо ортез, выполненный по индивидуальному заказу. Необходимо избегать ношения обуви на высоком каблуке, а также тесных туфель (с острым носком).
Коллеги, чтобы не пропустить ничего интересного, подписывайтесь на наш Телеграм-канал
Сустав Лисфранка
Повреждения в суставе Лисфранка, представленные предплюсне-плюсневыми вывихами и переломовывихами, довольно редкий вид травмы (около 0,2 % от повреждений скелета), более распространены среди мужчин в возрасте 20-30 лет. Ведущей частью повреждения является разрыв капсульно-связочного комплекса между внутренней клиновидной костью и основанием второй плюсневой кости. Повреждения могут варьировать от небольшого подвывиха во втором предплюсне-плюсневом суставе до полного вывиха всего переднего отдела стопы.
Механизм повреждения сустава Лисфранка.
Наиболее частыми причинами повреждений сустава Лисфранка являются ДТП, падения с высоты, и спортивная травма. Наиболее частым механизмом является осевая нагрузка через согнутую в подошвенном направлении стопу и опосредованные ротационные силы.

Другим возможным механизмом может стать плантарная гиперфлексия или прямая травма (например педалью автомобиля) с подошвенной стороны.

При этом травмирующая сила распределяется в направлении сгибания\приведения\осевой компрессии, что приводит к смещению оснований плюсневых костей в тыльную и наружную сторону. Если травмирующая сила достаточно велика, она приводит к переломам плюсневых и клиновидных костей.
Анатомия повреждения сустава Лисфранка.
Выделяют такие анатомические структуры как связка Лисфранка, сустав Лисфранка и суставной комплекс Лисфранка. Суставной комплекс Лисфранка состоит из предплюсне-плюсневых суставов, межплюсневых суставов, межпредплюсневых суставов.
Наиболее важным моментом в понимании повреждений сустава Лисфранка является осознание критической роли связки Лисфранка в стабилизации не только второго предплюсне-плюсневого сустава но и поддержке всего подошвенного свода. Связка Лисфранка состоит из трёх пучков и связывает медиальную клиновидную кость с основанием второй плюсневой кости. Связка Лисфранка препятствует избыточной пронации и абдукции стопы.

В образовании суставного комплекса Лисфранка также участвуют подошвенные предплюсне-плюсневые связки, тыльные предплюсне-плюсневые связки, межпредплюсневые связки.
За счёт большого количества связок и особенностей строения суставов, суставной комплекс Лисфранка является крайне стабильным с небольшой амплитудой движений.
Существует множество клинических и рентгенологических классификаций повреждений сустава Лисфранка, однако ни одна из них не является подспорьем в выборе тактики лечения и мало влияет на прогноз. По этой причине они не будут освещаться в данной статье.
Диагностика повреждений сустава Лисфранка.
Диагностика повреждений сустава Лисфранка сложная задача, которая требует от ортопедического хирурга высокого уровня квалификации и настороженности. До 25 % случаев пропускается при первичном обращении пациента.
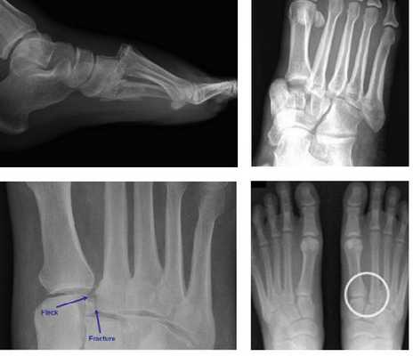
Симптомами повреждения сустава Лисфранка являются боль в области переднего и среднего отделов стопы, усиливающаяся при осевой нагрузке. При осмотре определяется кровоподтёк, чаще по подошвенной поверхности, в проекции сустава Лисфранка.

При значительном смещении может быть заметна грубая деформация. Отёк диффузно распространяется по всей стопе. Боль при пальпации в проекции связки Лисфранка.
Для полноценной клинической диагностики переломовывиха в суставе Лисфранка нельзя обойтись без оценки степени нестабильности. Для проведения данных тестов необходима адекватная анестезия. Для выполнения теста захватите 2-5-ую плюсневые кости пальцами одной руки, пальцами другой пальпируйте область сустава Лисфранка с тыльной стороны. При смещении плюсневых костей (второй плюсневой кости) к тылу определяется соответственно тыльная нестабильность, если возможно смещение кнутри или кнаружи, это является признаком тотальной нестабильности и является показанием к оперативному лечению.
Для инструментальной диагностики используются рентгенограммы с\без нагрузки в сравнении со здоровой стороной, при их малой информативности рекомендовано выполнение стресс-рентгенограмм, аналогично приведёному выше тесту на нестабильность.
При рентгенографии все снимки выполняются в сравнении со здоровой стопой. Существует несколько основных рентгенологических признаков повреждения сустава Лисфранка. 1. Отсутствие параллельности медиального края основания 2-й плюсневой и медиального края медиальной клиновидной кости 2. Расширение между основаниями 1 и 2 плюсневых костей 3. Наличие костного фрагмента в области основания 2-1 плюсневой кости 4. Тыльный подвывих на боковой проекции 5. Разрыв линии предплюсне-плюсневого сочленения.


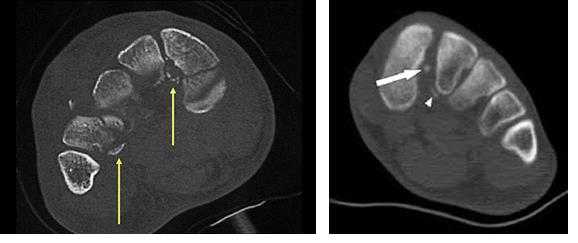
В сложных с диагностической точки зрения случаях целесообразно использование КТ и МРТ.

Классификация повреждений сустава Лисфранка.
Первыми кто предложил классификацию повреждений сустава Лисфранка стали Quenu & Kuss в далёком 1909 году. Они разделили вывихи и переломо-вывихи в суставе Лисфранка на 3 основные группы в зависимости от направления смещения переднего отдела стопы, в 1 группу вошли гомолатеральные вывихи, в которых происходит смещение 2-3-4-5 плюсневых костей кнаружи, во 2 группу вошли медиальные вывихи, при которых 1-2 плюсневые кости смещаются кнутри, а в 3-ю группу вошли дивергирующие вывихи, при которых 1-й луч смещается кнутри а 2-3-4-5 кнаружи.

Классификацию повреждений сустава Лисфранка Quenu & Kuss была творчески переработана и изменена в соответсвии с накопившимися знаниями Hardcastle & Myerson в 1999 году. Учитывая требования международной ассоциации остеосинтеза переломовывихи в суставе Лисфранка были разделены на 3 группы А,В,С в зависимости от тяжести. В группу А вошли медиальный и латеральный подвывихи, в группу В соответсвенно медиальный и латеральный вывихи, а в группу С наиболее тяжёлые дивергирующие повреждения.

Вышеуказанные классификации относятся к переломовывихам, и вывихам в суставе Лисфранка, тяжёлым повреждениям, чаще встречающимся при высокоэнергетической травме, сопровождаемые значительным риском осложнений. Но во второй половине, особенно в конце XX века, в связи со значимым увеличением количества людей занимающихся спортом, возросла и частота низкоэнергетических повреждений сустава Лисфранка. В связи с чем Nunley & Vertullo в 2002 году предложили классификацию изолированных повреждений связки Лисфранка. Чаще всего они возникают при занятиях спортом и других низкоэнергетических травмах, и затрагивают только среднюю колонну стопы - 2-3 предплюсне-плюсневые суставы. Диагностика этих повреждений крайне сложна, так как рентгенологические признаки выявляются только при выполнении рентгенограмм с нагрузкой. Тем не менее это важная ортопедическая задача, так как повреждения 2-3 ст если оставить их не леченными часто приводят в последующем к хроническим болям в стопе и значительному ограничению уровня физической активности.

Лечение повреждений сустава Лисфранка.
Консервативное лечение применяется в случаях изолированного связочного повреждения (нет переломов по КТ), при изолированной тыльной нестабильности. При множественной сопутствующей патологии, низкой мобильности, выраженных нейро-трофических расстройствах нижних конечностей также возможно консервативное лечение.
В остальных случаях рекомендовано оперативное лечение. При подозрении на повреждение Лисфранка всегда надо обращать пристальное внимание на состояние мягких тканей стопы, так как в ряде случаев происходит формирование компартмент-синдрома. При подозрении компартмент синдрома необходимо измерить внутрифутлярное давление, и если оно превышает 30 мм водного столба, выполнить фасциотомию. Это позволит избежать массивного повреждения мягких тканей.

Экстренная операция показана только в случаях компартмент синдрома, открытых повреждений, неустраняемом вывихе. В остальных случаях желательно произвести репозицию, временную иммобилизацию в гипсе, или аппарате наружной фиксации, а затем провести оперативное лечение после спадения отёка.
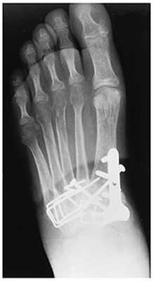
При смещении более 2 мм, нестабильности при функциональных тестах - рекомендовано открытое устранение вывиха с жёсткой фиксацией винтами или пластинами. Используются один или два продольных доступа в 1 и 2 межплюсневых промежутках. После обнажения первого предплюсне-плюсневого сустава первым этапом устраняется межклиновидная нестабильность, вторым этапом устраняется предплюсне-плюсневая нестабильность. В послеоперационном периоде сразу начинается разработка активного объёма движений. Нагрузку на стопу начинают постепенно, с тем чтобы полностью её восстановить к 6-8 неделе. Удаление спиц Киршнера производится через 6-8 недель, компрессирующих винтов через 3-6 месяцев. Возвращение к полной физической активности не ранее 9-12 месяцев после операции.

Открытое вправление вывиха, трансартикулярная фиксация 1-2-3 предплюсне-плюсневых суставов винтами.

Даже при изолированном связочном повреждении со значительной нестабильностью рекомендуется артродез 1-2-3 предплюсне-плюсневых суставов. Данный вид лечения характеризуется меньшим количеством осложнений (таких как посттравматический артроз и миграция металлофиксаторов) чем открытая репозиция с внутренней фиксацией. После операции рекомендуется ношение циркулярной гипсовой иммобилизации 6 недель, ходьба без нагрузки. Постепенное увеличение осевой нагрузки с 6 по 12 неделю.

При прогрессивном коллапсе сводов стопы, хронической нестабильности, прогрессивном наружном смещении переднего отдела стопы рекомендуется артродез всего суставного комплекса Лисфранка. Существует много вариантов выполнения данного вмешательства, с использованием спиц, винтов, скоб и пластин, в зависимости от оснащённости операционной и предпочтений хирурга. После операции потребуется 6 недель гипсовой иммобилизации, полную нагрузку можно давать не ранее 10 недели.

Несращение при выполнении артродеза в суставе Лисфранка встречается крайне редко, но может потребовать ревизионного вмешательства с использованием костно-пластических материалов.
В ряде случаев целесообразно применить смесь хирургических техник. Если рассматривать весь сустав Лисфранка разбив на внутренний, центральный и наружный отделы, то его внутренний (1) и латеральный (4-5) отделы подвижны, хотя и с малой амплитудой, а центральный (2-3) практически не подвижен. По этой причине в хирургической практике часто используется неполный артродез, то есть выполняют артродез 2-3 предплюсне-плюсневых суставов а 1,4,5 временно фиксируют спицами.

Это позволяет сохранить нормальную биомеханику стопы и предотвратить раннее развитие артроза в смежных суставах которое характерно для полного артродеза.
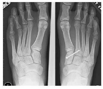
Отдельно стоит разобрать тему разрыва связки Лисфранка с изолированной нестабильностью 2 предплюсне-плюсневого сустава. Частота данного повреждения значительно выросла за последние 50 лет в связи с популяризацией спорта. Также крайне высота частота отсроченной постановки диагноза. При этой патологии пациента беспокоит боль по тыльной поверхности 1-2-3 предплюсне-плюсневых суставов при физической нагрузке. Часто при осмотре удаётся обнаружить деформацию в данной области. Если осмотр производится отсрочено через несколько недель или месяцев после травмы то клинически определить нестабильность уже не удастся, однако на рентгенограммах с нагрузкой будет виден диастаз между медиальной клиновидной костью и основанием 2 плюсневой кости.

В случаях этого повреждения показано оперативное лечение, открытое устранение подвывиха основания 2 плюсневой кости с фиксацией винтом. Устранение подвывиха производится из доступа в 1 межплюсневом промежутке, рубцовая ткань и остатки связки могут интерпонировать сустав, тогда потребуется их удалить. После вправления производится предварительная фиксация спицей и рентгенологический контроль.
Затем устанавливается винт соединяющий основание 2 плюсневой кости и медиальную клиновидную кость.

После операции следует 6-12 недельный период иммобилизации в жёстком ортезе без осевой нагрузки на ногу. Затем нагрузка постепенно увеличивается до полной в течение 4-6 недель.
Данный метод оперативного лечения эффективен в течение первых 6-8 месяцев после травмы. В случае если с момента травмы прошло больше времени целесообразно выполнение артродеза.
Удаление винта производится через 6-12 месяцев после операции. В случае формирования болезненного посттравматического артрита 2 предплюсне-плюсневого сустава также показано выполнение его артродеза.
Ниже приведу пример лечения пациента с затарелым вывихом в суставе Лисфранка, которое проходило в стенах нашего отделения.
Пациенты с переломо-вывихами в суставе Лисфранка часто оказываются в ситуации, когда никто из врачей не хочет за них браться. Так случилось и с пациентом Ж. 64 лет, который получил травму ещё в 2001 году, но оперировать его отказались. Боль и деформация прогрессировали, и на протяжении последних 10 лет пациент уже не мог пройти больше 800 метров. Постоянное ношение ортопедических стелек не давало облегчения симптомов.

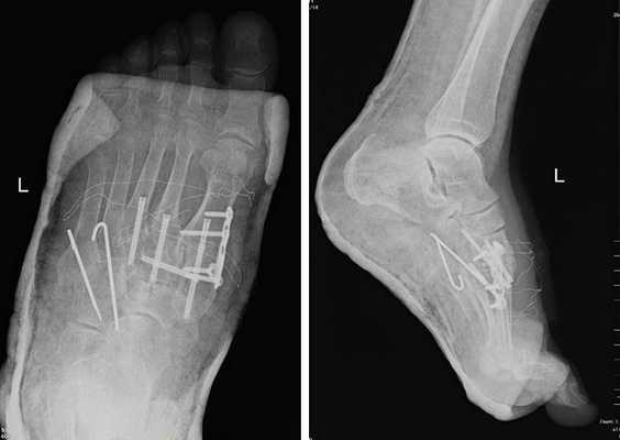
После осмотра в отделении ортопедии №2 ГКБ №13 принято решение о проведении операции - открытому устранению вывиха, артродезе 1-2-3 плюсне-клиновидных суставов, 1 межклиновидного сустава при помощи винтов и пластины, трансартикулярной фиксации спицами 4-5 плюсне-клиновидных суставов.

Первым этапом выполняется удаление костно-хрящевых экзостозов и рубцовых тканей из области всего сустава Лисфранка. После этого дистальный отдел стопы приобретает мобильность, достаточную для восстановления нормальной анатомии. Остатки суставного хряща полностью удаляются с 1-2-3 плюсне-клиновидных суставов, 1 межклиновидного сустава при помощи долота, осцилляторной пилы, кусачек Люэра, острой ложки Фолькмана. Для репозиции используются костные цапки.

Вершиной, ключом, блокирующим клином - в общем главной частью сустава Лисфранка является 2 плюсне-клиновидный сустав. По этой причине мы предпочитаем начинать фиксацию именно с него. Для артродеза используем винты с направленной в разные стороны резьбой FT Arthrex диаметром 4 мм. Они позволяют создать мощную межфрагментарную компрессию, а за счёт глубокой резьбы очень надёжно фиксируются в кости.

После восстановления 2 луча выполняем артродез межклиновидного сустава и 1 плюсне-клиновидного сустава. Учитывая что основная нагрузка ложится на 1 луч, дополнительно стабилизируем его при помощи пластины.


В стационаре пациент находится первые 2 суток после операции. Это необходимо для купирования болевого синдрома, и контроля послеоперационной раны. На 3 сутки пациент выписывается домой в гипсовой лонгетной повязке, на костылях. На ногу наступать нельзя до 6 недль после операции. Послеоперационные швы снимаются через 2 недели, лонгетная повязка при этом может быть заменена на циркулярный обычный или пластиковый гипс или ортез.

В итоге через 3 месяца мы получаем стабильную, безболезненную, опороспособную конечность. Через 6 месяцев можно начать спортивные нагрузки.

Никифоров Дмитрий Александрович
Хирургия стопы и голеностопного сустава, коррекция деформаций конечностей, эндопротезирование суставов, артроскопическая хирургия, спортивная травма.
Техника медиального доступа к суставам предплюсны и плюсны
- Обувь по индивидуальной ортопедической колодке
Повреждение сустава Шопара
Повреждение сустава Шопара
Строение сустава
Поперечный сустав предплюсны или сустав Шопара состоит из таранно-ладьевидного и пяточно-кубовидного суставов. В обоих суставах есть фасетки овальной формы, ось которых проходит по наибольшему диаметру овала. В нейтральном положении стопы оси находятся под углом, а в положении пронации стопы оси становятся параллельными. В положении супинации угол между фасетками достигает максимума. Он больше, чем угол в нейтральном положении и чем угол в положении пронации. Головка таранной кости имеет выпуклую поверхность, а головка ладьевидной кости, которая сочленяется с ней, имеет, соответственно, вогнутую поверхность. Площадь фасетки таранной кости больше, чем площадь фасетки ладьевидной кости. В сагиттальной плоскости сустав Шопара расположен на расстоянии 32-36% от крайней точки пяточного бугра.

Рис. 1. Сустав Шопара с наружной и внутренней поверхности

Рис. 2. Сустав Шопара по тыльной поверхности стопы. Сустав включает в себя пяточно-кубовидный и таранно-ладьевидный суставы
Сустав Шопара укреплен несколькими связками. На тыльной поверхности сустава имеются 4 связки.
- Вилкообразная пяточно-ладьевидно-кубовидная связка состоит из двух частей - пяточно-ладьевидной и пяточно-кубовидной, которые расположены наподобие буквы V. Связка соединяет между собой пяточную, ладьевидную и кубовидную кости, имеет наибольшее значение для удержания этих костей и носит название «ключа» сустава.
- Тыльная пяточно-кубовидная связка расположена более дорзально, чем вилкообразная.
- Длинная пяточно-кубовидная связка расположена более поверхностно, идет от пяточной к кубовидной кости и своими поверхностными волокнами достигает латеральных плюсневых костей.
- Короткая пяточно-кубовидная связка представляет собой широкое образование, которое имеет длину 2 см.
На подошвенной поверхности есть 3 связки.
1. Пяточно-ладьевидная или прыжковая связка. Связка проходит по подошвенной и медиальной поверхности сустава и состоит из верхне-медиальной и нижней связок, которые образуют аппарат, поддерживающий таранную кость по подошвенной поверхности стопы. Связки противостоят смещению головки таранной кости в медиальном и подошвенном направлении, и, т.о. удерживают продольный свод стопы.
2. Верхне-медиальная связка. Пучки волокон перемежается с участками хряща. Эластические волокна отсутствуют. Верхне-медиальная связка вместе с ладьевидной костью и апофизом пяточной кости образует костно-гленоидальную полость. Это полость вогнутой формы, которая охватывает головку таранной кости. Во время физической нагрузки под давлением таранной кости полость деформируется. При этом связка не растягивается и сохраняет свою длину. Верхне-медиальная связка вплетается в дельтовидную связку голеностопного сустава. Вместе обе связки соединяются с сухожилием задней большеберцовой мышцы. Связки обладают практически одинаковыми механическими свойствами.
3. Нижняя связка. Нижняя связка расположена под верхне-медиальной связкой. Она растягивается под давлением со стороны таранной кости.

Рис. 3. Связки сустава Шопара:
TN - тыльная таранно-ладьевидная связка.
DDC - тыльная пяточно-кубовидная связка (Tafur M.)
В конструкции сустава Шопара имеются 2 опорные колонны. В состав медиальной колонны входят структуры, образующие таранно-ладьевидный сустав, в состав латеральной колонны - структуры, которые образуют пяточно-кубовидный сустав. Отдельные части сустава Шопара неравноценны с функциональной точки зрения. Для движения стопы в нескольких плоскостях таранно-ладьевидный сустав более важен, чем пяточно-кубовидный. Основное движение, которое происходит в таранно-ладьевидном и пяточно-кубовидном суставах - это ротация переднего отдела стопы относительно заднего отдела. Ротация осуществляется вокруг продольной оси, которая расположена в горизонтальной плоскости. Ротация лежит в основе инверсии и эверсии заднего отдела стопы и супинации-пронации всей стопы. Движение в суставе Шопара сопряжены с движением в голеностопном и подтаранном суставах. Разгибание стопы сочетается с эверсией и отведением, сгибание - с инверсией и приведением стопы. Суставы, которые входят в состав медиальной колонны, обладают разной подвижностью. В таранно-ладьевидном суставе сгибание и разгибание превышает подвижность в дистально расположенном ладьевидно-клиновидном суставе. В суставе Шопара происходит 1/5 всей амплитуды сгибания дистального отдела нижней конечности. Строение сустава Шопара позволяет сочетать движения в сагиттальной плоскости с ротацией стопы. Работа сустава Шопара дополняет функцию голеностопного и подтаранного сустава, делает стопу эластичной для прилегания к опоре и создает жесткий рычаг для отталкивания от неё.

Рис. 4. Пронация, нейтральное положение и супинация в суставе во время ходьбы
Стабилизация сустава Шопара происходит во время замыкания таранно-ладьевидного и пяточно-кубовидного суставов, когда идет супинация стопы. При этом натягиваются пяточно-ладьевидная связка, вилкообразная связка и подошвенный апоневроз, который удерживает своды стопы. Стабилизацию осуществляют 3 мышцы: 1) Длинный разгибатель пальцев. 2) Задняя большеберцовая мышца. Обе мышцы продуцируют пару сил, что удерживает медиальную колонну сустава Шопара. 3) Подошвенная мышца, вызывающая сгибание пальцев и стабилизацию суставов по подошвенной поверхности.
Работа сустава связана с фазами ходьбы. В фазу переднего толчка, когда стопа пребывает в положения разгибания в голеностопе, в суставе Шопара имеет место эверсия. Оси таранно-ладьевидного и пяточно-кубовидного суставов параллельны между собой, что минимизирует жесткость суставов плюсны. Средний отдел стопы совершает эверсию в нужном объеме и обеспечивает максимально полное прилегание к опоре переднего отдела стопы. По мере переката стопы происходит сгибание в голеностопном суставе. Стопа переходит из горизонтального в вертикальное положение, в её суставах происходит супинация. Оси таранно-ладьевидного и пяточно-кубовидного суставов во фронтальной плоскости устанавливаются под углом друг к другу, что приводит к замыканию в суставе Шопара. В фазе заднего толчка, когда стопа находится в вертикальном положении, а плоскость сустава перпендикулярна вектору реакции опоры, происходит замыкание сустава для концентрации сил с целью совершить отталкивание от опоры.
Повреждение сустава
Травматическая нестабильность сустава Шопара происходит в результате его повреждения при высокоэнергетической травме. Это падение с высоты с упором на стопу, или падение груза на стопу, либо автодорожная травма у мотоциклиста. Силы, которые травмируют поперечный сустав предплюсны, разделяются в зависимости от направления действия.
- Сила, которая действует в направлении сверху вниз на стопу, если стопа находится на опоре, приводит к подошвенному вывиху или к переломо-вывиху в обоих таранно-ладьевидном и пяточно-кубовидном суставах.
- Сила, которая действует снаружи внутрь, вызывает медиальное смещение переднего и среднего отделов стопы. При травме Шопарова сустава такая сила встречается чаще всего. Представляет собой сочетание инверсии и сгибания стопы под нагрузкой. Вызывает ротацию в таранно-ладьевидном и пяточно-кубовидном суставах, в результате чего происходит вывих ладьевидной кости. Ладьевидная кость смещается в горизонтальной плоскости в медиальном направлении, во фронтальной плоскости - в подошвенном направлении или к тылу. Высокий свод стопы предрасполагает к смещению в подошвенном направлении. Подошвенный вывих сопровождается переломом ладьевидной кости. При разрыве пяточно-ладьевидной связки происходит смещение ладьевидной кости в тыльном направлении. При разрыве прыжковой связки наступает дестабилизация таранно-ладьевидного сустава и опускание головки таранной кости в подошвенном направлении, в результате чего ладьевидная кость вывихивается к тылу и наружу. Повреждение прыжковой связки часто протекает вместе с переломом таранной кости и пяточной кости.
- Сила, которая действует изнутри наружу, возникает при эверсии стопы и приводит к смещению костей среднего и переднего отдела стопы в латеральном направлении. Латеральный вывих сопровождается сдавлением костей латеральной колонны, что приводит к компрессионному перелому кубовидной кости или пяточной кости.
- Сила, которая действует аксиально вдоль оси стопы, вызывает либо перелом ладьевидной кости в центральной части, либо приводит к смещению костей плюсны.
Среди травм сустава до одной четверти составляют вывихи вследствие разрыва связок и более трех четвертей составляют переломо-вывихи. Вывихи без повреждения костей представляют собой редкое явление. В первую очередь поражается пяточно-кубовидный сустав. Разрываются пяточно-кубовидная и пяточно-ладьевидная вилкообразная связки. Происходит эверсия и латеральное смещение костей переднего отдела стопы. При остром повреждении таранной кости и таранно-ладьевидной связки ладьевидная кость ломается по проксимальной суставной поверхности. При переломе ладьевидной кости повреждается капсула сустава Шопара. Изолированный отрыв бугристости ладьевидной кости происходит под действием тяги задней большеберцовой мышцы. Переломо-вывих ладьевидной кости вызывает нестабильность медиальной опорной колонны сустава и первого луча стопы. Перелом кубовидной кости происходит при сдавлении кости во время ротации фиксированной стопы наружу. Отрывной перелом с захватом капсулы пяточно-кубовидного сустава встречается чаще, чем внутрисуставной и внесуставной перелом тела кости. Перелом кубовидной кости происходит при обширных повреждениях сустава Шопара, деструкции опорных колонн и дезинтеграции их костей. Стрессовый перелом кубовидной кости происходит при хронической перегрузке у пациентов с продольно-поперечным плоскостопием, у которых имеется подошвенный фасциит, тендинит задней большеберцовой мышцы, растяжение подошвенного апоневроза, разрыв подошвенной пяточно-кубовидной связки. У пациента происходит гиперпронация стопы во время ходьбы, рост давления в пяточно-кубовидном суставе, рост напряжения в ткани кубовидной кости.
При изолированном вывихе в таранно-ладьевидном суставе происходит смещение ладьевидной кости относительно таранной, в то время, как пяточно-кубовидный сустав остается интактном. Вывих наступает в результате действия приводящей или отводящей силы на стопу, которая находится под нагрузкой. Сила вызывает растяжение связок медиальной опорной колонны. Тыльные связки страдают сильнее, чем связки на подошвенной поверхности стопы. Ладьевидная кость вывихивается в медиальном и подошвенном направлении. Вывих в пяточно-кубовидном суставе происходит при повреждении тыльной и вилкообразной пяточно-кубовидных связок. Смещению костей способствует инверсия в суставе Шопара. Разрыв тыльной связки приводит к дестабилизации пяточно-кубовидного сустава. Критической величиной пяточно-кубовидного угла считается 10°. При величине пяточно-кубовидного угла до 10° имеется повреждение в виде растяжения или частичного разрыва пяточно-кубовидной связки. Вывих считается стабильным, а повреждение - легким. При пяточно-кубовидном угле больше 10° повреждение сустава носит грубый характер, когда у больного имеется разрыв всех пяточно-кубовидных связок, вилкообразной связки, отрыв костного фрагмента от пяточной кости, переломо-вывих с компрессией кубовидной кости, которая сдавлена соседними костями. Разрыв связок пяточно-кубовидного сустава сочетается с повреждением латеральных связок голеностопного сустава.

Рис. 5. Схема костного дефекта при дезинтеграции сустава Шопара
Диспластическая нестабильность поперечного сустава предплюсны представляет собой редкое явление. В норме имеется большая вариативность строения таранно-ладьевидного и пяточно-кубовидного суставов. Более, чем в половине случаев находят расширение латеральной щели пяточно-кубовидного сустава. При дисплазии имеется несоответствие размеров головки тарана и углубления ладьевидной кости. При нестабильности есть слабость пяточно-кубовидной и пяточно-ладьевидной связок. При недостаточности пяточно-ладьевидной связки происходит опускание таранной кости в подошвенном и медиальном направлении, что приводит к снижению свода, развитию продольного плоскостопия и способствует ограничению движений в таранно-пяточно-ладьевидном суставе. При слабости задней большеберцовой мышцы возникает её дисбаланс с мышцей-антагонистом - длинным разгибателем пальцев. Развивается неустойчивость сустава, стопа теряет жесткость в среднем отделе. Во время ходьбы происходит уменьшение силы отталкивания от опоры. Диспластическая нестабильность развивается при врожденном синостозе таранной и пяточной костей, который встречается у 1% людей. В половине случаев процесс носит двусторонний характер и проявляется в подростковом возрасте. Ограничение движения между таранной и пяточной костями вызывает компенсаторное увеличение подвижности в соседних сочленениях. При пронации стопы происходит увеличение подвижности, что ведет к развитию вальгусной деформации стопы с болью при нагрузке. Дестабилизация при дисплазии протекает медленно. Появление стойкой метатарзалгии свидетельствует о нестабильности сустава.
При остром переломо-вывихе в суставе Шопара имеется отек тыла стопы, деформация стопы, смещение её переднего отдела чаще в латеральном направлении, резкая боль в среднем отделе стопы при движениях. При повреждении пяточно-кубовидной и вилкообразной связок имеется отек и боль по наружной поверхности стопы в средней трети и боль при супинации. При хронической нестабильности сустава Шопара определяется недостаточность замыкательного механизма таранно-ладьевидного и пяточно-кубовидного суставов. При нестабильности есть жалобы на боль в стопе при ходьбе, когда человек отталкивается от опоры. Ходьба становится асимметричной
Рентгенологическое исследование
Для диагностики повреждения сустава Шопара делают рентген, КТ и МРТ. На передне-задней рентгенограмме определяют величину пяточно-кубовидного угла. Проводят одну касательную к наружному краю кубовидной кости и вторую касательную к наружному краю пяточной кости. В норме угол между касательными колеблется в пределах от 0 до 5°. Увеличение угла свидетельствует о нарушении стабильности пяточно-кубовидного сочленения. КТ во фронтальной и сагиттальной плоскостях позволяет выявить дефект суставных фасеток, смещение костей при вывихе и фрагментацию костей при переломе. КТ, по сравнению с рентгенографией, является более информативным методом диагностики. МРТ позволяет выявить дефекты отдельных связок.

Рис. 6. Отрывной перелом по тылу таранной кости на границе с суставом Шопара

Рис. 7. Перелом кубовидной кости по передней поверхности

Рис. 8. Переломо-вывих в суставе Шопара

Рис. 9. Переломо-вывих в суставе Шопара
Консервативное и оперативное лечение
Показанием к восстановительной операции на костях является укорочение одной из опорных колонн с асимметрией стопы. Кости фиксируют винтом или пластиной. Костная пластика позволяет восстановить размер опорной колонны и симметрию стопы. При переломо-вывихе костную пластику совмещают с пластикой связок сустава. Производят восстановление пяточно-ладьевидной связки, при недостаточности таранно-ладьевидной связки делают сухожильную пластику. У больных с сочетанным нарушением целостности костей и связок срастание разорванных связок происходит, если между костями восстановлены нормальные соотношения.
У больного с повреждением шейки таранной кости делают закрытое вправление, при переломе шейки с ротационной деформацией и дорзальным смещением фрагмента более 5 мм показана операция - открытая репозиция и фиксация отломков, при переломе шейки с разрывом таранно-пяточной связки делают операцию с фиксацией фрагментов спицами или винтом, при нестабильном вывихе в подтаранном суставе делают либо закрытое вправление с фиксацией спицами, либо открытое вправление с применением фиксирующих устройств. Артродез делают по следующим показаниям: нарушение размеров и формы кости, нарушение соотношения между опорными колоннами, нарушение конгруентности таранно-ладьевидного и пяточно-кубовидного суставов, значительное расхождение суставных концов, которое препятствует сращению связок, хронический подвывих в поперечном суставе предплюсны. В далеко зашедших случаях хронической нестабильности артродез позволяет уменьшить боль в стопе и улучшить ходьбу. При разрушении таранно-ладьевидного сустава артродез приводит к диспропорции медиальной и латеральной опорных колонн, что может потребовать дополнительного вмешательства на пяточно-кубовидном суставе для восстановления симметрии. После артродеза срок иммобилизации в гипсовом сапожке составляет не менее 10 недель.
После операции больному показана ортопедическая индивидуальная обувь или вкладные ортезы. В конструкции обуви предусматривают жесткие берцы для удержания пятки в правильном положении. При вальгусной деформации и уплощении стопы делают продленный внутренний берец и супинатор на вкладном элементе. Самую высокую часть супинатора помещают на расстоянии 32-35% дины стопы так, чтобы она приходилась под ладьевидную кость.


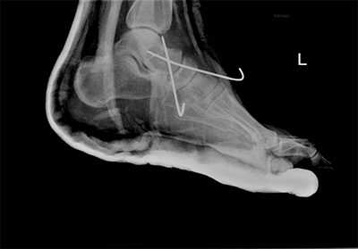
Рис. 10. Чрезкожная фиксация костей предплюсны после вправления вывиха в суставе Шопара, стопа в гипсовой лонгете

Рис. 11. Индивидуальные стельки компании Персей, выполненные по технологии 3D

Рис. 12. Индивидуальная обувь компании Персей, выполненная по гипсовому слепку и технологии 3D
Читайте также:
- Детоксикация. Принципы детоксикации при синдроме эндогенной интоксикации. Интра- и экстракорпоральные методы детоксикации.
- Употребление мяса полезно или вредно. Как приготовить мясо?
- Фотографии операций при опухолях легких.
- Знахари и шарлатаны в лечении больных раком
- Ретикуло-спинномозговые проводящие пути: нейроны, схема, функции
