Техника операции при невриноме яремного отверстия основания черепа
Добавил пользователь Валентин П. Обновлено: 01.01.2026
Хемодектомы шеи - опухоли мягких тканей, развиваются из рецепторных клеток параганглиев, ими представлено 18% внеорганных опухолей шеи и 40% всех внеорганных опухолей.
Источник хемодектом - каротидное тельце (гломус). Первое описание в 1748 г. Heller, гистологическое исследование в 1862 г. Luchka. В результате эмбриональных исследований известно, что мезенхимальная основа каротидного гломуса закладывается из адвентиции бифуркации сонной артерии. Это является причиной слияния капсулы каротидного гломуса и исходящих из него опухолей с адвентицией сосудов. Каротидный гломус имеет размеры 3-7 мм, находится позади или у края внутренней сонной артерии. Его тельце представлено полигональными клетками с круглыми ядрами типа эпителиоцитов, отделенные друг от друга кровеносными синусоидами, окруженные сплетениями нервных волокон. Таким образом, каротидное тельце это конгломерат артериовенозных анастомозов (Roos, 1959). Каротидное и югулярное тельца (нехромаффинные параганглии) являются единой морфологической и функциональной системой. Иннервацию каротидного гломуса осуществляет нерв Геринга (ветвь языкоглоточного нерва). Нехромаффинные параганглии также встречаются в ganglion nodosum блуждающего нерва, луковице яремной вены, клетчатке орбиты, в области дуги аорты, около устья брыжеечной артерии, у основания черепа. Кроме того существуют крылонебный, окологлоточный и надключичный гломусы.
Нехромаффинным параганглиям присуща хеморецепторная функция: при дефиците кислорода рефлекс с параганглия приводит к стимуляции дыхания, повышению АД, секреции АКТГ, глюкокортикоидов, адреналина, инсулина, повышению числа эритроцитов периферической крови. Именно хеморецепторная функция явилась причиной появления термина хемодектома, предложено было Mulligan в 1950 г.
Впервые опухоль каротидного тельца описана в 1891 г. Marchand у женщины 32 лет, при ее удалении были перевязаны сонные артерии, пациентка умерла после операции. В 1889 г. произведена первая успешная операция по удалению опухоли каротидного тельца доктором Albert без перевязки сонных артерий. Было установлено, что строение опухоли повторяет нормальную гистологическую структуру каротидного тельца.
Хемодектома блуждающего нерва впервые описана Stout в 1935 г., первое описание в отечественной медицине в 1959 г. А. С. Лурье.
По гистологическому строению хемодектомы являются доброкачественными, однако, в 5-30% злокачественное течение заболевания (Фалилеев Г.В., 1978; Подвязников CO., Кропотов М.А., 1991; Fachinetti P. et al., 1991): наличие рецидивов и метастазов (Матякин Е.Г., 1995; Sauter E. et al, 1991). Хемодектомы имеют медленно прогрессирующий рост, в 36 % случаев при наличии злокачественности обнаруживают метастазы в регионарные лимфатические узлы и в 41 % — в отдаленные, преимущественная локализация в позвоночнике и легких (Подвязников CO., Кропотов М.А., 1991). Процесс метастазирования обычно протекает бурно.
Чаще хемодектомы встречаются у пациентов старше 40—50 лет, у мужчин и женщин с одинаковой частотой (Torres-Patino F. et al., 1991; Rossi P. et al., 1994). В 5—10 % хемодектомы обнаружены у членов одной семьи (Sobol S. et al., 1990; Ridge B. et al., 1993; Rossi P. et al., 1994). У пациентов с наследственными хемодектомами множественное поражение наблюдается в 27—87%, а при отсутствии семейного анамнеза — примерно в 3 % случаев (Ridge В. et al., 1993; Lajtman Z. et al., 1994; Netter-ville J. et al., 1995).
Анатомической особенностью расположения хемодектом является их тесная взаимосвязь с сонными артериями, черепными нервами, основанием черепа и глоткой. Кровоснабжение сонные артерии, щитошейный ствол, позвоночные артерии.
Для роста хемодектом характерна значительная инфильтрация близлежащих тканей, особенно адвентиции сонных артерий, а при хемодектомах блуждающего нерва — периневральных элементов. Хемодектомы обычно циркулярно обрастают сонные артерии, имеют тенденцию к распространению вдоль сосудистого пучка к основанию черепа.
Клиника каротидных хемодектом
Чаще всего единственной жалобой является обнаруженное объемное образование. Реже пациенты жалуются на головную боль, боль и болезненность в области опухоли, головокружение. Иррадиация боли возможна в висок, зубы и надплечье. Иногда встречаются неврологические проявления: осиплость голоса, кашель, затруднение глотания, обусловленные давлением на близлежащие нервы (чаще всего на блуждающий нерв). При гормонально-активных опухолях отмечается общая слабость, быстрая утомляемость, бессонница.
Типичная локализация: на боковой поверхности шеи, ниже угла нижней челюсти, в зоне сонного треугольника, реже в зачелюстной ямке. Опухоль может контурировать в виде припухлости, покрытой неизмененной кожей, обычно безболезненна, плотной или плотноэластической консистенции, с гладкой поверхностью. При пальпации пульсация на передней или наружной ее поверхности, выражена более интенсивно, чем на противоположной стороне. Аускультативно над опухолью в 5—10 % случаев выслушивается систолический шум. Особенностью хемодектом является заметная смещаемость в горизонтальном направлении и ограниченная в вертикальном направлении. Отвести опухоль от пульсирующей артерии невозможно. При надавливании на опухоль возможно кратковременное коллаптоидное состояние (бледность кожных покровов, падение АД) вследствие раздражения каротидного синуса. Для каротидных хемодектом типичен медленный рост. При длительном течении опухоли могут достигать значительных размеров, возможно сдавление и оттеснение гортани и глотки. Злокачественный вариант встречается довольно редко; метастазы располагаются, как правило, вблизи образования в виде инкапсулированного узла.
Клиника вагальных хемодектом
Вагальные хемодектомы образуются из параганглионарной (хеморецепторной) ткани нодозного узла блуждающего нерва, располагающегося вблизи от яремного отверстия. К нодозному ганглию интимно прилежат ВСА, внутренняя яремная вена, подъязычный и языкоглоточный нервы.
Пациенты предъявляют жалобы на наличие опухолевидного образования в подчелюстной области. Субъективно отмечают чувство инородного тела в глотке, изменение тембра голоса, реже затруднение при глотании. Неврологические проявления при вагальных хемодектомах более существенны, чем при каротидных. Чаще это триада Горнера (птоз, миоз, энофтальм). Возможны также симптомы, связанные с выпадением функции блуждающего, подъязычного и языкоглоточного нервов.
Обычно вагальные хемодектомы локализуются на боковой поверхности шеи под углом нижней челюсти. Верхний полюс не определяется, так как уходит в зачелюстную ямку в парафарингеальное пространство. Для вагальных хемодектом типично выпячивание боковой стенки глотки с отклонением мягкого неба и языка вперед и медиально. Слизистая оболочка при этом не изменена, смещается над опухолью. На слизистой могут быть видны многочисленные извитые сосуды диаметром до 1 мм. При других объемных образованиях, распространяющихся в парафарингеальное пространство, подобный симптом отсутствует. Пульсация сонных артерий над опухолью определяется редко. Верхний полюс опухоли может достигать основания черепа, а нижний развилки ОСА. ВСА обычно соприкасается с медиальной поверхностью опухоли и на 30—40 % окружена опухолью.
Также характерен медленный рост. Однако, в отличии от каротидных хемодектом, более частое озлокачествление с агрессивным инфильтративным ростом по отношению к окружающим тканям, особенно к сонным артериям и нервам. При прогрессировании рост опухоли происходит в сторону основания черепа и височной кости.
Регионарные метастазы вагальных хемодектом располагаются вблизи основной опухоли и часто составляют с ней единый конгломерат. Отдаленные метастазы локализуются в позвоночнике и легких.
Хемодектомы атипичной локализации располагаются на боковой поверхности шеи вблизи сосудисто-нервного пучка, но вне его фасциального футляра, отличаются упорным местным рецидивированием и более частым метастазированием.
Обследование: цветное дуплексное сканирование, ультразвуковая допплерография, компьютерная томография, включая спиральную, рентгеноконтрастное исследование сосудов, транскраниальная допплерография, бронхоскопия.
При анализе результатов исследований обращают на топографию сонных артерий и их взаимоотношение с опухолью, протяженность поражения сосудов и степень их обрастания, расположение верхнего полюса опухоли, состояние дистальной части ВСА, характеристику (качественную и количественную) кровотока по сонным артериям.
Дифференциальный диагноз.
Внеорганные новообразования шеи схожи по своим клиническим проявлениям. Нередко единственным симптомом является наличие опухоли на шее. Боли, компрессионные синдромы и неврологическая симптоматика наблюдаются редко. Все это затрудняет дифференциальную диагностику. Диагностические ошибки довольно типичны: чаще при первичном обращении ошибочно диагностируется лимфаденит, что связано с редкостью внеорганных опухолей шеи и недостаточной осведомленностью докторов в этой патологии, ложной связью обнаруженной опухоли с воспалительными явлениями (кариес, хронический тонзиллит, фарингит и др.).
При обнаружении опухоли на шее, особенно солитарной, в первую очередь необходимо исключить метастатический генез, гемобластоз.
Неспецифические лимфадениты чаще наблюдаются у детей при хронических воспалительных заболеваниях кожи лица и головы, слизистой оболочки рта, верхних дыхательных путей. При этом лимфоузлы обычно увеличены, плотноваты, множественны, безболезненны; признаки периаденита отсутствуют. Необходимо дифференцировать от метастазов в лимфатические узлы шеи и лимфоретикулярных поражений. Метастатические лимфатические узлы более плотные, округлые. Окончательный диагноз обычно ставят при цитологическом или гистологическом исследовании.
Специфический хронический лимфаденит при туберкулезе и сифилисе. Туберкулезное поражение чаще двустороннее, характерно изменение подчелюстных и яремных узов. На ранних стадиях плотные, подвижные, безболезненные, не спаяны между собой и с окружающими тканями. Затем приобретают вид пакета, нарастают явления периаденита, могут появляться абсцессы и свищи.
Хемодектомы шеи и невриномы, локализованные вблизи сонных артерий, в первую очередь следует дифференцировать с аневризмами сонных артерий. При аневризме определяется более четкая пульсация и систолический шум, характерно отставание пульсовой волны на височной или лицевой артерии, что при хемодектомах отсутствует.
Кроме того, хемодектомы данной локализации следует отличать от неврином блуждающего или подъязычного нервов и солитарных метастазов. При невриномах, расположенных в непосредственной близости к сонным артериям, иногда возможно ощутить передаточную пульсацию. Дифференциальной диагностике способствуют попытки отведения опухоли от сосудов, которая возможна при невриномах, а при хемодектомах образование смещается только вместе с сосудом.
Наибольшую трудность для дифференциальной диагностики представляют образования парафарингеального расположения. Их следует дифференцировать от злокачественных опухолей ротоглотки, чаще опухолей миндалин. Для рака миндалин характерны боли, неловкость при глотании, ощущением инородного тела. При осмотре: изъязвленная кровоточащая опухоль. Это крайне важно, так как при парафарингеальных опухолях не бывает изъязвления слизистой оболочки.
Также представляют значительные трудности в дифференциальной диагностике первично-множественные опухоли. Чаще обнаруживаются комбинации опухолей щитовидной железы с хемодектомами, невриномами, лимфосаркомой. В этих случаях солитарные опухоли на шее принимают за метастазы рака щитовидной железы.
При сборе анамнеза следует обращать внимание на длительность развития заболевания, темп роста образования, на наличие опухоли ранее, метастазом или рецидивом которой может быть обнаруженная в настоящее время опухоль.
Исследование групп лимфатических узлов проводится последовательно, целесообразно осуществлять пальпацию со спины пациента, при этом четче определяются все анатомические структуры в надключичной области и вдоль сосудистого пучка.
При парафарингеальной локализации используют бимануальную пальпацию. Ее следует проводить при расслаблении мышц шеи (голова исследуемого наклонена вперед), а также в положении лежа с валиком под плечами, голова повернута в сторону. Это дает возможность определить локализацию, взаимоотношение опухоли с магистральными сосудами.
Важное значение в дифференциальной диагностике внеорганных новообразований шеи имеет их локализация: для неврином и ганглионеврином характерно расположение в парафарингеальной зоне, нейрофибром — в боковых отделах шеи, липом — в боковом треугольнике или надключичной области, лимфангиом — вдоль кивательной мышцы или над ключицей, десмоида — вблизи мышечных массивов плечевого пояса и в нижнебоковых отделах шеи, срединной кисты и опухоли щитоязычного протока — строго по средней линии шеи, вблизи подъязычной кости.
Из методов лабораторной диагностики важное значение при диагностики гемобластозов имеет клинический анализ крови.
Обзорную рентгенографию в обязательном порядке проводят при пальпируемых плотных, неподвижных небольших образованиях в надключичной области для исключения шейных ребер и вторичных поражений костей. Рентгенологическое обследование также дает возможность выявить наличие известковых включений (симптом отсутствует при хемодектомах, метастазах рака, липомах).
Важнейшее место в дифференциальной диагностике различных внеорганных опухолей шеи занимает ультразвуковое исследование. В В-режиме метастазы в лимфатические узлы имеют неоднородную структуру, капсулу толщиной до 2 мм, невриномы — изоэхогенную однородную структуру без выраженной капсулы, кисты - гипоэхогенную структуру с наличием мелкодисперсного жидкого содержимого и капсулу толщиной до 1.5 мм. Кровоток по сонным артериям характеризуется отсутствием локального повышения скорости, что свидетельствует о неизменности гемодинамики. В 30 % случаев определяют гемодинамически значимую компрессию яремной вены. Сосудистый рисунок неврином чаще представлен множеством сосудов, преимущественно артериями, диаметром до 2.2 мм с коллатеральным типом кровотока, в шванноме сосуды с венозным характером кровотока, внутри кист сосудистый рисунок не выражен.
Безусловно ангиография помогает в дифференциальной диагностике внеорганных новообразований шеи. Ангиографическая картина при метастатических опухолях характеризуется смещением оси сонных артерий в трех направлениях — кнутри, кпереди и кзади. Чаще сонные артерии отклоняются медиально, смещения сонных артерий кнаружи не бывает. В 20 % случаев выявляется компрессия ОСА или ВСА. Метастатические образования обычно прилегают к сонным артериям в области бифуркации ОСА, реже в начальных отделах ВСА и НСА. Известны единичные случаи циркулярного расположения метастатических опухолей вокруг сонных артерий. Чаще опухоль спаяна с наружной стенкой артерии.
При лимфоретикулярных опухолях шеи (лимфогранулематоз, ретикулосаркоматоз) характерна локализация сонных артерий медиально по отношению к опухоли, поэтому на ангиограммах определить их ход не представляется возможным.
Наиболее частая локализация образований в области бифуркации ОСА при метастатических образованиях объясняется несколькими причинами: находящимся вблизи бифуркационным лимфатическим узлом, в который чаще метастазируют опухоли головы и шеи, а также фиксацией развилки ОСА ветвями НСА.
Признаки опухолей черепных нервов на ангиограммах:
• при невриномах, исходящих из блуждающих нервов, в прямой проекции характерно отдавливание сонных артерий кнаружи, в боковой — кпереди
• при опухолях симпатического ствола (невролейомиомы, неврофибромы) в прямой проекции бифуркация ОСА, ВСА и НСА оттеснены новообразованием кнаружи в латеральном направлении, в боковой — ВСА смещена кзади, а НСА — кпереди
• при опухолях из сосудов (ангиофибромы) в прямой проекции отклоняют ВСА кнаружи, а в боковой — кпереди
• при синовиальной саркоме смещение в прямой проекции дистального отдела ОСА и начального отдела ВСА кпереди и в боковой латерально.
Лечение.
Консервативное лечение хемодектом шеи малоэффективно: полное излечение при лучевой терапии достигается только в 23 %, а частичное улучшение — в 54 % случаев (Valdagni R., Amichetti M., 1990; Dinges S. et al., 1993). Поэтому отдают предпочтение радикальному удалению опухоли (Матякин Е.Г., 1995; Kogel H. et al., 1991; Williams M. et al., 1992). Хирургическая тактика дает хорошие результаты в 93—96 % случаев (Kraus D. et al., 1990; Van-der-Mey A. et al, 1992).
До середины 50-х годов прошлого века смертность при хирургическом лечении каротидных хемодектом достигала более 30 %, а среди выживших инвалидность вследствие афазии, гемипарезов, параличей каудальной группы черепных нервов до 50 %.
Расположение хемодектом в непосредственная связи с сонными артериями обусловливает сложность и опасность оперативного лечения, что в 28—43 % случаев определяет необходимость реконструкции сонных артерий (Lee-lamanit V. et al, 1993). Операция выбор удаление новообразования с сохранением проходимости внутренней сонной артерии.
Важные условия хирургического вмешательства:
- определение толерантности больного к пережатию сонной артерии путем оценки функциональных возможностей виллизиева круга: в дооперационном периоде транскраниальная допплерография, тест на пережатие сонной артерии, в интраоперационном — транскраниальная допплерография, измерение ретроградного давления в общей сонной артерии
- эндотрахеальный наркоз
- широкий доступ: по внутреннему краю кивательной мышцы, при распространении в парафарингеальное пространство — от сосцевидного отростка до края хрящей гортани (дугообразный) с пересечением двубрюшной мышцы в сухожильной части, при необходимости НС;
- по показаниям резекция, пластика или протезирование ВСА; техника операций не отличается от аналогичных на брахиоцефальных сосудах
Отдаленные результаты, прогноз.
Показатели 5-летней выживаемости после хирургического лечения каротидных и вагальных хемодектом составляют 93—99 %, атипичных (учитывая в 100 % случаев злокачественный вариант течения болезни) — 50-61 %.
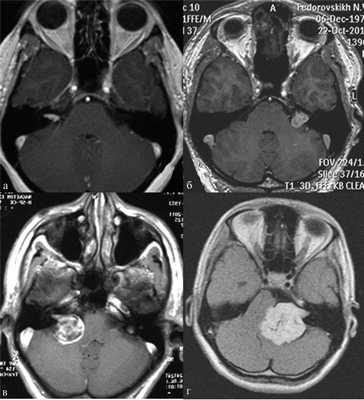
Техника операции при невриноме яремного отверстия основания черепа
НИИ нейрохирургии им. акад. Н.Н. Бурденко РАМН, Москва
ФГАУ «НИИ нейрохирургии им. акад. Н.Н. Бурденко» Минздрава России, Москва, Россия
ФГБНУ «НИИ нейрохирургии им. акад. Н.Н. Бурденко», Москва, Россия
Хирургическое лечение неврином слухового нерва (вестибулярных шванном)
Журнал: Журнал «Вопросы нейрохирургии» имени Н.Н. Бурденко. 2017;81(3): 66‑76
Клинические рекомендации — это актуальные систематически разработанные положения, созданные для того, чтобы помочь врачу в принятии решений относительно врачебной тактики в определенных клинических ситуациях, они содержат установки по проведению диагностических и скринирующих тестов, по объему медицинской и хирургической помощи и по другим аспектам клинической практики. Вестибулярные шванномы составляют 8% всех внутричерепных образований, до 30% опухолей задней черепной ямки и 85% опухолей мосто-мозжечкового угла. Заболеваемость невриномами слухового нерва составляет примерно 1 случай на 100 000 населения в год. В работе представлены вопросы классификации, диагностики и лечения неврином слухового нерва. В рекомендациях подробно рассмотрены ключевые аспекты формулировки клинического диагноза, классификационные признаки, определение показаний к хирургическому или лучевому лечению, а также принципы выжидательной тактики при вестибулярных шванномах. Особое внимание уделено хирургическому лечению неврином слухового нерва, приведены критерии выбора хирургического доступа, использования современного операционного оснащения, этапы удаления опухоли. В соответствии с принятой клинической классификацией предложены алгоритмы действий в зависимости от стадии заболевания и динамики развития патологического процесса, возраста пациента и клинических проявлений. Ключевые положения клинических рекомендаций основаны на критериях доказательности. Работа предназначена для практической деятельности специалистов нейрохирургов.
Клинические рекомендации (КР) — это актуальные, систематически разработанные положения, созданные для помощи врачу в принятии решений относительно врачебной тактики в определенных клинических ситуациях. Они содержат установки по проведению диагностических и скринирующих тестов, по объему медицинской и хирургической помощи и по другим аспектам клинической практики [1].
Цель составления КР — попытка стандартизации вопросов диагностики и лечения заболеваний по всем разделам медицины, в том числе и по нейрохирургии.
КР включают описание методов диагностики и лечения профильных заболеваний, уровни доказательности основных положений, указатели лекарственных препаратов по Международным непатентованным названиям, оценку информационных ресурсов, использованных для разработки документа. Все основные разделы КР («Общие сведения», «Диагностика», «Лечение») должны содержать уровни доказательности приводимых в данном разделе положений.
В КР могут использоваться различные шкалы уровней доказательности, например, критерии, основанные на шкале уровней (категорий) доказательности Оксфордского центра доказательной медицины. По рекомендации Ассоциации нейрохирургов России в КР нейрохирургического профиля используется шкала «Стандарты—Рекомендации—Опции», в которой «Стандарт» соответствует уровню доказательности класса А, «Рекомендация» — уровням доказательности класса В—С, «Опция» — уровню доказательности класса С.
Стандарты. Это общепризнанные принципы диагностики и лечения, которые могут рассматриваться в качестве обязательной лечебной тактики. Большей частью — это данные, подтвержденные наиболее доказательными исследованиями (1—2 класс) — мультицентровыми проспективными рандомизированными исследованиями, или же данные, подтвержденные результатами независимых крупных нерандомизированных проспективных или ретроспективных исследований, выводы которых совпадают.
Рекомендации. Лечебные и диагностические мероприятия, рекомендованные к использованию большинством экспертов по этим вопросам, которые могут рассматриваться как варианты выбора лечения в конкретных клинических ситуациях. Эффективность рекомендаций определяется в исследованиях 2-го и реже — 3-го класса доказательности, т. е. в проспективных нерандомизированных исследованиях и крупных ретроспективных исследованиях. Для перехода этих положений в разряд стандартов необходимо их подтверждение в проспективных рандомизированных исследованиях.
Опции. Основаны на небольших исследовательских работах 3-го класса доказательности и представляют, главным образом, мнение отдельных авторитетных по тем или иным направлениям экспертов, или экспертных групп.
Общие сведения. Вестибулярные шванномы составляют 8% от всех внутричерепных образований, до 30% опухолей задней черепной ямки и 85% опухолей мосто-мозжечкового угла [2]. Термины «вестибулярная шваннома» и «невринома слухового нерва» являются синонимами, обозначающими доброкачественные опухоли, которые состоят полностью из шванновских клеток и исходят из вестибулярной порции слуховестибулярного нерва (более часто из верхней части вестибулярной порции) [3, 4]. В мировой литературе в основном используется термин «вестибулярная шваннома», а в отечественной — «невринома слухового (VIII) нерва».
Заболеваемость невриномами слухового нерва составляет примерно 1 случай на 100 000 населения в год [5]. Другими словами, каждый год в Российской Федерации появляется 1500 новых случаев неврином слухового нерва. Учитывая постоянное совершенствование методов нейровизуализации, позволяющих устанавливать диагноз на ранних стадиях заболевания, эта цифра может быть еще выше.
Невриномы слухового нерва в 95% случаев является односторонней опухолью. 5% неврином имеют мультицентрический двусторонний характер роста и являются проявлением нейрофиброматоза типа II (НФ-2) — наследственного, аутосомного заболевания, имеющего доминантный характер наследования. Истинные, спорадические невриномы слухового нерва развиваются наиболее часто на четвертом—пятом десятилетии жизни, имея общий возрастной период от 12 до 88 лет [6]. Более часто невриномы встречаются у женщин, чем у мужчин, примерное соотношение 3:2. Двусторонние невриномы, обусловленные НФ-2, проявляются значительно раньше, во втором—третьем десятилетии жизни [7, 8].
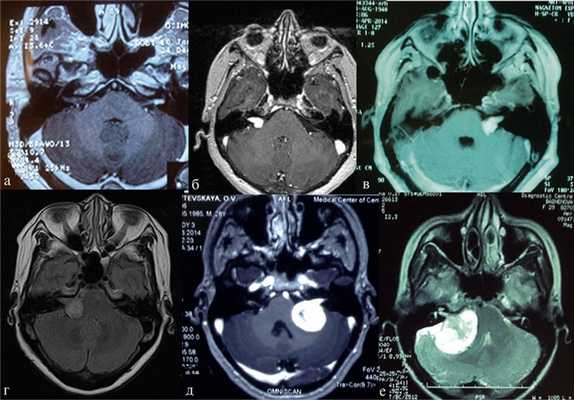
Невриномы слухового нерва являются, как правило, плотным, опухолевым образованием, в редких случаях содержат в своей структуре кисты, имеют хорошо выраженную капсулу, четко отграниченную от мозгового вещества. Они возникают во внутреннем слуховом проходе, в зоне Obersteiner-Redlich между миелин-продуцирующими олигодендроцитами и шванновскими клетками, расположенными в 8—10 мм от пиальной оболочки боковой поверхности моста. Рост опухоли происходит в сторону наименьшего сопротивления по корешку нерва в средней части мостомозжечкового угла. Близлежащая часть нерва может быть изолирована при маленькой опухоли, но с увеличением размера последней включается в ее структуру [9]. При более поздних стадиях заболевания и значительно больших размерах опухолевого узла происходит аналогичное воздействие на близлежащие черепные нервы. По частоте вовлечения в этот процесс на первом месте стоит, естественно, вестибуло-кохлеарный нерв, затем в порядке убывания частоты следуют лицевой и тройничный нервы, языкоглоточный нерв и другие [3, 10].
Классификации стадий развития заболевания
В практической деятельности наиболее универсальными являются классификации, предложенные Koos [11] и Samii [12]. Они основаны на оценке размеров невриномы и ее отношении к окружающим мозговым и костным структурам (рис. 1, 2).

Рис. 1.Иллюстрация классификации неврином слухового нерва по Koos. а — I стадия — опухоль находится в пределах внутреннего слухового прохода, диаметр экстраканальной части составляет 1—10 мм; б — II стадия — опухоль вызывает расширение канала внутреннего слухового прохода и выходит в мостомозжечковый угол, ее диаметр составляет, 11—20 мм; в — III стадия — опухоль распространяется до ствола головного мозга без его компрессии, диаметр составляет 21—30 мм; г — IV стадия — опухоль вызывает компрессию ствола головного мозга, ее диаметр более 30 мм.

Рис. 2.Классификация неврином слухового нерва по M. Samii. а — Т1 — интрамеатальная опухоль (рис. 2, a); б —Т2 — интра-экстрамеатальная опухоль; в — Т3а — опухоль заполняет мостомозжечковую цистерну; г —Т3b — опухоль распространяется до ствола головного мозга; д —Т4а — опухоль вызывает компрессию ствола; е —Т4b — опухоль грубо деформирует ствол мозга и IV желудочек.
В клинической практике обе эти классификации следует равноценно рассматривать в качестве основных принципов оценки клинической стадии заболевания (опция).
По данным анализа большого массива клинических исследований (663 собственных наблюдения), на сегодняшний день средний размер невриномы слухового нерва составляет 32×30×30 мм. Распределение по стадиям заболевания представлено следующим образом:
Невринома ( Неврилеммома , Нейринома , Шванноглиома , Шваннома )
Невринома — это доброкачественное новообразование, возникающее из миелиновой оболочки нервного ствола. Становится причиной раздражения и дисфункции поражённого нерва, компрессии прилегающих тканей. Клинические проявления соответствуют расположению опухоли. Наиболее часто встречаются невриномы слухового нерва. Диагностика осуществляется комплексно по результатам неврологического осмотра, УЗИ, МРТ, КТ поражённой области, электронейромиографии, гистологического исследования. Лечение хирургическое, по показаниям проводится открытое или радиохирургическое удаление новообразования.
МКБ-10


Общие сведения

Причины невриномы
Шваннома образуется вследствие чрезмерного размножения шванновских клеток в неврилемме. Причины процесса усиленного деления остаются неизвестными. Значимыми факторами считаются:
- ионизирующая радиация
- плохая экологическая обстановка
- воздействие канцерогенов, поступающих в организм с пищевыми продуктами, вдыхаемым воздухом.
Предполагают наследственную детерминированность развития неврином. Склонность к их образованию отмечается у пациентов с нейрофиброматозом. Возникновение неврином глотки обусловлено хроническим вредоносным воздействием различных химических агентов, пыли, частых и длительных воспалительных процессов при хроническом тонзиллите, фарингите, назофарингите.
Патогенез
Макроскопически невринома является заключённым в капсулу, отграниченным округлым образованием с бугристой поверхностью. На разрезе опухоль имеет светло-серый или буро-коричневый цвет, определяются многочисленные фиброзированные участки, заполненные бурой жидкостью кисты. По мере роста неоплазия начинает сдавливать нервные волокна и окружающие нерв ткани, что вызывает возникновение основных клинических проявлений - нарушения функции нерва и прилегающих к нему структур. Выраженность симптоматики определяется локализацией шванномы. При расположении в узких рамках мосто-мозжечкового угла, костно-мышечного канала симптомы появляются рано, даже при небольших размерах образования.
Микроскопически невринома представляет собой параллельные ряды клеток с палочкообразными ядрами, перемежающиеся с волокнистыми структурами. Периферические участки опухоли окружены сосудистой сетью, центральные бедны сосудами. Вследствие недостаточного кровоснабжения в центральных отделах происходят дистрофические изменения. В результате последних невринома претерпевает различные морфологические трансформации, соответственно которым выделяют три основных гистологических типа неоплазии: эпителиоидный, ангиоматозный, ксантоматозный. Клинического значения указанная классификация не имеет.
Симптомы невриномы
Шваннома отличается медленным развитием симптоматики, может долго оставаться незамеченной. Признаки неоплазии зависят от ее месторасположения, включают две основные составляющие - симптомы расстройства функции поражённого нерва и проявления, обусловленные компрессией близлежащих тканей. При невриноме слухового нерва отмечается прогрессирующее снижение слуха. Поскольку опухоль односторонняя, пациент не сразу замечает развитие тугоухости. При вовлечении вестибулярной порции появляются головокружения с тошнотой и рвотой, вестибулярная атаксия.
Невринома тройничного нерва манифестирует прозопалгией, гипестезией половины лица, иногда - вкусовыми галлюцинациями. Поражение лицевого нерва характеризуется слабостью мимической мускулатуры. В ряде случаев тригеминальная и фациальная симптоматика провоцируются компрессией корешков соответствующих черепных нервов увеличивающейся вестибуло-кохлеарной шванномой.
Невринома спинального корешка протекает с классическим корешковым синдромом: болью, расстройством чувствительности, мышечной гипотонией, слабостью, атрофией в зоне иннервации поражённого корешка. Невринома периферического нерва проявляется аналогичными нарушениями в иннервируемой области. Со временем в денервированных тканях развиваются трофические расстройства. Невринома глотки вызывает чувство дискомфорта, обуславливает дисфагию, затруднение носового дыхания.
Осложнения
Неуклонно увеличивающаяся невринома мосто-мозжечкового угла может приводить к полной потере слуха, стойкому гемипарезу лица, внутричерепной гипертензии, сдавлению стволовых структур с развитием бульбарного синдрома, включающего нарушения глотания, речи, появление двоения в глазах. Компрессия мозжечка обуславливает возникновение мозжечковой атаксии: шаткость ходьбы, дискоординацию, крупноразмашистые движения, скандированную речь, нистагм. Спинальная невринома осложняется сдавлением спинного мозга с развитием компрессионной миелопатии, проявляющейся сенсомоторными нарушениями ниже очага поражения, расстройствами тазовых функций. Осложнением шванномы ветвей блуждающего нерва является нейропатический парез гортани.
Диагностика
Клиническая картина невриномы во многом сходна с поражением нервного ствола воспалительной, компрессионной, дисметаболической этиологии. Клиническая симптоматика, осмотр невролога позволяют определить уровень поражения. Последующая инструментальная диагностика направлена на уточнение морфологического субстрата, явившегося причиной поражения нервного ствола. Перечень необходимых обследований определяется расположением неоплазии, включает:
- Церебральную нейровизуализацию. Применяется при новообразованиях черепных нервов. Контрастная КТ головного мозга способна выявить невриномы размером более 1 см. Церебральная МРТ обладает большей информативностью, лучше визуализирует состояние окружающих опухоль тканей.
- МРТ. Проводится изолированная МРТ поражённого отдела позвоночника. Исследование позволяет обнаружить невриномы спинномозговых корешков, определить степень спинальной компрессии.
- Аудиометрия. Наряду с консультацией оториноларинголога и сурдолога, аудиометрия показана пациентам с понижением слуха. Обследование проводится для оценки степени тугоухости, исключения прочих возможных причин ухудшения слуха.
- КТ или МРТ гортани и глотки. Назначается при подозрении на невриному глотки. Выполняется после фарингоскопии для уточнения диагноза, локализации и размеров неоплазии.
- Сонография. УЗИ периферических нервов целесообразно при поражении нервных стволов конечностей. Дает возможность определить наличие локального утолщения неврилеммы. Более точно визуализировать образование помогает местная МРТ мягких тканей конечности.
- Электронейромиография. ЭНМГ необходима для анализа функционального состояния поражённого шванномой нервного ствола. В послеоперационном периоде применяется для контроля восстановления.
- Гистологическое исследование. Указанные выше обследования позволяют определить наличие опухолевого образования, предположить его доброкачественный характер. Точная верификация неоплазии возможна лишь по результатам исследования строения её тканей. Как правило, биопсия не назначается, проводится гистология операционного материала.
Дифференциальная диагностика шванном производится с другими опухолевыми образованиями. Невринома мосто-мозжечковой локализации требует дифференцировки от менингиомы, астроцитомы, опухоли мозжечка, спинальная шваннома — от иных экстрамедуллярных опухолей. Невриномы периферических нервов дифференцируют от компрессионно-ишемической, воспалительной невропатии.

Лечение невриномы
Единственным эффективным способом лечения шванном является их удаление. Выбор лечебной тактики осуществляется нейрохирургом, зависит от локализации неоплазии, возраста и состояния здоровья пациента. Применяются две основные методики:
- Хирургическое иссечение. Требует высвобождения нервных волокон от опухолевых тканей, что сопряжено с высоким риском травмирования, вероятностью сохранения отдельных опухолевых частиц, которые в последующем могут стать причиной рецидива. Для снижения риска указанных осложнений используется микрохирургическая техника. При интракраниальной локализации операция проводится путём трепанации черепа, при спинальной — с ламинэктомией.
- Радиохирургическое удаление. Выполняется при внутричерепной и спинальной локализации шванномы. Направленное лучевое воздействие вызывает гибель части опухолевых клеток, оставшиеся клетки утрачивают способность к размножению. Радикальная радиохирургическая операция возможна при размере неоплазии менее 30 мм, в остальных случаях радиохирургический метод применяется в качестве паллиативного лечения с целью уменьшения размеров новообразования у больных, имеющих противопоказания к открытой операции.
Прогноз и профилактика
Исход заболевания зависит от расположения опухоли, своевременности диагностики и лечения. В большинстве случаев радикальное удаление обеспечивает благоприятный результат. В отдельных случаях наблюдается рецидив новообразования. Отсутствие лечения приводит к необратимой потере функции поражённого нервного ствола, возникновению осложнений. Специфическая профилактика не разработана, общие профилактические меры сводятся к предупреждению воздействия онкогенных факторов, повышению противоопухолевого иммунитета.
1. Магнитно-резонансная томография в нейрохирургии/ Коновалов А.Н., Корниенко В.Н., Пронин И.Н. - 1997.
3. Невриномы нервных стволов конечностей: клиника, диагностика и лечение/ Цымбалюк В.И., Третяк И.Б., Тончев М.Д.// Украинский нейрохирургический журнал. - 2008.
Невринома слухового нерва
Невринома слухового нерва — доброкачественное новообразование VIII черепного нерва, состоящее из клеток шванновской оболочки. Клинически проявляется понижением слуха, шумом и звоном в ухе, вестибулярными расстройствами на стороне поражения, симптомами сдавления лицевого, тройничного, отводящего нервов, мозгового ствола и мозжечка, признаками внутричерепной гипертензии и гидроцефалии. Невринома слухового нерва диагностируется благодаря рентгенографии височных костей, МРТ или КТ головного мозга. В зависимости от размеров образования возможно его хирургическое и радиохирургическое удаление, радиотерапия. В отдельных случаях целесообразно наблюдение за опухолью в динамике и решение вопроса о тактике лечения только при выявлении прогрессирующего роста образования.


VIII пара ЧМН — преддверно-улитковый, или слуховой, нерв состоит из вестибулярной и слуховой частей. Первая несет в церебральные центры информацию от вестибулярных рецепторов улитки, вторая — от слуховых. В подавляющем большинстве случаев невринома развивается в вестибулярной части преддверно-улиткового нерва, а симптомы поражения слухового отдела связаны с его сдавлением опухолью. Вблизи преддверно-улиткового нерва проходят: ствол лицевого нерва, тройничный нерв, отводящий, языкоглоточный и блуждающий нервы. По мере роста невриномы в клинической картине могут возникать симптомы сдавления этих нервов, а также прилежащих структур ствола мозга.
Невринома слухового нерва берет начало из шванновских клеток, окружающих аксоны нервных волокон. В связи с этим в практической неврологии она также известна как вестибулярная (акустическая) шваннома. Частота встречаемости опухоли примерно 1 заболевший на 100 тыс. человек. При этом невринома слухового нерва составляет 12-13% всех церебральных опухолей и примерно 1/3 от опухолей задней черепной ямки. Она развивается преимущественно в возрасте 30-40 лет. Не отмечено ни одного случая заболевания у детей допубертатного периода.

Этиопатогенез
Этиология неврином слухового нерва пока остается неопределенной. Односторонние невриномы носят спорадический характер, их прямая связь с какими-либо этиофакторами не прослеживается. Двусторонние невриномы наблюдаются у многих пациентов с нейрофиброматозом II типа — генетически обусловленном заболевании, для которого типичны доброкачественные опухолевые процессы различных тканевых структур нервной системы (нейрофибромы, глиомы, менингиомы, невриномы). Нейрофиброматоз наследуется аутосомно-доминантным путем, риск заболевания потомства при наличии патологического гена у обоих родителей составляет 50%.
Патогенетически выделяют 3 стадии развития вестибулярной шванномы. В первой небольшие размеры образования (до 2,5 см) приводят к нарушению слуха (тугоухости) и вестибулярным расстройствам. Во второй новообразование вырастает до размеров грецкого ореха, оказывает давление на ствол мозга, что приводит к появлению нистагма, дискоординации движений и расстройства равновесия. В третьей стадии, когда невринома достигает размеров куриного яйца, она вызывает резкое сдавление церебральных структур, гидроцефалию, нарушения зрения и глотания. На этой стадии в тканях головного мозга происходят необратимые изменения, опухоль иноперабельна и является причиной летального исхода.
Морфология
Макроскопически новообразование представляет собой округлый или неправильной формы плотный узел с бугристой поверхностью. Снаружи оно имеет соединительнотканную капсулу, внутри могут встречаться локальные или диффузные кистозные полости, наполненные коричневатой жидкостью. Цвет образования на срезе зависит от его кровоснабжения: обычно бледно-розовый с ржавыми участками, при венозном застое — синюшный, при кровоизлияниях в ткань невриномы — буро-коричневый.
Микроскопически невринома слухового нерва состоит из клеток, ядра которых напоминают палочки. Эти клетки образуют структуры по типу палисадов, между которыми наблюдаются участки, состоящие из волокон. По мере роста опухоли в ней наблюдаются процессы фиброзирования, образование отложений гемосидерина.
Симптомы
Медленный рост вестибулярной шванномы обуславливает наличие некоторого бессимптомного периода и постепенное развитие клиники. У 95% заболевших первым признаком является постепенно прогрессирующее ухудшение слуха. В отдельных случаях снижение слуха происходит резко и внезапно. У 60% пациентов первой жалобой является появление шума или звона в ушах. При его отсутствии и одностороннем характере поражения слухового нерва больные зачастую длительно не замечают происходящего ухудшения слуха. Вестибулярные расстройства отмечаются в 2/3 случаев. Они характеризуются ощущением неустойчивости или головокружением при поворотах туловища и головы, возникновением нистагма. Иногда наблюдаются вестибулярные кризы, при которых на фоне головокружения возникает тошнота и может быть рвота. Невринома слухового нерва в начальной стадии может быть ошибочно принята за кохлеарный неврит, болезнь Меньера, отосклероз, лабиринтит.
Прогредиентный рост опухоли со временем приводит к полной глухоте на стороне поражения, присоединению симптомов поражения близрасположенных структур. Однако следует помнить, что выраженность симптомов не всегда коррелирует с размерами опухоли. В зависимости от локализации невриномы и направления ее роста, при малых размерах она может давать более тяжелую картину, чем крупное новообразование, и наоборот.
В первую очередь невринома слухового нерва вызывает сдавление тройничного нерва, что сопровождается лицевыми болями и парестезиями на стороне опухоли. Боли в лице имеют тупой, ноющий характер; вначале протекают по типу пароксизмов, а затем становятся постоянными. Иногда их принимают за зубную боль или невралгию тройничного нерва. Немного позже или одновременно с лицевой болью возникают симптомы периферического поражения лицевого нерва (парез мимических мышц и связанная с этим лицевая асимметрия, нарушение саливации, утрата вкуса на передних 2/3 языка) и отводящего нерва (диплопия, сходящееся косоглазие). Если невринома слухового нерва располагается во внутреннем слуховом проходе, то симптомы сдавления лицевого нерва могут манифестировать в ранний период заболевания. В подобных случаях необходимо исключение неврита лицевого нерва.
Дальнейшее увеличение невриномы приводит к поражению блуждающего и языкоглоточного нервов с нарушением фонации, дисфагией, утратой вкуса на задней 1/3 языка и угасанием глоточного рефлекса. При сдавлении мозжечка появляется мозжечковая атаксия. Даже в запущенных случаях, при сдавлении мозгового ствола, сенсорные и моторные проводниковые нарушения выражены крайне слабо; парезы отмечаются в исключительных случаях.
В третьей стадии невринома слухового нерва характеризуется признаками внутричерепной гипертензии. Возникает головная боль в затылке и лобной области, сопровождающаяся рвотой. При офтальмоскопии отмечаются застойные диски зрительных нервов. Периметрия может выявлять отдельные скотомы или гемианопсию, что связано со сдавлением хиазмы и оптических трактов.
Диагностику проводит отоневролог, при его отсутствии невролог совместно с отоларингологом. В некоторых ситуациях дополнительно требуется консультация вестибулолога, офтальмолога и стоматолога. Пациенту проводят неврологическое обследование, аудиометрию, отоскопию, электрокохлеографию, электронистагмографию, исследование слуховых ВП, вестибулометрию, стабилографию.
Более точно установить диагноз «невринома слухового нерва» помогает рентгенография и методы нейровизуализации. На ранних стадиях при малых размерах невриномы (до 1 см) она, как правило, не визуализируется при помощи КТ головного мозга. Поэтому проводят рентгенографию черепа с прицельным снимком височной кости. В подтверждение диагноза вестибулярной шванномы свидетельствует расширение внутреннего слухового прохода. Поскольку невриномы хорошо поглощают контраст, возможно использование КТ с контрастированием. При этом визуализируется образование с четкими гладкими контурами.
МРТ головного мозга в случае невриномы выявляет на Т1-взвешенных снимках гипо- или изоинтенсивное, а на Т2-взвешенных - гиперинтенсивное образование. Для опухолей размером 3 и более см характерна гетерогенность сигнала, связанная с наличием в них кистозных участков. Возможна визуализация деформации ствола мозга и мозжечка. При проведении контрастной МР-томографии в 70% наблюдается гетерогенное накопление контраста.

Лечение
Радикальным методом лечения является удаление невриномы, которое может быть проведено открытым хирургическим способом или методами радиохирургии. Хирургическое удаление целесообразно при большой опухоли, при выявлении увеличения ее размеров в динамике наблюдений, при росте невриномы после радиохирургического вмешательства. Зачастую следствием операции являются глухота и парез лицевого нерва. Стереотаксическое радиохирургическое удаление возможно для неврином размером менее 3см. Также оно проводится у пожилых больных при продленном росте после субтотальной резекции и в случаях, когда риск операции значительно повышен из-за соматической патологии.
Лучевая терапия невриномы имеет показания, сходные с показаниями к радиохирургии. Облучение не является способом удаления образования, но предотвращает его дальнейший рост и позволяет избежать операции. Пациентам со случайно выявленной при КТ или МРТ невриномой без клинической симптоматики, больным с длительно существующими расстройствами слуха и пожилым больным с слабой симптоматикой показана выжидательная тактика с постоянным контролем размеров образования и динамики клинических симптомов.
Прогноз
Исход невриномы во многом зависит от своевременности диагностики и размеров опухоли. Прогноз благоприятен при адекватном лечении вестибулярной шванномы в I и II стадиях. При радиохирургическом удалении на ранних стадиях в 95% отмечается прекращение роста и полное восстановление трудоспособности пациента. При хирургическом вмешательстве высок риск потери слуха и повреждения лицевого нерва. В III стадии невриномы прогноз неблагоприятен: пациент может погибнуть при сдавлении жизненноважных церебральных структур увеличивающейся опухолью.
Особенности трансмаксиллярного трансназального доступа к опухолям основания черепа
Трансмаксиллярный трансназальный подход наиболее целесообразен при экстрадуральной локализации опухолей основания черепа.

Опухоли основания черепа, вовлекающие глазницу, околоносовые пазухи, носоглотку, являются сложной, комплексной проблемой, требующей специального подхода при определении тактики лечения. Анатомические особенности основания черепа с проходящими через него нервными и сосудистыми структурами представляют собой значительные ограничения для проведении хирургических подходов. Вовлечение в неопластический процесс указанных выше анатомических образований вызывает сложности при удалении этих новообразований ринохирургами, офтальмохирургами или нейрохирургами. При этом объем хирургических вмешательств, как правило, ограничен "зоной интереса" специалиста - хирурга. Следствием этого является нерадикальность операций, а также необоснованное расширение понятия "неоперабельность". В настоящее время, как новое направление в медицине, развивается хирургия основания черепа, задачей которой является разработка и внедрение методов лечения больных с опухолями основания черепа на основе опыта накопленного в ринохирургии, офтальмохирургии, нейрохирургии, хирургической стоматологии и пластической хирургии. Как правило, больные с опухолями основания черепа, распространяющимися в глазницу и околоносовые пазухи направляются после определения внутричерепного распространения процесса на компьютерных томограммах в нейрохирургическое учреждение. Таким образом, ответственность за дальнейшую судьбу больного ложится на специалистов нейрохирургического учреждения. При этом возникает ряд специальных проблем, связанных со спецификой этих больных: предоперационная подготовка, послеоперационное ведение, в которых большую роль играет совместная работа отоневрологов, офтальмологов, нейрохирургов.
При существующем большом разнообразии как транскраниальных, так и трансфациальных (и их комбинаций) передних доступов к основанию черепа, ни один из них не является идеальным. В частности, группа транскраниальных подходов к основанию черепа предполагает краниотомию, что негативно сказывается на эффекте проведенной операции вследствие тракции и компрессии вещества мозга. Трансфациальные доступы также имеют большое количество разнообразных недостатков, представленных ограниченностью доступа и обзора, высокой потенциальной возможностью инфицирования, косметическими дефектами.
Проблема выбора оптимального трансфациального доступа к опухолям основания черепа по следующим критериям: 1) минимальной травматизации сосудисто-нервных образований, 2) полноте визуализации области операции 3) манипуляционной свободе хирурга 4) косметическому эффекту, до сих пор остается нерешенной.
Учитывая анатомическую сложность данного подхода и высокую вероятность травматизации нервно-сосудистых образований основания черепа без специальной подготовки, трансмаксиллярный трансназальный доступ к опухолям основания черепа должен быть отработан отработан на блок-препаратах, приготовленных по специальной методике. Исследования проводится на препаратах, изъятых во время аутопсии у людей, при жизни не имевших опухолей основания черепа. Препараты должны представлять участок основания черепа, передней границей передней границей которого являлась задняя поверхность верхнечелюстных пазух, боковые границы проходили по латеральным отделам больших крыльев основной кости, по верхушке пирамиды височной кости и включали овальные отверстия. Задней границей препаратов являлась середина ската основной кости. Компьютерное моделирование этапов оперативного доступа в трехмерном изображении осуществляется с помощью компьютерной рабочей станции с программным обеспечением для построения объемной реконструкции.
Клинические проявления у пациентов с опухолями основания черепа манифестируют четырьмя основными группами симптомов: носовыми, слуховыми, глазничными и неврологическими.
В группу назальных симптомов включены одно- (и двухстороннее) ощущение заложенности носа и нарушение носового дыхания, различные по характеру выделения из носовых ходов (слизистые, слизисто-гнойные, гнойные) и носовые кровотечения. Нарушение обоняния вызывается как нарушением носового дыхания, так и распространением опухоли на слизистую оболочку решетчатой кости с деструкцией обонятельных хеморецепторов.
Слуховые симптомы возникают вследствие нарушения дренажной функции евстахиевой трубы опухолевой тканью и представляются ощущением периодической заложенности в ухе, снижением слуха и болью. Указанные клинические проявления имеют преимущественно односторонний характер.
Симптомы поражения глазницы и ее содержимого больных могут быть представлены различными клиническими вариантами, обусловленными непосредственным внедрением опухолевого узла в орбитальную полость. Наиболее часто отмечался экзофтальм, отличительной особенностью которого являлись отсутствие костных деструктивных изменений лицевого скелета, вызванный венозным застоем в орбите из-за нарушения проходимости кавернозного синуса и глазничных вен. Экзофтальм, сопровождающийся деструкцией стенок орбиты встречается реже. Нарушения движения глазного яблока, сопровождающиеся диплопией сопровождают все указанные наблюдения. Офтальмоскопически в этих группах больных выявляются застойные явления на глазном дне, сужение полей зрения. Очень редко встречается амавроз, одно-или двусторонний из-за опухолевого прорастания в каналы зрительных нервов и интраканальной компрессии нервных волокон.
Неврологические нарушения, обусловленные компрессией и (или) инфильтрацией опухолевой тканью лицевого скелета, были представлены в анализируемом материале различной степени парезами ветвей тройничного нерва. Клинические симптомы заключались в возникновении боли, парестезий и гипестезии в щеке, крыле носа, верхней губе и передних 4-х зубах. Односторонняя нейропатия проявляется сенсорными феноменами и дополняется гипо- или атрофией жевательных мышц. Изменение вкуса обусловлено нейродистрофическими изменения слизистой оболочки ротовой полости вследствие поражения мандибулярной ветви тройничного нерва.
Проведенное нейроанатомическое исследование позволяет уточнить особенности строения основания черепа для практического применения доступа, подготовить варианты хирургических манипуляций при предполагаемых осложнениях, разработать технические нюансы взависимости от локализации опухоли в конкретном случае.
После резекции передней стенки верхнечелюстной пазухи с сохранением инфраорбитального нерва, лобного отростка верхнечелюстной пазухи, верхней и средней носовых раковин, образуется полость, отграниченная с одной стороны латеральной стенкой верхнечелюстной пазухи, а с противоположной -латеральной стенкой носовой полости. На данном этапе достижимы нижне-медиальная поверхность ипсилатеральной орбиты, медиальная стенка контралатеральной орбиты. Возможно расширение объема вмешательства путем резекции медиальной стенки контралатеральной верхнечелюстной пазухи.
После удаления задней стенки верхнечелюстной пазухи открывается крылонебная ямка. В последней располагаются крылонебный узел, крылонебная артерия и верхнечелюстной нерв. Крылонебная артерия после идентификации может быть коагулирована для предупреждения риска интраоперационного повреждения и кровотечения. Верхнечелюстной нерв может быть использован как указатель расположения округлого отверстия и задне-латеральных отделов кавернозного синуса.
После удаления задних отделов решетчатой кости и передней стенки сфеноидальной пазухи удаляется слизистая оболочка последней. Поскольку к верхне-латеральной стенке пазухи прилежит канал зрительного нерва, необходимо крайне осторожно выполнять данную манипуляцию во избежание повреждения зрительного нерва в случае прорастания опухолью стенки костного канала. После удаления слизистой оболочки сфеноидальной пазухи обнажается задняя ее стенка, представляющая собой переднюю границу средних отделов ската основной кости. Резекция боковой стенки основной пазухи позволяет осуществить доступ к медиальнам отделам кавернозного синуса. Удалением задне-нижних отделов сошника и костных структур ската визуализируется твердая мозговая оболочка базальных отделов задней черепной ямки.
Для удобства оценки хирургического вмешательства трансмаксиллярный трансназальный подход к опухолям основания черепа можно разделить на четыре этапа: 1) антромаксиллярный, 2) назальный, 3) сфеноидально-кавернозный, 4) кливусный.
Выполнение антромаксиллярного этапа заключается в сублабиальном доступе к верхнечелюстной пазухе и крылонебной ямке с сохранением инфраорбитального нерва, визуализацией нервно-сосудистых образований крылонебной ямки. Возможен доступ к круглому отверстию основания черепа, руководствуясь, как направляющим, ходом инфраорбитального нерва.
При назальном этапе доступа, после резекции латеральной стенки носовой полости, выполняется удаление носовых раковин и формируется большая полость через которую возможен подход к медиальной стенке контралатеральной орбиты, решетчатой и основной кости.
Сфенокавернозный этап включает резекцию передней стенки основной пазухи с удалением ее слизистой. На данном этапе возможно проведение декомпрессии канала зрительного нерва, а после резекции латеральной стенки основной пазухи достижима медиальная стенка кавернозного синуса.
На кливусном этапе доступа доступна средняя и частично нижняя треть ската, а после удаления задней стенки пазухи основной кости визуализируется твердая мозговая оболочка ба-зальных отделов задней черепной ямки
Степень радикальности удаления опухоли определяется при контрольном радиологическом исследовании, при этом тотальным удалением считалось отсутствие на КТ и МРТ снимках остатков опухоли, субтотальным менее 10% от дооперационных снимков, а остальные случаи относятся к частичному удалению.
Вывод: трансмаксиллярный трансназальный подход наиболее целесообразен при экстрадуральной локализации опухолей основания черепа. Данным оперативным доступом возможно удаление опухолей решетчатой кости, медиальных и нижних отделов глазницы, основной пазухи и ската, а также гайморовой и носовой полостей. Представленная хирургическая методика может быть также использована при распространенных экстра-интракраниальных новообразованиях как один из этапов комплексного хирургического вмешательства.
Читайте также:
