Жизненный цикл риккетсий. Антигены риккетсий. Антигенная структура риккетсий.
Добавил пользователь Евгений Кузнецов Обновлено: 18.12.2025
Термин "риккетсии", введенный H. da Rocha-Lima (1916), объединяет обширную группу грамотрицательных микроорганизмов, как правило тесно связанных в своей жизнедеятельности с членистоногими. Систематическое положение риккетсий до настоящего времени нельзя считать окончательно определенным. Появляющиеся квалификационные схемы отражают процесс накопления знаний по биологии, генетике и экологии этих своеобразных микроорганизмов, имеющих ряд общих свойств:
а) риккетсии являются облигатными внутриклеточными паразитами;
б) в отличии от подавляющего большинства бактерий не способны к росту на бесклеточных питательных средах;
в) их биология связана с паразитизмом у членистоногих (клещи, вши, блохи);
г) они имеют ряд особенностей в строении, размножении, биохимических, генетических и иммунобиологических характеристиках;
д) вызываемые риккетсиями заболевания характеризуются своеобразием клиники и эпидемиологии;
е) имеются специализированные методы изучения (риккетсиологические).
Учение о риккетсиях и риккетсиозах, благодаря работам многих отечественных и зарубежных исследователей, приведено в стройную систему. Важную роль в этом отношении имеют труды академика П.Ф.Здродовского и его школы.
Среди многообразных представителей микроорганизмов этой группы значительное место занимают риккетсии, апатогенные для человека и теплокровных животных, однако высокоадаптированные к членистоногим. Риккетсии и риккетсиоподобные микроорганизмы широко распространены среди различных представителей членистоногих, в том числе у вшей, блох, комаров, клопов, а также в большинстве видов иксодовых клещей. Принято считать эту группу микроорганизмов эндосимбионтами, находящимися в мутуалистических отношениях с хозяевами-членистоногими. Высокая адаптация к организму членистоногих большинства видов риккетсий, в том числе патогенных для позвоночных животных, позволяет многим исследователям рассматривать их в качестве первичных хозяев риккетсий. Вместе с тем, многие виды риккетсий патогенны для человека и животных, что определяет их медицинское и ветеринарное значение.
Таксономия. Патогенные риккетсии и близкие к ним возбудители - эндоцитобионты эукариотических клеток по существующей таксономии отнесены в царстве прокариотов к отделу Gracilicutes, классу Proteobacteria, порядку Rickettsiales, семействам Rickettsiaceae, включающей роды Rickettsia, Orientia, Ehrlichia и Bartonellaceae (род Bartonella и, вероятно, род Brucella), а род Coxiella (лихорадка Ку) относят к группе гамма- протеобактерий.
Краткая характеристика рода Rickettsia (da Rocha-Lima, 1916)
Химический состав. У риккетсий отмечено высокое содержание липидов (до 50%) и низкое - углеводов. По высокому содержанию нуклеиновых кислот (до12%) и наличию в составе как ДНК, так и РНК, риккетсии представляют бактериальные организмы. Сходны по химическому составу и клеточные стенки риккетсий и классических бактерий. В них выявлены диаминопимелиновая и мурамовая кислоты, белки, липиды, полисахариды. Однако у риккетсий содержится и глюкуроновая кислота, которая в оболочках бактерий обычно отсутствует. Соотношение ДНК и РНК составляет 1:6-1:8. РНК содержится в риккетсиях преимущественно в цитоплазме, а ДНК образует скопления, которые по существу и представляют нуклеоид.
О сложности химического состава риккетсий свидетельствует наличие в них витаминов (никотинамид, фолиевая кислота, биотин, рибофлавин, тиамин, пантотеновая кислота, витамины В6, В12). У риккетсий обнаружены энзимные системы, в частности трансаминазы, глютамат-оксидазная система, с помощью которых осуществляется в живой клетке хозяина автономный метаболизм этих микроорганизмов.
При изучении суммарных белков риккетсий методом электрофореза в полиакриламидном геле, в зависимости от разрешающей способности метода выявляется от 19 до 175 полипептидов, в том числе 6 из них являются основными с молекулярными массами в пределах 11х10 - 155х10 . Содержание Г + Ц в ДНК исследованных видов - 30-32,5 мол.%.
Физиология. Окисление осуществляется по циклу Кребса с образованием цитрата, CO2 и переаминированием глютаминовой кислоты в аспарагиновую, что свидетельствует об их энергетической активности. Вместе с тем, облигатный характер внутриклеточного паразитизма риккетсий требует для их развития веществ и энзимов, содержащихся в клетках хозяина. С учетом особенностей метаболизма риккетсии представляют собой бактерии, которые, приспособившись к внутриклеточному существованию, утратили в значительной степени способность к внеклеточному существованию.
Типовой вид - Rickettsia prowazekii da Rocha-Lima, 1916.
Схема изучения. При изучении штаммов риккетсий придерживаются общей схемы, предложенной П.Ф.Здродовским и Е.М.Голиневич (1972), которая включает:
Методички УГМУ / Род Rickettsia
Рецензент: профессор кафедры эпидемиологии ФГБОУ ВО УГМУ доктор медицинских наук профессор Слободенюк А.В.
Литусов Н.В. Род Rickettsia . Иллюстрированное учебное пособие. - Екатеринбург: Изд-во УГМУ, 2017. - 35 с.
Иллюстрированное учебное пособие “Род Rickettsia ” подготовлено в качестве информационного сопровождения самостоятельной работы студентов, осваивающих основные образовательные программы высшего образования укрупненной группы специальностей Здравоохранение. Учебное пособие разработано в соответствии с требованиями ФГОС ВО и предусматривает формирование знаний по частной микробиологии.
В иллюстрированном учебном пособии приводятся сведения о морфологических, тинкториальных свойствах и физиологических особенностях риккетсий, клинике, диагностике, лечении и профилактике вызываемых ими заболеваний. Пособие содержит вопросы для контроля усвоения материала и тренировочные тестовые задания. Пособие снабжено иллюстрациями, помогающими усваивать изучаемый материал.
Иллюстрированное учебное пособие предназначено для работы студента как непосредственно на практических занятиях, так и при подготовке к ним.
© ФГБОУ ВО УГМУ, 2017
Общая характеристика риккетсий .
Морфологические и тинкториальные свойства .
Культуральные и биохимические особенности риккетсий.
Факторы патогенности риккетсий .
Микробиологическая диагностика риккетсиозов .
Специфическая профилактика риккетсиозов .
Эпидемический сыпной тиф .
Эндемический сыпной тиф.
Клещевой сыпной тиф Северной Азии .
Астраханская пятнистая лихорадка.
Вопросы для контроля усвоения материала .
Тренировочные тестовые задания .
Учебная и методическая литература .
Общая характеристика риккетсий
Риккетсии занимают промежуточное положение между вирусами и бактериями. Как и вирусы, риккетсии являются внутриклеточными паразитами. На питательных средах риккетсии не культивируются. Подобно бактериям, они содержат 2 вида нуклеиновых кислот (ДНК и РНК), имеют многослойную клеточную оболочку и цитоплазматические включения. Обладают специфическими антигенными свойствами. Наука, занимающаяся изучением риккетсий, называется
Патогенные риккетсии вызывают заболевания, известные под названием риккетсиозы. Риккетсиозы - это группа трансмиссивных заболеваний, протекающих с лихорадкой (39,5-40 О С), сыпью и головной болью. Эти микроорганизмы названы риккетсиями в 1916 г. в честь американского исследователя Х.Т. Риккетса (рисунок 1), открывшего возбудителя лихорадки Скалистых гор.
Рисунок 1 - Ховард Тейлор Риккетс (Нoward Тaylor Ricketts, 1871 - 1910 гг.).
В 1910 г. Х.Т. Риккетс опубликовал результаты изучения ранее неизвестного заболевания, выявляемого в небольшом районе Скалистых гор в штате Монтана (США). Он установил, что заражение людей происходит в результате присасывания иксодовых клещей рода Dermacentor . В крови больных людей, инфицированных морских свинок и в яйцах клещей были обнаружены овоидные и палочковидные бактерии. В последующем Х.Т. Риккетс принял участие в расшифровке этиологии еще одного неизвестного заболевания, возникшего в Мексике. Он установил наличие в крови больных и в фекалиях вшей бактерий, сходных с возбудителем пятнистой лихорадки Скалистых гор. Это заболевание назвали сыпным тифом. Во время работы Х.Т. Риккетс заразился сыпным тифом и умер от него.
В 1913 г. чешский естествоиспытатель С. Провачек (рисунок 2) обнаружил возбудителя сыпного тифа в клетках человека и клетках желудка вшейпереносчиков. Он также трагически погиб, заразившись сыпным тифом.
Рисунок 2 - Станислав Провачек (Stanislaus Josef Mathias von Prowazek, 1875 -
В честь Х.Т. Риккетса бразильский ученый Э. Роша Лима (рисунок 3) в 1916 г. предложил именовать всю группу этих микроорганизмов риккетсиями. Позднее в честь С. Провачека возбудителя сыпного тифа стали именовать риккетсией Провачека.
Рисунок 3 - Энрике Роша Лима (Henrique da Rocha Lima, 1879 - 1956 гг.).
В последующие годы были выделены и изучены возбудители других риккетсиозов человека и животных. Существенный вклад в развитие учения о риккетсиях внесли российские ученые П.Ф. Здродовский и И.В. Тарасевич (рисунок
А Б Рисунок 4 - А - Павел Феликсович Здродовский (1890 - 1976 гг.); Б - Ирина
Владимировна Тарасевич (род в 1928 г.).
Риккетсии относятся к типу Proteobacteria , классу Alphaproteobacteria,
порядку Rickettsiales , который включает 2 семейства: семейство Rickettsiaceae и
семейство Anaplasmataceae . Семейство Rickettsiaceae включает роды Rickettsia и Orientia . Семейство Anaplasmataceae включает роды Ehrlichia , Anaplasma , Neorickettsia и Wolbachia .
Род Rickettsia в настоящее время объединяет более 25 видов. По генетическим особенностям виды распределяются на 3 группы:
- группа клещевой пятнистой лихорадки включает 4 подгруппы: R. rickettsii ,
R. massiliae , R. akari , R. helvetica ;
- группа сыпного тифа включает одну подгруппу R. prowazekii ;
- предковая группа включает одну подгруппу R. canadensis .
Патогенные для человека виды риккетсий входят в состав риккетсий группы сыпного тифа ( Rickettsia prowazekii , Rickettsia typhi ) и риккетсий группы клещевых риккетсиозов ( Rickettsia rickettsii , Rickettsia conorii , Rickettsia australis ,
Rickettsia acari , Rickettsia sibirica и др.). Болезни группы сыпного тифа передаются вшами и блохами, а болезни группы клещевых риккетсиозов передаются клещами.
Морфологические и тинкториальные свойства
Риккетсии представляют собой мелкие (0,8 - 2,0 мкм в длину, 0,3 - 0,6 мкм в диаметре) грамотрицательные короткие палочки. Они способны образовывать кокковидные или нитевидные (до 40 мкм) формы. Размножение риккетсий происходит поперечным бинарным делением. Риккетсии обладают трехслойной клеточной оболочкой (по 25-30 А каждый слой) и трехслойной цитоплазматической мембраной толщиной 75-80 А. Между клеточной оболочкой и цитоплазматической мембраной располагается тонкий пептидогликановый слой, что типично для грамотрицательных бактерий. В состав клеточных стенок риккетсий входят мурамовая и глюкуроновая кислоты, липополисахарид, липопротеин, белки rOmpВ
и rOmpA. В составе цитоплазматической мембраны присутствует большое количество ненасыщенных жирных кислот. Риккетсии не образуют спор, жгутиков не имеют, на поверхности некоторых видов риккетсий (возбудителей сыпного тифа
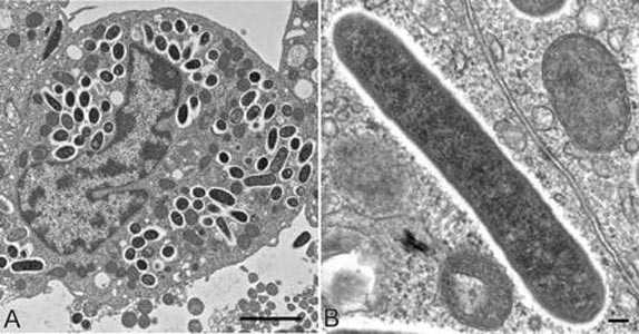
и лихорадки цуцугамуши) располагаются пили или фимбрии. Подвижность риккетсий в настоящее время связывают со способностью формировать внутри инфицированной клетки актиновые хвосты. Клетки риккетсий окружены слизистым слоем или микрокапсулой толщиной 100-150 А (рисунок 5).
а б Рисунок 5 - Риккетсии: а - электронная микрофотография; б - компьютерная
Из-за высокого содержания в клеточной стенке липидов риккетсии плохо окрашиваются обычными анилиновыми красителями, поэтому используют методы окраски по Романовскому-Гимзе, Здродовскому, Маккиавелло, Гименесу (Gimenez), Цилю-Нильсену.
Окраска по Романовскому-Гимзе предусматривает использование красителя, состоящего из азура, эозина и метиленового синего. При окраске по РомановскомуГимзе цитоплазма клеток приобретает голубой цвет, ядра клеток - фиолетовый цвет, а расположенные в цитоплазме клеток риккетсии окрашиваются в розово-красный цвет.
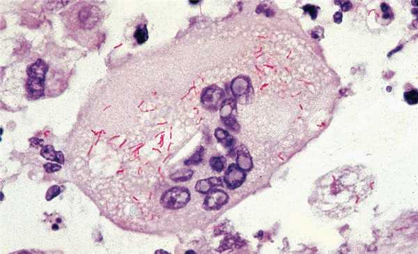
Окраска по Здродовскому предусматривает использование вначале карболового фуксина, затем метиленового синего. При окраске по методу Здродовского риккетсии также окрашиваются в ярко-красный цвет, цитоплазма эукариотической клетки - в голубой цвет, а ядро эукариотической клетки - в синий цвет (рисунок 6).
Рисунок 6 - Rickettsia typhi , окраска по Здродовскому (П.Ф. Здродовский, Е.М. Голиневич, 1972 г.).
Геном риккетсий представлен кольцевой молекулой ДНК.
Жизненный цикл риккетсий состоит из смены двух форм: вегетативной и покоящейся и включает следующие стадии (рисунок 7):
- адсорбция риккетсий на клеточной мембране;
- проникновение риккетсий в клетку путем эндоцитоза;
- выход в цитоплазму, переход в вегетативную форму и размножение путем бинарного деления;
- переход риккетсий в покоящуюся форму, дегенерация клетки-хозяина;
- выход риккетсий из клетки в результате лизиса клетки, путем почкования или переход в соседние клетки с помощью актинового хвоста.
В вегетативной форме риккетсии представляют собой палочковидные клетки, способные к бинарному делению. Покоящиеся формы обладают повышенной резистентностью, являются сферическими, имеют утолщенную клеточную стенку и уплотненную цитоплазму.
Адгезия и проникновение в клетку
Выход из клетки: - лизис - почкование
- с помощью актинового хвоста
Размножение в клетке
Рисунок 7 - Жизненный цикл риккетсий.
Культуральные и биохимические особенности риккетсий
Риккетсии являются облигатными внутриклеточными паразитами. Они не способны к росту на питательных средах и размножаются в клетках живых организмов (рисунок 8).
Рисунок 8 - Риккетсии в цитоплазме инфицированной клетки. Окраска карболовым фуксином и метиленовой синькой. Риккетсии окрашены в красный цвет (Воробьев А.А. и др., 2003 г.).
Риккетсии не обладают ферментами, необходимыми для гликолиза, но
способны осуществлять окислительное фосфорилирование с помощью цикла трикарбоновых кислот, а также напрямую получать АТФ из клетки-хозяина (два типа использования риккетсиями АТФ). При размножении в клетке риккетсии получают АТФ от клетки-хозяина, в этом случае ингибируется цитратсинтаза - ключевой фермент цикла Кребса. При выходе риккетсий из клетки в условиях недостатка АТФ усиливается активность цитратсинтазы, что ведет к активации цикла Кребса.
Риккетсии обладают ограниченными возможностями синтеза аминокислот, нуклеотидов и липидов. Их считают ауксотрофами по НАД (никотинамидадениндинуклеотиду).
Оптимальная температура культивирования риккетсий 32-35 О С, при температуре свыше 40°С рост риккетсий прекращается. По типу дыхания риккетсии являются аэробами. Не утилизируют глюкозу. Энергетически зависимы от клеткихозяина.
Для выращивания риккетсий используют развивающиеся куриные эмбрионы (в желточном мешке), клеточные культуры (фибробласты белых мышей, клетки эндотелия человека, макрофаги собак и др.), организм членистоногих переносчиков (платяные вши человека, иксодовые клещи) или лабораторных животных (морские свинки, хомячки). Риккетсии группы сыпного тифа хорошо растут в 7-суточных РКЭ при 36,5 О С, а возбудители клещевых риккетсиозов в 4-5-суточных РКЭ при 3234 О С при заражении в желточный мешок.
Большинство риккетсий размножается в цитоплазме инфицированных клеток, а некоторые - в цитоплазме и ядре клеток (рисунок 9).
Рисунок 9 - Фазово-контрастная микроскопия внутриклеточно расположенных риккетсий. Риккетсии указаны красными стрелками (А.А. Воробьев, А.С. Быков,
Способность разных видов риккетсий размножаться в цитоплазме или ядре клеток используется в качестве дифференциально-диагностического признака. В цитоплазме и ядре эукариотических клеток риккетсии размножаются свободно, без образования вакуоли. Этим они отличаются от коксиелл, анаплазм и хламидий, для которых обязательным является формирование фагосом.
Основатель Пермской школы микробиологии А.В. Пшеничнов (рисунок 10) разработал среду КЖМ (кровь - желток - молоко) для культивирования риккетсий вне организма хозяина, оригинальный метод заражения кровососущих насекомых на эпидермомембранах для культивирования риккетсий, метод питания насекомых
кровью через пленку эпидермиса.
Рисунок 10 - Алексей Васильевич Пшеничнов (1900 - 1975 гг.).
Основными антигенами риккетсий являются:
- термостабильный группоспецифический липополисахаридный комплекс клеточной стенки, отличающийся у риккетсий групп клещевых пятнистых лихорадок и сыпного тифа;
- протективные поверхностные белки rOmpA и rOmpB , различающиеся у разных видов риккетсий по антигенным детерминантам.
Э. Вёйль и А. Феликс (1916 г.) установили сходство антигенов риккетсий с антигенами неподвижных (ОХ-) штаммов Proteus vulgaris . Поэтому сыворотка крови больных риккетсиозами способна перекрёстно агглютинировать штаммы
ОХ 19 , ОХ 2 , и ОХ К Р. vulgaris . Эта способность используется для дифференцировки различных видов риккетсий ( реакция Вейля-Феликса ).
Большинство видов риккетсий обладает низкой устойчивостью во внешней среде. Повышение температуры до 50-70 О С губительно действует на риккетсии. При 50 О С они погибают через 10 минут, при 80 О С - в течение 1 минуты, при 100 О С - мгновенно. Риккетсии Провачека в течение длительного времени (до 230 дней) сохраняются в экскрементах платяных вшей при комнатной температуре. Риккетсии сохраняют жизнеспособность при температуре минус 20-70 О С.
Риккетсии неустойчивы к действию дезинфектантов (3-5% растворы фенола, 2% раствор хлорамина, 10% раствор перекиси водорода убивают риккетсии в течение 5 минут), быстро погибают под действием спирта, эфира, хлороформа.
Риккетсии чувствительны к антибиотикам тетрациклинового ряда (тетрациклину, доксициклину), хлорамфениколу, рифампицину, фторхинолонам, но резистентны к сульфаниламидам.
Лекции по микробиологии / Лекция № 28. Риккетсии и риккетсиоподобные микроорганизмы
Строение и жизнедеятельность риккетсий
Риккетсии являются особенными микроорганизмами, которые сочетают свойства, присущие как бактериям, так и вирусам. Со многими бактериями риккетсии сходны благодаря аналогичному клеточному строению, наличию ферментной активности, кислородному дыханию и чувствительности к антибиотическим веществам, с вирусами - их способностью к жизни и размножению лишь внутри клетки живого организма.

Рис. 1. Риккетсии.
Распространенность риккетсий
В природных условиях риккетсии часто обнаруживают в организме таких членистоногих насекомых, как клещи, блохи и вши. В их организмах эти бактерии живут в стенке кишечника, не вызывая болезней. В зависимости от вида насекомого риккетсии делят на группы. В организме человека их выявляют в клетках, которые выстилают поверхность кровеносных сосудов, благодаря чему могут вызывать проблемы их воспаления, закупорки или кровоизлияния.

Рис. 2. Насекомые — переносчики риккетсиозов.
Размер клеток риккетсий
Клетки данных бактерий при наличии оптимальных условий обладают палочковидным строением - в ширину приблизительно 0,2—0,6, а в длину — 0,4—2,0 мкм. То есть, своими размерами данные бактерии напоминают крупные вирусы. Стадия их роста способна влиять на их форму. Если произошла смена условий окружающей среды, возможно образование нитевидных клеток или клеток неправильных форм. Иногда встречается и бактерии в виде кокков.

Рис. 3. Форма риккетсий.
Особенности строения риккетсий
Клетки риккетсий имеют типичное бактериальное строение: поверхностная структура представлена оболочкой, они имеют протоплазму, диффузно расположенный в их цитоплазме ядерный материал, в числе которого выявляют присутствие нуклеоида, рибосом, РНК, а также ДНК. Кроме того, в их нуклеоиде, сходно с другими бактериальными нуклеоидами, нет оболочки и ядрышка.
Как большая часть грамотрицательных бактерий, на внешней стороне риккетсии содержат микрокапсулярный слой размерами от 10 до 15 нм, за ним- трехслойную мембрану размерами от 8 до 12 нм, а также цитоплазму, образованной грануламирибосом.

Рис. 4. Строение бактериальной клетки.
На поверхности риккетсий, вызывающих сыпный тиф и лихорадку цуцугамуши при использовании метода электронной микроскопии обнаружены сходные с бактериальными, волосовидные фимбрии, роль которых в жизнедеятельности риккетсий сегодня не установлена.
Однако в структуре риккетсий есть несколько особенностей, которые отличают их от остальных бактерий.
- На поверхностях их клеточных стенок выявлено наличие капсулоподобного слизистого покрова, а также микрокапсулы, которые содержат группоспецифичные антигены. В структуре стенокклеток этих бактерий обнаружены пептидогликаны, липополисахариды и белки, большая часть которых является видоспецифичными антигенами.
- В составе цитоплазматической мембраны таких бактерий выявлено наличие значительного количества ненасыщенных жирных кислот.
- Для их клеточных стенокхарактерны осмотические свойства и транспортная система по типу АТФ-АДФ.
- В составе их нуклеоида- кольцевая хромосома.
- Метаболизм данных бактерий независим от метаболизма хозяина. Главным источником энергетических ресурсов внеклеточных риккетсий является вещество глутамат.
- Бактериальные клетки риккетсий обладают способностью к индукции своего фагоцитоза при помощи эукариотной клетки.
- Риккетсии обладают фактором адгезии, что делает возможным их крепление и колонизацию в организме.

Рис. 5. Микрофотография риккетсии.
Жизненный цикл риккетсий
Риккетсии размножаются при помощи бинарного деления. Исследователи считают, что их размножение во многом происходит благодаря получению ими макроэргических (то есть богатых энергией) соединений от клеток организма хозяина. Жизненный цикл данных видов бактерий включает наличие двух стадий — вегетативной или покоящейся. При вегетативной — бактерия, как правило, представлена формой палочки, делится бинарно и является подвижной. При покоящейся - это сферическая неподвижная клетка, обычно располагающаяся в клетке организма хозяина.
Известно, что размножение риккетсий (за некоторым исключением), наблюдается только при условии, что они находятся внутри живых клеток. Именно поэтому риккетсии, как вирусы, относят к таким внутриклеточным паразитам, способным к процессам роста, а также размножения лишь внутри клетки организма-хозяина. Эти бактерии могут паразитировать в клеточной цитоплазме и в ядре клетки хозяина. Rochalimaeaquintana (возбудитель траншейной лихорадки) является единственным видом, который способен к внеклеточному росту. Поэтому насекомые считаются первичными хозяевами, а также основными переносчиками в жизненном цикле практически всех видов риккетсий.

Рис. 6. Деление клетки.
Устойчивость риккетсий к внешней среде
Риккетсии являются малоустойчивыми к разным условиям окружающей среды: при нагревании до 50°С они погибают уже спустя 10 минут, а до 80°С — спустя 1 минуту. К воздействию низких температур они являются более устойчивыми, что способствует сохранению своей жизнеспособности и вирулентности при температурах от -20 до -80°С целых несколько месяцев.
Клетки риккетсий могут жить лишь в клетках организма, даже в высушенных насекомых или фекалиях их можно обнаружить спустя несколько месяцев, однако при помещении в водный раствор клетки бактерий гибнут уже спустя 2,5—6 часа. Большинство риккетсий являются чувствительными к антибиотическим веществам широкого действия, в особенности к тетрациклиновому ряду.
Чем риккетсии могут быть опасны человеку?
Многие риккетсии патогенны, то есть вызывают заболевания, называемые риккетсиозами. Например, Coxiella, Rickettsia и Rochalimaea. Одни из этих видов способны вызвать тиф, другие лихорадки - например, Ку- или пятнистую, цуцугамуши, а также траншейную.
Заразиться риккетсиозом можно при укусе насекомыми-переносчиками. Существуют еще алиментарный (пищевой) и ингаляционный пути заражения.
Болезни, вызываемые риккетсиями у людей, часто протекают в тяжелой форме и проявляются симптомами лихорадки, которая нередко сопровождается поражениями центральной нервной, а также сердечно сосудистой систем.

Рис. 7. Заражение риккетсиозом через укус клеща.
Диагностика риккетсиозов
Симптомы риккетсиозов на ранних стадиях болезни слабо выражены. Только по прошествии нескольких дней можно заметить увеличение температуры, возникновение сыпи на коже и чувства слабости. Поэтому в диагностике риккетсиозов необходимы лабораторные исследования для выявления данных микроорганизмов при проведении специализированных посевов крови или при анализе образцов ткани. Эти бактерии можно увидеть под микроскопом при проведении специализированного окрашивания их клеток. Помимо этого, для диагностирования можно использовать метод обнаружения антител в крови.

Рис. 8. Диагностика риккетсиозов.
Способы получения вакцины
В связи с тем, что рост практически всех видов риккетсий вне клеток организма хозяина невозможен, то при создании вакцин против заболеваний, вызываемых этими бактериями, в лабораториях исследователи часто применяют их культивирование при использовании куриных эмбрионов, перевиваемых клеточных культур, мышиных легких. Для этого разработаны также специальные методы для заражения насекомых при помощи эпидермомембран, а также методики кормления насекомых кровью сквозь пленки эпидермиса для поддерживания жизнеспособности клеток риккетсий или возможности стимуляции заражения.
Подробно о риккетсиях - причине эпидемий
Название «риккетсии» появилось в начале XX в. Так назвали обширную группу маленьких по размеру бактерий, являющихся облигатными внутриклеточными паразитами. Благодаря своим небольшим размерам и ряду свойств риккетсии имеют сходство как с вирусами, так и с бактериями. Благодаря развитию микробиологии удалось установить, что риккетсии являются возбудителями целого ряда серьезных заболеваний.

Что такое риккетсии
К одним из самых маленьких по размеру бактерий относятся риккетсии (латинское название Rickettsia). Они могут выглядеть как кокковидные, палочковидные или полиморфные клетки.
В это семейство входят как бактерии-сапрофиты, так и микроорганизмы, способные вызывать специфические заболевания.
Общая характеристика риккетсий:
- являются облигатными внутриклеточными паразитами, биологически связаны с членистоногими;
- не растут на бесклеточных питательных средах, чем отличаются от большинства бактерий;
- характеризуются рядом отличий и особенностей во всех сферах жизнедеятельности в сравнении с другими бактериями;
- заболевания, чаще всего лихорадочные, вызываемые этими микроорганизмами, имеют специфическую клиническую картину;
- даже методы изучения эти бактерии имеют особенные - риккетсиологические.
По своим свойствам риккетсии занимают промежуточное положение между бактериями и фильтрующимися вирусами:
- по строению, ферментной активности и чувствительности к антибиотикам близки к бактериям;
- по способности существовать только как внутриклеточный паразит - к вирусам.
К риккетсиям относят 29 видов (май 2017 г.) микроорганизмов, и в большей своей части они не патогенны для млекопитающих. К наиболее известным патогенным видам относятся Rickettsia prowazekii (возбудитель сыпного тифа), Rickettsia conorii (возбудитель марсельской лихорадки) и другие.
Таксономия и классификация
Согласно современной классификации, таксономическое положение этих бактерий выглядит следующим образом: они принадлежат к домену Бактерии, типу Протеобактерии, классу Альфа-протеобактерии, порядку Rickettsiales, семейству Rickettsiaceae, к которому относятся три рода, содержащие виды, патогенные для млекопитающих.
К ним относятся:
- Rickettsia;
- Rochalimaea;
- Coxiella.
Согласно общепринятой систематике, виды бактерий входят в состав рода.
К роду Rickettsia относятся восемь видов микроорганизмов, их принято подразделять на следующие группы.
Вшиво-блошиные сыпные тифы:
- Rickettsia prowazekii (риккетсии Провачека);
- Rickettsia typhi, Ber; H. Mooser (риккетсии Музера).
Клещевые пятнистые лихорадки:
- Rickettsia rickettsia;
- Rickettsia conorii;
- Rickettsia australis;
- Rickettsia sibirica;
- Rickettsia akari.
Японская речная лихорадка: Rickettsia tsutsugamushi (R. orientalis) - возбудитель лихорадки цуцугамуши (краснотелково-клещевая лихорадка).
Род Rochalimaea включает в себя Rickettsia quintana, возбудитель траншейной лихорадки.
К роду Coxiella относят Coxiella burnetii (риккетсии Бернета), вызывающие Ку-лихорадку.
Описание и морфология
Морфология риккетсий достаточно разнообразна, так как они относятся к плеоморфным бактериям - микроорганизмам, обладающим морфологической изменчивостью. Внешние условия способны оказывать большое влияние не только на размеры, но и на форму бактерий.
При благоприятных условиях риккетсии соизмеримы с крупными вирусами и имеют характерную палочкообразную форму (например, риккетсии Бернета) с размерами:
- ширина в среднем 0,5 мкм;
- длина от 0,4 до 2,0 мкм.

При наступлении неблагоприятных условий микробы могут изменять форму на кокки, нитевидные или клетки неправильного вида.
Строение клетки риккетсий соответствует нормам клеточного строения типичных прокариотов. В ней присутствует клеточная оболочка, протоплазма, ядерный материал. Как и все микробы, риккетсия не имеет ядра, а содержит ДНК, рибосомы и РНК. Наличие спор и капсул у этих бактерий не выявлено.
Нехарактерным для грамположительных, но типичным для грамотрицательных микроорганизмов принято считать наличие у бактерий (например, Rickettsia conorii) трехслойной мембраны и поверхностного микрокапсулярного слоя.
Характерная окраска - общая характеристика патогенных риккетсий:
- окрашивание по Граму отрицательное;
- окраска по Здродовскому насыщенно окрашивает микробы в рубиновый цвет, что позволяет легко их обнаружить на фоне синего клеточного ядра или голубой цитоплазмы;
- по Романовскому-Гимзе микроорганизмы окрашиваются в сиреневый цвет.
Исследования при помощи электронного микроскопа позволили выявить у некоторых видов рода Rickettsia волосовидные фимбрии (ворсинки на поверхности клетки), роль которых в физиологии этих микроорганизмов не выяснена.

Для морфологии и ультраструктуры риккетсий характерны ряд особенностей, отличающие их от других прокариотов:
- Клеточные стенки имеют капсулообразный слизистый покров.
- Наличие в значительном количестве ненасыщенных жирных кислот в составе мембраны, что нехарактерно для бактерий.
- В состав нуклеоида входит кольцевая хромосома.
- Хотя все риккетсии - внутриклеточные паразиты (ни о каком симбиозе или мутуализме нет и речи), их метаболизм независим от обменных процессов, протекающих в клетке-хозяине.
- Способность к индукции фагоцитоза посредством клеток эукариотов.
- Клетки бактерий обладают адгезивными свойствами, что способствует их креплению и колонизации чужого организма.
- Источником энергии для микробов является глутамат.
Риккетсии с вирусами и другими бактериями имеют как сходные черты, так и различия. Микробиологи считают их переходным звеном от вирусов к бактериям.
Биохимическая активность
Биохимическая активность риккетсий не выявлена. Реакция агглютинации риккетсий представляет собой специфическое взаимодействие агглютининов (антител) с целой клеткой, с образованием осадка (агглютината). Данная реакция применяется при серологическом методе исследования инфекционных болезней, а также при определении антигенной структуры микроба.
У бактерий выявлено два антигена:
- термостабильный групповой;
- термолабильный специфический.
Реакция пассивной гемагглютинации (непрямой РНГА), с использованием сухого антигена из риккетсий Провачека, является более чувствительной - в ней используют фиксацию антител на обработанных формалином эритроцитах.

Первым тестом при серодиагностике риккетсиозов была реакция агглютинации с протеями (Вейля-Феликса), исключение составляет лихорадка Скалистых гор, вызванная Rickettsia rickettsia.
Бактериальным токсином риккетсий является термолабильный эндотоксин. Ферментативные и биохимические свойства бактерий рода Rickettsia не выражены.
Особенности дыхания и питания
Группа микроорганизмов рода Риккетсии (Rickettsia conorii) по типу дыхания является аэробной и может развиваться только при наличии кислорода, в отличие от анаэробов, которым кислород для жизнедеятельности не нужен.
По типу питания представители рода Rickettsia являются хемоорганотрофами, облигатными (нежизнеспособными вне организма-хозяина) паразитами.
Для этих микроорганизмов характерен тип питания, при котором источником энергии для бактериальной клетки служат химические соединения, а углеводы она получает из органических веществ.
Рост и размножение
Ростом клетки называют согласованное воспроизведение клеточных компонентов, приводящее к увеличению клеточной массы. Чаще всего бактерии растят на различных питательных средах, но, являясь внутриклеточными паразитами, риккетсии размножаются и растут только внутри клетки-хозяина.
Размножением бактерий принято называть увеличение количества клеток внутри одной популяции. Размножение риккетсий происходит посредством простого бинарного деления, и оно случается в значительной степени благодаря получению паразитами от клеток-хозяев насыщенных энергией соединений.
Весь жизненный цикл риккетсий состоит из двух стадий:
- вегетативной - бактерии имеют форму палочек; очень подвижны и именно в этой стадии осуществляют бинарное деление;
- покоящейся - клетка микроба приобретает сферическую форму, данная стадия характерна для состояния «риккетсия в клетке хозяина». Хозяевами являются членистоногие или теплокровные.
Являясь облигатными паразитами, риккетсии способны размножаться, только (за малым исключением) находясь в живых тканях. Единственным известным видом, способным к внеклеточному росту, является возбудитель траншейной лихорадки Rickettsia quintana.
Покоящаяся форма бактерий обеспечивает им наилучшую сохранность в окружающей среде.
Культивирование
В связи с паразитарной природой культивирование риккетсий, которые способны к росту исключительно внутри живой клетки, осуществляют на следующих препаратах:
- различных тканях;
- живых лабораторных животных;
- курином эмбрионе.
Особенности культивирования риккетсий связаны с тем, что микроорганизмы - облигатные паразиты, не осуществляют рост ни на каких бесклеточных питательных средах.
- Выращивание микроорганизмов с использованием методов культивирования осуществляют на переживающих (временно сохранена клеточная жизнеспособность) материалах. Они представляют собой мелкодисперсную взвесь тканей или частей органов в солевом (возможно, в питательном) растворе.
- Хорошо показал себя метод выращивания микробов на двенадцатидневном курином эмбрионе, с поддержанием температурного оптимума роста (37°С) в течение шести дней. Метод прекрасно зарекомендовал себя для приготовления диагностических препаратов и получения вакцин из риккетсий.
- Успешно культивируют микробы в организме живых белых мышей - наибольшее количество бактерий собирается в легких грызунов.
- Микроорганизмы культивируют, инфицируя вшей дисперсной взвесью активных микробов (метод Вейгля-Мосинга), а также выращивают на их личинках (Пшеничнов-Райхер).
Где обнаруживаются риккетсии
В естественных условиях микроорганизмы, не вызывая заболеваний, обитают в клеточных тканях членистоногих, таких как:
- клещи преимущественно из рода Dermacentor;
- блохи;
- вши.
Основываясь на природе переносчика бактерий, все риккетсиозы делят на две большие группы, к ним относятся:
- клещевая пятнистая лихорадка;
- сыпной тиф.
Иксодовые клещи, преимущественно из рода Dermacentor, являются основными переносчикам возбудителей заболеваний группы клещевой пятнистой лихорадки. Инфекция передается через слюну во время укуса. В обеих Америках клещи видов D. andersonii и D. variabilis являются основными переносчикам Пятнистой лихорадки. В Сибири иксодовые клещи видов D. nuttali и D. silvarum разносят Rickettsia sibirica - причину заражения человека сибирским (североазиатским) риккетсиозом.
Платяная вошь переносит риккетсии, вызывающие сыпной тиф (Rickettsia prowazekii), и выделяет эти микроорганизмы с фекалиями. Способ передачи возбудителя - трансмиссивный, через контаминацию (заражение через втирание фекалий в момент расчесывания укусов).
Возбудители риккетсиоза успешно размножаются в клетках любых позвоночных - грызунов, овец, крупного рогатого скота и человека.
Эпидемиология
Передача инфекции в человеческий организм происходит по трансмиссивному пути. Попадая в организм, патогенные риккетсии вызывают протекающие в тяжелой форме риккетсиозы.
В истории человечества переоценить значение риккетсиозов невозможно. Только от сыпного тифа, возбудителем которого является R. prowazekii, человечество страдало многие века, а число жертв исчислялось миллионами. Во время военных действий эпидемия тифа (его еще называли военной лихорадкой) зачастую оказывала решающее влияние на исход военных действий.
У больных тифом быстро развивалось недомогание и поднималась высокая температура с ознобом и тошнотой. При проявлении лихорадки платяная вошь сразу покидает хозяина и переходит к другому - таким образом переносчик разносит инфекцию.
Типичным представителем трансмиссивного пути передачи инфекции посредством инокуляции (заражение здорового человека при укусе инфицированным насекомым) является марсельская лихорадка. Марсельская, или средиземноморская, лихорадка (возбудитель Rickettsia conorii) является острым зоонозным риккетсиозом. Переносчиком инфекции является собачий клещ, резервуаром считают собак, шакалов, различных грызунов и ежей.
Марсельская лихорадка характеризуется спорадическим (случайным) и ярко выраженным сезонным характером (май-октябрь). Географически марсельская лихорадка отмечалась на Черноморском побережье, в Средиземноморье и Индии. В Астраханской области отмечается астраханская риккетсиозная лихорадка, которую считают подвидом марсельской.
Бактерии в организме клеща способны сохраняться долго - 1,5 года. Кусая животных, клещи выделяют бактерии со слюной и с фекалиями.
В чем опасность для человека
Инфекционные заболевания, вызываемые патогенными для человека риккетсиями, носят название риккетсиозы. Чаще всего причиной являются укусы клещей или вшей. У человека риккетсиозы протекают в виде лихорадок различной степени тяжести.
Патогенез (механизм возникновения и развития патологии) различных риккетсиозов по своей сути сходен:
- Возбудитель проникает через кожные покровы и начинает размножаться вблизи места проникновения, вызывая в этом месте воспалительную реакцию.
- Далее поражаются сосуды. Для болезней, вызванных возбудителями риккетсиоза, типично появление кожных высыпаний.
- К опасным и вредным факторам следует отнести поражение сердца и головного мозга.
- У больных, перенесших риккетсиоз, формируется специфический иммунитет, однако некоторые риккетсии (Rickettsia prowazekii) способны спустя много лет спровоцировать повторное заболевание.
Поэтому создание вакцины из инактивированных микробов имеет большое положительное значение для жизни человека.
Наиболее распространенные заболевания, вызываемые риккетсиями
Тяжело протекает пятнистая лихорадка Скалистых гор, лихорадка цуцугамуши и сыпной тиф. Ку-лихорадка может протекать в латентной форме и не иметь симптомов риккетсиоза вообще.
Микробиологическая диагностика
Лабораторная диагностика различных инфекций, вызванных риккетсиями, основывается на выделении возбудителя. Наиболее эффективны исследования будут в острый период, до начала приема антибиотиков.
Патогенные риккетсии, вызвавшие заболевание, исследуют методами лабораторной диагностики. Используют несколько методов:
- серологические (РНГА, РСК, ИФА и другие);
- культуральные;
- молекулярно-генетические (ПЦР, изучение нуклеотидных последовательностей генов).
В результате исследования образцов в мазке может быть поставлен правильный диагноз, позволяющий исключить наличие других риккетсиозов и назначить правильное лечение.

Возможность изучать столь мелкие бактерии, как риккетсии, возникла только с появлением электронного микроскопа. История изучения этих микроорганизмов только начинается, и микробиологи открывают новые виды и новые свойства.
Образование высшее филологическое. В копирайтинге с 2012 г., также занимаюсь редактированием/размещением статей. Увлечения — психология и кулинария.
Читайте также:
- Патология наружных половых органов. Скелетные аномалии плода
- Диагностика односторонней вестибулярной гипофункции при головокружении. Методика
- Симптомы красного плоского лишая полости рта и его лечение
- Перитонеальный диализ. Показания, противопоказания и техника перитонеального диализа.
- Векторный анализ нормальной ЭКГ. Принципы анализа электрокардиограммы
