Техника операции при переломе локтевого отростка локтевой кости
Добавил пользователь Валентин П. Обновлено: 28.01.2026
Артроскопическое лечение переломов в локтевом суставе
Более глубокое понимание анатомии и физиологии локтевого сустава, значительное совершенствование медицинской техники и инструментов позволяют современным врачам лечить некоторые переломы внутри локтевого сустава практически без разрезов.
Такие малотравматичные или малоинвазивные хирургические вмешательства стали возможными благодаря использованию в современной практике метода артроскопии. С помощью артроскопа, введенного через прокол кожи внутрь локтевого сустава, мы можем увидеть перелом и через дополнительные мини-надрезы зафиксировать отломки винтами или спицами. Применение артроскопии для лечения переломов позволяет уменьшить операционную травму здоровых мягких тканей, лучше рассмотреть непосредственно перелом, более точно устранить смещение костных фрагментов и надежнее закрепить их металлофиксаторами.
Хотя артроскопическое вмешательство на локтевом суставе — достаточно сложная и требующая специального оснащения операция, ее преимущества для пациента бесспорны. Далее мы расскажем вам об анатомии локтевого сустава, коснемся вопросов диагностики переломов в данной области, а также остановимся на роли артроскопии в их лечении.
Локтевой сустав — это достаточно сложный по строению и функции сустав. Основная роль локтевого сустава в организме человека заключается в изменении положения кисти в пространстве. Локтевой сустав образуют три кости: плечевая, локтевая и лучевая.

Благодаря сложной геометрии сустав обладает большой подвижностью.
На нижнем конце плечевой кости расположены два надмыщелка (медиальный и латеральный). На русский язык медиальный переводится как внутренний, а латеральный — как наружный. Вообще надмыщелок — это особый выступ плечевой кости, расположенный возле локтевого сустава, к которому крепятся мышцы и сухожилия. Суставная часть плечевой кости имеет уникальную форму, в ней выделяют блок и головочку.

Со стороны предплечья в образовании локтевого сустава участвует головка лучевой кости и проксимальная часть локтевой кости, которая в свою очередь состоит из венечного и локтевого отростка. Локтевой отросток движется в блоке плечевой кости. Головочка плеча взаимодействует при движениях с головкой лучевой кости.

Кроме этого, головка лучевой кости совершает ротационные движения относительно локтевой кости, благодаря чему возможно вращение предплечья. Вращения предплечья внутрь или наружу в медицине называются, соответственно, пронация и супинация.

Сочленяющиеся участки костей внутри сустава покрыты специальным хрящом. Этот хрящ называют суставным или гиалиновым. Суставной хрящ по своей структуре очень гладкий, это облегчает скольжение костей в суставе друг относительно друга при движениях.

В тоже время хрящ в локтевом суставе достаточно мягкий и прочный, этим обеспечивается амортизация костей при нагрузках.
Вблизи от локтевого сустава проходят важные нервные и сосудистые образования. При травмах они могут повреждаться.
Переломы и вывихи в области локтевого сустава у взрослых находятся на третьем месте после повреждения коленного и плечевого сустава. Как правило, внутрисуставные переломы характеризуются смещением отломков и требуют оперативного лечения.

Чтобы добиться точной анатомичной репозиции и надежной фиксации переломов пластинами и винтами большинство хирургов прибегает к открытым вмешательствам. К сожалению, такие операции могут быть причиной нарушения кровоснабжения костных фрагментов с последующим их некрозом, а также высоким риском развития артрозных изменений в суставе.

Применение эндоскопических или артроскопических операций при травмах и переломах в локтевом суставе имеет ряд неоспоримых преимуществ перед открытыми вмешательствами.

Артроскопическая хирургия характеризуется небольшой травматизацией мягких тканей, позволяет уменьшить боль после операции и ускорить восстановление после нее. Немаловажным является и то, что с помощью артроскопии можно лучше рассмотреть внутрисуставной перелом и более точно сопоставить отломки. Однако не все переломы в области локтевого сустава можно лечить артроскопически.
Показаниями к артроскопическому лечению могут быть: переломы головки лучевой кости, венечного отростка, головочки плечевой кости (головчатого возвышения).
Основная функция головки лучевой кости — это стабилизация локтевого сустава. При переломах головки или ее удалении появляются нестабильность и боль в локтевом суставе.

В некоторых случаях при многооскольчатых переломах головки лучевой кости, когда соединить и зафиксировать отломки невозможно, показано эндопротезирование. Эндопротезирование головки лучевой кости дает отличные отдаленные результаты.

Если у пациента несложный перелом головки лучевой кости, то выполнение артроскопической репозиции и фиксации костных отломков может быть оправданным. Прежде всего, это выгодно для пациента, так как операция выполняется через проколы кожи и не требует больших кожных разрезов, как при традиционных открытых вмешательствах. Еще раз повторимся, что основной принцип современной хирургии локтевого сустава — это необходимость сохранения головки лучевой кости, а при невозможности это осуществить — эндопротезирование.

В середине и конце двадцатого века общепринятым считалось, что при переломах головку лучевой кости можно удалить и это никак не отразится на функции локтевого сустава. Данное мнение в современных условиях считается ошибочным.

В настоящее время удаление головки лучевой кости показано в очень редких случаях, обычно при ее значительной деформации в исходе тяжелого артроза или ревматоидного артрита локтевого сустава.
Остеосинтез головки лучевой кости выполняется под общей анестезией. В полость локтевого сустава вводится артроскоп, сустав отмывается от крови, выполняется удаление поврежденных мягких тканей. После достижения хорошего обзора области перелома головки лучевой кости под артроскопическим контролем выполняется анатомичная репозиция костных фрагментов. Фрагменты фиксируются спицами, производится рентген-контроль в операционной. С помощью рентгена подтверждается правильность положения спиц, в то же время артроскопически мы можем с точностью до миллиметра восстановить суставную поверхность головки лучевой кости. По спицам проводятся специальные винты Барука или Герберта требуемого размера. Спицы удаляются.

После операции необходима фиксация локтевого сустава ортезом сроком до 4 недель. Лечение переломов головки лучевой кости артроскопическим методом позволяет избежать такого неприятного осложнения, как ее асептический некроз и рассасывание, которое часто бывает при открытых операциях. В то же время артроскопия позволяет добиться недоступной для открытой операции точности и анатомичности репозиции костных фрагментов.

Венечный отросток играет большую роль в стабильности локтевого сустава. Травмы венечного отростка обычно сочетаются с повреждением связок.

При значительных переломах венечного отростка требуется операция поегорефиксации. Если операция по каким-либо причинам не выполнялась, возможно развитие нестабильности локтевого сустава, которая в будущем приведет к тяжелому артрозу. Репозиция и фиксация венечного отростка, а также восстановление связочного аппарата приводит к снижению риска подобных осложнений. Венечный отросток находится очень глубоко внутри сустава, возле него проходит множество важных нейро-сосудистых образований, в связи с чем открытая операция по его рефиксации требует большого разреза кожи и может быть чревата осложнениями. По этой причине операции под контролем артроскопа, будучи менее травматичными, имеют безусловное преимущество.

Во время операции при помощи артроскопа осматриваются все отделы локтевого сустава. Из сустава вначале удаляются сгустки крови, свободные внутрисуставные тела (мелкие костные фрагменты и небольшие кусочки хряща). Далее визуализируется непосредственно перелом венечного отростка. Напомним, что операция артроскопическим методом выполняется через два небольших прокола кожи. Изображение из полости локтевого сустава непосредственно с артроскопа передается на большие мониторы в операционной.

После репозиции, сопоставления костных отломков венечного отростка, с помощью специального направителя в область перелома вводится спица. Положение спицы контролируется рентгеном. В том случае, если положение спицы и перелома удовлетворительное, через разрез в 5-7 мм по спице проводится винт. Полученные в нашей клинике результаты лечения переломов венечного отростка подобным малоинвазивным способом оказались очень обнадеживающими. После операции локтевой сустав фиксируется ортезом на 2 недели. Пациенту разрешается постепенная разработка движений в суставе.
Перелом головчатого возвышения встречается крайне редко. Это достаточно серьезная травма, и ее последствия для локтевого сустава, в том случае, если проводилось не правильное лечение, могут быть фатальными.

Такие осложнения как не сращение, замедленная консолидация, аваскулярный некроз (рассасывание кости) встречаются при не адекватном лечении этого вида перелома очень часто. Если имеется смещение отломков головчатого возвышения, то мы придерживаемся оперативной тактики лечения с использованием артроскопической техники. Внутрисуставные переломы головчатого возвышения — это довольно сложная для лечения травма. Лечение подобных переломов путем открытой операции с широким разрезом мягких тканей может спровоцировать ряд осложнений. Стремясь уменьшить количество этих осложнений, мы широко и активно используем артроскопию при лечении перелома внутри локтевого сустава.

Артроскоп обеспечивает нам великолепный обзор внутренних структур сустава и перелома, позволяет осуществить точное сопоставление отломков при минимальной травме тканей, окружающих локтевой сустав. Отломки под непосредственным артроскопическим контролем фиксируются винтами через разрезы кожи длиной в несколько миллиметров.


Все специалисты клиники — это высококвалифицированные врачи. Некоторые доктора прошли обучение и стажировку за рубежом и работали в ведущих клиниках Европы и Северной Америки. Сегодня многие пациенты останавливают свой выбор на нашей клинике, и этот выбор не случаен. Для точной диагностики и качественного предоперационного планирования мы проводим обследование на МРТ- и КТ-аппаратах экспертного класса, которые уже несколько лет успешно используются в нашей клинике. Технологи и оборудование клиники позволяют производить безопасные высокоэффективные и малоинвазивные вмешательства.
Наша клиника специализируется на лечении пациентов с острой травмой локтевого сустава в течение многих лет. Благодаря этому мы добиваемся отличных результатов. Ждем вас в нашей клинике, мы обязательно вам поможем.
Техника операции при переломе локтевого отростка локтевой кости
Лечение перелома локтевого отростка, реабилитация

Лечение перелома локтевого отростка, реабилитация
Локтевой отросток зачастую травмируется в результате резкого контакта с другими физическими объектами- это называется перелом локтевого отростка. Травма возникает при ударе тыльной части сустава или при падении (с большой высоты или высоты собственного роста) на сам локоть. В зоне повреждения со временем появляется отек, чувствуется острая боль, ограничение амплитуды движений, и даже кровотечение.

Перелом локтевого отростка встречается в медицинской практике не так уж и часто . Они составляют приблизительно один процент от всех переломов конечностей, и от шести до тридцати процентов от общего числа внутрисуставных переломов данного сустава.
Зачастую, в зону особого риска попадает молодежь, а также мужчины и женщины в возрасте от 40 до 55. Дети подвержены к таким травмам очень редко, поскольку их кости обладают большей амортизацией. В основном (75 % из всех обращений) образуется диастаза между локтевой костью и отколовшимся кусочком локтевого отростка со смещением.
Механизм повреждения

- отечность тканей кожи в области локтя;
- острая боль;
- подвижность предплечья ограничена, затруднение при элементарных движениях;
- усиление проявлений при пальпации.
- головокружение;
- возможна потеря сознания
При наличии перелома со смещением, в зоне деформации кости, возможно, западание кожного покрова вовнутрь.
Диагностические мероприятия
Первичный осмотр может указать на наличие диастаза между костными отломками.
Возможны только слабые движения с ограниченным углом, требуется аппаратная диагностика. При отсутствии смещения боль не такая сильная, при этом наблюдается лишь частичное ограничение подвижности.

Исследования при помощи специализированного оборудования:
- рентген;
- УЗИ;
- магниторезонансная или компьютерная томография;
Дополнительно может приписываться общий анализ крови, для исключения воспалительного процесса.
Методика лечения
Обычный (консервативный тип)
Перелом локтевого отростка без смещения, в большинстве случаев не требует оперативного вмешательства. Увеличение отека считается нормальным физиологическим отклонением, самостоятельно проходящим в течение недели.

Следовательно, необходимо наложить тыльную гипсовую лангетную повязку, в согнутом состоянии предплечья в локте. Рука находится в изогнутом положении, таким образом, чтобы получился угол в 90 градусов, пальцы при этом вытянуты и смотрят прямо. Иммобилизация по средствам косыночной повязки допустима не ранее чем через 3 недели после несчастного случая. Лангет разрешается снимать для проведения массажей, обмываний и начальных упражнений по разработке.
Хирургический (оперативный)

Перелом локтевого отростка со смещением требует немедленного хирургического вмешательства, причем на операции должен присутствовать не только специализированный хирург, но и травматолог, анестезиолог, медсестры. В противном случая предплечье потеряет и значительно ограничит свой функционал, не будет полностью сгибаться или наоборот сгибаться, а это достаточно трудно восстановимая патология.
Результативность вмешательства, зависит от качества выполнения репозиции, а так же дальнейшей фиксации в точном анатомическом положении. Борьба с атрофией волокон локтевого сустава (точнее ее избегание) напрямую зависит правильного выполнения реабилитационных упражнений.
Для эффективного лечения внутрисуставного перелома локтевого отростка рекомендуется провести остеосинтез, представляет собой жесткую фиксацию крупных и мелких частиц твердой ткани при помощи спиц болтов и пластин.
В ряде сложных случаев, например при оскольчастом переломе со смещением и отрыве отростка локтевой кости, следует вставлять органические или синтетические (из высококачественного материала) протезы.
Оперативный тип вмешательства предопределяет:
- регенерировать ткань разрушенного локтевого сустава
- длительно иммобилизовать в конкретной позиции травмированного участка до полного выздоровления больного
Крепление поврежденной зоны производится следующим образом:
- наложение лангетной основы (гипсовой повязки, либо же аналогов — ортеза);
- хирургическое скрепление в виде ввинчивания тонкого титанового листа, предотвращающего любые смещения;
- крепеж с помощью спиц и стягивающих петель.
Восстановление
Реабилитация после лечения направлена на возобновление амплитуды движений сустава. Лучше всего применять лечебную физкультуру. Процесс восстановления проходит следующим образом:
- Упражнения, включающее вертикальное и горизонтальное движения конечностью (в рамках лонгета). Применяют для снятия отека тканей, и нормализации кровообращения.
- Что бы в дальнейшем избежать повторной травмы проводят форсированные упражнения, необходимые для того, чтобы вернуть былую подвижность.
- К упражнениям добавляют физиотерапию в виде прогревания парафином, озокеритом
Упражнения проводятся под чутким присмотром профессионалов. Нагружать травмированный участок следует постепенно и равномерно. Если же нарушать данные правила, то возможно усугубление ситуации в виде образований деформаций костной ткани.
К какому врачу следует обратиться
При травме такого рода, то нужно обращаться к врачам специалистам, которые занимаются непосредственно травмами костно-суставного аппарата, а именно ортопед-травматолог. Он назначает лечение, а непосредственное наблюдение проводиться у реабилитолога и врача ЛФК.
Переломы локтевого отростка
Анатомия перелома локтевого отростка
Перелом локтевого отростка происходит в основном при падении на локоть с высоты собственного роста. Существуют случаи, когда данному перелому характерен вариант со смещением. Чаще всего он происходит на уровне верхушки отростка, но иногда несет за собой внесуставное повреждение. Именно к этому участку крепится сухожилие трехглавой мышцы плеча (трицепса), которое “тянет” отломанные элементы проксимально (в сторону плеча), тем самым создавая диастаз промежуток между отломками, что является серьезным препятствием для сращения перелома.
Симптомы при переломе локтевого отростка
При обращении к врачу пациент жалуется на болевой синдром и нарушение функции локтевого сустава.
При осмотре и физикальном обследовании существуют следующие признаки перелома локтевого отростка:
• Деформация и отечность локтевого сустава;
• Ограничение разгибание и сгибание предплечья (при смещении разгибание ограничено, так как трехглавая мышца тянет только отломанный фрагмент);
• Гемартроз (Кровоизлияние в сустав);
• Боль при пальпации отростка;
• При переломе локтевого отростка со смещением определяется западение кожи вместо привычного костного возвышения.
Дигностика переломов локтевого отростка со смещением и без
В случае перелома локтевого отростка без смещения или с допустимым смещением, деформации локтевого сустава не определяется. Движения ограничены только болью, то есть функция руки не страдает. Поэтому нельзя с уверенностью говорить об отсутствии перелома при нормальной функции.
Для определения перелома выполняется рентгенография локтевого сустава в двух проекциях. Этого исследования достаточно в большинстве случаев. Для более детального исследования характера перелома выполняют компьютерную томографию (КТ). С её помощью можно определить насколько разрушен отросток и определиться с тактикой лечения. Выполнять ли операцию и с использованием какой металлоконструкции. Все эти ньюансы очень важны для лучшей фиксации и наилучшего исхода лечения.
Лечение перелома локтевого отростка
Консервативная терапия
Перелом локтевого отростка без смещения обычно требует консервативного лечения. Первые 6 дней после травмы отек может нарастать и сохраняться, поэтому накладывается задняя гипсовая лонгетная повязка в положении сгибания предплечья в локтевом суставе под углом 80-90 градусов (см. рисунок ниже). Повязка должна быть от верхней трети плечевой кости, до лучезапястного сустава, при этом предплечье должно быть в положении супинации (ладонью вверх). Иммобилизация руки в косыночной повязке продолжается 3 недели с момента травмы. Иммобилизацию можно продолжить в лонгете, периодически снимая её для разработки локтевого сустава. Либо заменить гипс на ортез жесткой фиксации с регулировкой амплитуды движений.
Хирургическое лечение в нашей клинике
Перелом локтевого отростка, имеющий выраженное смещение осколков, требует обязательного оперативного вмешательства хирурга-травматолога. Иначе предплечье не будет полностью разгибаться, это серьезное нарушение функции верхней конечности. Успех операции зависит от точного сопоставления костных отломков и их фиксации в правильном анатомическом положении. А в дальнейшем успех зависит от правильной разработки локтевого сустава.
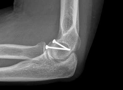
Наилучшим методом лечения внутрисуставного перелома локтевого отростка, позволяющим сохранить движения в суставе - это остеосинтез (устранение смещения и фиксация отломков металлоконструкцией). Операцию выполняют сразу после поступления пациента. Это ускорит реабилитацию и позволит сохранить полный объем движений в локтевом суставе. Локтевой сустав очень капризный в плане реабилитации. Если иммобилизация продолжается 4 недели и более, то практически во всех случаях у взрослых пациентов развивается контрактура.то есть движения ограничены на всю жизнь. Если перелом локтевого отростка произошел одним фрагментом, то возможна классическая операция, одна из самых простых и надежных методик - остеосинтез локтевого отростка по Веберу. Выполняется она при помощи двух титановых спиц и титановой проволоки.
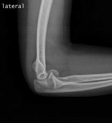
До операции:
После операции:
В случае оскольчатого перелома со смещением и отрыве верхушки отростка локтевой кости, выполняют фиксацию осколков специальной титановой конструкцией, восстанавливая целость локтевого отростка и суставной поверхности локтевой кости.
Итак, лечение перелома локтевого отростка, заключается в следующем:
• Восстановление разрушенного участка локтевого сустава в норму;
• Фиксация положения травмированного участка, пока не произойдет сращение.
Для фиксации травмированной кости используют следующие методы:
• Ортез или гипсовая повязка (лонгет);
• Титановая пластина с винтами для фиксации (операция);
• Винты без дополнительного удерживающего элемента (операция);
-Фиксация спицами и стягивающей петлей (остеосинтез по Веберу).
В нашей клинике мы используем все три метода фиксации фрагментов локтевой кости, выбор которого зависит от характера перелома. Например, оскольчатый перелом можно зафиксировать только пластиной и винтами.После операции, пациенты на следующий день могут приступать к восстановлению функции конечности. В нашем отделении с каждым пациентом работает инструктор ЛФК. Проводят гимнастику, массаж, физиолечение. Пациенты после операции в кратчайшие сроки возвращаются к повседневной жизни.
Реабилитация после перелома локтевого отростка
Существую следующие виды реабилитации после перелома локтевого отростка:
1. Упражнения начинают выполнять в первые дни после травмы в пальцах рук, так как мышцы, отвечающие за функционирование пальцев, начинаются от области локтевого сустава (от надмыщелков).
2. Под контролем врача выполняется ранняя разработка после операции.
3. Полноценная разработка в локтевом суставе производится после снятия гипса или ортеза. Она не сложная в техническом плане, но очень требовательная в плане амплитуды и частоты повторений. Сшибание и разгибание руки в локтевом суставе. Спонация и супинация кисти (ладонью вверх и вниз).
От пациента требуется огромный труд и сила воли. Операция это только полдела.
Пренебрегая данными рекомендациями существует риск развития артроза в локтевом суставе и других достаточно серьезных осложнений.
Перелом локтевого отростка
Локтевой отросток — это верхний конец локтевой кости, участвующий в образовании локтевого сустава.
Локтевой отросток расположен непосредственно под кожей и таким образом практически не защищен мышцами или другими мягкими тканями. Перелом локтевого отростка может произойти в результате прямого удара в эту область, например, при падении. Перелом характеризуется выраженным болевым синдромом и в значительной степени ограничивает движения в локтевом суставе либо делает их практически невозможными.
Лечение переломов локтевого отростка зависит от тяжести повреждения. Некоторые простые переломы можно лечить консервативно методом иммобилизации на период, необходимый для сращения перелома. Однако большинство переломов локтевого отростка сопровождаются смещением фрагментов. В таких случаях для восстановления анатомии и функции локтевого сустава необходимо хирургическое лечение.

Локтевой отросток — это костный выступ на задней поверхности локтевого сустава.
Локтевой сустав образован тремя костями:
- Плечевая кость
- Лучевая кость (наружная из костей предплечья)
- Локтевая кость (внутренняя из костей предплечья)
В локтевом суставе осуществляется сгибание и разгибание, чем он напоминает простой шарнир. Также важной функцией локтевого сустава является обеспечение ротации предплечья, т.е. поворот кисти ладонью вверх или вниз.
Локтевой сустав образован следующими сегментами костей:
- Дистальный конец плеча — это нижний конец плечевой кости. Он образует верхний отдел плечевого суставаи напоминает своего рода ролик, вокруг которого осуществляется сгибание и разгибание предплечья.
- Головка лучевой кости — это цилиндрический верхний конец лучевой кости, который скользит по передней поверхности плечевой кости при сгибании и разгибании и вращается вокруг локтевой кости при ротации предплечья.
- Локтевой отросток — часть локтевой кости, чашеобразно охватывающая нижний конец плеча и формирующая шарнир для движений в локтевом суставе. Локтевой отросток хорошо пальпируется под кожей, поскольку покрыт лишь тонким слоем мягких тканей.
Стабильность локтевого сустава обеспечивается архитектурой костей, образующих локтевой сустав, а также окружающими сустав связками, сухожилиями и мышцами. В области локтевого сустава проходят три основных нерва верхней конечности.

(Слева) Кости, образующие локтевой сустав. Локтевой отросток — это «верхушка» локтя, являющаяся частью локтевой кости. (Справа) Основные нервы и связки локтевого сустава.
Переломы локтевого отростка встречаются относительно часто. Обычно это изолированные переломы, однако они могут быть частью более сложных повреждений локтевого сустава.
Это могут быть простые переломы, когда имеется только два фрагмента, и сложные, или многооскольчатые, переломы. Костные фрагменты могут сохранять правильное положение (переломы без смещения) или значительно смещаться (переломы со смещением).
В некоторых случаях костные фрагменты могут перфорировать кожу либо рана в области локтевого сустава может сообщаться с зоной перелома. Это открытые переломы. Открытые переломы опасны тем, что при них высока вероятность развития инфекции, поэтому при таких переломах показано неотложное хирургическое лечение.
Переломы локтевого отростка наиболее часто являются следствием:
- Падения на локтевой сустав
- Прямого удара в локтевой сустав твердым предметом, например, бейсбольной битой или в результате автомобильной аварии
- Падения на выпрямленную в локтевом суставе руку. В такой ситуации трехглавая мышца плеча, прикрепляющаяся к локтевому отростку, напрягается и может отрываться с костным фрагментом локтевой кости. При таком механизме травмы возможно также повреждение связок локтевого сустава.
Переломы локтевого отростка характеризуются выраженным болевым синдромом и ограничением движений в локтевом суставе. Другие симптомы и признаки перелома включают:
- Отек в области локтевого отростка
- Кровоизлияния. Иногда они распространяются вверх на плечо и вниз на предплечье.
- Болезненность при пальпации
- Онемение в области одного или нескольких пальцев кисти.
- Боль при движениях в локтевом суставе и при ротации предплечья.
- Ощущение нестабильности сустава
Доктор обсудит с вами состояние вашего здоровья в целом и имеющиеся у вас жалобы. Затем доктор осмотрит ваш локтевой сустав и оценит объем повреждения. В ходе осмотра доктор выполнит следующее:
- Осмотрит кожу на предмет возможных повреждений. В наиболее тяжелых случаях костные фрагменты могут перфорировать кожу, увеличивая тем самым риск инфекции.
- Пропальпирует область локтевого сустава, чтобы точно установить зону болезненности и выявить возможные сопутствующие повреждения.
- Проверит пульс на запястье с тем, чтобы убедиться в отсутствии нарушений кровоснабжения пальцев и кисти.
- Оценит движения и чувствительность пальцев. В некоторых случаях при переломах локтевого отростка возможно повреждение локтевого нерва, что проявляется слабостью и нарушением чувствительности безымянного пальца и мизинца.
Даже если вы предъявляете жалобы на боль только в локтевом суставе, доктор осмотрит ваш плечевой сустав, верхнюю часть плеча, предплечье, запястье и кисть для исключения других возможных повреждений.
Рентгенография
Рентгенография обеспечивает визуализацию плотных анатомических структур, которыми являются ваши кости. Это основной метод диагностики переломов в области локтевого сустава.
В зависимости от ваших жалоб и обнаруженных в ходе физикального обследования симптомов доктор может назначить рентгенографию верхнего конца плеча, предплечья, плечевого сустава, запястья и/или кисти.

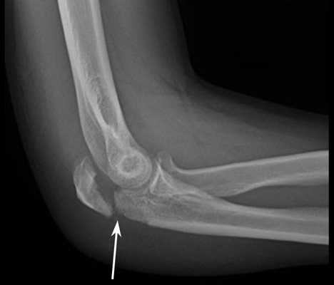
Рентгенограмма локтевого сустава в боковой проекции, на которой представлен перелом локтевого отростка со смещением
В условиях экстренного приемного отделения доктор наложит вам временную шину (или гипс) и зафиксирует руку на косыночной повязке. Первоначальные лечебные мероприятия могут включать:
- Местное применение льда для уменьшения боли и отека
- Обезболивающие препараты
Затем доктор решит вопрос о том, необходимо ли вам оперативное лечение. Не все переломы локтевого отростка нуждаются в хирургическом лечении.
Если смещение фрагментов отсутствует, доктор зафиксирует ваш локтевой сустав, чтобы удержать фрагменты до момента их сращения. В последующем доктор несколько раз повторит рентгенологическое обследование, чтобы убедиться в отсутствии смещения фрагментов.
Сроки иммобилизации локтевого сустава обычно составляет 6 недель, и только после этого начинается восстановление движений в суставе. Если в этот период наступает смещение фрагментов, вам может быть предложено хирургическое лечение.

(Слева) Локтевой сустав фиксируется шиной от верхней трети плеча до кисти. (Справа) Шина фиксируется на руке эластичным бинтом.
Операция по поводу переломов локтевого отростка показана в случаях:
- Смещения костных фрагментов (переломы со смещением)
- Перфорации костными фрагментами кожи (открытые переломы)
Операция обычно заключается в устранении смещения фрагментов и создании условий, чтобы они не смещались до тех пор, пока не наступит сращение.
В связи с высоким риском инфекционных осложнений при открытых переломах операция должна выполняться как можно скорей, обычно в первые часы после травмы. В условиях экстренного приемного отделения таким пациентам назначается антибиотикопрофилактика (внутривенно) и профилактика столбняка. Во время операции рана и костные фрагменты тщательно обрабатываются. Репозиция и фиксация костных фрагментов обычно выполняются одновременно с обработкой перелома.
Варианты хирургического лечения
Открытая репозиция и внутренняя фиксация. Это наиболее распространенный метод лечения переломов локтевого отростка. Во время такой операции костные фрагменты сопоставляются друг с другом и фиксируются в нормальном положении винтами, проволокой, спицами или металлическими пластинами.
Ниже представлены некоторые наиболее часто применяемые методы фиксации локтевого отростка.

Фиксация перелома локтевого отростка спицами и стягивающей проволочной петлей

(Слева) Для фиксации перелома локтевого отростка можно использовать один винт, который вводится в костномозговой канал. (Справа) Фиксация перелома пластиной и винтами.
Костная пластика. В случаях открытых переломов часть костных фрагментов может быть потеряна либо они могут быть в значительной степени раздроблены. В таких случаях для заполнения костных дефектов необходима костная пластика. В качестве пластического материала может использоваться донорская кость или собственная кость пациента (чаще всего из тазовой кости). В некоторых случаях могут применяться искусственные костные заместители.
Удаление костного фрагмента. Если костный фрагмент слишком мал и фиксировать его невозможно, иногда приходится его удалять. В таком случае прикрепляющееся к фрагменту сухожилие трехглавой мышцы рефиксируется к оставшейся части локтевой кости.
Результаты операции
Большинство пациентов возвращаются к нормальной жизни в течение примерно 2-3 месяцев после травмы, однако полное восстановление может занимать больше полу года. Восстановление силы в руке нередко занимает дольше, чем можно ожидать.
Несмотря на наличие рентгенологических признаков сращения перелома многие пациенты все еще отмечают ограничение функции локтевого сустава. Со временем функция локтевого сустава у этих пациентов обычно улучшается.
Лечение боли
Боль при большинстве переломов сохраняется от нескольких дней до пары недель. Многие пациенты легко справляются со своими болевыми ощущениями местными аппликациями льда, приданием конечности возвышенного положения и самыми простейшими безрецептурными лекарственными препаратами.
Реабилитация
Вне зависимости от используемого метода лечения, реабилитация после перелома локтевого отростка потребует от вас значительных усилий.
Поскольку консервативное лечение иногда связано с довольно продолжительным периодом иммобилизации, движения в локтевом суставе у вас поначалу окажутся значительно ограниченными. Поэтому вы должны быть готовы к длительному периоду физиотерапии.
В ходе реабилитации ваш лечащий врач или физиотерапевт порекомендуют вам комплекс упражнений, который поможет:
- Увеличить объем движений в суставе
- Уменьшить скованность
- Восстановить силу мышц в области локтевого сустава.
В течение некоторого периода времени вам будет запрещено поднимать тяжести или выполнять этой рукой какую-либо тяжелую работу. Доктор подробно обсудит с вами все эти ограничения.
В зависимости от тяжести перелома и стабильности фиксации локтевой сустав после операции может быть на некоторое время фиксирован шиной или лонгетой.
Физиотерапия. Большинство пациентов начинают упражнения для восстановления движений в локтевом суставе уже вскоре после операции, нередко уже на следующий день. Очень важно выполнять все упражнения так, как рекомендует врач. Их эффект виден только тогда, когда вы выполняете их регулярно.
Ограничения. После операции вам будет запрещено поднимать этой рукой тяжести по меньшей мере в течение 6 недель, однако доктор может разрешить вам пользоваться рукой при приеме пищи, умывании или одевании. Также вас могут ограничить тянуть или толкать что-либо этой рукой, например, открывать дверь или отталкиваться от кресла при вставании. Доктор подробно расскажет о всех возможных ограничениях, а также о том, когда вы сможете безопасно садиться за руль.
Риски осложнений присущи любым хирургическим операциям, и если доктор рекомендует операцию, значит он считает, что ее польза перевешивает эти возможные риски.
Инфекция. Риск инфекционных осложнений существует при всех операциях. Для профилактики таких осложнений доктор принимает специальные меры.
Дискомфортные ощущения в области металлоконструкций. У небольшого числа пациентов могут сохраняться дискомфортные ощущения в области металлоконструкций, использованных для фиксации перелома.
Повреждение нервов и кровеносных сосудов. При операциях на локтевом суставе существует небольшой риск повреждения нервов и кровеносных сосудов. Подобные осложнения при операциях по поводу переломов локтевого отростка встречаются редко.
Несращение. Иногда случается так, что переломы не срастаются. Фиксирующие их конструкции при этом могут ломаться и мигрировать.
Причин этому может быть несколько:
- Пациент не соблюдает рекомендации врача.
- У пациента есть сопутствующие проблемы со здоровьем, например, сахарный диабет, которые замедляют сращение переломов. Курение или употребление табака в другом виде также замедляет сращение.
- Открытые переломы, как правило, тоже характеризуются замедленным сращением.
- Инфекции, которые могут замедлять или вообще блокировать заживление перелома.
При проблемах со сращением перелома вам может понадобиться повторная операция.
Даже при успешно выполненном хирургическом вмешательстве у некоторых пациентов могут наблюдаться отдаленные осложнения.
Ограничение движений (контрактура). У некоторых пациентов вне зависимости от выбранного варианта лечения полный объем движений в суставе не восстанавливается никогда. В большинстве таких случаев пациенты не могут полностью выпрямить руку в локтевом суставе. К счастью, подобное ограничение, если оно выражено незначительно, никак в целом не влияет на функцию конечности. При значительном ограничении движений может понадобиться интенсивная физиотерапия, специальные средства фиксации или даже повторная операция, однако бывает такое при переломах дистального конца плечевой кости нечасто.
Посттравматический остеоартрит. Посттравматический остеоартрит — это вариант остеоартрита, который развивается после травмы сустава. Даже при нормальном сращении перелома суставной хрящ, защищающий кости, остается поврежденным, что со временем приводит к развитию болевого синдрома и ограничению движений в суставе.
Посттравматический остеоартрит является относительно частым осложнением переломов локтевого отростка. Он может развиться достаточно быстро или через несколько лет после травмы. Некоторым пациентом с этим состоянием может понадобиться повторная операция, однако многие из них практически не жалуются на боль в суставе и в хирургическом лечении не нуждаются.
В нашей клинике мы можем предложить Вам специально разработанные металлоконструкции для фиксации переломов в области локтевого отростка, изготовленные из различных материалов, а также подобрать наиболее подходящие в Вашем конкретном случае. Результат операции в большой степени зависит не только от качества импланта, но и от навыка и опыта хирурга. Специалист нашей клиники имеет опыт лечения нескольких сотен переломов данной локализации в течении более 10 лет.
Мы также применяем минимально инвазивные методики операций на локтевом суставе. Пациенты, которым выполнялась операция в условиях нашей клиники, возвращаются к двигательной активности уже на следующий день после операции.
Переломы костей предплечья.
Причины
Причины перелома костей предплечья в зависимости от локализации:
• лучевой кости в типичном месте возникает вследствие падения на прямую руку с упором на ладонь. Немного реже такого рода перелом возникает при падении на тыльную часть ладони. Более распространены такие переломы среди людей, страдающих заболеваниями костей, снижающими их плотность. В большинстве случаев кость ломается на пару сантиметров выше лучезапястного сустава;
• средней части, или диафиза обеих костей предплечья, довольно частое повреждение. Возникает как следствие падения на руку или сильного удара по предплечью;
• диафиза локтевой кости возникает как следствие удара по предплечью;
• диафиза лучевой кости возникает как следствие удара по предплечью;
• головки либо шейки лучевой кости возникает вследствие падения на прямую руку;
• Монтеджа возникает вследствие отражения удара согнутым и поднятым предплечьем, либо падения на прямую руку;
• Галеацци возникает при ударе по предплечью либо при падении на прямую руку;
• локтевого отростка возникает вследствие резкого сокращения мышцы, разгибающей предплечье, падения или удара в область локтя;
• венечного отростка возникает как следствие падения на согнутый локоть.
Лечение
Первая помощь при переломах костей предплечья заключается в обезболивании, фиксации поврежденной конечности. В течение нескольких часов рекомендуют наложение холода для предотвращения развития отека. Больной доставляется к врачу.
При переломе локтевого и венечного отростка без смещения накладывают гипсовую повязку сроком на 3-4 недели. При смещении фрагментов больше чем на 5мм при переломе локтевого отростка проводят оперативное вмешательство методом остеосинтеза (соединение костных отломков при помощи фиксирующих конструкций, которые обеспечивают неподвижность костных фрагментов). При вклинивании осколка в локтевой сустав при переломе венечного отростка оперативно удаляют этот фрагмент.
При несмещенном переломе головки и шейки лучевой кости на согнутый локтевой сустав накладывают лонгет с фиксацией лучезапястного и локтевого сустава и до середины плеча сроком на три недели. При смещении показан остеосинтез.
При диафизарном переломе локтевой и лучевой кости, не осложненной смещением, предплечье фиксируют в положении сгиба с захватом лучезапястного и локтевого суставов сроком на пять недель. При переломе со смещением выполняют репозицию (восстановление правильного положения смещенных отломков кости) и накладывают гипсовую повязку сроком до шести недель.
При диафизарном переломе обеих костей предплечья без смещения на руку, согнутую в локте, накладывают лонгет, захватывая лучезапястный и локтевой сустав сроком до восьми недель. При смещении отломков проводят репозицию или остеосинтез в зависимости от тяжести повреждения. После оперативного вмешательства накладывают гипсовую повязку сроком до трех месяцев.
Хирургическое лечение в нашей клинике:
В ходе этой операции устраняют смещение отломков и скрепляют кость металлической конструкцией, выбор которой определяется характером перелома.
Операционный доступ: 1. Доступ Томсона; 2. Доступ Генри; 3. Доступ к локтевой кости.
Положение пациента на спине. Обезболивание: проводниковая анестезия или эндотрахеальный наркоз. Операция выполняется в кратчайшие сроки с использованием современных методик и имплантов. Импланты производства Швейцария и Германия. Материал имплантов: титан или медицинская сталь.
Читайте также:
