Техника операции при ранении тонкой кишки
Добавил пользователь Валентин П. Обновлено: 22.01.2026
ГБУЗ «Научно-исследовательский институт скорой помощи им. Н.В. Склифосовского» Департамента здравоохранения Москвы, Москва, Россия
ГБУЗ «Научно-исследовательский институт скорой помощи им. Н.В. Склифосовского» Департамента здравоохранения Москвы, Москва, Россия;
ФГБОУ ДПО «Российская медицинская академия непрерывного профессионального образования», Москва, Россия
- SPIN РИНЦ: 4044-9661
- Scopus AuthorID: 55970485700
- ResearcherID: P-9151-2017
- ORCID: 0000-0003-1270-5414
ГБУЗ Научно-исследовательский институт скорой помощи им. Н.В. Склифосовского, Москва, Россия
НИИ скорой помощи им. Н.В. Склифосовского, Москва
ГБУЗ Москвы «Научно-исследовательский институт скорой помощи им. Н.В. Склифосовского» Департамента здравоохранения Москвы, Москва, Россия
Закрытая травма живота с повреждением кишечника, изолированная и сочетанная
Журнал: Хирургия. Журнал им. Н.И. Пирогова. 2019;(5): 82‑87
Приведены 3 клинических наблюдения закрытой травмы живота с повреждением кишечных петель и развитием перитонита. Авторы подчеркивают значение лучевых методов диагностики, прежде всего УЗИ, и диагностической видеолапароскопии в ранней диагностике особенностей травматического повреждения.
Количество пострадавших с травмой органов брюшной полости, по данным [1, 2], составляет 21—25% и не имеет тенденции к снижению. По оценке разных авторов [3—5], повреждение кишечника при закрытой травме живота составляет от 6,3 до 38,5%, летальность достигает 12—15%, а при разрывах брыжейки кишки, стенки кишки и массивных гематомах ее брыжейки с перитонитом летальность составляет 19—24%.
Материал и методы
Представляем 3 клинических наблюдения изолированной и сочетанной травмы живота с повреждением кишечника за период с августа 2017 г. по февраль 2018 г.
Больная М., 48 лет, поступила в приемное отделение НИИ СП им. Н.В. Склифосовского с жалобами на боль в левой половине живота, общую слабость, на 2-е сутки с момента получения травмы (удар копытом лошади в живот). При осмотре отмечены болезненность при пальпации грудной клетки слева, в левых отделах живота, развитие подкожной эмфиземы грудной клетки.

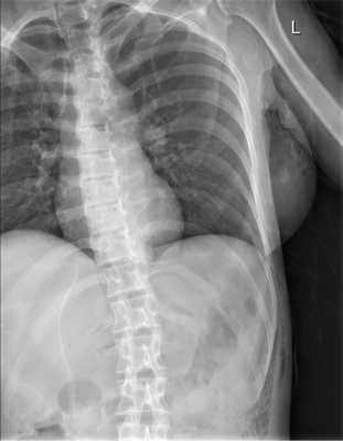
При рентгенологическом исследовании органов грудной клетки и брюшной полости (рис. 1) Рис. 1. Рентгенограмма органов грудной клетки и брюшной полости больной М. при поступлении. выявлена подкожная эмфизема слева от переднего отрезка VI ребра с переходом на брюшную полость. При УЗИ в 5 областях брюшной полости определяется свободная жидкость.

В экстренном порядке выполнена диагностическая видеолапароскопия. При ревизии в брюшной полости около 1000 мл мутного содержимого во всех отделах. Париетальная и висцеральная брюшина тусклая, с наложением фибрина, гиперемирована. При ревизии париетальной брюшины передней брюшной стенки в левом подреберье визуализирован дефект париетальной брюшины и разрыв внутренней косой, поперечной мышц без активного кровотечения размером 4×3 см. Принято решение о конверсии — выполнена широкая срединная лапаротомия. При ревизии тонкой кишки непосредственно за связкой Трейца обнаружен разрыв тощей кишки на 1/3 по противобрыжеечному краю (рис. 2), Рис. 2. Признаки перитонита и разрыва тонкой кишки (интраоперационные фотографии). при осмотре сальниковой сумки выявлено геморрагическое пропитывание парапанкреатической клетчатки. Выполнена назоинтестинальная интубация. Произведена мобилизация участка тощей кишки из-под связки Трейца с иссечением краев разрыва стенки тощей кишки, ушиванием разрыва тощей кишки в поперечном направлении двухрядным швом. Прядь большого сальника фиксирована к линии швов на тощей кишке. Выполнена санация брюшной полости 4 л 0,9% раствора NaCl. Ушит травматический разрыв мышц передней брюшной стенки, двухпросветный дренаж оставлен в ране, выведен через контрапертуру на переднюю брюшную стенку. Двухпросветные дренажи также установлены в подпеченочное пространство справа, в полость малого таза, в левый латеральный канал. С целью дренирования полости сальниковой сумки установлен однопросветный дренаж.
После операции больная переведена в отделение реанимации и интенсивной терапии для хирургических больных, где проводили инфузионную, антибактериальную, антисекреторную терапию, лабораторный и лучевой контроль, делали перевязки, осуществляли динамическое наблюдение.
При УЗИ брюшной полости на 3-и сутки после операции выявлено разобщение листков брюшины поддиафрагмально слева до 0,3 см, у нижнего полюса селезенки до 0,6 см, по ходу правого латерального канала до 0,7 см, в полости малого таза до 0,8 см и межпетельно слева до 0,9 см за счет анэхогенных зон с фибрином. Петли тонкой кишки не расширены, стенка до 0,8—1 см, содержимое гетерогенное и с газом, перистальтика прослеживается. Заключение: эхопризнаки свободной жидкости в брюшной полости, отек стенок тонкой кишки.
При УЗИ брюшной полости на 5-е сутки после операции: неоднородность структуры поджелудочной железы за счет участков пониженной эхогенности в головке и теле, минимальный подкапсульный отек в виде анэхогенной зоны шириной 0,2 см, парапанкреатическая клетчатка несколько пониженной эхогенности.
Послеоперационный период осложнился развитием реактивного панкреатита. На фоне проведенного комплексного лечения состояние больной улучшилось, на 12-е сутки после операции пациентка выписана под наблюдение хирургом по месту жительства.
Больной Л., 24 лет, поступил в 1-е сутки после производственной травмы (падение с 6-го этажа во время строительных работ) в отделение реанимации и интенсивной терапии для экстренных больных. При поступлении состояние тяжелое, на передней поверхности груди и брюшной стенки обширная ссадина; в левой мезогастральной области рана размером 6×0,5 см; поверхностные раны и множественные ссадины на верхних и нижних конечностях. Живот вздут, асимметричен из-за кровоизлияния в брюшную стенку слева, там же определяется пропитывание гематомы брюшной стенки с переходом на поясничную область; при пальпации живот мягкий, болезненный преимущественно в левых отделах.
При УЗИ органов брюшной полости определяется свободная жидкость: в правом подпеченочном пространстве 2 см, в правом латеральном канале 2,8 см, поддиафрагмально справа 0,8—1 см, поддиафрагмально слева 2 см, у нижнего полюса селезенки 2,5 см, в нижней трети левого латерального канала до 1,8 см, в полости малого таза 4,3 см; «шоковые» диффузные изменения почек и селезенки; травма селезенки; эхопризнаки гастростаза, пареза кишечника, посттравматических изменений стенок тонкой кишки в мезогастрии слева, жидкостного пропитывания тканей брыжейки тонкой кишки.

При динамическом наблюдении отмечено нарастание явлений геморрагического шока. С учетом клинико-инструментальной картины заболевания закрытой травмы живота с повреждением внутренних органов и продолжающимся внутрибрюшным кровотечением в экстренном порядке выполнена лапаротомия. Во время доступа в брюшную полость выявлено, что кожа и подкожная клетчатка полностью отсепарированы от подлежащего слоя прямых и косых мышц, имбибированных кровью из-за размозжения (межмышечная гематома) на всем протяжении доступа. Множественные более мелкие гематомы в подкожной клетчатке. В брюшной полости во всех отделах большое количество крови и сгустков (1800 мл), кровь аспирирована с помощью аппарата CellSaver. Продолжающегося активного кровотечения не выявлено. При ревизии органов брюшной полости: в проекции V—VI сегментов правой доли печени по краю выявлена подкапсульная гематома размером около 6×2 см, не пульсирующая, в объеме за время операции не увеличилась. Других повреждений печени по диафрагмальной и висцеральной поверхностям не установлено; на расстоянии 30, 40 и 45 см от связки Трейца 3 разрыва стенки тощей кишки с вскрытием просвета и 1 десерозированный участок. В области разрывов кишки также отмечены участки повреждения брыжейки тонкой кишки (рис. 3), Рис. 3. Разрывы петель тонкой и толстой кишки (интраоперационные фотографии). откуда продолжалось кровотечение. На расстоянии 60 см от связки Трейца выявлен полный поперечный разрыв тощей кишки с разрывом брыжейки кишки до уровня ее корня и активно продолжающимся кровотечением из сосудов брыжейки. Гематома в области брыжейки поперечной ободочной кишки, просвет кишки не вскрыт, гематома в размерах не увеличивается. Помимо этого гематома околокишечной клетчатки вдоль нисходящей ободочной кишки и сигмовидной кишки, брыжейка которой на уровне дистальной трети разорвана; сама сигмовидная кишка в области разрыва брыжейки не изменена, спастически сокращена, просвет не вскрыт, серозная оболочка обычной окраски с небольшими петехиальными кровоизлияниями из-за травмы. Обширная забрюшинная гематома по левому латеральному каналу с распространением на парааортальное клетчаточное пространство и корень брыжейки тонкой кишки. Париетальная брюшина в области левого латерального канала также разорвана, визуализирован левый мочеточник, без повреждений (моча концентрированная, макрогематурии нет). В области боковой стенки живота со стороны париетальной брюшины разрыв стенки размером около 10×5 см с повреждением прямых и косых мышц живота и продолжающимся низкоинтенсивным кровотечением из мышечных сосудов.
Выполнена резекция 30 см тощей кишки, начиная с первого разрыва на 30 см от связки Трейца до полного поперечного разрыва на 60 см с формированием энтероэнтероанастомоза конец в конец. Произведена назоинтестинальная интубация. Далее ушиты поврежденные мышцы передней брюшной стенки и восстановлена непрерывность париетальной брюшины. Брюшная полость промыта 3000 мл 0,9% раствора NaCl, установлены двухпросветные дренажи в полость малого таза, в правое подпеченочное пространство и в левый латеральный канал. Выполнена петлевая трансверзостомия.
После операции пациент переведен в отделение реанимации, где проводили антибактериальную, инфузионно-трансфузионную, антисекреторную, анальгетическую терапию, лабораторный и лучевой контроль, выполняли перевязки, динамическое наблюдение.
При УЗИ органов брюшной полости на 4-е сутки после операции отмечены признаки послеоперационного пареза кишечника, отек стенок тонкой кишки, диффузные изменения поджелудочной железы, гематомы правой доли печени, жидкостное пропитывание тканей брыжейки тонкой кишки, забрюшинная гематома слева.

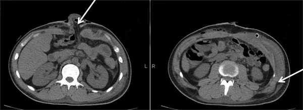
На 6-е сутки после операции выполнена КТ брюшной полости с контрастным усилением (рис. 4): Рис. 4. Компьютерные томограммы органов брюшной полости больного Б. на 6-е сутки после операции. признаки межмышечных и подкожных гематом брюшной стенки с включениями газа, небольшое количество жидкости межпетельно в полости таза, отек подкожной клетчатки поясничной области, контузионные изменения в задних сегментах нижних долей обоих легких (преимущественно правого), перелом крыла левой подвздошной кости.
Пациенту ежедневно выполняли перевязки послеоперационных ран, промывание дренажей из брюшной полости и межмышечного пространства брюшной стенки. Назоэнтеральный и назогастральный зонды установлены на активную аспирацию с введением капельно физиологического раствора в малый канал назоэнтерального зонда. Ежедневно в зонды вводили по 100 мл вазелинового масла. С 3-х суток после операции у пациента начали отходить газы, с 5-х суток появился стул по колостоме. Дренажи из брюшной полости удалены на 4-е и 6-е сутки после операции, назоэнтеральный зонд — на 6-е сутки. По данным УЗИ, КТ и биохимического анализа крови выявлены признаки травматического панкреатита, в связи с этим с 6-х послеоперационных суток пациент получал октреотид по 300 мкг 3 раза в сутки в течение 5 сут.
При УЗИ на 12-е сутки после операции в брюшной полости определяются свободная жидкость неоднородного характера (до 4 см в полости малого таза), отек стенок тонкой кишки, диффузные изменения поджелудочной железы, гематома правой доли печени по типу пропитывания, эхопризнаки спленомегалии.
При УЗИ мягких тканей передней брюшной стенки в области послеоперационной раны слева в гипогастрии на глубине 1 см жидкостное скопление с взвесью и инфильтрацией тканей до 1 см вокруг.
На фоне комплексного лечения состояние пациента стабилизировалось. На фоне антибактериальной терапии у пациента развились явления антибиотикоассоциированного колита (многократный неоформленный стул до 6 раз в сутки), которые регрессировали после отмены антибиотиков. В удовлетворительном состоянии пациент выписан под наблюдение хирургом по месту жительства.
Больной К., 46 лет, поступил с жалобами на боль в левой половине грудной клетки, во всех отделах живота в 1-е сутки после травмы (со слов, был избит неизвестным, тошноты, рвоты не было, сознание не терял). При поступлении состояние больного средней степени тяжести; дыхание при аускультации в легких с жестким оттенком, ослаблено в нижних отделах слева, хрипов нет. Живот не вздут, при пальпации напряжен, болезненный во всех отделах; перитонеальные симптомы положительные.
Status localis: разлитая боль при пальпации грудной клетки слева по задней подмышечной и лопаточной линии с VI по IX ребро. Подкожной эмфиземы грудной клетки нет.
При УЗИ брюшной полости при поступлении выявлено разобщение листков брюшины под печенью до 0,9 см, в полости малого таза — до 0,9 см. Заключение: эхопризнаки свободной жидкости в брюшной полости.
При рентгенографии органов брюшной полости при поступлении: газ и плотное содержимое по ходу толстой кишки на всем протяжении; в мезогастрии единичные пневматизированные петли тонкой кишки, диаметром 3,3 см с нечеткими уровнями жидкости. Заключение: функциональный фон.
В экстренном порядке выполнена диагностическая лапароскопия: в брюшной полости мутный геморрагический выпот до 300 мл во всех отделах живота, на висцеральной брюшине мезогастральной области налет фибрина. На расстоянии 80 см от илеоцекального угла сквозной дефект тонкой кишки с вывернутыми краями размером 3×2 см. Принято решение о конверсии — выполнена широкая срединная лапаротомия. В брюшной полости 450 мл геморрагического содержимого с примесью кишечного отделяемого. В 80 см от илеоцекального угла определяются 3 линейных разрыва подвздошной кишки диаметром до 1,5 см (рис. 5). Рис. 5. Множественные разрывы стенки тонкой кишки (интраоперационные фотографии). Брыжейка тонкой кишки с множественными поверхностными разрывами, кровоподтеками, гематомой (рис. 6). Рис. 6. Разрыв брыжейки тонкой кишки (интраоперационная фотография). В верхней трети сигмовидной кишки дефект серозно-мышечного слоя размером 2×1 см. При дальнейшей ревизии повреждений желчного пузыря, желудка, начального отдела двенадцатиперстной кишки не выявлено. Выполнена резекция около 15 см участка подвздошной кишки с тремя разрывами. Сформирован энтероэнтероанастомоз конец в конец. Произведена назоинтестинальная интубация. Выполнено ушивание дефекта стенки сигмовидной кишки. Произведено дренирование брюшной полости в полость малого таза, правое подпеченочное пространство и в левый латеральный канал.
После операции пациенту проводили антибактериальную, инфузионно-спазмолитическую, антисекреторную терапию, лабораторный контроль, динамическое наблюдение.
На 3—4-е сутки после операции удалены дренажи из брюшной полости.
На 4-е сутки после операции выполнено радиоизотопное исследование всасывающей способности кишки — нарушений не выявлено.
Для оценки состоятельности энтероэнтероанастомоза и пассажа по тонкой кишке на 6-е сутки после операции дано 100 мл водорастворимого контрастного вещества через назоинтестинальный зонд: петли тонкой кишки диаметром до 3 см; энтероэнтероанастомоз диаметром до 0,6 см. Затекания контрастного вещества за его контуры не выявлено. Через 2 ч контраст распределился по толстой кишке на всем протяжении.
Послеоперационный период гладкий. Швы с послеоперационной раны сняты на 12-е сутки. В удовлетворительном состоянии пациент выписан под наблюдение хирургом по месту жительства.
Таким образом, у 1 (37,9%) больной с закрытой травмой живота имеются повреждения кишечника, что является причиной развития перитонита. Основной задачей диагностического поиска является установка объема и тяжести повреждений, требующих неотложного хирургического вмешательства. Прогностически важно динамическое наблюдение за пациентом в 1-е сутки после получения травмы. В настоящее время приоритет в диагностике закрытой травмы живота мы отдаем динамическому ультразвуковому исследованию и диагностической видеолапароскопии.
2.7 Ушивание ран тонкой и толстой кишки
рассасывающийся шовный материал и проводят лигатуру только через се-розный и мышечный слои кишечной стенки.
При ушивании раны кишки длиной более 1 см используют обычно 2-х-рядные швы. Если рана расположена в продольном направлении, ее нужно перевести в поперечное с помощью нитей-держалок во избежание суживания просвета. С их помощью ассистент осторожно растягивает края раны и в этом положении фиксирует до конца ушивания раны.
Первый ряд двухрядного шва — непрерывный сквозной шов. Чаще всего, накладывают вворачивающий непрерывный шов по Шмидену кетгу-товой нитью. Зафиксировав узлом длинную нить у угла кишечной раны, накладывают стежки через всю толщу кишечной стенки на 0,3—0,4 см от края раны попеременно со стороны слизистой оболочки каждого края ра-ны, расстояние между стежками — 0,5 см.
Второй ряд — узловые асептические перитонизирующие серозно-мышечные швы Ламбера.
Техника ушивания ран толстой кишки
Ушивание толстой кишки производится в случаях повреждения при ранах небольших и средних размеров. Небольшие единичные колотые ра-ны толстой кишки и тазовой части прямой, покрытые висцеральной брю-шиной, подлежат ушиванию. Их можно зашить кисетным швом, но в отли-чие от ран тонкой кишки — с последующим наложением 2-х рядов серозно-мышечных швов. Большие по размерам раны толстой кишки требуют ушива-ния трехрядным швом в поперечном к оси кишки направлении: 1-й ряд — не-прерывный вворачивающий кетгутовый шов через все слои, затем, после смены салфеток, инструментов и перчаток, накладываются 2-й и 3-й ряды се-розно-мышечных швов. Линию шва целесообразно перитонизировать (саль-ником на ножке, жировыми привесками, париетальной брюшиной).
Применение 3-х-рядного шва на толстой кишке является обоснованным и целесообразным, учитывая следующие соображения. Краевой травматический некроз на толстой кишке на почве наложения 1-го ряда швов (через все слои) не ограничивается только слизистой оболочкой, а захватывает нередко под-слизистый слой и даже мышечную оболочку вплоть до серозной поверхности. Такой глубокий характер краевого некроза приводит к тому, что после оттор-жения омертвевших тканей со стороны просвета обнажается наружный (2-й) ряд швов (серозно-мышечных), который в результате инфицируется. Для за-щиты этого 2-го ряда швов и отграничения его от брюшной полости необхо-дим 3-й ряд швов — серозно-мышечный (И. Д. Кирпатовский, 1964).
2.8 Показания и техника выполнения резекции тонкой кишки
Под резекцией тонкой кишки понимают удаление того или иного от-резка этой кишки. Чаще всего ее производят по поводу опухоли, ущемлен-ных грыж, непроходимости кишки, тромбозов брыжеечных сосудов, ранений и др. Резекцию тонкой кишки нужно осуществлять в пределах здоро-вых тканей: проксимально на 30-40 см и дистально на 15-20 см от резеци-руемого участка кишки.
Этапы резекции тонкой кишки:
ревизия брюшной полости;
мобилизация брыжейки тонкой кишки (по намеченной линии пере-сечения кишки);
формирование межкишечного анастомоза.
В бессосудистой зоне брыжейки тонкой кишки зажимом делают от-верстие, по обоим краям которого накладывают по одному кишечно-брыжеечному серозному шву. При этом прокалывают брыжейку, проходящий в ней краевой сосуд и мышечный слой кишечной стенки, не проникая в про-свет кишки. Завязыванием шва сосуд фиксируется к кишечной стенке. Эти швы накладывают по линии резекции со стороны как проксимального, так и дистального отделов. На расстоянии около 5 см от концов кишки, предназна-ченной для резекции, накладывают 2 кишечных зажима для копростаза, концы которых не должны переходить за брыжеечные края кишки. Подобное поло-жение зажимов сохраняет кровоснабжение брыжейки в ее околокишечной зо-не. Приблизительно на 2 см ниже проксимального зажима и на 2 см выше дис-тального зажима накладывают по одному раздавливающему зажиму.
Пересекают брыжейку тонкой кишки между лигатурами. Чаще всего делают конусовидное пересечение тонкой кишки. При этом наклон линии пересечения должен всегда начинаться от брыжеечного края и кончаться на противоположном крае кишки, ввиду того, что только при такой ориен-тации обеспечивается васкуляризация конца, подлежащего анастомозу, и возможность правильного сближения краев пересеченной брыжейки.
Тупая травма живота, открытые повреждения живота
Категории МКБ: Другие и неуточненные травмы живота, нижней части спины и таза (S39), Размозжение и травматическая ампутация части живота, нижней части спины и таза (S38), Травма кровеносных сосудов на уровне живота, нижней части спины и таза (S35), Травма органов брюшной полости (S36), Травма тазовых органов (S37)
Общая информация
Краткое описание
Абдоминальная травма или травма живота - это нарушение анатомической целостности или функционального состояния тканей или органов брюшной полости, забрюшинного пространства и таза, вызванное внешним воздействием [1, 9].
ATLS - Advanced Trauma Life Support (протокол оказании помощи пострадавшим при травме тренировочного курса для врачей)
ЭРХПГ - эндоскопическая ретроградная холангиопанкреатография
Пользователи протокола: хирурги, акушеры-гинекологи, урологи, травматологи, анестезиологи-реаниматологи, врач общей практики, врачи/фельдшеры скорой медицинской помощи.
Уровень I - Доказательства, полученные в ходе проспективного, рандомизированного, двойного слепого исследования.
Уровень II - Доказательства, полученные в ходе проспективного, рандомизированного, не слепого исследования.
Класс А - Рекомендации, которые были одобрены по согласованию по крайней мере 75% процентов мультисекторной группы экспертов.

Автоматизация клиники: быстро и недорого!
- Подключено 300 клиник из 4 стран
- 800 RUB / 4500 KZT / 27 BYN - 1 рабочее место в месяц

Автоматизация клиники: быстро и недорого!
- Подключено 300 клиник из 4 стран
- 1 место - 800 RUB / 4500 KZT / 27 BYN в месяц
Мне интересно! Свяжитесь со мной
Классификация
• сочетанная травма: в сочетании с травмой головы, позвоночника, спинного мозга, шеи, груди, опорно-двигательного аппарата.
Открытая травма (раны): колотые, резаные, рубленые, рваные, ушибленные и их сочетания, огнестрельные (пулевые, осколочные, минно-взрывные)
• с повреждением органов БП (одиночные или множественные): повреждение полых органов, повреждение паренхиматозных органов, повреждение сосудов.
• органов брюшной полости: повреждение полых органов, повреждение паренхиматозных органов, повреждение сосудов;
• забрюшинного пространства: повреждение полых органов, повреждение паренхиматозных органов, повреждение сосудов.
Диагностика
II. МЕТОДЫ, ПОДХОДЫ И ПРОЦЕДУРЫ ДИАГНОСТИКИ И ЛЕЧЕНИЯ
• биохимический анализ крови (определение глюкозы крови, билирубина и фракций, АСТ, АЛТ, тимоловой пробы, креатинина, мочевины, щелочной фосфатазы, амилазы крови);
Минимальный перечень обследования, который необходимо провести при направлении на плановую госпитализацию: не проводится.
Основные (обязательные) диагностические обследования, проводимые на стационарном уровне (при экстренной госпитализации проводятся диагностические обследования непроведенные на амбулаторном уровне):
Дополнительные диагностические обследования, проводимые на стационарном уровне (при экстренной госпитализации проводятся диагностические обследования непроведенные на амбулаторном уровне):
• лапароцентез «шарящим катетером» (диагностический перитонеальный лаваж) с лабораторным исследованием полученной жидкости
• боли в ране и (или) в животе различной локализации, интенсивности и ир-радиации. При повреждении печени боли отдают в надплечье справа, при травме селезенки - слева;
• на сухость языка, тошноту, рвоту, задержку газов, отсутствие стула, затруднение при мочеиспускании;
Для выявления тупой травмы большое значение имеет высота, с которой произошло падение, либо скорость транспортного средства, на которой произошла авария.
При проникающих ранениях важны расстояние, с которого был сделан выстрел, вид оружия и пули, длина ножа.
В бессознательном состоянии следует выяснить анамнез по возможности у сопровождающих лиц.
• при проникающем ранении живота оно может означать повреждение печени, селезенки или магистрального сосуда;
• при тупой травме вздутие живота может быть обусловлено паралитической кишечной непроходимостью, которая возникает при повреждении органов забрюшинного пространства (особенно — поджелудочной железы) и спинного мозга;
• вздутие живота, асимметрия, исчезновение дыхательных экскурсий передней брюшной стенки наблюдаются у пострадавших с разлитым гнойным перитонитом, доставленных более чем через 12 часов после травмы полых органов;
• симптом Грея Тернера (цианоз боковой поверхности живота) и симптом Каллена (цианоз пупочной области) указывают на забрюшинную гематому;
• прямые признаки травмы - раны, ссадины, кровоподтеки, кровоизлияния. В то же время отсутствие их на брюшной стенке не исключает наличия тяжелой травмы внутренних органов! При проникающих ранениях находят входное и выходное отверстия, перед рентгенографией отмечают их скрепками для бумаг.
При наличии раны, выпадение из раны внутренних органов и тканей (чаще - пряди большого сальника, реже - петли тонкой кишки), истечение из раны кишечного содержимого, желчи, мочи с соответствующим окрашиванием повязки (белья) и запахом являются прямыми признаками проникающего ранения.
Косвенные признаки проникающего ранения: симптомы общей кровопотери, интоксикации и перитонита, а также пневмоперитонеум (исчезновение печеночной тупости при перкуссии), гидроперитонеум (притупление в отлогих местах), которые выявляются при перкуссии живота.
• при пальпации живота отмечают объемные образования, болезненность, напряжение мышц передней брюшной стенки, крепитацию над костями таза и нижними ребрами;
• диффузное напряжение мышц передней брюшной стенки и болезнен-ность ее при пальпации - признаки повреждения внутренних органов, но этот же симптом является характерным и для изолированной травмы прямых мышц передней брюшной стенки;
• положительный симптом Щеткина-Блюмберга указывает на развитие перитонита, но может отсутствовать в первые часы после травмы;
• положительный симптом Куленкампфа - болезненность и положительные симптомы раздражения брюшины при отсутствии напряжения передней брюшной стенки характерны для гемоперитонеума;
• укорочение перкуторного звука в боковых отделах живота указывает на скопление в брюшной полости свободной жидкости (кровь, экссудат, транссудат, кишечное содержимое, гной, моча и т.д.);
• симптом Джойса: укорочение перкуторного звука, границы которого не меняются при изменении положения тела (поворот на бок) - характерный признак забрюшинной гематомы;
• исчезновение «печеночной тупости» (зоны укорочения перкуторного звука над областью печени) указывает на разрыв полого органа в брюшной полости, когда свободный газ скапливается под правым куполом диафрагмы. Отсутствие данного признака не исключает разрыва полого органа.
Отсутствие перистальтических шумов при одновременном отсутствии резкого вздутия указывает на травму внутренних органов. Вздутие и отсутствие перистальтических шумов может наблюдаться при забрюшинной гематоме и в поздних стадиях перитонита. Отсутствие кишечных шумов в течение 5 мин - показание к диагностической лапаротомии, особенно при проникающих ранениях.
Ректальное исследование: если кровь выделяется из заднего прохода или остается на перчатке при пальцевом исследовании, для выявления повреждений прямой кишки проводят ректороманоскопию.
Назогастральный зонд и мочевой катетер обязательно устанавливаются всем пациентам с подозрением на травму живота. Присутствие крови в полученной жидкости - признак повреждения верхних отделов ЖКТ или мочевых путей.
• нарушения сознания (сопутствующая черепно-мозговая или спинномозговая травма), алкогольное и наркотическое опьянение значительно изменяют болевую чувствительность и затрудняют обследование;
• анальгетики (наркотические и ненаркотические) не назначают до постановки окончательного диагноза.
• показатели гемоглобина и гематокрита сразу при поступлении малоинформативно для оценки состояния больного и объема кровопотери, однако при продолжающемся кровотечении полученные данные служат отправной точкой для динамического наблюдения;
• лейкоцитоз свыше 20х109/л в отсутствие признаков инфекции свидетельствует о значительной кровопотере или о разрыве селезенки (ранний признак);
• повышение активности сывороточной амилазы - признак повреждения поджелудочной железы или разрыва кишки;
• гематурия у 75-90% больных с травмами почек. микрогематурия характерна для малых повреждений; микрогематурия в сочетании с шоком и макрогематурия - для больших повреждений почек. однако это правило соблюдается не всегда, у 24-34% больных с повреждениями почечной ножки и у 28% больных с огнестрельными и колотыми ранами почки гематурия вообще отсутствует;
• исследование промывной жидкости при диагностическом перитонеальном лаваже (лапароцентез «шарящим» катетером): содержание эритроцитов в промывных водах, свыше 108/л или лейкоцитов свыше 5х105/л расценивается как положительный тест на гемоперитонеум. ДПЛ не указывает на глубину повреждения, в 1%-2% случаев возможны осложнения метода, требующих лапаротомии (уровень доказательства - 2); данный метод в основном предназначен для быстрого и эффективного определения гемоперитонеума и имеет ограниченные возможности для диагностики повреждений кишки и диафрагмы, и фактически бесполезен для диагностики повреждений забрюшинно расположенных органов. [3].
Инструментальные исследования:
Первичная хирургическая обработка с ревизией раны - основной и наиболее информативный метод диагностики при открытых травмах живота. Позволяет установить проникающий характер ранения, определить тактику ведения пациента. Наличие дефекта брюшины, как правило, является показанием к широкой срединной лапаротомии.
Вульнерография - контрастная рентгенография раневого канала. При проникающем ранении контрастное вещество попадает в брюшную полость, растекаясь между петлями кишечника и вызывая болевые ощущения. При непроникающем ранении контраст в виде озера скапливается в мягких тканях. Отрицательные данные вульнерографии не позволяют абсолютно исключить проникающий характер ранения. Тем не менее, становится известным общее направление и длина раневого канала, что облегчает выполнение первичной хирургической обработки (при наличии показаний).
УЗИ - признаки наличия свободной жидкости в брюшной полости указывают на повреждение органов. Визуализируются подкапсульные и центральные гематомы паренхиматозных органов. Используется также для динамического наблюдения и решения вопроса о тактике ведения (тенденция к прорыву в брюшную полость).
УЗИ должно рассматриваться как первичный метод при ТТЖ для исключения гемоперитонеума, при негативном или неопределенном результате ДПЛ и КТ дополняющие друг друга методы (уровень доказательства - I, сила рекомендации - А) [5]. Противопоказание - нестабильная гемодинамика пациента.
КТ - диагностика повреждений паренхиматозных органов, аорты, очагов кровоизлияний в брюшной полости и забрюшинном пространстве. Использование рентгеноконтрастных веществ (в/в или внутрь) расширяет возможности КТ и позволяет одновременно визуализировать паренхиматозные и полые органы брюшной полости. Повреждения почек и забрюшинные гематомы выявляют с помощью КТ живота, которую нужно провести каждому больному с гематурией и стабильной гемодинамикой (Уровень рекомендации - C)[3]. Необходимость проведения ИВЛ пациенту не является противопоказанием к КТ. Противопоказание - нестабильная гемодинамика пациента. Когда имеется подозрение на повреждение печени/селезенки КТ позволяет исключить повреждения требующие экстренного оперативного вмешательства (Уровень рекомендации - В) [3]. КТ рекомендуется у гемодинамически стабильных пациентов с неоднозначными данными физикального осмотра, сочетанной неврологической травме или множественной экстраабдоминальной травме. При негативном результате КТ пациент госпитализируется для динамического наблюдения (уровень доказательства - I) [5]. КТ позволяет выбрать консервативную тактику ведения у пациентов с солидным характером повреждения внутренних органов (уровень доказательства - I) [5]. У гемодинамически стабильных пациентов ДПЛ и КТ являются дополняющими друг друга методами диагностики (уровень доказательства - I) [5]. КТ не может использоваться как единственный метод диагностики для исключения повреждений кишки, диафрагмы, поджелудочной железы (Уровень рекомендации - В) [3]. КТ БП достоверно идентифицирует гемоперитонеум у пациентов с ТТЖ (Уровень рекомендации - В)[3]. Пероральное введение контраста при КТне является обязательным при диагностике ТТЖ (Уровень рекомендации - В) [3].
Рентгенография брюшной полости с захватом диафрагмы - позволяет установить разрыв полого органа (свободный газ), жидкость в брюшной полости, переломы костей таза, позвоночника, повреждение диафрагмы. Свободный газ лучше всего выявляется при положении пострадавшего на левом боку и горизонтальном направлении рентгеновских лучей (латерографии). Свободная жидкость в брюшной полости выявляется в виде пристеночных лентовидных теней в латеральных каналах и расширении межпетлевых промежутков, особенно хорошо заметных на фоне пневматоза кишечника. Также признаками травмы являются: смещение газового пузыря желудка, измененное расположение кишечных петель, инородные тела. При переломах нижних ребер возможны повреждения печени, селезенки, почек.
Экскреторная урография - обязательна при нестабильной гемодинамике. Достаточно одного снимка через 5-10 мин после введения рентгеноконтрастного вещества. Контраст можно добавить к инфузируемым растворам. Если состояние больного позволяет, продолжают исследование, каждые 5 мин до полной визуализации почек, мочеточников и мочевого пузыря. При подозрении на сопутствующую черепно-мозговую травму экскреторную урографию следует отложить до проведения КТ головы, чтобы не исказить ее результаты.
Контрастная цистография - при переломах кистей таза необходимо исключать внутрибрюшинный и внебрюшинный разрывы мочевого пузыря.
Ангиография - для диагностики повреждений крупных сосудов. Исследование проводят также при подозрении на артериовенозный свищ или ложную аневризму артерий.
Лапароцентез «шарящим» катетером или диагностический перитонеальный лаваж - быстрый и эффективный метод. Позволяет обнаружить гемоперитонеум, содержимое полых органов, истекающих в брюшную полость при их повреждении (кишечное содержимое, желчь, моча). Для положительного результата этого теста достаточно получить 5-10 мл явной крови. В случае если жидкость не получена, в брюшную полость вводят 1 литр теплого физиологического раствора с последующим микроскопическим исследованием промывной жидкости (см. п.12.3). При использовании ДПЛ принятие тактического решения основывается на данных аспирации содержимого и микроскопическом анализе промывных вод (уровень доказательства - II) [5]. Противопоказан при резком вздутии живота, множественных послеоперационных рубцах передней брюшной стенки. При отсутствии опыта может привести к осложнениям (травме органов, сосудов) или ложному заключению.
Диагностическая лапароскопия позволяет визуально обследовать брюшную полость и оценить степень повреждений и тем самым окончательно решить вопрос о необходимости лапаротомии. Противопоказания: резкое вздутие живота, наличие множественных рубцов на передней брюшной стенке, крайне тяжелое состояние, обусловленное шоком, повреждением груди, головного мозга, а также при
Динамическое наблюдение (повторное УЗИ, либо КТ или ДПЛ) оправданно у гемодинамически стабильных пациентов с неопределенным результатом УЗИ (уровень доказательства - II) [5].
• консультация гинеколога: при выявлении или подозрении на травму наружных или внутренних половых органов у женщины;
• консультация реаниматолога: для определения показаний для лечения больного в условиях реанимационного отделения;
• консультация анестезиолога: для определения типа анестезия при оперативном вмешательстве, а также согласование тактики ведения предоперационного периода;
Техника операции при ранении тонкой кишки
Научно-исследовательский институт скорой помощи им. Н.В. Склифосовского, Москва
Хирургические доступы к забрюшинным органам и структурам при травме живота
Журнал: Хирургия. Журнал им. Н.И. Пирогова. 2015;(7): 75‑77
Представлено подробное описание с иллюстрациями трех хирургических доступов, которые авторы используют для ревизии забрюшинных органов и структур у пострадавших с закрытой травмой и ранением живота. Приведены клинические наблюдения успешного использования разработанных доступов.
По данным Федеральной службы государственной статистики травмы, отравления и другие последствия воздействия внешних причин устойчиво занимают второе место в структуре заболеваемости населения Российской Федерации (86,2—91,7 на 1000 человек), уступая только болезням органов дыхания. Травма живота имеет место примерно у 8% пострадавших и у 20—40% из них приводит к образованию забрюшинного кровоизлияния. Таким образом, актуальность проблемы диагностики и лечения травматических забрюшинных кровоизлияний не вызывает сомнений.
Причиной образования забрюшинного кровоизлияния может быть повреждение крупных кровеносных сосудов и жизненно важных органов: абдоминального отдела пищевода, двенадцатиперстной кишки (ДПК) и толстой кишки, поджелудочной железы, почек, надпочечников, мочеточников, мочевого пузыря, абдоминального отдела аорты и ее ветвей, нижней полой вены и ее притоков. Почти все исследователи [1, 2, 5, 6, 8, 10, 11, 13, 16, 17, 20] считают ревизию раневого канала в забрюшинном пространстве абсолютно необходимой. Ревизия забрюшинного кровоизлияния при закрытой травме имеет и сторонников [3, 7], и противников [18]. Большинство авторов [9, 12, 14, 15, 19, 21] пропагандируют дифференцированный подход к ревизии.
Методы ревизии органов и структур забрюшинного пространства (за исключением приема Кохера) малоизвестны практическим хирургам. Выполнить ревизию органов и структур, расположенных выше или на уровне корня брыжейки поперечной ободочной кишки, т. е. тела и хвоста поджелудочной железы (особенно по задней поверхности), аорты и ее ветвей, нижней полой вены и ее притоков не просто. Особенно важен адекватный оперативный доступ при ранении, когда ревизию раневого канала необходимо выполнить по всей его длине. Как правило, его рассечение производят в условиях ограниченного пространства, сложных топографоанатомических взаимоотношений и плохой визуализации структур на фоне забрюшинного кровоизлияния.
Мы используем три принципиально разных доступа в зависимости от локализации забрюшинного кровоизлияния.
1. Левосторонний доступ (прием Mattox [4]) применяем при локализации забрюшинного кровоизлияния слева от диафрагмы до корня брыжейки поперечной ободочной кишки. Этот доступ дает возможность выделить и осмотреть аорту от диафрагмы до инфраренального отдела, чревный ствол, верхнюю брыжеечную и левую почечную артерии, селезенку, хвост и тело поджелудочной железы, нисходящую ободочную кишку, селезеночную артерию, левую почку и левый мочеточник. Схема левостороннего доступа представлена на рис. 1 (см. и далее).

Рис. 1. Схема левостороннего доступа. 1 — чревный ствол, 2 — верхняя брыжеечная артерия, 3 — левая почечная артерия. Стрелка — направление смещения органов.
Производим тотальную срединную лапаротомию. Рассекаем париетальную брюшину на 1—2 см латеральнее и вдоль нисходящей ободочной кишки и пересекаем диафрагмально-ободочную связку (линия рассечения брюшины на рис. 2, а маркирована бриллиантовым зеленым). Тупым путем отделяем нисходящую ободочную кишку с питающими сосудами вместе с левой почкой, селезенкой, хвостом и частично телом поджелудочной железы в медиальном направлении (см. рис. 2, б). Мобилизацию названных выше органов продолжаем таким образом, чтобы вся забрюшинная клетчатка была отсепарована от мышц задней поверхности живота (см. рис. 2, в). После этого постепенным разделением забрюшинной клетчатки в нижней части разреза в медиальном направлении выделяем аорту в инфраренальном отделе. Затем, продолжая диссекцию краниально вдоль левой и передней стенок аорты, выделяем левую почечную и верхнюю брыжеечную артерии, чревный ствол (см. рис. 2, г). После разделения позадипочечной клетчатки полностью доступной осмотру становится левая почка и проксимальная часть левого мочеточника (см. рис. 2, д). Разделение парапанкреатической клетчатки позволяет осмотреть хвост и, частично, тело поджелудочной железы, а также дистальную часть селезеночной артерии (см. рис. 2, е). Осторожная мобилизация заднелевой стенки брюшного отдела аорты позволяет выделить поясничные артерии. При таком доступе также доступны осмотру поясничная часть диафрагмы и мышцы задней брюшной стенки.

Рис. 2. Аутопсийные фотографии. Этапы выполнения левостороннего доступа (объяснение в тексте).
2. Правосторонний доступ (рис. 3) сочетает одновременное выполнение приема Кохера и мобилизации правой половины ободочной кишки. Применяем его при локализации забрюшинного кровоизлияния справа от диафрагмы до корня брыжейки тонкой кишки. Этот прием делает доступным осмотру нижнюю полую вену от инфрагепатического отдела до подвздошных вен, правую почку и мочеточник, восходящую ободочную кишку, верхнегоризонтальную, нисходящую и частично нижнегоризонтальную часть ДПК, правую почечную и подвздошную артерию.

Рис. 3. Схема правостороннего доступа. Стрелки — направление смещения органов.
Производим верхнесредне-срединную лапаротомию. Рассекаем париетальную брюшину на 1—2 см латеральнее и вдоль восходящей ободочной кишки до уровня ее правого изгиба, затем разрез продлеваем краниально вдоль нисходящей части ДПК (прием Кохера). Восходящую ободочную кишку и ДПК с головкой поджелудочной железы в едином блоке отводим медиально так, чтобы диссекция тканей проходила во фронтальной плоскости кпереди от правой почки и почечных сосудов. Таким образом, верхнегоризонтальную, нисходящую и частично нижнегоризонтальную части ДПК, головку поджелудочной железы, восходящую ободочную кишку с питающими сосудами отводим медиально и кпереди. При этом становятся доступными осмотру не только перечисленные выше органы, но и нижняя полая вена от инфрагепатического отдела до подвздошных вен, обе почечные вены, правая почка и мочеточник, правая общая подвздошная артерия (рис. 4).

Рис. 4. Аутопсийные фотографии. а — правосторонний доступ. Пунктиром обозначена линия разреза брюшины вдоль восходящей ободочной кишки, красная стрелка — слепая кишка, черная стрелка — восходящая ободочная кишка, синяя стрелка — двенадцатиперстная кишка; б — вид операционного поля после выполнения доступа.
3. Нижний доступ (рис. 5) применяем при локализации забрюшинного кровоизлияния в области тела поджелудочной железы, корня брыжейки поперечной ободочной и тонкой кишки. Этот доступ позволяет визуализировать нисходящую, нижнегоризонтальную, восходящую части ДПК. Также оказываются доступными осмотру и оперативному приему передняя и задняя поверхности головки и тела поджелудочной железы, аорта от устьев почечных артерий и нижняя полая вена.

Рис. 5. Схема нижнего доступа. а — начало, б — окончание.
После верхнесредне-срединной лапаротомии рассекаем париетальную брюшину на 1—2 см латеральнее слепой и восходящей ободочной кишок и параллельно им (рис. 6, а). Затем разрезом париетальной брюшины огибаем снизу слепую кишку и продолжаем его краниально и влево вдоль корня брыжейки тонкой кишки (см. рис. 6, б). Начиная со слепой кишки, отслаиваем ее и восходящую ободочную кишку с питающими их сосудами в медиальном и краниальном направлениях, а также брыжейку тонкой кишки (краниально). Последовательно отделяем всю нижнегоризонтальную и восходящую части ДПК, головку и тело поджелудочной железы, нисходящую и верхнегоризонтальную части ДПК от задней стенки живота (см. рис. 6, в). Перечисленные выше органы отводим также краниально. Затем отделяем переднюю стенку нисходящей части ДПК от корня брыжейки поперечной ободочной кишки (см. рис. 6, г).

Рис. 6. Аутопсийные фотографии. Этапы выполнения нижнего доступа (объяснение в тексте).
Среди 166 пострадавших с проникающими колото-резаными ранениями живота, поступивших в Институт скорой помощи им. Н.В. Склифосовского, технические трудности отмечены у 3 (5,9%) из 51 пострадавшего с левосторонним латеральным забрюшинным кровоизлиянием, у 3 (7,7%) из 39 с нижнемедиальным, у 1 (8,3%) из 12 с верхнемедиальным, у 4 (10,8%) из 37 с правосторонним латеральным, у 1 (14,3%) из 7 с тазовым, у 4 (23,5%) из 17 с распространенным кровоизлиянием. Применение представленных доступов позволило выполнить полноценную ревизию, обнаружив все повреждения.
Приводим клинические наблюдения.
Больной Т., 28 лет, доставлен через 2 ч после травмы. При поступлении состояние средней тяжести. Вентиляционных и гемодинамических расстройств нет. Живот болезненный в левой половине, перитонеальные симптомы не определяются. Колото-резаная рана размером 30×8 мм в левой боковой области живота. При УЗИ обнаружены признаки большого левостороннего забрюшинного кровоизлияния.
Под эндотрахеальным наркозом выполнена верхнесредне-срединная лапаротомия. В брюшной полости крови нет. Через брюшину в области левого брыжеечного синуса просвечивает кровоизлияние с пропитыванием (рис. 7, а).

Рис. 7. Операционные фотографии. а — левостороннее латеральное забрюшинное кровоизлияние; б — вид после левостороннего доступа, гематома левой большой поясничной мышцы; в — рана большой поясничной мышцы.
Больная С., 30 лет, доставлена через 1,5 ч после травмы с клинико-инструментальной картиной наружного и внутрибрюшного кровотечения, причиной которого были множественные колото-резаные раны груди, правой поясничной области и конечностей. При катетеризации мочевого пузыря отмечена макрогематурия.
Под эндотрахеальным наркозом выполнена верхнесрединная лапаротомия. В брюшной полости 100 мл крови. Обнаружена рана бокового ската правой половины диафрагмы и рана сегмента VII печени, рана бокового ската левой половины диафрагмы и рана желудочно-ободочной связки, размер всех ран 10×2 мм. Визуализировано правостороннее забрюшинное паранефральное кровоизлияние с образованием свертков и переходом на парадуоденальную, параколическую и парапанкреатическую (кпереди от головки и перешейка поджелудочной железы) клетчатку. Раны печени и обеих половин диафрагмы ушиты. Выполнен правосторонний доступ, обнаружена сквозная рана нижнего полюса правой почки размером 10×3 мм, проходящая через нижнюю чашечку, и рана наружной стенки нисходящей части ДПК размером 3×1 мм с подтеканием желчи. При ревизии парапанкреатического кровоизлияния повреждения органов и сосудов не обнаружено. Выполнена правосторонняя нефрэктомия. Рана ДПК ушита двухрядными отдельными швами нитью PGA 4/0 и лаваном 2/0 на атравматической игле. Операция закончена дренированиием брюшной полости и ушиванием лапаротомной раны.
Несмотря на проведение антиферментной терапии (октреотид 900 мг/сут), течение послеоперационного периода осложнилось развитием травматического панкреатита, парапанкреатического инфильтрата. Больная выписана после проведения курса консервативной терапии, которая привела к резорбции инфильтрата.
Больной К., 18 лет, доставлен через 1 ч после травмы с признаками внутрибрюшного кровотечения. Колото-резаная рана размером 15×5 мм находилась справа в мезогастральной области.
Под эндотрахеальным наркозом выполнена верхнесрединная лапаротомия. В брюшной полости 900 мл крови и сгустков. При ревизии выявлена сквозная рана поперечной ободочной кишки размером 3×2 мм, рана брыжейки поперечной ободочной кишки, две сквозные раны тонкой кишки размером 2×2 мм на расстоянии 2 м от связки Трейтца, дистальнее на 10 см две сквозные раны брыжейки тонкой кишки размером 2×2 мм. При дальнейшей ревизии обнаружено массивное забрюшинное кровоизлияние с образованием свертков, распространяющееся от нижнегоризонтальной ветви ДПК до малого таза. Произведена ревизия структур забрюшинного пространства с использованием нижнего доступа. Выявлены рана передней стенки нижней полой вены размером 2×1 мм, отсечение правой яичковой вены в месте ее впадения в нижнюю полую вену, а также сквозная рана нижнегоризонтальной части ДПК размером 2×2 мм. Раны нижней полой вены ушиты нитью Prolene 4/0. Достигнут гемостаз. Выполнено поэтапное ушивание ран ДПК, тонкой и ободочной кишки, ушивание ран брыжейки ободочной и тонкой кишки. Операция закончена назоинтестинальной интубацией и дренированием брюшной полости. Течение послеоперационного периода без осложнений.
Таким образом, использование разработанных универсальных доступов позволяет выполнить полноценную ревизию забрюшинных органов и структур в сложных топографоанатомических условиях и при наличии забрюшинного кровоизлияния различной локализации и распространения.
Читайте также:
