Техника операций на клиновидной пазухе при сфеноидите
Добавил пользователь Евгений Кузнецов Обновлено: 02.02.2026
Поликлиника №1 Управления делами Президента РФ, Москва, Россия
НИИ нейрохирургии им. акад. Н.Н. Бурденко РАМН, Москва
ФНКЦ «ДГОИ им. Дмитрия Рогачева», Москва, Россия
Эндоскопическая диссекция околоносовых пазух: шаг за шагом. Часть 3. Доступ к клиновидной пазухе: последовательность действий
Журнал: Российская ринология. 2018;26(3): 60‑64
Эндоскопическая хирургия околоносовых пазух и переднего основания черепа интенсивно развивается в последние десятилетия. Для ее освоения необходимы знание эмбриогенеза решетчатой кости и изучение анатомии на секционном материале, что является ключом к успешному хирургическому лечению патологии данной области. В отечественной литературе отсутствуют атласы и руководства, освещающие анатомию решетчатой кости с точки зрения эндоскопической ринохирургии. В то же время понимание формирования основных анатомических ориентиров в процессе эмбриогенеза, визуальное восприятие и трехмерное воображение позволяют безошибочно ориентироваться в решетчатом лабиринте даже при нарушении нормальной анатомии патологическим процессом. Мы постарались создать руководство по диссекции решетчатой кости, которое поможет ринохирургу ориентироваться в данном анатомическом регионе, чему способствует большое количество эндофотографий, а также раскроет некоторые тонкости и хитрости для практикующих ринологов.

Ошибочным является положение о том, что клиновидная пазуха всегда находится за самой задней (сфеноэтмоидальной) клеткой решетчатого лабиринта. При выраженной пневматизации околоносовых пазух задняя клетка решетчатого лабиринта с проходящим на ее латеральной стенке зрительным нервом, как правило, располагается латеральнее и выше клиновидной пазухи. Учитывая это, при трансэтмоидальном доступе к клиновидной пазухе необходимо правильно выбрать место перфорации ее передней стенки (рис. 1). Рис. 1. Левая половина полости носа, анатомический препарат, эндоскоп 0º. Вид задней (сфеноэтмоидальной) клетки решетчатого лабиринта. Канал зрительного нерва на латеральной стенке обозначен синей стрелкой. На задней стенке клетки книзу от зрительного нерва всегда находится канал внутренней сонной артерии. Клиновидная пазуха в таком случае будет располагаться медиальнее и книзу; ее тонкая костная стенка в нижнемедиальном углу указана красной стрелкой. LP — бумажная пластинка (lamina papyracea). The view of the posterior (sphenoethmoidal) cell of the ethmoidal labyrinth. The blue arrow indicates the canal of the optic nerve on the lateral wall. The canal of the internal carotid artery is located beneath the optic nerve canal at the posterior wall. In such case, the sphenoidal sinus is located medially and downword — its thin bone wall in the inferomedial corner is indicated by the red arrow. Lamina papyracea (LP).

Прободение удобнее производить острой ложкой, загнутая рабочая часть которой поможет избежать ранения внутренней сонной артерии. Место вскрытия клиновидной пазухи — нижнемедиальный отдел задней клетки решетчатого лабиринта: сразу за костной перемычкой книзу от канала зрительного нерва часто расположен канал внутренней сонной артерии (ее наиболее выступающий в клиновидную пазуху отдел — сифон, или переднее колено). Костные перемычки между клиновидными пазухами, а также между сфеноэтмоидальной клеткой и клиновидной пазухой нередко указывают (рис. 2, 3) Рис. 2. На аксиальной томограмме околоносовых пазух каналы внутренних сонных артерий указаны красными стрелками. на присутствие канала внутренней сонной артерии [1].

Рис. 3. Левая половина полости носа, анатомический препарат, эндоскоп 0º. Эндофотография наглядно иллюстрирует, к чему могут привести представления о том, что клиновидная пазуха (sinus sphenoidalis — SS) располагается сразу за задней клеткой решетчатого лабиринта (в данном случае сфеноэтмоидальная — CO). При продвижении инструмента в сагиттальном направлении он чаще всего упирается в канал внутренней сонной артерии (отмечен красной стрелкой). Синей стрелкой обозначен канал зрительного нерва. This endophotograph clearly demonstrates the possible consequences of the opinion that the sphenoidalsinus (sinus sphenoidalis, SS) is localized immediately behind the posterior cell of the ethmoidal labyrinth (in the present case, spheno-ethmoidal, SE). As the instrument is driven in the sagittal direction, it most frequently «bumps» against the canal of the internal carotid artery (shown by the red arrow). The blue arrow indicates the optic nerve canal.
Толщина его стенок тоже весьма вариабельна — возможны дегисценции [2]. Ввиду этого у пациентов с подозрением на воспалительный процесс в клиновидной пазухе при наличии гомогенного тотального снижения пневматизации пазухи по данным компьютерной томографии следует обратить внимание на присутствие черепно-мозговых травм в анамнезе. При недиагностированной посттравматической аневризме внутренней сонной артерии последствия операции на клиновидной пазухе могут быть катастрофическими [3].

Наиболее простым и относительно безопасным является парасептальный доступ — именно с него рекомендуется начинать освоение хирургических вмешательств на клиновидной пазухе. Для этого необходимо ввести эндоскоп в верхний носовой ход и затем аккуратно сместить элеватором среднюю и верхнюю носовые раковины в целях визуализации естественного соустья клиновидной пазухи (рис. 4). Рис. 4. Левая половина полости носа, анатомический препарат, эндоскоп 0º. Парасептальный доступ к клиновидной пазухе начинают с латеропозиции средней носовой раковины (сoncha nasalis media — CM). Соустье клиновидной пазухи (отмечено красной стрелкой) находится на 10—15 мм выше костного края хоаны (сhoana — С). SN — перегородка носа (septum nasi). The paraseptal approach to the sphenoidal sinus begins from the lateral positioning of the middle turbinated bone (concha nasalis media, CM). Anastomosis of the sphenoidal sinus (indicated by the red arrow) is localized 10—15 mm above the bony edge of the choana (choana, С). The nasal septum (septum nasi, SN). При измененных анатомических соотношениях либо патологическом процессе в сфеноэтмоидальном кармане визуальная идентификация соустья может быть затруднительной. В такой ситуации соустье клиновидной пазухи, которое обычно располагается на 10—15 мм выше верхнего края хоаны, между перегородкой носа и верхней носовой раковиной на границе ее нижней и средней третей, определяется путем пальпации пуговчатым зондом или кюреткой.
Перед тем как приступить к расширению соустья клиновидной пазухи, необходимо приблизить к нему эндоскоп и убедиться в правильном нахождении инструментов. Не следует производить никаких манипуляций в полости клиновидной пазухи, пока не выполнен достаточный и удобный доступ. При осуществляемых вслепую в клиновидной пазухе манипуляциях, осложнившихся развитием интраоперационного кровотечения, на выполнение надлежащего доступа может не хватить времени (рис. 5, 6). Рис. 6. Тот же препарат, то же положение кюретки. Эндоскопическая фотография 30º оптикой после расширения естественного соустья клиновидной пазухи. Ложка указывает на параселлярную часть (сифон) внутренней сонной артерии. ST — турецкое седло (sella turcica), CС — углубление ската. The spoon indicates the paracellular part (siphon) of the internal carotid artery. Turkish saddle (sella turcica, ST). CS — deepening of the sphenoidal bone clivus groove. Рис. 5. Левая половина полости носа, анатомический препарат, эндоскоп 0º. Введенная через нерасширенное соустье клиновидной пазухи кюретка упирается в костный канал внутренней сонной артерии. The curette introduced through the unexpanded anastomosis of the sphenoidal sinus «bumps» against the bony canal of the internal carotid artery.
Расширять естественное соустье клиновидной пазухи удобнее циркулярным (грибовидным) выкусывателем Stammberger (изначально он был разработан именно для этих целей — sphenoid punch), резецируя нижний и медиальный края соустья. Следует помнить, что на 4—7 мм книзу от естественного соустья клиновидной пазухи проходят задние септальные ветви клиновидно-небной артерии (рис. 7). Рис. 7. Правая половина полости носа, силиконизированный анатомический препарат, эндоскоп 0º. Красными стрелками отмечены задние септальные ветви клиновидно-небной артерии, проходящие книзу от естественного соустья клиновидной пазухи (sinus sphenoidalis — SS) из области клиновидно-небного отверстия и кровоснабжающие перегородку носа (septum nasi — SN). Верхняя носовая раковина (сoncha nasalis superior — CS) латерализована элеватором. CM — средняя носовая раковина (сoncha nasalis media), C — верхний край хоаны (choana). Red arrows indicate the posterior septal branches of the spheno-palatine artery passing beneath the natural anastomosis of the sphenoidal sinus (sinus sphenoidalis, SS) from the region of the spheno-palatine foramen and carrying blood to the nasal septum (septum nasi, SN). The upper turbinated bone (concha nasalis superior, CS) lateralized with the use of an elevator. The middle turbinated bone (Concha nasalis media, CM). The upper edge of the choana (choana, C). Ввиду этого при расширении соустья книзу возможно развитие кровотечения, требующего коагуляции. В некоторых случаях при парасептальном доступе может потребоваться резекция верхней носовой раковины для создания более широкого доступа к клиновидной пазухе (рис. 8). Рис. 8. Правая половина полости носа, силиконизированный анатомический препарат, эндоскоп 0º. Для профилактики синехий в клиновидно-решетчатом углублении после сфенотомии в некоторых случаях рекомендуется резецировать верхнюю носовую раковину (сoncha nasalis superior — CS). Средняя носовая раковина (сoncha nasalis media — CM) латерализована элеватором. SN — перегородка носа (septum nasi), S — клиновидная пазуха (sinus sphenoidalis), С — хоана (choana). In certain cases, resection of the upper turbinated bone (concha nasalis superior, CS) is recommended to prevent formation of synechia in the spheno-ethmoidal recess following sphenotomy. The middle turbinated bone (concha nasalis media, CM) is lateralized with the use of an elevator. The nasal septum (septum nasi, SN); sphenoidal sinus (sinus sphenoidalis, S); choana (choana, S).
Вариант строения задних отделов решетчатого лабиринта и клиновидной пазухи представлен на другом анатомическом препарате (рис. 9—12). Рис. 10. Правая половина полости носа, анатомический препарат, эндоскоп 0º. Перфорация перегородки между сфеноэтмоидальной клеткой (СО) и клиновидной пазухой (sinus sphenoidalis — S) производится острой ложкой. NO — зрительный нерв (nervus opticus). Perforation of the septum between the spheno-ethmoidal cell (SC) and the sphenoidal sinus (sinus sphenoidalis, S) is performed with the use of a sharp spoon. Optic nerve (nervus opticus, NO). Рис. 11. Правая половина полости носа, анатомический препарат, эндоскоп 0º. После удаления костной перегородки между сфеноэтмоидальной клеткой (СО) и клиновидной пазухой (sinus sphenoidalis — S) визуализируется канал внутренней сонной артерии (указан стрелкой). The canal of the internal carotid artery is visualized following the removal of the bony bridge between the spheno-ethmoidal cell (SC) and the sphenoidal sinus (sinus sphenoidalis, SS). Рис. 12. Правая половина полости носа, анатомический препарат, эндоскоп 0º. Продолжение диссекции в сагиттальной плоскости и удаление костной перемычки на задней стенке сфеноэтмоидальной клетки (СО) при транс этмоидальном доступе к клиновидной пазухе приводят к вскрытию канала и ранению внутренней сонной артерии (отмечена красной стрелкой). NO — канал зрительного нерва (nervus opticus), S — клиновидная пазуха (sinus sphenoidalis), CO — клетка Оноди (cellula Onodi). Continuation of the dissection of in the sagittal plane and the removal of the bridge at the posterior wall of the spheno-ethmoidal cell in the trans-ethmoidal approach to the sphenoidal sinus result in the opening of the canal and the injury to the internal carotid artery (indicated by the red arrow). The canal of the optic nerve (nervus opticus, NO), sphenoidal sinus (sinus sphenoidalis, S), Onodi cell (cellula Onodi, CO). Рис. 9. Правая половина полости носа, анатомический препарат, эндоскоп 0º. Fig. 9. The right half of the nasal cavity, the anatomical specimen, 0 degree endoscope. Сфеноэтмоидальная клетка решетчатого лабиринта (клетка Оноди). Ложка указывает на канал зрительного нерва (nervus opticus — NO), расположенный на латеральной стенке клетки. Нижнемедиальный отдел клетки представлен полупрозрачной голубоватой костной стенкой, отделяющей сфеноэтмоидальную клетку от клиновидной пазухи (sinus sphenoidalis — S). Стрелками отмечен канал задней решетчатой артерии. The posterior cell of the ethmoidal labyrinth (the Onodi cell). The spoon indicates the optic nerve canal (nervus opticus, NO), located at its lateral wall. The Infero-medial part of the cell is represented by the semi-transparent blueish bone wall separating the spheno-ethmoidal cell from the sphenoidal sinus (sinus sphenoidalis, S). The arrows indicate the canal of the posterior ethmoid artery.
Строение межпазушной перегородки в клиновидной пазухе очень вариабельно, и она практически никогда не делит пазуху на две равные части [4]. Толщина костной перегородки при этом бывает весьма внушительной, отчего следует избегать ее грубого «выламывания» щипцами: линия перелома может перейти на соседние стенки. В реальной интраоперационной ситуации этого делать не рекомендуется. Целесообразнее при двустороннем патологическом процессе произвести вскрытие клиновидной пазухи с другой стороны одним из известных способов, не нарушая целостности межпазушной перегородки.
В реальной клинической ситуации удаление костной балки в области оптико-каротидного углубления опасно и бессмысленно. Толщина костных перемычек в данной области часто превышает толщину кости канала внутренней сонной артерии, и при их удалении (особенно тупым инструментом) линия перелома может перейти на канал артерии (см. рис. 11, 12). Более того, смещение костного отломка способно ранить адвентицию сонной артерии, что может привести к фатальному кровотечению или развитию посттравматической псевдоаневризмы [5].
Доктор Кочетков П.А.
Что такое сфеноидит?![Сфеноидит]()
Сфеноидит - это воспаление слизистой оболочки клиновидной пазухи. По сути сфеноидит относится к синуситам, под которыми понимают воспалительный процесс в околоносовых пазухах. Как известно, у человека несколько пазух. Клиновидная (ее иногда называют основной) располагается глубоко в полости носа и граничит с такими важными образованиями, как сонные артерии, основание черепа, гипофиз, глазные нервы. Можно легко догадаться, что такое «соседство» может приводить к серьезным осложнениям определенных форм сфеноидита. К счастью, чаще у человека поражаются верхнечелюстные пазухи и решетчатый лабиринт (гайморит, этмоидит). Сфеноидит встречается гораздо реже. С другой стороны, при небольшой распространенности большая часть сфеноидитов являются хроническими, плохо поддаются лечению медикаментами и требуют хирургического лечения. У человека две клиновидных пазухи разделенных перегородкой, соответственно заболевание может быть одно или двусторонним.
Причины сфеноидита
Сфеноидит развивается вследствие поражения слизистой оболочки бактериями, вирусами или грибковой инфекцией. По сути, любое ОРЗ или грипп вызывают воспаление во всех околоносовых пазухах, не исключая клиновидную. Однако такие состояния обычно проходят быстро. Для развития бактериального сфеноидита нужны определенные условия или предрасполагающие факторы.
Основными из них являются:
- Узость или полное отсутствие выводного отверстия клиновидной пазухи (соустья)
- Наличие кисты или полипа в клиновидной пазухе, блокирующей соустье
- Выраженные искривления носовой перегородки в заднее-верхнем ее отделе, что также способствует недостаточной проходимости соустья пазухи.
- Попадание в пазуху инородных тел при резком вдохе, что встречается при наличии у пазухи очень большого соустья.
- Дополнительные бухты или перегородки в клиновидной пазухе
- Небольшой и узкий размер клиновидной пазухи.
- Опухоли клиновидной пазухи
Чаще на практике специалисты сталкиваются с сочетанием одной или более описанных причин возникновения сфеноидита. Их устранение в подавляющем количестве случаев сфеноидита приводит к выздоровлению.
Как проявляется сфеноидит
В большинстве случаев, сфеноидит проявляется определенными симптомами, но возможно и длительное течение болезни без жалоб пациента.
Основные жалобы следующие:
- Головная боль, но чаще у пациента болит не вся голова, а затылок. Боль, как правило, не сильная, а ноющая и постоянная. Боль практически не проходит при приеме обезболивающих препаратов.
- Гнойные или слизистые выделения по задней стенке глотки. Пациент постоянно ощущает дискомфорт в глубине носа или носоглотке.
- Нарушения зрения в виде небольшого двоения в глазах или снижения зрения.
Боль в затылке является симптомом весьма ограниченного числа заболеваний, поэтому квалифицированный отоларинголог точно ставит диагноз сфеноидита. Часто такие пациенты направляются к ЛОР-врачу другими специалистами - офтальмологами, невропатологами и др. Лично мне доводилось оперировать нескольких пациентов, которые страдали головной болью и безуспешно лечили ее у невропатологов более 10 лет, а на самом деле страдали сфеноидитом. В этой связи я хотел бы подчеркнуть, что при обычном осмотре, особенно если у пациента болит «вся голова» а не затылок, диагноз сфеноидита поставить не просто. Проведение рентгена пазух для диагностики сфеноидита является малоинформативным методом. Огромное значение имеет компьютерная томография околоносовых пазух. Данное исследование со 100% точностью позволяет оценить состояние всех пазух носа и подтвердить или отвергнуть диагноз сфеноидита. Поэтому, это исследование должно проводиться всем пациентам со стойкой головной болью. Магнитно-резонансная томография (МРТ) также дает представление о состоянии пазух носа, но менее информативна по сравнению с компьютерной томографией.
Лечение сфеноидита
В случае острого сфеноидита, который встречается реже, для лечения используются антибиотики, сосудосуживающие спреи для носа и другие методы. Если лечение назначено вовремя - пациент выздоравливает. Но как было уже отмечено, клиновидная пазуха поражается редко, а если это произошло - значит есть причина, способствующая этому и стимулирующая развитие хронического процесса.
При хроническом процессе или повторяющихся острых сфеноидитах требуется хирургическое лечение, эндоскопическая операция, направленная на устранение основных причин возникновения воспаления в клиновидной пазухе. Возможно, прочитав о расположении клиновидной пазухи и граничащих с ней образований вы можете представить себе, что такие операции травматичны, очень сложны и имеют массу осложнений. На самом деле это не так.
Современные технические возможности позволяют провести операцию при помощи эндоскопов и микроинструментов. Эндоскопическая хирургия является самым оптимальным методом хирургического лечения сфеноидита и это доказано на практике. Лично у меня подобная эндоскопическая операция занимает не более 15 минут. Выполняется она в большинстве случаев под местной анестезией, но возможна и под наркозом. Эндоскопия позволяет хирургу практически беспрепятственно подойти к соустью клиновидной пазухи, при необходимости расширить его и произвести необходимые манипуляции в самой пазухе. Часто сфеноидит сочетается с искривлением носовой перегородки. В этом случае коррекция искривления проводится одномоментно. После операции пациента наблюдают в стационаре 1-2 дня, проводят туалет полости носа и другие необходимые процедуры.
Прогноз
При своевременно выполненном медикаментозном или хирургическом лечении, пациент, страдавший сфеноидитом, выздоравливает. Рецидивы бывают редко.
Надеюсь, что данная моя публикация поможет как пациентам, так и специалистам в диагностике и правильном лечении острого или хронического сфеноидита. Если вы страдаете подобным заболеванием то можете обратиться к автору. См. раздел КОНТАКТЫ
ЛОР-хирург, кандидат медицинских наук,
Заведующий хирургическим ЛОР-отделением клиники болезней уха, горла и носа
Первый МГМУ им И.М. Сеченова
Петр Александрович Кочетков
Киста околоносовой пазухи ну или пазухи носа. Как и что с этим делать? Беседуем на телеканале НТВ в передаче «Доктор Свет», ведущий - Алексей Свет
Беседуем об искривлении носовой перегородки. в передаче «Доктор Свет» на НТВ, ведущий - Алексей Свет
Инородные тела околоносовых пазух. в передаче «Доктор Свет» на НТВ, ведущий - Алексей Свет
Сюжет канала НТВ о нашей клинике болезней уха, горла и носа Сеченовского университета и новых хирургических технологиях
Техника операций на клиновидной пазухе при сфеноидите
Республиканский госпиталь МВД Республики Беларусь, Минск
Методы хирургического лечения хронического сфеноидита и этмоидита
Цель исследования - разработка инструментов для повышения безопасности хирургического лечения хронического сфеноидита и этмоидита. Предложенные автором инструменты для эндоназальных операций на клиновидных пазухах и задних клетках решетчатого лабиринта позволяют выполнить операцию быстро, качественно и с минимальным риском повреждения жизненно важных анатомических образований. С использованием предложенных инструментов прооперированно 120 больных, при этом каких-либо осложнений не отмечено. Отдаленные результаты в течение 3 лет прослежены у 98 пациентов, рецидив отмечен у 5 (5,2%) человек, в то время как у 38 больных, оперированных традиционным методом, рецидив в течение этого срока наблюдался в 24,2% случаев. Сделан вывод, что предложенные автором методы операции на клиновидной пазухе и задних клетках решетчатого лабиринта позволяют повысить эффективность и безопасность оперативного лечения сфеноидита и этмоидита.
Одной из особенностей течения хронического сфеноидита и этмоидита является его латентное течение, при котором воспалительный процесс в пораженных околоносовых пазухах (ОНП) не сопровождается выраженной клинической симптоматикой [1—6].
С.А. Проскуряков [7] при гистологическом исследовании слизистой оболочки клиновидной пазухи нашел патологические изменения в 14% секционного материала, М.Д. Кажлаев [8] — в 20,2% случаев. Л.В. Нейман [9] обнаружил сфеноидит при аутопсии в 20—30%, а клинически сфеноидит выявлялся лишь в 1—2% случаев.
Л.Г. Сватко и С.Б. Мосихин [5], проведя секционные исследования 50 трупов (100 клиновидных пазух), выявили хроническое воспаление в 39 пазухах, И.В. Ткачук [6] на 42 трупах выявил при аутопсии в 15 (35,7%) случаях поражение клиновидных пазух, не диагностированное при жизни больного.
Многие авторы полагают, что во всех случаях хронического полисинусита почти всегда в процесс вовлекаются клетки решетчатого лабиринта. Решетчатый лабиринт, находясь в центре ОНП, контактирует первым с инфекционными и другими агентами и является теми воротами, которые открывают путь для развития полисинусита [3, 7, 10—12]. По мнению ряда авторов [9, 13—15], все ОНП являются частями решетчатой кости, ее наиболее развитыми клетками. В частности, описан фронтоэтмоидомаксилярный канал, через который лобная пазуха сообщается с верхнечелюстной через клетки решетчатого лабиринта, минуя полость носа [6, 13, 15, 16]. Имеется тесная связь задних клеток решетчатого лабиринта с клиновидной пазухой [10, 17]. Поэтому многие авторы отмечают, что решетчатый лабиринт по частоте поражения стоит на первом месте, об этом же свидетельствуют данные патологоанатомических вскрытий [ 5—9, 14, 18].
Не диагностированные своевременно хронический латентный сфеноидит и этмоидосфеноидит зачастую приводят к грозным осложнениям, таким как менингит, менингоэнцефалит, оптохиазмальный арахноидит, ретробульбарный неврит [1, 13, 16, 17, 19]. Лечение этих заболеваний только хирургическое. Однако последнее связано с определенным риском повреждения жизненно важных органов, окружающих клиновидные пазухи (гипофиз, внутренняя сонная артерия, кавернозный синус, I, II, IV, VI черепные нервы, глазница, зрительный нерв и т.д.). При манипуляциях в глубоких отделах полости носа стандартными инструментами (стамеской, кюреткой, ложкой, щипцами, фрезой) всегда имеется опасность травмирования стенок ОНП, здоровой ткани, при этом возможно сильное кровотечение, ликворея.
Несмотря на технический прогресс, хирургическое лечение хронического сфеноидита, этмоидита в настоящее время является сложной проблемой [1, 2, 11, 17, 19, 20—22].
Успех хирургического лечения заболеваний клиновидных пазух и решетчатого лабиринта во многом зависит от того, насколько удается безопасно создать и сохранить широкое трепанационное отверстие в передней стенке пазухи и от достаточного объема вскрытия пораженных этмоидальных клеток. Многие ринохирурги отмечают, что трепанационное отверстие имеет тенденцию к зарастанию, что ведет к рецидиву заболевания, и рекомендуют при операции максимально резецировать переднюю стенку и даже часть нижней [1, 16—20, 22, 23].
Резекция передней стенки клиновидной пазухи связана с определенными трудностями, которые обусловлены глубоким расположением пазухи, узостью подхода к ней, плохим обзором операционного поля, риском повреждения прилежащих к клиновидной пазухе жизненно важных образований.
Цель настоящего исследования — разработка инструментов для повышения безопасности хирургического лечения хронического сфеноидита и этмоидита.
Материал и методы

Для вскрытия клиновидной пазухи нами предложен инструмент (рис. 1, а, б), Рисунок 1. Инструмент (фреза с упорной планкой) для эндоназальных операций на клиновидных пазухах. а — общий вид; б — схема выполнения операций на клиновидной пазухе фрезой с упорной планкой. 1 — фреза; 2 — упорная планка; 3 — раздвижная ручка; 4 — захват для подсоединения электромотора; 5 — ручка для вращения фрезы; 6 — захват электромотора; 7 — верхняя часть трепанационного отверстия; 8 — нижняя часть трепанационного отверстия; 9 — размеры трепанационного отверстия; 10 — трепанационное отверстие; 11 — схема расширения трепанационного отверстия. который состоит из фрезы и упорной планки для фиксации вращающейся фрезы в операционном поле [19]. Фрезировальное устройство для эндоназального вскрытия клиновидной пазухи (патент на изобретение РБ №1254, 2004) состоит из фрезы на длинном цевье (1) и упорной планки (2). Упорная планка в проксимальном конце переходит в рукоятку (3) и подвижно соединяется с цевьем фрезы (4) осью (в виде двухплечного рычага). Фрезу можно вращать ручкой (5) и электромотором (6). Изготовлено несколько вариантов инструмента, которые отличаются размерами диаметра фрезы.
Операция с помощью данного инструмента осуществляется следующим образом (рис. 1, б). Вначале обеспечивается доступ к передней стенке пазухи (удаление полипов, устранение искривления перегородки носа, частичная резекция средней носовой раковины и др.). Визуально или эндоскопически с помощью зонда определяется место нахождения естественного отверстия клиновидной пазухи, через которое вводится на глубину 5—7 мм головка фрезы вместе с прилегающим к головке дистальным концом раздвижного упора. Общий диаметр рабочей части данного инструмента около 4—5 мм, благодаря этому инструмент легко продвигается до передней стенки клиновидной пазухи, отодвигая латерально среднюю носовую раковину, и проваливается в клиновидную пазуху без всяких дополнительных хирургических вмешательств. Но иногда приходится отодвигать среднюю носовую раковину носовым зеркалом с удлиненными браншами или частично ее резецировать, удалять шип или гребень носовой перегородки. Диаметр отверстия клиновидной пазухи меньше диаметра головки фрезы (вместе с прилегающим к ней раздвижным упором). Тем не менее введение инструмента в естественное отверстие не вызывает затруднений. Дело в том, что передняя стенка клиновидной пазухи в области ее естественного отверстия образована очень тонкой костью и дополняющей кость дубликатурой слизистой оболочки. Слизистая оболочка и очень тонкая кость в большинстве случаев не мешает введению инструментов в клиновидную пазуху. В отдельных случаях, когда ввести инструмент в естественное отверстие пазухи не удавалось, мы расширяли это отверстие специально изготовленными распатором или фрезой микродебридера на длинной ручке.
В естественное отверстие вводят на глубину 4—7 мм рабочую часть инструмента — фрезу (1) вместе с прилегающим к фрезе защитной планкой (2) с упором на дистальном конце (7). После введения инструмента в естественное отверстие клиновидной пазухи ладонью сжимают рукоятку (3), что приближает упор (7) к кости отверстия, и фиксируют упорную площадку и фрезу в анатомически расширенном отверстии. Одновременно при помощи привода (6) вызывают вращение фрезы (1) и смещение в направлении, перпендикулярном к оси ее вращения, книзу до дна клиновидной пазухи (8). Вращающаяся фреза (1), сдвигаясь книзу, разрушает переднюю стенку клиновидной пазухи (9). Совершая равномерное вращательное движение кистью руки по ходу вращения фрезы, перемещают фрезу (1) и упорную планку (2) в полном контакте с костью сначала в боковом направлении, а затем по окружности расширяемого отверстия. Таким образом формируют широкое трепанационное отверстие (9) в безопасном для пациента направлении.

Хронический латентный сфеноидит протекает нередко в комбинации с поражением других ОНП, особенно задних клеток решетчатого лабиринта. Методики и набор инструментов для операций на верхнечелюстной пазухе и передних клетках решетчатого лабиринта широко описаны в литературе, особенно с использованием эндоскопической щадящей функциональной хирургии ОНП [17, 21, 23]. Однако для вскрытия клиновидной пазухи и задних клеток решетчатого лабиринта, даже при эндоскопических операциях, использование щипцов, кюреток, долот, фрезы связано с риском повреждения орбиты, боковой и верхней стенок полости носа, стенок клиновидной пазухи. Последствия могут быть очень тяжелыми: слепота на операции, сильное кровотечение, менингит, ликворея и т.д. Предложенный инструмент мы безопасно применяем и при разрушении задних клеток решетчатого лабиринта. Рабочая часть инструмента (фреза с упорной планкой) проводится в область задних клеток решетчатого лабиринта (рис. 2, а, б). Рисунок 2. Инструмент (фреза с упорной планкой) для эндоназальных операций на клиновидных пазухах и задних клетках решетчатого лабиринта. а — общий вид; б — схема выполнения операций на задних клетках решетчатого лабиринта фрезой с упорной планкой. 1 — фреза; 2 — упорная планка; 3 — раздвижная ручка; 4 — вращающаяся ручка; 5 — задние клетки решетчатого лабиринта. Упорная планка не позволяет разрушить фрезой стенки жизненно важных органов, окружающих задние клетки решетчатого лабиринта.
После формирования широкого трепанационного отверстия и разрушения задних клеток решетчатого лабиринта описанными методами мы применяем под эндоскопическим контролем микродебридер и другие эндоназальные инструменты.
С использованием предложенных инструментов нами прооперированно 120 больных, при этом каких-либо осложнений не было. Трепанационное отверстие формируется широкое, с ровными краями. Мы проследили в течение 3 лет результаты хирургического лечения хронического сфеноидита у 38 больных (контрольная группа), у которых клиновидная пазуха вскрывалась традиционными методами. Рецидив отмечен у 9 (24,2%) больных этой группы. У 96 пациентов, оперированных с использованием предложенного нами набора инструментов, также удалось проследить отдаленные результаты. В этой группе больных рецидив наступил у 5 (5,2%) человек.
Выводы
Предлагаемые инструменты для эндоназальных операций на клиновидных пазухах и задних клетках решетчатого лабиринта позволяют произвести операцию быстро, качественно и с минимальным риском повреждения жизненно важных анатомических образований, окружающих эти пазухи, независимо от анатомо-топографических вариантов соотношения полости носа и ОНП. Даже при обычном кровотечении во время операции, когда контролировать ход операции визуально или эндоскопически невозможно, разрушение передней стенки клиновидной пазухи возможно на ощупь, так как вращающая фреза фиксируется упорной планкой и разрушение костной ткани производится в безопасном направлении.
Предлагаемые методы операции на клиновидной пазухе и задних клетках решетчатого лабиринта позволяют повысить эффективность и безопасность оперативного лечения сфеноидита и этмоидита. Фреза с упорной планкой безопасно формирует широкое, овальной формы с ровными краями трепанационное отверстие с минимальной тенденцией к сужению. Упорная планка фиксирует и направляет вращающую фрезу инструмента при разрушении передней стенки клиновидной пазухи и задних клеток решетчатого лабиринта в безопасном направлении, что делает операцию более щадящей, малотравматичной, с минимальным риском повреждения жизненно важных органов, окружающих оперированные пазухи.
Кафедра отоларингологии Военно-медицинской академии им. С.М. Кирова МО РФ, Санкт-Петербург
Хронический сфеноидит и особенности пневматизации клиновидной пазухи
Журнал: Российская ринология. 2017;25(4): 37‑39
Представлено клиническое наблюдение хронического сфеноидита, развившегося у пациентки с особенностями пневматизации клиновидной пазухи, что определило превалирование неврологической симптоматики и актуальность использования при хирургическом вмешательстве навигационной техники. Отмечено, что применение навигационной станции в ходе хирургического вмешательства позволило минимизировать риск повреждения истонченной стенки клиновидной пазухи и соседних анатомических структур.
Удельный вес хронических сфеноидитов в структуре всех синуситов варьирует от 19—58 до 70% [1, 2]. Значительную роль в развитии хронического воспаления играют топографоанатомические особенности клиновидной пазухи (ее размеры, наличие дегисценций, карманов, выступов и т. д.) [3]. Несмотря на совершенствование диагностики и лечения воспалительных заболеваний околоносовых пазух, хирургические вмешательства по поводу хронического сфеноидита до настоящего времени представляют определенные сложности [3, 4]. Для предотвращения повреждения жизненно важных анатомических структур при таких вмешательствах все чаще используют навигационные технологии. Это не увеличивает продолжительность операции и позволяет хирургу четко ориентироваться в зоне вмешательства и с высокой точностью выполнить необходимый объем операции, в частности при наличии анатомических особенностей строения околоносовых пазух [5, 6].
Описание клинического случая

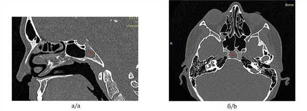
Пациентка Н., 32 года, обратилась в клинику с жалобами на головную боль, периодически сопровождающуюся головокружениями, двоением в глазах, слабостью и повышением температуры тела до субфебрильной. Впервые жалобы появились около 1 года назад. Пациентка неоднократно обращалась к специалистам разного профиля, однако назначаемое лечение положительного эффекта не имело. При эндоскопии ЛОР-органов: слизистая оболочка носа бледно-розовая, влажная, блестящая, нижние носовые раковины увеличены в объеме, хорошо сокращаются при анемизации, перегородка носа искривлена вправо в виде шипа, контактирующего со средней носовой раковиной. Носовое дыхание удовлетворительное. Обоняние не нарушено. Со стороны других ЛОР-органов патологии не выявлено. На компьютерной томограмме околоносовых пазух определяются пристеночное снижение пневматизации клиновидной пазухи, наличие кармана с достаточно тонкой стенкой, граничащей с задней черепной ямкой (рис. 1), Рис. 1. Компьютерная томограмма околоносовых пазух пациентки Н. до операции: сагиттальная (а) и аксиальная (б) проекции. Fig. 1. Computed tomography of the paranasal sinuses of patient N. before surgery: sagittal (а) and axial (b) projections. Определяются выраженный затылочный карман, заполненный патологической тканью (обозначено звездочкой), и тонкая задняя стенка пазухи, граничащая с задней черепной ямкой. The fairly well visualized occipital pocket (indicated by the asterisk) and the thin posterior wall of the sinus bordering the posterior cranial fossa. искривление перегородки носа. На основании результатов обследования был поставлен диагноз: хронический сфеноидит. Кистоподобное образование клиновидной пазухи.
В аналогичных случаях без применения электромагнитной хирургической навигационной станции оперативное вмешательство представляется достаточно рискованным.

Под общей анестезией в условиях искусственной вентиляции легких с использованием электромагнитной навигационной станции Fusion (фирма «Medtronic», США) были выполнены септопластика и эндоскопическая трансназальная сфенотомия. Навигационная техника использовалась для точного позиционирования места перфорации передней стенки клиновидной пазухи, что в данном случае было актуально из-за особенностей ее анатомии. Расширение естественного соустья выполняли бором с автоматическим орошением и каналом для аспирации, что позволило достаточно быстро и безопасно вскрыть пазуху. При ревизии полости клиновидной пазухи с помощью эндоскопов 45° и 0° определялась неизмененная слизистая оболочка. Использование навигационной станции позволило точно визуализировать расположение предполагаемой кисты (рис. 2). Рис. 2. Пациентка Н. Интраоперационная визуализация (данные с монитора навигационной станции) позволила хирургу с высокой точностью определить локализацию патологического процесса (обозначено звездочкой). Fig. 2. Patient N. The intraoperative visualization (available at the monitor of the navigation station) enabled the surgeon to accurately locate the pathological process (indicated by the asterisk). Она локализовалась в отдельной ячейке (в затылочном кармане), сообщающейся с пазухой отверстием до 7 мм в диаметре. При удалении киста опорожнилась, содержимое — густой гной.

Послеоперационный период протекал гладко. При контрольной компьютерной томографии околоносовых пазух, проведенной через 7 дней после хирургического вмешательства, отмечались реактивные изменения слизистой оболочки клиновидной пазухи в области передней стенки (рис. 3). Рис. 3. Компьютерная томограмма пациентки Н. на 7-е сутки после операции. Fig. 3. Computed tomography of patient N. on day 7 after surgery. Отмечается незначительное реактивное утолщение слизистой оболочки клиновидной пазухи в области расширенного соустья и по передней стенке (указано стрелкой), патологическое образование удалено (обозначено звездочкой). An insignificant reactive thickening of the mucous membrane of the sphenoidal sinus is fairly well apparent near the broadened opening and along the anterior wall (indicated by the asterisk), the pathologically altered structure is removed (indicated by the asterisk). При контрольном осмотре через 1 мес пациентка отметила полное исчезновение жалоб, а также значительное улучшение общего самочувствия.
Таким образом, данное клиническое наблюдение представляет собой пример хронического сфеноидита, который проявился неврологическими нарушениями. Особенностью данного случая является редкое анатомическое строение клиновидной пазухи (частота встречаемости подобного затылочного кармана — 0,5%) [3], что определило актуальность применения интраоперационной компьютерной навигации.
Применение навигационной станции в ходе хирургического вмешательства позволило минимизировать риск повреждения истонченной стенки клиновидной пазухи и соседних анатомических структур, а также сократить время поиска патологического образования в «опасной» зоне.
Сфенотомия

Сфенотомия - это вид малотравматичного хирургического лечения с низким риском осложнений, которое проводится на клиновидной пазухе. Эндоскопическая операция производится с помощью микроинструмента и эндоскопа, поэтому весь процесс тщательно контролируется ЛОР-врачом. Хирург получает возможность без препятствий добраться до соустья клиновидной пазухи, расширить его и выполнить все необходимые манипуляции.
Показания к сфенотомии
Основными показаниями к сфенотомии являются:
- острые и хронические заболевания клиновидной пазухи, сопровождаемые образованием гноя;
- кисты клиновидной пазухи;
- полипы, сформировавшиеся в клиновидной пазухе.
Также к такому методу лечения прибегают в том случае, если заболевание уже запущено или обычные способы лечения не дают результата.
Сфеноидит и его лечение
Такое заболевание как сфеноидит (воспаление слизистой придаточной пазухи носа, а именно клиновидной пазухи) в тяжелых случаях может стать показанием для проведения сфенотомии. Проявляется он в большинстве случаев следующей симптоматикой:
- головные боли, особенно усиливающиеся при наклонах;
- выделения из носоглотки, нередко - гнойного характера;
- заложенность носа, из-за чего возникает затрудненное носовое дыхание;
- ощущение неприятного привкуса и запаха;
- повышенная температура;
- состояние общей слабости, головокружение.
Сфеноидит чаще всего имеет вирусную природу и развивается параллельно с ОРВИ, гриппом или ОРЗ, но в некоторых случаях возможно присоединение бактериальной инфекции. Поражение может быть одно- и/или двусторонним.
Существует два основных метода лечения сфеноидита: медикаментозный и хирургический. В первом случае речь идет о применении противоотечных средств, кортикостероидов, антибактериальных и/или противовирусных препаратов. Операция (сфенотомия) назначается, если консервативное методы не дали должного результата, общее состояние пациента ухудшается, заболевание перешло в хроническую форму или сопровождается осложнениями (например, полипозными образованиями).
Подготовка к операции
За несколько дней до операции необходимо прекратить прием препаратов, способствующих разжижению крови. Пациенту предстоит сдать общий анализ крови и мочи, при необходимости - биохимию крови. Проводится ЭКГ, уточняется, нет ли у больного аллергии на медикаменты, использующиеся для анестезии. Может потребоваться рентгенографическое исследование, КТ или МРТ с целью уточнения патологического процесса в клиновидной пазухе.
За 12 часов до операции рекомендуется отказаться от принятия пищи.
Ход операции
В клиновидную пазуху хирург проникает через полость носа с помощью специального инструмента. Делает он это путем естественного расширения анатомического соустья между полостью носа и полостью пазухи или создания искусственного соустья в передней стенке пазухи. Затем выполняется удаление патологического содержимого. Операция проводится под анестезией - местной или общей (в зависимости от тяжести патологии).
Если заболевание клиновидной пазухи вызвано вирусной или бактериальной инфекцией, наряду со сфенотомией может потребоваться применение антибиотиков или противовирусных, а также противовоспалительных препаратов.
Обычно операция проводится успешно без каких-либо нежелательных последствий. Но, в редких случаях допускаются некоторые риски: снижение обоняния, травма слезного протока, образование гематомы, кровоизлияние в глазницу, невралгия или раздражение тройничного нерва.
Сфенотомия в Липецке
В ЛДЦ №1 действует одно из крупнейших отделений отоларингологии в городе. В стенах нашей клиники применяются всевозможные виды диагностики и лечения, в том числе, наиболее продвинутые. Эффективное ЛОР-хирургическое лечение обеспечивается опытными врачами, использованием малоинвазивных методик хирургического вмешательства и прогрессивным оснащением.
Назначение сфенотомии всегда является обоснованным. Перед проведением операции пациент проходит комплексное обследование, чтобы исключить возможные риски. Для анестезии используются современные сертифицированные препараты, оказывающие минимально негативное воздействие на организм. Сама операция проводится очень аккуратно с целью предотвращения повреждения слизистой.
Читайте также:
- Тропические микозы. Черный лишай. Трихоспороз. Черная пьедра.
- Дефект межжелудочковой перегородки. Виды дефекта межжелудочковой перегородки.
- Семья-замужество. Психология замужества и особенности выхода замуж
- Лучевая диагностика гиперэкстензионно-ротационного повреждения шейного отдела позвоночника
- Диагностика и лечение рифт-валли лихорадки. Крымская-Конго геморрагическая лихорадка

