Лучевая диагностика гиперэкстензионно-ротационного повреждения шейного отдела позвоночника
Добавил пользователь Владимир З. Обновлено: 09.01.2026
Дегенеративно-дистрофические заболевания позвоночника (ДДЗП) являются второй по частоте причиной обращений к врачу после респираторных заболеваний и третьей причиной госпитализации пациентов. Среди пациентов с ДДЗП в шейном отделе синдром позвоночной артерии (ПА) встречается в 30-42,5% случаев . В структуре позвоночно-спинномозговой травмы (ПСМТ) на долю шейного отдела позвоночника (ШОП) приходится от 10 до 36,8%. При ПСМТ ШОП повреждение ПА наблюдается в 15% случаев, а нарушение кровотока по ПА приводит в острой фазе к летальному исходу у 10% пострадавших.
Методом цветового дуплексного сканирования определялют:
> диаметр, состояние стенки артерии и ее просвета,
> анатомический ход и форму деформаций ПА,
> линейную скорость кровотока в четырех сегментах ПА (V1-V4) и базилярной артерии (БА): пиковую систолическую скорость кровотока (Vрs), конечную диастолическую скорость кровотока (Vеd), усредненную по времени максимальную скорость кровотока (ТАМХ),
> индексы периферического сопротивления (индекс пульсации Гослинга (РI), индекс резистентности Пурсело (RI)),
> объемную скорость кровотока (Vvol) на экстракраниальном уровне.
Результаты ЦДС позвоночных артерий
При ЦДС у большинства пациентов с ДДЗП (66,0%) и ПСМТ (76,4%) наблюдали деформации хода ПА, преимущественно на уровне С4-С5-С6-позвонков. Угловые деформации, S-, V-образные извитости (kinking) чаще встречались при ДДЗП, чем при ПСМТ ШОП (р=0,0023).
В области деформаций ПА наблюдался локальный гемодинамический сдвиг в виде ускорения скоростных показателей, ускорение кровотока до 31-50% и более может свидетельствовать о ее локальной гемодинамической значимости и вертеброгенных влияниях на ПА на данном уровне.
О степени компенсации экстравазальных влияний на ПА судили по отношению Vvol и Vср (ТАМХ) в V3-сегменте к V1-сегменту:
при отношении Vvol и Vср (ТАМХ) в V3 сегменте к V1 сегменту равном
1,0 и более кровоток расценивали как компенсированный,
0,7-1,0 - как субкомпенсированный,
менее 0,7 - как декомпенсированный.
Субкомпенсированный кровоток при ДДЗП выявили у 6,9% пациентов, при ПСМТ - в 19,3% случаев.
Декомпенсированный кровоток наблюдали только при ПСМТ (9,2%) у пациентов с вывихами и переломо-вывихи позвонков, сопровождающихся их смещением, при ДДЗП декомпенсированного кровотока выявлено не было, в
большинстве случаев наблюдали деформации хода ПА в костном канале с локальными градиентами скоростных показателей без дефицита кровотока в V3-сегменте.
Наиболее информативным является измерение не линейных скоростей кровотока, а определение суммарного объемного кровотока по ПА, который в норме составляет около 180-200 мл/мин.
Суммарный объемный кровоток по ПА находился
> в пределах нормативных значений: в 28,2% случаев при ПСМТ (176±48 мл/мин), в 69,1% - при ДДЗП (181±43 мл/мин),
> на нижней границе допустимых значений: в 26,5% случаев при ДДЗП (162±23 мл/мин) и у 45,0% пострадавших (158±21 мл/мин),
> ниже нормативных значений: в 26,8% случаев при ПСМТ (104±35 мл/мин) и 4,4% - при ДДЗП (118±32 мл/мин).
Способ диагностики компрессии ПА с помощью спиральной компьютерной томографии (СКТ) и цветового дуплексного сканирования (ЦДС)
При СКТ определяли уровень компрессии ПА и измеряли площадь поперечного сечения канала ПА (Sк) на уровне выявленной патологии.
При ЦДС определяли диаметр и вычисляли площадь поперечного сечения ПА (Sа) на стороне патологии вне зоны стеноза.
Рассчитывали индекс компрессии позвоночной артерии (ИК) по формуле ИК = ⅓Sк/Sа. При значении индекса
1,0 и более компрессия отсутствует,
от 0,9 до 0,7 диагностировали умеренную компрессию ПА,
от 0,6 до 0,4 - значительную,
ниже 0,4 - выраженную.
в 71,1% случаев компрессия ПА отсутствовала (ИК=1,0 и более),
у 28,9% обследованных наблюдалась умеренная компрессия (ИК=0,7-0,9), значительной (ИК=0,4-0,6) и выраженной компрессии (ИК=0,4 и менее) выявлено не было.
в 63,4% случаев компрессия отсутствовала (ИК=1,0 и более),
у 25,0% имела место умеренная компрессия (ИК=0,7-0,9),
у 8,3% - значительная (ИК=0,4-0,6),
у 3,3% - выраженная (ИК=0,4 и менее).
У пострадавших с выраженной и значительной степенью компрессии ПА наблюдали переломо-вывихи и вывихи С5-С6-позвонков, сопровождающиеся спондилолистезом (в среднем на 4,5±1,2 мм), а также компрессионно-оскольчатые переломы позвонков, в ряде случаев с переходом линии перелома на канал ПА.
Извитости хода ПА в костном канале не оказывали существенного влияния на гемодинамику: локального ускорения скоростных показателей не отмечалось, линейные и объемная скорости кровотока сохранялись в пределах нормативных значений, скоростные показатели кровотока в V3 и V4-сегментах ПА превышали значений в V1 и V3-сегментах соответственно, что свидетельствовало о компенсированном кровотоке и отсутствии системной гемодинамической значимости.
Наблюдались извитости хода ПА на протяжении костного канала с угловыми деформациями и перегибами, с локальным ускорением и градиентами скоростных показателей на уровне V2-сегмента, однако линейные и объемная скорости кровотока в V3-сегменте сохранялись в пределах нормативных значений, коэффициент компенсации кровотока был равен 1,0 или более (компенсированный кровоток).
Синдром ирритативных влияний проявлялся повышением индексов периферического сопротивления (RI>0,8, PI>1,35) на протяжении V1-V3-сегментов (реже и на уровне V4-cегмента ПА) при сохранении скоростных показателей кровотока на экстра- и интракраниальном уровнях в пределах нормативных значений (в ряде случаев - на нижней границе нормы). Вазоконстрикторные реакции характерны для ангиодистонической стадии синдрома ПА даже при ее прямолинейном ходе и встречаются при повреждениях ШОП, преимущественно при вывихах и преломо-вывихах позвонков.
Экстравазальные влияния на ПА при ДДЗП, выявляемые при ротационных пробах
Снижение скорости кровотока на уровне V2-сегмента по одной или обеим ПА выявлено у 13,2%, из них на 20-30% - в 41,7% случаев, до 31-50% - в 36,1%, более 50% - в 22,2%. Снижение скоростных показателей по левой ПА наблюдалось у 52,7% пациентов, по правой ПА - у 30,6%, с двух сторон - у 16,7%.
В группе пациентов с редукцией кровотока на 20-30% снижения скорости кровотока в субокципитальном (V3) сегменте по сравнению с исходным кровотоком до проведения ротационных проб не наблюдали, в данном случае снижение скоростных показателей на 20-30% в V2-сегменте можно считать гемодинамически незначимым. При снижении кровотока на 31-50% и более дефицит кровотока в V3-сегменте сохранялся.
У пациентов со снижением скоростных показателей кровотока по ПА при проведении ротационных проб гемодинамически значимое (более 20%) снижение скорости кровотока на интракраниальном уровне (V4-сегмент) выявлено в 5,9% случаев по левой ПА и в 6,6% случаев по правой ПА (что могло быть связано со сложностями визуализации артерий и погрешностями при проведении пробы), скорость кровотока по БА у всех пациентов значимо не изменялась. Компенсация кровотока на интракраниальном уровне осуществляется за счет коллатеральных ветвей ПА и механизмов
функциональной компенсации (снижение индексов периферического сопротивления дистальнее зоны компрессии).
В большинстве случаев среди пациентов со снижением кровотока при ротационных пробах более 50% отмечали редукцию кровотока на 80-95% от исходной скорости кровотока на протяжении V1-V2-сегментов на фоне выраженного повышения индексов периферического сопротивления, что связано с экстравазальной компрессией ПА при повороте головы в субокципитальном сегменте в результате аномалий краниовертебральной области, ротационного подвывиха С2-позвонка, а в ряде случаев, за счет натяжения нижней косой мышцы головы. При ЦДС в V3-сегменте выявляли локальное ускорение скоростных показателей при повороте головы более 50% от исходной скорости кровотока, свидетельствующее об экстравазальной компрессии ПА в субокципитальном отделе.
Локальное ускорение скоростных показателей в V3-сегменте до 50% и более по сравнению с V1-V2-сегментами с последующим снижением скорости кровотока в V4-сегменте наблюдалось при ПСМТ в 12,1% случаев у пациентов переломами, вывихами и подвывихами C2-позвонка, при ДДЗП - в 0,4% у пациента с синдром нижней косой мышцы головы.
Таким образом, применение цветового дуплексного сканирования при ПСМТ и ДДЗП ШОП позволяет:
> выявить деформации хода ПА и определить градиенты скоростных показателей на протяжении костного канала и между сегментами ПА (локальную гемодинамическую значимость вертеброгенных влияний),
> установить уровень и степень выраженности компрессии ПА,
> определить степень компенсации кровотока по ПА (т.е. системную гемодинамическую значимость экстравазальных влияний),
> рассчитать суммарный объемный кровоток по ПА на экстракраниальном уровне (т.е. диагностировать вертебрально-базилярную недостаточность),
> определить показания к оперативному вмешательству и его объему,
> оценить результаты консервативной терапии и хирургического лечения в динамике.
Подробно о возможностях дуплексного сканирования можно почитать в недавно изданной монографии и на специальной странице нашего сайта. В наших клиниках мы часто проводим МРА и дуплексное сканирование для полноты картины кровотока.
Судебно-медицинская диагностика механизма гиперфлексионно-гиперэкстензионной травмы шейного отдела позвоночника и спинного мозга
библиографическое описание:
Судебно-медицинская диагностика механизма гиперфлексионно-гиперэкстензионной травмы шейного отдела позвоночника и спинного мозга / Баринов Е.Х., Исаченков П.В. // Мат. VI Всеросс. съезда судебных медиков. — М.-Тюмень, 2005. — С. 42.
код для вставки на форум:
В настоящее время довольно много работ иностранных авторов посвящены изучению механизма «хлыстовых» повреждений шейной части позвоночника, которые наблюдаются чаще всего при автомобильных травмах (Billig, 1956, Cammack, 1957, Volobra, 1964, Rituccii G., Falzig, 1966).
По данным американских экспертов в США ежегодно свыше 1 млн. человек подвергаются гиперфлексионно-гиперэкстензионной травме шеи (ГГТШ). Примерно 25% всех случаев ГГТШ заканчивается хроническими болями и потерей трудоспособности (Скоромец А. А., Новосельцев С. В., 2002).
Внезапное движение нефиксированной головы, приводящее к гиперфлексионно-гиперэкстензионной травме шеи (ГГТШ), чаще всего возникает в результате резкого торможения или ускорения движения автомобиля в момент автодорожного столкновения, реже - в спорте, на производстве, в быту или вследствие других причин (La Rocca H., 1978). Особенно часто ГГТШ возникает в ситуации, когда водитель автомашины не успевает вовремя затормозить и врезается в стоящий впереди автомобиль (Castro W. H. M., Schilgen M., Meyer S., 1997). Передний автомобиль смещается кпереди, а у сидящих в нем людей голова по инерции вначале откидывается назад, а затем совершает форсированное сгибание. Это двухэтапное («хлыстовое») движение и является причиной повреждения шеи. У людей, сидящих в заднем автомобиле, движения головы происходят в обратной последовательности, но также способны вызвать повреждение шеи. При лобовых или боковых столкновениях автомобилей ГГТШ возникает реже. Исходя из трех механизмов действия травмирующей силы, можно сделать вывод, что при столкновении спереди и сзади деформации будут развиваться во фронтальной плоскости, т. к. удар происходил в сагиттальной плоскости. При боковых ударах деформации происходят в сагиттальном плане, поскольку удар пришелся во фронтальной плоскости.
Травмирование тканей шеи в большей степени происходит при растяжении, чем при сдавлении (чтобы вызвать повреждение шейных позвонков, при растяжении в среднем необходима сила всего в 160-360 кг, а при сдавлении - 1350-1800 кг) (Yogandan N., Pintar F. A., Kleinberger M., 1999). Тяжесть повреждения зависит от соотношения инерционных масс двух сегментов тела (с одной стороны головы и верхнешейного отдела позвоночника, с другой стороны нижнешейного отдела туловища), а также величины и направленности ускорения (West D. H., Gough J. P., Harper T. K., 1993). Повреждения обычно возникают в результате превышения так называемого физиологического лимита движений для шейного отдела позвоночника.
Но иногда повреждение шеи происходит в том случае, когда амплитуда сгибания или разгибания не превышает нормальный объем движений. Биомеханический анализ показывает, что шея при ГГТШ не просто разгибается или сгибается, а совершает более сложное движение. Перед форсированным сгибанием голова компенсаторно смещается вперед (за счет частичного разгибания в верхнешейном отделе), а перед экстензией компенсаторно смещается назад, при этом отмечается небольшое сгибание в верхнешейном отделе. Наиболее значительное повреждение может возникать именно в точках максимального вытягивания или ретракции.
M.M. Panjabi, K. Abumi, J. Duranceau, J. Crisco (1988) экспериментальным путем установили, что критическая величина ускорения, вызывающая повреждение шейного отдела, неодинакова на разных уровнях: она минимальна на уровне C V -C VI (4g) и максимальна на уровне C II -C III (10g). По мнению этих авторов, повреждение мягкотканевых образований как в верхнешейном, так и особенно в нижнешейном отделах, вызванное растяжением передних элементов позвоночно-двигательного сегмента, происходит в момент флексии верхнеешейного отдела и экстензии средне- и нижнешейного отдела. При дальнейшей экстензии шейного отдела, которая происходит путем взаимного скольжения фасеточных суставов в нижнешейном отделе позвоночника, мягкие ткани страдают в меньшей степени, так как это движение чаще всего происходит в физиологических пределах. Однако поскольку лимит экстензии этого отдела позвоночника ограничен, при дальнейшем увеличении нагрузки возникают разрыв связок, компрессионные переломы позвонков и основания черепа.
Повреждение корешков в межпозвонковых отверстиях происходит вследствие резкого изменения градиента давления во время форсированного сгибания и переразгибания. Площадь позвоночного канала при гиперэкстензии уменьшается за счет внедрения желтой связки, при гиперфлексии увеличивается, поэтому в результате внезапных движений возникают колебания давления, которые также могут повреждать ткани шейного отдела.
Помимо гиперфлексионно-гиперэкстензионного механизма повреждения, являющегося основным в 70% случаев ГГТШ, повреждение может происходить в результате скручивания шеи при резком повороте туловища вокруг своей оси (ротационный механизм) (Gately M.S., 1968). При этом неизбежно возникают боковые смещения головы, которые приводят к сдавлению суставных поверхностей на ипсилатеральной стороне (в фазе гиперэкстензии) и растяжению капсулы сустава на противоположной стороне (в фазе гиперфлексии). При наличии ротации головы в момент травмы ГГТШ часто бывает более тяжелой (Radanov B.P., Di Stefano G., 1995).
Последствия травмы зависят и от степени сокращения мышц шеи во время травмы. При неожиданном столкновении мышцы обычно расслаблены, благодаря чему размах колебаний головы максимален, в силу этого при гиперэкстензии повреждаются передние связки и мышцы, а при гиперфлексии - задние связки и мышцы. Если при столкновении у пострадавшего произошло напряжение мышц, то колебательные движения головы ограничиваются, но при этом увеличивается риск повреждения позвонков и межпозвонковых дисков. Если пострадавший успел частично среагировать на столкновение, но его мышцы сократились недостаточно, чтобы существенно ограничить колебания головы, то в результате сочетания компрессии и растяжения в фазе сгибания может возникнуть задний пролапс межпозвонкового диска. Однако если пострадавший успевает втянуть голову в плечи, травма обычно бывает менее значительной.
Следует подчеркнуть, что нет прямой зависимости тяжести ГГТШ от степени повреждения автомобиля: ГГТШ чаще наблюдается у пассажиров легко или умеренно поврежденного автомобиля. Место, которое занимал в машине пострадавший, не оказывает существенного влияния на тяжесть травмы. При пользовании ремнями безопасности риск ГГТШ несколько повышается, но их способность предотвращать другие повреждения существенно перекрывает в сумме этот негативный эффект (Левин О. С., Макаров Г В, 2002).
Анатомо-физиологические особенности краниоцервикальной области - высокая мобильность, обилие мелких суставов с тонкими и эластичными капсулами и менисками, способными ущемляться в суставных капсулах, наличие унковертебральных сочленений, более низкая по сравнению с другими отделами позвоночника прочность и упругость шейных межпозвонковых дисков, относительно малая прочность некоторых связок, а также значительное количество небольших мышц с различными точками прикрепления - создают условия для возникновения широкого спектра повреждений. При ГГТШ могут пострадать любые структуры шейного отдела: позвонки, межпозвонковые диски и суставы, мышцы, связки, сосуды, нервы. ГГТШ может приводить и к повреждению спинного и головного мозга - при патоморфологическом исследовании у больных с ГГТШ выявляются дистрофические изменения проводящих путей, нейронов латерального вестибулярного ядра, красного ядра. При сильной травме возможно растяжение внутренней сонной, а также позвоночной артерий с развитием небольших аневризм или тромбозов артерий (Прохорский А.М., 1975).
похожие статьи
Возможные ошибки при определении давности тупой травмы шеи / Бадяева Е.Е. // Избранные вопросы судебно-медицинской экспертизы. — Хабаровск, 2019. — №18. — С. 49-50.
Особенности повреждений шеи при сдавлении плечом и предплечьем / Подпоринова Е.Э. // Матер. IV Всеросс. съезда судебных медиков: тезисы докладов. — Владимир, 1996. — №2. — С. 14-15.
Закрытая тупая травма спинного мозга / Пиголкин Ю.И., Мамрова Г.П. // Матер. IV Всеросс. съезда судебных медиков: тезисы докладов. — Владимир, 1996. — №1. — С. 103-104.
К судебномедицинской характеристике повреждений позвоночника / Джигора С.Т., Кабаков Б.З. // Судебно-медицинская экспертиза. — М., 1966. — №3. — С. 7-12.
Хирургическое лечение сложного перелома - вывиха в сегменте С1-С2

В литературе описаны немногочисленные случаи перелома зубовидного отростка С2 позвонка в сочетании с переломом латеральных масс С1 позвонка и с атланто - аксиальным вывихом (). Как правило повреждения верхнешейных позвонков возникают вследствие падения с высоты, дорожно- транспортных происшествий, при суицидальных попытках (). Зачастую они сопрягаются с грубыми неврологическими нарушениями вплоть до тетраплегии и стволовых нарушений, в редких случаях повреждения позвоночника не сопровождаются поражением нервных структур и неврологическим дефицитом.
Задача лечения переломо - вывиха в сегменте С1-2 заключается в правильной репозиции позвонков и обеспечении их адекватной фиксации.
Описаны различные методы лечения данной травмы: консервативное лечение, что заключалось во вправлении вывиха в скелетном вытяжении с последующим ношением жесткого головодержателя в течение нескольких месяцев. Описаны случаи закрытого вправления и длительной фиксации в галло - аппарате. Однако консервативные методы предполагают продолжительное выпадение пациента из привычного образа жизни вследствие вынужденного положения в скелетном вытяжении или в галло - аппарате. Тем более данные методы не обеспечивают идеальную репозицию и надежный спондилодез.
Суть хирургических методов лечения заключается в закрытой или открытой репозиции позвонков с последующим спондилодезом. Закрытое вправление позвонков выполняется так же в скелетоном вытяжении или в галло - аппарате. После достижения удовлетворительной репозиции выполняется следующий хирургический этап лечения - спондилодез. Из закрытых методов репозиции наиболее управляемым является репозиция в галло - аппарате под рентгенологическим контролем.
Редко применяется метод открытого вправления, что чревато возникновением новых неврологических нарушений.
Сама хирургическая тактика так же разная - она может заключаться только в переднем спондилодезе, заднем спондилодезе, а также комбинированном доступе - передне - заднем спондилодезе. Выбор спондилодеза зависит от навыков врача, от характера травмы.
Наиболее надежным считается спондилодез 360 гр., что подразумевает фиксацию отломков зубовидного отростка и задних элементов или латеральных масс.
В нашем случае обсуждается метод лечения в виде вправления вывиха, сопоставления отломков и одномоментном передне - задним спондилодеза (360 гр).
Описание случая
Пациент молодой человек 1992г.р., получил травму вследствие падения с высоты около 3 метров. Почувствовал резкую боль в шейном отделе позвоночника. Был доставлен в ближайшую больницу, где выполнена рентгенография шейного отдела позвоночника и выявлена переломо - вывих в атланто - аксиальном сочленении, перелом зубовидного отростка (РИС 1). С целью дообследования и нейрохирургического лечения пациент переведен в нашу клинику. Состояние при поступлении: Общее состояние удовлетворительное. Кожа чистая, обычной окраски. Отеков нет. Над легкими везикулярное дыхание, хрипов нет. Тоны сердца ясные, ритм правильный. АД 130/70 мм рт. ст. ЧСС - 76 в минуту. Живот при пальпации мягкий, безболезненный во всех отделах. Неврологический статус: В сознании, контактен, адекватен. Менингиальной симптоматики нет. Движения глаз в полном объёме. Зрачки по средней линии, равновеликие, фотореакция живая. Лицо симметричное. Чувствительность на лице не изменена. Глотание, фонация сохранены. Язык по средней линии. Пальценосовую пробу выполняет удовлетворительно с двух сторон. Тазовые функции контролирует. Движения в шейном отделе позвоночника ограничены, болезненны. Сухожильные рефлексы D=S.
С целью уточнения соотношения костных структур со спинным мозгом и выявления очагов ушиба в спинном мозге выполнена МРТ шейного отдела позвоночника и кранио - вертебрального перехода. Патологических изменений в спинном мозге не выявлено, между костными структурами и спинным мозгом сохраняется ликворное пространство.
При поступлении в клинику пациенту установлен галло - аппарат в условиях операционного, под рентгенологическим контролем выполнено вправление вывиха в сегменте С1-2 позвонков в галл-аппарате.
На следующий день выполнено оперативное вмешательство - в положении лежа на спине в галло - аппарате выполнена фиксация зубовидного отростка С2 позвонка канюлированным винтом.
Вторым этапом пациент перевернут на живот в галло - аппарате, срединным разрезом осуществлен доступ к задним элементам С1-2 позвонков. Скелетированы задняя дуга С1 позвонка и дужка С2 позвонка, выполнена крючковая фиксация С1-2 с установкой имплатана аутротрансплантата между после декортикации между задней дугой С1 и и остистым отростком С2. После зашивания раны пациент перевернут на спину и удален галло - аппарат.
Пациент активирован на следующий день в жестком головодержателе и выписан через 5 дней после оперативного вмешательства.
При контрольных КТ шейного отдела позвоночника через 1 месяц и через 3 месяца удовлетворительное стояние позвонков и металлоконструкции.
В настоящей статье описывается случай хирургического лечения сложного переломо - вывиха в атланто - аксиальном сочленении, что включает перелом зубовидного отростка 3 тип оп Андерсен, перелом латеральных масс С1 позвонка, вывих в атланто - аксиальном сочленении. Хирургическая тактика при данной патологии имеет явные преимущества перед консервативным лечением, так как обеспечивает точную репозицию, достоверную стабилизацию и раннюю активацию пациента. С этих соображений нами была предпринята хирургическая тактика лечения.
При таких сложных переломо - вывихах хирургический метод предполагает закрытую или открытую репозицию структур позвоночника с последующим спондилодезом (). Интраоперационный, открытый спондилодез в наркозе чревато неконтролируемым смещением костных отломков или структур и компрессией спинного мозга с последующими серьёзными осложнениями, поэтому существуют несколько способов закрытой репозиции. Наиболее консервативным является скелетное вытяжение, что требует нахождение пациента в вынужденном положении, лежа на спине несколько дней. Вторым методом является репозиция в галло - аппарате. Данный метод обеспечивает хорошую репоизицию в условиях рентгенологического контроля в полном сознании пациента, что позволяет избежать возможной компрессии нервных структур и позволяет выполнить надежную фиксацию после репозиции до нейрохирургического вмешательства.
В нашем случае была выбрана тактика репозиции в галло - аппрарате. На наш взгляд репозиция в условиях операционной при присутствии анестезиолога под ренетгенологическим контролем позволяет максимально безопасно выполнить сопоставление как отломков зубовидного отростка, так и атланто - аксиального комплекса, и при этом контролировать неврологический статус пациента. После достижения рентгенологически адекватной репозиции голова фиксирована в соответствующем положении в галло - аппарате и выполнена КТ исследование, что подтверждает хорошую репозицию как зубовидного отростка так и атланото - аксиального комплекса.
Оперативное вмешательство - направленное на спондилодез, выполнено на следующий день в Галло аппарате. Зубовидный отросток фиксрован стандартным передним доступом с введением канюлированного винта. С целью фиксации атланто - аксиального комплекса некоторые авторы рекомендуют введение канюлированных винтов в латеральные массы. Однако в случае перелома латеральных масс, что наблюдалось в нашем случае, данные винты не обеспечивают должного спондилодеза, в связи с чем выполнялся задний спондилодез за дужки при помощи крючков.
Одномоментный передне - задний спондилодез в отличие от консервативной тактики способствует ранней реабилитации и быстрому возвращению пациента к нормальной жизни. При переломе зубовидного отростка и латеральных масс с атланто - аксиальной дислокацией оптимальным методом фиксации является задний спондилодез за остистые отростки при помощи крючков, что позволяет достичь адекватной фиксации с максимальным сохранением ротационных движений в кранио - цервикальной сочленении, в отличие от более травматичного окципито - цервикального спондилодеза.
Выводы и заключение
При переломо - вывихе в сегменте С0-С2 оптимальным является вправление вывиха и репозиция костных отломков в галло - аппарате в сознании пациента под рентгенологическим контролем. Это обеспечивает дозирование смещение костных структур под постоянным визуальным контролем с постоянной оценкой неврологического статуса пациента. После репозиции выполняется фиксация в галло - аппрате, что обеспечивает стабильность перед выполнением хирургического этапа. Надежным считается спондилодез 360 градусов, что при сочетании перелома зубовидного отростка, латеральных масс и при вывихе в сегменте С1-2, достигается при помощи фиксации зубовидного отростка канюлированным винтом и задней фиксацией крючками С1-2.
Данная методика позволяет максимально быстро активизировать и реабилитировать пациента.
Эффективность радиочастотной денервации позвоночных сегментов
Методика радиочастотной деструкции фасеточных нервов является высокоэффективной и безопасной. Это подтверждается так же материалами многочисленных «клиник боли», в которых данный метод является основным в лечении хронической вертеброгенной боли.
Актуальность
Боль в спине - это не только страдания людей, но и большие социально-экономические потери. Согласно данным эпидемиологических исследований, проведенных в странах с развитой экономикой и медициной, более 70 % пациентов на первичном приёме жалуются на недомогание, связанное с заболеванием позвоночника. Это вызвано широкой распространённостью патологических состояний позвоночника, именуемых врачами как остеохондроз, спондилоартроз, спондилез и др. В последние десятилетия у врачей различных специальностей значительно вырос интерес к проблемам вертеброгенной боли, методам её изучения, способам профилактики и лечения. С одной стороны разработка новых инструментов, имплантов, методов хирургической коррекции патологически измененного позвоночника позволяет хирургии находится на вершине технического прогресса, а с другой - вертебролог сегодня сталкивается с проблемой выбора оптимального для пациента метода хирургического лечения [2,3].
Оперативное вмешательство по поводу вертеброгенной боли в настоящее время почти исключительно сводится к спондилодезу. Однако, в декабре 2001 года Шведская научная группа по изучению поясничных болей (Swedish Lumbar Spin study Group) опубликовала результаты проспективного рандомизированного исследования. Было обследовано 294 пациента с хроническими болями дегенеративной этиологии, исключая случаи специфических рентгенологических диагнозов, таких как спондилолистез. В этом исследовании было обнаружено, что у пациентов получавших оперативное лечение в виде спондилодеза, через 2 года после операции функциональная оценка была ниже, а болевая - выше, чем у неоперированных пациентов. В свете этого встаёт вопрос о целесообразности проведения объёмных оперативных вмешательств пациентам с вертеброгенной болью [2].
За прошедшие годы был предложен ряд малоинвазивных методов лечения спондилогенного болевого синдрома путём разрушения нервной ткани, в том числе, метод радиочастотной денервации (РЧД). Этот метод в настоящее время является альтернативой травматичным медицинским вмешательствам на шейном, грудном и поясничном отделах позвоночника при возникновении у пациентов вертеброгенной боли и неэффективности консервативной терапии.
Материалы и методы
Под нашим наблюдением находились 245 пациентов ( 150 женщин и 95 мужчин ) в возрасте от 21 до 69 лет (средний возраст - 54,3 года). Поводом для обращения к врачу являлись жалобы на боли в шейном ( 18 больных), грудном ( 19 больных ) и поясничном ( 208 больных ) отделах позвоночника.
Всем больным проводилось лучевое обследование, включающее рентгенографию позвоночника в двух проекциях (при боли в шее и поясничной боли дополнительно проводились функциональные пробы), в сомнительных случаях для исключения диско - радикулярного конфликта назначалась МРТ или КТ пораженного отдела. На рентгенограммах в случае дегенеративных изменений межпозвонковых дисков и суставов выявлялся субхондральный склероз замыкательных пластин позвонков, снижение высоты межпозвонкового промежутка, склерозирование и деформация суставных поверхностей, нарушение их конгруэнтности, возможно развитие унко-вертебрального артроза [4], (рис. 1).
Оценка интенсивности болевого синдрома проводилась при помощи карты болевого аудита, максимальный уровень боли в которой соответствует 100 баллам.
Также пациентам проводилось исследование биомеханики шейного и поясничного отделов позвоночника при помощи трёхмерного анализатора движений Zebris 3-D Motion Analyzer (Zebris medizintechnik, Германия) (рис. 2). У пациентов было обнаружено нарушение биомеханики шейного и поясничного отделов позвоночника, что выражалось в ограничении разгибания и асимметрии амплитуды наклонных и ротационных движений.
На основании клинического и рентгенологического обследования в этих группах больных было установлено, что причиной болевого синдрома являлись дегенеративные изменения в фасеточных (дугоотросчатых) суставах, т.е. диагноз формулировался как спондилоартроз определенных сегментов (в шейном отделе чаще были поражены сегменты от С3 до С6 (97%), в грудном отделе - от Тh5 до Тh12 (96 %), в поясничном отделе - сегменты L3-4, L4-5, L5-S1 (97%). Уменьшение или полное купирование болевого синдрома после параартикулярной диагностической блокады 2% раствором лидокаина на уровне поражения позволило окончательно установить, что боль исходит из компрометированного сустава.
Учитывая тот факт, что не все клиницисты признают роль патологии межпозвонковых суставов в генезе боли в спине, следует более подробно остановиться на клинике «фасет - синдрома». Часто начало боли связано с разгибанием и ротацией позвоночника и другими торзионными перегрузками. У всех пациентов в группе с заболеванием шейного отдела позвоночника отмечается боль (иногда очень выраженная) и ограничение движений. Боль зачастую иррадиирует в надплечье, плечевой сустав, плечо. В отличие от корешковой боли, вызванной компрессией соответствующего нерва грыжей диска, боль не должна локализоваться в предплечье и пальцах кисти. Осматривая пациента, обращает на себя внимание вынужденное положение головы, асимметрия надплечий, напряжение паравертебральных и мышц воротниковой зоны с одной или двух сторон. Как правило, ограничены движения в шейном отделе позвоночника, особенно разгибание и ротация головы. При изолированном поражении межпозвонковых суставов врач не найдет патологических изменений в рефлекторной и чувствительной сфере на верхних конечностях. Исходящая отраженная боль из фасеточных суставов грудного и поясничного отделов позвоночника носит латерализованный, диффузный, трудно локализуемый, склеротомный характер распространения и, как правило, не спускается ниже колена. Она ограничивается грудной или пояснично-крестцовой областью над соответствующим дугоотросчатым суставом, иррадиирует в ягодичную область и верхнюю часть бедра (при поясничной локализации). Фасеточная боль может быть более или менее схваткообразной, усиливаться при длительном стоянии, разгибании, особенно если оно сочетается с наклоном или ротацией в больную сторону, при перемене положения тела из лежачего в сидячее и наоборот. Характерно появление кратковременной утренней скованности и нарастание болевых ощущений к концу дня. Разгрузка позвоночника - легкое его сгибание, принятие сидячего положения, использование опоры (стойка, перила) - уменьшает боль. При физикальном исследовании можно выявить сглаженность поясничного лордоза, ротацию или искривление позвоночника в грудном, грудо-поясничном или пояснично-крестцовом отделах, напряжение паравертебральных мышц и/или квадратной мышцы спины на больной стороне, мышц подколенной ямки, ротаторов бедра. Характерна локальная болезненность при пальпации фасеточного сустава. Как правило, не бывает каких-либо неврологических чувствительных, двигательных и рефлекторных расстройств. Не характерны и симптомы «натяжения» нервных корешков, ограничение движений как таковых. Иногда, в хронических случаях выявляется некоторая слабость выпрямителей позвоночника и мышц подколенной ямки. Боль от сустава L5-S1 отражается в область копчика, тазобедренного сустава, задней поверхности бедра, иногда - в паховую область. Раздражение сустава L4-5 характеризуется болью, иррадиирующей от места раздражения в ягодицу, заднюю поверхность бедра и тазобедренного сустава и, лишь изредка, в копчик. От сустава L3-4 боль распространяется в грудную область, боковую поверхность живота, пах, достигает передней поверхности бедра и очень редко - копчика и промежности. Раздражение фасеточных суставов более высокого уровня (Th12-L1, L1-2, L2-3) ограничивается появлением болезненных ощущений в верхних отделах спины и живота, грудном и даже в шейном отделах. Боль от суставов Тh3-4-5 часто иррадиирует в межлопаточную, подлопаточную область [1,4].
Всем больным проводилось консервативное лечение в амбулаторных условиях. В терапевтический комплекс включалось медикаментозное лечение (нестероидные противовоспалительные препараты, витаминотерапия, биостимуляторы и т.д.), параартикулярные блокады - с диагностической и лечебной целью (с обязательным введением стероидоных препаратов - дипроспан 1,0 мл), физиотерапия, массаж, корсетотерапия, психотерапия. При недостаточной эффективности консервативной терапии или кратковременности эффекта больным была выполнена радиочастотная деструкция фасеточных нервов. Учитывая особенности клинических проявлений дегенерации межпозвонковых суставов, нами были определены следующие показания для изолированной радиочастотной деструкции фасеточных нервов: длительная боль в шейном/грудном/поясничном отделе позвоночника (более 6 месяцев); обострение боли в позвоночнике после разгибания и ротации головы/туловища, длительного фиксированного положения головы/туловища (например, работы на компьютере); усиление боли в позвоночнике при глубокой пальпации суставов; отсутствие признаков компрессии корешков (неврологического дефицита); отсутствие улучшения после физиотерапии; значительное уменьшение боли в шее/пояснице после параартикулярной блокады на одном или нескольких уровнях; соответствие клиники рентгенологическим находкам (спондилоартроз); интенсивность боли по шкале болевого аудита более 15 баллов.
Также нами были определены общие противопоказания для выполнения РЧД: зависимость от наркотических и седативных препаратов, алкоголя, наличие социальных и психологических факторов, определяющих восприятие боли, возрасте моложе 18 и старше 80 лет, перенесенные ранее операции на позвоночнике, расстройства спинального кровообращения в анамнезе [2].
Манипуляция выполнялась в условиях операционной. В положении больного на животе при РЧД на грудном и поясничном уровнях и на спине при выполнении РЧД на шейном уровне, под местной анестезией раствором новокаина 0,5% - 10,0 мл под контролем электронно-оптического преобразователя производилась пункция параартикулярной области в зоне нахождения нервов, идущих к суставной капсуле. Как правило, одномоментно проводили пункцию на трех - четырех уровнях (рис. 3). Положение иглы контролировалось в двух проекциях (рис. 4).
Затем, для идентификации корректного положения иглы, с помощью радиочастотного генератора Stryker Interventional spine MultiGen RF Console (рис. 5) или генератора RFG-3C PLUS фирмы RADIONICS проводилась электростимуляция фасеточных нервов с частотой 50 Гц. Пациент должен был испытывать ощущения покалывания в области соответствующего фасеточного сустава в диапазоне между 0,4 и 0,6 В. Далее частоту снижали до 2 Гц и наблюдали мышечные сокращения в конечностях, отсутствие которых указывало на корректное положение электрода. С целью анестезии в зону предполагаемой деструкции вводилось 0,5 % раствора новокаина (не более 2,0 мл) и осуществлялась собственно радиочастотная деструкция.
Больные манипуляцию переносили хорошо. В течение тридцати минут после денервации они соблюдали постельный режим, в это время проводилась противовоспалительная терапия (ксефокам 8 мг в/м). Затем больным разрешалось вставать. Пациенты выписывались под амбулаторное наблюдение невролога в этот же день. На амбулаторном этапе проводилось восстановительное лечение (лечебная гимнастика верхних и нижних конечностей), противовоспалительная терапия. В течение 4-6 недель рекомендовалось исключение тяжёлых физических и спортивных нагрузок. Больным рекомендовалось приступить к работе через 7 - 14 дней после манипуляции.
Результаты лечения пациентов методом радиочастотной денервации сравнивались с результатами консервативного лечения пациентов со спондилоартрозом позвоночника. В данную группу входило 106 пациентов (64 женщины и 42 мужчины) в возрасте от 24 до 65 лет. 8 пациентам проводилось лечение по поводу болей в шейном отделе, 9 - в грудном, 89 - в поясничном отделе позвоночника. В комплекс консервативного лечения входило применение медикаментозных препаратов: НПВС (диклофенак, мелоксикам, лорноксикам), мышечные релаксанты (мидокалм), антидепрессанты, витамины. Всем пациентом проводилось физиотерапевтическое лечение, ЛФК, массаж.
Результаты
Мы не отметили никаких осложнений ни во время операции, ни в раннем, ни в позднем послеоперационном периодах. После радиочастотной деструкции в течение 1-2 недель в 79 % случаев пациенты на фоне значительного уменьшения интенсивности болевого синдрома продолжали жаловаться на чувство тяжести в зоне манипуляции. Через 3-6 недель это чувство исчезало.
Эффект от денервации мы оценивали перед выпиской больного на работу, через 1 месяц, 6 месяцев, 1 год и 1,5 года с момента РЧД.
Результаты манипуляции были разделены на три группы: хороший - отсутствие боли, удовлетворительный - отсутствие боли в покое, значительное снижение её интенсивности при движениях, отсутствие необходимости приема анальгетиков и неудовлетворительный - сохранение интенсивности болевого синдрома на прежнем уровне.
При оценке результатов в ранний срок после манипуляции во всех случаях было отмечено уменьшение болевого синдрома, в среднем, на 36 баллов по шкале болевого аудита как в соответствующем отделе позвоночника, так и в конечностях. Через месяц хороший исход заболевания был отмечен у 101 (41 %), удовлетворительный - у 137 (56 %), неудовлетворительный - у 7 (3 %) пациентов. Таким образом, через месяц после манипуляции улучшение состояния наступило у 97 % больных. Через 6 месяцев распределение исходов заболевания осталось примерно таким же. Через год проведен анализ результатов лечения у 195 больных: хороший исход отмечен у 62 (32 %), удовлетворительный - у 117 (60 %), неудовлетворительный - у 16 (8 %) пациентов. Положительные результаты сохранились у 92 % больных, хотя снизилась доля хороших и увеличилась доля удовлетворительных оценок. Через 1.5 года мы наблюдали 180 больных, у 143 из них боли возобновились практически с прежней интенсивностью.
По шкале оценки боли установлено, что до операции интенсивность болевых ощущений составляла 47,1 ± 6,9 балла, через 3 дня - 11,4 ± 3,5 балла, через 1 месяц - 6,9 ± 4,1 балла, через 6 месяцев - 7,7 ± 3,8 балла, через 1 год - 8,5 ± 4,3 балла, через 1,5 года - 37,7 ± 3,3 балла. По всей видимости, произошла реинервация позвоночных сегментов и в эти сроки возможно повторение радиочастотной деструкции. Повторно манипуляция была выполнена 47 пациентам с выраженным положительным эффектом.
В свою очередь, в группе контроля до проведения консервативной терапии интенсивность боли составляла 46,3 ± 5,3 балла, по окончании лечения - 21,7 ± 4,2 балла, через 6 месяцев - 39,5 ± 3,2 балла, через 1 год - 45,4 ± 5,6 балла (рис. 6).
Таким образом, очевидным является не только более высокая по сравнению с консервативной терапией эффективность РЧД, но и более длительный период ремиссии после выполнения процедуры.
Исследование биомеханики шейного и поясничного отделов позвоночника до и через месяц после операции показало, что в значительной степени увеличивается амплитуда и скорость движений в позвоночных сегментах.
Заключение
Наш опыт показывает, что методика радиочастотной деструкции фасеточных нервов является высокоэффективной и безопасной. Это подтверждается так же материалами многочисленных «клиник боли», в которых данный метод является основным в лечении хронической вертеброгенной боли. Главными преимуществами радиочастотной денервации являются: контролируемый размер деструкции; контроль термического воздействия за счет постоянного мониторинга нагревания и электрического сопротивления тканей на конце иглы; подтверждение правильности расположения иглы методом электростимуляции; проведение манипуляции под местной анестезией в амбулаторных условиях; короткий восстановительный период после проведения денервации; низкая частота осложнений; возможность повторного проведения деструкции.
Радиочастотную денервацию можно рассматривать как паллиативное лечение, но стойкость ее эффекта, возможность проведения повторных операций делает ее привлекательной как для врачей, так и для пациентов. Данный метод является эффективным при лечении вертеброгенной боли, локализованной в одном дерматоме, когда последняя не поддаётся консервативному лечению. РЧД - это весьма привлекательное дополнение к комплексной консервативной терапии, позволяющее улучшить исходы заболевания и продлить стойкость эффекта. Любая «радикальная» операция подразумевает длительное оперативное вмешательство, фиксацию позвоночных сегментов (т.е. нарушение биомеханики позвоночника), возможность интра- и послеоперационных осложнений, высокую стоимость лечения. Радиочастотная же деструкция выгодно отличается от всех известных неинвазивных методов своей высокой эффективностью, а от инвазивных - подкупающей безопасностью.
Несомненно, радиочастотная денервация позвоночных сегментов при лечении вертеброгенного болевого синдрома имеет большое будущее и требует дополнительных исследований для определения наиболее продуктивного сочетания с другими методиками консервативного лечения [5].
Литература
Назаренко Г.И., Черкашов А.М., Кузьмин В.И., Назаренко А.Г., Горохов М.А., Шарамко Т.Г.
Статья опубликована в журнале Вестник травматологии и ортопедии им. Н.Н. Приорова, 2013.-N 2.-С.26-31.
Травма шейного отдела позвоночника

Рентгенограмма. Подвывих в шейном отделе позвоночника. Цветовая обработка изображения.
Половина всех случаев переломов позвоночника приходится на шейный отдел. Многие травмы шейного отдела позвоночника угрожают жизни пациента для жизни пациента. Поэтому они требуют неотложных мероприятий.
Классификация
Переломы верхнешейного отдела:
- перелом кольца С1, вызванный падением
- боковое смещение боковых масс свыше 7 мм, разрыв поперечной связки и нестабильность

Перелом С1 Джефферсона. Рентгенография через открытый рот. С обеих сторон расширено расстояние от нижних площадок ножек С2 до боковых масс С1. Боковые массы С1 смещены латерально и перестают быть в линию с боковыми массами С1.
Перелом зуба может симулировать аномалия развития, известная как третий мыщелок.

аномалия развития - третий мыщелок
- в сагиттальной плоскости: передне-заднее расстояние больше 4 мм, что обусловлено повреждением поперечной связки
- ротационная: асимметрия зубовидного отростка по отношению к боковым массам С1 и уменьшение расстояния в суставах между боковыми массами С1 и С2
Переломы зубовидного отростка:
- Тип I - выше основания отростка (встречаются редко, стабильны)
- Тип II - в основании отростка (обычно нестабильны). У детей до 6 лет эпифизарная линия может напоминать перелом.
- Тип III - распространение перелома на тело

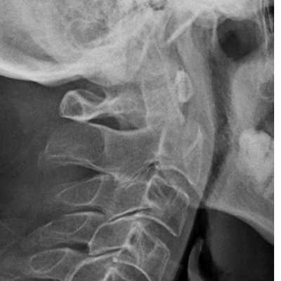
Перелом С2. Рентгенограмма в боковой проекции. Кольцо незамкнуто вследствие смещения зубовидного отростка назад.
Перелом повешенного (нестабильны)
- Травматический спондилолистез С2-С3
- Перелом обеих ножек С2 со смещением тела С2 на С3

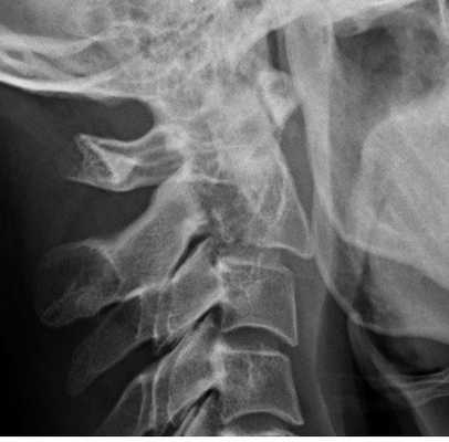
Перелом С2 «повешенного». Рентгенограмма в боковой проекции. Смещение тела С2 вперед, отрыв задних элементов.
Переломы нижнешейного отдела:
По сгибательному механизму
- Компрессионный перелом тел позвонков
- Повреждение
Все диагностические исследования проводятся после иммобилизации и первичного клинического обследования. Показаниям к лучевой диагностике служат боли, неврологическая симптоматика, сопутствующая травма головы и дизориентированность пациента. Выявление у пациента плегии и полного выпадения чувствительности, либо выявление синдрома Броун-Секара указывает на тяжелое повреждение спинного мозга костными элементами.
Обследование начинается со стандартной рентгенографии в 3 проекциях - боковой, передне-задней (прямой) и через рот.

Схема. Ход рентгеновского луча и расположение кассеты с пленкой при снимке через рот.
Если пациент находится в бессознательном состоянии, то рентгенография через рот невыполнима и заменяется КТ.
КТ является методом выбора для оценки костного повреждения. Однако более полную информацию о состоянии спинного мозга даёт МРТ.

КТ. Перелом тела С2 (красные стрелки).
Особую категорию составляют пациенты, у которых, несмотря на наличие неврологической симптоматики, не выявляется изменений при рентгенографии или КТ. Число таких пациентов составляет около 10%. Среди различных механизмов подобных травм наиболее вероятна кратковременная компрессия спинного мозга задней продольной связкой и дисками, либо, жёлтой связкой и пластиной дуги. Посколько резкие сгибания и разгибания наблюдаются при высокой подвижности в сегментах, такие травмы более вероятны в шейном отделе позвоночника. Спондилолиз усугубляет эту ситуацию, приводя к центральному синдрому спинного мозга. В этих случаях необходимой является МРТ позвоночника. Характерными находками, которые мы часто видим при травмах при МРТ в СПб, являются отёк спинного мозга и гематома, причём последняя при МРТ позвоночника плохим прогностическим фактором в отношении восстановления неврологического дефицита. К наиболее тяжелым осложнениям шейной травмы относится расслоение магистральных артерий, определяемое по МРТ, МРА или КТ и КТА. В высоком поле такой вид травм лучше виден чем в открытом МРТ. МРТ СПб позволяет выбирать место МРТ, однако, острая травма шейного отдела позвоночника требует высокоспециализированного нейрохирургического отделения
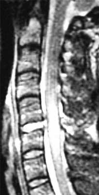
МРТ шейного отдела позвоночника. Острая травма. Компрессия спинного мозга, отек и контузия. Сагиттальная Т2-взвешенная МРТ.

МРТ шейного отдела позвоночника. Аксиальная Т2-взвешенная МРТ. Кровоизлияние в спинной мозг.

МРТ шейного отдела позвоночника. Т2-взвешенная сагитальная МРТ. Острая травма с повреждением задних элементов позвонков и отеком спинного мозга.

МРТ шейного отдела позвоночника. Острая травма. Отёк спинного мозга. Сагиттальная Т2-взвешенная МРТ.
Читайте также:
