Техника тенодеза бицепса при дегенеративном повреждении верхних отделов суставной губы плечевого сустава (SLAP)
Добавил пользователь Евгений Кузнецов Обновлено: 13.12.2025
Разрывы суставной губы плечевого сустава встречаются очень часто и во всех возрастных группах. Это означает в том числе то, что у некоторых пациентов их можно считать нормальными возрастными изменениями. В таких случаях они не вызывают боль в плече и на них можно не обращать внимание. Некоторые разрывы, однако, возникают в результате травмы. Многие из подобных разрывов требуют операции. Вы здесь, наверное, потому, что кто-то сказал вам, что у вас разрыв суставной губы, который требует хирургического лечения. Как мы определяем, кому операция может помочь, а кому она не нужна?
Наиболее частой причиной травматических разрывов суставной губы являются занятия спортом, связанные с бросками снарядов из-за головы. Также травматические разрывы суставной губы возникают в результате вывиха плеча при столкновении или падении. На МРТ разрывы суставной губы обнаруживаются у большинства пациентов старше 40 лет. Такие разрывы считаются возрастными изменениями, развивающимися в результате нормального процесса изнашивания различных структур нашего организма.
В более молодом возрасте суставная губа играет важную функцию стабилизации плечевого сустава. Если разрыв суставной губы приводит к вывиху в плечевом суставе, может быть необходима операция. В возрасте старше 40 операция по поводу разрыва суставной губы показана редко. Когда мы смотрим, какое лечение назначить по поводу разрыва суставной губы, нам нужно понять, как произошел этот разрыв. От этого зависит, нужна вам операция или нет.
Чтобы вы тоже смогли немного понять это, давайте поговорим:
- Что такое суставная губа?
- Что такое разрыв суставной губы?
- Почему происходит разрыв суставной губы?
- Нужна ли операция при разрыве суставной губы?
Суставная губа — это хрящевой диск, прикрепляющийся к краю суставной впадины лопатки. Функция суставной губы — это поддержание стабильности плечевого сустава, т.е. удержание головки плечевой кости на своем месте. Также с суставной губой прочно связаны связки, стабилизирующие плечевой сустав. Поэтому необходимо понимать, что если есть разрыв суставной губы, связки плечевого сустава также не будут работать правильно.
Лечение разрывов суставной губы зависит от того:
- Как произошел разрыв суставной губы
- Какие у вас в данный момент жалобы
- Какое лечение уже проводилось
- Считаем ли мы, что именно губа является причиной боли


Разрыв суставной губы (повреждение Банкарта)Бывают разные типы разрывов суставной губы. Или можно сказать, что разрывы суставной губы возникают при различных типах травм. Различные механизмы травмы включают повторяющиеся нагрузки, падения, спортивные травмы, старение и износ. Многие разрывы суставной губы являются следствием механической травмы (падение или спортивная травма). Такие разрывы нередко можно видеть после вывиха плеча.
Также разрывы суставной губы возникают при повторяющихся физических нагрузках, связанных с бросками предметов из-за головы или соответствующими движениями руки (бейсбольные питчеры, волейболисты, пловцы). Наверное, самыми распространенными разрывами являются разрывы вследствие возрастного износа губы. Разрывы могут быть мелкими или протяженными, когда суставная губа полностью отделяется от подлежащей кости.
Если в результате падения вы вывихиваете плечо, головка плеча при своем движения отрывает губу от суставной впадины лопатки. Такой разрыв называется повреждением Банкарта или Пертеса. Этот тип разрыва распространен у спортсменов, занимающихся контактными видами спорта.
У спортсменов, постоянно бросающих предметы из-за головы, например, бейсболистов и волейболистов, причиной разрыва обычно являются постоянно повторяющиеся нагрузки. Это означает, что каждый раз, когда вы бросаете мяч, вы подвергаете перегрузке зону прикрепления суставной губы к суставной впадине. Постепенно на этом фоне губа отрывается. Это наиболее распространенная причина разрыва суставной губы у бейсбольных питчеров.
И наконец, в наиболее многочисленной группе, к которой относимся все мы, которым уже за 40, суставная губа повреждается в результате простого изнашивания. При этом меняется ее структура, она деформируется, но от кости на самом деле не отрывается. Такие изменения мы считаем нормальными возрастными изменениями. Чаще всего они не являются причиной боли в плечевом суставе и фиксации не требуют. Это означает, что причина боли у вас скорей всего другая. Наиболее распространенной причиной боли в плечевом суставе у взрослых является ротаторная манжета.
Давайте рассмотрим следующие клинические ситуации:
- Вы спортсмен-метатель, и при броске из-за головы вы испытываете боль в плечевом суставе: боль не проходит и на МРТ обнаруживается разрыв суставной губы. Если физиотерапия неэффективна, высока вероятность, что для восстановления суставной губы понадобится операция. Однако последние научные данные свидетельствуют о том, что вам, возможно, не удастся восстановить свой прежний уровень соревновательных нагрузок.
- Вы упали и получили вывих плеча, и теперь вывихи плеча у вас повторяются: для снижения риска повторения вывихов вам показана операция.
- Разрывы суставной губы, нередко обнаруживаемые на МРТ у лиц старше 40 лет: обычно это дегенеративные разрывы. Возьмем, к примеру, случай 44-летнего пациента, который испытывает трудности при подъеме руки вверх, жалуется на боль по ночам и при физической работе. В этом случае обнаруживаемый на МРТ разрыв суставной губы НЕ является причиной боли. В возрасте старше 40 лет причиной боли в плечевом суставе чаще всего является ротаторная манжета, а не дегенеративный разрыв суставной губы. Согласно результатам одного из последних исследований, опубликованного в 2017 году, операция на суставной губе у пациентов старше 40 лет не более эффективна, чем операция-плацебо. Операция-плацебо — это когда вам дают наркоз, делают несколько небольших разрезов, однако с суставной губой ничего не делают. Разрезы ушиваются и пациент выводится из наркоза.
Данные вашего анамнеза, физикального обследования и данные МРТ должны коррелировать друг с другом и выстраиваться в картину, на основании которой хирург должен быть практически на 100% уверен, что именно суставная губа является источником боли в плечевом суставе. Мы никогда не можем быть уверены на 100%… но должны быть уверены практически на 100%
Не все, что порвалось, нуждается в восстановлении. Врач должен стремиться лечить пациента, а не его МРТ. В недавней статье в Нью-Йорк Таймс показано, что практически у 90% профессиональных спортсменов на МРТ обнаруживаются изменения, соответствующие разрывам суставной губы или другим проблемам с плечевым суставом, однако боли у этих спортсменов нет совсем. Поэтому важно, чтобы все, на что вы жалуетесь и рассказываете врачу, соответствовало находкам при физикальном обследовании, и чтобы врач понимал, что именно разрыв суставной губы является причиной боли в плечевом суставе. Скажу вам прямо, что у очень и очень многих людей разрыв губы не является такой причиной. Некоторые разрывы могут вызывать т.н. «механические» симптомы. Это щелчки, заклинивание и боль при определенных движениях, например, связанных с броском мяча из-за головы. Такие разрывы часто нуждаются в хирургическом лечении. Некоторые разрывы губы приводят к дестабилизации сустава, вывихами и подвывихам в суставе. Это довольно значительная проблема, требующая, как правило, хирургического восстановления губы.
На сегодняшний день операции по поводу разрывов суставной губы плечевого сустава выполняются артроскопически. Во время такой операции в сустав вводится камера, обнаруживается разрыв суставной губы и связок. Эти образования возвращаются на место и фиксируются швами.

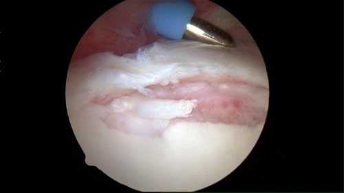
На рис. Инструмент находится на суставной губе, которая, как видно, оторвана от суставной впадины.

На рис. Суставная губа фиксирована швами.
Даже если вы соблюдаете все рекомендации врача, и даже если на повторной МРТ видно, что губа зажила, вы все равно можете испытывать некоторые остаточные симптомы (боль). Во многих случаях это связано с тем, что в плече есть еще какая-то проблема, либо просто потому, что восстановление «нормальной» функции плеча после операции часто бывает невозможно.
Многие разрывы суставной губы плечевого сустава не нуждаются в хирургическом лечении…
Повреждение SLAP
SLAP-разрыв — это повреждение суставной губы плечевого сустава, — кольцевидного хрящевого образования, окружающего по периферии суставную впадину лопатки.
Плечевой сустав человека — это шаровидное сочленение, образованное тремя костями: плечевой костью, лопаткой и ключицей.
Головка плечевой кости сочленяется с округлой суставной впадиной лопатки. Эту впадину называют гленоидом.
По периферии гленоид окружен прочной фиброзной тканью, называемой суставной губой.
Суставная губа увеличивает глубину суставной впадины и тем самым помогает стабилизировать плечевой сустав.
Губа, кроме того, служит местом прикрепления многих связок плечевого сустава, а также сухожилия двуглавой мышцы плеча.

На рис. Суставная губа увеличивает глубину суставной впадины лопатки, обеспечивая тем самым большее соответствие её форме головки плеча.
Термин SLAP является аббревиатурой Superior Labrum Anterior & Posterior — верхняя губа, спереди и сзади.
При SLAP-повреждении происходит разрыв верхней части суставной губы. Как раз в этом месте к суставной губе прикрепляется сухожилие двуглавой мышцы плеча.
Разрыв суставной губы при SLAP-повреждении может происходить как спереди, так и позади зоны прикрепления сухожилия. Само по себе сухожилие также может участвовать в формировании разрыва.

Поперечный срез плечевого сустава, на котором схематично показан типичный SLAP-разрыв.
Повреждения верхней части суставной губы могут возникать как вследствие острой травмы, так и в результате повторяющихся движений в плечевом суставе.
Причинами острых SLAP-повреждений могут быть:
- Дорожно-транспортные травмы
- Падение на отведенную руку
- Резкое и сильное оттягивание плеча, например, при попытке поймать и удержать тяжелый предмет
- Быстрое или насильственное движение плеча, когда оно находится выше уровня плечевого сустава
- Вывих плеча
Спортсмены, чья профессиональная деятельность связана с повторяющимися подъемами рук, например, метатели или тяжелоатлеты, также могут быть подвержены риску разрыва суставной губы вследствие повторяющихся перегрузок плечевого сустава.
Многие SLAP-повреждения, однако, становятся результатом износа суставной губы, который в той или иной мере со временем развивается у каждого из нас.
У пациентов старше 40 лет повреждение или истончение верхнего сегмента суставной губы можно рассматривать как часть нормального процесса старения. Это состояние отличается от острых повреждений суставной губы, наблюдаемых, как правило, у лиц младше 40 лет.
Наиболее распространенные симптомы SLAP-повреждений похожи на симптомы других травм и заболеваний плечевого сустава. Вот эти симптомы:
- Щелчки, ощущение блокирования, наличие препятствия нормальным движениям в суставе
- Боль при движениях в плечевом суставе или в определенных положениях плеча
- Боль при поднятии тяжестей, особенно над головой
- Снижение силы мышц в области плечевого сустава
- Ощущение, будто бы головка плеча вот-вот «выпрыгнет из сустава»
- Ограничение объема движений
- Питчеры (игровая позиция в бейсболе) могут жаловаться на снижение силы броска или ощущение, будто рука после броска «замирает»
Ваш доктор побеседует с вами о том, что вас беспокоит в данный момент и когда впервые появились эти симптомы. Если вы помните о каком-либо эпизоде травмы или специфическом виде физической активности, которые стали причиной боли в плечевом суставе, обязательно расскажите об этом врачу, — это наверняка поможет ему поставить правильный диагноз. Многие пациенты, однако, не помнят о таких эпизодах. Необходимо также отметить любые виды физической активности, которые приводят к усилению жалоб со стороны плечевого сустава, локализовать эти жалобы и указать, был ли эффект от лечения, если оно проводилось.
Во время осмотра доктор оценит объем движений в плечевом суставе, силу мышц и стабильность плечевого сустава.
Доктор может провести специальные тесты в различных положениях плечевого сустава, задачей которых является воспроизведение имеющихся у вас симптомов. Также доктор может обследовать вашу голову и шею, поскольку источником боли в плечевом суставе может быть «ущемление нерва».
Результаты физикального обследования позволят доктору решить, необходимо ли вам дополнительное обследование и в каком объеме.
Рентгенография. Этот метод исследования позволяет визуализировать плотные анатомические структуры, которыми являются, например, кости. Суставная губа плечевого сустава не является костной структурой, поэтому на рентгенограммах не видна. Однако доктор может назначить вам рентгенографию для исключения другой патологии плечевого сустава, например, остеоартрита или перелома.
Магнитно-резонансная томография (МРТ). МРТ является наиболее информативным методом визуализации мягких тканей. Для того, чтобы более четко увидеть разрыв суставной губы на МР-томограммах, перед исследованием возможно введение в сустав специального контрастного вещества.

На рис. (Слева) МР-томограмма нормального плечевого сустава. (Справа) МР-томограмма с признаками разрыва суставной губы.
Консервативное лечение
Во многих случаях SLAP-повреждения сначала лечат консервативно. Вариантами такого лечения являются:
Упражнения на восстановление подвижности плечевого сустава способствуют растягиванию капсулы сустава, представляющей собой прочную соединительнотканную оболочку, со всех сторон окружающую сустав.
Тренировка мышц плечевого пояса позволит уменьшить боль и предотвратить повторную травму плечевого сустава. Занятия ЛФК продолжаются, как правило, от 3 до 6 месяцев и проводятся обычно под руководством квалифицированного физиотерапевта.
Хирургическое лечение
В случаях, когда консервативное лечение оказывается неэффективным, доктор может порекомендовать вам хирургическое лечение.
Артроскопия. Наиболее часто используемым методом хирургического лечения SLAP-повреждений является артроскопия.
Во время этой операции в сустав вводится небольшая видеокамера, называемая артроскопом. Изображение с камеры передается на телеэкран. Под контролем артроскопа хирург с помощью таких же небольших инструментов выполняет в суставе все необходимые манипуляции.
Используемые артроскоп и хирургические инструменты очень тонкие, поэтому и хирургические доступы будут маленькие, в отличие от стандартных открытых операций на плечевом суставе.

Во время операции хирург вводит в полость плечевого сустава артроскоп и специальные небольшие инструменты.
На рис. (Слева) Артроскопическая картина нормальной суставной губы. (В центре) Артроскопический крючок введен в области массивного SLAP-повреждения. (Справа) Поврежденный сегмент суставной губы рефиксирован швами.
Варианты хирургического лечения. Выделяют несколько различных типов SLAP-повреждений. Какой из них имеет место в каждом конкретном случае и как быть с этим повреждением, будет видно только во время артроскопии.
В некоторых случаях будет достаточно удаления поврежденного фрагмента суставной губы, тогда как в других необходима рефиксация губы к суставной впадине лопатки швами.
При некоторых SLAP-повреждениях сухожилие двуглавой мышцы приходится отсекать от места его прикрепления.
В зависимости от типа имеющегося у вас разрыва хирург решит, какой метод лечения лучше всего подходит в вашем конкретном случае. Кроме того, выбор метода лечения будет зависеть от вашего возраста, уровня физической активности или наличие других повреждения, обнаруживаемых во время операции.
Осложнения. Осложнения при артроскопических вмешательствах на плечевом суставе являются исключительной редкостью, однако это все же операция, и она не может быть лишена рисков. К счастью, чаще всего эти риски невелики и хорошо управляемы. Возможными проблемами после артроскопических вмешательств могут быть инфекция, избыточное кровотечение, тромбозы, ограничение движений в плечевом суставе, повреждение кровеносных сосудов и нервов.
Перед операцией хирург подробно обсудит с вами возможные осложнения предстоящей операции и то, как можно их избежать.
Если во время операции вам будет выполнен шов суставной губы, то для ее заживления необходимо некоторое время, в течение которого конечность обычно фиксируют специальной повязкой. Продолжительность иммобилизации обычно составляет 2-4 недели, однако может быть и больше в зависимости от тяжести имеющегося у вас повреждения.
После купирования послеоперационного болевого синдрома и отека хирург порекомендует вам начать реабилитационные мероприятия, характер и объем которых строго индивидуальны и определяются типом имеющегося у вас повреждения.
Реабилитационные мероприятия направлены в первую очередь на восстановление подвижности плечевого сустава. Упражнения на растяжение мышц и связок позволяет увеличить объем движений в суставе и предотвратить развитие контрактур. По мере вашего выздоровления к этим упражнениям добавляются упражнения, направленные на укрепление мышц плечевого пояса. Чаще всего такие упражнения начинаются через 4-6 недель после операции.
Вы сможете обсудить со своим доктором, когда вам безопасней всего вернуться к занятиям спортом. Спортсмены-метатели обычно возвращаются к занятиям не раньше 3-4 месяцев после операции.
Большинство пациентов, у которых был выявлен SLAP-разрыв, после операции отмечают уменьшение выраженности болевого синдрома и увеличение силы мышц.
Необходимо помнить, что все пациенты разные, поэтому и полное восстановление функции плечевого сустава у разных людей может занимать различный период времени.
При наиболее сложных повреждениях и обширных реконструктивных вмешательствах этот процесс может продолжаться несколько месяцев. Заживление — это не быстрый процесс, однако четкое следование рекомендациям оперирующего хирурга и соблюдение всех пунктов реабилитационной программы позволяет добиться хорошего результата в подавляющем большинстве случаев.
Если у Вас есть проблемы с суставами. Если каждое движение причиняет боль. Мы сможем Вам помочь. Клиника оснащена современным медицинским оборудованием, которое позволяет успешно выполнять широкий спектр хирургических вмешательств на костях и суставах.
Большинство операций на суставах в клиники выполняются эндоскопически, то есть методом мини разрезов. Клиника оснащена специальными послеоперационными палатами, в которых анестезиологи осуществляют наблюдение и лечение пациентов после крупных операций.
Однако в клинике проводятся не только высокотехнологичные хирургические вмешательства, но и активно применяются консервативные методы лечения и реабилитации пациентов без операций.
Для пациентов в клинике создана максимально комфортная обстановка. Одно и двухместные палаты оборудованы специальными ортопедическими кроватями. Врачи нашей клиники профессионалы своего дела, для которых Ваше здоровье основной приоритет. Записывайтесь и приходите на консультацию в нашу клинику уже сегодня, и мы обязательно Вам поможем.
Разрыв SLAP
Повреждение сухожилия двуглавой мышцы в области его перехода в суставную губу достаточно частое явление. Однако данная патология очень трудна для диагностики и очень часто обнаруживается непосредственно во время операции. Нередко естественный износ в данной области, который возникает у пациентов после 40 лет, может быть ошибочно расценен как повреждение.
При стойкой боли, ограничении движений, а также присутствии щелчков в плечевом суставе, особенно если пациент занимался ранее спортом, связанным с плаванием или метанием можно заподозрить повреждение SLAP.
Плечевой сустав образуют три кости: ключица, лопатка и плечевая кость. Головка плечевой кости помещена в небольшую по сравнению с ее размером впадину лопатки.

По краям суставную впадину окружает мягкотканная губа, она увеличивает глубину суставной впадины, что позволяет ей больше соответствовать головке плечевой кости по форме.
Сустав также окружен плотной соединительной тканью называемой капсулой. Прочная капсула, сильные связки, сухожилия и мышцы, окружающие сустав, удерживают головку плечевой кости в центре суставной впадины.
Ротаторная манжета сформирована из сухожилий четырех мышц (надостной, подостной, подлопаточной и малой круглой) и соединяет плечевую кость и лопатку.

Сухожилия соединяют мышцы с костями. Мышца перемещает кость, потянув за сухожилие. Сухожилия ротаторной манжеты помогают поднять и повернуть руку. Также ротаторная манжета центрирует головку плечевой кости в центре суставной площадки лопатки (гленоида) при движениях.
Суставная губа может ущемляться между головкой плечевой кости и гленоидом при движениях. В результате верхние отделы суставной губы начинают отрываться. Со временем размеры повреждения увеличиваются, оторванная губа может смещаться в полость сустава и ущемляться между головкой плечевой кости и гленоидом (SLAP повреждение).

Результатом становится боль при движениях. Также при отрыве суставной губы уменьшается стабильность в суставе.
Повреждение верхних отделов суставной губы часто вызваны прямой травмой, например падением на вытянутую руку. Нередко при длительных занятиях метательными видами спорта или тяжелой атлетикой может происходить постепенное повреждение суставной губы. В некоторых случаях SLAP повреждение может стать результатом вывиха плеча.

Основными симптомами SLAP повреждения являются боли в передних отделах плеча, щелчки и треск при движениях в плечевом суставе. На фоне боли прогрессирует снижение объема активных движений, особенно выше головы, а в дальнейшем развивается тугоподвижность в суставе. При повреждении суставной губы некоторые пациенты могут чувствовать нестабильность в плечевом суставе, при некоторых движениях.

Врач может заподозрить повреждение суставной губы на основе анамнеза и клинического осмотра. При клиническом осмотре врач проводит специальные стресс-тесты, выявляя характерные для данного заболевания симптомы. МРТ и рентгенография плечевого сустава обладают не высокой чувствительностью к повреждениям суставной губы.
В связи с чем, диагностика повреждений суставной губы значительно затруднена. Артроскопия может быть использована для подтверждения диагноза. Артроскоп — небольшой оптический прибор, соединенный с видеокамерой и монитором, который вводится в полость сустава через прокол кожи.

Во время операции можно осмотреть полость сустава, диагностировать повреждение суставной губы и выполнить реконструкцию.
Лечение обычно начинают с консервативных мероприятий. Основная цель уменьшить боль и воспаление в суставе. Приоритетным также является терапия, в основном лечебная физкультура направленная на профилактику тугоподвижности в суставе. Ваш врач может назначить инъекции кортизона в полость сустава. Кортизон очень сильный противовоспалительный препарат, который при введении в сустав значительно снижает болевой синдром. Однако стоит отметить, что облегчение от боли носит лишь временный характер. Если в течении 3-4 месяцев консервативное лечение не эффективно, болевой синдром не купируется, а объем движений в суставе прогрессивно уменьшается может рассматриваться вопрос о операции.

Для хирургического лечения повреждений суставной губы, в том числе SLAP повреждения в настоящее время используется артроскопия.
Если участок поврежденный губы небольшой и не затрагивает всю ее толщу, губа не ущемляется между головкой и гленоидом при движениях можно ограничиться дебридментом. Дебридмент выполняется специальными артроскопическими механическими инструментами или при помощи холодной плазмы (холодноплазменная абляция). В результате дебридмента сглаживаются неровности, а также участки разволокнения суставной губы. При дебридменте возможно резецировать краевые и частично оторванные фрагменты суставной губы и сухожилия двуглавой мышцы, которые при движениях в плечевом суставе «истирают» суставной хрящ и способствуют хроническому воспалению.
Если разрыв суставной губы значительный, а в плечевом суставе определяется нестабильность может потребоваться ее рефиксация, а не простое удаление.

Во время артроскопии, визуализируется место повреждения, в кости в проекции отрыва, сверлятся каналы, а в них вводятся специальные якорные фиксаторы (анкеры), к которым сверхпрочными нитями производится фиксация суставной губы. Для операции может потребоваться несколько якорных фиксаторов.

Якорный фиксаторы (анкеры) могут быть изготовлены из металла или специального рассасывающегося материала. Через некоторое время суставная губа прирастает к кости. Якорные фиксаторы удалять в дальнейшем не требуется.

В некоторых случаях при значительном повреждении сухожилия двуглавой мышцы выполняется его тенодез.
Тенодез — это операция отсечения сухожилия бицепса от лопатки и фиксация его новом месте в области проксимального отдела плечевой кости.
При тенодезе рельеф мышц плеча не страдает. Операция приводит к резкому уменьшению болевого синдрома в области плечевого сустава.
Существует множество способов артроскопического тенодеза сухожилия двуглавой мышцы.
Для фиксации сухожилия к кости могут быть применены якорные фиксаторы (анкеры) или специальные винты.
Преимуществом артроскопического тенодеза является уменьшение степени повреждения неизмененных окружающих сустав тканей, что приводит к более быстрому заживлению и восстановлению.
После операции тенодеза и рефиксации суставной губы назначается специальная ортезная повязка, чаще всего пассивные движения в локтевом и плечевом суставе разрешаются сразу после операции.

Однако активные движения прооперированной рукой ограничивают до полутора месяца после операции. Более агрессивная реабилитация может привести к отрыву сухожилия двуглавой мышцы и суставной губы от места рефиксации к кости. К спорту обычно можно вернуться через 4-6 месяцев после операции.
Операция дебридмента предполагает более активную реабилитацию которая начинается сразу после операции. Швы с кожи после артроскопических операций на плечевом суставе обычно снимают на 10-ые сутки.
В нашей клинике мы широко применяем артроскопию и другие малоинвазивные методы лечения патологии плечевого сустава. Операции проводятся на ультрасовременном медицинском оборудовании с использованием качественных и зарекомендовавших себя расходных материалов, фиксаторов и имплантов от крупных мировых производителей.
Однако результат операции зависит не только от оборудования и качества имплантов, но и от навыка и опыта хирурга. Специалисты нашей клиники имеют большой опыт лечения травм и заболеваний данной локализации в течении многих лет.
Видео о нашей клинике травматологии и ортопедии
- Изучение истории заболевания и жалоб пациента
- Клинический осмотр
- Выявление симптомов заболевания
- Изучение и интерпретация результатов МРТ, КТ и рентгенограм, а также анализов крови
- Установление диагноза
- Назначение лечения
Повторная консультация врача травматолога — ортопеда, к.м.н. — 2000 рублей
- Анализ результатов исследований, назначенных во время первичной консультации
- Постановка диагноза
- Назначение лечения
Артроскопическая реконструкция SLAP — 79000 рублей
- Пребывание в клинике
- Анестезия
- Операция: Артроскопия плечевого сустава с реконструкцией SLAP
- Расходные материалы
- Импланты (Smith and Nephew, Mitek)
* Анализы для операции в стоимость не входят
Артроскопический тенодез сухожилия бицепса — 49000 рублей
- Пребывание в клинике
- Анестезия
- Операция: Артроскопия плечевого сустава с тенодезом бицепса
- Расходные материалы
- Импланты (анкер Smith and Nephew, Mitek)
Внутри- и околосуставное введение, «блокады» глюкокортикоидами (без стоимости препарата) — 1000 рублей
- Местная анестезия
- Локальное введение расствора глюкокортикоида (Дипроспан)
Прием врача травматолога — ортопеда, к.м.н. после операции — бесплатно

SLAP-разрыв представляет собой повреждение хрящевой ткани сустава плеча - суставной губы, имеющей форму кольца и окружающую лопаточную суставную впадину.
Анатомические особенности сустава плеча
Анатомически плечевой сустав образован ключицей, плечевой костью, а также лопаткой. При этом, головка плечевой кости соединена с лопаточной впадиной - гленоидом, обрамленной по периферийной части так называемой суставной губой, состоящей из фиброзной ткани.
В свою очередь, суставная губа выполняет роль точки прикрепления плечевых связок и мышц, а также отвечает за стабилизацию сустава за счет увеличения глубины суставной впадины.

На рис. 1 показана суставная губа, обеспечивающая максимальное соответствие лопаточной впадины форме плечевой головки благодаря увеличению глубины первой.
Что такое SLAP: подробная информация
Термин SLAP (лат. Superior Labrum Anterior & Posterior) переводится, как «верхняя губа, спереди и сзади». Как правило, SLAP-повреждение сопровождается полным разделением суставной губы в месте присоединения к ней сухожилия плечевой двуглавой мышцы, либо разрывом непосредственно самого сухожилия.

На рис. 2 схематично показан типичный пример SLAP-разрыва в области плечевого сустава.
Основные причины SLAP-повреждений
Причинами различного рода повреждения суставной губы могут быть, как стабильно повторяющиеся суставные движения, так и вызванные различными обстоятельствами травмы.
К таким травмам специалисты относят:
- падение на отведенную верхнюю конечность;
- вывихи различной степени тяжести;
- травмы, полученные при ДТП;
- резкое и интенсивное оттягивание плеча и т.д.
Не редко, на практике, специалисты отмечают разрыв суставной губы у профессиональных спортсменов-тяжелоатлетов, которые, в силу профессиональной деятельности, испытывают регулярные мгновенные и весьма интенсивные нагрузки на плечевой сустав.
Кроме того, повреждения данного типа характерны и для лиц старше 40 лет, ввиду естественного старения организма и, соответственно, утраты фиброзной тканью прежней эластичности.
Симптоматика SLAP-повреждений
Симптоматика SLAP-повреждений имеет схожие черты с иными видами недугов и травм сустава плеча:
- локальные болевые ощущения в плечевой области при поднятии тяжестей, совершении движений верхней конечностью, либо определенных ее положениях;
- наличие щелкающих звуков;
- блокирование, либо двигательная ограниченность плечевого сустава;
- уменьшение мышечной силы и т.д.
Особенности диагностирования недуга
При выявлении у пациента SLAP-повреждений лечащий специалист, изначально, проводит беседу, с целью определения характера имеющихся ощущений, времени их появления, а также возможных эпизодах травмирования.
Также, врач акцентирует внимание на всех типах физической активности, провоцирующих возникновение вышеперечисленных симптомов, вариантах лечения недуга (если проводились), суставной стабильности, отсутствия эффекта «защемленного нерва» и пр.
Собранная при первичном физикальном обследовании информация позволят специалисту сделать общие выводы, а также определить необходимость дополнительной диагностики, основанной на следующих лучевых методиках.
Рентгенографическое исследование. Данный метод исследования, хотя и не позволяет адекватно оценить состояние суставной губы, все же, обеспечивает достаточно подробную визуализацию плотных структур (например, костей). Именно поэтому рентгенограмма может назначаться специалистом с целью исключения иных видов повреждений или заболеваний - переломов, остеоартритов и пр.
Магнитно-резонансная томография (МРТ). Как правило, МРТ считается одной из максимально информативных методик, позволяющих наиболее детально разглядеть и оценить состояние не только суставной губы, но и других мягких тканей.

Справа на рисунке показан снимок с симптомами поврежденной суставной губы, слева - снимок здоровой ткани.
Особенности лечения SLAP-разрыва
В подавляющем большинстве случаев травмы этого типа подлежат лечению по консервативным методикам, включающим:
- прием препаратов нестероидной группы (напроксена, ибупрофена), позволяющим снять отеки и купировать болевые ощущения;
- выполнение физиотерапевтических упражнений, способствующих нормализации двигательных функций, а также мышечной силы.
Вышеперечисленные мероприятия, включая выполняемые в течение до полугода упражнения из курса лечебной физкультуры, позволяют достичь неплохих результатов в массе клинических случаев.
Если консервативное лечение не способствует нормализации состояния пациента, врач назначает хирургическую операцию по методике артроскопии.
На сегодняшний момент данный вид хирургического вмешательства считается одним из наиболее эффективных, поскольку обеспечивает удобство выполнения, а также быстрое восстановление оперируемого участка.
Для данной процедуры специалист применяет мини-камеру, а также специализированный инструментарий, которые вводятся в предварительно подготовленные отверстия в месте локализации повреждения.

Процесс проведения артроскопической операции.
На рис. (Слева) Слева на рисунке показана суставная губа в нормальном, здоровом состоянии. На центральном изображении можно увидеть введенный в район повреждения крючкообразный инструмент. На рисунке справа показан рефиксированный посредством хирургических нитей поврежденный участок суставной губы.
Варианты хирургического лечения. Поскольку интенсивность SLAP-повреждений может быть различной, специалист составляет индивидуальный вариант хирургического лечения, основанный на конкретной клинической ситуации.
В одних случаях может проводится иссечение травмированного элемента, в других, более сложных - соединение губы с лопаточной впадиной посредством швов.
Кроме того, план лечения разрабатывается врачом исходя из общего состояния здоровья пациента, его половозрастных особенностей, уровня повседневной физической активности и т.д.
Возможные осложнения. Артроскопия считается малоинвазивной методикой, а потому, вероятность проявления осложнений чрезвычайно мала. Однако, все же, бывают ситуации, когда после хирургической процедуры у пациента наблюдаются кровотечения, инфекционные поражения, ограниченность движений в суставах и пр. При этом, все вышеперечисленные проблемы достаточно легко устраняются и не несут какой-либо опасности для больного.
Реабилитационные мероприятия
При сложной операции на суставной губе (например, когда есть необходимость ее прикрепления к лопатке посредством швов), пациенту выполняют иммобилизацию конечности посредством специальной повязки. Период фиксации, при этом, может составлять, в среднем, 1 месяц.
После устранения послеоперационного болевого синдрома (спустя 1-1,5 месяца), пациенту назначаются восстановительные упражнения, направленные на увеличение эластичности и силового потенциала мышц, нормализации двигательных функций и пр.
Здесь, также, стоит отметить, что при особо серьезных случаях травмирования суставной губы, а также более обширных хирургических процедурах, восстановление может продолжаться несколько месяцев. Но, как правило, итоговый результат операции практически всегда является положительным.
Стоимость услуг
Первичное посещение кабинета травматолога-ортопеда
- Сбор основных данных на основе информации, предоставленной пациентом
- Осмотр в клинических условиях
- Симптоматика недуга
- Ознакомление с диагностическими данными, полученными посредством рентгенографии, МРТ, а также гематологических анализов
- Постановка диагноза
- Разработка плана лечения
Повторное посещение кабинета травматолога-ортопеда
- Повторное ознакомление с данными исследований, полученными при первом визите пациента
- Диагностирование заболевания
- Определение варианта лечения
Восстановление повреждения по артроскопической методике
- Пребывание в клинике
- Инъекция анестезионных препаратов
- Артроскопическая операция, включающая восстановление SLAP
- Хирургические материалы
- Анкерные импланты зарубежных производителей Smith and Nephew, Mitek
Артроскопический тенодез сухожилия бицепса
Послеоперационный прием травматолога-ортопеда
- Клинический послеоперационный осмотр
- Ознакомление с результатами послеоперационных диагностических данных
- Рекомендации по реабилитационному восстановлению
- Инъекция препарата на основе гиалуроновой кислоты (выполняется внутрь сустава по мере необходимости)
- Снятие швов и перевязочные процедуры
Отзывы о враче
Меня зовут Воробьева Елена. В августе 2021 Денис Сергеевич сделал мне операцию по замене тазобедренного сустава. В феврале 2022 года я пришла на очередной осмотр. Доктор сказал, что у меня все абсолютно .
Обратился к Денису Сергеевичу на консультацию по поводу проведения эндопротезирования коленного сустава. Ранее в той же клинике был поставлен диагноз гонартроз с рекомендацией оперироваться. Доктор .
У бабушки (91 год) был сложный перелом плеча со смещением. Никто не брался ей помочь, а в больницу с ковидом отправлять бабушку было страшно. Несколько врачей сказали, что ничем помочь не могут. От .
Мне, Митрополевский Татьяне Валентиновне, 1949 г. Рождения, была выполнена операция тотального цементного эндопротезирования левого тазобедренного сустава. Первая аналогичная операция на правом суставе .
Проживаю в Ростовской области. Последние два года очень беспокоила боль в тазобедренном суставе, уже ничего не помогало, и я решилась на эндопротезирование. По совету ростовского хирурга обратилась .
Больше года ежеминутно я чувствовала мигрирующую боль в области таза, боль усиливалась после сидения и лежания на боку. Прошла весь путь врачей от гинекологии, урологии, проктологии, неврологии и тому .
Обратилась к врачу с сильнейшей болью в тазобедренного суставе, практически не могла ходить. Денис Сергеевич внимательно осмотрел, назначил обследование, по результатам которого провел манипуляции .
Якушев Денис Сергеевич - травматолог-ортопед, но ещё и врач и человек с большой буквы. В 2016 году доктор Якушев Д.С. прооперировал тазобедренный сустав справа у моей мамы. Операция была экстренная .
Очень понравилось всё! Врач подробно рассказал обо всем, объяснил ситуацию. Понятно и доступно! Внимательность, профессионализм! Приятно было пообщаться. Специалиста рекомендую на все 100%!
Хочу сказать большое спасибо Якушеву Денису Сергеевичу! Обратился к нему с отрывом сухожилия бицепса. Диагноз был поставлен очень оперативно и сразу назначена плановая операция. Операцию сделали по .
Мне понравился весь мед персонал, а главное, мой лечащий врач - Якушев Денис Сергеевич. Этот человек на своем месте. Я живу в ростовской обл., хорошие люди дали номер телефона Денис Сергеевич, созвонились .
Хотим выразить огромную благодарность Якушеву Денису Сергеевичу! Спасибо Вам большое за Ваш профессионализм и внимательность, за теплое, доброжелательное отношение к нам и желание помочь! Пациенту .
С 2011 года у моей свекрови (сейчас ей 70 лет) появились сильнейшие боли в правой ноге в области бедра и колена. Мы с мужем неоднократно ее записывали к различным травматологам-ортопедам и неврологам .
Народ! Спешу сообщить, что наша медицина жива, пока у неё есть такие доктора, как Якушев Денис Сергеевич - Травматолог-ортопед, не ошиблась, именно с большой буквы. 28.01.2020 доктор Якушев Д.С.
В январе 2020 г. мужу сделали операцию по замене правого тазобедренного сустава в ФНКЦ МФБА России. Оперировал травматолог-ортопед Якушев Денис Сергеевич. Операция прошла прекрасно, всего за 1 ч. 10 .
Тендинит сухожилия бицепса

Тендинит сухожилия бицепса (двуглавой мышцы) представляет собой болезненное состояние, сопровождаемое воспалением верхней части (сегмента) сухожилия длинной головки данной мышцы, связующей ее брюшко с костями в районе плечевого сустава.
Самыми частыми симптомами такого недуга являются болевые и дискомфортные ощущения в месте его локализации, а также слабость в плечевой области.
Анатомические особенности плечевого сустава
Имеющий шаровидную форму, плечевой сустав сформирован ключицей, плечевой костью и лопаткой.
Также, сустав образуют и другие анатомические структуры:
- гленоид - окруженная хрящевой тканью суставная лопаточная впадина, соединяемая с головкой плечевой кости. Данного вида хрящевое образование обеспечивает оптимальное сочленение с головкой за счет увеличения площади впадины;
- ротаторная манжета - совокупность сухожилий и мышечных тканей, фиксирующих плечевую головку на одном уровне с гленоидом;
- бицепс (двуглавая мышца) - состоящая из 2-х сухожилий мышца, размещенная на передней плечевой поверхности и соединяемая с костями в области плеча.

Рис 1. Двуглавая мышца (бицепс) фиксируется к костям в районе плеча за счет сухожилий
Что представляет собой тендинит сухожилия бицепса?
Как было сказано выше, тендинит бицепса представляет собой воспалительный процесс, воздействующий на сухожилие его длинной головки. На начальном этапе проявления недуга может наблюдаться отечность и гиперемия, а по мере развития - утолщение тканей.
Как правило, при последующем прогрессировании тендинита, сухожилие может приобрести темно-красную расцветку, а также изменить свою структуру, что, зачастую, приводит к разделению (разрыву) ткани.

Рис 2. На изображении показана анатомическая структура плечевого сустава в норме.

Рис 3. Гиперемия и отечности в области сухожилия бицепса.
Как правило, развитие тендинита сопряжено с иными видами недугов, возникающих в области плечевого сустава:
- травма ротаторной манжеты;
- импинджмент и остеоартрит плечевого сустава;
- привычный вывих;
- разрыв суставной губы и т.д.
Основные причины возникновения тендинита
Зачастую, исходными причинами травмирования сухожилия бицепса являются, как повседневная физическая деятельность, так и более интенсивные нагрузки, например, при занятии спортом. Дело в том, что с возрастом, анатомические структуры человека изнашиваются и теряют прежнюю эластичность и прочность. При этом, возникающие в тканях дегенеративные изменения, со временем, дают о себе знать, в том числе, и при совершении самых обычных движений.
Симптоматика заболевания
К основным симптомам тендинита можно отнести:
- болевые ощущения в соответствующей области, значительно усиливающиеся при повышении степени физической активности, либо даже при обычном поднятии вверх руки;
- щелчки в районе плеча и т.д.
При обследовании недуга, лечащий специалист выясняет у пациента основные жалобы, а также проводит оценку мышечного тонуса и объема движений. Дополнительно ко всему вышеперечисленному врачом могут назначаться спецтесты.

Рис 4. Болевые ощущения и отечности, определяемые при пальпации (ощупывании) в районе сухожилия бицепса, могут с большой вероятностью говорить о наличии у пациента тендинита.
Особенности диагностирования
Для уточнения диагноза специалистом могут применяться вспомогательные методы, в том числе и рентгенографические - МРТ, КТ, УЗИ.
Например, посредством типовой рентгенограммы врач может визуально оценить состояние костных структур и, в ряде случаев, диагностировать наличие иных дополнительных патологий.
В свою очередь, ультразвуковые исследования и МРТ позволяют наиболее точно оценить анатомические особенности мягких тканей, определив наличие и характер их патологических нарушений.
Нюансы лечения тендинита бицепса
Лечение тендинита, как правило, проводится параллельно с лечением иных недугов плечевого сустава, и выполняется по двум основным методам - консервативному и хирургическому.
В большинстве случаев, устранение тендинита бицепса и его последствий начинается с консервативного лечения, включающего:
- обеспечение максимально возможного покоя путем уменьшения действий, вызывающих болевые и дискомфортные ощущения;
- использование двадцатиминутных компрессов со льдом, устраняющих отечности;
- прием сокращающих болевую и воспалительную интенсивность препаратов нестероидной группы;
- инъекции препаратов на основе кортикостероидов, также снижающих воспаление и болевой уровень;
- физиотерапевтические процедуры, положительным образом влияющие на восстановление и укрепление не только сустава, но и окружающих его мышечных тканей.
Хирургические методики лечения, куда входят различного типа операции, актуальны при отсутствии видимых результатов от консервативных методов.
В подавляющем большинстве случаев пациентам назначают малоинвазивные артроскопические вмешательства. Суть данных процедур заключается в введении в больную область микрокамеры (артроскопа), транслирующей увеличенное и детальное изображение на монитор, а также совершении специалистом различных манипуляций посредством специализированного и небольшого по размерам инструментария.
К таким манипуляциям могут относиться:
- соединение (шов) сухожилия в месте его крепления к суставной лопаточной впадине;
- тенодез, основанный на иссечении (удалении) травмированной части сухожилия и последующей фиксации неповрежденного фрагмента к верхней части плечевой кости.

Рис 5. Фиксация к верхней части плечевой кости фрагмента сухожилия.
Также, при хирургическом вмешательстве может применяться и еще одна минимально инвазивная операционная технология - тенотомия, подразумевающая полное отсечение сухожилия от места его соединения с суставной лопаточной впадиной.
Важно отметить, что при тех или иных видах артроскопических вмешательств допускается возникновение последующих осложнений (воспалений, кровотечений), большая часть из которых, к счастью, полностью устраняется.
Даже успешно проведенная операция требует некоторого восстановительного периода, способствующего лучшему заживлению тканей.
На время реабилитации врачом могут быть рекомендованы:
- использование фиксирующих повязок;
- уменьшение физической активности;
- выполнение специально подобранного комплекса упражнений (физиотерапевтические мероприятия) и пр.
Итогом успешного хирургического лечения тендинита, в подавляющем большинстве случаев, является восстановление изначального (полного) объема движений в суставе без сопровождающих болевых ощущений.
Первичное посещение кабинета врача
- Ознакомление с историей недуга, основными жалобами пациента и т.д
- Осмотр в клинических условиях
- Симптоматика тендинита
- Ознакомление с результатами гематологических анализов, а также данных рентгенографических исследований (УЗИ, МРТ, КТ)
- Диагностика
- Назначение лечения
Повторное посещение кабинета специалиста
- Анализ результатов диагностики, выполненной при первом посещении кабинета врача
- Конкретизация (уточнение) диагноза
- Назначение лечения
- Пребывание в стационаре клиники
- Введение анестезионного препарата (подбирается индивидуально)
- Хирургическое вмешательство на плечевом суставе и АКС
- Расходные (операционные) материалы
Послеоперационное посещение кабинета врача
- Послеоперационный осмотр в клинических условиях
- Ознакомление с послеоперационными результатами рентгенограмм, МРТ, КТ
- Предоставление рекомендаций по реабилитации (восстановлению)
- Внутрисуставное введение препарата на основе гиалуроновой кислоты (в случае необходимости)
- Снятие послеоперационных швов
Читайте также:
- Полип эндометрия (полип матки): причины, симптомы и лечение
- Нейрохирурги при дорожной травме. Ошибки диагностики травм позвоночника
- Закладка сосудистой системы. Бластогенез млекопитающих
- Трудности диагностики множественного рака желудка. Ошибки выявления множественного рака желудка
- Базальноклеточный рак. Особенности базальноклеточного рака.
