Топография средостения. Верхнее средостение. Нижнее средостение. Переднее средостение. Среднее средостение. Заднее средостение.
Добавил пользователь Владимир З. Обновлено: 01.01.2026
Цель настоящего учебного пособия - изложить взаиморасположение органов грудной полости, выделить топографические особенности , представляющие интерес для постановки клинического диагноза, а также дать понятие об основных хирургических вмешательствах на органах средостения.
СРЕДОСТЕНИЕ - часть грудной полости, расположенная между грудными позвонками сзади, грудиной спереди и двумя листками медиастинальной плевры латерально. Сверху средостение ограничено верхней апертурой грудной клетки, снизу - диафрагмой. Объем и форма этого пространства изменяются при дыхании и за счет сокращения сердца.
, С целью облегчения описания взаиморасположения отдельных органов в различных отделах средостения его принято разделять на части. Причем, в связи с тем, что отсутствуют объективные анатомические и физиологические границы между этими частями, в различных литературных источниках это делается по разному.
В отдельных учебниках по системной и топографической анатомии выделяются два средостения: переднее и заднее. Границей между ними является фронтальная плоскость, проведенная через корень легкого.
В учебниках по хирургии можно встретить деление средостения на правое и левое. При этом подчеркивается, что к правой медиастинальной плевре прилежат, преимущественно, венозные сосуды, а к левой - артериальные.
В последнее время в анатомической и клинической литературе чаще всего встречается описание органов грудной полости во взаимосвязи с верхним и нижним средостением; последнее, в. свою очередь, подразделяется на переднее, среднее и заднее. Такое деление находится в соответствии с международной анатомической номенклатурой последнего пересмотра и положено в основу изложения материала в данном методическом пособии.
ВЕРХНЕЕ СГЕДОСТЕНИЕ (mediastinum superior) - пространство, расположенное между двумя листками медиастинальной плевры и ограниченное сверху - верхней апертурой грудной клетки, снизу - плоскостью, проведенной между углом грудины и нижним краем четвертого грудного позвонка.
Ключевая структура верхнего'средостения - дуга аорты (arcus aonae). Она начинается на уровне второго правого грудино-реберного сочленения, поднимается вверх, примерно на I см, дугообразно изгибается в левую сторону и спускается до уровня Четвертого грудного позвонка, где продолжается в нисходящую часть аорты. От выпуклой стороны дуги аорты начинаются три крупных сосуда (рис. 1,2).
1. Плечеголовной ствол (truncus brachiocephalicus) - отходит на уровне верхнего края хряща второго ребра и поднимается до правого грудино-ключичного сочленения, где разделяется на правые общую сонную и подключичную артерии.
2. Левая общая сонная артерия (a.carotis communis sinistra) - берет начало слева от плечеголовного ствола, направляется к левому грудино-ключичному сочленению и далее продолжается на шею.
3. Левая подключичная артерия (a.subclavia sinistra) - от места своего начала через верхнюю апертуру грудкой клетки выходит на шею.
Спереди и справа от дуги аорты располагаются следующие структуры:
- вилочковая.железа (tymus), которая состоит из двух долей и отделяется от рукоятки грудины загрудинной фасцией. Максимальных 'размеров желёза достигает у детей, а затем подвергается инволюции. В ряде случаев верхняя граница тимуса может проходить на шее, нижняя - в переднем средостении;
- плечеголовные вены (vv. brachiocephalicae) - лежат позади вилочковой железы. Эти сосуды формируются в нижнем отделе шеи в результате слияния внутренних яремных и подключичных вен. Левая плечеголовная вена в три раза длиннее правой и пересекает верхнее средостение сверху вниз, слева направо. У правого края грудины, на уровне хряща первого ребра плечеголовные вены сливаются, в результате чего формируется верхняя полая вена;
- верхняя полая вена (v. cava superior) - спускается вдоль правого края грудины до второго межреберья, где вступает в полость перикарда;
- правый диафрагмальный нерв (n. phrenicus dexter) - заходит в верхнее средостение между правыми подключичными веной и артерией, спускается вдоль латеральной поверхности плечеголовной и верхней полой вен, а затем ложится спереди корня легкого;
- плечеголовные лимфатические узлы (nodi lymphatici brachiocephalici) -расположены спереди от одноименных вен, собирают лимфу от вилочковой и щитовидной желез, перикарда.
Спереди и слева от дуги аорты располагаются:
- левая верхняя межреберная вена (v. intercostalis superior sinistra), собирают кровь от верхних трех межреберий и впадают в левую плечеголовную вену;
- левый диафрагмальный нерв (n. phrenicus sinister) - заходит в верхнее средостение в промежутке между, левыми общей сонной и подключичной артериями, пересекает сзади левую плечеголовную вену, а затем ложится спереди корня легкого;
- левый блуждающий нерв (n.vagus sinister) - прилежит к дуге аорты и пересекается с диафрагмальным нервом, располагаясь сзади от него.
Сзади от дуги аорты располагаются: - трахея (trachea) - проходит в вертикальном направлении, отклоняясь несколько вправо от средней линии. На уровне четвертого грудного позвонка трахея разделяется на два главных бронха;
- пищевод (oesophageus) находится в прямом контакте с правой медиастинальной плеврой, располагаясь сзади от трахеи и cnepeди от тел позвонков, от которых его отделяют предпозвоночная клеи чатка и i внутригрудная фасция;
- правый блуждающий нерв (n. vagus dexter) - заходит в верхнее средостение спереди от подключичной артерии, у нижнего края которого от i-его берет начало правый возвратный гортанный нерв. Затем n.vagus позади плечеголевной вены подходит к латеральной стенке трахеи, вдоль которой напрасляетсл к корню легкого;
- левый возвратный гортанный нерв (п. laryngeus recarrens sinister) - начинается от блуждающего нерва, сначала огибает снизу дугу аорты, а затем в борозде между трахеей и пищеводом поднимается на шею. Раздражение гортанного нерва при аневризме дуги аорты или при сифилитическом поражении ее стенки объясняется наличие у таких больных осиплости голоса и длительно не прекращающегося сухого кашля. Подобные симптомы могут отмечаться также при раке легкого в связи с раздражением нерва увеличенными в размере лимфоузлами.
- грудной проток (ductus thoracius) - проходит слева oт пищевода и в области шеи впадает в левый венозный угол (место соединения внутренней яремной и подключичной вен);
- паратрахеалъные лимфатические узлы (nodi lymphatici paratracheales) - расположены вокруг трахеи и собирают лимфу от верхних и нижних трахеобронхиальных лимфоузлов.

ПЕРЕДНЕЕ СРЕДОСТЕНИЕ (mediastinum anterior) - расположено кпереди от перикарда и ограничено сверху - плоскостью, соединяющее угол грудины с нижним краем тела четвертого грудного позвонка, снизу - диафрагмой, спереди - грудиной. Кроме рыхлой клетчатки содержит в своем составе:
- околорудинные лимфоузлы (nodi lymphatici parasternales) - расположенные по ходу a. thoracica interna и собирающие лимфу от молочной железы (медиального нижнего квадранта), верхней трети переднебоковой стенки живота, глубоких структур передней грудной стенки и верхней поверхности печени;

- верхние диафрагмальные лимфоузлы (nodi lymphatici superiores) - находятся у основания мечевидного отростка и собирают лимфу от верхней поверхности печени и переднего отдела диафрагмы.

СРЕДНЕЕ СРЕДОСТЕНИЕ (mediastinum medium) - включает в свой состав перикард, правый и левый диафрагмальные нервы, перикардодиафрагмальные артерии и вены.
Перикард (pericardium) - состоит из двух листок: наружного - фиброзного (pericardium fibrosum) и внутреннего - серозного ( pericardium serosum). В свою очередь серозный перикард разделяется на две пластинки: париетальную, выстилающую изнутри фиброзный перикард и висцеральную - покрывающую сосуды и сердце (эпикард). Свободное пространство между двумя пластинками pericardium serosum называется перикардиальной полостью и в норме заполнено небольшим количеством серозной жидкости.
В составе перикарда находятся перечисленные ниже структуры.
Сердце (cor), которое проецируется на переднюю поверхность груди между четырьмя точками, расположенными: первая - на уровне хряща правого третьего ребра в 1 - 1,5 сантиметрах от края грудины; вторая - на уровне хряща левого третьего ребра в 2 - 2,5 сантиметрах от края грудины; третья - на уровне правого шестого грудино-реберного сочленения и четвертая - в пятом межреберье на расстоянии 1 - 1,5 сантиметра кнутри от левой среднеключичной линии.
Восходящая часть аорты (pars ascendens aortae) - начинается от левого желудочка на уровне хряща третьего ребра слева от грудины, поднимается вверх до хряща второго ребра, где после выхода из полости перикарда продолжается в дугу аорты (рис.3).
Нижний сегмент верхней полой вены, которая после вступления, в перикард на уровне 2-го межреберья заканчивается в правом предсердии.
Легочный ствол (truncus pulmonalis) - начинается из правого желудочка и направляется справа налево, спереди назад. При этом ствол находится сначала вентрально, а затем несколько слева от восходящей части аорты. За пределами перикарда, книзу от дуги аорты находится бифуркация легочного ствола (bifurcatio trunci pulmonalis). Начинающиеся в этом месте легочные артерии направляются к воротам легкого. При этом левая легочная артерия проходит спереди от нисходящей части аорты, правая - сзади от верхней полой вены и восходящей части аорты. Бифуркация легочного ствола соединяется с нижней поверхностью дуги аорты при помощи артериальной связки, которая у плода представляет собой функционирующий сосуд - артериальный (боталов) проток.
Легочные вены (vv. pulmonales) - заходят в полость перикарда вскоре после выхода из ворот легкого и заканчиваются в левом предсердии. При этом две правые легочные вены проходят кзади от верхней полой вены, две левые - вентрально нисходящей части аорты.
Диафрагмальные нервы в среднем средостении проходят соответственно между правой и левой медиостинальной плеврой с одной стороны и перикардом - с другой. Нервы сопровождают перикардодиафрагмальные сосуды. Артерии -являются ветвями внутренних грудных артерий, вены - притоками w. ihoracicae , internae. В соответствии с международной анатомической номенклатурой в перикардиальной полости выделяются две пазухи:
- поперечная (sinus transversus), ограниченная спереди аортой и легочным стволом, сзади - левым предсердием, правой легочной артерией и верхней полой веной (рис. 4);
- косая (sinus obliquus), ограниченная спереди левым предсердием, сзади -париетальной пластинкой серозного перикарда, сверху и слева - левыми легочными венами, снизу и справа - нижней полой веной (рис.5).
В клинической литературе описывается третья пазуха перикарда, расположенная в месте перехода его передней стенки в нижнюю.
ЗАДНЕЕ СРЕДОСТЕНИЕ (mediastinum posierius) - ограничено сзади телами пятого-двенадцатого грудных позвонков, спереди - перикардом, латерально - медиастинальной плеврой, снизу - диафрагмой, сверху - плоскостью, соединяющей угол грудины с нижним краем четвертого грудного позвонка. Ключевой структурой заднего средостения является нисходящая часть аорты (pars desdendens aortae), которая лежит сначала с левой стороны от тел позвонков, а затем смещается к средней линии (рис.6). От нисходящей части аорты отходят следующие сосуды:
- перикардиальные ветви (rr. pericardiaci) - кровоснабжают заднюю часть перикарда;
- бронхиальные артерии (аа. bronchioles) - кровоснабжают стенку бронхов и легочную ткань;
- пищеводные артерии (aa.oesophageales) - кровоснабжают стенку грудного отдела пищевода;
- медиастинальные ветви (rr. mediastinales) - кровоснабжают лимфатические узлы и соединительную ткань средостения;
- задние межреберные-артерии (аа. inrercosiales posreriores) - проходят в межреберьях, кровоснабжают кожу и мышцы спины, спинной мозг, анастомо-зируют с передними межреберными артериями;
- верхняя диафрагмальная артерия (a. phrenica superior) - разветвляется на верхней поверхности диафрагмы.
Вокруг нисходящей части аорты располагаются следующие структуры.
Правый и левый главный бронхи (bronchus principalis dexter et sinister) - начинаются от бифуркации трахеи на уровне нижнего края четвертого грудного позвонка. Левый главный бронх отходит под углом 45° по отношению срединной плоскости и направляется Позади дуги аорты к воротам легкого. Правый главный бронх отходит от трахеи под углом 25° по отношению к срединной плоскости. Он короче левого главного бронха и больше его по диаметру. Этим обстоятельством объясняется значительно более частое попадание инородных тел в правый бронх в сравнении с левым.
Пищевод (oesophageus) - лежит сначала позади левого предсердия и справа от нисходящей части аорты. В нижней трети средостостения пищевод пересекает аорту спереди, перемещается от нее в левую сторону и определяется в пределах пищеводного треугольника, границами которого являются: спереди перикард, сзади - нисходящая часть аорты, снизу - диафрагма. На передней и задней поверхностях пищевода находится пищеводное сплетение (plexus oesophagealis), в формировании которого принимают участие два блуждающих нерва, а также ветви грудных узлов симпатического ствола.
При рентгенологическом и эндоскопическом исследованиях выявляется ряд сужений грудного отдела пищевода, связанных с тесным взаимодействием его стенки с соседними органами. Одно из них соответствует дуге аорты, другое - месту пересечения пищевода левым главным бронхом. Расширение левого предсердия также может вызывать изменение просвета пищевода при его заполнении рентгеноконтрастным веществом.
Непарная вена (v. azygos) - начинается в брюшной полости, проходит в заднем средостении справа от тел позвонков до уровня Th4, огибает правый главный бронх и впадает в верхнюю полую вену вне полости перикарда. Ее притоками являются все задние межреберные вены правой стороны, а также бронхиальные, пищеводные и медиастинальные вены.
Добавочная полунепарная вена (V hemiazygos accessoria) - спускается с левой стороны позвоночного столба. В нее впадают первые 5-6 задних (левых) межреберных вен.
Грудной проток (ductus thoracicus) - начинается в забрюшинном пространстве. В заднем средостении проходит между непарной веной и нисходящей частью аорты до уровня шестого - четвертого грудного позвонка, где отклоняется в левую сторону, пересекает сзади пищевод и продолжается в верхнее средостение.
Операции на органах средостения выполняются по следующим показаниям:
1. Опухоли вилочковой, щитовидной и паращитовидной желез, а также опухоли нейрогенной природы.
Опухоли тимуса чаще всего располагаются спереди дуги аорты и основания сердца. Очень рано наблюдается инвазия этих опухолей в стенку верхней полой вены, плевру и перикард. Сдавление левой плечеголовной и верхней полой вен тимомой по частоте занимает второе место после обструкции этих сосудов метастазами при раке легкого.
При загрудинном зобе железистая ткань щитовидной железы чаще всего располагается в промежутке, органиченном снизу правым главным бронхом, латерально - медиастинальной плеврой, спереди - верхней полой веной, медиально - правым блуждающим нервом, трахеей и восходящей частью аорты.
Опухоли нейрогенной природы - самые частые первичные опухоли средостения. Почти все они связаны с задним средостением и формируются из симпатического ствола или межреберных нервов. В ряде случаев, эти опухоли появляются на шее, а затем спускаются в верхнее средостение. В связи с тем, что опухоли формируются вблизи межпозвоночных отверстий они могут заходить в спинномозговой канал, вызывая сдавление спинного мозга.
В качестве оперативного доступа при удалении опухоли средостения используются:
- нижний шейный разрез;
2. Медиастиниты. Формируются, как правило, в результате распространения инфекции из клетчаточных пространств шеи или при перфорации пищевода.
Вскрытие и дренирование гнойников верхнего средостения осуществляется через дугообразный разрез кожи на шее над рукояткой грудины (надгрудинная медиастинотомия) путем создания канала за грудиной. Разрез может проводится вдоль переднего края грудино-ключично-сосцевидной мышцы с последующим вскрытием влагалища сосудисто-нервного пучка или околопищеводного клетчаточного пространства.
Дренирование переднего средостения осуществляется через разрез по средней линии переднебоковой стенки живота. Вскрытие гнойника осуществляется после рассечения диафрагмы, без нарушения целостности брюшины.
Вскрытие гнойников заднего средостения осуществляется со стороны брюшной полости (трансабдоминальная медиастинотомия) или после выполнения боковой торокотомии в VII левом межреберье (трансплевральная медиастинотомия).
3. Перикардиты. Характеризуются воспалением висцеральной и париетальной пластинок серозного перикарда, возникающее как следствие бактериальной или вирусной инфекции, ревматизма или уремии. Перикардиты могут приводить к тампонаде сердца. С целью удаления жидкости и предотвращения тампонады используется пункция перикарда (способ Ларрея).
Больному в полусидячем положении длинную иглу вкалывают в угол между основанием мечевидного отростка и хрящом УП ребра. Причем, игла ориентирована перпендикулярно поверхности переднебоковой стенке живота После прохождения иглой на глубину 1,5 см ее опускают и под углом 45° к поверхности тела продвигают вверх параллельно задней поверхности грудины до проникновения в передненижнюю пазуху перикарда.
4. Ранения сердца. Ушивание раны производится узловыми (линейная рана) или П-образными (рваная рана) шелковыми швами, минуя эндокард и коронарные сосуды. Края перикарда соединяются редкими швами, плевральная полость дренируется.
5. Кроме перечисленных случаев, операции на органах средостения выполняются:
- для остановки кровотечения, вызванного травмой или с целью коррекции сосудистых дефектов (стеноз, аневризма);
- при опухоли, травме или врожденных пороках развития пищевода;
- по поводу врожденных и приобретенных пороков сердца, а также при острой и хронической коронарной недостаточности.
69. Средостение: отделы, их топография; органы средостения.
Средостение, mediastinum, представляет собой комплекс органов, расположенных между правой и левой плевральными полостями (рис. 247). Спереди средостение ограничено грудиной, сзади — грудным отделом позвоночного столба, с боков — правой и левой медиастинальной плеврой. Вверху средостение простирается до верхней апертуры грудной клетки, внизу — до диафрагмы. В настоящее время средостение условно подразделяют на два отдела: верхнее средостение и нижнее средостение. Верхнее средостение, mediastinum superius, располагается выше условной горизонтальной плоскости, проведенной от места соединения рукоятки грудины с ее телом (спереди) до межпозвоночного хряща между телами IV и V грудных позвонков (сзади). В верхнем средостении располагаются тимус (вилочковая железа), правая и левая плечеголовные вены, верхняя часть верхней полой вены, дуга аорты и отходящие от нее сосуды (плечеголовной ствол, левая общая сонная и левая подключичная артерии), трахея, верхняя часть пищевода и соответствующие отделы грудного (лимфатического) протока, правого и левого симпатических стволов, блуждающих и диафрагмальных нервов.
Нижнее средостение, mediastinum inferius, находится ниже условной горизонтальной плоскости. В нем выделяют переднее, среднее и заднее средостения. Переднее средостение, mediastinum anterius, лежащее между телом грудины спереди и передней стенкой сзади, содержит внутренние грудные сосуды (артерии и вены), окологрудинные, передние средостенные и предперикардиальные лимфатические узлы. В среднем средостении, mediastinum medium, находятся перикард с расположенным в нем сердцем и внутрикардиальными отделами крупных кровеносных сосудов, главные бронхи, легочные артерии и вены, диафрагмальные нервы с сопровождающими их диа-фрагмально-перикардиальными сосудами, нижние трахеобронхи-альные и латеральные перикардиальные лимфатические узлы. Заднее средостение, mediastinum posterius, ограничено стенкой перикарда спереди и позвоночником сзади. К органам заднего средостения относятся грудная часть нисходящей аорты, непарная и полунепарная вены, соответствующие отделы левого и правого симпатических стволов, внутренностных нервов, блуждающих нервов, пищевода, грудного лимфатического протока, задние средостенные и предпозвоночные лимфатические узлы.
В клинической практике нередко средостение подразделяют на два отдела: переднее средостение, mediastinum anterius, и заднее средостение, mediastinum posterius. Отделяет их фронтальная плоскость, условно проведенная через корни легких и трахею. В переднем средостении располагаются сердце с выходящими и впадающими в него крупными сосудами, перикард, дуга аорты, тимус, диафрагмальные нервы, диафрагмально-пери-кардиальные кровеносные сосуды, внутренние грудные кровеносные сосуды, окологрудинные, средостенные и верхние диафрагмальные лимфатические узлы. В заднем средостении находятся пищевод, грудная часть аорты, грудной лимфатический проток, непарная и полунепарная вены, правые и левые блуждающие и внутренностные нервы, симпатические стволы, задние средостенные и предпозвоночные лимфатические узлы.
Дыхательная система
, bronchioli. Являются продолжением бронхов, в их стенке отсутствует хрящ. В самом начале они выстланы многорядным цилиндрическим реснитчатым эпителием, который в терминальных отделах переходит в кубический. Рис. А.
Дыхательные бронхиолы
, bronchioli respiratorii. Конечные отделы бронхиол, на стенке которых появляются отдельные альвеолы. Рис. А.
Альвеолярные ходы
, ductuli alveolares. Конечные ветви дыхательных бронхиол, на стенке которых находится большое количество альвеол. Рис. А.
Альвеолярные мешочки
Альвеолы легкого
, alveoli pulmonis. Слепые выпячивания стенки дыхательных бронхиол, альвеолярных ходов и мешочков, диаметром 0,1 - 0,9 мм. Через их тонкую стенку осуществляется газообмен. Рис. А.
ГРУДНАЯ ПОЛОСТЬ
, сavitas thoracis (thoraciса). Ограничена ребрами, грудным отделом позвоночного столба, грудиной и снизу - диафрагмой. Рис. Б, Рис. В.
Плевролегочные области
Внутригрудная фасция
, fascia endothoracica. Подвижный слой рыхлой соединительной ткани между париетальной плеврой и стенкой грудной клетки. Рис. Б.
Надплевральная мембрана [[Сибсона]]
, membrana suprapleuralis [[Sibson]]. Утолщение внутригрудной фасции в области купола плевры. Рис. Б.
Диафрагмоплевральная фасция
, fascia phrenicopleuralis. Часть внутригрудной фасции, которая расположена между париетальной плеврой и диафрагмой. Рис. Б.
Плевральная полость
, cavitas pleuralis. Капиллярное, щелевидное пространство между париетальной и висцеральной плеврой, содержащее незначительное количество серозной жидкости. Рис. Б, Рис. В.
Плевра
, pleura. Серозная оболочка, состоящая из рыхлой соединительной ткани, покрытой однослойным плоским эпителием. Представлена париетальным и висцеральным листками, переходящими один в другой у ворот легкого. Висцеральная плевра покрывает легкие; париетальная - боковые стенки грудной клетки, диафрагму и ограничивает средостение. Рис. Б.
Купол плевры
, cupula pleurae. Покрывает верхушку легкого и является границей между шеей и грудной клеткой. Рис. Б.
Висцеральная (легочная) плевра
Париетальная плевра
Медиастинальная часть (медиастинальная плевра)
Реберная часть (реберная плевра)
Диафрагмальная часть (диафрагмальная плевра)
Плевральные синусы
, recessus pleurales. Щелевидные пространства, образованные париетальной плеврой, в которые легкое заходит во время вдоха.
Реберно-диафрагмальный синус
, recessus costodiaphragmaticus. Расположен между боковой стенкой грудной полости и диафрагмой. Рис. Б.
Реберно-медиастинальный синус
, recessus costomediastinalis. Расположен в переднем отделе грудной полости между реберной и медиастинальной частями париетальной плевры. Выражен больше слева. Рис. В.
Диафрагмомедиастинальный синус
, recessus phrenicomediastinalis. Расположен в дорсальном отделе грудной клетки между диафрагмальной и медиастинальной частями париетальной плевры.
Легочная связка
, lig. pulmonale. Состоит из двух листков медиастинальной плевры, которые идут ниже корня легкого от латеральной поверхности пищевода к медиальной поверхности легкого и переходят в висцеральную плевру. Рис. Б. См. с. 149, Рис. Б, Рис. Г.
Средостение
, mediastinum. Область грудной полости, расположенная между двумя плевральными мешками. Спереди ограничена задней поверхностью грудины, сзади - передней поверхностью позвоночного столба. Рис. Б.
Верхнее средостение
, mediastinum superior. Часть средостения, расположенная выше сердца. Содержит дугу аорты с ее ветвями, плечеголовные вены, верхнюю полую вену, трахею, пищевод, блуждающие нервы, грудной проток, вилочковую железу и др. Рис. Б.
Нижнее средостение
Переднее средостение
Среднее средостение
Заднее средостение
, mediastinum posterius. Расположено между перикардом и позвоночным столбом. Содержит пищевод, блуждающие нервы, нисходящую часть аорты, грудной проток, непарную и полунепарную вены. Рис. В.
Лимфатические узлы средостения

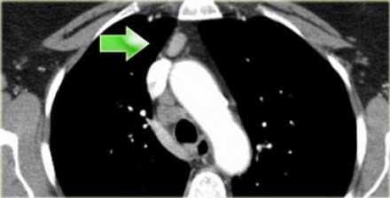
Лимфатические узлы 3 группы не примыкают к трахее в отличии от лимфатических узлов 2 группы. Они подразделюятся на: 3А кпереди от сосудов 3Р позади пищевода/превертебрально Они не доступны при медиастиноскопии. 3Р группа может быть доступна при чреспищеводной эхокардиографии.

На изображении слева 3А узел в преваскулярном пространстве. Обратите внимание так же на ниже расположенные паратрахеальные узлы справа относящиеся к 4R группе.

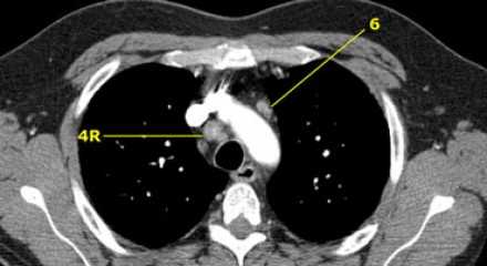
4R. Правые нижние паратрахеальные лимфатические узлы
- Верхняя граница: пересечение нижнего края левой плечеголовной вены с трахеей.
- Нижняя граница: нижний края непарной вены. 4R узлы распространяются до левого края трахеи.

На изображении слева мы видим 4R паратрахеальные узлы. Кроме того здесь представлен узел кнаружи от дуги аорты, то есть 6 группы.

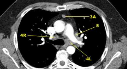
4L. Левые нижние паратрахеальные лимфатические узлы
4L узлы расположенные слева от левой стенки трахеи, между горизонтальными линиями проведенными касательно верхней стенке дуги аорты и линией проходящей через левый главный бронх на уровне верхнего края верхнедолевого бронха. Они включают паратрахеальные узлы расположенные кнутри от артериальной связки.
Узлы 5 группы (аортопульмонального окна) расположены кнаружи от артериальной связки.
На левом изображении над уровнем легочного ствола представлены нижние паратрахеальные узлы слева и справа, так же здесь представлены узлы 3 и 5 групп.

Изображение слева выше уровня карины. Слева от трахеи 4L узлы. Обратите внимание что они расположены между легочным стволом и аортой, но не в аортопульмональном окне, потому что они лежат медиальнее артериальной связки. Лимфатические узлы латеральнее легочного ствола относятся к 5 группе.

- 5. Субаортальные лимфатические узлы
- Субаортальное или аортопульмональное окно расположено кнаружи от артериальной связки и проксимальнее первой ветви левой легочной артерии и лежит в пределах медиастинальной плевры.
- Парааортальные лимфатические узлы лежат кпереди и кнаружи от восходящего отдела аорты и между верхним и нижним краями дуги аорты.
![11]()
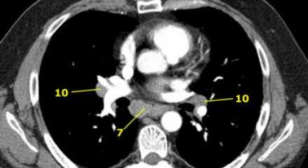
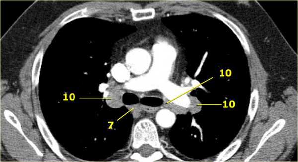
7. Подкаринальные лимфатические узлы
Эти лимфатические узлы расположены ниже уровня бифуркации трахеи (карины), но не относятся к нижнедолевым бронху и артерии. Справа они располагаются каудальнее нижней стенки промежуточного бронха. Слева они располагаются каудальнее верхней стенки нижнедолевого бронха. Слева лимфатический узел 7 группы справа от пищевода.
![12]()
8. Параэзофагеальные лимфатические узлы
Эти лимфатические узлы ниже подкаринальных лимфатических узлов и распространяются каудальнее до диафрагмы. На изображении слева ниже уровня карины справа от пищевода обозначен лимфатический узел 8 группы.
На ПЭТ изображении слева показано накопление 18Р-дезоксиглюкозы в узле 8 группы. На соответствующем КТ изображении видно что данный лимфатический узел (голубая стрелка) не увеличен. Вероятность того что в имеется метастатическое поражение данного узла чрезвычайно высока, поскольку специфичность ПЭТ выше чем измерение размеров лимфатических узлов.
![14]()
9. лимфатические узлы легочной связки
Данные лимфатические узлы лежат в пределах легочной связки, в том числе и по ходу нижней легочной вены. Легочная связка представлена дупликатурой медиастинальной плевры охватывающей корень легкого.
![15]()
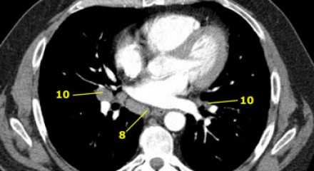
10. лимфатические узлы корня легкого
Лимфатические узлы корня расположены проксимальнее долевых узлов, но дистальнее медиастинальной дупликатуры и узлов промежуточного бронха справа.
Все лимфатические узлы 10-14 групп являются N1 узлами, так как они находятся вне средостения.
1. лимфатические узлы вырезки грудины видны только на этом уровне и выше него
2. верхние паратрахеальные лимфатические узлы: ниже ключиц , справа над пересечением нижнего края левого плечеголовного ствола и трахеи, а слева над дугой аорты
3. Преваскулярные и ретротрахеальные: кпереди от сосудов (3А) и превертебральные (3Р)
4. Нижние паратрахеальные: ниже верхнего края дуги аорты до уровня главного бронха
5. Субаортальные (аортопульмональное окно): лимфатические узлы кнаружи от артериальной связки или кнаружи от аорты или левой легочной артерии.
6. Парааортальные: узлы лежащие кпереди и кнаружи от восходящего отдела аорты и дуги аорты под верхним краем дуги аорты.
7. Субкаринальные лимфатические узлы.
8. Параэзофагеальные лимфатические узлы (ниже карины).
9. Лимфатические узлы легочной связки: лежат в пределах легочной связки.
10-14 лимфатические узлы N1![медианоскопия]()
Медиастиноскопия и чреспищеводное УЗИ
Лимфатические узлы доступные для биопсии при медиастиноскопиии: верхнием паратрахеальные узлы 2L И 2R групп, правые и левые нижние паратрахеальные лимфатические узлы 4R и 4L групп, подкаринальные лимфатические узлы 7 группы. 1 группа расположена выше надгрудинной вырезки и не доступна при рутинной медиастиноскопии.
![2]()
Расширенная медиастиноскопия
Опухоли левой верхней доли могут метастазировать в субаортальные (5 группа) и парааортальные лимфатические узлы (6 группа). Эти узлы недоступны для биопсии при рутинной медиастиноскопии. Расширенная медиастиноскопия является альтернативой для парастернально медиастинотомии. Эта процедура используется реже в связи с более высоким риском осложнений.
![1]()
Тонкоигольная аспирационная биопсия под контролем УЗИ
Может применятся для всех лимфатических узлов доступных УЗИ визуализации из пищевода. В частности обеспечивается доступ к лимфатическим узлам нижнего средостения (7-9 группы). Кроме того при данной виде исследования для визуализации доступны левая доля печени и левый надпочечник.
Источники:
by Paul De Leyn and Toni Lerut.
in the Multimedia Manual of Cardiothoracic Surgeryby Christian Lloyd, MD, and Gerard A.Silvestri, MD, FCCP Christian Lloyd, MD, and Gerard A.Silvestri, MD, FCCP
Cancer Control, July/August 2001,Vol.8, No.4 Cancer Control 311by Reginald F. Munden, MD, DMD, Stephen S. Swisher, MD, Craig W. Stevens, MD, PhD and David J. Stewart, MD
Radiology 2005; 237:803-818Топография средостения. Верхнее средостение. Нижнее средостение. Переднее средостение. Среднее средостение. Заднее средостение.
![Органы средостения]()
21.02.2017
Органы средостения
Средостение, mediastinum,— часть полости грудной клетки, отграниченная вверху верхним грудным отверстием, снизу — диафрагмой, спереди — грудиной, сзади — позвоночным столбом, с боков — средостенной плеврой.
Средостение, mediastinum — часть полости грудной клетки, отграниченная вверху верхним грудным отверстием, снизу — диафрагмой, спереди — грудиной, сзади — позвоночным столбом, с боков — средостенной плеврой. В средостении располагаются жизненно важные органы и нервно-сосудистые пучки. Органы средостения окружены рыхлой жировой клетчаткой, которая сообщается с клетчаткой шеи и забрюшинного пространства, а через клетчатку корней — с межуточной тканью легких. Средостение разграничивает правую и левую плевральные полости. Топографически средостение — это единое пространство, однако в практических целях его подразделяют на два отдела: переднее и заднее средостение, mediastinum anterius et posterius.
Граница между ними соответствует плоскости, близкой к фронтальной, и проходит на уровне задней поверхности трахеи и корней легких (рис. 229).
Рис. 229. Топографические соотношения в средостении (вид слева по В. Н. Шевкуненко)
1 - пищевод; 2 - блуждающий нерв; 3 - грудной лимфатический проток; 4 - дуга аорты; 5 - левый возвратный нерв; 6 - левая легочная артерия; 7 - левый бронх; 8 - полунепарная вена; 9 - симпатический ствол; 10 - диафрагма; 11 - перикард; 12 - грудная аорта; 13 - легочные вены; 14 - перикардо-диафрагмальные артерии и вена; 15 - вризбергов узел; 16 — плевра; 17 — диафрагмальный нерв; 18— лев ая общая сонная артерия; 19 — левая подключичная артерия.
В переднем средостении размещены: сердце и перикард, восходящая аорта и ее дуга сетями, легочный ствол и его ветви, верхняя полая и плечеголовные вены; бронхиальные артерии и вены, легочные вены; трахея и бронхи; грудная часть блуждающих нервов, лежащая выше уровня корней; диафрагмальные нервы, лимфатические узлы; у детей в илочков ая железа,а у взрослых — замещающая ее жировая ткань.
В заднем средостении расположены: пищевод, нисходящая аорта, нижняя полая вена, непарная и полу -непарная вены, грудной лимфатический проток и лимфатические узлы; грудная часть блуждающих нервов , лежащая ниже корней легких; пограничный симпатический ствол вместе с чревными нервами, нерв ные сплетения.
Лимфатические узлы переднего и заднего средостения анастомозируют между собой и с лимфатическими узлами шеи и забрюшинного пространста.
Учитывая особенности расположения отдельных анатомических образований и патологических процессов, в частности лимфатических узлов , практической работе принято деление переднего средостения на д а отдела: передний, собственно ретростернальное пространство, и задний, именуемый средним средостением,котором располагается трахея и окружающие ее лимфатические узлы. Границей между передним и средним средостением служит фронтальная плоскость, проведенная по передней стенке трахеи. Кроме того, условно проведенной горизонтальной плоскостью, проходящей на уров не раздв оения трахеи, средостение делят на верхнее и нижнее.
Лимфатические узлы. Согласно Международной анатомической номенклатуре выделяют следующие группы лимфатических узлов : трахеальные, верхние и нижние трахео-бронхиальные, бронхо-легочные, легочные,передние и задние средостенные, окологрудинные, междуреберные и диафрагмальные. Однако в практических целях, учитывая различную локализацию отдельных групп лимфатических узлов соответствующих отделах средостения и особенности регионарного лимфооттока, мы считаем целесообразным пользоваться классификацией внутригрудных лимфатических узлов, предложенной Rouviere и дополненной Д. А. Ждановым.
Согласно этой классификации выделяют пристеночные (париетальные) и внутренностные (висцеральные)лимфатические узлы. Пристеночные располагаются по внутренней поверхности грудной стенки между внутренней грудной фасцией и пристеночной плеврой, внутренностные — плотную прилежат к органам средостения. Каждая из этих групп в свою очередь состоит из отдельных подгрупп узлов, название и расположение которых представлены ниже.
Пристеночные лимфатические узлы. 1. Пере д н и е , окологрудинные, лимфатическиеузлы (4—5) размещены по обеим сторонам грудины, вдоль внутренних грудных кровеносных сосудов. Они принимают лимфу от молочных желез и передней грудной стенки.
Задние, околопозвоночные, лимфатические узлы располагаются под пристеночной плеврой вдоль боковой и передней поверхности позвонков , ниже уровня VI грудного позвонка.
Междуреберные лимфатические узлы размещены по ходу борозд II — X ребер, в каждой из них находится от одного до шести узлов.
Задние междуреберные узлы постоянные, боковые — менее постоянные.
Окологрудинные, околонозвоночные и междуреберные лимфатические узлы принимают лимфу из грудной стенки и анастомозируют с лимфатическими узлами шеи и забрюшинного пространства.
Внутренностные лимфатические узлы. В переднем средостении различают несколько групп лимфатических узлов.
Верхние преваскулярные лимфатические узлы располагаются в в иде трех цепей:
а) превенозные — вдоль верхней полой вены и правой плечеголовной вены (2—5 узлов);
б) преаортокаротидные (3—5 узлов) начинаются узлом артериальной связки, пересекают дугу аорты и продолжаются к верху, долевой сонной артерии;
в) поперечная цепь (1—2 узла) располагается по ходу левой плечеголовной вены.
Преаскулярные лимфатические узлы принимают лимфу из шеи, частично из легких, илочковой железы
и сердца.Нижние диафрагмальные — состоят из двух групп узлов:
а) преперикардиальные (2—3 узла) находятся позади тела грудины и мечеввидного отростка в месте прикрепления диафрагмы к седьмому реберному хрящу;
б) латероперикардиальные (1—3 узла) с каждой стороны группируются над диафрагмой, по боковым поверхностям перикарда; правые узлы более постоянные и располагаются рядом с нижней полой веной.
Нижние диафрагмальные узлы принимают лимфу от передних отделов диафрагмы и частично от печени.
В среднем средостении расположены следующие группы лимфатических узлов .
Перитрахеальные лимфатические узлы (правые и левые) лежат вдоль правой и левой стенок трахеи, непостоянные (задние) — кзади от нее. Прав ая цепочка перитрахеальных лимфатических узлов находится позади верхней полой и плечеголовных вен (3—6 узлов). Самый нижний узел этой цепи расположен непосредственно над слиянием непарной вены с верхней полой и носит название узла непарной вены. Слева перитрахеальная группа состоит из 4—5 мелких узлов и близко прилежит к левому в озвратному нерву. Лимфатические узлы левой и правой перитрахеальной цепи анастомозируют.
Т р а х е о - бронхиальные (1—2 узла) размещены в наружных углах, образуемых трахеей и главными бронхами. Правые и лев ые трахео-бронхиальные лимфатические узлы прилежат в основ ном к переднебоковым поверхностям трахеи и главных бронхов.
Бифуркационные (3—5 узлов) расположены в промежутке между раздвоением трахеи и легочными венами, преимущественно походу нижней стенки прав ого главного бронха.
Бронхо - легочные лежат в области корней легких, в углах деления главных, долевых и сегментарных бронхо . По отношению к долевым бронхам различают верхние, нижние, передние и задние бронхолегочные узлы.
Узлы легочных связок непостоянные, находятся между листками легочной связки.
Внутрилегочные узлы расположены по ходу сегментарных бронхов, артерий, в углах ветвления их на субсегментарные ветви.
Лимфатические узлы среднего средостения принимают лимфу от легких, трахеи, гортани, глотки, пищевода, щитовидной железы, сердца.
В заднем средостении выделяют две группы лимфатических узлов.
1.0 колопищеводные (2—5 узло в ) размещены вдоль нижнего отдела пищевода.
2. Межаортопищеводные (1—2 узла) вдоль нисходящей аорты на уровне нижних легочных вен.
Лимфатические узлы заднего средостения принимают лимфу от пище ода и частично от органов брюшной полости.
Лимфа из легких и средостения собирается ыносящие сосуды, которые падают грудной лимфатический проток (ductus thoracicus), вливающийся в левую плечеголовную вену.
В норме лимфатические узлы небольшие (0,3—1,5 см). Бифуркационные лимфатические узлы достигают 1,5—2 см.
Теги: средостение
234567 Начало активности (дата): 21.02.2017 11:14:00
234567 Кем создан (ID): 645
234567 Ключевые слова: средостение, плевра, межуточная ткань
12354567899Читайте также:
- Дерматомиозит: причины, симптомы и лечение
- Чем закусывать, чтобы не навредить здоровью? Продукты, которыми нельзя закусывать
- Факторы стимулирующие рост клетки и аутокринный цикл
- Синдром Камурати-Энгельманна (Camurati-Engelmann)
- Ангиокардиография при пороке сердца. Недостатки компьютерного моделирования пороков сердца








