Транзиторный синдром Кушинга - синонимы, авторы, клиника
Добавил пользователь Евгений Кузнецов Обновлено: 21.11.2025
Информацию из данного раздела нельзя использовать для самодиагностики и самолечения. В случае боли или иного обострения заболевания диагностические исследования должен назначать только лечащий врач. Для постановки диагноза и правильного назначения лечения следует обращаться к Вашему лечащему врачу.
Для корректной оценки результатов ваших анализов в динамике предпочтительно делать исследования в одной и той же лаборатории, так как в разных лабораториях для выполнения одноименных анализов могут применяться разные методы исследования и единицы измерения.
Синдром Кушинга: причины появления, симптомы, диагностика и способы лечения.
Синдром Иценко-Кушинга - это сочетание клинических симптомов, вызванных хроническим повышением уровня кортизола или родственных ему кортикостероидов в крови. Болезнь Иценко-Кушинга - это синдром Кушинга, причиной которого служит избыточная гипофизарная продукция адренокортикотропного гормона (АКТГ), как правило, обусловленная небольшой доброкачественной опухолью гипофиза - аденомой. Иногда АКТГ производится опухолью, которая не связана с гипофизом, она может находиться где угодно, чаще - в легких и грудной клетке. Порой злокачественные опухоли хорошо маскируются под железы и начинают вырабатывать гормоны альдостерон и кортизол, что, в свою очередь, приводит к повышению их концентраций в человеческом организме. При этом собственные железы понемногу начинают атрофироваться - таким образом организм старается бороться с избытком гормонов.

Синдром Иценко-Кушинга также возникает из-за перепроизводства кортизола надпочечниками или употребления больших доз глюкокортикоидных препаратов таких как преднизолон или дексаметазон при лечении ряда болезней (астмы, ревматоидного артрита и некоторых других аутоиммунных патологических состояний). Заболевание может возникнуть в любом возрасте, но чаще всего в 20-40 лет, оно может быть врожденным или приобретенным. Женщины поражаются в 10 раз чаще, чем мужчины.
У пациентов, страдающих алкоголизмом или тяжелыми депрессивными расстройствами, а также во время беременности, иногда наблюдается небольшое повышение уровня гормонов надпочечников и развивается псевдо-синдром Иценко-Кушинга.
Классификация заболевания. Кодирование по МКБ-10
Синдром Иценко-Кушинга (E24):
E24.0. Болезнь Иценко-Кушинга гипофизарного происхождения (гиперсекреция АКТГ гипофизом, гиперадренокортицизм гипофизарного происхождения);
E24.1. Синдром Нельсона;
E24.3. Эктопический АКТГ-синдром;
E24.4. Кушингоидный синдром, вызванный алкоголем;
E24.8. Другие состояния, характеризующиеся кушингоидным синдромом;
E24.9. Синдром Иценко-Кушинга неуточненный.
Симптомы синдрома Иценко-Кушинга
У большинства больных с различными формами гиперкортицизма: АКТГ-зависимыми (болезнь Иценко-Кушинга, аденома гипофиза, АКТГ эктопический синдром) и АКТГ-независимыми формами (аденома коры надпочечника и/или двусторонняя микро-, макроузелковая гиперплазия) клинические проявления заболевания постоянны и зависят от скорости секреции кортизола надпочечниками.
К классическим признакам синдрома Иценко-Кушинга у взрослых относятся «лунообразное» лицо багрово-красного цвета, часто возникают многочисленные угревидные высыпания, центральное ожирение с одновременной потерей жировой ткани на бедрах, ягодицах и руках, истончение кожи и ломкость капилляров, приводящие к легкому и часто спонтанному образованию синяков. За счет неправильного и неравномерного жироотложения происходит необратимая деформация позвоночника, больные сутулятся, происходит нарушение осанки (кифоз, сколиоз). На бедрах, предплечьях, животе можно увидеть растяжки ярко-красного или даже фиолетового цвета, надключичные жировые подушечки и периферические отеки. Часто происходит разрушение костной ткани, отмечается склонность к переломам. У женщин по причине избытка половых гормонов возникают признаки излишнего оволосения по мужскому типу, появляются существенные перебои менструального цикла. У детей самым ранним признаком служит избыточная масса тела при задержке роста.

За счет повышенного уровня кортизола могут возникать гипертония, аритмия, поражение сердца и сосудов, высокий уровень глюкозы в крови, снижение зрения, приступы агрессивности, депрессия, нарушения терморегуляции (именно такие больные очень часто потеют, а также могут мерзнуть в жаркую погоду).
Диагностика синдрома Иценко-Кушинга
Ярко выраженный синдром Иценко-Кушинга не представляет особых диагностических трудностей. Достаточно лишь оценить внешний облик человека и провести с ним беседу. Но заболевание с умеренными проявлениями может вызвать у врача ряд проблем. Всегда следует исключать предварительный прием глюкокортикостероидов пациентом (экзогенный синдром Кушинга). Диагноз ставится клинически, а подтверждается данными лабораторных и визуализирующих методов исследований для установления стадии болезни и выяснения первопричины патологии.
Подтверждение избытка кортизола выполняется строго по показаниям врача одним из четырех методов:
- оценка количества кортизола - определение свободного кортизола мочи в двукратных суточных пробах;
Синонимы: Анализ мочи на кортизол; Анализ суточной мочи на свободный кортизол; Кортизол мочи. Hydrocortisone; Urine cortisol; Free Cortisol Urine Test; Urine Cortisaol Test. Краткое описание теста .
Болезнь Иценко — Кушинга - симптомы и лечение
Что такое болезнь Иценко — Кушинга? Причины возникновения, диагностику и методы лечения разберем в статье доктора Ворожцова Е. И., эндокринолога со стажем в 12 лет.
Над статьей доктора Ворожцова Е. И. работали литературный редактор Маргарита Тихонова , научный редактор Сергей Федосов

Определение болезни. Причины заболевания
Болезнь Иценко — Кушинга (БИК) — тяжёлое многосистемное заболевание гипоталомо-гипофизарного происхождения, клинические проявления которого обусловлены гиперсекрецией гормонов коры надпочечников. [1] Является АКТГ-зависимой формой гиперкортицизма (заболевания, связанного с избыточным выделением гормонов корой надпочечников).

Основная причина заболевания — кортикотрофная микроаденома (доброкачественная опухоль) гипофиза. Возникновение последней может быть связано со множеством факторов. Часто заболевание развивается после травмы головного мозга, беременности, родов, нейроинфекции.

Болезнь Иценко — Кушинга является редким заболеванием, частота встречаемости которого составляет 2-3 новых случая в год на один миллион населения. [2]
При обнаружении схожих симптомов проконсультируйтесь у врача. Не занимайтесь самолечением - это опасно для вашего здоровья!
Симптомы болезни Иценко — Кушинга
Клинические признаки данной болезни обусловлены гиперсекрецией кортикостероидов. В большинстве случаев первым клиническим признаком является ожирение, которое развивается на лице, шее, туловище и животе, при этом конечности становятся тонкими. Позднее проявляются кожные изменения — истончение кожи, трудно заживающие раны, яркие стрии (растяжки), гиперпигментация кожи, гирсутизм (избыточное появление волос на лице и теле).

Также важным и частым симптомом является мышечная слабость, развитие остеопороза.
Артериальная гипертензия при БИК носит постоянный и умеренный характер, в редких случаях артериальное давление остаётся в норме. Это связано с тем, что глюкокортикоиды (гормоны, вырабатываемые корой надпочечников) повышают сосудистый тонус и чувствительность адренорецепторов к катехоламинам (природным веществам, контролирующим межклеточное взаимодействие в организме).
Более чем у половины больных возникают нарушения психики. Наиболее частые из них: эмоциональная неустойчивость, депрессия, раздражительность, панические атаки, расстройство сна.
Нарушения менструального цикла (редкие, скудные менструации или их отсутствие) встречается у 70-80% пациенток, также довольно часто встречается бесплодие. У мужчин при БИК снижается половое влечение и возникает эректильная дисфункция.
Болезнь Иценко — Кушинга сопровождается иммунодефицитом, который проявляется в виде рецидивирующей инфекции (чаще всего возникает хронический пиелонефрит).
Частота клинических проявлений БИК: [3]
- лунообразное лицо — 90%;
- нарушенная толерантность к глюкозе — 85%;
- абдоминальный тип ожирения и гипертензия — 80%;
- гипогонадизм (недостаток тестостерона) — 75%;
- гирсутизм — 70%;
- остеопороз и мышечная слабость — 65%;
- стрии — 60%;
- отёк суставов, акне и отложение жира в области VII шейного позвонка — 55%;
- боли в спине — 50%;
- нарушения психики — 45%;
- ухудшение заживления ран — 35%;
- полиурия (избыточное мочеобразование), полидипсия (чрезмерная жажда) — 30%;
- кифоз (искривление позвоночника) — 25%; и полицитемия (увеличение концентрации эритроцитов в крови) — 20%.

Патогенез болезни Иценко — Кушинга
Патогенез данного заболевания носит многоступенчатый характер.
В кортикотрофах гипофиза возникают характерные рецепторно-пострецепторные дефекты, в дальнейшем приводящие к трансформации нормальных кортикотрофов в опухолевые с гиперпродукцией адрено-кортикотропного гормона и последующим развитием гиперкортицизма. [4]

На трансформацию нормальных кортикотрофов в опухолевые влияют гормоны гипоталамуса и местные ростовые факторы:
- эпидермальный фактор роста (стимулирует рост клеток эпителия);
- цитокины (отвечают за межклеточное взаимодействие);
- грелин (нарушает углеводный обмен); [14]
- сосудистый эндотелиальный фактор роста (способствует росту клеток эндотелия).
Хронически повышенная концентрация АКТГ приводит к повышенной секреции кортизола, который и обуславливает характерную клиническую картину БИК.
Классификация и стадии развития болезни Иценко — Кушинга
Классификация БИК по степени тяжести: [5]
- лёгкая форма — симптомы выражены в умеренной степени;
- средняя форма — симптомы явно выражены, осложнения отсутствуют;
- тяжёлая форма — при наличии всех симптомов БИК возникают различные осложнения.
Классификация БИК по течению:
- торпидное (патологические изменения формируются постепенно, на протяжении 3-10 лет);
- прогрессирующее (нарастание симптомов и осложнений заболевания происходит в течение 6-12 месяцев от начала заболевания);
- циклическое (клинические проявления возникают периодически, непостоянно).
Осложнения болезни Иценко — Кушинга
- Сосудистая исердечная недостаточность. Данное осложнение развивается у половины пациентов после 40 лет. Данная патология может привести к смерти. В большинстве случаев это происходит по причине тромбоэмболии лёгочной артерии, острой сердечной недостаточности и отёка легких.
- Патологические остеопоретические переломы. Наиболее часто встречаются переломы позвоночника, рёбер, трубчатых костей.
- Хроническая почечная недостаточность. У 25-30% больных снижается клубочковая фильтрация и канальцевая реабсорбция (обратное поглощение жидкости).
- Стероидный сахарный диабет. Данное осложнение наблюдается у 10-15% пациентов с данным заболеванием.
- Атрофия мыщц, в результате которой появляется выраженная слабость. У больных возникают трудности не только при передвижении, но и в момент вставания.
- Нарушения зрения (катаракта, экзофтальм, нарушение полей зрения).
- Психические расстройства. Наиболее часто встречается бессонница, депрессия, панические атаки, параноидальные состояния, истерия.
Диагностика болезни Иценко — Кушинга
Диагноз «Болезнь Иценко — Кушинга» можно установить на основании характерных жалоб, клинических проявлений, гормонально-биохимических изменений и данных инструментальных исследований.
Исключительно важными гормональными показателями для данной патологии будут АКТГ и кортизол. Уровень АКТГ повышается и колеблется в пределах от 80 до 150 пг/мл. [7] Повышение уровня кортизола в крови не всегда является информативным, так как увеличение данного показателя может быть обусловлено рядом других причин (стрессы, алкоголизм, беременность, эндогенная депрессия, семейная резистентность (споротивляемость) к глюкокортикоидам и т. д.). В связи с этим разработаны методы исследования уровня свободного кортизола в суточной моче или слюне. Наиболее информативным является исследование свободного кортизола в слюне в 23:00. [6]
Для доказательства гиперкортицизма используется малый дексаметазоновый тест. При БИК данная проба будет отрицательной, так как подавление кортизола при приёме 1 мг дексаметазона не происходит. [7]
Биохимический анализ крови способен выявить многочиселнные измения:
- повышение в сыворотке крови уровня холестерина, хлора, натрия и глобулинов;
- снижение в крови концентрации калия, фосфатов и альбуминов;
- снижение активности щелочной фосфатазы.
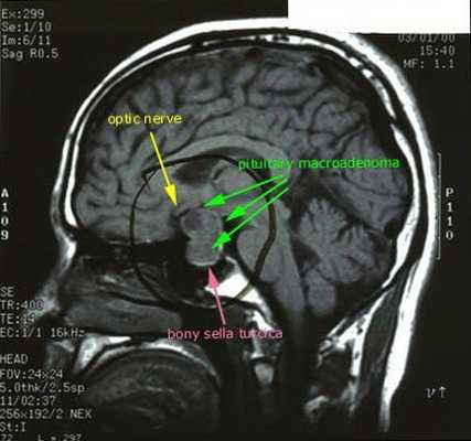
После подтверждённого гиперкортицизма необходимо проведение инструментальных методов исследования (МРТ гипофиза, КТ надпочечников).

При БИК в 80-85% случаев выявляют микроаденому гипофиза (опухоль до 10 мм), у остальных 15-20% — макроаденому (доброкачественное новообразование от 10 мм). [7]
Лечение болезни Иценко — Кушинга
Медикаментозная терапия
В настоящее время эффективных лекарственных препаратов для лечения данной патологии не существует. В связи этим они используются либо при наличии противопоказаний для оперативного лечения, либо как вспомогательная терапия. Применяются следующие медикаменты:
- нейромодуляторы — блокируют образование АКТГ аденомой гипофиза (каберголин, бромкриптин, соматостатин); [8]
- препараты, блокирующие синтез стероидов в надпочечниках (кетоконазол, аминоглютетимид, митотан, метирапон);
- антагонисты глюкокортикоидов (мифепристон). [9]
Кроме препаратов данных групп пациентам назначается симптоматическая терапия для снижения симптомов гиперкортицизма и улучшения качества жизни пациента:
- гипотензивная терапия (ингибиторы АПФ, антагонисты кальция, диуретики, бета-адреноблокаторы);
- антирезорбтивная терапия при развитии стероидного остеопороза;
- препараты, корректирующие нарушения углеводного обмена (метформин, препараты сульфанилмочевины, инсулин);
- терапия, направленная на коррекцию дислипидемии;
- антиангинальная терапия.
Оперативная терапия
- Транссфеноидальная аденомэктомия в настоящее время считается наиболее эффективным и безопасным способом лечения БИК. [7] Противопоказаниями для данного вида лечения служат супраселлярный рост аденомы с прорастанием в боковые желудочки, тяжёлые сопутствующие заболевания, определяющие общий плохой послеоперационный прогноз. К осложнениям транссфеноидальной аденомэктомии относятся: ликворея (потеря спиномозговой жидкости), пансинусит (воспаление всех пазух носовой полости), несахарный диабет, приходящий гипокортицизм.

- Двусторонняя адреналэктомия используется при неэффективности аденомэктомии и радиохирургии. [10]
Радиохирургия
- Операция с помощью гамма-ножа. Во время проведения хирургического вмешательства луч радиации, направленный непосредственно в аденому гипофиза, разрушает её клетки. Данный метод лечения предотвращает рост опухоли при помощи однократной дозы радиации. Процедура длится около двух-трёх часов. Она не затрагивает окружающие структуры мозга, производится с точностью до 0,5 мм. Осложнения данной терапии — гиперемия (увеличение притока крови) в зоне облучения, алопеция (выпадение волос).

- Протонотерапия. [11] Данный вид лечения использует протонную энергию, которая генерируется в ядерных ускорителях. Протоны повреждают ДНК клеток, вследствие чего они погибают. Протоновый пучок фокусируют непосредственно на аденому, не повреждая окружающие ткани. Голова пациента фиксируется в специальной маске, которая изготавливается для каждого индивидуально. Во время процедуры облучения врач контролирует состояние больного, а операторы дистанционно наблюдают за пучком. Данный вид лечения обычно хорошо переносится пациентами. Улучшение самочувствия наблюдается уже через 1-1,5 месяца.
- Мегавольтное тормозное излучение медицинских ускорителей позволяет проникать электронам на большие расстояния. Данный вид терапии часто даёт хорошие результаты, но, одновременно с этим, усложняет дозиметрию (расчёты ионизирующих излучений), что может привести к опасным радиационным авариям.
Прогноз. Профилактика
Прогноз БИК зависит от нескольких показателей: формы и длительности заболевания, наличия осложнений, состояния иммунитета и других факторов.
Полное выздоровление и восстановление трудоспособности возможно при лёгкой форме болезни и небольшом стаже заболевания.
При средней и тяжёлой формах БИК трудоспособность крайне снижена или отсутствует. После проведённой двусторонней адреналэктомии развивается хроническая надпочечниковая недостаточность, которая диктует пожизненный приём глюко- и минералкортикоидов.
В целом любое лечение, как правило, приводит к улучшению качества жизни больного, однако она остаётся ниже, чем у лиц без данной патологии.
Болезнь Иценко — Кушинга — тяжёлое хроническое заболевание, которое при отсутствии своевременного лечения может стать причиной летального исхода. Смертность при данной патологии составляет 0,7%.
Пятилетняя выживаемость при БИК без проведения лечения составляет 50%, но заметно улучшается даже если проводить только паллиативное лечение (при двухсторонней адреналэктомии выживаемость увеличивается до 86%). [13]
Первичной профилактики БИК не существует. Вторичная профилактика заболевания направлена на предотвращение рецидива болезни.
Синдром Иценко-Кушинга (гиперкортицизм)
Синдром Иценко-Кушинга - патологический симптомокомплекс, возникающий вследствие гиперкортицизма, т. е. повышенного выделения корой надпочечников гормона кортизола либо длительного лечения глюкокортикоидами. Следует отличать синдром Иценко-Кушинга от болезни Иценко-Кушинга, под которой понимают вторичный гиперкортицизм, развивающийся при патологии гипоталамо-гипофизарной системы. Диагностика синдрома Иценко-Кушинга включает исследование уровня кортизола и гипофизарных гормонов, дексаметазоновую пробу, МРТ, КТ и сцинтиграфию надпочечников. Лечение синдрома Иценко-Кушинга зависит от его причины и может заключатся в отмене глюкокортикоидной терапии, назначении ингибиторов стероидогенеза, оперативном удалении опухоли надпочечников.

Общие сведения
Синдром Иценко-Кушинга - патологический симптомокомплекс, возникающий вследствие гиперкортицизма, т. е. повышенного выделения корой надпочечников гормона кортизола либо длительного лечения глюкокортикоидами. Глюкокортикоидные гормоны участвуют в регуляции всех видов обмена веществ и многих физиологических функций. Работу надпочечников регулирует гипофиз путем секреции АКТГ - адренокортикотропного гормона, активизирующего синтез кортизола и кортикостерона. Деятельностью гипофиза управляют гормоны гипоталамуса - статины и либерины.
Такая многоступенчатая регуляция необходима для обеспечения слаженности функций организма и обменных процессов. Нарушение одного из звеньев этой цепи может вызвать гиперсекрецию глюкокортикоидных гормонов корой надпочечников и привести к развитию синдрома Иценко-Кушинга. У женщин синдром Иценко-Кушинга встречается в 10 раз чаще, чем у мужчин, развиваясь, преимущественно, в возрасте 25-40 лет.
Различают синдром и болезнь Иценко-Кушинга: последняя клинически проявляется той же симптоматикой, но в ее основе лежит первичное поражение гипоталамо-гипофизарной системы, а гиперфункция коры надпочечников развивается вторично. У пациентов, страдающих алкоголизмом или тяжелыми депрессивными расстройствами, иногда развивается псевдо-синдром Иценко-Кушинга.
Причины и механизм развития синдрома Иценко-Кушинга
Синдром Иценко-Кушинга - широкое понятие, включающее комплекс различных состояний, характеризующихся гиперкортицизмом. Согласно современным исследования в области эндокринологии более 80% случаев развития синдрома Иценко-Кушинга связано с повышенной секрецией АКТГ микроаденомой гипофиза (болезнь Иценко-Кушинга). Микроаденома гипофиза представляет небольшую (не более 2 см), чаще доброкачественную, железистую опухоль, продуцирующую адренокортикотропный гормон.
У 14-18% пациентов причиной синдрома Иценко-Кушинга является первичное поражение коры надпочечников в результате гиперпластических опухолевых образований коры надпочечников - аденомы, аденоматоза, аденокарциномы.
1-2% заболевания вызывается АКТГ-эктопированным или кортиколиберин-эктопированным синдромом - опухолью, секретирующей кортикотропный гормон (кортикотропиномой). АКТГ-эктопированный синдром может вызываться опухолями различных органов: легких, яичек, яичников, тимуса, околощитовидных, щитовидной, поджелудочной, предстательной железы. Частота развития лекарственного синдром Иценко-Кушинга зависит от правильности применения глюкокортикоидов в лечении пациентов с системными заболеваниями.
Гиперсекреция кортизола при синдроме Иценко-Кушинга вызывает катаболический эффект - распад белковых структур костей, мышц (в том числе и сердечной), кожи, внутренних органов и т. д., со временем приводя к дистрофии и атрофии тканей. Усиление глюкогенеза и всасывания в кишечнике глюкозы вызывает развитие стероидной формы диабета. Нарушения жирового обмена при синдроме Иценко-Кушинга характеризуется избыточным отложением жира на одних участках тела и атрофией на других ввиду их разной чувствительности к глюкокортикоидам. Влияние избыточного уровня кортизола на почки проявляется электролитными расстройствами - гипокалиемией и гипернатриемией и, как следствие, повышением артериального давления и усугублением дистрофических процессов в мышечной ткани.
В наибольшей степени от гиперкортицизма страдает сердечная мышца, что проявляется в развитии кардиомиопатии, сердечной недостаточности и аритмий. Кортизол оказывает угнетающее действие на иммунитет, вызывая у пациентов с синдромом Иценко-Кушинга склонность к инфекциям. Течение синдрома Иценко-Кушинга может быть легкой, средней и тяжелой формы; прогрессирующим (с развитием всего симптомокомплекса за 6-12 месяцев) или постепенным (с нарастанием в течение 2-10 лет).
Симптомы синдрома Иценко-Кушинга
Наиболее характерным признаком синдрома Иценко-Кушинга служит ожирение, выявляемое у пациентов более чем в 90% случаев. Перераспределение жира носит неравномерный характер, по кушингоидному типу. Жировые отложения наблюдаются на лице, шее, груди, животе, спине при относительно худых конечностях («колосс на глиняных ногах»). Лицо становится лунообразным, красно-багрового цвета с цианотичным оттенком («матронизм»). Отложение жира в области VII шейного позвонка создает, так называемый, «климактерический» или «бизоний» горб. При синдроме Иценко-Кушинга ожирение отличает истонченная, почти прозрачная кожа на тыльных сторонах ладоней.
Со стороны мышечной системы наблюдается атрофия мышц, снижение тонуса и силы мускулатуры, что проявляется мышечной слабостью (миопатией). Типичными признаками, сопровождающими синдром Иценко-Кушинга, являются «скошенные ягодицы» (уменьшение объема бедренных и ягодичных мышц), «лягушачий живот» (гипотрофия мышц живота), грыжи белой линии живота.
Кожа у пациентов с синдромом Иценко-Кушинга имеет характерный «мраморный» оттенок с хорошо заметным сосудистым рисунком, склонна к шелушению, сухости, перемежается с участками потливости. На коже плечевого пояса, молочных желез, живота, ягодиц и бедер образуются полосы растяжения кожи - стрии багровой или цианотичной окраски, длиной от нескольких миллиметров до 8 см и шириной до 2 см. Наблюдаются кожные высыпания (акне), подкожные кровоизлияния, сосудистые звездочки, гиперпигментация отдельных участков кожи.
При гиперкортицизме нередко развивается истончение и повреждение костной ткани - остеопороз, ведущий к сильным болезненным ощущениям, деформации и переломам костей, кифосколиозу и сколиозу, более выраженных в поясничном и грудном отделах позвоночника. За счет компрессии позвонков пациенты становятся сутулыми и меньше ростом. У детей с синдромом Иценко-Кушинга наблюдается отставание в росте, вызванное замедлением развития эпифизарных хрящей.
Нарушения со стороны сердечной мышцы проявляются в развитии кардиомиопатии, сопровождающейся аритмиями (фибрилляцией предсердий, экстрасистолией), артериальной гипертензией и симптомами сердечной недостаточности. Эти грозные осложнения способны привести к гибели пациентов. При синдроме Иценко-Кушинга страдает нервная система, что выражается в ее нестабильной работе: заторможенности, депрессиях, эйфории, стероидных психозах, суицидальных попытках.
В 10-20% случаев в ходе заболевания развивается стероидный сахарный диабет, не связанный с поражениями поджелудочной железы. Протекает такой диабет довольно легко, с длительным нормальным уровнем инсулина в крови, быстро компенсируется индивидуальной диетой и сахароснижающими препаратами. Иногда развиваются поли- и никтурия, периферические отеки.
Гиперандрогения у женщин, сопровождающая синдром Иценко-Кушинга, вызывает развитие вирилизации, гирсутизма, гипертрихоза, нарушений менструального цикла, аменореи, бесплодия. У пациентов-мужчин наблюдаются признаки феминизации, атрофия яичек, снижение потенции и либидо, гинекомастия.
Осложнения
Хроническое, прогрессирующее течение синдрома Иценко-Кушинга с нарастающей симптоматикой может приводить к гибели пациентов в результате осложнений, несовместимых с жизнью: декомпенсации сердечной деятельности, инсультов, сепсиса, тяжелого пиелонефрита, хронической почечной недостаточности, остеопороза с множественными переломами позвоночника и ребер.
Неотложным состоянием при синдроме Иценко-Кушинга является адреналовый (надпочечниковый) криз, проявляющийся нарушением сознания, артериальной гипотензией, рвотой, болями в животе, гипогликемией, гипонатриемией, гиперкалиемией и метаболическим ацидозом.
В результате снижения резистентности к инфекциям у пациентов с синдромом Иценко-Кушинга нередко развиваются фурункулез, флегмоны, нагноительные и грибковые заболевания кожи. Развитие мочекаменной болезни связано с остеопорозом костей и выделением с мочой избытка кальция и фосфатов, приводящих к образованию оксалатных и фосфатных камней в почках. Беременность у женщин с гиперкортицизмом часто заканчивается выкидышем или осложненными родами.
Диагностика синдрома Иценко-Кушинга
При подозрении у пациента синдрома Иценко-Кушинга на основании амнестических и физикальных данных и исключении экзогенного источника поступления глюкокортикоидов (в т. ч. ингаляционного и внутрисуставного), в первую очередь выясняется причина гиперкортицизма. Для этого используется скрининговые тесты:
- определение экскреции кортизола в суточной моче: повышение кортизола в 3-4 раза и более свидетельствует о достоверности диагноза синдрома или болезни Иценко-Кушинга.
- малую дексаметазоновую пробу: в норме прием дексаметазона снижает уровень кортизола более чем в половину, а при синдроме Иценко-Кушинга снижения не происходит.
Дифференциальную диагностику между болезнью и синдромом Иценко-Кушинга позволяет провести большая дексаметазоновая проба. При болезни Иценко-Кушинга прием дексаметазона приводит к снижению концентрации кортизола более чем в 2 раза от исходного; при синдроме снижения кортизола не происходит.
В моче повышено содержание 11-ОКС (11-оксикетостероидов) и снижено 17-КС. В крови гипокалиемия, увеличение количества гемоглобина, эритроцитов и холестерина. Для определения источника гиперкортицизма (двусторонняя гиперплазия надпочечников, аденома гипофиза, кортикостерома) проводится МРТ или КТ надпочечников и гипофиза, сцинтиграфия надпочечников. С целью диагностики осложнений синдрома Иценко-Кушинга (остеопороза, компрессионных переломов позвонков, перелома ребер и т. д.) проводится рентгенография и КТ позвоночника, грудной клетки. Биохимическое исследование показателей крови диагностирует электролитные нарушения, стероидный сахарный диабет и др.
Лечение синдрома Иценко-Кушинга
При ятрогенной (лекарственной) природе синдрома Иценко-Кушинга необходима постепенная отмена глюкокортикоидов и замена их на другие иммунодепрессанты. При эндогенной природе гиперкортицизма назначаются препараты, подавляющие стероидогенез (аминоглютетимид, митотан).
При наличии опухолевого поражения надпочечников, гипофиза, легких проводится хирургическое удаление новообразований, а при невозможности - одно- или двусторонняя адреналэктомия (удаление надпочечника) или лучевая терапия гипоталамо-гипофизарной области. Лучевую терапию часто проводят в комбинации с хирургическим или медикаментозным лечением для усиления и закрепления эффекта.
Симптоматическое лечение при синдроме Иценко-Кушинга включает применение гипотензивных, мочегонных, сахароснижающих препаратов, сердечных гликозидов, биостимуляторов и иммуномодуляторов, антидепрессантов или седативных средств, витаминотерапию, лекарственную терапию остеопороза. Проводится компенсация белкового, минерального и углеводного обмена. Послеоперационное лечение пациентов с хронической надпочечниковой недостаточностью, перенесших адреналэктомию, состоит в постоянной заместительной гормональной терапии.
Прогноз синдрома Иценко-Кушинга
При игнорировании лечения синдрома Иценко-Кушинга развиваются необратимые изменения, приводящие к летальному исходу у 40-50% пациентов. Если причиной синдрома явилась доброкачественная кортикостерома, прогноз удовлетворительный, хотя функции здорового надпочечника восстанавливаются только у 80% пациентов. При диагностике злокачественных кортикостером прогноз пятилетней выживаемости - 20-25% (в среднем 14 месяцев). При хронической надпочечниковой недостаточности показана пожизненная заместительная терапия минерало- и глюкокортикоидами.
В целом прогноз синдрома Иценко-Кушинга определяется своевременностью диагностики и лечения, причинами, наличием и степенью выраженности осложнений, возможностью и эффективностью оперативного вмешательства. Пациенты с синдромом Иценко-Кушинга находятся на динамическом наблюдении у эндокринолога, им не рекомендуются тяжелые физические нагрузки, ночные смены на производстве.
Синдром Иценко-Кушинга (Синдром Кушинга, Сushing's syndrome)
Синдром Кушинга: симптомы, диагностика, лечение

Врач гинеколог-эндокринолог. Стаж 23+ лет. Принимает в Университетской клинике в Санкт-Петербурге. Стоимость приема 2000 руб.
- Запись опубликована: 27.07.2022
- Reading time: 9 минут чтения
Синдром Кушинга - группа симптомов, возникающих в результате избытка в организме гормонов коры надпочечников: глюкокортикоидов, андрогенов, минералокортикоидов. Патология может развиться в любом возрасте. Помимо ожирения и растяжек, состояние приводит к серьезным осложнениям.
Синдром Кушинга может быть первым симптомом злокачественной опухоли.
Что такое надпочечники
Надпочечники - парные эндокринные железы. Они имеют небольшие размеры и расположены над почками. Вес одного надпочечника колеблется от 10 до 18 грамм.
Надпочечники состоят из коркового (80-90% железы) и мозгового (10-20% железы) отделов, различающихся по строению и функциям.
За иннервацию надпочечников отвечает надпочечниковое сплетение, состоящее из волокон блуждающего, диафрагмального и висцерального нервов.
Основная работа надпочечников заключается в выработке гормонов, управляющих многими процессами в организме.
Гормоны коры надпочечников и их функции
В надпочечниках вырабатываются разные гормоны с абсолютно разными функциями. По этому признаку их можно разделить на группы.
Гормоны, выделяемые корковым отделом надпочечников
Наиболее сильную активность среди этих гормонов демонстрирует альдостерон - органическое химическое соединение из группы стероидов. Функции альдостерона:
- участвует в регуляции водно-минерального баланса организма, поддерживает надлежащий уровень минеральных солей и воды в организме;
- влияет на функционирование почечных канальцев, увеличивая всасывание солей натрия и ограничивая их экскрецию с мочой;
- уменьшает количество крови, проходящей через почки, тем самым уменьшая количество выделяемой мочи;
- участвует в транспортных процессах в почках;
- вместе с ренином и ангиотензином регулирует кровяное давление.
Наиболее важный гормон в группе глюкокортикоидов - кортизол, известный как гормон стресса. Характерная особенность кортизола - циркадный ритм секреции, поэтому наибольшая его концентрация наблюдается в утренние часы, а наименьшая около полуночи.
- обладает противовоспалительными свойствами, поэтому часто входит в состав сильнодействующих препаратов для противодействия воспалению;
- влияет на уровень глюкозы в крови, вызывает повышение уровня глюкозы, например, в стрессовые моменты;
- способствует высвобождению аминокислот, ускорению глюконеогенеза - образованию глюкозы из неуглеводных соединений, задержке солей в организме;
- участвует в расщеплении жирных кислот и снижает использование глюкозы скелетными мышцами при интенсивных физических нагрузках.
Половые гормоны - андрогены
Андрогены, например, тестостерон, вырабатываются в надпочечниках в небольшом количестве. Эти гормоны ускоряют рост организма и отвечают за формирование вторичных мужских половых признаков.
Гормоны, выделяемые мозговым веществом надпочечников
Задача адреналина - повлиять на реакцию организма в ситуации стресса или возникающей опасности. При увеличении уровня адреналина в крови:
- учащается сердцебиение;
- повышается артериальное давление;
- расширяются зрачки;
- угнетается перистальтика кишечника;
- увеличивается уровень глюкозы в крови.
Адреналин вводят больным в случаях анафилактического шока или реанимации.
Норадреналин вырабатывается не только в мозговом веществе надпочечников, но и в ядрах ствола головного мозга. Функции норадреналина:
- воздействует на систему кровообращения, повышая систолическое и диастолическое артериальное давление;
- действуя на симпатические нервы кишечника, снижает тонус кишечника.
Во время сна выделение норадреналина незначительно, при пробуждении и вставании оно увеличивается;
Дофамин вырабатывается в небольших количествах в мозговом веществе надпочечников, но в основном синтезируется в нейронах. Функции дофамина:
- способствует выработке положительного психоэмоционального настроя, проявлению эмоций;
- регулирует концентрацию других гормонов, особенно пролактина;
- повышает кровяное давление и силу мышечного сокращения - это свойство дофамина используется при лечении травматического, септического и кардиогенного шоков.
Варианты синдрома Кушинга
Болезнь проявляется по-разному:
Экзогенный синдром Кушинга. Экзогенный синдром Кушинга возникает при длительном лечении глюкокортикостероидами. Глюкокортикоиды применяют при лечении: астмы, ревматоидного артрита, системной красной волчанки, воспалительных заболеваний, у больных после трансплантации органов для предотвращения отторжения пересаженного органа.
Эндогенный синдром Кушинга. При эндогенном синдроме Кушинга организм сам вырабатывает слишком много глюкокортикоидов.
Это может произойти по 3 причинам:
- Доброкачественная опухоль гипофиза - микроаденома, продуцирующая гормон АКТГ, стимулирующий работу надпочечников и выработку ими гормонов;
- Первичная гиперфункция надпочечников, вызванная опухолью или гиперплазией надпочечников - увеличением количества клеток железы;
- Опухоль за пределами гипофиза, вырабатывающая АКТГ - эктопическая секреция АКТГ.
Статистика заболеваемости синдромом Кушинга
Эндогенный синдром Кушинга — очень редкое заболевание. Женщины болеют примерно в 3 раза чаще, чем мужчины. Чаще всего страдают люди в возрасте около 40 лет, но дети и подростки тоже могут заболеть синдромом Кушинга. С другой стороны, экзогенный синдром Кушинга, вызванный лекарствами, встречается относительно часто.
Синдром Кушинга: признаки и симптомы
Перепроизводство стероидов вызывает ряд изменений в организме.
Симптомы синдрома Кушинга:
- накопление жира на туловище при сохранении стройности верхних и нижних конечностей;
- большое круглое лицо;
- увеличение количества жировой ткани вокруг шеи и плеч - шея буйвола;
- тонкая, нежная кожа, склонная к синякам и медленному заживлению ран;
- на коже живота, бедер, груди, вокруг подмышек и коленных впадин появляются сине-красные растяжки, кожа становится дряблой; ;
- боли в костях, серьезные переломы;
- высокое кровяное давление; в крови; ;
- обильное выделение мочи - полиурия, сильная жажда;
- пациенты становятся более восприимчивыми к инфекциям;
- затуманенное зрение;
- нервно-психические расстройства - депрессия, нарушения сна;
- у детей: склонность к ожирению, раннее появление полового оволосения, андрогенизация в виде гиперплазии клитора, макрогенитосомия без увеличения объема яичек, задержка развития молочных желез;
- у женщин: появление волос на теле по мужскому типу - гирсутизм, нарушения менструального цикла;
- у мужчин: снижение потенции, импотенция.
Таблица 1. Основные симптомы синдрома Кушинга и их распространенность
| Симптомы | Приблизительная частота |
| Ожирение туловища - большой живот, сильные плечи и грудь | 90% |
| Широкое лицо | 85% |
| Чрезмерное оволосение у женщин или гирсутизм | 80% |
| Нарушение менструального цикла, импотенция | 75% |
| Высокое кровяное давление | 75% |
| Остеопороз | 60% |
| Красные растяжки на коже | 60% |
| Мышечная слабость | 60% |
Осложнения, возникающие при избытке глюкокортикостероидов или синдроме Кушинга:
- ; ;
- дислипидемия - нарушение липидного обмена, ведуще к атеросклерозу; ; ;
- катаракта;
- глаукома; ;
- язвы желудка и двенадцатиперстной кишки; ; - от депрессивных состояний до редких психотических эпизодов.
Синдром Кушинга: обследование и диагностика
Диагноз ставится на основании истории болезни, физического осмотра и лабораторных анализов.
Эндокринолог сначала опрашивает пациента о принимаемых им лекарствах, чтобы исключить экзогенный характер синдрома Кушинга, возникающий при приеме препаратов, содержащих кортикостероиды.
Лабораторные анализы
Врачи для диагностики синдрома Кушинга назначают анализы мочи, слюны или крови
Виды лабораторной диагностики при синдроме Кушинга:
- 24-часовой тест мочи на свободный кортизол. Для этого анализа необходимо собрать всю мочу за сутки. При содержании в моче кортизола выше нормы диагностируют синдром Кушинга. Референсные значения кортизола в моче 58 - 403 мкг/сут.
- Ночной тест на кортизол в слюне. При этом анализе измеряют количество кортизола в слюне поздним вечером. Обычно выработка кортизола падает сразу после того, как человек засыпает. При синдроме Кушинга уровень кортизола не снижается. Референсные значения кортизола в слюне:
- утро (08,00 - 10,00) -
- день (16,00 - 20,00) -
- вечер (23.30 - 00.30) -
- Супрессивный тест с низкими дозами дексаметазона или LDDST. При анализе ингибирования дексаметазона пациент принимает 2 миллиграмма глюкокортикоидного гормона дексаметазона в полночь. На следующее утро берется образец крови натощак, чтобы увидеть, присутствует ли в ней кортизол. Дексаметазон - препарат, заставляющий организма прекратить выработку АКТГ и, следовательно, кортизола. У здоровых людей концентрация кортизола составляет менее 2 мкг на децилитр крови. Однако при синдроме Кушинга уровень кортизола будет более 2 мкг. Исследование проводится амбулаторно. В норме уровень кортизола в крови падает после приема дексаметазона. Если уровень кортизола не падает, то это свидетельствует о синдроме Кушинга.
- Анализ с дексаметазон-CRH. Тест дексаметазон-CRH показывает, вызван ли избыток кортизола синдромом Кушинга или чем-то другим.
Некоторые люди время от времени имеют высокий уровень кортизола, но у них не развиваются долгосрочные осложнения синдрома Кушинга. У этих людей может быть псевдосиндром Кушинга - состояние, иногда встречающееся у пациентов, страдающих депрессией или тревогой, злоупотребляющих алкоголем, страдающих ожирением или диабетом со слишком высоким уровнем глюкозы в крови.
Этот тест сочетает в себе тест LDDST и тест стимуляции CRH — кортиколиберина. CRH — это гормон, вырабатываемый в гипоталамусе. Он “приказывает” гипофизу вырабатывать АКТГ, стимулирующий работу надпочечников. Когда уровень кортизола повышается достаточно, надпочечники отключают сигнал КРГ, поэтому уровни АКТГ и кортизола падают.
Если у пациента синдром псевдо-Кушинга, дексаметазон снизит уровни АКТГ и кортизола и предотвратит их повышение. Если уровень кортизола непосредственно перед инъекцией КРГ высокий или повышается во время этого анализа, предполагают синдром Кушинга.
Как врачи находят причину синдрома Кушинга?
Если врач-эндокринолог диагностирует синдром Кушинга, то назначаются дополнительные исследования и анализы. Они помогают определить источник проблемы - гипофиз, эктопия или надпочечники. Знание источника важно при выборе наилучшего типа лечения.
Первый шаг - измерение уровня АКТГ в крови. Если уровни АКТГ низкие, то вероятная причина - опухоль надпочечников. Людям с опухолями надпочечников дополнительные анализы крови не нужны.
Если уровень АКТГ нормальный или высокий, то вероятная причина - опухоль гипофиза или эктопическая опухоль.
Другие анализы крови помогают отличить опухоли гипофиза от эктопических опухолей. Эндокринолог обычно назначает следующие анализы:
- Тест стимуляции кортиколиберином. Для этого анализа пациенту сделают укол CRH. Если у него опухоль гипофиза, КРГ повысит уровень АКТГ и кортизола в крови. Это редко случается у людей с эктопическими опухолями.
- Супрессивный тест с высокими дозами дексаметазона - HDDST. Этот тест аналогичен LDDST, за исключением того, что в нем используются более высокие дозы дексаметазона. Если уровень кортизола в крови падает после приема высокой дозы дексаметазона, у пациента, вероятно, опухоль гипофиза. Если уровень кортизола не снижается, то возможна опухоль в другой части тела.
Другие исследования
Другие исследования ищут опухоли и помогают отличить опухоли гипофиза от эктопических опухолей.
Процедуры визуализации — УЗИ, КТ, МРТ при синдроме Кушинга
Если лабораторные тесты выявили опухоль как причину повышенного уровня кортизола, ее исследуют более тщательно с использованием соответствующих методов визуализации:
- Опухоль в коре надпочечников диагностируют с помощью УЗИ, компьютерной томографии или магнитно-резонансной томографии брюшной полости;
- При наличии опухоли в гипофизе исследование проводят с помощью магнитно-резонансной томографии;
- Если в гипофизе нет опухоли, врач ищет ее в другом органе, с помощью УЗИ, КТ или МРТ.
Визуализирующие тесты показывают размер и форму гипофиза и надпочечников и ищут опухоли, помогают определить их местонахождение.
Анализ крови из каменистого синуса
Опухоли гипофиза обычно небольшие и могут не обнаруживаться при визуализации. Если МРТ не показывает опухоль гипофиза, то проводится анализ крови из каменистого синуса. Этот тест - лучший способ отличить опухоль гипофиза от эктопических причин синдрома Кушинга.
Врач возьмет образцы крови из каменистых синусов — вен, дренирующих гипофиз. В то же время берется образец крови из кровеносного сосуда, находящегося далеко от гипофиза.
Более высокие уровни АКТГ в крови из каменистых синусов, чем из других кровеносных сосудов, указывают на опухоль гипофиза. Сходные уровни АКТГ во всех образцах крови свидетельствуют об эктопической опухоли.
Лечение синдрома Кушинга
Лечение зависит от причины и может включать:
- хирургическое вмешательство;
- лучевую терапию;
- химиотерапию;
- препараты, снижающие уровень кортизола.
Если причина синдрома Кушинга - длительное использование глюкокортикоидов для лечения другого расстройства, то врач-эндокринолог будет постепенно снижать дозировку до самой низкой дозы, необходимой для лечения этого заболевания. Иногда заболевания, которые врачи лечат глюкокортикоидами, можно лечить другими препаратами.
Опухоли надпочечников
Операция по удалению надпочечника с опухолью - наиболее распространенный метод лечения. Некоторые редкие заболевания вызывают множество узелков в обоих надпочечниках и требуют хирургического вмешательства для удаления обеих желез. Если у пациента удалены оба надпочечника, то нужно будет пожизненно принимать лекарства, заменяющие кортизол и другие гормоны, вырабатываемые надпочечниками.
Опухоли гипофиза
Наиболее распространенный метод лечения опухолей гипофиза - хирургическое удаление опухоли. Ели операция по удалению опухоли гипофиза проводится опытным хирургом, то вероятность излечения после операции достигает 90%.
После того как хирург удалит опухоль, гипофиз какое-то время не вырабатывает достаточное количество АКТГ. Врач назначит кортизол, так как АКТГ для стимуляции работы надпочечников недостаточно. Прием кортизола после операции длится 6-18 месяцев.
Если операция не удалась или невозможна, используется лучевая терапия:
- один тип лучевой терапии использует небольшие дозы радиации для гипофиза в течение 6-недельного периода;
- в другом типе используется однократная высокая доза радиации.
Уровень кортизола может не вернуться к норме после лучевой терапии в течение нескольких лет. Врач будет назначать лекарства для нормализации уровня кортизола до тех пор, пока не подействует лучевая терапия.
Эктопические опухоли, продуцирующие АКТГ
Основной метод лечения эктопических опухолей - их хирургическое удаление. Часто АКТГ вырабатывается новообразованием легких, поджелудочной железы.
Если опухоль, продуцирующая АКТГ, злокачественная, ее невозможно удалить из-за того, что пациент не может быть прооперирован из-за сопутствующих заболеваний либо из-за слишком сильного прогрессирования онкологического заболевания, то потребуется химиотерапия, лучевая терапия или другие методы лечения рака.
Частью лечения будут лекарства для снижения уровня кортизола.
Препараты, снижающие уровень кортизола
Для лечения синдрома Кушинга врач назначает препараты, подавляющие выработку кортизола в коре надпочечников - адреностатики. К адреностатикам относятся: аминоглютетимид или метопирон, лизурид, бромокриптин, кетоконазол + октреотид. Последние подавляют синтез АКТГ и косвенно замедляют работу коры надпочечников.
Синдром Кушинга: прогноз излечения
После операции пациент должен проходить регулярные осмотры. Врач будет проверять успешность проведения операции на основе анализа крови. Это необходимо для выявления рецидивов на ранней стадии.
Эндокринолог проверяет, нужно ли увеличить или уменьшить дозу кортизола, поскольку кортизол - важный стрессовый гормон в организме. В некоторых ситуациях организму требуется больше кортизола - при лихорадочных заболеваниях, операциях или других стрессовых ситуациях дозу кортизола необходимо увеличить.
Пациентам с аденомой гипофиза тоже необходимо временно принимать кортизол после операции.
Если у пациента на одном надпочечнике есть опухоль, вырабатывающая кортизол, то кора второго надпочечника обычно значительно снижает выработку этого гормона. После удаления опухоли здоровому надпочечнику нужно время, чтобы восстановиться. Поэтому этим пациентам приходится принимать кортизол в течение 2 лет и более после операции.
Читайте также:
- Показания для применения нейролептиков (антипсихотиков) и их побочные эффекты
- Примеры семейной кавернозной гемангиомы сетчатки
- Ультразвуковое исследование (УЗИ) беременных. УЗИ при беременности. Ультразвуковое исследование (УЗИ) плода.
- Старение эритроцитов. Разрушение эритроцитов. Длительность жизни эритроцита. Эхиноцит. Эхиноциты.
- Ретроградная и пневмотическая эзофагоскопия. Эзофагоскопия у детей
