Тромбоз глубоких вен головного мозга на КТ, ангиограмме
Добавил пользователь Владимир З. Обновлено: 13.12.2025
Чтобы кровеносная система нормально функционировала, важно иметь здоровые сосуды. О том, как помогает проверить их состояние КТ-ангиография, о показаниях к такому исследованию нам рассказала врач-рентгенолог «Клиники Эксперт» Курск Екатерина Александровна Нехаева.
— Среди методов исследования сосудов особое место занимает КТ-ангиография. Екатерина Александровна, что это такое? В чём суть этого исследования?
— Это современный и один из наиболее информативных методов диагностики патологии сосудов, основанный на применении рентгеновского излучения. От обычного рентгена его отличает гораздо большая информативность. Врач с помощью специальной программы может сформировать трёхмерную модель сосудов исследуемой области.
КТ-ангиография всегда выполняется с контрастом, то есть с внутривенным введением контрастного препарата. Так кровеносные сосуды становятся более заметными на снимках по сравнению с окружающими тканями. Это даёт возможность с высокой точностью оценить их просвет, расположение, синтопию (взаимоотношение с окружающими анатомическими структурами) и прочие параметры. Эти параметры определяют доступность сосудов для хирурга, например, при планировании вмешательств. Всю эту информацию мы стараемся отразить в протоколе максимально подробно (особенно если направляющий врач в направлении ставит перед нами конкретные вопросы).
— Сосуды каких частей тела, органов человека можно обследовать с помощью КТ-ангиографии?
— КТ-ангиография широко используется с целью оценки сосудов головы, шеи, крупных сосудов брюшной полости и забрюшинного пространства, сосудов подвздошных областей, нижних конечностей, коронарных артерий, а также лёгочных артерий и вен.
Читайте материал по теме:
— Когда пациенту может понадобиться КТ-ангиография?
— В основном показания к исследованию определяет направляющий доктор. Обычно это сосудистые хирурги, потому как КТ-ангиография зачастую производится непосредственно перед предполагаемым хирургическим вмешательством, чтобы врач при выполнении операции мог учитывать расположение и размер сосудов.
Наиболее распространённые патологии и иные поводы, с которыми приходят (или поступают) к нам пациенты, - это:
- облитерирующий атеросклероз сосудов нижних конечностей (поражение крупных артерий ног, приводящее к сужению артерий и нарушению кровообращения);
- атеросклеротическое поражение артерий головы и шеи, коронарных артерий и др.;
- аномалии развития сосудов;
- аневризма;
- разрыв аорты;
- тромбоз артерий;
- ишемическая болезнь сердца;
- синдром экстравазальной компрессии кровеносного сосуда (т. е. когда сосуд сдавливается чем-то извне);
- повреждение сосудов;
- осмотр после проведённой операции и др.
Читайте материалы по теме:
— Что выявляет КТ-ангиография?
— Она помогает обнаружить стенотические изменения (зоны сужения) или аневризматические участки (места расширения) сосудов, наличие и распространённость атеросклеротических изменений (с определением точного размера и структуры бляшек), сдавление сосудов опухолью и т. д.
КТ-ангиография позволяет также выявить аномалии развития сосудов, наличие различных вариантов отхождения и взаиморасположения сосудов, которые тоже зачастую бывают клинически значимыми.
— Екатерина Александровна, в чём преимущества КТ-ангиографии, если сравнивать её, например, с МРТ и УЗИ? И может ли она полностью заменить эти методы?
— КТ-ангиография однозначно более информативна, чем перечисленные методы, так как позволяет визуализировать саму сосудистую стенку, в то время как на МРТ и УЗИ мы видим только сигнал тока крови по сосудам. Также только благодаря такой КТ-диагностике мы можем видеть атеросклеротические бляшки, оценить их размеры, структуру, форму.
С помощью КТ-ангиографии сосудов головного мозга можно рассмотреть внутричерепные (интракраниальные) сосуды намного лучше, чем при проведении ультразвуковых исследований, поскольку возможности УЗИ ограничены из-за экранирования ультразвука костями черепа.
КТ-ангиография может полностью заменить МР-ангиографию, поскольку последняя уступает ей в чувствительности и специфичности. С другой стороны, при выполнении МРТ нет лучевой нагрузки, присущей компьютерной томографии. На УЗИ преимуществом является лишь возможность оценить скорость кровотока в динамике, а также отсутствие противопоказаний, характерных для рентгеновских исследований и внутривенного контрастирования.
В любом случае оптимальный выбор того или иного метода исследования, в зависимости от вопросов, которые стоят перед рентгенологом, всегда остаётся за направляющим врачом-клиницистом.
Подробнее об УЗИ сосудов - наша статья: Доплер, дуплекс, триплекс. Каким бывает УЗИ сосудов?
— Нужна ли подготовка перед КТ-ангиографией?
— В целом, никакой особенной подготовки не нужно. Но если пациенту за несколько дней до компьютерной томографии проводили рентгенологическое обследование желудка и (или) кишечника с сернокислым барием, то следует подождать 3-4 дня, пока барий выведется из организма. Также если пациент употребляет метформин (препарат для лечения диабета второго типа), то после согласования с лечащим врачом необходимо прервать приём лекарства за два дня до обследования.
— Расскажите поподробнее, как проводится КТ-ангиография
— Человек помещается на выдвижной стол компьютерного томографа. Предварительно ему в локтевую вену устанавливается катетер, через который с помощью специального прибора (инъектора) вводится рентгеноконтрастный препарат. Вначале выполняется «нативное» (предварительное бесконтрастное) сканирование, а затем сканирование с введением контраста. При исследовании некоторых областей может потребоваться задержка дыхания в среднем на 10 секунд. Специалист во время всего сеанса находится в соседней комнате и общается с пациентом по громкой связи. Продолжительность процедуры примерно 20 - 30 минут.
— Всем ли можно проводить это исследование? Или к КТ-ангиографии есть противопоказания?
— Да, они есть. Это:
- нарушение функционирования почек;
- тиреотоксикоз (повышение уровня гормонов щитовидной железы) и тиреотоксический криз;
- аллергия на йодсодержащие контрастные препараты;
- беременность.
— Требуется ли направление для того, чтобы пройти КТ-ангиографию?
— Да, направление от лечащего врача необходимо в абсолютном большинстве случаев.
— Екатерина Александровна, а проводят ли это исследование детям?
— Да. Для выполнения компьютерной томографии детям используются специальные протоколы сканирования, применение которых подразумевает максимально возможное снижение лучевой нагрузки на организм ребёнка. Тем не менее, КТ-ангиографию детям проводят по строгим показаниям и с обязательным направлением от лечащего врача.
Если вам нужно сделать КТ-ангиографию, записаться на это исследование можно здесь
ВНИМАНИЕ: услуга доступна не во всех городах
Беседовала Марина Воловик
Редакция рекомендует:
Для справки:
Нехаева Екатерина Александровна
В 2013 г. окончила Курский государственный медицинский университет.
В 2015 г. - ординатура по общей хирургии.
Прошла профпереподготовку по рентгенологии.
В настоящее время - врач-рентгенолог в «Клинике Эксперт» Курск. Принимает по адресу: ул. Карла Либкнехта, д. 7.
Другие статьи по теме
Компьютерная томография костей черепа - исследование довольно распространённое. Однако при некоторых болезнях. КТ височных костей: когда бывает нужно это исследование?
Когда необходима КТ головного мозга? Как её проводят? Насколько безопасно такое исследование? Не только МРТ. Что покажет КТ головного мозга?
Доктор направил вас на МСКТ для определения количества кальция в артериях сердца. МСКТ для определения коронарного кальция: что это за исследование?
Церебральный венозный тромбоз
Церебральный венозный тромбоз это нарушение мозгового кровообращения за счет окклюзии венозных сосудов в полости черепа, включает тромбоз вен твердой мозговой оболочки, тромбоз кортикальных вен и тромбоз глубоких вен мозга, которые часто сочетаются друг с другом, а клиническая картина отдельных сущностей весьма схожа и неспецифичная.
Диагностика
КТ без контрастного усиления как правило выполняется в первую очередь при неспецифической клинической картине.
Компьютерная томография
Картина при бесконтрастной компьютерной томографии при подозрении на центральный венозный тромбоз без венозного кровоизлияния или инфаркта может быть стертой, и основывается на выявлении гиперденсивности венозного синуса [1,5]. Тромб может визуализироваться в виде гиперденсивности в вене или синусе в течении 7-14 дней и данный признак является довольно точным [6].
При контрастном исследовании, особенно при КТ венографии, подтверждающим признаком будет является дефект наполнения синуса. В сагиттальном синусе данный признак носит название “признак пустой дельты”. КТ венография считается чувствительной до 95% в сравнении с селективной ангиографией [1].
Дефекты наполнения необходимо отличать от Пахионовых грануляций, которые часто встречаются, особенно в синусах твердой мозговой оболочки, верхнем сагиттальном и поперечном синусах.
Тромбоз глубоких вен головного мозга на КТ, ангиограмме
Тромбоз глубоких вен (ГВ) головного мозга является редкой и трудно диагностируемой причиной острого нарушения мозгового кровообращения. В большинстве публикаций описываются неизолированные тромбозы ГВ головного мозга, чаще вен Галена и Розенталя. В статье представлено клиническое наблюдение крайне редкого изолированного тромбоза мелких ГВ головного мозга у пациентки в возрасте 31 года с отягощенным акушерским анамнезом и тромбофилией. Заболевание дебютировало нарастающей гипертензионной головной болью, застойными изменениями на глазном дне, мозжечковой и пирамидной симптоматикой. При магнитно-резонансной томографии (МРТ) головного мозга был выявлен паттерн многоочагового поражения головного мозга, что послужило причиной постановки первоначального диагноза «рассеянный склероз». Пациентка получала пульс-терапию. Дифференциальный диагноз проводился с системными заболеваниями соединительной ткани. Регресс головных болей, изменений глазного дна, данные нейровизуализации в динамике, результаты гематологического обследования позволили выставить диагноз «тромбоз мелких глубоких вен головного мозга». На фоне терапии антикоагулянтами отмечалась положительная динамика — значительно регрессировали очаги, по данным МРТ, пациентка забеременела, родила здорового ребенка. В статье описаны особенности МРТ-изображений тромбоза ГВ головного мозга, которые могут быть использованы для диагностики данной патологии.
Ключевые слова: тромбоз глубоких вен головного мозга, венозный инсульт, тромбофилия, коагулопатия, бесплодие, головная боль, рассеянный склероз.
Для цитирования: Матвеева Т.В., Ибатуллин М.М., Гайфутдинов Р.Т. и др. Изолированный тромбоз мелких глубоких вен головного мозга. РМЖ. Медицинское обозрение. 2020;4(11) [принята в печать]. DOI: 10.32364/2587-6821-2020-4-11.
Введение
Тромбозы мозговых вен и венозных синусов у взрослых встречаются в практике невролога с частотой 5 случаев на 1 млн в год [1], смертность варьирует от 5% до 30%, благоприятный прогноз при ранней диагностике и своевременно начатом лечении венозного тромбоза имеет место у 80-90% больных [2]. Венозный тромбоз является причиной инсульта в 0,5-1% случаев [1, 3]. Церебральные венозные инсульты чаще относятся к ишемическим или смешанным (красный инфаркт), реже — геморрагическим (кровоизлияние в ишемизированную ткань, разрыв сосуда) [4, 5]. Клиническая картина инсульта зависит от размеров тромба, проходимости вены и локализации тромбированной вены, развитости системы коллатералей, заболевания, приведшего к тромбозу. Особенностями венозного инсульта, по данным нейровизуализации, являются 8:
наличие при закупорке даже небольшой вены выраженного перифокального отека;
развитие вазогенного отека до развития цитотоксического;
ранняя геморрагическая трансформация;
вовлечение в процесс нескольких вен, нередко близко расположенных, с образованием множественных очагов;
формирование двусторонних, часто симметрично расположенных и не совпадающих с зоной васкуляризации артерий очагов ишемии (типичный признак нарушения венозного кровообращения).
Перифокальный отек при закупорке вены объясняется особенностью строения стенки венозного сосуда, через которую жидкая часть крови свободно перемещается в периваскулярное пространство, вызывая констрикцию сосудов, питающих область стаза, и создавая условия для ишемизации ткани и для развития масс-эффекта. Отек является фактором, располагающим к кровоизлиянию [5, 7].
Сведения о частоте тромбозов глубоких вен (ГВ) мозга практически отсутствуют. T. Pfefferkorn et al., используя накопленные за десятилетие данные двух ведущих клиник Мюнхена и Парижа, проанализировав 32 наблюдения тромбозов ГВ [9], установили, что доля изолированных тромбозов ГВ (внутренние вены, вена Галена, базальная вена Розенталя, прямой синус) составляет 28% от всех тромбозов ГВ. Остальные случаи отнесены авторами к неизолированным тромбозам ГВ, при которых одновременно тромбируются кортикальные вены, поперечный, сагиттальный и/или другие синусы [9]. Описания тромбозов мелких ГВ в полушариях головного мозга в доступной нам литературе не встретилось.
Диагностика тромбоза ГВ мозга из-за многообразия клинических проявлений чрезвычайно трудна даже при наличии данных нейровизуализации [1, 11]. В большинстве публикаций информация о тромбозах ГВ головного мозга ограничивается описанием тяжелой дисфункции диэнцефальной области с угнетением сознания, глазодвигательных нарушений и зрачковых реакций [12, 13]. Прогноз, как правило, неблагоприятный, особенно при несвоевременной диагностике [13, 14]. Диагноз тромбоза ГВ, по данным литературы [9], ставится в сроки от 1 до 76 дней, при изолированных тромбозах средние сроки постановки диагноза составляют 19,1±23,0 дня, при неизолированном тромбозе — 6,3±6,5 дня. Наиболее частыми причинами тромбоза ГВ являются нарушения коагуляции (в 41% случаев), оральные контрацептивы (28%), послеродовой период (25%) [9]. Дифференциальный диагноз приходится проводить с большим числом нозологических единиц, в т. ч. с психическими заболеваниями, опухолями головного мозга, рассеянным склерозом [14].
Приводим описание уникального клинического наблюдения молодой пациентки, иллюстрирующего сложность диагностики изолированного тромбоза мелких вен головного мозга.
Клиническое наблюдение
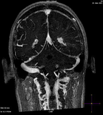
Пациентка У., 31 год, заболела в июне 2017 г., когда возникли диффузные, распирающие, труднопереносимые головные боли, не купируемые анальгетиками, усиливающиеся при малейшем движении головой. Головная боль сопровождалась тошнотой, рвотой. В течение недели боль нарастала: больная перестала заниматься повседневными обычными делами, постоянно лежала, продуктивный контакт был ограничен. Повышения температуры или других признаков инфекционного заболевания не наблюдалось. К концу недели стало беспокоить двоение при взгляде на любые расстояния. Движения глазных яблок сопровождались болью. Появились шаткость при ходьбе, неустойчивость, дрожание в руках. Утратила возможность передвигаться без поддержки. Проконсультирована окулистом, который обнаружил выраженные застойные явления на глазном дне и рекомендовал проведение магнитно-резонансной томографии (МРТ) головного мозга с последующей консультацией невролога. На МРТ головного мозга выявлен «конгломерат» множественных очагов в правой и, меньших размеров, на симметричном участке в левой лобно-теменной области (рис. 1, А).
Пациентку в экстренном порядке госпитализировали в неврологическое отделение по месту жительства с подозрением на инсульт. Проводился дифференциальный диагноз между очагами ишемии и демиелинизации.
В неврологическом статусе при поступлении описаны равномерное оживление глубоких рефлексов, мозжечковая походка, выполнение координаторных проб с интенцией, неустойчивость в позе Ромберга. К сожалению, в выписке из истории болезни не отражено наличие головной боли, нет описания общего статуса пациентки. Выставлен диагноз «рассеянный склероз (РС)». Получала терапию глюкокортикостероидами, на фоне которой регрессировали головные боли, застойные явления на глазном дне; продолжали беспокоить общая слабость, дрожание в кистях. На МРТ головного мозга, проведенной через 2 мес. после первого обследования, констатировали появление новых очагов, увеличение площади поражения; очаги напоминающие «пальцы Доусона», накопление контрастного вещества некоторыми очагами (рис. 1, B-D). Для исключения системных заболеваний соединительной ткани (СЗСТ) больная прошла обследование в ФГБНУ НИИР им. В.А. Насоновой. Общий анализ крови, скорость оседания эритроцитов, антитела к двуспиральной ДНК, антитела к кардиолипинам IgG, IgM, С3- и С4-компоненты комплемента, ANCA, антинуклеарный фактор — все параметры в пределах нормы, на основании чего СЗСТ исключены. Пациентка была обследована в одной из клиник г. Москвы, диагноз РС подтвержден. Там же проведена МРТ спинного мозга — патологии не обнаружено.
Примерно через год после дебюта заболевания пациентка была направлена на кафедру неврологии ФГБОУ ВО Казанский ГМУ Минздрава России для уточнения диагноза. Дополнительно к анамнезу: в детстве часто болела ОРВИ, страдает хроническим гастритом с обострениями. Акушерский анамнез: первые две беременности у пациентки закончились выкидышами. Третья беременность в 20-летнем возрасте протекала с угрозой выкидыша, родила здорового мальчика. Далее (в течение 10 лет) забеременеть не могла, обследовалась по поводу бесплодия. За год до дебюта заболевания неоднократно проводилось экстракорпоральное оплодотворение (ЭКО), получала интенсивную гормональную терапию, однако беременность так и не наступила, происходила гибель эмбриона на 3-4-е сут. Обследована генетиком, патологии не выявлено. Проводилась гистероскопия, лапароскопия. Диагностирован эндометриоз тазовой брюшины, проведена коагуляция.
На момент осмотра пациентка предъявляла жалобы на дрожание в руках. Активна, эмоционально лабильна, эйфорична, многоречива, задает много, часто бессмысленных, вопросов. Двигательные и чувствительные нарушения отсутствуют, в повседневной жизни ничем себя не ограничивает. Рефлексы обычной живости с неубедительным преобладанием слева. Интенционный тремор при выполнении пальценосовой пробы, более выраженный слева, дисдиадохокинез слева. Диффузная мышечная гипотония в конечностях, больше слева. Умеренный постуральный тремор пальцев правой кисти и менее выраженный — левой, уменьшающийся при приближении к цели. Пациентка госпитализирована для проведения дополнительных исследований.
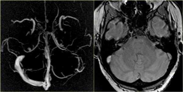
Стандартное лабораторно-инструментальное обследование пациентки (биохимический анализ крови, электрокардиография, рентгенография органов грудной клетки, ультразвуковое исследование сосудов шеи) патологии не выявило. Осмотр офтальмолога: состояние глазного дна — диск бледно-розовый, границы четкие, калибр сосудов не изменен. МР-веносинусография и КТ-ангиография с венозной фазой: крупные вены и синусы не изменены, за исключением умеренного расширения корковых вен среднего и дистального сегмента справа (на уровне верхней анастоматической вены Тролярда) (рис. 2), что может служить признаком формирования коллатерального оттока.
Проведен консилиум с обсуждением клинико-нейровизуализационных и параклинических данных: на серии МР-томограмм головного мозга в паравентрикулярной области лобных долей, больше справа, определяются облаковидные конгломераты гидрофильно измененной мозговой ткани с мелкими очагами, напоминающими просяное зерно, и с полосчатыми вкраплениями, идентичными тромбозу мелких вен. Признаков масс-эффекта нет. Отдельные очаги накапливают контраст. Характеристика очагов, клинико-анамнестические данные и результаты обследований позволяют предположить у больной тромбоз мелких венозных сосудов (венул) глубоких отделов мозга. Рекомендована консультация гематолога.
Гематологическое обследование. Тромбодинамика: скоростные параметры смещены в область гиперкоагуляции. Тромбиновое время, фибриноген, антитромбин-III, плазминоген, растворимые фибрин-мономерные комплексы, Д-димер, гомоцистеин, антитела к кардиолипину и гликопротеидам — в норме. XIII зависимый фактор 3 мин (норма 5-13 мин), протеин С 63,4% (норма 70-140%), S-протеин 50,2% (норма 60-130%). Проведено генетическое обследование на наследственные тромбофилии (табл. 1).
Заключение гематолога. Тромбофилия сочетанного генеза — патологическая гетерозигота V фактора с дефицитом протеина С и S. Крайне высокий риск рецидива тромботического осложнения. Носительство генетических протромботических полиморфизмов — гомозигота PAI 1, ITG2, гетерозигота ITGB3 и фактора XIII. Отягощенный акушерский анамнез (невынашивание, неудачи ЭКО). Гиперкоагуляционный синдром.
Гипертензионный характер головной боли в дебюте заболевания, застойные явления на глазном дне с их регрессом, данные нейровизуализации и результаты гематологического обследования позволили выставить диагноз: «Двусторонний изолированный тромбоз мелких ГВ головного мозга с органической микросимптоматикой (дрожательным гиперкинезом в руках, умеренным двусторонним мозжечковым синдромом, более выраженным слева). Тромбофилия сочетанного генеза, гиперкоагуляционный синдром с высоким риском повторных тромбозов».
По согласованию с гематологом назначен варфарин с коррекцией дозы в соответствии с цифрами международного нормализованного соотношения. На контрольной МРТ отмечается значительный регресс очагов (рис. 1, E, F). На фоне антикоагулянтной терапии пациентка смогла забеременеть и родить здорового ребенка. Рецидивов заболевания в течение 2 лет наблюдения не было, сохранялся описанный выше неврологический дефицит.
Первым диагнозом у пациентки был РС. В пользу данного диагноза свидетельствовали: многоочаговый характер поражения, проявляющийся сочетанием неодинаково выраженной в правых и левых конечностях мозжечковой симптоматики с пирамидной; психоэмоциональные особенности больной; относительное сходство МРТ-изображений с таковыми при РС («пальцы Доусона», накопление контраста некоторыми очагами, появление новых очагов на повторных МРТ); эффективность терапии кортикостероидами. Не характерным для РС было развитие самого патологического процесса — с нарастающих по степени выраженности диффузных головных болей, совпадение усиления головной боли с изменением поведения больной, проявившимся безынициативностью и утратой продуктивного контакта и физической активности, двоения и выраженного застоя на глазном дне. Для РС не типична также стабильность неврологической симптоматики. Не характерен для РС имеющийся у больной тремор: он выявлялся в позе с вытянутыми руками, был асимметричным, уменьшался при приближении к цели и оценен нами как подкорковый постуральный. Оценка тремора затруднялась наложением на него мозжечковой симптоматики. В пользу приведенной нами оценки этиологии тремора свидетельствовало преобладание его в правой руке, в то время как мозжечковая симптоматика была более отчетливой слева. Против диагноза РС свидетельствовали также и результаты МРТ: расположение очагов на симметричных участках, малые размеры очагов — «с просяное зерно» (у больных РС очаги, как правило, равны или превышают 3 мм), наличие конгломератов очагов. Очаги при РС располагаются преимущественно перивентрикулярно, в нашем наблюдении они были локализованы в лобно-теменных долях. Наконец, для очагов РС не свойственно окружение их тенью. На томограммах больной очажки как бы «погружены в прозрачную ткань», которую мы обозначили как облаковидную. Таким образом, нетипичность для РС клинической картины заболевания и данных нейровизуализации исключала у нашей больной диагноз РС.
Особенность неврологической симптоматики заключалась в малой выраженности, двусторонности и идентичности симптомов, их асимметричности, наличии у пациентки эмоциональной расторможенности. Это может быть объяснено двусторонним асимметричным поражением проекционных путей головного мозга: фронтопонтинного, направляющегося к собственным ядрам моста и через переключение к мозжечку (понтоцеребеллярный путь); кортикостриарного; таламокортикального пути от передних ядер таламуса. Данное предположение подтверждается отсутствием выраженного очагового неврологического дефицита и сочетанием приведенных симптомов. Подобные нарушения описаны при поражении переднего бедра внутренней капсулы, через который проходят путь от таламуса к префронтальной коре и фронтопонтинный путь [15].
МРТ-картина изменений в головном мозге у нашей пациентки напоминала таковую при синдроме CLIPPERS (Chronic lymphocytic inflammation with pontine perivascular enhancement responsive to steroids) — хроническом периваскулярном лимфоцитарном воспалении с поражением моста и мозжечка, реагирующем на терапию глюкокортикостероидами. Очаги на МРТ у больных с CLIPPERS описываются как «перец, смешанный с солью». Возникновение их связывают с поражением мелких артериальных сосудов. При этом поражение сосудов при CLIPPERS характеризуется периваскулярной, преимущественно Т-лимфоцитарной (СD4 и CD8) с макрофагами, инфильтрацией без признаков отека окружающей
ткани [16]. Идентичность очагов при CLIPPERS с очагами нашей больной позволяют расценивать их как сосудистые. Наличие перифокального отека свидетельствует о вовлечении в процесс мелких вен. Подтверждением сказанного является формирование венозных коллатералей (см. рис. 2), локализация очагов в обоих полушариях головного мозга, симметричность их расположения, клиническая картина и, наконец, сама причина заболевания — тромбофилия.
Заключение
Особенности клинических проявлений, течения заболевания и данных нейровизуализации, констатация у больной тромбофилии с высоким риском тромбообразования, а также отсутствие тромбоза венозных синусов головного мозга позволили нам остановиться на вышеприведенном диагнозе и выделить опорные моменты для диагностики изолированного тромбоза мелких ГВ головного мозга:
наличие клинических признаков, характерных для венозного тромбоза (нарастающих гипертензионных головных болей, застойных сосков зрительных нервов);
симметричное расположение очагов; расширение коллатеральных вен; небольшие («с просяное зерно») очажки, окруженные перифокальным отеком объединенные в конгломерат, по данным нейровизуализиации;
интактность венозных синусов и ГВ мозга, по данным нейровизуализации, не исключает возможность тромбоза мелких ГВ.
Обнаружение у пациентки патологии свертывающей системы крови, явившейся причиной случившегося, делает необходимым при венозных инсультах у молодых лиц консультации гематолога с проведением соответствующих исследований. Наиболее информативным методом диагностики изолированного тромбоза ГВ мозга является МРТ головного мозга. Отсутствие информации в литературе об изолированном тромбозе мелких вен головного мозга требует накопления клинического опыта.
Сведения об авторах:
1 Матвеева Татьяна Всеволодовна — д.м.н., профессор кафедры неврологии, нейрохирургии и медицинской генетики, ORCID iD 0000-0000-0000-0000;
1 Ибатуллин Мурат Масгутович — д.м.н., профессор кафедры неврологии и нейрохирургии, ORCID iD 0000-0000-0000-0000;
1 Гайфутдинов Рустем Талгатович — к.м.н., доцент кафедры неврологии, нейрохирургии и медицинской генетики, ORCID iD 0000-0001-5591-7148;
1 Казанцев Александр Юрьевич — невролог, ассистент кафедры неврологии, нейрохирургии и медицинской генетики, ORCID iD 0000-0001-9800-9940;
2 Алтынбаев Артур Радикович — невролог, ORCID iD 0000-0000-0000-0000;
2 Фасахова Гульназ Ануровна — к.м.н., невролог, ORCID iD 0000-0000-0000-0000;
3 Сафиуллина Светлана Ильдаровна — к.м.н., гематолог, ORCID iD 0000-0000-0000-0000.
1 ФГБОУ ВО Казанский ГМУ Минздрава России. 420012, Россия, г. Казань, ул. Бутлерова, д. 49.
2 ГУАЗ «ЦГКБ № 18». 420101, Россия, г. Казань, ул. Х. Мавлютова, д. 2.
3 ООО «МЦ Айболит на Курской». 420081, Россия, г. Казань, ул. Курская, д. 8а.
Тромбы на МРТ
Магнитно-резонансная томография позволяет визуализировать сеть кровеносных сосудов, определяя просвет, тонус, состояние стенок вен и артерий. Тромбы на МРТ видны при использовании специальных последовательностей и/или контрастного усиления, когда обследуемому внутривенно вводят «окрашивающий» раствор солей гадолиния.

Снимок МРТ головного мозга в аксиальной проекции с признаками кровоизлияния в острейшем периоде
Метод диагностики основан на использовании магнитного поля, изменяющего положение диполей воды в клетках организма. Датчики томографа фиксируют резонанс атомов водорода, программное оборудование преобразует сигнал в серию послойных фотографий, которые поступают на монитор компьютера. Сканирование проводит в аксиальной, сагиттальной и фронтальной проекциях. На основании полученных снимков врач может восстановить трехмерное изображение изучаемого участка кровеносной системы.
Почему образуются тромбы в организме?
Процесс свертывания крови является защитной реакцией, возникающей в ответ на повреждение сосуда. Сгусток представляет собой биологическую “повязку”, которая рассасывается с течением времени (фибринолиз). Тромбоз (образование кровяных пробок в просвете сосуда) возникает при следующих патологических состояниях организма:
- гиперкоагуляция;
- повреждение клеток эндотелия;
- изменение характера кровотока.
При нарушении системы гемостаза процесс коагуляции крови ускоряется, снижается активность фибринолиза. Происходят наслоение тромботических масс, увеличение размеров сгустка и окклюзия сосуда. В некоторых случаях образование отрывается от внутренней поверхности стенки и перемещается с током крови, что приводит к эмболии вен и артерий. Данный термин означает присутствие и циркуляцию частиц, которые в норме не встречаются в названной жидкой среде.
Эмболия служит одной из причин стеноза (сужения) и окклюзии (нарушения проходимости) кровеносных сосудов. Тромбоз вен нижних конечностей и малого таза наблюдается наиболее часто, что связано с особенностями строения и физиологии человеческого тела.
Факторы, провоцирующие образование тромбов в организме:
- травмы, сопровождающиеся нарушением целостности сосудистой стенки;
- хирургические вмешательства;
- прием гормональных препаратов, контрацептивов, гипотензивных средств;
- ожирение;
- нарушение обмена веществ;
- пожилой возраст;
- беременность;
- эндокринные нарушения;
- варикозное расширение вен;
- низкая двигательная активность;
- злокачественные новообразования;
- инфекционный эндокардит.
Ранняя диагностика тромбоза позволяет выбрать эффективный метод лечения и предупредить развитие опасных осложнений (эмболии легочной артерии и др.)
Показывает ли МРТ тромбы?
Магнитно-резонансная томография является информативным видом диагностики сосудистых патологий. Тромбы на МРТ определяются менее точно, чем при КТ-ангиографии, по косвенным признакам. Для лучшей визуализации при магнитно-резонансном сканировании может быть использован контрастный раствор. Препарат вводят в просвет сосуда, в месте окклюзии соли гадолиния останавливаются, “упираясь” в тромб за счет отсутствия кровотока в данном участке, либо визуализируют пристеночный дефект наполнения русла. Однако оба варианта, особенно второй, могут быть вызваны не только образованием сгустка.

Тромбоз сигмовидного синуса слева при МР-ангиографии (левое изображение) с отсутствием визуализации венозного русла. На нативном снимке (правая картинка) патология не видна
- определить наличие и расположение тромба;
- уточнить размеры, качество прикрепления к сосудистой стенке;
- выявить эмболы в процессе движения по кровеносному руслу;
- определить степень проходимости сосуда.
При тромбофлебите сканирование показывает признаки воспаления венозной стенки (утолщение, расслоение, изменение структуры и т.п.).
МРТ визуализирует состояние окружающих мягких тканей, помогая определить причину нарушения кровотока (сдавливание сосуда опухолевыми массами и пр.). Диагностика тромбоза с помощью магнитно-резонансной томографии позволяет уточнить последствия названного патологического явления, визуализирует очаги ишемии и коллатерали в зоне исследования.
Контрольные МРТ проводят для определения эффективности проводимого лечения, направленного на восстановление системы гемостаза.
На МРТ видны небольшие тромбы, сгустки, расположенные глубоких венах, сосудах нижних конечностей, головного мозга, внутренних органов. Названный вид инструментального исследования обеспечивает объемное изображение, визуализируя состояние участка кровеносной системы и взаимодействие с окружающими тканями.
Как выглядят тромбы на фотоснимке МРТ?
В результате магнитно-резонансной томографии врач получает серию послойных изображений системы кровоснабжения зоны интереса. Тонкая настройка аппарата дает возможность делать фотографии срезов с шагом от 1 мм, что обеспечивает визуализацию сгустков малого размера.
Благодаря изменению сигнала, во время сканирования на МРТ видны тромбы в кровеносном русле. В случаях эмболии сосудов наблюдается нарастание интенсивности сигнала в участке выше окклюзии.
На снимках МРТ тромб выглядит как образование округлой формы, которое уплощается в месте прикрепления к сосудистой стенке, либо как полная окклюзия, т.е. остановка локального кровотока. На Т1-взвешенных изображениях сгусток вначале возникновения изоинтенсивный (имеет нейтральный цвет). Затем постепенно очаг приобретает светлый оттенок.
Т2-взвешенные изображения определяют тромб в острой стадии (первые 12 часов) развития заболевания как гипоинтенсивный участок (темного цвета).
Внешний вид сгустка на томограммах зависит от:
- характера патологического процесса;
- способа сканирования (Т1 ВИ, Т2 ВИ и др.);
- зоны исследования.
Расшифровкой результатов должен заниматься квалифицированный специалист.

Тромбоз сосудов головного мозга на МРТ (Т1 ВИ)
КТ ангиография что показывает

Визуализация системы кровоснабжения с помощью рентгеновского излучения является малоинвазивным информативным способом диагностики многих сосудистых патологий. КТ ангиография показывает особенности строения, позволяет оценить функциональность вен и артерий. Метод используют в сосудистой хирургии, онкологии, неврологии и других медицинских сферах.

КТ-ангиография кровеносной сети головного мозга
Компьютерная томография основана на способности тканей организма поглощать ионизирующие потоки. Адсорбция проходит с интенсивностью, зависящей от плотности сканируемого вещества. Твердые структуры рентгеноконтрастны и выглядят на томограммах как светлые участки, мягкие ткани имеют темный оттенок.
Кровь и другие жидкие среды организма слабо поглощают ионизирующие лучи. Для визуализации сети вен и артерий используют контрастный препарат на основе йода.
Что такое КТ ангиография?
Инструментальное исследование кровеносной системы осуществляют с помощью рентгена, УЗИ, МРТ и компьютерной томографии. Последняя обладает максимальной информативностью и визуализирует малейшие нарушения кровотока.
Суть процедуры заключается в обработке рентгеновскими лучами определенной области. Сосудистая сеть, “подсвеченная” йодсодержащим раствором, хорошо видна на томограммах. При детальном изучении можно оценить состояние стенок, наполненность, проходимость вен и артерий.
Компьютерная томографическая ангиография (КТА) имеет ряд особенностей. Для исследования сосудистого русла используют специальный сканер, который позволяет получить детальное изображение при постоянной пульсации вен и артерий.

Мультиспиральная КТ ангиография, трехмерная визуализация
Предупредить появление дефектов на снимках помогает подготовка. Частота сердечных сокращений у пациента не должна превышать 65-70 ударов в минуту. Томограф настраивают в соответствии с пульсацией сосудов, на монитор компьютера выводят изображения в аксиальной плоскости. С помощью сложных алгоритмов достраивают сагиттальную и фронтальную проекции.
КТ ангиография позволяет создать трехмерную реконструкцию сосудистой системы на определенном участке. В отличие от классической рентгенографии в результате исследования получают серию послойных изображений с заданным шагом. Толщину сканирующего среза настраивают индивидуально (от 1 мм). На основании поперечных, боковых и прямых фото создают 3D-модель рассматриваемой области.
Что показывает КТ ангиография?
КТА отражает особенности строения вен и артерий головного мозга, легких, внутренних органов, периферических сосудов верхних и нижних конечностей. При проведении КТ ангиографии изучают состояние аорты, оценивают характер коронарного кровоснабжения.
В результате исследования выявляют ишемические и геморрагические явления в тканях человеческого тела. При стойком нарушении кровоснабжения возможно развитие необратимых патологических процессов, образуются очаги некроза, страдает функциональность организма в целом.
На основании ангиографии с применением компьютерной томографии диагностируют:
- атеросклероз;
- диссекцию (расслоение) аорты;
- аневризмы, в том числе малого размера;
- артерио-венозные мальформации;
- стенозы, окклюзии;
- тромбозы;
- эмболии;
- васкулиты;
- ишемическую болезнь сердца;
- сосудистые новообразования добро- и злокачественного характера;
- травматические поражения сосудов и последствия кровотечений;
- геморрагические и ишемические инсульты.
Томограммы показывают состояние сосудистой стенки, визуализируют утолщение, расслоение при воспалительных процессах и нарушение целостности при различных повреждениях.

КТА брахиоцефальных артерий
Тромбы и атеросклеротические бляшки не визуализированы на снимках. Патологические явления определяют на основании изменения кровотока, сужения просвета сосуда.
На фотографиях, полученных в результате КТ ангиографии, хорошо видны новообразования различного генеза. Сканирование позволяет уточнить размеры и локализацию опухоли, отражает характер взаимодействия пораженных и здоровых структур.
В некоторых случаях КТА помогает выявить развитие онкологического процесса в окружающих тканях. По мере роста опухоль сдавливает кровеносный сосуд, наблюдается сужение просвета, ишемические явления в зоне исследования, другие признаки экстравазальной компрессии.
Показаниями к КТ ангиографии служат:
- парестезии и боли в области нижних и верхних конечностей;
- судорожный синдром;
- признаки нарушения мозгового кровообращения (боли, ухудшение зрения и слуха, головокружения и пр.);
- общая слабость, одышка, дискомфорт в области грудины;
- признаки нарушения кровотока в системе верхней и нижней полых вен и пр.
Ангиография показывает состояние сосудов перед операцией, помогает контролировать процессы восстановления в реабилитационном периоде.
КТ ангиография с контрастом
Диагностическая процедура предполагает обязательное введение специального “окрашивающего” препарата. Йодсодержащий раствор вводят внутривенно, с помощью катетера, соединенного с автоматическим инъектором.
Контрастное вещество заполняет кровеносное русло и позволяет визуализировать малейшие изменения просвета, наполненности, конфигурации вен и артерий. В случае окклюзии наблюдают “обрыв” сосуда, что свидетельствует о нарушении проходимости.

Контрастная КТ ангиография почечных артерий
При наличии аневризмы раствор заполняет патологический карман, показывает расположение и размеры очага.
Новообразования на снимках КТ ангиографии с контрастом выглядят ограниченными участками, отличными по цвету от здоровых тканей. Злокачественные опухоли имеют извитую сосудистую сеть с большим числом анастомозов. По динамике накопления йодсодержащего раствора можно предположить характер онкологического процесса.
Для контрастной КТ ангиографии существует ряд противопоказаний:
- беременность;
- аллергическая реакция на йод;
- гиперфункция щитовидной железы;
- сахарный диабет при терапии Метформином;
- почечная недостаточность;
- детский возраст до 12 лет.
При наличии ограничений рекомендуют выбрать альтернативный метод исследования сосудистой системы.
Как проходит компьютерная томография ангиография?
Процедура занимает 30 минут. Пациент ложится на передвижной стол лицом вверх. Во время сканирования рекомендовано сохранять начальное положение тела. Для комфортной фиксации используют валики и специальные крепления.
Врач и рентген-лаборант располагаются в соседнем кабинете. Стол с больным плавно движется внутри кольца томографа, где находятся рентгеновские излучатели и детекторы. Сканирующая часть вращается вокруг транспортера, за один полный оборот устройство делает 2 и более снимков.

Читайте также:
- Результаты операций на нервах верхних конечностей
- Рекомендации по анализу рентгенограммы предплечья в передне-задней (ПЗ) проекции
- Послеоперационный уход после остеохондральной аутотрансплантации коленного сустава
- Синдром Бонхеффера (Bonhoeffer)
- Варианты образраспознающих рецепторов PRRs. Toll-подобные рецепторы

