Уход после артроскопической операции по поводу кальцифицирующего тендинита плечевого сустава
Добавил пользователь Евгений Кузнецов Обновлено: 21.11.2025
Кальцинирующий тендинит плеча — заболевание воспалительного характера. Поражает ткани, соединяющие мышечные ткани с костной в плечевом суставе. Развивается вне зависимости от возраста. Болезнь характеризуется ограничением движения, сильно сказывается на качестве жизни.

Симптомы кальцинирующего тендинита плеча
Болезнь характеризуется резким проявлением симптоматики. Изначально возникают острые болезненные ощущения, которые усиливаются при движении верхней конечности. Выделяют следующие симптомы:
- дискомфорт возрастает в ночное время суток, возможна бессонница
- прощупывание пораженной области сопровождается усилением боли
- при движении верхней конечностью возможен скрипящий звук
- покраснение кожных покровов
- увеличение температуры пораженной области
- отложения кальция в суставных тканях, ослабление сухожилия
- ограничение в движении, рука поднимается только на 90 градусов
Симптоматика развивается в течение недели.
Статью проверил
Дата публикации: 24 Марта 2021 года
Дата проверки: 24 Марта 2021 года
Дата обновления: 25 Октября 2022 года
Содержание статьи
Причины
Врачи выделяют факторы, увеличивающие риск развития воспалительного процесса:
- профессиональная деятельность, которая подразумевает интенсивные физические нагрузки на плечевой сустав
- частые микроповреждения связок
- болезнь сухожилий, характеризующаяся уменьшением упругости
- нарушения осанки
- заболевания инфекционного характера, болезнетворные микроорганизмы быстро распространяются по телу через кровеносную систему
- частые стрессовые ситуации, депрессивные синдромы
- аллергическая реакция на лекарства
- дисплазия суставных тканей
- ослабление иммунной системы
- повышенная концентрация сахара в организме
- поражение щитовидной железы
- длительное использование тугой повязки
- операция в области плеча
- аномальное строение суставной ткани плеча
- остеохондроз шейного отдела
- частые и длительные переохлаждения
- артрит и артроз
- подагра.
Стадии развития кальцинирующего тендинита плеча
Выделяют три этапа прогрессирования воспаления.
- Изначально симптоматика выражена неярко. При резких движениях рукой возможны боли.
- На второй стадии интенсивность болезненных ощущений увеличивается. Дискомфорт возникает после физической нагрузки.
- На заключительной стадии больной страдает от длительных приступов болезненных ощущений, которые продолжаются около 8 часов. Дискомфорт беспокоит пациента в состоянии покоя.
Разновидности
Выделяют несколько видов болезни:
- дегенеративный, развивается при изнашивании суставной ткани в процессе старения. С возрастом кровообмен ухудшается, сухожилия ослабевают. Появляются микронадрывы, провоцирующие воспаление
- реактивный, изначально формируются кальцинаты, скапливаются кристаллы кальция, возникает болевой синдром. Точные причины возникновения неизвестны
Диагностика
После обращения в клинику врач осматривает пациента, определяет локализацию болезненных ощущений. При постановке диагноза специалист учитывает отёчность и скованность движений. Симптоматика схожа с артритом. Главное отличие — воспалительный процесс сухожилия сопровождается уменьшением активных движений, пассивные сохраняются. Для постановки точного диагноза пациента направляют на магнитно-резонансную томографию. Используют инъекцию обезболивающего препарата в область вращательной манжеты плеча, при ослаблении дискомфорта диагностируют тендинит. Для диагностики применяют МРТ, рентгенографию, артроскопию, рентген с использованием контраста.
МРТ (магнитно-резонансная томография)
К какому врачу обратиться
Чтобы пройти диагностику и лечение тендинита плеча, обращайтесь к ревматологу или травматологу-ортопеду. Для дальнейшей реабилитации врач может привлечь реабилитолога, мануального терапевта, физиотерапевта, специалиста по лечебной физкультуре.
Реабилитация после артроскопии плечевого сустава
Артроскопия - особый вид операции на плечевом суставе (ПС), в ходе которой в сустав вводят небольшую камеру (артроскоп). Камера передает изображение на монитор и помогает оперировать небольшими инструментами, введенными в сустав через миниатюрные разрезы. Операция может затрагивать мышцы, связки, хрящевую и костную части сустава. По сравнению с обычной, открытой, операцией на ПС, артроскопия менее болезненна и восстановление после нее проходит гораздо быстрее. Комплекс лечебно-восстановительных процедур, называемый реабилитацией, необходим для восстановления подвижности, силы и функционирования плеча после артроскопии.

Дата публикации: 19 Марта 2021 года
Дата проверки: 19 Марта 2021 года
Дата обновления: 24 Октября 2022 года
Коротко о реабилитации
Реабилитация после артроскопии плечевого сустава направлена на:
- Устранение биомеханических повреждений после операции: восстановление нормального кровоснабжения и иннервации мышц-стабилизаторов (манжеты) плечевого сустава
- возвращение способности к занятию спортом
В связи с малоинвазивностью метода, восстановление организма после операции проходит достаточно быстро - в большинстве случаев пациенту можно ехать домой уже в день операции. Сам процесс реабилитации занимает от 6 до 12 недель, начинается уже через несколько часов после операции и продолжается в специализированных реабилитационных центрах, а также дома - в виде самостоятельных тренировок.
Обязательна ли реабилитация?
Реабилитация необходима для восстановления тонуса и силы мышц, стабилизирующих плечевой сустав, профилактики их атрофии. Без должных усилий, диапазон и свобода движения ПС восстановятся не полностью - это выразится в невозможности полностью поднять или отвести в сторону руку, в боли или дискомфорте при движениях.
Цитата от специалиста ЦМРТ
Исключительно информированность, владение техникой необходимых физических упражнений, регулярные тренировки и наблюдение у специалиста по реабилитации позволяют пациентам избежать осложнений и повторных травм плечевого сустава и достичь, или даже превзойти свои предоперационные уровни активности и физические показатели.
Этапы реабилитации
Программа реабилитации составляется специалистом с учетом особенностей повреждения, вида операции и характера предполагаемых нагрузок. Восстановление после артроскопии проходит в несколько этапов, с последовательным увеличением нагрузки на сустав и окружающие его мышцы, что приводит к их укреплению и постепенному заживлению.
1 этап. Послеоперационный
1 - 4 недели после операции:
- Посещение специалиста по реабилитации с первой недели после артроскопии;
- снижение отечности и боли в прооперированном плече;
- полное восстановление диапазона пассивных движений в суставе;
- поддержание тонуса мышц, стабилизирующих ПС;
- стимулирование кровообращения в области плечевого сустава.
Первые несколько недель после операции пациентам советуют носить ортезную повязку (плечевой бандаж) - повязка фиксирует прооперированную руку в полуотведенном положении, снижая воспаление и не давая травмировать сустав в процессе выполнения базовых бытовых задач. Восстанавливать пассивную (под воздействием внешней силы) подвижность плечевого сустава начинают с выполнения простых, индивидуально подобранных специалистом по реабилитации, упражнений:
- Статическое напряжение мышц плечевого пояса.
- Движения пальцами руки, движения кистью.
- Умеренные сгибательно-разгибательные движения в локтевом суставе
- Динамические упражнения: поднятие надплечий, вращение и сведение лопаток.
Первое время, при попытке выполнить какое-либо упражнение, мышцы плеча будут рефлекторно напрягаться, пытаясь предотвратить возможную травму. Это может выражаться в небольшом дискомфорте и тянущих ощущениях. Специалист по реабилитации поможет преодолеть рефлекторный страх и научит выполнять упражнения так, чтобы избежать повторной травмы.
Помимо лечебной физкультуры (ЛФК), реабилитация после артроскопии плечевого сустава может включать и другие процедуры:
Механотерапия (аппарат АРТРОМОТ ACTIVE-K).
Упражнения на лечебном аппарате, которые можно начинать уже в течение первых суток после операции под контролем специалиста по реабилитации. Работа на аппарате направлена на раннее безболезненное восстановление подвижности в оперированном плечевом суставе и укрепление мышц-стабилизаторов. Оказывает положительное влияние на координацию движений.
Нейромышечная электростимуляция.
Через кожу пациента подаются электрические импульсы, стимулирующие нервные окончания к передаче сигналов определенной группе мышц. Мышцы отвечают на импульс вибрацией или сокращением - так же, как при нормальной мышечной активности, например, при ходьбе или тренировке в спортзале. Это позволяет оптимизировать силу и тонус мышц, ослабить болевые ощущения.
Лечебный массаж.
Процедура уменьшает боль и отечность, улучшает приток крови в прооперированную конечность.
Кинезиологическое тейпирование.
Накладывание на кожу вокруг сустава специальных эластичных хлопковых лент на акриловой клеевой основе. Тейпы стабилизируют сустав и мышцы, увеличивая их диапазон движения и оказывая противоотечное действие.
Мануальная и кинезио- терапии.
Набор методов ЛФК, направленных на поддержание тонуса мышц-стабилизаторов плечевого сустава. Например, методики постизометрической релаксации мышц (ПИР) и проприоцептивное нервно-мышечная фасилитация (PNF-терапия).
Будет полезно уделить время и кардиотренировкам, например, занятиям на велотренажере. Однако, на первых порах, стоит воздержаться от бега - тряска при беге может негативно сказаться на заживлении плеча после артроскопии.
2 этап. Восстановительный
5 - 6 недели после операции:
- Посещение специалиста по реабилитации раз в 1-2 недели;
- начало восстановления активных движений в плечевом суставе;
- восстановление тонуса мышц плечевого пояса;
- восстановление чувства положения руки в пространстве (проприоцепции).
На втором этапе специалист по реабилитации обучает пациента упражнениям, нацеленным на восстановление активных движений - движений в плечевом суставе, осуществляемых за счет собственных мышц плечевого пояса. Темп, силу и амплитуду упражнений подбирают так, чтобы они были комфортны и безболезненны для пациента. Не разрешаются резкие, маховые, рывковые движения. Занятия стоит проводить 2-3 раза в день, каждое упражнение повторять 10-12 раз. Примеры упражнений:
- Качательные движения в плечевом суставе: наклониться вперед и свесить расслабленную руку. Раскачивать руку в различных плоскостях, избегая положений, доставляющих дискомфорт.
- “Скольжение” руки по горизонтальной поверхности с постепенным увеличением диапазона движения.
- Бытовые упражнения (причесывание, умывание и т.д.).
Выполнение упражнений необходимо приостановить если они вызывают отечность и / или усиление боли в суставе.
3 этап. Предтренировочный
7 - 12 недели после операции:
- Посещение специалиста по реабилитации раз в 2-3 недели;
- полное восстановление активного диапазона движения в плечевом суставе во всех плоскостях;продвинутое восстановление координации и проприоцепции.
По желанию пациента:
- Постепенное возвращение к силовым тренировкам;
- подготовка к возвращению в спорт.
К началу третьего этапа амплитуда движений пациента при выполнении упражнений увеличивается до полного объема. Вводятся:
- Упражнения в бассейне с использованием сопротивления воды;
- упражнения на координацию с использованием мячей и балансировочных платформ;
- упражнения на блоковых тренажерах с использованием отягощений и эластического сопротивления с постепенным увеличением нагрузки;
- элементы видов спорта, которыми пациент занимался до травмы.
Возвращение к спорту происходит постепенно, начиная с умеренных нагрузок, ограниченных короткими сессиями. Приблизительно через 6-12 месяцев пациент сможет вернуться к своим прежним показателям или даже превзойти их.
Где пройти реабилитацию после артроскопии плечевого сустава?
Пройти реабилитацию после артроскопии ПС можно в сети реабилитационных центров «Лаборатория движения». Свяжитесь с нами онлайн или по одному из телефонов на сайте.
Публикуем только проверенную информацию
Размещенные на сайте материалы написаны авторами с медицинским образованием и специалистами компании ЦМРТ

Самым эффективным методом коррекции нестабильности плечевого сустава является артроскопическая стабилизация. Малоинвазивная реконструкция и костно-пластическое замещение поврежденных суставных структур позволяют, не прибегая к открытой операции, восстановить нарушенные двигательные функции. Но, несмотря на активное развитие хирургических технологий, необходимым условием полноценного выздоровления остается реабилитация после артроскопии плечевого сустава.
Рассказывает специалист ЦМРТ
Дата публикации: 24 Декабря 2020 года
Дата проверки: 30 Ноября 2021 года
Консервативное лечение плечевого сустава
Основной причиной нестабильности самого подвижного костно-суставного сочленения является вывих плеча. После хирургического восстановления нормальной анатомии и функциональности сустава назначают послеоперационное консервативное лечение. В комплекс медицинских мероприятий входят:
- Физиотерапевтические процедуры (электрофорез, миостимуляция, УВЧ, магнито-, лазеротерапия)
- Массаж (лечебный, лимфодренажный, криомассаж)
- Остеопатическая коррекция (щадящие техники, направленные на нормализацию внутренней архитектоники соединительно-тканных компонентов сустава, восстановление работы мышц плечевого пояса)
- Фармакопункутра (инъекционные блокады триггерных точек);
- ЛФК (через сутки после эндопротезирования приступают к разработке сустава. Вначале выполняются пассивные упражнения, а через 3-4 дня к ним добавляются активные. Комплексная программа лечебной физкультуры призвана оптимизировать и ускорить восстановительный период)
- PRP-терапия (лечение обогащенной тромбоцитами аутоплазмой)
- SVF-терапия (инъекции стволовых клеток, выделенных из стромально-васкулярной фракции жировой ткани пациента)
SVF-терапия
Фармакопунктура
Лечебная физкультура (ЛФК)
Физиотерапия
Лечебный массаж
Современные методики реабилитации
В оздоровительном центре «Лаборатория движения» реабилитация плечевого сустава после операции артроскопии базируется на сочетании традиционных и инновационных методик. В соответствии с разработанной программой восстановления функции верней конечности в реабилитационный комплекс включается:
Кальцифицирующий тендинит

Кальцифицирующий тендинит плечевого сустава возникает при отложении солей кальция на сухожилиях мышц, окружающих плечевой сустав. При этом возникает реактивное воспаление тканей вокруг кальциевых отложений (депозитов), что может сопровождаться болью. Это довольно распространенное заболевание. Наиболее часто оно возникает у лиц старше 40 лет.
Точно еще неизвестно, почему развивается кальцифицирующий тендинит. Износ сухожилий, их надрывы, возрастные изменения могут обуславливать развитие дегенеративной кальцификации.
Симптоматика заболевания
Когда соли кальция начинают откладываться в сухожилиях, Вы можете ощущать лишь слабую боль. Иногда болевых ощущений не бывает вовсе. По неизвестной причине сильные боли появляются, когда происходит рассасывание отложений кальция. Боль и ощущение скованности в плечевом суставе приводят к ограничению подвижности плеча. Боль усиливается при поднятии руки вверх. Характерно усиление болей в плече ночью.
Диагностика
Диагноз ставиться после тщательного выяснения жалоб, анамнеза, осмотра и физикального исследования, анализа рентгенографических признаков кальциноза. Диагноз кальцифицирующего тендинита плеча подтверждается рентгенологически по наличию кальциноза сухожилия. Этот признак не всегда бывает легко обнаружить. Для его выявления выполняются снимки плечевого сустава в прямой проекции при нейтральном положении, а также наружной и внутренней ротации. На ранней стадии депозиты бывают плотными и хорошо определяются.
![]() | ![]() |
рентгенограммы плечевого сустава, кальцификаты обведены кружком
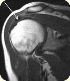
Также в постановке диагноза помогает МРТ исследование.

на МРТ участки кальцификатов отображаются, как отдельные фокусы (очаги) ослабления сигнала
Лечение
Лечение всегда начинается с консервативного метода. Консервативные мероприятия включают покой, иммобилизацию, ограничение движений, прием нестероидных противовоспалительных средств, купирующих болевой синдром и уменьшающих воспаление. При сильном болевом синдроме может быть выполнена лечебная блокада плечевого сустава.
Для уменьшения боли рекомендуется использование пакетов со льдом или теплой грелки. Показано проведение массажа и легких физических упражнений, направленных на увеличение подвижности плечевого сустава. А в более поздней стадии целесообразно подключение силовых упражнений для увеличения силы мышц плечевого пояса.
Как правило, продолжительность консервативной терапии составляет от 6 до 8 недель. За это время происходит восстановление подвижности и прекращение болей у большинства пациентов, что позволяет им приступить к своей обычной работе.
Безрезультатность консервативной терапии может привести к потребности хирургического удаления кальцификатов, что может быть выполнено как открытым методом, так и артроскопически. В большинстве случаев проводится артроскопическая операция. Артроскоп вводится в полость сустава через миниатюрный разрез. При этом изображение содержимого плечевого сустава отображается на экране видеодисплея. При осмотре сустава хирург обнаруживает отложения кальция и удаляет их при помощи специальных инструментов.

артроскопическая картина кальцификата, подвергающегося обработке шейвером
Артроскопия плечевого сустава

Боль в плече встречается не только у спортсменов, а даже чаще у людей не имеющих отношения к профессиональному спорту. Боль может появиться резко или постепенно нарастать в течение недель и даже месяцев. Симптомы могут беспокоить только в рабочее время, а могут проявляться только во время сна. Длительно существующие проблемы с плечевым суставом могут приводить к серьёзным ограничениям активности.
Эти и некоторые другие важные вопросы помогают нам и Вашему врачу правильно определить Ваш диагноз.
Возможные диагнозы при боли в плече.
· адгезивный капсулит (замороженное плечо)
· нестабильность плечевого сустава
· артроз (плечевого сустава или акромиально-ключичного сочленения)
· инфекция плечевого сустава
· дефект сухожилий (длинной головки бицепса, вращательной манжеты)
· последствия перенесенной травмы
Если Ваша боль не уходит после проведения консервативной терапии (такой как покой, приём медикаментов, физиотерапия) и Вы не можете вернуться к своей повседневной активности, необходимо задуматься об операции.
Диагностика и подготовка к операции
Для записи на оперативное лечение Вам необходимо получить консультацию врача на нашем отделении (контактный телефон 8 812 559 97 83).
Вас ожидает осмотр и обследование, высококачественная рентгенография, регистрация ЭКГ, исследование показателей крови. Если у Вас есть готовые результаты обследования (рентген, МРТ и прочее), принесите их с собой на консультацию. После обследования Вы получите окончательные ответы на Ваши вопросы о плане операции и послеоперационном лечении.
Операция и период госпитализации.
Обычно пациенты поступают в отделение в день операции. Если Вам необходимо проделать длинный путь до больницы, возможна госпитализация вечером предыдущего дня. Иногда возможно проведение операции амбулаторно.
Дружественный персонал отделения поможет Вам обустроиться в одно- или двухместной палате. В течение дня будет произведена операция, а обед будет доставлен Вам в постель.
Послеоперационное наблюдение в больнице длится от одного до четырех дней. Покинуть клинику Вы можете самостоятельно или в сопровождении. Персонал отделения поможет Вам, при Вашем желании, заказать транспорт.
Операция выполняется под общей анестезией артроскопически. Это значит, что через один разрез кожи длиной около 1см в полость сустава будет введена видеокамера с источником света.
Затем производится осмотр всех важных структур и оценка их состояния. К этим структурам относятся хрящ суставных поверхностей, сухожилия капсулы сустава и вращательной манжеты. Важные находки могут быть зафиксированы в виде цифровой фотографии или видео HD-качества.
Иллюстрация: эндоскопия плечевого сустава

Поврежденные структуры восстанавливаются с использованием наиболее современных методик. К повреждениям, которые можно восстановить артроскопически, относятся: нестабильность, повреждения длинной головки двуглавой мышцы, адгезивный капсулит. Вторая часть операции производится в пространстве над головкой плечевой кости - в подакромиальном пространстве. Здесь находится причина хронического бурсита и повреждений сухожилий вращательной манжеты. После обработки хронического бурсита взгляду хирурга открываются многие важные элементы плечевого сустава. Дефекты сухожилий вращательной манжеты могут быть восстановлены при помощи швов и якорных фиксаторов. Кальцификат при кальцифицирующем тендините обнажается после обработки хронического бурсита и может быть легко удалён. Последним осматривается акромиально-ключичный сустав, артроз которого может причинять значительную боль при обычных бытовых нагрузках.
Иллюстрация: декомпрессия субакромиального пространства

Фаза пробуждения после операции проводится в специальном отделении интенсивного ухода, где под наблюдением за всеми жизненно важными параметрами пациенты готовятся к переводу в отделение.
Послеоперационное лечение.
Если Вы не нуждаетесь в особом послеоперационном ведении, на следующий день после операции Вас познакомят с планом физиотерапии и начнут проводить процедуры. Для пациентов с адгезивным капсулитом физиотерапия является краеугольным камнем послеоперационного лечения. Это значит, что каждый пациент с определённой картиной заболевания получает свою программу послеоперационного лечения, в которой содержится точная информация о необходимых мероприятиях на определённых сроках реабилитации. Безусловно, врач, который будет вести Вас на амбулаторном этапе, получит всю необходимую информацию для наилучшего послеоперационного ведения. Так достигается успех Вашего послеоперационного лечения вне стен клиники.
Прочее.
Специальные консультационные часы:
Читайте также:


