Уход после модифицированной операции Брострома при латеральной нестабильности голеностопного сустава
Добавил пользователь Владимир З. Обновлено: 22.01.2026
Разрыв связок на уровне голеностопного сустава в большинстве случаев не требует хирургического лечения. После 2 недельного периода иммобилизации в ортезной повязке и 4 недель лечебной физкультуры, направленной на укрепление мышц голени и развитие мышечного баланса в 90 % случаев пациента ничего не беспокоит.
Но нас интересует судьба тех 10 %, у которых после разрыва связок голеностопного сустава развивается его нестабильность. Почти всегда эти пациенты получают такое же консервативное лечение, как и остальные, симптомы становятся менее выраженными, но не проходят полностью. В таких случаях следует обращаться за хирургической помощью, так как последствия нестабильности в голеностопном суставе могут быть очень серьёзными.
Клинический случай разрыва связок голеностопного сустава.
Пациент Ч. 23 года, травма во время игры в футбол, подвернул правую стопу кнаружи при резком толчке, услышал хруст, почувствовал резкую боль. Обратился в травмпункт, где выполнены рентгенограммы без нагрузки, рекомендована иммобилизация в ортезной повязке 2 недели и консервативное лечение. Учитывая отсутствие положительной динамики, принял решение обратиться на консультацию в клинику К+31.
В анамнезе неоднократные травмы голеностопного сустава. Длительное время (более 3 лет) отмечал ощущение «нестабильности, разболтанности» правого голеностопного сустава.
3-4 раза в год происходили эпизоды «подворачивания» голеностопного сустава кнутри после которых отмечал отёк в области наружной лодыжки и боль при ходьбе на протяжении 1-2 недель. Лечился консервативно, фиксация при помощи эластичного бинта, холод, мазь диклофенак местно, на фоне данного лечения отмечал постепенный регресс отёка и восстановление безболезненной амплитуды движений.
Последняя травма на футболе спрвоцировала усиление ощущения нестабильности, отёк был более выраженный. Отсутствие положительной динамики заставило пациента обратиться к врачу.
В нашей клинике пациент Ч. Был осмотрен врачом, заподозрено повреждение дистального межберцового синдесмоза, на фоне хронической нестабильнсоти голеностопного сустава. Были выполнены МРТ голеностопного сустава и рентгенография голеностопных суставов стоя с нагрузкой весом тела, а также стресс-рентгенограммы, в вынужденном положении, которые подтвердили диагноз.
Ниже представлены срезы МРТ в которых наглядно показано расположение повреждённых связочных структур.




Данные повреждения практически в 100 % случаев пропускаются при первичном обращении в травмпункт. При несвоевременном или неадекватном лечении нестабильность голеностопного сустава приводит к разрушению суставного хряща, выраженной боли, деформации, и в конечном счёте к полной утрате функции опоры и ходьбы. В зависимости от того какие связки разорваны и от того насколько выражена нестабильность, артроз развивается в разные сроки, от 1 года при разрыве синдесмоза, до 20 и более лет при изолированном разрыве передней таранно-малоберцовой связки.
Очень важно чтобы при первичном обращении в травмпункт, пациентам с повреждением связочного аппарата голеностопного сустава производились полноценные рентгенограммы, стоя с нагрузкой весом тела, косая проекция с внутренней ротацией голени 15 градусов, а при необходимости, и стресс-рентгенограммы.

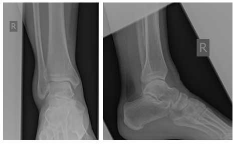
При детальном изучении снимков определяется увеличение межберцовой щели до 7,5 мм, уменьшения зоны перекрытия большеберцовой и малоберцовой костей до 5 мм, отсутствие на стороне поражения перекрытия тени таранной кости и малоберцовой кости.

На рентгенограмме костей правого и левого голеностопных суставов в прямой проекциии, снимки стоя - справа определяются признаки повреждения дистального межберцового синдесмоза - степень взаимного перекрытия берцовых костей 5мм (в норме больше 6мм) увеличенное большеберцовое - малоберцовое пространство - 7.5мм (в норме до 6мм).
При выполнении стресс рентгенограмм определяется выраженная латеральная нестабильность голеностопного сустава.

У данного пациента также определялась избыточная подвижность малоберцовой кости на уровне дистального межберцового синдесмоза при компрессии голени на уровне средней трети, которая клинически проявляется болью по переднему краю наружной лодыжки.

Учитывая молодой возраст, желание активно заниматься спортом, анамнестические данные свидетельствующие о хронической нестабильности правого голеностопного сустава принято решение о хирургическом лечении.
Ниже представлены этапы оперативного лечения.








После восстановления латерального связочного комплекса по Брострому в модификации Голда и фиксации межберцового синдесмоза винтом производится оценка стабильности голеностопного сустава при помощи вальгус—стресс теста под контролем ЭОП.

Гипермобильность голеностопного сустава устранена, положение таранной кости остаётся неизменным несмотря на приложение вальгусной нагрузки.
Далее следует послойное ушивание раны, и наложение гипсовой лонгетной повязки.

Реабилитация после операции по восстановлению связок голеностопного сустава и фиксации дистального межберцового синдесмоза винтом.
В раннем послеоперационном периоде рекомендуется возвышенное положение конечности, аппликации холода по 30 минут каждые 3-4 часа 5 дней. Ходьба без осевой нагрузки при помощи костылей потребуется на протяжении 6 недель с момента операции. Лонгетная повязка позволяет выполнить перевязку на первые сутки после операции, при отсутсвии значительного геморрагического отделяемого можно наложить циркулярную полимерную повязку на 2 недели. Через 2 недели повязка рассекается по передней поверхности голени и стопы, удаляются послеоперационные швы, после чего иммобилизация возобновляется.
После снятия послеоперационных швов пациенту разрешается занимается ЛФК в голеностопном суставе. Для этого в полимерной повязке по передней поверхности делается продольный пропил шириной 2-4 см чтобы её можно было легко снимать. После снятия полимернойповязки пациент выполняет сгибательные и разгибательные движения в голеностопном суставе, исключаю пронацию, супинацию и ротацию. Дозированная осевая нагрузка (вес конечности) возможна с 3 недели после операции.
Через 6 недель производится удаление позиционного винта. С этого момента разрешается полная осевая нагрузка.

На рентгенограммах видно что после удаления позиционного винта взаимоотношения большеберцовой и малоберцовой костей остаётся прежним, что свидетельствует в пользу того что лечение прошло успешно.
После удаления позиционного винта основной упор делается на восстановление силы, выносливости мышц голени, а главное - улучшение мышечного баланса и проприорецепции. Разрешаются любые движения в голеностопном суставе, в том числе супинация и пронация. Использование резиновых лент с различной степенью сопротивления позволяет изолированно тренировать различные мышечные группы голени. Для тренировки мышечного баланса выполняются упражнения по удержанию равновесия на одной ноге сначала на твёрдом полу с дополнительной опорой на руки, потом на мягкой пенке, потом на толстой 10 см пенке, на полуфитболе. В конечном счёте необходимо добиться способности стоять на мыске одной ноги без дополнительной опоры на протяжении 20 секунд.

Никифоров Дмитрий Александрович
Хирургия стопы и голеностопного сустава, коррекция деформаций конечностей, эндопротезирование суставов, артроскопическая хирургия, спортивная травма.
Операция Брострома
Повреждение связок составляют около 85% от всех повреждений голеностопного сустава, а из них 80 % составляют наружно-супинационный механизм травмы. Повреждение связок голеностопного сустава составляют от 14 до 21 % от всех спортивных травм, около 40% у баскетболистов, 25 % у футболистов. У женщин эти повреждения встречаются чаще, чем у мужчин, при аналогичных нагрузках.
Часто, при неадекватном лечении острых повреждений связок голеностопного сустава, развивается хроническая наружная нестабильность. Для более детального обсуждения для начала рассмотрим анатомию связок этой области.
Наружные статические стабилизаторы голеностопного сустава состоят из трех связок. Передняя таранно-малоберцовая связка- 2-2,5 мм толщиной, 15-20мм длиной и 6-8мм шириной, начинается сзади от переднего края наружной лодыжки и прикрепляется к шейке таранной кости, где она сливается с передне-наружной капсулой сустава. Это самая слабая и часто повреждающаяся связка из наружных связок. Функция связки состоит в удерживания таранной кости от передне-наружного подвывиха.
Пяточно-малоберцовая связка 20-25 мм длиной, 6-8 мм толщиной, 3-4 мм шириной намного крепче, чем таранно-малоберцовая связка. Она начинается от верхушки наружной лодыжки продолжается глубже малоберцовых сухожилий, и прикрепляется к наружной поверхности пяточной кости. Это единственная из наружных связок, которая экстракапсулярная.
Задняя таранно-малоберцовая связка около 30 мм длиной, 5 мм шириной, и 5-8 мм толщиной самая мощная из латеральных связок. Она начинается от пальцевого вдавления наружной лодыжки и идет кзади и прикрепляется к заднему отделу таранной кости.
Чаще всего повреждается передняя таранно-малоберцовая связка, в результате чего развивается хроническая наружная нестабильность голеностопного сустава.
При хронической латеральной нестабильности голеностопного сустава передняя таранно-малоберцовая связка ослабленная, неэффективная для стабилизации голеностопного сустава. В анамнезе у пациентов обычно имеет место периодически растяжение связок в течение 2-х лет, имеется нестабильность таранной кости на рентгеновских снимках.
Диагностика достаточно легкая, и ставится на основании клинических и рентгенологических данных
При этом наблюдается положительный варус-тест, и на рентгенограммах подвывих таранной кости.
Предложено множество вариантов хирургического лечения наружной нестабильности голеностопного сустава, в том числе анатомическое восстановление связок, пересадка малоберцовых сухожилий, статическая стабилизация с помощью сухожильных трансплантатов и т.д.
Из наиболее распространённых операций анатомического восстановления наружной группы связок (в большей степени передней таранно-малоберцовой связки) можно считать операция Брострума, которая доказала свою эффективность и малотравматичность, достаточно широко применяется за рубежом.
Для доступа к наружному отделу голеностопного сустава разрез идет от верхушки наружной лодыжки, имея незначительную кривизну.
Когда связка идентифицируется, она иссекается на уровне сустава, по контурам переднего отдела наружной лодыжки. Надкостница, покрывающая кость, отделяется проксимально. Далее оценивается состояние капсулы с таранно-малоберцовой связкой, нежизнеспособные и дегенеративные ткани иссекаются, остается лоскут, который прикреплен к малоберцовой кости.
При классической операции Брострума, далее этот лоскут трансоссально сшивается к переднему отделу наружной лодыжки.
В последнее время был предложен вариант артроскопической операции, который известен как «ArthroBrostrum». При этой технике предполагается артроскопический доступ к наружному отделу сустава, чистится место прикрепления передней таранно-малоберцовой связки, вкручивается анкерный винт, и перкутанно связка сшивается и прикрепляется к наружной лодыжке.
В отделении травматологии и ортопедии Волынской больницы освоены и применяются на практике оба вида данного оперативного вмешательства, позволяющие эффективно решить проблему наружной нестабильности голеностопного сустава.
Латеральная нестабильность голеностопного сустава, пластика аутосухожилием нежной мышцы
Латеральная нестабильность голеностопного сустава как следствие "растяжения голеностопа", "подворачивания голеностопа", по прежнему остаётся крайне недооценённой и актуальной проблемой травматологии. Ниже рассмотрим пример обращения пациента с данной проблемой, которая при первичном обращении не была диагностирована (что встречается практически в 100% случаев).
Клинический пример лечения застарелого разрыва передней таранно-малоберцовой связки, пяточно-малоберцовой связки правого голеностопного сустава у пациентки П.38 лет.
История неоднократных травм голеностопного сустава на протяжении более 10 лет, в среднем 2-3 раза в год подворачивает ногу, после чего наблюдается в травмпункте в связи с болями в голеностопном суставе. Обратилась к нам в клинику из-за того что после последнего эпизода подворачивания стопы боль держалась дольше обычного, и была более интенсивной. На стандартных рентгенограммах - без патологии.

На этом этапе пациентка лечилась по стандартному сценарию «растяжение голеностопа». Носила ортез, мазала голеностоп вольтареном и лиотоном, разгружала его при помощи трости. Но в связи с длительно сохраняющимся болевым синдромом было выполнено МРТ, при котором диагностирован застарелый разрыв передней таранно-малоберцовой связки, пяточно-малоберцовой связки правого голеностопного сустава, контузионное повреждение латеральных отделов таранной кости.


Для подтверждения механической нестабильности выполнены стресс-рентгенограммы голеностопного сустава с «варус-стресс тестом» и «тестом переднего выдвижного ящика». Критериями для постановки диагноза нестабильности является ангуляция таранной кости в коронарной плоскости более 4 градусов и смещение таранной кости кпереди в сагиттальной плоскости на 4 мм, или разница с контрлатеральной стороной в 2 градуса и 2 мм соответственно.

Если с варус-стресс тестом всё очень наглядно, оценивать передний выдвижной ящик рентгенологически чуть сложнее. Для этого можно либо обозначить центр купола таранной кости и встречной суставной поверхности большеберцовой кости точками и сравнивать расстояние между ними с или без нагрузки в задне-переднем направлении, либо использовать в качестве вспомогательного ориентира тень медиальной лодыжки и расстояние от неё до начала шейки таранной кости.

Учитывая историю неоднократных травм, клиническую и рентгенологическую картину антеролатеральной нестабильности голеностопного сустава принято решение о проведении пластики латерального связочного комплекса аутосухожилием нежной мышцы.
В данном случае выбор хирургического вмешательства шёл между стандартной процедурой Бростром в модификации Голда или пластикой аутосухожилием. Так как ранее пациентке оперативные вмешательства не выполнялись, можно было попробовать стандартную операцию по методике Бростром, а пластику оставить в качестве «запасного метода». Но для получения более стабильной конструкции учитывая выраженность нестабильности, длительную историю заболевания, наличие контузионного повреждения купола таранной кости было принято решение о проведении пластики с использованием аутотрансплантата нежной мышцы.
В настоящее время существует 2 основных методики проведения трансплантата через малоберцовую кость. Либо делается 2 канала диаметром соответствующие трансплантату и образующие острый угол, либо делается один канал большего диаметра в который вставляется сложенный вдвое трансплантат. При этом фиксация в малоберцовой кости в первом случае осуществляется при помощи биотенодезных винтов, во втором случае фиксация происходит за счёт титановой пуговицы. Фиксация на таранной и пяточной кости в обоих случаях идентичная при помощи биотенодезных винтов.

Данная методика может быть реализована как открыто, так и артроскопически. Плюсом открытого метода является возможность аугментации за счёт остатков собственной ПМБС и ПТМБС а также дополнительно может быть использован ретинакулум, хотя необходимости при такой жёсткой фиксации в этом обычно нет. Плюсом артроскопической техники является как обычно малоинвазивность, хотя в этом случае она очень условная - по сути всё равно делается 4 доступа, просто один из них меньшего размера, чем при открытом методе (1 см вместо 3см) при этом технически это намного сложнее, но ради искусства можно сделать и так.
Операция начинается с диагностической и санационной артроскопии голеностопного сустава, при которой дополнительно оценивается степень нестабильности, а главное выявляются и устраняются сопутсвующие повреждения суставного хряща таранной кости, синовиальная гипертрофия и прочие внутрисуставные проблемы.

После подтверждения нестабильности и устранения разрастаний синовиальной и рубцовой ткани переходим к этапу забора аутотрансплантата и его подготовки к последующей трансплантации. У транспланатата 2 плеча, сложенная вдвое часть погружается в канал малоберцовой кости, а «рукава» фиксируются в каналах таранной и пяточной кости соответсвенно в месте прикрепления передней таранно-малоберцовой и пяточно-малоберцовой связок.

После подготовки транспланата выполняется продольный доступ в проекции апекса латеральной лодыжки, из которого выделяется передняя таранно-малоберцовая связка, чаще всего она бывает частично замещена рубцом в зоне прикрепления к малоберцовой кости, её желательно сохранить, прошить, и потом произвести аугментацию пластики её остатками, что будет способствовать скорейшему восстановлению проприорецепции, и вообще сделает такое восстановление возможным. Первый этап - проводим пуговичный фиксатор (в нашем случае Tight rope Arthrex) через канал в малоберцовой кости. Канал делается при помощи 2 канюлированных свёрел, 4 мм сверлом делается сквозной канал, для того чтобы через него могла пройти пуговица. Второе сверло соответсвует по диаметру сложенному вдвое транспланатау, обычно это 5 или 6 мм и этот канал заканчивается слепо на глубине 2 см, для жёсткой фиксации трансплантата после затягивания нитей на пуговчатом фиксаторе.

Проведены нити, мы видим пуговчатый фиксатор с дистальной стороны канала.

Пуговица проведена на заднюю поверхность малоберцовой кости, трансплантат частично (на 1 см) погружен в канал. Запас в 1 см оставляем для того, чтобы после фиксации остальных частей трансплантата можно было бы ещё его натянуть если это потребуется.

ПМС проходит под сухожилиями малоберцовых мышц, которые нежелательно избыточно травмировать, поэтому мы предпочитаем проводить эту часть трансплантата полузакрыто. После визуализации проксимальной части сухожилия и малоберцовых сухожилий, под последними проводится сосудистый зажим в направлении места прикрепления пяточно-малоберцовой связки, над кончиком зажима делается небольшой продольный доступ около 1 см, из которого тупо обнажается место прикрепления ПМС к пяточной кости, где и производится рефиксация.
Только на этом этапе определяется окончательная длина рукавов трансплантата. Она вычисляется путём прикладывания трансплантата к нативному месту прикрепдения, или к месту где выполнен канал для его фиксации, + 2 см на погружение в этот канал. Концы сухожилия обрезаются на нужной длине и прошиваются.
Для окончательной фиксации могут быть использованы биотенодезные винты из полимолочной кислоты или высокопрочного медицинского пластика. Мы использовали винты из пластика Swive Lock 5.5 мм. При этом канал в плотной таранной кости мы делаем сверлом такого же диаметра, а в более рыхлой пяточной кости, сверлом 5 мм.

Такие винты обеспечивают надёжную первичную фиксацию трансплантата и позволяют начать более раннюю реабилитацию, для достижения лучшего функционального результата.

Когда обе части трансплантата фиксированы осуществляется дозатягивание нитей на пуговчатом фиксаторе в нейтральном положении стопы. Оценка функциональной и механической стабильности сустава подтверждает адекватность натяжения.

На этой фотографии под остатками ПТМБС виден трансплантат. Культя собственного сухожилия подшивается поверх него к надкостнице малоберцовой кости.
Реабилитационный протокол стандартный для любой пластики связок голеностопного сустава 2 недели гипсовая иммобилизация в лонгете. Через 2 недели снятие швов и переход на Walker - пластиковый сапог. В нём разрешается осевая нагрузка, также начинаем восстановление пассивной и активной амплитуды сгибания-разгибания в голеностопном суставе.
Через 6 недель переходим к фазе закачки мышц голени, тренируем мышечный баланс и выносливость. Возобновление спортивных нагрузок не ранее 12 недель от операции.
Хроническая латеральная нестабильность голеностопного сустава
Многие люди сталкиваются с подворачиванием ноги. Большинство лечится дома, не обращаясь за помощью к врачу.
Однако посетить травматолога-ортопеда все же рекомендуется. Ведь если травмированную область пролечить неправильно, со временем можно столкнуться с нестабильностью голеностопного сустава!


Схематическое изображение нестабильности голеностопного сустава.
Анатомия сустава
Голеностопный сустав - сложное анатомическое образование, состоящее из трех костей. В него входят больше- и малоберцовая, а также таранная кости. Благодаря этому сочленению происходит передача нагрузки от всего тела к стопе, обеспечивается амортизация при ходьбе, беге, прыжках и ряде других интенсивных движений. Также именно благодаря ему человек может похвастаться высокой подвижностью стопы и, как следствие, хорошей маневренностью.
В норме голеностопный сустав - соединение, стабильность которого обеспечивается связками. Связки располагаются не только на внешних, но и на внутренних поверхностях сустава. Благодаря ним обеспечивается не только стабильность сустава, но и соединение с костями стопы.

Строение голеностопа: кости, сышцы и связки.
При вывихах в основном страдают те связки, что расположены на наружной поверхности. Повреждение связок голеностопного сустава и ведет со временем к его нестабильности.
Причины развития болезни
Основной причиной для повреждения связок, обеспечивающих стабильность голеностопа, является подворачивание стопы. Если подворачивание происходит внутрь, то страдают таранно-малоберцовая и пяточно-малоберцовая связки. Если же происходит подворачивание стопы кнаружи, возможно повреждение дельтовидной связки. Однако оно встречается нечасто, так как связка очень прочная и толстая.
После травматизации связки оказываются неспособны выполнять свои функции. В этом-то случае и развивается нестабильность. Под ней понимается непроизвольное изменение положения стопы в области сочленения, которое появляется во время ходьбы, бега, прыжков. Наиболее выраженной жалоба на смещение становится при попытках двигаться по неровной поверхности.
Растяжение связок приводит к нестабильности не у всех пациентов. Если не было организовано правильное лечение, с ней сталкивается в среднем до 30% травмированных больных.
Симптомы патологии
Для повреждения области голеностопа обычно характерен ряд следующих симптомов:
- болезненность, которая имеет тенденцию к усилению при длительных физических нагрузках;
- сочленение даже при визуальном осмотре отличается от здорового на другой ноге, при пальпации можно обнаружить болезненность;
- травмированные связки стопы больше не выполняют свою фиксирующую функцию, а потому даже легкая нагрузка приводит к подвывиху (боли);
- появляется ограничение в движениях;
- после острой травмы или на фоне физических нагрузок область поврежденного сустава может опухать, возможно появление кровоподтеков, местного повышения температуры.
Хроническая нестабильность голеностопного сустава развивается постепенно. Выделяют 3 стадии болезни.
| Стадия | Симптомы |
| 1 Стадия | Функция сустава сохранна, болезненность в проблемной зоне выражена слабо. |
| 2 стадия | Функция нарушена. Пациент жалуется на выраженный отек, ограниченность движений, болезненность не только при нагрузке, но и в покое. |
| 3 стадия | Связки полностью разорваны. Пациент жалуется на сильную боль при попытке совершить движение, сустав отечен. |
Способы диагностики
Чтобы правильно поставить диагноз и начать адекватное лечение, необходима консультация опытного врача и использование современных инструментальных методов обследования. При подозрении на заболевание можно обратиться к доктору Петросяну. Врач обладает большим опытом в диагностике и лечении повреждений голеностопа, а оснащенность клиники позволяет поставить правильный диагноз, используя современные методики.
Диагностический поиск начинается с опроса. Врач уточняет, когда была получена травма, при каких обстоятельствах и как это произошло. После проводится осмотр поврежденной стопы. Доктор обращает внимание на отечность, покраснение кожи, наличие кровоизлияний, деформацию сустава.
После осмотра врач может попросить пациента выполнить несколько тестов, которые помогут точно понять, от какого вида и формы нестабильности страдает больной. Обычно просят выполнить определенные движения в голеностопе, оценивая поведение сустава в покое и в случае с нагрузкой.
Дополнительно выполняется исследование на плантоскопе, чтобы определить, как по стопам распределяется нагрузка. Часто обязательным является МРТ-исследование, позволяющее определить, насколько сильно повреждены связки и хрящи голеностопного сустава.

Лечение
Лечение повреждения связок голеностопа не рекомендуется проводить самостоятельно, чтобы не столкнуться с развитием нестабильности сустава в будущем. Лучше обратиться к врачу, который сможет не только поставить диагноз, но и подобрать адекватную терапию.
У нас есть большой опыт в работе с повреждениями голеностопного сустава различной сложности. В зависимости от выраженности патологии, Петросян А.С. подберет для пациента консервативное или оперативное лечение.
Консервативные методы
Если травматизация связок голеностопного сустава произошло недавно, предпочтение стоит отдать консервативным методам лечения. Сразу после травмы рекомендуется действовать следующим образом:
- на три дня поврежденной конечности обеспечивается покой;
- рекомендуется накладывать давящую повязку на пострадавшую зону, принимать препараты НПВС;
- для борьбы с болезненностью и отечностью также возможно прикладывание льда.
Под контролем врача можно начать раннюю активизацию. Объем движений увеличивается постепенно.
Во время всего периода восстановления пациенту показано ношение ортеза или брейса. Альтернативой может быть тейпирование голеностопного сустава. Ортезы и прочие ортопедические устройства помогут правильно зафиксировать сочленение. Также их использование предотвратит повторную травматизацию.
Оперативные подходы
Как показывает практика, даже своевременное консервативное лечение не всегда может защитить от развивающейся нестабильности. Если избежать заболевания не удалось, скорректировать его можно, используя хирургические методики.
Существует множество вариантов операции на голеностопном суставе. Условно их делят на открытые и малоинвазивные, выполняемые с помощью артроскопа. Доктор Петросян, как и все прогрессивные хирурги-ортопеды, отдает предпочтение операциям с помощью артроскопа. Ведь этот способ менее травматичен, а восстановление после него значительно легче.
Артроскопическая реконструкция связок может проводиться либо с применением собственных связок пациента, либо с помощью трансплантатов с использованием специальных фиксаторов. Полностью разорванные связки не сшивают, а заменяют на новые. Трансплантат, заменяющий естественные связки, изготавливается из сухожилий полусухожильной мышцы (либо других) и фиксируется, либо с помощью рассасывающихся винтов, либо с помощью специальных титановых пуговиц.

Схематическое изображение операций.
Принципы послеоперационного восстановления
Поскольку методика артроскопической реконструкции, считается малоинвазивной, восстановление проходит гораздо легче, чем при открытых операциях. Вставать и двигаться пациенту можно уже на следующие сутки, а швы с конечности снимаются в среднем через две недели.
Программа реабилитации разрабатывается для каждого больного индивидуально. При этом учитывается его возраст, физическая подготовка, сопутствующие заболевания, способные осложнить реабилитацию и другие индивидуальные особенности. Рекомендуется:
- пройти курс лечебной физкультуры под медицинским контролем для возвращения подвижности суставу;
- использовать во время всего периода восстановления ортезы и другие ортопедические фиксаторы, чтобы сустав находился в правильном положении во время заживления;
- впоследствии носить специальную ортопедическую обувь (стельки), которая предотвратит развитие плоскостопия и защитит сустав от новых травм.
Нестабильность голеностопного сустава - неприятное осложнение повреждения связок в этой области. Патология способна снизить качество жизни пациента, лишив его двигательной активности.
Эндопротезирование голеностопного сустава

При стоянии и ходьбе человека голеностопный сустав постоянно несет большие нагрузки. Это один из самих нагружаемых суставов организма.
Голеностоп часто травмируется в повседневной жизни. Особенности строения и функции голеностопного сустава являются причинами частых перелом области голеностопа, в частности лодыжек.
Даже в случае оперативного лечения, когда отломки костей срастаются после идеального сопоставления, часто развивается артроз голеностопа. Именно последствия травм являются самыми частыми причинами разрушения голеностопа.
Поражение голеностопного сустава проявляется:
- периодической болью при движениях и ходьбе, которая со временем становится постоянной;
- ограничением движений;
- ограничением активности, невозможностью заниматься спортом;
- хромотой;
- деформацией сустава;
- ограничением трудоспособности;
- инвалидностью в тяжелых случаях.
В начале заболевания консервативные методы лечения помогают пациентам избавиться от боли, дают хороший временный эффект.
Когда процессы разрушения сустава становятся необратимыми, возникает необходимость применять эндопротезирование сустава.
Особенности строения голеностопного сустава объясняют сложность изготовления этих протезов и большие требования к качеству конструкций.
Показания к проведению операции
- Посттравматический, первичный или другие артрозы 3 степени голеностопного сустава.
- Остеохондропатия или посттравматический асептический некроз (омертвение) таранной кости.
- Разрушение (артроз 3 степени) голеностопного сустава при системных заболеваниях (ревматоидный полиартрит, системная красная волчанка, псориатический артрит и др.)
- Стойкий болевой синдром при артрозе 2 степени, когда другие методы лечения не эффективны.
Цели и задачи операции
Особенности операции эндопротезирования голеностопного сустава
Эндопротезирование голеностопного сустава направлено на восстановление подвижности в суставе, опорности ноги, избавления пациента от боли.
Применение протеза позволяет голеностопу сохранить мобильность и опороспособность. Эндопротез может вернуть пациента к обычной жизни.
Учитывая особенности строения голеностопа, с этой целью используются современные конструкции, изготовленные из высококачественных материалов.
Эти конструкции должны обладать определенными качествами:
- высокая прочность;
- быстрая приживаемость;
- устойчивость к нагрузкам, долговечность;
- максимальная близость к нормальной анатомии голеностопа;
- способность имитировать нормальные движения в голеностопе.
Голеностоп и задний отдел стопы часто подвержены к посттравматическим изменениям, поэтому эндопротезирование голеностопного сустава часто сочетается с корригирующими остеотомиями или артродезом подтаранного сустава (когда «замыкается» сустав ниже голеностопа из-за выраженного артроза).


Слева - схематическое изображение установленного эндопротеза. Справа - эндопротез голеностопного сустава.
Эндопротез голеностопного сустава состоит из большеберцового и таранного компонентов, которые имеют очень гладкую поверхность и крепятся к одноименным костям, в основном без применения костного цемента, путем плотного «вставления» этих компонентов в кость. Между ними внедряется полимерная прокладка из очень прочного материала, устойчивая к нагрузкам и износу.
Как выполняется операция?
Как и все операции, эндопротезирования голеностопа состоит из нескольких этапов:
1 этап
«Доступ» является первым этапом операции: мягкие ткани послойно рассекаются, обеспечивается хороший обзор всего сустава. При выполнении этого этапа максимально сохраняются околосуставные ткани.
Нагноение послеоперационной раны является одним из самых частых осложнений эндопротезирования голеностопа. Бережное обращение к мягким тканям уменьшает кровопотерю, создает благоприятные условия для заживления раны, уменьшает риск развития послеоперационной гематомы и инфекционных осложнений.
2 этап
Удаление костных выступов (разрастаний) по периметру суставных поверхностей, рубцовой ткани, разрушенных суставных поверхностей. При выполнении этого этапа, нужно максимально сохранить костную ткань. Готовится ложе для установки протеза.
Максимальное сохранение нормальной кости под разрушенными суставными поверхностями является гарантом выживаемости (длительного служения) этого протеза. Излишнее удаление костной ткани из суставных поверхностей, может создавать проблемы при установке компонентов эндопротеза.
3 этап
Определяются размеры компонентов протеза после предварительной примерки. Далее производят фиксацию всех компонентов эндопротеза к таранной и большеберцовой костям. Фиксация осуществляется (в редких случаях при помощи костного цемента) методом пресс-фит (компоненты плотно вставляются в кость). Далее имплантируется полимерная прокладка.
Это самый важный этап операции. От правильной пространственной ориентировки компонентов эндопротеза зависит функция сустава, долговечность служения протеза, возникновение осложнений в послеоперационном периоде.
4 этап
Ушивание рассеченных тканей и наложение швов на кожу.
Пациент несколько дней после операции остается в клинике под присмотром врачей. Перед операцией и 2-3 дня после операции пациент получает антибактериальную терапию, анальгетики, симптоматическое лечение.
Голеностопный сустав на рентгенограммах после установленных эндопротезов
Период реабилитации после операции
Как и после эндопротезирования других суставов, для полноценного восстановления функции оперированного голеностопа необходимо пройти курс реабилитационной терапии.
Всем пациентам проводится стандартная антибиотикопрофилактика во время операции, и в течение последующих трех дней. После операции проводится анальгезирующая, противовоспалительная и симптоматическая терапия.
По мере стихания болевого синдрома можно начинать разработку движений в суставе. Уже через несколько дней после операции пациенты могут вставать и ходить с дозированной нагрузкой при помощи костылей.
Через 3-5 дней пациент выписывается из клиники домой. За весь период реабилитационного лечения пациент разрабатывает движения в оперированном суставе под контролем врача, постепенно увеличивая их амплитуду. Также важно регулярно выполнять физиотерапевтические процедуры для улучшения кровообращения, уменьшения отека, стимуляции мышц.
Длительность реабилитационного лечения может меняться в зависимости от индивидуальных особенностей пациента и сложности оперативного вмешательства.
Полноценное восстановление функции оперированного голеностопа возможно только при точном выполнении рекомендаций врача и прохождения необходимого курса реабилитационного лечения.
Результаты эндопротезирования
Применение малотравматичных методик хирургической техники, современных конструкций из высококачественного сплава, правильный выбор типа протеза и пациента (в зависимости от показаний для эндопротезирования), обеспечивают отличные и хорошие результаты после операции.
Современные методы анестезии обеспечивают безболезненный период во время, и после операции, уменьшают возможные осложнения.
Полное оснащение нашей клиники средствами реабилитации помогают полноценно восстановить функцию голеностопа уже через 1,5-2 месяца после операции.
Эндопротезирование голеностопного сустава позволяет:
- Забыть о проблемах с голеностопом на всю жизнь;
- Избавить пациента от боли;
- Вернуть подвижность голеностопа;
- Восстановить функцию и опорность всей ноги;
- Восстановить повседневную активность и привычный образ жизни;
- Улучшает качество жизни.
Стоимость лечения
Проведение операции эндопротезирования ПС возможно по трем программам:
- бесплатное лечение по полису ОМС (обязательного медицинского страхования);
- операция по квоте ВМП (высокотехнологической медицинской помощи);
- платное лечение в государственных и частных клиниках.
Стоимость и состав программ госпитализации
| Программы лечения | ОМС | ВМП | Платное лечение |
|---|---|---|---|
| госпитализация и медикаментозное обеспечение | 3 000 руб. в день | ||
| операция | от 25 000 руб. | ||
| анестезиологическое обеспечение | 8 000-19 000 руб. | ||
| эндопротез | оплачивается пациентом | от70 000 руб. (зависит от типа протеза) | |
| многоместная палата | |||
| двухместная палата (одно место) | 1 500 руб. в день | 1 500 руб. в день | 1 500 руб. в день |
| одноместная палата | 2 400 руб. в сутки | 2 400 руб. в сутки | 2 400 руб. в день |
| люкс палата | 4 500 руб. в сутки | 4 500 руб. в сутки | 4 500 руб. в день |
| необходимость ожидания | от 2 недель | от 4 недель до нескольких месяцев | не более 1 недели |
| итоговая стоимость (многоместная палата) | оплачивается ТОЛЬКО эндопротез | от 270 000 руб. | |
| подробности смотрите здесь | |||
Не теряйте время и деньги! Не рискуйте своим здоровьем!
Обращайтесь к квалифицированному ортопеду при первых же симптомах заболевания. В нашей клинике мы поможем Вам быстро избавиться от вашего недуга.
Видеоотзывы
Читайте также:
