Уход после операции чрескожной фиксации переломов таранной кости
Добавил пользователь Евгений Кузнецов Обновлено: 02.11.2025
1 ГАУЗ «Республиканская клиническая больница» Министерства здравоохранения Республики Татарстан, Казань
В статье представлена и аргументированно обоснована проблема лечения переломов и переломо-вывихов таранной кости. Показаны особенности чрескостного остеосинтеза спице-стержневыми аппаратами внешней фиксации при лечении пациентов с различными типами переломов и переломо-вывихами таранной кости. Проведен анализ исходов лечения 38 пациентов с 40 переломами и переломо-вывихами таранной кости. Отличные результаты отмечены в 10 (25,0%), хорошие в 16 (40,0%), удовлетворительные в 10 (25,0%), неудовлетворительные - в 4 (10,0%) случаях. При этом из 24 случаев переломов шейки таранной кости, в 8 случаях достигнуты отличные, в 10 случаях - хорошие и в 6 случаях - удовлетворительные исходы; неудовлетворительные исходы лечения не отмечены. Из 16 случаев переломов блока и переломо-вывихов таранной кости в 2 случаях получены отличные, в 6 - хорошие, в 4 удовлетворительные результаты лечения.
1. Даниляк В.В. Переломы таранной кости / Margo Anterior (под ред. В.В. Даниляка). - 2000. - № 1-2. - С. 3-7.
2. Корышков Н.А. Особенности лечения повреждений таранной кости / Н.А. Корышков, О.В. Зайцев // Вестник травматол. и ортопедии им. Н.Н. Приорова. - 2003. - № 1. - С. 46-50.
3. Нигматуллин К.К. Аппарат внешней фиксации для лечения переломов таранной кости / К.К. Нигматуллин, М.А. Валитов, А.А. Килькинов // Разработка и технология производства медицинских инструментов. - М., 1989. -
5. Швед С.И. Чрескостный остеосинтез по Илизарову при лечении больных с переломами таранной кости / С.И. Швед, Ю.М. Сысенко, Л.В. Мальцева // Гений ортопедии. - 1997. - № 1. - С. 50-52.
7. Kankare J. Dislocated Fractures of the Talus Treated with Biodegradable Internal Fixation / J. Kankare, P. Rokannen // Arch. Orthop. Trauma Surg. - 1998. - V. 117 (1-2). - P. 62-64.
8. Nadin I. Open Reduction and Internal Fixation of Fractures of the Posterior Process of the Talus: A Case Report and Revieu of the Literature / I. Nadin, A. Tosic, N. Ebraheim // Foot Ankle Int. - 1999. - V. 20(1). - P. 50-52.
9. Papaioannon N.A. Traumatic Extrusion of the Talus (Missing Talus) / N.A. Papaioannon, C.G. Kokorogiannis, G.G. Karachalios // Foot Ankle Int. - 1998. - V. 19(9). - P. 590-593.
10. Thordarson D.B. Magnetic Resonance Imading to Detect Avascular Necrosis After Open Reduction and Internal Fixation of Talar Neck Fractures / D.B. Thordarson, M.J. Triffon, M.R.Tork // Foot Ankle Int. - 1996. - V. 17(12). - P. 742-747.
Лечение переломов и переломо-вывихов таранной кости представляет трудную задачу. Это связано как с анатомическими и функциональными особенностями стопы как органа в целом, так и с анатомо-биомеханическими особенностями ее структурных составляющих.
Таранная кость в силу определённых анатомо-биомеханических и функциональных особенностей является ключевой костью стопы. По своему местоположению она является промежуточным звеном между костями голени и всеми дистально расположенными костями стопы, испытывая весьма значительные нагрузки. Переломы таранной кости весьма тяжелы. Лечение их составляет одну из проблем современной травматологии. По данным литературы, стойкая утрата трудоспособности наблюдается в 15-30% случаев [6]. В настоящее время основным методом лечения большинства переломов и переломо-вывихов таранной кости является оператив- ный [1, 2, 4, 7, 8, 9].
Ряд авторов в качестве основной причины неудовлетворительных исходов лечения отмечают развитие посттравматического аваскулярного некроза таранной кости [10]. Неудачи консервативного и оперативного лечения переломов таранной кости, значительное число неудовлетворительных исходов и осложнений в виде тяжёлых деформирующих артрозов и аваскулярных некрозов определили новые пути решения данной проблемы. Необходимо отметить, что само оперативное лечение в виде открытой репозиции перелома и остеосинтеза погружными конструкциями во многих случаях усугубляет течение репаративного процесса. Метод чрескостного остеосинтеза по Илизарову в настоящее время является методом выбора при лечении переломов таранной кости. Методики чрескостного остеосинтеза позволяют обеспечить, в ряде случаев, закрытую репозицию без дополнительной травматизации, не нарушая кровообращения повреждённой таранной кости, а также стабильную фиксацию на период срастания костной и мягких тканей [3,5].
Полученные, в большинстве случаев, положительные результаты лечения различных типов переломов таранной кости аппаратом Илизарова позволили нам значительно расширить показания к его применению и дали возможность дальнейшего развития и совершенствования метода чрескостного остеосинтеза.
Материалы и методы исследования
В отделении травматологии для взрослых Научно-исследовательского центра Татарстана «Восстановительная травматология и ортопедия» - ГАУЗ РКБ МЗ РТ в 1990-2011 гг. находились на лечении 42 пациента с различными типами переломов таранной кости (всего 44 перелома). Женщин 12, мужчин 30. Переломы правой таранной кости имели место у 23, левой - у 17, двусторонние переломы - у 2 пациентов. В настоящем исследовании рассматривается наиболее тяжелая категория повреждений - переломы шейки и блока таранной кости, а также переломо-вывихи таранной кости.
С целью уточнения диагноза проводится рентгенографическое исследование голеностопного сустава и стопы в прямой и боковой проекциях; в ряде случаев, с целью получения наиболее достоверных данных о степени разрушения таранной кости и голеностопного сустава, показаны рентгено-компьютерная, а также магнитно-резонансная томографии.
Раннее хирургическое лечение в настоящее время является методом выбора при переломах и переломо-вывихах таранной кости. Чрескостный остеосинтез по Илизарову в настоящее время наиболее актуален при лечении данной патологии. Чрескостный остеосинтез позволяет осуществить, в ряде случаев, закрытую репозицию с устранением подвывиха фрагментов таранной кости без нанесения дополнительной травмы и не нарушая кровообращения поврежденного сегмента, а также обеспечить стабильную фиксацию на период консолидации с необходимой разгрузкой голеностопного сустава. В случаях применения открытой репозиции, последняя осуществляется из малых щадящих оперативных доступов с минимальной травматизацией тканей. В отделении травматологии НИЦТ «ВТО» разработаны методики чрескостного остеосинтеза, способ лечения, а также оригинальные биомеханически обоснованные компоновки аппарата Илизарова, спице-стержневых аппаратов внешней фиксации, позволяющие произвести точную репозицию с устранением всех видов смещений, а также, при необходимости, коррекцию положения отломков с восполнением компрессии по плоскости перелома. Разработанные нами способ лечения и компоновки аппаратов позволяют обеспечить надежную фиксацию на период консолидации костной и срастания мягких тканей. При этом при переломах шейки таранной кости, а также блока с незначительным смещением отломков возможно применение закрытой репозиции аппаратом внешней фиксации. Тяжелые смещенные переломы и переломо-вывихи таранной кости являются показанием к открытой репозиции, чрескостному остеосинтезу.
Чрескостный остеосинтез аппаратами внешней фиксации при переломах шейки таранной кости
Нами разработаны и успешно применяются оригинальная биомеханически обоснованная компоновка аппарата внешней фиксации (Патент РФ на полезную модель №63671), а также способ лечения переломов таранной кости (Патент РФ на изобретение №2356511), позволяющие производить точную репозицию перелома с устранением всех видов смещений и обеспечивать стабильную фиксацию на период консолидации. Разработанная компоновка аппарата состоит из одной или двух кольцевых опор, устанавливаемых на костях голени и замкнутой опоры, которая устанавливается на стопе. Замкнутая опора представляет две полукольцевые или дуговые опоры с кронштейнами, которые соединяются между собой посредством резьбовых стержней с шарнирами. При этом переднее полукольцо опоры устанавливается на костях среднего отдела стопы, а заднее полукольцо - на пяточной кости. Все опоры соединяются между собой резьбовыми стержнями с шарнирами (рисунок).
Схема чрескостного остеосинтеза и компоновка аппарата внешней фиксации при переломах таранной кости
По достижении обезболивающего эффекта производится закрытая ручная репозиция перелома таранной кости с устранением грубых смещений отломков. При этом особое значение мы придаем устранению ротационного смещения переднего отломка таранной кости. С этой целью передний отдел стопы переводится в положение умеренной пронации. Затем в большеберцовую кость, на уровне ее нижней трети, вводят два винта Шанца и проводят спицу, которые закрепляют в кольцевой (или кольцевых) опоре аппарата. Через пяточную кость, перпендикулярно сагиттальной плоскости, проводят две спицы и закрепляют в заднем полукольце замкнутой опоры. Через кости среднего отдела стопы, не нарушая ее поперечного свода, проводятся две перекрещивающиеся спицы, которые закрепляются в переднем полукольце той же опоры. Опоры соединяются между собой резьбовыми стержнями с шарнирами. Перемещением по резьбовым стержням осуществляют дозированную дистракцию, поворотом переднего полукольца замкнутой опоры по шарнирам в направлении пронации переднего отдела стопы производят репозицию перелома таранной кости. При значительных по величине смещениях таранной кости производится открытая репозиция из малых операционных доступов с устранением всех видов смещений под визуальным контролем. По завершении репозиции, изолированно, через каждый отломок таранной кости проводят спицы, которые закрепляют в кронштейнах, установленных на замкнутой опоре. Операция завершается контрольной рентгенограммой голеностопного сустава в двух стандартных проекциях и рентгенограммой стопы в проекции на таранную кость. Срок лечения в аппарате составляет 2,5-3 месяца.
Чрескостный остеосинтез при переломах блока и переломо-вывихах таранной кости
Переломы и переломо-вывихи блока таранной кости относятся к числу наиболее тяжелых и трудно репонируемых переломов костей конечностей. Как правило, при лечении таких переломов открытое вправление фрагмента (фрагментов) блока таранной кости является наиболее оптимальным. Оперативный доступ осуществляется по боковой или передне-боковой поверхности области голеностопного сустава соответственно смещенному фрагменту блока таранной кости. После репозиции и вправления блока последний временно фиксируется короткими спицами. При таких повреждениях применяется разработанная нами компоновка аппарата внешней фиксации (Патент РФ на полезную модель №63671), а также способ лечения переломов таранной кости (Патент РФ на изобретение №2356511).
Компоновка аппарата также состоит из одной или двух кольцевых опор голени и замкнутой опоры стопы, соединенных шарнирно-резьбовыми системами. Введение винтов Шанца и проведение спиц через большеберцовую, пяточную и кости среднего отдела стопы производится по описанной методике. По достижении репозиции с устранением всех видов смещений через отломки таранной кости проводят спицы и закрепляют в замкнутой опоре аппарата. Аппарат переводится в режим стабильной фиксации. Рана закрывается по общехирургическим правилам. Операция завершается контрольной рентгенограммой голеностопного сустава в двух стандартных проекциях и рентгенограммой стопы в проекции на таранную кость. Срок лечения в аппарате составляет 3 месяца.
Ведение пациентов в послеоперационном периоде
После операции чрескостного остеосинтеза необходимость в стационарном лечении составляет, в среднем, до 2-х недель и зависит от типа перелома, характера и тяжести повреждения тканей. Малая травматичность вмешательства, высокая надежность и стабильность фиксации обеспечивают возможность активного ведения пациентов. Больные могут вставать, ходить с помощью костылей с первого дня после операции. При этом сохраняется возможность активных движений в коленном суставе и суставах пальцев стопы. В случаях открытых вмешательств ведение операционной раны осуществляется по общехирургическим правилам.
Рентгеновский контроль голеностопного сустава проводится перед выпиской из стационара и затем 1 раз в месяц с обязательным осмотром пациента в отделении. Вопрос об удалении спиц и винтов, демонтаже и снятии аппарата решается индивидуально, на основании данных клинико-рентгенологического обследования пациентов.
Результаты лечения пациентов с переломами и переломо-вывихами таранной кости и их обсуждение
Проведен анализ лечения 38 пациентов с переломами и переломо-вывихами таранной кости (всего 40 переломов). Пациентов с переломами шейки таранной кости 22 (всего 24 перелома), с переломами блока таранной кости и переломо-вывихами 16. Сроки наблюдений составили от 1 года до 18 лет. Результаты оценивались на основании данных клинико-рентгенологического исследования, а также оценки качества жизни, обусловленного здоровьем.
Применяемая нами комплексная система оценки исходов лечения включала следующие параметры: боль (отсутствие, наличие, степень интенсивности), возможность ходьбы, нагрузки конечности, активность пациента с восстановлением обычного ритма жизни, восстановление трудоспособности, отношение к спорту (что выявлялось на основании данных анамнеза); болезненность при пальпации и выполнении активных и пассивных движений в голеностопном суставе, деформацию, состояние мышц бедра и голени (наличие или отсутствие атрофии), восстановление оси конечности, местные сосудистые расстройства (отсутствие или наличие отеков), результаты измерения движения в голеностопном суставе в градусах, восстановление сводов стопы. При рентгенологическом исследовании оценивались качество репозиции перелома таранной кости, сращение отломков, состояние рентгеновской суставной щели голеностопного и подтаранного суставов, отсутствие или наличие остеопороза. Результаты лечения переломов и переломо-вывихов таранной кости приведены в таблице.
Как следует из данных таблицы, при переломах и переломо-вывихах таранной кости, из 40 случаев повреждений отличные результаты отмечены в 10 (25,0%), хорошие в 16 (40,0%), удовлетворительные в 10 (25,0%), неудовлетворительные - в 4 (10,0%) случаях. При этом из 24 случаев переломов шейки таранной кости, в 8 случаях достигнуты отличные, в 10 случаях - хорошие и в 6 случаях - удовлетворительные исходы; неудовлетворительные исходы лечения не отмечены. Из 16 случаев переломов блока и переломо-вывихов таранной кости, в 2 случаях получены отличные, в 6 - хорошие, в 4 удовлетворительные результаты лечения. В 4 случаях отмечены неудовлетворительные результаты по причине развития тяжелого деформирующего артроза голеностопного сустава и аваскулярного некроза таранной кости, приведших к значительным нарушениям функции нижней конечности, потере работоспособности и значительному снижению активности и привычного ритма жизни. Указанные осложнения вызвали необходимость применения артродезирующих операций с целью восстановления опороспособности конечности.
Артродез подтаранного сустава: реабилитация после операции

Иногда даже самая тщательная репозиция или операция по замещению костной ткани не способна полностью восстановить анатомическое взаимоотношение между пяточной и таранной костью. Как следствие, нарушается опороспособность конечности и стремительно развивается не поддающийся консервативному лечению посттравматический деформирующий артроз. В данной ситуации единственным оптимальным решением становится артродезирование (обездвиживание) суставного сочленения.Для того, чтобы лечебный эффект был максимальным, а негативные последствия — минимальными, требуется последующая реабилитация после операции артродез подтаранного сустава.
Рассказывает специалист ЦМРТ
Дата публикации: 12 Августа 2021 года
Дата проверки: 30 Ноября 2021 года
Содержание статьи
Так ли мне нужна реабилитация?
Артродез подтаранного или голеностопного сустава - достаточно сложная и травматичная операция. Поэтому для ускоренной адаптации и формирования компенсаторных процессов требуется профессиональная реабилитация. В то же время несоблюдение послеоперационного режима или отказ от восстановительных процедур не только существенно увеличивает сроки выздоровления, но и влечет за собой опасные последствия для здоровья.
Возможные осложнения
- некроз близлежащих тканей (краевой раны);
- несращение костных структур
- флеботромбоз
- инфекционное воспаление
- остеомиелит
- мышечная атрофия
- вальгусная деформация заднего отдела стопы
- выраженная хромота
Через сколько можно начинать реабилитацию?
Активизацию пациентов, перенесших артродез подтаранного сустава, рекомендуется начинать со второго дня после операции. Приступать к физическим упражнениям разрешается через 1,5 месяца, давать полную нагрузку на конечность - спустя 2 месяца.
Продолжительность восстановительного периода
Для максимально возможного восстановления после замыкания сустава заднего отдела стопы требуется 6-12 месяцев. В данной ситуации многое зависит от исходного состояния, возраста и регенеративного потенциала пациента. При благоприятном исходе через 7-8 месяцев формируется новый стереотип ходьбы и пропадает хромота.
Когда будут заметны улучшения?
При отсутствии послеоперационных осложнений и выполнении врачебных рекомендаций уже через 2 недели наблюдаются первые положительные изменения функционального статуса и стабилизация состояния.
Цитата от специалиста по реабилитации
Травмы и заболевания опорно-двигательного аппарата могут существенно снизить уровень активности, как в спортивном плане, так и на бытовом уровне. Реабилитация в “Лаборатории движения” направлена на максимально возможное восстановление, компенсацию нарушенных или полностью утраченных функций. Мультидисциплинарный, комплексный, но в то же время индивидуальный подход позволяет сократить сроки восстановления. Специалисты клиники стремятся сформировать ответственное отношение пациента к реабилитационному процессу и своему здоровью.
Основные реабилитационные методики
Для восстановления опороспособности конечности используется поэтапная реабилитационная программа:
- физиотерапевтические процедуры (магнито-, лазеротерапия, ультрафонофорез, холодовое воздействие, импульсные токи и пр.)
- лечебная гимнастика (общеукрепляющие, дыхательные, изометрические упражнения)
- массаж
- кинезиотренинги для восстановления стереотипа движения
- рефлексотерапия
- функциональное ортезирование
- мануальная коррекция
- занятия на тренажерах для пассивной разработки мышц и суставов
- PRP-терапия
Реабилитация после хирургического вмешательства проводится с учетом общего состояния и индивидуальных особенностей пациента.
Операция при переломе лодыжки
Переломы лодыжек являются одной из наиболее частых причин обращения к травматологам-ортопедам.
Когда возможно консервативное лечение перелома лодыжек.
Консервативное лечение методом гипсовой иммобилизации возможно в ситуации изолированных переломов наружной или внутренней лодыжек без смещения костных фрагментов и повреждения связочных структур. Даже в случаях подобных изолированных повреждений сроки иммобилизации не могут быть меньше 6 недель, что в конечном счёте значительно затрудняет реабилитацию и может приводить к более продолжительным срокам нетрудоспособности в сравнении с оперативным лечением. Плюсами консервативного лечения перелома лодыжек являются отсутсвие рисков связанных с самим оперативным вмешательством и наркозом, а также отсутсвие необходимости удалять металлофиксаторы в будущем.
Разнообразие переломов лодыжек.
Итак, подавляющее большинство переломов лодыжек требует оперативного вмешательства, при отсутсвии противопоказаний. Для планирования оперативного вмешательства и понимания взаимоотношений между различными анатомическими структурами в области голеностопного сустава и стопы, которые могут повреждаться при переломах лодыжек, существуют различные классификации. Наиболее широко распространённой в международной практике, подробной, и оценивающей все аспекты как собственно травмы, так и возможных путей её лечения является классификация АО. Вы можете найти её на сайте международной ассоциации остеосинтеза.
К сожалению данная классификация довольно сложная и громосткая, мы не будем приводить её здесь полностью, так как только её треть относящаяся к группе А выглядит примерно так:

Максимально упрощая, можно свести переломы лодыжек к одно\двух\трёх- лодыжечным переломам и их эквивалентам. Консервативное лечение применимо только в случае однолодыжечных переломов. При консеравтином лечении двух- и трёх-лодыжечных переломов и их эквивалентов вторичное смещение практически неизбежно, что приводит в дальнейшем к нарушению взаимоотношений между таранной костью и соответсвующих ей суставных поверхностей большеберцовой и малоберцовой костей, что в свою очередь приводит к неправильному распределению нагрузки, износу суставного хряща и формированию посттравматического артроза с грубым нарушением функции опоры и ходьбы уже в течение 1-2 лет после травмы. Именно это и объясняет возросший за последние 2 десятилетия интерес хирургов-ортопедов к данному виду травмы.
Цели операции при переломе лодыжек.
Главной целью хирургического лечения перелома лодыжек является восстановление нормального взаимоотношения костей в голеностопном суставе. Даже при смещении таранной кости кнаружи на 1 мм площадь её контакта с большеберцовым плато уменьшается на 40%. Получается что при сращении наружной лодыжки с, казалось бы, небольшим смещением в 1 мм кнаружи, на 60 % площади будет приходиться 100 % нагрузки.
Вторым важным моментом является обеспечение условий для сращения перелома за счёт плотного контакта костных фрагментов и их надёжной фиксации, предотвращающей движение отломков между собой.
Третьей целью является уход от иммобилизации. Гипсовая повязка сама по себе способна нанести значительный вред её обладателю за 6 недель, приводя к нарушению питания тканей, атрофии мышц, повышая риски тромбоза глубоких вен нижних конечностей, препятствуя движению в суставе, что в конечном счёте может приводить к его контрактуре. При правильно выполненном остеосинтезе движения в голеностопном суставе разрешаются уже на следующий день после операции. Вы можете посмотреть статью посвящённую операции при переломе лодыжки перейдя по этой ссылке.
Что происходит после того, как вы обратились в клинику с переломом лодыжек.
В нашем центре мы стараемся максимально быстро и эффективно оказывать помощь пациентам с переломами любой локализации, в том числе и с переломами лодыжек. Полное предоперационное обследование и операция выполняются в течение первых 24 часов после обращения. Выписка под наблюдения травматолога поликлиники в большинстве случаев происходит уже на вторые сутки после обращения и операции. При обращении вам выполнят рентгенограммы для подтверждения диагноза, будет наложена транспортная гипсовая иммобилизация. Непосредственно перед операцией с профилактической целью вводятся внутривенно антибиотики. Возможно использование спинномозговой анестезии или эндотрахеального наркоза. С целью снижения стресса от оперативного вмешательства за 10 минут до операции вас погрузят в медикаментозный сон, проснётесь вы также через 10 минут после её окончания. Во время операции ортопедический хирург произведёт открытое сопоставление отломков с их фиксацией пластинами и винтами. После операции вам понадобятся костыли, так как полная нагрузка всё равно не рекомендуется до сращения перелома. На следующий день после операции вам выполнят перевязку, научат как правильно ходить с дополнительной опорой на костыли и какие упражнения делать для разработки движений и укрепления мышц голени, после чего вы можете быть выписаны домой.
Операция при переломе лодыжек.
При переломе лодыжек выполняется оперативное вмешательство называемое: открытая репозиция и внутренняя фиксация, или остеосинтез. Для доступа к сломанной кости выполняются разрезы вне проекции крупных сосудисто нервных пучков.


Сломанная кость обнажается, производится сопоставление костных отломков, временная фиксация при помощи костодержателей, спиц, костных цапок. Далее выполняется остеосинтез при помощи пластин и винтов. Временная фиксация удаляется.

Производится гемостаз, рана послойно ушивается, накладывается асептическая повязка, эластическая компрессия.
Что происходит после операции при переломе лодыжек.
После операции нога должна находится на возвышении, через повязку на область оперативного вмешательства укладывается лёд (лучше всего мягкая резиновая грелка наполненная льдом и холодной водой) на 30 минут каждые 3 часа. Это позволяет уменьшить отёк и боль в зоне вмешательства. После операции вам будут вводиться обезболивающие и противовоспалительные препараты. Вечером в день операции или на следующий день после операции инструктор по лечебной физкультуре обучит вас каким образом надо правильно ходить с дополнительной опорой на костыли и покажет вам упражнения которые надо будет выполнять для сохранения массы и силы мышц голени. Утром на следующий день после операции вам сделают перевязку. После этого вы можете быть выписаны под наблюдение травматолога по месту жистельства. Дома также следует продолжать использовать возвышенное положение конечности и лёд для более быстрого спадения отёка и уменьшения болей. Через 2 недели после операции вам надо будет приехать в клинику для того чтобы снять швы. Через 6 недель производится рентгенконтроль и при наличии признаков консолидации разрешается нагрузка на ногу. Обычно требуется ещё около 2 недель для того чтобы полностью восстановить функцию конечности. На этом этапе очень полезно позаниматься с инструктором по лечебной физкультуре. Форсированные(спортивные) нагрузки на ногу не рекомендуются до 6-12 месяцев после травмы.
Осложнения операции при переломе лодыжек.
Существует ряд осложнений характерных для любого хирургического вмешательства и для любого вида анестезии. Операция при переломе лодыжек не исключение. К ним относятся инфекция, повреждение сосудов и нервов, кровотечение, тромбоз глубоких вен. Их риск не превышает 2 % от общего числа вмешатльств.
Также существуют специфические осложнения. К ним относятся тугоподвижность голеностопного сустава, слабость мышц голени, формирование посттравматического артрозп голеностопного сустава. Эти риски в значительной степени зависят от морфологии перелома, наличия сопутсвующих заболеваний, таких как диабет, аутоимунные заболевания требующие приёма стероидных препаратов, курение.
Нужно ли удалять пластины и винты после операции при переломе лодыжек.
Пластины и винты используемые в современной хирургической практики сделаны или сплава титана или хирургической стали не вызывающих реакции со стороны организма. Их удаление показано в случаях когда они вызывают раздражение мягких тканей за счёт механического их повреждения, в случаях инфекционных осложнений, а также при настойчивом желании пациента. Также зачастую требуется удаление позиционного винта через 6-8 недель при фиксации межберцового синдесмоза. Полное удаление металлофиксаторов при переломе лодыжек рекомендуется не ранее 12 месяцев после операции.
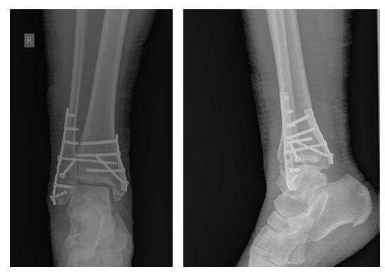
Клинический случай 1. Перелом обеих лодыжек с подвывихом стопы кнаружи.
44 В2-2
Пациентка Т. 80 лет. Травма за 3 недели до обращения, получила перелом обеих лодыжек правой голени со смещением, подвывихом стопы кнаружи. Обратилась в РТП, выполнена рентгенография, наложена гипсовая повязка. В связи с сохраняющимся выраженным отёком и болевым синдромом обратилась в клинику К+31.

На рентгенограммах в гипсе определяется значительный подвывих таранной кости кнаружи, консолидирующийся перелом нижней трети малоберцовой кости.

В день обращения пациентка послоностью обследована, проведено оперативное лечение, открытая репозиция, остеосинтез перелома нижней трети малоберцовой кости пластиной, внутренней лодыжки винтом, внутренняя лодыжка дополнительно фиксирована анкерным фиксатором.

На контрольных рентгенограммах после операции положение отломков, металлофиксаторов правильное, подвывих таранной кости устранён.
Пациентка выписана на 2 сутки после операции на амбулаторное долечивание.
Клинический случай 2. Перелом обеих лодыжек с вывихом стопы кнаружи, кзади.
44 А3-3
Пациентка Л. 50 лет, травма в быту, получила закрытый перелом обеих лодыжек с вывихом стопы кнаружи и кзади. Данный случай интересен значительным повреждением мягких тканей произошедшем при травме и потребовавшем значительных усилий в борьбе с отёком, а также морфологией перелома внутренней лодыжки, сломавшейся одним большим блоком вместе с задним краев большеберцовой кости, что потребовало её фиксации при помощи пластины и винтов.

В связи с выраженным отёком мягких тканей, высоким риском некроза краёв ран и инфекционных осложнений пациентке с целью предоперационной подготовки выполнялись скелетное вытяжение, сосудистая и метаболическая терапия, лимфодренаж, физиотерапия. После спадения отёка, на 3 день после поступления выполнено оперативное вмешательство: открытая репозиция, остеосинтез переломов наружной и внутренней лодыжек пластинами и винтами.

Через 4 дня пациентка выписана на амбулаторное долечивание. Послеоперационные раны зажили первичным натяжением, швы удалены через 14 дней.
Через 6 недель после первичного вмешательства произведено удаление позиционного винта, пациентка приступила к активной разработке движений в голеностопном суставе.
Амплитуда движений через 8 недель после травмы и оперативного вмешательства по поводу этого тяжёлого повреждения близка к полной. Пациентка ходит с полной опорой, не используя костыли или трость, не хромает, боли не беспокоят. Сохраняется умеренный отёк в области голеностопного сустава.
Реабилитация после перелома таранной кости

Среди травматических повреждений стопы особую опасность представляет перелом таранной (надпяточной) кости. Эта сложная анатомическая структура, полностью состоящая из суставных поверхностей, формирует нижнюю часть голеностопного сустава и соединяет между собой передний и задний отделы предплюсны. И даже частичное нарушение её целостности чревато серьезными последствиями в виде посттравматического артроза и ограничения опороспособности и подвижности стопы. Поэтому важнейшим условием полного восстановления является анатомическая репозиция и последующая комплексная реабилитация после перелома таранной кости.
Основной опасностью перелома таранной кости является высокий риск развития поздних осложнений. Неблагоприятные исходы травмы связаны с несоблюдением последовательности лечебных мероприятий и отсутствием своевременной грамотной реабилитации.
- компартмент-синдром (увеличение тканевого давления в фасциальном пространстве)
- несращение костных тканей
- стойкие боли
- посттравматический артрит
- деформирующий артроз подтаранного сустава
- деформация стопы (расширение поперечника пятки, плоскостопие)
- остеонекроз
- существенное ограничение подвижности
При консервативном лечении перелома к восстановительным мероприятиям приступают на следующий день после травмы. Пациентам, перенесшим операцию остеосинтеза, рекомендована ранняя комплексная реабилитация. Она назначается с учетом характера повреждения, тяжести состояния и использованной реконструктивной методики.
Для полного восстановления таранной кости требуется 3-6 месяцев. В особо тяжелых случаях восстановительный период может продлиться до года.
Все зависит от тяжести первичной травмы, индивидуального состояния пациента, мотивации к лечению и соблюдения врачебных рекомендаций.
Для эффективного устранения последствий высокоэнергетической травмы применяется поэтапная восстановительная программа. Она включает следующие процедуры:
- упражнения ЛФК (дыхательные, изометрические, постуральные, идеомоторные)
- физиотерапевтические процедуры (УФО, криотерапия, магнитное, лазерное воздействие)
- массаж
- фармакопунктура
- ортезирование
- кинезиотейпирование
При подборе реабилитационных методик учитывается характер и тяжесть травмы, возраст, физическая активность и общее состояние здоровья пациента.
Уход после операции чрескожной фиксации переломов таранной кости
Перелом таранной кости стопы
Перелом таранной кости стопы
Таранная, или надпяточная, кость является предплюсневой и формирует нижнюю часть голеностопного сустава, соединяясь с большой и малой берцовой костью. В нижней части к таранной кости присоединена пяточная кость, в передней - ладьевидная. Благодаря такому устройству таранная кость равномерно распределяет массу тела человека на всю стопу.
Надпяточная кость достаточно крупная по сравнению с другими костными образованиями предплюсны. Она покрыта хрящевой тканью в гораздо большей степени, чем любая другая кость человеческого скелета - на 60%.
Причины и механизм перелома
Таранная кость состоит из головки, блока и заднего отростка. Головка располагается спереди и соединяется с ладьевидной костью. Блок соединен с латеральной и медиальной лодыжкой. Задний отросток имеет два бугорка, которые разделены сухожилием, отвечающим за сгибание первого пальца стопы. У некоторых людей есть только один бугорок и добавочная таранная кость.
Наиболее часто перелом таранной кости происходит при падении с большой высоты на выпрямленные ноги или в результате автомобильной аварии. Несколько реже такую травму можно получить от прямого удара тупым предметом или на спортивной тренировке.
В очень редких случаях встречается монотравма надпяточной кости, чаще всего она сочетается с переломом кости пятки, а также с различными повреждениями ладьевидной, клиновидной и плюсневой костей.
Чрезмерное разгибание ступни приводит к тому, что ломается шейка таранной кости. При сильном сгибании нижней конечности в голеностопном суставе линия разлома проходит в области заднего отростка. В случае одновременного тыльного сгибания и подворота стопы регистрируется перелом латерального бугорка.
Механизм получения такой травмы, как перелом таранной кости стопы, можно разделить на два основных типа:
- сочетание осевой нагрузки и стремительного тыльного сгибания приводит к чрезмерно тесному контакту шейки таранной и большой берцовой кости, а при развороте ноги таранная кость смещается;
- чрезмерное сгибание ноги в голеностопе способствует ротации кости, которая не выдерживает давления и ломается.
Классификация и симптомы
Перелом таранной кости бывает открытым и закрытым, без смещения и со смещением. Последний может сопровождаться подвывихом в подтаранном суставе, вывихом в таранно-ладьевидном либо голеностопном суставе.
Целостность заднего отростка нарушается в основном у спортсменов, преимущественно футболистов. Травма латерального отростка характерна для скейтбордистов. Особенно опасны компрессионные (оскольчатые) повреждения, поскольку высока вероятность развития тяжелых осложнений.
Таранная кость участвует в образовании сразу нескольких суставов, поэтому визуально определить характер повреждения не представляется возможным. Признаки перелома неспецифичны, для постановки точного диагноза необходимо сделать рентген.
Симптомы после перелома таранной кости варьируются в зависимости от локализации повреждения, но есть и ряд общих признаков:
- резкий болевой синдром в нижней части голени, нарастающий при движениях первого пальца, а также при попытках встать на больную ногу;
- припухлость, чаще всего на тыле стопы;
- увеличение в размерах и изменение конфигурации голеностопного сустава;
- при пальпации возникает характерный хруст костных отломков.
Стоит отметить, что отечность является первым признаком серьезной травмы. Пораженная область опухает, краснеет, иногда приобретает синюшный оттенок. Если причиной перелома был удар тяжелым предметом, то повреждаются кровеносные сосуды. Из-за этого появляются подкожные кровоизлияния, синяки и гематомы. Спустя несколько часов после травмы кожные покровы становятся горячими на ощупь.
При переломе заднего отростка болевой синдром локализуется в зоне ахиллова сухожилия. Болезненность вызывают не только движения, но и любые прикосновения к травмированному участку.
Перелом шейки таранной кости характеризуется выраженным положением подошвенного сгибания, при смещении заметна деформация голеностопного сустава. Краевые переломы считаются наиболее легкой травмой, симптомы которой имеют сходство с обычным ушибом. Поэтому пациенты не всегда обращаются к врачу, и кости срастаются неправильно. В результате формируется застарелый перелом, гораздо сложнее поддающийся лечению.
Больше чем в половине случаев перелом таранной кости сопровождается травмой лодыжки и пяточной кости. Очень редко, но встречается и разрыв синдесмоза, соединяющего мало- и большеберцовую кость.
Отличительной особенностью надпяточной кости является ее недостаточное кровоснабжение, что значительно замедляет восстановительные процессы. Костная ткань недополучает кислород и питание, вследствие чего даже перелом без смещения может осложниться отмиранием клеток.
Возможны и другие негативные последствия:
- стойкий болевой синдром, плохо поддающийся купированию;
- поражения хрящевой ткани, кровеносных сосудов и нервных окончаний;
- нарушение двигательной активности стопы и голеностопа;
- остеомиелит;
- деформирующий артроз;
- асептический некроз.
Асептический, или аваскулярный, некроз возникает при нарушении кровоснабжения головки таранной кости и может быть причиной утраты трудоспособности и инвалидности. Чтобы избежать осложнений, необходимо обязательно обратиться к врачу сразу же после травмы.
Меры первой помощи и диагностика
Неотложная помощь при переломе надпяточной кости осуществляется согласно общим правилам и начинается с обеспечения полной неподвижности пораженной конечности. Любое движение сломанной кости может вызвать болевой шок, потерю сознания и повреждение близлежащих тканей.
Обездвижить конечность можно с помощью шин из подручных материалов. Если это по какой-либо причине невозможно - отсутствует навык подобных манипуляций или мешает страх сделать что-то не так, - нужно усадить пострадавшего так, чтобы голень и пятка лежали на ровной поверхности. Пациент может лежать на кровати с вытянутой ногой или сидеть на одном стуле, а на другой положить ногу.
Любой перелом надпяточной кости требует длительной иммобилизации посредством гипсовой повязки
Только после этого можно снимать обувь и носки (чулки, колготки, гольфы) и при необходимости обрабатывать рану. При открытом переломе возможно кровотечение, которое останавливают при помощи жгута. Затем обрабатывают рану антисептиком и накладывают стерильную повязку.
Сильная потеря крови может иметь весьма серьезные последствия, поэтому остановить кровотечение требуется в первую очередь.
Чтобы снизить болевой синдром, пострадавший может принять анальгетик или средство из группы НПВП (нестероидные противовоспалительные препараты). До приезда медиков к травмированной области прикладывают лед или холодный компресс, держа его по 10 минут с перерывами. Постоянно держать лед на ноге нельзя, чтобы не получить обморожения.
Если есть сомнения, какая именно травма случилась - ушиб, вывих или перелом, то неотложную помощь оказывают, как при переломе. При отсутствии возможности вызова «скорой помощи» больного транспортируют в лечебное учреждение максимально щадящим способом.
Для подтверждения диагноза всем пациентам проводится рентгенологическое исследование в нескольких проекциях. По результатам, которые покажут сделанные снимки, оценивается целостность кости, и составляется лечебный план. При сложных травмах с повреждением суставов и связочного аппарата проводится компьютерная томография или МРТ.
Лечение
Приоритетом для врача является восстановление целостности кости, что достигается с помощью следующих методик:
- иммобилизации конечности;
- закрытой репозиции;
- остеосинтеза.
Перелом без смещения и сильного повреждения кожных покровов лечится консервативным методом. Пациенту накладывается гипс или повязка-сапожок с металлическим супинатором. Конечность при этом должна быть согнута под прямым углом в голеностопе. Гипсовая повязка закрывает область от основания пальцев стопы до начала средней трети голени. Это позволяет обездвижить не только травмированное место, но и близлежащие структуры.
Чтобы избежать отечности, пациенту рекомендуется чаще держать ногу на возвышении. В течение как минимум нескольких дней придется принимать обезболивающие или противовоспалительные лекарства.
Продолжительность иммобилизации обычно составляет около месяца, но срок может быть скорректирован в зависимости от возраста, сопутствующих заболеваний и тяжести перелома. При некоторых системных заболеваниях восстановление костной ткани может замедляться.
Когда срастание кости завершается (что подтверждается рентгеновскими снимками), гипс снимают, и начинается реабилитационный период. Нагрузка на стопу увеличивается постепенно, для ускорения восстановительного процесса назначаются физиопроцедуры и массаж. Общая длительность лечения составляет примерно 3 месяца.
Закрытая репозиция проводится только в случае незначительного смещения костей, под внутрикостной анестезией. Пациент ложится на живот и сгибает ногу в коленном суставе. Врач одной рукой оттягивает пятку, а другой рукой сгибает стопу. По достижении необходимого совмещения костей накладывается гипсовая повязка.
Через 1.5 месяца гипс снимают и накладывают новый на такой же срок. После проведения контрольного рентгена врач составляет план реабилитационных процедур.
Хирургическое лечение
Показаниями к оперативному вмешательству являются следующие:
- открытый и компрессионный (многооскольчатый) перелом;
- сдвиг костей более чем на 1 см;
- переломовывихи и вывихи, не подлежащие вправлению закрытым способом;
- тяжелые повреждения связочного аппарата и мягких тканей.
Операция по сопоставлению костей проводится не позднее, чем через 8 часов после получения травмы. В большинстве случаев применяется остеосинтез, исключение составляют мнгогооскольчатые переломы, когда кость сильно раздроблена, а также начавшийся асептический некроз.
Тогда методом выбора становится артродез, в ходе которого отколовшиеся фрагменты удаляются, а голеностопное сочленение замыкается. Минусом артродезирования является полная неподвижность сустава, однако способность к ходьбе сохраняется.
Открытая репозиция костей может проводиться посредством компрессионно-дистракционного аппарата или методом остеосинтеза. В первом случае для фиксации костей применяются спицы Киршнера, во втором - стягивающие винты или небольшие пластины; после операции накладывается гипс.
Перелом таранной кости - это серьезная, хотя и редкая травма. При подозрении на такое повреждение необходимо обязательно посетить травматолога и сделать рентген. Нужно помнить и о мерах первой помощи, неукоснительное выполнение которых способно предотвратить многие осложнения.
Читайте также:
- Десквамативный глоссит. Срединный ромбовидный глоссит. Волосатый язык.
- Диагностика начальной алкогольной кардиомиопатии. Алкогольный гепатостеатоз
- Эпилептические приступы при дополнительных очагах в коре. Сложные парциальные эпилептические припадки.
- Диагностика менингиомы мостомозжечкового угла и внутреннего слухового прохода по КТ, МРТ
- Показания к досрочному родоразрешению при гестозе. Выбор метода родоразрешения при гестозе.
