Уход после операции при хроническом подвывихе и вывихе малоберцовых сухожилий
Добавил пользователь Дмитрий К. Обновлено: 13.12.2025
Разрыв межберцового синдесмоза встречается в 0,5% случаев повреждений связочного аппарата голеностопного сустава, и в 13% случаев переломов лодыжек. Как и многие другие виды повреждений связочного аппарата, часто пропускается на этапе первичного оказания медицинской помощи. При несвоевременном и неграмотном лечении приводит к формированию хронической нестабильности голеностопного сустава, остеохондральным повреждениям таранной и большеберцовой кости, быстрому формированию выраженного деформирующего артроза голеностопного сустава. Разрыв синдесмоза часто сопровождает переломы лодыжек тип В и С по Веберу, повреждение сухожилий малоберцовых мышц, перелом основания 5-й плюсневой кости, перелом переднего отростка пяточной кости, перелом наружного и заднего отростков таранной кости.
Механизм разрыва межберцового синдесмоза.
Разрыв межберцового синдесмоза чаще всего происходит при избыточной наружной ротации и дорсифлексии стопы. Возможны и другие механизмы, но их вклад в общую картину повреждения намного менее значителен.

Чаще всего данный механизм встречается в таких видах спорта как регби, футбол, американский футбол, баскетбол, волейбол, лёгкая атлетика (прыжки). У не-спортсменов повреждение чаще бывает ассоциировано с переломом лодыжек.
Анатомия межберцового синдесмоза.
Дистальный межберцовый синдесмоз состоит из следующих анатомических структур:
Передне-нижней большеберцово-малоберцовой связки. Она соединяет передне-наружный бугорок большеберцовой кости (бугорок Chaput’s) и передний бугорок малоберцовой кости (бугорок Wagstaffe’s). Задне-нижняя большеберцово-малоберцовая связка соединяет задний бугорок большеберцовой кости (бугорок Volkmann’s) и заднюю поверхность наружной лодыжки. Является наиболее мощным компонентом межберцового синдесмоза.

Помимо этих, расположенных кпереди и кзади от берцовых костей структур, непосредственно между ними находятся: поперечная большеберцово-малоберцовая связка, межкостная мембрана, межкостная связка и нижняя поперечная связка.

Основной биомеханической функцией синдесмоза является сопротивление силам осевой нагрузки, ротации и наружной трансляции таранной кости. Межберцовый синдесмоз обладает определённой степенью эластичности, во время нормальной ходьбы межберцовая щель может расширяться до 1 мм. Дельтовидная связка является опосредованным стабилизатором межберцового синдесмоза.
Симптомы разрыва межберцового синдесмоза.
-боль по передне-наружной поверхности голеностопного сустава
-боль в проекции дельтовидной связки (к низу от верхушки внутренней лодыжки)
-боль при осевой нагрузке
При осмотре необходимо пропальпировать все анатомические компоненты синдесмоза, боль в любом из них свидетельствует о его повреждении. Тест на сжатие (тест Hopkin’s) сжатие берцовых костей на уровне середины голени вызывает боль в проекции синдесмоза. Тест на наружную ротацию (боль в области синдесмоза при тыльном сгибании и наружной ротации стопы) при сгибании в коленном и тазобедренном суставе 90°. Тест Cotton’s - латеральная трансляция малоберцовой кости при выполнении переднего и заднего «выдвижного ящика» для голеностопного сустава вызывает боль в проекции синдесмоза. При длительном периоде времени прошедшем с момента повреждения, функциональные тесты становятся менее информативны.
Диагностика разрыва межберцового синдесмоза.
Помимо тщательного сбора анамнеза, осмотра и функциональных тестов, важную роль в диагностике повреждений межберцового синдесмоза играют инструментальные методы. В первую очередь выполняются рентгенограммы в прямой и боковой проекции голени на протяжении, для исключения высоких переломов лодыжек.

Вторым важным моментом является выполнение снимков с выведением межберцового «паза» (проекция Mortise, 15-20° внутренней ротации голени).

Её информативность значительно возрастает при выполнении рентгенограмм с нагрузкой и одновременно обеих нижних конечностей. Помимо «пазовой» рентгенограммы в диагностически неоднозначных случаях выполняют стресс-рентгенограммы с наружной ротацией.

Признаками, указывающими на разрыв межберцового синдесмоза служат:
-сниженное взаимное перекрытие берцовых костей, в норме >6 мм на передней и >1 мм на «пазовой» рентгенограммах.
-увеличенное медиальное чистое пространство >4 мм.
-увеличенное большеберцово-малоберцовой чистое пространство, в норме

При подозрительной на разрыв межберцового синдесмоза клинической картине и отрицательных результатах рентгенографии рекомендуется выполнение КТ или МРТ. Они позволяют выявить частичные повреждения. Также их роль неоценима в оценке качества устранения межберцового диастаза после операции.

Лечение разрывов межберцового синдесмоза.
В случае отсутствия диастаза при рентгенографии и клинически не выраженной нестабильности можно использовать консервативный метод лечения - иммобилизация в U-образной лонгете и ходьба с костылями без нагрузки 3 недели с момента травмы с последующей ходьбой в ортезе ограничивающем наружную ротацию стопы.
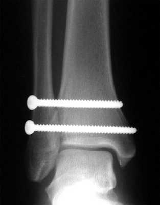
В подавляющем большинстве случаев возникает необходимость в оперативном лечении. Классическая методика заключается в фиксации синдесмоза позиционными винтами. Для этой цели подойдут 3,5 или 4,5 мм синдесмозные винты проведённые через 3 или 4 кортикальных слоя на 2-5 см выше дистального плато большеберцовой кости.

Установку винтов лучше производить в положении тыльного сгибания стопы, что позволяет предотвратить «перезатягивание». В послеоперационном периоде потребуется 6-12 недель ходьбы с костылями без нагрузки на оперированную конечность, с последующим удалением винтов.
Альтернативным вариантом является установка «пуговчатых» фиксаторов с использованием аутотрансплантатов или синтетических связок.

К плюсам данного метода относится возможность более ранней осевой нагрузки и отсутствие необходимости в удалении фиксаторов.
В случаях когда фиксация синдесмоза выполняется по поводу переломов лодыжек типа С по Веберу существует высокая вероятность (10%) формирования межберцового синостоза.
Если вы - пациент, и предполагаете, что у вас или ваших близких может быть разрыв межберцового синдесмоза и вы хотите получить высококвалифицированную медицинскую помощь, вы можете обратиться к сотрудникам центра хирургии стопы и голеностопного сустава.
Клинический пример лечения разрыва дистального межберцового синдесмоза в нашей клинике.
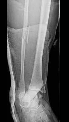
Пациент Д.27 лет, травма в результате неудачного приземления после прыжка старзанки на мелководье. Стопа ушла кнаружи относительно фиксированной голени. Произошёл перелом малоберцовой кости в средней трети с разрывом всех компонентов дистального межберцового синдесмоза и отрывной перелом внутренней лодыжки.

Данный тип переломов лодыжек считается очень тяжёлым и относится к категории 44С2 по классификации Ассоциации Остеосинтеза. Казалось бы, сломаны всего 2 кости, да и переломы по своей морфологии не особо и тяжёлые, почему же данный тип переломов лодыжек считается крайне тяжёлым?
Всё дело в повреждении мягких тканей, прежде всего разрыве всех 4 компонентов дистального межберцового синдесмоза - передней и задней нижних межберцовых связок, межкостной связки и межкостной мембраны. Вместе с отрывом медиальной лодыжки всё это делает перелом абсолютно нестабильным и требует операции в 100% случаев.

Добавить к этому значительное повреждение всех остальных мягких тканей - разрыв суставной капсулы, повреждение лимфатических и венозных сосудов, получаем выраженный отёк, накладывающий свой отпечаток, как на инфекционные риски, так и на заживление тканей в послеоперационном периоде.

Стопа при этом становится похожа на подушку, нередко в этом периоде (от 6 часов до 7 суток от травмы) из за выраженного отёка эпидермис может отслаиваться с формированием фликтен. Если это произошло, оптимальной тактикой может быть временный переход на аппарат внешней фиксации - в котором смещение таранной кости устраняется, а операцию сделать отсроченно после спадения отёка через 7-14 дней.
Целью операции является, прежде всего, восстановление нормальных взаимоотношений в голеностопном суставе. Если при обычном переломе лодыжек операция начинается с остеосинтеза латеральной лодыжки, то в данном случае лучше начинать, наоборот, с медиальной лодыжки, или с перелома заднего края (если он сломан и возможно выполнить его остеосинтез).
Это связано с тем что дистальный участок малоберцовой кости абсолютно нестабильный в вырезке большеберцовой кости, и поймать его правильную позицию не стабилизровав внутреннюю или заднюю лодыжку технически крайне затруднительно.
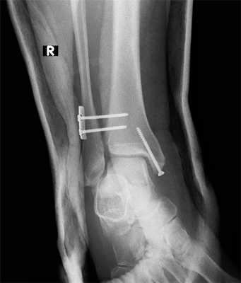
Собственно фиксация дистального межберцового синдесмоза возможна как при помощи винтов, так и при помощи пуговчатых фиксаторов. Фиксацию лучше выполнять через небольшой кусок 1\3 трубчатой пластины, чтобы распределить нагрузку на большую площадь. В противном случае существует риск последующего перелома малоберовой кости по винту, так как он будет концентрировать на себе всю нагрузку.
В случае если фиксация производится винтом или винтами, лучше использовать трёхкортикальный метод, так как он обеспечивает менее жёсткую фиксацию, и позволяет малоберцовой кости её нормальные физиологические движения в вырезке. Четырёхкортикальные винты блокируют малоберцовую кость более жёстко. И препятствуют тыльному сгибанию стопы. После начала нагрузки четырёхкортикальные винты часто ломаютя, по той же причине.
В послеоперационном периоде целесообразно «подстраховать» фиксацию первые 2 недели гипсовой лонгетной повязкой. А после снятия послеоперационных швов - циркулярной повязкой ещё на 4 недели. В повязке допустима дозированная нагрузка - весом конечности.

Во время операции необходимо произвести ревизию межберцовой щели из того же латерального доступа. Это необходимо: во-первых для контроля адекватного устранения смещения, во-вторых, для устранения интерпозиции связок образующих ДМБС и небольших костных фрагментов в малоберцовой вырезке, в-третьих для предупреждения мальпозиции малоберцовой кости при наложении костной цапки и при установке синдесмозных винтов.
Крайне важно контролировать позицию малоберцовой кости и на истинном боковом снимке, так как наиболее частой ошибкой является её трансляция кпереди при установке костной цапки.
При соблюдении всех вышеперечисленных нюансов, возможно адекватное устранение подвывиха, и возвращение малоберцовой кости в нормальную анатомическую позицию, что в конечном счёте обеспечивает максимально возможное восстановление функции.

Никифоров Дмитрий Александрович
Хирургия стопы и голеностопного сустава, коррекция деформаций конечностей, эндопротезирование суставов, артроскопическая хирургия, спортивная травма.
Подвывих сухожилий малоберцовых мышц
Подвывих или вывих малоберцовых сухожилий (англ. peroneal tendon subluxation) - это расстройство, связанное с удлинением, разрывом или отрывом верхнего удерживателя сухожилий малоберцовых мышц (ВУСММ) [1]. Также может быть подвывих сухожилий с неповрежденным ВУСММ (внутрикапусльный подвывих) [2].
Клинически значимая анатомия
Короткая и длинная малоберцовые мышцы содержатся в ретромалеолярной борозде на малоберцовой кости. Глубина борозды изменчива и, как было отмечено, отсутствует или выпуклая [3]. Сухожилия стабилизируются ВУСММ. Он образуется за счет утолщения поверхностного апоневроза. Иногда виден небольшой волокнистый гребень, исходящий из дистальной части малоберцовой кости, близкой к началу ВУСММ, и увеличивающий глубину малоберцовой борозды. Дистальнее малоберцовой кости находится нижний удерживатель сухожилий малоберцовых мышц, который покрывает сухожилия примерно на 2-3 см дистальнее кончика малоберцовой кости [4].
Эпидемиология / этиология
Наиболее распространенным механизмом является сила дорсифлексии на лодыжке, связанная с быстрым и сильным сокращением малоберцовых сухожилий и эверсией задней части стопы. Сухожилия длинной и короткой малоберцовых мышц подвывихиваются или вывихиваются из латеральной ретромалеолярной борозды. Это происходит в результате разрыва или отрыва или значительной слабости ВУСММ. Некоторые пациенты имеют более хроническое течение и не могут вспомнить травматический эпизод. Также сообщается о врожденных факторах, например, борозда или гребень, который помогает углубить борозду, могут быть слишком мелкими или даже отсутствовать, или ВУСММ может быть слишком рыхлым [5]. Помимо врожденных факторов, наиболее распространенным механизмом является сила дорсифлексии на лодыжке, связанная с сопутствующим сильным сокращением малоберцовых сухожилий в сочетании с эверсией задней части стопы [5].
Подвывих малоберцового сухожилия обычно встречается при катании на лыжах, но также сообщалось и о случаях в других видах спорта [1][6].
Характеристики / клиническая картина
Существует три степени классификации острого малоберцового подвывиха [7][3][8]
- Степень I: Удерживатель, который сливается с надкостницей на малоберцовой кости, отделяется от малоберцовой кости, что приводит к вывиху сухожилий.
- Степень II: Фиброзно-хрящевой гребень и ВУСММ отделяются от задней части малоберцовой кости.
- Степень III: Костный отрыв заднелатеральной части малоберцовой кости, содержащий хрящевой ободок и кусочек кости, позволяющий сухожилию скользить под надкостницей.
Позже Оден описал четвертую степень:
IV степень: ВУСММ, поднятый из пяточной кости
- Ощущение хлопков или щелчков по внешнему краю лодыжки
- Сухожилия соскальзывают с места вдоль нижнего кончика малоберцовой кости
- Боль, припухлость или болезненность ниже/позади латеральной лодыжки
- Болезненное сопротивление эверсии лодыжки
- Нестабильная лодыжка [1]
Дифференциальный диагноз
- Растяжение связок лодыжки
- Малоберцовая тендинопатия
Обследование
Острый подвывих малоберцовой кости часто трудно оценить клинически. Обычно наблюдается отек, экхимоз и точечная болезненность в том же распределении, что и в случае вывихнутой лодыжки, что затрудняет диагностику[5].
В хронических ситуациях пациенты часто жалуются на болезненный механизм лебедки и, как правило, могут воспроизвести вывих путем активного сгибания-выворачивания стопы[5]. В большинстве случаев исследователь может пальпировать и даже визуализировать сухожилие малоберцовой кости, обрывающееся вокруг заднего края боковой лодыжки. Эти клинические результаты могут быть улучшены за счет применения небольшого сопротивления изгибу-вывороту спины.
Лечение
У младенцев и новорожденных консервативное лечение подвывиха малоберцового сухожилия является правилом, и спонтанное разрешение чрезвычайно велико [5][9]. У взрослых лечение можно разделить на неоперативное и оперативное при рассмотрении острых или хронических повреждений [5]. Когда диагностируется острый подвывих, пациенту может быть рекомендовано неоперативное лечение [7][3]. Если консервативное лечение не помогло или имеется хронический подвывих, вероятно, потребуется хирургическое лечение [7]. Раннее лечение имеет решающее значение, так как сухожилие, которое продолжает сокращаться (смещаться из положения), с большей вероятностью может надорваться или разорваться [10].
Консервативное
В частности, неоперативное лечение показано при травмах I и, возможно, III степени, в зависимости от степени смещения кортикального фрагмента [7]. Консервативное лечение связано с минимальными рисками, но также и с высокой частотой неудач [5].
Неоперативное лечение заключается в наложении гипсовой повязки без нагрузки в течение 4-6 недель [7]. Это консервативное лечение направлено на то, чтобы позволить ВУСММ повторно прикрепиться к заднелатеральному аспекту малоберцовой кости [5].
Консервативные попытки могут также включать адгезивную обвязку лентой для ограничения подвывиха, J-образные ленты, которые закрепляются спереди малоберцовой кости и обертываются латерально и сзади, чтобы удерживать сухожилия на месте и не нагружать их в течение 4-6 недель. Если стопа остается относительно стабильной, а лента ограничивает движение сухожилия, образование рубцовой ткани может позволить лечить сухожилие без хирургического вмешательства [11].
Хирургическое
Меньше споров существует в отношении лечения хронических поражений, поскольку хирургическое лечение подвывиха малоберцового сухожилия в большинстве случаев дает хорошие результаты [5].
Хирургические варианты [7][12]:
- Процедура костного блока
- Повторное прикрепление ВУСММ с локальным увеличением ткани
- Усиление ВУСММ с локальным переносом тканей
- Перенаправление сухожилий за пяточно-малоберцовой связкой [13]
- Процедуры углубления борозды
Хирургический подход может отличаться в зависимости от степени травмы [4].
Физиотерапия после операции
За исключением мер предосторожности при движении, реабилитация может протекать во многом так же, как при хроническом растяжении связок голеностопного сустава. Однако реабилитация после операции, вероятно, займет больше времени, чтобы полностью восстановить движение, силу и функции [12].
После операции голеностопный сустав поддерживается в течение 4 недель в гипсе без нагрузки, а затем 2 недели в гипсе с нагрузкой. Во время иммобилизации наряду с укреплением проксимальных мышц выполняется тренировка сердечно-сосудистой системы [12].
Первые несколько физиотерапевтических процедур предназначены для того, чтобы помочь контролировать боль и отек после операции. Можно использовать процедуры со льдом и электростимуляцией. Терапевт может также использовать массаж и другие практические процедуры, чтобы облегчить мышечный спазм и боль. Мобилизация мягких тканей вокруг места рубца может быть использована для увеличения подвижности мягких тканей [11].
Процедуры также используются для улучшения диапазона движений голеностопного сустава за счет постепенного сопротивления и физических упражнений без чрезмерной нагрузки на область [12]. Активная и сопротивлением дорсифлексия и эверсия предотвращаются на ранней стадии реабилитации, чтобы уменьшить нагрузку на ВУСММ (примерно от 6 до 8 недель [11]).
Упражнения по таранной мобилизации и активной дорсифлексии и эверсии начинаются, когда пациент может переносить вес на ногу без боли [11].
Прогрессирование упражнений на сопротивление, проприоцепцию и ловкость начинается, когда пациент может переносить вес на ногу без боли и без брейса. По мере улучшения силы и проприоцепции пациент может прогрессировать с помощью плиометрических и функциональных упражнений, которые приводят к возвращению в спорт [11].
Сухожилия малоберцовых мышц
Повреждения сухожилий малоберцовых мышц - довольно редкий диагноз. Реальную частоту встречаемости установить проблематично, учитывая невысокую осведомлённость о ней как пациентов так и собственно травматологов, диагностические трудности, отсутствие диагностического и лечебного протокола. Вывихивание сухожилий малоберцовых мышц из-за наружной лодыжки кпереди наиболее часто встречается в среде молодых, спортивных пациентов, однако не исключено и у более старшей возрастной группы при наличии нестабильности в голеностопном суставе.
Механизм повреждения сухожилий малоберцовых мышц.
-быстрое тыльное сгибание подвёрнутой кнутри стопы.
-резкое сокращение короткой и длинной малоберцовых мышц
Вывих сухожилия приводит к его травматизации о продольно расположенный по задней поверхности малоберцовой кости гребень, что, в конце концов, приводит к его продольному расщеплению по ходу волокон и распластыванию. Встречаются случаи поперечного разрыва, но они намного более редкие. Сухожилия большеберцовой и малоберцовой мышц расположены в одном общем синовиальном влагалище, которое разделяется только на уровне наружной лодыжки.

Анатомия сухожилий малоберцовых мышц.
Сухожилие длинной малоберцовой мышцы располагается кзади от сухожилия короткой. Онипроходят в одном фиброзно-хрящевом канале, глубиной всего около 5 мм, отграниченные по задней поверхности верхним удерживателем малоберцовых мышц.


Классификация повреждений верхнего удерживателя сухожилий малоберцовых мышц Ogden.
1 степень - удерживатель частично отслоён от малоберцовой кости что приводит к подвывиху малоберцовых сухожилий
2 степень - удерживатель отделён от фиброзно- хрящевого гребня, что приводит к ущемлению сухожилий между гребнем и удерживателем
3 степень - отрыв фиброзно-хрящевого гребня вместе с надкостницей или кортикальной пластинкой, что приводит к подвывиху сухожилий между костью и оторванным фрагментом
4 степень - удерживатель оторван от пяточной кости, сухожилия вывихиваются под кожу.
Симптомы повреждения сухожилий малоберцовых мышц.
Пациенты часто описывают травму как внезапное резкое тыльное сгибание стопы, при этом часто они чувствуют треск или щелчок в области наружной лодыжки.
Пациенты жалуются на щелчки, треск, ощущение нестабильности и боли по наружной поверхности голеностопного сустава.
При осмотре в случае острой травмы определяется отёк по задней поверхности наружной лодыжки, боль при пальпации сухожилий малоберцовых мышц, при напряжении мышц можно увидеть подвывих сухожилий. При пассивном тыльном сгибании у больного появляется ощущение подвывиха и нестабильности, иногда удаётся пропальпировать вывихиваемое сухожилие.
В диагностике важную роль играет сонография и МРТ, часто при обследовании выявляются такие аномалии как 4-я малоберцовая мышца, низко-расположенное брюшко короткой малоберцовой мышцы.
Лечение повреждений сухожилий малоберцовых мышц.
В среде непрофессиональных спортсменов возможно консервативное лечение. Накладывается циркулярная гипсовая повязка стопа-голень в нейтральном положении, ходьба с дополнительной опорой на костыли сроком на 6 недель. Результат консервативного лечения хороший в 50% случаев. Но для среднестатистического человека, не спортсмена, данного результата может быть вполне достаточно.
В среде профессиональных спортсменов рекомендуется хирургическое лечение.
В случае острой травмы выполняется восстановление целостности удерживателя сухожилий. При застарелых, хронических повреждениях - углубление борозды на задней поверхности малоберцовой кости. Также может быть выполнено замещение удерживателя сухожилий трансплантатом из сухожилия подошвенной мышцы, углубление борозды за счёт пересадк костного блока\остеотомии.
В ряде случаев имеет место так называемое Split повреждение, продольное расслоение сухожилия короткой малоберцовой мышцы. При этом разрыва удерживателя не происходит, так же как и вывиха сухожилий из борозды. Уплощение и распластывание сухожилия можно выявить при МРТ, клиника при данной патологии схожа с клиникой при вывихе малоберцовых сухожилий. Консервативное лечение малоэффективно. Рекомендовано оперативное лечение: в случае острых повреждений тубуляризация сухожилия, в случае хронических повреждений - дебридмент и тенодез проксимальной и дистальной частей с сухожилием длинной малоберцовой мышцы. Также возможно использование ауто или алло-трансплантата.
Помимо вывихов\поперечных и продольных разрывов, повреждение сухожилий малоберцовых мышц может проявляться в виде явлений тендинита и тендиноза. Провоцирующим фактором обычно выступает функциональная перегрузка. Определяется отёк, болезненность в проекции сухожилий малоберцовых мышц, нарушение походки, боль усиливается при ходьбе.

Повреждение может быть на различных уровнях, как проксимальные - выше уровня наружной лодыжки, так и на уровне малоберцового бугорка пяточной кости, нижнего удерживателя малоберцовых мышц, и места прикрепления.

Лечение зависит как от локализации так и от характера повреждения. На ранних стадиях возможно применение консервативных методов. Хронический теносиновит приводит к набуханию, утолщению сухожилия, оно ущемляется в своём канале, что провоцирует дальнейшее ухудшение состояния. В зависимости от того на каком уровне происходит ущемление сухожилия может потребоваться его релиз на уровне верхнего\нижнего удерживателей, остеотомия малоберцового бугорка пяточной кости, удаление дегенеративно-изменённых участков сухожилия с возможной ауто или алло-пластикой.
О вывихах малоберцовых сухожилий
Представлено клиническое наблюдение пациента с посттравматическим деформирующим артрозом подтаранного сустава вследствие перелома пяточной кости, у которого в ходе предоперационного обследования был выявлен закрытый застарелый вывих малоберцовых сухожилий левой стопы. Обоснована необходимость тщательного обследования пациентов с повреждениями заднего отдела стопы и целесообразность выполнения вмешательств не только на костных, но и на мягкотканных структурах, предусматривающих возвращение малоберцовых сухожилий в анатомическое ложе.
Ключевые слова
Полный текст
Вывихи малоберцовых сухожилий в отечественной литературе освещаются нечасто [1]. Согласно данным зарубежных исследователей 4, они возникают преимущественно у спортсменов и людей физического труда. Однако существует еще одна категория пациентов - люди, перенесшие высокоэнергетические повреждения (пострадавшие в дорожно-транспортных происшествиях или при падении с высоты (кататравма)), у части из которых наряду с переломами одной или обеих пяточных костей встречаются и вывихи малоберцовых сухожилий. Описания подобных клинических наблюдений у отечественных ортопедов-травматологов мы не встретили. Указанная травма проходит незамеченной, под флагом манифестирующей основной травмы. Для большинства специалистов, как и для нас в период набора опыта, эта ситуация является случайной находкой при выполнении операций подтаранного артродеза. Сейчас мы выявляем эту патологию пальпаторно при первичном осмотре; подтвердить диагноз можно данными УЗИ (рис. 1). В период с 2010 по 2015 г. нами было проведено 72 подтаранных артродеза у пациентов с последствиями переломов пяточной кости со смещением отломков и клиникой посттравматического деформирующего артроза подтаранного сустава. Среди них вывихи малоберцовых сухожилий встретились у 7 больных. Считаем целесообразным привести одно из наших клинических наблюдений в связи с увеличивающимся интересом ортопедов к хирургии стопы и ростом числа выполняемых подтаранных артродезов 2. П а ц и е н т К., 30 лет. 17.10.12 получил кататравму в результате падения с высоты 6-го этажа. Первая помощь оказана в больнице г. Горячий Ключ. В Краснодаре произведена закрытая ручная репозиция правой пяточной кости, фиксация перелома винтами. Послеоперационный период протекал с осложнениями (локальное нагноение), потребовавшими удаления конструкции. Дальнейшее лечение консервативное: антибиотики, задние гипсовые лонгеты на обе стопы и голени, перевязки. Вставать на ноги начал через 4 мес после травмы. В июне 2013 г. направлен на консультацию в ЦИТО. Диагноз: консолидированные переломы обеих пяточных костей со смещением отломков, посттравматический деформирующий артроз обоих подтаранных суставов, болевой синдром больше справа (рис. 2, 3). Первым этапом в ЦИТО в июне 2013 г. был выполнен подтаранный артродез справа с фиксацией канюлированными винтами. В 2014 г. поступил для второго этапа лечения. Местный статус: кожные покровы обеих стоп и голеней слегка цианотичны, на правой стопе по наружному краю имеется послеоперационный рубец. При осмотре левой стопы в ходе выполнения тыльной флексии визуально и пальпаторно определялось смещение малоберцовых сухожилий подкожно на наружную лодыжку, на основании чего диагноз был дополнен: подтаранный анкилоз справа, посттравматический деформирующий артроз подтаранного сустава слева, закрытый застарелый вывих малоберцовых сухожилий левой стопы (рис. 4). 20.10.14 выполнена операция на левой стопе: подтаранный артродез с костной аутопластикой, вправление малоберцовых сухожилий. Техника операции. Произведен дугообразный разрез, огибающий наружную лодыжку, с выделением дистального отдела малоберцового нерва, проведением его мобилизации и блока раствором анестетика. Остро и тупо разъединены мягкие ткани. Отсечена в сагиттальной плоскости наружная часть «грушевидного» выпячивания смещенных отломков пяточной кости. Вскрыта и мобилизирована зона подтаранного сустава, резецированы суставные поверхности таранной и пяточной костей. Выполнены забор аутотрансплантата из подвздошного гребня, моделирование его с последующим позиционированием в зоне артродеза. Временная фиксация спицами, ЭОП-контроль, введение винтов. После завершения артродеза подтаранного сустава проведена ревизия и мобилизация малоберцовых сухожилий. Вывихнутые сухожилия находились в составе проксимального лоскута в рубцовом новообразованном сухожильном «псевдовлагалище» на наружной лодыжке (рис. 5, а). После его вскрытия (рис. 5, б) сухожилия были выделены. Для их фиксации мы использовали технику, подобную Azar [2]. Сформирован канал, огибающий сзади и снизу наружную лодыжку, создан поднадкостнично-рубцовый лоскут, сухожилия вправлены. Лоскут, играющий роль части удерживателя сухожилий сгибателей, чреcкостно фиксирован к наружной кортикальной стенке пяточной кости (рис. 5, в; рис. 6). Спицы удалены, рана отмыта и дренирована, послойно ушита. Заживление раны первичное. Мы считаем, что хирурги, проводящие подтаранный артродез, должны выполнять и операцию вправления малоберцовых сухожилий с их фиксацией во вновь сформированный анатомически схожий канал. В результате восстанавливается натяжение сухожилий, возвращенных в их анатомическое ложе - «под» и «за» наружную лодыжку, которая представляет собой блок, и, соответственно, восстанавливается тонус короткой и длинной малоберцовых мышц, что обеспечивает поддержание сводов стопы. Это, на наш взгляд, является и формообразующим элементом, и играет важную роль в восстановлении биобаланса сил, способствующих компенсации посттравматического плоскостопия. На это же направлено и низведение пяточного бугра при расклинивающем подтаранном артродезе с костной алло- или аутопластикой. Опускание точки прикрепления пяточного сухожилия вместе с костным фрагментом способствует восстановлению тонуса трехглавой мышцы голени (m. triceps sure). Формирующийся в результате этой операции костный анкилоз зоны подтаранного сочленения - один из факторов, обусловливающих исчезновение посттравматического болевого синдрома. Заключение. Представленное клиническое наблюдение демонстрирует, что пациенты, перенесшие перелом пяточной кости, подлежат тщательному обследованию. При предоперационном планировании следует учитывать клинические проявления и данные методов лучевой диагностики (УЗИ, МРТ). Наш опыт показывает, что частота вывихов малоберцовых сухожилий среди пациентов с переломом пяточной кости может достигать 10%, поэтому реконструкция у них должна проводиться в полном объеме с использованием костных и мягкотканных хирургических методик.
Реабилитация после разрыва сухожилия
Разрывы сухожилий часто диагностируются при различных механических нагрузках и активных занятиях спортом.
Виды разрыва сухожилий
Медицинская реабилитация - это лечение пациентов с различными повреждениями сухожилий после проведения оперативного вмешательства. Весь восстановительный период условно разделяют на следующие этапы:
- иммобилизация,
- восстановление работы прооперированной конечности,
- возвращение пациента к полноценной жизни.
Чаще всего у спортсменов выявляют разрыв ахиллова сухожилия, но повышенные нагрузки могут становиться причиной повреждений и других связок. Нередко такая патология развивается при постоянных перегрузках, которые вызывают нарушение трофики и соединительной ткани.

В теле человека имеется множество сухожилий, и каждое из них в любой момент может разорваться при повышенной нагрузке на организм. Преимущественно повреждается ахиллово сухожилие, поскольку именно на него приходится основная физическая нагрузка. Кроме этого, могут диагностироваться повреждения и разрывы следующих видов сухожилий:
- четырехглавой мышцы бедра;
- сгибателей и разгибателей фаланг;
- двуглавой мышцы плеча;
- надостных и подкостных сухожилий.
Важно: выбор тех или иных реабилитационных мероприятий зависит от того, какое сухожилие было повреждено, и индивидуальных особенностей организма пациента.
Назначение ЛФК после разрыва сухожилий
Уже спустя сутки после проведения хирургического вмешательства пациенту подбирается комплекс лечебной физкультуры, которую можно делать в палате, и назначается ходьба.
После восстановления нормальной температуры тела и общего состояния пациента подбираются активные упражнения для мышц ног, туловища и здоровой руки. Благодаря им удается поддержать и сохранить общую тренированность человека при условии нормального процесса регенерации ткани сухожилий.
Со временем ЛФК расширяется и добавляется легкий бег и ходьба, силовые упражнения для мышц ног и на тренажерах.
Основной задачей первого периода реабилитации после разрыва сухожилия считается борьба с застойными явлениями в пальцах и кисти.
Второй этап начинается после снятия повязки с прооперированной конечности. Главной целью становится организация благоприятных условий для работы суставов поврежденных конечностей. Это обозначает, что необходимо исключить любые перегрузки и свести к минимуму риск возникновения повторной травмы.
Сразу после снятия гипса подбираются упражнения для локтевого сустава, занятия в воде и качательные движения на косынке. После исчезновения болевого синдрома методика проведения ЛФК полностью меняется. Постепенно увеличивается сила и повышается мышечный тонус одновременно с изменением амплитуды движения в плечевом и локтевом суставе.
Разрыв сухожилия бицепса
Медицинская реабилитация после разрыва дистального сухожилия бицепса включает проведение упражнений для мышц плечевого пояса и поврежденного плеча, требующих определенной силовой нагрузки. Параллельно подбирается комплекс упражнений общетонизирующего действия для мышц ног, туловища и здоровой конечности. Активно применяются специальные тренажеры, дозированный бег, ходьба и попуприседы с отягощением.
Медицинская реабилитация заканчивается восстановлением работы поврежденной конечности, нормализацией тонуса и объема мышечной массы.
Описание комплексов упражнений
При составлении комплекса упражнений при разрыве сухожилий разгибателей пальцев можно воспользоваться следующими движениями:
- можно активно разгибать пальцы с фиксацией в вышележащих межфаланговых и пястно-фаланговых суставах;
- следует вращать деревянный цилиндр пальцами от себя;
- необходимо заставить двигаться пробковый шарик, располагающийся над столом, и сделать это следует разгибательными движениями ногтевой фаланги пальца;
- следует попытаться обхватить цилиндр большого диаметра, пытаясь при этом максимально развести пальцы в стороны;
- нужно попеременно и одновременно поднимать пальцы от поверхности стола;
- можно разгибать палец с незначительным противодействием;
- необходимо по плоскости стола откатывать разогнутыми пальцами палку.
Лучше всего одновременно выполнять упражнения ЛФК с активными движениями, которые следует делать в теплой воде.
При разрыве ахиллова сухожилия на начальной стадии реабилитации рекомендуется выполнять следующие упражнения в зале ЛФК:
Примеры возможных упражнений
Также есть ряд упражнений, которые можно выполнять сидя и стоя:
Правила проведения упражнений для полного восстановления
Важное место в реабилитации пальцев после разрыва сухожилия отводится движениям, которые необходимо выполнять в ручной ванночке, наполненной теплой водой.
Пациенту предлагается поочередно сжимать губку либо собирать со дна предметы небольшого размера. Такая процедура оказывает расслабляющее воздействие на связки, а за счет сопротивления воды эффект от таких простых движений существенно возрастает. Температура воды должна быть не боле 34-35 градусов, поскольку при более высоких показателях возможен отек пальцев и трудности в выполнении движений.
В более поздний период заживления разрыва дистальной фаланги рекомендуется выполнять несложные целенаправленные движения. Больному можно предложить что-нибудь склеивать и наматывать нитки на катушку. Ускорить восстановление функционирования поврежденного сухожилия можно благодаря занятиям лепкой, вязанием и выжиганием по дереву.
Применение массажных процедур
Важное место в комплексе восстановительных средств при реабилитации после разрыва сухожилий четырехглавой мышцы отводится массажу.
При проблемах с кровообращением в период иммобилизации, который сопровождается отеком и застойными явлениями в зоне палацев и кисти, специалистом назначается массаж проксимальных отделов верхних конечностей.
В том случае, если понижается мышечная сила при движении пальцами, то выполняется массаж предплечья. Это обозначает, что делается акцент на мышцы группы сгибателей или разгибателей с учетом области поражения сухожилий.
При склонности к образованию спаек, спустя несколько недель после операции, рекомендуется проводить массаж по ходу сухожилий с применением разнообразных вариантов приема растирания. Подбираются движения, при выполнении которых требуется сдвигание и растягивание кожных покровов и подлежащих тканей.
Водные процедуры и иные виды восстановительного лечения позволяют за короткое время вернуться к полноценной жизни. Комплексное лечение предполагает прием медикаментозных средств, ускоряющих процесс восстановления, и активизацию работы иммунной системы организма.
Дополнительные рекомендации
Продолжением предыдущего этапа для спортсменов является спортивная реабилитация. У борцов, гимнастов и акробатов она начинается спустя 4-5 недель после оперативного вмешательства.
К спортивной реабилитации приступают после того, как будет полностью восстановлена подвижность суставов верхних конечностей и нормальная спортивная работоспособность.
Важно: позднее выявление патологии и не проведение своевременного лечения при разрывах сухожилий в последующем понижают функциональные возможности поврежденной конечности.
Чаще всего, как показывает практика, это заканчивается плечелопаточным периартритом. Отказ от хирургического лечения при разрыве дистального сухожилия бицепса рассматривается, как ошибочная тактика. Последствием такого решения может становиться понижение силы сгибателей предплечья и спортивная инвалидизация.
Читайте также:
- КТ, МРТ при синоназальном плоскоклеточном раке
- Лечение контузий уха. Подходы к лечению контузионных поражений
- Техника доступа к сухожилиям разгибателей пальцев стопы
- Лапароскопические операции у детей. Операция при паховой грыже, гидроцеле и перекруте яичка у детей
- Пробы для оценки вестибулярного аппарата
