Укладка при рентгенограмме шейно-грудного перехода в боковой проекции (по методу Твайнинга, в позе пловца)
Добавил пользователь Валентин П. Обновлено: 01.01.2026
Рентген шейного отдела позвоночника: правила выполнения

Рентген шейного отдела позвоночника имеет целый ряд особенностей. Выполняться процедура может в нескольких проекциях, а именно:
- прямая задняя;
- прямая задняя через открытый рот - нужна для осмотра 1-3 шейных позвонков;
- боковая;
- косая задняя.
Полную протяженность шейного отдела позвоночника можно увидеть только в положении сбоку. Если же снимок делается в прямой проекции, тень от нижней челюсти будет закрывать первый и второй позвонки. Чтобы получить качественное изображение, потребуется сделать прицельный снимок через открытый рот пациента.
Как правило, назначается процедура рентгена шейного отдела позвоночника в двух проекциях - боковой и прямой. Дополнительно может назначаться косая, если нужно детально рассмотреть межпозвонковые отверстия.
Что такое рентген шейного отдела позвоночника?
Рентгенография представляет собой достаточно доступный вариант диагностирования проблем, связанных с аномалиями развития костей, а также дегенеративными переменами в них. Такой метод исследования является незаменимым при травматических повреждениях костной ткани, поскольку позволяет выявить проблему в кратчайшие сроки. Появление КТ и МРТ сделало процедуру рентгена шейного отдела позвоночника не самой информативной.
Тем не менее, если возникает необходимость обследовать иные структуры, к примеру связки, мышцы, межпозвоночные диски и пр., придется прибегать к другим методам диагностики. Это связано с тем, что рентген будет информативным только относительно костной ткани в силу особенностей проведения.
Когда назначается обследование?
Перед процедурой важно узнать, что показывает рентген шейного отдела позвоночника. Этот метод исследования позволит определить наличие опухолевых процессов, выявить травмы позвоночника, аномалии развития и многое другое. Таким образом, показаниями являются:
- подозрение на травматическое повреждение шеи;
- наличие деформаций, искривления, ограничение подвижности шеи;
- болевой синдром в шее;
- признаки, указывающие на то, что шейный отдел позвоночника был поражен вследствие перенесенных инфекционных болезней, к примеру туберкулеза и пр.;
- головокружения, головные боли, которые усиливаются при наклонах головы или поворотах;
- боли в руках, причина которых выявлена не была (проблема может быть в развитии остеохондроза шеи).
Что может показать диагностика?

После получения снимка врач сможет оценить состояние шейных позвонков и дисков между ними. По итогам диагностики можно будет составить заключение о наличии:
- травматических повреждений (трещины тела позвонка или нескольких, трещины отростков, смещение позвонков и отломков, компрессионный перелом);
- острой кривошеи - врожденная или приобретенная патология, рентген позволяет выявить ее разновидность и степень тяжести;
- патологии развития - будут видны недоразвитие дужек и отростков, смена формы позвонков, присутствие дополнительных позвонков и шейных ребер;
- опухолей, но видны только костные новообразования, а деструктивные очаги могут свидетельствовать о метастазах;
- спондилолистеза - смещение позвонка относительно соседствующих;
- остеохондроза - уменьшение щели между позвонками, появление костных разрастаний.
Подготовка и прохождение процедуры
Если вам назначили рентгенографию шейно-грудного отдела позвоночника, вам не понадобится к ней дополнительно готовиться. Все, что нужно сделать, - записаться на рентген на определенное время, после чего посетить кабинет врача.
Как проводится процедура?
Стоит узнать, как делают рентген шейного или грудного отдела позвоночника, перед тем, как пройти такое обследование. Чтобы приступить к исследованию, нужно убрать все металлические аксессуары и украшения, а также одежду, на которой есть элементы из металла. Это позволит получить четкое изображение.
То, как будет проводиться процедура, зависит от проекции, в которой выполняется снимок. Могут быть такие проекции:
- прямая - пациент лежит или стоит прямо, руки вдоль туловища, рентгеновский луч направляется под углом в 15-20 градусов на щитовидный хрящ и проходит через шею;
- боковая - пациенту нужно встать боком и слегка приподнять подбородок, также процедура может выполняться лежа;
- рентген шейного отдела позвоночника могут делать через рот - это разновидность прямой проекции, позволяющая увидеть верхние шейные позвонки;
- косая - назначается редко, предназначена для изучения межпозвоночных отверстий.
Рентген шейного отдела позвоночника в двух проекциях
Чаще всего процедура выполняется в обычной прямой и боковой проекциях. Как правило, такого исследования достаточно, чтобы оценить состояние позвонков и определить причину жалоб пациента. По получении снимков могут быть назначены дополнительные исследования, которые позволят оценить состояние мягких тканей шеи, либо же будет прописано лечение, если информации окажется достаточно.
Рентген шейного отдела позвоночника с функциональными пробами

Рентген шейного отдела позвоночника с функциональными пробами предполагает выполнение снимков, в то время как пациент занимает определенные положения. Доктор может попросить наклонить голову влево или вправо, вперед или назад. В процессе такого исследования получится определить подвижность позвонков в шейной области и оценить их состояние. Часто такую процедуру назначают при подозрениях на остеохондроз.
Расшифровка результатов
Расшифровка процедуры рентгена шейного отдела позвоночника должна выполняться рентгенологом. Как правило, после того, как процедура окончена, пациента просят подождать вне кабинета, а врач занимается составлением заключения. С заключением, которое вы получите, можно идти к своему врачу.
Противопоказания для проведения
Проведение рентгена шейного отдела позвоночника с функциональными пробами или без них невозможно, если речь о беременной женщине. Излучение негативно влияет на плод, даже небольшая его доза может привести к пагубным последствиям. Также процедуру не проводят детям до 15 лет.
Рентген грудного отдела позвоночника: что показывает, как делают в двух проекциях?

Рентген грудного отдела позвоночника является одним из самых известных методов диагностики заболеваний позвоночного столба. Такая процедура является быстрой и безболезненной, предоставляет врачам большое количество информации, а также не требует хирургического вмешательства в организм пациента. Даже с учетом того, что появилось достаточно много более современных диагностических методов, рентген не теряет востребованности.
Когда назначается рентген?
Возникает необходимость проведения рентгена грудного отдела позвоночника при наличии жалоб на дискомфорт в соответствующей области. Показаниями к проведению исследования являются такие ситуации:
- были получены травмы;
- в наличии видимые искривления позвоночного столба, и возникла необходимость в изучении изгибов;
- появились болезненные ощущения в области грудной клетки;
- появилась парастезия - расстройство чувствительности, при котором онемевают определенные участки кожи, возникает ощущение покалывания, мурашек;
- врачи подозревают опухолевый процесс.
По итогам процедуры будет сделан один или несколько снимков, которые позволят изучить состояние позвоночника и выявить наличие патологических процессов.
Какие патологии можно выявить?
Часто пациенты, которым врач назначает такую процедуру, интересуются, что показывает проведение рентгена грудного отдела позвоночника. Стоит знать, что по итогам исследования можно будет выявить:
- травматические повреждения - трещины, смещения, переломы и пр.;
- наличие остеохондроза и артроза как его составляющей;
- степень тяжести сколиоза и его наличие в целом, тяжесть определяется углом искривления;
- наличие инфекционных болезней, к примеру туберкулеза костной ткани;
- новообразования, метастазы из молочной железы, половых органов, легких и почек;
- наличие остеопороза (это снижение плотности костной ткани, которое существенно увеличивает риск возникновения перелома даже при легкой травме);
- системные болезни суставов, к примеру болезнь Бехтерева, которая характеризуется ограничением подвижности позвоночника и окостенением связок.
Как подготовиться к рентгенографическому обследованию?

Никаких особых процедур по подготовке к рентгену грудного отдела позвоночника не существует. Все, что нужно сделать пациенту, это прийти в кабинет врача и снять с себя все металлические украшения, аксессуары, убрать гаджеты. В противном случае они негативно отразятся на качестве снимка.
Особых сложностей выполнение снимков не вызывает. Однако стоит учитывать, что процедура выполняется в лежачем положении и понадобится укладка для рентгена грудного или поясничного отдела позвоночника на специальный диагностический стол аппарата. Также необходимо сохранять полную неподвижность в процессе диагностики.
Рентген грудного отдела позвоночника в двух проекциях
Оценить состояние данного отдела позвоночного столба позволяют две проекции - прямая и боковая. Для обеих необходимо лежачее положение, врач подскажет, какую позу нужно занять и когда задержать дыхание, чтобы можно было получить четкие снимки.
Рентгенография с функциональными пробами
Функциональные пробы для данного отдела позвоночника - редкость. Это связано с тем, что его подвижность обычно ограничена, врачам очень редко нужны снимки под углом в 45 градусов, не говоря уже о функциональных пробах.
Функциональные пробы представляют собой сгибания и разгибания пациентом позвоночника. Если врач решает, что для полной картины понадобятся и такие снимки, он подберет позу индивидуально. После того как пациент займет ее, врач попросит его не шевелиться и сделает снимок.
По итогам проведения рентгена грудного отдела позвоночника в двух проекциях доктор займется расшифровкой результатов процедуры. Во время оценки состояния позвоночного столба рентгенолог обращает внимание на:
- целостность всех костных тканей, наличие смещений, возможных переломов;
- состояние поверхностей костей;
- в каком состоянии находятся позвонки - имеется ли разрежение или уплотнение костного вещества;
- в каком состоянии находятся суставные щели.
Нормальные показатели
Если по итогам рентгенографии грудного отдела позвоночника патологий не выявлено, в заключении будет значиться, что кости позвоночного столба соответствуют норме по количеству, нет изменений в их внешнем виде, размеры - в пределах нормы, а искривления отсутствуют. Также врач укажет, что отсутствуют переломы позвонков, вывихи и посторонние предметы, а мягкие ткани около позвонков не выглядят пораженными.

Не получится узнать, как делают процедуру рентгена грудного или шейного отдела позвоночника женщинам, находящимся на любом сроке беременности. Рентгеновское излучение, пусть даже в незначительных дозах, может оказать крайне пагубное влияние на плод. В такой ситуации рентген можно делать только при наличии угрозы жизни женщины, и то врач оценит возможность проведения процедуры во втором триметре - это время считается самым безопасным для рентгенографических исследований, поскольку все органы малыша уже сформировались.
Противопоказанием является также недостаточный возраст пациента - не назначают рентген до 15 лет. Однако в этом случае решение может принимать лечащий врач, если он считает, что польза от процедуры куда выше вероятных рисков, а иных вариантов диагностики не имеется либо они нерезультативны, он назначит данное исследование.
Не получится обследоваться пациентам с избыточным весом. Все аппараты имеют ограничение по весу, как правило, оно составляет 130 килограммов. Если же вы проходили не так давно исследование с введением в организм бария, стоит уведомить об этом врача, поскольку барий отразится на качестве снимка. После исследований с барием можно делать рентген только спустя четверо суток.
Укладка при рентгенограмме шейно-грудного перехода в боковой проекции (по методу Твайнинга, в позе пловца)

Обзор
Укладки при рентгеновских исследованиях
Укладка локтевого сустава
Укладка голеностопного сустава
Укладка для снимка стопы
Укладка пациента для снимка пазух
Укладка для снимка пяточной кости
Укладка для снимка грудины
Укладка поясничного отдела позвоночника
Укладка лучезапястного сустава
Укладка височно нижнечелюстного сустава
Укладка для снимка глазницы
Рентген грудины в 2 проекциях
Весь контент iLive проверяется медицинскими экспертами, чтобы обеспечить максимально возможную точность и соответствие фактам.
У нас есть строгие правила по выбору источников информации и мы ссылаемся только на авторитетные сайты, академические исследовательские институты и, по возможности, доказанные медицинские исследования. Обратите внимание, что цифры в скобках ([1], [2] и т. д.) являются интерактивными ссылками на такие исследования.
Если вы считаете, что какой-либо из наших материалов является неточным, устаревшим или иным образом сомнительным, выберите его и нажмите Ctrl + Enter.
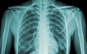
Как правило, в диагностических целях проводят рентгенографию грудной клетки, но может потребоваться целенаправленная визуализация плоской грудной кости посередине ее передней стенки - рентген грудины.
Показания
Показания к рентгенографии грудины включают:
- перелом грудины, связанный с травмами, в том числе, при интенсивном компрессионном воздействии на грудную клетку во время сердечно-легочной реанимации;
- послеоперационное расхождение (несращение) грудины - после проведения стернотомии в ходе аортокоронарного шунтирования;
- деформации грудной клетки - воронкообразную грудную клетку, расщелину грудины, синдром Поланда;
- аномалию развития в виде отсутствия нижней части грудины (мечевидного отростка) - аксифоидии;
- синдром передней грудной стенки - реберно-грудинный синдром (воспаление реберно-грудинных соединений);
- подозрение на хондро- или остеосаркому грудины.
Что показывает рентген грудины? На рентгеновском снимке грудина (sternum) - начинающаяся ниже яремной выемки рукоятка (manubrium sterni), тело (corpus sterni) и мечевидный отросток (processus xiphoideus) - видна вдоль позвоночника без наложения позвонков, также над тенью сердца просматриваются кортикальные контуры кости; визуализируются и грудино-ключичные суставы (articulatio sternoclavicularis).
Подготовка
Подготовка, как при любом рентгене костных структур, ограничивается тем, что пациент должен снять все содержащие металл аксессуары - где бы они ни были. [1]
Расположение или укладка пациента при рентгене грудины производится согласно Атласу рентгенологических укладок и зависит от рентгенологического позиционирования, то есть, от того, в какой проекции нужно сделать снимок данной кости.
Техника проведения рентгена грудины
По стандарту, делают рентген грудины в 2 проекциях: в латеральной (боковой) и передней косой.
Рентген грудины в боковой проекции - наиболее информативный в случаях перелома грудины и определения степени смещения, а также выявления метастазов - проводится в вертикальном положении пациента (сидя или стоя). При этом одна из сторон грудной клетки пациента должна прилегать к рентгеновской кассете, его руки заводятся за спину, отводя плечи кзади (чтобы грудная клетка выдвигалась вперед), а подбородок приподнимается. По команде техника-рентгенолог пациенту нужно на несколько секунд затаить дыхание.
Если занять данную позу пациенту не позволяет сильная боль, используют параллельно идущий тонкий поток излучения (коллимацию), что позволяет получить удовлетворительное изображение. При тяжелых травмах процедуру проводят лежа - на боку или на спине, изменяя соответствующим образом фокусировку рентгеновского луча.
Часто боковую проекцию дополняет правая передняя косая проекция, при которой пациент наклоняется вперед на 15-25°, а центральный луч направляется перпендикулярно пленке - чуть левее позвоночного столба, посередине между яремной выемкой и мечевидным отростком. При наличии тяжелой травмы рентген проводится лежа - в левой задней косой проекции.
Рентген-признаки перелома грудины
Рентгенограммы грудной клетки обычно являются первичной визуализацией у пациентов с подозрением на травмы грудины. Было показано, что переднезадняя рентгенограмма имеет только 50% чувствительность для выявления переломов грудины. Боковой рентгенологический снимок увеличивает чувствительность и обычно является диагностическим, так как большинство переломов грудины являются поперечными, и любое смещение происходит в сагиттальной плоскости.
И их рентген-признак - появление темных промежутков на светлом фоне плоской грудной кости, что является отображением линий переломов. Убедительным подтверждением перелома является видимое на снимке смещение отломков. [2]
На сегодняшний день предпочтительным методом визуализации при подозрении на стернальный перелом признана КТ, которая, кроме демонстрации нарушения целостности кости, способна показать возможные загрудинные гематомы и отек мягких тканей.
Деформация грудины на рентгене
При воронкообразной деформации грудной клетки (Pectus excatum) на рентгене в боковой проекции видно проникновения (прогиб) грудины в средостение; нередко наблюдается прогиб грудного отдела позвоночника кпереди (кифоз), торсия грудины в аксиальной плоскости и заметное увеличение ее толщины.
Кроме того, оценка состояния органов средостения, костей и соединительных тканей грудной клетки поводится с помощью ультразвукового исследования и компьютерной томографии.
К числу рентгенологических признаков килевидной грудной клетки (Pectus carinatum) относится хондрогладиолярная или хондроманубриальная протрузия грудины. В первом случае кпереди выпячивается ее средняя и нижняя части, во втором - происходит выпячивание рукоятки грудины (известное как синдром Куррарино-Сильвермана).
У пациентов с синдромом Поланда II степени деформация грудины на рентгене видна в виде ее небольшого бокового разворота, который при IV степени деформации выражен намного сильнее.
Рентген-признаки саркомы грудины
На рентгене остеосаркома грудины выглядит как не имеющее четких границ образование с неровными краями, состоящее из костной и мягких тканей с наличием областей остеолитической деструкции (разрушения медуллярного и кортикального слоев костной ткани), кальцификации (зон обызвествленния), а также включением остеоидного матрикса (секретируемых остеобластами неминерализованных белков).
На снимках в латеральной проекции может визуализироваться результат опухолевой периостальной реакции - минерализация хондроидной матрицы (надкостницы) в виде костных выступов (которые специалисты называют спикулами).
на предмет их локализации, характера разрушения кости, минерализации матрикса, периостальной реакции и связанного с ней компонента мягких тканей. Однако при оценке опухолей плоских костей, особенно грудины, рентген имеет ограничения: поражение может полностью не проецироваться из-за наложения окружающих легких. Боковые рентгенограммы могут помочь, особенно в различении внутри- и внегрудных поражений. Простая рентгенография имеет ограниченное применение для диагностики небольших поражений, а также для оценки внутригрудной протяженности, что требует использования изображений поперечного сечения. [3]
И методом выбора инструментальной диагностики поражений грудины является компьютерная томография (КТ). А для локального определения стадии саркомы грудины (оценки ее внутрикостного распространения и поражения мягких тканей) используется МРТ.
Противопоказания к проведению
Рентгенография противопоказана при тяжелых состояниях пациентов, при острой фазе инфекционных заболеваний и внутренних кровотечениях, беременным и кормящим грудью женщинам.
Детям до 15-ти лет рентген, по возможности, следует заменять ультрасонографией (УЗИ) или МРТ.
Рентген грудного отдела позвоночника

Медицинским термином «рентгенография грудного отдела позвоночника» обозначают диагностический метод, предусматривающий визуализацию позвоночного столба за счёт применения рентгеновского излучения. В современной диагностике он считается одним из самых распространённых и доступных для широкого круга пациентов. Его информативность сложно переоценить, особенно — когда речь идёт о костных структурах. Благодаря ему можно выявить практически любые патологии позвоночного столба, возникающие на уровне груди, на разных стадиях их развития. Искривления и деформации, а также заболевания внутренних органов хорошо видны на рентгеновских снимках. И это при том, что данная методика абсолютно безболезненна и позволяет получить результаты сразу же!
Если Вы не знаете, где сделать рентген грудного отдела позвоночника, обращайтесь в диагностический центр многопрофильной клиники ЦЭЛТ. В распоряжении наших рентгенологов имеется несколько мобильных и стационарных рентгеновских аппаратов японского и немецкого производства, благодаря которым исследование проводится в соответствии с международными стандартами.
Показания к рентгену грудного отдела позвоночника
Рентгеновскую диагностику грудного отдела позвоночного столба проводят при подозрении на патологические состояния лёгких, сердца и костных структур. Её, также, назначают если пациент перенёс травмы. Существует немалое количество симптомов, которые являются признаками тех или иных состояний и служат показаниями в данном случае:
- Боли в области груди и спины различного характера;
- Скованность и ограниченность движений;
- Онемение верхних конечностей.
Патологии позвоночного столба:
- Остеохондроз;
- Межпозвоночная грыжа;
- Защемление нервных корешков.
- Одышка;
- Болевые ощущения за грудиной;
- Быстрая утомляемость.
- ХСН;
- ТЭЛА;
- Инфаркт и патологические изменения сердца после него;
Врождённые и приобретённые пороки сердца.
- Кашель более чем семь дней;
- Болевая симптоматика в грудной клетке;
- Высокая температура и жар в течение долгого времени;
- Кровь в выделяемой при кашле мокроте;
- Хрипы в лёгких.
- Туберкулёз;
- Наличие воздуха в плевральной полости;
- Воспаление лёгких;
- Бронхит;
- Бронхиальная астма;
- Отёки лёгких;
- Новообразования лёгких добро- и злокачественной природы.
- Болевая симптоматика в области спины, которая усиливается при попытках совершить движения;
- Снижение высоты позвоночного столба;
- Слабо выраженная отёчность;
- Локальные нарушения чувствительности.
- Патологические, травматические, одиночные и множественные переломы позвоночного столба;
- Ушибы позвоночника;
- Переломы рёбер и ключиц.
Противопоказания к рентгену грудного отдела позвоночника
Противопоказания к применению данного метода диагностики являются относительными. Это значит, что к нему прибегают в качестве исключения, если проведение диагностики может спасти жизнь пациента. Сами по себе противопоказания обусловлены неблагоприятным воздействием, которое даже минимальные дозы облучения могут оказать на пациента:
- В возрасте до 15-ти лет;
- Пребывающего в тяжёлом состоянии;
- Получившего большую дозу облучения в течение последних 12-ти месяцев.
В данную группу, также, относят женщин в период беременности и грудного вскармливания.
Что показывает рентген грудного отдела позвоночника?
Рентген шейно-грудного отдела позвоночника является высокоинформативным методом, который позволяет лечащему врачу увидеть и оценить состояние как отдельных позвонков грудного отдела, так и его всего в целом. Благодаря ему можно определить форму и структуру позвонков и межпозвоночных дисков. Таким образом, можно выявить:
Читайте также:
