Укладка при рентгенограмме толстой кишки в ПЗ или ЗП проекции лежа на боку
Добавил пользователь Евгений Кузнецов Обновлено: 22.01.2026
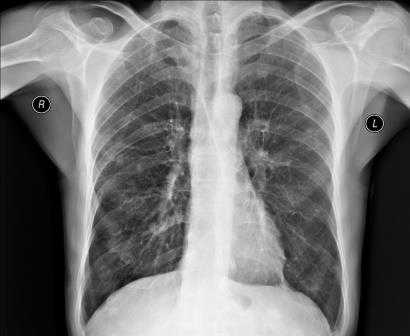
Рентгенография грудной клетки - это метод диагностики, позволяющий получить изображение органов грудной полости с помощью облучения рентгеновыми лучами. Различные ткани организма в зависимости от своей плотности по-разному пропускают рентгеновы лучи, а значит, по-разному отображаются на снимке (рентгенограмме).
Рентген грудной клетки дает возможность изучить костные структуры (ребра, грудину, позвоночник), легкие, плевру, бронхи и трахею, сердце и средостение, а также оценить состояние мягких тканей этой области.
Прежде всего, рентген грудной клетки используется для диагностики заболеваний легких.
Часто возникает вопрос, что лучше сделать рентген легких или флюорографию? Свои преимущества есть у каждого метода. Обычно флюорография используется для общей оценки состояния легких: есть ли признаки патологии или нет. Рентген легких позволяет получить более качественное изображение, а значит его диагностическая ценность выше. Зато флюорография дешевле.
Что показывает рентген грудной клетки?
Рентген грудной клетки способен выявить:
- присутствие в легких очагов воспаления, в том числе характерных для таких заболеваний как пневмония и туберкулёз;
- наличие опухолевых образований и отеков, которые могут быть следствием сердечной недостаточности;
- наличие патологических скоплений газов и жидкостей;
- скопление жидкости в околосердечной сумке, увеличение размера сердца, аорты и лимфатических узлов;
- инородные предметы в легких, пищеводе и дыхательных путях.
Какие заболевания помогает диагностировать рентген грудной клетки?

Рентген грудной клетки
Рентген грудной клетки назначается в целях диагностики и оценки состояния при таких заболеваниях, как:
- пневмония. В сложных случаях данные рентгена легких являются базовыми для постановки диагноза острой пневмонии;
- туберкулёз;
- воспалительные заболевания плевры (плеврит, эмпиема плевры);
- опухолевые заболевания легких, бронхов, трахеи;
- тромбоэмболия легочной артерии;
- профессиональные заболевания легких, вызванные длительным вдыханием пыли и других мелких частиц;
- пневмотракс (механический разрыв легочной ткани);
- паразитарные заболевания грудной клетки (эхинококкоз);
- заболевания грудного отдела позвоночника.
Показания к назначению рентгена легких (рентгена грудной клетки)
Показаниями к рентгену легких являются:
- длительный кашель;
- отхаркивание большого количества мокроты;
- кровь в мокроте;
- одышка;
- систематические боли в груди или боли в области спины;
- длительное повышение температуры тела.
Как делается рентген легких (рентген грудной клетки)
В большинстве случаев специальной подготовки к рентгену грудной клетки не требуется.
Необходимо будет раздеться до пояса, а также снять все металлические предметы и украшения. Рентгенография обычно делается в передней или задней проекции в положении стоя. В некоторых случаях рентген делается в боковой проекции, в том числе в положении лежа. В момент, когда делается снимок, нельзя двигаться. Надо быть готовым на некоторое время задержать дыхание.
Где сделать рентген грудной клетки в Москве?
Сделать рентген легких(обзорную рентгенографию грудной клетки) вы можете в рентгенологическом отделении любой из поликлиник «Семейного доктора».
Оставьте телефон -
и мы Вам перезвоним
Не занимайтесь самолечением. Обратитесь к нашим специалистам, которые правильно поставят диагноз и назначат лечение.
Памятка по подготовке больных к рентгенологическому исследованию
Как осуществляется подготовка больных к рентгенологическому исследованию желудка и тонкого кишечника?
Больные с нормальной функцией кишечника не требуют никакой специальной подготовки к рентгенологическому исследованию желудка.
При патологии желудка и кишечника за 2-3 дня до исследования исключают из рациона исследуемого продукты, способствующие газообразованию (черный хлеб, овощи, фрукты, бобовые, молоко и т. д.). За 14 часов до обследования больной прекращает прием пищи, вечером принимает 30 мл касторового масла, а через 2- 3 часа ему ставят очистительную клизму с 1-1,5 л теплой воды, настоем ромашки или мыльным раствором (5 г детского мыла). За 2-3 часа до исследования ставят повторную очистительную клизму комнатной температуры. В день исследования больной не должен пить и курить.
При наличии в желудке больного большого количества жидкости, слизи, остатков пищи (например, при органическом сужении выходного отдела желудка) следует промыть желудок за 2-3 часа до исследования.
При резко выраженном метеоризме и упорных запорах рекомендуется очистительная клизма за 1,5-2 часа до исследования.
Как проводится рентгенологическое исследование желудка и двенадцатиперстной кишки?
В качестве контрастного вещества при рентгенологическом исследовании желудка и двенадцатиперстной кишки используют взвесь сульфата бария, которую готовят из расчета 100 г порошка на 80 мл воды.
Подготовка больных и проведение рентгенологических исследований желчного пузыря и желчевыводящих путей.
Как осуществляется подготовка больных к рентгенологическому исследованию желчного пузыря и желчевыводящих путей?
Для рентгенологического исследования желчного пузыря и желчевыводящих путей применяют чаще всего два основных метода: холецистографию (рентгенологическое исследование желчного пузыря с предварительным пероральным приемомрентгеноконтрастного препарата) и холеграфию (рентгенологическое исследование желчных протоков с внутривенным введением контрастного вещества). Перед проведением холецистографии и холеграфии пациент в течение 3 дней должен соблюдать диету с целью предупреждения метеоризма (исключение сырой капусты, черного хлеба, молока и т. д.). Скопления газа в кишечнике, давая при рентгенологическом изображении округлые очаги просветления, могут накладываться на тень желчного пузыря, затрудняя правильную трактовку получаемых данных. Специальных обязательных очистительных клизм, равно как и гак называемых "жирных завтраков" накануне исследования не требуется. Очистительную клизму ставят лишь при выраженном метеоризме.
Как проводится холецистография?
При холецистографии больной накануне исследования принимает рентгеноконтрастный йодсодержащий препарат (холевид, йопагаост и др.) из расчета 1 г на 20 кг массы тела больного, запивая его сладким чаем, но 0,5 г через каждые 5 минут в течение получаса. Контрастное вещество, попадая в печень, выделяется с желчью и накапливается в желчном пузыре. При этом максимальная концентрация препарата в желчном пузыре наблюдается через 15-17 часов после приема; поэтому если холецистография назначена на 9-10 часов утра, то препарат следует принять накануне вечером в 17-19 часов. Необходимо предупредить больных о возможности появления у них тошноты и жидкого стула после приема указанных рентгеноконтрастных препаратов.
На следующий день делают рентгеновские снимки (рентгенограммы) желчного пузыря. Как проводится анализ рентгенограмм желчного пузыря?
При анализе рентгенограмм оценивают интенсивность тени желчного пузыря, его форму, величину, положение, наличие или отсутствие деформации, конкрементов (камней) и др.
Как проводится исследование двигательной функции желчного пузыря?
Для уточнения двигательной функции желчного пузыря больному дают так называемый желчегонный завтрак (2 сырых яичных желтка или 20 г сорбита в 100-150 мл воды), после чего через 30-45 минут (лучше серийно, через каждые 15 минут) делают повторные снимки и определяют сократительную способность желчного пузыря.
Как проводится холеграфия?
При проведении холеграфии контрастное вещество (билигност, билитраст и др.), которое также выделяется с печенью и контрастирует желчные протоки, вводят внутривенно. С учетом возможности аллергических реакций вначале внутривенно вводят пробную дозу (1-2 мл) 50 % раствора билигноста или билиграфина, подогретого до температуры тела. При отсутствии через 5-10 минут аллергических реакций (зуда, озноба) медленно вводят основную часть препарата. Более интенсивное наполнение протоков происходит после дополнительного введения больному 0,5 мл 1 % раствора морфина. Последующие снимки проводят через 20, 30-40 и 45-60 мин после введения контрастного препарата.
Как проводится анализ рентгенограмм желчных протоков?
На рентгенограммах оценивают размеры, контуры, просвет внутри- и внепеченочных желчных протоков, наличие или отсутствие в них конкрементов, уточняют концентрационную и сократительную функции желчного пузыря. Для более точногоопределения состояния общего желчного протока внутривенную холеграфию часто дополняют проведением рентгенологического исследования двенадцатиперстной кишки (дуоденография).
Каковы противопоказания для проведения холецистографии и холеграфии?
Холецистографию не проводят при тяжелых поражениях печени, повышенной чувствительности к йоду, а холеграфию. кроме того, - при острых воспалительных заболеваниях желчных протоков, протекающих с повышением температуры (холангитах), выраженной гиперфункции щитовидной железы.
Подготовка больных и проведение рентгенологического исследования толстого кишечника.
С какой целью проводится рентгенологическое исследование толстой кишки?
Рентгенологическое исследование толстой кишки (ирригоскопия) проводят с помощью контрастной клизмы. Применение ирригоскопии позволяет определить форму, положение, состояние слизистой оболочки, тонус и перистальтику тех или иных отделов толстой кишки и играет большую роль в распознавании ее различных заболеваний -опухолей, полипов, дивертикулов, кишечной непроходимости.
Как проводится подготовки к ирригоскопии?
Для подготовки больного к ирригоскопии в его рационе в течение 3 дней исключают пищу способствующую метеоризму, назначают каши, кисели, омлеты, отварные мясные и рыбные продукты. Трижды в день дают внутрь настой ромашки, вставляют газоотводную трубку;
Накануне исследования больному дают перед обедом 30 г касторового масла, вечером ставят очистительную клизму, лучше дважды с интервалом в 1 час. Больной не ужинает. Утром больному дают легкий завтрак и вновь ставят 2 очистительные клизмы.
Как проводится рентгенологическое исследование толстой кишки (ирригоскопия)?
В качестве контрастного вещества используют взвесь сульфата бария (из расчета 400 г порошка на 1600 мл воды), которую лучше всего готовить в электросмесителе. Подогретую до температуры тела взвесь вводят с помощью клизмы.
Подготовка больных и проведение рентгенологического исследования мочевой системы.
Как осуществляется подготовка к рентгенологическому исследованию мочевой системы (урографии)?
Перед обзорным снимком почек в течение 2-3 дней исключают из пищи-больного газообразующие продукты (черный хлеб, картофель, квашеную капусту, бобовые, сладкие фрукты, цельное молоко и др.), не назначают солевых слабительных. Накануне вечером ставят очистительную клизму из теплой воды с настоем ромашки. Утром за 3 часа до исследования повторно ставят очистительную клизму. В день процедуры больной не должен есть и пить.
При рентгенологическом исследовании с контрастными йодсодержащими веществами за день до процедуры ставят пробу на чувствительность. При аллергической реакции исследование противопоказано.
Как проводится процедура урографии?
За 30 минут до исследования больной освобождает мочевой пузырь и рентгенологически проверяют наличие газов в кишечнике. При большом количестве газов повторно ставят клизму и спустя 45 минут делают обзорный снимок почек.
При ретроградной урографии контрастное вещество вводят через катетер в мочевой пузырь (цистография) или через специальные катетеры в почечные лоханки. Затем делают рентгенологические снимки.
Подготовка больных к рентгенологическому исследованию бронхов, трахеи, и грудной клетки.
Как проводится подготовка больного к бронхографии?
Бронхография - это рентгенологическое исследование бронхов и трахеи с помощью контрастных веществ. Во время подготовки проверяют чувствительность больного к йодистым препаратам, осуществляют постуральный дренаж бронхов, назначают отхаркивающие, бронхорасширяющие средства, антибиотики. Перед процедурой подкожно вводят атропин, при необходимости - пипольфен, седуксен.
Каковы особенности проведения процедуры?
Бронхографию проводят под наркозом или местной анестезией.
После процедуры в течение 3 часов больному не дают есть.
Катетеры для введения контрастного вещества стерилизуют кипячением.
Как проводится рентгенологическое исследование грудной клетки?
Исследование грудной клетки (рентгенологическое и рентгенографическое) проводят без специальной подготовки больного. Метод фотографирования рентгеновского изображения на пленке 7x7 см или 10x10 см носит название флюорографии.
Рентгенография брюшной полости: показания, подготовка и проведение

В брюшной полости находится множество жизненно важных органов, проблемы с которыми требуют комплексной диагностики. К одним из эффективных и доступных методов выявления заболеваний органов брюшной полости относится рентген.
Что такое рентген брюшной полости?
Рентген брюшной полости - это неинвазивный, совершенно безболезненный метод медицинского исследования с помощью рентгеновских лучей. Современный рентген позволяет проецировать изображения внутренних органов четко и с наименьшим вредом для организма. Рентген брюшной полости показывает положение внутренних органов, а также их структуру и тонус. Проводит исследование врач-рентгенолог, который контролирует корректность процесса. Он же выдает пациенту заключение с результатами диагностики, которые затем необходимо показать врачу. Несмотря на высокую информативность современных рентгенологических методов исследования, для правильной постановки диагноза необходим осмотр врача, анализы и др. Как правило, рентген является завершающим этапом в составлении полной клинической картины.
Виды рентгена брюшной полости
Тесное расположение органов в брюшной области доставляет сложности при обследовании, что вынуждало совершенствовать диагностические методы. Современная рентгенография брюшной полости может осуществляться двумя способами, каждый из которых имеет показания и преимущества.
Обзорное исследование
Это стандартный диагностический метод, наиболее доступный и простой. Обзорная рентгенография брюшной полости показывает, что является причиной неприятных симптомов и плохого самочувствия: наличие избыточного газа или жидкости, кровотечение или инородные предметы (например, камни в почках или проглоченные мелкие предметы). Также обзорная рентгенография органов брюшной полости позволяет увидеть повреждения, возникшие по разным причинам: от воспаления до травмы.
Контрастное исследование
Контрастный рентген органов брюшной полости - это усовершенствованный метод исследования, позволяющий получить более подробное описание состояния любого органа. В качестве контрастирующего вещества в данном случае применяется сульфат бария, который окрашивает изнутри кровеносные сосуды и делает рисунок внутренних органов более четким.
Показания к исследованию
Рентген брюшной полости - это серьезное исследование, которое назначается врачом только при обоснованной необходимости. При наличии определенных показаний и результатов других исследований рентгенография поможет подтвердить или опровергнуть предполагаемый диагноз.
Боли в животе (синдром острого живота) и пояснице
Боли в животе и пояснице могут быть симптомом многих заболеваний: воспаления аппендикса, холецистита, острого панкреатита, внематочной беременности и т. д. Рентген брюшной полости, что показывает структуру внутренних органов, позволяет выявить воспаленный или поврежденный орган, являющийся причиной синдрома острого живота. Обычно рентген брюшной полости при синдроме острого живота назначается в особенно сложных случаях, когда постановка диагноза затруднительна из-за сопутствующих проблем со здоровьем.
Вздутие живота
Обычно вздутие живота происходит из-за неправильного режима питания, однако, если оно наблюдается постоянно, может быть назначен рентген брюшной полости, что показывает нарушения структурности органов. Причиной вздутия могут быть воспалительные заболевания внутренних органов, а также новообразования и отеки. Все эти проблемы хорошо видны на контрастной рентгенограмме.
Травмы органов брюшной полости
Рентген брюшной полости показан при подозрении на внутренние травмы, поскольку нарушение целостности любого органа может привести к плачевным последствиям. О повреждении говорит свободный газ, который на рентгене виден в разной степени, в зависимости от органа. Также обзорная рентгенография позволяет увидеть кровотечение или гематомы.
Забрюшинный абсцесс
Забрюшинный абсцесс - это возникновение гнойных образований на внутренних органах. Это заболевание может возникать по причине травм, полостных операций, перфорации органа, разрастания метастаз. Последствием забрюшинного абсцесса может быть сепсис и, как следствие, летальный исход. Рентген брюшной полости позволяет выявить положение абсцесса и его размеры. Как правило, его назначают после УЗИ при необходимости.
![61131187_563x333.jpg]()
Острая кишечная непроходимость
Так как при острой кишечной непроходимости участки кишечника с жидкостью и газом видны в горизонтальном положении пациента, делают рентген брюшной полости в лежачем состоянии. По форме и размеру этих участков определяется, в каком именно отделе кишечника дислоцируется непроходимость. Наиболее эффективен в данном случае контрастный рентген брюшной полости. Острая кишечная непроходимость может привести к летальному исходу при отсутствии лечения, поэтому правильная диагностика в данном случае крайне важна.
Инвагинации кишечника
Причиной развития острой кишечной непроходимости может стать инвагинация - внедрение одного участка кишечника в другой. Патология может иметь последствия в виде развития воспалительных и опухолевых процессов. Причины инвагинации очень разнообразны, и разобраться в них помогает рентгенологическое исследование. Для этого применяется обзорная рентгенография брюшной полости или более информативная - контрастная. В особенно сложном случае дополнительно может быть назначена компьютерная томография, также являющаяся одним из видов лучевой диагностики.
Подготовка к рентгену брюшной полости
Обзорная рентгенография брюшной полости не требует обязательной подготовки. Однако для контрастного рентгена брюшной полости подготовка обязательна, поскольку при наличии внутри органов остатков еды, жидкостей или газов их состояние будет сложно определить. За 2-3 дня до исследования потребуется соблюдать диету, отдавая предпочтение продуктам, не вызывающим газообразования. За 12 часов до рентгена потребуется отказаться от приема твердой пищи, за два часа желательно очистить кишечник. Также за несколько часов до исследования пациенту дают выпить раствор сульфата бария для окрашивания органов.
Как проводится рентген?
Непосредственно перед исследованием врач попросит вас извлечь из карманов и снять предметы, которые могут помешать выводу изображения на экран. Делают рентген брюшной полости как в вертикальном, так и в горизонтальном положении. В некоторых случаях может потребоваться просканировать организм в двух проекциях, чтобы лучше разглядеть состояние и структуру внутренних органов. Пациент принимает стоячее или лежачее положение. Для того чтобы снимки были качественными, необходимо сохранять неподвижность.
Противопоказания к проведению рентгена
Контрастная и обзорная рентгенография брюшной полости является относительно безопасным методом исследования, однако имеет противопоказания. Лучевая диагностика противопоказана детям до 15 лет и беременным женщинам, также могут возникнуть препятствия при неадекватном или тяжелом состоянии пациента, когда невозможно сохранять неподвижность. В целом же, благодаря методам радиозащиты, современный рентген брюшной полости даже при регулярном проведении безвреден для человека.
Рентгенологическое исследование живота имеет ряд особенностей, которые связаны с отсутствием условий для естественного контрастирования органов брюшной полости и забрюшинного пространства. Поэтому наиболее полную информацию о состоянии этих органов, особенно желудка, кишечника, печени, поджелудочной железы и почек, получают путем искусственного контрастирования.
Так, в частности, контрастное вещество вводят в различные разделы пищеварительного канала. Затем осуществляют многопроекционное просвечивание, серийную прицельную и обзорную рентгенографию.
Однако следует подчеркнуть, что при некоторых патологических состояниях, прежде всего повреждениях и острых заболеваниях органов живота (ранения полых органов, внутрибрюшные кровотечения, перфоративные язвы желудка и двенадцатиперстной кишки, повреждения почек и др.), весьма ценные данные могут быть получены при обзорной рентгенографии живота в условиях естественной контрастности при различных положениях больного.
Кроме того, обзорная рентгенография (электрорентгенография) должна предшествовать любому рентгенологическому исследованию с применением контрастных веществ.
Эффективность рентгенологического исследования органов брюшной полости и забрюшинного пространства во многом зависит от правильного выбора технических параметров съемки и подготовки больных. Обычно рентгенографию живота осуществляют жестким рентгеновским излучением, при максимально возможном уменьшении выдержки и с обязательным использованием отсеивающих растров.
Методика исследования в каждом случае должна проводиться сугубо индивидуально, с учетом предполагаемой патологии и функционального состояния желудочно-кишечного тракта.
Так, при острых заболеваниях (перфорация полого органа, кровотечение, острая кишечная непроходимость и др.) и травмах живота неотложное рентгенологическое исследование проводится без всякой предварительной подготовки. Лицам с нормальной функцией желудочно-кишечного тракта также исследование может быть выполнено без специальной подготовки.
Достаточно, чтобы они прибыли в рентгенологический кабинет натощак.
Вместе с тем при выраженном газообразовании следует за несколько дней до исследования перевести больного на диету с резким ограничением углеводов.
При запорах прибегают к масляным слабительным, которые назначают на протяжении 3—4 дней, предшествующих исследованию.
Кроме того, вечером накануне и утром, за 1,5—2 ч до выполнения снимков, прибегают к высоким промывным клизмам.
БЕСКОНТРАСТНЫЕ ИССЛЕДОВАНИЯ БРЮШНОЙ ПОЛОСТИ УКЛАДКИ ДЛЯ РЕНТГЕНОГРАФИИ ЖИВОТА
Назначение снимка—получение общего представления о положении, форме и размерах органов живота, а также выявление свободного газа в брюшной полости, уровней жидкости в раздутых газом петлях кишок (чаши Клойбера), обызвествлений и конкрементов в проекции желчного пузыря и почек, металлических инородных тел в брюшной полости или брюшной стенке. Кроме того, в отдельных случаях к обзорной рентгенографии живота прибегают в акушерской практике с целью определения числа,
положения, величины, а также антенатальных уродств плодов,
Укладка больного для выполнения снимке. Снимок выполняют у вертикальной стойки. Больной прижимается к кассете брюшной стенкой.

Голова расположена прямо, руки опущены. Фокусное расстояние — 100—120 см. Размеры кассеты — 30X40 или 35X35 см.
Верхний край ее располагается на уровне IX грудного позвонка. Центральный пучок рентгеновского излучения направляют на линию остистых отростков, на 1—2 см выше гребней подвздошных костей, в центр кассеты. Съемку осуществляют при задержанном дыхании, после форсированного выдоха и втягивания живота (рис. 537).
Информативность снимка. На обзорной рентгенограмме (электро-рентгенограмме) живота отображаются очертания печени, почек, больших поясничных мышц, желудка и кишечника (при наличии в них газа), а также диафрагма, вход в малый таз и боковые каналы брюшной полости (рис. 538).
На обзорных снимках живота, выполненных в положении больного стоя или сидя, хорошо видны раздутые газом кишечные петли с уровнями жидкости при кишечной непроходимости

Критерий правильности технических условий съемки и укладки.
На правильно выполненном снимке должны быть хорошо видны очертания паренхиматозных органов живота, диафрагма, нижние ребра, проксимальные отделы подвздошных костей и боковые отделы брюшной полости.
Позвоночник при симметричной укладке и отсутствии сколиоза располагается по средней линии снимка.
Наиболее частые ошибки при выполнении снимка — неправильное положение (смещение кверху, книзу или вбок) кассеты или неправильное направление центрального пучка излучения, в результате чего на снимке отсутствует изображение диафрагмы, подвздошных костей или боковых отделов живота.
ОБЗОРНЫЙ СНИМОК ЖИВОТА В ПРЯМОЙ ПРОЕКЦИИ В ПОЛОЖЕНИИ БОЛЬНОГО ЛЕЖА
Назначение снимка в основном такое же, как при съемке в положении стоя. Снимки, произведенные в положении больного лежа на спине оптимальны для выявления свободной жидкости в брюшной полости.

Укладка больного для выполнения снимка. Больного укладывают на спину или на живот. Руки вытянуты вдоль туловища.
Расположение кассеты и направление пучка рентгеновского излучения такое же, как и при съемке в положении стоя <рис. 540).
рис.>
Информативность снимка, критерии правильности технических условий при его выполнении и наиболее частые ошибки такие же, как и при рентгенографии в положении больного стоя. Однако на снимках, выполненных в горизонтальном положении, не удается выявить свободный газ в брюшной полости и уровни жидкости в кишечнике.
Вместе с тем на снимках, сделанных в положении больного лежа на спине, наиболее отчетливо отображается свободная жидкость в боковых каналах живота (рис. 541).
СНИМОК ЖИВОТА В ПРЯМОЙ ПРОЕКЦИИ В ПОЛОЖЕНИИ БОЛЬНОГО НА ЛЕВОМ БОКУ (ЛАТЕРОГРАФИЯ)
Назначение снимка. Снимок предназначен главным образом для выявления свободного газа в брюшной полости и уровней жидкости в петлях кишок, а также свободной жидкости в брюшной полости и забрюшинном пространстве.
К съемке в этой проекции прибегают в тех случаях, когда нельзя выполнить снимок в положении больного стоя.
Укладка больного для выполнения снимка. Больной лежит на левом боку. Руки вытянуты кверху и заложены за голову. Кассета размером ЗОХ40 см длинным ребром упирается в поверхность стола и прилежит к пояснице. Верхний край ее соответствует VIII грудному позвонку. Центральный пучок рентгеновского излучения направляют в центр кассеты, на 2—3 см выше срединной линии (рис. 542).
Информативность снимке. На латерограмме отображаются преимущественно правая половина живота и расположенные здесь органы. Особенно отчетливо при этом виден свободный газ в брюшной полости (рис. 543).

ОБЗОРНЫЙ СНИМОК ЖИВОТА В БОКОВОЙ ПРОЕКЦИИ
Назначение снимка — топографоанатомическая ориентация обызвествлений, конкрементов и металлических инородных тел, выявленных на прямых снимках.
Эта укладка (при съемке больного в положении на спине) может быть также использована и для выявления свободного газа в брюшной полости.
Укладки больного для выполнения снимка. Исследование может быть проведено в положении больного стоя у стойки или лежа на спине. В первом случае больного устанавливают так же, как и при рентгенографии поясничного отдела позвоночника в боковой проекции (см. рис. 250); во втором — больной лежит на спине, руки заложены за голову, кассета расположена вертикально на длинном ребре вдоль боковой поверхности живота. Съемка осуществляется горизонтальным пучком рентгеновского излучения

(рис. 544).
Информативность снимка. На рентгенограмме живота в боковой проекции можно определить местоположение металлических инородных тел и обызвествлений.
На снимке, выполненном в положении больного на спине, при перфорации полого органа под передней брюшной стенкой определяется свободный газ (рис. 545).
КОНТРАСТНЫЕ ИССЛЕДОВАНИЯ ПЕЧЕНИ И ЖЕЛЧНЫХ ПУТЕЙ
Холецистография — методика рентгенологического исследования желчного пузыря, основанная на способности печеночных клеток поглощать из крови некоторые йодсодержащие вещества и выделять их с желчью в желчный пузырь, который обладает способностью концентрировать свое содержимое. Показанием к холецистографии является подозрение на вляют путем однократного (за 14—15 ч) или фракционного (метод насыщения) приема внутрь ди- или трийодированных контрастных веществ (билитраст, билиграфин, йопагност, холевид) и последующей рентгенографии в положении больного стоя за экраном и лежа на животе.

Рекомендуется делать 4 снимка: два — в прямой передней проекции в положении больного стоя (один — без компрессии, второй — с компрессией), третий снимок также в положении больного стоя в левой косой проекции и последний — в положении больного лежа на спине. Первые три снимка обычно выполняют за экраном рентгеновского аппарата под контролем просвечивания, последний — на снимочном столе (рис. 546). Кассету размером 24X30 см устанавливают под правую половину живота с таким расчетом, чтобы центр ее находился на середине расстояния между нижними ребрами и гребнем правой подвздошной кости.
У здоровых людей на холецистограммах определяется интенсивная однородная тень желчного пузыря с четкими контурами (рис. 547).
При калькулезных холециститах тень пузыря менее интенсивна, в проекции пузыря определяются дефекты наполнения, образованные камнями(рис. 548).

Для оценки сократительной и эвакуационной функции желчного пузыря после выполнения снимков (при наличии на них отображения тени желчного пузыря) больному дают желчегонный завтрак (сырые желтки, сливочное масло, сорбит) и спустя 20 и 50 мин делают прицельные снимки (рис. 549).
Выделительная холеграфия (холецистохолангиография) осуществляется путем внутривенного введения 20—40 мл 50—70% трийодированного контрастного вещества. Эта методика позволяет изучить состояние не только желчного пузыря, но и желчных ходов. Желчные протоки оптимально контрастируются в течение первых 30 мин, а желчный пузырь — через 1 '/г ч.
При выделительной холецистохолангиографии на снимках отчетливо видны печеночные протоки, общий желчный проток, пузырный проток, а также желчный пузырь (рис. 550). Интенсивность выделения препарата печенью характеризует и ее выделительную функцию.
Усиление интенсивности тени контрастной желчи, перемешивание ее с оставшейся в пузырене контрастной желчью, свидетельствует о хорошей концентрационной способности пузыря. Последующий прием внутрь яичного желтка (яйца) позволяет изучить функцию сфинктера Одди, а также двигательную способность желчного пузыря.
Выделительная холеграфия дает возможность выявить холестериновые камни как желчного пузыря, так и расположенных в желчных протоках, а также исследовать желчные пути после холецистэктомии (рис. 551).

Для изучения состояния общего желчного и печеночных протоков применяют интраоперационную холангиографию. При этом хирург вводит водорастворимое контрастное вещество непосредственно в желчные пути посредством пункции. Чаще всего пунктируют пузырный или общий желчный проток в терминальном отделе. После измерения давления в желчных путях из них отсасывают некоторое количество содержимого и осторожно, под небольшим давлением, вводят 10—20 мл контрастного вещества.
Не удаляя иглы с помощью переносного или палатного аппарата производят рентгеновский снимок (кассету подкладывают под больного заранее) и подвергают его срочной фотообработке. Перед рентгенографией хирургические инструменты стремятся расположить вне проекции желчных путей (рис. 552).

Теги: живот
234567 Начало активности (дата): 22.01.2020 10:24:00
234567 Кем создан (ID): 989
234567 Ключевые слова: живот, брюшная полость, забрюшинное пространство, тонкая кишка, двенадцатиперстная кишка, толстая кишка
12354567899
Рентгенография брюшной полости
Рентген активно используется для диагностики заболеваний органов брюшной полости. Широко распространена обзорная рентгенография брюшной полости - рентгенографическое исследование без введения контрастного вещества, позволяющая получить общую картину состояния брюшной полости.
Органы брюшной полости: общая информация

Органы брюшной полости
Брюшная полость - это полость живота, которая ограничена сверху диафрагмой, спереди - брюшной стенкой, сзади - поясничной частью позвоночника, с боков - мышцами живота, снизу - подвздошными костями и диафрагмой таза. Внутри брюшной полости находятся органы пищеварительной системы - желудок, желчный пузырь, печень, кишечник, поджелудочная железа а также селезенка и органы мочевыделительной системы - почки и мочеточники.
Исследование поджелудочной железы, желчного пузыря, печени и селезенки обычно проводится с помощью методов ультразвуковой диагностики, которая оказывается в отношении этих органов наиболее информативной. Для исследования остальных органов брюшной полости применяются преимущественно иные методы диагностики, в том числе рентгенография.
Что показывает рентген брюшной полости?
Метод рентгендиагностики основан на том, что ткани различной плотности по-разному поглощают рентгеновские лучи. Более плотная, например, костная ткань хуже пропускает лучи, поэтому на снимке такая ткань оказывается светлее. Метод позволяет определить местоположение органов, их целостность, наличие инородных тел и новообразований.
Рентгенография брюшной полости показывает:
- как распределены газ и жидкость в брюшной полости, присутствует ли в брюшной полости свободная жидкость;
- присутствуют ли в брюшной полости инородные тела (проглоченные предметы в кишечнике, камни в желчном пузыре, камни в почках);
- имеются ли повреждения внутренних органов;
- имеет ли место внутрибрюшное кровотечение.

Рентген брюшной полости
С точки зрения оценки состояния конкретных органов обзорная рентгенография брюшной полости не очень информативна, однако она позволяет быстро определить, является ли картина патологической или нет. При разрыве стенки желудка или кишечника (прободение язвы или разрушении стенки опухолью) рентген покажет выходящий в свободную брюшную полость газ. С помощью рентгена брюшной полости можно диагностировать непроходимость кишечника и даже определить примерное место локализации проблемы.
Когда назначается рентген брюшной полости?
Обзорная рентгенография брюшной полости назначается при наличии жалоб на сильные боли в животе. Подобные боли могут наблюдаться при следующих заболеваниях:
- ; ; ;
- аппендицит;
- абсцессы и воспалительные заболевания органов брюшной полости;
- опухолевые процессы;
- ишемия кишечника; ;
- заворот кишечника.
Также обзорная рентгенография брюшной полости назначается при травмах живота.
Как проводится рентгенография брюшной полости?
Для обзорной рентгенографии брюшной полости специальной подготовки не требуется.
Рентгенография может быть выполнена как в одной, так и в двух проекциях (в положениях стоя и лежа). Иногда достаточно сделать рентген только в положении стоя (такая позиция позволяет лучше локализовать проблему при непроходимости кишечника, а также увидеть прободение желудка или кишечника).
Перед исследованием необходимо снять металлические предметы (украшения). Одежду снимать не надо. Во время рентгенографии надо будет какое-то время стоять неподвижно, а в момент, когда делается снимок, задержать дыхание.
Сделать рентген органов брюшной полости в Москве можно в рентгенологическом отделении любой из поликлиник АО «Семейный доктор».
Читайте также:
- Роль супероксиддисмутазы при отравлении кислородом. Образование антиокислительных ферментов
- Диагностика перелома нижней конечности. Сбор анамнеза, обследование
- Механизм противоопухолевого эффекта алкилирующих агентов и препаратов нитрозомочевины
- Лучевые признаки персистенции правой пупочной вены
- Причины гломусной опухоли яремного отверстия и ее развитие

