УЗ-признаки геморрагической кисты щитовидной железы
Добавил пользователь Владимир З. Обновлено: 21.01.2026
Коллоидная киста щитовидной железы. Основные факты и данные УЗИ
- Распространенная патология (15-25% узлов щитовидной железы)
- Доброкачественное поражение без злокачественного потенциала
- Обычно однокамерная тонкостенная киста
- Анэхогенное содержимое с задним акустическим усилением
- Характерны эхогенные очаги с артефактами хвоста кометы. Представляют собой суспендированные коллоидные агрегаты
- При проведении УЗИ возможно обнаружение кровоизлияния в кисту. Толстостенные кисты с детритом ± уровень жидкости, а также толстые септы ± артефакт хвоста кометы
- Если коллоидная киста возникает из гиперпластического узла, то она имеет сплошной фон. Кистозные пространства переменных размеров. Солидный, четко выраженный, овальный, изоэхогенный узел, в котором нет точечной кальцификации. Коллоидные агрегаты видны разбросанными в кистозных пространствах
- Для диагностики и подтверждения ТАБ под контролем УЗИ не требуется
С чем проводят дифференциальный диагноз
- Аденома щитовидной железы
- Простая киста щитовидной железы
- Дифференцированный рак щитовидной железы
Диагностический контрольный список
- Коллоидные кристаллы имитируют эхогенные очаги от точечной кальцификации, наблюдаемой при папиллярном раке щитовидной железы
- Ультразвуковые аппараты нового поколения могут показывать артефакты хвоста кометы за точечной кальцификацией из-за осевого смешивания. Сканирование в основном серошкальном режиме помогает отличить кометный хвост от заднего затенения
- Необходимо помнить о кистозных злокачественных узлах (не коллоидные кисты), если кистозное поражение содержит подозрительную солидную область ± васкуляризация ± аномальный лимфатический узел
Терминология. Синонимы. Коллоидный узел - жидкостное поражение щитовидной железы, содержащее хранимую форму гормона щитовидной железы (коллоид)
Основные характеристики при ультразвуковом исследовании
- Лучший диагностический признак - тонкостенные кисты с артефактами хвоста кометы
- Расположение. Внутри ткани щитовидной железы, часто множественный и двусторонний характер
- Размер. Переменный (от нескольких мм до 4 см)

Рекомендации по визуализации. Лучший инструмент для постановки диагноза - ультразвуковое исследование.
Ультрасонографические данные. Ультразвуковое сканирование в оттенках серого. Однокамерная тонкостенная киста является типичной находкой. У нее имеется тонкая, эхогенная стенка и анэхогенное содержимое с задним акустическим усилением. Характерны эхогенные очаги с артефактами хвоста кометы, представляющие собой взвешенные коллоидные агрегаты. ± коллоидные скопления (нерегулярный, эхогенный, аваскулярный детрит). Если было предыдущее кровоизлияние в кисту, то она будет толстостенной с детритом ± уровень жидкости. Толстые септы ± кометный хвост, если киста возникает из гиперпластического узла. Фон узла сплошной, а кистозные пространства переменных размеров. Узел будет выглядеть солидным, с хорошо выраженными границами, овальным и, изоэхогенным, а внутри не обнаруживается точечной кальцификации. Коллоидные скопления разбросаны в кистозных пространствах
Энергетический допплер. Тонкостенная коллоидная киста является бессосудистой. Коллоидная киста, возникающая из аденоматозного узла, показывает васкуляризацию в солидном компоненте. Проведение ТАБ под контролем УЗИ не требуется для диагностики. Декомпрессия часто бывает неудачной даже при большом отверстии иглы (16-18 калибр) из-за вязкой жидкости, а коллоидные комки вызывают засорение иглы
Результаты КТ. Простая компьютерная томограмма. Узел солидный, четко очерченный, округлый или овальный
МРТ данные
- T1WI. Гипер-, изо- или гипоинтенсивность в зависимости от концентрации жидкости
- T2WI. Четко выраженный гиперинтенсивный узел
- При контрастировании нет значительного улучшения в визуализации
Дифференциальная диагностика кисты на УЗИ
- Аденома щитовидной железы. Геморрагическая дегенерация имитирует коллоидную кисту
- Простая киста щитовидной железы. Истинная киста щитовидной железы с эпителиальной оболочкой встречается редко, у нее нет эхогенных очагов с артефактами хвоста кометы
- Дифференцированная карцинома щитовидной железы. Редко преимущественно кистозное образование. Твердые компоненты гипоэхогенные с точечной микрокальцификацией ± васкуляризация. Региональная метастатическая лимфаденопатия
- Киста щито-шейного протока. Одиночный узел, локализован обычно выше железы. Может происходить в любом месте от основания языка до щитовидной железы
Патология. Общие патологические и хирургические особенности. Накопление коллоидов в виде узлов или областей коллоидных агрегатов при гиперпластическом зобе
Микроскопические особенности. Значительно расширенные фолликулы и уплощение эпителия. Плотный вязкий материал с высокой концентрацией тиреоглобулина
Клинические проблемы и проявления
- Большинство случайно обнаружены на УЗИ
- Может проявляться как пальпируемый узел при большом размере или как быстро увеличивающийся узел при кровотечении в кисту
- Отклонение дыхательных путей и сжатие, если имеет большой размер
- Демография. Распространенный (15-25% узлов щитовидной железы). Встречается преимущественно у взрослых; также сообщается выявление при ультразвуковом исследовании у детей
Естественная история и прогноз. Доброкачественные поражения без злокачественного потенциала
Итог
- Ультразвуковой аппарат нового поколения может показывать артефакты хвоста кометы за точечной кальцификацией из-за осевого смешивания. Сканирование в основном режиме помогает их различить с микрокальцификацией. Использовать цветовой допплер в градациях серого (сканирование в основном режиме)
- Необходимо думать о кистозном злокачественном узле (не коллоидной кисте), если кистозное повреждение содержит подозрительную солидную область ± васкуляризация ± аномальный лимфатический узел

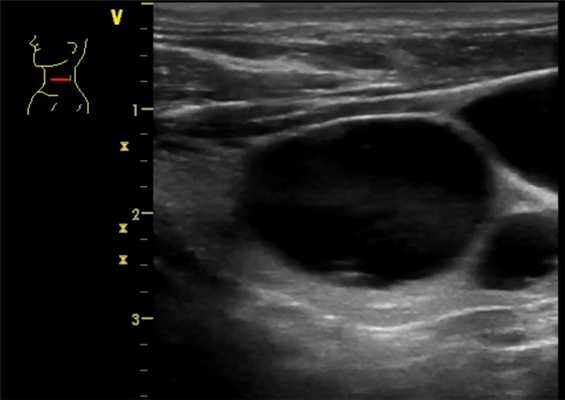
Геморрагическая киста щитовидной железы на УЗИ
Основные факты. Терминология. Кровоизлияние в уже существующие узлы щитовидной железы
Данные ультразвукового сканирования:
- Четко выраженный, преимущественно кистозный узел щитовидной железы, содержащий продукты крови различной давности ± уровень жидкости
- КТ: Гиперплотная киста щитовидной железы
- КТ с контрастированием показывает улучшение ободка кисты
- MРТ: переменная интенсивность сигнала в соответствии с продуктом крови различного возраста, нет внутреннего наполнения при контрастировании
- УЗИ: преимущественно кистозный узел щитовидной железы с эхогенным детритом ± уровень жидкости, бессосудистые септы или бессосудистый солидный компонент. ТАБ неизменно дает измененную кровь
Проводимый дифференциальный диагноз
- Коллоидная киста
- Аденоматозный узелок щитовидной железы
- Кистозно-дифференцированный рак щитовидной железы
Клинические проблемы
- Быстро увеличивающийся болезненный узел щитовидной железы
- Одинофагия (боль при глотании), дисфагия
- Острое сжатие дыхательных путей возникает редко
- Вначале происходит быстрое увеличение солидного узла, который затем становиться статичным по размеру
- Случайное спонтанное разрешение
- Простая ТАБ: частота рецидивов ≤ 58%
- Склеротерапия этанолом, тетрациклином или OK-432: частота рецидивов ≤ 90%. Абляция этанолом самая низкая стоимость процедуры

Постановка диагноза
- ТАБ не нужна для диагностики, если на УЗИ все признаки доброкачественной кисты, но полезна для декомпрессии
- Наличие сосудистого / подозрительного солидного компонента и лимфатического узла должно вызывать подозрения на злокачественный узел щитовидной железы
Основные характеристики при ультразвуковом исследовании
- При проведении УЗИ определяется четко выраженный, преимущественно кистозный узел щитовидной железы, содержащий продукты крови различного возраста с осадком и уровнем жидкости и нет солидного компонента. Киста ограничена капсулой щитовидной железы и нет местного вторжения за ее пределы. Фоновый многоузловой зоб (МУЗ) довольно распространен. Если киста большая, то возможен масс-эффект из-за воздействия на трахею, общую сонную артерию и внутреннюю яремную вену
- Расположение. Доли щитовидной железы или перешеек; нижний полюс поражается чаще, верхний полюс
- Размер. Обычно 2-5 см. Может быть большим и вызывать острую обструкцию дыхательных путей
Особые ультрасонографические данные
- Ультразвуковое исследование в оттенках серого. Преимущественно кистозный узел щитовидной железы с мобильным эхогенным включением ± уровень жидкости. Тонкая или толстая перегородка / септы ± эхогенный, солидный компонент в зависимой или независимой области представляет сгусток крови, мягкий по консистенции при ТАБ (аваскулярный по допплеру).
- Энергетический допплер. Внутреннее содержимое, включая содержимое, септы и стенки узла, являются бессосудистыми
- ТАБ под контролем УЗИ неизменно дает измененную кровь
Результаты КТ. Обычная компьютерная томограмма: гиперплотная киста щитовидной железы ± уровень жидкости. КТ с контрастом: улучшение изображения ободка; нормальное усиление фона паренхимы щитовидной железы или фона МУЗ
МРТ данные. Переменная интенсивность сигнала на T1WI и T2WI согласуется с продуктом крови разного возраста ± уровень жидкости. Нет внутреннего улучшения картины при контрастировании
Результаты ядерной медицины. Tc-99m pertechnetate сканирование щитовидной железы: холодный узелок
Рекомендации по визуализации и диагностике. Лучший инструмент для постановки диагноза - проведение ультразвукового сканирования ± стремление провести ТАБ под контролем УЗИ.
Дифференциальная диагностика
- Коллоидная киста. Эхогенные очаги с артефактами хвоста кометы, представляющими собой коллоидные кристаллы, гелеобразный аспират янтарного цвета
- Аденома щитовидной железы (аденоматозный узел). Сосудистое хало, гладкий край, ± грубая кальцификация, перинодулярная васкуляризация, аномальные шейные узлы отсутствуют
- Кистозно-дифференцированный рак щитовидной железы. Солидный узел и сосудистый компонент ± точечная кальцификация ± аномальные шейные лимфоузлы
- Острый гнойный тиреоидит. Септическое состояние, возникает чаще у детей. Абсцесс щитовидной железы / подчелюстной железы, левая доля поражается чаще, чем правая доля ± усиленная васкуляризация в зонах воспаления
Патология. Основные характеристики. Этиология. Внутрижелезистое кровоизлияние или геморрагический инфаркт. Этому могут способствовать тонкостенные аберрантные сосуды или артериовенозное шунтирование в узле щитовидной железы
Общие патологические и хирургические особенности
- Солидно-кистозное образование щитовидной железы, содержащая измененную кровь и тромбы ± может иметь несколько камер
- Содержание: венозная кровь → жидкость шоколадного цвета (чаще всего) → жидкость оливкового цвета → полупрозрачная жидкость янтарного цвета в зависимости от давности кровоизлияния
Микроскопические особенности. Получают красные кровяные тельца (эритроциты)
Клинические проблемы. Проявления
Киста щитовидной железы - симптомы и лечение
Что такое киста щитовидной железы? Причины возникновения, диагностику и методы лечения разберем в статье доктора Матвеева М. В., эндокринолога со стажем в 8 лет.
Над статьей доктора Матвеева М. В. работали литературный редактор Маргарита Тихонова , научный редактор Сергей Федосов

Определение болезни. Причины заболевания
Киста щитовидной железы — это полое образование, содержащее жидкость, которое является разновидностью узла щитовидной железы. Примерно 90% кист являются доброкачественными и не имеет способности к малигнизации (озлокачествлению).
Краткое содержание статьи — в видео:
По литературным данным, около 25% от всех образований щитовидной железы являются кистами или частично кистозным содержимым. В чистом виде кисты встречаются у 7% взрослых и 1,5% детей и подростков. [1]

Причины возникновения кист щитовидной железы до сих пор остаются неясными. Чаще всего их развитие связано с: [2]
- недостатком йода и селена;
- генетической предрасположенностью;
- гормональным дисбалансом во время полового созревания, беременности или менопаузы;
- воздействием различных токсических веществ (например, фенолов, парабенов, свинца, ртути и других);
- экологическими проблемами (излучение, пища с вредными пищевыми добавками).
Факторами-триггерами, запускающими механизм формирования кист, являются:
- психоэмоциональные нарушения, стресс;
- нарушения со стороны эндокринных желёз;
- снижение иммунитета или системные аутоиммунные заболевания.
Кисты щитовидной железы также могут развиться на фоне других заболеваний:
- повышенный выработка гормонов Т3 и Т4 при гипертиреозе;
- снижение функции щитовидной железы при гипотиреозе, характеризующееся дистрофией железистой ткани;
- гиперплазии (патологическое увеличение) щитовидной железы вследствие йододефицита;
- тиреоидит — аутоиммунный или воспалительный (бактериальный, вирусный) процесс, приводящий к лимфоцитарной инфильтрации (скоплению лимфоцитов) и изменяющий архитектонику щитовидной железы (реже с формированием кист);
- дегенеративные процессы;
- инфицирование тканей щитовидной железы.
По некоторым данным, развитие кист щитовидной железы обусловлено:
- кистозной дегенерацией ткани щитовидной железы (коллоидная киста) — в 58% случаев;
- инволюцией (обратным развитием) фолликулярной аденомы — в 40% случаев;
- неоплазией (образованием опухоли) щитовидной железы — в 2 % случаев.
При обнаружении схожих симптомов проконсультируйтесь у врача. Не занимайтесь самолечением - это опасно для вашего здоровья!
Симптомы кисты щитовидной железы
Чаще всего кисты щитовидной железы бессимптомны. [4] Однако при больших размерах они могут:
- доставлять дискомфорт в области шеи или вызывать ощущение кома в горле;
- приводить к возникновению боли;
- нарушать глотание — проявляется как при употреблении сухой пищи, так и воды, а также в покое и может указывать на большой размер кисты;
- приводить к попёрхиванию;
- изменять тембр голоса;
- затруднять дыхание;
- быть визуально заметными в области шеи.

Увеличение кист происходит по-разному и зависит от факторов-триггеров, однако чаще всего активный и быстрый рост для данного типа образований не характерен. В практике редко регистрируются кисты до 3 см, которые занимают большую часть доли щитовидной железы.
При доброкачественной кисте щитовидной железы увеличение лимфоузлов не происходит.
При нагноении кисты щитовидной железы:
- возникает синдром интоксикации, который сопровождается повышением температуры тела;
- усиливается болезненность, которая может распространяться и отдавать в ухо или ключицу.
При кровоизлиянии в кисту возникает:
- боль;
- быстрое расширение узелка;
- при больших размерах — симптомы компрессии (например, охриплость, нарушение глотания).
Кроме того, если происходит нарушение функции щитовидной железы, возможно развитие симптомов, характерных для гипотиреоза (слабость, недомогание, зябкость, сухость кожи, выпадение волос, ломкость ногтей, склонность к запорам, прибавка веса, снижение работоспособности и другие) или гипертиреоза (тахикардия, потливость, изменчивость настроения, снижение веса, одышка, склонность к диарее, нарушение менструального цикла и другие).
Патогенез кисты щитовидной железы
Щитовидная железа содержит большое количество фолликулов, заполненных коллоидом — жидким белковым веществом, состоящим из протеина и предшественников гормонов. В условиях повышенной выработки коллоида или нарушения его оттока происходит его избыточное скопление и увеличение самих фолликулов в размерах. Также подобные изменения могут происходить при воспалительных процессах, гипертрофических или дистрофических изменениях ткани, а также при кровоизлиянии. [5]

Возникновение кист может протекать как бессимптомно, так и привести к нарушению функционирования щитовидной железы.
Самостоятельный регресс кист происходит редко, но это возможно при назначении необходимых ко-факторов (например, селен и цинк), восполнении йодного дефицита, а также восстановлении белкового обмена (тирозин).
Кроме того, может происходить формирование так называемых "множественных кист", которые возникают в основном при йодном дефиците, когда происходит одновременная гиперплазия фолликулов щитовидной железы.
Классификация и стадии развития кисты щитовидной железы
Классификацию кист щитовидной железы можно представить следующим образом. [6]
По размеру выделяют:
- расширенные фолликулы (до 10-15 мм);
- непосредственно кисты щитовидной железы (более 15 мм).
По структуре различают:
- простые кисты — узелки, заполненные исключительно жидкостью, выстланные доброкачественными эпителиальными клетками;
- сложные кисты — частично твёрдые и частично кистозные образования, которые несут 5-10% риск развития злокачественных новообразований.
По локализации бывают:
- кисты правой половины щитовидной железы;
- кисты левой половины щитовидной железы;
- кисты обоих долей;
- кисты перешейка.
По типу содержимого выделяют:
- коллоидные кисты — характеризуются скоплением коллоида (смесь аминокислот, тиреоглобулина и йода); возникает, как правило, при йододефиците или нетоксическом зобе; свойственно достаточное благоприятное течение; при небольших размерах протекает бессимптомно;
- фолликулярные кисты — представлены преимущественно большим количеством фолликулярных клеток с наличием или отсутствием соединительной ткани; чаще является более плотным образованием со склонностью к перерастанию в злокачественное образование; на начальных стадиях клинически проявляется редко;
- цистаденома — является формой кистозной дегенерации, представленной аденоматозным узлом с кистой в своем составе; развивается вследствие некроза (при аутоиммунной патологии) или нарушении кровообращения, что приводит к образованию полости, заполненной жидкостью (капсульной кисты); в менее 40% случаев имеют склонность к озлокачествлению.
Кроме того, имеется классификация стадий преобразования доброкачественных узлов щитовидной железы. Она включает в себя три стадии заболевания, которые развиваются последовательно, переходя одна в другую в одном направлении: [7]
- стадия развития;
- стадия истощения (начального умеренного и значительного);
- стадия рубцевания.
Также кисты щитовидной железы можно разделить на одиночные (встречаются в 80% случаев) и множественные кисты.
Осложнения кисты щитовидной железы
При росте кист может происходить сдавление органов, которые располагаются рядом с щитовидной железой, приводя к нарушению глотания (сдавление пищевода), затруднению дыхания (сдавление трахеи), осиплости голоса и хрипоты (сдавление возвратных нервов). Кроме того, в тяжёлых случаях может развиться деформация шеи.
Осложнениями кист можно считать кровоизлияние и нагноение, возникающие вследствие воспалительных процессов, системных заболеваний и травм.
Риск малигнизации (озлокачествления) кист не высок и составляет 3-5%. Важным является то, что частота выявления злокачественного процесса примерно одинакова для образований различного размера и не зависит от количества узлов.
Малигнизация может происходить на фоне нормальной, пониженной и повышенной функции щитовидной железы. Опухолевые узлы формируются по причине мутации одной из клеток щитовидной железы, возникающей из-за повреждения генетического материала клетки. Такие изменения могут быть вызваны радиацией, воздействием некоторых токсических веществ (например, тяжёлых металлов) или наследуются.
Основное свойство малигнизированных опухолей — способность к инфильтративному росту, когда опухоль прорастает щитовидную железу и окружающие её ткани.

Около 80-85% злокачественных опухолей щитовидной железы представлены папиллярной карциномой, которая является менее опасной для жизни пациента в связи с медленным ростом, редким метастазированием и благоприятным прогнозом в случае проведения соответствующего лечения.
Фолликулярные карциномы встречаются в 10-15% случаев и также растут очень медленно, но они склонны к метастазированию.
Дополнительно к медленно растущим относят медуллярную карциному (составляет 5% случаев), которая склонна к метастазированию и малочувствительна к химио- и лучевой терапии. Однако при своевременном оперативном лечении она имеет положительный прогноз.
Анапластическая карцинома встречается редко (менее 1% всех случаев). Её лечение сопряжено со значительными трудностями.
Диагностика кисты щитовидной железы
Кисты щитовидной железы большого размера могут определятся пальпаторно (при ощупывании шеи).
Основным методом диагностики является УЗИ щитовидной железы. На УЗ-картине кисты представлены в виде образований правильной формы с ровными, тонкими стенками и анэхогенным (не отражающим звук), гомогенным содержимым, которые имеют капсулу. Позади кисты присутствует акустический эффект усиления сигнала, что также подтверждает жидкое содержимое кисты.
По данным классификации TIRADS, которая позволяет определить степень риска малигнизации узловых образований щитовидной железы, кистозное строение является благоприятным, т. е. доброкачественным и составляет 0 баллов. [8] Если узел является смешанным (кистозно-солидным), то он соответствует 1 баллу, а если солоидным, то 2 балла.


Кроме того, в данной классификации учитывается эхогенность: анхоненные кисты оцениваются в 0 баллов, а всем остальным типам эхогенности присваивается от одного до трёх баллов.
Таким образом, если по классификации TIRADS набрано 0 баллов, указывающие на доброкачественные изменения щитовидной железы, или 2 балла, свидетельствующие о вероятных доброкачественных изменениях щитовидной железы, то тонкоигольная биопсия образования не показана.
В том случае, если при проведении УЗИ были выявлены дополнительные признаки и в итоге выставляется более трёх баллов по TIRADS, тонкоигольная биопсия узла (кисты) обязательна. Оно необходимо для анализа клеточного состава кист и узлов, который определяет дальнейшую тактику ведения пациента.

Кроме того, по рекомендациям Российского эндокринологического общества показаниями для проведения биопсии в рамках диагностики узлового зоба (всевозможных обособленных образований в щитовидной железе) являются: [9]
- узловые образования, равные или превышающие в диаметре 10 мм;
- выявление образований более малого размера, но только при наличии признаков злокачественности и возможности выполнить тонкоигольную биопсию под контролем УЗИ;
- значимое увеличение (более 50%) ранее выявленного образования при динамическом наблюдении.
При наличии клинических проявлений также рекомендуется провести исследование крови на тиреотропный гормон (ТТГ), свободный тироксин (Т4св), свободный трийодтиронин (Т3св) и антитела к тиреоидной пероксидазе (АТ-ТПО).
Такие инструментальные методы диагностики кист щитоивдной железы, как ангиография, КТ, пневмография, ларингоскопия и бронхоскопия, проводить не целесообразно.
Дифференциальный диагноз чаще проводят для определения доброкачественности или злокачественности процесса.
Лечение кисты щитовидной железы
Тактика лечения кисты щитовидной железы будет зависеть от результатов УЗИ (динамического наблюдения при 1-2 баллам по TIRADS) и тонкоигольной биопсии. [9]
При обнаружении злокачественной опухоли по данным тонкоигольной пункционной биопсии требуется провести оперативное лечение — тиреоидэктомию (полное или частичное удаление щитовидной железы) с центральной шейной лимфаденэктомией (иссечением лимфоузлов). После операции назначают радиойодтерапию 131I (радиокативным изотопом йода), а также динамическое наблюдение и заместительную терапию препаратами тиреоидных гормонов в супрессивной дозе.
При обнаружении фолликулярной аденомы, которую невозможно отличить от высокодифференцированного рака, также проводят оперативное лечение. Его объём будет зависеть от срочного гистологического заключения (проводится во время операции). Так, при выявлении рака проводится удаление всей ткани щитовидной железы, а при подтверждении доброкачественности процесса операцию заканчивают.
При подтверждении диагноза "Коллоидный зоб" инвазивное вмешательство не показано, если щитовидная железа работает нормально, не сдавливает соседние органы и не вызывает косметический дефект [11] . Наилучшей тактикой в таком случае является динамическое наблюдение, которое заключается в оценке уровня гормонов щитовидной железы и проведении УЗИ (достаточно проходить его один раз в год). Вопрос о приеме препарата решается индивидуально в зависимости от результатов обследования.
Супрессивная терапия тиреоидинами гормонам, которая применяется для уменьшения объёма щитовидной железы или её образований, не показана, так как по данным исследований общий прогноз для пациентов не улучшается.
В зависимости от объёма проведённой операции, после вмешательства пациенту могут назначить заместительную гормональную терапию тиреоидными гормонами, которые нужно будет принимать постоянно. При отсутствии постоперационных осложнений антибиотикотерапия не проводится.
Показаниями для проведения оперативного лечение являются:
- сдавление окружающих органов образованием;
- наличие функциональной автономии щитовидной железы.
Альтернативой оперативному лечению может быть терапия радиоактивным 131I. Также существует алкогольная аблация (введение этанола в ткань узла) и другие виды малоинвазивной деструкции узловых образований, однако они не получили достаточной оценки в многолетних проспективных исследованиях.
Прогноз. Профилактика
Кисты щитовидной железы — частое явление среди населения. Большинство из них не являются злокачественными, и многие также не требуют лечения в случае небольших размеров и отсутствия отрицательной динамики по данным УЗИ.
Большинство кист щитовидной железы после аспирации (70-80%) подвержены рецидивам. Чаще всего это связано с отсутствием надлежащего динамического контроля и приёма йодсодержащих препаратов, а также несоблюдения подобранной доктором диеты.
Тщательная оценка кист позволит обнаружить и удалить злокачественные новообразования. В связи с этим их благоприятный прогноз зависит от своевременной диагностики: обращения пациентов к врачу УЗИ и/или эндокринологу при наличии специфических жалоб (дискомфорт или ком в горле, попёрхивание, изменение тембра голоса).
При малигнизации образования характер прогноза будет зависеть от наличия или отсутствия метастазов, а также размера самого образования и прорастания его в окружающие ткани.
К профилактическим мерам относится:
- диспансеризация для выявления функциональных нарушений со стороны эндокринной системы и других органов;
- ведение здорового образа жизни;
- дополнительный приём витаминов и микроэлементов, которые недополучает организм (селен, цинк, витамин Д);
- правильное и здоровое питание (сбалансированное, разнообразное, с достаточным потреблением растительных и животных белков, клетчатки, зелёных овощей, несладких фруктов, полиненасыщенных жиров);
- нормализация процессов детоксикации — избавление от токсинов (гепатопротекция, улучшение работы I и II фаз детоксикации, использование хелаторов);
- уменьшение использования вредных веществ и облучения.
Как для профилактики йододефицитных заболеваний, в том числе и кист щитовидной железы, необходимо проводить профилактические государственные программы. Так, первичной профилактикой по мнению ВОЗ является йодирование соли, тогда как в группах с высоким риском (дети, беременные, кормящие) необходим дополнительный приём препаратов йода. К сожалению, ежедневное употребление продуктов, содержащих йод, не является превентивной мерой в плане развития кист щитовидной железы.
Людям, которые ранее подвергались облучению головы и шеи, для ранней диагностики злокачественных опухолей рекомендуется проходить профилактические осмотры. А тем, у кого в семье есть родные с неблагоприятной историей медуллярного рака, следует пройти генетическое тестирование. [10]
Опухоли щитовидной железы
Опухоли щитовидной железы - это доброкачественные и злокачественные узловые образования, развивающиеся из собственных клеток органа. Основными симптомами являются затрудненность дыхания, нарушение глотательных движений, кашель, боли в горле, осиплость голоса, припухлость и отечность передней стенки шеи, сонливость, быстрая утомляемость, усиление потоотделения, изменения сердечного ритма. Для установления диагноза проводится осмотр с пальпацией, назначаются анализы крови на тиреоидные гормоны и кальцитонин, УЗИ и сцинтиграфия железы, гистологическое и цитологическое исследование биоптата. Лечение включает лучевую терапию, радиойодтерапию, полную или частичную тиреоидэктомию.
МКБ-10

Общие сведения
По своему характеру опухоли щитовидной железы могут быть доброкачественными либо злокачественными. Первые не представляют угрозы для жизни и составляют до 90-95% всех диагностированных случаев. Злокачественными неоплазиями называются различные виды рака. В структуре эпидемиологии онкологических болезней на долю рака щитовидной железы приходится 2,2%. Характерные особенности таких новообразований ЩЖ - медленный рост, редкое метастазирование в других органы - существенно снижают риск летального исхода. Чаще всего опухоли обоих видов выявляются у женщин в возрасте от 40 до 60 лет. У мужчин патология обнаруживается в 3-4 раза реже.

Причины
Факторы, запускающие процесс трансформации нормальных тканей в опухоль, до конца не изучены. Установлено, что новообразование развивается при повреждении наследственного материала клеток, изменении в механизмах роста, деления и программированной клеточной гибели. В настоящее время выделено несколько причин, способных спровоцировать изменения такого типа в тканях щитовидной железы:
- Йодный дефицит. Низкое содержание йода в рационе рассматривается как один из факторов развития неоплазий ЩЖ. Согласно статистике, узловой зоб, фолликулярный и папиллярный рак чаще диагностируются в йододефицитных регионах.
- Заболевания щитовидной железы. Развитию новообразований способствует хроническое воспаление органа, гормональный дисбаланс, гиперсекреции ТТГ. Причиной доброкачественных и злокачественных уплотнений может стать аутоиммунный тиреоидит, подострый тиреоидит, диффузный токсический зоб.
- Облучение. Ионизирующее и радиационное излучение наиболее опасно в детском и подростковом возрасте. Опухоли ЩЖ чаще обнаруживаются у пациентов, подвергшихся облучению по поводу угревой сыпи, грибкового поражения волосистой части головы, увеличенных миндалин и аденоидов. Также в группе риска находятся участники и свидетели аварий на АЭС, испытаний атомного оружия.
- Наследственность. Отдельные типы рака - папиллярный, фолликулярный, медуллярный - являются результатом активации наследуемых мутировавших генов. Повышенная вероятность развития новообразования определяется при наследственных заболеваниях: синдроме Гарднера, семейном полипозе, болезни Коудена.
- Курение, прием алкоголя. Табачный дым и спиртные напитки содержат токсичные и канцерогенные вещества - тиоцианаты, ацетальдегид. Они блокируют нормальное функционирование железы, вызывают гибель ее клеток, повреждают ДНК и способствуют мутации клеточных белков.
Патогенез
В основе опухолевой трансформации клеток лежит повреждение генетического материала. Мутации ДНК приводят к нарушению процессов нормального деления, роста и апоптоза. В результате неопластических изменений клетки доброкачественных новообразований теряют способность контролировать митоз, но сохраняют свою дифференцировку - по структуре остаются клетками той ткани, из которой происходят (эпителиальной, соединительной), продолжают полностью или частично выполнять свои функции. Растут медленно, постепенно сдавливают окружающие органы, но не проникают в них.
Клетки злокачественных опухолей полностью утрачивают контроль над делением и дифференцировкой. Неоплазии быстро и хаотично увеличиваются в размерах. По строению и функциям клетки становятся непохожими на исходные, прорастают в близкорасположенные ткани и органы, то есть, оказываются способными к диффузной инфильтрации и распространению метастазов. Иногда новообразования настолько гистологически атипичны, что не удается установить, какой орган является их источником. Раковые опухоли ЩЖ характеризуются быстрым агрессивным ростом, возможностью рецидивирования.
Классификация
Увеличение размера щитовидной железы вследствие патологических процессов называется гиперплазией. Продолжающийся аномальный рост тканей приводит к формированию локального или диффузного зоба - узлового образования. На этапе его диагностирования необходима более точная дифференциация опухоли - определение ее доброкачественности или злокачественности. К доброкачественным узлам относятся:
- Фолликулярная аденома. Новообразование округлой формы, покрытое капсулой и состоящее преимущественно из клеток фолликулярного типа. Примерно 20% неоплазий ЩЗ представлены данным типом аденомы. Опухоль медленно растет и, как правило, не влияет на гормональную функцию железы.
- Токсическая аденома. Носит название «болезнь Пламмера». Образование увеличивается постепенно, но быстро проявляется клинически как источник автономной продукции тиреоидных гормонов. Диагностируется при жалобах пациентов на симптомы тиреотоксикоза.
- Киста щитовидной железы. Представляет полость, заполненную жидкостью, которая выделяется эпителием. Может быть первичной (истинной) либо вторичной, возникшей как результат деформации или кровоизлияния в аденоме. Кисты щитовидной железы составляют около 10% всех новообразований ЩЖ. Очень редко бывают злокачественными.
Злокачественные неоплазии могут развиться из фолликулярных клеток двух типов - A и B, из парафолликулярных C-клеток, нетиреоидных клеток. Различаются по степени дифференциации (дифференцированные, слабодифференцированные, недифференцированные) и провоцируются разными причинами. Выделяют следующие варианты рака ЩЖ:
- Папиллярная карцинома. Диагностируется у 90% пациентов с онкологическим поражением органа. Характеризуется медленным прогрессированием, слабой инвазивностью. Из-за отсутствия симптоматики зачастую обнаруживается на поздних стадиях. Метастазы крайне редко поражают органы, могут затронуть ближайшие лимфоузлы.
- Фолликулярная карцинома. Составляет 5% от общего числа злокачественных образований железы. Увеличивается медленно, проявляется постепенным формированием уплотнения в области шеи. Хорошо поддается лечению, 10-летняя выживаемость больных составляет 90%.
- Низкодифференцированная карцинома. К этому виду относятся папиллярные и фолликулярные опухоли, состоящие из слабодифференцированных клеток. Быстро развиваются, являются более злокачественными - инфильтрируют соседние органы и ткани, требуют радикального лечения и периодического контроля для выявления рецидивов.
- Медуллярная карцинома. Является редкой формой рака - 1% всех онкозаболеваний ЩЖ. Медуллярный рак ЩЖ Развивается в парафолликулярных клетках, производящих кальцитонин, на основе генетической предрасположенности. Провоцирует другие эндокринные заболевания.
- Недифференцированная карцинома. В составе опухоли определяются незрелые клетки (анапластические). Новообразование отличается быстрым ростом и высокой степенью злокачественности. Чаще диагностируется у пожилых людей, соотношение женщин и мужчин - 2:1.
- Лимфома. Неоплазия, формирующаяся из лимфоидной ткани. Первичная лимфома образуется самостоятельно, встречается в 2-8% случаев рака железы. Вторичное поражение становится результатом других лимфоидных опухолей. Лимфоме более подвержены лица 60-70 лет и старше. У представителей женского пола новообразование обнаруживается втрое чаще.
Симптомы опухолей ЩЖ
Неоплазия представляет собой одиночное уплотнение, в редких случаях в начале заболевания определяется диффузное увеличение железы. Темпы роста определяются характером опухоли. На начальных стадиях характерно бессимптомное течение заболевания. Первые клинические проявления обнаруживаются при увеличении размеров новообразования, его прорастании сквозь капсулу железы, фиксации органов средостения. Пациенты отмечают ощущение кома, инородного тела в горле, чувство дискомфорта, сдавливания, распирания в шее. Внешне область неоплазии становится отечной. Иногда возникают трудности глотания, одышка, удушье, осиплость, охриплость и огрубение голоса. Кашель может быть связан как со сдавливанием трахеи опухолевой тканью, так и распространением метастазов в легкие.
Боли локализуются в районе железы, нередко иррадиируют в уши, нижнюю челюсть, полость рта. Фолликулярные злокачественные опухоли стимулируют гормональные функции органа, а тиреотоксическая аденома сама является источником секреции гормонов, поэтому заболевания сопровождаются симптомами гипертиреоза и тиреотоксикоза. Больные становятся раздражительными, тревожными, испытывают приливы жара. Усиливается потоотделение, нарушается терморегуляция, повышается артериальное давление и частота сердечных сокращений. Аппетит часто увеличивается, но масса тела остается прежней или снижается. Редко новообразования являются причиной гипотиреоза. Обычно снижение выработки гормонов наблюдается в случаях, когда развитию неоплазии предшествует аутоиммунный или хронический воспалительный процесс. Пациенты вялые, апатичные, медлительные, быстро утомляются, часто мерзнут. Характерна артериальная гипотония, замедление пульса.
Осложнения
К опасным видам опухолей относятся низкодифференцированные и недифференцированные карциномы, для которых характерно скрытое течение на ранних стадиях и быстрое прогрессирование. Диагноз нередко выставляется на стадии поражения метастазами легких, костей, головного мозга, надпочечников. Наиболее тяжело поддаются лечению метастазы в костную ткань, значительная часть пациентов испытывает боли, ограничения в движениях. При обширной инфильтрации окружающих тканей десятилетняя выживаемость больных достигает лишь 60%. При отсутствии тиреоидэктомии недифференцированные опухоли, быстро разрастаясь, способны спровоцировать гибель от удушья в течение 0,5-1 года.
Диагностика
Большинство заболеваний щитовидной железы сопровождаются появлением узловых или диффузных образований. Поэтому первичной задачей врача-эндокринолога и онколога становится различение злокачественного процесса от доброкачественного. При помощи клинических и физикальных методов выполнить это практически невозможно - опухоли проявляются схожими симптомами, при пальпации определяются как локальные уплотнения, спаянные с окружающими тканями. Относительно специфическим признаком рака является увеличение шейных лимфатических узлов. Для более точной дифференциальной диагностики назначаются лабораторные и инструментальные процедуры:
- Анализы на гормоны (кровь). Повышение уровня Т4 и Т3 характерно для токсической аденомы (болезни Пламмера), болезни Грейвса, многоузлового коллоидного зоба. Реже тиреотоксикоз становится признаком фолликулярных карцином. Сниженный уровень тироксина и трийодтиронина выявляется при тиреоидите Хашимото, на поздней стадии рака.
- Анализ на кальцитонин (кровь). Высокая концентрация кальцитонина считается маркером медуллярной опухоли. Проводится проба с пентагастрином. Диагноз подтверждается, если концентрация кальцитонина увеличивается спустя 3-5 минут после внутривенного поступления пентагастрина. Результаты интерпретируются в комплексе с данными клинического, физикального и инструментального обследования, поскольку кальцитонин повышается и при неоплазиях другой локализации.
- УЗИ щитовидной железы. Ультразвуковое исследование позволяет выявить многоузловой зоб, установить большую или меньшую вероятность злокачественного образования, провести аспирационную биопсию маленьких узлов. Доброкачественная опухоль обычно гиперэхогенна, хорошо ограничена, однородна, с четким контуром, который часто окружен ободком (гало). Злокачественный узел более чем в половине случаев гипоэхогенный, с неровными контурами, слабо очерченный, солидный, с небольшим количеством жидкостных включений.
- Сцинтиграфия щитовидной железы. Радиоизотопное исследование является дополнительным методом диагностики новообразований, проводимым перед операцией. Объемные злокачественные опухоли чаще отображаются как холодные зоны, не накапливающие препарат. Доброкачественные неоплазии горячие, поглощают изотопы активнее остальной здоровой ткани. Для получения наиболее достоверной информации проводится сравнительный анализ данных сцинтиграфии и гистологического изучения материала.
- Цитологическое, гистологическое исследование. Для забора материала выполняется тонкоигольная аспирационная биопсия. При цитологическом изучении биоптата удается распознать новообразования с фолликулярными структурами - карциномы фолликулярного и папиллярного типа, фолликулярные аденомы, коллоидный зоб. Для окончательного различения злокачественных и доброкачественных уплотнений необходим гистологический анализ операционного материала.
Лечение опухолей ЩЖ
Методы терапии всегда подбираются индивидуально. Схема лечения зависит от характера новообразования (дифференцированности, агрессивности, тенденции к рецидивам), его размеров, наличия метастазов. Усилия врачей - эндокринолога, онколога, хирурга - направлены на удаление неоплазии, предупреждение ее повторного развития. Используются следующие методы:
- Хирургическое лечение. Операция показана пациентам со злокачественными новообразованиями или фолликулярными опухолями любого вида, при сдавливании зобом либо узлом расположенных рядом тканей и органов, при тяжелом сопутствующем тиреотоксикозе. В послеоперационном периоде проводится гормонозаместительная и супрессивная терапия тироксином. Существует несколько вариантов вмешательства:
- Экономная резекция. При доброкачественной одиночной неоплазии, подтвержденной результатами гистологического и цитологического исследования, удалению подлежит узел и прилежащие атрофированные ткани железы. Если образование расположено в перешейке, выполняется его иссечение и резекция части каждой доли железы.
- Радикальная резекция.Субтотальное удаление железы с оставлением небольших боковых участков по двум сторонам от трахеи показано при болезни Грейвса, многоузловых образованиях, гипертрофии тканей. Сохранные участки прикрывают паращитовидные железы и возвратный гортанный нерв.
- Тотальное удаление ЩЖ. Тиреоидэктомия целесообразна при злокачественных опухолях. Иногда при папиллярной, папиллярно-фолликулярной и медуллярной карциноме производится шейная диссекция - удаление метастатически измененных лимфоузлов шеи.
- Терапия радиоактивным йодом. Метод основан на разрушительном воздействии радиоактивного изотопа йода на опухолевые и железистые клетки. Радиойодтерапия показана после оперативного вмешательства для устранения оставшихся опухолевых тканей, метастазов, а также при наличии противопоказаний к операции, особенно если новообразование доброкачественное.
- Лучевая терапия. Применяется при анапластических формах опухолей, лимфоме, метастазах медуллярной карциномы. Используется гамма-излучение, тормозное излучение либо электроны высоких энергий. Лучевое лечение является альтернативой операции, снижает риск рецидивов.
- Химиотерапия. В случае неоперабельного рака, его резистентности к радиоактивному йоду, неэффективности дистанционного лучевого воздействия назначается лекарственное лечение. Схема химиотерапии может включать один препарат или их комбинацию.
Прогноз и профилактика
По сравнению с опухолями других локализаций узлы ЩЖ лучше поддаются терапии, менее опасны для здоровья и жизни больных. Прогноз составляется индивидуально, в подавляющем большинстве случаев он благоприятный. Профилактические меры включают избегание рентгенологических обследований шеи и головы у детей, профилактические обследования лиц с наследственной отягощенностью, отказ от курения и употребления алкоголя, контроль достаточности йода, а при его недостатке - прием йодсодержащих препаратов.
1. Злокачественные опухоли щитовидной железы: учебно-методическое пособие/ / Иванов С.А., Татчихин В.В. - 2008.
3. Метастатические опухоли щитовидной железы/ Пинский С.Б., Дворниченко В.В., Репета О.Р.// Сибирский медицинский журнал. - 2009 - №1.
Узлы и кисты щитовидной железы
Узлы щитовидной железы - очаговые образования щитовидной железы любых размеров, имеющие капсулу, определяемые пальпаторно или с помощью визуализирующих исследований. Кисты щитовидной железы - узловые образования щитовидной железы с полостью, заполненной жидким содержимым. Узлы и кисты щитовидной железы длительно могут протекать без каких либо симптомов, затем возникают различные дискомфортные явления в горле и узел становиться заметным при взгляде на шею. Гормональноактивные узлы щитовидной железы влекут за собой развитие гипертиреоза. Диагностический алгоритм при подозрении на узел или кисту включает УЗИ щитовидной железы, пункционную биопсию образования и гормональные исследования.

10% населения в мире имеют различные очаговые образования щитовидной железы. В щитовидной железе могут развиваться различные по морфологическим формам узловые образования, при этом большая часть из них носит доброкачественный характер (узловой коллоидный зоб, аденома щитовидной железы, киста щитовидной железы). Узлы являются самой распространенной патологией щитовидной железы, в 4-8 раз чаще встречающейся у женщин. Кисты составляют от 3 до 5% всех образований щитовидной железы.
Узлы и кисты щитовидной железы долгое время могут носить бессимптомный характер, при увеличении в размерах вызывают «синдром сдавления» расположенных рядом структур шеи: нарушения в работе щитовидной железы, удушье, осиплость голоса, нарушение акта глотания, першение в горле, болезненные ощущения. Наиболее опасные осложнения кист - воспаление и нагноение, узлов - злокачественное перерождение.
Частота и количество образующихся в щитовидной железе узлов увеличивается с возрастом. Причинами образования узлов в щитовидной железе служат:
- наследственная предрасположенность к их развитию
- йодный дефицит в пище и воде
- токсическое воздействие на железу лаков и красок, растворителей, бензина, фенолов, свинца
- радиационное излучение и лучевая терапия.
Патанатомия
Макроскопически щитовидная железа состоит из псевдодолек, образованных фолликулами (везикулами, ацинусами) и окруженных капиллярной сетью. Внутри фолликулы выстланы тиреоидными клетками и заполнены белковым веществом - коллоидом, содержащим протогормоны щитовидной железы. Нарушение оттока содержимого фолликула ведет к накоплению излишней жидкости и увеличению его размеров, т. е. формированию кисты щитовидной железы.
Кисты щитовидной железы могут образовываться в результате микрокровоизлияний, дистрофии или гиперплазии фолликулов железы. Обычно кисты щитовидной железы не влияют на ее функцию; нарушение функции происходит при развитии кисты на фоне других заболеваний щитовидной железы. Течение кисты в основном доброкачественное, крайне редко встречается злокачественная киста щитовидной железы, обычно достигающая больших размеров. Клинически кисты щитовидной железы ведут себя различно: иногда наблюдаются годами без отрицательной динамики, иногда быстро увеличиваются в размерах или спонтанно исчезают.
Узлы в щитовидной железе могут быть единичными (солитарными) и множественными; автономными токсическими (т. е избыточно продуцирующими гормоны) или спокойными, нетоксическими. Встречаются как доброкачественные, так и злокачественные узлы щитовидной железы. Процессы развития узлов щитовидной железы отличаются последовательной стадийностью, определяемой по степени их эхогенности при ультразвуковом исследовании:
- изоэхогенный однородный узел. Плотность внутреннего содержимого узла соответствует окружающим тканям щитовидной железы. На стадии инэхогенности отмечается усиление кровообращения и расширение сети сосудов, окружающих узел.
- изоэхогенный неоднородный узел:
- с незначительными изменениями ткани
- с выраженными изменениями ткани
- с гипоэхогенными включениями (участками кистозной дегенерации)
Изоэхогенные неоднородные узлы формируются по мере истощения и гибели тиреоидных клеток и фолликулов.
- гипо- или анэхогенный узел. Характеризуется полным разрушением ткани узла, заполнением полости жидкостью и разрушенными клетками, что приводит к формированию кисты щитовидной железы.
- стадия рассасывания содержимого кисты щитовидной железы;
- стадия рубцевания кисты щитовидной железы.
Процесс стадийного преобразования узлов щитовидной железы длителен; его скорость зависит от размеров узла, работы иммунной системы, состояния компенсаторных и приспособительных механизмов щитовидной и железы и организма в целом. Для ускорения процессов рубцевания кисты щитовидной железы иногда прибегают к ее склеротизации.
Симптомы узлов щитовидной железы
Узлы и кисты щитовидной железы долгое время развиваются бессимптомно, не вызывая никаких субъективных ощущений у пациентов. Они обычно безболезненны и невелики, не вызывают давления или дискомфорта в области шеи. Небольшие узлы и кисты щитовидной железы часто выявляются в ходе планового осмотра или обследования по поводу других заболеваний. Пальпаторно они определяются как гладкие, плотноэластические узловые образования, легко прощупывающиеся под кожей. По сравнению с узлами остальная ткань щитовидной железы имеет обычную консистенцию.
Поводом для самостоятельного обращения пациента к эндокринологу обычно служит момент, когда узел становится заметным на глаз и деформирует шею. К этому времени размеры узла или кисты щитовидной железы уже превышают 3 см в диаметре и не могут лечиться консервативно. По мере увеличения размеров узлового образования и сдавливания анатомически близких структур шеи появляются характерные жалобы: чувство «комка» и першение в горле, расстройство функций глотания и дыхания, осиплость или потеря голоса, боли в шее. Кисты щитовидной железы больших размеров могут сдавливать кровеносные сосуды. При злокачественных узловых образованиях увеличиваются шейные лимфатические узлы.
Автономные токсические узлы в результате своей гиперактивности приводят к развитию гипертиреоза и его симптомов: тахикардии, ощущений сердцебиения, приливов жара в теле, возбуждения, эмоциональной лабильности, экзофтальма. Одиночный (солитарный) узел, расположенный среди нормальной тиреоидной ткани, наиболее подозрителен в отношении злокачественной опухоли, чем один из множественных узлов, чаще служащих проявлением диффузного узлового зоба. Злокачественные узлы отличаются быстрым ростом, имеют твердую консистенцию, часто сопровождаются увеличением шейных лимфоузлов. Однако на ранних стадиях распознать доброкачественность узла по внешним признакам очень сложно.
Кисты щитовидной железы могут подвергаться воспалению и нагноению. При этом появляется резкая боль в области шеи, высокая температура, симптомы интоксикации, увеличение и воспаление регионарных лимфоузлов. Узлы и кисты щитовидной железы больших размеров могут оказывать давление на близлежащие органы и сосуды шеи. Узловые образования щитовидной железы могут перерождаться в злокачественные опухоли.
При пальпаторном определении узлового образования щитовидной железы в дальнейшем проводится его дифференциальная диагностика. План обследования включает:
- Сонографию. При проведении УЗИ щитовидной железы подтверждается наличие образования, определяются его размеры и структура (зоб, аденома, киста щитовидной железы и т. д.).
- Исследование тиреоидной панели. С целью оценки нарушения функций щитовидной железы проводят определение уровня тиреоидных гормонов (ТТГ, Т4, Т3).
- Лучевую диагностику. Из рентгенологических методик при узлах и кистах щитовидной железы применяются пневмография щитовидной железы (для уточнения прорастания окружающих тканей), ангиография (для выявления нарушений сосудистой сети), рентгеноскопия пищевода с барием и рентгенография трахеи (для определения прорастания или сдавления опухолью). При значительных размерах узлов и кист щитовидной железы или при их злокачественном характере проводится компьютерная томография.
- Пункционную биопсию. Для определения цитоморфологической структуры узла (доброкачественный или злокачественный) выполняется тонкоигольная пункционная биопсия. Во время исследования клеточный состав из узла забирают с помощью иглы и шприца и отправляют на цито-гистологическое исследование. С помощью пункционного метода можно также получить содержимое кисты щитовидной железы. Обычно содержимое кисты (при доброкачественном или злокачественном течении) геморрагическое, красновато-коричневого цвета и содержит старую кровь и разрушенные клеточные элементы щитовидной железы. Врожденные кисты щитовидной железы содержат прозрачную слегка желтоватую жидкость. При возникновении абсцесса щитовидной железы при пункции получают гной.
- Радионуклидную диагностику. При сцинтиграфии - сканировании щитовидной железы с помощью радиоактивных изотопов йода I-123, I-131 или технеция Тс-99 определяют характер узла, его гормональную активность, состояние окружающей тиреоидной ткани. По способности накопления радиоактивного йода образованием и окружающими тканями узлы делятся на:
- «теплые» - узлы, поглощающие такое же количество радиойода, как и внеузловая ткань железы (функционирующие узлы);
- «горячие» - узлы, накапливающие большее количество радиойода, чем неизмененная окружающая ткань щитовидной железы (автономно функционирующие узлы);
- «холодные» - узлы, не накапливающие радиоактивный йод; диагностическое вещество распределяется в неизмененной ткани щитовидной железы. К «холодным» узлам относятся рак щитовидной железы, однако, лишь 10% «холодных» узлов являются злокачественными.
При симптомах сдавления структур шеи проводят ларингоскопию (для осмотра голосовых связок и гортани) и бронхоскопию (для осмотр трахеи).
Лечение кист и узлов щитовидной железы
Консервативная терапия
Небольшие по размерам узлы и кисты щитовидной железы, не сопровождающиеся нарушением самочувствия пациента, лечатся консервативно, с использованием тех же фармсредств, что применяются для лечения диффузного нетоксического зоба: препаратов тиреоидных гормонов и йода. Процесс лечения препаратами тиреоидных гормонов контролируется исследованием уровня ТТГ (каждые 3-4 недели) и ультразвуковым исследованием щитовидной железы (1 раз в 3 месяца).
Лечение йодсодержащими препаратами осуществляют под контролем УЗИ и наличия в крови антител к ткани щитовидной железы (через 1 мес. после начала терапии). Исследование антител необходимо для исключения аутоиммунного тиреоидита, иногда развивающегося в виде узла и обостряющегося на фоне лечения препаратами йода. При определении в крови высокого титра антител препараты йода отменяют.
При наличии в кисте щитовидной железы признаков воспалительного процесса проводят определения возбудителя и его чувствительности к антибиотикам и подключают противовоспалительное лечение антибактериальными препаратами.
Малоинвазивные методы
Узлы и кисты щитовидной железы диаметром менее 1 см подлежат динамическому наблюдению и пунктируются в случае увеличения их размеров. Лечение кист щитовидной железы начинают с их пункционного опорожнения. Около половины кист щитовидной железы после опорожнения спадаются и перестают накапливать содержимое. Доброкачественные кисты щитовидной железы без признаков воспаления в случае рецидива можно пунктировать повторно. Иногда в полость кисты после ее опорожнения вводят склерозанты (в частности, этиловый спирт) для лучшего слипания стенок. Если киста щитовидной железы быстро накапливает содержимое, за неделю достигая исходных размеров, ее лучше удалить оперативно.
Хирургическое лечение
Показаниями к оперативному удалению доброкачественной кисты щитовидной железы служат ее большие размеры, сдавление органов шеи, быстрые рецидивы накопления жидкости после пункционного опорожнения. Чаще при наличии кисты щитовидной железы выполняется гемиструмэктомия (гемитиреоидэктомия) - удаление доли щитовидной железы. Функция щитовидной железы после такой операции обычно не нарушается. При наличии доброкачественных узлов в обеих долях щитовидной железы прибегают к двусторонней субтотальной струмэктомии - резекции большей части щитовидной железы.
Абсолютным показанием к оперативному удалению узлового образования служит его малигнизация. Во время операции проводится срочное патогистологическое определение злокачественности узла и его формы. При подтверждении наличия злокачественного образования в щитовидной железе иногда прибегают к ее полному удалению (тотальной струмэктомии) вместе с окружающей жировой тканью и лимфоузлами.
После тотальной струмэктомии развивается тяжелая гипофункция щитовидной железы, что диктует необходимость назначения пациенту в послеоперационном периоде приема тиреоидных гормонов. Поскольку удаление щитовидной железы проводится вместе с паращитовидными железами, то назначаются и препараты кальция. Частым осложнением после операций на щитовидной железе является нарушение функций голосовых связок.
Прогноз при узловых образованиях щитовидной железы определяется их гистологической формой. При доброкачественной структуре узлов и кист щитовидной железы вероятно полное излечение. Кисты щитовидной железы могут рецидивировать снова. Опухоли щитовидной железы умеренной злокачественности при отсутствии метастатических отсевов излечиваются у 70-80% пациентов. Наихудший прогноз при злокачественных новообразованиях, прорастающих соседние органы и дающих отдаленные метастазы.
Предупреждение образования узлов и кист щитовидной железы подразумевает ежедневное потребление йода в границах возрастной физиологической нормы, достаточного количества витаминов, недопущение инсоляции, облучения, проведения физиопроцедур на область шеи. После излечения кисты щитовидной железы необходимо проведение контрольных УЗИ 1 раз в год. Пациенты с мелкими узлами и кистами щитовидной железы должны состоять на учете и динамическом наблюдении у эндокринолога.
Читайте также:
