УЗИ, МРТ, КТ при врожденной кисте матки
Добавил пользователь Владимир З. Обновлено: 02.11.2025
Сегодня МРТ матки и яичников считают самым информативным и безопасным методом исследования репродуктивной системы женщины. Этот вид диагностики позволяет получать данные о состоянии определенных органов и тканей, не вводя в тело пациента каких-либо медицинских инструментов или приборов.
Кроме матки и яичников, на МРТ-снимках можно увидеть и оценить состояние маточных труб, а также определить, насколько правильно функционирует система женских органов в целом.
Что показывает МРТ матки и яичников?
МРТ позволяет точно определить наличие следующих заболеваний или отклонений в системе женских половых органов:
- воспалительные процессы, загноения в просветах маточных труб;
- миомы матки, рак яичников, саркома матки, кисты и другие новообразования;
- внематочная беременность;
- непроходимость маточных труб - на МРТ можно увидеть, присутствуют ли спайки труб, и определить точную область их возникновения;
- аномалии развития женских органов: двурогая матка, недоразвитые яичники, перегородка в полости матки и так далее;
- последствия травм или хирургических вмешательств (рубцы на матке после кесарева сечения, свищи между органами, разрывы и так далее);
- сосудистые отклонения (тромбоз, тромбофлебит);
- увеличенные лимфоузлы в области малого таза.
- боли внизу живота;
- нарушение цикла менструации;
- бесплодие (причины которого не выявлены при помощи анализов, КТ или других диагностических процедур);
- вагинальные кровотечения и так далее.
Подготовка к процедуре
МРТ матки и яичников желательно проводить с пятого по двенадцатый день менструального цикла. Если есть срочные показания к МРТ, исследование можно провести во второй половине цикла, но не во время менструации.
Для получения более точного представления о состоянии женских половых органов каждой пациентке нужно предоставить специалисту свой календарь менструации.
Перед МРТ необходимо:
- воздержаться от употребления продуктов, провоцирующих усиленное газообразование - это может быть капуста, горох, сладости и т.д.;
- опорожнить кишечник и мочевой пузырь;
- сделать очистительную клизму;
- принять активированный уголь или препарат с аналогичным действием (если порекомендовал врач).
Как делают МРТ матки?
Пациентка, проходящая МРТ матки и яичников, должна быть одета в лёгкую, необлегающую одежду без элементов из металла. Также необходимо снять серьги, цепочки, кольца и другие металлосодержащие элементы.
Во время процедуры необходимо спокойно лежать на спине, не двигаться. О своём состоянии пациентка может сообщать рентгенологу посредством двухсторонней голосовой связи.
Длится МРТ в среднем 20 минут. Возможно и более долгое исследование, если оно проводится с контрастным веществом. Для этого предварительно пациентке внутривенно через катетер вводят специальный препарат, который помогает наиболее чётко визуализировать органы и ткани женской половой системы.
Образования яичников на МРТ
На снимках MPT можно увидеть добро- и злокачественные образования в яичниках.
К первой группе относятся:
- фолликулярные кисты;
- кисты эндометрия;
- тератомы и др.
Что лучше, КТ или МРТ яичников?
Чтобы сказать,что лучше, КТ или МРТ яичников и матки, нужно определиться с целью исследования. Если предстоит оценить состояние тканей и органов женской половой системы, лучше проводить MPT. Если необходимо визуализировать органы или костную ткань малого таза, то предпочтение стоит отдать КТ. Кроме того, КТ характеризуется лучевой нагрузкой на организм, а МРТ - нет.
Как часто делают МРТ матки и яичников?
MPT - процедура безопасная и проходит без боли и дискомфорта. На состояние репродуктивной системы женщины она не влияет (нет вредных излучений, как, например, при КТ или рентгенографии). В связи с этим проводить MPT можно так часто, как того требует ситуация.
Расшифровка результатов
МР-аппарат делает множество снимков под разными углами. Получаемые изображения - это тонкие срезы, демонстрирующие контуры исследуемых органов, а также границы и размеры новообразований (если такие обнаружены).
Узнать, что показало , можно через 1-2 часа после исследования. Снимки могут быть переданы пациенту как на электронном носителе, так и в готовом виде. МРТ яичников и матки
Для более точной постановки диагноза специалисту могут потребоваться результаты анализов пациентки, результаты КТ, выписка из истории болезни или другие данные, позволяющие оценить ход заболевания в динамике и понять причины его возникновения.

Наши медицинские центры
- Взрослое отделение
- Диагностика
- Консультации
- Центр лечения боли
- Центр здоровья сердца
- Центр здоровья женщины
- Центр эндокринологии
- Детское отделение
- Массаж
- Нефрология
- Оториноларингология
- Офтальмология
- Эндокринология
Запись по ОМС на МРТ и КТ
Включить версию для слабовидящих?
Настоящим я даю своё согласие ООО «Диагностический центр «Энерго» (далее - Общество) (ИНН: 7810812758, юридический адрес - 196084, город Санкт-Петербург, ул. Киевская, д. 5 к. 4, помещ. 20-н), далее - «Оператор», и третьим лицам, осуществляющим обработку моих персональных данных по поручению Оператора, на обработку указанных сведений обо мне, в целях содействия в трудоустройстве.
Я соглашаюсь на сбор, запись, систематизацию, накопление, хранение, уточнение (обновление, изменение), извлечение, использование, передачу (предоставление, доступ), блокирование, удаление, уничтожение моих персональных данных, а также на осуществление любых других действий, предусмотренных действующим законодательством Российской Федерации, совершаемых с использованием средств автоматизации или без использования таких средств.
Настоящее согласие дано мною лично и добровольно. Настоящее согласие действует до момента его отзыва при отсутствии у Оператора других законных оснований для обработки персональных данных и может быть отозвано мной в любой момент в письменной форме путем направления уведомления Оператору по адресу, указанному выше.
Мы используем cookie-файлы, IP-адреса и данные об устройствах для аналитики, чтобы Ваше посещение сайта было удобным и персонализированным. Вы можете отключить cookie-файлы в настройках вашего браузера. Продолжая пользоваться нашим сайтом, Вы даете согласие на обработку перечисленных данных и принимаете условия Политики обработки и обеспечения безопасности ПДн.
Что покажет МРТ матки и яичников

Магнитно-резонансная томография матки (или МРТ шейки матки) - это составная часть комплексного обследования МРТ малого таза у женщин. Ее качественное проведение требует применения высокопольного томографа с мощностью магнита 1.5 Тесла и выше. Основная задача сканирования - точно показать особенности анатомии матки, включая трубы матки, внутренний зев матки, ткани тела матки, внешние полости матки, яичники. Принцип работы магнитно-резонансного томографа базируется на явлении ядерно-магнитного резонанса. Он возникает внутри аппарата МРТ под воздействием сильного магнитного поля и радиочастотных импульсов, когда протоны атомов водорода в клетках тканей начинают колебательные движения. Этот резонанс улавливает сканер, оцифровывает данные и переводит их в трехмерные изображения - томограммы.
Показания
МРТ матки и яичников является экспертной формой сканирования и в медицинских центрах СПб применяется чаще всего, когда данные УЗИ или гинекологического осмотра показали тревожные симптомы, и пациентке нужно пройти дообследование.
Что показывают снимки МРТ матки
Данное исследование особенно эффективно для выявления:
- различных форм рака матки, включая рак тела матки, саркомы матки, аденокарциномы, железисто-плоскоклеточный рак, плоскоклеточный рак;
- доброкачественных новообразований, включая миому матки, лейомиому матки, фибромиому;
- полипозные опухоли матки, полипы;
- аденомиоза матки и эндометриоза матки;
- кистозных образований;
- двурогой матки.
Его также применяют для оценки качества проведенной операции. Процедура МРТ после удаления матки нацелена на оценку степени заживления тканей и наличия остаточных раковых клеток, если резекция или удаление проводились в связи с раком матки.
Некоторые репродуктивные центры рекомендуют провести МРТ матки перед ЭКО, чтобы оценить состояние энометрия пациентки и спрогнозировать успешность процедуры оплодотворения.
Еще врачи в ходе МРТ матки и яичников могут оценить состояние рубца на матке после Кесарева сечения и составить прогноз успешности беременности и угрозы разрыва шва при изменении размеров матки в ходе периода вынашивания.
| аденомиоз матки на МРТ | рак шеи матки на МРТ | киста яичников на МРТ |
МРТ малого таза с фокусом на яичники
В ходе МРТ обследования органов малого таза врач может увидеть, как выглядят яичники пациентки, и провести дифференциальную диагностику таких заболеваний, как: кисты яичника и придатков, поликистоз, цистаденома яичника, фибротекома, рак яичников.
МРТ матки с контрастом
МРТ с контрастом при обследовании органов малого таза применяется в случаях, когда есть подозрения на опухоль, или в анамнезе женщины есть онкологический диагноз. Процедура контрастного усиления - это введение специального контрастного вещества на базе солей гадолиния в вену пациентки. Контраст имеет свойство улучшать тканевую контрастность и накапливаться в зонах объемных образований. По типу его накопления и сбрасывания рентгенолог может судить о злокачественности новообразования и степени инвазии опухоли в соседних тканях. Сам контрастный препарат гипоаллергенен и выводится из организма естественным путем в течение 24-48 часов.



МРТ опухолей матки
Одна из основных причин назначения МРТ малого таза с контрастом - дифференциальная диагностика опухолей матки. В ходе МРТ матки с контрастированием врач также может дифференцировать различные типы кист. Киста матки и яичников может иметь разные причины развития, содержимое и локализоваться в разных местах. Так, дермоидная киста (лат. dermis - кожа) на МРТ снимках имеет округлую форму, ее стенки утолщены, она наполнена клетками, которые должны были стать кожным покровом или его составляющими (волосы и ногтевые пластины). Эндометриоэдальная киста располагается в эндометрии (лат. endometrium) — внутренней слизистой оболочке тела матки. Эта киста на МРТ снимках имеет неравномерные стенки, округлую форму, внутри возможны включения от 2 до 3 мм. Возникает такая киста путем вбрасывания железистой ткани из матки в яичники и локализуется она, как правило, с одной стороны.
Кроме того, МР диагностика с контрастом - это приоритетный способ неинвазивной диагностики различных солидных образований от фибром до раковых поражений и метастазов.
Подготовка к процедуре
Перед МРТ матки и яичников рекомендуется выполнить некоторые подготовительные предписания, которые позволяют добиться наиболее точных результатов исследования. Чтобы снизить перистальтику кишечника, за 2-3 суток следует исключить из рациона газостимулирующие продуты - кисло-молочные продукты, бобовые, капусту, газированные напитки, пиво. За пять-шесть часов необходимо отказаться от приема пищи. Для лучшей визуализации мочевого пузыря лучше всего за час до исследования выпить два стакана воды. В большинстве случаев обследование матки требует ее проведения в определенные дни цикла. Интервал во многом зависит от целей диагностики, однако следует помнить, что МРТ малого таза у женщин не проводят в период менструации.
Как делают МРТ матки
Сама процедура сканирования не требует особых усилий от пациентки. Женщина должна записаться на диагностику, прийти в медицинский центр и оформить все документы. В комнате подготовки к обследованию нужно будет снять с тела все металлические предметы и выложить из карманов все электронные устройства. В МРТ кабинете женщину попросят лечь на диагностический стол и задвинут его внутри томографа. Само сканирование может проводиться с помощью катушки Body, ее накладывают поверх живота. Самое важно для качественной диагностики - это полная неподвижность обследуемой. Так рентгенолог сможет получить четкие сканы. Длительность обследования без контраста составляет 15-20 минут. МРТ матки и яичников с контрастом займет 40-50 минут.
Безопасность процедуры

Поскольку МРТ не подразумевает использование ионизирующего облучения, в ходе исследования организм женщины не получает никакой лучевой нагрузки. Поэтому это томографическое обследование безопасно проводить даже беременным женщинам. Число МР-сканирований, которые возможно делать в течение одного дня, не ограничено, их можно совмещать с другими видами аппаратной диагностики - УЗИ, рентгенографией, КТ.
Противопоказания
Несмотря на свою безопасность, МРТ имеет ряд ограничений, которые связаны с использованием сильного магнитного поля или контрастного вещества. Абсолютным ограничением к томографии будет:
- наличие в теле пациента металла;
- наличие электронных имплантов типа кардиостимуляторов и инсулиновых помп, в паспорте которых нет пометки, что они совместимы с МРТ.
Контрастирование добавляет дополнительные противопоказания:
- аллергия на элементы контраста;
- почечная недостаточность.
МРТ матки с контрастом при беременности не проводится, поскольку побочные эффекты введения препарата на развитие плода до конца не изучены.
МРТ матки при беременности
Бесконтрастную МРТ матки иногда назначают беременным женщинам. Она проходит по двум протоколам:
МРТ матки что показывает
МРТ матки направлена на выявление заболеваний женской половой системы, а также расположенных рядом с ними органов - мочевого пузыря, прямой кишки. Вместе с маткой оценивают состояние маточных труб, яичников, брюшины, тазовых лимфатических узлов.
Какие заболевания показывает МРТ матки?
Магнитно-резонансная томография показывает строение внутренних органов женской репродуктивной системы, их размеры, форму и расположение. Толщину срезов устанавливает врач, минимальная толщина среза - 1 мм, поэтому патологические образования такого размера уже попадут в зону сканирования. Применение контрастного вещества делает патологический очаг более заметным, контрастное вещество патологически накапливается измененной структурой матки.
МРТ покажет любые патологические процессы, связанные с изменением интенсивности МР-сигнала, формы, размеров органа. МРТ позволяет выявить воспалительные процессы, опухоли, простые и сложные кисты, очаги некроза, кровоизлияния, нарушения кровоснабжения.
Воспаление органов
Воспалительные заболевания матки, труб и яичников:
- оофорит - воспаление яичника;
- сальпингит - маточной трубы;
- сальпингооофорит - их сочетание.

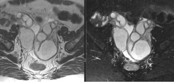
МРТ малого таза. В структуре яичника отмечается крупная киста с толстыми стенками, с неоднородным (белковым) содержимым, без перегородок и папиллярных разрастаний.

Отмечается повышение интенсивности МР-сигнала от содержимого кисты на ДВИ с признаками выраженного снижения на ИКД (в,г) - МР-признаки воспалительного (гнойного) содержимого.
Признаками воспаления будут отек стенок и стромы органов, то есть их утолщение, усиление интенсивности МР-сигнала. При хроническом процессе обнаруживают спайки - тяжи из соединительной ткани, которые деформируют орган, перекрывают его просвет (это часто является причиной непроходимости маточных труб). При гнойном воспалении в области маточных труб регистрируется расширение их просвета, они заполнены вязким жидким содержимым. По сигналу можно отличить:
- серозную жидкость (гидросальпинкс);
- кровь (гематосальпинкс);
- гной (пиосальпинкс).

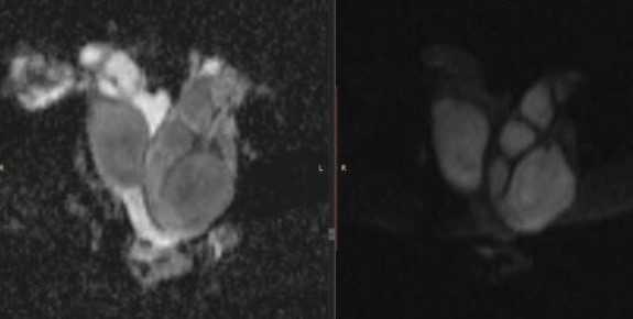
МРТ малого таза. Окружающая клетчатка с признаками отека, маточные трубы окружены неравномерно выраженным скоплением серозной жидкости.

Параовариально с обеих сторон определяются расширенные тубулярные структуры с неполными перегородками и утолщенными стенками, заполненные неоднородным вязким жидкостным содержимым, характеризующимся повышенным МР-сигналом на ДВИ с выраженным снижением ИКД (в,г) — расширенные маточные трубы с признаками белкового (гнойного) содержимого.
При скоплении гноя внутри матки (пиометра), крови (гематометра) МРТ также поможет в диагностике.
Опухоли репродуктивных органов
Наиболее частая патология, которая встречается у женщин, - миома матки. Это доброкачественная опухоль из мышечной ткани органа. Она имеет вид одного или нескольких узлов, которые расположены наиболее часто в стенке матки. Миома протекает почти бессимптомно, поэтому может достигать больших размеров. При этом на МРТ определяется значительное изменение наружной формы органа и полости матки, могут сдавливаться мочевой пузырь и кишечник.

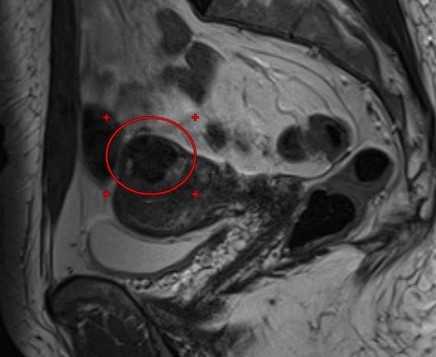
МРТ малого таза в сагиттальной плоскости. По задней стенке матки — интрамурально-субсерозная лейомиома (круг) с признаками гиалиновой дегенерации.
Из злокачественных опухолей чаще встречаются рак тела и шейки матки, рак яичников.
Кисты
В женском организме в репродуктивном возрасте происходят циклические изменения, которые приводят к образованию фолликула, желтого тела. Из них могут развиться образования, заполненные жидкостью:
- Фолликулярная киста яичника развивается из фолликула, который не лопнул в нужное время;
- Киста желтого тела появляется во 2 фазе цикла.

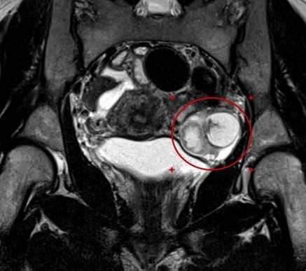
МРТ малого таза в корональной плоскости. В структуре левого яичника отмечаются:
— с толстыми и неровными стенками киста желтого тела (круг),
— функциональная геморрагическая киста (регрессирующее желтое тело).
Иногда они достигают больших размеров, могут вызывать боли, опасен разрыв кисты. Могут обратно регрессировать и исчезать без специального лечения.
Дермоидная киста содержит зачатки волос, костей, зубов, эпидермиса. Может быть расположена в яичниках. Требует хирургического вмешательства.
Серозная цистаденома - кистозное образование, заполненное серозным содержимым. Есть риск злокачественного перерождения, поэтому требуется наблюдение за новообразованием. Встречаются кисты муцинозные, которые содержат слизеподобное вещество, геморрагические кисты заполнены кровью.
Поликистоз яичников характеризуется образованием множества фолликулов, располагающихся по периферии, уплотнением стромы яичника.
Эндометриоидная киста - очаги из клеток эндометрия, которые попали в яичник, претерпевают там такие же циклические изменения, как слизистая оболочка матки.

МРТ малого таза в сагиттальной плоскости. В структуре яичника отмечается неправильной формы эндометриоидная (“шоколадная”) киста, заполненная вязким геморрагическим содержимым.
Эндометриоз
Это заболевание, которое характеризуется врастанием внутреннего слоя матки (эндометрия) в соседние слои - миометрий, периметрий. Разросшаяся слизистая оболочка может выходить даже за пределы органа, клетки находят в полости брюшины, яичниках, шейке матки, на стенках мочевого пузыря, прямой кишки.
Если во внутриутробном периоде воздействовали неблагоприятные факторы (ионизирующее излучение, вирусные болезни, токсические вещества), может нарушиться нормальное формирование внутренних половых органов. На МРТ можно выявить отсутствие яичника, маточной трубы с одной или двух сторон, всей матки или ее части. Бывает удвоение матки полное или частичное, перегородка матки делит матку на 2 полости, двурогая матка имеет вид 2 зачатков матки в виде рогов, которые полностью не соединились. Возможно наличие лишнего яичника.
Патология шейки матки
На шейке матки часто при гинекологическом осмотре выявляют эрозию. Мазок, биопсия позволяют определить микрофлору этой области, характер изменения клеток (есть или нет признаки опухолевого перерождения). МРТ позволяет увидеть, насколько глубоко поражены ткани, выбрать в зависимости от результатов терапию. При обследовании видно, если эрозия начала трансформироваться в рак шейки матки, позже в тазовых лимфатических узлах, яичниках, маточных трубах обнаруживают метастазы. Иногда на МРТ снимках выявляются полипы, воспалительные изменения матки, рубцы после кесарева сечения.
Когда назначают МРТ матки и яичника?
На МРТ направляют акушер-гинеколог, онколог, эндокринолог, если женщина предъявляет жалобы, свидетельствующие о нарушении в половой сфере:
- Боли могут беспокоить внизу живота, в паху, пояснице. Они могут быть постоянными или возникают в определенные дни цикла, после интимных отношений.
- Нарушения менструального цикла. Цикл может быть нерегулярным, менструации частые и обильные или наоборот, редкие, скудные, совсем отсутствуют. Они могут сопровождаться сильными болевыми ощущениями, вегетативными симптомами (тошнотой, головокружением, бледностью, сердцебиением).
- Бесплодие может быть связано с анатомическими дефектами - отсутствие яичника (врожденное или после оперативного удаления), аномалии матки, непроходимость маточных труб. Эти патологии выявляются на МРТ. Если строение органов нормальное, причину бесплодия ищут в дисбалансе гормонов. Для этого делают лабораторные анализы, МРТ области гипофиза, гипоталамуса.
- Кровотечения, другие выделения из половых путей. Причиной кровянистых выделений могут быть миома, эндометриоз, злокачественные образования. Отличить столь разные заболевания можно при помощи МРТ. После постановки диагноза назначают соответствующее лечение - гормональное, хирургическое, консервативное, облучение.
- При подозрении на опухоли (после осмотра у гинеколога, УЗИ) для подтверждения или уточнения диагноза. МРТ является самым точным неинвазивным методом обнаружения онкологических процессов. МРТ позволяет определить точное расположение опухоли (в каком органе), размеры, структуру и границы (ровные, четкие или бугристые, звездчатые, сложной неправильной формы), влияние на окружающие ткани (отодвигает их, вызывает их ишемию, сдавливает или инфильтрирует). Точнее только гистологическое обследование, во время которого врач видит под микроскопом клеточную структуру опухоли, удаленной при операции, или ее кусочка, полученного при биопсии.
- До и после операций на органах малого таза. МРТ перед операцией назначают для определения, операбельна ли патология. Если да, то какой объем вмешательства необходим. После операции контролируют полученный результат.
- При беременности после 14 недели для исследования качества рубца на матке после проведенного ранее кесарева сечения. В 3 триместре для точного определения размеров костей таза, помогающего прогнозировать течение родов. При клинически узком тазе выбор по ведению родов делают в пользу кесарева сечения. На ранних сроках МРТ делается только при подозрении на внематочную беременность, так как необходимо уточнить изменения для успешного проведения операции. В остальных случаях МРТ в 1 триместре не делают, так как в это время идет формирование всех органов и систем у плода.
Подготовка к МРТ матки и яичников
Органы малого таза расположены рядом с кишечником. Поэтому, если он будет заполнен газами, твердыми массами, могут возникнуть сложности при рассмотрении матки на снимках. Для получения качественных результатов исследования важна правильная подготовка к МРТ матки и яичников. За 2 - 3 дня следует убрать из рациона продукты, вызывающие газообразование (богатые клетчаткой, с высоким содержанием углеводов):
- бобовые;
- капуста, редис, редька;
- цельное молоко;
- газированные напитки.
Людям, страдающим запорами, врач скорее всего назначит слабительное, а накануне исследования вечером очистительную клизму. Перед исследованием (примерно за полчаса) рекомендуют принять спазмолитический препарат (но-шпу).
Состояние мочевого пузыря тоже отражается на качестве диагностики при МРТ матки и придатков. Оптимально, когда он наполнен примерно наполовину. Данного эффекта можно добиться, если за 1 час прекратить пить воду, не опорожнять после этого мочевой пузырь. Иногда есть необходимость быстро наполнить орган. Об этом может сообщить врач функциональной диагностики уже во время исследования. Поэтому лучше иметь с собой небольшую (0,75 л) бутылку воды без газа.
Как проходит МРТ матки и придатков яичника?
Перед тем, как делают МРТ матки, снимают все предметы из металла - украшения, одежду с застежками. О наличии электронных устройств, металлических деталей в организме (помпа для введения инсулина, кардиостимулятор, искусственные клапаны сердца, суставы) ставят врача в известность. В большинстве случаев это будет противопоказанием к проведению МРТ. При наличии паспорта на такие изделия предоставляют его.
Исследование проводят в горизонтальном положении, лежа на спине. Связь с врачом есть на протяжении процедуры. Больная может сообщить о плохом самочувствии, общается с врачом, старается сохранять неподвижность.
Обследуют тазовую область. Если до обследования проводили другие дополнительные методы диагностики, врачу предоставляют заключения специалистов. Это помогает более точно прокомментировать увиденные на снимках отклонения, отметить, как развивается процесс: нарастает, стихает, без изменений. Длительность исследования около 20 - 30 минут, МР томография с контрастом длится порядка часа.
МРТ матки, на какой день цикла?
Большое значение имеет, на какой день цикла делать МРТ матки. Обычно исследование МРТ проводится с 7 по 12 день цикла. При выборе даты обследования необходимо женщине иметь с собой на приеме у врача календарь, в котором она отмечает дни менструации.
Иногда нужно сделать МРТ срочно. В таких случаях врач может разрешить выполнить диагностическую процедуру во второй половине цикла. На вопрос, делают ли МРТ матки и яичников в период менструации, ответ отрицательный. Если кровянистые выделения продолжаются более 7 дней, исследование проводят после их прекращения.
МРТ или КТ матки?
МРТ и КТ выполняют послойное сканирование мягких тканей внутри организма, затем по снимкам воссоздается трехмерная модель органа. Отличия заключаются в том, что КТ - рентгеновский метод диагностики, МРТ - нет. Если сравнивать, что показывает МРТ матки и яичников и КТ, то магнитное поле хорошо выявляет патологию мягких тканей, КТ - костей.
Поэтому проведение МРТ при диагностике болезней матки предпочтительнее:
- нет лучевой нагрузки;
- более информативно (матка и придатки относятся к мягким тканям, лучше визуализируются на МРТ);
- выявляет патологию раньше, чем КТ.
При наличии противопоказаний для проведения МРТ, а это нахождение внутри тела пациента металла, проводят КТ.
КТ никогда не назначают при беременности, так как рентгеновские лучи плохо влияют на развитие плода. Они могут вызвать мутации, аномалии развития. МРТ не оказывает вреда на плод. В первом триместре его не назначают из предосторожностей, так как это чувствительный и критический период развития ребенка.
КТ лучше обнаруживает метастазы в костях, хотя и на МРТ они видны даже без применения контрастного вещества.
Сделать МРТ матки и придатков при хорошей подготовке, наличии показаний - большая помощь для врача в диагностике, выборе лечения и контроле за эффектом от проводимой терапии. Пациент при этом не испытывает боли, неприятных ощущений, всего лишь должен неподвижно лежать, потерпеть шум от томографа.
Раннее выявление опухоли дает шанс на полное выздоровление. Если человек находится в группе риска по возможному развитию онкологии (рак у близких родственников, предраковые заболевания у самого пациента), ему рекомендуют проходить обследование минимум раз в год. Сравнение предыдущих и следующих снимков является основанием для прогнозирования течения болезни.
Компьютерная томография матки и яичников: что показывает и как правильно делать

При КТ матки с помощью томографа делается серия послойных изображений женских репродуктивных органов. Во время обследования через тело пациентки пропускают рентгеновские лучи, которые, проходя через ткани различной плотности, теряют интенсивность. Компьютер использует данные томографа и преобразует их в снимки.
Общая характеристика обследования
КТ матки и придатков нередко проводится в комплексе с исследованиями других органов малого таза: яичников, прямой кишки, мочевого пузыря. Такой подход позволяет специалисту взглянуть на проблему под более широким углом, локализовать возможное заболевание, оценить состояние органов, их размеры и положение.
Симптомы для проведения процедуры
Часто компьютерная томография матки назначается исходя из того, что показывает УЗИ. Благодаря высокой четкости и информативности полученных с помощью КТ изображений матки, врач может подтвердить, опровергнуть или уточнить диагноз. Также есть ряд прямых показаний к проведению процедуры.
Тянущие боли в низу живота или в пояснице
Чаще всего, тупая тянущая боль свидетельствует о воспалительном процессе в матке (эндометриозе), но подобные симптомы могут проявляться и при других, более серьезных заболеваниях. Поэтому, при тянущих болях в области живота и поясницы пациенток часто направляют на УЗИ или КТ матки.
Кровотечения
Маточное кровотечение - один из наиболее распространенных симптомов гинекологических и онкологических заболеваний. При кровотечении проводят компьютерную томографию матки, исходя из того, что показывает исследование, позже назначается лечение.
Нарушения цикла

Сбой менструального цикла может говорить о серьезных нарушениях: внематочной беременности, опухоли в яичниках или в головном мозге. КТ матки и придатков с контрастом известно тем, что показывает доброкачественные и злокачественные новообразования на самых ранних стадиях их развития.
Уплотнения в области матки, выявляемые при гинекологическом осмотре
При выявлении уплотнений в матке специалист немедленно направляет пациента на ряд исследований. КТ матки и придатков проводится в том случае, если есть подозрение на развитие миомы или злокачественной опухоли.
Что можно диагностировать при КТ матки и яичников
КТ матки и яичников наиболее часто назначают при подозрении на развитие доброкачественных или раковых опухолей в области матки.
Опухолевые образования, в том числе рак и метастазы
При первом подозрении на рак специалист, как правило, назначает КТ матки. Обследование может проводиться после УЗИ, в случае, когда требуется более точная диагностика или опухоль еще находится на ранней стадии и обнаружить ее с помощью ультразвука бывает сложно.
Миомы и кисты матки
Миомы и кисты без должного лечения могут привести к более серьезным проблемам со здоровьем. КТ матки применяется для уточнения местонахождения и размеров новообразования, выяснения их влияния на другие органы.
Воспалительные заболевания
Воспалительные заболевания репродуктивных органов без должной диагностики и лечения могут переходить в хроническое состояние. Со временем подобные заболевания влекут за собой бесплодие. КТ матки полезна тем, что хорошо показывает воспаленные ткани.
Мумифицированные плоды
Внутриутробная, антенатальная смерть часто приводит к мацерации, петрификации или мумифицированию плода. Во многих случаях процесс проходит бессимптомно, плод может находиться в теле матери долгое время. Для удаления инородного тела требуется хирургическое вмешательство, перед которым нередко назначают КТ матки.
Инфекционные заболевания и др.
В ряде случаев инфекционные заболевания приводят к воспалительным процессам репродуктивных органов. Для диагностики подобных заболеваний используется целый ряд диагностических методик. В том числе КТ матки.
Подготовка

Для того чтобы данные КТ матки были наиболее информативным, пациентке рекомендуется в течение двух дней перед процедурой придерживаться легкой диеты и воздержаться от употребления вызывающих повышенное газообразование продуктов.
Проводить КТ матки и придатков рекомендуется натощак. В некоторых случаях специалист может рекомендовать принять слабительное или сделать клизму.
Как делают КТ
Во время КТ матки пациентка располагается на столе, который помещается внутрь томографа. В течение всей процедуры специалист наблюдает за самочувствием пациентки и поддерживает с ней контакт с помощью двусторонней связи.
Использование контраста
Контраст используется при диагностике онкологических заболеваний и ряда доброкачественных опухолей. В этом случае перед проведением КТ матки пациентке внутривенно вводят контрастирующий препарат. Контраст быстро распространяется по кровеносной системе и эффективно «подсвечивает» опухоль.
КТ матки и яичников не делают беременным пациенткам и кормящим матерям, поскольку во время процедуры организм подвергается воздействию рентгеновских лучей. Компьютерная томография матки и придатков с контрастом противопоказана пациентам с индивидуальной непереносимостью контрастного вещества и почечной недостаточностью.
Киста матки

Киста матки, несмотря на доброкачественную природу, коварна. Протекает бессимптомно, но при неблагоприятном развитии проявляется серьёзными осложнениями: бесплодием, внутриматочной беременностью. Воспаление кисты на фоне гормональных скачков или после гинекологической операции может привести к сепсису и даже летальному исходу.
Киста шейки матки - это образование на месте закупорки маточных, или наботовых, желез размером до 1-2 см с секретом внутри. Может долгое время не беспокоить женщину. Отличная среда для накопления и размножения бактерий, поэтому нередко провоцирует опасные воспаления в яичниках, придатках, шейном канале. Самые тяжёлые последствия болезни - эндометрит, бесплодие, внематочная беременность, перитонит.
Причины
Врачи называют 2 основные причины возникновения маточной кисты:
- воспаление инфицированных микротравм на стенках матки, которые появляются после тяжёлых родов, прерывания беременности, диагностического выскабливания, длительного ношения ВМС;
- гормональный дисбаланс, например, на фоне лишнего веса, длительного приёма гормональных контрацептивов или лечебных препаратов, заболеваний яичников, щитовидной железы.
Примерно в 15 случаев из 100 кисты матки находят у женщин репродуктивного возраста, реже - у девушек, начавших половую жизнь рано, в 14-15 лет. Если очевидных «предпосылок» для патологии нет, то стоит поискать причину в психосоматике. Поликистоз может развиться на фоне психоэмоциональных стрессов.
Как распознать кисту матки
Различают 2 типа маточных кист:
- Ретенционные или наботовы - появляются из-за нарушения естественного оттока слизи в тканях. Например, при воспалении эндоцервикса, который провоцирует закупорку железистых каналов, или при гормональных нарушениях - секрет густеет и «застаивается» в протоках.
- Эндометриоидные - появляются на фоне эндометриоза. Встречаются достаточно редко. В период менструации они увеличиваются, а к окончанию месячных уменьшаются.
Классификация кист по происхождению представлена в таблице.
| Дизонтогенетическая | Преимущественно врождённая, характеризуется множественными образованиями - поликистозом. Наросты образуются на месте полостей и каналов, которые сформировались в зародышевом периоде. Внутри кисты помимо жидкости могут быть зачатки различных органов - волос, зубов. |
| Паразитарная | Обычно является следствием половых инфекций. Патология довольно опасна, так как паразиты живут внутри полости, и, защищенные стенками кисты, быстро размножаются. |
| Травматические | Образуются на месте разрывов тканей после операций в матке или цервикальном канале: гистероскопии, хирургическом лечении. Внутри кисты может быть не только секрет, но и кровь. |
Признаки и симптомы
Киста в матке внешне никак не проявляется, её диагностируют только путём гинекологического осмотра, кольпоскопии или на УЗИ. Заподозрить появление новообразований можно по косвенным признакам:
- увеличению объёма и продолжительности менструальных выделений;
- дискомфорту или боли во время полового контакта;
- вагинальным выделениям с примесью крови;
- нарушению менструального цикла.
Поскольку киста у женщин в матке годами может «жить» бессимптомно, её обнаружение почти всегда случайно и происходит во время консультаций по поводу других проблем. Дискомфорт появляется только тогда, когда образование начинает расти или развивается гнойное воспаление. Ещё одним «звоночком» врачи считают бесплодие на фоне отсутствия каких-либо патологий.
| Тип кисты | Проявления |
|---|---|
| Ретенционная | Сухость влагалища, тянущие боли в области матки |
| Эндометриоидная | Межменструальные кровотечения, боль за неделю до менструации из-за увеличения размеров образований, объём менструальной крови увеличивается |
При воспалении киста шейки матки «ведёт себя» более агрессивно: появляется зуд и жжение в области гениталий, боль во время мочеиспускания, выделения в виде гноя или обильной слизи с неприятным гнилостным запахом.
Уже при первичном осмотре врач с высокой степенью вероятности может определить тип кисты, поскольку почти всегда они располагаются парацервикально - на поверхности шейки матки.
Как выглядит ретенционное образование? Такие кисты округлые, небольшого размера - до 1 см, крупные - от 1 до 2 см. При осмотре выявляются множественные наросты с желтоватой жидкостью внутри. Новообразования в матке, возникшие на фоне эндометриоза, крупнее и имеют бурое содержимое.
Эндоцервикальные кисты расположены в нижней части канала шейки матки, поэтому визуально не определяются.
Узнать больше об основном методе лечения кисты матки
Методы лечения
Мнения о том, нужно ли лечить поликистоз, разделились. Одни врачи убеждены, что киста матки - это нормальное явление, не требующее лечения, другие - что оставлять в организме «бомбу замедленного действия» опасно. Если начнётся гнойный процесс, пострадает весь организм.
В целом применяется следующая тактика: если у женщины находят фоновые или сопутствующие заболевания, то кисты, блокирующие протоки матки, удаляют. Вид операции зависит от клинической картины:
- Новообразования «в спокойном состоянии» убирают радиоволновым аппаратом Сургитон. Метод обеспечивает безболезненность, бескровность, малотравматичность. Радиоволны оказывают антибактериальное действие, коагулируют сосуды. Лазерное удаление (вапоризация) даёт аналогичный эффект - это одна из новых технологий, поэтому лечение стоит дороже. Классический вариант лечения - криодеструкция (замораживание азотом) - применяется обычно при эндометриозе.
- Если имеет место воспаление, то первоначально методом пунктирования удаляется гнойная жидкость, и только затем ложе кисты обрабатывается одним из названных выше способов.
Осложнения, рекомендации
Чем опасна киста матки? Патология является своеобразным маркером заболеваний репродуктивных органов. Сама по себе она не представляет угрозы даже при беременности, но при гормональных нарушениях, частых половых инфекциях становится фактором бесплодия, может вызвать смертельный рецидив.
Чтобы предупредить необратимые, опасные для жизни и здоровья последствия кисты матки, врачи рекомендуют регулярно проходить профилактические осмотры. Боли при половом акте, межменструальные кровотечения - повод, чтобы записаться на консультацию на ближайшее время.
Читайте также:
- Гиперактивный ребенок. Как с ним справиться?
- Кости и мышцы при паразитарной инфекции
- Профилактическое лечение кластерной головной боли. Комбинированная терапия кластерной боли.
- Длительность приема аспирина при инфаркте миокарда. Клопидогрел при инфаркте миокарда
- Эффективность цитокинов в лечении рака: интерфероны (ИФН), интерлейкины (ИЛ)
