УЗИ, МРТ при аденомиоме матки
Добавил пользователь Евгений Кузнецов Обновлено: 11.12.2025
Аденомиоз — одна из самых распространенных патологий матки, характеризующая эктопией эндометриальной ткани в миометрий. При данной патологии у больных меноррагия и дисменорея. УЗИ и МРТ чувствительны для данного заболевания.
Эпидемиология.
Аденомиоз обычно поражает женщин репродуктивного возраста. Особенно, в группе риска повторнородящие, также женщины послеоперационных вмешательств (кесарево сечение, выскабливание и тд). Частота встречаемости данной патологии от 5% до 70% в зависимости от чувствительности используемого метода (узи, мрт, гистология и тд). 12.
Клиническая картина.
- хроническая тазовая боль
- меноррагия
- Дисменорея
- В отличии от эндометриоза при аденомиозе, эктопические внутриматочные включения не реагируют на циклические гормональные изменения.
Патология.
При гистологии обнаружают наличие эндометриальной ткани в пределах эндометрия. Доброкачественная эктопия эндометрия в миометрий часто, как следствие, гиперплазии прилегающий мышечной ткани. Так как пациенты с аденомиозом часто обращаются с дисфункциональными маточными кровотечениями и меноррагиями, было выдвинута теория, что гипертрофированная мышечная ткань, окруженная эндометриозными разростаниями, способствует сдавлению артериол миометрия.
Радиологические находки.
Радиологическая картина разнообразна в зависимости от классификации.
Классификация аденомиоза.
Аденомиоз — это патология, обычно с генерализованным типом поражения, поражая большую часть матки (типично — поражение задней стенки матки), но в меньшей степени шейку матки. Несмотря на то, что чаще матка утолщена (увеличена в размерах), общий контур обычно сохранен. 5
В некоторых случаях, аденомиоз может быть локализован, образуя массу. В таких случаях, можно использовать термин аденомиома, хотя по мнению многих авторов различия между очаговым аденомиозом и аденомиомой присутствуют.
Самый редкий вариант аденомиоза — кистозный. Кистозный аденомиоз — это кистозные пространства заполненные продуктами распада крови, результат постоянных локальных кровоизлияний.
УЗИ исследования органов малого таза.
Ультразвуковое исследование у пациентов с дисменореей и меноррагией обычно является первым диагностическим методом, а чаще единственным. К сожалению, признаки аденомиоза при ультразвуковом исследовании вариабильны, а иногда могут отсутствовать. Что касается чувствительности и специфичности транс-вагинального ультразвукового исследования, то показатели составляют 32-63% и 95-97%. (7)
Спектр находок на УЗИ включает:
- фокальное или диффузное утолщение (громоздкость — bulkiness), типично в задней стенке. (5)
- утолщение переходной зоны (зона трансформации) иногда визуализируется, как гипоэхогенный ободок, окруженный эндометрием толщиной ≥12 мм.
- субэндометриальная эхогенная линейная исчерченность.
- субэндометриальная эхогенные узелки (специфический симптом).
- мелкие миометральные кисты / субэндометральные кисты (специфический симптом).
- гетерогенная эхогенность (гетерогенная эхоструктура миометрия). (1-2)
- гиперэхогенные включения: островки желез эндометрия.
- гипоэхогенные включения: обусловлены мышечной гипертрофией.
- «симптом жалюзи» внешний вид которых обусловлен в следствии субэндометриальной эхогенной линейной исчерченности и акустической тени — следствие гиперпластической реакции в эндометрии.
Гистеросальпинограмма (ГСГ).
Визулизируются дивертикулы, выпячиваемые в миометрий. (3).
Компьютерная томография.
КТ не достаточно для постановки диагноза, так как при КТ возможно лишь заподозрить патологию, но дифференцировать аденомиоз и миому матки на КТ очень трудно, и чаще невозможно, хотя при визуализации кальцификатов — возможно, так как это является патогномоничным признаком миомы. (5).
Магнитно-резонансная диагностика органов малого таза.
Наиболее частым диагностическим признаком является утолщение более, чем на 12 мм в зоне трансформации, как фокальное, так и диффузное (нормальный размер зоны трансформации (переходная зона) составляет не более 5 мм). (5)
Т2 релаксация.
- Обычно область аденомиоза проявляется, как поражение слабовыраженной яйцевидной формы, области диффузного утолщения, также визуализируются малые области кистозных изменений со слабо-интенсивным сигналом на Т2.
- Линейная исчерпанность. (5).
Т1 релаксация.
— часто визуализируются гиперинтенсивные очаги на Т1, обусловленные наличием кистозных пространств, заполненных продуктами распада крови в результате постоянных локальных кровоизлияний. (7).
Т1+C (Gd).
— Контраст обычно не показан для постановки диагноза аденомиоза, хотя после его введения сигнал поражения, в следствие эктопического эндометриоза, повышается.
Дифференциальная диагностика.
Дифференциальный диагноз зависит от макроскопического распределения эндометриальной ткани.
Для диффузного распределения следующий дифференциальный ряд:
- нормальная матка.
- диффузный лейомиоматоз матки.
- миометриальное сокращение: переходная находка.
- карцинома эндометрия.
- стромальная саркома эндометрия (ЭСС).
Для фокального распределения (аденомиома) следующий дифференциальный ряд:
- фибромы матки (лейомиома).
- определяется лучше, чем аденомиома.
- может иметь псевдокапсулы сжатого прилегающей миометрия ткани. 5
- карцинома эндометрия
- эндометрия стромальных саркома (ЭСС)
- опухоли матки (например, матки лейомиосаркома)
Будь то очаговый или диффузный процесс, еще есть один, но потенциально важный дифференциальный критерий. Лечение рака молочной железы тамоксифеном может провоцировать гиперплазию эндометрия и появления полипов эндометрия, которые могут имитировать аденомиоз. 4.
1. Chudleigh P, Thilaganathan B, Chudleigh T. Obstetric ultrasound, how, why and when. Churchill Livingstone. (2004) ISBN:0443054711. Read it at Google Books — Find it at Amazon
2. Atri M, Reinhold C, Mehio AR et-al. Adenomyosis: US features with histologic correlation in an in-vitro study. Radiology. 2000;215 (3): 783-90. Radiology (full text) — Pubmed citation
3. Verma SK, Lev-toaff AS, Baltarowich OH et-al. Adenomyosis: sonohysterography with MRI correlation. AJR Am J Roentgenol. 2009;192 (4): 1112-6. doi:10.2214/AJR.08.1405 — Pubmed citation
4. Hulse P, Carrington BM. MRI manual of pelvic cancer. Informa HealthCare. (2004) ISBN:1859960693. Read it at Google Books — Find it at Amazon
5. Hamm B, Forstner R, Beinder E. MRI and CT of the female pelvis. Springer Verlag. (2007) ISBN:3540222898. Read it at Google Books — Find it at Amazon
6. Togashi K, Nishimura K, Itoh K et-al. Adenomyosis: diagnosis with MR imaging. Radiology. 1988;166 (1): 111-4. Radiology (abstract) — Pubmed citation
7. Tamai K, Togashi K, Ito T et-al. MR imaging findings of adenomyosis: correlation with histopathologic features and diagnostic pitfalls. Radiographics. 25 (1): 21-40. doi:10.1148/rg.251045060 — Pubmed citation
8. Reinhold C, Tafazoli F, Mehio A et-al. Uterine adenomyosis: endovaginal US and MR imaging features with histopathologic correlation. Radiographics. 1999;19 Spec No : S147-60. — Pubmed citation
9. Novellas S, Chassang M, Delotte J et-al. MRI characteristics of the uterine junctional zone: from normal to the diagnosis of adenomyosis. AJR Am J Roentgenol. 2011;196 (5): 1206-13. doi:10.2214/AJR.10.4877 — Pubmed citation
10. Hulka CA, Hall DA, Mccarthy K et-al. Sonographic findings in patients with adenomyosis: can sonography assist in predicting extent of disease? AJR Am J Roentgenol. 2002;179 (2): 379-83. AJR Am J Roentgenol (full text) — Pubmed citation
11. Sakhel K, Abuhamad A. Sonography of adenomyosis. J Ultrasound Med. 2012;31 (5): 805-8. J Ultrasound Med (full text) — Pubmed citation
12. Taran FA, Stewart EA, Brucker S. Adenomyosis: Epidemiology, Risk Factors, Clinical Phenotype and Surgical and Interventional Alternatives to Hysterectomy. Geburtshilfe Frauenheilkd. 2013;73 (09): 924-931. doi:10.1055/s-0033-1350840 — Free text at pubmed — Pubmed citation
Аденомиоз
Аденомиоз — одно из самых распространенных заболеваний матки, характеризующееся развитием эктопичесокой эндометриальной ткани в миометрии. Основные жалобы у больных аденомиозом это меноррагия и дисменорея. УЗИ и МРТ наиболее чувствительные модальности для данного заболевания.
Эпидемиология
Аденомиоз обычно поражает женщин репродуктивного возраста. В группе риска находятся повторнородящие, а также женщины после операционных вмешательств (кесарево сечение, выскабливание и тд). Частота встречаемости данной патологии от 5% до 70% в зависимости от чувствительности используемого метода (УЗИ, МРТ, гистология и тд) [12].
Клиническая картина
- хроническая тазовая боль
- меноррагия
- дисменорея
- в отличии от эндометриоза при аденомиозе, эктопические внутриматочные включения не реагируют на циклические гормональные изменения
Патология
Гистологически обнаружается эндометриальная ткань в пределах миометрия. Доброкачественная эктопия эндометрия в миометрий часто возникает как следствие гиперплазии прилегающий мышечной ткани. Поскольку пациенты с аденомиозом часто обращаются с дисфункциональными маточными кровотечениями и меноррагиями, было выдвинута теория, что гипертрофированная мышечная ткань, окруженная эндометриозными разростаниями, способствует сдавлению артериол миометрия.
Диагностика
Радиологическая картина разнообразна в зависимости от типа аденомиоза. Выделяют следующией формы:
- (наиболее частая форма) и аденомиома и аденомиотическая киста (узел)
Аденомиоз — это патология с генерализованным типом поражения захватывающим большую часть матки (типично — поражение задней стенки матки), и в меньшей степени шейку матки. Несмотря на то, что чаще матка утолщена и увеличена в размерах, контур органа обычно сохранен [5].
В некоторых случаях, аденомиоз может быть локализован, формируя образование, в таких случаях, иногда используют термин аденомиома, хотя по мнению многих авторов различия между очаговым аденомиозом и аденомиомой отсутствуют.
Самый редкий вариант аденомиоза — кистозный. Кистозный аденомиоз — это кистозные образования заполненные продуктами распада крови за счет постоянных локальных кровоизлияний.
УЗИ исследования органов малого таза
Ультразвуковое исследование у пациентов с дисменореей и меноррагией обычно является модальностью выбора. К сожалению, признаки аденомиоза при ультразвуковом исследовании вариабильны, а иногда могут отсутствовать. Чувствительность и специфичность трансвагинального ультразвукового исследования составляют 32-63% и 95-97% соответственно [7].
- нормальная УЗ картина
- локальное или диффузное утолщение, как правило по задней стенке [5]
- утолщение переходной зоны, иногда визуализируется, как гипоэхогенный ободок (гало), окруженный эндометрием толщиной ≥12 мм
- субэндометриальная эхогенная линейная исчерченность
- субэндометриальные эхогенные узелки (специфический призак)
- мелкие кисты миометрия / субэндометральные кисты (специфический признак)
- гетерогенная эхогенность (гетерогенная эхоструктура миометрия) 1
- гиперэхогенные включения: островки желез эндометрия
- гипоэхогенные включения: обусловлены мышечной гипертрофией
- «симптом жалюзи» внешний вид которых обусловлен в следствии субэндометриальной эхогенной линейной исчерченности и акустической тени — следствие гиперпластической реакции в эндометрии.
Компьютерная томография
КТ не достаточно для постановки диагноза, при КТ можно лишь заподозрить патологию. Дифференцировать аденомиоз и миому матки на КТ очень трудно, а чаще невозможно, хотя наличие кальцификатов патогномоничный признак миомы [5].
Магнитно-резонансная томография органов малого таза
Наиболее частым диагностическим признаком является утолщение переходной зоны более чем на 12 мм, как локальное, так и диффузное (нормальный размер переходной зоны составляет не более 5 мм) [5].
- Т2
- очаги аденомиоза визуализируется в виде слабо отграниченных зон овальной формы или диффузного утолщения, часто визуализируются мелкие области с повышенным на Т2 ВИ сигналом представляющие собой зовны кистозных изменений
- линейная исчерпанность [5]
- часто визуализируются гиперинтенсивные по Т1 очаги, указывающие на менструальыне кровоизляния в эктопической эндометриальной ткани [7]
- исследование с параманетиками обычно не являюся необходимыми для постановки диагноза аденомиоза, однако после его введения, сигнал от эктопических эндометриоидных желез повышается
Дифференциальная диагностика
Дифференциальный диагноз зависит от макроскопического распределения эндометриальной ткани
- нормальная матка
- миометриальное сокращение: переходящие изменения
- злокачественные опухоли
- рак эндометрия
- стромальная саркома эндометрия
- имеет более четкие границы чем аденомиома
- может иметь псевдокапсулу представленную сдавленным прилегающм миометрием [5]
- рак эндометрия
- стромальная саркома эндометрия
- лейомиосаркома
- Малое количество родов, поздние первые роды;
- Раннее начало менструаций;
- Короткий период между менструациями, длинный период менструаций;
- Низкий вес;
- Злоупотребление алкоголем;
- Аномалии матки, затрудняющие отток менструальной крови.
- эндометриоз яичников;
- эндометриоз шейки матки и ретроцервикальный (позадишеечный) эндометриоз;
- эндометриоз маточных труб;
- эндометриоз влагалища, промежности и влагалищной части шейки матки.
- Наружный генитальный эндометриоз (эндометриодные очаги располагаются на брюшине малого таза: трубах, яичниках, связках матки);
- Эндометриоидная киста яичника (разновидность наружного генитального эндометриоза);
- Ретроцервикальный эндометриоз (разновидность наружного генитального эндометриоза) инфильтративный вариант, при котором эндометриоидная ткань располагается за маткой и может прорастать в задний свод влагалища и кишку;
- Аденомиоз — эндометриоз матки;
- Экстрагенитальный эндометриоз — это очень редкая форма эндометриоза, при которой очаги эндометриоза обнаруживаются в легких, почках, камере глаза, послеоперационных рубцах, пупке, на коже промежности.
- Малые формы эндометриоза — к ним относятся единичные очаги на тазовой брюшине и на яичниках без формирования эндометриом и спаек.
- Избавление пациентки от болевого синдрома
- Устранение проявлений заболевания, если они влияют на работу внутренних органов (яичников, кишечника, мочевого пузыря, маточных труб)
- Решение проблемы бесплодия, если предполагается, что его причиной является эндометриоз
- Прекращение обильных болезненных менструаций (при аденомиозе)
- Обеспечение профилактики прогрессирования заболевания, рецидивов заболевания после проведенного лечения
- общее состояние женщины (снижение иммунных сил организма, отягощенный аллергологический анамнез (переносимость аллергенов); рецидивирующие инфекционные заболевания, хронические процессы, артериальная гипертензия (повышение давления), гиподинамия — малоподвижный образ жизни)
- неблагоприятная социальная обстановка, при которой женщина подвергается воздействию сильных стрессов;
- плохая экологическая ситуация.
- очаговая - локальные аденомиозные очаги образованы в подлежащих тканях клетками эндометрия;
- узловая - клетки эндометрия, находящиеся в миометрии, которые по своей форме напоминают узелки (аденомиомы). Образующаяся из-за воспаления соединительная ткань окружает многочисленные узлы, заполненные кровью;
- диффузная - клетками эндометрия не образуются явные узлы или очаги;
- смешанная - сочетание узлового и диффузного аденомиоза.
- 1 степень - вовлечён только подслизистый слой;
- 2 степень - мышечный слой поражается не более, чем на половину;
- 3 степень - поражение более половины мышечного слоя;
- 4 степень - тотальное поражение мышечного слоя, в процесс могут вовлекаться смежные органы и ткани.
- обильные месячные со сгустками продолжительностью более семи дней;
- мажущие кровянистые выделения в течение нескольких дней до и после месячных;
- болезненные месячные;
- боль и кровянистые выделения при половом акте.
- сбор жалоб и анамнеза;
- гинекологический осмотр на специальном кресле;
- дополнительные инструментальные и лабораторные методы исследования.
- общий анализ крови с лейкоцитарной формулой, общий анализ мочи;
- гормональные исследования - СА125 (позволяет оценить тяжесть заболевания и эффективность проводимой терапии).
- ограничение чрезмерных физических нагрузок, приводящих к переутомлению;
- снижение времени пребывания в солярии и на открытом солнце;
- уменьшение воздействия стрессовых факторов.
- увеличенная, шаровидная матка
- гипертрофия гладких мышц миометрия
- эктопированный эндометрий, расширенные эндометриальные железы и кисты/кровоизлияния.
- Большая асимметричная матка с ровными наружными контурами.
- Максимальная толщина переходной зоны по меньшей мере 12 мм.
- Мелкоточечные гиперинтенсивные включения в миометрии.
- Отношение максимальной толщины переходной зоны к толщине миометрия более 40%.
- Разница между максимальной и минимальной толщиной переходной зоны более чем 5 мм.
- Нечеткие границы.
- Мелкоточечные гиперинтенсивные включения.
- Ранняя пролиферативная фаза менструального цикла влияет на переходную зону.
- Постменопауза и использование анти-контрацептивных препаратов влияют на переходную зону.
- Транзиторные сокращения матки.
- Псевдо-расширение эндометрия при аденомиозе
- Локальное слияние желез, образующее массу аденомиоза.
- Может проявиться как масса в толще миометрия, чаще всего в теле матки.
- Иногда может выпирать из эндометрия (подслизистая аденомиома) или выступать через эндометрий и расти как полиповидная масса (полиповидная аденомиома).
- Большая геморрагическая киста, вызванная менструальным кровотечением в эктопированном эндометрии.
- Может быть интерстициальной, подслизистой или субсерозной.
- Высокая интенсивность сигнала на T1 от содержимого, гипоинтенсивный на Т2 сигнал по периферии (аденомиоз).
- Гипоинтенсивная на T2 масса с плохо определенными границами, мелкими гиперинтенсивными фокусами в структуре, минимальным масс-эффектом.
- Гипоинтенсивная на T2 масса с четко определенными границами, масс-эффектом, крупными сосудами на периферии.
- Киста с «шоколадным» содержимым; полость выстлана функционирующим эндометрием.
- Изолированная добавочная полостная масса с характерными особенностями на МРТ.
- Нормальная матка (отсутствие аденомиоза).
- Поражение происходит от серозной поверхности с последующим вовлечением наружного миометрия.
- Не связан с переходной зоной.
- Ассоциированные с эндометриозом находки
При лечении рака молочной железы, тамоксифен может провоцировать гиперплазию эндометрия и формирование полипов эндометрия, которые могут имитировать как локальный так и диффузный аденомиоз[4].
Эндометриоз - симптомы и лечение
Что такое эндометриоз? Причины возникновения, диагностику и методы лечения разберем в статье доктора Лубнина Дмитрия Михайловича, гинеколога со стажем в 22 года.
Над статьей доктора Лубнина Дмитрия Михайловича работали литературный редактор Елена Бережная , научный редактор Сергей Федосов
Определение болезни. Причины заболевания
Эндометриоз — хроническое заболевание женской репродуктивной системы, характеризующееся прорастанием ткани слизистой оболочки полости матки — эндометрия — за ее пределы. Эндометриоз проявляется хроническим болевым синдромом и бесплодием.
Наиболее часто эндометриоидная ткань, структурно несколько отличающаяся от ткани обычного эндометрия, располагается на брюшине малого таза, яичниках, маточных трубах и связках матки. [1] Может наблюдаться поражение смежных органов: толстой кишки, мочевого пузыря, мочеточников. Также эндометриоидные очаги обнаруживаются на шейке матки, влагалище и наружных половых органах. Эндометриоз может проникать за пределы репродуктивной системы женщины — в легкие, почки, камеру глаза, а также обнаруживаться в послеоперационных рубцах на передней брюшной стенке и пупке. Отдельно выделяют эндометриоз матки — аденомиоз. При этом эндометриоидная ткань “прорастает” в мышцу матки, способствуя образованию в ней “ходов”, “очагов” и “узлов”.
![Возможные очаги эндометриоза]()
Причины эндометриоза
Причины развития эндометриоза до сих пор неизвестны. Если верить первой из трех существующих теорий, ткань эндометрия во время менструации через маточные трубы попадает в брюшную полость и там имплантируется на брюшине, покрывающей внутренние органы. [3]
Вторая теория предполагает превращение эпителия в эндометриоидную ткань, [4] третья предполагает, что частицы эндометрия могут попадать в различные органы и ткани через кровеносную или лимфатическую системы.
Есть данные о роли наследственности в развитии эндометриоза, [5] это заболевание чаще встречается у женщин, родственники которых также страдали от эндометриоза.
Факторы риска
Эндометриоз развивается только во время репродуктивного периода и не встречается у пожилых женщин.
Описаны лишь единичные случаи заболевания до начала месячных и после менопаузы. При беременности и в лактационный период проявления эндометриоза временно прекращаются. [7]
Эндометриоз встречается у 5-6% женщин в общей популяции и у более чем 50% женщин, страдающих бесплодием.
Эндометриоз и миома матки
Эндометриоз и миома матки — частые гинекологические заболевания у женщин. Оба заболевания независимо друг от друга снижают фертильность. Существуют гипотезы, что эндометриоз и миома могут возникать под влиянием одних и тех же гормональных факторов, и поэтому часто встречаются вместе [18] .
При обнаружении схожих симптомов проконсультируйтесь у врача. Не занимайтесь самолечением - это опасно для вашего здоровья!
Симптомы эндометриоза
Самым частым симптомом эндометриоза является боль, причем в 70% случаев она связана с менструацией. Менструальный цикл при этом не нарушается.
Наружный генитальный эндометриоз и его симптомы
К нему относятся:
В 25% случаев протекание заболевания проходит бессимптомно. Обычно наблюдаются боли ноющего, дергающего, режущего характера, которые локализуются внизу живота, нижних отделах спины, крестце, иррадирующие в ногу, прямую кишку. Наиболее часто они наблюдаются до и во время менструации, но могут продолжаться в течение всего цикла. Основные жалобы пациенток — болезненные ощущения во время половой жизни, при мочеиспускании и дефекации. [2] Кроме того, проявлением эндометриоза могут быть мажущие кровянистые выделениями за несколько дней до менструации и после нее. Аденомиоз характеризуется очень болезненными и обильными менструациями.
Экстрагенитальный эндометриоз
Экстрагенитальные формы эндометриоза могут проявляться по-разному: например, очаги в легких могут вызвать кровохарканье, в камере глаза — кровавые слезы, в почке или мочевом пузыре — кровь в моче. Наличие эндометриоза в коже проявляется образованием инфильтратов или пузырьков синюшного цвета, которые часто проявляются локальной болезненностью. Все проявления экстрагенитального эндометриоза, как правило, наблюдаются во время менструации, а в остальное время могут быть бессимптомными.
Кроме описанных выше проявлений есть и другие симптомы: повышенная утомляемость, запоры, диарея, вздутие живота и тошнота, особенно во время менструации.
Стадия заболевания не влияет на выраженность болевого синдрома. Так, может быть очень интенсивная боль при минимальной распространенности эндометриоза и наоборот — при множественном поражении не быть никаких симптомов.
Патогенез эндометриоза
Очаги эндометриоза представляют из себя небольшие образования различного цвета: черные, темно-синие, красные, белые, желтые и бесцветные, состоящие из ткани, которая похожа на ткань нормальной слизистой оболочки матки и у которой также имеется реакция на колебания гормонов во время менструального цикла в виде “миниатюрных менструаций”. В результате в месте расположения эндометриоидных очагов возникает воспаление с последующим формированием рубцовой ткани. Еще одним проявлением такого воспаления являются спайки, возникающие в брюшной полости, нарушающие расположение внутренних органов, стягивая их между собой. Отдельно выделяются “инфильтративные формы” эндометриоза, при которых наблюдается прорастание эндометриоидной ткани в соседние органы (толстую кишку, мочевой пузырь, мочеточники, задний свод влагалища — ретроцервикальный эндометриоз).
При аденомиозе (эндометриозе матки) ткань эндометрия прорастает в подлежащий мышечный слой матки, образуя в ткани ходы, очаги и узлы. Мышечная ткань гипертрофируется, а сама матка при этом может увеличиваться в размере.
Проявлением эндометриоза яичника является образование “эндометриоидных” кист — округлых образований, выстланных изнутри эндометриоидной тканью. Происходящие в ней миниатюрные менструации приводят к тому, что в кисте накапливаются менструальные выделения, которые и обуславливают ее рост. Сконцентрированные менструальные выделения напоминают шоколад, поэтому такие кисты еще называют “шоколадными”. Размер эндометриоидных кист может достигать 10 сантиметров и более, но, как правило, они диагностируются при меньших размерах.
Классификация и стадии развития эндометриоза
Существуют следующие формы эндометриоза: [14]
Для наружного генитального эндометриоза разработана хирургическая классификация по степени распространенности патологического процесса в малом тазу и выраженности спаечного процесса. Выделяют 4 стадии от минимального поражения до крайне выраженного.
Аденомиоз матки также разделяют на три стадии: 1 стадия — прорастание одной трети стенки матки, 2-я — половина стенки; 3-я — полное прорастание стенки матки вплоть до серозной оболочки. [13]
Осложнения эндометриоза
Эндометриоз и бесплодие
Наиболее частое и существенное осложнение эндометриоза — бесплодие, которое встречается в среднем у 50% пациенток с этим заболеванием. [10] К бесплодию могут приводить два фактора. Во-первых, в результате образования спаек возможно повреждение маточных труб, нарушающее их проходимость. Вторым механизмом, препятствующим зачатию, могут быть развивающиеся нарушения в иммунной системе брюшной полости, что приводит к повреждению сперматозоидов и яйцеклетки. Эти механизмы до конца не изучены.
Можно ли забеременеть при эндометриозе
Влияет ли аденомиоз на возможность наступления беременности, до конца неизвестно. Репродуктологи отмечают, что наличие аденомиоза может снижать шансы на наступление беременности в циклах ЭКО.
Половина пациенток с эндометриозом, несмотря на наличие этого заболевания, спокойно беременеют без какого-либо лечения.
Поражение других органов
Инфильтративные формы эндометриоза могут повреждать кишечник и мочеточники, приводя к нарушению функции этих органов. Возможна стриктура (сужение) мочеточника с нарушением оттока мочи из почки с последующим развитием гидронефроза.
Осложнением аденомиоза является железодефицитная анемия, которая развивается в результате обильных менструальных кровопотерь.
Может ли эндометриоз перерасти в рак
Очаги эндометриоза в раковые опухоли не перерождаются.
Диагностика эндометриоза
Заподозрить наличие эндометриоза можно уже по жалобам пациентки, то есть на основании расспроса о характере и локализации болей и их связи с менструальным циклом. Во время осмотра на кресле можно выявить точки локальной болезненности: при ретроцервикальном эндометриозе в заднем своде влагалища пальпируются болезненные “шипики” — характерный признак этой формы эндометриоза. При наличии аденомиоза матка может быть увеличена в размере, иметь характерную шаровидную форму. Крупные эндометриоидные кисты проявят себя увеличением придатков матки.
Патоморфология
При осмотре шейки и наружных половых органов можно обнаружить характерные “темно синие глазки”, указывающие на присутствие эндометриоидных очагов.
Ультразвуковое исследование
УЗИ — первичный метод диагностики эндометриоза, который позволяет выявить аденомиоз и эндометриоидные кисты яичника. УЗИ-диагностика этих заболеваний, как правило, не вызывает трудностей, так как существуют специфические эхографические признаки. Наружный генитальный эндометриоз при УЗИ выявить невозможно, за исключением инфильтративных форм (ретроцервикальный эндометриоз), а также кожных локализаций.
Возможности МРТ требуются не так часто, в основном для подтверждения наличия аденомиоза матки и чтобы выявить инфильтративные формы эндометриоза.
Лабораторная диагностика эндометриоза
Специфических маркеров для диагностики эндометриоза не существует. Известно, что онкомаркер СА125 может быть повышен при эндометриозе, особенно при аденомиозе, но этот маркер не специфический, его повышение возможно и при множестве других патологических состояний, поэтому им не пользуются для диагностики эндометриоза. [6]
Диагностическая лапароскопия при эндометриозе
Как правило, эндометриоз диагностируют с помощью лапароскопии. Введение в брюшную полость специальной камеры позволяет под увеличением увидеть очаги эндометриоза и оценить его распространенность. [8] Для подтверждения диагноза из очагов берут биопсию, так как визуального подтверждения не всегда бывает достаточно. [1]
Гистероскопия
Гистероскопия (осмотр полости матки с использованием миниатюрной камеры) позволяет выявить наличие в стенках “эндометриоидных ходов”, подтверждающих наличие аденомиоза, но этот метод в целом не очень информативный и необходимый, так как наличие аденомиоза легко выявляется при УЗИ, кроме того, гистероскопия не позволяет оценить степень распространенности патологического процесса, а УЗИ — позволяет.
Роль психологического фактора в диагностике
Женщины, страдающие эндометриозом, склонны к волнениям, настроены пессимистично и сосредоточены на болезненных переживаниях. Они требовательны, раздражительны и часто недовольны проводимым лечением, что может приводить к трудностям при общении с врачом [17] .
Лечение эндометриоза
Полностью вылечить эндометриоз сегодня невозможно. Это заболевание самостоятельно прекращается после наступления менопаузы. Во время репродуктивного периода возможно ликвидировать симптомы, убрать проявления заболевания (очаги, кисты, инфильтративную ткань), но добиться полного излечения пока невозможно.
Основные задачи лечениия эндометриоза:
Лечение наружного генитального эндометриоза
Консервативное лечение эндометриоза. Болевой синдром можно купировать даже простым назначением контрацептивов в пролонгированном режиме, то есть без перерывов на менструацию.
Если приёма контрацептивов оказывается недостаточно, возможно проведение курса гормонотерапии препаратами, создающими в организме женщины искусственную менопаузу (агонисты ГнРГ — золадекс, диферелин, бусерелин), длительность такого курса обычно составляет не более 6 месяцев. После окончания этого курса назначается препарат, содержащий специальный модифицированный гормон — гестаген (Визанна), который принимается в непрерывном режиме, обеспечивая отсутствие рецидива заболевания. Увы, но препарат приходится принимать или до плановой беременности, или до менопаузы, так как без подобной поддерживающей терапии проявления эндометриоза довольно быстро возвращаются.
Хирургическое лечение эндометриоза. При неэффективности медикаментозного лечения проводят лапароскопическую деструкцию очагов эндометриоза, после которой назначается описанная выше схема лечения, так как только хирургического устранения эндометриоза недостаточно — у заболевания повышенный риск рецидива.
Хирургическое лечение эндометриоза следует ставить на первое место, если пациентка изначально обращается с проблемой бесплодия. Лапароскопия позволяет не только подтвердить диагноз, но и удалить очаги, разделить спайки и по возможности восстановить проходимость маточных труб (если будет выявлено их повреждение). [9]
Лечение эндометриоза народными методами может негативно повлиять на здоровье женщины из-за отказа от терапии с доказанной эффективностью.
Лечение эндометриоидных кист яичника
Эндометриоидные кисты яичника удаляют только лапароскопическим доступом, медикаментозное лечение в отношении этой формы заболевания неэффективно. Удалению подлежат не все кисты, а только кисты, размер которых более 3-4 см. Кисты меньшего размера не влияют на работу яичника, а их рост можно сдерживать приемом контрацептивов или препаратом Визанна. [15] Наличие таких кист не влияет на возможность беременности и вынашивания, они не растут во время беременности.
Важно помнить, что хирургическое удаление эндометриоидных кист является наиболее частой причиной снижения овариального резерва яичников, проще говоря, времени их работы. Это связано с неизбежным повреждением здоровой части яичника во время удаления кисты. Поэтому удаление маленьких, неопасных кист наносит больше вреда женщине, чем пользы. Нередки случаи, когда после удаления эндометриоидных кист женщина сталкивается с преждевременным прекращением работы яичников, особенно это трагично, если пациентка имеет планы на беременность.
После удаления эндометриоидных кист также назначается противорецидивное лечение — препарат Визанна или гормональные контрацептивы в непрерывном режиме. [15] [16]
Лечение инфильтративных форм эндометриоза
Удаляются только хирургическим путем, нередко с привлечением хирургов других специальностей (абдоминальных хирургов, урологов), особенно если имеет место прорастание эндометриоидной ткани в смежные органы. Как и во всех случаях хирургического лечения эндометриоза, после операции назначается медикаментозная терапия (Визанна, КОК) до менопаузы. [15] [16]
Лечение аденомиоза
Хирургическое лечение аденомиоза практически не применяется, так как из матки крайне затруднительно вырезать измененную ткань, не имеющую четких границ с неизмененной мышцей.
Медикаментозное лечение аденомиоза заключается в создании искусственной менопаузы препаратами группы ГнРГ (Золадекс, Бусерелин, Диферелин и т.д.) [11] в течение 6 месяцев и далее, введение внутриматочной гормон-содержащей спирали “Мирена”, которая устанавливается на пять с половиной лет или назначении препарата Визанна — длительно, вплоть до менопаузы. [15] Основной задачей такого лечения является прекращение обильных и болезненных менструаций, вылечить аденомиоз подобным способом невозможно.
Достаточно эффективным методом лечения аденомиоза является эмболизация маточных артерий. [12] Суть методики заключается в следующем: посредством пункции бедренной артерии в сосудистое русло вводят специальный катетер, который под контролем рентгена проводится сначала в левую, потом в правую маточную артерии. При установке катетера в маточной артерии по нему вводят взвесь из специальных шариков, которые забивают просвет патологически разросшихся сосудов. В результате эндометриоидная ткань погибает, матка уменьшается в размере до нормальной величины, прекращаются обильные и болезненные менструации. Эффективность эмболизации маточных артерий при лечении аденомиоза достигает 82%. [12] После проведения ЭМА, в отличии от других методов лечения, в дальнейшем не требуется принимать никаких дополнительных препаратов. В настоящий момент эмболизацию маточных артерий можно считать самым эффективным методом лечения аденомиоза и отдавать ему предпочтение в первую очередь.
Прогноз. Профилактика
Эндометриоз, увы, неизлечимое заболевание, которое прекращается только после наступления менопаузы. У части пациентов эндометриоз протекает бессимптомно, к примеру, его просто обнаруживают во время лапароскопии или во время УЗИ. В таких случаях прогноз благоприятный. В остальных случаях лечение в основном симптоматическое и длительное, основная задача — довести пациентку до менопаузы.
Специфической профилактики эндометриоза не существует, однако известно, что длительный прием гормональных контрацептивов может снизить вероятность развития этого заболевания. [16]
Аденомиоз (эндометриоз матки) - симптомы и лечение
Что такое аденомиоз (эндометриоз матки)? Причины возникновения, диагностику и методы лечения разберем в статье доктора Климанова Александра Юрьевича, гинеколога со стажем в 20 лет.
Над статьей доктора Климанова Александра Юрьевича работали литературный редактор Маргарита Тихонова , научный редактор Сергей Федосов
Аденомиоз — разновидность эндометриоза — патологии, при которой маточный слой эндометрия разрастается за пределы слизистой оболочки матки (яичники, фаллопиевы трубы, органы мочевыделительной, дыхательной и пищеварительной систем). Эта форма заболевания характеризуется поражением миометрия маточной полости клетками эндометрия. Однако аденомиоз стоит рассматривать не только вкупе с эндометриозом, но и как самостоятельную нозологическую единицу [1] .
На данный момент заболеваемость аденомиозом значительно увеличилась в популяции и по распространённости находится на одной ступени с аднекситом (воспаление яичников, маточных труб) и фибромой матки (опухоль) [2] .
![Разрастание эндометрия матки]()
Причины аденомиоза
Как и при многих других гинекологических заболеваниях, хирургические внутриматочные вмешательства (аборты, диагностические выскабливания, резекции полипов без контроля гистероскопии) могут стать пусковыми механизмами для развития аденомиоза. В момент проведения этих процедур может возникнуть повреждение базальной пластинки, отделяющей эндометрий от миометрия, вследствие чего происходит инвазия (заражение) клеток эндометрия в толщу стенки матки. Осложнённые роды, длительное использование внутриматочных средств контрацепции (спиралей), дисфункциональные маточные кровотечения также следует отнести к возможным причинам аденомиоза.
Стоит отметить ряд причин, негативно сказывающихся на состоянии репродуктивной системы: возраст менархе (слишком раннее или слишком позднее наступление первого менструального кровотечения), поздняя дефлорация (разрыв девственной плевы), длительный прием КОК и других гормональных препаратов, возраст (наличие гормональной активности), ожирение.
Факторы, сопряжённые с высокими рисками развития аденомиоза:
У пациенток, близкие родственницы которых страдали аденомиозом, эндометриозом и опухолевидными образованиями органов репродуктивной системы, вероятность возникновения аденомиоза значительно выше [3] [4] . Не исключён врождённый аденомиоз в связи с нарушениями на этапе внутриутробного развития.
Аденомиоз и менопазуа
Аденомиоз — это гормонально-зависимое заболевание, которое полностью регрессирует с наступлением менопаузы.
Симптомы аденомиоза
Наиболее типичным клиническим симптомом при аденомиозе будет являться изменение характера менструации: увеличение длительности (более семи дней), усиление обильности и болезненности, наличие сгустков. К признакам аденомиоза матки также относятся межменструальные кровотечения и выделения «мажущего» характера в середине цикла [5] . Нередко пациентки сталкиваются с появлением скудных коричневатых выделений в течение нескольких дней до и после менструального цикла.
Отличительной особенностью таких пациенток является тяжёлое течение предменструального синдрома. Кроме того, менструации всегда сопровождаются болевыми ощущениями, возникающими в преддверии и стихающими в первые двое суток после их начала. Во многом интенсивность и характер боли предопределяется локализацией и степенью распространения очагов аденомиоза. Иррадиация (распространение болевых симптомов) в промежность обуславливается образованием очагов в перешейке матки. Боли в области паха говорят о наличии в матке очагов аденомиоза в области маточного угла. Зачастую женщины жалуются на появление при половом контакте резких болей и чувство дискомфорта.
Пациентки, болеющие аденомиозом, эмоционально лабильные (происходят беспричинные перепады настроения ) [6] , нередко отмечают у себя излишнюю раздражительность, спонтанное появление частых головных болей, мелькания «мушек» перед глазами, головокружений.
У значительного числа пациенток, наблюдающихся у репродуктолога по поводу бесплодия или невынашивания беременности, был установлен диагноз аденомиоз [7] .
Клиническая картина аденомиоза может быть стертой и не всегда соответствует степени распространённости и тяжести заболевания.
Патогенез аденомиоза
Аденомиоз относится к гормонозависимым патологиям, однако дать однозначный ответ на вопрос: «Что же на самом деле приводит к аденомиозу?» на данный момент наука не может. Существует ряд теорий, объясняющих патогенез этого заболевания.
Одна из гипотез выдвигает на первый план гиперэстрогению, которая приводит к усиленной пролиферации (размножению) клеток, это в свой черёд является причиной гиперпластических изменений эндометрия. Аденомиоз матки зачастую сочетается с гиперплазией эндометрия, что косвенно подтверждает теорию. Помимо прочего, он нередко протекает в сочетании с миомой матки (доброкачественное новообразование) [8] . Это говорит о некой схожести патогенетических аспектов этих патологий. Гиперэстрогения усиливает рост клеток базального слоя эндометрия, вследствие чего повышается его проницаемость и проникновение в мышечную ткань клеток эпителия.
Воспалительные заболевания имеют непосредственную связь с увеличением частоты развития аденомиоза [9] .
На сегодняшний день многими исследователями проводится изучение теории развития эндометриоидных гетеротопий (вне полости матки) из элементов эндометрия и его смещение в толщу матки.
Классификация и стадии развития аденомиоза
Код аденомиоза по МКБ-10: N80.0 Эндометриоз матки (Аденомиоз).
Классификация аденомиоза основывается на морфологических признаках, а также на степени глубины поражения миометрия. Исходя из этого можно выделить четыре формы аденомиоза:
![Формы эндометриоза матки]()
По глубине проникновения эндометрия подразделяется на:
Осложнения аденомиоза
Большинство женщин, у которых был выявлен аденомиоз, проходят наблюдение по поводу бесплодия, возникающего вследствие образования спаек в области фаллопиевых труб, затрудняющих или препятствующих прохождению яйцеклетки в матку. Анамнестически у таких пациенток, как правило, выявляется отсутствие наступления беременности в течение долгого времени при регулярной половой жизни без контрацепции, или же анамнез отягощен множественными спонтанными самопроизвольными выкидышами. Это происходит в связи с изменением состояния эндометрия, которое затрудняет процесс имплантации яйцеклетки, в сочетании с развивающимся воспалением и увеличением тонуса мышечного слоя.
Одно из серьезнейших осложнений аденомиоза — железодефицитная анемия [10] , развивающаяся в результате обильных выделений в период менструации и кровяных выделений из полости матки в середине цикла. Клинические проявления этого заболевания женщины нередко списывают на усталость: выражена слабость, сонливость, не связанная с количеством часов, затраченных на сон, повышена утомляемость; может нарастать одышка, отмечаются частые простудные заболевания, бледность кожных покровов и слизистых оболочек. Однако не стоит недооценивать эти симптомы. Несвоевременное обращение к врачу может привести к серьезным последствиям, таким как развитие сидеропенического синдрома, проявляющегося не только ломкостью волос и ногтей на ранних этапах, но при прогрессировании заболевания — парестезиями (чувство онемения и «мурашек» в конечностях), мышечной слабостью, диспепсическими и дизурическими расстройствами (нарушения пищеварения и мочеиспускания). Постоянные головокружения, многократные обмороки свидетельствуют об усугублении тяжести заболевания и необходимости экстренного этиотропного лечения!
Продолжительные, обильные менструальные циклы, сопровождающиеся сильными болями и предшествующим тяжелым предменструальным синдромом, пагубно сказываются на психоэмоциональном состоянии пациентки, снижается её стрессоустойчивость. В последующем это может привести к развитию неврозоподобных и депрессивных состояний.
Помимо этого, аденомиоз создает проблемы для женщины как в социальном плане (интенсивные выделения при менструации вынуждают снизить физическую активность и на время отказаться от любимых дел), так и в интимном: половые акты становятся болезненными, снижается их частота.
Диагностика аденомиоза
К врачу нужно обратиться при следующих симптомах аденомиоза:
Иногда аденомиоз может протекать бессимптомно или же со слабой клинической симптоматикой, поэтому необходимо тщательно провести комплекс мероприятий по диагностике, включающий в себя:
Осмотр
В момент осмотра на гинекологическом кресле врач может выявить изменение формы, структуры, размера матки. Осмотр необходимо проводить за 3-4 дня до даты предполагаемой менструации.
Бугристость матки и опухолевидные образования могут свидетельствовать о наличии аденомиоза в узловой форме; увеличенная, шаровидная форма матки — о распространенности процесса диффузного характера. Иногда аденомиоз является сочетанной с миомой патологией, в подобных ситуациях симптоматика аденомиоза остается классической. Исключением является размер матки по окончании менструального цикла: она не становится меньше и соразмерна миоме. Сочетание вышеперечисленных признаков с наличием у пациентки интенсивных болезненных и продолжительных менструаций позволяет предварительно поставить диагноз — «аденомиоз».
УЗИ при аденомиозе
УЗ-сканирование трансвагинальным датчиком [11] [12] [13] дает наиболее информативные данные о патологии. Для более точной диагностики исследование также стоит проводить незадолго до начала менструации. Однако достоверность ультразвукового исследования значительно снижается при диффузной форме аденомиоза.
![Трансвагинальное УЗИ]()
Гистероскопия и лапароскопия
При диффузной форме аденомиоза целесообразно использовать современный эндоскопический метод диагностики внутриматочных патологий - гистероскопию [14] . Нередко во время проведения процедуры при подозрении на аденомиоз выявляются и устраняются [15] иные отклонения, которые не удалось визуализировать при проведении УЗИ - полипы в матке, гиперпластические изменения эндометрия, маточную миому.
При лапароскопии видны очаги эндометриоза на внутренней поверхности брюшной стенки, спайки в трубах и эндометриоз яичников. Во время процедуры можно удалить эти очаги и разделить спайки.
МРТ и КТ при аденомиозе
При возникновении трудностей дифференциальной диагностики прибегают к выполнению МРТ. Плюсами этого метода является неинвазивность (проникновение в организм, не повреждающее кожные покровы) и точность полученных данных, а также получение чёткого трехмерного изображения, что исключает возможность диагностических ошибок.
КТ может быть дополнительным методом диагностики при аденомиозе. При обследовании будут видны очаги эндометриоза в миометрии матки.
Лабораторная диагностика
Для своевременного выявления и предупреждения анемии и воспалительных процессов необходимо выполнить:
Неправильная диагностика аденомиоза чревата опасностью назначения тяжёлой и агрессивной терапии.
Лечение аденомиоза
Возраст пациентки, распространенность и локализация болезни, его степень тяжести и форма, а также наличие у пациентки сопутствующих соматических заболеваний предопределяют тактику лечения (консервативная или оперативная).
Хирургическое лечение
Лечение аденомиоза хирургическим методом может быть органосохраняющим и радикальным. К последнему методу относят такую операцию как гистерэктомия - удаление матки, является операцией выбора у пациенток старшей возрастной группы при прогрессировании заболевания [16] [17] , сочетании с другими патологиями матки, неэффективности проводимой терапии. Несмотря на данные многочисл енных источников, клиническая практика показывает, что органосохраняющие операции не исключают рецидивов заболевания [18] [19] . Высокая эффективность иссечения очагов аденомиоза с ушиванием матки достигается при редких кистозных формах заболевания.
Консервативное лечение
При выявлении аденомиоза у молодых пациенток необходимо сохранить репродуктивную функцию. В качестве препаратов первой линии выступают комбинированные гормональные контрацептивы [20] (их назначают на длительное время). Также практикуется использование производных норстероидов. Проводится противовоспалительное лечение, назначаются витамины и препараты, действие которых направлено на снижение болевого синдрома, а также мероприятия, способствующие повышению иммунитета.
При необходимости пациенткам с тяжелыми степенями аденомиоза, на фоне которых развиваются неврозоподобные и депрессивные состояния, рекомендуется консультация психолога, проведение психотерапии. При тяжёлом течении депрессии — транскраниальная стимуляция головного мозга (при помощи магнитных импульсов) [5] .
Лечение аденомиоза при беременности
При беременности лечение не проводится — обычно на её фоне, как и при лактации, очаги аденомиоза уменьшаются самостоятельно.
Физиотерапия
Радоновые ванны при аденомиозе уменьшают кровотечение, бишофитовые и хвойные — действуют успокаивающе. Также могут быть назначены синусо-моделированные токи, магнитотерапия и климатолечение.
При эндометриозе не рекомендуются согревающие процедуры песком, парафином и грязями, массаж пояснично-крестцовой зоны, сероводородные и скипидарные ванны, токи высокой частоты.
Диета при аденомиозе
Правильное питание косвенно влияет на течение аденомиоза, поскольку позволяет нормализовать обмен веществ и убрать лишний вес. Рекомендуется есть меньше легкоусвояемых углеводов, животных жиров и копчёной пищи. Эти продукты негативно влияют на работу желудочно-кишечного тракта и печени, приводят к гормональному дисбалансу. По этой же причине исключается алкоголь. Питание при аденомиозе должно быть лёгким, низкокалорийным, богатым клетчаткой, белком, сложными углеводами, растительными жирами, микроэлементами и витаминами.
Можно ли полностью вылечить аденомиоз
Аденомиоз нельзя вылечить полностью, хирургическая операция зачастую решает проблему лишь на время. Именно поэтому профилактика аденомиоза невероятно актуальна.
Проходит ли аденомиоз самостоятельно
Самостоятельно аденомиоз пройти не может. Особенно эндометриоз яичников, который лечится только хирургически.
Профилактика аденомиоза
Своевременность выявления заболевания играет значительную роль, поэтому важно обращать внимание на состояние своего здоровья, регулярно посещать врача-гинеколога, выполнять ультразвуковое исследование органов малого таза.
В комплекс мероприятий, направленных на предупреждение развития аденомиоза, можно включить:
Нормализация режима труда и отдыха также благотворно сказывается на общем состоянии жизни.
При должном отношению к своему здоровью снижаются риски развития не только аденомиоза, но и сопутствующих патологий.
За дополнение статьи благодарим Светлану Симанину — гинеколога-эндокринолога, научного редактора портала «ПроБолезни».
Аденомиоз и МРТ: то, что вы должны знать и о чем должны быть в курсе
Аденомиоз является распространенным доброкачественным гинекологическим заболеванием, характеризующимся наличием эктопированных эндометриальных желез и стромы в миометрии. Это заболевание архиметры или внутреннего миометрия, являющееся результатом инфильтрации базального эндометрия в подлежащий миометрий, с последующей гипертрофией и гиперплазией гладких мышц.
Клинический диагноз, как правило, невозможен из-за неспецифического характера симптомов, таких как дисменорея и меноррагия и частого сочетания с другими заболевания органов малого таза.
Трансвагинальное УЗИ и МРТ являются основными радиологическими инструментами для диагностики данной патологии. МРТ является более точным, чем УЗИ в случаях, когда присутствуют дополнительные повреждения матки.
Перевод презентации "Adenomyosis and MRI: What you need to know and be aware of"
Перевод на русский: Симанов В.А.
Патология
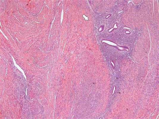
Гистопатологические критерии диагностики включают наличие эктопированной эндометриоидной ткани в миометрии, в 2,5мм от границы с эндометрием (рис. 1).
На патологическом препарате (рис.2):
![]()
Рис.1: Эктопированные эндометриальные железы и строма (стрелка), окруженные гипертрофированной ггладкомышечной тканью.
![]()
Рис.2: диффузное утолщение миометрия в связи с аденомиозом.
Особенности визуализации на МРТ
Аденомиоз выглядит как утолщение соединительной зоны образующее плохо отграниченную область низкой интенсивности сигнала, часто с гиперинтенсивными очагами на Т2-взвешенных изображениях. В основном локализуется в области дна, и, как правило, в задней стенке матки.
Выделяют две формы аденомиоза (рис.3):
1) диффузная: очаги аденомиоза распределены в пределах всего миометрия.
2) фокальная: очаги аденомиоза в миометрии присутствуют на ограниченном участке.Наиболее важным для диагностики аденомиоза признаком на МРТ является толщина переходной зоны более 12 мм. Толщина менее 8 мм, как правило, позволяет исключить диагноз.
При толщине переходной зоны от 8 до 12 мм, диагноз аденомиоза требует определенных вторичных критериев.
МРТ признаки аденомиоза:
![]()
Рис.3: Схематическое изображение и сагиттальные T2-взвешенные изображения нормальной постпубертатной матки (а), диффузного аденомиоза (b), фокального аденомиоза (с).
а) эндометрий однородно гиперинтенсивный, тонкая переходная зона имеет низкую интенсивность сигнала, наружный миометрий имеет промежуточную интенсивность сигнала; b) и с) аденомиоз матки с гипонтенсивным диффузным и фокальным расширением переходной зоны.
![]()
Рис.4: Диффузный аденомиоз: а) сагиттальные и b) корональные T2 изображения, показывающие утолщение переходной зоны c образованием плохо отграниченной области с низкой интенсивностью сигнала, точечными гиперинтенсивными включениями.
![]()
Рис.5: Фокальный аденомиоз: а) сагиттальные T2, b) аксиальные T2 , с) аксиальные T1 3D FS изображения, показывающие фокальное асимметричное утолщение переходной зоны, образующее плохо отграниченную область с низкой интенсивностью сигнала, наличием в структуре мелких гиперинтенсивных на Т2 и Т1FS включений, представленных мелкими кровоизлияниями.
Трудности в диагностике
Есть несколько подводных камней, о которых Вы должны знать:
1. В раннюю пролиферативную фазу переходная зона может продемонстрировать заметное утолщение. Важно знать фазу менструального цикла пациента при интерпретации исследования.
2. В ряде случаев переходная зона может быть неизмеримой, а именно примерно у одной трети маток в постменопаузе и при приеме анти-контрацептивных препаратов (Рис.6).3. Транзиторные сокращения матки появляются в виде перпендикулярных к переходной зоне полос, гипоинтенсивных на Т2-взвешенных изображениях, имитирующих фокальный аденомиоз (Рис.7).
4. Псевдо-расширение эндометрия частая находка при аденомиозе, представляет собой вторжение базального эндометрия в миометрий. Может имитировать рак эндометрия с инвазией в миометрий, имеющий аналогичные признаки на МРТ (Рис.8).
![]()
![]()
Рис.7 Сокращения матки, имитирующие аденомиоз: а) и b) сагиттальные T2 взвешенные изображения, гитпоинтенсивные полосы, перпендикулярные к переходной зоне, исчезающие/изменяющиеся через несколько минут, представляют собой физиологические сокращения матки.
![]()
Рис.8 Псевдо-расширение эндометрия: сагиттальные T2 взвешенные изображения, утолщение переходной зоны с полосатыми участками высокой интенсивности сигнала, расходящимися от эндометрия по направлению к миометрию, имитирующими инвазию рака эндометрия.
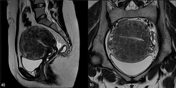
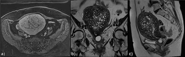
Необычные проявления аденомиоза
а) внешний вид «швейцарский сыр» (Рис.9)
б ) аденомиома и полиповидная аденомиома (Рис.10 и Рис.11)
с ) кистозная аденомиома (Рис.12)
![]()
Рис.9 Внешний вид "швейцарский сыр" а) аксиальный T1 3D FS, b) корональный T2 и с) сагиттальный T2, показывающие плохо отграниченную, утолщенную переходную зону с наличием в миометрии большого количества железистых кист, узелков и линейных бороздок.
![]()
Рис.10 Аденомиома. Сагиттальное T2 взвешенное изображение, отграниченная гипоинтенсивная масса в толще миометрия с нечеткими контурами, мелкими гиперинтенсивными фокусами в структуре и минимальным масс-эффектом.
![]()
Рис.11 Полиповидная аденомиома: а) саггитальные Т2 и b) аксиальные Т2 взвешенные изображения, шаровидной формы участок переходной зоны с нечеткими контурами, выступающий в полости матки.
![]()
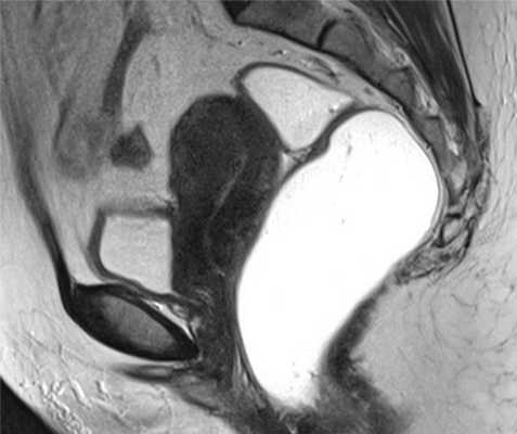
Рис.12 Изолированная или ювенильная кистозная аденомиома: а) и b) сагиттальные с) корональные T2-взвешенные изображения, шаровидное образование с центральной полостью, имеющей гиперинтенсивный сигнал, не связанное с полостью матки; в остальном матка нормальная.
Дифференциальный диагноз
а) Аденомиома и лейомиома
Основной дифференциальный диагноз с лейомиомой.б) Изолированная/ювенильная кистозная аденомиома и accessory cavitated uterine mass - ACUM (термин не имеет адаптированного перевода на русский язык)
Ювенальная кистозная аденомиома, не сообщающаяся добавочная полость матки и в некоторых случаях uterine-like массы, имеют схожие симптомы и особенности визуализации и могут представлять собой одну и ту же патологию - ACUM. Было высказано предположение, что ACUM представляют собой новую разновидность аномалии Мюллеровых протоков, как правило, расположены у крепления круглой связки.
в) наружный аденомиоз и субсерозный эндометриоз (Рис.15)
При наличии наружного аденомиоза следует рассмотреть гипотезу о субсерозном эндометриозе.
Некоторые аденомиозоподобные поражения могут быть замечены в субсерозной области матки, с картиной на МРТ, похожей на тазовый эндометриоз с вовлечением миометрия / инвазивный солидный эндометриоз.
Инвазивный солидный эндометриоз:
г) диффузный аденомиоз и тамоксифен-ассоциированные кисты (Рис.16)
До сих пор неясно, наблюдается ли повышенная заболеваемость аденомиозом у женщин, получавших тамоксифен, или существует спектр тамоксифен-ассоциированных кист, имитирующих особенности аденомиоза (аденомиозоподобные изменения).![]()
Рис.13 Аденомиома: а) сагиттальный Т2 и b) аксиальный Т2-взвешенные изображения, неоднородная гипоинтенсивная на T2 масса с плохо определенными границами, мелкими гиперинтенсивными фокусами в структуре (белые стрелки).
![]()
Рис.14 Лейомиома: а) сагиттальный Т2 и b) аксиальный Т2-взвешенные изображения, неоднородная гипоинтенсивная на T2 масса с четко определенными границами, масс-эффектом на окружающие ткани (звездочка). Есть также особенности, наводящие на мысль о аденомиозе.
![]()
Рис.15 Наружный аденомиоз: корональные T2 взвешенные изображения, субсерозная плохо отграниченная масса с низкой интенсивностью сигнала, мелкими гиперинтенсивными фокусами в структуре в левой стенке матки (белая стрелка), имитирующая эндометриоз. Также видны лейомиомы (звездочки).
![]()
Рис.16 Тамоксифен-ассоциированные аденомиозоподобные изменения: сагиттальные T2 взвешенные изображения, множественные кисты выстланные атрофированным эндометрием, локализованные на границе эндометрия с миометрием.
Ассоциированные состояния
Аденомиоз часто ассоциируется с гормонозависимыми тазовыми поражениями:
1. Лейомиома.
2. Глубокий тазовый эндометриоз.
3. Полипы / гиперплазия эндометрия.1. Лейомиома (Рис.17)
Лейомиомы присутствуют в почти половине случаев с аденомиозом матки.2. Глубокий тазовый эндометриоз (Рис.18)
Около одной трети молодых женщин с клиническим подозрением на глубокий инфильтративный эндометриоз на МРТ имеют признаки аденомиоза матки. Кроме того, тяжесть инфильтративного эндометриоза, кажется, коррелирует с аденомиозом.3. Полип эндометрия / гиперплазия эндометрия (Рис.19)
Было доказано, что аденомиоз в значительной степени связан с полипами эндометрия и шейки матки.![]()
Рис.17 Диффузный аденомиоз и лейомиомы: а) аксиальные T2 b) сагиттальные T2 взвешенные изображения, показывающие диффузное утолщение переходной зоны (белая стрелка) и множественные гипоинтенсивные массы, представленные лейомиомами (звездочки).
![]()
Рис.18 Аденомиоз и эндометриоз: а) и b) Саггитальные T2 взвешенные изображения, расширение переходной зоны с формированием плохо отграниченной области низкой интенсивности сигнала с мелкими гипериненсивными включениями - аденомиоз (белая стрелка); узел эндометриоза в стенке мочевого пузыря (наконечник стрелки); эндометриома в левом яичнике с T2 shading эффектом (черная стрелка).
![]()
Рис.19 Диффузный аденомиоз и полип эндометрия: а) и b) сагиттальные T2 с) корональный T1 3D FS с контрастом, плохо определенное утолщение переходной зоны (аденомиоз) и гипоинтенсивное узловое образование в полости матки, представленное небольшим полипом эндометрия (стрелки).
Читайте также:























