УЗИ при дивертикулите
Добавил пользователь Владимир З. Обновлено: 02.11.2025

Дивертикулярная болезнь кишечника является на сегодняшний день весьма актуальной проблемой ввиду частоты встречаемости, характера осложнений и дальнейшего лечения (в том числе и хирургического).

Дивертикулез— наличие множественных дивертикулов полого органа. Дивертикул представляет собой грыжевидное выпячивание стенки полого органа. По строению дивертикулы разделяют на истинные, в которых прослеживаются все слои полого органа, и ложные, в стенке которых отсутствует мышечный и подслизистый слои. По происхождению дивертикулы делятся на врожденные и приобретенные. Истинные дивертикулы по преимуществу врожденные, ложные — приобретенные.
По морфо-функциональным особенностям выделяют пульсионные дивертикулы, возникающие в результате действия внутрипросветного давления на стенку полого органа, и тракционные, формирующиеся в результате фиксации органа и деформации его стенки. В данной статье будут рассматриваться примеры приобретенных пульсионных дивертикулов сигмовидной кишки.
Дивертикулы могут локализоваться в любом отделе толстой кишки. Чаще дивертикулез локализуется в сигмовидной кишке - в 60-85 % случаев, нисходящей ободочной - 13-24%, поперечной ободочной - 5%, восходящей - 6-17%, в слепой кишке -3 %. Самым частым осложнением дивертикулярной болезни кишечника является острый дивертикулит (60%), реже развиваются перидивертикулярный инфильтрат (11,9%), абсцесс (7,1%), кишечное кровотечение (15,1%), перфорация (4,9%) и кишечная непроходимость (1,0%).
Клинически дивертикулит может проявляться схоже с такими заболеваниями, как острый аппендицит, аднексит, язвенная болезнь желудка и двенадцатиперстной кишки, кишечная непроходимость, почечная колика, синдром раздраженной кишки.
Важную роль в диагностике этого заболевания имеют физикальное обследование, сбор анамнеза и выполнение лабораторных тестов. Однако клинико-лабораторных данных не всегда бывает достаточно для своевременной постановки диагноза дивертикулита и его подтверждения, что требует применения дополнительных, инструментальных методов диагностики.
До недавнего времени УЗИ толстой кишки считалось неинформативным из-за наличия в ней газа, затрудняющего визуализацию. Вместе с тем, в последние годы появилось достаточное количество публикаций, свидетельствующих о возможности использования ультразвуковой методики даже без необходимости предварительной подготовки пациентов при острой абдоминальной патологии, что особенно важно при обследовании пациентов в условиях приемного покоя по срочным показаниям. Ультразвуковое исследование в диагностике дивертикулита по своей информативности не уступает КТ, и имеет ряд несомненных преимуществ, таких как отсутствие лучевой нагрузки, быстрота выполнения и высокая доступность исследования. УЗИ позволяет получить достоверную информацию о толщине стенки петли кишечника, наличии дивертикулов, дивертикулита и осложнений дивертикулярной болезни кишечника Помимо этого, ультразвуковое исследование играет важную роль при дальнейшем динамическом наблюдении за пациентами в ходе лечения, а также при выполнении интервенционных процедур (в случаях развития абсцессов), вовлечения (или воспаления) мезентериальных лимфатических узлов.Вышеприведенные характеристики позволяют рассматривать ультразвуковое исследование как высокочувствительный, самостоятельный метод визуализации, который должен использоваться на первом этапе обследования пациентов с подозрением на дивертикулит.
Список использованной литературы:
Васильева М,А., Пензина А.О. Ультразвуковая диагностика отграниченного перитонита при «прикрытых» перфорациях желудочно-кишечного тракта (Обзор литературы) Радиология-практика №5 (53) стр. 73-81 2015
Халилов Х.С., Хаджимухамедов Н.А. Результаты диагностики и лечения осложненных форм дивертикулеза толстой кишки // Сб. тез. Первой международной конф. по торакоабдоминальной хирургии. М., 2008. С 42-43
Dietrich CF, Muller G, Ignee A. Acute abdomen, gastroenterologists view. Praxis (Bern 1994) 2007; 96 (16): 645-659
Dietrich CF, Zeuzem S, Caspary WF, Wehrmann T. Ultrasound lymph node imaging in the abdomen and retroperitoneum of healthy probands. Ultraschall Med 1998; 19(6):265-269.
Farag Soliman M, Wustner M., Sturm J. et al. Primardiagnostik der akuten Sigmadivertikulitis. Sonographie versus Computertomographie, eine prospective Studie. Ultraschall in Med 2004/ 25\342-347
Hollerweger A., Macheiner P, Rettenbacher T, et al, Colonic diverticulitis: diagnostic value and appearance of inflamed diverticula - sonographic evaluation. Eur Radiol 2001 11 1956-1963
Hirche TO, Russler J, Braden B, Schuessler G, Zeuzem S, Wehrmann T et al. Sonographic detection of perihepatic lymphadenopathy is an indicator for primary sclerosing cholangitis in patients with inflammatory bowel disease. Int J Colorectal Dis 2004; 19(6):586-594.
Khaw KT, Yeoman LJ, Saverymuttu SH et al. Ultrasonic patterns in inflamattory bowel disease. Clin Radiol 1991; 43(3):171-175
Lembcke B. Diagnosis, differential diagnosis, and classification of diverticular disease. Vuszeralmedizin 2015-3 95-102
Murphy T., Hunt R.H., Fried M.D. et al // Diverticular disease. WGO-OMGE Global Guidelines. 2005. P. 44-49.
Nuernberg D., Ignee A., Dietrich CF. Current status of ultrasound in gastroenterology bowel and upper gastrointestinal tract. Я Gastroenterol 2007;45(7):629-640
Vasileios R., Anna G., Christos L. Abdominal wall abscess due to acute perforated sigmoid diverticulitis: a case report with MDCT and US findings. Case Кузю Radiology 2013 V.32 № 1-2. Р 271-276
Дивертикул желчного пузыря: возможности ультразвуковой диагностики (клиническое наблюдение)

Экспертный класс по доступной цене. Монокристальные датчики, полноэкранный режим отображения, эластография, 3D/4D в корпусе ноутбука. Гибкая трансформация в стационарный сканер при наличии тележки.
Введение
Дивертикул желчного пузыря - редкая врожденная патология, которую относят к аномалиям развития пузыря, встречающаяся, по данным разных статистик, в 0,04-1,00% случаев [1, 3].
Аномалии желчного пузыря принято подразделять на 4 типа:
- 1-й тип - аномалии формы (перегибы, перегородки, желчный пузырь в виде бычьего рога, крючковидный, S-образный, ротообразный, в виде фригийского колпака);
- 2-й тип - аномалии положения (внутрипеченочное, внепеченочное, интерпозиция, инверсия, дистопия, ротация);
- 3-й тип - аномалии количества (агенезия, удвоение, дивертикулы);
- 4-й тип - аномалии размеров (гипогенезия, гигантский желчный пузырь).
Дивертикулы желчного пузыря относятся к 3-му типу и представляют собой мешковидное выпячивание стенки пузыря на ограниченном участке вследствие локального отсутствия эластического каркаса стенки.
Дивертикулы могут быть врожденными и приобретенными [7], причина первых кроется в нарушении внутриутробного развития. Так, дивертикулы тела и шейки могут исходить из сохраняющихся пузырно-печеночных протоков, которые в норме в эмбриональном периоде соединяют желчный пузырь с печенью. Дивертикулы дна образуются при неполном повторном формировании просвета в плотном эпителиальном зачатке желчного пузыря. При перетягивании неполной перегородкой области дна желчного пузыря образуется небольшая полость. Эти дивертикулы встречаются редко и не имеют клинического значения.
Приобретенные дивертикулы в полых органах развиваются при сочетанном воздействии двух главных факторов: наличии слабости или расхождения мышечной стенки и высокого давления внутри органа.
Как правило, приобретенные дивертикулы желчного пузыря образуются в проекции дефекта эластических волокон при наличии сопутствующего воспаления стенки.
По строению различают истинные и ложные дивертикулы [5, 6]. Истинный дивертикул представляет собой выпячивание участка всех слоев стенки органа, ложный - только слизистой оболочки. Истинные дивертикулы являются врожденными, в то время как ложные дивертикулы - приобретенными. По данным М. Sirakov и соавт., частота псевдодивертикулов желчного пузыря составляет 8,2% [6].
Образование приобретенных ложных дивертикулов - синусов Ашоффа-Рокитанского сопровождает аденомиоматоз - редкое доброкачественное пролиферативное заболевание, встречающееся у 6% больных с желчнокаменной болезнью, характеризующееся гиперпластическими изменениями слизистой и мышечной оболочек с утолщением стенки пузыря в несколько раз [2].
По мнению некоторых авторов, карман Гартмана также представляет собой небольшой луковицеобразный дивертикул, образующийся при наличии определенных анатомических особенностей - острого угла между воронкой и шейкой желчного пузыря, находящийся на нижней поверхности желчного пузыря [4]. При таком варианте нарушается отток желчи, что может способствовать застойным явлениям и формированию камней.
Диагностика дивертикулов возможна на основании данных эндоскопической ретроградной холангиопанкреатографии (ЭРХПГ), магнитно-резонансной холангиопанкреатографии (МРХПГ). Однако эти методы диагностики обременительны для пациентов, сопряжены с лучевой нагрузкой (ЭРХПГ) и являются дорогостоящими. Использование МРХПГ затруднительно у пациентов с клаустрофобией.
В то же время общедоступный относительно простой ультразвуковой метод также позволяет установить диагноз, при этом удается визуализировать дополнительную структуру округлой или овальной формы с четкими контурами рядом с желчным пузырем. Данное дополнительное образование визуализируется в различных позициях. Содержимое дивертикула варьирует от анэхогенного до неоднородного при наличии конкрементов в полости желчного пузыря. Дифференциальную диагностику проводят с аномалиями желчного пузыря (перетяжки, двойной желчный пузырь), с перфоративным холециститом с наличием затека в ложе желчного пузыря, с кистами печени.
Для иллюстрации приводим клиническое наблюдение успешной ультразвуковой диагностики дивертикула желчного пузыря.
Клиническое наблюдение
Пациентка Е., 1972 года рождения, обратилась с жалобами на ощущения тяжести, дискомфорта, периодически возникающие ноющие боли в правом подреберье после приема пищи, чувство горечи во рту после еды.
При осмотре живот оставался мягким, чувствительным при пальпации в правом подреберье.
При обследовании в общем и в биохимическом анализах крови патологии выявлено не было.
При УЗИ: печень в размерах не увеличена: переднезадний размер правой доли 10,3 см, вертикальный размер правой доли 14,8 см, переднезадний размер левой доли 5,1 см. Диафрагмальный край ровный. Структура паренхимы однородная. Эхогенность несколько повышена. Внутри- и внепеченочные желчные протоки не расширены. Диаметр воротной вены 0,8 см.
Диаметр проксимальной части холедоха 0,3 см. Желчный пузырь типично расположен, размерами 7,5 х 2,2 см, с перегибами ближе к шейке и в теле (рис. 1). Контуры четкие, ровные. Стенка толщиной 0,2 см, эхогенность стенки повышена. Содержимое пузыря гомогенное.

Рис. 1. Эхограмма желчного пузыря до пищевой нагрузки.
В ложе ближе к шейке желчного пузыря, нечетко дифференцируясь от задней стенки, определяется жидкостная структура с тонкими стенками и однородным содержимым размерами 0,9 х 0,6 х 1,1 см (рис. 2), аваскулярная (рис. 3, 5), не меняющая размеров и формы после пищевой нагрузки (рис. 4). Соустье между описываемой структурой и задней стенкой пузыря визуализируется нечетко.

Рис. 2. Эхограмма дивертикула задней стенки желчного пузыря до пищевой нагрузки.

Рис. 3. Эхограмма желчного пузыря в режиме ЦДК до пищевой нагрузки.

Рис. 4. Эхограмма дивертикула задней стенки желчного пузыря после пищевой нагрузки.

Рис. 5. Эхограмма желчного пузыря в режиме ЦДК после пищевой нагрузки.
Поджелудочная железа и селезенка: патологических изменений не выявлено.
Заключение: киста печени? дивертикул желчного пузыря? деформация желчного пузыря.
С учетом данных УЗИ проведены МРХПГ и магнитно-резонансная томография органов брюшной полости и забрюшинного пространства. На серии полученных МР-томограмм (на фоне артефактов от движения): печень в размерах не увеличена. Очаговых изменений в паренхиме печени достоверно не выявлено (исследование проводилось без внутривенного контрастного усиления). Желчный пузырь вертикально расположен, размерами 62 х 28 мм, вдоль медиальной стенки пузыря, ближе к шейке, визуализируется небольшое округлой формы жидкостное образование с тонкими стенками размерами 11 х 8 х 12 мм, МР-сигнал от образования идентичен МР-сигналу от содержимого пузыря, при МРХПГ отмечается тонкая шейка между пузырем и образованием диаметром до 1,7 мм; МР-сигнал от содержимого желчного пузыря не изменен, в просвете конкрементов не выявлено (рис. 6).

Рис. 6. МР-холангиопанкреатограмма органов брюшной полости и забрюшинного пространства.
Общий желчный проток несколько расширен до 7 мм, с четкими контурами; пузырный проток хорошо визуализируется диаметром до 3 мм, извит. Общий печеночный проток не расширен (6 мм), область бифуркации хорошо выражена, без особенностей. Долевые протоки не расширены, сегментарные протоки прослеживаются.
При исследовании поджелудочной железы, почек и надпочечников диагностически значимых изменений не выявлено.
Заключение: МР-признаки дивертикула желчного пузыря. Вертикально расположенный желчный пузырь.
Заключение
Представленное клиническое наблюдение иллюстрирует случай успешной ультразвуковой диагностики дивертикула желчного пузыря при рутинном исследовании гепатобилиарной зоны у пациентки с невыраженными симптомами дискинезии желчевыводящих путей.
Литература
УЗИ аппарат HM70A
Дивертикулит
Дивертикулит - это заболевание кишечника, характеризующееся воспалением слепо заканчивающихся выпячиваний его стенки (дивертикулов). Патологическое состояние проявляется периодической болью в нижней части живота, преимущественно слева, расстройством стула, необильными кровотечениями, повышением температуры, общей слабостью, реже - тошнотой и рвотой. Для диагностики дивертикулита применяются эндоскопия толстого кишечника, ирригоскопия, УЗИ органов брюшной полости, лапароскопия и лабораторные методы исследования. Лечение патологии заключается в назначении антибиотиков и проведении хирургического вмешательства по показаниям.
МКБ-10

Общие сведения
Дивертикулит является воспалительным заболеванием кишечника, развивающимся на фоне застоя кишечного содержимого в дивертикулах - выпячиваниях стенки кишки. Наблюдается в 1,5 раза чаще у женщин по сравнению с мужчинами. Данное патологическое состояние преимущественно регистрируется у людей старше 40 лет, реже развивается у детей. Несмотря на то, что дивертикулы кишечника имеются у 50% людей старше 60 лет, воспалительный процесс возникает только у 20% этих пациентов. В последнее время количество больных, страдающих дивертикулитом, резко выросло, что связано с употреблением большого количества мясных и мучных изделий. При этом в Азии, где люди едят более здоровую пищу, заболевание наблюдается реже. Разработкой новых методов лечения данной патологии занимаются специалисты в сфере клинической проктологии и гастроэнтерологии.

Причины дивертикулита
Воспаление развивается в месте локализации дивертикула, который имеет вид слепого выпячивания полого органа. Дивертикулы обнаруживаются у большого количества людей, однако они осложняются дивертикулитом только у пятой части пациентов. Данный патологический процесс возникает под влиянием различных причин, которые провоцируют воспаление. В частности, дивертикулит может развиться при употреблении пищи, бедной клетчаткой, поскольку она приводит к запорам. Если человек употребляет с пищей меньше 30 г пищевых волокон в сутки, то он имеет повышенный риск возникновения данной патологии. У таких пациентов содержимое кишечника плотное и недостаточно увлажненное, что приводит к застою каловых масс, повреждению слизистой оболочки, активации и усиленному размножению патогенной кишечной флоры. На фоне этих изменений и развивается дивертикулит.
Одной из причин заболевания является воспалительный процесс в толстой кишке. В частности, дивертикулит может развиваться на фоне спастического, язвенного или инфекционного колита, а также различных кишечных инфекций. Инфекционные агенты могут попадать в дивертикулы и там активно размножаться. При ослаблении местного иммунного ответа бактерии приводят к развитию дивертикулита. Риск возникновения данного патологического процесса увеличивается с возрастом, что связано с уменьшением тонуса мышц и снижением перистальтики. Кроме того, у пожилых людей слизистая оболочка кишечника становится тоньше, а локальный иммунитет постепенно снижается.
Дивертикулы могут воспаляться при дисбактериозе или на фоне снижения общего иммунитета. Глистное заражение часто приводит к повреждению слизистой оболочки и нарушению микрофлоры, при этом возникают благоприятные условия для размножения патогенных бактерией, которые заселяют слизистую оболочку дивертикулов. В возникновении дивертикулита существенную роль играет наследственная предрасположенность.
Симптомы дивертикулита
Патология не имеет типичных признаков, часто принимается за приступ острого аппендицита, заболевания женских половых органов или болезни почек. Одним из основных симптомов дивертикулита является боль в нижней части живота. Чаще всего боль локализуется в левой его половине. Это связано с тем, что дивертикулез чаще всего поражает сигмовидную кишку. Пациент ощущает точечную боль в конкретном месте. Болевые ощущения могут быть преходящими или постоянными, длящимися в течение нескольких дней. Боль часто усиливается при физической активности, смехе или кашле. Также ощущения становятся сильнее при надавливании на пораженный участок кишечника. После опорожнения кишечника боль не ослабляется, а, наоборот, может становиться сильнее, что объясняется напряжением мышц живота при натуживании.
Следующим важным симптомом дивертикулита является расстройство стула, которое проявляется чередованием поносов и запоров. Запоры могут быть связаны с тем, что пораженный участок кишечника спазмируется, и его просвет резко сужается. При расслаблении кишки в последующем возникает понос. Также причиной диареи может быть нарушение всасывания воды в толстом кишечнике на фоне дивертикулита. При данном патологическом состоянии может определяться кровь в кале. Появление кровянистых выделений связано с тем, что в месте локализации дивертикула при воспалении могут формироваться кровоточащие язвы и эрозии. Кровянистые выделения обычно необильные. Они проявляются в виде следов крови на туалетной бумаге или каловых массах после дефекации. Кровотечения отмечаются только у 10% больных, страдающих дивертикулитом. В редких случаях воспаленный дивертикул может перфорироваться, а его содержимое попасть в брюшную полость, вызвав перитонит.
При выраженной воспалительной реакции дивертикулит проявляется гипертермией. Лихорадка в данном случае будет связана с попаданием в кровь специфических веществ - пирогенов. Повышение температуры при дивертикулите возникает вследствие активации защитных сил организма, направленных на борьбу с воспалением. Также симптомами дивертикулита часто являются тошнота, снижение аппетита, рвота и общая слабость - клинические проявления интоксикации.
Диагностика
Физикальное обследование играет важную роль в диагностике дивертикулита. При пальпации живота врач-проктолог определяет воспаленный и спазмированный отдел толстой кишки. Крупный дивертикул обычно прощупывается в виде круглого болезненного образования. При надавливании в области воспаленного дивертикула возникает болезненность. Для диагностики дивертикулита используются инструментальные методы исследования: эндоскопия толстого кишечника (колоноскопия), рентгенография с контрастом, УЗИ органов брюшной полости и в отдельных случаях лапароскопия. Из лабораторных методов применяются общий анализ крови и оценка биохимических показателей.
Колоноскопия является основным методом диагностики дивертикулита. Данное исследование позволяет провести дифференциальную диагностику заболевания с неспецифическим язвенным колитом, запорами, кишечной непроходимостью и опухолью толстого кишечника. Во время эндоскопии толстого кишечника при дивертикулите обнаруживаются поврежденные устья дивертикулов с воспалением слизистой оболочки вокруг них. Исследование дает возможность уточнить локализацию кровоточащих участков и оценить интенсивность кровотечения.
Рентгенографическое исследование толстого кишечника с барием (ирригоскопия) позволяет диагностировать дивертикулит, если невозможно проведение колоноскопии, или она дает неоднозначные результаты. Дивертикулы на рентгенографии определяются в виде образований округлой формы, которые имеют диаметр от 0,5 до 5 см. При дивертикулите на рентгенограмме визуализируются одиночные и множественные выпячивания, а края дивертикулов имеют неровные зазубренные контуры. Если на фоне данного патологического состояния происходит перфорация дивертикула с формированием свища, то при проведении рентгенографии свищ будет визуализироваться в виде контрастирующегося тяжа, который распространяется в направлении других органов.
УЗИ органов брюшной полости позволяет обнаружить увеличение толщины кишечных стенок, которое часто имеет место при дивертикулите. Если дивертикул заполняется каловыми массами, то на УЗИ его можно увидеть как мешковидное выпячивание с плотным содержимым. Лапароскопия позволяет визуализировать воспаленный дивертикул и сразу же удалить его. Важную роль играют лабораторные методы диагностики, основным из которых является общий анализ крови. При дивертикулите в общем анализе крови обнаруживается лейкоцитоз, палочкоядерный сдвиг влево и повышение СОЭ, которые являются признаками воспаления.
Лечение дивертикулита
Лечение осуществляется в проктологическом отделении или амбулаторно. Основными препаратами для консервативной терапии заболевания являются антибиотики, которые необходимо принимать в течение 1-2 недель. Во время лечения дивертикулита противопоказаны слабительные и клизмы, так как они увеличивают давление в кишечнике. Также важно придерживаться определенной диеты, которая исключает продукты, вызывающие вздутие кишечника и запоры. Необходимо снизить употребление белого хлеба, риса, молока, винограда и бобовых. Их рекомендуется заменить хлебом из цельной муки, морской капустой, хлопьями, ягодами, грушами и другими фруктами, содержащими клетчатку.
В ряде случаев больным дивертикулитом показано хирургическое лечение. Оно проводится при нагноении дивертикула, интенсивном кровотечении, формировании свищей, частых обострениях дивертикулита, кишечной непроходимости и перитоните. В зависимости от ситуации оперативное лечение, заключающееся в удалении воспаленного дивертикула, может проводиться планово или экстренно.
Прогноз и профилактика
При своевременном правильном лечении прогноз дивертикулита благоприятный. Для профилактики заболевания рекомендованы регулярные занятия спортом, употребление богатых клетчаткой продуктов, обильное питье (не менее 2 литров в сутки) и поддержание иммунитета. Также следует избегать запоров и травмирующих манипуляций на толстом кишечнике. Все эти профилактические мероприятия позволят минимизировать вероятность развития дивертикулита у пациентов, имеющих дивертикулез кишечника.
1. Дивертикулярная болезнь толстой кишки. Учебное пособие для врачей / Маев И.В., Дичева Д.Т., Андреев Д.Н., Лебедева Е.Г., Баева Т.А. - 2015
2. Дивертикулярная болезнь толстой кишки: клинические формы, диагностика и лечение / Буторова Л.И. - 2011
Случай ультразвуковой диагностики дивертикулита толстой кишки

Содержит актуальную клиническую информацию по ультрасонографии и ориентирован на врачей ультразвуковой диагностики, выходит с 1996 года.
По данным литературы, распространенность дивертикулеза толстой кишки в разных странах достигает 30% во всей популяции и 40% среди лиц старше 70 лет [1, 2, 4].
Дивертикулы локализуются в разных отделах толстой кишки с разной частотой: в сигмовидной - у 60-85% больных, в нисходящей ободочной - у 13-24%, в поперечной ободочной - у 5%, в восходящей - у 6-17%, в слепой кишке - у 3% больных. Тотальное поражение ободочной кишки встречается довольно редко и, по статистическим данным, его частота не превышает 5% [3].
Наибольшая частота образования дивертикулов именно в сигмовидной кишке объясняется тем, что диаметр ее просвета меньше, поэтому напряжение стенки во время перистальтических движений, как и внутрипросветное давление, больше.
Дивертикул возникает в результате выпячивания слизистой оболочки сквозь мышечный слой стенки кишки в ее наиболее слабых местах. Современные представления о дивертикулярной болезни базируются на ведущей роли сосудистого фактора в ее развитии: при спазме мышечного слоя происходит сдавление внутристеночных сосудов с нарушением микроциркуляции - ишемия и замедление венозного оттока. Все указанное выше приводит к дистрофическим изменениям и расширению околососудистых пространств, которые впоследствии становятся устьями дивертикулов. Таким образом, дивертикулы - это конечное проявление болезни кишечной стенки, разволокнения циркулярного мышечного слоя, атрофии и расширения его в слабых местах (в зоне перфорантных сосудов).
В большинстве случаев болезнь протекает без каких-либо клинических симптомов, осложнения развиваются у 10-20% заболевших. Среди осложнений преобладает острый дивертикулит (60%), реже встречаются перидивертикулярный инфильтрат (11,9%), абсцесс (7,1%), кишечное кровоточение (15,1%), перфорация (4,9%) и кишечная непроходимость (1,0%) [3].
Наиболее частыми симптомами дивертикулита являются внезапный приступ болей в животе и нарушение стула. Поскольку дивертикулы и соответственно дивертикулит могут возникать в любом отделе толстой кишки, симптомы дивертикулита могут напоминать самые разные заболевания: от язвенной болезни желудка и двенадцатиперстной кишки, острого аппендицита, ишемии кишки, кишечной непроходимости, рака толстой кишки до почечной колики и аднексита. Признаки воспаления, такие как лихорадка и лейкоцитоз, помогают отличить дивертикулит от спастических болей при синдроме раздраженной кишки [5].
Помимо клинических и лабораторных исследований, важную роль при постановке диагноза дивертикулита играют инструментальные исследования, перечисляемые обычно в следующем порядке: обзорная рентгенография органов брюшной полости, ирригоскопия, компьютерная томография, ультразвуковое исследование и эндоскопия. Однако в последние годы, отмеченные накоплением опыта ультразвукового исследования полых органов, эта последовательность может быть пересмотрена. В связи с изложенным выше считаем необходимым представить следующее клиническое наблюдение.
Пациентка Б., 1944 года рождения, обратилась к гастроэнтерологу поликлиники с жалобами на постоянные ноющие боли средней интенсивности в левых нижних отделах живота, продолжающиеся в течение 2 дней после погрешности в диете, повышение температуры тела до 38,5°С, общую слабость, недомогание. Данные анамнеза: 10 лет назад - комбинированное лечение по поводу рака правой молочной железы I стадии (РМЭ+ЛТ+ГТ), гипертоническая болезнь 2-й стадии, сахарный диабет 2-го типа средней тяжести, диабетическая полинейропатия, хронический гастродуоденит, состояние после экстирпации матки с придатками по поводу миомы.
При осмотре состояние пациентки относительно удовлетворительное. Кожные покровы и видимые слизистые оболочки нормальной окраски. Живот при пальпации мягкий, болезненный по ходу нисходящего отдела толстой кишки, в левой подвздошной области. Печень не увеличена, не пальпируется. "Пузырные" симптомы отрицательные. Запор в течение 2 дней. Симптом Пастернацкого отрицательный с обеих сторон. Дизурии нет. В срочном общем анализе крови умеренный лейкоцитоз (9700).
С подозрением на дивертикулит больная была направлена на срочное ультразвуковое исследование (УЗИ) органов брюшной полости, почек и органов малого таза. Исследование было выполнено на современном аппарате конвексным датчиком 3,5 МГц, линейным датчиком 7,5 МГц и эндовагинальным датчиком с переменной частотой 5,0-7,5 МГц с использованием цветового и энергетического допплеровского картирования.
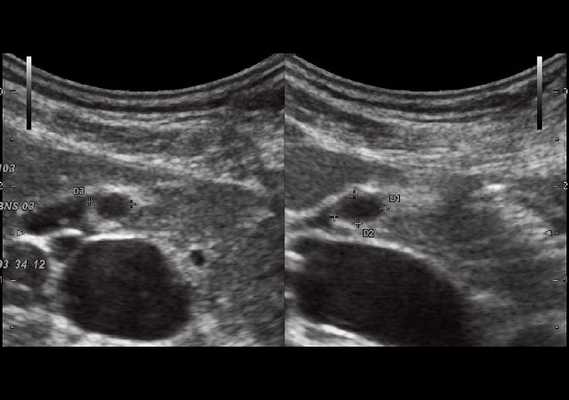
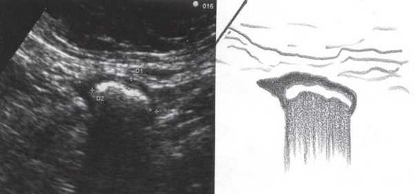
При УЗИ были выявлены диффузные изменения печени и поджелудочной железы, признаки хронического бескаменного холецистита, ангиомиолипома левой почки (без динамики за несколько лет), состояние после экстирпации матки с придатками. В левой подвздошной области соответственно зоне максимальной пальпаторной болезненности на протяжении 9 см отмечалось утолщение стенок толстой кишки до 6-7 мм (рис. 1). Перистальтика кишки отсутствовала, гаустрация была слабо выражена, при этом визуализировалось несколько болезненных при надавливании датчиком выпячиваний пониженной эхогенности, размером от 7 до 20 мм (рис. 2, а, б) с тонкой стенкой до 0,9-1,1 мм и наличием в некоторых из них фрагментов кишечного содержимого и газа (рис. 3, а, б).
Рис. 1. Эхографическая картина дивертикулита. Трансабдоминальное исследование линейным датчиком 7,5 МГц.

"Симптом пораженного полого органа".
Рис. 2. Эхографическая картина дивертикулита. Трансабдоминальное исследование линейным датчиком 7,5 МГц.

а) Продольный срез.

б) Поперечный срез.
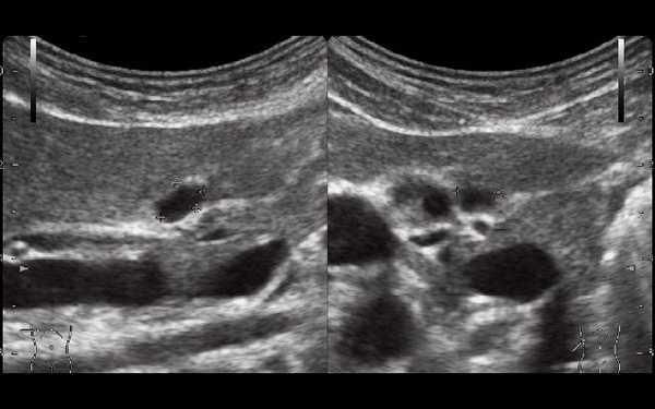
Рис. 3. Эхографическая картина дивертикулита. Трансабдоминальное исследование конвексным датчиком 3,5 МГц.


При трансвагинальном УЗИ (рис. 4) также визуализировался фрагмент толстой кишки с утолщенными гипоэхогенными стенками и несколькими округлыми дивертикулами до 1 см в диаметре. Контуры одного из дивертикулов были неровными, он имел звездчатую форму. Отмечались утолщение и повышение эхогенности околокишечной жировой клетчатки по сравнению с контралатеральной стороной. При осмотре в режиме УЗ ангиографии утолщенная стенка кишки и дивертикулы были аваскулярными, окружающая клетчатка - гиперваскулярной.

Рис. 4. Эхографическая картина дивертикулита. Трансвагинальное исследование конвексным датчиком 7,5 МГц.
С подозрением на острый дивертикулит пациентка была госпитализирована в проктологическое отделение ЦКБ. Через 4 дня после лечения спазмолитиками, антибиотиками болевой синдром был купирован и больная выписана для планового амбулаторного дообследования.
При ирригоскопии, проведенной через 4 нед после выписки пациентки из стационара (рис. 5), толстая кишка исследована в условиях двойного контрастирования. Бариевой взвесью и воздухом заполнились все отделы и обычно расположенный червеобразный отросток. В тонкую кишку бариевая взвесь не проникла. Сигмовидная кишка была удлинена. Расположение петель обычное, контуры ровные, четкие, стенки эластичные. Гаустрация хорошо выражена, в левой половине неравномерная. В левой половине, преимущественно в сигмовидной кишке, выявлены множественные разнокалиберные дивертикулы, в области печеночного изгиба - одиночные мелкие дивертикулы. Деформаций кишки, сужения просвета, внутрипросветных образований не обнаружено. Опорожнение кишки неполное, неравномерное. Заключение: дивертикулез толстой кишки с преимущественным поражением левых отделов.

Рис. 5. Рентгенологическая картина дивертикулеза толстой кишки. Ирригоскопия в условиях двойного контрастирования.
Во время контрольного УЗИ через 6 мес при осмотре левой подвздошной области толщина стенок нисходящего отдела толстой и сигмовидной кишки не превышала 3-5 мм (рис. 6, а, б), при наблюдении в течение 1 года признаков рецидива не отмечено.
Рис. 6. Эхографическая картина толстой кишки. Контрольное трансабдоминальное исследование конвексным датчиком 3,5 МГц через 6 мес.


Предрасполагающими факторами развития дивертикулита считаются пожилой возраст (наиболее значимый фактор), кортикостероидная и иммуносупрессивная терапия, хроническая почечная недостаточность.
Как правило, обследование таких пациентов начинается с обзорной рентгенографии органов брюшной полости, которая позволяет обнаружить кишечную непроходимость, парез кишки, опухолевидное образование, признаки ишемии и перфорации кишки. Таким образом, метод эффективен фактически при наступлении осложнений острого дивертикулита.
Ирригоскопия может привести к обострению заболевания и оказаться скорее вредной, чем полезной, поскольку попадание в брюшную полость бария в случае перфорации дивертикула может вызвать химический перитонит. Однако проведенные специальные исследования подтвердили, что ирригоскопия может не навредить пациенту и действительно принести большую пользу при применении водорастворимых контрастных веществ. При дивертикулите легкой и средней степени тяжести, когда диагноз до конца неясен, рентгеноскопия с водорастворимым контрастным веществом безопасна и оказывает большую помощь; при тяжелой степени заболевания обследование целесообразно отложить на 6-8 нед. Таким образом, метод имеет ряд ограничений, связанных с острым периодом болезни.
Колоноскопия, кроме определения наличия дивертикулов, позволяет уточнить протяженность воспалительных изменений в просвете кишки, расположение дивертикулов и состояние их слизистой оболочки: гиперемию и отек слизистой оболочки в области дивертикулов, наличие гноя в кишке. Однако острый дивертикулит является относительным противопоказанием к проведению эндоскопического исследования, так как сами манипуляции эндоскопом и раздувание кишки воздухом могут привести к перфорации дивертикулов и развитию абсцесса или перитонита. Колоноскопию следует выполнять только в тех случаях, когда диагноз неясен и дифференциальная диагностика проводится между обтурирующей опухолью, ишемией кишки, воспалительными заболеваниями кишки и инфекционным колитом. Таким образом, метод имеет практически те же ограничения, что и рентгеноконтрастное исследование.
Компьютерную томографию выполняют во всех случаях дивертикулита с пальпируемым опухолевидным образованием в животе или клинически выраженной интоксикацией, при отсутствии эффекта консервативной терапии; она является методом выбора при диагностике осложненного дивертикулита. компьютерная томография позволяет внимательно осмотреть не только стенку кишки, но также органы и ткани за ее пределами, помогает обнаружить заболевания, не связанные с дивертикулитом, такие как ишемический колит, мезентериальный тромбоз, тубоовариальный абсцесс и панкреатит. Диагностическими критериями острого дивертикулита при компьютерной томографии являются локальное утолщение стенки толстой кишки (более 5 мм), воспаление околокишечной жировой клетчатки или наличие околокишечного абсцесса. Метод хотя и не имеет ограничений, связанных с острым периодом болезни, все же не может конкурировать с УЗИ по доступности для населения.
Ультразвуковое сканирование является наиболее безопасным неинвазивным методом диагностики острого дивертикулита, который можно применять на любой стадии заболевания. Недостаточная информативность этого исследования является следствием содержания большого количества газов в кишке. Ложноотрицательные результаты отмечаются в 20-25% наблюдений при отсутствии ложноположительных заключений. Результат исследования в значительной степени зависит от квалификации врача: при проведении опытным исследователем чувствительность составляет 74,2%. Результаты ультразвукового обследования бывают близки к результатам компьютерной томографии. При этом у пациентов с дивертикулитом могут быть выявлены утолщение стенки кишки с наличием мешотчатых или треугольной формы образований, выходящих за контур измененного сегмента кишки, инфильтрация околокишечной жировой клетчатки, внутристеночные свищи, стеноз ободочной кишки с характерными изменениями диаметра просвета: сужение на разном протяжении с утолщенной за счет мышечного слоя стенкой и супрастенотическое расширение. Стриктуры кишки, развившиеся вследствие злокачественной опухоли, характеризуются резкими границами с обеих сторон, в то время как стриктуры, развившиеся в результате дивертикулита, отличаются более плавными контурами и большей протяженностью [4, 6, 7].
В приведенном наблюдении при УЗИ визуализировались множественные выпячивания истонченной кишечной стенки. На участках утолщенной стенки между дивертикулами и в самих дивертикулах сосудистый рисунок был обеднен или не визуализировался, что подтверждает роль сосудистого фактора в развитии болезни: сдавление внутристеночных сосудов с нарушением микроциркуляции, наличие ишемии и замедления венозного оттока. Некоторые дивертикулы были заполнены гомогенным аваскулярным содержимым средней эхогенности, без признаков внутрипросветного движения, так что содержимое сливалось с изображением стенки. В других дивертикулах пузырьки газа, выступая в качестве естественного контраста, позволили детально рассмотреть истонченную до 0,9-1,1 мм стенку кишки, лишенную гипоэхогенного мышечного слоя. Форма этих дивертикулов приближалась к шаровидной, устье было меньше, чем диаметр дивертикула. Однако встречались и выпячивания в форме конусов, с устьями, превышающими размеры самого дивертикула, в них прослеживалось продолжение гипоэхогенного мышечного слоя стенки.
Очевидно, эта разница в ультразвуковом изображении дивертикулов отражает стадии их формирования: округлые с истонченной стенкой и отсутствием в ней мышечного слоя - это сформированные дивертикулы, в то время как другие, в которых еще прослеживается мышечный слой или его фрагменты, - дивертикулы на стадии формирования.
Таким образом, газ в кишке может быть не только препятствием к адекватной визуализации, но и, являясь естественным контрастным средством, существенно обогащает ультразвуковую картину.
Выводы
При синдроме абдоминальной боли УЗИ является наиболее безопасным неинвазивным методом диагностики, который можно применять на любой стадии заболевания, оно дает важную информацию и должно использоваться при подозрении, в частности, на дивертикулит в амбулаторно-поликлинических условиях во всех случаях.
Журнал "SonoAce Ultrasound"
Дивертикулы кишечника
Дивертикулы кишечника - это мешотчатые выпячивания стенки толстой, реже тонкой кишки врожденного либо приобретенного характера. Чаще всего встречается бессимптомная форма заболевания. Явные клинические формы патологии проявляются неопределенными болями в животе, диспепсическими явлениями, кровотечениями. Для диагностики используют ирригографию, колоноскопию, ректороманоскопию, УЗИ и КТ органов брюшной полости. Специфическая терапия включает в себя применение диеты с повышенным содержанием клетчатки, назначение спазмолитиков, прокинетиков, антибактериальных препаратов, лактулозы. При осложненном течении заболевания требуется хирургическое лечение.


Дивертикулы кишечника могут иметь врожденную (при наследственной патологии соединительной ткани) либо приобретенную (связанную с возрастной слабостью межуточных волокон) природу. В тонком кишечнике дивертикулы встречаются достаточно редко - у 1% пациентов, при этом в большинстве случаев выявляют дивертикул Меккеля, содержащий в себе ткани желудка либо поджелудочной железы. Дивертикулы кишечника чаще бывают множественными и расположены в левой половине толстой кишки (в 70% случаев).
В молодом возрасте дивертикулез выявляют лишь в 5% случаев, в возрасте от 40 до 60 лет - у 30% населения, а после 80 лет частота поражения дивертикулами кишечника составляет более 65%. Патологические выпячивания могут осложняться воспалением, кровотечением, перфорацией, однако практически никогда не сопровождаются малигнизацией. В последние годы отмечается учащение случаев дивертикулеза в развитых странах, что связано с изменением диетических привычек, исключением из рациона клетчатки и полезных пищевых волокон.

Причины
К появлению врожденных и приобретенных дивертикулов кишечника могут приводить различные факторы, но в основе их всех лежит слабость соединительной ткани. При врожденной соединительнотканной дисплазии дивертикулы обычно множественные, расположены не только в кишечнике, но и других органах (желудок, мочевой пузырь и др.). В первые годы заболевания стенка врожденных дивертикулов представлена всеми слоями кишечной стенки, однако с возрастом мышечные волокна атрофируются.
Возникновению приобретенных дивертикулов кишечника способствуют:
- погрешности питания (употребление полуфабрикатов, нерегулярные приемы пищи, исключение из рациона клетчатки, свежих фруктов и овощей)
- авитаминозы
- постоянные запоры
- нарушения моторики кишечника
- малоподвижный образ жизни
- ожирение..
Любая из вышеперечисленных причин приводит к повышению внутрикишечного давления, пролабированию слизистого и подслизистого слоев кишки между мышечными волокнами, формированию полостного образования диаметром 3-5 см.
Патанатомия
В тонком кишечнике чаще всего встречается дивертикул Меккеля - врожденное неполное заращение желточного протока, в связи с чем примерно в 50 см от баугиниевой заслонки на стенке кишки образуется пальцевидное выпячивание, широким соустьем соединяющееся с кишечником. Иногда единичные дивертикулы образуются в двенадцатиперстной кишке - возле фатерова соска или в луковице двенадцатиперстной кишки (чаще всего это случается на фоне язвенной болезни ДПК). Другие локализации дивертикулеза тонкой кишки встречаются достаточно редко.
В толстом кишечнике дивертикулы преимущественно формируются в сигмовидной и левой половине поперечно-ободочной кишки. Чаще всего образования расположены в два ряда, по одному с каждой стороны вдоль брыжейки. Дивертикулы толстой кишки имеют тенденцию к прогрессированию с возрастом - повышение давления в кишечнике, застой калового содержимого оказывают пульсионный (выдавливающий) эффект, из-за чего возникают все новые и новые выпячивания кишечной стенки.
Классификация
Различают врожденные и приобретенные формы дивертикулов кишечника.
- Врожденный дивертикулез часто бывает множественным, выпячивания локализованы в различных органах. Также дивертикулы могут выступать компонентом врожденной триады Сента, сочетаясь с диафрагмальной грыжей и желчнокаменной болезнью.
- Приобретенные дивертикулы с возрастом формируются практически у 80% населения. Они могут быть тракционными (при спаечной болезни), ложными (при отсутствии мышечных волокон в стенке выпячивания), образовавшимися на фоне заболеваний и травм кишечника.
По локализации различают дивертикулы тонкого и толстого кишечника. По течению выделяют бессимптомные, клинически явные и осложненные дивертикулы.
Симптомы дивертикулов кишечника
Дивертикулы в большинстве случаев никак не проявляются длительное время, обнаруживаясь случайно при обследовании по поводу других заболеваний. Клинически явные формы чаще всего указывают на возможность развития осложнений. Появление симптоматики и осложнений при дивертикулезе связано с нарушением моторики кишечной стенки, застоем кишечного содержимого, как в кишке, так и в полости выпячивания, повышением внутрикишечного давления. Все эти факторы приводят к возникновению повышенного бактериального обсеменения (более 1 млн. клеток в мл), формированию каловых камней, истончению стенки кишечника в местах прохождения сосудов.
Клинически дивертикулы тонкого кишечника проявляются неопределенными болями в животе, хронической диареей. Выпячивания стенки толстого кишечника также способны вызывать боли в животе, больше в его левой половине, часто связанные с дефекацией и исчезающие после нее. Для заболевания характерна неустойчивость стула - запоры постоянно чередуются с диареей и периодами нормального стула. При осмотре каловые массы сформированы в виде шариков, окруженных слизью. Пациентов беспокоит повышенный метеоризм, обильное отхождение кишечных газов.
Осложнения
При длительном застое калового содержимого в дивертикулах наступают необратимые изменения кишечной стенки, активизируется кишечная флора и возникает дивертикулит - одно из самых частых осложнений данного заболевания. Хронический воспалительный процесс может существовать длительное время, вызывая частые рецидивирующие кровотечения, местный перитонит с формированием спаек, свищей, соединяющих полость кишечника с влагалищем, мочевым пузырем, кожей. При спаечной болезни иногда наблюдается кишечная непроходимость.
Выраженное воспаление в полости дивертикула может приводить к перфорации его стенки, выходу кишечного содержимого в брюшную полость с формированием межкишечного абсцесса, а в тяжелых случаях - разлитого перитонита. Перфорация дивертикула кишечника характеризуется клиникой «острого живота», которую очень часто путают с острым аппендицитом. Диагностическая ошибка обычно выявляется только во время операции, на которой находят дивертикулы кишечника.
Заподозрить наличие дивертикулов кишечника достаточно сложно, так как это заболевание не имеет специфической клинической картины. Чаще всего выпячивания обнаруживаются случайно, при поиске причины анемии, исключении опухолей кишечника. С целью уточнения диагноза проводятся:
- Анализы. При подозрении на дивертикулярную болезнь врач-гастроэнтеролог назначает ряд лабораторных исследований: общий анализ крови определяет воспалительные изменения и анемию, анализ кала на скрытую кровь помогает вовремя выявить кишечное кровотечение, а копрограмма и бактериологическое исследование кала диагностируют дисфункцию кишечника, нарушение пищеварения и повышенное бактериальное обсеменение.
- Рентгенодиагностика. Пациенты с данным заболеванием требуют проведения ирригографии, желательно с двойным контрастированием. На рентгеновском снимке будут видны выпячивания кишечной стенки, сообщающиеся с полостью кишечника. Следует помнить, что при наличии осложнений дивертикулов кишечника сначала необходимо сделать обзорную рентгенографию органов брюшной полости, убедиться в отсутствии признаков перфорации, и лишь затем назначать ирригографию.
- Кишечная эндоскопия. Использование эндоскопических методов диагностики (колоноскопия, ректороманоскопия) показано только после купирования признаков воспаления. Колоноскопия является незаменимым методом поиска источника кровотечения, однако может способствовать появлению осложнений заболевания. Преимуществом эндоскопических методик является возможность проведения биопсии, морфологического исследования биоптатов.
Для дифференциальной диагностики с другими заболеваниями может потребоваться проведение УЗИ, КТ, МСКТ органов брюшной полости. Дифференцировать дивертикулы кишечника следует с эктопической беременностью, гипохромной анемией, псевдомембранозным колитом, синдромом раздраженного кишечника, болезнью Крона, острым аппендицитом, целиакией, раком кишечника, ишемическим колитом.

КТ ОБП. Дивертикул горизонтальной части 12-перстной кишки, заполненный частично контрастом, частично - газом.
Лечение дивертикулов кишечника
Лечение пациентов с неосложненной формой дивертикулеза проводится в отделении гастроэнтерологии, а при возникновении тяжелых осложнений - в хирургическом стационаре. Госпитализируют больных с острым или обострением хронического дивертикулита, интоксикацией, высокой лихорадкой, тяжелой сопутствующей патологией, невозможностью энтерального питания, а также в возрасте старше 85 лет. При наличии клиники острого живота проводят ургентную операцию.
Консервативное лечение
Если у пациента случайно выявлен бессимптомно протекающий дивертикул кишечника, назначения специального лечения не требуется. При наличии неосложненных дивертикулов назначается богатая клетчаткой диета, спазмолитики, прокинетики. При соблюдении всех рекомендаций по терапии заболевания обычно достигается стойкий клинический эффект. Если у пациента развился дивертикулит, рекомендуется использование кишечных антисептиков, антибиотиков, осмотических слабительных препаратов.
Для нормализации работы кишечника следует отказаться от очистительных клизм, бесконтрольного применения слабительных средств. Положительный эффект достигается и при введении в режим дня умеренных физических нагрузок - они помогают укрепить мышечный корсет туловища, нормализуют моторику кишечника. Для уменьшения давления в просвете кишечника назначается диета, богатая клетчаткой (кроме очень грубых волокон - ананасов, хурмы, репы, редиски). Количество клетчатки в рационе увеличивают до 32 г/л. Нужно исключить газообразующие продукты, бобовые, газированные напитки. Для достижения необходимого эффекта следует ежесуточно употреблять не менее двух литров воды.
Использование стимулирующих слабительных средств, обезболивающих на основе морфина при дивертикулах противопоказано, так как они провоцируют дальнейшее нарушение моторики кишечника, усугубляют течение болезни. Для улучшения пассажа пищевых масс по кишечнику назначают осмотические слабительные средства - они увеличивают объем каловых масс и ускоряют их продвижение по пищеварительному тракту. При диарее назначаются сорбенты и вяжущие средства, для купирования метеоризма - препараты симетикона.
Острый дивертикулит требует госпитализации пациента в хирургический стационар, назначения дезинтоксикационных и плазмозамещающих средств, антибактериальных препаратов. Лечение длится не менее двух-трех недель, после выписки из стационара поддерживающая терапия аналогична той, которая проводится при неосложненных дивертикулах.
Хирургическое лечение
Хирургическое лечение показано при развитии угрожающих жизни осложнений: перфорация, абсцедирование, кишечная непроходимость, профузные кровотечения, формирование свищей. Также плановая операция назначается при рецидивирующих кровотечениях и дивертикулитах. Обычно производится резекция части кишечника, пораженного дивертикулезом, с наложением анастомоза. В сложных ситуациях накладывается колостома для облегчения оттока каловых масс, а после стабилизации состояния проводится реконструктивная операция.
Прогноз при наличии дивертикулов кишечника обычно благоприятный, однако иногда это заболевание приводит к развитию угрожающих жизни осложнений. Дивертикулит возникает примерно у четверти больных. Эффективность его лечения при первом эпизоде наиболее высокая - до 70%, при третьем эпизоде эффективность терапии снижается до 6%. Профилактики врожденных дивертикулов кишечника не существует. Предупредить развитие приобретенных дивертикулов можно путем нормализации режима и рациона питания, употребления достаточного количества клетчатки и жидкости, использования умеренных физических нагрузок.
Читайте также:
- Меры профилактики ботулизма. История изучения дизентерии
- Эпилептические приступы у детей. Диагностика
- Причины и частота множественного рака пищевода. Первично множественный рак желудка
- Рекомендации по анализу рентгенограммы копчика в боковой проекции
- Дифференциация гнойного плеврита. Серозный и гнойный плеврит у детей
