УЗИ, МРТ при кифозе, сколиозе у плода
Добавил пользователь Евгений Кузнецов Обновлено: 28.01.2026

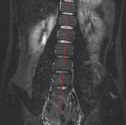
Оценка степени бокового искривления при МР-сканировании (красной линией указана ось позвоночного столба)
Магнитно-резонансная томография признана более точной и информативной диагностической процедурой, чем рентгенография. МР-сканирование подробно отражает структуру исследуемых тканей, позволяет выявить патологические отклонения в самом начале их развития. Однако рентген является методом выбора для диагностики травм и деформаций позвоночного столба. Именно его применяют для постановки диагноза и определения степени искривлений. Для некоторых пациентов не совсем понятно, почему результаты более информативной процедуры не могут использоваться с той же целью и зачем врач назначает МРТ позвоночника при сколиозе, если все ясно по рентгеновскому снимку. На самом деле, оба метода важны и нужны, а их результаты дополняют друг друга.
Показывает ли МРТ сколиоз позвоночника?
Результаты МР-сканирования — это множественные снимки исследуемой области в различных плоскостях. По изображениям обнаруживают искривление. При наличии программного обеспечения, которое преобразует данные в трехмерную картину, специалист может точно установить диагноз и оценить степень деформации. Поэтому на вопрос: «Показывает ли МРТ сколиоз позвоночника?» - врачи дают утвердительный ответ. Но МР-сканирование — это дорогостоящая процедура. Потому в качестве основного метода диагностики сколиоза МРТ не применяют.
На обычном рентгеновском снимке врач сразу же видит искривление позвоночника в сагиттальной или коронарной плоскости. Четкие контуры структур на изображении позволяют быстро установить тип деформации. Специальные методики подсчета применяют для определения степени отклонения позвоночника от центральной оси. Рентгенография позволяет отличить структурный тип сколиотических изменений от неструктурного. Первый вариант возникает на фоне патологических процессов непосредственно в позвоночнике, а второй — из-за повышенного тонуса мускулатуры спины или травмирования нервных образований, например, грыжей диска. Таким образом, магнитно-резонансная томография может быть использована только как вспомогательный способ диагностики собственно сколиоза.

Постановка срезов при МР-сканировании для диагностики состояния межпозвонковых дисков
Что дает МРТ позвоночника при сколиозе?
Несмотря на достаточную информативность рентгена для постановки диагноза при искривлении спины, врачи активно назначают и другие методы визуализации. Данное обстоятельство обусловлено необходимостью комплексной оценки состояния пациента для выявления причин и последствий деформации, чтобы правильно назначить лечение. Сколиоз признан тяжелым прогрессирующим заболеванием, которое приводит не только к изменению внешности больного, но и ко множественным функциональным нарушениям в организме. Главное, что дает МРТ позвоночника при сколиозе — это сведения о состоянии мягкотканных элементов позвоночного столба:
- спинном мозге;
- хрящевых дисках;
- связках и сухожилиях;
- нервах;
- сосудах;
- мышцах.
Причиной для назначения магнитно-резонансной томографии выступает наличие у пациента неврологической симптоматики. Сканирование позволяет обнаружить протрузии дисков, грыжевые выпячивания, признаки воспаления, компрессии нервов, миелоишемию и иные варианты местных нарушений кровообращения, инфекционные заболевания и т.п.
Ценность диагностической процедуры повышается при идиопатической форме патологии у детей, в основе развития которой могут лежать опухолевые образования спинного мозга. МР-сканирование используют для планирования хирургического лечения.
Магнитно-резонансная томография позволяет более подробно изучить развитие сколиотических изменений, степень их влияния на соседние структуры, на ранних этапах диагностировать возможные осложнения и деформации.

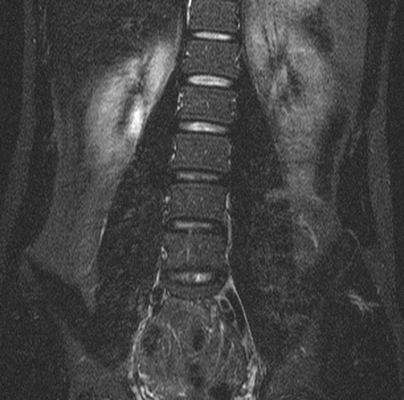
Правостороннее искривление позвоночника в коронарной плоскости при МР-сканировании
МРТ или рентген при сколиозе позвоночника?
В каждом клиническом случае оптимальный вариант обследования определяет врач. Для диагностики деформаций позвоночного столба рентгена вполне достаточно, однако для более глубокого понимания проблемы могут потребоваться дополнительные сведения.
Магнитно-резонансная томография и рентгенография не заменяют друг друга. На обычных снимках с использованием Х-лучей нельзя выявить грыжи и патологии нервов. По результатам рентгенографии можно установить только косвенные признаки крупной и прогрессирующей опухоли. Магнитно-резонансная томография четко показывает подобные процессы, позволяет оценить степень их распространения и влияния на спинной мозг и на организм в целом.
Рентген важен для быстрого выявления искривления позвоночного столба. Результаты МРТ при сколиозе незаменимы для выбора тактики лечения пациента.

Сагиттальный срез позвоночного столба при МР-сканировании для оценки глубины поясничного лордоза
В спорных случаях, при подозрениях на серьезные заболевания либо при длительном их развитии, в диагностическом центре «Магнит» можно получить услугу «Второе мнение». Результаты МР-сканирования изучит еще один рентгенолог. Два мнения специалистов, оформленные в заключении, позволят лечащему врачу подтвердить или опровергнуть предполагаемый диагноз. Еще один независимый взгляд на проблему поможет доктору и пациенту принять правильное решение при необходимости провести хирургическое лечение патологий позвоночного столба.
Патологии позвоночника у плода, выявляемые на УЗИ

Патологии позвоночника у плода встречаются в 1 случае на 1000 беременностей. Часто нарушения касаются не только самого позвоночного столба, но и спинного мозга. В основном плод с аномалией позвоночника гибнет внутриутробно или сразу после рождения, поэтому очень важно установить проблему как можно раньше, чтобы женщина обдуманно приняла решение о прерывании беременности.

Причины возникновения внутриутробных аномалий позвоночника
В большинстве случаев аномалия возникает в поясничном отделе, реже — в шейном, и совсем нечасто — в области крестца и грудном отделе.
Причины столь сложной патологии до сих пор не ясны. Но среди факторов, провоцирующих нарушение формирования спинного мозга, совершенно определенно можно выделить:
- TORCH-инфекцию;
- токсическое воздействие лекарств;
- сложные условия работы;
- употребление наркотиков и алкоголя;
- многолетний стаж курения.
Когда можно обнаружить патологии позвоночника у плода
Расщепление нервной трубки происходит в период с 19 по 30 день гестации (дня последней менструации у беременной). Аномалию позвоночника можно выявить уже на первом скрининге, который проводится на 11-й неделе беременности. Второй скрининг обычно подтверждает результаты 1-го скрининга и выявляет новые нарушения.
Миеломенингоцеле
75% всех случаев аномалий позвоночника у плода занимает миеломенингоцеле (spina bifida cystica). Патология выражается в выпячивании спинного мозга за пределы позвоночной дужки. Иногда мозговая ткань защищена кожей, но чаще выходит наружу вместе с нервными отростками. В последнем случае плод рождается с параличом нижних конечностей, проблемами с кишечником и мочевым пузырём. В 90% случаев у плода диагностируется гидроцефалия (водянка головного мозга).
Характерные признаки миеломенингоцеле на УЗИ:
- на задней поверхности позвоночника визуализируется жидкость;
- через позвоночную щели видно образование с жидкостью внутри;
- черепная ямка имеет меньшие размеры;
- ткани мозжечка смещены;
- выражено искривление позвоночника;
- размеры плода меньше нормы;
- диагностируется гидроцефалия из-за низкого расположения спинного мозга и блокировки спинномозговой жидкости.
При подозрении на патологию женщина сдаёт кровь на специфические ферменты. У неё повышен уровень альфа-фетопротеина, как и при других аномалиях плода. Затем беременную отправляют на 4D сканирование, во время которого можно увидеть объёмное изображение плода. Однако это становится возможным только с 20-й недели беременности.
Миеломенингоцеле — тяжёлая форма расщепления позвоночника, поэтому при подтверждении диагноза на УЗИ женщине рекомендуют сделать аборт. Даже если малыш родится живым, он не сможет ходить, у него будут проблемы с внутренними органами.
Операция по перемещению вышедшего за пределы позвоночного столба спинного мозга со спинномозговыми нервами проводится в течение 48 часов с момента рождения. Выпячивающаяся капсула помещается обратно в позвоночный канал, сверху нашиваются мышцы и кожа.
Такие дети нуждаются в особом лечении, которое существенно не улучшит их качество жизни. Очень низкий процент детей в будущем смогут ходить, но большинство будет нуждаться в инвалидной коляске, потому что нервные окончания повреждаются и не позволяют спинному мозгу нормально функционировать.
Синдром Клиппеля-Фейля
Синдром Клиппеля-Фейля встречается очень редко, в 1 случае из 120 000 беременностей, и имеет особенность передаваться по наследству.
Патология заключается в аномальном строении шейного отдела позвоночника, при котором позвонки сращиваются между собой. Шея практически отсутствует и, в зависимости от разновидности синдрома, патология имеет и другие нарушения. Наиболее опасна разновидность KFS3, при которой сращены не только шейные позвонки, но и грудные, а также поясничные. Из-за незаращения дужек позвоночника образуются дополнительные рёбра.
Помимо этого у плода визуализируются лишние пальцы, их недоразвитие или сращивание, гипоплазия почек, заращение мочеиспускательного канала, заболевания сердечно-сосудистой системы, отсутствует лёгкое, сбои в работе ЦНС. При любой форме синдрома у плода формируется искривление позвоночника (сколиоз).
Причина патологии — мутация гена GDF6. Выявляется аномалия не раньше 20-й недели беременности. При ультразвуковом исследовании на экране УЗИ заметно следующее:
- укорочение шеи;
- плод не поворачивает голову;
- низкая линия роста волос на затылке;
- асимметрия лица;
- отсутствие одного лёгкого;
- гипоплазия почки;
- срастание или недоразвитие пальцев на руке;
- лишние количество пальцев;
- сращение позвонков в различных отделах позвоночника.
Первые две разновидности синдрома Клиппеля-Фейля поддаются коррекции. Ребёнку проводят операцию, затем он проходит сложную восстановительную терапию. На сегодняшний день полностью восстановить позвоночник не удастся, однако человек сможет жить обычной жизнью, потому что умственные способности не затрагиваются.
При третьей форме патологии женщине предложат прерывать беременность, потому что при срастании позвонков ущемляются нервные корешки, из-за чего развиваются различные заболевания внутренних органов. Дети с формой KFS3 требуют особый уход за собой и всё-равно умирают в раннем возрасте.
Spina bifida
Spina bifida или неполное закрытие позвоночного канала, возникающее на ранних сроках беременности в связи с неправильным формированием нервной рубки. Помимо проблем с позвоночником, при Spina bifida имеется недоразвитие спинного мозга. 95% детей с такой патологией рождается у совершено здоровых молодых родителей.
Самой лёгкой формой патологии является Spina bifida occulta — небольшая щель в позвоночном столбе, не сопровождающаяся выпячиванием наружу спинного мозга и повреждением нервных корешков. Дефект внешне практически не заметен, и со стороны сложно сказать, что есть какая-то проблема.
Иногда у новорождённого наблюдаются проблемы с кишечником и мочевым пузырём, имеется сколиоз и слабый тонус ног. Единственным способом диагностики патологии является рентгенография. На скрининговом УЗИ она практически не видна, только при 4D УЗИ можно увидеть неполное сращение дужек позвоночного столба на поздних сроках беременности. Аномалия не требует коррекции, и прерывать беременность женщине не надо.
Кистозная гигрома шеи
Гигрома на шее у плода (лимфангиома) — это доброкачественная опухоль, которая образуется в результате нарушения формирования лимфасистемы в области шейных позвонков в период эмбрионального развития. Если нарушается лимфаток в месте соединения яремного мешка с яремной веной, образуется киста или несколько кист, заполненных фиброзно-серозной жидкостью. Опухоль локализуется возле шейных позвонков, влияя на развитии плода.
Патологию на УЗИ можно увидеть уже на 1-м скрининге на срок 11-12 недель. Главным показателем будет увеличение толщины воротникового пространства. Гигрома шеи у плода возникает как в результате хромосомных нарушений, так и под влиянием внешних причин — механической внутриутробной травмы, курение и употребление алкоголя матерью, перенесённые во время беременности инфекции.
На 2-м скрининге гигрома визуализируется как ассиметричное новообразование с плотной оболочкой, иногда имеющее перегородки внутри, расположенное в проекции шейного отдела позвоночника. Сама по себе опухоль не представляет угрозы для жизни плода.
Если этого не произойдёт, то у малыша после рождения вероятно наличие следующих отклонений:
- парез лицевого нерва — обездвиживание мускулатуры лица по причине длительного сдавливания гигромой нервного волокна;
- деформация позвоночника (чаще всего встречается кривошея — искривление шейного отдела из-за воспалительного процесса в шейных мышцах вследствие перенапряжения постоянного давления опухоли);
- деформация затылочной кости и челюсти;
- нарушение глотательной функции;
- обструкция дыхательных путей (непроходимость дыхательного канала из-за перекрытия трахеи гигромой).
Лечится гигрома консервативно после рождения ребёнка. Если причиной патологии не являются хромосомные нарушения, прогноз для малыша благоприятен.
Выводы
Чтобы исключить любые патологии позвоночника у плода, нужно уже на ранних сроках проходить скрининг с помощью хорошего УЗИ-аппарата. Аномалии позвоночника видны даже при первом обследовании, что позволяет, в случае тяжелых нарушений, своевременно прервать беременность.
Кифосколиоз
Кифосколиоз - это комбинированная деформация позвоночника, представляющая собой сочетание сколиоза (бокового изгиба) и кифоза (сутулости, избыточного изгиба в переднезаднем направлении). Может быть врожденным или приобретенным, проявляется видимой деформацией и болями в спине. Из-за вторичного изменения формы грудной клетки и нарушения функций расположенных в ней органов возможна одышка и нарушения сердечной деятельности. Диагноз выставляется на основании внешних признаков, данных рентгенографии, МРТ и КТ. Лечение кифосколиоза обычно консервативное, при выраженном искривлении может возникнуть необходимость в операции.
МКБ-10


Общие сведения
Кифосколиоз - одновременное искривление позвоночника в боковом и переднезаднем направлении. Является достаточно широко распространенной патологией, в большинстве случаев возникает в подростковом возрасте. Мальчики страдают в четыре раза чаще девочек. В легких случаях кифосколиоз может становиться причиной повышенной утомляемости и болей в спине. Выраженная патология оказывает негативное влияние на состояние всего организма, может вызывать неврологические нарушения, ухудшать функционирование легких, сердца и пищеварительной системы.

Причины кифосколиоза
Причиной развития врожденного искривления обычно являются аномалии развития позвонков. В 20-30% случаев деформация сочетается с пороками развития мочеполовой системы. При этом патология чаще обнаруживается не сразу, а в возрасте 6 месяцев и старше (когда ребенок начинает ходить или стоять). Вместе с тем, зафиксированы случаи, когда кифосколиоз 3 степени выявлялся сразу при рождении малыша.
В числе факторов, которые могут приводить к формированию приобретенного кифосколиоза - врожденная недостаточность соединительной ткани, рахит, некоторые болезни позвоночника (остеохондропатия, опухоли, болезнь Шейермана-Мау и т. д.). Кроме того, причиной развития кифосколиоза становятся нарушения мышечного тонуса и функции мышц вследствие миопатии, миодистрофии и параличей (например, при полиомиелите или ДЦП), ревматизм (вследствие поражения хрящевой ткани позвоночника антителами), несоответствие скорости развития костной и мышечной ткани в период активного роста и т. д. Чаще всего симптомы приобретенного кифосколиоза появляются в 13-15 лет.
Предрасполагающими факторами, увеличивающими вероятность развития кифосколиоза, являются чрезмерная нагрузка на позвоночник, обусловленная избыточным весом или тяжелой физической работой, а также «сидячий» малоподвижный образ жизни и неправильное положение тела при работе за компьютером, сидении за партой и т. д.
Патанатомия
В норме человеческий позвоночник имеет несколько изгибов в переднезаднем направлении: один изгиб назад (грудной кифоз) и два изгиба вперед (поясничный и шейный лордоз). Эти изгибы играют компенсаторную роль при вертикальных нагрузках на позвоночный столб. Если позвоночник изгибается назад больше, чем в норме (под углом более 45 градусов), говорят о патологическом кифозе. Обычно патологический кифоз развивается там же, где и физиологический - в грудном отделе. Боковых изгибов человеческий позвоночник в норме не имеет, поэтому при любой степени бокового искривления выставляют диагноз сколиоз. Как правило, на начальном этапе формирования кифосколиоза образуется кифоз, а в последующем к нему присоединяется сколиоз.
Классификация
В зависимости от выраженности деформации выделяют 4 степени кифосколиоза:
- 1 степень кифосколиоза - угол искривления позвоночника в переднезаднем направлении 45-55 градусов. Отмечается незначительное боковое смещение и скручивание (ротация) позвонков.
- 2 степень кифосколиоза - угол искривления позвоночного столба в переднезаднем направлении 55-65 градусов. Выявляется заметное скручивание и боковое смещение.
- 3 степень кифосколиоза - угол искривления позвоночника в переднезаднем направлении 65-75 градусов. Формируется позвоночный горб, отмечается видимая деформация грудной клетки.
- 4 степень кифосколиоза - угол искривления позвоночного столба в переднезаднем направлении более 75 градусов. Как и в предыдущем случае искривление сопровождается образованием позвоночного горба и деформацией грудной клетки.
С учетом направления бокового искривления в ортопедии и травматологии выделяют левосторонний и правосторонний кифосколиоз.
Симптомы кифосколиоза
Врожденная патология, как правило, становится заметной по достижении 6-12 месяцев. На спине ребенка образуется едва заметный горбик, при этом, в отличие от «чистого» сколиоза, при кифосколиозе выявляется выстояние не мышечного валика, а остистых отростков нескольких позвонков. На ранних стадиях искривление позвоночного столба заметно только при переходе в вертикальное положение и исчезает в положении лежа. В последующем кифосколиоз становится стойким, не зависящим от положения тела. Примерно в 50% случаев кифосколиоз сопровождается прогрессирующей неврологической недостаточностью. В младшем возрасте выявляются нарушения чувствительности, у подростков с врожденным кифосколиозом возможно развитие быстро прогрессирующих парезов.
Ранними проявлениями подросткового кифосколиоза являются изменение осанки, усиление сутулости и боли в спине. Нередко ребенок начинает жаловаться на боль или неприятные ощущения в спине еще до того, как родители заметят нарушение осанки. Возможна также нерезко выраженная одышка, возникающая вследствие ограничения экскурсий грудной клетки. Неврологические нарушения при подростковом кифосколиозе выявляются реже и, как правило, возникают только при тяжелых деформациях. Скорость прогрессирования может значительно различаться в зависимости от причины развития кифосколиоза, а также своевременности и адекватности лечения.
При внешнем осмотре выявляется усиленная сутулость (круглая спина), в тяжелых случаях - горб. Верхняя часть туловища и плечи больного кифосколиозом наклонены вперед и вниз, отмечается сужение грудной клетки и слабость мышц брюшного пресса. Для выявления сколиоза врач производит осмотр в положении с выпрямленной и согнутой спиной. При наличии сколиотической деформации обнаруживается отклонение позвоночника от срединной линии. При внешнем осмотре грудной клетки определяется расширение межреберных промежутков на стороне, противоположной боковому искривлению. При кифосколиозе, осложненном неврологическими нарушениями, выявляется локальное снижение чувствительности, изменение сухожильных рефлексов и несимметричность силы мышц.
Осложнения
Несоответствие формы позвоночного столба физиологическим потребностям организма становится причиной постоянной перегрузки всех структур позвоночника и околопозвоночных мышц. При кифосколиозе возможно раннее развитие остеохондроза, образование протрузий дисков и межпозвонковых грыж, возникновение миозитов и артроза суставов позвоночника. Некоторые из перечисленных патологических процессов могут становиться причиной сдавления спинного мозга и его корешков и приводить к появлению неврологической симптоматики (нарушений чувствительности, двигательных нарушений, нарушению функции тазовых органов).
Из-за кифосколиоза ограничивается подвижность грудной клетки и диафрагмы. Это приводит к увеличению нагрузки на дыхательные мышцы, снижению растяжимости легочной паренхимы и уменьшению функциональной остаточной емкости легких. В результате уменьшается объем легких, нарушается газообмен: в крови становится больше углекислого газа и меньше кислорода. При выраженном кифосколиозе возникает видимая деформация грудной клетки, влекущая за собой еще более значимые нарушения функции легких и сердца.
При тяжелом кифосколиозе страдают не только сердце и легкие, но и пищеварительный тракт: нарушается расположение органов, ухудшается их функционирование. Увеличивается вероятность возникновения холецистита и дискинезии желчевыводящих путей. Из-за кифосколиоза происходит перераспределение нагрузки на нижние конечности, развиваются ранние коксартрозы.
Диагностика

Лечение кифосколиоза
Лечение осуществляют врачи-вертебрологи и ортопеды при участии невропатологов и других специалистов (в зависимости от выявленной сопутствующей патологии). Основными методами консервативной коррекции кифосколиоза являются корсетирование и лечебная гимнастика. Комплекс упражнений подбирается индивидуально. При 1 степени кифосколиоза для выпрямления позвоночника нередко достаточно регулярно выполнять упражнения, при 2 степени ЛФК необходимо сочетать с ношением корсета. Используются корригирующие корсеты, изготовленные по индивидуальному заказу. В большинстве случаев в процессе корсетирования, наряду с устранением сутулости, производится деротация (устранение ротации позвоночника вдоль оси).
Для улучшения кровообращения, повышения пластичности мышц и активизации обменных процессов в мышечной ткани больным кифосколиозом назначается массаж. Полезно плавание и умеренные физические нагрузки (с учетом имеющихся противопоказаний). Противопоказаны занятия с отягощениями и «прыжковые» виды спорта (прыжки в длину и высоту, волейбол, баскетбол).
Показанием к оперативному лечению являются 4 степень кифосколиоза, выраженный болевой синдром, прогрессирующие неврологические нарушения, ухудшение функций сердца и легких. Хирургическая коррекция при кифосколиозе предусматривает установку специальных металлоконструкций (крючков, винтов) в позвонки и выравнивание позвоночного столба с использованием специальных стержней, которые крепятся к этим металлоконструкциям. При этом фиксируемый отдел позвоночника утрачивает подвижность.
Прогноз и профилактика
Полное устранение кифосколиоза возможно до окончания активного роста ребенка, то есть, до 14-15 лет (некоторые специалисты считают критичным возраст 12-13 лет), при этом имеет значение степень искривления и скорость прогрессирования болезни. В большинстве случаев можно полностью устранить кифосколиоз 1 степени, у значительной части пациентов удается добиться выпрямления позвоночника при кифосколиозе 2 степени. При кифосколиозе 3 и, особенно, 4 степени прогноз менее благоприятный - адекватное лечение, как правило, дает возможность остановить прогрессирование деформации и в ряде случаев провести частичную коррекцию. Полное выпрямление позвоночного столба в таких случаях крайне маловероятно.
При лечении кифосколиоза очень важна своевременность всех проводимых лечебных мероприятий. Поскольку эффективная коррекция кифосколиоза возможна, только пока ребенок продолжает расти, очень важно вовремя обратить внимание на признаки кифосколиоза, немедленно обратиться за медицинской помощью и точно выполнять все рекомендации врача, особенно - в отношении лечебной гимнастики и ношения корсета. Именно эти методы позволяют устранить кифосколиоз, в то время как остальные способы лечения выполняют лишь второстепенную вспомогательную функцию.
Сколиоз
Сколиоз - это стойкое искривление позвоночника вбок относительно своей оси (во фронтальной плоскости). В процесс вовлекаются все отделы позвоночника, потому к боковому искривлению в последующем присоединяется искривление в переднезаднем направлении и скручивание позвоночника. По мере прогрессирования сколиоза возникает вторичная деформация грудной клетки и таза, сопровождающаяся нарушением функции сердца, легких и тазовых органов. Патология диагностируется по данным осмотра и рентгенографии. Лечение может быть как консервативным, так и оперативным.




Сколиоз - это сложная стойкая деформация позвоночника, сопровождающаяся, в первую очередь, искривлением в боковой плоскости с последующим скручиванием позвонков и усилением физиологических изгибов позвоночника. При прогрессировании сколиоза развивается деформация грудной клетки и костей таза с сопутствующим нарушением функции органов грудной полости и тазовых органов.
Самыми опасными периодами в отношении развития и прогрессирования сколиоза являются этапы интенсивного роста: от 4 до 6 лет лет и от 10 до 14 лет. При этом следует быть особенно внимательными к здоровью ребенка на этапе полового созревания, которое у мальчиков происходит в 11-14 лет, а у девочек в 10-13 лет. Риск усугубления сколиотической деформации увеличивается в тех случаях, когда к началу этих периодов у ребенка уже есть рентгенологически подтвержденная первая степень сколиоза (до 10 градусов).

Причины сколиоза
Патология относится к группе деформаций, возникающих в период роста (то есть, в детстве и юности). На первом месте по распространенности с большим отрывом находится идиопатический сколиоз - то есть, сколиоз с неустановленной причиной. Он составляет около 80% от общего числа случаев. При этом девочки болеют сколиозом в 4-7 раз чаще мальчиков. В оставшихся 20% случаев наиболее часто выявляется сколиоз вследствие врожденных деформаций позвоночника, обменных нарушений, заболеваний соединительной ткани, тяжелых травм и ампутаций конечностей, а также значительной разницы в длине ног.
В вертебрологии, травматологии и ортопедии существует несколько классификаций сколиоза. Можно выделить две большие группы: структурный сколиоз и неструктурный сколиоз. В отличие от структурного, при неструктурном наблюдается обычное боковое искривление позвоночника, не сопровождающееся стойкой патологической ротацией позвонков.
С учетом причин развития неструктурные сколиозы делятся на:
- Осаночные сколиозы - возникшие вследствие нарушения осанки, исчезающие при наклонах кпереди и проведении рентгенографии в лежачем положении.
- Рефлекторные сколиозы - обусловленные вынужденной позой пациента при болевом синдроме.
- Компенсаторные сколиозы - возникшие вследствие укорочения нижней конечности.
- Истерические сколиозы - имеют психологическую природу, встречаются крайне редко.
Структурные сколиозы также подразделяются на несколько групп с учетом этиологического фактора:
- Травматические - обусловленные травмами опорно-двигательного аппарата.
- Рубцовые - возникшие вследствие грубых рубцовых деформаций мягких тканей.
- Миопатические - обусловленные болезнями мышечной системы, например, миопатией или прогрессирующей мышечной дистрофией.
- Нейрогенные - возникающие при нейрофиброматозе, сирингомиелии, полиомиелите и т. д.
- Метаболические - обусловленные нарушениями обмена и нехваткой определенных веществ в организме, могут развиваться, например, при рахите.
- Остеопатические - возникшие вследствие врожденной аномалии развития позвоночника.
- Идиопатические - причину развития выявить невозможно. Такой диагноз выставляется после исключения остальных причин возникновения сколиоза.
С учетом времени возникновения идиопатические сколиозы делятся на:
- Инфантильные - развившиеся в 1-2 годы жизни.
- Ювенильные - возникшие между 4-6 годами жизни.
- Подростковые (адолесцентные) - появившиеся между 10 и 14 годами жизни.
По форме искривления все сколиозы делятся на три группы: C-образные (один боковой изгиб), S-образные (два боковых изгиба) и Z-образные (три боковых изгиба). Последний вариант встречается крайне редко.
С учетом места расположения искривления позвоночника выделяют:
- Шейно-грудные (с вершиной искривления на уровне III-IV грудных позвонков).
- Грудные (с вершиной искривления на уровне VIII-IX грудных позвонков).
- Грудо-поясничные (с вершиной искривления на уровне XI-XII грудных позвонков).
- Поясничные (с вершиной искривления на уровне I-II поясничных позвонков).
- Пояснично-крестцовые (с вершиной искривления на уровне V поясничного и I-II крестцовых позвонков).
И, наконец, с учетом течения различают прогрессирующий и непрогрессирующий сколиозы.

Симптомы сколиоза
На начальных стадиях патология протекает бессимптомно, поэтому следует обращать внимание на следующие признаки: одно плечо находится выше другого; когда ребенок стоит, прижав руки к бокам, расстояние между рукой и талией различается с двух сторон; лопатки расположены несимметрично - на вогнутой стороне лопатка находится ближе к позвоночнику, ее угол выпирает; при наклоне кпереди становится заметным искривление позвоночника.
Классификация сколиозов, разработанная Чаклиным и использующаяся на территории России, была составлена с учетом как клинических, так и рентгенологических признаков, поэтому на нее можно ориентироваться при выявлении симптомов заболевания. Она включает в себя 4 степени:
- 1 степень - угол до 10 градусов. Определяются следующие клинические и рентгенологические признаки: сутуловатость, опущенная голова, асимметричная талия, разная высота надплечий. На рентгеновских снимках - легкая тенденция к торсии позвонков.
- 2 степень - угол от 11 до 25 градусов. Выявляется кривизна позвоночника, не исчезающая при смене положения тела. Половина таза на стороне искривления опущена, треугольник талии и контуры шеи асимиетричны, в грудном отделе на стороне искривления имеется выпячивание, в поясничном - мышечный валик. На рентгенограмме - торсия позвонков.
- 3 степень - угол от 26 до 50 градусов. В дополнение ко всем признакам сколиоза, характерным для 2 степени, становятся заметными выпирающие передние реберные дуги и четко очерченный реберный горб. Мышцы живота ослаблены. Наблюдаются мышечные контрактуры и западание ребер. На рентгеновских снимках - резко выраженная торсия позвонков.
- 4 степень - угол более 50 градусов. Резкая деформация позвоночника, все выше перечисленные признаки усилены. Значительное растяжение мышц в области искривления, реберный горб, западание ребер в зоне вогнутости.
Физикальное обследование
При выявлении симптомов сколиоза следует обратиться к детскому ортопеду, чтобы он провел детальное обследование и при подтверждении диагноза назначил соответствующее лечение. Обследование пациента, страдающего сколиозом, в условиях мед. учреждения включает в себя подробный осмотр в положении стоя, сидя и лежа для выявления перечисленных выше признаков.
В положении стоя проводится измерение длины нижних конечностей, определяется подвижность голеностопного, коленного и тазобедренного суставов, измеряется кифоз, оценивается подвижность поясничного отдела позвоночника и симметричность треугольников талии, определяется положение надплечий и лопаток. Также производится осмотр грудной клетки, области живота, таза и поясницы. Оценивается мышечный тонус, выявляются мышечные валики, деформация ребер и т. д. В положении сгибания определяется наличие или отсутствие асимметрии позвоночника.
В положении сидя проводится измерение длины позвоночника и определение степени поясничного лордоза, выявляются боковые искривления позвоночника и отклонения туловища. Производится оценка положения таза вне зависимости от положения нижних конечностей. В положении лежа оценивается изменение искривления дуги позвоночника, исследуются мышцы живота и внутренние органы.
Рентгенография
Основным инструментальным методом диагностики сколиоза позвоночника является рентгенография позвоночника. При подозрении на сколиотическое искривление рентгеновское исследование необходимо проводить не реже 1-2 раз в год. Первичная рентгенограмма может проводиться в положении стоя. В последующем рентгеновские снимки выполняются в двух проекциях в положении лежа с умеренным растягиванием - это дает возможность оценить истинную деформацию.
При изучении рентгенограмм больных сколиозом проводится измерение углов искривления с использованием специальной методики, предложенной Коббом. Для того чтобы рассчитать угол искривления, на прямую рентгенограмму наносят две линии, проходящие параллельно замыкательным пластинкам нейтральных (не участвующих в искривлении) позвонков, а затем измеряют угол, образованный этими линиями.
Кроме того, на рентгеновском снимке при сколиозе выявляют следующие особенности:
- Базальные неискривленные позвонки, которые являются основанием для искривленной части позвоночника.
- Кульминационные позвонки, расположенные на самой высокой точке дуги искривления (как основного, так и вторичного, если оно есть).
- Скошенные позвонки, которые находятся в местах перехода между основным искривлением и противоискривлением.
- Промежуточные позвонки, расположенные между скошенными и кульминационными позвонками.
- Нейтральные позвонки - недеформированные позвонки, не участвующие в процессе бокового искривления.
При необходимости выполняют снимки в специальных укладках для измерения торсии (скручивание вдоль оси тела позвонка) и ротации (разворота позвонков друг относительно друга). Торсионный угол также рассчитывается по одной из двух специальных методик: Нэша и Мо или Раймонди.

Рентгенография грудного отдела позвоночника. Левосторонний сколиоз 2-й ст. с углом дуги около 15,8 градусов (по Коббу), с центром на Th9.
Нелучевые инструментальные методы
В периоды быстрого роста исследование позвоночника нужно проводить чаще, поэтому для снижения дозы рентгеновского облучения используются нелучевые безвредные методики, в том числе - трехмерное исследование ультразвуковым или контактным сенсором, светооптическое измерение профиля спины и сколиометрия по Буннеллю.
Возможно также выполнение снимков с малым облучением (с сокращенным временем облучения). Мелкие детали на таких снимках не просматриваются, но по ним можно проводить измерение угла искривления при сколиозе. При необходимости для выявления причины развития сколиоза может также проводиться МРТ позвоночника.

МРТ грудного отдела позвоночника. Выраженная дугообразная сколиотическая деформация грудного отдела позвоночника вправо.
Лечение сколиоза
Пациенты должны наблюдаться у опытного врача-вертебролога или ортопеда, хорошо знакомого с данной патологией. Возможное быстрое прогрессирование и воздействие искривления на состояние внутренних органов требует адекватного лечения, а также, при необходимости - направления к другим специалистам: пульмонологам, кардиологам и т. д. Лечение сколиоза может быть как консервативным, так и оперативным, в зависимости от причины и выраженности патологии, наличия или отсутствия прогрессирования. В любом случае - важно, чтобы оно было комплексным, постоянным, своевременным.
Консервативная терапия
При сколиозах, обусловленных последствиями травмы, укорочениями конечностей и другими подобными факторами необходимо в первую очередь устранить причину. Например - использовать специальные стельки или ортопедическую обувь для компенсации разницы в длине конечностей. При нейрогенных и миопатических сколиозах консервативная терапия, как правило, малоэффективна. Требуется хирургическое лечение.
Консервативное лечение идиопатических сколиозов включает в себя специальную антисколиозную гимнастику и использование корсетов. При угле искривления до 15 градусов в отсутствие ротации показана специализированная гимнастика. При угле искривления 15-20 градусов с сопутствующей ротацией (у пациентов с незавершенным ростом) к гимнастике добавляют корсетотерапию. Использование корсетов возможно как только в ночное время, так и постоянно - в зависимости от рекомендаций врача. Если рост завершился, корсет не нужен.
При прогрессирующем сколиозе с углом более 20-40 градусов показано стационарное лечение в условиях специализированной вертебрологической клиники. Если рост не завершен, рекомендуется постоянное ношение деротирующего корсета (не менее 16 часов в сутки, оптимально - 23 часа в сутки) в сочетании с интенсивной гимнастикой. После завершения роста корсет, как и в предыдущем случае, не требуется.
Хирургическое лечение
При угле более 40-45 градусов, как правило, требуется оперативное лечение. Показания к операции определяются индивидуально и зависят от причины развития сколиоза, возраста пациента, его физического и психологического состояния, вида и локализации деформации, а также эффективности консервативных методов лечения.
Операция при сколиозе представляет собой выпрямление позвоночника до определенного угла с использованием металлических конструкций. При этом подвергшийся оперативному вмешательству отдел позвоночника обездвиживается. Для фиксации позвоночника применяются специальные пластины, стержни, крючки и винты. Для расширения позвонков, придания позвоночнику более правильной формы и улучшения консолидации используются костные трансплантаты в виде вкладышей. Операция по коррекции сколиоза может проводиться трансторакально, дорсально и путем торакофренолюмботомии.
3. Заболевания и повреждения позвоночника у детей и подростков / Андрианов В.Л., Баиров Г.И., Садофьева В.И., Райе Р.Э. - 1985
Кифоз
Кифоз - это искривление позвоночника в передне-задней (саггитальной) плоскости. Может быть как физиологическим (нормальным), так и патологическим. Патологический кифоз чаще развивается в грудном отделе, нередко сопровождается болями в спине. При значительном искривлении возможно сдавление нервных корешков и спинного мозга с соответствующей симптоматикой (слабость в ногах, нарушения чувствительности, тазовые расстройства). В особенно тяжелых случаях может наблюдаться нарушение деятельности сердца и легких. Диагностируется на основании данных внешнего осмотра и рентгенографии. Лечение кифоза, в основном, консервативное. В определенных ситуациях показана операция.

Кифозом называется как патологическое, так и физиологическое искривление позвоночника в передне-заднем направлении. Физиологический кифоз определяется у всех людей в грудном отделе позвоночника. О патологии говорят в тех случаях, когда угол изгиба составляет 45 и более градусов. Кифоз может наблюдаться как отдельно, так и в сочетании со сколиозом (искривлением позвоночника в боковой плоскости). Самой частой причиной развития патологического кифоза являются переломы позвонков.
В зависимости от характера искривления кифоз может быть угловым или дугообразным. Угловой кифоз обычно возникает при туберкулезе позвоночника, сопровождается образованием горба, укорочением туловища и выпячиванием груди вперед. При дугообразном кифозе наблюдается плавная С-образная деформация всего грудного отдела позвоночника.

Причины кифоза
Патология может возникнуть вследствие нарушений внутриутробного развития, неблагоприятной наследственности, травм и операций на позвоночнике, слабости мышц спины при недостаточных физических нагрузках и т. д. У пожилых людей (особенно - женщин) кифоз часто развивается вследствие патологических компрессионных переломов грудных позвонков. Причиной таких переломов становится остеопороз - уменьшение плотности костей.
Кроме того, кифоз может формироваться при некоторых инфекционных и неинфекционных заболеваниях: спондилите, анкилозирующем спондилите (болезни Бехтерева) и опухолях позвоночника. Очень редко причиной возникновения патологического кифоза становится лучевая терапия, проводимая для лечения злокачественных новообразований в детском возрасте.
Патогенез
Чрезмерное искривление грудного отдела оказывает неблагоприятное влияние как на анатомические структуры самого позвоночника, так и на расположенные рядом органы. Объем грудной клетки и емкость легких при максимальном вдохе уменьшаются. Недостаточное поступление кислорода в кровь обуславливает нарушения со стороны системы кровообращения и других систем.
Диафрагма сильнее давит на брюшную полость, из-за чего нарушается нормальная работа расположенных там органов, в частности - развиваются запоры. Из-за перераспределения нагрузки страдают межпозвоночные диски, возникает остеохондроз. При выраженном кифозе возможно сдавление спинного мозга и нервных корешков, сопровождающееся потерей или ослаблением чувствительности, мышечной слабостью и нарушениями со стороны тазовых органов.
С учетом причины возникновения в ортопедии и травматологии выделяют следующие разновидности патологического кифоза:
- функциональный кифоз (сутулость);
- дорзальный юношеский кифоз (развивается при болезни Шейермана-Мау);
- врожденный кифоз;
- паралитический кифоз;
- посттравматический кифоз;
- дегенеративный кифоз.
С учетом угла искривления выделяют нормальный, усиленный (с увеличенным углом) и выпрямленный (с уменьшенным углом) кифоз.
Усиленный кифоз, в свою очередь, подразделяется на три степени:
- 1 степень, при которой угол изгиба составляет 35 или менее градусов.
- 2 степень, при которой угол искривления колеблется от 31 до 60 градусов.
- 3 степень, при которой угол изгиба составляет 60 и более градусов.
Виды кифоза
Функциональный кифоз
Функциональный кифоз - проявление неправильной осанки. Возникает вследствие слабого развития мышц спины либо нефизиологичного положения во время учебы или работы. В отдельных случаях такой кифоз обусловлен психологическими факторами (обычно у подростков, которые стесняются своего роста). Организм стремится скомпенсировать избыточный изгиб грудного отдела позвоночника кзади, поэтому при таком кифозе часто развивается сопутствующий поясничный гиперлордоз (избыточный изгиб поясничного отдела кпереди).
В отличие от других видов кифоза, при данной патологии избыточное искривление исчезает при попытке выпрямить спину или укладывании на твердую плоскую поверхность. На рентгенограммах каких-либо аномалий не выявляется. Лечение функционального кифоза консервативное. Пациента обучают сохранять правильное положение во время сидения, стояния и ходьбы. Для укрепления мышц спины назначаются специально разработанные комплексы упражнений (ЛФК). Ношение корсетов не показано.
Дорзальный юношеский кифоз
Причины развития данной формы кифоза (болезни Шейермана-Мау) до конца не изучены, однако точно установлено, что определенную роль в ее развитии играет наследственная предрасположенность. Предполагается, что кифоз в данном случае возникает либо вследствие аваскулярного некроза (омертвления) замыкательных пластинок (слоев гиалинового хряща между позвонком и межпозвонковым диском), либо из-за избыточного роста костной ткани в телах позвонков. Существует также предположение, что кифоз развивается из-за множественных микропереломов позвонков вследствие остеопороза.
Тела трех или более грудных позвонков при болезни Шейермана-Мау деформируются, становятся клиновидными (на боковых рентгенограммах они выглядят почти треугольными). Из-за изменения формы позвонков кифоз усиливается. Изгиб в грудном отделе позвоночника достигает 45-75 градусов.
На ранних стадиях пациенты, как правило, не предъявляют никаких жалоб. По мере прогрессирования кифоза и усиления искривления позвоночника появляются боли в пораженном отделе. Из-за сопутствующей деформации грудной клетки со временем затрудняется акт дыхания. Могут возникать нарушения сердечной деятельности. Неврологическая симптоматика обычно отсутствует.
Диагноз дорзального юношеского кифоза выставляется на основании анамнеза, клинического и рентгенографического обследования. В некоторых случаях дополнительно проводят электронейромиографию и МРТ позвоночника. Лечение обычно консервативное. Назначается массаж, физиотерапевтические процедуры, ЛФК и мануальная терапия, иногда - ношение корсета. Показанием к хирургической операции является большой угол искривления (более 75 градусов), стойкий болевой синдром, а также нарушения дыхания и кровообращения.
Врожденный кифоз
Врожденный кифоз является следствием нарушения эмбрионального развития. Возникает при появлении аномалий на этапе формирования позвонков, в результате чего могут образовываться бабочковидные или клиновидные позвонки, задние полупозвонки, микропозвонки и т.д. Реже встречаются нарушения сегментации (разделения) на отдельные позвонки.
Возможен как «чистый» кифоз, при котором позвоночник искривляется только в передне-заднем направлении, так и кифосколиоз, сопровождающийся искривлением в передне-заднем и боковом направлениях. Вершина кифотического искривления может располагаться на любом уровне - от шейно-грудного до поясничного отдела позвоночника. Кифоз при этом заболевании часто носит прогрессирующий характер.
Нередко (примерно в 13% случаев) наблюдается сочетание кифоза как с другими аномалиями позвоночного канала (дермоидные кисты, фиброзные перетяжки, дермальные синусы, аномальные спинномозговые корешки и т. д.), так и с нарушениями развития различных органов и систем (мочевыводящей, сердечно-легочной, а также конечностей, брюшной и грудной стенки). Обычно искривление позвоночника сопровождается неврологическими нарушениями.
В качестве дополнительных методов исследования используется рентгенография (обзорные и прицельные снимки в различных проекциях), КТ, МРТ. Может назначаться рентгенконтрастное исследование позвоночного канала. Обязательно проводится неврологическое обследование. Консервативное лечение врожденного кифоза малоэффективно. Рекомендуется оперативное вмешательство в детском возрасте для устранения патологического кифоза, стабилизации позвоночника и предотвращения его дальнейшей деформации.
Паралитический кифоз
Паралитический кифоз обусловлен заболеваниями, сопровождающимися парезами и параличами мышц спины (ДЦП, полиомиелит и т. д.). При ДЦП отмечается усиление грудного кифоза и увеличение его протяженности (изгиб распространяется на верхнюю часть поясничного отдела). Кифоз может сочетаться со сколиозом. Характерно постепенное прогрессировании деформации. Лечение обычно консервативное, комплексное, длительное.
Диагноз выставляется на основании анамнеза, клинического и рентгенологического исследования. По показаниям больных направляют на КТ и МРТ. Пациентам назначают массаж, ЛФК, физиолечение, мануальную терапию. Операция показана при выраженном болевом синдроме и нарушениях функции органов, расположенных в грудной клетке.
Посттравматический кифоз
Переломы грудных и поясничных позвонков - самая частая причина развития кифотической деформации (около 40% от всех кифозов). Риск возникновения кифоза зависит от тяжести травмы, нарушений со стороны костно-мышечной системы (остеопороз, слабость мышц спины) и соблюдения врачебных рекомендаций в период лечения. Основанием для постановки диагноза является соответствующий анамнез, клинические и рентгенологические признаки посттравматического кифоза.
В некоторых случаях кифоз сочетается с неврологическими нарушениями. Лечение преимущественно хирургическое. При наличии противопоказаний к операции (пожилой возраст, тяжелые сопутствующие заболевания и т. д.) проводится консервативная терапия, назначается ношение корсета.
Дегенеративный кифоз
Дегенеративный кифоз возникает в результате дегенеративных нарушений (остеопороза, остеохондроза). Чаще наблюдается у женщин пожилого и старческого возраста. Нередко сочетается с предшествующими травмами (патологическими компрессионными переломами тел позвонков). Кифоз способствует усугублению дегенеративных изменений позвоночника и носит прогрессирующий характер. Лечение преимущественно консервативное.
Постановка диагноза начинается с подробного опроса и осмотра пациента. Врач (лечением кифозов занимаются травматологи-ортопеды) изучает историю развития болезни, уточняет особенности болевого синдрома, обращает внимание на отсутствие или наличие неврологических нарушений. Осмотр включает в себя пальпацию спины и шеи, определение силы мышц и кожной чувствительности. Специалист исследует сухожильные рефлексы и проводит специальные тесты для оценки неврологического статуса, осуществляет аускультацию сердца и легких.
Обязательным этапом обследования является рентгенография позвоночника, которая может включать в себя как обзорные прямые и боковые снимки, так и прицельные рентгенограммы в нестандартных проекциях и при специально выбранном положении пациента (например, в условиях растягивания позвоночника).
Лечение кифоза
Лечение чаще консервативное, включает в себя ЛФК для укрепления мышечного корсета спины, массаж и физиопроцедуры. Некоторым пациентам показана мануальная терапия. Ношение корсетов назначается преимущественно для уменьшения болевого синдрома. Однако постоянное использование корсетов в большинстве случаев не рекомендуется, поскольку сами по себе они не исправляют осанку и, к тому же, могут стать причиной ослабления мышц спины с последующим усугублением кифоза.
Показанием к хирургическому вмешательству является:
- Стойкий болевой синдром, который не удается устранить консервативными методами.
- Быстрое прогрессирование кифоза, особенно - сопровождающееся неврологическими нарушениями, а также нарушениями функции легких и сердца.
- Косметический дефект, существенно снижающий качество жизни пациента и препятствующий выполнению профессиональных обязанностей.
Для фиксации позвоночника используются различные конструкции, изготавливаемые из инертных металлов (титана, никелида титана). Они не вызывают реакции отторжения и могут находиться в организме без последствий в течение многих лет.
Читайте также:
- Уход после малоинвазивной операции при переломе пяточной кости
- Нарушения углеводного обмена. Влияние возраста на обмен глюкозы
- Значение дисфункции эндотелия. Нарушение упруго-эластических свойств артерий
- УЗИ, ЭхоКГ при атриовентрикулярном септальном дефекте сердца плода
- Показания для операции при переломе поясничного отдела позвоночника
