Уход после малоинвазивной операции при переломе пяточной кости
Добавил пользователь Евгений Кузнецов Обновлено: 11.12.2025
Переломы лодыжек являются одной из наиболее частых причин обращения к травматологам-ортопедам.
Когда возможно консервативное лечение перелома лодыжек.
Консервативное лечение методом гипсовой иммобилизации возможно в ситуации изолированных переломов наружной или внутренней лодыжек без смещения костных фрагментов и повреждения связочных структур. Даже в случаях подобных изолированных повреждений сроки иммобилизации не могут быть меньше 6 недель, что в конечном счёте значительно затрудняет реабилитацию и может приводить к более продолжительным срокам нетрудоспособности в сравнении с оперативным лечением. Плюсами консервативного лечения перелома лодыжек являются отсутсвие рисков связанных с самим оперативным вмешательством и наркозом, а также отсутсвие необходимости удалять металлофиксаторы в будущем.
Разнообразие переломов лодыжек.
Итак, подавляющее большинство переломов лодыжек требует оперативного вмешательства, при отсутсвии противопоказаний. Для планирования оперативного вмешательства и понимания взаимоотношений между различными анатомическими структурами в области голеностопного сустава и стопы, которые могут повреждаться при переломах лодыжек, существуют различные классификации. Наиболее широко распространённой в международной практике, подробной, и оценивающей все аспекты как собственно травмы, так и возможных путей её лечения является классификация АО. Вы можете найти её на сайте международной ассоциации остеосинтеза.
К сожалению данная классификация довольно сложная и громосткая, мы не будем приводить её здесь полностью, так как только её треть относящаяся к группе А выглядит примерно так:

Максимально упрощая, можно свести переломы лодыжек к одно\двух\трёх- лодыжечным переломам и их эквивалентам. Консервативное лечение применимо только в случае однолодыжечных переломов. При консеравтином лечении двух- и трёх-лодыжечных переломов и их эквивалентов вторичное смещение практически неизбежно, что приводит в дальнейшем к нарушению взаимоотношений между таранной костью и соответсвующих ей суставных поверхностей большеберцовой и малоберцовой костей, что в свою очередь приводит к неправильному распределению нагрузки, износу суставного хряща и формированию посттравматического артроза с грубым нарушением функции опоры и ходьбы уже в течение 1-2 лет после травмы. Именно это и объясняет возросший за последние 2 десятилетия интерес хирургов-ортопедов к данному виду травмы.
Цели операции при переломе лодыжек.
Главной целью хирургического лечения перелома лодыжек является восстановление нормального взаимоотношения костей в голеностопном суставе. Даже при смещении таранной кости кнаружи на 1 мм площадь её контакта с большеберцовым плато уменьшается на 40%. Получается что при сращении наружной лодыжки с, казалось бы, небольшим смещением в 1 мм кнаружи, на 60 % площади будет приходиться 100 % нагрузки.
Вторым важным моментом является обеспечение условий для сращения перелома за счёт плотного контакта костных фрагментов и их надёжной фиксации, предотвращающей движение отломков между собой.
Третьей целью является уход от иммобилизации. Гипсовая повязка сама по себе способна нанести значительный вред её обладателю за 6 недель, приводя к нарушению питания тканей, атрофии мышц, повышая риски тромбоза глубоких вен нижних конечностей, препятствуя движению в суставе, что в конечном счёте может приводить к его контрактуре. При правильно выполненном остеосинтезе движения в голеностопном суставе разрешаются уже на следующий день после операции. Вы можете посмотреть статью посвящённую операции при переломе лодыжки перейдя по этой ссылке.
Что происходит после того, как вы обратились в клинику с переломом лодыжек.
В нашем центре мы стараемся максимально быстро и эффективно оказывать помощь пациентам с переломами любой локализации, в том числе и с переломами лодыжек. Полное предоперационное обследование и операция выполняются в течение первых 24 часов после обращения. Выписка под наблюдения травматолога поликлиники в большинстве случаев происходит уже на вторые сутки после обращения и операции. При обращении вам выполнят рентгенограммы для подтверждения диагноза, будет наложена транспортная гипсовая иммобилизация. Непосредственно перед операцией с профилактической целью вводятся внутривенно антибиотики. Возможно использование спинномозговой анестезии или эндотрахеального наркоза. С целью снижения стресса от оперативного вмешательства за 10 минут до операции вас погрузят в медикаментозный сон, проснётесь вы также через 10 минут после её окончания. Во время операции ортопедический хирург произведёт открытое сопоставление отломков с их фиксацией пластинами и винтами. После операции вам понадобятся костыли, так как полная нагрузка всё равно не рекомендуется до сращения перелома. На следующий день после операции вам выполнят перевязку, научат как правильно ходить с дополнительной опорой на костыли и какие упражнения делать для разработки движений и укрепления мышц голени, после чего вы можете быть выписаны домой.
Операция при переломе лодыжек.
При переломе лодыжек выполняется оперативное вмешательство называемое: открытая репозиция и внутренняя фиксация, или остеосинтез. Для доступа к сломанной кости выполняются разрезы вне проекции крупных сосудисто нервных пучков.


Сломанная кость обнажается, производится сопоставление костных отломков, временная фиксация при помощи костодержателей, спиц, костных цапок. Далее выполняется остеосинтез при помощи пластин и винтов. Временная фиксация удаляется.

Производится гемостаз, рана послойно ушивается, накладывается асептическая повязка, эластическая компрессия.
Что происходит после операции при переломе лодыжек.
После операции нога должна находится на возвышении, через повязку на область оперативного вмешательства укладывается лёд (лучше всего мягкая резиновая грелка наполненная льдом и холодной водой) на 30 минут каждые 3 часа. Это позволяет уменьшить отёк и боль в зоне вмешательства. После операции вам будут вводиться обезболивающие и противовоспалительные препараты. Вечером в день операции или на следующий день после операции инструктор по лечебной физкультуре обучит вас каким образом надо правильно ходить с дополнительной опорой на костыли и покажет вам упражнения которые надо будет выполнять для сохранения массы и силы мышц голени. Утром на следующий день после операции вам сделают перевязку. После этого вы можете быть выписаны под наблюдение травматолога по месту жистельства. Дома также следует продолжать использовать возвышенное положение конечности и лёд для более быстрого спадения отёка и уменьшения болей. Через 2 недели после операции вам надо будет приехать в клинику для того чтобы снять швы. Через 6 недель производится рентгенконтроль и при наличии признаков консолидации разрешается нагрузка на ногу. Обычно требуется ещё около 2 недель для того чтобы полностью восстановить функцию конечности. На этом этапе очень полезно позаниматься с инструктором по лечебной физкультуре. Форсированные(спортивные) нагрузки на ногу не рекомендуются до 6-12 месяцев после травмы.
Осложнения операции при переломе лодыжек.
Существует ряд осложнений характерных для любого хирургического вмешательства и для любого вида анестезии. Операция при переломе лодыжек не исключение. К ним относятся инфекция, повреждение сосудов и нервов, кровотечение, тромбоз глубоких вен. Их риск не превышает 2 % от общего числа вмешатльств.
Также существуют специфические осложнения. К ним относятся тугоподвижность голеностопного сустава, слабость мышц голени, формирование посттравматического артрозп голеностопного сустава. Эти риски в значительной степени зависят от морфологии перелома, наличия сопутсвующих заболеваний, таких как диабет, аутоимунные заболевания требующие приёма стероидных препаратов, курение.
Нужно ли удалять пластины и винты после операции при переломе лодыжек.
Пластины и винты используемые в современной хирургической практики сделаны или сплава титана или хирургической стали не вызывающих реакции со стороны организма. Их удаление показано в случаях когда они вызывают раздражение мягких тканей за счёт механического их повреждения, в случаях инфекционных осложнений, а также при настойчивом желании пациента. Также зачастую требуется удаление позиционного винта через 6-8 недель при фиксации межберцового синдесмоза. Полное удаление металлофиксаторов при переломе лодыжек рекомендуется не ранее 12 месяцев после операции.
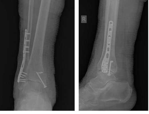
Клинический случай 1. Перелом обеих лодыжек с подвывихом стопы кнаружи.
44 В2-2
Пациентка Т. 80 лет. Травма за 3 недели до обращения, получила перелом обеих лодыжек правой голени со смещением, подвывихом стопы кнаружи. Обратилась в РТП, выполнена рентгенография, наложена гипсовая повязка. В связи с сохраняющимся выраженным отёком и болевым синдромом обратилась в клинику К+31.

На рентгенограммах в гипсе определяется значительный подвывих таранной кости кнаружи, консолидирующийся перелом нижней трети малоберцовой кости.

В день обращения пациентка послоностью обследована, проведено оперативное лечение, открытая репозиция, остеосинтез перелома нижней трети малоберцовой кости пластиной, внутренней лодыжки винтом, внутренняя лодыжка дополнительно фиксирована анкерным фиксатором.

На контрольных рентгенограммах после операции положение отломков, металлофиксаторов правильное, подвывих таранной кости устранён.
Пациентка выписана на 2 сутки после операции на амбулаторное долечивание.
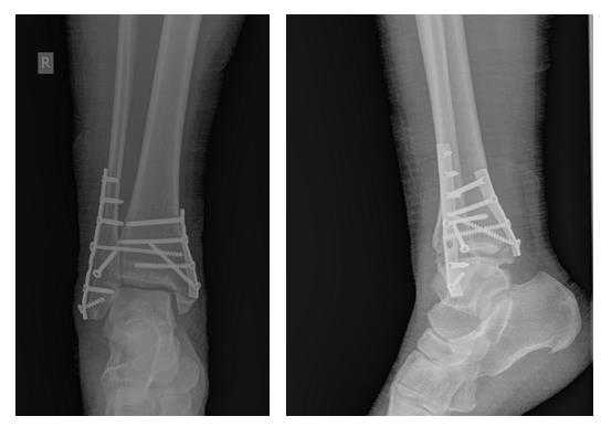
Клинический случай 2. Перелом обеих лодыжек с вывихом стопы кнаружи, кзади.
44 А3-3
Пациентка Л. 50 лет, травма в быту, получила закрытый перелом обеих лодыжек с вывихом стопы кнаружи и кзади. Данный случай интересен значительным повреждением мягких тканей произошедшем при травме и потребовавшем значительных усилий в борьбе с отёком, а также морфологией перелома внутренней лодыжки, сломавшейся одним большим блоком вместе с задним краев большеберцовой кости, что потребовало её фиксации при помощи пластины и винтов.

В связи с выраженным отёком мягких тканей, высоким риском некроза краёв ран и инфекционных осложнений пациентке с целью предоперационной подготовки выполнялись скелетное вытяжение, сосудистая и метаболическая терапия, лимфодренаж, физиотерапия. После спадения отёка, на 3 день после поступления выполнено оперативное вмешательство: открытая репозиция, остеосинтез переломов наружной и внутренней лодыжек пластинами и винтами.

Через 4 дня пациентка выписана на амбулаторное долечивание. Послеоперационные раны зажили первичным натяжением, швы удалены через 14 дней.
Через 6 недель после первичного вмешательства произведено удаление позиционного винта, пациентка приступила к активной разработке движений в голеностопном суставе.
Амплитуда движений через 8 недель после травмы и оперативного вмешательства по поводу этого тяжёлого повреждения близка к полной. Пациентка ходит с полной опорой, не используя костыли или трость, не хромает, боли не беспокоят. Сохраняется умеренный отёк в области голеностопного сустава.
Восстановление после перелома пяточной кости
Перелом пятки считается тяжелой травмой, требующей длительной иммобилизации и реабилитации после снятия гипса.
Методы реабилитации
Лечение любых переломов включает в себя мероприятия по восстановлению функций после снятия гипса. Длительная иммобилизация приводит к нарушениям кровообращения в сломанном органе, потере эластичности мышц.
Пяточная кость - самая крупная часть скелета стопы. Она находится под постоянным давлением веса всего тела. Неудачный прыжок, авария приводят к перелому кости, который часто сопровождается смещением.
Внимание! Выраженный болевой синдром после переломов такого вида приводит к тому, что пациенты, особенно пожилого возраста с лишним весом, остаются хромыми.
Мероприятия по восстановлению нужны всегда. Их длительность и успешность зависят от возраста, упорства больного и его желания вернуть легкую походку. Неправильно проведенная реабилитация приводит:
- к формированию плоскостопия;
- к сохранению хромоты;
- к развитию заболеваний суставов;
- к формированию костных мозолей и наростов, мешающих при ходьбе и деформирующих стопу.
Особенно важно проведение полноценной реабилитации после перелома пятки со смещением, так как иммобилизация требуется на срок в три месяца. Опираться на ногу можно только тогда, когда разрешит врач. За это время развивается атрофия мышц и ухудшается кровоснабжение.
Восстановительные процедуры включают:
- Массаж.
- Специально подобранные комплексы упражнений.
- Физиотерапевтические процедуры.
- Компрессы и согревающие мази.
- Рацион питания.
- Лечебные ванночки.
- Ношение специально подобранной обуви.
Только комплексное проведение мероприятий поможет полностью восстановить утраченные двигательные функции. За время ношения гипса вырабатывается щадящая походка с минимальной нагрузкой на сломанную ногу, которую осторожные больные часто сохраняют на долгое время.
Массаж
Массажные действия проводят еще во время иммобилизации на части ноги, не закрытые гипсовой повязкой. Это ускоряет заживление и помогает сохранить тонус мышц. После того, как ногу освобождают, массаж делают на всю конечность. При выполнении действий можно использовать согревающие бальзамы и кремы.
В домашних условиях полезен гидромассаж попеременно теплой и прохладной водой сильным напором из душа.
Диета
Рацион питания с высоким содержанием кальция, витаминов и микроэлементов способствует восстановлению костных тканей, укрепляет иммунитет и поднимает тонус организма. Необходимо употреблять в пищу:
- творог;
- рыбу;
- фрукты и овощи;
- орехи;
- мед;
- сыр.
Сбалансированная диета является необходимым условием скорейшего выздоровления. Правильное питание поможет костям быстрее срастись и ускорит процессы метаболизма.
Физиотерапия
Реабилитация после снятия гипса с помощью аппаратных процедур помогает восстановить атрофированные после перелома пятки мышцы. Успешно применяются следующие аппаратные способы:
- электрофорез с лекарственными препаратами;
- воздействие лазером;
- магнитотерапия;
- электролечение;
- грязелечение;
- фонофорез.
Процедуры помогают улучшить местный кровоток, избавиться от отложения солей, уменьшить воспаление.
Ванночки
Теплые ванночки (38°-40°), так же, как физиолечение, ускоряют метаболизм в тканях конечности. Для них используют:
- морскую соль;
- ромашку;
- шалфей;
- календулу;
- бальзам «Золотая звезда».
Тепловое воздействие помогает в восстановлении хрящевых тканей, снимает болевой синдром.
Упражнения ЛФК
Выполнение комплекса специально подобранных упражнений помогает вернуть двигательную активность и восстановить ногу. Застойные процессы в конечности, развившиеся при длительной иммобилизации, нарушили эластичность мышц и связок.
Упражнения для реабилитации выбирает врач. Начальный этап процедур следует проводить в кабинете восстановительного лечения. После того, как правила движений будут усвоены, возможно домашнее выполнение.
Особенную осторожность нужно соблюдать при переломах со смещением, так как время неподвижности было более длительным.
Рекомендованы следующие виды движения:
- ходьба;
- круговые вращения в голеностопном суставе;
- сгибание и разгибание конечности.
Необходимо регулярное выполнение упражнений, чтобы вернуть эластичность мышц. Однако чрезмерная нагрузка на пятку противопоказана.
Еще находясь в гипсе, можно через две недели после перелома выполнять следующие упражнения:
- сгибать и разгибать пальцы ног;
- сгибать ноги в коленном суставе.
Комплекс упражнений
Примерный комплекс упражнений, помогающий восстановиться после перелома пятки и снятия гипса:
- В любом исходном положении выполняются сгибания и выпрямления пальцев ног.
- Стопой больной ноги катают цилиндрический предмет, например, пластиковую бутылку.
- Сидя на стуле, поднимать пальцами с пола мелкие предметы.
- Вращать стопу по кругу с максимальной амплитудой.
- Ходить босиком по ткани, поднимая ее пальцами.
- Толкать пальцами больной ноги легкий мяч к стенке, задерживать его при отскоке.
- Сидя на стуле, попеременно с силой упираться на внутреннюю или внешнюю часть стопы.
- Стоя у стенки с упором, переносить тяжесть по очереди на разные ноги.
- Находясь на шведской стенке, максимально тянуть пятки вниз.
- Сидя на стуле, положить ногу на колено, вращать стопу сначала в одну сторону, потом в другую.
- Приседать, опускаясь на 10-20 см.
- Встав у стены, отжиматься от нее.
- Лежа, одновременный подъем ног и их скрещивание.
- Лежа на полу, поворачивать обе стопы одновременно, то в разные стороны, то внутрь.
Все упражнения выполняются по 10-15 раз. Как правильно выполнять разные действия, можно узнать у специалиста. Упражнения выполняют обеими ногами - больной и здоровой по очереди.
Как правильно проводить упражнения - самостоятельно или со специалистом?
В домашних условиях необходимо совмещать разные способы реабилитации после перелома пятки. Советы по выбору эффективных методов даст врач. Длительность восстановительного периода может составить от 2-3 месяцев до 2-х лет. Пожилым пациентам иногда не удается вернуть утраченные функции.
По мере разработки конечности болевой синдром будет уменьшаться. После снятия гипса показано ношение ортеза или ортопедических стелек. Они помогают мышцам удерживать ногу в естественном положении и избежать чрезмерной нагрузки на сустав.
Занятия со специалистом полезны, чтобы научиться выполнять правильные действия. В дальнейшем массаж могут делать родственники, комплекс ЛФК легко запомнить и осуществлять дома.
В восстановительном периоде полезна ходьба без ношения сумок, если на улице гололед, следует ограничиваться тренажером. Придется вновь научиться разделять собственную тяжесть на обе ноги.
Энергичные активные действия в период восстановления быстро вернут мышцы в работоспособное состояние, возобновят естественный кровоток. Это позволит организму не зафиксировать в памяти необходимость с осторожностью наступать на больную ногу. Часто люди хромают по привычке, просто из осторожности и страха.
Тщательное выполнение реабилитационных мероприятий позволит долечить ногу и вернуть ровную походку.
Операция на косточке большого пальца ноги

Cпециалисты по хирургии стопы и голеностопного сустава помогут вам навсегда избавится от такой проблемы как косточка на большом пальце, а также других сопутсвующих заболеваний, таких как: артроз первого плюсне-фалангового сустава, косточка на 5 пальце стопы, молоткообразная деформация пальцев, плосковальгусная деформация стопы.
Что представляет из себя операция при косточке на большом пальце стопы?
В каждом конкретном случае операционный план может варьировать в зависимости от степени деформации и сопутсвующих изменений в других пальцах стопы.

Подготовка к операции на косточке.
В первую очередь необходимо выбрать клинику и доктора у которого вы планируете оперироваться. На первичной консультации доктор объяснит вам операционный план и расскажет каким образом нужно подготовиться к операции.
В случае если косточка не слишком большая и нет изменений других пальцев стопы которые требуют вмешательства, вся госпитализация займёт всего одни сутки.
Будет хорошей идеей подготовить ваш дом к последующему за операцией реабилитационному периоду. Возможно вам захочется переставить мебель, чтобы было удобнее ходить. Также желательно запастись едой, чтобы не пришлось ходить по магазинам.
Операция по удалению косточки может проводиться как под местной так и под общей анестезией. При выполнении операции под местной анестезией после нескольких уколов на уровне голеностопного сустава вы перестанете чувствовать стопы и можете не спать во время операции. Также возможно выполнение операции под спинальной анестезией, при которой чувствиетельность будет полностью отсутсвовать в обеих нижних конечностях.
Перед любой из перечисленных видов анестезии рекомедуется не принимать пищу в течение 6 часов до планируемой операции.
Ваш хирург расскажет вам что будет происходить перед, во время и после операции. Если вам будет что то не понятно, не стесняйтесь спрашивать. После того как вы зададите все интересующие вас вопросы вам дадут подписать согласие на оперативное вмешательство.
Существуют ли альтернативы операции при косточке на большом пальце ноги?
Помимо хирургического лечения возможны несколько других опций которые помогут облегчить ваше состояние. Это обезболивающие препараты, силиконовые вкладыши, индивидуальные ортопедические стельки, ночные ортезы для фиксации 1 пальца в правильном положении, подбор удобной ортопедической обуви. Эти мероприятия помогут бороться с болью, но они не смогут полностью остановить прогрессирование деформации с течением времени.
Что происходит во время операции при косточке на большом пальце ноги?
Операция по удалению «косточки» чаще всего длится не более 1 часа, если речь идёт только об 1 пальце стопы, но продолжительность операции будет зависеть от степени деформации. Сцществует много вариантов хирургического лечения «косточки», как с применением открытых методик так и чрескожных. При выполнении операции закрытым способом чаще всего требуется создать искусственный «перелом» который хирурги называют "остеотомия", для того, чтобы восстановить нормальное положение костей стопы. При выполнении открытой операции по внутренней поврехности стопы делается разрез длиной 5-7 см, что обеспечивает прекрасную визуализацию, позволяющую точно определить необходимый угол опила и степень смещения фрагментов кости. При достаточном опыте хирурга возможно выполнение остеотомии закрытым способом при помощи бура из 5 мм разреза, контроль опила при этом осуществляется при помощи рентгена, но решающее значение имеют тактильные ощущения хирурга.

При миниинвазивных вмешательствах не остаётся больших послеоперационных рубцов, и уровень болей после операции как правило ниже, но чаще встречаются такие проблемы как неполная коррекция деформации, замедленная консолидация остеотомий.

Возможно и сочетание закрытых иоткрытых методов, когда вмешательство на 1 плюсневой кости выполняется открыто, а на малых лучах и фалангах закрыто, при помощи бура.

Что происходит после операции по удалению косточки?
Вы должны будете находится в палате до полного разрешения анестезии. После операции потребуется проводить перевязки на протяжении 2 недель. В случае если производилась остеотомия, вам потребуется носить обувь с разгрузкой переднего отдела стопы на протяжении 6 недель, до того момента, когда фрагменты кости полностью срастутся. Мы рекомендуем находится в стационаре как минимум сутки, для адекватного контроля боли и выполнения первой послеоперационной перевязки.
- Европейское качество без перелётов и переплат.
- Опытные и профессиональные хирурги, специализирующиеся на хирургии стопы и голеностопного сустава
- Использование самых современных технологий и методик, имплантов и инструментов ведущих западных производителей (Synthes, Arthrex, Smith&Nephew)
- Исключительно положительные отзывы пациентов
- Комфорт при подготовке к операции, во время нахождения в стационаре и при прохождении реабилитации
- Возможность выполнения полного предоперационного обследования в день обращения
В своей работе наши специалисты используют только самые современные и высокотехнологичные инструменты зарубежных производителей таких как: DePuy, Synthes, Arthrex, Integra.

В зависимости от степени деформации возможно выполнение различных типов операций, как по малоинвазивным, так и по ставшим уже классическими методикам. Исходя из объёма, операции можно разделить на 3 группы по степени сложности.
Например при небольшой деформации возможно выполнение оперативного вмешательства при помощи бура через небольшой прокол кожи (около 5 мм).

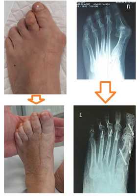
При более сильно выраженной деформации используется остеотомия первой плюсневой кости и основной фаланги 1 пальца. Ниже приведён клинический пример Z-образной или Scarf остеотомии 1 плюсневой кости и клиновидной варизующей или Akin остеотомии основной фаланги 1 пальца.

В том случае, если деформация затрагивает 2 и более пальца то необходима более сложная операция, затрагивающая сразу несколько плюсневых костей и фаланг а также включающая вмешательство на мягких тканях. Ниже приведён пример реконструкции переднего отдела стопы при запущенной деформации, включающий Z-образную остеотомию 1 плюсневой кости и клиновидную варизующюю остеотомию основной фаланги 1 пальца, артропластическую резекцию 2-3-4 проксимальных межфаланговых суставов, шевронную остеотомию 5 плюсневой кости.

Сроки реабилитации варьируют в зависимости от проведенной операции, чем больше объём вмешательства, тем больше времени потребуется на восстановление.
Для того чтобы попасть к нам на операцию вам потребуется:
Дальнейшее наблюдение и лечение можно проходить как в нашей клинике, так и в любой другой, которая может быть более удобно расположена. Следующими важными моментами являются: снятие швов через 14 дней после операции и выполнение рентгеновских снимков через 6 недель после вмешательства. Начиная с 3 недели проводится лечебная физкультура, направленная на разработку амплитуды движений пальцев оперированной стопы, а также физиотерапия для уменьшения боли и отёка.
Отличная новость:
теперь в нашей клинике возможно проведение операции с финансированием из фонда ОМС, то есть для вас операция будет бесплатной! Торопитесь, количество квот ограничено!
Часто задаваемые вопросы.
Что произойдёт если не делать операцию по удалению косточки?
Операция предлагается, как правило, при неэффективности консервативных методов лечения. Если ортопедическая обувь и стельки, межпальцевые силиконовые корректоры, физиопроцедуры и лечебная гимнастика не дают желаемого эффекта встаёт вопрос об оперативной коррекции деформации. Консервативные меры не могут устранить косточку и вальгусное отклонение первого пальца, однако они могут замедлить прогрессирование деформации и уменьшить боль.
Смогу ли я носить обувь на высоком каблуке после операции на косточке?
После окончания реабилитационного периода вы сможете иногда носить обувь на высоком каблуке. Делать это на постоянной основе не рекомендуется ввиду избыточной нагрузки на передний отдел стопы, что может повлечь за собой рецидив деформации и прогрессирование артроза 1 плюсне-фалангового сустава. Плохая идея выполнять операцию на косточке по косметическим показаниям, так как если болей не было до операции, то они могут появиться вследствие рубцового процесса в зоне вмешательства после операции. Ношение обуви на высоком каблуке и обуви с узким мысом повышают риск рецидива деформации в будущем.
Как долго я буду на больничном листе?
Всё зависит от характера вашего труда и от того сколько времени вам необходимо находится на ногах. Если вы можете работать с ноутбука лёжа в кровати то особой необходимости в больничном листе у вас не будет. При преимущественно интеллектуальном характере труда минимальный рекомендуемый срок нетрудоспособности 2 недели - до заживления послеоперационных ран и начала спадения отёка. В среднем, время нахождения на больничном составляет 8 недель, 6 недель в специальной обуви и ещё 2 для адаптации к обычной обуви. В ряде случаев, при большом объёме операции, время на листке нетрудоспособности может быть продлено до 12 недель.
Вы можете ознакомиться с примерами операций по устранению косточки на большом пальце стопы в этом разделе.
Реабилитация после перелома стопы
Правильная схема реабилитации после перелома стопы помогает избежать неприятных последствий травмы: плоскостопия; хромоты; искривления пальцев и др.
Виды переломов стопы
Лечение перелома любой кости предполагает иммобилизацию, то есть фиксацию положения на долгий срок. За это время кость должна срастись.
Долгая неподвижность приводит к нарушению эластичности мышц и связок, ослаблению кровотока, потере подвижности сустава. Стопа принимает на себя вес тела, от ее гибкости зависит походка и удержание равновесия.
Перелом нижней части конечности - частая травма. Важно не просто вылечить перелом стопы - реабилитация после травмы позволит полноценно двигаться, предотвратить отеки и болезненность ноги и избежать последствий.
Скелетную часть стопы составляют 26 костей. Переломы этой части тела более характерны для взрослых. Они возникают обычно:
- при прыжках с высоты (страдает чаще пяточная часть);
- при резком смещении влево и вправо;
- от падения на ногу тяжелых предметов, особенно с резкими гранями и краями.
Падение предметов обычно провоцирует травмирование плюсневых костей, которые могут ломаться не по одной. Еще одной нередкой причиной переломов является усталость и чрезмерная нагрузка. Стопа часто травмируется у профессиональных танцоров, спортсменов, у которых перенапряженные мышцы и связки не в состоянии защитить скелет.
При травме повреждаются также окружающие ткани и сосуды.
Повреждения костей делят на виды:
- со смещением - лечение и реабилитация осложняются из-за усиленного травмирования тканей и необходимости возврата костей в естественное положение;
- без смещения;
- открытый;
- закрытый.
Травма может быть множественной, внутрисуставной. Могут быть повреждены любые кости. Наиболее часто сломанными оказываются плюсневые части скелета. Другие виды переломов:
- пальцев;
- предплюсны;
- ладьевидной;
- клино- и кубовидных костей.
При травме любой части наблюдается схожая симптоматика, для выявления места разрушения назначают рентген. Симптомом повреждения скелета нижней части конечности являются:
- боль, невозможность наступить на ногу;
- отек и покраснение;
- деформация, нарушение естественного вида.
Для лечения проводят иммобилизацию, фиксируя правильное положение. Нередко необходима операция, чтобы вернуть кости на естественное место и удалить осколки.
Важно! даже неосложненный перелом небольших костей требует обращения к врачу, наложения гипса или тугой повязки и реабилитационных мероприятий.
Особенности реабилитации после перелома стопы
Гипс или фиксирующая повязка накладывается на срок от 3-4 недель до нескольких месяцев при осложненных травмах. Реабилитация начинается после окончания иммобилизации и продолжается до года.
Ее основные задачи:
- предотвратить контрактуру (ограничение подвижности);
- побороть атрофию мышц;
- вернуть нормальную походку.
Готовиться к снятию гипса нужно заранее. При несложных травмах через 2-3 недели после фиксации рекомендуется снимать лангету и совершать движения в голеностопном суставе, не опираясь на конечность. Также рекомендованы комплексы упражнений для улучшения кровообращения, которые не задействуют больную ногу, но улучшают в ней кровоток.
После снятия повязки реабилитация включает:
- массаж;
- физиопроцедуры;
- ЛФК;
- диета, которая начинается еще при лечении;
- ношение специальной обуви, стелек, супинаторов.
Комплексный подход к восстановлению позволяет быстрее вернуть полноценную двигательную функцию.
Массажные действия выполняют еще до снятия повязок на свободную часть конечности. После освобождения ноги нужно научиться основным приемам у медперсонала и выполнять разминание ноги самостоятельно или с помощью родственников. Лучшим вариантом будет профессиональный массаж у специалиста.
Массаж способствует улучшению движения крови и лимфы, повышает тонус сосудов и мышц, помогает снять отеки.
Физиопроцедуры
Аппаратные процедуры можно начинать во время иммобилизации и продолжать после снятия гипса. Показаны следующие виды лечения:
- УВЧ;
- амплипульс;
- электрофорез;
- магнитотерапия;
- ультразвук;
- воздействие лазером;
- переменные токи.
Аппаратные методы улучшают микроциркуляцию, помогают рассасыванию отеков, гематом, ускоряют формирование костной мозоли.
Так, например, после двухлодыжечного перелома с подвывихом стопы реабилитация включает:
- ультразвуковые процедуры;
- ионофорез;
- грязелечение;
- ванны с теплой минеральной водой.
Последовательность проведения процедур определяет врач. Из-за долгой иммобилизации после такого перелома функции стопы восстанавливаются долго.
Комплекс упражнений лечебной физкультуры выбирается с учетом места и характера травмы, индивидуально в каждом случае. Нормированные упражнения помогают восстановить мышечную память, улучшить трофику тканей, простыми действиями подготовить к полноценному участию ноги в движении.
Правильно сформировать рацион питания необходимо сразу после травмы. Он поможет повысить иммунитет и укрепить кости.
- продукты с высоким содержанием кальция, витаминов D, C, группы B - морская рыба, бананы, соя, орехи;
- фрукты и овощи;
- растительное масло;
- крупы;
- нежирные бульоны;
- кисломолочные продукты.
Следует отказаться от чрезмерного употребления сладкого, алкоголя, кофеиносодержащих напитков.
Осложнить лечение перелома и процесс реабилитации могут сопутствующие заболевания и состояния:
- варикозная болезнь;
- сахарный диабет и другие гормональные расстройства;
- остеопороз;
- пожилой возраст;
- общее ослабление иммунитета.
В этом случае к восстановительному периоду нужно отнестись с особым вниманием.
Этапы реабилитации
Находясь в гипсе, необходимо выполнять упражнения для бедренного и коленного суставов, чтобы поддерживать тонус мышц и улучшать кровоснабжение.
Мероприятия по восстановлению функций нужно проводить последовательно, чтобы не перегрузить конечность чрезмерными нагрузками. Основные этапы правильной реабилитации:
- Первый этап. Начинать восстановление нужно с разогревания стопы массажем. Для этого подходят простые действия по разминанию ноги без использования силы. Движения легкие, разминающие и поглаживающие. Не нужно сразу пытаться ходить, особенно без костылей. Эта ошибка часто встречается во время реабилитации пациентов с переломом плюсневой кости стопы.
- Второй этап. Во время второго этапа нужно подключать специально подобранный комплекс ЛФК, регулярно увеличивая нагрузку. Ходьба необходима. Важно сразу правильно ходить, не допуская хромоты, которая может закрепиться в сознании. Необходима тренировка свода стопы, мышцы которого атрофировались в результате неподвижности.
- Третий этап. Во время заключительного этапа нельзя прекращать упражнения, следует продолжать придерживаться диеты, посещать физиопроцедуры. В этот период подключаются задания на развитие рессорных функций - небольшие прыжки.
Результатом реабилитационного периода должна стать полная подвижность суставов, ровная походка без хромоты. Для облегчения передвижения нужно продолжать носить супинаторы. Это обязательно для реабилитации пациентов с любой локализацией травмы, не исключая перелом пятой плюсневой кости стопы, который встречается наиболее часто.
Реабилитационные упражнения
Упражнения нужно выполнять несколько раз в день, не допуская чрезмерной усталости и боли. Они помогают снять отеки и болезненность, вернуть подвижность и эластичность мышц. Полезны упражнения на сгибание и разгибание пальцев, повороты стопы и движения всей конечности.
Приведем несколько типичных упражнений, рекомендованных при реабилитации после перелома 5 плюсневой кости стопы:
- Больная стопа на колене здоровой ноги - сгибать и разгибать пальцы. 10-15 повторов.
- Положение то же. Поворот внутрь и наружу. 10 раз.
- Вращение в голеностопном суставе по часовой стрелке, затем против.
- Сидя на стуле. Разбросать мелкие предметы, захватывать их пальцами ноги.
- Сидя. Катать больной ногой по полу мячики разных размеров.
- Стоя. Переносить тяжесть тела по очереди на разные ноги.
- Стоя. Вставать по очереди на носки и на пятки.
- Стоя или сидя. Больной ногой толкать к стене и ловить легкий мячик.
- Ходить по ткани, зацепляя ее пальцами и приподнимая.
- Стоя. Переносить тяжесть по очереди на внутреннюю и внешнюю часть стопы.
- Махи ногой с большой амплитудой, поочередные подъемы конечностей для укрепления бедренных мышц.
Во время ходьбы нужно удерживать осанку и стараться сразу вернуться к правильной походке. При возникновении отеков следует сообщить врачу.
К сведению. Для уменьшения боли можно воспользоваться разогревающими мазями типа Троксевазин, Лиотон или другими, по совету травматолога.
Также на одном из последних этапов можно подключать упражнения на баланс борде:
Правильная выбранная схема реабилитации помогает избежать неприятных последствий травмы:
- плоскостопия;
- хромоты;
- роста пяточной шпоры;
- искривления пальцев;
- контрактуры суставов.
Восстановительный период не менее важен, чем правильная фиксация костей при лечении. При недостаточной настойчивости в занятиях и тренировках полную подвижность конечности можно утратить. Своевременное начало, точное следование рекомендациям травматолога, терпение и трудолюбие помогут полностью восстановить двигательные функции и успешно закончить лечение перелома стопы.
Реабилитация после перелома ноги
Реабилитация после перелома ноги включает ряд необходимых видов лечения и упражнений, без которых полностью восстановиться не удастся.
Особенности реабилитации
Восстановительный период является необходимой частью лечения после перелома. Правильно выбранные и полностью проведенные мероприятия после снятия гипса или фиксирующей повязки помогают полностью восстановить двигательные функции конечности, обеспечить полную подвижность, ровную походку, избежать посттравматических осложнений и болей.
После снятия гипса, даже после недлинной иммобилизации и перелома небольших костей стопы, в ноге ощущается дискомфорт, мышцы и связки теряют эластичность, упругость, суставы - подвижность.
Цели реабилитации:
- восстановление мышечных тканей;
- стимуляция кровоснабжения и движения лимфы;
- укрепление сосудов, преодоление застоя в них;
- уменьшение отеков, ускорение обменных процессов и оттока жидкости из тканей;
- восстановление полной подвижности суставов, преодоление контрактуры.
При сложных переломах крупных костей и суставов, долгой неподвижности реабилитация требуется долгая и всесторонняя. Особенно трудно она проходит у ослабленных или пожилых людей с серьезными заболеваниями, при которых нарушен обмен веществ, кроветворение, проходимость сосудов.
До реабилитации после перелома ноги со смещением иногда может потребоваться дополнительная операция из-за неверного сращивания костей.
Восстановительный период необходим после любого перелома. Он включает:
- Первый этап - массаж, растирание больного места, небольшие физические упражнения, использование местных средств, стимулирующих восстановление тканей.
- Второй - выполнение все более сложных комплексов ЛФК, физиотерапия.
- Третий - ЛФК, постоянно увеличивающаяся двигательная активность, пешие прогулки, санаторно-курортное бальнеологическое лечение.
Все этапы сопровождаются диетой, которая помогает ускорить обмен веществ, укрепить мышцы и кости. Чтобы правильно ставить ногу и помочь при движении, рекомендовано носить специальные стельки, ортезы, чтобы не перегружать конечность.
К сведению/На начальном этапе движения сопровождаются болью, что считается нормальным. Постепенная разработка мышц, возвращение двигательной активности постепенно снизит болевой синдром.
Комплексы упражнений
Подбирает вид упражнений врач-реабилитолог, в зависимости от характера травмы. Занятия при реабилитации после перелома берцовой кости ноги будут отличаться от ЛФК при травме стопы.
При любом повреждении конечности полезны следующие движения:
- сгибать ноги в колене, можно выполнять, еще не вставая с постели утром;
- стоя, переносить вес по очереди на разные ноги;
- выполнять махи с максимальной амплитудой (вперед, назад, в стороны), задерживая ногу в конечном положении на 2-3 секунды, при необходимости удерживаясь рукой за опору;
- приседания, начиная с неглубоких, с фиксированием рук вверх, в стороны, перед грудью;
- перенос тяжести с пяток на носки;
- из положения лежа делать ножницы, попеременные подъемы конечностей, велосипед.
Полезны занятия на велотренажере, плавание, ходьба.
Ходьба
Лучший и самый простой способ нагрузить ногу естественными движениями - ходьба. Гулять нужно вдалеке от автотрасс, начиная с хорошей ровной дороги, постепенно увеличивая нагрузку. Полезно передвигаться, меняя темп, переходя с быстрого на медленный шаг. Также необходимо спускаться и подниматься на невысокие горки.
Следует включить в прогулку движение спиной вперед и боком с перекрестными шагами. При отсутствии болевого синдрома необходимо постепенно переходить на бег, заканчивая прогулку спокойным шагом.
ЛФК после перелома ноги
Ниже представляем вам примерный комплекс упражнений Лечебной Физкультуры (ЛФК) после травм или перелома ноги. Перед применением упражнений - проконсультируйтесь со специалистом ЛФК.
Правила выполнения упражнений
Для каждого вида травмы разработаны специальные комплексы, которые учитывают место и вид перелома, наличие смещения и операции, состояние больного, его возраст.
Упражнения для реабилитации после перелома большой берцовой кости ноги выполняются в таком объеме:
- утренняя и вечерняя зарядка - 10-15 минут каждый день;
- тренажеры - 45 минут 2 раза в неделю;
- ходьба ежедневная в назначенном объеме (расстояние);
- разминочные комплексы - 3-4 раза в день по 3-5 минут;
- занятие плаванием - 45 минут 2 раза в неделю;
- комплекс ЛФК - 45 минут 2 раза в неделю.
Подобные нагрузки необходимы также при реабилитации после перелома лодыжки ноги, различаться могут только специальные упражнения.
Необходимым условием занятий является возобновление их по несколько раз в течение дня, чтобы постоянно стимулировать мышцы.
Если нет возможности выполнять какие-то виды рекомендованных упражнений, следует увеличить время и сложность возможных. При этом дома следует завести резиновую ленту, ножной эспандер.
Занятия только в зале не создадут нужную нагрузку, необходимо заниматься и дома.
Реабилитация после перелома мизинца или другого пальца на ноге проходит быстрее. В этом случае выполняется больше движений на мелкую моторику - поднятие пальцами мелких предметов, катание мячиков, хождение по неровным поверхностям босиком.
Необходимым условием успешного восстановления является полноценная загрузка всех суставов и групп мышц поврежденной конечности, а не только больного участка.
Реабилитация и упражнения после перелома ноги после операции остеосинтеза начинаются после того, как снимают швы. После использования аппарата Илизарова или вытяжения занятия стартуют через 10-14 дней после снятия приспособлений.
Важно! Нельзя подолгу сохранять неподвижное, тем более неправильное положение. Сидеть следует, не скрещивая ноги, о любимой позе нога на ногу придется забыть.
Восстановительные диеты
Правильное питание должно быть организовано во время ношения гипса. Оно поможет срастись костям, улучшит состояние мышц. При переломе нижних конечностей необходимо потребление белка до 120 г в день.
Для быстрого сращивания костей организму нужны следующие элементы: кальций, цинк, магний. Источники:
Для лучшего усвоения кальция необходим витамин D, в большом количестве содержащийся в жирных видах рыбы.
Фосфор, необходимый для восстановления костей, содержат печень, зерновые, молочные продукты, фасоль, орехи.
Улучшить метаболизм в тканях помогают витамины. При переломах необходимо увеличить потребление продуктов с витаминами D, C, A, группы В или принимать аптечные комплексы.
Наиболее подходящей является диета №11, с необходимым количеством белков для восстановления мышечных и костных тканей, а также калорий, чтобы выполнять упражнения для реабилитации после перелома ноги. Питание - 5 раз в день, приготовление пищи - обычная обработка. Необходим отказ от жареного и копченого.
Потребление жидкости - 1,5 литра.
Применение массажа
Массаж - первое и лучшее средство восстановления мышечных тканей. В большинстве случаев он показан еще при гипсе на свободную часть ноги. Даже если во время иммобилизации движения не рекомендованы, можно улучшить кровоток, выполняя небольшой массаж открытых участков.
После ограничения подвижности наблюдается атрофия мышц, отечность за счет скопления жидкости и нарушения метаболизма в тканях. Массаж помогает стимулировать движение крови и лимфы, укрепить стенки сосудов, разработать суставы, помогая руками в движении ноги.
Начальный этап массажа лучше доверить специалисту, чтобы понять, как правильно выполнять движения. В дальнейшем помогут родственники, также возможно самостоятельное выполнение.
Для усиления воздействия можно использовать массажный крем или лекарственные препараты для наружного применения.
Особенности реабилитации в домашних условиях
Даже если больной посещает ЛФК, физиопроцедуры в поликлинике, дома следует выполнять разминку, соблюдать двигательный режим, придерживаться диеты. Комплексный подход способствует быстрому восстановлению.
Хорошо помогают снять отеки и усилить кровоснабжение в больной конечности ванночки с морской солью, лекарственными травами и эфирными маслами. Их делают сначала каждый день, по мере улучшения - раз в 2-3 дня.
Восстановление после травмы длится долго и требует больших усилий и настойчивости. Даже при незначительном переломе мелких костей стопы реабилитация занимает 2 месяца. В сложных случаях неприятные последствия травмы устраняют от нескольких месяцев до 1,5-2 лет. Все это время необходимо придерживаться диеты, выполнять упражнения, ходить рекомендованные расстояния, чтобы не допустить развития хромоты.
Пожилым пациентам часто преодолеть осложнения не удается. Еще одним обстоятельством, отягчающим реабилитацию, является лишний вес.
Реабилитация после перелома кости ноги продолжается до полного восстановления подвижности, отсутствия отеков и отсутствия болевого синдрома. Успешность ее зависит от целеустремленности пациента и правильно выбранного комплекса лечебных методов.
Читайте также:
- Случай перфорации роговицы у онкологического пациента после химиотерапии
- Диагностика хронической гипертензивной энцефалопатии по КТ, МРТ
- Секреция кишечного пищеварительного сока. Состав кишечного пищеварительного сока
- Роль гормонов в развитии рака. Половой диморфизм в канцерогенезе.
- Нагноение раны после торакопластики. Искривление пациента после торакопластики
