Лучевая анатомия (КТ, МРТ анатомия) брюшной стенки
Добавил пользователь Евгений Кузнецов Обновлено: 01.11.2025
Первым, кто додумался поделить печень на восемь, функционально независимых сегментов был французский хирург — Claude Couinaud.
Классификации Couinaud.
По классификации Couinaud печень делится на восемь независимых сегментов. Каждый сегмент имеет свой собственный сосудистых приток, отток и желчный проток. В центре каждого сегмента есть ветви воротной вены, печеночной артерии и желчного протока. На периферии каждого сегмента вены, собирающиеся в печеночную вену.
- Правая печеночная вена делит правую долю печени на передний и задний сегмент.
- Средняя печеночная вена делит печень на правую и левую доли. Эта плоскость проходит от нижней полой вены до ямки желчного пузыря.
- Серповидный связка отделяет левую долю с медиальной стороны — сегмент IV и с латеральной сторон — сегмент, II и III.
- Воротная вена делит печень на верхние и нижние сегменты. Левая и правая воротная вена делится на верхние и нижние ветви, устремляясь в центр каждого сегмента. Изображение представлено ниже.

На рисунке изображено печеночные сегменты, фронтальный вид.
- На нормальной фронтальной проекции VI и VII сегментов не видно, поскольку они расположены более кзади.
- Правая граница печени формируется из сегментов V и VIII.
- Хотя сегмент IV является часть левой доли, он расположен правее.
Couinaud решил разделить печень в функциональном плане на левую и правую печень по проекции средней печеночной вены (линия Кэнтли).
Линия Кэнтли проходит от середины ямки желчного пузыря кпереди до нижней полой вены кзади. Изображение представлено ниже.

Нумерация сегментов.
Есть восемь сегментов печени. Сегмент IV — иногда делится на сегмент iva и ivb в соответствии Bismuth. Нумерация сегментов по часовой стрелке. Сегмент I (хвостатой доле) расположена кзади. Он не виден на фронтальной проекции. Изображение представлено ниже.

Аксиальная анатомия.
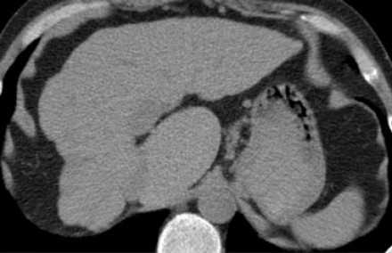
Аксиальное изображение верхних сегментов печени, которые разделены правой и средней печеночной веной и серповидной связкой. Изображение представлено ниже.

Это поперечные изображения на уровне левой воротной вены.
На этом уровне левой воротной вены делит левую долю в верхних отделах (II и IVa) и нижних сегментов (III и IV в).
Левая воротная вена находится на более высоком уровне, чем в правая воротная вена. Изображение представлено ниже.

Аксиальное изображение на уровне правой воротной вены. На данном срезе воротная вена делит правую долю на верхние сегменты ((VII и VIII) и нижние сегменты (V и VI).
Уровень правой воротной вены ниже уровня левой воротной вены. Изображение представлено ниже.

Аксиальное изображение на уровне селезеночной вены, которая находится ниже уровня правой воротной вены, видна только в низко лежащих сегментах. Изображение представлено ниже.

Как разделить печень на сегменты при аксиальных кт изображениях.
- Левая доля: латеральный (II или III) vs медиальный сегмент (IVa/b)
- Экстраполировать (провести воображаемую) линию вдоль серповидной связки до места слияния левой и средней печеночной вены в нижнюю полую вену (IVC).
- Левая против правой доли — IVA/B vs V/VIII
- Экстраполировать линию от ямки желчного пузыря кверху вдоль средней печеночной вены к НПВ (красная линия).
- Правой доли: передний(V/VIII) vs задний сегмент (VI/VII)
- Экстраполировать линию вдоль правой печеночной вены к НПВ книзу до латерального края печени (зеленая линия).
Для более точного понимания КТ-анатомии печени ниже представлено видео.
Хвостатая доля.

Расположена сзади. Анатомическое отличие заключается ее в том, что венозный отток из доли идет чаще отдельно непосредственно в нижнюю полую вену. Также к доле кровь поставляется как от правой, так и от левой ветви воротной вены.
Этот КТ пациента с циррозом печени с атрофией правой доли, с нормальным объемом левой доли и компенсаторной гипертрофией хвостатой доле. Изображение представлено ниже.
Немного о хирургии печени
- На первом схеме представлена правосторонняя гепатэктомия (сегмент V и VI, VII и VIII (сегмент± I)).
- Расширеннаяправая лобэктомия (трисегментэктомия). Сегменты IV, V и VI, VII и VIII (сегмент± I).
- Левосторонняя гепатэктомия (сегмент II, III и IV (сегмент± I)).
- Расширенная левосторонняя гепатэктомия (трисегментэктомия) (сегмент II, III, IV, V и VII (сегмент± I)).
Многие хирурги используют расширенная гепатэктомия вместо трисегментэктомия.

На следующей схеме представлены:
- Правая задняя сегментэктомия — сегмент VI и VII
- Правая передняя сегментэктомия — сегмент V и VIII
- Левая медиальная сегментэктомия — сегмент IV
- Левая боковая сегментэктомия — сегмент II и III

Ниже представлена еще одна иллюстрация функциональной сегментарной анатомии печени.
Что покажет КТ органов брюшной полости

КТ органов брюшной полости - это метод лучевой диагностики, который позволяет получить за одно сканирование данные о состоянии всех органов брюшной полости и забрюшинного пространства. В клинках СПб ее осуществляют на низкодозных спиральных компьютерных томографах срезовой мощностью от 12 до 340 срезов. Мультиспиральная компьютерная томография (МСКТ) использует рентгенологическое излучение в ходе обследования и оценивает скорость прохождения лучей через ткани организма, транслируя информацию, полученную в результате исследования, в объемные изображения органов и тканей и трехмерные реконструкции.
Что такое КТ органов брюшной полости
На вооружении медиков в медицинских центрах Санкт-Петербурга есть широкий спектр диагностических возможностей для обследования зоны живота: лабораторные исследования, УЗИ, рентгенография, эндоскопия, МРТ брюшной полости, КТ органов брюшной полости и радиоизотопные методы ПЭТ-КТ. Метод КТ брюшной полости схож с методикой рентгенографии и основан на регистрации разницы поглощения рентгеновского излучения тканями. Однако в отличие от рентгена при МСКТ врач получает объем информации в разы больше, чем может дать рентгенограмма. При рентгенографии диагност получает сумму всех просвеченных пучком рентгеновского излучения структур, поэтому на рентгенограммах органы брюшной полости накладываются друг на друга. При компьютерной томографии есть возможность сделать изображения срезов, по которым можно оценить границы и расположение каждого отдельного органа.
Мультиспиральная КТ сопряжена с лучевой нагрузкой на организм, которая в среднем составляет 3-5 мЗв за одно обследование. Для предупреждения накопления в организме облучения не рекомендовано проводить КТ более двух-трех раз в год, а при радиационном лечении требуется дополнительная консультация с врачом.

Показания
Основными показаниями к проведению КТ органов брюшной полости являются:
- Тревожные данные УЗИ или лабораторных обследований;
- Травмы в области живота;
- Подозрения на аномалии в анатомии органов брюшной полости врожденного или приобретенного характера;
- Присутствие инородных тел в брюшине или кишечнике;
- Онкопоиск: КТ выполняется при имеющихся новообразованиях или подозрении на них;
- Подготовка пациента к трансплантации органа или иному хирургическому вмешательству;
- Оценка результатов лечения или заживления тканей в постоперационный период.



Данные МСКТ брюшной полости хорошо покажут:
- новообразования различного генеза;
- области внутреннего кровотечения;
- последствия травмы брюшной полости;
- поражение лимфоузлов;
- флегмоны, гепатиты, абсцессы;
- цирроз печени;
- камни в почках или желчном пузыре.
Если обследование проводится в ангиорежиме, у врачей есть возможность оценить состояние сосудистой системы в зоне живота, осуществив КТ брюшной аорты и чревного ствола, КТ сосудов почек, КТ артерий и вен брыжейки.
Что входит в КТ брюшной полости
Компьютерная томография брюшной полости позволяет за одно обследование комплексно оценить органы брюшной полости и забрюшинного пространства: печень, желчный пузырь, желчные протоки, поджелудочная железа, селезенка, желудок, двенадцатиперстная кишка, нижняя часть пищевода, лимфоузлы данной области, видимые образования или анатомические дефекты в мягких тканях брюшной полости, почки, надпочечники, верхняя треть мочеточников.
КТ брюшной полости с контрастом
КТ органов брюшной полости в диагностических центрах проводится по двум базовым протоколам: без контраста и с контрастным усилением. Само по себе нативное (то есть, бесконтрастное) обследование обладает достаточно высокой информативностью. Однако дифференциальная диагностика новообразований требует проведения КТ брюшной полости с контрастным усилением. Злокачественные опухоли контраст помогает лучше визуализировать, когда он скапливается вокруг пораженных тканей. Таким образом, их контуры и местоположение становятся более заметными на томограммах, а по характеру накопления и отдачи контрастного состава врач может судить об онко-потенциале объемного образования.
Чаще всего контрастное усиление на базе йода вводится внутривенно через катетер, который устанавливается в зону локтевого сгиба пациента. Процедура контрастирования увеличивает почти вдвое продолжительность диагностики и стоимость томографии. Решение о необходимости проведения КТ брюшной полости с контрастом обычно принимает лечащий врач на основании анамнеза пациента и отмечает требования к контрастному протоколу обследования в направлении на исследование.
Противопоказания
Практически каждый метод диагностики имеет перечень противопоказаний. Так, КТ не проводится следующим категориям пациентов:
- женщинам в период беременности, ибо рентген-лучи отрицательно сказываются на развитии плода и влекут за собой развитие врожденных патологий;
- возраст пациента до 3 лет.
МСКТ с контрастным усилением накладывает дополнительные ограничения:
- почечная недостаточность;
- эндокринные заболевания щитовидной железы;
- индивидуальная непереносимость йода.
Если по состоянию здоровья КТ с контрастированием противопоказано пациентам с почечной недостаточностью, особенно, когда по результатам анализа крови скорость клубочковой фильтрации (СКФ) составляет Главный врач МРТ центра РИОРИТ, Врач терапевт
Радиологическая анатомия. Анатомия. МРТ, КТ - анатомия, рентгеновская анатомия. Норма. +
by Robin Smithuis
Radiology department, Rijnland Hospital Leiderdorp, the Netherlands.
МРТ анатомия отводящего нерва
Insula. МРТ, анатомические исследования
МРТ анатомия цистерн, сегменты языкоглоточного и блуждающего нервов
МРТ анатомия среднего мозга
МРТ. Нормальная анатомия орбиты
МРТ. Нормальная анатомия головного мозга
МР анатомия и патология мужской и женской уретры
МРТ анатомия полового члена
МРТ коленного сустава
МРТ анатомия тазобедренного сустава
"Норма" и патология ахиллова сухожилия. МРТ
Рентгеновская анатомия
Область плечевого сустава
Локтевой сустав
Предплечье
Запястье
Кисть
Поясничный отдел позвоночника
Таз
Тазобедренный сустав
КТ грудной клетки у детей
Pediatric Chest CT 1 - Nonvascular Mediastinal Masses
by Marilyn J. Siegel and Valerie Niehe
Mallinckrodt Institute of Radiology Washington University School of Medicine St. Louis, MO and the Medical Centre Haaglanden in
Pediatric Chest CT 2
by Marilyn J. Siegel and Robin Smithuis
Atlas of Radiographic Anatomy of the Brain
Axial T1-weighted MRI
Coronal T2 MRI
Magnetic resonance arteriogram (MRA)
Magnetic resonance venogram (MRV)
Сердечная анатомия
Cardiac Anatomy
by Tineke Willems and Marieke Hazewinkel
Radiology department of the University Medical Centre Groningen and the Medical Centre Alkmaar, the Netherlands
Contrast-enhanced Periferal MRA
by Tim Leiner
Department of Radiology, Maastricht University Hospital
Coronary anatomy and anomalies
by Robin Smithuis and Tineke Willems
Radiology department of the Rijnland Hospital Leiderdorp and the University Medical Centre Groningen, the Netherlands.
КТ или МРТ брюшной полости
В нашей клинике вы можете пройти МРТ органов брюшной полости с выдачей медицинского заключения. По результатам МРТ исследования врач ставит точный диагноз и объективно оценивает состояние прошедшего обследование в клинике пациента.

Потребность в неинвазивных методах диагностики привела к развитию технологий, основанных на рентгеновских лучах и явлении ядерного резонанса. Ценную информацию о состоянии органов брюшной полости дает компьютерная томография и магнитно резонансная томография. Использование каждого из этих методов имеет свои показания и противопоказания.
Когда показана компьютерная томография
На рентгеновских томограммах, сделанных с помощью компьютера, хорошо визуализируются полые органы. В особенности, с применением контрастирующих веществ. Это отличная альтернатива эндоскопическому исследованию желудка, кишечника, и особенно желчного пузыря, недостижимого с помощью эндоскопа.
На КТ четко визуализируются кости, что предоставляет ориентиры хирургам, когда предстоит хирургическая операция. КТ дает возможность подготовиться с привязкой к индивидуальным особенностям организма, например, узнать, на каком уровне находится червеобразный отросток слепой кишки.

В каких случаях показана магнитно резонансная томография
В свою очередь, МРТ органов брюшной полости и забрюшинного пространства идеально подходит для визуализации плотных тканей, богатых водой. Водород, которого больше всего в составе воды, интенсивно откликается на поля, создаваемые аппаратом.
На экране появляются резкие контрасты между участками с разным содержанием воды. Видны границы печени, поджелудочной железы, почек, также небольших полостей внутри массивных структур. МРТ заменяет УЗИ, и технически проще осуществляется. Не нужно, чтобы специалист высокой квалификации долго исследовал пациента ультразвуком, выбирая наилучшее положение излучателя, и затем правильно интерпретировал результаты.
Противопоказания к рентгеновскому исследованию
- Необходимость делать повторные или регулярные снимки. Каждый снимок дает лучевую нагрузку в области живота, что совсем не полезно для здоровья.
- Беременность. Пока плод находится в организме матери, противопоказаны любые радиоактивные воздействия.
Противопоказания к магнитно резонансному исследованию
- Наличие металлических протезов в исследуемой части тела.
- Чрезмерное увеличение массы тела (выраженная тучность).
- Нервные и психические нарушения, в результате которых пациент не может оставаться неподвижным внутри аппарата.
Сравнение методик и выбор оптимальной для пациента
В большинстве случаев предпочтительно провести МРТ. Речь идет о мягких тканях, заполняющих брюшную полость, и очевидно, что в данной ситуации КТ менее информативна. Даже полые внутренние образования, как петли кишок и желчевыводящие пути, неплохо контрастируются на МРТ с использованием специальных контрастирующих веществ.
Достаточно взглянуть на снимки внутренних органов, выполненные разными методами, чтобы увидеть существенную разницу в уровне детализации. Некоторые структуры брюшного пространства одинаково хорошо видны при использовании соответствующего контраста, отсутствуют серьезные различия на КТ или МРТ. Но другие, в частности, расположенные за брюшиной, на КТ едва заметны.

Однако, КТ завершается намного быстрее. В срочных случаях достаточно нескольких минут, чтобы определить, к примеру, расположение инородного тела, проглоченного ребенком. Металл или пластик будет хорошо заметен на КТ даже без предварительного введения контраста.
Подготовка пациента
Когда проводится МРТ или КТ брюшной полости, необходима подготовка к обследованию. При контрастировании внутрь или в сосуды вводится контрастное вещество. Также следует подготовить пищеварительный тракт к исследованию брюшной полости, чтобы каловые массы и избыточные объемы газов не мешали диагностировать патологические изменения.
При обращении в медицинские центры пациентам подробно разъясняют, какой диеты придерживаться. Обычно за 2-3 дня следует уменьшить количество принимаемой пищи и употреблять продукты, не приводящие к метеоризму или запору. Подробный план подготовки к МРТ вам предоставит медицинский персонал, то же самое касается КТ.
Что диагностируют магнитным резонансом?
Поскольку брюшная полость обширная и состоит из нескольких отделов, на томографе выявляются заболевания многих систем: пищеварительной, мочеполовой, эндокринной. Также проведение МРТ бывает полезным при поражении крупных сосудов, хотя и КТ в данном случае информативна (с контрастированием).
Отдельную категорию исследований составляет использование магнитного поля для диагностирования опухолей. С помощью МРТ эффективно выявляют рак желудка, печени, почек, метастазы опухолей с первичным источником за пределами брюшной полости. Многие опухолевые процессы крайне сложно или практически невозможно выявить на КТ, поэтому очевидно, какой метод диагностики необходимо использовать.
Как проходит магнитно резонансное исследование?
Пациента помещают на выдвижной стол огромного устройства, внутренняя часть которого напоминает цистерну. Положение лежа на спине, чтобы брюшная стенка находилась сверху. Если лечащим врачом указана другая поза, обслуживающий персонал фиксирует пациента согласно назначению. Затем стол задвигается внутрь аппарата.
На стенке находится кнопка экстренной связи, нажимая которую, пациент может срочно вызвать помощь. Лежать следует спокойно, пока проходит МРТ, нельзя совершать какие-либо движения. Оператор передает по громкой связи указания. Иногда необходимо задержать дыхание, максимум на несколько секунд. Это позволяет получить четкие томограммы, не смазанные дыхательными движениями.
Когда завершается диагностическая процедура, стол снова выезжает, пациент встает самостоятельно или переносится на носилки (каталку). Все абсолютно безболезненно, отсутствуют какие-либо неприятные ощущения.
Что видно на томограмме?
Как и в случае КТ, производится сложная компьютерная обработка изображений, полученных на МРТ. В итоге получается очень четкая картина патологий, затронувших брюшную стенку, внутрибрюшинное пространство и структуры организма, находящиеся дальше.
Врач сразу видит, какие органы поражены, и может наглядно показать пациенту или родственникам. Изображение с МРТ гораздо понятнее неспециалистам, чем КТ, или, тем более, полученное при УЗИ.
Наглядность помогает лучше обосновать необходимость оперативного вмешательства, получить согласие на хирургическое лечение. Снимки с МРТ передаются пациенту в цифровом виде, скажем, как записанные на флешке файлы. Впоследствии могут быть распечатаны на домашнем принтере и просмотрены на экране компьютера.
В нашей клинике делают МРТ в строгом соответствии со стандартами, получая качественные результаты, которые легко интерпретировать любому специалисту. При наличии противопоказаний вы можете пройти КТ или УЗИ. Вас осмотрит опытный врач, выявит показания и направит на исследование, дающие лучшие результаты.
КТ анатомия головы — горизонтальные срезы
1. Свод головного мозга - тело (Corpus fornicis) 2. Свод мозолистого тела (Truncus corporis callosi) 3. Перикаллозная артерия (A. pericallosa) 4. Большая мозговая вена (V. magna cerebri) 5. Внутренняя мозговая вена (V. cerebri interna) 6. Валик мозолистого тела (Splenium corporis callosi) 7. Сосудистое сплетение (Plexus choroideus) 8. Базальная вена (V. basalis) 9. Межталамическое сращение (Adhesio interthalamica) 10. Цистерна большой мозговой вены 11. Колено мозолистого тела (Genu corporis callosi) 12. Мозжечковые вены (Vv. cerebellares) 13. III желудочек (Ventriculus tertius) 14. Прямой синус (Sinus rectus) 15. Передняя спайка (Commissura anterior) 16. Шишковидное тело (Corpus pineale) 17. Паратерминальная извилина (Gyrus paraterminalis) 18. Задняя спайка (Commissura posterior) 19. Концевая пластинка (Lamina terminalis) 20. Полушария мозжечка - передняя доля (Hemispheria cerebelli) 21. Сосцевидное тело (Corpus mamillare) 22. Пластинка четверохолмия - верхние холмики (Colliculi superiores) 23. Передняя мозговая артерия (A. cerebri anterior) 24. Пластинка четверохолмия - нижние холмики (Colliculi inferiores) 25. Зрительный нерв II (N. opticus) 26. Водопровод мозга (Aqueductus cerebri) 27. Мембрана Лилиеквиста (Liliequist) 28. IV желудочек (Ventriculus quartus) 29. Воронка (Infundibulum) 30. Полушария мозжечка - задняя доля (Hemispheria cerebelli) 31. Спинка седла (Dorsum sellae) 32. Средний мозг (Mesencephalon) 33. Передняя доля гипофиза - аденогипофиз (Adenohypophysis) 34. Базилярная артерия (A. basilaris) 35. Задняя доля гипофиза - нейрогипофиз (Neurohypophysis) 36. Мост (Pons) 37. Клиновидная пазуха носа (Sinus sphenoidalis) 38. Продолговатый мозг (Medulla oblongata) 39. Скат черепа (Clivus)
Читайте также:
