УЗИ, МРТ при уриноме у плода
Добавил пользователь Евгений Кузнецов Обновлено: 21.01.2026
Уринома - это ограниченное скопление мочи, вследствие ее затека.
Патология:
- Разрыв собирательной системы или мочеточника
- Разрыв свода чашечки (например, острая обструкция камнем)
- Внутри- или внебрюшинный разрыв мочевого пузыря
Сопутствующие аномалии
- Травма почки с глубоким повреждением или отрывом
Макроскопические особенности
- В редких случаях имеет фиброкапиллярную капсулу; в случае хронического процесса, могут присутствовать пристеночные кальцинаты
Локализация.
- По ходу мочевыделительного тракта: околопочечное пространство, в забрюшинном пространстве вдоль мочеточника, внебрюшинный отдел таза, прилежащий к мочевому пузырю. Локализация в интра- или внебрюшинном отделе таза, вследствие разрыва мочевого пузыря.
Клиническая картина
- Наиболее частые признаки/симптомы - это боль, вследствие эффекта сдавливания, лихорадка при инфекции. К другим признакам можно отнести кишечную непроходимость, нарушение электролитного баланса.
Радиологические находки.
Скопление жидкости, содержащее экстравазат контрастного материала из собирательной системы мочеточника или мочевого пузыря в экскреторную фазу КТ/МРТ, или экстравазация контраста на цистограмме. Преимущественнее получение изображений на 10-й минуте, в экскреторную фазу внутривенной пиелографии или КТ с контрастированием.
Цистограмма: тугое наполнение мочевого пузыря; введение по крайней мере 250 мл контраста для визуализация затека из купола.
Пренатальная диагностика опухолей у плода

Доступная эффективность. Универсальный ультразвуковой сканер, компактный дизайн и инновационные возможности.
В настоящей публикации представлены два случая пренатальной ультразвуковой диагностики опухолей у плодов. Эти опухоли относятся к разным морфологическим группам, однако объединяющим моментом в данных представлениях является большой объем образований.
Клиническое наблюдение 1
Лимфангиомы относятся к зрелым, доброкачественным опухолям, исходящим из лимфатических сосудов. Микроскопическая структура лимфангиомы представлена тонкостенными кистами различных размеров. Лимфангиомы встречаются достаточно редко и составляют примерно 10-12 % всех доброкачественных образований у детей. Лимфангиомы могут быть наружными (шейными, шейно- подмышечно-грудными) и внутренними (средостенными, внутренних органов, забрюшинными, тазовыми). Наиболее частыми являются лимфангиомы шейной локализации - от 74 до 82 %, шейно- подмышечно-грудные лимфангиомы встречаются у 6 % больных, средостенной локализации - у 10-16 % больных, в органах брюшной полости - 1-2 %, забрюшинного расположения - у 1-2 % пациентов, тазовой локализации - у 1-2 % пациентов.
Различают простые, кавернозные и кистозные лимфангиомы.
Простая лимфангиома, состоящая из расширенных лимфатических сосудов и соединительнотканных щелей, заполненных лимфой, встречается чаще на языке, реже на губах. Клинически это проявляется диффузным увеличением указанных органов, их тестообразной консистенцией.
Кавернозная лимфангиома, состоящая из беспорядочно расположенных соединительнотканных полостей, разделенных перемычками, выстланных эндотелием и заполненных лимфой, имеет вид нечетко ограниченного образования, возвышающегося над окружающими тканями, покрытого нормальной кожей или слизистой оболочкой. Является наиболее частой формой, наблюдаемой у детей.
Кистозная лимфангиома, представляющая собой одну или несколько крупных полостей, заполненных лимфой, возвышается над окружающими тканями. При пальпации лимфангиомы этого вида определяется флюктуация, чего не отмечается при кавернозной лимфангиоме [1, 2, 3].
Беременная М., 24 лет, обратилась в клинику в сроке 21 нед. Данная беременность первая.
Исследование проводилось на аппарате SonoAce R7 (компании Sumsung Medison), конвексным датчиком 2-8 МГц. Фетометрические показатели плода соответствовали сроку беременности. Пол плода мужской.
В процессе ультразвукового исследования впервые выявлен распространенный опухолевый процесс, занимающий всю правую подмышечную область плода, правое плечо (поперечный размер в средней трети плеча составил 26 мм, соответственно аналогичный размер левого плеча - 17 мм), включая локтевую область, правую боковую поверхность грудной клетки с переходом на ее переднюю поверхность и правую боковую поверхность шеи. Опухоль была представлена мелкокистозными структурами ячеистого характера, с анэхогенным содержимым, аваскулярная.
С учетом ультразвуковой картины, патогномоничной для кавернозной лимфангиомы, выдано соответствующее заключение.
Учитывая тяжесть обнаруженной аномалии у плода, семья обратилась в израильскую клинику Ultrasound Unit of the Department of Obstetrics and Gynecology Hadassah-Hebrew University Hospital, где было проведено повторное исследование в 25 недель беременности, и диагноз "лимфангиома" был подтвержден. С разрешения Dr. Dan Valsky, проводившего исследование, публикуем сонограммы для иллюстрации динамики процесса.
Учитывая тяжесть и распространенность опухолевого процесса, по желанию семьи было принято решение о прерывании беременности. Диагноз "кавернозная лимфангиома" был подтвержден при патологоанатомическом исследовании
Пренатальная диагностика уриномы как осложнения обструктивной уропатии

Профессиональные диагностические инструменты. Оценка эластичности тканей, расширенные возможности 3D/4D/5D сканирования, классификатор BI-RADS, опции для экспертных кардиологических исследований.
Введение
Врожденные пороки развития (ВПР) мочеполовой системы относятся к наиболее частым ВПР, выявляемым во время беременности (1-4 на 1000 беременностей [1]), и составляют 15-20 % в структуре пренатально диагностируемых ВПР [2]. Подавляющее большинство ВПР мочеполовой системы представлено обструктивными уропатиями. Это группа заболеваний, которые характеризуются наличием структурного или функционального препятствия нормальному оттоку мочи, приводящего к нарушению функции почек. При затруднении оттока мочи развивается расширение почечной лоханки (пиелоэктазия) или расширение не только лоханки, но и чашечек (гидронефроз).
Частота гидронефроза составляет 2,5-2,8 на 1000 плодов [3]. В подавляющем большинстве случаев подобные изменения являются преходящими (до 48 %) или физиологическими (до 15 %) и только около трети случаев врожденного гидронефроза вызваны наличием патологии мочевыводящих путей, к которой относится обструктивное поражение лоханочно-мочеточникового или пузырно-мочеточникового соустья, мегауретер, дисгенезия клоаки, пузырно-мочеточниковый рефлюкс, задние уретральные клапаны, мегацистис-микроколон-интестинальный гипоперистальтический синдром и др. Степень выраженности гидронефроза обусловлена его этиологией: чем выше уровень обструкции, тем выраженнее гидронефротическая трансформация почки. Дополнительными факторами при прогнозировании работы почки являются срок беременности, при котором возникла обструктивная уропатия, а также причины гидронефроза.
При обструкции на уровне лоханочномочеточникового соустья (ОЛМС) функция почки страдает в большей степени, нежели при других причинах гидронефроза. Характерными ультразвуковыми признаками обструкции высокого уровня являются расширение лоханки свыше 15 мм при отсутствии расширенного мочеточника и нормальные размеры мочевого пузыря.
ОЛМС практически всегда сопровождается выраженным гидронефрозом и развитием осложнений. Одним из таких осложнений является разрыв почечной лоханки и формирование уриномы или мочевого асцита.
Уринома представляет собой инкапсулированное скопление жидкости, вызванное экстравазацией мочи через периренальные пространства или разрывом почки и ее фасции. Наиболее частой причиной возникновения урином являются ОЛМС или задние уретральные клапаны. Дополнительными причинами являются мегауретер или (редко) пузырно-мочеточниковый рефлюкс [4]. Предполагается, что возникновение уриномы является защитным механизмом от повышения внутрипочечного давления, вызванного затруднением оттока мочи. Экстравазация мочи под почечную фасцию или в забрюшинное пространство способствует снижению давления, тем самым предохраняя почку от диспластических изменений. Существует и альтернативная гипотеза: наличие уриномы уже отражает тот факт, что развивающаяся почка подверглась воздействию высокого давления (достаточно высокого, чтобы привести к разрыву собирательной системы почки), и является одним из факторов, обусловливающих дисплазию почки и нарушение ее работы. Изолированная уринома, вызванная ОЛМС, почти всегда приводит к необратимому повреждению ипсилатеральной почки [5].
Ультразвуковым признаком уриномы является кистозное образование эллипсоидной формы или в виде полумесяца, прилегающее к почке или позвоночнику. Уриномы больших размеров могут принимать различные формы, растягивая и смещая почку. При этом направление смещения почки указывает на то, исходит ли уринома из переднего или заднего паранефрального пространства. Уриномы небольших размеров могут имитировать расширенную чашечку или лоханку, однако тщательная оценка коры почки помогает в проведении дифференциального диагноза.
Пациентка Б., 32 лет, проходила плановое скрининговое обследование в 21-22 нед беременности, во время которого было обнаружено образование брюшной полости плода и назначен контрольный осмотр в срок 22-23 нед. После контрольного осмотра женщина была направлена в медико-генетическое отделение МОНИИАГ с диагнозом: "Киста левой почки? Образование в брюшной полости?".
Настоящая беременность от первого брака, по счету вторая. Супруги соматически здоровы, профессиональных вредностей не имеют, наследственность не отягощена. В анамнезе одни нормальные роды, ребенок здоров. На учете в женской консультации пациентка состояла с 7 нед. Беременность протекала без осложнений. Результаты скрининга I триместра патологии не выявили.
При ультразвуковом исследовании обнаружен один живой плод. Гестационный срок составил 22,1 нед. Фетометрические показатели соответствовали данному сроку. Патологических изменений плаценты и околоплодных вод не было выявлено.
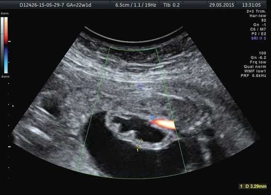
Лоханка правой почки была расширена до 13 мм, паренхима истончена и гиперэхогенна, кортикомедуллярная дифференцировка отсутствовала. При ЦДК кровоток в паренхиме не визуализировался. Вокруг правой почки по всему ее периметру определялось анэхогенное образование размером 56×20×26 мм (рис. 1, 2). Мочеточники с обеих сторон не визуализировались. Изменения левой почки отсутствовали. Мочевой пузырь был удовлетворительного наполнения и опорожнения. Оба надпочечника визуализировались.

Рис. 1. Образование вокруг правой почки плода.

Рис. 2. Истончение паренхимы правой почки плода с отсутствием кровотока в режиме ЦДК.
Изменений по остальным органам и системам не выявлено.
Клиническое наблюдение 2
Пациентка Х., 39 лет, после проведения планового скринингового исследования в 19-20 нед беременности по месту жительства обратилась в медико-генетическое отделение МОНИИАГ с направляющим диагнозом: "Киста забрюшинного пространства".
Настоящая беременность от первого брака, по счету третья. Супруги соматически здоровы, профессиональных вредностей не имеют, наследственность не отягощена. В анамнезе двое нормальных родов, оба ребенка здоровы. На учете в женской консультации пациентка состояла с 10 нед. Беременность протекала без осложнений. Результаты скрининга I триместра отклонений не выявили.
При ультразвуковом исследовании обнаружен один живой плод мужского пола. Гестационный срок составил 20,2 нед. Фетометрические показатели соответствовали данному сроку. Патологических изменений плаценты и околоплодных вод не было выявлено.
Левая почка была увеличена до 31×19×25 мм, преимущественно за счет анэхогенного образования с однородным содержимым до 16 мм в диаметре. Образование исходило из верхнего полюса почки и располагалось под ее капсулой. Сама почка была смещена книзу. При этом лоханка была незначительно расширена - до 4 мм, в то время как чашечки расширены не были. Левый мочеточник не визуализировался (рис. 3).

Рис. 3. Кистозное образование у верхнего полюса левой почки плода.
Область правой почки занимало округлое тонкостенное анэхогенное образование до 36 мм в диаметре. Правая почка была уменьшена в размерах до 17×9×20 мм, смещена и располагалась, распластываясь в виде полумесяца по задней поверхности образования (рис. 4). Правый мочеточник не визуализировался. Паренхима обеих почек была повышенной эхогенности, кортикомедуллярная дифференцировка почечных слоев нечеткая.

Рис. 4. Образование возле правой почки и расширенный мочевой пузырь плода.
Надпочечники с обеих сторон были интактны. Мочевой пузырь был увеличен до 20 мм в диаметре, с утолщенными стенками и в процессе динамического осмотра не опорожнялся (рис. 5). Изменений по остальным органам и системам не было выявлено.

Рис. 5. Расширенный мочевой пузырь плода.
В представленных клинических наблюдениях надпочечники были интактны, а выявленные образования визуализировались непосредственно рядом с почками. В наблюдении 1 контуры образования повторяли контуры капсулы почки, а в наблюдении 2 образование слева имело общую с почкой капсулу. В связи с этим мы сделали вывод о том, что данные образования исходят из почек и являются следствием обструктивной уропатии.
В первом наблюдении, принимая во внимание контуры образования и его локализацию, расширение лоханки и изменения почечной паренхимы, был поставлен диагноз: "Беременность 22,1 нед. ВПР мочеполовой системы: УЗ-признаки уриномы правой почки на фоне обструктивной уропатии". Поскольку изменения второй почки и мочевого пузыря отсутствовали, правосторонняя обструктивная уропатия была наиболее вероятной причиной возникновения уриномы.
Во втором наблюдении поражение почек было двусторонним. Изменения левой почки были характерными ультразвуковыми проявлениями уриномы. Наличие кистозного образования, тесно прилегающего к почке, незначительное расширение лоханки и нечеткая кортикомедуллярная дифференцировка свидетельствовали о воздействии на почку высокого давления из-за нарушения оттока мочи с последующим разрывом почечной паренхимы и формированием уриномы.
Ультразвуковые изменения правой почки были более выраженными. По заднему краю образования диаметром 36 мм была распластана сама почка. Мочеточники с обеих сторон не визуализировались ни на одном из своих участков вплоть до места впадения в мочевой пузырь. Нормальное количество околоплодных вод, мужской пол плода, отсутствие расширенных мочеточников на фоне относительно небольшого увеличения размеров мочевого пузыря позволили нам исключить атрезию уретры, синдром задних уретральных клапанов и мегацистис-микроколон-интестинальный гипоперистальтический синдром и предположить наличие обструктивного поражения мочевыводящих путей на высоком уровне.
На основании выявленных изменений был поставлен диагноз: "Беременность 20,2 нед. ВПР мочеполовой системы: УЗ-признаки обструктивной уропатии - двусторонняя уринома, мегацистис".
Учитывая большие размеры урином как в первом, так и во втором наблюдениях, в качестве причины возникновения обструктивной уропатии мы предположили одностороннее отсутствие или атрезию мочеточника у обоих плодов.
ОЛМС встречается преимущественно у мальчиков (соотношение мальчиков и девочек составляет 3:1). До 40 % случаев поражение двустороннее, у 10 % плодов выявляются экстраренальные изменения [6]. ОЛМС может быть как функциональным (чаще всего), так и анатомическим. К последним можно отнести стеноз, атрезию мочеточника или его врожденное отсутствие (агенезию).
Агенезия мочеточника встречается крайне редко и обычно сочетается с отсутствием почки или ее дисплазией и может быть как одно-, так и двусторонней. Чаще встречается атрезия мочеточника, которая возникает вследствие нарушения или отсутствия канализации растущего мочеточникового зачатка и может локализоваться на разных уровнях: в лоханочно-мочеточниковом, пузырно-мочеточниковом сегментах или на уровне пересечения мочеточников подвздошными сосудами. Атрезия сопровождается гидронефрозом и дисплазией почки. Мочеточник чаще всего заканчивается слепо и резко расширяется выше уровня атрезии, но может иметь вид фиброзного тяжа [7].
Первый случай врожденного отсутствия мочеточника описан в 1907 г. D. Allen и H. Parker [8]. Однако диагноз ставился уже по данным аутопсии. Пренатальная диагностика агенезии мочеточника крайне затруднительна. На сегодняшний день в литературе описан только один случай диагностики агенезии мочеточника в 29 нед у плода с левосторонним образованием около левой почки до 5 см в диаметре и многоводием [9]. Несмотря на неоднократные попытки амниоредукции и дренирования уриномы, в 33 нед произошли преждевременные роды и через 20 мин новорожденная девочка умерла. На аутопсии был подтвержден диагноз: "уринома больших размеров" - и установлена точная причина ОЛМС - отсутствие левого мочеточника.
В наблюдении 2 семья приняла решение о досрочном прекращении беременности, однако отказалась от последующего патолого-анатомического исследования плода, в связи с чем наше предположение о генезе ОЛМС осталось неподтвержденным. Двусторонняя атрезия или агенезия мочеточников является летальным пороком. При одностороннем поражении прогноз обусловлен характером осложнений. По данным J. Hutcheson и соавт. [10], развитие уриномы является менее благоприятным в отношении сохранности почечной функции, чем развитие мочевого асцита. Важными являются и размеры уриномы. При уриноме больших размеров прогноз для плода чаще всего неблагоприятный. В первую очередь это связано с потерей функции пораженной почки как результатом воздействия высокого давления на почечную ткань. Так, в случае, представленном A. Ghidini и соавт. [11], описывается правосторонняя уринома большого размера (3,5×5,5 см), которая спонтанно исчезла вскоре после родов, и ультразвуковые признаки изменения мочевыводящих путей отсутствовали, однако спустя год у ребенка была выявлена инволюция правой почки.
Дополнительным фактором, усугубляющим прогноз при уриноме больших размеров, является гипоплазия легких. Этому способствует выраженный длительный подъем купола диафрагмы в результате повышенного внутрибрюшного давления, а также развивающееся в некоторых случаях маловодие [10].
Представленные клинические наблюдения отражают разнообразие ультразвуковых проявлений уриномы: от жидкостного образования, расположенного вокруг неизмененной по форме почки и повторяющего ее контуры, до образования, растягивающего и смещающего почку в разных направлениях. Уриномы могут достигать больших размеров и быть как одно‑, так и двусторонними. Их необходимо дифференцировать с опухолями почек, надпочечников и забрюшинного пространства, кистами почек, брыжейки и желудочно-кишечного тракта. Однако выявление связи образования с почкой и оценка почечной капсулы, а также наличие наиболее вероятных причин формирования урином (ОЛМС, задние уретральные клапаны) позволяют поставить правильный диагноз.
Заключение
Причина развития ОЛМС и возникновения уриномы чаще всего недоступна для пренатальной диагностики, однако, помимо наиболее известных этиологических факторов, врачу, проводящему исследование, необходимо помнить и о таких редких врожденных пороках развития, как атрезия или агенезия мочеточника, особенно в случае больших размеров уриномы.
Литература
УЗИ сканер HS60
Пренатальная диагностика мезобластической нефромы у плода в III триместре беременности с использованием новых ультразвуковых технологий

Лидер продаж в высоком классе. Монитор 21,5" высокой четкости, расширенный кардио пакет (Strain+, Stress Echo), экспертные возможности для 3D УЗИ в акушерско-гинекологической практике (STIC, Crystal Vue, 5D Follicle), датчики высокой плотности.
Материал и методы
Пациентка С., 31 года, была направлена в центр пренатальной диагностики врачом женской консультации в III триместре беременности для консультации и проведения эхокардиографии плода в связи с наличием у первого ребенка порока сердца. До III триместра в центр не обращалась.
Беременность четвертая, роды вторые. В анамнезе выкидыш в 6 недель, неразвивающаяся беременность при сроке 8 недель и срочные роды без осложнений. У ребенка имелась недостаточность аортального клапана I-II степени.
В женской консультации пациентке был проведен комплекс пренатального обследования на врожденные и наследственные заболевания у плода. По данным биохимического скрининга в I и II триместрах, риск рождения ребенка с хромосомной патологией расценен как низкий (1/2500, 1/850). Ультразвуковые исследования проведены в 9, 11 и 18 недель беременности в женской консультации и в 22 недели в перинатальном центре по месту жительства. Патологии у плода не было выявлено.
В центре пренатальной диагностики первое ультразвуковое исследование в 32 недели и последующий динамический контроль в 36 недель проведены на аппаратах SonoAce-Х8 (Медисон, Ю. Корея) c использованием конвексных датчиков AX C3-7 EP-A2 и SD C4-8 ET-A1, а также Voluson Е8 с использованием конвексных мультичастотных датчиков AB 2-7D, RAB 4-8D. Объемная информация о структурах плода сохранена и в последующем обработана с использованием программ 3D XI (Medison) и 4D.
Результаты и обсуждение
В центре пренатальной диагностики в срок III скрининга (32 недели) эхография была проведена по стандартной методике с заполнением утвержденного протокола скринингового ультразвукового исследования во II и III триместрах.
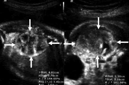
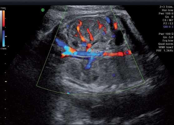
Результаты исследования: размеры плода пропорциональные, соответствуют менструальному сроку беременности. При эхокардиографии особенностей строения сердца у плода не выявлено. При оценке органов мочевыделительной системы обнаружено следующее: правая почка плода нормальных размеров и структуры. Левая почка увеличена до размеров 53х38х46 мм при 95-м процентиле нормативных для срока значений 43х24х23 мм [4] (рис. 1). В структуре почки, преимущественно в верхнем и среднем сегментах, определяется округлое образование без четких контуров, средней эхогенности, приблизительные размеры его 50х35х35 мм. При цветовом допплеровском картировании в образовании визуализируется обширная сосудистая сеть. При допплерометрии индексы сосудистой резистентности (рис. 2) в разных участках образования варьируют в широких пределах (от 0,49 до 0,77).

Рис. 1. Почки плода в режиме 2D. Видна разница в эхографической структуре. Границы почек обозначены стрелками.

Рис. 2. Режим цветового допплеровского картирования. Хорошо видны различия в характере васкуляризации нормальной почки и контрлатеральной пораженной почки.
Плацента по структуре и степени зрелости соответствует сроку беременности. Многоводие (индекс амниотической жидкости 22 см при норме 10-20 см).
При допплерометрии показатели кровотока в маточно-плодово-плацентарной системе в пределах нормативных значений.
Заключение. Беременность 32 недели. Новообразование левой почки плода (мезобластическая нефрома?).
- Динамический ультразвуковой контроль через 3-4 недели.
- Пренатальная консультация хирурга.
- Обследование новорожденного.
После получения данных ультразвукового исследования был уточнен анамнез. Выяснилось, что в семье пациентки у ближайших родственников имели место заболевания мочевыделительной системы, в частности злокачественные опухоли почек.
При динамическом ультразвуковом контроле в 36 недель дополнительных изменений у плода не было обнаружено. Размеры образования в почке незначительно увеличились.
В срок 38 недель произошли срочные роды. Родилась девочка, вес 3230 г, длина 50 см, оценка по шкале Апгар 8/9 баллов. В родильном доме почки ребенка не были обследованы. Девочка выписана домой на 4-е сутки.
На 2-й неделе жизни она консультирована хирургом и онкологом. Поставлен диагноз: нефробластома левой почки, рекомендовано оперативное лечение.
Через 2 мес после рождения произведена лапароскопическая нефрэктомия. Послеоперационный период протекал без осложнений. Гистологическое исследование: мезобластическая нефрома левой почки.
До настоящего времени ребенок находится под наблюдением онколога, развивается соответственно возрасту. Химиотерапия и другие виды специфического лечения не проводились.
Данное клиническое наблюдение, по нашему мнению, представляет определенный интерес для практикующих врачей, занимающихся ультразвуковой пренатальной диагностикой врожденных и наследственных заболеваний, поскольку это еще один случай выявления редко встречающейся патологии. При анализе данных литературы, в частности журнала "Ultrasound in Obstetrics and Gynecology" - официального журнала Международной Ассоциации врачей ультразвуковой диагностики в акушерстве и гинекологии (ISUOG), нам удалось выяснить, что в настоящее время в мире опубликовано не более 25 случаев дородовой диагностики этого заболевания. В нашей стране - это вторая публикация.
В пренатальном периоде опухоли почек, как правило, представлены двумя нозологическими формами: мезобластической нефромой (синоним - мезенхимальная гамартома, ренальная гамартома плода) и нефробластомой (опухоль Вильмса).
Мезобластическая нефрома - это односторонняя округлая солидная опухоль без капсулы, однородной структуры, иногда содержащая кистозные включения, образующиеся за счет кровоизлияний или очагов некроза. Микроскопически опухоль представлена мезенхимальными клетками, к которым относятся гладкие мышечные волокна и незрелые фибробласты. Кроме того, она может содержать клеточные элементы почечных клубочков и трубочек. Эта опухоль не имеет капсулы и способна к инфильтрирующему росту. Опухоль хорошо васкуляризирована и имеет развитую сосудистую сеть [4].
Мезобластическая нефрома может быть как доброкачественным, так и злокачественным новообразованием. В литературе есть данные о связи степени злокачественности опухоли и срока ее обнаружения. Чем раньше у новорожденного диагностируется это заболевание, тем менее злокачественный характер оно имеет. Считается, что этот вид опухоли чаще встречается у мальчиков 7.
При ультразвуковом исследовании в пренатальном периоде опухоль определяется как округлое образование, как правило, больших размеров, без четких контуров. Разница в акустической плотности интактной почечной паренхимы и опухолевой ткани может создавать эффект границы, которая глазом будет восприниматься как капсула. В большинстве случаев при беременности, осложненной возникновением мезобластической нефромы, регистрируется многоводие. Сочетанные изменения в других органах и системах плода встречаются редко.
Нефробластома, или опухоль Вильмса - это еще более редкая опухоль, описанная у плодов и новорожденных. Как и мезобластическая нефрома, она чаще бывает спорадической, но описаны и наследственные случаи. Считается, что двусторонняя локализация этой опухоли более характерна для наследственной формы. У мальчиков и девочек нефробластома регистрируется с одинаковой частотой.
Опухоль Вильмса в отличие от мезобластической нефромы - как правило, злокачественное новообразование почки, возникающее из аномально пролиферирующей метанефрогенной бластемы. Эта опухоль представляет собой солидное образование без капсулы с экзо- или эндофитным ростом. При поражении почки здоровая паренхима достаточно быстро замещается опухолевой тканью [8].
При ультразвуковом исследовании опухоль Вильмса также выглядит как округлое, хорошо отграниченное образование средней эхогенности. При цветовом допплеровском картировании выраженной сосудистой сети обычно обнаружить не удается. Экстраренальные сочетанные аномалии развития при нефробластоме встречаются редко [9, 10].
Дифференциальный диагноз при подозрении на опухоль почки у плода необходимо проводить с другими патологическими изменениями почек, например мультикистозом. Основное отличие мультикистоза от опухолей любого генеза - это обязательное наличие множественных анэхогенных включений разного диаметра и практически полное отсутствие сосудистой сети при цветовом допплеровском картировании. Изолированные кисты почек принципиально отличаются от опухолей четкой границей, анэхогенным содержимым и сохранением почечного сосудистого рисунка.
Образование, исходящее из надпочечника (опухоль, киста, кровоизлияние), может симулировать опухоль почки, однако в этом случае при более детальном исследовании всегда можно обнаружить почку типичного строения с характерным сосудистым рисунком при цветовом допплеровском картировании.
Другие аномалии развития, такие как экстралобарная легочная секвестрация, лимфангиомы и тератомы брюшной полости и забрюшинного пространства, кисты и тератомы яичников у плодов женского пола, на первый взгляд, могут быть сходны с новообразованиями почек, однако самый главный отличительный признак в этих случаях - наличие двух анатомически нормальных почек, расположенных в обычном месте.
Важно подчеркнуть, что все перечисленные аномалии развития можно диагностировать во II триместре беременности, тогда как опухоли почки, по данным литературы, в основном выявляются в III триместре. Случай наиболее ранней диагностики описан при сроке беременности 26 недель [2].
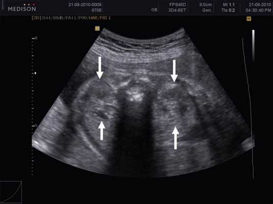
В представленном клиническом наблюдении диагноз опухоли почки был поставлен нами практически сразу и не вызывал сомнения, поскольку стандартный протокол ультразвукового скринингового исследования во II и III триместрах беременности требует описания почек и мочевого пузыря. Почки оцениваются в поперечном и продольном сечениях с использованием при необходимости цветового допплеровского картирования (рис. 3, а, б). В данном случае почки плода располагались в типичном месте, но обращали на себя внимание значительная разница в размерах и необычная структура одной из почек (см. рис. 1). В 2D режиме границы опухоли четко не визуализировались, но при использовании технологии VCI (объемное контрастное изображение) можно было более точно определить ее контуры (рис. 4).

Рис. 3. Исследование почек.
а) Поперечное сканирование. Переднезадний размер почек обозначен стрелками.
Патологии мочевого пузыря у плода: что можно определить на скрининговом УЗИ

Мочевой пузырь начинает развиваться из зародышевого лепестка с 25 дня с момента зачатия и окончательно формируется к 22 неделе беременности. К этому сроку мочевой пузырь достигает размера 8 мм. При трансвагинальном УЗИ орган виден уже на 11 неделе, при трансабдоминальном — с 16-й недели.

Аномалии мочеполовой системы встречаются крайне редко. Часто они связаны с хромосомными нарушениями и сопровождаются целым спектром нарушений и синдромов.
Ультразвуковая диагностика на 2 триместре выявляет 85% патологий. Наиболее часто встречающиеся аномалии мочевого пузыря:
Патологии и аномалии мочевого пузыря у плода
- Мегацистис. Это увеличение мочевого пузыря свыше 8 мм в продольном срезе на УЗИ. Патология обнаруживается на 10-15 неделе беременности. Вместе с ней обычно выявляется нарушение соотношения мочевого пузыря к копчико-теменной зоне (10,4% вместо 5,4%). Мегацистис имеет хромосомную природу и выражается в нарушении уродинамики вследствие закупорки или сращения уретры.
- Обструкция детрузора. Выражается в отсутствии сократительной способности мышечного слоя мочевого пузыря, отвечающего за изгнание мочи. На УЗИ мочевой пузырь имеет грушевидную форму, стенки тонкие, а сам орган увеличен в размерах. В случае обнаружения эхографических признаков патологии плод исследуется методом везикоцентеза. Затем проводят кариотипирование плода, и в случае подтверждения хромосомных отклонений женщину отправляют на аборт. То же самое происходит и при увеличении органа до 20-30 мм вместо положенных 8 мм. Существует вероятность нормализации после 13 недели беременности.
- Экстрофия. Это отсутствие передней стенки мочевого пузыря. На УЗИ мочевой пузырь отсутствует вовсе, но при этом структура почек остаётся без изменений.
- Атрезия. Отсутствие мочевого канала приводит к увеличению мочевого пузыря до таких размеров, что у плода значительно увеличивается объём животика. Женщине рекомендуют прервать беременность, потому что малыш может родиться с тяжёлой гипоплазией лёгких или умереть внутриутробно.
- Задний уретральный клапан. Эта проблема встречается только у мальчиков. У девочек встречается синдром pmne-bUy, который имеет схожие симптомы. Аномалия заключается в том, что из-за внутриутробного нарушения нижняя часть мочеиспускательного канала, выходящая в мочевой пузырь, слишком узкая, из-за чего происходит обратный отток мочи в почку. В результате возникает гидронефроз — скопление в почках лишней жидкости. У плода на УЗИ будут увеличены почки, а мочевой пузырь будет маленьким. Патология исправляется сразу после рождения малыша методом иссечения места патологического сужения уретры. Существует высокий риск гибели младенца из-за гипоплазии лёгких на фоне почечной недостаточности.
- Пузырно-мочеточниковый рефлюкс. В норме мочеточник входит в мочевой пузырь таким образом, что мышечная стенка органа служит клапаном, препятствующим оттоку мочи обратно в почку.
Если мочеточник входит в мочевой пузырь неправильно, то возникает рефлюкс — забросе мочи обратно в мочеточник. Аномалия не является основанием для прерывания беременности, потому что исчезает сама собой в первые 2 года жизни малыша. В тяжёлых случаях проводится хирургическое вмешательство.
Выводы
Патологии мочевого пузыря у плода хорошо видны на скрининговом УЗИ, поэтому такое обследование нельзя игнорировать. Делать скрининговое УЗИ плода нужно только с помощью хорошего оборудования.
Читайте также:
- Болезнь Альцгеймера. Ослабление памяти при амилоидных бляшках
- Кровяное давление под действием физической нагрузки. Снижение давления на физическую нагрузку
- Применение одуванчика в медицине. От чего пить сок одуванчика?
- Магний при инфаркте миокарда. Эффективность магния при ИБС
- Учет в экспериментах на животных. Моделирование в экспериментах на животных
