УЗИ, МРТ при внутричерепной липоме у плода
Добавил пользователь Владимир З. Обновлено: 01.11.2025
Вы побывали на приёме у невролога, и для уточнения и детализации диагноза он направил вас на УЗИ сосудов головного мозга. Что это за исследование? Что оно показывает? Нужно ли его вообще проходить, когда есть МРТ?
Об этом методе диагностики мы побеседовали с врачом-неврологом, ведущим специалистом отделения неврологии «Клиника Эксперт Курск» Умеренковой Натальей Владимировной.
- Наталья Владимировна, что такое УЗИ сосудов головного мозга и что выявляет это исследование?
Это современный вид диагностики, позволяющий оценить просвет сосуда, состояние его стенки и смежных тканей, особенности кровотока (как по артериям, так и по венам). С помощью этого метода можно определить сужения, непроходимость внутричерепных сосудов, в ряде случаев - участки тромбоза при ишемическом инсульте. Иногда используется для оценки характеристик геморрагического инсульта.
УЗИ И МРТ СОСУДОВ ГОЛОВНОГО МОЗГА
НЕ ИСКЛЮЧАЮТ, А ВЗАИМНО
ДОПОЛНЯЮТ ДРУГ ДРУГА
УЗИ даёт информацию о структурных аномалиях сосудистого русла, вертебрально-базилярной недостаточности, спазме сосудов.
- УЗИ сосудов и допплерография - это одно и то же исследование или они чем-то отличаются?
Не совсем. Ультразвуковая допплерография (УЗДГ) - более «узкое» по задачам исследование. Оно позволяет определить характеристики кровотока, а вот оценить состояние самого сосуда не может.
С помощью УЗИ сосудов головного мозга можно, таким образом, получить более подробную информацию, чем при выполнении только допплера. На сегодняшний день существует более современное исследование - ультразвуковое дуплексное сканирование сосудов.
- Во время проведения УЗИ сосудов головного мозга врач видит сосуды шеи или это два разных исследования?
УЗИ (а также УЗДГ) сосудов головы и шеи - разные исследования. Лучше, если выполняется диагностика обеих областей - картина в этом случае получится более полной.
- Какие жалобы со стороны пациента являются показанием для назначения ему ультразвукового исследования сосудов головного мозга?
Показания к проведению УЗИ сосудов головного мозга довольно обширны. Это головные боли, головокружения, нарушения сознания, шум, звон в голове и ушах, факторы риска развития сосудистых патологий (нестабильные показатели артериального давления, образование тромбов в анамнезе, васкулиты, сахарный диабет, нарушения липидного обмена).
Если вы попали на эту страницу, потому что вам необходимо пройти УЗИ сосудов головного мозга - узнать стоимость исследования можно, позвонив по телефону, указанному на вкладке контакты
внимание: услуга доступна не во всех городах
- Наталья Владимировна, какое из исследований лучше: УЗИ сосудов головного мозга или МРТ сосудов?
Лучшего нет. Каждый из них решает свой круг задач, в котором он «сильнее». Например, УЗИ хорошо оценивает функциональное состояние сосудов (в частности, спазм, нарушение тонуса). МРТ лучше «видит» более мелкие сосуды, аневризмы, сосудистые мальформации.
Эти методы не исключают, а взаимно дополняют друг друга.
- Бывают диагностические случаи, когда врачу для понимания полной клинической картины необходимы не только результаты УЗИ сосудов головного мозга и МРТ, но и энцефалограммы?
Да. Электроэнцефалограмма может понадобиться при некоторых вариантах обмороков, потерь сознания, судорогах.
- Как проводится УЗИ сосудов головного мозга? Какова длительность исследования?
Процедура выполняется чаще в положении пациента лёжа на спине. На околоушную височную область (справа/слева), а также под затылочной костью, в области большого затылочного отверстия устанавливается датчик аппарата УЗИ и проводится диагностика.
Продолжительность обследования - около 15-20 минут.
- Необходима ли подготовка к ультразвуковому исследованию сосудов головного мозга?
Особой подготовки к этой разновидности УЗИ нет.
- Имеются ли какие-то противопоказания к проведению УЗИ сосудов головного мозга?
Единственное противопоказание - какое-либо повреждение зон, на которые устанавливается датчик аппарата УЗИ.
- Насколько безопасно исследование для взрослых и детей? Как часто его можно проводить?
Абсолютно безопасно. Делать его можно настолько часто, насколько нужно доктору.
- Для того, чтобы сделать УЗИ сосудов головного мозга у вас в клинике, необходимо направление врача?
Формально оно не требуется. Однако если пациент приходит от лечащего доктора, то врач УЗИ может получить дополнительную информацию, на чём акцентировать своё внимание. Возвращаясь к вопросу об исследовании сосудов головы и шеи: кому-то может понадобиться что-то одно, кому-то - комплекс. Или же пациента отправят сразу на МРТ сосудов мозга. Все эти моменты может решить лечащий врач.
Возможно вас заинтересуют:
Умеренкова Наталья Владимировна
Выпускница Курского государственного медицинского университета 2004 года.
В 2005 году окончила интернатуру по специальности «Неврология».
С 2015 года работает в «Клиника Эксперт Курск», является ведущим специалистом отделения неврологии. Принимает по адресу: ул. Карла Либкнехта, д. 7.
Другие статьи по теме
Какие заболевания характерны для слюнных желёз? Как в их диагностике может помочь. УЗИ слюнных желёз: каковы возможности этого метода диагностики?
В каких случаях показано УЗИ лимфоузлов? Как проводят это исследование? Существуют ли. УЗИ лимфоузлов: для чего выполняется это исследование?
Печень — один из важнейших органов, что отмечали ещё древние греки. Шекспир. УЗИ печени и желчного пузыря: когда бывает нужно его сделать?
Гродненская областная детская клиническая больница

Внутричерепная липома - не истинная опухоль, а врожденный порок развития, при котором примитивная мозговая оболочка аномально дифференцируется в жир во время формирования нервной трубки у плода. Может сочетаться с другими пороками развития центральной нервной системы (ЦНС).
МРТ, Т1-ВИ sag Перикаллезная липома
При небольших размерах образования клинические симптомы отсутствуют (могут быть симптомы ассоциированные с другими врожденными аномалиями развития ЦНС). Обнаруживается патология случайно в ходе исследований КТ или МРТ, произведенных по другим причинам. Клинические признаки появляются, когда липома вырастает и начинает сдавливать окружающие участки мозга. Течение заболевания доброкачественное (чрезвычайно низкий риск малигнизации (озлокачествления)), обычно стабильное. Липома может увеличиваться в объеме при высокодозном длительном приеме кортикостероидов.
- в межполушарной борозде (перикаллезная липома с возможным распространением в боковые желудочки, сосудистые сплетения);
- супраселлярная локализация (примыкает к воронке, гипоталамусу);
- в области крыши среднего мозга (нижние холмики, верхний отдел червя);
- мостомозжечковый угол (лицевой и преддверно-улитковый нерв могут проходить через липому);
При КТ и МРТ липома визуализируется в виде объемного образования по характеристикам соответствующего жировой ткани. Дифференциальную диагностику проводят с внутричерепным дермоидом или тератомой, липоматозной трансформацией опухоли (ПНЭТ, эпендимома, глиома), тромбированной мешотчатой аневризмой.
На основании полученных данных принимают решение о тактике ведения больного. Возможно наблюдение в динамике за развитием заболевания с регулярным прохождением МРТ. Большие опухоли, которые несут угрозу здоровью или жизни пациента, оперируют.
Липома на МРТ головного мозга

МРТ головного мозга
Магнитно-резонансная томография позволяет подробно изучить любые мягкие ткани организма. Метод часто применяют для диагностики патологий головного мозга. На снимках видны особенности кровообращения, структура тканей. Чаще всего МР-сканирование головы назначают при подозрениях на новообразования. Метод информативен как при злокачественных, так и при доброкачественных образованиях. Липома на МРТ головного мозга отчетливо видна, как и раздвигаемые ею близлежащие ткани. По результатам сканирования врачи могут определить локализацию образования, размеры, степень влияния на окружающие структуры.
Что такое липома головного мозга?
Некоторые опухоли могут долго развиваться бессимптомно и обнаруживаться случайно во время профилактических обследований или диагностических процедур по поводу другого заболевания. К таким неоплазиям относят липому головного мозга. Это очень редкое, доброкачественное образование, расположенное чаще под корой органа. Липома состоит из капсулы, объем которой заполнен жировой тканью. Растет опухоль крайне медленно, постепенно сдавливая близлежащие отделы и нарушая их кровоснабжение. Диаметр новообразования составляет от 2-3 мм и до 5 см. Чаще всего липомы обнаруживают супратенториально, они прилегают к мозоистому телу или расположены в области шишковидной железы и в III желудочке. Намного реже опухоль из жировых клеток находится на основании полушарий. Липомы в других отделах головного мозга встречаются казуистически редко. Для внутричерепных образований подобного типа характерны крайне медленное прогрессирование, латентное течение, чрезвычайно низкий риск малигнизации (озлокачествления).
Симптомы и причины возникновения липомы головы
Происхождение образований из жировых клеток в мозге окончательно не установлено. Причиной зарождения липом считают нарушения эмбрионального развития. В этот период зачаточные жировые клетки или остатки примитивной оболочки по неизвестным пока причинам располагаются неправильно. Определенную роль в данном процессе играет наследственность. Спровоцировать рост липомы предположительно способны неблагоприятные факторы, а именно:
- воздействие токсинов (из окружающей среды, при наличии вредных привычек и т.п.);
- воспалительные заболевания мозга;
- инфекции;
- метаболические расстройства;
- заболевания эндокринной системы;
- неправильное питание;
- травмы головы;
- психические нарушения;
- хронические стрессы;
- ионизирующее облучение.
При небольших размерах образования симптомы отсутствуют. Признаки появляются, когда опухоль вырастает и начинает сдавливать окружающие участки мозга.

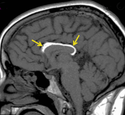
Липома мозолистого тела на МРТ (указана стрелками)
Проявления зависят от вида липомы. Общими неспецифическими признаками развития внутричерепного образования из жировой ткани, которые требуют МРТ головного мозга, считают:
- головокружения;
- цефалгии (внезапные, регулярные, появляющиеся или нарастающие рано утром);
- обмороки, судорожные приступы;
- зрительные и слуховые галлюцинации;
- ухудшение памяти;
- потеря способности к концентрации внимания;
- расстройства речи и др.
Растущая опухоль выступает причиной повышения давления внутри черепной коробки, что проявляется:
- двигательными расстройствами (навязчивые движения, нарушения координации, шаткость ходьбы, парезами и параличами);
- судорожными приступами;
- нарушениями чувствительности;
- вегетативной дисфункцией (скачки давления, тремор конечностей, нестабильность аппетита, потливость и т.д.);
- психоневротическими нарушениями (апатия, депрессия, расстройства сна, раздражительность, заторможенность и пр.).
Симптомы развития опухоли из жировых клеток в мозге очень разнообразны. На проявления влияют не только локализация и размер образования, но и скорость роста или наличие у больного других патологий ЦНС.
МРТ головного мозга покажет липому?
Магнитно-резонансная томография отражает любые изменения в мягких тканях данной области. МРТ имеет большую диагностическую ценность, в том числе для обнаружения липомы головного мозга. Жировое образование на снимках имеет характерные черты:
- форма любая;
- четкие контуры;
- перифокального отека нет;
- масс-эффект отсутствует;
- не проникает и не разрушает соседние структуры.
При наличии сосудов или кальцинатов внутри липома неоднородная, что заметно при МР-сканировании.
Образование дает выраженный гиперинтенсивный сигнал, который полностью исчезает при исследовании с подавлением жировой ткани. Изучение строения головного мозга по поводу липомы предпочтительно на оборудовании с высоким разрешением. При выполнении данного условия можно заметить места пересечения новообразования с нервами и сосудами. Усиление сигнала с помощью контрастного вещества позволяет с высокой степенью точности изучить вены и артерии и на ранних этапах выявить предвестники инсульта.
По результатам сканирования липому отличают от:
- внутричерепного дермоида или тератомы;
- липоматозно перерожденной опухоли;
- тромбированной мешотчатой аневризмы;
- белого эпидермоида и пр.
Результаты исследования должен оценивать лечащий врач. На основании полученных сведений принимают решение о тактике ведения больного. Возможно пассивное наблюдение за развитием заболевания с регулярным прохождением МРТ. Большие опухоли, которые несут угрозу здоровью или жизни пациента, удаляют открытым или эндоскопическим методом.
Антенатальное исследование плода (МРТ плода)
Что представляют собой ВПР (врожденные пороки развития)? Врожденные пороки развития - это одна из основных причин перинатальной смертности и инвалидности детского населения. Среди аномалий развития особую значимость имеют пороки развития, затрагивающие центральную нервную систему плода.
Поэтому важнейшей задачей настоящего времени является максимально раннее выявление врожденных пороков развития. Своевременное диагностирование патологий развития плода позволяет контролировать процесс уже на ранних этапах беременности, выбирать необходимую тактику ее ведения, уточнять сроки и способ родоразрешения, при необходимости проводить хирургическую или терапевтическую коррекцию, а в тяжелых случаях решать вопрос о прерывании беременности.
Что выбрать: УЗИ или МРТ плода? Основным методом диагностики врожденных пороков развития в современном акушерстве является УЗИ - диагностика.
Зачем и как проводится гинекологическое УЗИ? Рассказывает врач ультразвуковой диагностики «Клиника Эксперт Оренбург» Поскребышева Анна Викторовна
Проведение скрининговых исследований играет важнейшую роль в выявлении аномалий развития. Однако в тех случаях, когда возможности сонографии ограничены (ожирение матери, олигогидрамнион, ягодичное предлежание плода, редкая патология плода и др.), дополнительным методом исследования состояния плода является МРТ-исследование.
Зачем делают МРТ беременным? Читать далее
Метод МРТ: обладает высокой разрешающей способностью в визуализации структур головного мозга, позволяет получить мультипланарные изображения с большим полем обзора, не связан с ионизирующим излучением - безвреден; МРТ плода позволяет не только уточнять характер аномалий, заподозренных на УЗИ, но и выявлять ту патологию, определение которой находится за пределами возможностей сонографии.
В каких случаях МРТ противопоказано? Рассказывает исполнительный директор «Клиника Эксперт Оренбург» Подлевских Юрий Андреевич
Рассмотрим несколько примеров МРТ-исследования плода.
На рисунке - тазовое предлежание плода, 26 недель. Нормальная анатомия головного мозга
На рисунке - плод, 38 недель. Структурные изменения головного мозга плода не выявлены. Определяется однократное обвитие пуповиной
На рисунке - плод, 39 недель. Двукратное обвитие пуповиной
На рисунке - плод, 34 недели. Головное предлежание, гипоплазия мозжечка
Диагностика мальформаций мозолистого тела по данным УЗИ часто представляет сложности. При этом результаты МРТ-исследования уже на 20 неделе гестации сравнимы с данными МРТ в постнатальный период.
На рисунке - плод, 29 недель. Агенезия мозолистого тела. Асимметричная гидроцефалия
МРТ плода позволяет диагностировать такие нарушения нейрональной миграции, как лисэнцефалия, гетеротопия, шизэнцефалия, мало доступные для диагностики при других методах исследования.
На рисунке - плод, 32 недели; поперечное положение плода. Шизэнцефалия
Методом УЗИ-скрининга также возможно выявление черепно-мозговых грыж плода. Но при этом точно определить содержимое грыжевого мешка возможно только при МРТ-исследовании.
На рисунке - плод, 23 недели. Теменно-затылочное энцефалоцеле, заполненное спинномозговой жидкостью без признаков вовлечения мозговой ткани
Метод МРТ имеет большое значение в выявлении не только пороков развития ЦНС, но и при заболеваниях и аномалиях паренхиматозных органов брюшной полости и малого таза плода, его опорно-двигательного аппарата, крупных сосудов и др.
На рисунке - плод, 22 недели. Энтерогенная киста
На рисунке - врожденная диафрагмальная грыжа
На рисунке - мультикистоз почки
На рисунке - плод, 28 недель. Атрезия пищевода
На рисунке - пупочная грыжа
Таким образом, МРТ является дополнительным способом визуализации структур головного мозга плода. Он дополняет ультразвуковое исследование в тех случаях, когда применение сонографии технически ограничено, либо ее результаты сомнительны и противоречивы.
Повышенное внутричерепное давление: как распознать и снизить?
Повышенное внутричерепное давление - что на самом деле означает это понятие? Как внутричерепное давление соотносится с артериальным?
На эти и другие вопросы мы искали ответы с врачом-неврологом «Клиника Эксперт Тула» Рощупкиной Юлией Владимировной.
- Юлия Владимировна, что такое внутричерепное давление? Каким оно должно быть в норме и когда речь идёт о его повышении?
Это параметр, отражающий силу влияния спинномозговой жидкости (ликвора) на ткань мозга. Ликвор находится под определённым давлением, которое и получило название внутричерепного. Сегодня оно измеряется в миллиметрах ртутного столба (мм.рт.ст.) и составляет в норме от 10 до 15 мм.рт.ст.
ВНУТРИЧЕРЕПНОЕ ДАВЛЕНИЕ ИЗМЕРЯЕТСЯ
В МИЛЛИМЕТРАХ РТУТНОГО СТОЛБА (ММ.РТ.СТ.)
И СОСТАВЛЯЕТ В НОРМЕ ОТ 10 ДО 15 ММ. РТ. СТ.
Опасность представляет давление выше 25 мм.рт.ст.
При приближении его к 35 мм.рт.ст. оно обозначается как критическое, возможна потеря сознания и гибель клеток мозга.
- Повышенное внутричерепное давление - это диагноз или симптом?
Это синдром. Его синоним - внутричерепная гипертензия. Она бывает при ряде патологий, а также наклонах головы, чихании, физических нагрузках и т.д.
- По каким признакам можно понять, что у человека повышенное внутричерепное давление?
К симптомам внутричерепной гипертензии относится давящая, распирающая головная боль, главным образом утром. Может быть в разных частях головы.
Читайте материал по теме: Что делать, если голова «чугунная»?
Также отмечается тошнота и рвота; сонливость; расстройства памяти, внимания, мышления; вегетативные расстройства (колебания артериального давления, урежение пульса, усиленное потоотделение); ухудшение зрения и слепота.
- Что происходит при повышенном внутричерепном давлении - сосуды сужаются или наоборот расширяются?
К его повышению приводит расширение артерий, идущих к мозгу, что сопровождается увеличением притока крови к нему, а также снижением оттока по венам. Как следствие, происходит переполнение кровью сосудов, окружающая ткань пропитывается плазмой крови.
К СИМПТОМАМ ВНУТРИЧЕРЕПНОЙ ГИПЕРТЕНЗИИ
ОТНОСИТСЯ ДАВЯЩАЯ, РАСПИРАЮЩАЯ БОЛЬ,
ГЛАВНЫМ ОБРАЗОМ УТРОМ. МОЖЕТ БЫТЬ
В РАЗНЫХ ЧАСТЯХ ГОЛОВЫ
Кроме того, также это возможно тогда, когда в полости черепа развивается объёмное образование либо процесс.
- Повышенное внутричерепное давление бывает только при повышенном давлении или оно может быть и при гипотонии?
Оно возможно и при гипотонии (один из примеров - травма мозга с сопутствующей значительной потерей крови).
К вопросу о взаимоотношениях повышенного артериального и внутричерепного давления: если регуляторные механизмы работают нормально, то артериальная гипертензия необязательно ведёт к внутричерепной.
- В чём опасность высокого внутричерепного давления?
По мере его повышения возможна ежедневная утренняя рвота на фоне интенсивной головной боли. Угнетаются психические функции. Появляется заторможенность, могут быть расстройства сознания, вплоть до комы.
Повышается артериальное давление, угнетается и становится реже дыхание, замедляется пульс. Могут наблюдаться генерализованные судороги. В запущенных случаях возможно смещение и ущемление структур мозга с нарушением работы жизненно важных центров дыхания и кровообращения, что ведёт к наступлению смерти.
- Расскажите, что приводит к возникновению внутричерепной гипертензии.
Это инфекции головного мозга и его оболочек; черепно-мозговая травма; новообразования различной природы в полости черепа; гематомы, абсцессы мозга; продолжительная нехватка кислорода; затруднение оттока по ярёмным венам; водянка головного мозга; избыточный вес, ожирение, патология обмена веществ; отравления химикатами.
Читайте материал по теме: Покажет ли МРТ менингит?
- Причины, по которым повышается внутричерепное давление у детей и взрослых одинаковые или разные?
В чём-то они схожи. Вместе с тем у детей, в частности, к его повышению может приводить продолжительная внутриутробная кислородная недостаточность, нейроинфекции, иные патологии беременности и родов.
- Как проводится диагностика причин повышения внутричерепного давления?
Преимущественно выполняется МРТ и КТ, УЗИ головного мозга, эхоэнцефалоскопия, исследование глазного дна.
Читайте материал по теме: О чём расскажет глазное дно?
Измерение внутричерепного давления производится с помощью манометра. При этом в спинномозговой канал, либо в желудочки головного мозга вводится специальный катетер.
Записаться на МРТ головного мозга в вашем городе можно здесь
- Юлия Владимировна, состояние внутричерепной гипертензии требует обязательного лечения или повышенное внутричерепное давление может пройти само?
Это зависит от его причины. Решение этого вопроса находится в компетенции лечащего врача, самолечение недопустимо. При возникновении любых из вышеперечисленных жалоб обращайтесь к доктору, чтобы лечение было своевременным.
- Применяются ли народные методы для снижения повышенного внутричерепного давления? Насколько они эффективны?
И здесь всё зависит от причины и механизма развития этой патологии. Народные средства не способны устранить причину, никогда не применяются как основные средства. Однако теоретически в отдельных случаях могут немного облегчить состояние больного. В любом случае решение о возможности приёма того или иного средства принимается врачом.
- К врачу какой специальности необходимо обратиться при подозрении на внутричерепную гипертензию?
К неврологу. После уточнения причины может понадобиться консультация и, при необходимости, лечение нейрохирурга.
Записаться на приём к врачу-неврологу в вашем городе можно здесь
Также вам могут быть полезны:
Рощупкина Юлия Владимировна
В 2001 году окончила лечебный факультет Курского государственного медицинского университета.
С 2001 по 2002 год проходила интернатуру по специальности «Неврология».
Имеет специализацию по иглорефлексотерапии.
В настоящее время занимает должность врача-невролога в «Клиника Эксперт Тула». Принимает по адресу: ул. Болдина, д. 74.
Фотографы проекта «Сердечные» приступили к съемкам. Благодаря инициатору и одному из организаторов. В Липецке стартовали съемки для социального проекта о врачах «Сердечные»
Лето - прекрасное время года. Его наступления большинство людей ждёт с нетерпением. Как жара влияет на сердце?
Название этой болезни наверняка у многих на слуху. Особенно у тех, «кому. Атеросклероз: что знает о нём современная медицина?
Читайте также:
- УЗИ при идиопатической артериальной кальцификации у младенцев (ИАКМ)
- Что скрывают ягоды? Полезные свойства ягод
- Противопоказания к удалению зуба. Методика удаления зубов с помощью щипцов.
- Анализ рентгенограмм желудка. Этапы дифференциальной диагностики рентгенограмм
- Радость и удовольствие продлевают молодость. Кто выглядит моложе?
