УЗИ печени при циррозе
Добавил пользователь Евгений Кузнецов Обновлено: 07.01.2026
УЗИ печени - неинвазивное исследование органа с использованием ультразвуковых волн. Позволяет получить информацию о размерах, форме и контурах печени, структуре печеночной паренхимы и состоянии локального кровотока. УЗИ печени дает возможность обнаружить патологические очаги, оценить их характер, локализацию, форму, размеры и распространенность. Назначается при диффузных изменениях (циррозе, гепатитах, жировом гепатозе) и очаговых патологических процессах (неоплазиях, жидкостных образованиях). УЗИ печени может осуществляться как амбулаторно, так и в стационарных условиях. Абсолютно безболезненно, не доставляет дискомфорта, не представляет вреда для здоровья пациента. Требует специальной подготовки для уменьшения газообразования в кишечнике.
УЗИ печени является достаточно новым методом исследования. Ультразвук был открыт в 1794 году, когда итальянский ученый Спалланцани выдвинул гипотезу о существовании невидимых лучей, испускаемых летучими мышами для ориентировки в пространстве. В медицине ультразвуковые волны используются с начала ХХ века. Вначале ультразвук применяли для лечения некоторых заболеваний. Затем исследователи предприняли ряд попыток проектирования диагностических приборов с использованием ультразвукового излучения.
Первый УЗИ-аппарат был создан в 1949 году. При исследовании печени и других органов брюшной полости с помощью этого аппарата пациенту нужно было неподвижно сидеть в резервуаре, пока вокруг него двигался специальный сканер. В середине 60-х годов появились первые приборы для проведения УЗИ печени, почек, мужской и женской репродуктивной системы и других органов, действующие по тем же принципам, что и современные аппараты, оснащенные мануальными датчиками. В настоящее время УЗИ печени стало рутинным методом исследования, широко применяемым в гастроэнтерологии и онкологии.
Показания
Метод может использоваться как на этапе скрининговых исследований, так и на этапе заключительной диагностики. В качестве цели УЗИ печени рассматриваются оценка состояния печени и органного кровотока, выявление диффузных и очаговых патологических изменений, определение тяжести заболевания и распространенности патологического процесса, проведение дифференциальной диагностики, выбор тактики консервативного лечения или метода оперативного вмешательства. Кроме того, УЗИ печени применяется для оценки эффективности лечения во время терапии и после ее завершения, а также для наблюдения за течением заболевания в стадии ремиссии.
УЗИ печени назначают при болях в правом подреберье, травматических повреждениях области живота, желтушности кожи и слизистых оболочек, появлении лабораторных признаков нарушений функции печени, злоупотреблении наркотиками и алкоголем и длительном приеме лекарственных средств, оказывающих негативное влияние на состояние органа. УЗИ печени также проводят при подозрении на абсцесс печени, первичный онкологический процесс в ткани печеночной паренхимы или метастатическое поражение органа при опухолях других локализаций.
Для наблюдения за течением заболевания, своевременного выявления осложнений и рецидивов УЗИ печени регулярно выполняют при уже диагностированных диффузных поражениях органа, перенесенных ранее гепатитах и онкологических заболеваниях в стадии ремиссии. УЗИ печени является высокочувствительной диагностической процедурой, позволяющей выявлять цирроз, хронический гепатит, жировой гепатоз, абсцессы печени, травматические гематомы, метастазы, первичный рак печени, синдром Бадда-Киари, кальцинаты и некоторые другие патологические процессы. Противопоказания к исследованию отсутствуют.
Подготовка к УЗИ
Целью подготовки к процедуре является повышение информативности исследования путем уменьшения газообразования в кишечнике. За 3 суток до УЗИ печени необходимо полностью исключить из меню свежие овощи и фрукты, хлебобулочные изделия, бобовые культуры, кисломолочные продукты, алкоголь и газированные напитки. Пищу следует принимать дробно небольшими порциями. При нарушениях пищеварения показаны ферментные препараты (фестал, панкреатин, энзистал). При склонности к запорам накануне УЗИ печени нужно очистить кишечник с помощью клизмы или мягкого слабительного.
Методика проведения
Исследование проводят как утром, так и во второй половине дня. Промежуток между последним приемом пищи и началом УЗИ печени должен составлять не менее 6-8 часов. С собой можно взять салфетки или небольшое полотенце для удаления остатков геля с кожи живота. Врачу необходимо предоставить всю имеющуюся медицинскую документацию (направление, выписки, результаты анализов). Перед началом УЗИ печени больного укладывают на спину и просят обнажить живот. Затем наносят на область правого подреберья водорастворимый гель и исследуют орган, передвигая специальный датчик по коже живота.
При необходимости УЗИ печени дополняют ультразвуковым исследованием желчного пузыря, поджелудочной железы или селезенки, допплерометрией сосудов печени. Процедура абсолютно безболезненна и не доставляет неприятных ощущений. Продолжительность исследования составляет около 10 минут. После завершения УЗИ печени с живота вытирают остатки геля. Больному сообщают, когда можно прийти за заключением. В зависимости от загруженности специалиста подготовка документов может занять от 30 минут до 1 суток.
Интерпретация результатов
Данные, полученные при проведении УЗИ печени, интерпретируют с учетом нормальных показателей. В процессе интерпретации оценивают структуру печеночной паренхимы, размеры, контуры и эхогенность органа. При обнаружении очаговых изменений указывают их локализацию с учетом сегмента. При отсутствии патологических изменений по результатам УЗИ печень описывают как орган с гомогенной структурой и ровными контурами. Эхогенность печени ниже, чем у селезенки, и примерно равна эхогенности поджелудочной железы.
В норме длина правой доли по данным УЗИ печени колеблется в пределах 11-15 см, косой вертикальный размер - до 15 см. Высота (краниокаудальный размер) левой доли равна примерно 10 см, толщина - не более 7 см. Общая длина органа по результатам УЗИ печени составляет 14-18 см, поперечник - 20-22 см, саггитальный размер - 9-12 см. Диаметр общего желчного протока - 6-8 мм, портальной вены - 13 мм, полой вены - 15 мм, печеночной вены - 6-10 мм, воротной вены - 4-7 мм. Фиброз протока и сосудов отсутствует. По УЗИ печень определяется как мелкозернистый орган. Объемные образования в ткани печени отсутствуют.
Существуют так называемые ультразвуковые диагнозы - специальные термины, отражающие эхо-характеристики патологических изменений по результатам УЗИ печени. Подобные термины могут свидетельствовать о нескольких клинических диагнозах. Например, под термином «пятна на печени» понимают участки повышенной эхогенности, которые могут быть свидетельством лямблиоза, оказаться неоплазиями или узлами начинающегося цирроза. Для уточнения клинических диагнозов при выявлении перечисленных изменений назначают лабораторные анализы и дополнительные клинические исследования.
При проведении УЗИ печени могут определяться очень плотные участки (кальцификаты) и полости, заполненные жидкостью (кисты, абсцессы). Злокачественные неоплазии органа на УЗИ печени выглядят как участки необычного строения с неравномерной эхогенностью, неоднородной структурой и нечеткими границами. Плотность метастазов может быть как выше, так и ниже плотности ткани печени (в зависимости от плотности первичного новообразования), характерным признаком данной патологии является гипоэхогенный ободок вокруг патологического очага. Гемангиома при УЗИ печени представляет собой гиперэхогенное образование с четкими границами и акустической дорожкой, располагающееся рядом с крупными сосудами.
По данным УЗИ печени в остром периоде гепатита определяются увеличение размеров и плотности органа в сочетании с неоднородностью структуры паренхимы. При хроническом гепатите на УЗИ печени выявляются увеличение органа, неоднородность паренхимы и неясность сосудистого рисунка. При циррозе наблюдаются мозаичность и бугристость структуры, закругленность краев и расширение углов органа. При жировом гепатозе обнаруживается повышение эхогенности (светлая печень). Все перечисленные заболевания диагностируют по результатам комплексного обследования, которое, наряду с УЗИ печени, может включать в себя лабораторные исследования, КТ, МРТ и другие диагностические методики.
УЗИ при циррозе печени (начало)
Морфологические изменения при циррозе печени и портальной гипертонии при ультразвуковом исследовании
Эта глава особенно актуальна для Красноярска. Около 30% госпитализированных пациентов в моем городе присутствуют или имеют (в последнем случае они были временно госпитализированы в отделение гастроэнерологии) симптомы, связанные со злоупотреблением алкоголем (50%, включая травматические, неврологические и психиатрические случаи). Несмотря на многолетние исследования, мы не смогли выделить ультразвуковое изображение, характерное для пива, вина или ликера. Во Франции школа Гилеля считает, что им удалось определить признаки цирроза печени из-за употребления разных алкогольных напитков, которые отличаются. Школа Shammai говорит, что это невозможно, потому что разрешение современных ультразвуковых приборов недостаточно. Мое собственное мнение состоит в том, что отсутствие специфичности — это вина пациентов, которые вообще не заинтересованы в научных исследованиях и безрассудно смешивают свои напитки, чтобы запутать статистический анализ. Цирроз также осложняет хронический вирусный гепатит.

Морфологические проявления цирроза на УЗИ
Гепатомегалия и белая печень является одним из проявлений цирроза печени на УЗИ, хотя в других случаях может быть просто гепатомегалия. Критерии гепатомегалии были рассмотрены в других статьях. При цирротической гепатомегалии в начале заболевания печень легко передает ультразвук, поэтому легко получить глубокое проникновение эхолокации. Эхоструктура остается довольно однородной. Мы называем это проявление цирроза печени I типа.
Когда эхогенность очень выражена, она попадает в категорию белой печени, определенной в других темах блога. Это проявление диффузного стеатоза, и жировая инфильтрация может быть подтверждена компьютерной томографией (КТ). Начальные стадии стеатоза быстро обратимы, если соблюдается строгая диета. Однако при частичном стеатозе эхогенность печени вместо диффузного может быть неоднородной из-за гиперэхогенных областей, рассеянных с интактными, по-видимому, гипоэхогенными областями. Когда гетерогенность на УЗИ печени является результатом опухоли, вены, особенно системные, часто деформируются. Однако в области стеатоза такой деформации не происходит. Это повод снова упомянуть, что ткань печени однородна по эхогенности и не очень ослабляется при гемосидерозе и болезни Вильсона. Однако при гемосидерозе компьютерная томография показывает повышенное затухание рентгеновских лучей, в то время как из-за содержания железа в печени флэш-последовательности магнитно-резонансной томографии (МРТ) весьма специфичны.
Стеатоз, фиброз и ретракция печени при ультрасонографии
Во многих случаях цирроза интенсивность эхо-сигналов снижается на глубине из-за повышенного затухания, несмотря на настройки увеличения компенсации по времени (TGC). Считалось, что это повышенное ослабление связано с фиброзом, но, согласно более поздним исследованиям, основным фактором ослабления считается стеатоз. Согласно полученным данным по УЗИ печени, увеличение ослабления возникает из-за многократного зеркального отражения на рассеянных островках жировой инфильтрации на уровне долей. Мы называем это сочетание гомогенной эхотекстуры и повышенного ослабления циррозом II типа.
В дальнейшем происходит изменение эхотекстуры с неоднородностью и, редко, небольшими зонами микронодулярности. Это можно назвать III типом цирроза. Фиброз и портальная гипертензия ответственны за уменьшение кровоснабжения, которое вызывает сегментарную или долевую атрофию. Это особенно верно для правой доли. Атрофия вызывает важные изменения в размере и форме печени. Более того, атрофия правой доли печени на УЗИ способствует развитию взаимного расположения толстой кишки, что чаще встречается у пациентов с циррозом. Это также вызывает заднее неправильное положение желчного пузыря.
Всякий раз, когда рассматривается диагноз цирроза, полезно соблюдать измерение толщины хвостатой доли. Компенсаторное утолщение того сегмента печени, который обладает автономной васкуляризацией, является классическим при фиброзе и портальной гипертензии, особенно при синдроме Бадда-Киари. Проводя УЗИ, необходимо определять отношение поперечной толщины хвостатой доли к толщине правой доли печени. Это соотношение не должно превышать 2: 3. Повышенное соотношение является специфическим признаком цирроза. В этой неоднородной, цирротической паренхиме малые портальные радиальные вены трудно увидеть. Печеночные вены имеют тенденцию к уменьшению в диаметре. При распространенном циррозе они могут не проявляться, пока при ультразвуковом исследовании не используется цветной допплер. Наоборот, артериальные ветви могут увеличиваться в диаметре, так как увеличение артериального снабжения компенсирует уменьшение портального кровотока. Таким образом, небольшие артериальные ветви, обычно слишком тонкие, чтобы быть раскрытыми, могут появляться рядом с портальными венами, вызывая тем самым ложные изображения двойного протокового вида (знак двустволки). Изображение смежного портального сосуда и расширенного желчного протока обнаруживается при механической желтухе. Это сосудистое изменение необходимо учитывать при обследовании больного желтухой с циррозом (или после трансплантированной печени у пациента с поздним портальным тромбозом). Полезно искать связанные признаки, которые будут обсуждены более полно позже: спленомегалия, асцит и признаки портальной гипертонии.
По мере того, как печень продолжает втягиваться, появляются неровности ее контура на УЗИ. Это небольшие поверхностные неровности, которые называют печеночными. Этот очень специфический вид «вбитой шляпки гвоздя» легко распознается в случае асцита. Показано, что это можно продемонстрировать даже без асцита благодаря высокочастотному датчику. Откровенная нодуляция может появиться из-за нерегулярной жировой инфильтрации и регенерации узлов (цирроз печени типа IIIb). Чисто узловой цирроз редок. Узлы обычно рассматриваются как узлы регенерации, тем более что крупные узлы регенерации могут иметь такой же вид, как и очаговая узловая гиперплазия. Направленная пункция таких узлов, которые могут напоминать многоочаговую гепатокарциному, не дает злокачественных клеток. Как ни парадоксально, изучая цирротические печени, удаленные до трансплантации печени, было отмечено, что ультразвуковые нарушения, вызванные регенерирующими узлами, очень дискретны. Эту картину обычно наблюдают при применении датчика на частоте 7 МГц, которая выглядит как тонкий гиперэхогенный ободок из-за фиброза и стеатоза. Однако обычно присутствуют выраженные регенерирующие узлы, области фиброза и/или стеатоза, а также зоны повышенного ослабления, которые способствуют гетерогенному и сложному внешнему виду. Узлы регенерации на УЗИ могут быть гипо-, изо- или гиперэхогенными. При содержании железа они появляются при МРТ как гипоинтенсивный сигнал.
Внутренние перегородки способствуют их обнаружению на УЗИ и МРТ. Мы ранее писали, что гиперпластические аденоматозные узлы, которые напоминают регенерационные узлы, являются предраковыми поражениями. Поэтому ультразвуковое исследование цирротического пациента является поводом для скрининга на небольшие гепатокарциномы, а любой узел в цирротической печени является диагностической проблемой.
Когда печень неоднородна, ее границы нерегулярны, и она стала достаточно маленькой, чтобы лежать под грудной клеткой, это называется циррозом IV типа. С другой стороны, в некоторых случаях печень у данных пациентов может все еще иметь однородную структуру. Небольшую печень бывает довольно трудно исследовать на УЗИ. Переднюю поверхность трудно визуализировать из-за подъема толстой кишки и кишечного газа, плавающего в верхней части асцитной жидкости. В таких случаях может быть проведена только межреберная оценка. С другой стороны, пациенты, как правило, сильно теряют в весе и обезвоживаются, так что передача ультразвука становиться плохой, а затухание более значительным. Однако, к сожалению для пациента и, к счастью, для УЗИ после того, как все эти изменения произошли, обследование, по крайней мере, облегчается наличием асцита, который приводит к появлению дополнительного ультразвукового окна. Когда асцит отсутствует, может быть полезна установка сонотранспарентного доступа на ребра.
Связанные аномалии могут встречаться независимо от морфологического типа цирроза. Также может быть асцит, хотя печень только диффузно и неспецифически увеличена. Различные только что описанные морфологические проявления являются типами, а не патологическими стадиями, тогда как простая гепатомегалия и большая фиброзная ретракция являются последовательными стадиями.
Клиника доктора Шима - эхография брюшной полости

Рис. 1. На эхограмме селезенки больного циррозом печени и портальной гипертензией определяются мелкие диффузные гиперэхогенные включения (точечные кальцификаты).

Рис. 2. Эхограммы больного циррозом печени и портальной гипертензией.
a) Повышение эхогенности и неоднородная структура печеночной паренхимы с наличием узлов.
b) Видна расширенная пупочная вена.
Каков Ваш диагноз?
Ответ: Тельца Гамна-Гэнди (Gamna-Gandy) в селезенке больного циррозом печени с портальной гипертензией.
На эхограмме в левой косой проекции (рис. 1) визуализируются диффузные гиперэхогенные включения (точечные кальцификаты) в селезенке, состоящие из телец Гамна-Гэнди. При сканировании в правом подреберье (рис 2b) визиализируется печень повышенной эхогенности, с неоднородной структурой, образованием узлов в ее паранхиме и расширением пупочной вены.
Тельца Гамна-Гэнди представляют собой ограниченные организованные кровоизлияния в селезенке, вызванные портальной гипертензией. Тельца Гамна-Гэнди состоят из фиброзной ткани, гемосидерина и кальция.
Они обычно расположены в перифолликулярной и трабекулярной зоне и состоят из фиброзной ткани, с вкраплениями гемосидерина и кальция. Yasuhara с соавторами при проведении УЗ-исследования определяли тельца Гамна-Гэнди в виде диффузных гиперэхогенных включений, подобные повреждения они обнаружили на аутопсии у 12,9% больных циррозом печени. Изучив корреляцию морфологических и эхографических признаков, авторы пришли к выводу, что эхография позволяет увидеть в селезенке тельца Гамна-Гэнди диаметром больше 1 мм и широко распространенные. Тельца Гамна-Гэнди определяются при портальной гипертензии, синдроме Банти, наследственном сфероцитозе, застойной сердечной недостаточности, внутрибрюшинном воспалении или при прорастании воротной вены карциномой желудка либо карциномой поджелудочной железы. Тяжелые хронические заболевания и их осложнения могут вызывать образование расссеянных кальцифицированных очагов. Наиболее частой причиной является туберкулез. Рассеянные кальцификаты возникают также при длительно текущем гистоплазмозе или токсоплазмозе. При цистицеркозе они обнаруживаются значительно реже. Длительно существующая застойная селезенка вызывает значительное увеличение органа. Селезенка становится плотной, и плотность ее увеличивается по мере нарастания застойных явлении. Капсула селезенки становится утолщенной и фиброзированной, но не вовлекается в процесс. На срезе ткань селезенки напоминает мясо, цвет ее варьирует от серо-красного до темно-красного, в зависимости от степени фиброза. Часто мальпигиевы тельца не видны. Небольшие серо-коричневые плотные узлы, рассеянные в красной пульпе селезенки, составляют так называемые тельца Гамна-Гэнди.
Длинник селезенки, измеренный эхографически, должен быть меньше или равен 11 см. При получении множественных серийных сечений можно определить объем селезенки. Увеличение селезенки происходит при любом состоянии, вызывающем генерализованную лимфоаденопатию, портальную гипертензию или экстрамедуллярныи эритропоэз. В отличие от массивной сплено-мегалии, которая может наблюдаться при некоторых хронических инфекциях или лейкемии, как правило, при портальной гипертензии отмечается лишь умеренная спленомегалия, длинник селезенки составляет 12-16 см. Таким образом, у каждого больного циррозом печени должна быть исследована селезенка для обнаружения портосистемных анастомозов в забрюшинном пространстве, в малом сальнике или воротах селезенки. Визуализацию околопупочной вены пациента можно рассматривать как достаточно специфичный признак портальной гипертензии.
Патологическими признаками цирроза печени являются разрушение паренхимы с образованием узлов регенерации и фиброз, приводящие к нарушению архитектоники печени. Это состояние является результатом широкого круга причин, которые могут быть классифицированы по этиологическому или морфологическому принципу, либо при использовании комбинации обоих. Основными ультразвуковыми признаками являются нарушения структуры печени с нарастанием выраженности диффузной гетерогенности ткани с множественными участками повышенной эхогености и ухудшение визуализации воротной вены. Рубцовые процессы в печени необратимы и часто прогрессируют.
Ультразвуковая оценка структуры печени оказывает помощь в диагностике цирроза печени. Хотя цирротическая печень может быть нормальных размеров, обычно отмечается тенденция к сморщиванию печени по мере прогрессирования заболевания. Кроме того, правая доля печени может уменьшаться, в то время как каудальная доля занимает относительно большую часть печеночного объема. Соотношение каудальной доли к правой доле можно получить при поперечном сканировании непосредственно ниже бифуркации воротной вены: в норме соотношение меньше 0,6, при циррозе печени оно превышает 0,65; данный признак обладает 100% специфичностью и чувствительностью 84% и 43% в двух различных группах наблюдений.
При ультразвуковом исследовании при циррозе печени повышается эхогенность паренхимы, описываемая как грубая эхоструктура или высокоамплитудные эхосигналы. Узлы-регенераты могут вызвать генерализованную гранулярность эхоструктуры печени при мелкоузловом циррозе, в то время как более крупные узлы при крупноузловых поражениях нарушают ровность контура печени, которая становится бугристой. Узлы на поверхности печени легче определяются при асците. Большие узлы могут замаскировать опухоли, в этом случае дифференциальный диагноз затруднен, поскольку цирроз является фактором риска в развитии рака печени, а ультразвуковое исследование используется при скрининге этого осложнения. Сосудистые изменения при циррозе играют основную роль в уменьшении объема печеночной паренхимы и могут свидетельствовать о наступлении необратимой стадии цирроза. При циррозе печеночный фиброз вызывает ослабление поглощения эхосигналов и неравномерный стеноз внутрипеченочных ветвей воротной вены и печеночной артерии, а вышележащие печеночные сосуды редуцируются.
Другие ультразвуковые находки при циррозе связаны с осложнениями, развивающимися вследствие печеночноклеточной недостаточности и портальной гипертензии. Это - асцит, спленомегалия, развитие венозных коллатералей и другие нарушения в системе воротной вены.
Портальная гипертензия развивается в том случае, когда повышается сопротивление портальному кровотоку и (или) при увеличении портального кровотока. Последствиями этих механизмов могут быть расширение внепеченочных портальных сосудов и развитие спонтанных портосистемных коллатералей. Ультразвуковое исследование верхних отделов брюшной полости позволяет увидеть некоторые коллатеральные пути и изменения основных сосудов системы воротной вены.
Портальные сосуды были измерены у здоровых и у пациентов с портальной гипертензией, получены большие различия верхней границы нормы диаметра воротной вены. Измерение воротной вены следует проводить в базальных условиях (спокойное дыхание, в положении лежа на спине, натощак). В общем, портальная гипертензия диагностируется при диаметре портальной вены более 15 мм. Основные внутрипеченочные ветви воротной вены обычно также расширены при портальной гипертензии, в то время как периферические внутрипеченочные ветви суживаются и становятся извилистыми, вероятно, в связи с паренхиматозными изменениями. Другим важным признаком портальной гипертензии является колебание диаметра селезеночной и верхней брыжеечной вен во время дыхания.
У пациентов с портальной гипертензией обычно происходит расширение коллатеральных сосудов, связывающих систему воротной вены с повышенным давлением, с системной циркуляцией, где давление низкое. Это высокоспецифичный ультразвуковой признак. Пупочная вена проходит в круглой связке в левой доле печени и легко визуализируется как сосуд более 3 мм в диаметре, который открывается при портальной гипертензии. Реканализация пупочной вены, определяемая при УЗ-исследовании, является высокоспецифичным признаком портальной гипертензии, хотя определяется не всегда. Другие коллатерали, такие как левая желудочная вена и забрюшинная вена, проходящая вокруг поджелудочной железы, сложны для визуализации из-за наличия газа в кишечнике. Левая желудочная вена обычно соединяется с дистальной частью селезеночной вены или с местом слияния верхней брыжеечной и селезеночной вен, и может быть значительно расширена. Значительное увеличение диаметра левой желудочной вены позволяет предположить наличие варикозно расширенных вен пищевода.
Особенности ультразвуковой картины у больных циррозом печени с разной степенью активности алкогольного гепатита

Лидер продаж в высоком классе. Монитор 21,5" высокой четкости, расширенный кардио пакет (Strain+, Stress Echo), экспертные возможности для 3D УЗИ в акушерско-гинекологической практике (STIC, Crystal Vue, 5D Follicle), датчики высокой плотности.
Материалы и методы
Мы обследовали 21 больного циррозом печени с признаками активного алкогольного гепатита. В стандартное обследование, кроме сбора анамнеза и физического исследования, входили: лабораторные тесты, ЭГДС и УЗИ. Диагноз цирроз печени был установлен клинически и подтвержден данными гистологического исследования печени. Через 1 год (11-14 мес) все больные были госпитализированы для повторного обследования и лечения. Из них 11 больных воздерживались от употребления алкоголя, 10 продолжали злоупотреблять алкоголем. При отборе больных для исследования в большей степени учитывались объективные показатели, характеризующие активность гепатита (уровень печеночных ферментов), в меньшей степени принимались во внимание сведения о количестве потребляемого алкоголя, предоставляемые больным или его родственниками. Повторные биопсии печени не проводились по этическим причинам (этиология и стадия заболевания были очевидны у всех больных).
При первичном обследовании у всех больных были выявлены специфичные ультразвуковые признаки цирроза печени и портальной гипертензии: неровная поверхность и узловатая структура печени, спленомегалия. В 11 случаях отмечалась реканализация параумбиликальной вены. При ЭГДС во всех случаях выявлено варикозное расширение вен пищевода. Все больные имели примерно один возраст, один функциональный класс по классификации Чайлд-Пью (класс А) и одинаковые лабораторные и ультразвуковые показатели. Данные исходного обследования 21 больного циррозом затем использовались как контрольные (группа 1). Для исключения первоначально существенных различий между анализируемыми больными, мы разделили группу 1 на две подгруппы. В подгруппу 1а были включены больные, которые воздерживались от приема алкогольных напитков (не имели лабораторных признаков активного гепатита при повторной госпитализации). В подгруппу 1б вошли больные, продолжавшие злоупотреблять алкоголем в период, предшествовавший госпитализациии поступившие вновь с признаками активного алкогольного гепатита. При последующем анализе результатов повторной госпитализации и сравнении с контрольной группой больные подгруппы 1а рассматривались как группа 2, больные подгруппы 1б как группа 3. Все исследования, проводимые ранее, были повторены (за исключением пункционной биопсии печени).
Были изучены средние значения следующих ультразвуковых показателей: передне-задний размер правой доли печени (ПЗР), линейная скорость кровотока в воротной вене (СВВ) и ее диаметр (ДВВ), индекс резистентности печеночной артерии (ИР), длина селезенки (ДС).
Для проведения УЗИ использовался конвексный мультичастотный датчик с частотой 3,5-6,0 МГц (обычно сканирование проводилось при частоте эхосигнала 4,2 МГц). Исследование выполнялось в утренние часы натощак.
Скорость воротного кровотока измерялась в области ворот печени при сканировании через правые межреберные промежутки (коррекция угла инсонации в такой позиции минимальна). Определение ИР печеночной артерии проводилось в области ее "вертикально направленной части", наиболее удаленной от бифуркации чревного ствола при сканировании из правого субкостального доступа. Измерялись максимальная систолическая и конечная диастолическая скорости кровотока. Индекс резистентности вычислялся автоматически после ручного измерения двух первых параметров с помощью программного обеспечения ультразвукового сканера как отношение разности максимальной систолической и конечной диастолической скоростей к максимальной систолической скорости кровотока.
Все остальные измерения проводились по стандартным общепринятым методикам.
Результаты
При анализе средних значений изучаемых параметров в подгруппах 1а и 1б существенных различий выявлено не было, что подтвердило однородность состава больных при первичном обследовании (табл. 1).
| Показатель | Подгруппа 1а | Подгруппа 1б | Р |
|---|---|---|---|
| Возраст | 58,2±10,1 | 47,7±14,9 | 0,08 (NS) |
| ФКпо Чайлд-Пью | А (11 чел.) | А (10 чел.) | - |
| ГГТ | 615±447 | 581±448 | 0,86 (NS) |
| АЛТ | 79±44 | 72±71 | 0,79 (NS) |
| ACT | 139±107 | 141±80 | 0,95 (NS) |
| ПЗР, см | 17,3±3,7 | 17,9±2,0 | 0,45 (NS) |
| ДС, см | 14,1±2,8 | 14,2±2,0 | 0,92 (NS) |
| ИР | 0,66±0,09 | 0,60±0,04 | 0,09 (NS) |
| ДВВ, см | 1,25±0,15 | 1,28±0,08 | 0,64 (NS) |
| СВВ, см/с | 13,6±4,9 | 15,0±6,4 | 0,45 (NS) |
Лабораторные и ультразвуковые показатели пациентов, обследованных при повторной госпитализации, приведены в табл. 2 и 3.
Таблица 2. Лабораторные и ультразвуковые показатели у больных циррозом печени с низкой степенью активности алкогольного гепатита (по сравнению с контрольной группой).
| Показатель | Группа 2 | Группа 1 | Р |
|---|---|---|---|
| ГГТ | 146±154 | 599±435 | 0,014 |
| АЛТ | 38,4±30,2 | 75,8±56,6 | 0,11(NS) |
| ACT | 47,4±34,0 | 140,0±92,5 | 0,017 |
| ПЗР, см | 13,5±1,5 | 17,6±2,5 | 0,0003 |
| ДС, см | 13,7±2.6 | 14,1±2,4 | 0,67(NS) |
| ИР | 0,72±0,04 | 0,63±0,07 | 0,0001 |
| ДВВ, см | 1,27±0,10 | 1,27±0,16 | 0,996 (NS) |
| СВВ, см/с | 16,2±3,4 | 14,3±5,5 | 0,46 (NS) |
Таблица 3. Лабораторные и ультразвуковые показатели у больных циррозом печени с активным алкогольным гепатитом (по сравнению с контрольной группой).
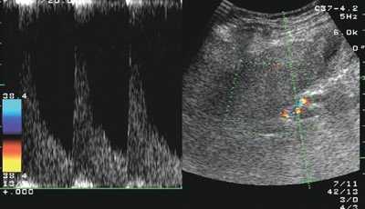
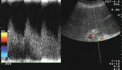
У больных циррозом печени, воздерживавшихся от употребления алкоголя, отмечалась тенденция к нормализации уровня печеночных ферментов: активность алкогольного гепатита была невысокой. Увеличение размеров правой доли печени было выражено в меньшей степени. ИР печеночной артерии превышал 0,7, что характерно для цирроза печени любой другой этиологии (рис. 1). Размеры селезенки, диаметр воротной вены и скорость воротного кровотока были такими же в контрольной группе. У больных в группе 3 различия с контрольной группой отсутствовали: сохранялись лабораторные признаки активного алкогольного гепатита (высокий уровень ГГТ, преобладание ACT над АЛТ), гепатомегалия и не характерно низкий для цирроза печени ИР печеночной артерии (0,59±0,05) (рис. 2).

Рис. 1. Эхограмма: спектр кровотока в печеночной артерии у больного циррозом печени с неактивным алкогольным гепатитом (ИР=0,75).

Рис. 2. Эхограмма: спектр кровотока в печеночной артерии у больного циррозом печени с активным алкогольным гепатитом (ИР=0,47).
Особенности печеночной гемодинамики при циррозе печени являются предметом научных исследований в нашей стране и за рубежом. Большинство ученых отмечает существенные изменения воротной циркуляции в зависимости от стадии хронических диффузных заболеваний печени, степени печеночно-клеточной недостаточности и портальной гипертензии. Кроме воротного кровотока, при циррозе печени существенно изменяется артериальный печеночный кровоток. В ряде исследований отмечено повышение резистивных индексов печеночной артерии у больных циррозом печени 8, в других работах такая особенность не выявлена 15. В работах [2,3] обнаружена зависимость между степенью повышения резистивных индексов и функциональным классом по классификации Чайлд-Пью, в других работах такая зависимость не отмечалась [12, 16-18]. В отдельных исследованиях резистивные индексы коррелировали с уровнем печеночного венозного градиента давления [2, 18], в других такая корреляция отсутствовала [4, 12, 16]. В работе [12] отмечается, что пульсационный индекс был ниже у больных с более выраженной степенью нарушения функции печени, однако различия оказались статистически недостоверными [17]. В некоторых работах отмечена зависимость величины изменения резистивных индексов от степени варикозного расширения вен пищевода [1, 4, 12]. Только в одной работе была выявлена четкая зависимость уровня повышения резистивных индексов от степени фиброзных изменений паренхимы печени [5], в других исследованиях такая зависимость не прослеживалась 15.
В немногочисленных работах, посвященных изучению печеночной гемодинамики у больных алкогольной болезнью печени с признаками острого алкогольного гепатита, отмечено снижение резистентности артериального печеночного русла, проявляющееся в виде расширения ветвей печеночной артерии [11] и снижения резистивных индексов в ее основном стволе [9, 10]. В работе [10] выявлено сильное снижение ИР печеночной артерии у больных острым алкогольным гепатитом (0,60±0,07). У больных, страдавших алкогольным циррозом печени, ИР оказался существенно выше (0,72±0,04) [10]. Аналогичные, но статистически не достоверные данные были получены в работе [9]. В работе [12] ИР печеночной артерии был снижен у больных алкогольным циррозом печени без ВРВП и с ВРВП 1 (0,61±0,10 и 0,65±0,09). У больных с ВРВП 2-3 ИР был повышен (0,72±0,07) [12]. Во всех исследованиях, приведенных выше, степень активности алкогольного гепатита у больных циррозом печени не была указана.
Таким образом, в настоящее время не существует однозначного мнения об особенностях изменения артериального печеночного кровотока у больных циррозом печени. До конца не определены факторы, влияющие в наибольшей степени на регионарную циркуляцию у таких больных.
В настоящей работе мы исследовали ряд ультразвуковых количественных параметров у больных циррозом печени с разной степенью активности алкогольного гепатита. В задачи исследования входило сравнение этих показателей у одних и тех же пациентов в разные периоды: при первичной госпитализации (на фоне активного алкогольного гепатита), затем при повторной плановой госпитализации.
Целью работы было выявление типичных особенностей ультразвуковой картины у больных циррозом печени с активным и неактивным алкогольным гепатитом. Была изучена группа больных циррозом печени, сопоставимых по стадии и активности заболевания при первичном обследовании. При повторной госпитализации больные были разделены на две группы: группу 2 составили больные, воздерживающиеся от алкоголя, группу 3-употребляющие алкоголь в обычных количествах. У больных с сохраняющимися лабораторными признаками активного алкогольного гепатита (группа 3) различия в ультразвуковых показателях по сравнению с контрольной группой отсутствовали. В группе 2 отмечалась тенденция к нормализации размера правой доли печени и активности печеночных ферментов. Существенно изменялся и характер артериального печеночного кровотока - от низкорезистентного при первичном исследовании к высокорезистентному при повторной госпитализации. Диаметр и скорость кровотока в воротной вене, размеры селезенки оставались сходными во всех группах. В связи с небольшим числом больных, включенных в исследование, выбор точек разделения (cut-off value) и анализ основных показателей информативности признаков не проводились.
Выводы
- Активность алкогольного гепатита у больных циррозом печени влияет на ряд ультразвуковых показателей и должна учитываться при формировании групп больных при дальнейших исследованиях.
- У больных циррозом печени с активным алкогольным гепатитом отмечается снижение индекса резистентности печеночной артерии, увеличение размеров печени.
- Для больных циррозом печени с неактивным алкогольным гепатитом характер но повышение индекса резистентности печеночной артерии (> 0,70) и отсутствие значимой гепатомегалии.
Литература
УЗИ аппарат HS40
Можно ли выявить цирроз на УЗИ?

Цирроз печени на первых 2 стадиях трудно поддаётся диагностики из-за отсутствия специфической симптоматики. На 3-4 стадиях, когда продиагностировать патологию можно без труда - лечение невозможно, речь идёт только о продлении жизни.
Опытный специалист может заподозрить патологию уже на компенсаторной стадии. В этом случае, вероятность полного восстановления функционирования печени превышает 50%. А прогноз 10-летней выживаемости выше 60%.
Может ли УЗИ печени и других органов брюшной полости дать 100% гарантию обнаружения цирроза на компенсаторной стадии, как правильно подготовится к УЗИ для повышения вероятности обнаружения патологии на ранних стадиях?
УЗИ печени покажет цирроз печени или нет

Цирроз печени на УЗИ
Со 100% вероятностью - УЗИ органов брюшной полости позволяет определить цирроз на 3-4 стадиях. На компенсаторной и субкомпенсаторной - опытный специалист может обнаружить только косвенные проявления патологии, а это повод для назначения других более точных методов: биохимический анализ крови, эластометрия, доплерография.
Если данные методы не позволяют поставить точных диагноз, а у врачей есть сомнения по поводу цирроза - проводится забор тканей печени для исследования (биопсия печени).
Но, при помощи УЗИ можно с 70% вероятностью обнаружить цирроз на 1 стадии, если деструктивные процессы начинают протекать на поверхности органа (узелковая форма). В остальных случаях - 20-50% зависимо от опытности врача и, правильности подготовки пациента и чувствительности оборудования.
Суть ультразвуковой диагностики
Ультразвуковое исследование (УЗИ) позволяет определить размеры, а современное оборудование и плотность диагностируемого органа. Цветное изображение подаётся на дисплей в высоком разрешении - если есть сомнения картинку можно увеличить без потери качества.
В отличие от рентгенографических методов, ультразвук не наносит вред мягким и костной ткани. Исследование можно проводить ежедневно, отслеживая динамику изменения основных показателей.
Поскольку УЗИ динамический метод - отсутствие эффекта смазанного снимка. В отличие от МСКТ, цветное изображение, а на современном оборудовании - функция эхо - плотность поверхностного слоя.
Подготовка к исследованию
Скрупулёзность подготовки - 75% эффективности процедуры.
- Исключить из рациона продукты, провоцирующие газообразование: молочные, бобовые, капусту, яйца, консервированные овощи, свежие огурцы; продукты, способствующие увеличению печени, окрашиванию кала, - свёкла, кофе, томаты, морковь, лук, чеснок, жгучий, болгарский перец.
- Не переусердствовать с физическими нагрузками - увеличение печени - неоднородность ткани, микрогематомы.
- За 6 дней до процедуры, отказаться от алкоголя, спортивного питания.
- За 21 день постепенно уменьшать дозировку следующих медпрепаратов, чтобы прекратить приём за 7 дней до обследования: антибиотики - тетрациклины, макролиды, аминогликозиды, синтетические пенициллины, цитостатики; натуральные пенициллины, цефалоспорины, сульфаниламиды за 14 дней; анаболики и глюкокортикостероиды за 30 дней, полностью прекратить за 14 дней.
- Ограничить употребление мяса, печёнки.
- Мясные, рыбные, печёночные блюда - только на пару; мясо вымачивать на протяжении суток, постоянно менять воду пока мясо и вода не станут светлыми; печёнку хорошо промывать; минимизировать соль; отдавать предпочтение блюдам из риса; рис полностью не проваривать - клетчатка чистит каловые отложения - печень обретает естественный объём.
- Если есть газы - последних 2 дня сесть на водную диету - воду кипятить на медленном огне 60 минут; употреблять верхних 2/3; каждый день, вплоть до последнего, выпивать не менее 1,5 л.
- Не употреблять калорийных продуктов.
- За 4 часа до сна не есть, не пить жирных бульонов, чая, кофе, соков, молока - только вода.
- На процедуру идти натощак.
- Не есть и не пить за 8 часов до процедуры.
- 48 часов никаких физических нагрузок, обязателен дневной сон.
- Прогулки на свежем воздухе не более 30 мин.
- Сидеть в расслабленном состоянии, разогнув спину.
- Не носить облегающей одежды, тугих поясов.
- Избегать эмоциональных нагрузок.
- При усталости, принять лежачее положение, обеспечить доступ свежего воздуха.
- Исключить из меню соль.
- Не принимать мочегонных, жаропонижающих.
- Клизма только на воде; воду кипятить 1,5 часа; для клизмы - верхняя треть тёплой воды.
Как проводится диагностика
Оптимальные положения: на спине, левом боку, с заведённой за голову правой рукой. Место соприкосновения датчика, смазывается специальным гелем. Во время прохождения датчика - задержать дыхание. Врач двигает датчиком медленно, равномерно пока не составит общую картину состояния исследуемой области.
Далее - движения, рванные с задержкой датчика на 1-5 секунд на сомнительных участках. После обследования - гель стирается тампоном со специальным раствором. После - мокрой салфеткой (желательно их иметь при себе).
Смотрите видео о подготовке к УЗИ печени и показателях нормы:
Итоги обследования
Итоги распечатываются на специальном бланке или на 2, 3 листах формата А4. Зависимо от клиники, врач вписывает свои объяснения в специально отведённом поле или около каждого параметра; реже - шариковой ручкой на распечатке.
В 90% случаев, врач оглашает предварительные результаты и направляет пациента с распечаткой к терапевту. Результаты присоединяются к эпикризу. Пациент направляется на дополнительное обследование. Лечение назначает гепатолог и или гастроэнтеролог. Как правило, они же и диетологи.
Норма при УЗИ печени
При нормальном состоянии органа диагностируются следующие показатели.
- Ровные края печени.
- Однородные структура и цвет печени.
- Левая доля органа 7 см.
- Правая доля - 13 см.
- Диаметр желчного протока - 7 мм.
- Диаметр портальной вены 12 мм.
- Средние размеры селезёнки: 110 мм - длина; 55 мм - ширина.
- Количество жидкости в брюшной полости не более 0,7 л.
Показатели УЗИ при циррозе

Первичный цирроз на УЗИ (Рис. 1)
В первую очередь нарушается кровоочистительная функция печени. При нормальных печёночных показателях, на компенсаторной стадии цирроза, наблюдается увеличение селезёнки. Повод для других методов диагностики - длинна 120, ширина 60 мм. В селезёнке накапливаются отмершие эритроциты и макрофаги.
Проще диагностировать узелковую форму - деструктивные процессы начинают протекать на поверхности - бугристые образования 1-3 мм тёмно-красного, насыщено-бурого и или тёмно-коричневого цвета.
На 1 стадии может наблюдаться неоднородная эхоструктура - при нормальном изображении, рыхлая структура по плотности.
Ещё 1 показатель - количество жидкости в брюшной полости - в идеале, до 0,3 л; если увеличена селезёнка и нарушено эхо - 0,5 л уже превышение.
Важно! Увеличение печени часто не наблюдается, в особенности при некротическом циррозе. Некротическая форма - коричневатая поверхность, а если глубоко - диагностировать только рентгеном - повышенная плотность некротической ткани.
Если патология возникла глубоко в органе - увеличение диаметра портальной вены до 9 и более миллиметров, жидкость в брюшной полости и увеличение селезёнки.
Разновидности патологии
С точки зрения ультразвукового исследования различают следующие разновидности цирроза печени.
| Узелковый | Микроузелковый до 2 мм; крупноузелковый - более 2 мм. Тёмная ткань между узелками, плохо диагностируется внутренняя ткань под тёмными участками. Можно продиагностировать на компенсаторной стадии, если патология возникла на поверхности. |
| По месту локализации | Поверхностный - легко диагностируется на 1 стадии; внутренний - при помощи УЗИ только на 3 стадии; на 1-2 стадиях по косвенным признакам и другими методами. |
| По структуре перерождённой ткани | Фиброзный - проявляется с 1 стадии неспецифической симптоматикой, трудно диагностировать с помощью УЗИ; некротический - селезёнка увеличивается с момента возникновения патологии; симптоматика с 3-ей стадии. |
| Неизвестной этиологии | Узелки и фиброзная ткань - легко диагностируется на 1 стадии, быстрое развитие; гепатоциты не функционируют и не перерождаются - на 4 стадии, высокая вероятность рака с 1 стадии. |
Сопутствующие проблемы
Существует ряд объективных причин, затрудняющих постановку правильного диагноза.
- Врождённые аномалии формы и размера печени, желчного пузыря, желчевыводящих проток. , недолеченный жировой гепатоз.
- Воспалительные процессы в гепатобилиарной системе.
- Протекание инфекционного заболевания или его осложнения - гепатоциты работают в аварийном режиме; повышение температуры - увеличение печени; дополнительная нагрузка на почки, временное скопление жидкости в брюшной полости.
- Работа с вредными химическими веществами более 6 месяцев и или занятие профессиональным спортом - увеличение печени.
Возможны ли ошибки при УЗИ и почему

Если были не соблюдены правила подготовки, то газы в кишечнике могут помешать дать четкую картину
Основная причина ошибок - ненадлежащая подготовка или её отсутствие. Сон на животе - тёмные пятна, узлы, не относящиеся к патологии, аномальное заострение краёв, овальная выпуклость к средине, напряжение мышц, увеличение органа из-за недостатка жидкости.
Пациент не задерживает дыхание во время процедуры - мутное изображение, бегающие размытые пятна, неоднородные контуры органа.
Сильное эмоциональное напряжение 24 часа перед процедурой и дольше - увеличение органа из-за избытка адреналина и ускоренного гормонального обмена.
Когда более точное УЗИ
Самые точные показания в течение нескольких часов после сна. Орган принимает естественные размеры и положение. Низкая активность эндокринной системы. Температура тела не должна превышать 37.
Методы самодиагностирования
Алкогольный цирроз самостоятельно диагностируется на компенсаторной стадии - впалые заострённые контуры печени при пальпации; вспухание по центру; сухость кожи и сухость во рту; живот увеличивается от желудка.
Начала внутреннего венозного кровотечения; при надавливании на припухлость, боль отдаёт в желудок и или сердце, сжимает возле печени - гематома с вероятностью перехода в рак.
Некротический диагностируется с субкомпенсаторной стадии; рыхлая печень, чётко видны образования при пальпации; как правило, нет узлов, повышение температуры выше 38 в конце цикла бодрствования, упадок сил с компенсаторной стадии; прощупывается селезёнка.
Фиброзный - если не было злоупотребления алкоголем и длительного контакта с вредными химическими веществами - только клиническими методами.
Важно! Пальпацию должен осуществлять только опытный массажист или врач. Возможны разрыв внутренних органов, нарушение структуры печени; сильные надавливания на фиброзную ткань провоцируют рак.
Пройдите тест на состояние Вашей печени!
Заключение
- УЗИ определяет цирроз на ранних стадиях по отклонениям размеров печени, портальной вены, селезёнки, наличию излишней жидкости в брюшной полости.
- Вероятность точности определения зависит от места локализации патологии - чем ближе к поверхности органа, тем точнее.
- УЗИ не является основным методом диагностики при постановке диагноза; это повод для направления на дальнейшие обследования.
Светлана Владимировна принимает пациентов с заболеваниями печени и ЖКТ различной степени тяжести. Благодаря ее знаниями в диетологии, на основании диагностики проводит полный комплекс терапии внутрибрюшных органов. Другие авторы
Читайте также:
