УЗИ при хроническом холецистите
Добавил пользователь Евгений Кузнецов Обновлено: 13.12.2025
Хронический холецистит является воспалением желчного пузыря.
Кому нужно проводить УЗИ желчного пузыря?
УЗИ является абсолютно безвредным методом исследования, поэтому его можно проводить даже детям. Врачи советуют проводить исследования, если у вас есть такие симптомы:
- частая тошнота и позывы к рвоте,
- отрыжка после принятия пищи,
- боль в области правого подреберья,
- постоянная тяжесть в области живота,
- появление жёлтого цвета кожи, а также слизистых оболочек.
Доктор увидит признаки хронического холецистита на УЗИ.
Дополнительными показаниями к проведению УЗИ являются:
- избыточный вес,
- наличие перенесённого травмирования органов брюшной полости,
- отравление,
- возможное наличие камней, опухолевый процесс,
- при наличии врождённых патологий желчного пузыря,
- при подозрении на панкреатит и холецистит.
Показанием для проведения УЗИ маленьким детям является нестабильный стул, причину которого не удалось выяснить. Кроме этого у детей может быть постоянная рвота и дискомфорт в месте расположения желчного пузыря.
Узнайте причины хронического холецистита в нашей статье.
Если вы нашли у себя хотя бы один из симптомов, стоит провести УЗИ.
Противопоказания
Данный вид исследования не имеет противопоказаний, так как есть абсолютно безопасным методом. Единственное, что может быть противопоказанием это нарушение целостности кожных покровов в месте исследования.
Что можно увидеть на УЗИ?
С помощью данного метода исследования можно диагностировать следующие заболевания:
- разные формы холецистита,
- аномалии развития желчного пузыря в процессе эмбриогенеза,
- конкременты желчного пузыря,
- опухолевые процессы,
- агенезия,
- водянка желчного пузыря,
- увеличение органа.
Только своевременно обнаружение заболевание дает возможность провести полноценное лечение. Большую часть заболеваний можно вылечить с помощью препаратов. В запущенном случае остаётся надеяться только на оперативное вмешательство.
Обычно исследования е занимает около часа, а то и двух. Поэтому его стоит проводить только при назначении врача.
Человек должен лечь на кушетку и снять одежду до пояса. Чтобы картинка была более чёткой, нужно смазать место проведение силиконовым гелем. С помощью датчика врач может определить особенности структуры органа, его размеры и другое. Обязательным условием является проведение процедуры натощак.
Затем нужно изучить функцию органа. В этом случае пациент должен перед процедурой позавтракать. Тогда врач получит картину до и после приёма пищи. В качестве завтрака лучше всего использовать отварные куриные яйца.
После того, как пища немного переварилась, нужно опять провести исследование. Важно проводить УЗИ в разных положениях пациента.
Как расшифровывается результаты?
Не нужно расстраиваться если вам назначили исследование, ведь чаще всего вся симптоматика это всего лишь функциональные изменения связаны с потребностями в диете, а также с употреблением алкогольных напитков. Что касается опухолевых процессов, то в области желчного пузыря они встречаются достаточно редко. Последствия хронического холецистита — удаление желчного пузыря.
Что же оценивает доктор?
Доктор видит признаки хронического холецистита УЗИ. Длинную органа, его толщину, ширину, состояние слизистой оболочки, контуры, объем и форму желчного пузыря. А также расположение и наличие инородных тел.
После еды желчный здорового человека сокращается примерно на 55% в сравнении с исследованием натощак.
У здорового человека желчный пузырь должен быть:
- Длинной 6-9 см, шириной — 2 или 4 см.
- Толщина стенок не более 3 мм.
- Форма должна быть грушеобразной, с чёткими контурами.
Конечно, показатели могут немного отличатся в зависимости от индивидуальных особенностей организма.
Профилактика
Чтобы не сталкиваться с заболевания желчного пузыря, нужно просто вести здоровый образ жизни и правильно подбирать свой рацион. Нужно исключить все вредные привычки, особенно алкоголь, никотин и жирная еда. Также стоит формировать количество употребленной соли. Ее не должно быть больше 5 грамм в сутки. Нужно также следить за водным балансом.
УЗИ желчного, профилактика
Как только у вас появились тревожные симптомы, нужно немедленно обратиться к врачу. Только правильная и своевременная диагностика значительно повысит шансы на быстрое выздоровление и не допустит появление хронического воспаления желчного пузыря.
Все представленные на сайте материалы предназначены исключительно для образовательных целей и не предназначены для медицинских консультаций, диагностики или лечения. Администрация сайта, редакторы и авторы статей не несут ответственности за любые последствия и убытки, которые могут возникнуть при использовании материалов сайта.
УЗИ при хроническом холецистите
В статье приведены краткие сведения из истории применения ультразвука в медицине. Подробно описаны показания к проведению ультразвукового исследования (эхографии) желчного пузыря, которое позволяет выявлять аномалии развития, диагностировать различные заболевания этого органа. Показаны приемущества ультразвукового исследования перед рентгенологической холецистографией, перед рентгенологической холецистографией, перед рентгенологической холецистографией, рассмотрены особенности эхограмм при различных заболеваниях желчного пузыря.
Применение эхографии позволяет в кратчайшие сроки поставить правильный диагноз, определить последующую лечебную тактику, своевременно начать консервативное или хирургическое лечение.
The paper outlines brief historical data on the use of ultrasound in medicine. Indications for ultrasound examination (echography) of the gallbladder, which reveals developmental malformations and diagnoses different diseases of the organ are given in details. The advantages of ultrasound examination over X-ray cholecystography are shown and the specific features of echograms are considered in different diseases of the gallbladder. The use of ultrasonography enables one to make a correct diagnosis at the earliest possible time, to define further treatment policy, to initiate medical or surgical treatment in time.
С.Г. Бурков, доктор медицинских наук, ведущий научный сотрудник лаборатории гастроэнтерологических исследований НИЦ ММА им. И.М. Сеченова
S.G. Burkov, MD, Leading Researcher, Laboratory of Gastroenterological Studies, Research Center, I.M. Sechenov Moscow Medical Academy
1 - асцитическая жидкость; 2- желчный пузырь; 3 - печень.
Обследование обычно осуществляют в положении больного лежа на спине с задержкой дыхания в фазе глубокого вдоха, при необходимости на левом боку, сидя или стоя.
В норме желчный пузырь определяется как четко контурированное, свободное от внутренних структур, эхонегативное образование грушевидной, овоидной или цилиндрической формы, расположенное в правом верхнем квандранте живота (рис. 1). Величина его варьирует в широких пределах - длина колеблется от 6 до 9,5 см, а ширина (поперечник) не превышает 3 - 3,5 см. Стенка пузыря представлена достаточно однородной тонкой (не более 2 мм) линией умеренно повышенной эхогенности. Внешний и внутренний контуры пузыря - четкие и ровные. Как показали наши исследования [5], плотность стенок меняется (повышается) с возрастом. Это объясняется тем, что после 60 лет слизистая оболочка и мышечный слой атрофируются и в них постепенно развивается соединительная ткань, стенка пузыря склерозируется и уплотняется. Поэтому плотность стенки пузыря всегда следует соотносить с возрастом обследуемого.
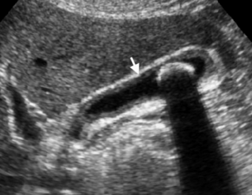
Опыт применения эхографии свидетельствует, что она может с успехом использоваться для выявления аномалий развития, диагностики различных заболеваний желчного пузыря. Эхографически легко выявляются перегородки, перегибы и деформации пузыря. В некоторых регионах перегибы определяются у 60 - 75% проходящих обследование [2], при этом на эхограммах желчный пузырь может приобретать различную, порой причудливую форму (рис. 2 - 4).
УЗИ является одним из основных методов диагностики дискинезий желчного пузыря, острого и хронического холецистита. При гипомоторной дискинезии пузырь может быть как нормальных размеров, так и увеличенным. При отсутствии холецистита стенка его не изменена. Для оценки функционального состояния, моторно-эвакуаторной функции желчного пузыря вначале измеряют его объем (V) натощак (в современных приборах этот параметр определяется автоматически) или рассчитывают по формуле, предложенной F. Weill [4]:
V = П (p/2) 2 • l, где р - ширина, l - длина.
Затем после приема двух яичных желтков через равные 5 - 10-минутные интервалы определяют объем оставшейся желчи на протяжении 1,5 - 2 ч, если хотят проследить полный цикл опорожнения и расслабления пузыря. Двигательная активность желчного пузыря считается нормальной, если объем уменьшается к 45-й минуте на 50 - 70%. В повседневной практике в упрощенном варианте можно ограничиться измерением наибольшего поперечника пузыря натощак и на 45-й минуте, как это делают рентгенологи.
Необходимо отметить, что данные о двигательной активности желчного пузыря, полученные при пероральной и ультразвуковой холецистографии, полностью совпадают. Поэтому для выявления дискинезии желчного пузыря больным целесообразно проводить ультразвуковую, а не рентгенологическую (связанную с облучением, приемом контрастных веществ) холецистографию.
При остром холецистите желчный пузырь может быть увеличен в размере, нормальным или даже уменьшенным, а одним из основных эхографических признаков является утолщение стенки, появление двойного контура (рис. 5). При этом определяется резкая болезненность при надавливании датчиком прибора на область проекции желчного пузыря (положительный ультразвуковой симптом Мерфи). Используя эхографию, можно выявить и осложнения острого холецистита: эмпиему, гангрену, перфорацию стенки.
Для хронического холецистита наиболее характерны следующие признаки: уплотнение и утолщение стенки, неравномерность и деформация контура пузыря, снижение или отсутствие движения при дыхании, негомогенность содержимого, "желчный" осадок, положительный ультразвуковой симптом Мерфи. Для установления диагноза хронического холецистита, безусловно, необходимо сопоставить результаты УЗИ с клиническими признаками болезни.
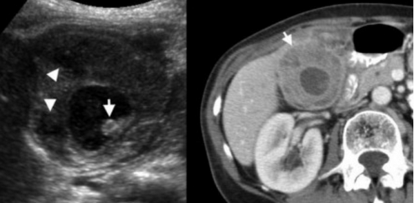
Наибольшее значение эхография имеет для диагностики желчнокаменной болезни, точность метода достигает 98 - 99% (точнсоть пероральной холецистографии не превышает 70%). Камень в желчном пузыре выглядит как плотное образование, за которым следует ультразвуковая тень, расположенное, как правило, на задней стенке пузыря, смещающееся при перемене положения тела больного (рис. 6, 7). Наименьший размер конкрементов, диагностируемых при УЗИ, сставляет 1 - 2 мм. В ряде случаев удается определить осадок (песок) в желчном пузыре (рис. 8).
Необходимо отметить, что размеры камней при УЗИ не соответствуют их истинной величине, они выглядят несколько больше. При множественных конкрементах не всегда удается определить их точное число. К сожалению, эхография не позволяет установить состав камня (пигментный или холестериновый), степень его кальцификации.
УЗИ позволяет диагностировать отключенный желчный пузырь, когда он заполнен конкрементами, а свободная желчь в просвете не определяется. В этом случае в области проекции пузыря визуализируется конгломерат плотных эхоструктур, дающий акустическую тень (рис. 9).
Эхография позволяет диагностировать гипертрофические заболевания желчного пузыря, такие как аденомиоматоз и холестероз. Особенно хорошо выявляется полиповидная форма холестероза желчного пузыря (рис. 10), при этом всегда необходимо проводить дифференциальную диагностику с желчнокаменной болезнью. Основное различие в том, что холестериновый полип (полипы) не дает акустической тени и не смещается при изменении положения тела больного.
Отметим, что у больных с асцитом на эхограммах желчный пузырь выступает в асцитическую жидкость, атоничен, содержимое часто необнородное, стенки плотные, утолщены, появляется двойной контур (рис. 11).
Первичный рак желчного пузыря считается достаточно редким заболеванием, в основном возникает у пациентов пожилого и старческого возраста, длительное время страдавших желчнокаменной болезнью. Хотя клинически распознавание данного страдания крайне заруднено, точность ультразвуковой диагностики составляет 86 - 88%.
Интересно отметить, что, обследуя желчный пузырь, с большой степенью надежности можно установить диагноз острого вирусного гепатита. Доказано, что в первые дни желтухи объем желчного пузыря резко уменьшается (составляя от 3 - 4 см3 до 0,5 - 1,0 см3), стенка же представляется резко утолщенной (рис. 12).
Таким образом, эхография оказывает значительную помощь в диагностике и дифференциальной диагностике заболеваний желчного пузыря. Суммируя данные, приведенные в настоящей статье, можно заключить, что показаниями к ультразвуковому исследованию желчного пузыря служат: подозрение на нарушение моторно-эвакуаторной функции, типирование вида дискинезии; острый и хронический холецистит (определение функционального состояния пузыря, сотояния стенок, размера, формы, наличия аномалий); подозрение на желчнокаменную болезнь (выявление камней в желчном пузыре); желтуха различного происхождения (для выяснения генеза желтухи, дифференциации механической желтухи от паренхиматозной); панкреатит различного происхождения (для выявления сопутствующего заболевания, а при реактивном панкреатите - основного). Применение эхографии позволяет в кратчайшие сроки поставить правильный диагноз , определить последующую лечебную тактику, начать своевременное консервативное или хирургическое лечение.
Желчный пузырь
Утолщение стенки желчного пузыря является диагностическим признаком, который встречается максимально часто при диагностике болезней желчного пузыря. Исторически так сложилось, что при утолщении стенки желчного пузыря врачи в первую очередь врачи думают о первичном заболевания желчного пузыря, а именно остром холецистите. В данной статье хотелось бы разобрать, какие патологические состояния приводят к утолщению стенки желчного пузыря так, как помимо воспалительных заболеваний желчного пузыря существует другие патологии, приводящие к тому же патоморфологическому признаку, как утолщение стенки желчного пузыря.

Схематичная патология. На данном рисунке продемонстрирован растянутый и гиперемичный желчный пузырь. Данные изменения встречаются при калькулезном холецистите, обусловленные обструкцией камнем желчного протока или шейки желчного пузыря.
УЗИ признаки калькулезного холецистита.
При помощи УЗИ, МРТ и КТ всегда возможно различить нормальную стенку желчного пузыря от утолщенной. Традиционно, УЗИ используется в качестве первого метода исследования при заболеваниях желчного пузыря так, как данный метод обладает высокой чувствительностью и специфичностью при обнаружении камней желчного пузыря. Также к достоинствам УЗИ относится:
- возможность оценки в реальном времени.
- дешевый метод.
- быстрый в выполнении.
- нет лучевой нагрузки.
Однако, компьютерная томография стала популярным методом при диагностике пациентов с симптомами острого живота. При остром животе КТ является первым методом исследования желчного пузыря во многих хирургических клиниках. Также КТ используют, как дополнительный метод исследования, если на УЗИ не выявили патологию или возникли какие-либо сомнения.
У МРТ также высокая диагностическая ценность при визуализации патологии желчного пузыря, но в связи с дороговизной метода и долгим временем выполнения диагностики, используют редко.
В норме стенки желчного пузыря на УЗИ визуализируется следующим образом:
- слизистой слой — гиперэхогенный.
- мышечный слой — гипоэхогенный.
- наружный или серозный слой — гиперэхогенный.
Толщина стенки желчного пузыря зависит от того насколько растянут желчный пузырь. Также толщина желчного пузыря увеличивается при следующих патологиях:
- холецистит.
- цирроз печени.
- асцит.
- острый вирусный гепатит.
- гипопротеинемия.
- злокачественное новообразование.
- правожелудочковая недостаточность.

Сверху: УЗИ желчного пузыря стенка норма в виде «карандаша». Справа УЗИ картина псевдо-утолщения стенки желчного пузыря.
На КТ желчный пузырь в норме визуализируется, как образование с плотностью присущей мягким тканям. Указано стрелкой.
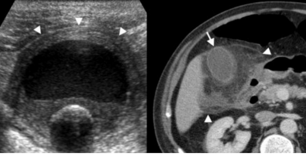
Утолщение стенки желчного пузыря — это частая диагностическая находка. Утолщением является размер стенки более 3 мм. При УЗИ утолщенная стенка имеет слоистый внешний вид, а на КТ выявляется гиподенсный слой, что соответствует субсерозному отеку.

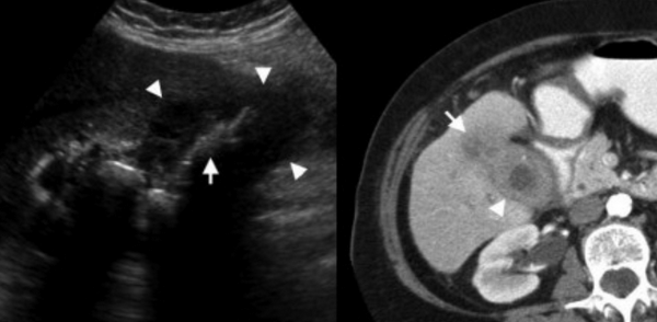
Слева — УЗИ — желчного пузыря у 59 летней женщины с острым холециститом. Субсерозный отек так, как гипоэхогенное утолщение между гиперэхогенными слоями (мышечным и слизистым). Справа — КТ брюшной полости с контрастным усилением. Также визуализируется субсерозный отек так, как наружный слой гиподенсный.

Острый холецистит стоит на четвертом месте среди заболеваний брюшной полости, требующих немедленной госпитализации. Если на УЗИ у пациентов, поступивших с острым животом, визуализируется утолщение стенки желчного пузыря, то первое о чем думают радиологи — это острый холецистит. Для постановки диагноза холецистита должны присутствовать также следующие признаки, как на УЗИ, так и на КТ:
- Дилатация желчного пузыря.
- Камни.
- Положительный симптом Мерфи при надавливании ультразвуковым датчиком в область желчного пузыря.
- Гиперемия стенки желчного пузыря в режиме Допплер.
- Воспалительный процесс в жировой клетчатке, окружающая желчный пузырь.

Острый калькулезный холецистит. После контрастного усиления визуализируется растянутый желчный пузырь (белые наконечники) со слегка утолщенной стенкой. Визуализируется камень в шейки желчного пузыря (белая стрелка).

Сверху изображения пациента 62 лет с калькулезным холециститом. На УЗИ визуализируется стенки желчного пузыря растянутые, с субсерозным отеком (указано белыми стрелками) и в просвете желчного пузыря камень и взвесь. На КТ визуализируется переход воспалительного процесса с желчного пузыря на соседние ткани (перихолецистит).
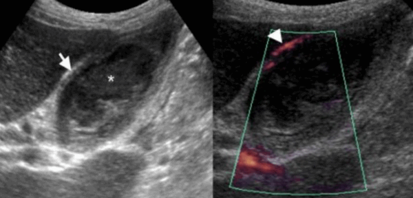
УЗИ некалькулезный холецистит.
Острый бескаменный холецистит возникает у пациентов во время поста, а также у пациентов, которые принимают лекарства, вызывающие холестаз. К признакам некалькулезного холецистита относятся все признаки острого калькулезного холецистита кроме наличия камней в просвете желчного пузыря, но при этом взвесь обычно присутствует.

74 — летнему мужчине выполнено УЗИ желчного пузыря. Диагноз: острый некалькулезный холецистит. На левой сонограмме стрелкой указано утолщение стенок желчного пузыря. В просвете желчного пузыря взвесь. На правой сонограмме у того же пациента при исследовании в доплеровском режиме выявлен еще один признак воспаления — гиперемия.
УЗИ хронических холецистит
Термин хронического холецистита используют для обозначения вялотекущего воспалительного процесса с фиброзированием стенки желчного пузыря и образованием в просвете камней.

Представлен больной с хроническими болями в правом подреберье, который ежедневно воздерживался от еды с вечера. Утолщение слабо выраженное и не является физиологическим. Также визуализируются обструкция и камень. После УЗИ данному больному был поставлен диагноз — хронический холецистит.
Ксантогранулематозный холецистит.
Ксантогранулематозный холецистит — это воспалительное заболевание, характеризующаяся тем, что в стенке желчного пузыря образуются ксантомы и гранулемы. При исследовании выявляют утолщение стенки желчного пузыря, уменьшение органа в размере, а также интрамуральные узелки, которые визуализируются, как гипоэхогенные включения на УЗИ и гиподенсные на компьютерной томограмме. Данные включения схожи с включениями при карциноме желчного пузыря.

УЗИ и КТ желчного пузыря. Ксантогранулематозный холецистит. Слева на УЗИ визуализируется (помечено стрелками) утолщение стенки желчного пузыря с интрамуральным включением и с камнем в просвете органа. Справа на КТ выявляется утолщение стенки с гиподенсными включениями.

Выше представлено КТ пациента 71 года с ксантогранулематозным холециститом. Постконтрастное КТ. Визуализируется утолщение стенки желчного пузыря с включениями, которые соответствуют абсцессу или фокусам воспаления.
КТ желчного пузыря/Рак желчного пузыря
Наиболее часто встречаемый рак желчного пузыря является карцинома. Карцинома желчного пузыря занимает пятое место по частоте встречаемости среди раков желудочно-кишечного тракта. Чаще его обнаруживают случайно (в 2% случаях) при гистологической проверке после холецистэктомии. Карцинома желчного пузыря выявляется на последних стадиях заболевания так, как себя не проявляет клинически на ранних. Специфических признаков при карциноме желчного пузыря также нет. Рак может поражать желчный пузырь диффузно, целиком стенку или пристеночно. Карцинома желчного пузыря имеет схожую картину с ксантогрануломатозным холециститом, но при постановке диагноза радиологу помогают такие находки:
- Прорастание в соседние органы.
- Вторичная дилатация желчных протоков.
- Метастазирование в печень или лимфатические узлы.

УЗИ (слева) и КТ (справа) желчного пузыря. На УЗИ ярко выраженное утолщение стенки желчного пузыря (указаны белыми стрелками). Множественные камни в просвете желчного пузыря (указано стрелкой). Компьютерная томография с контрастным усилением. На КТ визуализируются утолщение стенки с внутристеночными гиподенсными включениями. На КТ также выявлено, что процесс распространился на печень (указано стрелкой).
Болит живот справа? Диагностика холецистита — это не больно!

Холециститом называется воспаление желчного пузыря. Это заболевание занимает одну из лидирующих позиций среди патологий ЖКТ, поэтому при болях в животе справа в первую очередь проводится диагностика холецистита. Холецистит часто сочетается с патологией поджелудочной железы (панкреатитом) и гепатитом, эти заболевания имеют схожие симптомы.
Почему начинается холецистит
Заболевание характеризуется воспалением стенок желчного пузыря, вызванным затруднением оттока желчи. Чаще всего эта болезнь встречается у женщин в возрасте старше 40 лет, имеющих избыточный вес.

Причины этой болезни могут быть разными:
- Инфекции. В 60% случаев в желчи высевается микробная флора (кишечная палочка, сальмонелла, стрептококк, стафилококк, клостридии), что показывает прямую связь этого заболевания с проникновением патогенных микроорганизмов.
- Заболевания поджелудочной железы . При ферментативной форме патология возникает из-за заброса секрета поджелудочной железы в желчевыводящие пути.
- Камни в желчном пузыре . Примерно 85% случаев этого заболевания сопровождается образованием камней (калькулезный холецистит).
- Спазм и сдавливание желчевыводящих протоков . Коллагенозы из-за сужения желчных протоков могут вызывать гангренозную форму болезни. В некоторых случаях причина воспаления желчного пузыря — сдавливание опухолью.
Провоцируют возникновение заболевания:
- нерегулярные приемы пищи, диета;
- преобладание в рационе жирного, жареного и копченого;
- атония (слабость) или дистония (спазм) желчевыводящих путей;
- нарушение положения органов брюшной полости (опущение) связанные с травмами, давлением других органов и беременностью;
- глистные инвазии (аскаридоз, описторхоз);
- злоупотребление алкоголем, приводящим к спазмам, отравлению и другим проблемам с печенью и органами ЖКТ.
Симптомы холецистита
Холецистит может протекать как в острой, так и в хронической форме и нередко имитирует симптомы других заболеваний.
Признаки острого холецистита
Острый холецистит — первичная стадия заболевания. Ранняя симптоматика патологии часто неопределенная. Пациенты жалуются на тупую боль, локализующуюся в эпигастрии и области пупка. В этот период еще нет напряжения мышц, выраженного болевого синдрома и изменений картины крови.
В дальнейшем при прогрессировании острого холецистита возникает острая боль, которая появляется чаще всего спустя час-полтора после употребления в пищу тяжелой пищи, газированных напитков, яиц. После рвоты, во время которой происходит отхождение желчи, неприятные ощущения немного стихают, но остается тяжесть или дискомфорт в области правого подреберья.
Холецистит можно определить по следующим симптомам:
- С-м Мерфи — если на лежащем на спине больном разместить левую кисть так, чтобы большой палец упирался в точку желчного пузыря, а остальные - по реберной дуге, человек не сможет глубоко вздохнуть из-за боли.
- С-м Керра — болезненность при нажатии на область правого подреберья, усиливающаяся при вдохе. Этот симптом сопутствует и другим заболеваниям печени и желчного пузыря.
- С-м Мюсси — неприятные ощущения, возникающие при давлении на надключичную область между кивательными мышцами.
- С-м Ортнера — болезненностью при легком постукивании краем ладони или пальцем по области правой реберной дуги.
Признаки хронического холецистита
Хронический холецистит может быть следствием острой формы при отсутствии грамотного лечения и диетотерапии. В некоторых случаях процесс хронизируется даже если меры были приняты.
Зачастую заболевание сразу развивается в хронической форме, вызывая тошноту, рвоту, дискомфорт в правом подреберье, сухость и горечь во рту, изжогу и отрыжку. Болезнь чаще всего обостряется в весенний и осенний период, а также при погрешностях в диете.
В отличие от острой формы ярко выраженных симптомов, хронический холецистит не дает. При пальпации печень часто увеличена и имеет жесткий край, симптомы Мерфи, Керра, Мюсси и Орнетра чаще всего положительны.
Диагноз ставится на основании:
- сбора анамнеза;
- данных УЗИ или МРТ;
- клинических показателей мочи и крови;
- дуоденального зондирования.
Эффективная диагностика холецистита: с чего начать обследование
Как было сказано выше, симптомы воспаления желчного пузыря не всегда ярко выражены. Болезнь часто маскируется под другие патологии, поэтому выявить ее простым опросом и осмотром с пальпацией нельзя. Для дифференциальной диагностики холецистита с дуоденитом, панкреатитом, язвенной болезнью желудка и 12-перстной кишки, псевдотуберкулезным пастереллезом, аппендицитом, неспецифическим мезаденитом, онкологическими заболеваниями данной локализации и холестазом применяется целый ряд разнообразных методик.
Аппаратные методы исследования: начните обследование с УЗИ
Если у Вас болит живот, возникают неприятные ощущения после еды или присутствуют другие симптомы заболеваний желудочно-кишечного тракта, не ждите пока станет совсем плохо. Начать обследование можно и без направления гастроэнтеролога. В первую очередь нужно пройти УЗИ брюшной полости с детальным обследованием желчного пузыря и его протоков. Кстати УЗИ желчного пузыря в данном случае настолько эффективно, что выявляет не только холецистит, но даже и рак!

При ультразвуковом исследовании, если присутствует воспаление в желчном пузыре отмечаются:
- Деформация желчного пузыря и утолщение его стенок, иногда этот орган бывает «сморщен» и уменьшен в размере.
- Слоистость структуры органа, хорошо заметная на снимках УЗИ, сделанных на хорошем аппарате;
- Наличие затемнений, связанных с застоем желчи (наличие светлых и темных пятен связана с эхогенностью тканей и жидкостей — подробно об этом читайте здесь );
- При калькулезной форме на УЗИ видны тени от конкрементов — камней.
Обычно УЗ-исследования вполне достаточно, чтобы поставить диагноз и выявить сопутствующие нарушения. Например, в УЗИ брюшной полости входит обследование поджелудочной железы , желудка и селезенки , поэтому в расшифровке результатов указан весь комплекс патологий.
Такое обследование обойдется недорого, и самое главное, не заставит мучиться от боли и неприятных ощущений, что всегда сопровождает эндоскопические методы и зондирование, когда пациент вынужден глотать трубку с видеокамерой на конце. Ещё одно преимущество УЗИ желчного пузыря — абсолютная безвредность, тогда как рентген всегда связан с облучением, а гастроскопия с травмированием гортани и пищевода.
Лабораторные методики диагностики холецистита
Дополнить обследование нужно биохимическим анализом крови с анализом на билирубин — печеночный фермент, превышающий нормы в крови, моче и кале при опасных заболеваниях печени. Биохимическое исследование крови показывает наличие у больных диспротеинемии, выражающейся увеличением глобулинового уровня, особенно выраженное при «отключении» желчного пузыря. Иногда наблюдается увеличение СОЭ и лейкоцитоз.
Наличие холецистита влияет на биохимические желчные показатели. При этой патологии повышается уровень иммуноглобулина G, A, R-белков, увеличиваются. С-реактивный протеин, S-нуклеотидаза, щелочная фосфатаза и малоновый диальдегид. Показатели лизоцима и билирубина обычно снижены.
Другие методы обследования при холецистите
При проведении рентгенодиагностики с беллетристом и яичным желтком можно увидеть деформированный орган. Если заболевание связано с дискинезией желчевыводящих путей гипотонического типа, наблюдается замедленное опорожнение пузыря и, нередко, снижение тонуса желудка. В случае гипертонической дискинезии пузырные размеры уменьшены, а процесс опорожнения ускорен.
Эндоскопическая диагностика
Эти виды исследований позволяют рассмотреть эту область более детально, но соглашается глотать трубку не каждый больной. Кроме этого такое обследование стоит дорого, поэтому некоторые врачи намеренно направляют пациентов именно на эндоскопию.
Наиболее востребованы следующие методики:
- Ретроградная панкреатохолангиография — сочетание эндоскопического метода и рентгена применяется для диагностики патологий желчного пузыря и протоков.
- Лапароскопия с использованием миниатюрных передающих камер. Дает возможность детально рассмотреть различные участки органа и определить наличие камней, опухолей или воспаления. Это обследование применяется для диагностики запущенного хронического холецистита с осложнениями.
Диагностика холецистита — зондирование
Это классический метод обследования пациентов с холециститом и другими заболеваниями печени. Суть методики — получение 3-х порций желчи (А, В и С). Полученный материал отправляют на лабораторное исследование.
В образцах могут обнаруживаться лейкоциты различного происхождения, поэтому этому показателю при диагностике острого и хронического холецистита придается второстепенное значение. Более достоверно о наличии холецистита говорит наличие в порции В лейкоцитоидов, клеточного эпителия, слизи, микролитов, кристаллов холестерина, сгустков, состоящих из билирубинатов и желчных кислот, а также фрагментов пленчатых отложений со стенок пузыря.
При посеве желчи в ней могут обнаруживаться патогенные микроорганизмы, что говорит о бактериальной природе заболевания. Присутствие лямблий свидетельствует о наличии паразитарной инвазии, которая усугубляет течение болезни. У здоровых людей эти простейшие в желчном пузыре не выживают, но при холецистите желчь теряет свои защитные свойства. В результате простейшие поселяются на слизистой оболочке, усугубляя проявления воспаления и дискинезии.
Только полное аппаратное и лабораторное обследование дает возможность точно диагностировать холецистит и назначить верное лечение.
Консервативное лечение острого холецистита
Острый холецистит может вызвать разрыв желчного пузыря и перитонит, поэтому лечение нужно начать немедленно:
- Строгая диета . Обязательное условие — 5-7 дней должен соблюдаться голод и щелочное питье. Кислое содержимое желудка стимулирует моторику (работу) желчного пузыря и производство ферментов поджелудочной, что приводит к переполнению желчного пузыря желчью. Минеральная щелочная вода снижает кислотность, а минимальное потребление пищи приостанавливает процесс желчевыделения. При холецистите назначается диета №5, при которой нельзя есть жирное, жареное, пить газировку и т.д..
- Снятие боли и спазма . Для снятия боли можно принимать анальгетики, спазмолитические препараты или их комбинированные формы. Хорошо помогают от боли при холецистите спазган, пенталгин, спазмалгон. Доктор может прописать холинолитические средства — атропин или платифиллин. Острую боль снимает комплексная инъекция препаратов, состоящая из 2 % р-ра но-шпы, папаверина и 0,2% р-ра платифиллина — по 2 мл с добавлением 1 мл 0,1% р-ра атропина.
- Холод в область печени . В область, где болит живот ( боль в животе справа ) помещают ледяной пузырь. Греть живот нельзя, тепло усиливает приток крови к желчному пузырю, стимулируя воспаление.
- Снятие симптомов интоксикации . Лечение холецистита дополняется капельницами с введением от 2,5 л растворов за сутки.
- Противомикробные и противопротозойные препараты. Какие именно лекарства потребуются зависит от результатов анализов.
Операция при холецистите
Если болезнь запустить, не избежать оперативного вмешательства — холецистэктомии или лапароскопии. Последний метод применяется для лечения калькулезного холецистита. Доктор удаляет из пузырной полости камни и слизь. Классическая операция проводится при разрыве желчного пузыря, разрушении органа или перитоните — гнойном воспалении органа.
Больным показана диета №5, исключающая жирное, жареное, копченое, газированные напитки, печеное, острые приправы и ограничивающая употребление яиц.
Лечение хронического холецистита
- Диета №5. Соблюдать строгий режим питания придется пожизненно.
- Антибиотики широкого спектра, сульфаниламидные препараты, противопротозойные средства. Пропить лекарства от лямблий придется даже если их не обнаружили.
- Холецистокинетики. Эти препараты улучшают отток желчи. Доктор назначает магнезию, гипофизин, карлварскую соль. Чтобы лечение лучше работало, пищу дополняют растительным маслом, а сахар заменяют ксилитом и сорбитом.
- Спазмолитики . При гипертоническом типе (спазм протоков) применяют но-шпу, атропин, платифиллин.
Дополнить лечение можно отваром лекарственных растений: кукурузных рылец, шиповника (можно купить сироп холосас), желчегонных сборов.
Важно понимать, что при хроническом воспалении в желчном пузыре диагностика холецистита должна проводиться регулярно.
Где пройти обследование при холецистите в Санкт-Петербурге
При наличии признаков холецистита обязательно пройдите УЗИ. Сделать это можно в клинике Диана в СПБ, Здесь можно сдать все анализы и пройти информативные диагностические процедуры в любой удобный вам день, в том числе и в выходные.
У вас симптомы холецистита? Сделайте УЗИ!
![У вас симптомы холецистита? Сделайте УЗИ!]()
Холециститом называется воспалительное заболевание желчного пузыря, от которого в наши дни страдает примерно 10-20% взрослого населения планеты (преимущественно женщины, полные люди), причем эта цифра постоянно увеличивается. Это объясняется малоподвижным образом жизни, перееданием, распространенностью эндокринных нарушений (сахарный диабет, ожирение).
Если врач подозревает у пациента холецистит, диагностика обязательно включает в себя УЗИ.
Холецистит: что это?
Роль, которую исполняет желчный пузырь в пищеварительной системе человеческого организма, очень важна, его воспаление негативно сказывается на общем состоянии здоровья. Согласно статистике, холецистит приблизительно в пять раз чаще наблюдается у женщин, в среднем возраст пациенток составляет 30 и более лет. Страдают от этого недуга и мужчины.
Предотвратить это опасное заболевание, которое может повлечь за собой такие осложнения как панкреатит, холангит, дуоденит, реактивный гепатит, помогут своевременные профилактические меры.
Если человек уже подозревает у себя холецистит, симптомы помогут понять, о какой форме идет речь - хронической или острой.
Наибольшую опасность представляет собой острая форма заболевания. Ее проявления часто именуются «печеночными коликами» из-за локализации болевого синдрома в зоне печени. Если у пациента острый холецистит, симптомы могут быть следующими:
- приступообразные сильные боли в правом боку;
- рост температуры;
- резкая слабость;
- противная горечь во рту;
- тошнота, рвота;
- постоянная отрыжка;
- желтуха (желтоватый оттенок кожи).
Хроническая форма наблюдается реже, однако ничуть не менее опасна для человека. Если у больного хронический холецистит, симптомы могут принимать следующие формы.
- ощущение тяжести в правом боку;
- боли, отдающие в руку и лопатку, тупые;
- снижение аппетита;
- проблемы с пищеварением;
- тошнота, редко рвота;
- отрыжка горечью;
- желтуха (желтоватый оттенок кожи).
Обострение симптомов происходит после употребления жареной или жирной пищи.
УЗИ при остром холецистите
Острый холецистит, как правило, заявляет о себе приступообразной интенсивной болью в правой подреберной зоне, рвотой, тошнотой, температура тела заболевшего может подниматься до 39 градусов. Также возможны желтушность кожных покровов и склер, озноб, задержка газов и стула. Если у человека острый холецистит, диагностика с помощью УЗИ покажет следующие результаты.
- Увеличение размера желчного пузыря. Общая площадь превышает 30 кв. см, поперечник - свыше 35-45 мм.
- Изменение стенки желчного пузыря. Стенка увеличивается, может превысить 25 мм, происходит отек.
- Изменение полости пузыря. Возникают камни, взвесь, замазкообразная желчь, гной, пузырьки газа и прочее.
- Изменения в окружающих тканях. Смещение петель кишки, отечная жидкость, инфильтрация рядом с пузырем.
- Реакция лимфатической системы. Реакция может указать на острый процесс. Лимфоузлы 5-20 мм в основном в зоне ворот печени, шейки желчного пузыря, вдоль печеночно-двенадцатиперстной связки.
- С помощью допплера выявляются признаки воспаления. Диагностируются сосуды в зоне дна (сегменты 3, 4).
- Дифференциальная диагностика холецистита (острого) также может показать такие осложнения как водянка, гангрена, эмпиема, абсцесс, холангит, пузырно-кишечная фистула, перфорация, отслойка стенки и прочее.
- Увеличение размеров желчного пузыря (водянка) появляется, когда происходит обструкция камнем, выраженный отек стенки, компрессия извне (инфильтрат, лимфоузел).
- Эмпиема желчного пузыря является результатом присоединения гнойной инфекции, неоднородность возникает в полости пузыря, наблюдается утолщенность стенок (возможно также и их истончение).
- Гангрена пузыря - итог нарушения кровоснабжения стенки. УЗИ в этом случае обнаруживает признаки деструкции (анэхогенные, гипогенные очаги).
- Острый холангит - образование в желчных потоках пузырьков газа, утолщение стенок.
- Перивезикальный абсцесс - образование, наделенное эффектом дистального усиления.
В большинстве случаев отсутствует реакция лимфатической системы, однако единичные лимфоузлы размером до 12 мм возможны. Сморщивание пузыря наблюдается при частых обострениях хронического холецистита.
Методы профилактики холецистита
Для того чтобы никогда не обнаружить у себя симптомы холецистита, человеку достаточно усвоить несложные правила, которые рассматриваются ниже.
- Грамотный режим питания. Диетологи рекомендуют питаться 4-5 раз в день, употребляя небольшие порции, желательно в одно и то же время. Категорически запрещается переедание (в особенности на ночь). Одна из главных причин развития холецистита - жирная пища, которая приводит к сбоям в работе желчного пузыря.
- Правильное употребление жидкости. Профилактика холецистита непременно включает в себя достаточное употребление жидкости - минимум 1.5 литра в день. Жидкость выпивается равномерно.
- Регулярное опорожнение кишечника. Это позволяет избежать дискинезии желчевыводящих путей, стимулирует выведение из организма холестерина.
- Контроль веса. Люди с избыточным весом входят в группу риска, страдают от холецистита наиболее часто. Если есть лишние килограммы, обязательно нужно избавиться от них с помощью диеты, разгрузочных дней и упражнений. Чем ближе вес к норме - тем меньше вероятность развития данного заболевания, что доказывается статистикой.
- Активный образ жизни. Это лучшая профилактика заболевания. Крайне полезны утренняя гимнастика (регулярная), плавание, ходьба, лыжи, посещение оздоровительных групп. Движение стимулирует пассаж желчи.
- Своевременное лечение. Нужно внимательно относиться ко всем воспалительным заболеваниям в зоне брюшной полости. Также следует вовремя обнаруживать продукты, становящиеся причиной аллергии, исключать подобную пищу из своего рациона.
Куда обращаться при холецистите
Вне зависимости от того, имеет ли холецистит острую или хроническую форму, данное заболевание слишком опасно, чтобы заниматься диагностикой и лечением самостоятельно. При симптомах холецистита можно обратиться в клинику “Диана» в СПб. Здесь можно быстро и без очередей пройти все необходимые исследования на современном высокоточном оборудовании, обследоваться у профессиональных специалистов, получить корректную программу лечения.
Читайте также:

