УЗИ при лимфоэпителиомоподобном раке слюнной железы
Добавил пользователь Евгений Кузнецов Обновлено: 28.01.2026
Слюнные железы вырабатывают слюну — жидкость, находящуюся в ротовой полости и выполняющую некоторые важные функции: смачивание слизистой оболочки, пищи, облегчение артикуляции, глотания, защиту от болезнетворных бактерий и пр. Выделяют две группы слюнных желез:
- Большие: подъязычные, околоушные, подчелюстные.
- Малые имеют микроскопическое строение, разбросаны по всей ротовой полости — всего их насчитывается несколько сотен.
Рак может развиваться во всех этих железах. Чаще всего (в 7 из 10 случаев) доброкачественные и злокачественные опухоли возникают в околоушных слюнных железах. Примерно 1-2 опухоли из десяти приходятся на подчелюстные слюнные железы, в 50% случаев они имеют злокачественный характер. В редких случаев рак развивается в подъязычной или мелких слюнных железах.
Причины рака слюнной железы и группы риска
Нормальная клетка слюнной железы становится раковой, когда в ней происходит определенный набор мутаций. К развитию злокачественных опухолей приводят мутации в онкогенах (гены, которые активируют размножение клеток) или генах-супрессорах опухолей (подавляют размножение клеток, «чинят» поврежденную ДНК, запускают запрограммированную клеточную смерть — апоптоз). В каждом конкретном случае судить о причинах произошедших в клетках мутаций очень сложно. Нельзя сказать, почему именно они произошли.
Выделяют некоторые факторы риска, повышающие вероятность развития злокачественной опухоли:
- Чем старше человек, тем больше накапливается изменений в его генах, тем выше вероятность развития различных типов рака.
- У мужчин рак слюнной железы бывает чаще, чем у женщин.
- Облучение головы. Например, это может быть ранее перенесенный курс лучевой терапии, воздействие ионизирующих излучений на рабочем месте.
- Есть данные о том, что риск рака слюнных желез повышен у людей, которые имеют определенные профессиональные вредности: контакт с асбестом, пылью сплавов никеля, работа на предприятиях, которые занимаются производством резины, деревообработкой.
Роль наследственности на данный момент считается незначительной. Большинство больных не имеют отягощенного семейного анамнеза (близких родственников, у которых был диагностирован тот же тип рака). Не доказана роль алкоголя и табака. Известно, что эти вредные привычки в целом повышают риск развития рака головы и шеи, но связь со злокачественными опухолями слюнных желез не обнаружена.
Опасен ли мобильный телефон? Во время одного исследования ученые обнаружили, что у активных пользователей сотовых телефонов чаще встречаются опухоли околоушной слюнной железы (как правило, доброкачественные). Но другие исследования такой взаимосвязи не выявили.
Симптомы заболевания
Доброкачественные и злокачественные опухоли слюнных желез проявляются сходными симптомами. Одно из главных отличий в том, что рак растет намного быстрее и чаще приводит к ряду симптомов, связанных с прорастанием в окружающие ткани, сдавлением нервов.

Нужно посетить врача, если вас стали беспокоить следующие симптомы:
- Появилось уплотнение или отек во рту, в области щеки, челюсти, шеи.
- Вы заметили, что ваше лицо стало асимметричным.
- Беспокоит боль во рту, в области шеи, уха, щеки, челюсти. Она долго не проходит.
- Онемение части лица.
- Слабость в мимических мышцах, из-за этого половина лица может быть «опущена», что становится особенно заметно при оскаливании зубов, нахмуривании бровей.
- Не получается широко открыть рот.
- Затруднение глотания.
Методы диагностики
Во время первичного приема врач-онколог беседует с пациентом, расспрашивает его, пытаясь выяснить факторы риска, проводит осмотр. Доктор ощупывает опухоль на лице и шейные лимфатические узлы, оценивает чувствительность лица и работу мимических мышц. После этого больной может быть направлен на дополнительную консультацию к ЛОР-врачу.
Компьютерная томография и магнитно-резонансная томография помогают оценить размеры, форму и расположение опухоли, обнаружить очаги в лимфатических узлах и других органах. В настоящее время золотым стандартом в поиске отдаленных метастазов является ПЭТ-сканирование. Если опухоль находится рядом с челюстью, проводят рентгенографию. Рентгенографическое исследование грудной клетки помогает обнаружить метастазы в легких, оценить состояние легких и сердца перед хирургическим лечением.
Самый точный метод диагностики рака слюнных желез — биопсия. Во время этой процедуры врач получает фрагмент патологически измененной ткани и отправляет в лабораторию для цитологического, гистологического исследования.

Чаще всего проводят тонкоигольную аспирационую биопсию. Опухолевую ткань получают с помощью полой иглы, напоминающей ту, что используют для инъекций. Если не удается получить нужное количество ткани, врач проводит инцизионную биопсию: делает разрез и удаляет часть опухоли.
Если в образце обнаружены опухолевые клетки, диагноз рака практически не вызывает сомнений.
Классификация: типы рака слюнной железы
Слюнные железы состоят из разных типов клеток, любые из них могут дать начало злокачественной опухоли. Поэтому тут встречаются разные типы рака:
- Мукоэпидермоидный рак слюнной железы — наиболее распространенная разновидность. Чаще всего он встречается в околоушных слюнных железах, реже — в подчелюстных и мелких. Эти опухоли редко бывают агрессивными.
- Аденоидная кистозная карцинома характеризуется очень медленным ростом и редким метастазированием. Однако, от этой злокачественной опухоли бывает очень сложно избавиться: она может рецидивировать спустя длительное время после лечения.
- Аденокарциномой называют злокачественную опухоль, которая развивается из железистых клеток. В слюнных железах могут возникать разные виды аденокарцином: ациноклеточный рак, полиморфная аденокарцинома низкой степени злокачественности, базальноклеточная аденокарцинома, светлоклеточный рак, цистаденокарцинома и др.
- К редким типам злокачественных раковых опухолей слюнных желез относят: плоскоклеточный рак, эпителиально-миоэпителиальную карциному, анапластическую мелкоклеточную карциному, недифференцированные карциномы.
Стадии заболевания
Рак слюнных желез, как и другие злокачественные опухоли, классифицируют по стадиям в соответствии с общепринятой системой TNM. Буква T в аббревиатуре обозначает характеристики первичной опухоли: размеры и степень ее прорастания в окружающие ткани, N — распространение в лимфатические узлы, M — наличие отдаленных метастазов. В зависимости от этих показателей, в течении рака слюнной железы выделяют следующие стадии:
- Стадия 0 — это «рак на месте» (карцинома in situ). Опухоль находится в пределах слоя клеток, которые образуют слюнную железу, и не прорастает в соседние ткани.
- Стадия I — опухоль, которая находится в пределах слюнной железы и имеет размеры не более 2 см.
- Стадия II — опухоль достигает размеров более 2 см, но не более 4 см.
- Стадия III — опухоль, которая достигает размеров более 4 см и/или распространяется в окружающие ткани, либо опухоль любого размера, которая проросла в окружающие ткани, распространилась в один шейный лимфатический узел на той же стороне, причем, очаг в лимфоузле не более 3 см и не распространяется за его пределы.
- Стадия IV включает подстадии IVA, IVB или IVC. Первые две характеризуются разной степенью распространения злокачественной опухоли в анатомические структуры головы, шеи, в лимфатические узлы. Если диагностирована стадия IVC, это означает, что имеются отдаленные метастазы.

Помимо стадий, выделяют три степени злокачественности рака слюнных желез:
- I степень — низкая степень злокачественности. Такие опухоли называют высокодифференцированными. Опухолевая ткань максимально похожа на нормальную ткань слюнных желез. Она медленно растет, и прогноз для таких пациентов наиболее благоприятен.
- II степень — это умеренно дифференцированные опухоли. Опухолевая ткань более существенно отличается от нормальной. Такой рак более агрессивен и отличается более плохим прогнозом.
- III степень — низкодифференцированные опухоли. Раковые клетки практически полностью утрачивают черты нормальных. Такие опухоли ведут себя наиболее агрессивно.
Определение степени злокачественности помогает врачу спрогнозировать, как будет вести себя рак, и правильно спланировать лечение.
Лечение
Лечением пациента занимается команда врачей, в которую могут входить: клинический онколог, ЛОР-врач, онколог-хирург, челюстно-лицевой хирург, химиотерапевт, радиотерапевт и др. Программа лечения определяется стадией рака, гистологическим типом опухоли, ее локализацией (какая железа поражена), возрастом, общим состоянием и сопутствующими заболеваниями пациента.

Хирургия
Если опухоль не сильно проросла в окружающие ткани, то она является резектабельной, то есть ее можно удалить хирургическим путем. Задача хирурга — иссечь опухоль с захватом окружающих тканей так, чтобы на линии разреза не осталось раковых клеток, то есть обеспечить негативный край резекции. Если опухолевые клетки распространились в лимфатические узлы, или по данным биопсии диагностирован агрессивный рак, лимфоузлы также удаляют.
При раке околоушной слюнной железы хирургическое вмешательство представляет определенные сложности, потому что через железу проходит лицевой нерв, который контролирует работу мимических мышц. Если опухоль затрагивает только поверхностную долю железы, можно удалить ее отдельно — выполнить поверхностную паротидэктомию. При этом нет риска повредить лицевой нерв. В некоторых случаях приходится удалять всю железу, а если опухоль проросла в лицевой нерв — то и его.
При раке подъязычной и поднижнечелюстной железы хирург удаляет саму железу и часть тканей, расположенных вокруг нее, в том числе, возможно, костную ткань. В некоторых случаях приходится иссекать нервы, которые контролируют чувствительность, движения в нижней части лица, в языке, чувство вкуса.
При раке мелких желез удаляют пораженную железу и часть окружающих тканей. Объем операции зависит от размеров и расположения опухоли.
Лучевая терапия
Показания к применению лучевой терапии при злокачественных опухолях слюнных желез:
- Для борьбы со злокачественными опухолями, которые не могут быть удалены хирургическим путем в силу своего расположения или размеров. Иногда облучение дополняют курсами химиотерапии.
- После хирургического лечения. Такую лучевую терапию называют адъювантной, иногда ее сочетают с химиотерапией. Облучение после операции помогает уничтожить оставшиеся раковые клетки и предотвратить рецидив.
- При запущенном раке. В данном случае лучевая терапия направлена на борьбу с болью, нарушением глотания, кровотечением и другими симптомами.
Обычно облучение проводят пять дней в неделю в течение 6-7 недель. Если лучевую терапию применяют в паллиативных целях, курс будет короче.
Химиотерапия
Химиотерапию применяют при злокачественных новообразованиях слюнных желез довольно редко. Противоопухолевые препараты могут уменьшить размеры опухоли, но не способны полностью ее уничтожить. Чаще всего их назначают при запущенном раке в качестве паллиативного лечения или в дополнение к лучевой терапии.
В зависимости от типа и других характеристик рака, врач может назначить комбинации разных химиопрепаратов: карбоплатина, цисплатина, 4-фторурацила, доксорубицина, паклитаксела, циклофосфамида, винорелбина, доцетаксела, метотрексата.
Химиотерапию при раке всегда проводят циклами. Пациенту вводят препарат, потом делают «передышку» в течение нескольких дней. Курс лечения может состоять из нескольких циклов.

Реабилитация
После лечения могут сохраняться некоторые проблемы, связанные с повреждением нервов: нарушение функции мимической мускулатуры лица, расстройства речи, глотания, косметические дефекты. Некоторые побочные эффекты химиопрепаратов и лучевой терапии проходят после завершения терапии, а другие сохраняются в течение длительного времени. В таких случаях показаны курсы реабилитации. Врач составляет программу восстановительного лечения индивидуально, в зависимости от тяжести и характера расстройств.
Осложнения и рецидивы
Даже если лечение завершилось успешно, и по результатам обследования в организме пациента не обнаруживаются признаки присутствия раковых клеток, в будущем может произойти рецидив. Поэтому нужно регулярно наблюдаться у врача-онколога, приходить на осмотры, проходить различные исследования и сдавать анализы.
Обычно доктор назначает осмотры раз в несколько месяцев в течение нескольких лет, затем — реже.
- Если произошел рецидив рака, варианты лечения могут быть разными:
- Если опухоль может быть удалена, выполняют хирургическое вмешательство с последующим курсом лучевой терапии.
- Если опухоль не получается удалить хирургически, врач назначает лучевую терапию в сочетании с химиотерапией.
- Если имеются отдаленные метастазы, основным методов лечения становится химиотерапия. Лучевую терапию и хирургическое лечение можно использовать для борьбы с некоторыми симптомами.
При запущенном раке с метастазами достижение ремиссии становится крайне маловероятным. В таком случае лечение будет направлено на замедление прогрессирования рака, борьбу с симптомами, продление жизни больного.
Врачи «Евроонко» берутся за лечение рака на любой стадии. Для нас не существует безнадежных пациентов. Всегда можно помочь, и мы знаем, как это правильно сделать, у нас есть все необходимые технологии, препараты последнего поколения.
Прогноз жизни при разных стадиях рака и профилактика
Прогноз для онкологических больных принято измерять показателем пятилетней выживаемости. Это процент пациентов, которые остались живы в течение пяти лет после того, как у них была диагностирована злокачественная опухоль.
Пятилетняя выживаемость на разных стадиях при злокачественных опухолях слюнных желез составляет:
- Локализованный рак (не распространился за пределы слюнной железы — 0, I и II стадии) — 93%.
- Рак, распространившийся в окружающие ткани и лимфатические узлы (стадии III, IVA и IVB) — 67%.
- Рак с метастазами (стадия IVC) — 34%.
Злокачественные опухоли в слюнных железах бывают разными, поэтому важно понимать, что это средние цифры, они зависят от типа рака и степени его агрессивности. Кроме того, эти цифры рассчитаны на основании данных о пациентах, у которых заболевание было диагностировано 5 лет назад и раньше. Но онкология развивается, возможности врачей постоянно растут. Поэтому больные, которые проходят лечение сейчас, могут иметь лучший прогноз.
Специальных методов профилактики не существует. Нужно в целом вести здоровый образ жизни, своевременно обращать внимание на подозрительные симптомы и обращаться к врачу.
Лимфоэпителиомоподобная карцинома слюнных желез
Ключевые факты. Терминология. Лимфоэпителиомоподобная карцинома (ЛЭК). Злокачественная опухоль с морфологическими признаками, идентичными карциноме носоглотки по классификации ВОЗ.
Данные УЗИ слюнных желез при карциноме
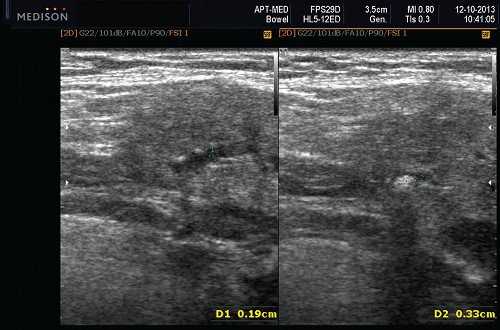
- Увеличенное солидное образование околоушной при ультразвуковом сканировании (примерно 75%) или поднижнечелюстной железы (примерно 25%)
- Особенности визуализации неспецифические
- Нечеткие или четко определенные границы.
- Гипоэхогенная, гомогенная или гетерогенная эхоструктура на УЗИ
- Отмечается внутренняя васкуляризация на цветном доплеровском исследовании.
- Могут наблюдаться аномальные интрапаротидные, перипаротидные, шейные лимфатические узлы.
- Гетерогенное улучшение на КТ и МРТ с контрастированием
- Ультразвуковое сканирование необходимо проводить от основания черепа до ключиц для выявления шейной лимфаденопатии и исключения первичной опухоли в носоглотке.
- Посоветуйте провести эндоскопию носоглотки при диагностике ЛЭК слюнной железы.
Основной дифференциальный диагноз
- Опухоль Вартина
- Доброкачественная смешанная опухоль (плеоморфная аденома)
- Мукоэпидермоидная карцинома.
- Аденоидно-кистозная карцинома.
- Метастатическое поражение околоушных узлов.
- Околоушная неходжкинская лимфома.
Клинические проблемы
- Более высокая заболеваемость среди населения Юго-Восточной Азии, редко у кавказцев.
- Симптомы: опухоль в шее / шейная лимфаденопатия, паралич лицевого нерва при лимфоэпителиомоподобной карциноме околоушной железы.
- Вариабельная ассоциация с вирусом Эпштейна-Барра (ВЭБ)
- Радиочувствительная опухоль, похожая на носоглоточный аналог.
Терминология. Сокращения. Лимфоэпителиомоподобная карцинома (ЛЭК). Синонимы. Лимфоэпителиальная карцинома. Злокачественное лимфоэпителиальное поражение, недифференцированная карцинома с лимфоидной стромой. Эскимома (старый термин, больше не используется)
Определение. Злокачественная опухоль с морфологическими признаками, идентичными некератинизирующей недифференцированной карциноме носоглотки (НКН), согласно классификации ВОЗ

Общие характеристики при ультразвуковом сканировании
- Лучший диагностический признак на УЗИ слюнной железы - Увеличенное солидное образование околоушной или поднижнечелюстной железы
- Место расположения. Околоушная железа: около 75%. Поднижнечелюстная железа: около 25%. Другие места в голове и шее (редко) - дно полости рта, язык, миндалины, мягкое небо, гортань, гортань. Остальная часть тела (редко) - легкие, тимус, желудок и двенадцатиперстная кишка, грудь, почечная лоханка и мочевой пузырь, шейка матки, эндометрий, яичник, влагалище
- Размер 1-5 см.
- Морфология переменная. Четко очерченные, дольчатые до инфильтративного типа края
Результаты ультразвукового исследования слюнной железы
- Серошкальное УЗИ. Одиночное солидное образование в паренхиме околоушной или подчелюстной железы. Может иметь хорошо выраженные, дольчатые или плохо очерченные / инфильтративные границы. Гипоэхогенная структура по отношению к паренхиме слюнной железы. Общее улучшение ультразвукового изображения задних структур. Иногда центральный кистозный компонент представляет некроз. Могут наблюдаться связанные аномальные интрапаротидные, перипаротидные, шейные лимфатические узлы
- Цветной допплер. Внутриузловая васкуляризация от умеренной до выраженной
Результаты КТ. Солидное образование мягких тканей слюнной железы. Повышенное напряжение по сравнению с околоушной и подчелюстной паренхимой. Изоаттенуация по сравнению с мышцами. При КТ с контрастированием однородное или неоднородное усиление ± внутренний некроз
Результаты MРТ
- T1WI. Изо- до гипоинтенсивного сигнала относительно слюнной железы
- T2WI FS. Слегка гиперинтенсивное поражение в зоне опухоли и лимфатических узлов. Иногда гиперинтенсивный кистозный очаг представляет собой некроз. Насыщение жиром улучшает видимость поражения. МРТ подходит для оценки степени, местной инфильтрации и периневральной инвазии
- T1WI C + FS. Однородное или неоднородное усиление ± внутренний некроз
Рекомендации по визуализации. Лучший инструмент для визуализации. Особенности визуализации неспецифичны, имитируют другие новообразования слюнной железы. Лучшая методика МРТ для определения анатомической протяженности. ТАБ под контролем УЗИ для цитологической диагностики. Исследования необходимо проводить от основания черепа до ключиц для выявления шейной лимфаденопатии и исключения первичной опухоли в носоглотке
Дифференциальный диагноз
- Доброкачественная смешанная опухоль (плеоморфная аденома). Хорошо выраженная, дольчатая, однородная опухоль. На УЗИ заднее акустическое усиление. Редкая васкуляризация
- Опухоль Вартина. Четко выраженное гипоэхогенное внутрижелезистое образование. Гетерогенная внутренняя архитектура с солидным и кистозным компонентами. Обычно располагается в околоушной части хвоста. У 20% пациентов на УЗИ имеет мультицентрический характер
- Мукоэпидермоидная карцинома. Хорошо / плохо выраженный, однородный / неоднородный край в зависимости от степени злокачественности опухоли. Выраженная васкуляризация ± инфильтрация соседних тканей, метастатические лимфатические узлы
- Аденоидно-кистозная карцинома. Плохо / четко выраженные, однородные / неоднороднык края в зависимости от степени злокачественности опухоли. Выраженная васкуляризация. Склонность к периневральной инфильтрации
- Метастатическое заболевание околоушных лимфатических узлов. Одиночная / множественная, плохо определенная, неоднородная архитектура. Известная или очевидная первичная опухоль вокруг уха или рак носоглотки
- Околоушная неходжкинская лимфома. Паренхиматозная неходжкинская лимфома (НХЛ): инфильтративное поражение околоушных желез / диффузная паренхиматозная гетерогенность на УЗИ. Узловая НХЛ: одиночные / множественные солидные интрапаротидные лимфатические узлы, выраженная внутриузловая васкуляризация

Патология. Общие характеристики. Этиология. Большинство возникает de novo. Генетические и экологические факторы риска. Меньшая часть развивается при доброкачественном лимфоэпителиальном поражении (ЛЭП). Ассоциация с вирусом Эпштейна-Барра (ВЭБ). Переменная распространенность, связанная с расовыми и географическими факторами. Онкологическая роль ВЭБ спорна
Макропатологические и хирургические особенности
- Может быть ограниченным, многодолевым или инфильтративным образованием
- От серо-коричневого до желто-серого цвета
- Некроз и кровотечение нечасто.
Микроскопические особенности. Опухолевые клетки: синцитиальная цитоплазма, большие везикулярные ядра и выступающие ядрышки в лимфоидной строме. Иммуногистохимический анализ: антитело к цитокератину AE1, p63 и EMA (+). Гибридизация EBER in situ: 100% положительный результат у китайских и инуитских пациентов, вариабельный у кавказцев
Анализы крови. Сыворотка EBV-VCA IgA и EBV-EA IgA (+) у многих пациентов. Повышенная ДНК ВЭБ около 40%. Повышенное соотношение нейтрофильных лимфоцитов (НЛ). Возможное прогностическое значение
Клинические проблемы и проявления. Наиболее частые признаки / симптомы. Уплотнение шеи / шейная лимфаденопатия (40-70%). Паралич лицевого нерва при лимфоэпителиомоподобной карциноме околоушной железы (20%). Необычно боль или нежность
Демография. Возраст. 20-70 лет
Пол. Никаких гендерных пристрастий.
Этническая принадлежность. Более высокая заболеваемость среди населения Юго-Восточной Азии и инуитов. ЛЭК составляет большинство (92%) всех карцином слюнных желез у инуитов. Редко у кавказцев
Эпидемиология. Естественная история и прогноз. Лучший общий прогноз по сравнению с другими недифференцированными карциномами слюнных желез и карциномой носоглотки. Показатели выживаемости. 5 лет: 66-90%, 10 лет: 29-75%. Неинкапсулированная опухоль со склонностью к метастазированию. Интрапаротидные лимфоузлы поражаются чаще, далее в порядке убывания ретроаурикулярные, шейные, надключичные, паратрахеальные узлы. 20% имеют скрытые метастазы в лимфатических узлах у пациентов с профилактической диссекцией шеи. У 20% всех пациентов в течение 3 лет после терапии появляются отдаленные метастазы. Наиболее частые участки: легкие, кости, печень.
Лечение
Околоушная неходжкинская лимфома на УЗИ
Ключевые факты при ультразвуковой диагностике слюнных желез
- Узловая неходжкинская лимфома (НХЛ): одиночные или множественные увеличенные яйцевидные внутрипаротидные лимфатические узлы, которые на УЗИ гомогенно гипоэхогенны по отношению к паренхиме околоушной железы, эхо-картина сетчатая. Заднее акустическое усиление. Выраженная внутриузловая гиперваскуляризация
- Лимфома лимфоидной ткани, ассоциированная со слизистой оболочкой (MALT-лимфома): диффузная, неоднородная эхо-картина, нечеткие, гипоэхогенные, похожие на опухоль участки. На момент пункции под контролем УЗИ имеется внутрикистозная или паренхиматозная кальцификация из-за конечной стадии воспалительного изменения. Небольшие кистозные области возникают вследствие сдавления терминальных протоков лимфоидной гипертрофией. Множественные небольшие гипоэхогенные области (которые, как считается, представляют собой лимфоидные агрегаты) разбросаны на фоне ткани слюнной железы. Диффузная железистая гиперваскуляризация. Имитирует диагноз хронический сиаладенит, который часто ставится при биопсии.
- ± перипаротидная и шейная лимфаденопатия
- Двустороннее заболевание только с системной НХЛ; MALТ -лимфомой часто двусторонняя, на 30% состоит из нескольких желез.
- Синдром околоушной железы Шегрена (БШ)
- Околоушный сиаладенит.
- Доброкачественные лимфоэпителиальные поражения - ВИЧ
- Метастатическое поражение околоушных лимфоузлов.
Что надо знать при проведении ультразвуковой диагностики слюнных желез
- У пациента с новой околоушной опухолью фоновые гетерогенно измененные околоушные железы предполагают НХЛ с синдромом Шегрена.
- Важно оценить на УЗИ контралатеральную околоушную железу, другие слюнные и слезные железы, а также протяженность шейных лимфоузлов.
- Визуализирующие характеристики могут наводить на мысль, но для окончательного диагноза часто требуется эксцизионная биопсия.
Терминология. Сокращения. Неходжкинская лимфома (НХЛ) слюнных желез на УЗИ
Определение. НХЛ включает любую из различных лимфом, характеризующихся отсутствием клеток Рида-Стейнберга. Могут быть разделены на агрессивные (высокозлокачественные) или вялотекущие (с низким уровнем злокачественности) типы. Образуется В-клетками или Т-клетками
Различные формы поражения околоушных желез при НХЛ. Узловая НХЛ. Первичная узловая НХЛ. Системная НХЛ с вовлечением околоушных лимфоузлов. Первичная паренхиматозная лимфома чаще всего НХЛ происходит от лимфоидной ткани, ассоциированной со слизистой оболочкой (MALT) (MALToma), часто ассоциируется с синдромом Шегрена (СШ) или доброкачественным лимфоэпителиальным поражением (BLEL)

Визуализация. Общие особенности при ультразвуковом сканировании слюнных желез
Лучший диагностический признак на УЗИ при узловой НХЛ: множественные однородные, четко выраженные образования околоушных желез и лимфаденопатия верхних отделов шеи. Паренхиматозная НХЛ: инфильтративная околоушная опухоль, фон СШ, BLEL
Расположение. Околоушная железа ± ипсилатеральные шейные узлы. Только двустороннее заболевание с системной НХЛ. MALToma часто бывает двусторонней; 30% - множественные опухоли
Размер. Узловая НХЛ. Обычно 1-3 см. Паренхиматозная НХЛ может поражать большую часть околоушной и / или поднижнечелюстной железы
Морфология. Узловая НХЛ. Обычно хорошо очерченное образование от округлой до яйцевидной формы, иногда дольчатой или неправильной формы. Иногда может быть матовой, но редко некротической. Паренхиматозная НХЛ имеет распространенную инфильтрацию или нечеткое образование. Может быть солидной или (реже) кистозной
Серошкальное УЗИ. Узловая НХЛ. Одиночные или множественные увеличенные яйцевидные внутрипаротидные лимфатические узлы. Гомогенно гипоэхогенный по отношению к паренхиме околоушной железы. Сетчатый эхосигнал. Заднее акустическое усиление. Первичная паренхиматозная НХЛ. Рассеянный, неоднородный эхосигнал; нечеткие, гипоэхогенные, похожие на опухоль участки. В пунктате внутрикистозная или паренхиматозная кальцификация из-за конечной стадии воспалительного изменения. Небольшие кистозные области образуются из-за сдавления терминальных протоков лимфоидной гипертрофией. Множественные небольшие гипоэхогенные участки (представляют собой лимфоидные агрегаты), разбросанные на фоне ткани слюнной железы. Изменения могут имитировать хронический сиалоаденит и диагноз часто ставится при биопсии. На УЗИ необходимо искать аналогичное поражение других слюнных и слезных желез, фон синдром Шегрена, BLEL. Может иметь или не иметь перипаротидную и шейную лимфаденопатию
Цветной допплер. Узловая НХЛ. Выраженная центральная или внутриузловая гиперваскуляризация. Паренхима при неходжкинской лимфоме более диффузная железистая гиперваскуляризация. Васкуляризация от умеренной до выраженной в плохо очерченных образованиях.

- Синдром околоушной железы Шегрена. Пожилая женщина с заболеванием соединительной ткани, сухостью глаз, сухостью во рту. Двустороннее увеличение околоушных желез, маленькие или большие кисты ± лимфоидные агрегаты. Хронический: атрофированные, неоднородные железы ± кальцификаты. Имеет 40-кратную заболеваемость НХЛ
- Околоушный сиаладенит. Диффузная неоднородная эхо-картина и гиперваскуляризация могут имитировать паренхиму НХЛ. Может обнаружить расширение протоков и камни. Клинически проявляется болью и отеком.
- Доброкачественные лимфоэпителиальные поражения-ВИЧ. Смешанные кистозные и солидные интрааротидные поражения увеличивают обе околоушные железы. Если у больного СПИДом есть НХЛ, визуализация может быть сложной.
- Метастатическое заболевание околоушных узлов. Множественные односторонние или двусторонние образования с инвазивными краями и часто с центральным некрозом. Часто другие метастазы в лимфоузлы: уровни II и V. Часто наблюдаются перипаротидные кожные покровы, волосистая часть головы и носоглотка.
Патология. Общие особенности. Этиология. Неизвестна, возможно многофакторнле влияние. Окружающая среда, генетика, вирус, предшествующее излучение. Повышенная заболеваемость аутоиммунными заболеваниями. Синдром Шегрена имеет 40-кратную заболеваемость НХЛ. Ревматоидный артрит, системная волчанка. Повышенная заболеваемость при иммуносупрессии
Постановка диагноза, оценка патологии и классификация. Модифицированная система стадирования Ann Arbor предназначена для клинической стадии НХЛ. Стадия I: единичный лимфоузел или лимфоидная структура (например, селезенка) или единичный экстралимфатический участок (IE). Стадия II: ≥ 2 узловых областей на одной стороне диафрагмы (II) или смежных экстранодальных органа / участка + региональные узлы ± другие узлы на той же стороне диафрагмы (IIE). Стадия III: Узловые области по обе стороны от диафрагмы (III), селезенки (IIIS), экстранодальной (IIIE), обеих (IIISE). Стадия IV: Распространенное заболевание: ≥ 1 экстранодальный орган или ткань, ± узлы или изолированное экстралимфатическое заболевание с удаленными узлами
Классификация Лугано для оценки ответа на КТ и ПЭТ / КТ (2014). Гистологическая классификация НХЛ Всемирной организации здравоохранения (2016 г.). На основании иммунофенотипа и морфологии
Макропатологические и хирургические особенности. Хорошо очерченные, инкапсулированные, мягкие мясистые массы.
Микроскопические особенности. Слои гомогенных лимфоидных клеток, расположенных диффузным или фолликулярным образом. Подразделяются на мелкоклеточные и крупноклеточные варианты. Первичная околоушная лимфома. Чаще всего НХЛ типа MALTомы. Односторонняя диффузная инвазия протоковой и ацинарной ткани
Клинические проблемы и проявления. Наиболее частые признаки / симптомы. Медленно увеличивающееся безболезненное образование околоушной железы ± шейная лимфаденопатия. Редкие системные симптомы группы B: лихорадка, потеря веса, ночная потливость. «Резиновая» консистенция классически описывается при клинической пальпации лимфоматозных узлов.
Демография
- Возраст. Среднее при предъявлении: 55 лет.
- Пол. Мужчины: Женщины = 1,5: 1,0
- Этническая принадлежность. Кавказская раса страдает чаще, чем афроамериканцы, латиноамериканцы или азиаты. Редкие Т-клеточные лимфомы чаще встречаются у молодых афроамериканских мужчин
- Эпидемиология. Первичная околоушная неходжкинская лимфома составляет 2-5% злокачественных новообразований околоушной железы. Системная НХЛ включает околоушные железы в 1-8%
Естественная история и прогноз. Зависит от гистологии, морфологии и стадии. Общая 5-летняя выживаемость: 72%. Заболевание высокой степени злокачественности быстро прогрессирует. Заболевание низкой степени злокачественности: медленное прогрессирование в течение многих лет. Лучший прогноз: мелкоклеточные и фолликулярные формы. В целом хороший прогноз при первичной околоушной неходжкинской лимфоме, хотя у 35% рецидивы наступают через 5 лет. Обычно диагностируется рано: I или II стадия.
Лечение
Метастатическое поражение околоушных узлов на УЗИ
Ключевые факты. Терминология. Лимфатическая или гематогенная опухоль распространяется на внутрижелезистые околоушные лимфатические узлы. Нормальная околоушная железа имеет внутрижелезистые лимфатические узлы, которые определяются на УЗИ (в отличие от подчелюстных и подъязычных желез). Околоушные и перипаротидные узлы: уровень 1-го порядка при плоскоклеточном раке кожи и меланоме волосистой части головы, ушной раковины и лица.
Данные ультразвукового исследования слюнных желез
- Одиночные или множественные гипоэхогенные образования при известном распределении внутрипаротидных лимфоузлов.
- На ультразвуковом сканировании образование четко или плохо определено (экстранодальное распространение)
- Необходимо искать локальную инвазию: интрапаротидную, в наружную сонную артерию, ретромандибулярную вену, экстрапаротидные мягкие ткани.
- На УЗИ определяется аномальная внутренняя архитектура ± эхогенные ворота, эхогенность однородная или неоднородная с внутренними кистозными участками в некротических узлах
- ± Метастатические шейные лимфатические узлы
- Интранодулярный кровоток хаотичный / дезорганизованный или преимущественно периферический
- Ультразвуковое сканирование дает оптимальную характеристику лимфоузлов в поверхностной доле и проведение подтверждающей биопсии.

ПЭТ / КТ: наиболее чувствительны для определения метастатической природы небольших лимфатических узлов.
МРТ: наиболее чувствительна к экстранодальному поражению, особенно периневральной опухоли, распространяющейся на лицевой нерв.
- При мультифокальных односторонних образованиях околоушной железы с шейной аденопатией: регионарные метастазы, местная неходжкинская лимфома (НХЛ).
- При мультифокальных односторонних образованиях околоушной железы без шейной аденопатии: опухоль Вартина, рецидивирующая доброкачественная смешанная опухоль, регионарные метастазы.
- При мультифокальных двусторонних образованиях околоушной железы: системные метастазы, системная НХЛ, опухоли Вартина, доброкачественные лимфоэпителиальные поражения, связанные с ВИЧ, болезнь Шегрена.
Терминология. Определения . Лимфатическая или гематогенная опухоль распространяется на внутрипаротидные лимфатические узлы.
Визуализация. Общие особенности. Само по себе ультразвуковое сканирование метастазов в околоушные лимфоузлы неспецифична. Одиночные или множественные околоушные образования. Хорошо выраженный или плохо выраженный лимфоузел (экстранодальное распространение), однородный или неоднородный с внутренним некрозом. На УЗИ с ЦДК внутриузловая васкуляризация или усиление кровотока. Патология связана с известным первичным раком, часто в прилегающей коже или региональной области головы и шеи. Околоушные и перипаротидные узлы: узловая станция 1-го порядка при плоскоклеточной карциноме кожи (ПКК) и меланоме латеральной части волосистой части головы, ушной раковины / наружного слухового прохода и передней части лица
Расположение интрапаротидное ± периаротидное
Размер. Обычно 1-3 см
Морфология. Форма яйцевидная или круглая. Край на УЗИ хорошо выраженный или (при экстранодальном распространении) инфильтративный

Серошкальное УЗИ. Одиночные или множественные гипоэхогенные образования в известном распределении внутрипаротидных лимфоузлов. Хорошо выраженный или слабо окаймленный (экстранодальное распространение). Экстранодальное распространение. Обратите внимание на местную инвазию интрапаротидной наружной сонной артерии (ВСА), ретромандибулярной вены или экстрапаротидных мягких тканей. Аномальная внутренняя архитектура ± эхогенные ворота. Однородный или неоднородный вид с внутренними кистозными участками в некротических узлах ± метастазы в шейные лимфатические узлы
Энергетический допплер. Внутриочаговая васкуляризация. Хаотический / дезорганизованный или преимущественно периферический кровоток
Результаты КТ. Одно или более внутрипаротидное образование с острыми или инвазивными краями. Узлы могут быть однородными или неоднородными с центральным некрозом. Также могут присутствовать метастазы в околоушно-шейные лимфоузлы.
Результаты MРТ
• T1WI. Одна опухоль или несколько промежуточных сигнальных образований
• T2WI. Равномерный или неоднородный (некроз) высокий сигнал
• T1WI C +. Сплошное или ободковое (центральный узловой некроз) усиление интрапаротидных лимфоузловых образований, которые при экстранодальном распространении могут оказаться инвазивными. Лучший способ оценки периневральной инфильтрации лицевого нерва (CNVII), инвазии в НСА и экстрапаротидной инвазии мягких тканей
Результаты ядерной медицины. ПЭТ. Метастатические интрапаротидные и шейные лимфатические узлы демонстрируют повышенную метаболическую активность. Доброкачественные поражения околоушных желез также могут быть гиперметаболическими.
Рекомендации по визуализации. Лучший инструмент для визуализации - ультразвуковое сканирование, которое оптимально характеризует лимфоузлы в поверхностной доле, и врач в таких случаях направляет пациента на подтверждающую биопсию. ПЭТ / КТ: наиболее чувствительны для определения метастатического характера мелких лимфатических узлов. МРТ наиболее чувствительна к экстранодальному поражению, особенно периневральному распространению опухоли на CNVII. Изображение должно быть получено от первичного участка околоушной железы и остальной части узловых цепей шеи до ключиц. МРТ - лучший инструмент для оценки поражений глубоких долей. Распространение на глубокие ткани и периневральная опухоль лучше определяются с помощью МРТ. Необработанные изображения без подавления жира T1 часто лучше всего очерчивают края / поля (естественный контраст между опухолью и жировой ткани железы). Всем пациентам с инвазивной плоскоклеточной карциномой кожи или меланомой на коже лица, волосистой части головы и ушной раковины следует пройти стадию ПЭТ / КТ для выявления лимфоузлов шеи и интрапаротидной зоны. У пациентов с карциномой носоглотки (КНГ) аномальные ипсилатеральные интра- / перипаротидные лимфоузлы следует рассматривать как злокачественные, если не доказано иное. Сравните с противоположной стороной, поскольку метастатические интра- / перипаротидные лимфатические узлы обычно односторонние.
Дифференциальная диагностика
- Околоушная неходжкинская лимфома. У пациента обычно имеется системная неходжкинская лимфома (НХЛ). Множественные плотные двусторонние гипоэхогенные интрапаротидные лимфоузлы с аномальной сетчатой / псевдокистозной архитектурой и внутриузловой васкуляризацией, которая более выражена, чем периферическая. Трудно отличить от метастазов, если нет известных первичных источников опухоли
- Опухоль Вартина. Курильщики с безболезненным образованием на щеках. Мультифокальное образование в 20% случаев, гетерогенное с кистозным изменением, внутренним дебрисом и толстыми стенками на УЗИ слюнных желез.
- Рецидивирующая доброкачественная смешанная опухоль околоушной железы. В анамнезе хирургическое удаление доброкачественной смешанной опухоли (плеоморфной аденомы). Мультифокальная опухоль, имеющей внешний вид гроздей винограда
- Доброкачественные лимфоэпителиальные поражения - ВИЧ. Пациент с ВИЧ или СПИДом. Множественные мелкие двусторонние кистозные и солидные образования околоушных желез на УЗИ. Околоушная болезнь Шегрена. Аутоиммунное заболевание, поражающее ткань слюнной железы. Увеличенная слюнная железа ± слезные железы. Микро- / макрокистозное расширение внутрижелезистых протоков + лимфоидные скопления
Патология. Общие особенности. Этиология. Лимфатическое или гематогенное распространение опухоли кожи лица, наружного уха и волосистой части головы (составляет 75% первичных опухолей). Иногда первичные регионарные участки головы и шеи (например, носоглотка / ротоглотка). Системные метастазы в околоушные узлы (редко). Околоушные железы имеют внутрижелезистые лимфатические узлы (в отличие от подчелюстных и подъязычных желез). Нормальная околоушная железа имеет примерно 20 внутрижелезистых узлов.
Эмбриология. Околоушная железа подвергается поздней инкапсуляции, включая лимфоузлы в ее паренхиме.
Макропатологические и хирургические особенности. Лимфоузлы могут оставаться инкапсулированными или подвергаться экстракапсулярному распространению. Лимфоузел при плоскоклеточной карциноме в околоушной железе желто-коричневого цвета. Лимфоузел при меланоме представлен черной, коричневой или белой эластичной опухолью.
Микроскопические особенности. Наиболее распространенные карциномы кожи. Плоскоклеточный рак (60%), меланома (15%)
Наиболее частые системные метастазы: первичные поражения легких и молочных желез. Плоскоклеточный рак: на УЗИ лимфатический узел частично или полностью замещен структурой, выстланной эпителием ± центральное кистозное изменение. Выстилка эпителия кистозных пространств состоит из гиперклеточных и плеоморфных клеток с потерей полярности и ↑ митотической активности. Меланома: диффузная пролиферация эпителиоидных ± веретеновидных клеток с обильной эозинофильной цитоплазмой и выступающими ядрышками. Иммунохимия: белок S100 и HMB-45 положительные
Клинические проблемы и проявления. Наиболее частые признаки / симптомы. Рак кожи наружного уха, черепа, верхней части лица с увеличивающейся околоушной опухолью. Дисфункция лицевого нерва CNVII. Лицевая боль. Незаживающая язва (плоскоклеточная карцинома кожи или меланома) на коже лица, волосистой части головы или ушной раковины - EAC, связанная с опухолью щеки
Демография. Возраст. Наиболее часто встречается в 7-м десятилетии жизни
Пол. Мужчины: Женщины = 2: 1
Эпидемиология. Встречается у 1-3% пациентов с плоскоклеточным раком кожи головы и шеи. Метастазы (4% всех новообразований околоушной железы). Интрапаротидные лимфоузлы чаще встречаются в географических регионах с повышенным воздействием солнца.
Естественная история и прогноз. Прогноз сильно зависит от наличия экстракапсулярного распространения (8% против 79% местных рецидивов). 5-летний контроль околоушных желез - 78%; общая выживаемость 54%. Метастатический плоскоклеточный рак с поражением околоушной железы и шейных узлов является агрессивной формой карциномы с тенденцией к инфильтративному типу роста и множественным рецидивам. Для некоторых первичных участков (например, EAC) прогноз хуже.
Меланома: плохой прогноз; долгосрочное выживание редко
Теория и практический опыт в ультразвуковой диагностике патологии слюнных желез

Содержит актуальную клиническую информацию по ультрасонографии и ориентирован на врачей ультразвуковой диагностики, выходит с 1996 года.
В отечественной и зарубежной литературе встречается много работ, посвященных сиалогии (от греч. Sialon - слюна и logos - учение) - науке о заболеваниях и повреждениях слюнных желез, методах их диагностики и лечения. По данным разных авторов, на долю заболеваний слюнных желез приходится до 24% всей стоматологической патологии. В настоящее время в клинической практике наиболее часто встречаются дистрофические, воспалительные заболевания слюнных желез (сиалоаденозы, сиалоадениты), а также опухоли и врожденные пороки развития слюнных желез. Кроме того, патологические изменения слюнных желез часто сопутствуют другим заболеваниям (сахарный диабет, бронхоэктатическая болезнь, саркоидоз, цирроз печени, гипертриглицеридемия, лимфогранулематоз и др.).
Для диагностики заболеваний слюнных желез используются различные инструментальные методы [1]:
- рентгенография (при подозрении на образование камней в протоках слюнных желез, однако в 20% камни поднижнечелюстных слюнных желез и 80% околоушных слюнных желез нерентгеноконтрастны);
- сиалография (исследование протоков слюнных желез с рентгеноконтрастным веществом, редко оказывается полезно при дифференцировании опухолей от воспалительных процессов, однако она может помочь дифференцировать объемное образование слюнных желез от образований в соседних тканях. У больных с подозрением на аутоиммунное заболевание слюнных желез может обнаружиться характерная картина мешотчатого расширения протоковой системы. При острой инфекции слюнных желез сиалографию предпринимать не следует [2]);
- компьютерная томография вместе с сиалографией;
- ультразвуковой метод (является наиболее доступным, безопасным и информативным в процессе дифференциальной диагностики патологического состояния слюнных желез).
Анатомия слюнных желез [3]

Рис. 1. Лимфатические узлы в толще околоушной слюнной железы.
Малые слюнные железы - губные, щечные, язычные, небные, резцовые - располагаются в соответственных участках слизистой оболочки. Могут быть источником развития аденокарцином полости рта.
Патология слюнных желез
Пороки развития СЖ встречаются редко. Наиболее распространены аномалии размера желез (агенезия и аплазия, врожденная гиперплазия (рис. 2) и гипоплазия), их расположения (гетеротопия, добавочные СЖ), аномалии выводных протоков (атрезия, стеноз, эктазия, кистозная трансформация, дистопии протоков).

Рис. 2. Гиперплазия левой подъязычной слюнной железы.
Сиаладениты - большая группа полиэтиологических воспалительных заболеваний СЖ (рис. 3). Первичные сиаладениты - сиаладениты, рассматриваемые в качестве самостоятельных заболеваний (например, эпидемический паротит). Вторичные сиаладениты - сиаладениты, являющиеся осложнениями или проявлениями других заболеваний (например, сиаладенит при гриппе). Эхографическая картина при разной этиологии малоспецифична. Этиология имеет клиническое значение в процессе определения тактики лечения.

Рис. 3. Сиаладенит правой поднижнечелюстной слюнной железы.
По этиологическому фактору сиаладениты классифицируют [4] на:
- сиаладениты, развивающиеся под влиянием факторов физической природы (травматический сиаладенит, лучевой сиаладенит (рис. 4) возникает при лучевой терапии злокачественных опухолей головы и шеи);
- сиаладениты, развивающиеся под действием химических факторов (токсические сиаладениты);
- инфекционные сиаладениты (пути проникновения ифекции в СЖ: стоматогенный (через протоки), контактный, гематогенный и лимфогенный);
- аллергические и аутоиммунные сиаладениты (рецидивирующий аллергический, болезнь и синдром Шегрена и др.);
- миоэпителиальный сиаладенит, вызванный патологическим процессом, ранее обозначавшийся как доброкачественное лимфоэпителиальное поражение. Термин доброкачественное лимфоэпителиальное поражение впервые применил J.T. Godwin в 1952 г., заменив понятие болезнь Микулича;
- обструктивные сиаладениты, развивающиеся при затруднении оттока слюны при обструкции выводного протока камнем (рис. 5-7) или сгустившимся секретом, а также вследствие рубцового стеноза протока. По распространенности процесса различают очаговый, диффузный сиаладениты и сиалодохит - воспаление выводного протока. Течение процесса может быть острым и хроническим;
- пневмосиаладенит, развивающийся при наличии в ткани СЖ воздуха при отсутствии бактериальной газообразующей инфекции. Воздух проникает в железу из полости рта при повышении там давления через проток. Пневмосиаладенит характерен для ряда профессий, прежде всего для стеклодувов и музыкантов, играющих на духовых инструментах.

Рис. 4. Постлучевой сиаладенит.

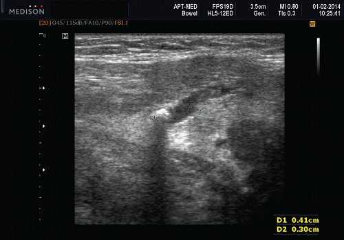
Рис. 5. Камень протока поднижнечелюстной слюнной железы.

Рис. 6. Камень в паренхиме поднижнечелюстной слюнной железы.

Рис. 7. Камень в протоке поднижнечелюстной слюнной железы.
Опухоли слюнных желез
Опухоли слюнных желез подразделяются на две группы: эпителиальные и неэпителиальные. Эпителиальные опухоли преобладают у взрослых (95%). У детей в СЖ эпителиальные и неэпителиальные опухоли встречаются одинаково часто. Помимо истинных опухолей в СЖ развиваются процессы, напоминающие опухоли (опухолеподобные поражения).
Среди эпителиальных опухолей СЖ различают доброкачественные новообразования, а также злокачественные - карциномы.
К доброкачественным эпителиальным новообразованиям СЖ относят папилломы протоков, аденомы и доброкачественную сиалобластому. Аденомы СЖ делят на две группы: полиморфные (самая частая аденома СЖ) и мономорфные (все остальные) аденомы. В группу мономорфных аденом были искусственно включены опухоли разного строения, происхождения и прогноза.
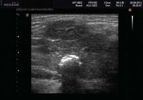
Плеоморфная (полиморфная) аденома (смешанная опухоль СЖ) - аденома СЖ, построенная из двух типов клеток: эпителия протоков и миоэпителиоцитов. Макроморфологическая картина. Опухоль обычно представляет собой эластичный или плотный узел дольчатой серовато-белой ткани, как правило, инкапсулированный частично. Типичной для плеоморфной аденомы является так называемая хондроидная строма, напоминающая гиалиновый хрящ. Варианты эхографического изображения плеоморфных аденом представлены на рисунке 8.



Рис. 8. Плеоморфная аденома СЖ.
Опухоль Уортина - аденолимфома, в которой образуются множественные кистозные полости, покрытые двухслойным эпителием. В просвет кист вдаются сосочки. В строме опухоли происходит выраженная пролиферация лимфоидной ткани. Эта опухоль почти исключительно развивается в околоушной железе.
Другие варианты доброкачественных опухолей встречаются реже. Это доброкачественная онкоцитома (оксифильная аденома), базально-клеточная аденома, канальцевая аденома, цистаденома доброкачественная сиалобластома.
Среди доброкачественных первичных неэпителиальных опухолей наиболее часто встречаются гемангиома, лимфангиома, нейрофиброма и липома.
Среди злокачественных неэпителиальных опухолей чаще обнаруживаются злокачественные лимфомы (они возникают, как правило, на фоне миоэпителиального сиалоаденита, болезни и синдрома Шегрена).
Опухолеподобные поражения слюнных желез

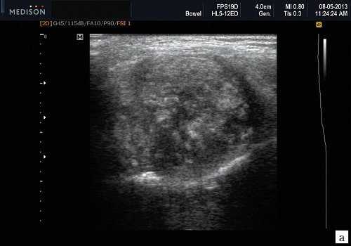
Рис. 9. Кисты слюнных желез.
- Кисты слюнных желез (мукоцеле). Различают два типа мукоцеле СЖ: ретенционный тип (ретенционная киста малой СЖ, формирующаяся при задержке слюны в выводном протоке) и тип внутритканевой секреции, когда при травме стенки протока слюна поступает непосредственно в волокнистую ткань, окружающую железу. Мукоцеле дна полости рта называются также ранулами.
- Кисты выводных протоков больших СЖ - выраженная дилатация выводного протока вследствие задержки в нем секрета. Блокада оттока слюны может быть вызвана различными причинами: опухолью, камнем, уплотнившейся слизью, поствоспалительным стенозом вплоть до рубцовой облитерации просвета.
- Сиалоаденоз (сиалоз) - неопухолевое и невоспалительное симметричное увеличение СЖ вследствие гиперплазии и гипертрофии секреторных клеток. Исходом сиалоза нередко является липоматоз СЖ. Процесс имеет хроническое рецидивирующее течение. Сиалоз встречается при ряде заболеваний и состояний: сахарный диабет, гипотиреоз, недостаточность питания, алкоголизм, цирроз печени, гормональные нарушения (гипоэстрогенемия), реакции на лекарственные препараты (чаще всего на антигипертензивные), неврологические нарушения.
Аденоматоидная гиперплазия малых СЖ приводит к их увеличению до 0,5-3,0 см в диаметре. Причинами аденоматоидной гиперплазии являются травма и длительное воздействие ионизирующей радиации.
Онкоцитоз - возрастные изменения секреторных клеток и эпителия протоков СЖ. СЖ при этом могут слегка увеличиваться, но обычно величина их не меняется.
Подводя итог, хочется отметить, что ультразвуковое исследование с применением допплерографии во многих наших наблюдениях помогало точно определить характер патологического процесса в СЖ. Однако этот метод диагностики не позволяет однозначно подтвердить или опровергнуть злокачественный характер образования слюнных желез.
Литература
- Доброкачественные и злокачественные опухоли мягких тканей и костей лица. А.Г. Шаргородский, Н.Ф. Руцкий. М.: ГОУ ВУНМЦ, 1999.
- Топографическая анатомия и оперативная хирургия. И.И. Каган, С.В. Чемезов. М.: ГЭОТАР-Медиа, 2011.
- Слюнные железы. Болезни и травмы. В.В. Афанасьев. М.: ГЭОТАР-Медиа, 2012.
- Воспалительные заболевания тканей челюстно-лицевой области и шеи. А.Г. Шаргородский. М.: ГОУ ВУНМЦ, 2001.
Журнал "SonoAce Ultrasound"
Читайте также:
- Диагностика острого геморрагического лейкоэнцефалита по КТ, МРТ
- Этажи барабанной полости. Наружная и внутренняя стенки барабанной полости
- Профилактика повреждений трахео-бронхиального дерева. Кровотечение после бронхоскопической биопсии
- Теория компрессии организма. Снижение скорости компрессии
- Рентгеновская пленка. Цифровая рентгенография
