УЗИ при пионефрозе
Добавил пользователь Евгений Кузнецов Обновлено: 11.12.2025
Пионефрозом называют гнойное расплавление почечной паренхимы. Заболевание возникает при осложненных пиелонефритом камнях почки, либо вследствие прогрессирующего туберкулеза почек. Пионефроз сопровождается образованием гнойных полостей непосредственно в паренхиме почки, затем процесс переходит на мочеточник и лоханку, вызывая рубцевание и нарушение оттока мочи. При этом полости почки заполняются густым гноем.
Различают две формы болезни: открытую и закрытую. Открытый пионефроз характеризуется поступлением большого количества гноя в мочевой пузырь через мочеточник из гнойной полости паренхимы почки.
При закрытом пионефрозе воспалительный процесс сосредотачивается в мочеточнике и лоханке, при этом происходит рубцевание ткани. Таким образом, гной не попадает в мочевой пузырь, а нарушается отток мочи, расширяется лоханка. При таком виде пионефроза из здоровой почки в мочевой пузырь поступает чистая моча.
Признаки пионефроза
Главными симптомами заболевания являются: бугристая увеличенная малоподвижная почка, пиурия, субфебрильная температура; обостренный пионефроз вызывает высокую температуру, повышенную потливость.
Диагностируют недуг методом пальпации почки, а также при помощи специальных исследований. Так, цистоскопия может показать выделение гноя из устья мочеточника. Кроме того, в диагностике используют ретроградную пиелографию и экскреторную урографию. Но при закрытом типе пионефроза данные методы бесполезны. В таком случае вводят контраст в лоханку при помощи пункции, либо проводят люмботомию (диагностическую операцию обнажения почки). Подозрение на пионефроз является поводом для госпитализации больного.
Пионефроз - лечение
При двустороннем пионефрозе назначают нефростомию, при одностороннем - нефрэктомию, т.е. лечение проводят хирургическим путем.
Пиелонефрит
Пиелонефрит - это неспецифическое инфекционное заболевание почек, вызываемое различными бактериями. Острая форма заболевания проявляется повышением температуры, симптомами интоксикации и болями в поясничной области. Хронический пиелонефрит может протекать бессимптомно или сопровождаться слабостью, нарушением аппетита, учащением мочеиспускания и неинтенсивными болями в пояснице. Диагноз выставляется на основании результатов лабораторных анализов (общий и биохимический анализы мочи, бакпосев), урографии и УЗИ почек. Лечение - антибактериальная терапия, иммуностимуляторы.
МКБ-10


Общие сведения
Пиелонефрит - широко распространенная патология. Пациенты, страдающие острым и хроническим пиелонефритом, составляют около 2/3 всех урологических больных. Болезнь может протекать в острой или хронической форме, поражать одну или обе почки. Диагностику и лечение осуществляет специалист в сфере клинической урологии и нефрологии. В случае отсутствия своевременной терапии пиелонефрит может привести к таким тяжелым осложнениям как почечная недостаточность, карбункулу или абсцессу почки, сепсису и бактериальному шоку.

Причины пиелонефрита
Заболевание может возникнуть в любом возрасте. Чаще пиелонефрит развивается:
Любые органические или функциональные причины, препятствующие нормальному оттоку мочи, увеличивают вероятность развития патологии. Нередко пиелонефрит появляется у больных мочекаменной болезнью. К неблагоприятным факторам, способствующим возникновению пиелонефрита, относится сахарный диабет, иммунные нарушения, хронические воспалительные болезни и частые переохлаждения. В ряде случаев (обычно у женщин) пиелонефрит развивается после перенесенного острого цистита.
Бессимптомное течение нередко является причиной несвоевременной диагностики хронического пиелонефрита. Больные начинают получать лечение, когда функция почек уже нарушена. Поскольку патология очень часто возникает у пациентов, страдающих мочекаменной болезнью, таким больным необходимо специальная терапия даже при отсутствии симптоматики пиелонефрита.
Симптомы пиелонефрита
Острый пиелонефрит
Для острого процесса характерно внезапное начало с резким повышением температуры до 39-40°С. Гипертермия сопровождается обильным потоотделением, потерей аппетита, выраженной слабостью, головной болью, иногда - тошнотой и рвотой. Тупые боли в поясничной области различной интенсивности, чаще односторонние, появляются одновременно с повышением температуры. Физикальное обследование выявляет болезненность при поколачивании в области поясницы (положительный симптом Пастернацкого).
Неосложненная форма острого пиелонефрита не вызывает нарушений мочеиспускания. Моча становится мутной или приобретает красноватый оттенок. При лабораторном исследовании мочи выявляется бактериурия, незначительная протеинурия и микрогематурия. Для общего анализа крови характерен лейкоцитоз и повышение СОЭ. Примерно в 30% случаев в биохимическом анализе крови отмечается повышение азотистых шлаков.
Хронический пиелонефрит
Хронический пиелонефрит нередко становится исходом недолеченной острой формы. Возможно развитие первичного хронического процесса. Иногда патология обнаруживается случайно при исследовании мочи. Больные предъявляют жалобы на слабость, снижение аппетита, головные боли и учащенное мочеиспускание. Некоторых пациентов беспокоят тупые ноющие боли в поясничной области, усиливающиеся в холодную сырую погоду. Симптомы, свидетельствующие об обострении, совпадают с клинической картиной острого процесса.
Осложнения
Двухсторонний острый пиелонефрит может стать причиной острой почечной недостаточности. К числу наиболее грозных осложнений следует отнести сепсис и бактериальный шок. В некоторых случаях острая форма заболевания осложняется паранефритом. Возможно развитие апостеноматозного пиелонефрита (формирование множественных мелких гнойничков на поверхности почки и в ее корковом веществе), карбункула почки (нередко возникает вследствие слияния гнойничков, характеризуется наличием гнойно-воспалительного, некротического и ишемического процессов) абсцесса почки (расплавление почечной паренхимы) и некроза почечных сосочков.
Если лечение не проводится, наступает терминальная стадия гнойно-деструктивного острого процесса. Развивается пионефроз, при котором почка полностью подвергается гнойному расплавлению и представляет собой очаг, состоящий из полостей, заполненных мочой, гноем и продуктами тканевого распада. При прогрессировании хронического двухстороннего пиелонефрита функция почек постепенно нарушается, что приводит к снижению удельного веса мочи, артериальной гипертензии и развитию хронической почечной недостаточности.
Диагностика
Постановка диагноза обычно не представляет затруднений для врача-уролога из-за наличия ярко выраженных клинических симптомов. В анамнезе часто отмечается наличие хронических заболеваний или недавно перенесенные острые гнойные процессы. Клиническую картину формирует характерное сочетание выраженной гипертермии с болью в пояснице (чаще односторонней), болезненными мочеиспусканиями и изменениями мочи. Моча мутная или с красноватым оттенком, имеет выраженный зловонный запах. В рамках диагностических мероприятий выполняются:
- Лабораторные исследования. Лабораторным подтверждением диагноза служит обнаружение в моче бактерий и небольших количеств белка. Для определения возбудителя проводят бакпосев мочи. О наличии острого воспаления свидетельствует лейкоцитоз и увеличение СОЭ в общем анализе крови. При помощи специальных тест-наборов проводится идентификация вызвавшей воспаление микрофлоры. Концентрационную способность почек оценивают при помощи пробы Зимницкого.
- Лучевая диагностика. В ходе обзорной урографии выявляется увеличение объема одной почки. Экскреторная урография свидетельствует о резком ограничении подвижности почки при проведении ортопробы. При апостематозном пиелонефрите отмечается снижение выделительной функции на стороне поражения (тень мочевыводящих путей появляется с запозданием или отсутствует). При карбункуле или абсцессе на экскреторной урограмме определяется выбухание контура почки, сдавление и деформация чашечек и лоханки. Диагностику структурных изменений почечной ткани при пиелонефрите проводят при помощи УЗИ почек. Для исключения мочекаменной болезни и анатомических аномалий выполняют КТ почек.

Лечение пиелонефрита
Лечение острого пиелонефрита
Неосложненный острый процесс лечится консервативно в условиях стационара. Проводится антибактериальная терапия. Медикаменты подбираются с учетом чувствительности обнаруженных в моче бактерий. Для того, чтобы максимально быстро ликвидировать воспалительные явления, не допустив перехода пиелонефрита в гнойно-деструктивную форму, лечение начинают с самого эффективного препарата.
Проводится дезинтоксикационная терапия, коррекция иммунитета. При лихорадке назначается диета с пониженным содержанием белков, после нормализации температуры пациента переводят на полноценное питание с повышенным содержанием жидкости. На первом этапе терапии вторичного острого пиелонефрита следует устранить препятствия, затрудняющие нормальный отток мочи: как правило, для этого производится установка мочеточникового катетера-стента. Назначение антибактериальных препаратов при нарушенном пассаже мочи не дает желаемого эффекта и может привести к развитию серьезных осложнений.
Лечение хронического пиелонефрита
Осуществляется по тем же принципам, что и терапия острого процесса, но отличается большей длительностью и трудоемкостью. Терапевтическая программа предусматривает устранение причин, которые привели к затруднению оттока мочи или вызвали нарушения почечного кровообращения, антибактериальную терапию и нормализацию общего иммунитета.
При наличии препятствий необходимо восстановить нормальный пассаж мочи. Восстановление оттока мочи производится оперативно (нефропексия при нефроптозе, удаление камней из почек и мочевыводящих путей, удаление аденомы предстательной железы и т. д.). Устранение препятствий, мешающих пассажу мочи, во многих случаях позволяет достичь стойкой длительной ремиссии. Антибактериальные препараты назначаются с учетом данных антибиотикограммы. До определения чувствительности микроорганизмов проводится терапия антибактериальными препаратами широкого спектра действия.
Пациентам с хроническим пиелонефритом требуется длительная систематическая терапия сроком не менее года. Лечение начинают с непрерывного курса антибактериальной терапии продолжительностью 6-8 недель. Такая методика позволяет устранить гнойный процесс в почке без развития осложнений и образования рубцовой ткани. Если функция почек нарушена, требуется постоянный контроль фармакокинетики нефротоксичных антибактериальных препаратов. Для коррекции иммунитета при необходимости применяют иммуностимуляторы и иммуномодуляторы. После достижения ремиссии назначают прерывистые курсы антибактериальной терапии.
В период ремиссии больным показано санаторно-курортное лечение (Джермук, Железноводск, Трускавец и др.). Следует помнить об обязательной преемственности терапии. Начатое в стационаре антибактериальное лечение необходимо продолжать амбулаторно. Назначаемая врачом санатория схема лечения должна включать в себя прием антибактериальных препаратов, рекомендуемых врачом, постоянно наблюдающим пациента. В качестве дополнительного метода лечения применяется фитотерапия.
Ультразвуковая диагностика воспалительных заболеваний почек
Заболевания почек — одна из актуальных проблем современной медицины. Патология выявляется у 21% населения и занимает третье место в структуре заболеваемости, уступая лишь болезням сердечно - сосудистой системы и органов дыхания. Нередко данная группа заболеваний протекает бессимптомно и человек обращается к специалисту уже тогда, когда имеются необратимые изменения в органах. К воспалительным заболеваниям почек относятся острый и хронический пиелонефрит, апостематозный пиелонефрит, пионефроз, карбункул и абсцесс почки, острый и хронический гломерулонефрит, паранефрит и перинефрит. Ультразвуковое исследование является одним из ведущих методов диагностики этой патологии, что обусловлено его значительными преимуществами: отсутствием лучевой нагрузки, неинвазивностью, мобильностью и доступностью. Метод не требует применения контрастных веществ.
Острый пиелонефрит представляет собой острый воспалительный процесс в почечной паренхиме и чашечно-лоханочной системе. Данное заболевание встречается во всех возрастных группах и составляет 10-15% всех заболеваний почек. Во время беременности заболевание наблюдается у 3-5% беременных. Пиелонефрит у мужчин в молодом и среднем возрасте связан преимущественно с мочекаменной болезнью, хроническим простатитом, стриктурой мочеиспускательного канала, аномалиями развития почек и мочевых путей. Увеличение частоты пиелонефрита у мужчин пожилого возраста связано с наличием аденомы простаты. При ультразвуковом исследовании можно обнаружить расширение мочеточника и собирательной системы почки, увеличение её размеров, а также утолщение и снижение эхогенности паренхимы.
Хронический пиелонефрит, как правило, является следствием острого пиелонефрита. Сонографическая диагностика заболевания в начальной стадии вне обострения не возможна, так как ультразвуковая картина почек ничем не отличается от нормальной. При обострении хронического пиелонефрита иногда можно обнаружить такой признак, как утолщение стенки лоханки и проявление ее слоистой структуры. Многократные обострения приводят к постепенному уменьшению объёма поражённой почки и, при истощении ее возможностей, начинает развиваться увеличение противоположной почки.
Апостематозный пиелонефрит - гнойно - воспалительный процесс с образованием многочисленных мелких гнойничков (апостем) преимущественно в коре почки. Чаще всего является осложнением острого обструктивного пиелонефрита. При развёрнутой картине апостематозного гнойного процесса при ультразвуковом исследовании определяется резко увеличение почек в объёме, под капсулой появляются множественные мелкие абсцессы размером с булавочную головку, контуры почек неровные, бугристые, подвижность при дыхании практически отсутствует. С поверхностно расположенных абсцессов гной может распространяться под капсулу почек, на перинефрий и паранефрий.
Паранефрит представляет собой воспалительный процесс в околопочечной клетчатке. Воспалительный процесс почечной капсулы, которая, как правило, вовлекается в процесс при тяжелом гнойном пиелонефрите, называют перинефритом. При данных процессах при ультразвуковом исследовании определяется резкое снижение дыхательной подвижности почек, нечеткость их контуров. Вокруг почек определяются зоны пониженной эхогенности, а также жидкостные полости.
Сонография является важным, а иногда и единственным лучевым методом, позволяющим выявить карбункул почки. Заболевание представляет собой гнойно-некротическое поражение органа с образованием отграниченного инфильтрата. В зоне образования карбункула выявляется крупноочаговый участок неоднородной структуры, пониженной, а иногда и повышенной, эхогенности, деформирующий контур почки. При динамическом исследовании в данном образовании со временем образуются полости, содержащие жидкость. В дальнейшем наблюдается уменьшение размеров образования и формируется капсула абсцесса. При формировании абсцесса ультразвуковая картина представлена очагом с кистозной структурой с толстой неровной стенкой, в полости которой определяется взвесь. В дальнейшем очаг может прорваться в чашечку или лоханку. Но чаще всего разрешение происходит в прилежащие ткани - паранефральную клетчатку, что приводит к развитию гнойного паранефрита. Данный процесс может являться также осложнением острого пиелонефрита либо результатом слияния гнойничков при апостематозном пиелонефрите.
Паранефрит. Карбункул почки.
Пионефроз - заболевание представляет собой терминальную стадию гнойно-деструктивного пиелонефрита.
Пионефротическая почка при сонографии представляет собой орган, подвергшийся гнойному расплавлению, состоящий из отдельных полостей, заполненных гноем, мочой и продуктами распада. Пионефроз всегда сопровождается пери- или паранефритом. Заболевание наблюдается преимущественно в возрасте 30-50 лет.
Острый гломерулонефрит - острое иммуновоспалительное заболевание почек с поражением клубочков и в меньшей степени канальцев почек. Встречается чаще у людей молодого возраста. При остром гломерулонефрите при ультразвуковом исследовании определяется симметричное увеличение почек в объёме; на поперечном срезе почка округлой формы. Паренхима утолщена, выглядит набухшей. Изменения почек обратимы, при нормализации клинико-лабораторных данных сонографическая картина вновь становится нормальной.
Хронический гломерулонефрит - прогрессирующее диффузное иммуновоспалительное поражение клубочкового аппарата почек с исходом в склероз и почечную недостаточность. Сонографическая картина хронического гломерулонефрита зависит от фазы и длительности заболевания. В фазе обострения в начальных стадиях может быть немного увеличен объем почек и слегка повышена эхогенность паренхимы. Вне обострения ультразвуковая картина может быть нормальной. По мере прогрессирования заболевания объем почек симметрично уменьшается, эхогенность паренхимы становится постоянно повышенной. В конечной стадии хронического гломерулонефрита почки уменьшены в размерах, плохо определяются на фоне окружающих тканей, с равномерно истончённой паренхимой.
Важным дополнительным методом диагностики воспалительных заболеваний почек является ультразвуковое дуплексное сканирование. При апостематозном пиелонефрите обнаруживается такой признак, как неравномерное диффузное ослабление почечного кровотока. Объективным методом диагностики ультразвуковая допплерография является при обнаружении карбункула или абсцесса почки. При исследовании выявляются локальные зоны ослабления кровотока с его усилением по краям воспалительного очага.
Карбункул почки. Ультразвуковая допплерография.
В отделении ультразвуковой диагностики ГБУЗ «ТОКБ им. В.Д. Бабенко» ежегодно проводится более 4000 исследований почек, при этом в 60-70% выявляется патология. Доступность, неинвазивность и простота подготовки позволяют широко использовать метод ультразвуковой диагностики врачами - специалистами различных направлений и делают его «золотым стандартом» при выявлении патологии мочевыделительной системы.
Паранефрит
Паранефрит — это инфекционно-воспалительное поражение околопочечной клетчатки. Проявляется различной по интенсивности болью в пояснице, брюшной полости, усиливающейся при движениях и на вдохе, лихорадкой, ознобом, слабостью, локальной пастозностью и гиперемией кожи в области пораженной почки, вынужденным положением больного (изгибом позвоночника, сгибанием ноги). Диагностируется с помощью УЗИ и КТ почек, обзорной, экскреторной урографии, пункционной биопсии. Основой консервативной терапии паранефрита является назначение антибактериальных препаратов. Хирургическое лечение направлено на санацию гнойных очагов методами люмботомии, пункционного дренирования.


Впервые клинику воспаления паранефральной клетчатки в 1839 году описал французский дерматолог Пьер Райе. Распространенность паранефрита не превышает 0,3%. До 80% случаев заболевания возникает на фоне существующей почечной патологии (мочекаменной болезни с обструкцией мочевыводящих путей, гнойного пиелонефрита, аномалий развития мочевыделительных органов, перенесенных операций на почках).
Паранефрит обычно диагностируют у пациентов 16-52 лет, преимущественно мужчин. Чаще страдает задняя часть околопочечной клетчатки, патологический процесс, как правило, является односторонним и поражает левую почку. По наблюдениям специалистов в сфере урологии, вероятность развития заболевания увеличивается у больных сахарным диабетом.

Причины паранефрита
Непосредственными возбудителями параренального воспаления являются патогенные и условно-патогенные бактерии. В 70% случаев паранефрит вызывается различными штаммами стафилококков, реже — кишечной палочкой, протеем, стрептококками, пневмококками, гонококками, псевдомонадами, туберкулезными микобактериями, другими микроорганизмами. Микробному обсеменению паранефрона способствуют:
- Гнойно-воспалительная почечная патология. Паранефритом осложняются апостематозный нефрит, пионефроз, карбункул, абсцесс почки, гнойный перинефрит, почечный туберкулез, мочекаменная болезнь.
- Заболевания соседних органов. Гнойное расплавление жировой капсулы почки происходит при распространении инфекции от воспаленного аппендикса, слепой и восходящей ободочной кишки. Воспаление также может развиться на фоне печеночного абсцесса, гнойного холецистита, панкреатита, парацистита, параметрита, ретроперитонита и др.
- Отдаленные гнойные очаги. Возможно возникновение паранефрита у пациентов с фурункулами, карбункулами, панарициями, ангиной, хроническим тонзиллитом, гнойным отитом, остеомиелитом. Провоцирующим фактором зачастую становится образование околопочечной гематомы вследствие ушиба поясничной области.
В редких случаях воспаление вызывают микроорганизмы, которые обитают во внешней среде или на коже. Они попадают в паранефральную клетчатку при прямых проникающих ранениях во время аварий, падений на острые предметы, при проведении пункции почечной ткани, нападениях с использованием холодного и огнестрельного оружия. В ряде случаев первичный инфекционный очаг остается неустановленным.
Патогенез
Жировая почечная капсула может инфицироваться контактным, лимфогенным, гематогенным путем. При наличии отдаленных гнойных очагов инфекционные агенты (чаще всего — золотистый стафилококк) распространяются гематогенно на интактную параренальную клетчатку, что приводит к развитию первичного паранефрита. Реже его началу способствует пропитывание жировой ткани кровью при закрытых травмах.
У больных, страдающих урологической патологией, воспалительными процессами в брюшной полости, забрюшинной и тазовой клетчатке инфицирование происходит контактно, по лимфатическим сосудам и анастомозам, а сам паранефрит является вторичным. Обычно первыми в воспаление вовлекаются лимфоузлы, расположенные в более развитой клетчатке позади почки. Из лимфатических узлов бактерии попадают непосредственно в жировую ткань, вызывая классическую воспалительную реакцию.
Процессы альтерации способствуют экссудации внутрисосудистой жидкости и лейкоцитов в клетчатку с возникновением инфильтративного паранефрита, который при адекватной терапии зачастую является обратимым. В более тяжелых случаях происходит очаговое или тотальное гнойное абсцедирование с дальнейшим расплавлением межфасциальных перегородок и распространением воспалительного процесса. Острое воспаление завершается фазой восстановления или приобретает хроническое течение с последующим разрастанием воспалительно-измененной жировой ткани и склерозированием.
Классификация
Кроме выделения первичной и вторичной форм воспаления паранефрит классифицируют с учетом локализации, характера патологических изменений, особенностей развития клинической картины. Такой подход позволяет правильно оценить прогноз развития заболевания и выбрать оптимальную терапевтическую тактику. На основании особенностей расположения в параренальной клетчатке различают верхнее (эндодиафрагмальное), нижнее, заднее, переднее, тотальное воспаление паранефрона.
По типу патологического процесса паранефрит может быть инфильтративным, гнойным (абсцедирующим или флегмонозным), рубцово-склерозирующим (фиброзно-склеротическим или фиброзно-липоматозным). С учетом особенностей течения и симптоматики в практической урологии различают:
- Острый паранефрит. Наблюдается чаще. Характеризуется бурной клинической картиной с инфильтративными и гнойными процессами, высоким риском тяжелых осложнений с распространением в забрюшинном пространстве, возможностью хронизации процесса и развития продуктивного воспаления. При адекватном лечении подвергается обратному развитию.
- Хронический паранефрит. Встречается реже. Является исходом острого или первично хроническим. При отсутствии острой фазы обычно осложняет течение рецидивирующего калькулезного пиелонефрита или туберкулеза почек. Может быть «панцирным» (с образованием в околопочечной клетчатке массивов соединительной ткани) либо фиброзно-липоматозным.
Симптомы паранефрита
Острое первичное воспаление паранефрона обычно начинается с внезапного появления общей интоксикационной симптоматики. Температура тела повышается до 39-40° С, пациент испытывает озноб, общую слабость, потливость. Ухудшается аппетит, часто отмечается вздутие, запор. Локальная симптоматика возникает на 2-3 день заболевания. Больные с острым паранефритом жалуются на интенсивную боль в области поясницы, живота, реже — в подреберье. Болезненные ощущения усиливаются при глубоком вдохе, ходьбе, движениях. Наблюдается локальное напряжение мускулатуры в проекции пораженной почки.
Для нижнего и заднего паранефрита характерно вынужденное положение пациента с подтягиванием к животу согнутой в колене ноги на стороне поражения. Обнаруживается локальная гипертермия, пастозность тканей, покраснение кожи. Иногда позвоночник сколиотически искривляется в здоровую сторону. При достаточно редком верхнем паранефрите из-за вовлечения в процесс поддиафрагмальной клетчатки ограничивается экскурсия диафрагмы, возникает одышка и чувство нехватки воздуха. Нарастание воспаления сопровождается утяжелением состояния больного — появлением оглушенности, спутанности сознания, учащением дыхания и сердцебиения.
Острая форма вторичного паранефрита часто проявляется усугублением уже существующей клиники поражения почек, брюшных или тазовых органов с усилением болезненности в пояснице и гипертермией. При хроническом процессе патогномоничные симптомы обычно отсутствуют, единственной жалобой больных становится тупая болезненность в области почек. Возможно сдавливание проходящих рядом корешков спинномозговых нервов с возникновением боли, онемения, покалывания, ощущения ползания мурашек по коже в пояснично-крестцовой области, бедре, реже — голени. Иногда отмечается субфебрилитет.
При несвоевременной диагностике и недостаточной терапии паранефрит обычно осложняется распространением воспаления с развитием забрюшинной флегмоны или прорывом абсцесса в брюшную, плевральную полости, малый таз, прямую кишку, мочевой пузырь, под кожу в области 12-го ребра или над гребнем подвздошной кости. У таких пациентов наблюдается перитонит, эмпиема плевры, парапроктит, параметрит, формируются почечные свищи. При гематогенной генерализации процесса возможен сепсис и инфекционно-токсический шок. Сдавление почечной паренхимы и сосудов при хронических склеротических и фиброзно-липоматозных паранефритах провоцирует развитие нефрогенной артериальной гипертензии.
При хроническом течении и на инфильтративном этапе острого паранефрита, когда локальная симптоматика отсутствует, постановка диагноза зачастую затруднена. Определенную роль играет физикальное обследование, позволяющее визуально определить реакцию со стороны кожи и мускулатуры, искривление позвоночного столба, пальпаторно выявить инфильтрат, особенности расположения и характер поверхности почек, положительные симптомы Пастернацкого и Израэля. Наиболее информативны для диагностики паранефрита инструментальные методы:
- Эхография. УЗИ почек дает возможность обнаружить и четко локализовать очаги гнойного расплавления, представленные гипоэхогенными или анэхогенными округлыми образованиями с четким контуром. При хроническом варианте паранефрита определяется неоднородность эхоструктуры тканей. Более точные данные удается получить во время КТ почек.
- Рентгенография. На обзорных урограммах позвоночный столб нередко сколиотически искривлен в поясничном отделе, контур поясничной мышцы возле пораженной почки отчетливо сглажен или не просматривается. В зависимости от локализации и размеров паранефрального инфильтрата почка имеет нормальный или сглаженный контур. Иногда почечная паренхима на рентгеновском снимке не визуализируется. По данным экскреторной урографии мочеточник на стороне паранефрита зачастую отклонен латерально либо медиально. При проведении исследования во время дыхания выявляется значительное ограничение или отсутствие подвижности пораженной почки. Из-за сдавливания воспалительным инфильтратом лоханки и чашечки могут выглядеть деформированными.
- Диагностическая пункция. Выполняется редко, преимущественно в случаях четко отграниченного инфильтрата. Обнаружение гноя в околопочечной жировой капсуле служит прямым подтверждением паранефрита. Полученный материал исследуется микробиологически для определения возбудителя и установления его чувствительности к антибиотикам.
По показаниям врач-нефролог назначает консультации абдоминального хирурга, пульмонолога, гастроэнтеролога, инфекциониста, фтизиатра, онколога. Вспомогательную роль при обследовании играет рентгеноскопия, при помощи которой подтверждается ограниченная подвижность и высокое стояние диафрагмы, наличие плеврального выпота со стороны поражения. Для оценки функционального состояния почечной ткани производится нефросцинтиграфия.
В общеклиническом анализе крови обнаруживаются общевоспалительные изменения: значительное увеличение содержания лейкоцитов, сдвиг лейкоцитарной формулы влево, высокое СОЭ. Могут снижаться уровни эритроцитов и гемоглобина. Лейкоцитурия, бактериурия в общем анализе мочи выявляются только при первичном поражении почечной паренхимы. При тяжелом течении паранефрита возможны признаки токсического повреждения фильтрующего аппарата: микрогематурия, цилиндрурия, альбуминурия.

КТ ОБП и забрюшинного пространства. Скопление гноя в паранефральной клетчатке и поясничной мышце слева.
Дифференциальный диагноз
Воспаление паранефрона дифференцируют с:
- пионефрозом
- опухолями и кистами почек
- забрюшинной флегмоной другого происхождения
- параколитом
- печеночным и поддиафрагмальным абсцессом
- аппендицитом, аппендикулярным инфильтратом,
- ретроцекальным абсцессом
- плевритом и пневмонией.
При тяжелых вариантах течения и отсутствии местных «почечных» симптомов в первые дни заболевания может потребоваться дифференциальная диагностика паранефрита с
Лечение паранефрита
Больных с острым воспалением паранефрона рекомендуется экстренно госпитализировать в урологический стационар. При хронических вариантах паранефрита возможно догоспитальное обследование с последующим плановым амбулаторным или стационарным лечением. Выбор консервативной или оперативной тактики ведения пациента зависит от характера воспалительных изменений и формы течения заболевания:
- При остром инфильтративном паранефрите. Лечение начинается с назначения антибиотиков. Выявление грамположительной флоры служит показанием для использования полусинтетических пенициллинов, макролидов, цефалоспоринов 2-3-го поколения в комбинации с сульфаниламидными препаратами. Для элиминации грамотрицательных микроорганизмов рекомендованы аминогликозиды и фторхинолоны. Прием антибактериальных средств дополняют дезинтоксикационной, иммуномодулирующей и витаминотерапией.
- При остром гнойном паранефрите. Требуется хирургическая санация очага инфекции. Для удаления гноя чаще выполняют пункционное дренирование, реже — широкое вскрытие абсцесса (люмботомию). У больных с задним паранефритом возможно проведение вмешательства через межмышечный доступ. При сочетании паранефрального воспаления с пионефрозом сначала осуществляется нефростомия, а затем нефрэктомия. После операций назначают антибактериальную терапию препаратами широкого спектра с учетом типа возбудителя.
- При хроническом паранефрите. Лечение может быть как консервативным, так и хирургическим. При отсутствии осумкованного гнойного очага и пионефроза обычно применяют антибиотики в сочетании с глюкокортикостероидами, рассасывающими, общеукрепляющими средствами, физиотерапевтическими процедурами. Хирургическое вмешательство для удаления гнойника выбирается по тем же принципам, что и при остром воспалении. Сдавление почки при склерозировании клетчатки является показанием для иссечения паранефрона.
Терапию всех форм паранефрита эффективно дополняют физиопроцедуры: диатермия, УВЧ, грязевые и парафиновые аппликации, массаж, УФО. При наличии гнойно-септических осложнений с выраженным интоксикационным синдромом и нарушением почечной фильтрации рекомендовано проведение экстракорпоральной детоксикации — гемосорбции, плазмафереза, плазмосорбции, гемодиализа.
Прогноз и профилактика
Своевременное выявление и адекватная антибактериальная терапия позволяют купировать большинство случаев острого паранефрита на начальной инфильтративной стадии без проведения операции. Правильный выбор способа и времени выполнения хирургического вмешательства при гнойном воспалении обеспечивает быструю санацию абсцесса и сохранение почки.
Прогноз хронического паранефрита определяется состоянием почечных функций и уродинамики. Профилактика заболевания направлена на своевременное лечение урологических заболеваний, санацию очагов хронической инфекции, предупреждение распространенных гнойных осложнений при абдоминальной и тазовой патологии, укрепление иммунитета.
1. Редкие формы паранефритов/ Лесовой В.Н., Дубинин Н.С.// Материалы юбилейной научно-практической конференции «Урология, андрология, нефрология». - Харьков, 2017.
2. Пиелонефрит: клиника, диагностика, хирургическое лечение: Учебное пособие/ Мухин И.В., Бубликов А.Е. - 2012.
Диагностика пионефроза на снимках МРТ и КТ почек
Какой метод диагностики пионефроза выбрать: МРТ, КТ, УЗИ
Метод выбора
Для чего проводят УЗИ почек при пионефрозе
- Расширение лоханки и чашечек
- Обнаружение гнойного содержимого
- Гиперхогенность чашечно-лоханочной системы позволяет отличить пионефроз от неинфицированного гидронефроза
- Наличие линии раздела «моча/гной»
- Присутствие газа в лоханке и мочеточнике четко определяется по наличию акустической тени.
В каких случаях проводят КТ брюшной полости с контрастом при пионефрозе
- КТ показана только в том случае, если УЗИ не позволяет установить диагноз
- КТ с внутривенным контрастированием
- Утолщение стенок чашечно-лоханочной системы
- КОРИ 20-30 ЕХ позволяет заподозрить наличие гноя или инфицированной мочи
- Наличие осадка из тканевого детрита
- При многофазной КТ (КТ с внутривенной пиелографией, которая выполняется с использованием низкодозной техники) определяется отсутствие экскреции КВ («немая» почка).
Клинические проявления
Типичные симптомы пионефроза:
- Тупая боль в поясничной области
- Лихорадка (от субфебрильной до гектической)
- Пиурия
- Увеличение уровня маркеров воспаления.
Принципы лечения пионефроз
- Устранение обструкции почки, например путем установки стента в мочеточник
- Антибактериальная терапия.
Течение и прогноз
- Зависят от наличия осложнений после лечения пионефроза
- Может прогрессировать до некроза и расплавления, приводящего к формированию паранефрального абсцесса
- Уросепсис.
Что важно знать клиницисту
- Диагноз
- Причину обструкции мочевыводящих путей.

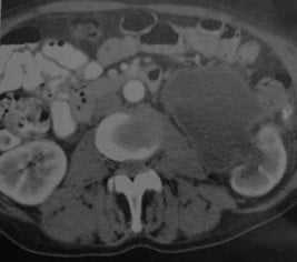
Пионефроз слева. Аксиальная многослойная КТ в кортикальной фазе. Расширение почечной лоханки и чашечек с утолщением стенок. КОРИ жидкости около 30 ЕХ.
Какие заболевания имеют симптомы, схожие с пионефрозом
Пиелонефрит с формированием абсцесса
- Отличается от пионефроза тем, что паренхима при с КТ контрастным усилением выглядит пятнистой (неравномерность контрастирования)
- Участки пониженной плотности, которые в кортико-медуллярной фазе могут иметь клиновидную форму
Читайте также:
- Варианты нормы губы плечевого сустава
- Влияние гипотермии на влечение к алкоголю. Физиология воздействия гипотермии на организм
- Лимфатические узлы легких. Увеличение лимфатических узлов легких
- Алгоритм лечения хронического головокружения и реабилитации
- Принципы аспирации жидкости из сустава, влагалища сухожилия для исследования
