УЗИ при повышении эхогенности стенки желчного пузыря
Добавил пользователь Владимир З. Обновлено: 09.01.2026
Для выявления заболеваний внутренних органов в медицине используется ультразвуковая диагностика. Для понимания этого метода нужно знать, что такое показатели эхогенности и другие ультразвуковые признаки нормального или измененного органа.
Понятие об эхогенности
УЗ-диагностика строится на способности ультразвука отражаться от внутренних органов. Датчик улавливает отраженные волны и передает их на компьютер. Врач на экране видит изображение внутренних органов в виде черных, темно-серых и белых пятен.
Процедура абсолютно безопасна для организма человека. Диагностику проводят новорожденным детям и беременным женщинам без ограничений.
Чтобы получить достоверные результаты, обследование нужно проводить правильно. Перед УЗИ брюшной полости рекомендуется придерживаться специальной диеты на протяжении трех дней. При выраженном запоре или метеоризме назначают слабительные и ветрогонные препараты.
Для обследования других органов специальной подготовки не требуется. Для проведения УЗИ на кожу наносят звукопроводящий гель. Это снижает вероятность ошибок.
Для расшифровки результатов обследования существуют эхографические признаки:
- размер;
- контуры;
- структура;
- патологические включения.
Различия между нормальной и измененной структурой органов определяются с помощью эхогенности. Это понятие обозначает степень отражения ультразвука от органов разной плотности.
Основные критерии
Выделяют три основных типа эхоструктуры органов.
- Изоэхогенная. Этот тип является стандартом нормы. Изоэхогенную структуру имеют здоровые органы. На снимке они представлены серым цветом с отчетливой зернистостью.
- Гипоэхогенная. Такие ткани имеют низкую плотность и плохо отражают ультразвук, он почти не возвращается обратно к датчику. На экране обнаруживается темно-серое пятно, зернистость почти отсутствует.
- Гиперэхогенная. Ткани очень плотные, ультразвук от них отражается быстро. На экране видны светлые, почти белые пятна. Зернистость их усилена.
Эхогенность
Также существуют анэхогенные структуры. Они поглощают ультразвук полностью. На снимке видно только черное пятно. Иногда встречается смешанная эхогенность — она представлена гипоэхогенными и гиперэхогенными структурами.
Каждое эхогенное образование имеет параметры для определения его характера:
- Форма. Образования бывают округлыми или неправильной формы.
- Контуры. Различают четкие и расплывчатые.
- Структура. Бывает однородной и неоднородной.
Образования могут быть плотными или иметь полость. В последнем случае их называют кистами. В полости содержится воздух или жидкость. Кисты бывают однокамерными, когда содержат одну полость. Если их несколько, образование называют многокамерным.
Причины патологических образований
Нормой считается эхогенность средняя, или изоэхогенность. Повышенной эхогенностью обладают кости и хрящи. Пониженная эхогенность характерна для фолликулов в яичнике. Остальные случаи являются патологией.
Гиперэхогенные
Эхопозитивное образование, то есть с повышенной эхогенностью, имеет плотность, близкую к костям. Таким критериям отвечают опухоли и разрастания рубцовой ткани.
Повышенная эхогенность возникает в печени при циррозе. В норме она обладает изоэхогенной структурой, но цирроз — это замещение здоровой ткани рубцовой, которая отражает ультразвук сильнее.
Высокая эхогенность характерна для некоторых злокачественных опухолей. Они поражают печень и почки, реже поджелудочную железу.
Гиперэхогенные образования округлой формы в желчном пузыре или почках — камни. Они образуются из-за скопления желчи или солей.
Если эхогенность повышена умеренно в стенке матки, это признак миомы. Доброкачественная опухоль, образованная мышцами, растет медленно.
Гиперэхогенные новообразования отличаются четкими контурами, форма их обычно овальная. Цвет на снимке зависит от плотности. Чем плотнее новообразование, тем светлее оно выглядит.
Гипоэхогенные
Эхонегативное образование имеет плотность ниже, чем здоровый орган. Такой признак наблюдается при воспалениях, появлениях полостей.
Эхогенность снижена при воспалении любого органа. При этом он увеличивается в размере. Такой признак наблюдается при гепатите, панкреатите, простатите.
Низкой эхогенностью обладают полости, содержащие воздух или жидкость. Они называются кистами, у них есть стенка, которая на снимке выглядит светлой. Внутри же обнаруживается темное пятно, потому что воздух или жидкость плохо отражают ультразвук.
Сниженная эхогенность типична для большинства злокачественных и доброкачественных опухолей. На снимке они имеют цвет более темный, чем окружающие ткани.
Низкой эхогенностью характеризуются фиброзные мастопатии. Доброкачественные опухоли молочной железы развиваются на фоне гормональных нарушений.
Равномерно низкая эхогенность внутри полости матки — признак эндометрита. Так называют воспаление слизистой матки.
Новообразования с низкой эхогенностью имеют различные формы, их контуры чаще расплывчатые. Гипоэхогенная эхоструктура бывает диффузной, когда поражается весь орган. При опухолях и кистах гипоэхогенность имеет локальный характер.
Смешанные
Некоторые патологические образования имеют смешанную эхогенность. Так выглядит начальная стадия цирроза печени, когда еще не вся здоровая ткань превратилась в рубцовую.
Гиперэхогенные включения в гипоэхогенной опухоли — это кальцинаты. Признак характерен для рака щитовидной железы или туберкулеза. Подобные изменения наблюдаются в поджелудочной железе при сахарном диабете.
Смешанная эхогенность наблюдается при гломерулонефрите — заболевании почек. Воспалительный процесс развивается только в части органа, а часть его остается здоровой.
Анэхогенные
Новообразования, которые поглощают ультразвук, называются анэхогенными. Такими свойствами обладают кисты, содержащие много жидкости. Чаще всего это паразитарные поражения печени. Они аваскулярные, то есть к ним не подходят кровеносные сосуды.
Тонкостенные анэхогенные образования, до половины заполненные жидкостью — абсцессы. Они появляются в результате гнойного воспаления органа. Абсцессы образуются в любом органе, чаще страдает печень или почка. На снимке абсцесс выглядит как темное пятно со светлой каемкой.
Анэхогенное содержимое появляется в щитовидной железе при диффузном зобе. Заболевание характеризуется разрастанием железистой ткани.
Зная о существующих типах эхогенных образований, что это такое и какими признаками они обладают, можно диагностировать заболевание у человека. Ультразвуковая диагностика обнаруживает даже малейшие изменения, что позволяет своевременно поставить диагноз. Благодаря этому, возможно провести лечение как можно раньше.
Желчный пузырь
Утолщение стенки желчного пузыря является диагностическим признаком, который встречается максимально часто при диагностике болезней желчного пузыря. Исторически так сложилось, что при утолщении стенки желчного пузыря врачи в первую очередь врачи думают о первичном заболевания желчного пузыря, а именно остром холецистите. В данной статье хотелось бы разобрать, какие патологические состояния приводят к утолщению стенки желчного пузыря так, как помимо воспалительных заболеваний желчного пузыря существует другие патологии, приводящие к тому же патоморфологическому признаку, как утолщение стенки желчного пузыря.

Схематичная патология. На данном рисунке продемонстрирован растянутый и гиперемичный желчный пузырь. Данные изменения встречаются при калькулезном холецистите, обусловленные обструкцией камнем желчного протока или шейки желчного пузыря.
УЗИ признаки калькулезного холецистита.
При помощи УЗИ, МРТ и КТ всегда возможно различить нормальную стенку желчного пузыря от утолщенной. Традиционно, УЗИ используется в качестве первого метода исследования при заболеваниях желчного пузыря так, как данный метод обладает высокой чувствительностью и специфичностью при обнаружении камней желчного пузыря. Также к достоинствам УЗИ относится:
- возможность оценки в реальном времени.
- дешевый метод.
- быстрый в выполнении.
- нет лучевой нагрузки.
Однако, компьютерная томография стала популярным методом при диагностике пациентов с симптомами острого живота. При остром животе КТ является первым методом исследования желчного пузыря во многих хирургических клиниках. Также КТ используют, как дополнительный метод исследования, если на УЗИ не выявили патологию или возникли какие-либо сомнения.
У МРТ также высокая диагностическая ценность при визуализации патологии желчного пузыря, но в связи с дороговизной метода и долгим временем выполнения диагностики, используют редко.
В норме стенки желчного пузыря на УЗИ визуализируется следующим образом:
- слизистой слой — гиперэхогенный.
- мышечный слой — гипоэхогенный.
- наружный или серозный слой — гиперэхогенный.
Толщина стенки желчного пузыря зависит от того насколько растянут желчный пузырь. Также толщина желчного пузыря увеличивается при следующих патологиях:
- холецистит.
- цирроз печени.
- асцит.
- острый вирусный гепатит.
- гипопротеинемия.
- злокачественное новообразование.
- правожелудочковая недостаточность.

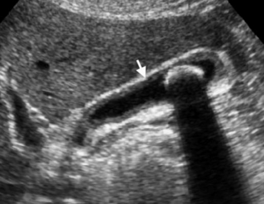
Сверху: УЗИ желчного пузыря стенка норма в виде «карандаша». Справа УЗИ картина псевдо-утолщения стенки желчного пузыря.
На КТ желчный пузырь в норме визуализируется, как образование с плотностью присущей мягким тканям. Указано стрелкой.
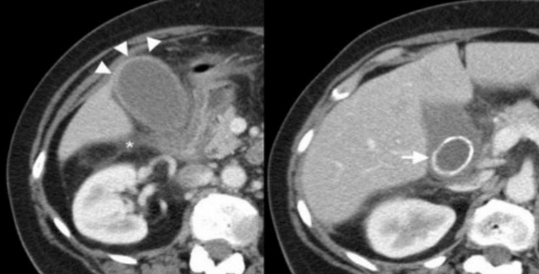
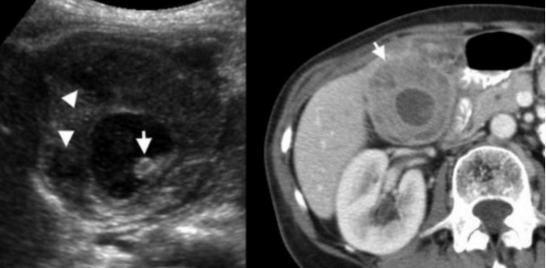
Утолщение стенки желчного пузыря — это частая диагностическая находка. Утолщением является размер стенки более 3 мм. При УЗИ утолщенная стенка имеет слоистый внешний вид, а на КТ выявляется гиподенсный слой, что соответствует субсерозному отеку.

Слева — УЗИ — желчного пузыря у 59 летней женщины с острым холециститом. Субсерозный отек так, как гипоэхогенное утолщение между гиперэхогенными слоями (мышечным и слизистым). Справа — КТ брюшной полости с контрастным усилением. Также визуализируется субсерозный отек так, как наружный слой гиподенсный.

Острый холецистит стоит на четвертом месте среди заболеваний брюшной полости, требующих немедленной госпитализации. Если на УЗИ у пациентов, поступивших с острым животом, визуализируется утолщение стенки желчного пузыря, то первое о чем думают радиологи — это острый холецистит. Для постановки диагноза холецистита должны присутствовать также следующие признаки, как на УЗИ, так и на КТ:
- Дилатация желчного пузыря.
- Камни.
- Положительный симптом Мерфи при надавливании ультразвуковым датчиком в область желчного пузыря.
- Гиперемия стенки желчного пузыря в режиме Допплер.
- Воспалительный процесс в жировой клетчатке, окружающая желчный пузырь.

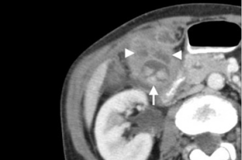
Острый калькулезный холецистит. После контрастного усиления визуализируется растянутый желчный пузырь (белые наконечники) со слегка утолщенной стенкой. Визуализируется камень в шейки желчного пузыря (белая стрелка).

Сверху изображения пациента 62 лет с калькулезным холециститом. На УЗИ визуализируется стенки желчного пузыря растянутые, с субсерозным отеком (указано белыми стрелками) и в просвете желчного пузыря камень и взвесь. На КТ визуализируется переход воспалительного процесса с желчного пузыря на соседние ткани (перихолецистит).
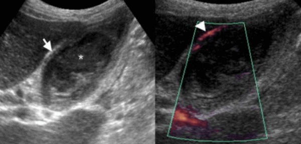
УЗИ некалькулезный холецистит.
Острый бескаменный холецистит возникает у пациентов во время поста, а также у пациентов, которые принимают лекарства, вызывающие холестаз. К признакам некалькулезного холецистита относятся все признаки острого калькулезного холецистита кроме наличия камней в просвете желчного пузыря, но при этом взвесь обычно присутствует.

74 — летнему мужчине выполнено УЗИ желчного пузыря. Диагноз: острый некалькулезный холецистит. На левой сонограмме стрелкой указано утолщение стенок желчного пузыря. В просвете желчного пузыря взвесь. На правой сонограмме у того же пациента при исследовании в доплеровском режиме выявлен еще один признак воспаления — гиперемия.
УЗИ хронических холецистит
Термин хронического холецистита используют для обозначения вялотекущего воспалительного процесса с фиброзированием стенки желчного пузыря и образованием в просвете камней.

Представлен больной с хроническими болями в правом подреберье, который ежедневно воздерживался от еды с вечера. Утолщение слабо выраженное и не является физиологическим. Также визуализируются обструкция и камень. После УЗИ данному больному был поставлен диагноз — хронический холецистит.
Ксантогранулематозный холецистит.
Ксантогранулематозный холецистит — это воспалительное заболевание, характеризующаяся тем, что в стенке желчного пузыря образуются ксантомы и гранулемы. При исследовании выявляют утолщение стенки желчного пузыря, уменьшение органа в размере, а также интрамуральные узелки, которые визуализируются, как гипоэхогенные включения на УЗИ и гиподенсные на компьютерной томограмме. Данные включения схожи с включениями при карциноме желчного пузыря.

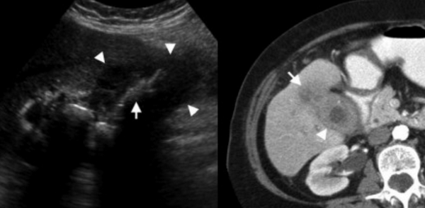
УЗИ и КТ желчного пузыря. Ксантогранулематозный холецистит. Слева на УЗИ визуализируется (помечено стрелками) утолщение стенки желчного пузыря с интрамуральным включением и с камнем в просвете органа. Справа на КТ выявляется утолщение стенки с гиподенсными включениями.

Выше представлено КТ пациента 71 года с ксантогранулематозным холециститом. Постконтрастное КТ. Визуализируется утолщение стенки желчного пузыря с включениями, которые соответствуют абсцессу или фокусам воспаления.
КТ желчного пузыря/Рак желчного пузыря
Наиболее часто встречаемый рак желчного пузыря является карцинома. Карцинома желчного пузыря занимает пятое место по частоте встречаемости среди раков желудочно-кишечного тракта. Чаще его обнаруживают случайно (в 2% случаях) при гистологической проверке после холецистэктомии. Карцинома желчного пузыря выявляется на последних стадиях заболевания так, как себя не проявляет клинически на ранних. Специфических признаков при карциноме желчного пузыря также нет. Рак может поражать желчный пузырь диффузно, целиком стенку или пристеночно. Карцинома желчного пузыря имеет схожую картину с ксантогрануломатозным холециститом, но при постановке диагноза радиологу помогают такие находки:
- Прорастание в соседние органы.
- Вторичная дилатация желчных протоков.
- Метастазирование в печень или лимфатические узлы.

УЗИ (слева) и КТ (справа) желчного пузыря. На УЗИ ярко выраженное утолщение стенки желчного пузыря (указаны белыми стрелками). Множественные камни в просвете желчного пузыря (указано стрелкой). Компьютерная томография с контрастным усилением. На КТ визуализируются утолщение стенки с внутристеночными гиподенсными включениями. На КТ также выявлено, что процесс распространился на печень (указано стрелкой).
УЗИ брюшной полости: что показывает и как избежать ошибок диагностики

Ультразвуковое исследование (УЗИ) брюшной полости - современный высокотехнологичный метод диагностики, позволяющий оценить состояние внутренних органов и выявить большой спектр заболеваний.

В отличие от других методов, УЗИ позволяет визуально осмотреть внутренние органы, изучить их анатомические особенности, структуру и определить воспалительные процессы и новообразования, не травмируя ткани организма. Специалисту не придется рассекать брюшную стенку, чтобы получить объективную и достоверную картинку на экране монитора. Именно поэтому сегодня УЗИ брюшной полости - золотой стандарт диагностики и одна из самых востребованных медицинских процедур.
Как работает УЗИ брюшной полости?
Ультразвуковая диагностика действует по принципу отражения ультразвуковых волн от исследуемых тканей. Специальная насадка аппарата УЗИ посылает ультразвуковые волны, которые проникая через переднюю брюшную стенку, отражаются от плотных тканей. Результат фиксируется и передается на экран монитора, что позволяет специалисту, не имея прямого доступа к внутренним органам полноценно визуализировать их. Очаги с более высокой плотностью (новообразования, камни) отображаются на экране белыми участками на тёмном фоне. Также аппарат «видит» контуры органа, изменения его структуры и расположение относительно соседних органов.
К общим сведениям, выявленным с помощью ультразвукового исследования, относят:
- размер органа;
- структуру тканей;
- расположение органа;
- наличие участка воспаления;
- наличие или отсутствие новообразований;
- деформация или патология развития;
- выявление свободной жидкости, которой в норме быть не должно.
При всей информативности метода, аппарат УЗИ не способен оценивать функциональное состояние органов. Это значит, что при помощи только лишь ультразвука, невозможно однозначно утверждать, справляется орган с нагрузкой, возлагаемой на него, или нет.
Результатом проведения такой диагностики становятся снимки УЗИ. Когда мы смотрим на готовые снимки, полученные на УЗИ, то видим, как разные органы и их части окрашены в разные цвета и оттенки. Это связано с тем, что разные по плотности ткани имеют разные свойства.
Как подготовиться к УЗИ брюшной полости?
УЗИ брюшной полости проводится натощак. Вечером лучше отказаться от плотного ужина, потому что газы, скопившиеся в кишечнике, не пропускают ультразвук. Именно поэтому, накануне также важно отказаться от продуктов питания, способствующих усиленному газообразованию - бобовые, черный хлеб, капуста, яблоки и т.д. Если пациент привык много кушать, за день до процедуры лучше принять слабительное.
Также нужно отказаться от курения, потому что сигаретный дым вызывает спазм кишечника и желудка. С утра запрещено даже пить воду, не говоря уже о лёгком перекусе. Любое отступление от правил грозит искажением результатов.
Особенности проведения процедуры
УЗИ брюшной полости проводится трансабдоминальным способом, т.е. через брюшную стенку, и не причиняет пациенту никакой боли или дискомфорта. Пациент ложиться на кушетку и оголяет область живота. Специалист наносит на кожу передней брюшной стенки специальный гель, на основе воды, который призван обеспечить отсутствие воздушной прослойки между датчиком аппарата и телом пациента.
Далее, специалист проводящий диагностику, прикладывает датчик к коже и начинает водить им по животу, одновременно просматривая картинку на экране монитора. Пациент при этом не испытывает каких-либо необычных или дискомфортных ощущений.
Расшифровка результатов может осуществляться непосредственно специалистом, который проводит УЗИ, или лечащим врачом пациента, которому для постановки диагноза достаточно взглянуть на снимки и результаты замеров.
Какие органы исследует УЗИ брюшной полости?
К органам брюшной полости относятся желудок, поджелудочная железа, селезёнка, почки, мочеточник, мочевой пузырь, сосуды брюшной полости. Проверить, как работает любой из этих органов можно, сделав УЗИ брюшной полости с помощью современного аппарата. Соответственно, оценив визуально эти органы можно определить наличие патологических изменений и поставить точный диагноз.
Врач исследует на УЗИ каждый орган на выявление той или иной проблемы.
Диагностика печени при помощи УЗИ брюшной полости
Печень — самая крупная железа организма, которая имеет свойство накапливать токсины, поэтому нередко повреждается в довольно молодом возрасте. Брюшной пресс не позволяет печени выпирать из-под рёбер. Печень состоит из четырёх долей: правой, левой, квадратной и хвостатой, что прекрасно просматривается в процессе ультразвуковой диагностики.
Печень довольно большой орган, поэтому врач исследует на УЗИ каждую долю в отдельности, изучая её контур, размер и структуру. В норме связок между сегментами печени быть не должно. Они визуализируются при наличии свободной жидкости. Также у здоровой печени хорошо просматривается печеночная вена, воротные вены и желчевыводящие протоки. Здоровый орган имеет чёткие контуры, ровную внешнюю оболочку (капсулу) и острые углы. Увеличение одного из сегментов указывает на развитие опухоли, увеличенные размеры всей печени — на воспаление. Бугры на поверхности органа говорят о патологии развития, а закругление краёв должны вызвать подозрения на печеночную недостаточность.
УЗИ отображает размеры органа: норма длины печени — 14-18 см (в зависимости от пола), диаметр поперечного сечения — 9-12 см, диаметр печеночной артерии — 6 мм.
Изменения в эхогенности печени указывают на различные заболевания:
- Мелкие очаги измененной эхоплотности говорят о жировом гепатозе (болезнь характерна для людей, ведущих малоподвижный образ жизни и увлекающихся сладкой и жирной пищей);
- Смешанная эхогенность указывает на развитие цирроза печени. На начальной стадии она увеличена в размерах, на поздних этапах дистрофирует и значительно уменьшается в объёме;
- При стеатозе (жировых накоплениях в виде капель) эхогенность увеличивается при отражении от жировых участков;
- При расширении желчных протоков эхогенность значительно увеличивается;
- Если у печени находятся ленточные черви, на экране визуализируется сетчатая структура и расплывчатость контуров;
- Для воспаления печени характерна пониженная эхогенность.
Нарушение структуры печени говорит о развитии новообразований. Их также можно описать на основании снимком УЗИ.
Диагностика желчного пузыря при помощи УЗИ брюшной полости
Специалист по УЗИ-диагностике одновременно с исследованием печени, описывает и желчный пузырь, потому что это взаимодополняемые органы: желчный пузырь продуцирует желчь, которая поступает в печень и расщепляет жиры. В норме на экране монитора орган имеет слегка грушевидную форму при длине 6-9 см, ширине 3-5 см при толщине стенок до 4 мм.
Диаметр желчного протока, через который жидкость попадает в печень, не превышает 6 мм. Если протоки расширены, то у пациента скорее всего плохой отток желчи. Она остаётся внутри органа и давит на его стенки. Такая проблема чревата нарушением пищеварения и сильными болями.
На экране аппарата УЗИ здоровый желчный пузырь имеет ровные и однородные контуры без утолщений. Толщина свыше 4 мм указывает на воспалительный процесс. При хроническом холецистите повышается эхогенность. Области с перемещающейся эхогенностью говорят о наличии песка в желчном пузыре. Камни также перемещаются при изменении положения тела, и имеют повышенную эхогенность. УЗИ отображает их как участки белого цвета. Полипы слизистой оболочки желчного пузыря имеют ту же эхогенность, что и сам орган. Но они отчётливо заметны на экране. Если они свыше 10 мм, их удаляют. В остальных случаях наблюдают за динамикой роста.
Диагностика поджелудочной железы при помощи УЗИ брюшной полости
С помощью ультразвуковой диагностики исследуется как тело, так и головка поджелудочной железы. Этот орган регулирует обменные процессы, а также выделяет ферменты, участвующие в переваривании пищи. Без этого органа человек не проживет и дня, а любые нарушения в работе железы значительно снижают качество жизни человека. В норме орган имеет форму буквы S. На УЗИ аппарате сложно определить всю патологию. Специалист видит только изолированные участки, а также косвенные признаки проблемы. Если они были замечены, врач направляет больного для более детального обследования.
Железа имеет длину 14-22 см при весе 70-80 грамм. Главный проток имеет диаметр 1 мм, но при панкреатите или новообразовании он увеличивается, а при камнях — уменьшается. Воспаление изменяет размер органа либо его отдельных частей. В 60% случаев злокачественные опухоли локализуются в головке железы, она достигает длины до 3,5 см. Также к увеличению размеров приводят кисты, они делают контуры выпуклыми.
Контуры здорового органа должны быть четкими и однородными. Расплывчатость говорит о воспалении, хотя реактивный отёк иногда является цепной реакцией на язву желудка или гастрит. Камни и кисты имеют четкие контуры, а новообразования — размытые границы. Но увидеть это на экране монитора УЗИ аппарата способен только опытный и внимательный специалист.
Повышенная эхогенность типична для камней и хроническом панкреатите, а при остром панкреатите она понижена. Пятна белого цвета на экране монитора свидетельствуют о кистах и абсцессах. Смешанная эхогенность бывает при изменении структуры органа (например, при патологии островков Ларгенганса, продуцирующих инсулин).
Диагностика селезенки при помощи УЗИ брюшной полости
УЗИ этого органа позволяет выявлять заболевания на самой ранней стадии. Ультразвуковое обследование показывает следующие параметры органа:
- Размеры органа — в норме длина не превышает 13 см, ширина — 8 см и толщина 5 см;
- Эхогенность — у здорового органа она средняя. Отсутствие эхогенности указывает на абсцесс, а гиперэхогенность вызывается накопившимися пузырьками газа;
- Форма селезенки — в норме она имеет форму полумесяца, но различные новообразования делают форму округлой, а контуры неровными;
- Повреждение структуры селезенки — такое происходит при инфаркте — кровоизлиянии, вызванном тромбозом артерии или вены. УЗИ отображает пониженную эхогенность, нечеткие контуры и треугольную форму органа;
- Травмы селезёнки — при разрыве вследствие тупой или острой травмы живота образуется гематома. На экране монитора это отображается отсутствием эхогенности на месте травмы, а также визуализацией свободной жидкости;
- Кисты — они имеют четкий контур и овальную форму, поэтому легко визуализируются аппаратом УЗИ. Внутри кисты находится жидкость, поэтому она имеет анэхогенную структуру.
Диагностика лимфатических узлов при помощи УЗИ брюшной полости
УЗИ в норме не визуализирует лимфатические узлы. Если они видны на экране монитора, это свидетельствует о развитии такого страшного заболевания, как миелолейкоз или лимфолейкоз. При таком заболевании увеличивается в размерах и селезёнка.
Если лимфоузлы заметны на УЗИ, но другие органы имеют нормальные размеры, у человека, возможно, развивается инфекция. Селезенка фильтрует кровь от бактерий и вырабатывает антитела, поэтому при инфекционном заражении увеличатся в размере именно внутренние лимфатические узлы. В зависимости от их расположения врач выявляет нарушения в работе соседних органов. Неоднородная эхоструктура селезёнки говорит о разрушении её тканей, болезнях крови и поражении органа патогенными микробами и вирусами.
Диагностика почек при помощи УЗИ брюшной полости
Состояние этого парного органа определяется наиболее достоверно именно ультразвуковым методом диагностики. Он определяет следующие показатели:
- Визуализация и определение размеров почки . В норме у человека должно быть две почки длиной 10-12 см, шириной 5-6 см и толщиной 4-5 см. Левая почка при этом располагается немного выше правой, которая имеет меньшие размеры. Здоровая почка имеет форму боба с чётким однородным контуром. Но порой выявляется такая патология, как удвоение почки. Причём в 12% удваиваются обе почки, а в 88% — визуализируется одностороннее удвоение. Аномальный орган состоит из двух сросшихся сегментов, каждый из которых имеет собственное кровоснабжение. УЗИ выявляет патологию не только у родившегося человека, но и у плода на стадии 25 недель развития. Также иногда выявляется агенезия (нехватка) органа. В целом и та, и другая патология не влияет на качество жизни, если при этом развит мочеточник. Но людям с аномалиями развития почек следует наблюдать за своим здоровьем,потому что они более уязвимы для инфекций и вирусов.
- Диффузные и очаговые изменения паренхиматозной ткани. Паренхимой называют ткань, из которой состоит орган, имеющей корковый слой, в котором образуется моча, и мозговое вещество, состоящее из канальцев. Паренхима в норме должна иметь толщину 16-25 мм, у людей старше 60 лет она уменьшается до 11 мм. Несмотря на то, что почка защищена фиброзной капсулой, попадающие в организм токсины, микробы и продукты распада нарушают структуру тканей. На УЗИ можно увидеть утолщение (такое случается при воспалении из-за развития инфекционной болезни почки) или уменьшение паренхимы (при сахарном диабете, интоксикации, вирусах).
- Расположение почек. На УЗИ специалист видит расположение почек. В норме правая почка располагается на уровне 12-го грудного позвонка, левая — на уровне 11-го. Если в положенном месте почка не визуализируется, это свидетельствует о развитии нефроптоза — опущении почки в брюшную полость. Заболевание опасно тем, что опущенный орган перекручивается, нарушая нормальный кровоток. Это чревато серьезными заболеваниями.
- Эхогенность почки . Интенсивность отражения ультразвука зависит от плотности ткани: низкая плотность отображается на экране монитора тёмными пятнами, высокая плотность — белыми. Более светлые участки означают нарушение структуры почки, что случается при воспалительных явлениях (гломерулонефрите). Повышенная эхогенность указывает на патологию почки (новообразования, песок, камни и пр.)
На УЗИ нельзя увидеть признаки острого пиелонефрита. Единственным признаком патологии является пониженная эхогенность и отек почки. Изменения становятся видно при хроническом пиелонефрите: имеются очаги гиперэхогенности, кисты, уменьшаются размеры органа. При туберкулёзе (усыхании) почки видны полые участки, наполненные жидкостью.
Песок в почках также не визуализируется на УЗИ. Аппарат может видеть инородные включения, диаметр которых превышает 2 мм. Т.е. реально специалист определяет только камни, а «песок в почках» выявляется только с помощью анализов мочи. УЗИ выявляет 97% болезней почек. Если приложить дополнительно анализы мочи, то пациент будет знать на 100% о заболеваниях почек.
УЗИ брюшной полости - диагностическая процедура, позволяющая получить огромный объем достоверной информации о состоянии внутренних органов пациента, не травмируя здоровые ткани и не причиняя ему боли. Еще одно важное преимущество метода - снимки можно хранить столько времени, сколько это необходимо.
Что такое эхогенность: расшифровываем снимки УЗИ

Ультразвуковое исследование - один из самых доступных и распространённых методов диагностики многих заболеваний. В его основе лежит принцип эхолокации, т.е. способность тканей отражать ультразвуковые лучи. Главный параметр, характеризующий состав и свойства тканей и жидкостей на УЗИ — эхогенность.
Комплексное УЗИ брюшной полости — 1000 руб. Комплексное УЗИ малого таза — 1000 руб. Консультация врача по результатам анализов, УЗИ — 500 руб. (по желанию) Все цены смотрите в разделе «ЦЕНЫ«
Что такое эхогенность
Перевёрнутое чёрно-белое изображение - вот что видит сонограф при обследовании. Все органы человека отражают ультразвук по-своему. Цвет зависит от плотности органа: чем он плотнее, тем белее картинка. Так, например, жидкость изображается в чёрном цвете. Способность тканей органов отражать ультразвук - это и есть эхогенность.

Главные ультразвуковые параметры
Выполняя УЗИ, врач оценивает несколько параметров, основными из которых — эхогенность, структура и контуры органа.
Изображение на мониторе УЗИ-аппарата состоит из точек — пикселей, каждый из которых окрашен одним из 1024 оттенков серого цвета. Степень интенсивности цвета будет напрямую зависеть от громкости отражённых УЗ-лучей. Более плотные органы отражают волны очень хорошо, поскольку они принимают колебания среды и становятся интенсивными вторичными источниками звука. Поэтому ультразвук возвращается на датчик практически в исходном состоянии.
Это явление очень схоже с эхом в горах. Так, сильное отражение окрасит изображение в светло-серый или белый цвет, а слабое даст тёмно-серый оттенок, приближённый к чёрному. Опираясь на цвет полученной картинки врач определяет состояние органов и тканей.
Виды эхогенности тканей
Существует несколько видов эхогенности:
- изоэхогенность- нормальная (ткани и органы на УЗИ отображаются в сером цвете);
- гипоэхогенность - сниженная (объекты тёмного цвета, ближе к чёрному);
- гиперэхогенность- повышенная (пиксели окрашены в белые или светло-серые оттенки);
- анэхогенность - эхонегативность, т.е. отсутствие эхогенности (структуры чёрного цвета).
По характеру окраса органа различают гомогенность (однородный цвет) и гетерогенность (неоднородное окрашивание органа). Так, например, на УЗИ печени гомогенным окажется ультразвуковое изображение здоровой печени, а гетерогенным - печени, поражённой циррозом. То есть однородность цвета - показатель нормального состояния органа.
Структура здорового органа, как правило, однородная. Если присутствуют какие-то включения либо неоднородность структуры, то врач тщательно исследует эти изменения. В некоторых случаях неоднородную структуру выявляют за счёт чередования гипо- и гиперэхогенных участков, при котором наблюдается своеобразный «пёстрый» рисунок.
Важный параметр УЗИ - контуры органов и образований. В норме силуэт должен быть ровным, чётким. В случае с органом отклонение от нормы может свидетельствовать о воспалительном процессе в нём, а с образованием - о его злокачественности. У раковой опухоли края будут кривыми, у доброкачественного новообразования — ровными.
Гиперэхогенность тканей — белые пятна на снимке УЗИ
Плотные органы и ткани отражают ультразвуковые волны с высокой скоростью. Это означает, что они гиперэхогенны. Повышенная эхогенность характерна для костей, отложения солей кальция (камней, песка), воспалённых тканей, рубцов или скопления в ткани жира.
Высокая эхогенность может быть выявлена и при изменении паренхимы ткани - основной ткани неполых органов. Её гиперэхогенность говорит о снижении насыщении клеток жидкостью, что бывает в результате:
- нарушения баланса гормонов в организме (для молочной, щитовидной, предстательной железы выявляются на УЗИ молочных желез , УЗИ простаты , УЗИ щитовидки );
- сбоя обменных процессов (метаболизма);
- неправильного питания (особенно для поджелудочной — хорошо видно на УЗИ поджелудочной );
- курения, употребления алкоголя или наркотиков;
- патологического процесса в паренхиме;
- воспалительной или травматической отёчности ткани.
Что означает повышение эхоплотности: нормы и патология
Часто на УЗИ встречается понятие «повышенная эхоплотность». Объяснить это можно так. Гиперэхогенность разных органов на УЗИ выглядит по-разному и имеет изменчивое значение:
УЗИ почек и мочевого пузыря при опухолях
Односторонняя трансформация формы и повышение величины почки - наиболее частый симптом опухоли почки. Степень выраженности данного симптома находится в прямой зависимости от размеров опухоли и поверхностности ее расположения в паренхиме почки. Локализованное повышение размеров почки свойственно главным образом экстраренальным образованиям.
Яркость ультразвукового сигнала (эхогенность) от опухолей почек разнообразная: от анэхогенного сигнала до гиперэхогенного. Основная часть опухолей почек характеризуются сигналом, равным по интенсивности паренхиме почки (изоинтенсивный). В меньшей степени на УЗИ почек образование будет более гипоэхогенным, чем сама почечная паренхима.

По мере роста опухоли почки на УЗИ чаще имеются симптомы некротических изменений новообразования. Выраженность последних вместе с ультразвуковыми признаками обызвествления в ткани опухоли определяет эхоструктуру выявленных очагов. Как правило, опухоли почек имеют эхоструктуру, которая носит в главным образом разнородный характер различной выраженности, умеренной эхогенности и в большинстве случаев, обнаруживается без каких-либо проблем.
Симптомы сдавления (деформации) чашечно-лоханочной системы почки выявляются у некоторых пациентов. Сочетание данного симптома в сочетании с другими до некоторой степени определяет возможную инвазию опухолью полостных структур почки. Чувствительность УЗИ почки в определении инвазии опухоли в ее полостную систему довольно низкая. Признак неровности контуров преобладает над опухолями почек, имеющими ровные контуры. Центральный эхокомплекс обладает гиперэхогенной структурой, а большинство опухолевых образований изоинтенсивные‚ поэтому определение распространения опухолевых масс в зону полостной системы почки в большинстве случаев очевидны. Хотя показатель специфичности имеет высокое значение, общая диагностическая эффективность ультразвукового исследования в определении инвазии опухоли в чашечно-лоханочную систему несколько ниже.
При определении на УЗИ опухолевого процесса необходимо установить отношение новообразования, капсулы почки и периренальной клетчатки. Если образование не имеет четкой границы с периренальной клетчаткой и соответствует низкому уровню ее эхогенности, то это будет косвенным признаком вовлеченности в опухолевый процесс периренальной клетчатки.
Точных признаков злокачественности опухоли при ультразвуковом исследовании почки не определяется. Однако, если на УЗИ опухоль имеет значительные размеры и у нее преобладает экстраренальньтй компонент, а также наблюдается значительная разнородность эхосигнала от образования, то можно думать о высокой вероятности злокачественной природы выявленного очага.

Также к вероятным признакам злокачественности опухоли относится определение метастатических поражений в виде признаков забрюшинной лимфаденопатии - увеличенных лимфатических узлов в области ворот почек или парааортальной зоны, и/или признаков очаговых поражений паренхиматозных органов живота (печени, селезенки, надпочечников). Обнаружение метастатических поражений играет принципиальную роль в установлении стадии опухоли почки.
Симптомы инвазии опухоли в сосудистую ножку почки и тромбирования почечной вены и /или нижней полой вены также обусловливают потенциальную злокачественность опухоли и запущенность патологического процесса почки.
При разборе полученных данных ультразвукового исследования больных с опухолевыми заболеваниями почек была установлена определенная частота ультразвуковых симптомов опухолевого поражения. Из нее видно, что чаще всего при опухоли почки при использовании ультразвукового сканирования определяется нарушение формы и величина размеров почки. Новообразования имеют, как правило, примерно равные по яркости эхосигналы с паренхимой почки. Как показал последующий статистический анализ, общая чувствительность ультразвукового исследования при диагностике опухоли почек составляет 95 %, общая специфичность — 60 %‚ а общая диагностическая эффективность равнялась 85 %.
Если происходит затруднение оттока мочи длительное время, то это приводит к расширению мочевого тракта над местом обструкции, что ведет к срыву выделительной функции почек. Из-за этого патологического состояния происходит явное уменьшение контрастности полостей мочевых путей, что нарушает их визуализацию при исследовании. Поэтому, рентгеновские симптомы расширения мочевых путей соединяются с признаками нарушения выделительной функции почек, которые способствуют уменьшению диагностического потенциала экскреторной урографии. В результате рентгеновское исследование при опухолях мочевого пузыря имеет посредственные возможности в установлении опухолевого поражения, на что прежде всего влияет локализация и размеры опухоли. Однако, экскреторная урография дает возможность увидеть мочевой тракт на всем протяжении, а это необходимо для диагностики переходно-клеточного рака, поскольку у него есть склонность к мультифокальному поражению. Кроме того, экскреторная урография дает возможность оценить состояние выделительной функции почек.
Ультразвуковая диагностика опухолей мочеточников
Существенным симптомом опухоли мочеточника считается признак наличия солидного образования в просвете мочеточника, которое порождает его обструкцию и, соответственно, проксимальное расширение мочевых путей. Опухоли присущи неровные и нечеткие внутренние границы, поэтому оценить его размеры в пределах стенки мочеточника и дифференцировать поражение близлежащх тканей, как правило, сложно из-за частого наслоения петель кишечника. Поэтому УЗИ в определении опухолей мочеточника имеет средние возможности. Обычно во время ультразвуковой диагностики обнаруживаются преимущественно непрямые знаки вторичной дилатации полостной системы почки и самого мочеточника, но уровень и причина обструкции часто не видны. Если образование расположено в нижней трети и имеет место существенная дилатация мочеточника, то вероятность увидеть опухоль мочеточника возрастает. В противном случае она закрывается петлями кишечника спереди и сбоку и мощными поясничными мышцами - сзади. Таким образом, только существенная дилатация мочеточника создает вероятность уверено обнаружить образование.
Ультразвуковая диагностика опухолей мочевого пузыря
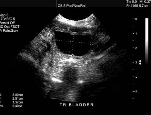
Частота ультразвуковых признаков при опухолях мочевого пузыря различна. Важнейшим симптомом опухолевого поражения мочевого пузыря является симптом тканевого пристеночного образования мочевого пузыря у ряда пациентов признак локального утолщения и неравномерности стенки мочевого пузыря.
На УЗИ обычно выявляется одно образование с неравномерными, расплывчатыми контурами, главным образом изоэхогенное стенке мочевого пузыря и умеренно неоднородной эхоструктуры. Увеличение стенки в области опухоли мочевого пузыря и модификация ее эхоструктуры позволяет предположить глубокую инвазию опухоли. Если необходимо установить связь опухоли и предстательной железы, то применяется трансректальное УЗИ.
Основным симптомом опухолевого процесса в мочевом пузыре на ультразвуковом сканировании будет выявление дефекта наполнения в его просвете в виде симптома экзофитного интравезикального солидного очага. Особенности метода ультразвукового исследования, позволяющие получать изображения различных сечений исследуемых объектов‚ дает возможность сделать полипозиционное и полипроекционное исследование всех без исключения отделов стенки мочевого пузыря. Это позволяет выявлять случаи мультифокального поражения. По нашему опыту работы в Красноярске, самая маленькая опухоль, выявленная на трансабдоминальном УЗИ, была равна в ширину 5 мм, а в высоту 6 мм.

Ворсинчатый характер образований объясняет нечеткость и неровность малых образований, когда большие новообразования имеют нечеткий и неровный контур преимущественно за счет воспалительно-некротических изменений, о чем свидетельствует так называемый «изъеденный» характер их поверхностей. При этом меняется и сама эхоструктура новообразования.
Выявленные образования мочевого пузыря по своей эхогенности преимущественно имеют изоэхогенный или гиперэхогенный сигналы. Гипо- анэхогенные участки в ткани опухоли расцениваются как проявления в ней выраженных воспалительно-некротических изменений. Но высокая степень неоднородности опухолевой ткани недостаточно надежный критерий и показатель его чувствительности составляет 70%‚ а специфичности 45%. Другим фактором, вызывающим картину выраженной ультразвуковой неоднородности, является наличие на поверхности и в структуре опухоли гиперэхогенных очагов инкрустации мочевыми слоями.
Таким образом, с увеличением опухоли преимущественно возрастает размер ее основания, контуры опухоли приобретают «изъеденный» характер, а эхоструктура образования становится неоднородной за счет воспалительной инфильтрации и кальцификации поверхности и более глубоких тканей. Но для определения лечебной тактики информации о размерах, локализации и структуре ткани опухоли недостаточно.
После этапа выявления факта наличия образования мочевого пузыря при УЗИ необходимо установить степень распространенности опухоли. Но если эти признаки определены при использовании специальных методик трансректального или трансвезикального исследований, высока вероятность их гистологического подтверждения (высокая специфичность).
При ультразвуковом сканировании мы приобретаем ценные данные о присутствии новообразования мочевого пузыря, его размеров, локализации, характера поверхности. В некоторой степени видны осложнения поражения, включающий выявление глубины опухолевого поражения стенки мочевого пузыря, отношения опухоли к паравезикулярной клетчатке, к другим органам (предстательной железе, семенным пузырькам, прямой кишке, влагалищу, матке и др.), установления опухолевой лимфаденопатии.
Диагностические возможности трансабдоминального ультразвукового исследования в определении глубокой инвазии при опухолях мочевого пузыря характеризуются невысокими показателями. Обычно на УЗИ пристеночное образование мочевого пузыря с неровными, нечеткими контурами выраженно неоднородной эхоструктуры. В ряде случаев структура образования не просматривается за счет поверхностного обызвествления, дающего эффект акустической тени.

Если имеется разность в эхогенности опухоли и стенки мочевого пузыря, предстательной железы, паравезикальной клетчатки), то вероятно установление симптомов глубокой инвазии опухоли в стенку мочевого пузыря, знаков прорастания опухоли в паравезикальную клетчатку‚ признаков инвазии опухоли в предстательную железу. Но надо иметь ввиду, что полученные данные не имеют высокую достоверность и являются лишь предположением. Применяя специальные методики ультразвукового исследования, режим цветового допплеровского картирования, трансабдоминально, в некоторой степени реально повышение достоверности его данных при опухолевом поражении мочевого пузыря. Использование ТРУЗИ ли ТВУЗИ открывает большую возможность хорошо визуализировать область мочепузырного треугольника и частично дно и боковые стенки мочевого пузыря, позволяет увидеть изменения смежных органов: предстательной железы, семенных пузырьков, матки, влагалища. На эхограмме определяется внутриполостное пристеночное изоэхогенное, однородное образование, с нечеткими и ровными контурами. Подлежащая стенка мочевого пузыря утолщена‚ эхогенность ее не изменена. Граница основания образования и стенки «зазубренная».
Существенно повышаются потенциал УЗИ в регистрации стенки мочевого пузыря и диагностике распространения опухолевого процесса в глубь ее слоев если применить трансвезикальный способ сканирования. Близость датчика к изучаемому объекту резко повышает разрешающую способность, что позволяет в деталях рассмотреть стенки мочевого пузыря, даже при изоэхогенных новообразованиях мочевого пузыря. Но в данном случае, глубина проникновения высокочастотной ультразвуковой волны не глубока, что не позволяет четко увидеть ткани, залегающие глубже.
На трансабдоминальном ультразвуковом обследовании обычно регистрируется пристеночное внутриполостное образование, с нечеткими и неровными очертаниями, неоднородной эхоструктуры. Стенка мочевого пузыря в области опухоли не дифференцируется‚ эхогенность паравезикальной клетчатки повышена, сливается с определяемым очагом. Нередко находят изменения эхоструктуры базальных отделов или какой-либо доли предстательной железы.

УЗИ в Красноярске оказывает существенную помощь при диагностике опухолей мочевого пузыря дает возможность рассчитать размеры, уточнить место новообразования, что подтверждается расчетными данными. Проведение ультразвукового сканирования позволяет предположить глубину поражения стенки мочевого пузыря, вовлечение в процесс паравезикальной клетчатки и предстательной железы. Специальные методы оценки мочевого пузыря на ТРУЗИ и ТВУЗИ значительно повышают возможность метода и используются по мере такой необходимости.
Читайте также:

