Показания для артродеза голеностопного сустава с использованием аппарата наружной фиксации
Добавил пользователь Евгений Кузнецов Обновлено: 13.12.2025
«Имею деформацию левого голеностопного сустава. Страдаю от постоянных болей. Из-за нестабильности сустава часто падаю. Делаю гимнастику, ношу спецстельки, принимаю нестероидные противовоспалительные средства, хондропротекторы, но состояние сустава не улучшается. Что можно сделать в таком случае?»
Это довольно частая жалоба на приеме у травматологов. Для таких пациентов решением проблемы может быть операция, которая восстановит стопу и купирует боли — артродез голеностопного сустава. Подробно о ней рассказал Олег Кезля, заведующий кафедрой травматологии и ортопедии БелМАПО, доктор мед. наук, профессор.
Суть операции
Артродез голеностопного сустава — операция по искусственному сращению сочленяющихся суставных поверхностей голеностопа в физиологически выгодном для функционирования ноги положении. Цель — придание опороспособности проблемной зоне, полностью блокировав ее подвижность (создание анкилоза).
Обездвиживание достигается за счет жесткого соединения примыкающих концов костей сустава между собой специальными металлическими фиксаторами: спицами, винтами, штифтами. Это позволяет суставным поверхностям срастись друг с другом под нужным углом, то есть привести сочленение в полное неподвижное состояние, что снимает болевой синдром.
Когда может понадобиться артродез
К серьезным патологиям, когда может потребоваться артродез, могут привести обычные травмы в зоне голеностопного сустава:
- вывихи и подвывихи,
- ушибы,
- переломы лодыжки,
- нарушения целостности пяточной и таранной кости,
- связочная дисторсия.
Падения с высоты или на скользкой поверхности, резкие ротационные развороты, неудачные прыжки — типичные ситуации, которые могут привести к повреждению структур голеностопного отдела.
Поэтому любые травматические поражения требуют своевременной диагностики и терапии. Застаревшие непролеченные травмы могут выстрелить спустя время болью и нарастающей ограниченностью локомоторного, опорного потенциала.
Наиболее частая патология посттравматического генеза с прогрессирующим течением — остеоартрит. Травму можно вылечить консервативно, а вот артроз голеностопного сустава — это уже неизлечимая патология, которая значительно ухудшает качество жизни человека.
Эндопротезирование суставного блока не всегда возможно. Этому может помешать, к примеру, сильные износ и деформация сустава. Остается один выход — операция по артродезу.
Виды операции
Существует несколько методов оперативного вмешательства.
1. Внутрисуставный. Вскрытие капсулы сустава с последующим удалением поврежденного гиалинового хряща с поверхностей костных элементов. После репозиции костей в выгодном положении выполняется их фиксация металлическими приспособлениями.
2. Внесуставный. Фиксирование костей сочленения только при помощи укладки костного трансплантата, при этом хрящевые покровы резекции не подлежат.
3. Комбинированный. Сочетание в одном хирургическом процессе внутрисуставного и внесуставного способов. Хрящевые структуры с сустава полностью счищаются, внедряется аутотрансплантат, который фиксируется специальными металлическими пластинами.
4. Компрессионный. Сдавливание сочленяющихся поверхностей аппаратом компрессионного или компрессионно-дистракционного типа для дальнейшего их сращения. Применяются аппараты Илизарова, Гришина, Волкова-Оганесяна. Удаление хряща не исключается. Вживление костного трансплантата для способа компрессии не требуется.
Показания
- вторичный (посттравматический) и первичный артроз 3-4-й ст.;
- тяжело протекающий хронический артрит, в т. ч. по ревматоидному типу;
- постоянная боль в голеностопе и/или отдающая в коленный сустав, которая усиливается даже при несущественных нагрузках;
- выраженная хромота на почве деформации сустава;
- стойкое нарушение опороспособности стопы, выражающееся невозможностью стать в полном объеме на ногу из-за слабости голеностопного аппарата, разболтанности;
- сильная сгибательно-разгибательная контрактура сустава;
- парезы и параличи мышц голени, которые развились на фоне перенесенного в прошлом полиомиелита;
- неправильно сросшийся перелом, псевдоартроз.
Противопоказания
- возраст, когда костно-мышечная система продолжает активно расти (до 12 лет операция строго противопоказана);
- свищи нетуберкулезного генеза в суставе;
- активные инфекционно-воспалительные процессы в зоне предполагаемого вмешательства или любые общие инфекционные болезни в фазе обострения;
- тяжелые формы легочной, почечной или сердечной недостаточности;
- хроническое заболевание в стадии декомпенсации (сахарный диабет и пр.).
Подготовка пациента
Планируя данный вид оперативного лечения, важно учесть несколько моментов.
Произвести оценку всех сочленений, соседствующих с проблемной областью, чтобы понять, насколько соседние сегменты способны принять на себя увеличенный комплекс нагрузки. Особенно нужно достоверно оценить состояние таранно-ладьевидного сочленения: на этот центральный сегмент стопы как раз придется максимальная доля нагрузки. Положительный эффект от артродезирования возможен только при отсутствии дегенеративно-дистрофических изменений в нем.
Назначить пациенту комплексное обследование с подтверждением необходимости использования данной операции при отсутствии противопоказаний.
Основные назначения пациенту:
- развернутые анализы крови и мочи, включая биохимию;
- рентген, МРТ или КТ сустава в нескольких плоскостях;
- исследование на ВИЧ, сифилис, гепатит;
- флюорография и электрокардиография;
- осмотр у узкопрофильных врачей (кардиолог, пульмонолог и пр.);
- консультация анестезиолога.
За неделю до предполагаемой операции пациенту необходимо прекратить применять НПВС и средства с кроворазжижающими свойствами.
Если использовались наружные системы фиксации, например, аппарат Илизарова, гипсование не применяется. При установке внутренних металлических имплантатов на прооперированную конечность в послеоперационном периоде используют гипсовую иммобилизацию. Пока анкилоз не состоится, пациент находится в гипсовой повязке. Полностью сустав срастается и обездвиживается через 3-6 месяцев после операции. Скорость костного сращения может отличаться в силу физиологических особенностей организма конкретного пациента.
Реабилитация
ЛФК. После артродеза голеностопного сустава с первых суток должна проводиться лечебная физкультура, чтобы препятствовать развитию атрофии мышц, тромбообразования и застойных явлений в легких. Это дыхательная гимнастика, изометрические упражнения для поддержания и укрепления мышц голени и бедра. Гимнастика предусматривает постепенное увеличение нагрузки.
Медикаментозное лечение. Оно включает высокоэффективную терапию против образования инфекционного патогенеза; применение симптоматических препаратов; использование медикаментов от тромбоэмболических осложнений.
Со вторых суток пациенту можно вставать. Ходить разрешается только с опорой на костыли, не допуская нагрузки на прооперированную конечность. После появления первых признаков анкилоза (примерно через 6 недель), разрешается частично включать щадящую осевую нагрузку на больную ногу. Нормально пробовать ходить пациент сможет не раньше, чем через 4-6 месяцев. Снятие металлоконструкций обычно через 10-12 месяцев. Внутренние фиксаторы не всегда нуждаются в извлечении.
Осложнения
Частота осложнений после стандартной операции с широким открытием сустава выше, чем после артроскопических вмешательств. Вот некоторые сравнительные данные о негативных реакциях для 2 видов процедур (без применения внешних фиксаторов), обнаруженных в течение первых 3 недель:
- флеботромбоз выявляется в 22 % случаев после открытого артродеза голеностопа, в 1,8 % после малоинвазивного вмешательства;
- раневая инфекция развивается примерно у 12 % больных, тогда как риски после артроскопии практически отсутствуют (
- некроз окружающих тканей, соответственно, в 17 % и 0,2 %;
- раневые гематомы и серомы: в 22 % и 0,9 %.
Интраоперационные кровопотери после стандартного артродезирования составляют 150-200 мл, после артроскопического артродеза — около 120 мл. Несостоятельность анкилоза спустя 6 месяцев определяется у 5-6 % людей, прошедших процедуру по традиционному сценарию, и у 0,5-0,9 % пациентов, которым делали артроскопию с интрамедуллярной фиксацией. После любого вида искусственного анкилоза существуют повышенные риски, связанные с формированием артроза в других суставах конечности и с укорочением длины ноги до 3 см.
СПРАВКА
Голеностоп — опора всего скелета и мышечной системы. Голеностопный сустав в норме должен выдерживать почти 90 % всей массы тела, когда человек стоит или занимается физнагрузкой в вертикальном положении. Также сустав обеспечивает амортизацию конечности, разнообразные движения стопы в нормальной амплитуде. Нарушение его работоспособности может привести к ухудшению походки, ограничить человека в передвижении вплоть до инвалидности.
Операция при остеоартрозе голеностопного сустава: эндопротезирование
Голеностоп занимает третье место по частоте развития в нем остеоартроза (9-25%), уступая только тазобедренному и коленному суставам.

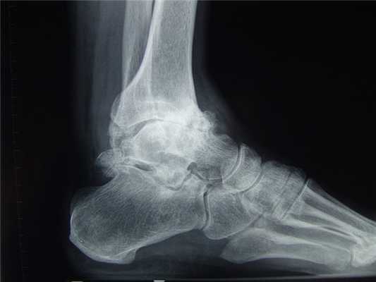
Остеоартроз голеностопного сустава на рентгене.
Основной причиной артроза голеностопного сустава (крузартроза) является травматическое повреждение его анатомических структур — таранной и большеберцовой кости, внутренней или наружной лодыжек. Реже болезнь развивается вследствие поражения голеностопа ревматоидным артритом. И еще реже артроз возникает спонтанно, в результате дегенеративно-дистрофических изменений в хрящевой и костной тканях.
Что такое остеоартроз голеностопного сустава
Артроз (деформирующий остеоартроз, ДОА) — это обобщающее название обширной группы заболеваний, для которых характерно изнашивание голеностопного сустава с прогрессирующей потерей его функций. Причины развития болезней могут быть различными. Однако чаще всего патология возникает вследствие тяжелых травм, сопровождающихся повреждением суставного хряща. В результате нарушается скольжение суставных поверхностей, что приводит к дальнейшему разрушению хрящей и костей. Таким образом развивается остеоартроз.
При ревматоидном артрите сначала возникает синовит — аутоиммунное воспаление синовиальной оболочки голеностопного сустава. Хрящи, кости и периартикулярные ткани поражаются позже.

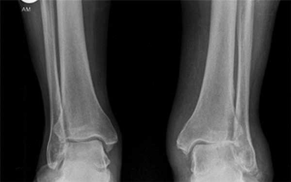
Остеоартроз левого(справа на снимке) голеностопного сустава
Для артрозов характерны такие изменения в голеностопном суставе:
- дегенерация хрящей и ухудшение их амортизирующей функции;
- асептическое воспаление и отек синовиальной оболочки;
- размягчение и изъязвление хрящей, обнажение подлежащих костей;
- субхондральный склероз костной ткани;
- сужение суставной щели и формирование костных экзостозов;
- гипотрофические и фиброзно-склеротические изменения параартикулярных тканей;
- прогрессирующая деформация сустава с нарушением его функций.
Характерные симптомы крузартрозов:
При сопутствующем синовите больных беспокоит утренняя скованность, локальное повышение температуры, припухлость в области голеностопа. При ревматоидном артрите синовиальная оболочка воспаляется первично, при посттравматическом крузартрозе — вторично, на поздних стадиях болезни. Со временем рецидивы синовита возникают чаще и имеют более выраженную симптоматику.
Стадии деформирующего остеоартроза голеностопа
Всего существует до десяти классификаций заболевания. Рассмотрим основные из них.
Стадии заболевания по объему поражения суставного хряща:
Рентгенологические стадии по Kellgren и Lawrence:
- 0 — полное отсутствие рентгенологических признаков;
- І — кистовидные изменения костной ткани, субхондральный линейный остеосклероз, краевые остеофиты небольшого размера;
- ІІ — сужение суставной щели, более выраженный остеосклероз;
- ІІІ — массивный субхондральный остеосклероз, сильное сужение суставной щели, остеофиты большого размера;
- ІV — массивные остеофиты, деформация эпифизов костей, практически полное отсутствие суставной щели.

Стадии остеоартроза голеностопного сустава
Классификация Н.С. Косинской:
- Начальная стадия. Характеризуется поражением только суставных хрящей. На рентгенограммах может визуализироваться незначительное сужение суставной щели, которое заметно лишь при сравнении с симметричным суставом.
- Стадия выраженных изменений. В дегенеративно-деструктивный процесс вовлекаются кости с развитием субхондрального остеосклероза. При рентгенографии выявляют краевые остеофиты и неравномерное сужение суставной щели как минимум на 50%.
- Стадия ярко выраженных изменений. Проявляется выраженным ограничением подвижности голеностопа. На рентгенограммах видны большие участки остеосклероза, массивные остеофиты, деформация костей и нарушение конгруэнтности суставных поверхностей.
В клинической практике в России и странах СНГ чаще всего используют классификацию Н.С. Косинской.
Диагностика
Для диагностики ДОА используют визуализирующие методы исследования, которые позволяют увидеть патологические изменения голеностопа. При вторичных артрозах, вызванных ревматоидным артритом, подагрой и т.д., дополнительно используют лабораторные методы. С их помощью выявляют причину и природу дегенеративно-воспалительных изменений в суставе.
Инструментальные методы диагностики:
- Рентгенография. Информативна на поздних стадиях заболевания, но не всегда позволяет обнаружить ранние изменения. С помощью рентгенографии можно визуализировать субхондральный остеосклероз, остеофиты, костные деформации, сужение суставной щели.
- Магнитно-резонансная томография (МРТ). Современный высокоинформативный метод исследования, позволяющий выявить практически любые дефекты хрящевой ткани. МРТ информативна на ранних стадиях артроза.
- Артроскопия. Инвазивная процедура, требующая проникновения в суставную полость. Позволяет изучить морфологию хряща и уточнить диагноз при помощи прицельной биопсии. Используется редко.
Можно ли лечить консервативно
На начальных стадиях артроз лечат консервативно, при помощи лекарственных препаратов, внутрисуставных инъекций и ЛФК. Однако болезнь склонна прогрессировать, несмотря на своевременные и эффективные терапевтические мероприятия. Поэтому большинству пациентов рано или поздно приходится ложиться на операционный стол.
Артродез голеностопного сустава.
Ранее золотым стандартом хирургического лечения был артродез — операция, направленная на полное обездвиживание голеностопа. С одной стороны, она помогала избавиться от хронических болей. С другой — изменяла биомеханику стопы и всей конечности, из-за чего нарушалась динамика ходьбы и нередко возникала хромота. Поэтому от артродеза стали отказываться, а вместо него начали выполнять эндопротезирование.
Эндопротезирование
Эндопротезирование — это сложная высокотехнологичная операция, в ходе которой врачи удаляют разрушенный сустав и заменяют его искусственным эндопротезом. Хирургическое вмешательство позволяет полностью ликвидировать болевой синдром, восстановить подвижность голеностопа и опороспособность конечности. Сегодня эндопротезирование является методом выбора в лечении ДОА.
Сейчас пациентам устанавливают эндопротезы последнего, третьего поколения. Они лишены недостатков своих предшественников, поэтому обеспечивают хорошие функциональные результаты. Их установка сегодня гораздо предпочтительнее традиционного артродеза.
Перспективы восстановления после операции
Замена голеностопа является радикальным методом лечения. В отличие от других методик, операция позволяет купировать болевой синдром и восстановить полный объем движений в суставе. Уже через несколько месяцев после эндопротезирования пациент возвращается к привычному образу жизни. Что касается осложнений, с изобретением протезов нового поколения их частота уменьшилась в несколько раз. А эндопротезирование стало не только эффективным, но и безопасным методом лечения.
Подведем итоги
На поздних стадиях артроза операция является единственным решением проблемы. Сегодня лучшим методом хирургического лечения является тотальное эндопротезирование — замена поврежденного сустава искусственным имплантатом. При успешном выполнении и отсутствии осложнений операция позволяет вернуть подвижность конечности и восстановить трудоспособность. Как правило, уже через 4-6 месяцев человек возвращается к привычному образу жизни.
Эндопротезирование — это высокотехнологичное хирургическое вмешательство, выполнение которого требует применения современного оборудования и инструментария. Поэтому оперироваться лучше в больницах с хорошей материально-технической базой. А доверять свое здоровье следует хирургам высокой квалификации, с большим опытом в эндопротезировании крупных суставов.
Артродез голеностопного сустава: виды замыкания, показания, осложнения
Артродез голеностопного сустава - оперативное вмешательство по искусственному сращению сочленяющихся суставных поверхностей голеностопа в физиологически выгодном для функционирования ноги положении. Основной целью хирургического лечения является придание опоропрочности проблемной зоне посредством полного блокирования ее подвижности (создания анкилоза). Обездвиживание достигается за счет жесткого соединения примыкающих концов костей сустава между собой специальными фиксаторами из металла (спицами, винтами, штифтами и пр.). Это позволяет прочно срастись суставным поверхностям друг с другом под нужным углом, то есть, привести сочленение в полное неподвижное состояние, что поможет пациенту избавиться от сильной боли и нестабильности стопы.

Техника артродезирования берет начало с самых истоков развития ортопедии, поэтому является устаревшей тактикой хирургии голеностопа. Открытие метода «замыкание сустава» датируется 1887 годом, впервые его предложил венский хирург Альберт. Операционные технические концепции мало чем изменились с того времени.
Эффективность артродеза голеностопного сустава имеет многолетнюю доказательную базу, но из-за радикального подхода и высокой частоты послеоперационных осложнений к вмешательству в стиле «ретро» обращаются в самых крайних случаях.
Травмы голеностопа сустава
Главное предназначение голеностопного сустава, образованного большеберцовой, малоберцовой и таранной костями, - быть надежной опорой для скелетно-мышечного аппарата. Этот отдел ноги должен стабильно выдерживать почти 90% от всей массы тела, когда человек стоит или выполняет в вертикальном положении любого рода физическую деятельность. Помимо опорных функций, сустав обеспечивает амортизацию конечности, разнообразные движения стопы в нормальной амплитуде:
- сгибание;
- разгибание;
- отведение;
- приведение;
- вращение.
Стабильную работу костного сочленения гарантирует здоровое состояние образующих его связок, костей, хрящей, мышц. Если хотя бы одна единица сустава выходит из строя, нарушается не только его работоспособность, но и происходит разбалансировка функций всего опорно-двигательного аппарата. Болезни голеностопного сочленения губительно отражаются на способности к передвижению, ведут к ухудшению походки, часто доводят человека до инвалидности. Нередко серьезные патологии, при которых может потребоваться артродез, начинаются с банальных травм, локализирующихся в данной зоне:
- ушибов;
- вывихов и подвывихов;
- переломов лодыжки;
- нарушения целостности пяточной кости;
- связочной дисторсии (растяжений, надрывов связок и пр.).
Поражения травматической природы чаще возникают вследствие прямого воздействия механической силы, что провоцируют локальные удары, падения с высоты, неудачные прыжки, резкие ротационные развороты. В конце концов, человеку иногда достаточно просто поскользнуться на скользкой поверхности или споткнуться, чтобы случилось повреждение составляющих структур голеностопного отдела.
Любые травматические поражения требуют своевременной диагностики и безотлагательной терапии. Спустя некоторый период травма, если не была оказана в свое время надлежащая медицинская помощь, дает о себе знать уже нешуточными последствиями. Патологии, ставшие результатом старой травмы, на фоне мнимого благополучия проявляются внезапным возникновением болей и нарастающей ограниченностью локомоторного, опорного потенциала. Люди не понимают, что случилось, откуда появился дискомфорт, а причиной оказывается былая травма.
Запомните! Сложные дегенеративно-дистрофические процессы, зачастую необратимые, преимущественно развиваются не сами по себе, а диагностируются как посттравматическое осложнение. Наиболее частые патологии посттравматического генеза с серьезным прогрессирующим течением - это артрит и остеоартроз.
Артроз, в свою очередь, является последствием артрита. Вот такой вот цепной механизм развития сложной клинической ситуации. От травмы до деформирующего остеоартроза (ДОА) несложно дойти за пару-тройку лет. Но если травму несложно вылечить консервативно, то с артрозом голеностопного сустава все иначе - это неизлечимая болезнь, которая критически угнетает качество жизни, негативно влияет на статику и динамику всей конечности.
Показания к проведению операции
Блокирование двигательных функций голеностопного сегмента путем костного сращения назначается при выявлении таких патологических состояний, как:
- вторичный (посттравматический) и первичный артроз 3-4 ст.;
- тяжело протекающий хронический артрит, в том числе по ревматоидному типу;
- постоянная боль в голеностопе и/или отдающая в коленный сустав, которая усиливается даже при несущественных нагрузках;
- выраженная хромота на почве деформации сустава;
- стойкое нарушение опороспособности стопы, выражающееся невозможностью стать в полном объеме на ногу из-за слабости голеностопного аппарата, разболтанности;
- сильная сгибательно-разгибательная контрактура сустава;
- парезы и параличи мышц голени, которые развились на фоне перенесенного в прошлом полиомиелита;
- неправильно сросшийся перелом, псевдоартроз.

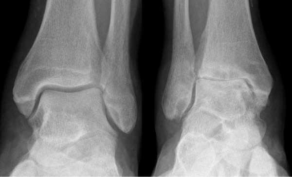
Артроз левого сустава. Суставная щель очень мала.
Противопоказания к артродезу голеностопного сустава
Артродезирование использовать в двигательно-опорном сегменте голеностопа не рекомендуется, если:
- пациент находится в том возрасте, когда костно-мышечная система продолжает активно расти (до исполнения 12 лет операция строго противопоказана);
- в суставе обнаружены свищи нетуберкулезного генеза;
- определены активные инфекционно-воспалительные процессы в зоне предполагаемого вмешательства или любые общие инфекционные болезни в фазе обострения;
- больной страдает тяжелыми формами легочной, почечной или сердечной недостаточности;
- присутствует хроническое заболевание в стадии декомпенсации (сахарный диабет и пр.);
- выявлена непереносимость на препараты анестезиологического предназначения.
Виды оперативного вмешательства
Когда износ и деформация сустава слишком сильные, это может стать препоной и для проведения замены суставного блока эндопротезом. Поэтому даже при всем желании поменять больной сегмент на искусственный аналог не всегда сделать реально. В этом и всех описанных ситуациях выше остается один выход - применить операцию по артродезу. Она позволит стабилизировать голеностоп и сократить болевую симптоматику до минимума, тем самым значительно улучшить качество жизни пациента. Существует несколько методов оперативного вмешательства.
- Внутрисуставный. В процессе хирургии выполняется вскрытие капсулы сустава с последующим удалением поврежденного гиалинового хряща с поверхностей костных элементов. После репозиции костей в выгодном положении выполняется их фиксация металлическими приспособлениями.
- Внесуставной. Фиксирование костей сочленения только при помощи укладки костного трансплантата, при этом хрящевые покровы резекции не подлежат.
- Комбинированный. Эта техника подразумевает сочетание в одном хирургическом процессе двух способов: внутрисуставного и внесуставного. Так, хрящевые структуры с сустава полностью счищаются, внедряется аутотрансплантат, который фиксируют специальными металлическими пластинами.
- Компрессионный. Операция заключается в сдавливании сочленяющихся поверхностей аппаратом компрессионного или компрессионно-дистракционного типа для дальнейшего их сращения. Широко применяемые конструкции - аппараты Илизарова, Гришина, Волкова-Оганесяна. Удаление хряща не исключается. Вживление костного трансплантата для способа компрессии не требуется.

Подготовка пациента к артродезу голеностопа
Планируя данный вид оперативного лечения, предельно значимо произвести оценку всех сочленений, соседствующих с проблемной областью. Это необходимо, чтобы понять, насколько соседние сегменты способны принять на себя более увеличенный комплекс нагрузки. Так как двигательный потенциал голеностопного сустава заблокируется после операции, рядом расположенные подвижные соединения, естественно, будут больше нагружены. Особенно важно достоверно оценить состояние таранно-ладьевидного сочленения, ведь как раз на этот центральный сегмент стопы придется максимальная доля нагрузки. На положительный эффект от артродезирования можно рассчитывать сугубо при отсутствии дегенеративного патогенеза в нем.
Добро на оперирование пациента дается только после комплексного обследования с подтверждением явной необходимости использования данной медицинской помощи при отсутствии противопоказаний. Пациенту назначают прохождение ряда диагностических мероприятий:
Кроме того, специалист должен дополнительно удостовериться, что эффект артродеза с максимальной вероятностью «сработает» и самочувствие пациента заметно улучшится. Для этого предварительно проводят своеобразный тест, заключающийся в наложении гипса на сустав. Так, человек ходит с зафиксированным в гипсе голеностопом примерно 7 суток, а по истечении недели ортопед-травматолог окончательно определяет целесообразность проведения операции. Если тестовое обездвиживание помогло создать опору конечности и значительно сократить боль, операцию проводят. При сохранившемся дискомфорте, появлении болезненности или усилении боли, усугублении походки - артродез отменяется.

За неделю до предполагаемой даты вмешательства следует остановить применение препаратов с противовоспалительным действием (НПВС) и средств, которые обладают кроворазжижающими свойствами. Накануне хирургии пищевой рацион должен быть легким, за 6-8 часов прекратить употребление пищи.
Внимание! Заранее позаботьтесь, чтобы по вашему прибытию домой из стационара жилое пространство было подготовлено. Следует убрать напольные ковры, дорожки и шнуры с полов, о которые можно зацепиться ногой и упасть. Предметы и вещи первой необходимости разместите в легкодоступных местах. В ванной комнате необходимо постелить нескользкие коврики из резиновых или силиконовых материалов на липучках и т. д.
Проведение операции
Артродез голеностопного сустава по традиционной методике выполняется под общим наркозом открытым способом. Операционные манипуляции под контролем артроскопа могут быть выполнены под спинальной анестезией. На осуществление сеанса требуется в среднем 2-3 часа интраоперационного времени. Рассмотрим принцип проведения классической тактики.
- На нижнюю треть бедра накладывается пневматический жгут. Далее создают доступ, совершая скальпелем линейный кожный разрез вдоль сустава. Разрез равен примерно 10 см.
- На следующем этапе выполняется вскрытие и надежная супинация сустава, которая облегчит работу с очередными манипуляциями.
- Затем подготавливаются поверхности большеберцовой и таранной костей. Подготовка включает резекцию хрящевых тканей хирургическим долотом, удаление окостенения.
- Дальше стопа выводится из порочного положения. Большеберцовый элемент и таранный компонент плотно сопоставляют друг с другом в удобной с точки зрения физиологии позиции. Достигнутая позиция скрепляется металлической конструкцией необходимого типа.
- Используемые операционные ходы на завершающем этапе закрывают при помощи послойного ушивания мягких тканей с оставлением дренажа.
В случаях сильной деформации может быть применена остеотомия малой берцовой кости. Обширные костные потери возмещаются трансплантатами - фрагментами аналогичного биологического материала, взятыми у пациента из гребня повздовшной кости.
Если использовались наружные системы фиксации, например, аппарат Илизарова, гипсование не применяется. При установке внутренних металлических имплантов, на прооперированную конечность ставят гипс. До тех пор, пока анкилоз не состоится, пациент находится в гипсовой повязке. Скорость костного сращения у каждого отдельного пациента может отличаться в силу физиологических особенностей организма. Полностью срастается и обездвиживается сустав через 3-6 месяцев после операции.
Реабилитация голеностопного сустава
После артродеза, осуществленного в области голеностопа, с первых суток начинают проводить занятия лечебной физкультуры. Они будут препятствовать развитию атрофии мышц, оказывать профилактику тромбообразования и не допускать появления застойных явлений в легких. При достаточно длительной иммобилизации конечности и низком уровне активности пациента без адекватной физкультуры можно прийти к весьма плачевным результатам.

ЛФК в раннем периоде это дыхательная гимнастика, изометрические упражнения для поддержания и укрепления голенных и бедренных мышц. Упражнения выполняются под наблюдением методиста по физической послеоперационной реабилитации. Гимнастика предусматривает постепенное увеличение нагрузки и введение новых упражнений в соответствии с самочувствием пациента и сроками восстановления.
Обязательным для реабилитации является медикаментозное лечение, включающее:
- высокоэффективную терапию против образования инфекционного патогенеза;
- применение симптоматических препаратов;
- использование медикаментов от тромбоэмболических осложнений.
Со вторых суток пациента стараются уже вертикализировать. Ходить разрешается только с опорой на костыли, не допуская нагрузки на прооперированную конечность. Не ранее чем после появления первых признаков анкилоза, а это примерно через 6 недель, разрешается частично включать щадящую осевую нагрузку на больную ногу. Нормально пробовать ходить пациент сможет не раньше чем по истечении 4-6 месяцев. Снятие металлоконструкций обычно назначается через 6-12 мес. Внутренние фиксаторы не всегда нуждаются в извлечении.
Осложнения артродеза голеностопного сустава
Частота осложнений после стандартной операции с широким открытием сустава, как показывает клинический опыт, на порядок выше, чем после артроскопических вмешательств. Приведем некоторые сравнительные данные о негативных реакциях для двух видов процедур (без применения внешних фиксаторов), обнаруженных в течение первых 3 недель:
- флеботромбоз выявляется в 22% случаев после открытого артродеза голеностопа, в 1,8% после малоинвазивного вмешательства;
- раневая инфекция развивается примерно у 12% больных, тогда как риски после артроскопии практически отсутствуют ( <0,1%)
- некроз окружающих тканей, соответственно, в 17% и 0,2%;
- раневые гематомы и серомы: в 22% и 0,9%.

Интраоперационные кровопотери после стандартного артродезирования составляют 250 мл, после артроскопического артродеза - около 120 мл. Несостоятельность анкилоза спустя 6 месяцев определяется у 5%-6% людей, прошедших процедуру по традиционному сценарию, и у 0,5%-0,9% пациентов, которым делали артроскопию с интрамедуллярной фиксацией. Опустив тему сравнения, отметим, что после любого вида искусственного анкилоза есть повышенные риски, связанные с формированием артроза в других суставах конечности и с укорочением длины ноги до 3 см.
Артродез голеностопного сустава

Олег Кезля, заведующий кафедрой травматологии и ортопедии БелМАПО, доктор мед. наук, профессор 01.02.2021 Фото носит иллюстративный характер. Из открытых источников.
Травмы голеностопного сустава — это самые распространенные травмы нижних конечностей. Это можно объяснить тем, что при каждом шаге, голеностопный сустав получает нагрузку, равную всему весу тела человека. Другой причиной распространенности травм голеностопного сустава является биомеханика движений в суставе (при подошвенном сгибании происходит подвывих стопы, который направлен к внешней стороне, а при тотальном сгибании — вовнутрь). При таких условиях возникновение дополнительной нагрузки влечет возникновение повреждения и, как следствия, травмы.

Основные виды повреждений голеностопного сустава:
- Перелом лодыжек;
- Растяжение связочного аппарата;
- Частичные разрывы связок;
- Перелом основания пятой плюсневой кости;
- Перелом заднего края большой берцовой кости;
- Переломы костей предплюсны;
- Переломы пяточной кости;
- Редкие нетипичные повреждения.
Основные симптомы травмы голеностопного сустава:
- Боль в области голеностопного сустава;
- Опухоль голеностопного сустава;
- Кровоизлияние в области голеностопного сустава;
- Боли при движении;
- При пальпации боль локализуется ниже области наружной лодыжки;
- Появление хромоты;
- Распространение боли в область голени;
- Отек сустава;
- Деформация сустава;
- Невозможность ходьбы и любого движения;
- Боль при ощупывании;
- Незначительное уплощение стопы.
Существует огромное количество спортивных травм голеностопного устава. Разрыв связок голеностопного сустава — это очень сложная и распространенная травма, которая сопровождается сильной болью и требует адекватного лечения пациента. Лечение разрыва связок голеностопного сустава только стационарное и составляет от нескольких недель до одного месяца.
Об артродезе голеностопного сустава
Артродез — это хирургическая операции, которая проводится с целью исключить двигательную функцию голеностопного сустава. Потеря функций чаще всего наступает вследствие получения травмы, неправильного сращивания переломов, осложнений туберкулезного артрита, артроза и других заболеваний опорно-двигательного аппарата. Артродез сустава — это сращивание расположенных рядом костей или создание искусственного костного анкилоза.
Артродез позволяет восстановить опороспособность конечности.
Артродез голеностопного сустава — это хирургическая операция по обездвиживанию голеностопного сочленения костей. В ходе операции удаляются хрящевые поверхности таранной и большеберцовой кости, затем производится их сопоставление и фиксация. В результате этого, движения в голеностопном суставе становятся невозможными, а пациент прекращает чувствовать болевые ощущения. За счет данного соединения происходит компенсирование объема движений, что нарушает двигательную функцию конечности.
Показания к артродезу голеностопного сустава
Артродез голеностопного сустава выполняется для исключения боли в суставе, которая была вызвана неправильным срастанием переломов лодыжек, артритом, дефектами развития, инфекцией или любым другим ортопедическим заболеванием.
Основные симптомы, при наличии которых необходимо обратиться за медицинской помощью для проведения артродеза голеностопного сустава:
- Стойкий болевой синдром в голеностопном суставе;
- Невозможность уменьшить боль с помощью обезболивающих препаратов;
- Длительное ограничение двигательной функции в голеностопном суставе.
Проведение артродеза голеностопного сустава в нашем центре
Современная хирургическая тактика позволяет решить такую сложную задачу, как восстановление всех функций голеностопного сустава. Перед проведением процедуры артродеза голеностопного сустава пациента тщательно обследуют, определяют общее состояние здоровья и любые имеющиеся факторы риска. После этого врач дает все необходимые рекомендации, которые необходимо соблюдать до проведения самого хирургического вмешательства. Например, за несколько дней до процедуры необходимо прекратить принимать некоторые лекарственные препараты, за день до операции принимать только легкую пищу, также необходимо подготовить все условия для возвращения из больницы домой.
Артродез голеностопного сустава может проводиться как под общей анестезией, так и при спинальной анестезии (обезболивающие препараты вводятся в позвоночник, нижняя часть тела не воспринимает болевых ощущений). В ходе проведения операции врач производит разрез и резецирует сустав. Иногда для сращивания костей врачи используют специальные медицинские винты, шурупы, стальные пластины, стальные стержни или костные трансплантаты. Операция занимает 2 часа, в зависимости от каждого конкретного случая.
Вопросы пользователей об артродезе голеностопного сустава
двух костей, был госпитализирован, проведена операция остеосинтеза металлической пластиной с восполнением обломка кости имплантом из подвдошной кости, операция прошла неудачно, возник абсцесс, остиомиелит, с двусторонним воспалением легких, повторно оперировали несколько раз, процесс отторжения импланта не удалось предотвратить. В ноябре 2015 года в институте травматологии г. Иркутск, была проведена повторная операция, в результате которой было осуществлено артродезирование голеностопного сустава с его замыканием, поставлен аппарат Илизарова, в июне 2016 года аппарат сняли, в настоящее время идет заживление. Снимки прилагаю. Согласно выписки из истории болезни заключительный диагноз: «Формирующийся анкилоз левого голеностопного сустава. Хронический ниогенный артрит левого голеностопного сустава в фазе ремиссии. Фиксация АВФ голень-стопа слева, нестабильность. Воспаление мягких тканей в области выхода чрескостных элементов». Сопутствующий диагноз: Артериальная гипертензия II ст. Риск II. Консолидированный открытый внутрисуставной многооскольчатый перелом дистального эпиметадиафиза левой большеберцовой кости с дефектом костной ткани. Консолидированный в неправильном положении перелом н/3 левой малоберцовой кости. Хронический травматический остеомиелит н/3 левой большеберцовой кости в фазе ремиссии. Регионарный остеопороз». Осложнения основного заболевания — нет. Краткий анамнез, диагностические исследования, течение болезни, проведенное лечение, состояние при выписке: 19.04.2016 г. проведена операция: «Перепроведение чрескостных элементов в АВФ голень-стопа слева. Некрэктомия». В послеоперационном периоде получил курс антибактериальной, противовоспалительной терапии, профилактику ТГВ и ТЭЛА, перевязки. Проведен курс лазеротерапии № 7». В настоящее время боли при нагрузке сохраняются, отечность минимальная, ношу ортез с жесткой фиксацией, когда болит хожу с тростью на здоровую ногу. Подвижность пальцев и стопы почти восстановил, могу ходит половину дня без трости. Инвалидность не оформлял, работа не предполагает длительного хождения. Беспокоит ограничение качества жизни в связи с травмой. Вопрос: Возможно ли мне при такой травме проведение операции по эндопротезированию голеностопного сустава на базе Вашего учреждения?
Ответ врача:
В вашем случае необходима очная консультация в нашем центре.
Сейчас жена в основном ходит без палочки, но сохраняется боль в месте фиксации болтом стержня в верхней части. Местный травматолог сказал, что необходимо удалить всю металлическую конструкцию. Так ли это?
Ответ врача:
Вам лучше обратиться к врачам которые вас оперировали. Они решат что делать в металлоконструкцией.
Ответ врача:
К сожалению в нашем центре не проводятся операции пациентам с гемофилией
пластины. Последствия неправильно сросшийся перелом, синдесмоз. Артроз 3-4 степени. Боли сильной, нет есть неприятное похрустывание при ходьбе. Предлагают артродез скажите, а установление артродеза опять с металлом не даст ли отторжение и так ли показан артродез без боли.
Ответ врача:
Такие реакции возможны. Однозначный ответ дать вам очень сложно.
артродез один штырь и четыре винта! Три месяца с лангетой! Сейчас снял гипс. Нога отекает, синеет! На рентгене не видно что там! Что делать и как быть? Только не говорите, что сделать КТ
Ответ врача:
Рекомендуем вам наблюдаться у вашего лечащего врача, который вам сделал операцию
Ответ врача:
Да.
Задать свой вопрос об артродезе голеностопного сустава
Данный сайт не является официальным сайтом КБ №85 а является личным сайтом травматологов-ортопедов П.Жадана и Д.Волобуева. Информация, опубликованная на сайте, является интеллектуальной собственностью и носит ознакомительный характер.
Читайте также:
- Болезнь Шенлейн Геноха: причины, симптомы и лечение
- Ауторегуляция мозгового кровообращения. Нервная и гуморальная регуляция сосудов головного мозга
- Активные движения в плечевом суставе. Пассивные движения в плечевом суставе
- Переломы тела пяточной кости. Диагностика и лечение
- Как снизить температуру воздуха в комнате? Спасаемся от жары
