УЗИ при шейной кисте тимуса
Добавил пользователь Евгений Кузнецов Обновлено: 01.11.2025
Размеры вилочковой железы зависят от ряда общих заболеваний. Вилочковая железа увеличена при базедовой болезни, при болезни Аддисона, у кастрированных в раннем возрасте. Она бывает уменьшена при истощении от голода и при изнурительных заболеваниях.
Гистологически гиперплазию вилочковой железы можно разделить на два типа: истинная гиперплазия и лимфоидная (фолликулярной) гиперплазия.
Для истинной гиперплазии тимуса характерно увеличением размера и веса железы с сохранением ее организованных микроскопических признаков. Гиперпластический тимус может сохранять свою нормальную форму, но чаще всего доли становятся ъовальными.
Клинически пациентов с истинной гиперплазией тимуса можно разделить на три группы:
здоровые;
в восстановительном периоде после тяжелой пневмонии, гормональной, лучевой или химиотерапии терапии, хирургических операций или ожогов;
больные гипертиреозом, саркоидозом, апластической анемией.
Фото. Объемное образование в средостение у мальчика 14-ти лет, который завершил курс химиотерапии по поводу первичной медиастинальной Т-клеточной лимфомы 6 месяцев назад. Направляющий диагноз: рецидив лимфомы. На поперечном срезе УЗИ: нормальный тимус (стрелки) с ровными и четким контуром, менее эхогенный чем щитовидная железа. AA — дуга аорты, PA — легочная артерия.
| Фото. А — У новорожденного имеется мошонка и половой член, единственное отверстие у основания полового члена (стрелка), яички не пальпируются; на УЗИ в области малого таза определяются матка и яичники, двусторонняя диффузная гиперплазия коры надпочечников. Перед нами девочка с врождегным адрено-генитальным синдромом. Б, В — Гиперплазия коры надпочечников у новорожденных девочек с адрено-генитальным синдромом. | ||
![]() | ![]() | |
В зависимости от тяжести и продолжительности воздействия тимус может уменьшиться (до 40% от первоначального объема) или вырасти (более 50% от первоначального объема). В течение 9 месяцев восстановительного периода тимус может возвращаться к первоначальным размерам.
У больных с раком важная диагностическая задача отличить гиперплазию тимуса от метастазов. Гиперплазия тимуса на УЗИ: равномерное увеличение, ровный и четкий контур, не тронутые окружающие сосуды, диффузная неоднородность эхо-структуры за счет гиперэхогенного жира и гипоэхогенной лимфоидной ткани. Опухоли в тимусе, как правило, округлые, с неровным контуром, часто содержат очаги некроза или обызвествления.
Важно. Тимус очень пластичный и не вызывает сжатие или смещение соседних структур, поэтому сердечные пульсации и дыхательные движения влияют на форму тимуса. В отличие от этого, солидные опухоли или диффузной инфильтрационной процессы менее податливым и более жесткими.
Лимфоидная гиперплазия тимуса
Лимфоидной гиперплазии характеризуется наличием гиперпластических лимфоидной зародышевого центра в вилочковой мозговом веществе, который связан с инфильтрацией лимфоцитами и плазматическими клетками. В отличие от истинной гиперплазии, лимфоидная гиперплазии может произойти с или без увеличения размеров тимуса. Лимфоидная гиперплазия тимуса обычно ассоциируется с аутоиммунными заболеваниями, такими как миастения, тиреотоксикоз, и заболевания соединительной ткани и, как сообщается, происходят на ранних стадиях инфицирования человека вирусом иммунодефицита.
Врожденные кисты тимуса происходят из эмбриональных остатков и могут быть обнаружены вдоль тимуса-глоточного канала, который простирается от верхней части шеи до переднего средостения, редко в заднем средостении или вблизи диафрагмы.
Кистозные изменения можно увидеть в различных опухолях тимуса (эпителиальные опухоли, ходжкинская и неходжкинская лимфома, опухоли зародышевых клеток, карцинома тимуса. Описана многогнездная кистозная дегенерация тимуса у детей ВИЧ.
Выделяют эпителиальные опухоли вилочковой железы: тимомы, ходжкинские и неходжкинской лимфомы, гистиоцитоз Лангерганса, тимолипомa, карциноидная опухоль, опухоли зародышевых клеток, саркома и метастазы.
У взрослых самые распространенные опухоли вилочковой железы — тимомы, затем лимфома и опухоль зародышевых клеток. У детей, лимфома является наиболее распространенной первичной опухолью вилочковой железы, затем следует опухоль зародышевых клеток. Тимомы редко встречаются у детей.
Тимомы
Тимомы — это доброкачественные или низкодифференцированные злокачественные опухоли, возникающие из тимуса эпи-сосок и характеризуются наличием переменного числа незрелых, неопухолевых Т-клеток. Пик тимом приходится на пятое и шестое десятилетие жизни.
Пациенты с тимомой часто протекает бессимптомно. Тем не менее, 20%-30% пациентов имеют симптомы индуцированных давлением, таких как кашель, боль в груди, одышка, дисфагия, хрипота, или синдром верхней полой вены. От одной трети до половины пациентов тимомы развиваются миастения. У пациентов с тимомой также может развиться аплазия красных клеток крови, гипогаммаглобулинемия, заболевания соединительной ткани, аутоиммунные заболевания или воспалительные заболевания кишечника.
Тимом может быть овальной, круглой, или дольчатой и, как правило, не соответствуют форме нормального тимуса. Большинство тимом имеют четко определяемую капсулу. В больших тимомах могут определять области кистозной или некротической дегенерации. Обызвествления могут присутствовать в капсуле или по всей массе. Четко определенные полоски жира между тимомой и смежными структурами обычно указывают на отсутствие инфильтрации в окружающие ткани. Неровные и нечеткие границы наводят подозрительны на мысль об инфильтрирующий рост, а утолщение плевры и плевральный выпот обычно указывают на вторжение тимомы в плевральную полость.
Карцинома тимуса составляют около 20% от эпителиальных опухолей тимуса. Карцинома ведет себя более агрессивно, чем тимомы и склонны к метастазированию в отдаленные участки. Хотя
Важно. Лишь 5% пациентов с инвазивными тимомами, НО 50%-65% пациентов с карциномой тимуса имеют отдаленные метастазы на момент постановки диагноза.
Карцинома тимуса обычно не имеет четко определенную капсулу, свободно инфильтрирует смежные органы и сосуды и часто вызывает сжимающие симптомы. В отличие от тимом, карциномы тимуса редко вызывают паранеопластические синдромы, такие как миастения.
Карцинома тимуса на УЗИ, как правило, большие многодольчатые массы, которые могут содержать кистозные области и кальцификаты. Трудно отличить карциному от тимомы исключительно на основе УЗИ. Тем не менее, метастазы в медиастинальные лимфоузлы и отдаленные метастазы подозрительны на карциному.
Тимус поражается при лимфомах и лейкозах, как правило, как часть системного распространения заболевания, хотя изолированное поражение тимуса не является редкостью.
Лимфома — это наиболее распространенная причина массы в переднем средостение у детей, и второй — у взрослых.
Лимфома Ходжкина может проявляться с изолированным тимуса участия, изолированных лимфоузлов, или комбинация обоих. У больных с лимфомой Ходжкина с участием тимуса, вилочковой железы увеличена, резко разграничены, а иногда и заключен в толстой капсуле. Участие тимуса гораздо реже у больных с неходжкинской лимфомой.
Дифференциация первичных лимфом тимуса из тимом исключительно на основе результатов УЗИ затруднено. Однако, лимфома тимуса, как правило, происходят в младшей возрастной группе и имеют тенденцию быть более агрессивными, но быстрее реагируют на лечение.
Однородная увеличение вилочковой железы в присутствии медиастинальной или внутригрудной лимфаденопатией обычно предлагает лимфому. Кистозных изменений в тимусе с или без кальцификации наблюдаются при КТ приблизительно в 20% пациентов, прежде чем они получают терапию (рис 14, 15) (24,36).
На МР-томографии, тимуса лимфом, как правило, имеют низкую интенсивность сигнала на T1-взвешенных изображениях и переменной интенсивности сигнала на Т2-взвешенных изображениях (24). После завершения терапии, вилочковой лимфом уменьшились интенсивность сигнала как на Т1 и Т2-взвешенные изображения, предположительно из-за фиброза, тогда как периодические лимфомы обычно показывают постоянную высокую интенсивность сигнала на Т2-взвешенных изображениях.
Дифференцируя рецидивирующий лимфому из тимуса отскока гиперплазии с изображениями может быть сложным. У больных с вилочковой отскока гиперплазии, тимуса расширение обычно симметрично; контур ровный и nonlobulated и соответствует форме соседних структур (т.е. передних ребер и сердца). В противоположность этому, рецидивирующие тимуса лимфом, как правило, асимметричные и шаровидным графитом и показывают неоднородную интенсивности сигнала от МР-изображений (9). Кроме того, крайне важно, чтобы интерпретировать результаты обработки изображений в условиях клинических данных. В отличие от пациентов с рецидивирующей лимфомой, у пациентов с вилочковой рикошета гиперплазии, как правило, протекает бессимптомно.
Тимуса и узловое заболевание в лимфомы Ходжкина решает после соответствующей терапии у большинства пациентов. Остаточное область плотности мягких тканей при визуализации обычно указывает на фиброз, в то время как новая «масса» предполагает отскока гиперплазии (37).
Если КТ и МРТ результаты визуализации не решить диагностическую дилемму, дальнейшая оценка с США может помочь отличить гиперплазию от опухоли (рис 12).
Гистиоцитоз X. -Langerhans Гистиоцитоз часто включает в себя тимус в виде передней медиастинальной массы и могут быть видны при визуализации (рис 22). В исследовании, которое используется рентгенографию грудной клетки и КТ, семь из 14 пациентов с гистиоцитоз Лангерганса имели причастность мультисистемный, и пять из этих семи пациентов имели тимуса участие (38). Тимуса была увеличена во всех пяти пациентов и показали кистозные изменения у четырех пациентов; она имела узловой или дольчатую контур в двух пациентов и множественные кальцификации у одного пациента. Эти характеристики регресс или устранено у всех пациентов после химиотерапии.
Thymolipoma. -Thymolipomas Редкие, доброкачественные, хорошо инкапсулированные опухоли тимуса, которые составляют около 5% от тимуса новообразований. Thymolipomas может произойти в любом возрасте (средний возраст 21 лет) и не имеют никакого секса пристрастием (21). Пациенты с thymolipomas, как правило, протекает бессимптомно, но может проявляться симптомами компрессии связанных. Thymolipomas часто являются большими, со средним диаметром 20 см, и большинство весят более 500 г (21,24). Их уступчивость позволяет thymolipomas соответствовать соседним структурам, распространяются на cardiophrenic и реберно-диафрагмальный углов, или даже занимают почти весь гемиторакса (рис 23) (9,21,24). Хотя около 50% thymolipomas вызывают массовый эффект, они не вторгаются в соседние структуры (24).
Thymolipoma в 14-летней девочки с 2-недельной историей кашля и лихорадки. (А) с контрастным усилением КТ показывает большой, в основном жирные массы (стрелки) в левой половины грудной клетки. Масса вызывает минимальное (если таковые имеются) смещение сердца. (Б) корональной T1-взвешенное МР изображение показывает массу (стрелки), которая имеет фиброзных септ и заменяет и принимает форму свернутого легкого. После резекции массы левого легкого полностью расширен.
Результаты исследований визуализации почти диагностики в thymolipomas. При обычной рентгенографии, thymolipomas, как правило, меньше, чем непрозрачные смежных средостения структур. Thymolipomas могут имитировать кардиомегалию, чрезмерное эпикардиального жира, диафрагмальное возвышение, коллапс, долевой или перикарда кисту или выпота (9,21). При КТ, thymolipomas преимущественно показывают жира затухание чередующиеся с фиброзных септ и нормальной ткани тимуса (рис 23) (9,12,39). На МРТ, thymolipomas показывают высокую интенсивность сигнала на Т1 и Т2-взвешенных изображениях (рис 23) наряду с нитями низкой интенсивности сигнала, которые указывают на фиброзных септ. КТ и МРТ следует выявить связь между вилочковой железы и опухоли (9,24).
Карциноид тимуса
Карциноид тимуса — это редкие, хорошо дифференцированные нейроэндокринные опухоли. У мужчин встречаются в три раза чаще у мужчин, чем у женщин. У пациентов с карциноидом тимуса часто имеются эндокринные расстройства, такие как синдром Кушинга (25%-40% пациентов) или нескольких типов эндокринная неоплазия I и II (около 20% пациентов). Большинство карциноидов тимуса — это низкодифференированные злокачественные опухоли, которые часто вырастают повторно в месте резекции. Около 50% тимуса карциноидный опухолей являются инвазивными на момент постановки диагноза.
В карциноидах часто находят участки с кровоизлияниями, кистозными изменениями кистозные изменения, обызвествление.
Их появление на УЗИ является неспецифическим.
Опухоли тимуса из зародышевых клеток
Данный вид опухоли обычно возникает по средней линии, от шишковидной области до крестцово-копчиковой области. Чистые и смешанные опухоли зародышевых клеток могут развиться в пределах или вблизи тимуса. Переднего средостения является наиболее распространенным местом внегонадной опухоли зародышевых клеток. Более 80% опухолей средостения зародышевых клеток являются доброкачественными, наиболее распространенными из которых являются доброкачественные тератомы.
Зрелые тератомы часто выявляют случайно. Несмотря на то, что большинство зрелых тератомы являются бессимптомными, крупные из них могут вызвать симптомы сжимающие.
Зрелые тератомы обычно большие, округлые, дольчатые массы. Так как тератомы содержат производные всех трех зародышевых слоев, наличие зубов, костей, или кальцификации является диагностическим.
Тератомы, как правило, появляются в виде комбинации жидких или жировых кист, мягких тканей, костей или зубов. Около 90% зрелых тератомы содержат жидкость и около 75% содержат жир. Уровень жира и жидкости является диагностическим для тератом, но виден лишь в 10% случаев. Тератомы, как правило, четко разграничены и окружены капсулой, которая может показать улучшение обода. Доброкачественные тератомы обычно гладкие, четко определены, и кистозный; 90% из них содержат жир. В противоположность этому, злокачественные тератомы являются шаровидным графитом и плохо определены и имеют более твердые компоненты, чем сделать доброкачественные тератомы; только 40% злокачественных тератомы содержат жир. Сжатие смежных структур, толстая усиливающего капсулы, и участки некроза или кровоизлияния и другие особенности злокачественных тератомы.
Фото. Саркома вилочковой железы встречается крайне редко и имеет неспецифические появление на УЗИ
Метастазы в тимус
Карцинома легких может вторгнуться в тимус путем инфильтративного роста, в то время как рак головы и шеи, живота и таза может добраться до тимуса по лимфатическим путям.
Киста шеи
Киста шеи - это полое патологическое образование, которое располагается в области шеи и содержит жидкость или кашицеобразную массу. Относится к числу врожденных патологий, может быть боковой или срединной. Боковые кисты выявляются сразу после рождения, срединные могут обнаруживаться по мере роста ребенка или становиться случайной находкой в ходе каких-либо медицинских исследований. Возможные осложнения - нагноение, образование свища и злокачественное перерождение. В большинстве случаев кисты шеи подлежат хирургическому удалению. Пункции кисты неэффективны, поскольку в последующем в ее полости снова скапливается содержимое. Консервативного лечения не существует.
МКБ-10


Общие сведения
Киста шеи - полое опухолевидное образование, располагающееся по передней или боковой поверхности шеи. Формируется при нарушениях на ранних стадиях эмбрионального развития. В некоторых случаях сочетается с врожденным свищом шеи. Иногда свищ образуется уже в детском или даже взрослом возрасте в результате нагноения кисты. Возможно перерождение кисты шеи в злокачественную опухоль. Лечение только хирургическое.
Боковые кисты шеи обычно выявляются при рождении ребенка, срединные обнаруживаются в возрасте 4-7 или 10-14 лет, иногда протекают бессимптомно. У одного из 9-10 больных боковая киста наблюдается в сочетании с врожденным свищом шеи. Примерно в 50% случаев кисты нагнаиваются, а свищ формируется в результате опорожнения гнойника через кожу.

Причины
Боковая киста шеи представляет собой полость между жаберными бороздами, которые в норме должны исчезать по мере развития плода. Она формируется при аномалии развития жаберных щелей на четвертой-шестой неделях беременности. Срединная киста образуется при перемещении зачатка щитовидной железы из места ее формирования на переднюю поверхность шеи по щитовидно-язычному протоку. Это происходит на шестой-седьмой неделях беременности.
Врожденный свищ не является самостоятельной патологией и всегда сочетается с боковой или срединной кистой шеи. Выделяют два вида свищей: полные (с двумя выходными отверстиями: на коже и слизистой полости рта) и неполные (с одним отверстием, которое может располагаться как на коже, так и на слизистой).
Виды кисты шеи
Боковые кисты шеи
Боковые кисты шеи встречаются чаще срединных (примерно в 60% случаев). Они располагаются на передне-боковой поверхности шеи, в ее верхней или средней трети, кпереди от кивательной мышцы и локализуются прямо на сосудисто-нервном пучке, рядом с внутренней яремной веной. Бывают как многокамерными, так и однокамерными. Боковые кисты шеи большого размера могут сдавливать сосуды, нервы и расположенные рядом органы.
Симптомы
При отсутствии нагноения или сдавления сосудисто-нервного пучка жалоб нет. В ходе осмотра выявляется округлое или овальное опухолевидное образование, особенно заметное при повороте головы пациента в противоположную сторону. Пальпация безболезненна. Киста имеет эластическую консистенцию, подвижна, не спаяна с кожей, кожные покровы над ней не изменены. Как правило, определяется флюктуация, свидетельствующая о наличии жидкости в полости кисты. При пункции в полости образования обнаруживается мутная жидкость грязновато-белого цвета.
Осложнения
При нагноении киста шеи увеличивается в размере, становится болезненной. Кожа над ней краснеет, выявляется локальный отек. В последующем формируется свищ. При вскрытии на кожу устье свища располагается в области переднего края кивательной мышцы. При вскрытии на слизистую полости рта устье находится в области верхнего полюса небной миндалины. Отверстие может быть как точечным, так и широким. Кожа вокруг устья нередко покрывается корками. Наблюдается мацерация кожных покровов и гиперпигментация.
Диагностика
Диагноз боковой кисты шеи выставляется на основании анамнеза и клинической картины заболевания. Для подтверждения диагноза выполняют пункцию с последующим цитологическим исследованием полученной жидкости. Могут использоваться такие дополнительные методы исследования, как УЗИ, зондирование и фистулография с рентгенконтрастным веществом.
При неинфицированной кисте шеи проводится дифференциальная диагностика с лимфогранулематозом и внеорганными опухолями шеи (липома, невринома и т. д.). Нагноившуюся кисту дифференцируют от аденофлегмоны и лимфаденита.
Срединные кисты шеи
Срединные кисты в травматологии составляют около 40% от всех кист шеи и располагаются на передней поверхности шеи, по средней линии. При осмотре выявляется плотное, безболезненное, четко отграниченное образование эластической консистенции диаметром до 2 см , не спаянное с кожей. Киста незначительно подвижна, спаяна с телом подъязычной кости, смещается при глотании. В ряде случаев опухолевидное образование располагается в корне языка. При этом язык приподнимается, возможны нарушения речи и глотания.
Срединные кисты нагнаиваются чаще боковых - примерно в 60% случаев. При инфицировании образование увеличивается в размере, становится болезненным. Окружающие ткани отекают, кожа краснеет. При вскрытии гнойника образуется свищ с устьем, расположенным на передней поверхности шеи, между щитовидным хрящом и подъязычной костью. Если свищ открывается в ротовую полость, его устье располагается на передней поверхности языка, на границе между его корнем и телом.
Диагноз срединной кисты выставляется на основании анамнеза и клинических данных. В качестве методов инструментальной диагностики используется УЗИ и пункция кисты с последующим цитологическим исследованием. При пункции получают тягучую мутную жидкость желтоватого цвета, содержащую лимфоидные элементы и клетки многослойного плоского эпителия. Для исследования свищевых ходов применяется фистулография и зондирование.
Срединную кисту шеи дифференцируют от струмы языка, дермоидной кисты, лимфаденита, специфических воспалительных процессов и аденомы аномально расположенной щитовидной железы.

КТ шеи. Слева от средней линии в сонном пространстве кистозное образование (кистозно измененный лимфоузел).
Лечение кисты шеи
Лечение кист шеи только оперативное. Объем операции определяется состоянием больного, наличием и видом осложнений. У пожилых больных с тяжелыми сопутствующими заболеваниями выполняется аспирация содержимого кисты с последующим промыванием ее полости антисептическими препаратами. В остальных случаях этот метод не используется из-за недостаточной эффективности и высокого риска развития рецидивов.
- Неосложненные кисты. Хирургическое удаление кисты шеи показано при всех боковых кистах, срединных кистах любого размера в детском возрасте и срединных кистах диаметром более 1 см у взрослых. Для предупреждения рецидивов кисту иссекают вместе с капсулой. При хирургических вмешательствах по поводу срединной кисты также удаляют часть подъязычной кости, через которую проходит тяж от опухолевидного образования. При операциях по поводу боковой кисты возможны затруднения из-за расположенных рядом сосудов и нервов. В зависимости от размеров кисту корня языка могут удалять как через разрез на коже, так и через рот.
- Нагноившиеся кисты. При нагноении кисты ее полное удаление не показано. Выполняется вскрытие и дренирование. Показанием к экстренной операции является наличие острого воспалительного процесса, особенно - при закрытии свища и формировании абсцесса. В последующем проводятся регулярные перевязки с промыванием полости кисты антисептическими препаратами, назначается противовоспалительная терапия. Иногда полость кисты рубцуется. Если этого не происходит, ее удаление производят не раньше, чем через 2-3 месяца после ликвидации воспаления.
- Кисты со свищами. Срединные и боковые свищи шеи необходимо иссекать и удалять. Эта задача может быть сопряжена с рядом трудностей из-за тонкой стенки и извилистых ходов свища. Поэтому перед операцией в свищевой ход вводят зонд или окрашивающий препарат (бриллиантовый зеленый, метиленовый синий). В ходе операции удаляют все свищевые ходы, в том числе - тонкие и малозаметные, иначе возможен рецидив. Особой сложностью отличается операция по иссечению бокового свища шеи, поскольку в этом случае свищевой ход проходит между внутренней и наружной сонными артериями.
2. Клинико-морфологическая характеристика срединных, боковых кист и свищей шеи: автореферат диссертации/ Иванова С.В. - 2005
3. Источники развития, клинико-морфологическая характеристика и принципы лечения срединных кист шеи/ Ткаченко П.И., Белоконь С.А., Старченко И.И., Гуржий Е.В.// Журнал Гродненского государственного медицинского университета - 2014 - №2
Тимома
Тимома — это общее название для группы опухолей вилочковой железы (тимуса). Чаще всего они носят доброкачественный характер. На долю злокачественных опухолей приходится около 30% тимом. Выраженность клинической картины может быть самой разной, от бессимптомного течения до выраженной миастении и симптомов компрессии органов средостения. [1,2]
Вилочковая железа частично находится в нижней части шеи, частично — в верхней части средостения. В органе выделяют два типа тканей — эпителиальную (железистую), которая отвечает за синтез тимических гормонов, и лимфоидную, которая представлена Т-лимфоцитами различной степени зрелости.
Таким образом, тимус является уникальным органом, который с одной стороны является железой внутренней секреции, а с другой — органом иммунной системы. В норме вилочковая железа проявляет активность в детском возрасте, играет роль депо Т-лимфоцитов и координирует работу эндокринной и иммунной систем. По мере взросления, тимус замещается жировой тканью. И у людей старше 50 лет сохраняется только 10% активных клеток. [3]
Причины возникновения тимомы
Причины возникновения тимомы неизвестны. Предполагается, что в этом процессе могут принимать участие следующие факторы:
- Нарушения в эмбриональном периоде развития.
- Нарушение синтеза тимопоэтина.
- Нарушение иммунных механизмов.
- Инфекционные заболевания.
- Воздействие ионизирующего излучения.
- Травматические повреждения органов средостения.
- Некоторые аутоиммунные и эндокринные патологии: синдром Иценко-Кушинга, диффузный токсический зоб, миастения и др.
Виды тимомы
Единой классификации тимом на сегодняшний день нет, ввиду большого разнообразия опухолей, развивающихся в вилочковой железе. В 1999 году ВОЗ предложила морфологическую классификацию, в основе которой лежит соотношение лимфоцитарных и эпителиальных клеток. По этой классификации выделяют 6 видов опухоли:
- Тимома типа А — опухолевая ткань представлена дифференцированными клетками без признаков атипии, практически всегда отграничена от окружающих тканей капсулой. Клетки веретенообразные или овальные. Это благоприятный, доброкачественный вариант тимомы, 15-летняя выживаемость при которой составляет 100%.
- Тимома типа АВ морфологически схожа с типом А, но имеются единичные очаги патологических лимфоцитов.
- Тимома типа В — в опухолевой ткани преобладают дендритные и эпителиоидные клетки. Тип В будет разделяться в зависимости от соотношения эпителиальных и лимфоидных клеток, а также от выраженности их атипизма.
- Тимома типа В1 (преимущественно кортикальный тип). По структуре напоминает кортикальный слой вилочковой железы, очаговыми вкраплениями медуллярных клеток.
- Тимома типа В2 (кортикальный тип). В ткани опухоли имеются эпителиальные клетки с признаками атипии и везикулами в ядре.
- Тимома типа В 3 (эпителиальный тип). Опухоль представлена атипичными эпителиальными клетками. Некоторые авторы расценивают ее как высокодифференцированный рак вилочковой железы.
- Тимома типа С — рак тимуса. Представлен разнообразными гистологическими типами рака — светлоклеточный, плоскоклеточный, веретеноклеточный и др. Склонен к агрессивному течению, прорастает в соседние органы, дает метастазы в печень, кости и лимфатические узлы.
Тимомы типа А, АВ и В1 относят к доброкачественным новообразованиям тимуса, тип В2 и В3 — это злокачественные тимомы с относительно благоприятным течением, когда при своевременном обращении возможно полное излечение и 20-летняя продолжительность жизни составляет 40-60%. Тип С называют карциномой тимуса 2-го типа. Как мы уже говорили, это агрессивная опухоль, склонная к быстрому росту и метастазированию.

Стадии тимомы
Для характеристики распространения тимомы применяется классификация Masaoka-Koga. В ее основу положена оценка вовлеченности тканей и органов средостения, а также наличие лимфогенных и гематогенных метастазов.
- 1-2 стадия тимомы — опухоль прорастает за пределы своей капсулы, затрагивает плевру и клетчатку средостения.
- 3 стадия тимомы — опухоль прорастает в перикард, затрагивает легкое или магистральные сосуды, находящиеся в средостении.
- 4А стадия — имеется опухолевая диссеминация по плевре или перикарду.
- 4В стадия — имеются лимфогенные или гематогенные метастазы.
Диагностика тимомы
Заподозрить наличие опухоли можно по характерным клиническим симптомам, после чего пациент направляется на диагностические исследования. Рентген грудной клетки является неспецифическим методом диагностики и позволяет только увидеть расширение тени средостения.

Компьютерная томография с контрастированием — более информативный метод. Он позволяет получить информацию о наличии новообразования, определить его злокачественность, и даже дифференцировать его природу — отличить тимому от лимфомы и др. МРТ не является рутинным методом диагностики тимом, но может использоваться по показаниям, например, при наличии у пациента аллергии на йодсодержащий контраст, применяемый при КТ.
Окончательный диагноз выставляется после морфологического изучения опухолевой ткани. Как правило, ее получают после радикальной операции. Если это невозможно, рассматривают вариант проведения биопсии. Для этого может использоваться толстоигольная или хирургическая биопсия, которая проводится во время лапароскопических операций. Морфологическая верификация необходима для подбора оптимального метода лечения. [4,5]
Симптомы злокачественного новообразования вилочковой железы
Какое-то время злокачественная опухоль вилочковой железы может протекать бессимптомно. На данном этапе обнаруживается случайно, при проведении обзорной рентгенографии грудной клетки или флюорографии. По мере развития процесса, будет возникать и нарастать неспецифическая симптоматика, которая связана с локальным воздействием опухоли на органы груди и средостения:
- Кашель.
- Боль в области груди. Она может быть результатом компрессии органов дыхания, или миастенического синдрома, при котором наблюдается слабость мышц из-за нарушений нейромышечных связей. — нарушение венозного оттока от головы и плечевого пояса из-за компрессии верхней полой вены. Проявляется цианозом кожи и отечностью верхней половины тела, а также расширением вен.
- Нарушение иммунной системы. Тимус является органом, в котором проходят определенные стадии своего развития Т-лимфоциты. При опухолевых процессах происходит нарушение их дифференцировки, что чревато развитием иммунодефицитов или аутоиммунных заболеваний. Самым частым из них является миастения — нарушение нервно-мышечной проводимости, развивающейся из-за воздействия антител на рецепторы ацетилхолина. При этом возникает мышечная слабость и патологическая утомляемость. Миастения характерна для типа лимфом В1-В3 и С.
- Аплазия костного мозга.
- Повышение температуры тела и ночные поты. Эти симптомы затрудняют дифдиагностику, поскольку более характерны для лимфом.
- На поздних стадиях присоединяется канцерогенная интоксикация: общая слабость, потеря аппетита, снижение массы тела.
Лечение тимомы
Лечение доброкачественной тимомы и злокачественной тимомы 1-2 стадии подразумевает хирургическое удаление вилочковой железы. Операция может быть выполнена в следующем объеме:
- Тотальное удаление тимуса вместе с окружающей жировой клетчаткой и лимфатическими узлами.
- Расширенное удаление тимуса — помимо вышеперечисленного объема, проводится еще резекция плевры и полное удаление переднестернальной жировой клетчатки.
При местно-распространенных злокачественных тимомах есть вероятность невозможности проведения радикального вмешательства, поэтому лечение рекомендуют начинать с адъювантной терапии. Обычно используется индукционная химиолучевая терапия с препаратами: циклофосфамидом, доксорубицином и цисплатином. 7

Объем операции будет зависеть от того, какие органы вовлечены в процесс. Может потребоваться резекция легочной ткани, перикарда, протезирование крупных кровеносных сосудов. Такие операции проводятся только на базе специализированных центров, в которых созданы условия для обширных вмешательств на органах грудной клетки. Для уменьшения развития рецидивов проводят послеоперационную лучевую терапию. При неоперабельных опухолях, ключевым методом лечения является химиолучевая терапия. 7
Последствия удаления тимомы
У пациентов, перенесших удаление вилочковой железы, есть риск развития миастенического криза — грозного состояния, при котором нарушается нервно-мышечная проводимость, из-за чего развивается сильная слабость мышц, сопровождающаяся параличами, нарушением дыхания и глотания. В тяжелых случаях возможен летальный исход. Для лечения пациентов применяется искусственная вентиляция легких и антихолинэстеразные препараты длительными курсами. [9]
Прогнозы выживаемости
Прогнозы зависят от гистологического вида тимомы. При доброкачественных тимомах результаты лечения благоприятны, например, при типе В1 20-летняя выживаемость составляет около 90%. У пациентов со злокачественными вариантами тимомы прогноз будет зависеть от стадии распространения опухоли. При 2 стадии 5-летний рубеж переживают около 90% больных, при 3 стадии до 70% и при неоперабельных опухолях только 10%. [9,10]
УЗИ вилочковой железы (лекция на Диагностере)
Вилочковая железа (тимус, зобная железа) имеет лимфоэпителиальную структуру. Аналогично щитовидной и паращитовидным железам, тимус развивается из 3-й и 4-й пары глоточных карманов на шестой неделе эмбрионального развития и мигрирует в средостение. По пути миграции тимуса можно обнаружить эктопические или добавочные дольки, например в щитовидной железе, около крупных сосудов шеи, верхней полой вены, аорты, заднем средостении и даже в коже (подробнее смотри здесь). На 9-10 неделе эмбрионального развития эпителиальная основа заселяется лимфоцитами.
Вилочковая железа состоит из двух боковых долей, которые книзу расширяются в два боковых рожка. Верхняя граница тимуса у детей проецируется на 1-1,5 см вверху над рукояткой грудины, а нижняя — в III или IV межреберье. У детей до 3-х лет шейная часть железы находится за грудинно-щитовидными и грудинно-подъязычными мышцами, задняя поверхность прилежит к трахее; боковые поверхности железы соприкасаются с яремной веной, общей сонной артерией, с n. vagus. У взрослых, как правило, шейный отдел железы отсутствует и верхний край находится за рукояткой грудины на различном расстоянии от ее вырезки книзу, а нижний край соответствует II межреберью или III ребру. Грудной отдел тимуса передней поверхностью прилежит к грудине, нижней — к перикарду, задней — к стволу v. cava superior, v. brachiocephalica sinistra и к tr. brachiocephalicus.
Важно. У новорожденных редко встречается грыжа тимуса, когда через дефект грудины часть тимуса выпячивает под кожу.
Нажимайте на картинку, чтобы увеличить.
| Фото. А, Б — Положение тимуса в переднем средостение (грудная часть) и на шее (шейная часть). В — Путь миграции тимуса в эмбриональном периоде. | ||
![]() | ![]() | ![]() |
От момента рождения до наступления половой зрелости абсолютный вес тимуса растет, но относительный — убывает. К 10-ти годам, когда иммунная система ребенка созрела, начинается физиологическая атрофия тимуса. С 16-ти лет размеры тимуса постепенно уменьшаются, а после 20-ти лет размер железы меньше, чем у детей раннего возраста. В конечном счете, тимус замещается жировой и соединительной тканью, но сохраняет свою первоначальную форму.
Таблица. Размеры вилочковой железы в различные возрастные периоды [по Л.К. Жолобову, 1959]
УЗИ вилочковой железы
Для УЗИ вилочковой железы используют линейный датчик 7,5-12 МГц. У детей первого года жизни датчик располагают на грудине в месте сочленения рукоятки и тела — это поперечный срез вилочковой железы. Продольный срез получают при продольном расположении датчика справа и слева от грудины. Позднее происходит окостенение грудины, а латеральные отделы железы прикрывает легочная ткань, что затрудняет точное определение размеров. Придется изворачиваться.
На УЗИ тимус гипоэхогенный в сравнении с щитовидной железой, и изоэхогенный миакарду. Контур тимуса четкий; ровный по передней поверхности, но волнистый сзади. У детей младшего возраста эхо-структура железы однородная мелкозернистая, а у старших детей и взрослых точечные гипо- и гиперэхогенные сигналы перемежают — это смесь жира и лимфоидной ткани. Внутри тимуса можно разглядеть тонкие гиперэхогенные фиброзные перегородки, которые делят железу на отсеки. Из-за фиброзной капсулы края тимуса хорошо контурируют. Расположение, форма и размер тимуса сильно варьируют.
| Фото. Поперечный срез тимуса новорожденного, ребенка старшего возраста и взрослого. | ||
![]() | ||
| Фото. А — Шейная (стрелки) и грудная (треугольники) части нормального тимуса. Б — Шейная часть нормального тимуса на поперечном срезе. В — Шейная часть нормального тимуса (черные стрелки) у мальчика 12-ти лет на продольном срезе крепится к нижнему полюсу щитовидной железы (белая стрелка) щитовидно-тимусовой связкой (треугольник). Обратите внимание на картину «звездного неба» — это гиперэхогенный жир на фоне гипоэхогенной лимфоидной ткани. | ||
![]() | ![]() | |
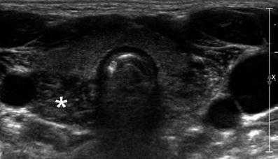
| Фото. А — Поперечный срез тимуса у новорожденного. Б — У детей раннего возраста, особенно при крике, верхняя часть тимуса может подниматься на шею через яремную вырезку, тогда он определяется позади щитовидной железы (звездочка). В — На саггитальном срезе хорошо видно, что тимус (эктопическая долька на шее) гипоэхогенный по сравнению с щитовидной железой. | ||
![]() | ![]() | ![]() |
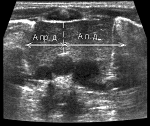
Как измерить вилочковую железу на УЗИ
При двудолевом строение тимуса объем железы равен сумме объемов правой и левой доли. Границы между долями четко не определяются и может быть выбрана в самом тонком месте при поперечном сканировании железы. Асимметрия органа при нормальном общем объеме не имеет значения.
| Фото. На продольном срезе правой (А) и левой доли (В) измеряют длину и толщину (передне-задний размер), а на поперечном срезе (Б) — ширину долей. | ||
![]() | ![]() | ![]() |
Объем правой (левой) доли: длина (см) х ширина (см) х толщина (см) х 0,523.
Для скрининга достаточно знать, что в норме объем вилочковой железы у детей до 2-х лет составляет до 0,33% от массы тела, в 3-4 месяца максимум до 0,4%. У детей от 2-х до 3-х лет нормальный объем вилочковой железы колеблется от 11 до 33 см 3 .
Для более точной оценки вычисляют массу тимуса и тимический индекс (ТИ).
Масса правой (левой) доли: длина (см) х ширина (см) х толщина (см) х 0,704.
ТИ у детей: Масса тимуса / Масса тела ребенка х 100%.
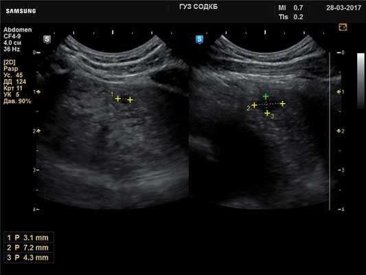
Тимус - киста, B-режим

[EN] Эхограмма №736: Киста тимуса (левой доли) у ребенка 2 лет. Микроконвексный датчик 4-9 МГц (неонатальный), двойной B-режим (слева - продольно, справа - поперечно).
Автор: Суханов С.А., Саратов.
Изображение получено с помощью УЗ сканера H60 (снят с производства).
Публикации по теме
УЗИ поверхностных групп лимфатических узлов. Для того чтобы правильно определить тактику лечения больных с аденопатиями необходимо знать природу процесса - доброкачественная или злокачественная. При этом необходимо знать варианты эхографического изображения различных доброкачественных изменений лимфатических узлов. Диагностика доброкачественных аденопатий шеи - зоны цервикальных (глубоких яремных, югулярных) лимфатических узлов.
Теория и практический опыт в ультразвуковой диагностике патологии слюнных желез. По данным разных авторов, на долю заболеваний слюнных желез приходится до 24% всей стоматологической патологии. В клинической практике наиболее часто встречаются дистрофические, воспалительные заболевания слюнных желез (сиалоаденозы, сиалоадениты), а также опухоли и врожденные пороки развития слюнных желез. Выделяют три пары больших слюнных желез и много малых. К большим относят парные околоушные, поднижнечелюстные и подъязычные слюнные железы.
Читайте также:
- Техника гастроеюностомии. Тонкости задней позадиободочной гастроеюностомии.
- Техника амбулаторных операций на глотке, гортани. Аденотомия, тонзиллотомия
- Иммунологическая взаимосвязь матери и плода. Интенсивная терапия новорожденных. Перинаталог. Развитие перинаталогии.
- Мы во сне. Что делать, если не спиться?
- Полное Парентеральное Питание














