УЗИ при варфариновой (кумадиновой) эмбриопатии у плода
Добавил пользователь Владимир З. Обновлено: 17.12.2025
Эмбриопатия это патологические нарушения развития плода, возникающие в период между первым и третьим месяцем беременности. Эмбриопатия характеризуется патологиями различных органов эмбриона и пороками развития. Нередки случаи гибели плода вследствие возникновения эмбриопатий.
Симптомы эмбриопатии
Симптомы эмбриопатии можно определить в некоторых случаях еще до рождения ребенка или уже в первые дни его жизни. Патологический путь развития эмбриона приводит к порокам сердца, порокам развития почек, органов пищеварения, центральной нервной системы, недоразвитости отдельных частей тела, врожденным пороками лица. Причины возникновения подобных ситуаций могут быть разными, но очевидно пагубное влияние алкоголя, никотина, ряда хронических заболеваний, а также наследственный фактор.
Важнейшее значение для предупреждения развития эмбриопатии имеет постоянный врачебный контроль во время беременности и соблюдение тех правил, которые сводят к минимуму вероятность патологического пути развития эмбриона. В ряде случаев пороки развития эмбриона не оставляют плоду шанса на жизнь. Это, прежде всего, относится к порокам центральной нервной системы, большинство из которых ведут к летальному исходу. То же самое относится к тяжелым порокам почек. Тем не менее, современное хирургическое лечение как врожденных пороков сердца и органов пищеварения, так и пороков лица, к которым относятся расщепление верхнего неба и верхней губы, т.н. волчья пасть и заячья губа, дают возможность ребенку жить и нормально развиваться вместе со своими сверстниками.
Лечение эмбриопатии
Лечение эмбриопатии лучшими специалистами нашего центра проводится с применением современного оборудования и передовых методик. Успешное хирургическое лечение и последующие реабилитационные мероприятия вернут ребенку возможность прожить полноценную жизнь.
Варфарин при беременности
Применение варфарина во время беременности относится к категории X по FDA (выявлены нарушения развития плода или имеются доказательства риска отрицательного воздействия данного лекарства средства на плод человека: риски для плода от данного лекарства превышает возможную пользу для беременной женщины). К побочным эффектам применения варфарина во время беременности относятся: дефекты центральной нервной системы, самопроизвольные аборты, мертворождение, преждевременные роды, кровотечение и патологии со стороны зрительной системы при применении на любом сроке беременности, а также фетальный варфариновый синдром (эмбриопатии, возникающие при применении варфарина в первом триместре беременности). Фетальный варфариновый синдром характеризуется гипоплазией костей носа, конечностей и отставанием в развитии. Варфарин противопоказан к применению во время беременности.
Имеющиеся ограниченные данные свидетельствуют, что осложнения, вызываемые варфарином у плода, зависят от дозы. Наблюдение за 58 беременностями с 31 здоровым ребенком показало, что количество осложнений увеличивается при применении доз выше 5 мг в день. Из 418 беременностей, в течение которых вводился варфарин, 1/6 случаев закончилась абортами или мертворождением, в 1/6 случаев были выявлены аномалии плодов, а в 2/3 случаев были рождены здоровые дети. Гипоплазии носа различной степени тяжести являются наиболее часто выявляемой фетальной эмбриопатией при применении варфарина. В подавляющем большинстве случаев присутствует эпифизарная зернистость, главным образом, в осевом скелете, бедренных и пяточных костях. Кроме того, также может присутствовать гипоплазия конечностей, низкий вес при рождении, аномалии развития зрительной системы (т.е. атрофия зрительного нерва, микрофтальмия и слепота) и отставание в развитии. Аномалии центральной нервной системы включают в себя дисплазию спинного мозга с недоразвитием мозолистого тела, синдром Денди-Уокера, атрофию средней линии мозжечка и вентральную дисплазию средней линии с атрофией зрительного нерва. Сроки применения не играют роли в развитии аномалий ЦНС. Были описаны случаи возникновения аномалий при отсутствии применения варфарина в первом триместре беременности. В одном из исследований было упомянуто возникновение всех типов пороков ЦНС плода при применении варфарина во втором и/или третьем триместре беременности.
Hall и др. (1980) рассмотрели и проанализировали опубликованные данные, связанные с использование кумарина во время беременности. В общей сложности были оценены 418 беременностей. В 156 случаях производные кумарина были использованы на протяжении всей беременности. Из них в 76% родились здоровые живые младенцы. В оставшихся 24% случаев были выявлены аномалии, в том числе спонтанные аборты, мертворождение, преждевременные роды, пороки развития ЦНС плода, эмбриопатии и фетальные геморрагии. В другом литературном обзоре, проведенном Ginsberg и Hirsh (1989), основанном на данных о 970 беременностях, во время которых применялся варфарин, говорится о 45 случаях фетопатий и 26 случаях аномалий развития ЦНС плода. При проведении анализа случаев применения пероральных антикоагулянтов, после исключения беременностей с сопутствующими материнскими заболеваниями, в 26,5% случаев был выявлен неблагоприятный исход беременности. Использование варфарина на сроках между шестой и двенадцатой неделями беременности приводит к формированию фетального варфаринового синдрома. Было исследовано 58 беременностей и 43 женщины с искусственными клапанами сердца, которым в течение всей беременности назначался варфарин. При наблюдении за группой из 25 беременностей, во время которых применялся варфарин в дозе более 5 мг в сутки, у 22 плодов были выявлены осложнения, среди которых 18 самопроизвольных аборта, 2 случая фетального варфаринового синдрома (самопроизвольное прерывание в 6 месяцев), 1 мертворождение и 1 дефект межжелудочковой перегородки (закрывшийся в первый год жизни). При исследовании группы из 33 беременностей, во время которых применялся варфарин в дозе менее 5 мг варфарина ежедневно, было 27 своевременных родов и 1 случай преждевременных родов. В 5 случаях были выявлены осложнения, в том числе 4 самопроизвольных аборта и 1 ребенок с задержкой роста (без отклонений в костной системе, психической или неврологической отсталости, и в настоящее время полностью здоровый).
Применение варфарина во время лактации
В исследовании, проведенном Orme и др (1977), была оценена экскреция варфарина в грудном молоке у 13 женщин, получавших Варфарин в дозе от 5 до 12 мг в день. Во всех пробах варфарин не был обнаружен (
Патологии сердца плода, которые можно определить на скрининговом УЗИ

Основные пороки сердца у плода формируются в 1 триместре беременности на сроке 12-14 недель. Это может быть реакция на внешние факторы либо генетические проблемы. К этому сроку происходит формирование сердечной мышцы плода, поэтому будущей матери необходимо пройти УЗИ обследование на выявление патологий органа.

Во внутриутробном развитии пороки сердца возникают как реакция организма на нарушение плацентарного кровообращения либо воздействие канцерогенных веществ (формальдегиды, никотин, токсические вещества).
Аномалии положения сердца плода
Среди аномалий расположения сердца выделяют эктопию сердца (размещение вне грудной клетки). К таким патологиям относят декстрокардию (смещение сердца в правую сторону относительно нормального положения) и мезокардию (расположение сердца не с левой стороны грудины, а по срединной линии тела).
Эктопия сердца у плода возникает на сроке 14-18 дней с момента зачатия мезадерма начинает развиваться неправильно, что вызывает неправильное срастание брюшной стенки. У плода либо отсутствует диафрагма вообще, либо нет диафрагмального сегмента перикарда.
Из-за отверстия в стенке между правым и левым желудочком слышны интракардиальные шумы. Также у плода эктопия сердца нередко сопровождается другими аномалиями — гидроцефалией, энцефалоцеле и пр.
Надо сказать, что существует высокая вероятность ошибочного диагноза по установки положения сердца. При тазовом предлежании плода на УЗИ сердца визуализируется справа, хотя на самом деле оно располагается в положенном месте.
В 71% случаев эктопия сердца вызывается плевральным выпотом, кистозным аденоматозным пороком развития лёгкого, диафрагмальной грыжей.
Различают четыре вида эктопии:
- абдоминальная (сердце находится в брюшине);
- грудная (сердце выходит наружу через дефекты грудины);
- торакоабдоминальная (пентада Кантрелла — сложнейшая патология, имеющая комплекс отклонений от нормы);
- шейная (сердце смещается в область сердца).
Грудная эктопия встречается в 55-60% случаев, торакоабдоминальная — в 38%, шейная — почти в 3%. Выживаемость составляет около 10%. В большинстве случаев при эктопии младенец либо рождается мёртвым, либо умирает сразу после рождения.
Патология сопровождается смещением других внутренних органов, которые не защищены от механических повреждений и подвержены инфекциям и вирусам больше обычного.
Врождённые дефекты сердца
Пять наиболее встречаемых дефектов — это тетрада Фалло, дефект межжелудочковой перегородки, транспозиция магистральных сосудов, коарктация аорты, гипоплазия левых камер.
Оптимальным сроком для проведения ультразвуковой диагностики сердца плода считается период 24-26 недель беременности. Именно в это время анатомические структуры сердца максимально визуализируются, а на более ранних сроках можно увидеть только явные и глобальные пороки сердца.
Наиболее информативен ультразвуковой осмотр 4-камерного среза сердца. После которого при любом отклонении от нормы женщина отправляется на более детальное обследование плода с использованием допплеровской эхокардиографии. Также проводится кариотипирование, потому что в 30% случаев аномалии являются результатом хромосомных нарушений.
Что выявляет УЗИ
В нашей клинике используется современное 4D оборудование, имеющее допплеровский режим. С его помощью можно получить изображение 3-х главных сосудов — верхней полой вены, лёгочного ствола и восходящей аорты. Во время обследования выявляется не только расположение сосудов, но и их диаметр и другие параметры.
На экране монитора будут видны следующие патологии плода:
- Уменьшение диаметра аорты при расширении лёгочного ствола можно говорить об гипоплазии (недоразвитости) левых отделов сердца малыша, отвечающих за начало кровообращения;
- Уменьшение ствола лёгочной артерии в размерах при сохранении в норме диаметров аорты и верхней полой вены указывает на стеноз (сужение) лёгочной артерии. У плода выявляются только выраженные формы;
- Маленький диаметр аорты при нормальном 4-камерном строении сердца является следствием коарктации аорты (сужение аорты сердца в определённом сегменте);
- Визуализация 2 сосудов вместо 3 может быть следствием соединения сосудов в общий артериальный ствол;
- Смещение аорты вперёд или правее лёгочной артерии наблюдается при транспозиции магистральных сосудов;
- Диаметр аорты расширен, но при этом сужен диаметр лёгочной артерии, а аорта смещена вперёд. Это может является тетрадой Фалло (очень тяжёлая сочетанная аномалия сердца). Проблема включает в себя стеноз или гипертрофию выходного отдела правого желудочка, дефект межжелудочковой перегородки, декстропозицию аорты (отхождение в правую сторону). Диагностика плода крайне затруднительна, поэтому на помощь приходит допплеровский режим, помогающий визуализировать поток крови в аорту из обоих желудочков;
- Гипоплазия (недоразвитость) правых камер сердца определяется по уменьшению их размеров относительно левых камер. Эта патология сопровождается обычно дисплазией (провисанием или выбуханием) митрального клапана;
- Общий предсердно-желудочковый канал виден как дефект перегородки сердца с расщеплением атриовентрикулярного клапана;
- Гипопластический синдром левых отделов сердца проявляется в виде недоразвития желудочка и митрального и аортального клапанов;
- Единственный желудочек также не является нормой, потому что их должно быть два и они хорошо просматриваются в четырёхкамерном срезе;
- При недоразвитости трёхстворчатого клапана кровь из правого предсердия не попадает в левое, что хорошо видно при допплеровском исследовании;
- Со 2 триместра фиброэластоз эндокарда визуализируется как утолщение миокарда и ухудшении его сокращения;
- Недоразвитие миокарда одного из желудочков (аномалия Уля) заметна на 2 триместре.
Какие патологии сердца у плода сложно выявить на скрининговом УЗИ
Трудности в диагностике заболеваний сердца на УЗИ вызывают следующие патологии органа:
- дефект межпредсердной перегородки;
- дефект межжелудочковой перегородки;
- транспозиция главных артерий.
При подозрении на их наличие, пациентка должна регулярно наблюдаться и соблюдать все рекомендации гинеколога.
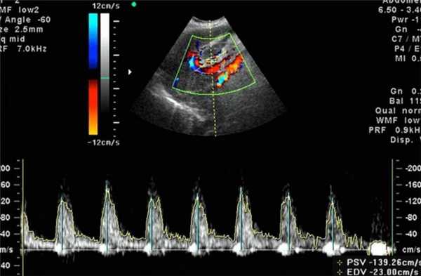
Допплерометрия плода выявляет патологии кровотока при беременности

Доплерометрия при беременности - это современный метод диагностики при помощи ультразвука, позволяющий объективно и полноценно исследовать кровообращение плода, плаценты и матки. По состоянию кровеносной системы можно оценить состояние плода, скорость его развития — не страдает ли малыш от недостатка кислорода, а также возможные патологические изменения. Допплерометрия плода — единственная методика, способная показать точное нахождение патологии сосудов (в матке, пуповине или плаценте).
Зачем и когда проводить допплерометрию при беременности
Сегодня заболевания сосудов — одна из наиболее распространенных проблем в медицинской практике. Своевременная диагностика позволяет выявить такие патологии еще на ранней стадии развития, а вместе с тем и многие факторы, способные вызвать развитие нарушений кровообращения.

Ценность процедуры заключается в её высокой информативности, благодаря чему врач способен выявить не только уже развившуюся патологию, но и практически незаметные доклинические симптомы болезни. Процедура назначается после полного формирования плаценты — не ранее 18 недель, чаще на 32-34 неделе в качестве плановой проверки.
При наличии даже незначительных подозрений на нарушения развития плода - УЗИ с доплером проводят на любом сроке. Доплер делают в комплексе со скрининговым УЗИ , при этом по ощущениям для беременной женщины процедура ничем не отличается от классического УЗ-обследования.
Суть метода
Этот способ изучения кровеносной системы основан на применении эффекта Доплера.
Для обследования используется такой же ультразвук, как и при обыкновенном ультразвуковом исследовании. Отличие заключается в особом датчике, работающем на основе допплеровского эффекта, и интерпретации полученных данных. При исследовании фиксируются ультразвуковые волны, отраженные не от статичных тканей, а от подвижных объектов - клеток крови, в результате чего частота отраженных лучей сильно изменяется в сравнении с изучаемыми. Аппарат обрабатывает полученные данные и создает двухмерное цветное изображение. Благодаря этому возможно оценить скорость и направление кровотока, анатомию и проходимость сосудов.
Длительность допплерографии составляет 20 - 40 минут. Она не имеет ни противопоказаний, ни осложнений, ни негативного воздействия на организм. Исследование совершенно безболезненное и безопасное.
Показания
Гинекологи рекомендуют проходить обследование с доплером 1-2 раза во время беременности вместе с плановыми УЗИ . Если же есть проблемы, доппплер плода нужно сделать в ближайшие сроки. В основном допплерометрия назначается при несоответствии размеров плода гестационному возрасту. Также процедура проводится в следующих случаях:
- осложнения в вынашивании ребенка;
- фетоплацентарная недостаточность;
- у матери присутствуют хронические и тяжелые заболевания (сахарный диабет, гипертония, анемия, системные заболевания);
- резус-конфликт беременной и ребенка;
- многоплодная беременность;
- неиммунная водянка плода;
- неправильное положение плода в матке;
- преждевременное созревание плаценты;
- обвитие шеи ребенка пуповиной, подозрение на гипоксию;
- выраженное маловодие / многоводие;
- гестоз (поздний токсикоз, сопровождающийся ухудшением работы почек, сосудов и мозга — появляется белок в моче, повышается давление);
- травмы живота у беременной;
- хромосомные патологии младенца;
- плод шевелится меньше обычного или шевеления не ощущаются вовсе;
- неудовлетворительные результаты кардиотокографии;
- осложнения в вынашивании предыдущей беременности (преждевременные роды, выкидыш и т.д.).
Также УЗИ плода с доплером нужно пройти в случаях, если матери нет 20 лет или ей более 35 лет.
Что выявляет допплерометрия плода
Допплер помогает своевременно выявить гипоксию плода и избежать проблемы еще до того, как ребёнку будет угрожать опасность, или же свести негативные последствия к минимуму. С его помощью врач может узнать причины обвития пуповиной и увидеть сколько раз и насколько туго обвита шея младенца. Без этой жизненно необходимой информации специалисты не смогут выбрать правильную тактику родов, что ставит под угрозу здоровье и жизнь ребенка.
Также с помощью доплера можно увидеть:
- состояние и ритм работы сердца плода в состоянии покоя и движения;
- состояние сердечных клапанов основных кровеносных сосудов, артерий и вен;
- скорость и объем кровотока периферийной кровеносной системы;
- кровообращение в пуповине и плаценте;
- состояние кровеносной системы, сердца и почек беременной.
Полученная информация позволяет врачу оценить:
- проходимость и состояние сосудистого русла, наличие отклонений, блокирующих кровоток плода;
- насыщение кровью и питательными веществами всех тканей ребенка;
- проходимость и состояние пуповины, обвитие шеи младенца;
- эффективность работы плаценты;
- состояние и работа кровеносной системы женщины в период беременности.

Подготовка и особенности проведения УЗИ плода с доплером
Процедура не требует никаких подготовительных мер: ни рацион питания, ни наполненность мочевого пузыря и желудка не оказывают влияния на результаты обследования. Единственная рекомендация — сделать перерыв в еде на пару часов до обследования.
Беременной нужно взять с собой следующее: направление и результаты прошлых анализов и обследований (УЗИ, КТГ, ЭКГ), обменную карту беременной. Бумажные салфетки и одноразовую пеленку или полотенце не нужны — в нашей клинике все предоставляется бесплатно.
Методика проведения допплерометрии аналогична трансабдоминальному УЗИ. Женщина ложится на кушетку спиной и оголяет живот. Врач наносит на исследуемый участок специальный гель для лучшей проходимости ультразвуковых волн и затем водит по нему датчиком, параллельно исследуя полученные данные на мониторе. Интерпретация результатов выдается женщине в тот же день.
Доплерометрию при беременности можно проводить несколькими способами:
- Ультразвуковой допплер - применяется для оценки направления, интенсивности, характера кровотока в сосудах.
- Дуплексное исследование - отличается от предыдущего метода большей точностью и информативностью. Применяется для оценки кровотока сосудов и их анатомии.
- Цветное картирование - состояние даже мельчайших сосудов и их проходимость кодируется цветом.
Расшифровка результатов допплерометрии плода
Оценка состояния кровоснабжения с помощью допплера формируется на основе следующих показателей:
- Систоло-диастолическое отношение - отношение максимальной и минимальной скорости кровотока;
- Индекс резистентности - отношение разницы максимальной и минимальной скорости кровотока к максимальной в период сжатия;
- Пульсационный индекс - отношение разницы максимальной и минимальной скорости кровотока к средней скорости за полный цикл сердца.
Допплерометрия плода: норма по неделям и прогноз при отклонениях
Чтобы расшифровка результатов прошла правильно и все отклонения были выявлены, необходимо сравнить полученные данные с нормативными значениями с учетом гестационного срока.
Возможности эхокардиографии плода в I триместре беременности (11-14 недель)
Московский областной НИИ акушерства и гинекологии (МОНИИАГ), Россия.
Гомельский областной медико-генетический центр с консультацией "Брак и семья", Гомель, Беларусь.

Журнал "SonoAce Ultrasound"
Содержит актуальную клиническую информацию по ультрасонографии и ориентирован на врачей ультразвуковой диагностики, выходит с 1996 года.
Введение
Актуальность темы пренатальной диагностики врожденных пороков сердца (ВПС) понятна всем врачам, которые связаны с пренатальной диагностикой, неонатологией, педиатрией, кардиологией, генетикой. ВПС являются одной из ведущих причин перинатальной смертности и регистрируются с частотой 4-13 на 1000 живорожденных [1]. В связи с тем, что профилактические мероприятия по предупреждению ВПС не имеют должного успеха, представляется актуальной и необходимой их пренатальная ультразвуковая диагностика.
- Семьи, имеющие ребенка с ВПС.
- Семьи с ВПС у одного или обоих супругов.
- Женщин, страдающих сахарным диабетом, системными заболеваниями соединительной ткани, гипотиреозом.
- Беременных с тератогенной экспозицией в ранние сроки беременности (герпес ранее 6-7-й недели) [2].
Однако параллельно другими учеными эти группы риска отвергались, потому что большинство ВПС встречались у плодов и детей, матери которых не входили ни в одну из предложенных групп риска. Единственными разумными критериями так называемого селективного отбора были признаны беременные, попавшие в группу риска после проведения скрининга I триместра и беременные с подозрением на ВПС при ультразвуковом исследовании (УЗИ) плода [3].
Неоспоримо, что оптимальными сроками беременности для исследования сердца плода являются 20-22 недели, однако большинство летальных и клинически значимых пороков сердца могут быть диагностированы в конце I триместра беременности. Позволим себе процитировать слова главы Fetal Medicine Foundation Кипраса Николаидеса, высказанные им на страницах сайта FMF (www.fetalmedicine.com): "Специалист ультразвуковой диагностики с 12 недели беременности должен заверить большинство родителей, что у их ребенка нет крупных врожденных пороков сердца. В случае крупных врожденных пороков сердца их раннее выявление может привести к постановке правильного диагноза или хотя бы вызвать подозрение для осуществления ультразвукового мониторинга".
Главная цель пренатальной диагностики сформулирована специалистами пренатальной диагностики всего мира - это обеспечение женщины максимально возможной информацией о пороке как можно раньше. Мы должны дать право женщине и семье в целом решать вопрос о пролонгировании беременности с грубыми пороками развития у плода [4].
С каждым годом все большее количество публикаций посвящается диагностике ВПС в ранние сроки - в I триместре беременности 6. Практически ни один из выпусков журнала ISUOG (Ultrasound In Obstetrics and Gynecology, или "белого" журнала, как его называют специалисты) не обходит своим вниманием тему ранней диагностики врожденных пороков развития.
На самом знаменитом сайте в мире пренатальной диагностики www.thefetus.net (Philippe Jeanty, USA) опубликовано уже более 30 случаев находок ВПС в I триместре беременности. Однако в отечественной периодике встречаются лишь единичные работы по этой теме. Все они пренадлежат "перу" специалистов пренатальной диагностики Российской ассоциации врачей ультразвуковой диагностики в перинатологии и гинекологии, хотя для многих специалистов как раньше, так и сейчас осмотр сердца плода в сроки 11-14 недель заключается лишь в констатации числа сердечных сокращений.
Цель эхокардиографии в I триместре беременности состоит в выявлении летальных и клинически значимых ВПС. Это исследование не ставит целью выявление стенозов и гипоплазий выносящих трактов, диагностику мелких дефектов перегородок, патологий дуги аорты и артериального протока. Многие из этих пороков не только технически невозможно заподозрить в I триместре, манифестируют они после 30-й недели беременности, т.е. их диагностика является прерогативой исследования III триместра.
Точность пренатальной диагностики ВПС во все сроки беременности варьирует в широком диапазоне. Причинами этого могут быть разный опыт специалистов, ожирение беременной, частота использованных ультразвуковых трансдьюсеров и класс ультразвукового аппарата, перенесенные ранее абдоминальные операции, срок беременности, количество околоплодных вод и положение плода. Однако заметим, что многие из этих факторов теряют свою актуальность именно при проведении трансвагинальной эхокардиографии в I триместре беременности. Своевременная диагностика ВПС позволяет идентифицировать плоды высокого риска по генетическим синдромам, что имеет важное значение при проведении пренатального консультирования и оказывает существенное влияние на акушерскую тактику.
Результаты
С 2006 по 2011 г. пренатально в I триместре беременности были выявлены 125 ВПС. Из них 68 (55%) ВПС сочетались с различными хромосомными аномалиями (ХА) плода, 30 (24%) входили в состав различных множественных врожденных пороков развития (МВПР), 27 (21%) ВПС были изолированными.
При эхокардиографии изучались четырехкамерный срез сердца плода (рис. 1) и срез через три сосуда (рис. 2). УЗИ проводилось трансабдоминальным датчиком, лишь при необходимости (затрудненная визуализация) использовался внутриполостной датчик. Четырехкамерный срез сердца плода при ультразвуковом сканировании трансабдоминальным датчиком визуализировался в 85% случаев, срез через сосуды - в 73%, при использовании трансвагинального датчика эти цифры существенно возрастали до 100 и 91% соответственно. Оптимизация пренатальной диагностики ВПС может быть достигнута путем строгого соблюдения основных методических правил. При оценке четырехкамерного среза плода необходимо оценить нормальное расположение сердца плода, исключив его эктопию (рис. 3), положение оси сердца плода, что не представляет никаких трудностей, нормальные пропорции и размеры камер сердца, движение створок атриовентрикулярных клапанов должно быть свободным, септальная створка трикуспидального клапана должна располагаться ближе к верхушке сердца (рис. 4). При оценке среза через три сосуда необходимо оценить взаиморасположение сосудов и их диаметр.

Рис. 1. Беременность 12 недель. Четырехкамерный срез сердца плода. Отчетливо видны камеры сердца.
Читайте также:
- Механизмы поражения органов нефтяными продуктами (дистиллятами)
- Диагностика и лечение синдрома Шерешевского—Тернера. Чистый гонадальный дисгенез
- Слизисто-перепончатый колит у детей. Гангрена и туберкулез кишечника детей
- Техника и этапы эндоскопической операции на верхнечелюстной пазухе при гайморите
- Гипомиелинизация головного мозга на КТ, МРТ
