УЗИ при внутрибрюшной кисте
Добавил пользователь Евгений Кузнецов Обновлено: 11.12.2025

Кисты забрюшинного пространства — это патологические полости, располагающие стенкой и жидким содержимым, расположенные не во внутренних органах, а непосредственно в забрюшинном пространстве. Это — область между задним листком брюшины, спинной мышечной ткани, диафрагмой и мышцами малого таза. Особенность таких кист заключается в том, что они расположены глубоко, поэтому их диагностика затруднена. Чаще всего их выявляют у пациентов старше пятидесяти лет, преимущественно — женского пола.
Пройти лечение кист забрюшинного пространства в Москве приглашает отделение хирургии ЦЭЛТ. Мы предоставляем услуги на отечественном рынке платных медицинских услуг уже более тридцати лет и пользуемся хорошей репутацией у всех, кто желает избавиться от тех или иных заболеваний и повысить качество жизни.
Этиология кист забрюшинного пространства
Данный вид кист считается достаточно редким и на начальной стадии практически не проявляет себя, что определяет его опасность: по мере развития развивается нагноение, давление на внутренние органы и увеличивается риск разрыва оболочки. Вышеперечисленное несёт реальную угрозу здоровью пациента. Инициирующие факторы развития кист в забрюшинном пространстве заключаются в следующем:
- травматические повреждения области живота;
- наследственная предрасположенность;
- врождённые аномалии органов брюшной полости;
- паразитарные поражения;
- воздействия химической природы на область брюшины;
- кровоизлияния и воспалительные процессы внутренних органов.
Симптоматика кист забрюшинного пространства

Клинические проявления патологического состояния в виде кисты следующие:
- увеличение размеров живота и изменение его формы;
- болевая симптоматика, локализующаяся в области живота;
- нарушения процессов дефекации и мочеиспускания;
- кишечная непроходимость;
- ощущение слабости, отсутствие аппетита;
- тошнота и рвота.
При поражении нервов забрюшинного пространства у пациента возникают сильные острые боли, локализующиеся в области живота, поясницы, нижних конечностей.
Риск развития осложнений кисты забрюшинного пространства
Как уже упоминалось, опасность данного вида кист заключается в том, что на начальной стадии развития они практически ничем не проявлены. Пациент не обращается за профессиональной медицинской помощью, а новообразование тем временем растёт и уже через небольшой период времени представляет собой опасность для его здоровья и даже жизни.
Дело в том, что кисты большого диаметра оказывают давление на внутренние ткани и органы. Самым опасным их осложнением является самопроизвольное вскрытие капсулы, которое может случиться из-за удара в живот или вследствие физической нагрузки. В этом случае серозное или гнойное содержимое кисты попадает в брюшную полость и становится причиной интоксикации, которая требует срочной госпитализации.
Диагностика кист забрюшинного пространства
Диагностика таких кист серьёзно затруднена из-за того, что они находятся в свободной клетчатке. Наши специалисты уделяют внимание правильной постановке диагноза, проводя:
- осмотр и пальпацию;
- УЗ-сканирование поражённой области; .
Таким образом они устанавливают локализацию кисты, место её крепления. Исключить наличие воспалительного процесса помогают результаты общих анализов урины и крови, злокачественные процессы — гистология посредством пункционного забора материала.
Гигантская киста брюшной полости
Женщину 21 года госпитализировали после двух лет регулярных жалоб на вздутие живота и связанный с этим дискомфорт. Никаких других симптомов не было, так что основной целью госпитализации стали диагностика и выбор лечебной тактики.

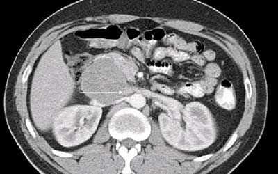
При осмотре в брюшной полости пальпируется подвижное безболезненное и относительно плотное образование. Данные лабораторных анализов — без отклонений, опухолевые маркеры в пределах нормы. Рентгенография брюшной полости показала нормальное распределение газов в кишечнике. Ультразвуковое исследование выявило анэхогенное кистозное образование, занимающее полностью переднюю и правую часть брюшной полости. Каких‑либо патологических изменений кишечника, а также свободной и локализованной жидкости в брюшной полости не обнаружено. КТ брюшной полости и МРТ выявили образование больших размеров — 35×20×10 см, располагавшееся в брюшной полости и полости малого таза, не связанное с какими‑либо органами (рисунок 1).

Во время срединной лапаротомии обнаружена гигантская киста, устье которой было связано с брыжейкой поперечной ободочной кишки (рисунок 2). Образование полностью удалено, органы брюшной полости не пострадали. Макроскопически киста брюшной полости однокамерная, содержит около 5000 мл серозной жидкости. Гистологический анализ показал, что это была простая мезотелиальная киста, фиброзная стенка которой выстлана мезотелиальными клетками правильной формы без атипии и митозов (рисунок 3). Послеоперационный период прошел без осложнений — все показатели пациентки оставались в норме, и она была выписана на следующий день. Шесть месяцев спустя самочувствие пациентки оставалось хорошим, рецидива не было.
Согласно классификации, предложенной Perrot (2000 год), простые мезотелиальные кисты брюшной полости (ПМКБП), а также доброкачественные и злокачественные кистозные мезотелиомы — это брыжеечные кисты мезотелиального происхождения [1].

ПМКБП встречаются крайне редко, всего в литературе описано около 900 случаев [2, 3]. Размер кист — до 40 сантиметров [2, 4, 5]. Обычно небольшая киста брюшной полости никак не проявляет себя, изредка пациенты могут жаловаться на неспецифичные симптомы. Отсутствие выраженной клинической картины и малая распространенность затрудняют диагностику ПМКБП.
Возникновение таких кист, скорее всего, связано с врожденным неполным сращением листков брюшины. По этой причине ПМКБП могут возникать в области тонкой кишки, брыжейки ободочной кишки и сальника [6, 7].
Симптомы кисты брюшной полости
Чаще всего кисту брюшной полости обнаруживают у детей и молодых людей [6]. Если ПМКБП увеличивается в размерах, появляются симптомы сдавления кишечника: боль в животе, вздутие, метеоризм, запоры и рвота [2, 8, 9]. При пальпации можно обнаружить безболезненное, сжимаемое мягкое образование, смещаемое в поперечном направлении [2, 9].Гигантская киста может симулировать асцит или опухоль яичников.
ПМКБП может осложниться острым животом из‑за своего разрыва, внутреннего кровотечения, воспаления или заворота, а также из‑за обструкции кишечника, реже возникает асцит [2, 3, 9]. Разнообразные неспецифичные, «вялые» симптомы более характерны для взрослых, а клиника острого живота — для детей [2].
По своему строению ПМКБП — тонкостенная, однокамерная киста брюшной полости, обычно с серозным содержимым [7]. Внутренняя поверхность полости выстлана плоскими, кубическими или цилиндрическими мезотелиальными клетками, стенка — фиброзная, без каких‑либо мышечных или лимфатических структур [2, 7]. Цитологический анализ ПМКБП показывает, что у клеток правильное круглое ядро, одно ядрышко и большое количество цитоплазмы [2].
Обзорная рентгенограмма и контрастная рентгенография с барием часто дают нормальные результаты или показывают наличие какого‑то образования, смещающего кишечник [6, 9]. УЗИ брюшной полости, КТ и МРТ более информативны [7, 10]. Они могут показать кистозный характер образования, его размеры, расположение и связь с прилежащими органами, а также характер содержимого и стенок кисты [2, 6].
При УЗИ кисте брюшной полости выглядит как анэхогенное образование с акустическим усилением [6, 7, 9]. КТ и МРТ выявляют образование, наполненное жидкостью, с сигналом слабой интенсивности на Т-взвешенных изображениях, без различимых стенок и внутренних перегородок [7, 9]. Данные лабораторных исследований — неспецифичны. Обычно дополнительные диагностические мероприятия (тонкоигольная аспирационная биопсия с цитологическим анализом или обзорная лапароскопия) не проводятся [2].
Лечение кисты брюшной полости: операция
Методом выбора является полное иссечение кисты [2, 8-10]. Чтобы исключить малигнизацию и предотвратить осложнения, иногда необходимо провести резекцию прилежащих органов [2, 3, 8]. У некоторых пациентов это возможно осуществить как с помощью лапароскопии, так и с помощью лапаротомии [3, 8-10]. На выбор метода влияют размер и расположение кисты, а также опыт хирурга [10]. Пунктирование кисты, дренаж и марсупиализация при ПМКБП неэффективны, а риск осложнений очень высок [3, 8, 9]. В описанном случае лапароскопия была невозможна из‑за огромного размера образования.
ПМКБП — доброкачественное образование и прогноз при этом заболевании благоприятный [9]. Полная эксцизия редко приводит к осложнениям, риск смертности и рецидива низок [2, 3, 9].
ПМКБП — крайне редкая опухоль брюшной полости, однако ее всегда надо включать в круг дифференциальной диагностики абдоминальных образований.
Пациентка дала письменное согласие на публикацию своего случая. Копия письменного согласия находится у главного редактора журнала (JOURNAL OF MEDICAL CASE REPORTS).
De Perrot M, Brudler M, Totsch M, Mentha G, Morel P: Mesenteric cyst. Toward less confusion? Dig Surg 2000, 17: 323-328.
Miljković D, Gmijović D, Radojković M, Gligorijević J, Radovanović Z: Mesenteric cysts. Arch Oncol 2007, 15: 91-93.
Sahin DA, Akbulut G, Saykol V, San O, Tokyol C, Dilek ON: Laparoscopic enucleation of mesenteric cyst: a case report. Mt Sinai J Med 2006, 73: 1019-1020.
Huis M, Balija M, Lez C, Szerda F,Štulhofer M: Mesenteric cysts. Acta Med Croatica 2002, 56: 119-124.
Tan JJ, Tan KK, Chew SP: Mesenteric cysts: an institution experience over 14 years and review of literature. World J Surg 2009, 33: 1961-1965.
Ros PR, Olmsted WW, Moser RP Jr, Dachman AH, Hjermstad BH, Sohin SH: Mesenteric and omental cysts: histologic classification with imaging correlation. Radiology 1987, 164: 327-332.
Stoupis C, Ros PR, Abbitt PL, Burton SS, Gauger J: Bubbles in the belly: imaging of cystic mesenteric or omental masses. Radiographics 1994, 14: 729-737.
Patel A, Lefemine V, Ramanand BS: A rare case of a peritoneal cyst arising from the falciform ligament. Cases J 2009, 2: 134.
Fernandez Ramos J, Vazquez Rueda F, Azpilicueta Idarreta M, Diaz Aguilar C: Mesothelial giant cyst of great omentum. An Pediatr (Barc) 2009, 71: 180-181.
Theodoridis TD, Zepiridis L, Athanatos D, Tzevelekis F, Kellartzis D, Bontis JN: Laparoscopic management of mesenteric cyst: a case report. Cases J 2009, 2: 132.
Кишечная дупликационная киста: ультразвуковая диагностика и морфологические сопоставления

Экспертный класс по доступной цене. Монокристальные датчики, полноэкранный режим отображения, эластография, 3D/4D в корпусе ноутбука. Гибкая трансформация в стационарный сканер при наличии тележки.
Кишечные дупликационные (энтерогенные) кисты встречаются довольно редко. Они могут локализоваться в центральной нервной системе [1], перикарде [2], средостении [3], яичках [4], а также в любом месте по ходу желудочнокишечного тракта, преимущественно в области тонкой кишки [5, 6]. В литературе для обозначения такого состояния были предложены следующие термины: дупликация (удвоение), редупликация, двойная кишка, кишечная киста, гигантский дивертикул, энтерогенная киста [7]. В настоящее время наиболее часто используются два термина: энтерогенные кисты - для обозначения образований в центральной нервной системе [1] и кишечные дупликационные кисты -для обозначения кист, развивающихся по ходу кишечной трубки [8, 9]. Последние кисты обычно наблюдаются у детей [2, 3].
Кишечные дупликационные кисты - это врожденные аномалии, которые могут развиться в любом месте вдоль кишечного тракта, от ротовой полости до ануса. Такие кисты локализуются, как правило, в самой стенке или прилежат к стенке какой-либо части желудочно-кишечного тракта. H. Dardic и соавт. [10] предложили следующие диагностические критерии: наличие выстилки, соответствующей слизистой оболочке кишечника или желудка, гладкомышечного слоя и тесной связи с какой-либо частью желудочно-кишечного тракта. В то же время в литературе имеются описания кист, выстланных респираторным эпителием [5, 11] или многослойным плоским эпителием [12]. В отдельных наблюдениях отсутствовала связь кисты с желудочно-кишечным трактом [13].
Для объяснения патогенеза дупликационных кист было предложено несколько теорий. Теория аберрантной реканализации полостей объясняет удвоение тех участков желудочно-кишечного тракта, которые в своем развитии проходят солидную стадию (например, пищевод, тонкая кишка и толстая кишка) [14]. Существует мнение, что формированию изолированной полости предшествует скручивание или какая-либо сосудистая аномалия на проксимальном участке дивертикула. Такие полости могут полностью отделяться от стенки кишки, формируя изолированные дупликационные кисты [5, 9, 10]. Согласно теории внутриутробного нарушения кровоснабжения, дупликационные кисты развиваются в результате возникновения локальной сосудистой недостаточности при аноксии или какихлибо стрессовых ситуациях [15].
Кишечные дупликационные кисты обычно проявляются в течение первых лет жизни в виде пальпируемого образования, а также признаками кишечной непроходимости. У взрослых, помимо указанных симптомов, могут возникать аррозивные кровотечения при изъязвлении кист [16]. Кроме того, возможно озлокачествление дупликационных кист [5, 13, 17].
Лучевые методы исследования, как правило, подтверждают кистозную природу образования. При ультразвуковом исследовании (УЗИ) дупликационные кисты имеют вид гипоэхогенных масс с выраженными стенками и хорошей трансмиссией из-за наличия прозрачного жидкого содержимого или вид анэхогенных образований при кровоизлиянии или сгущении содержимого в просвете кисты.
Лечение заключается в полном хирургическом удалении таких кист [3, 5].
В качестве примера приводим собственные наблюдения.
Наблюдение 1
Больная А., 33 лет, поступила в институт с жалобами на постоянные боли тянущего характера в эпигастральной области, голодные боли. По данным анамнеза, впервые стала отмечать голодные боли около 4 лет назад, в связи с чем проходила обследование в поликлинике по месту жительства. При эзофагогастродуоденоскопии установлен диагноз рефлюкс-эзофгита. Больной проводили курс антисекреторной терапии с временным положительным эффектом. Однако в последующем боли возобновились и постепенно усиливались, в связи с чем проводили повторное обследование, но никаких патологических изменений не было выявлено. Три года назад выполнено УЗИ брюшной полости, при котором обнаружено кистозное образование в области желудка и поджелудочной железы. При очередной эзофагогастродуоденоскопии выявлено пролабирующее в просвет желудка кистозное образование. Больная поступила в институт для дообследования и определения тактики лечения.
При поступлении общее состояние больной удовлетворительное, кожные покровы и видимые слизистые оболочки естественной окраски, чистые. Дыхание проводится во все отделы, хрипов не выслушивается, частота дыхания 16 в минуту. Границы сердца в пределах возрастной нормы, тоны сердца ритмичные, звучные. АД 120/80 мм рт. ст. Пульс 76 ударов в минуту, ритмичный, удовлетворительного наполнения и напряжения. Отеков нет. Язык чистый, влажный. Живот симметричный, участвует в акте дыхания всеми отделами. При пальпации в эпигастральной области чувствителен, симптомов раздражения брюшины нет. Перистальтика высушивается. Физиологические отправления в норме.
Данные лабораторных методов исследования в пределах нормы.
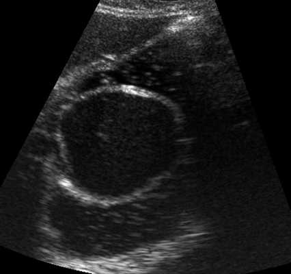
При УЗИ органов брюшной полости в эпигастральной области слева, в проекции желудка (в его просвете) определяется округлое образование, размером 53,1x49,6x45,6 мм, с четкими ровными контурами, по структуре анэхогенное, однородное, с наличием эхоплотной стенки толщиной до 4,1 мм. При наполнении желудка жидкостью создается впечатление, что образование исходит из его задней стенки, так как оно фиксировано к ней и не смещается при перемене пациенткой положения тела и кашлевом толчке (рис. 1). В режиме цветового допплеровского картирования данных о наличии кровотока в капсуле образования не получено. Заключение: киста (кистозное образование), исходящее из стенки или расположенное в полости желудка.

Рис. 1. УЗ-картина дупликационной кисты в просвете желудка, В-режим.
Больной поставили предварительный диагноз: кистозное образование желудка. С целью уточнения диагноза было решено произвести эндоскопическую диагностическую пункцию образования. Образование при инструментальной пальпации мягкое, создается впечатление, что оно имеет жидкостное содержимое. Произведена пункция образования с попыткой аспирации содержимого, однако густой его характер не позволил произвести данную манипуляцию через катетер. При помощи папиллотома произведена фенестрация кисты с аспирацией большого количества вязкого густого секрета цвета "кофе с молоком", без запаха. В процессе аспирации киста полностью спалась.
При цитологическом исследовании содержимого кисты обнаружен тканевой детрит, макрофагальная реакция, клетки плоского эпителия, преимущественно в состоянии деструкции.
Биохимическое исследование содержимого кисты: диастаза - 5 ед/л, CEA - 1887,6 нг/мл, СА 19-9 - 29707, 92 ед/л.
Таким образом, у больной имела место клинико-инструментальная картина дупликационной кисты желудка. В связи с чрезвычайно высоким уровнем онкомаркеров в содержимом кисты необходимо думать о ее малигнизации.
Больная была полностью информирована о характере заболевания, рисках и возможных осложнениях оперативного вмешательства, а также в случае отказа от него. От предложенного оперативного лечения, проведения эндоскопической биопсии стенки кисты пациентка воздержалась. В удовлетворительном состоянии она была выписана под наблюдение хирурга и онколога по месту жительства.
Наблюдение 2
Больная З., 47 лет, поступила с жалобами на ноющие боли в верхних отделах живота. Считает себя больной с 17 лет, когда стали беспокоить периодические боли в верхних отделах живота, особенно после погрешностей в диете. Лечилась амбулаторно по поводу хронического гастрита. Три года назад развился приступ болей в эпигастральной области и больная была госпитализирована в городскую больницу, где при УЗИ диагностировано кистозное образование головки поджелудочной железы до 2 см в диаметре. Год назад у больной развился очередной приступ болей в эпигастральной области, сопровождавшийся однократным приступом рвоты и жидким стулом. По этому поводу она находилась на лечении в Институте гастроэнтерологии, где при УЗИ было установлено увеличение образования в головке поджелудочной железы до 3,3 см. Пациентка поступила в Институт хирургии им. А.В. Вишневского для обследования и лечения.
При поступлении состояние больной удовлетворительное, кожные покровы и видимые слизистые оболочки обычной окраски, чистые. Периферические лимфатические узлы не увеличены. В легких дыхание везикулярное, проводится во все отделы. Тоны сердца ритмичные, шумы не выслушиваются. Пульс удовлетворительного наполнения, 68 ударов в минуту. АД 110/70 мм рт. ст. Определяется варикозное расширение вен обеих нижних конечностей. Живот не вздут, симметрично участвует в акте дыхания, при пальпации мягкий, умеренно 67 болезненный в эпигастральной области. Симптомов раздражения брюшины нет. Перистальтика выслушивается. Физиологические отправления в норме.
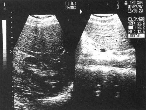
При УЗИ и дуплексном сканировании сосудов брюшной полости печень не увеличена в размерах, переднезадний размер правой доли - 136 мм, левой доли - 66 мм, контуры четкие, структура паренхимы однородная, диффузно уплотнена. Желчный пузырь не увеличен, визуализируется с перегибом, стенки утолщены, содержимое однородное. Внутри- и внепеченочные желчные протоки не расширены. Гепатикохоледох определяется, диаметром 3,6 мм, просвет его свободный. Поджелудочная железа не увеличена в размерах, головка - 30 мм, тело - 11 мм, хвост - 18 мм. Контуры железы в проекции тело - хвост ровные, четкие, структура паренхимы однородная, диффузно уплотнена. Главный панкреатический проток не визуализируется. В проекции гепатодуоденальной связки определяется кистозное образование овальной формы, с четкими ровными контурами, размером 47,0x33,4 мм, по структуре анэхогенное, неоднородное с наличием эхоплотных, неравномерно выраженных перегородок в эхоплотной капсуле толщиной до 2,8 мм (рис. 2, а). При дуплексном сканировании данных о наличии кровотока в капсуле и перегородках образования не получено. По заднему контуру образования прослеживается ход общей печеночной артерии (рис. 2, б) без гемодинамически значимых изменений скорости кровотока.
Рис. 2. УЗ-картина кистозного образования (отшнуровавшейся дупликационной кисты двенадцатиперстной кишки) в проекции гепатодуоденальной связки.
Ультрасонография органов брюшной полости

Идеальный инструмент для пренатальных исследований. Уникальное качество изображения и весь спектр диагностических программ для экспертной оценки здоровья женщины.
Методика исследования
Эхография органов брюшной полости проводится утром натощак после ночного голодания, однако в экстренных ситуациях исследование может быть выполнено в любое время. В большинстве случаев особой подготовки не требуется, хотя у тучных пациентов, больных с выраженным метеоризмом качественный осмотр может быть затруднен. Для уменьшения помех, обусловленных наличием газа в кишечнике, рекомендуется в течение 2-3 дней соблюдение диеты, бедной клетчаткой, исключение из пищи продуктов, усиливающих газообразование в кишечнике. Помимо этого показан прием карболена, ферментных препаратов (фестал, дигестал). Очистительную клизму ставить нет необходимости. При обследовании в экстренном порядке, а также после еды, необходимо помнить о возможности выявления в желудке или в кишечнике дополнительных включений, обусловленных наличием содержимого в их просвете.
Эхография проводится в положении больного лежа на спине, левом и правом боку, сидя или стоя, при этом желательно придерживаться следующей последовательности: обследование начинают с верхней части живота продольными срезами. Транcдьюсер располагают в эпигастрии по срединной линии. В этой позиции визуализируются левая доля печени и за ней брюшная аорта. Затем транедьюсер смещают влево, осматривая оставшуюся часть левой доли. После этого датчик последовательно перемещают в обратную сторону, вдоль правого подреберья до передней аксилярной линии. При этом визуализируются переход левой доли в правую, область круглой связки печени, хвостатая и квадратная доли, нижняя полая вена, правая доля печени, вены печени, портальная вена, желчный пузырь, правая почка. Затем продольные срезы повторяют, перемещая датчик вновь влево до срединной линии. После этого проводят сканирование в поперечной плоскости: транcдьюсер устанавливают на уровне мечевидного отростка и производят последовательные срезы, перемещая его до пупка и обратно. В этом случае визуализируются левая доля печени, желудок, поджелудочная железа, аорта, нижняя полая вена, чревный ствол, верхняя брыжеечная артерия, селезеночная вена.

Схема 1. Алгоритм проведения ультразвукового исследования органов брюшной полости (продольное сканирование):
а) - сканирование от средней линии живота влево;
б) - сканирование от левой передней аксилярной линии к правой передней аксилярной линии;
в) - сканирование от правой передней аксилярной к средней линии.
Исследование осуществляют без задержки дыхания. В результате проведенного сканирования в 2-х плоскостях получают общее представление о топографии органов верхнего этажа брюшной полости и выявляют грубые отклонения от нормы (схемы 1, 2).

Схема 2. Алгоритм проведения ультразвукового исследования органов брюшной полости (поперечное сканирование):
а) - сканирование от мечевидного отростка до пупка;
б) - сканирование от пупка в краниальном направлении.
Затем приступают к детальному изучению органов при задержке дыхания на высоте глубокого вдоха. Обследуя печень и желчный пузырь, трансдьюсер устанавливают параллельно правой реберной дуге и небольшими его наклонами, просматривают всю печень и желчный пузырь. При выраженном метеоризме возможно проведение исследования через межреберные промежутки справа в положениии больного на левом боку, что позволит избежать помех, обусловленных раздутыми петлями кишок. Эхографию поджелудочной железы начинают с поперечных срезов, переходя в последующем к сканированию в продольной плоскости. Селезенку осматривают в положении больного на правом боку, располагая трансдьюсер перпендикулярно реберной дуге.
Для обследования желудочно-кишечного тракта проводят вначале продольные срезы по всему животу слева направо и обратно, затем поперечные сверху вниз и обратно. И желудок, и кишечник должны быть осмотрены в поперечной и продольной плоскостях.
Ультразвуковое исследование почек осуществляют как со стороны спины (поперечные и продольные сечения), так и с передней (лежа на спине) и боковых (лежа на правом и левом боку) поверхностей живота, лучше при задержке дыхания в фазе глубокого вдоха. Для выявления подвижности или опущения почек эхографию производят в положении пациента сидя или стоя.
Предложенного алгоритма проведения ультразвукового исследования органов брюшной полости и почек необходимо придерживаться во всех случаях, поскольку лишь системный анализ получаемых эхограмм позволяет провести полноценное исследование, избежать возможных ошибок, получить необходимую информацию. Следует помнить, что качество обследования, в первую очередь, зависит от внимания врача, а поспешный осмотр недопустим.
Печень
Ультразвуковое исследование печени можно проводить в любое время без предварительной подготовки. Обследование проводится, как правило, в трех плоскостях (продольной, поперечной и косой) со стороны правого подреберья и эпигастрия. При этом необходимо оценить расположение, форму, контуры, размеры, структуру и эхогенность паренхимы, сосудистый рисунок в целом и конкретные сосуды, протоковую систему, влияние окружающих органов на состояние изображения печени. Точность диагностики выявляемых изменений возрастает при динамическом наблюдении (схема 3).

Схема 3. Положения датчика при сканировании печени:
1-3 - субкостальное сканирование
4 - продольное сканирование
5 - поперечное сканирование
6-7 - интеркостальное.
В норме большая часть печени располагается справа от позвоночника, а меньшая - слева от него и доходит до левой парастернальной линии. Контуры печени ровные, она имеет четкое очертание, капсула хорошо просматривается в виде гиперэхогенной структуры, окружающей ее паренхиму (за исключением участков, прилежащих к диафрагме, где капсула не дифференцируется от последней). В норме нижний край печени не выступает из-под реберной дуги. Общепринятыми являются измерение косого вертикального размера правой доли (не превышает 13-15 см) и толщины левой доли (до 5 см). Структура неизмененной печени представлена мелкозернистым изображением, состоящим из множества мелких точечных и линейных структур, равномерно расположенных по всей площади полученного среза. По эхогенности паренхима нормальной печени сопоставима или несколько выше эхогенности коркового вещества почки (при отсутствии ее патологии). Эхография позволяет дифференцировать различные трубчатые структуры, находящиеся в печени.
Отличительным признаком печеночных вен является их радиальное расположение (от периферии к центру), "отсутствие" стенок, возможность проследить ход мелких ветвей (до 1 мм в диаметре) до периферии органа. Портальная вена образуется в результате слияния верхнебрыжеечной и селезеночной вен. Лучше всего она видна при косом сканировании через правое подреберье и визуализи-руется в виде трубчатой структуры, имеющей четкие стенки. Ее можно проследить от места образования до впадения в ворота печени, где она разделяется на левую и правую ветви. В норме диаметр воротной вены не превышает 13-15 мм. Печеночная артерия визуализируется в области ворот печени как трубчатая структура небольшого диаметра (до 4-6 мм) с высокоэхогенными стенками. Внутрипеченочные желчные протоки в норме могут быть визуализированы только начиная с долевых. Они также имеют высокоэхогенные стенки и малый диаметр (не более 1 мм).
Результаты исследований

Рис. 1. Эхографическая картина нормальных левой и правой долей печени.
Образования в брюшной полости причины, симптомы, методы лечения и профилактики
Образования в брюшной полости — кисты, то есть полости с жидкостью, и объемные образования с разрастанием тканей, которые развиваются на фоне закупорки лимфотока, патологий развития кишечника, травм и по ряду других причин.

Виды, причины и симптомы образований в брюшной полости
- Киста большого сальника. Может быть доброкачественной и перерождаться в злокачественное новообразование. Появляется из-за закупорки путей лимфотока и дает о себе знать рядом симптомов, которые зависят от размера образования.
- Брыжеечное образование. Аномалия локализуется между листками брыжейки кисты, ограничена тонкими стенками без мышц и эпителия. Сразу после появления, новообразование не даёт о себе знать, а по мере роста и сращивания с органами брюшной полости проявляется острой болью, проблемами с пищеварением, увеличением живота.
- Киста кишечника. Из-за неправильного строения кишечника, нарастания слоя эпителия и его расслоения происходит удвоение органа. Патология относится к врождённым и проявляется у новорожденных кишечной непроходимостью, перитонитом и болью внизу живота.
- Киста яичника. Развивается внутри яичников по невыясненным причинам, может быть как одиночной, так и множественной. Проявляется болью, похожей на приступ острого аппендицита.
- Объёмные образования в брюшной полости. Это патологии, при которых увеличивается объем и вес тканей, появляется лишний вес, постоянный дискомфорт и вздутие. Объемные образования могут быть обусловлены травмами, перенесенными болезнями и ростом опухолей.
Статью проверил
Дата публикации: 24 Марта 2021 года
Дата проверки: 24 Марта 2021 года
Дата обновления: 24 Октября 2022 года
Содержание статьи
Методы диагностики
Специалисты диагностируют новообразования в брюшной полости в ходе осмотра и аппаратных обследований: МРТ, УЗИ.
МРТ (магнитно-резонансная томография)
УЗИ (ультразвуковое исследование)
К какому врачу обратиться
Если вас беспокоят болезненные ощущения или тяжесть в животе, обратитесь к гастроэнтерологу. При необходимости врач привлечет другого профильного специалиста, например, хирурга.
Как лечить образования в брюшной полости
В зависимости от характера, локализации и размера новообразования, врачи подбирают эффективный метод лечения.
Последствия
Течение болезни и наличие осложнений зависят от вида новообразования, его расположения. Например, киста может разорваться и привести к перитониту, онкологические новообразования чреваты ростом метастазов и летальным исходом.
Профилактика
Не пропускайте плановые осмотры у врача и отправляйтесь к терапевту при первых тревожных симптомах.
Читайте также:
