УЗИ, рентгенограмма при полидактилии у плода
Добавил пользователь Евгений Кузнецов Обновлено: 21.01.2026
Полидактилия — анатомическая аномалия, представляющая врожденное увеличение количества пальцев на руке или ноге от шестипалости до многопалости.
Встречается от 1 на 600 — 3000 новорожденных по данным различных авторов.
Полидактилия может проявляться изолированно, или сочетаться с другими врожденными аномалиями опорно-двигательного аппарата.
Одной из причин возникновения полидактилии является наследственность . Семейные случаи полидактилии передаются по аутосомно-доминантному типу с неполной пенетрантностью, т. е. носителями гена многопалости являются отец или мать, но при этом они могут быть здоровы, а вот вероятность унаследования полидактилии детьми составляет 50%. При односторонней полидактилии генетическая причина заболевания маловероятна.
Главной проблемой полидактилии является то, что она может являться одним из симптомов (одним из множества других проявлений) сложных хромосомных нарушений
(синдрома Патау ) и генных синдромов (всего около 120 — синдрома Меккеля-Грубера , синдром коротких ребер- полидактилии, ассоциации Ватера , синдрома Смита-Лемли-Опитца , Карпентера , Эллиса- ван Кревельда, Лоренса-Муна-Барде-Бидля и др.).
Случаи изолированной полидактилии благоприятны для прогноза жизни и здоровья ребенка, причины же ее окончательно не исследованы. Предполагается, что данная врожденная деформация образуется на 5-8 неделе эмбриогенеза.
Классификация полидактилии
По локализации различают радиальную (преаксиальную)- удвоение сегментов первого пальца, центральную - удвоение 2-4-го пальцев; и ульнарную (постаксиальную: дупликации 5-го пальца.
Также по типу удвоения выделяют 3 вида полидактилии:
1 - наличие добавочных пальцев-рудиментов, состоящих из кожи;
2 - наличие добавочных пальцев, являющихся раздвоением основных;
3 - наличие полноценных, нормальной формы и размеров добавочных пальцев.
Чаще полидактилия встречается на руках, односторонняя полидактилия преобладает над двусторонней (65% и 35% соответственно); правосторонняя — над левосторонней примерно в 2 раза.
Симптомы полидактилии
Основным признаком полидактилии является наличие у ребенка добавочных пальцев на кистях или стопах. При этом дополнительные пальцы могут быть нормальных размеров и строения или представлять собой рудиментарные придатки.
В большинстве случаев добавочные пальцы имеют малые размеры и уменьшенное число фаланг ; нередко бывают вообще лишены костной основы и представляют собой нефункционирующие мягкотканные образования на кожной ножке. Иногда встречается удвоение только ногтевой фаланги.
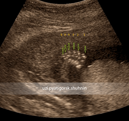
Именно поэтому на УЗИ не всегда возможно увидеть проявления полидактилии, т.к. не обладающие костными структурами и расположенные на боковой поверхности ладоней или стоп дополнительные пальцы м.б. просто «невидимыми» для УЗИ-диагноста.
Лучшие результаты УЗИ диагностика демонстрирует при визуализации в дополнительном пальце оссифицированной фаланги. В любом случае внимательный анализ УЗИ-изображений (при благоприятном для визуализации расположении стоп и кистей плода) позволяет установить этот диагноз, а также провести расширенную экспертную УЗИ диагностику плода для исключения сложных хромосомных нарушений.
При выявлении полидактилии
должна проводиться генетическая диагностика, включающая генеалогический анализ, установление типа наследования, прогнозирование риска рождения ребенка с полидактилией в данной семье.
При полидактилии, ассоциированной с хромосомными и генными синдромами, особое значение приобретает пренатальная генетическая диагностика (акушерское экспертное УЗИ, амниоцентез или хорионбиопсия с кариотипированием плода). При наличии у плода изолированной полидактилии беременность пролонгируют; в случае выявления тяжелой хромосомной патологии ставится вопрос об искусственном прерывании беременности.
Выводы:
- Тщательный УЗИ анализ (экспертное УЗИ беременности) кистей и стоп плода уже в первом триместре беременности позволяет выявить симптом полидактилии.
- Выявление симптома полидактилии возлагает на врача задачу исключения различных сложных синдромов хромосомных заболеваний, определяющих риск неблагоприятных исходов беременности.
- Возможности визуализации полидактилии во многом зависят тщательности выполнения врачом УЗИ-исследования, а также от характера расположения плода, его кистей и стоп. «Неудачное» для тщательной визуализации стоп и кистей расположение плода может потребовать дополнительных визитов пациентки для проведения повторного УЗИ исследования.

Стопа плода в норме

Постаксиальная полидактилия, визуализирован дополнительный 6-ой палец стопы плода
ПОЛИДАКТИЛИЯ: ОСОБАЯ МЕТКА ИЛИ ГЕННАЯ МУТАЦИЯ?
«Как свои пять пальцев». Именно так часто говорят о человеке, которого очень хорошо знают. Но что делать тем, у кого пальцев шесть? Знаем ли мы их так же хорошо, как пятипалых? Что это за люди? Могут ли они полноценно жить в нашем социуме? Как им быть и какие методы лечения их особенностей существуют?
Сегодня постараемся детально изучить этих, в чём-то особенных, многопалых людей.
Итак, давайте разбираться.
ЧТО ЖЕ ТАКОЕ ПОЛИДАКТИЛИЯ?
Полидактилия — многопалость; происходит от греческого «daktylos» (палец); означает любое наличие лишних пальцев на конечностях людей.
Многие учёные считают, что сама по себе полидактилия не является заболеванием или серьезным нарушением, поскольку дети и взрослые с данной аномалией вполне успешно справляются со всеми жизненными задачами, как и их сверстники с пятью пальцами. Но так ли это, сегодня и выясним.
ПРИЧИНЫ ПОЛИДАКТИЛИИ
ПРИЗНАКИ ЗАБОЛЕВАНИЯ
Основным признаком полидактилии является наличие у ребенка добавочных пальцев на кистях или стопах.
ТИПЫ ПОЛИДАКТИЛИИ
Врачи выделяют полидактилию трёх типов:
- Рудиментарная, при которой имеются добавочные пальцы, которые при этом состоят из кожи;
- Присутствие добавочных пальцев, которые являются раздвоением основных;
- Наличие полноценных, нормальной формы и размеров добавочных конечностей.
При этом полидактилия руки или ноги бывает:
- преаксиальной (радиальной) — со стороны большого пальца,
- центральной и постаксиальной — со стороны мизинца.
Важно отметить, что формы преаксиальной и постаксиальной полидактилии на практике встречаются гораздо чаще, чем центральная.
СИМПТОМАТИКА ЗАБОЛЕВАНИЯ
Полидактилия у человека наиболее часто проявляется, как удвоение мизинца на кисти руки либо как второй мизинец. Таким образом, на руке образуется не пять, а шесть пальцев. Часто случается, что дополнительный палец не до конца развит, в нем присутствуют лишь три фаланги, которые отходят от шестой пястной кости. Нередко встречаются даже одно- и двуфаланговый шестой палец. Также встречается такое проявление полидактилии, как кожный довесок, внутри которого вообще отсутствуют какие-либо костные образования. При такой патологии существенно нарушается моторная функциональность руки - такое возникает в случае развития дополнительного образования со стороны большого пальца.
СТАТИСТИКА
По статистическим данным, последние 1 000 лет данная патология в мире встречается у людей с частотой около 0,2%. На сегодняшний день это явление довольно распространенное — один случай на тысячу, при этом полноценная полидактилия — когда дополнительные пальцы ни в чем не уступают «нормальным» — встречается крайне редко.
НАСЛЕДУЕТСЯ ЛИ ПОЛИДАКТИЛИЯ?
Да, патология очень часто передаётся именно по наследству, поскольку полидактилия - доминантный аутосомный признак. Вероятность унаследования патологии от отца или матери составляет около 50%. Ученые выделили 4 гена, от которых пальцы множатся.
Часто пациенты спрашивают: возможно ли предугадать полидактилию у ребенка? Ученые говорят, что довольно сложно предугадать, будет ли у ребенка полидактилия. Тип наследования или передача гена происходит по аутосомно-доминантному типу с определенным процентным соотношением. Но бывают и исключения, когда у шестипалых людей рождаются здоровые пятипалые дети.
ДИАГНОСТИКА ПОЛИДАКТИЛИИ
Полидактилия является анатомической аномалией, поэтому и диагностировать полидактилию достаточно просто - доктору нужен лишь визуальный осмотр пациента, который, как правило, проводится еще в роддоме при осмотре младенца.
Обследование, кроме физического осмотра ребёнка, может при необходимости также включать рентген, УЗИ и МРТ кисти или стопы. Иногда для оценки кровотока делается еще и ангиография.
Особое внимание врачи уделяют ребенку, в анамнезе которого присутствуют данные о различных наследственных патологиях. Для того, чтобы определить место отхождения добавочного пальца, или чтобы отличить кость от кожного довеска, нужно обязательно сделать новорожденному рентген. Весь комплекс диагностических мероприятий по выявлению полидактилии вы можете сделать в нашем медицинском центре «Ladisten Clinic».
ПОЛИДАКТИЛИЯ, КАК ПРОЯВЛЕНИЕ РАЗНЫХ СИНДРОМОВ
Сама по себе изолированная полидактилия не несет дополнительных угроз организму, но важно понимать, что именно многопалость часто проявляется в составе сложных генных или хромосомных нарушений.
К примеру, полидактилия может быть признаком синдрома Патау или трисомии 13. Это значит, что в хромосомном наборе человека в 13 паре хромосом имеется одна лишняя хромосома (три вместо двух). И для этого заболевания характерно множественные нарушения развития внутренних органов и систем, в том числе, и полидактилия.
Синдром Рубинштейна — Тейби характеризуется аномалией развития пальцев, среди которых также встречается и полидактилия. Это связано с нарушением развития всей костной системы, костный возраст значительно отстает от паспортного, кости лицевого черепа деформированы, удваиваются либо концевые фаланги пальцев, либо весь палец.
Также полидактилия может быть признаком генетического заболевания, которое выражается в нарушении обменных процессов. Это синдром Смита-Лемли-Опица, но встречается он крайне редко.
Ученым на сегодня известно до 120 синдромов, признаком которых является шесть или даже больше пальцев на руках.
ОПРЕДЕЛЕНИЕ МЕТОДОВ ЛЕЧЕНИЯ
Для определения точных методов лечения лечащему врачу нужно установить:
— Характер патологии. При наследственной полидактилии добавочный палец отходит от пятого и развит довольно хорошо. Если речь о врожденном дефекте, то палец будет недоразвитым, в виде одной/нескольких фаланг внутри кожного выпячивания.
— Положение дополнительного пальца кисти, которое может быть преаксиальным (между безымянным пальцем и мизинцем) или постаксиальным — за мизинцем.
— Наличие дополнительных изменений в анатомии пясти или плюсны, которые могут проявляться в виде добавочных костей, деформаций суставов, связок и сухожилий.
— Является ли полидактилия самостоятельной аномалией или проявилась в составе синдрома. Для этого оцениваются другие симптомы и назначаются дополнительные анализы.
Только после этого выбирается точная методика лечения пациента. Подбирая методику оперативного лечения полидактилии, медики, кроме рентгенографии, проводят еще и исследование кровоснабжения добавочных пальцев, поскольку часто бывают случаи, когда крупный сосуд питает сразу два частично разделенных пальца. Тогда удаление без учета этой особенности может привести к последующим нарушениям кровоснабжения.
Когда все исследования завершены, проводится операция. Иногда ей предшествует терапевтическое лечение, но такие случаи единичны. Обычно лечащий врач настаивает на лечении полидактилии в раннем возрасте, поэтому большинство таких операций выполняется в первый месяц жизни ребенка.
ЛЕЧЕНИЕ
В случае подтверждения полидактилии, лечение может быть только хирургическое. Если лишний палец имеет только мягкие ткани, то его можно удалить в течение месяца после рождения младенца. В остальных случаях, когда лишний палец, кроме мягких тканей имеет кости, суставы и сухожилия, реконструктивная операция по ремоделированию кисти или стопы делается, как правило, через год после рождения ребенка.
При операции удаляется добавочный палец или кожный довесок. Необходимо провести операцию сразу после диагностирования, ведь патология может негативно отразиться на дальнейшем психологическом развитии ребенка или повлиять на мелкую моторику и функциональность конечностей.
Иногда может возникнуть вопрос, какой из пальцев лучше удалить - иногда диагностируют добавочный большой палец с хорошим развитием. Тогда удаляют тот, который расположен с внешней стороны кисти - так ей проще придать эстетичный вид.
Микрохирургическая коррекция полидактилии, в зависимости от её типа, может иметь различный характер, но почти всегда требуется костная, сухожильная и кожная пластика конечности.
ПРОГНОЗ
Исход операции практически всегда благоприятный, но очень важно сделать ее вовремя, тогда ребенок сможет нормально развивать моторику конечностей.
УНИКАЛЬНЫЕ СПОСОБНОСТИ ЛЮДЕЙ С ПОЛИДАКТИЛИЕЙ
Как правило, когда у человека хуже слух, у него лучше зрение, и наоборот. Это известная всем аксиома. Но что же лучше у людей с полидактилией?
Итак, согласно данным, полученным британскими и шведскими учеными, у людей с полидактилией больше возможностей выполнить то или иное действие, поскольку у таких людей работают специальные отделы сенсомоторных областей мозга.
Чтобы выяснить степень уникальных способностей людей с полидактилией, исследователи провели эксперимент. Они попросили участников пройти несколько поведенческих тестов, во время выполнения которых врачи контролировали мозговую активность участников с помощью МРТ. Результаты показали, что дополнительные пальцы испытуемых двигаются собственными мышцами. Это позволяет людям перемещать свои «шестые пальцы» как можно дальше, независимо от всех других пальцев.
Сканируя мозг испытуемых, ученые также наблюдали в нем повышенную активность. Движением дополнительного пальца управляли отдельные нейроны, а общее число вовлеченных в работу участков, было больше, чем у пятипалых.
Как ни парадоксально, но ученые выяснили, что люди с шестью пальцами могут выполнять одной рукой движения, для которого людям с пятью пальцами понадобятся обе руки. И даже, не взирая на то, что дополнительный палец увеличивает степень свободы, которой должен управлять мозг, ученые не обнаружили никаких недостатков по сравнению с людьми с пятью пальцами.
Исходя из полученных результатов, уже сегодня учёные рассматривают возможность разработки дополнительных протез для развития двигательных навыков людей.
ШЕСТИПАЛЫЕ ЗНАМЕНИТОСТИ
Самым известным «мутантом» с шестью пальцами на левой ноге был Иосиф Сталин, о чем мало кто знает. Именно поэтому его называли не только Коба и Усатый, но и Шестипалый. Это физическое отклонение, очевидно, очень сильно повлияло на такого человека, как Сталин. Похожие психологические проблемы испытывала даже Мэрилин Монро, у которой было шесть пальцев, но уже на правой ноге. Получается, что одна из самых привлекательных и одиозных фигур последних столетий получила свою славу даже несмотря на такое редкое заболевание.
Мало того, Иосиф Джугашвили не единственный правитель, которому посчастливилось быть шестипалым. Как демонстрирует история, шестипалыми также были: Папа Римский Сикст II и королева Англии Анна Болейн. Чем не доказательство, что это может быть не уродством, а является особой меткой?!
К примеру, в России до революции встречались целые деревни шестипалых людей. Много шестипалых людей и среди знаменитостей. Так, певица Максим тоже появилась на свет шестипалой — с двумя большими пальцами на левой руке. Среди других знаменитостей, имевших этот дефект, можно отметить звезду «Джеймса Бонда» и «Принца Персии» актрису Джемму Артертон и индийского актера Ритика Рошана.
«РЕКОРДЫ» ПОЛИДАКТИЛИИ

«Рекорд» полидактилии в свое время поставил индийский мальчик Акшат Саксена. У этого малыша было аж 34 пальца: по 7 на каждой руке и по 10 на каждой ноге. Часть потом удалили. 34-палому мальчику сейчас 12 лет, и он внесён в Книгу рекордов Гиннесса, как человек, имеющий самое большое количество пальцев. Интересно и то, что у ребёнка нет ни одного большого пальца ни на руках, ни на ногах. Акшат Саксена уже перенёс несколько очень сложных операций по удалению лишних пальцев.
Удивительно, но именно в Индии дети с полидактилией рождаются чаще, чем в других регионах, поэтому данный признак там идет даже отдельным пунктом в полицейских анкетах.
Если Ваш ребёнок или близкие страдают полидактилией, мы с радостью поможем решить эту проблему! Полидактилия — не приговор, приходите в наш медицинский центр и убедитесь в этом сами!
Всегда Вам рады!
Полидактилия
Полидактилия - деформация конечности, характеризующаяся наличием дополнительных пальцев на кистях или стопах. При полидактилии у ребенка отмечаются добавочные нормально развитые пальцы или их рудиментарные придатки на руках или ногах; часто имеет место синдактилия и брахидактилия. Диагностика полидактилии основана на визуальном осмотре конечности, данных рентгенографии костей и пальцев кисти/стопы, результатах генетического консультирования. Лечение полидактилии заключается в хирургическом удалении дополнительных пальцев с использованием, при необходимости, кожной, сухожильной или костной пластики.
МКБ-10

Общие сведения
Полидактилия - анатомическая аномалия, представляющая врожденное увеличение количества пальцев на руке или ноге от шестипалости до многопалости. Сведения о частоте полидактилии в популяции разноречивы: по данным разных авторов многопалость встречается у 1 из 630-3300 новорожденных; соотношение полов одинаковое. Полидактилия может проявляться в чистом виде или сочетаться с другими врожденными аномалиями опорно-двигательного аппарата - дисплазией тазобедренных суставов, брахидактилией, синдактилией, сгибательными контрактурами пальцев и др.
Полидактилия нарушает функцию конечностей, ограничивает физическое развитие, отрицательно влияет на психику ребенка, сопровождается необходимостью ношения ортопедической обуви, ограничивает выбор профессии. Медицинским решением проблемы полидактилии занимается ортопедия и генетика.
Одной из причин возникновения полидактилии является наследственность. Семейные случаи полидактилии передаются по аутосомно-доминантному типу с неполной пенетрантностью, т. е. носителями гена многопалости являются отец или мать, но при этом они могут быть здоровы. Вероятность унаследования полидактилии детьми составляет 50%.
В ряде случаев полидактилия может являться одним из симптомов сложных хромосомных нарушений (синдрома Патау) и генных синдромов (синдрома Меккеля, Эллиса-Ван Кревельда, Лоренса-Муна-Барде-Бидля и др.). В генетике насчитывается около 120 синдромов, сопровождающихся полидактилией.
Причины изолированной полидактилии точно не установлены. Предполагается, что данная врожденная деформация возникает на 5-8 неделе эмбриогенеза и обусловлена увеличением числа мезодермальных клеток.
Классификация
По локализации различают радиальную (преаксиальную), центральную и ульнарную (постаксиальную) полидактилию. При радиальной локализации дефекта имеет место удвоение сегментов первого пальца; при центральной - 2-4-го пальцев; при ульнарной - дупликация 5-го пальца.
По типу удвоения выделяют 3 вида полидактилии: 1 - наличие добавочных пальцев-рудиментов, состоящих из кожи; 2 - наличие добавочных пальцев, являющихся раздвоением основных; 3 - наличие полноценных, нормальной формы и размеров добавочных пальцев. Важным классификационным признаком является наличие или отсутствие деформации основного пальца при полидактилии, поскольку от этого будет зависеть хирургическая тактика.
Чаще полидактилия встречается на руках, хотя возможно увеличение количества пальцев на ногах, а также сочетание многопалости на кистях и стопах. По наблюдениям, односторонняя полидактилия преобладает над двусторонней (65% и 35% соответственно); правосторонняя — над левосторонней примерно в 2 раза.
Симптомы полидактилии
Основным признаком полидактилии является наличие у ребенка добавочных пальцев на кистях или стопах. При этом дополнительные пальцы могут быть нормальных размеров и строения или представлять собой рудиментарные придатки. В большинстве случаев добавочные пальцы имеют малые размеры и уменьшенное число фаланг; нередко бывают вообще лишены костной основы и представляют собой нефункционирующие мягкотканные образования на кожной ножке. Иногда встречается удвоение только ногтевой фаланги.
Кроме увеличения количества пальцев, при полидактилии имеет место деформация костно-суставного аппарата пораженных сегментов, которая с возрастом прогрессирует и способствует развитию вторичных деформаций и статико-динамических нарушений.
В структуре синдрома Лоуренса-Барде-Муна-Бидля, наряду с полидактилией отмечается умственная отсталость, ожирение, пигментный ретинит, недоразвитие половых признаков, синдактилия, деформация черепа.
Дети с синдромом Патау (трисомией по 13 хромосоме) имеют множественные пороки развития: микроцефалию, миеломенингоцеле, микрофтальмию, помутнение роговицы, деформацию ушных раковин, расщелины верхней губы и нёба, полидактилию, олигофрению, пороки внутренних органов (сердца, сосудов, селезенки, поджелудочной железы, почек).
Диагностика
Диагностика полидактилии проводится на основе клинического, рентгенологического, электрофизиологического, биомеханического, генетического и других методов исследования.
Клиническая диагностика полидактилии предполагает осмотр ребенка детским травматологом-ортопедом, выявление анатомических и функциональных нарушений, определение варианта деформации. Кроме ортопеда, ребенок с полидактилией должен быть осмотрен медицинским генетиком и педиатром.
Рентгенологическое обследование заключается в выполнении рентгенографии кисти или рентгенографии стопы и оценке анатомических соотношений костно-суставного аппарата. Для выявления и оценки состояния костных, хрящевых и мягкотканных структур показано МРТ кисти или стопы.
Дополнительное значение в обследовании имеют электрофизиологические методы диагностики (электромиография, реовазография), позволяющие выяснить состояние мышц и регионарного кровотока при полидактилии. Биомеханические исследования (стабилография, подография) направлены на определение статической нагрузки на конечности при полидактилии стопы.
Генетическая диагностика включает генеалогический анализ, установление типа наследования, прогнозирование риска рождения ребенка с полидактилией в данной семье. При полидактилии, ассоциированной с хромосомными и генными синдромами, особое значение приобретает пренатальная диагностика (акушерское УЗИ, амниоцентез или биопсия хориона с кариотипированием плода). При наличии у плода изолированной полидактилии беременность пролонгируют; в случае выявления тяжелой хромосомной патологии ставится вопрос об искусственном прерывании беременности.
Лечение полидактилии
Лечение полидактилии проводится только хирургическим путем. Если добавочный палец соединяется с основным только с помощью кожной мембраны, - его удаление проводится в первые месяцы жизни ребенка. Во всех остальных случаях целесообразно отложить оперативное вмешательство до возраста 1 года.
Варианты хирургической коррекции полидактилии в зависимости от типа деформации могут быть различны: удаление добавочного сегмента (пальца) без операции на основном пальце; удаление добавочного сегмента (пальца) с корригирующей остеотомией основного пальца; удаление добавочного сегмента (пальца) с выполнением кожной, сухожильной или костной пластики.
Реабилитационные мероприятия в послеоперационном периоде включают занятия ЛФК, физиотерапевтические процедуры (магнитотерапию, инфракрасное облучение), массаж.
Прогноз и профилактика
Изолированная полидактилия в большинстве случаев благополучно излечивается хирургически. Наилучшие функциональные и косметические результаты достигаются при проведении операции в раннем возрасте. При полидактилии, ассоциированной с генными или хромосомными нарушениями, прогноз определяется тяжестью основного синдрома.
Профилактика полидактилии предполагает медико-генетическое консультирование пар, в семьях которых имеются наследуемые случаи полидактилии; тщательное планирование беременности и исключение любых возможных неблагоприятных влияний в первом триместре развития плода. Профилактика послеоперационных рецидивов и осложнений заключается в выборе оптимального метода хирургической коррекции, проведении полноценной реабилитации. После операции дети должны находиться на диспансерном наблюдении у детского ортопеда до завершения периода интенсивного роста кисти и стопы (14-15 лет).
Современные подходы к изучению плодового фенотипа в эру генетического ультразвука
Медико-генетическое отделение Московского областного НИИ акушерства и гинекологии, Москва.
Курс пренатальной диагностики, ФГБОУ ДПО РМАПО Минздрава России, Москва.

УЗИ сканер RS80
Эталон новых стандартов! Беспрецедентная четкость, разрешение, сверхбыстрая обработка данных, а также исчерпывающий набор современных ультразвуковых технологий для решения самых сложных задач диагностики.
Настоящая работа посвящена изучению плодового фенотипа при ультразвуковом исследовании в различные сроки беременности при помощи новейших технологий Samsung, оптимизирующих диагностику многих врожденных пороков развития, аномалий, нарушений строения, особенностей развития с оценкой значимости отдельных ультразвуковых патологических маркеров в качестве потенциальных признаков генетических синдромов и ассоциаций.
Одной из ведущих причин детской и младенческой смертности являются врожденные пороки развития (ВПР), среди которых в 20% случаев встречаются множественные ВПР (МВПР) с установленной частотой 1:250 новорожденных [1]. Особое значение в профилактике МВПР имеет пренатальная диагностика - современный и высокоэффективный метод диспансеризации плода, направленный на своевременное выявление патологии, впоследствии определяющий выбор адекватной акушерской тактики при данной беременности и специфических мер профилактики болезни в данной семье в дальнейшем [2]. Современные ее возможности позволяют из комплекса патологических нарушений у плода выделить достоверно значимые ультразвуковые маркеры для постановки диагноза генетических синдромов различной этиологии. Сегодня пренатальная синдромология активно развивается, как в плане расширения спектра возможных лабораторных исследований, так и описания значимых, ключевых, таргетных ультразвуковых признаков многих наследственных синдромов различного происхождения.
Группа МВПР включает сотни нозологических форм, различных по этиологии, фенотипическим проявлениям и прогнозу. В силу огромной гетерогенности МВПР представляют собой сложную проблему для постановки окончательного диагноза. Основными этиологическими факторами, приводящими к возникновению синдромов с множественными пороками развития, являются генные, хромосомные мутации и действие на плод неблагоприятных факторов внешней среды [3, 4].
Любые наследственные или врожденные генетические болезни являются результатом повреждения генетической информации на геномном, хромосомном или генном уровне. В 60% всех случаев МВПР встречаются хромосомные синдромы, достаточно широко изученные и хорошо диагностируемые. Для лабораторной диагностики этих повреждений разработаны разнообразные и хорошо известные методы: цитогенетический, молекулярно-цитогенетический и молекулярно-генетический. МВПР нехромосомного генеза встречаются в 40% случаев. Среди них выделяют синдромы, ассоциации и неклассифицированные комплексы. Применительно к нехромосомным синдромам цитогенетическое исследование позволяет лишь отвергнуть хромосомную природу данного комплекса пороков развития, но не установить диагноз.
Сегодня имеется определенное количество публикаций о выявлении некоторых синдромов и ассоциаций при пренатальной эхографии [6, 7]. Однако дородовая идентификация нозологических форм нехромосомных синдромов пока не вошла в рутинную практику врачей в области пренатальной диагностики и носит случайный характер. В литературе отсутствуют четкие рекомендации о системном подходе к диагностике наследственных синдромов различной этиологии, нет диагностических алгоритмов и определенных схем взаимодействия врачей ультразвуковой пренатальной диагностики, генетиков, акушеров-гинекологов.
Использование эхографии делает возможным пренатальное выявление не менее 80% врожденных дефектов во II, III триместрах беременности и свыше 50% значимых нарушений анатомии плода уже в I триместре начиная со сроков 11-12 нед. Весь комплекс диагностированных пороков развития и различных микроаномалий в совокупности составляет фенотипический спектр синдрома, который состоит из «ядерных» (главных, ключевых) признаков и дополнительных аномалий, наличие которых не является обязательным для диагностики клинической нозологии синдрома.
Революцией в пренатальной ультразвуковой диагностике явилось появление объемной эхографии, которая, обладая такими качествами, как неинвазивность, безопасность и возможность многократного применения у одной пациентки, имеет высокую информативность в исследовании анатомии плода и изучении его фенотипа. При применении различных режимов объемной эхографии абсолютно очевидно их преимущество по сравнению с обычным сканированием. Детально можно изучить лицо плода (рис. 1-4) в различные сроки беременности, начиная со сроков первого пренатального скрининга в 11-14 нед, конечности плода, причем не только их наличие и положение (рис. 5, 6), но и состояние и количество пальцев (рис. 7-9) как на руках, так и на ногах. Также можно изучить позвонки плода (рис. 10), состояние твердого нёба (рис. 11, 12), строение наружного уха (ушной раковины) (рис. 13), состояние основных швов черепа и родничков, исключая их преждевременное закрытие при кранисиностозах (рис. 14, 15).
Патологии позвоночника у плода, выявляемые на УЗИ

Патологии позвоночника у плода встречаются в 1 случае на 1000 беременностей. Часто нарушения касаются не только самого позвоночного столба, но и спинного мозга. В основном плод с аномалией позвоночника гибнет внутриутробно или сразу после рождения, поэтому очень важно установить проблему как можно раньше, чтобы женщина обдуманно приняла решение о прерывании беременности.

Причины возникновения внутриутробных аномалий позвоночника
В большинстве случаев аномалия возникает в поясничном отделе, реже — в шейном, и совсем нечасто — в области крестца и грудном отделе.
Причины столь сложной патологии до сих пор не ясны. Но среди факторов, провоцирующих нарушение формирования спинного мозга, совершенно определенно можно выделить:
- TORCH-инфекцию;
- токсическое воздействие лекарств;
- сложные условия работы;
- употребление наркотиков и алкоголя;
- многолетний стаж курения.
Когда можно обнаружить патологии позвоночника у плода
Расщепление нервной трубки происходит в период с 19 по 30 день гестации (дня последней менструации у беременной). Аномалию позвоночника можно выявить уже на первом скрининге, который проводится на 11-й неделе беременности. Второй скрининг обычно подтверждает результаты 1-го скрининга и выявляет новые нарушения.
Миеломенингоцеле
75% всех случаев аномалий позвоночника у плода занимает миеломенингоцеле (spina bifida cystica). Патология выражается в выпячивании спинного мозга за пределы позвоночной дужки. Иногда мозговая ткань защищена кожей, но чаще выходит наружу вместе с нервными отростками. В последнем случае плод рождается с параличом нижних конечностей, проблемами с кишечником и мочевым пузырём. В 90% случаев у плода диагностируется гидроцефалия (водянка головного мозга).
Характерные признаки миеломенингоцеле на УЗИ:
- на задней поверхности позвоночника визуализируется жидкость;
- через позвоночную щели видно образование с жидкостью внутри;
- черепная ямка имеет меньшие размеры;
- ткани мозжечка смещены;
- выражено искривление позвоночника;
- размеры плода меньше нормы;
- диагностируется гидроцефалия из-за низкого расположения спинного мозга и блокировки спинномозговой жидкости.
При подозрении на патологию женщина сдаёт кровь на специфические ферменты. У неё повышен уровень альфа-фетопротеина, как и при других аномалиях плода. Затем беременную отправляют на 4D сканирование, во время которого можно увидеть объёмное изображение плода. Однако это становится возможным только с 20-й недели беременности.
Миеломенингоцеле — тяжёлая форма расщепления позвоночника, поэтому при подтверждении диагноза на УЗИ женщине рекомендуют сделать аборт. Даже если малыш родится живым, он не сможет ходить, у него будут проблемы с внутренними органами.
Операция по перемещению вышедшего за пределы позвоночного столба спинного мозга со спинномозговыми нервами проводится в течение 48 часов с момента рождения. Выпячивающаяся капсула помещается обратно в позвоночный канал, сверху нашиваются мышцы и кожа.
Такие дети нуждаются в особом лечении, которое существенно не улучшит их качество жизни. Очень низкий процент детей в будущем смогут ходить, но большинство будет нуждаться в инвалидной коляске, потому что нервные окончания повреждаются и не позволяют спинному мозгу нормально функционировать.
Синдром Клиппеля-Фейля
Синдром Клиппеля-Фейля встречается очень редко, в 1 случае из 120 000 беременностей, и имеет особенность передаваться по наследству.
Патология заключается в аномальном строении шейного отдела позвоночника, при котором позвонки сращиваются между собой. Шея практически отсутствует и, в зависимости от разновидности синдрома, патология имеет и другие нарушения. Наиболее опасна разновидность KFS3, при которой сращены не только шейные позвонки, но и грудные, а также поясничные. Из-за незаращения дужек позвоночника образуются дополнительные рёбра.
Помимо этого у плода визуализируются лишние пальцы, их недоразвитие или сращивание, гипоплазия почек, заращение мочеиспускательного канала, заболевания сердечно-сосудистой системы, отсутствует лёгкое, сбои в работе ЦНС. При любой форме синдрома у плода формируется искривление позвоночника (сколиоз).
Причина патологии — мутация гена GDF6. Выявляется аномалия не раньше 20-й недели беременности. При ультразвуковом исследовании на экране УЗИ заметно следующее:
- укорочение шеи;
- плод не поворачивает голову;
- низкая линия роста волос на затылке;
- асимметрия лица;
- отсутствие одного лёгкого;
- гипоплазия почки;
- срастание или недоразвитие пальцев на руке;
- лишние количество пальцев;
- сращение позвонков в различных отделах позвоночника.
Первые две разновидности синдрома Клиппеля-Фейля поддаются коррекции. Ребёнку проводят операцию, затем он проходит сложную восстановительную терапию. На сегодняшний день полностью восстановить позвоночник не удастся, однако человек сможет жить обычной жизнью, потому что умственные способности не затрагиваются.
При третьей форме патологии женщине предложат прерывать беременность, потому что при срастании позвонков ущемляются нервные корешки, из-за чего развиваются различные заболевания внутренних органов. Дети с формой KFS3 требуют особый уход за собой и всё-равно умирают в раннем возрасте.
Spina bifida
Spina bifida или неполное закрытие позвоночного канала, возникающее на ранних сроках беременности в связи с неправильным формированием нервной рубки. Помимо проблем с позвоночником, при Spina bifida имеется недоразвитие спинного мозга. 95% детей с такой патологией рождается у совершено здоровых молодых родителей.
Самой лёгкой формой патологии является Spina bifida occulta — небольшая щель в позвоночном столбе, не сопровождающаяся выпячиванием наружу спинного мозга и повреждением нервных корешков. Дефект внешне практически не заметен, и со стороны сложно сказать, что есть какая-то проблема.
Иногда у новорождённого наблюдаются проблемы с кишечником и мочевым пузырём, имеется сколиоз и слабый тонус ног. Единственным способом диагностики патологии является рентгенография. На скрининговом УЗИ она практически не видна, только при 4D УЗИ можно увидеть неполное сращение дужек позвоночного столба на поздних сроках беременности. Аномалия не требует коррекции, и прерывать беременность женщине не надо.
Кистозная гигрома шеи
Гигрома на шее у плода (лимфангиома) — это доброкачественная опухоль, которая образуется в результате нарушения формирования лимфасистемы в области шейных позвонков в период эмбрионального развития. Если нарушается лимфаток в месте соединения яремного мешка с яремной веной, образуется киста или несколько кист, заполненных фиброзно-серозной жидкостью. Опухоль локализуется возле шейных позвонков, влияя на развитии плода.
Патологию на УЗИ можно увидеть уже на 1-м скрининге на срок 11-12 недель. Главным показателем будет увеличение толщины воротникового пространства. Гигрома шеи у плода возникает как в результате хромосомных нарушений, так и под влиянием внешних причин — механической внутриутробной травмы, курение и употребление алкоголя матерью, перенесённые во время беременности инфекции.
На 2-м скрининге гигрома визуализируется как ассиметричное новообразование с плотной оболочкой, иногда имеющее перегородки внутри, расположенное в проекции шейного отдела позвоночника. Сама по себе опухоль не представляет угрозы для жизни плода.
Если этого не произойдёт, то у малыша после рождения вероятно наличие следующих отклонений:
- парез лицевого нерва — обездвиживание мускулатуры лица по причине длительного сдавливания гигромой нервного волокна;
- деформация позвоночника (чаще всего встречается кривошея — искривление шейного отдела из-за воспалительного процесса в шейных мышцах вследствие перенапряжения постоянного давления опухоли);
- деформация затылочной кости и челюсти;
- нарушение глотательной функции;
- обструкция дыхательных путей (непроходимость дыхательного канала из-за перекрытия трахеи гигромой).
Лечится гигрома консервативно после рождения ребёнка. Если причиной патологии не являются хромосомные нарушения, прогноз для малыша благоприятен.
Выводы
Чтобы исключить любые патологии позвоночника у плода, нужно уже на ранних сроках проходить скрининг с помощью хорошего УЗИ-аппарата. Аномалии позвоночника видны даже при первом обследовании, что позволяет, в случае тяжелых нарушений, своевременно прервать беременность.
Читайте также:
