Варианты голопрозэнцефалии на МРТ, КТ
Добавил пользователь Евгений Кузнецов Обновлено: 21.11.2025
Ниже мы рассматриваем некоторые нарушения развития мозга на органном уровне (нарушения органогенеза). К ним относятся:
- Нарушения формирования нейрональной трубки
Патологическое развитие передней части нейрональной трубки приводит к недоразвитию мозга - голопрозэнцефалии и септо-оптической дисплазии.
Нарушения формирования нейрональной трубки
Истинная анэнцефалия имеет аутосомно-рецессивный тип наследования. Анэнцефалия несовместима с жизнью. В отличие от истинной анэнцефалии при гидранэнцефалии сохраняются задние структуры мозга. Гидранэнцефалия представляет собой внутриутробное повреждение мозга. Она встречается с частотой около 1 на 10 тыс. новорожденных. От гидроцефалии её отличает отсутствие мозговой ткани по периферии. При МРТ головного мозга видно, что имеется лишь небольшой участок мозговой ткани.
Менингоэнцефалоцеле представляет собой грыжу мозга и мягкой мозговой оболочки через дефект в черепе и твердой мозговой оболочке. В большинстве своем оно наблюдается по средней линии. Менингоэнцефалоцеле бывает передней (лобной) и задней (затылочной) локализации. Наиболее типичны грыжи лобно - решетчатые, а также в области намета мозжечка и кранио - вертебрального перехода. При затылочном энцефалоцеле грыжа содержит все структуры задней черепной ямки. Вариантом затылочного энцефалоцеле являются аномалии Арнольда - Киари, при которой в большое затылочное отверстие пролабирует грыжа, содержащая только часть структур задней черепной ямки.
Все варианты энцефалоцеле хорошо видны при МРТ.
МРТ. Т1-зависимая томограмма. Переднее энцефалоцеле.
Нарушения регионализации
Голопрозэнцефалия представляет собой неполное разделение полушарий. Степень выраженности голопрозэнцефалии определяется при МРТ и может быть различной: полное отсутствие разделения на полушарий называют алобарной голопрозэнцефалией, частичное разделение - семилобарной, всего лишь небольшой участок соединения белого вещества с обеих сторон - лобарной. Общим признаком всех форм служит отсутствие обонятельного тракта. Голопрозэнцефалия часто сочетается с различными аномалиями миграции и дизрафиями лицевого черепа. Голопрозэнцефалия встречается с частотой 1 случай на 10-20 тыс. новорожденных. Клинически проявляется в виде спастики, судорог, хореоатетоза, гипоталамо-гипофизарных нарушений. Вариантом голопрозэнцефалии является септо-оптическая дисплазия.
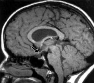
Септо - оптическая дисплазия состоит из триады признаков, выявляемых при МРТ: отсутствия прозрачной перегородки, гипоплазии зрительных нервов и гипоплазии воронки. Отсутствие прозрачной перегородки приводит к деформации желудочков. Передние рога боковых желудочков вздуты и закруглены. Синдром нередко сочетается с атрофией или агенезией мозолистого тела. В диагностике очень важно исследовать состояние зрительных нервов.

МРТ. Т1-зависимая сагиттальная томограмма. Септооптическая дисплазия. Гипоплазия воронки.
При МРТ в СПб головного мозга мы часто сталкиваемся с различного рода аномалиями мозга у детей и взрослых. МРТ СПб дает возможность исследовать методом МРТ детей в разных центрах, однако мы рекомендуем в специализированных.
Голопрозэнцефалия
Голопрозэнцефалия - тяжелое нарушение формирования мозга, при котором фиксируется полное или частичное отсутствие разделения на полушария в сочетании с другими пороками развития головы и лица. Симптомами данного состояния являются аномальное формирование лица с развитием циклопии, хоботкообразного носа (или отсутствия носа), заячьей губы и расщелины твердого неба. Наблюдаются генерализованные судороги и другие нарушения. Диагностика голопрозэнцефалии не представляет особых сложностей по причине выраженности расстройств, в ряде случаев возможно пренатальное выявление заболевания при помощи ультразвуковых или молекулярно-генетических методик. Лечение только симптоматическое. В зависимости от выраженности патологии больные погибают внутриутробно или в первые часы после рождения, реже живут несколько лет или доживают до взрослого возраста.
МКБ-10
Общие сведения
Голопрозэнцефалия - порок развития, характеризующийся различными по тяжести нарушениями разделения головного мозга на два полушария вплоть до формирования единого «мозгового пузыря». Эта аномалия является одной из наиболее распространенных нарушений формирования конечного мозга. Первое полное описание патологии было подготовлено в 1963-м году В. Де Маейром. Исследователь выделил три разновидности данного состояния: алобарную, семилобарную и лобарную. В 1993 году после дополнительного изучения специалисты выделили четвертый подтип голопрозэнцефалии - среднее межполушарное слияние, представляющего собой самый мягкий вариант этого заболевания. Встречаемость всех форм патологии по различным данным составляет 1 случай на 8000-16000 родов, особенно часто такие пороки выявляются у выходцев из Пакистана, Гавайев и Юго-Восточной Азии. У девочек голопрозэнцефалия диагностируется примерно в 2 раза чаще, чем у мальчиков.
Причины голопрозэнцефалии
Голопрозэнцефалия является полиэтиологичным состоянием, возникающим под влиянием разнообразных генетических и хромосомных дефектов. Пока не найдено четких указаний на существование взаимосвязи между определенными клиническими формами заболевания и типом нарушений генома больных. Одним из наиболее изученных генов, мутации которого приводят к голопрозэнцефалии, является SHH, расположенный на 7-й хромосоме. Продукт экспрессии гена представляет собой сигнальный белок, принимающий непосредственное участие в эмбриогенезе, в частности в процессах формирования центральной нервной системы. В зависимости от характера мутации SHH протеин имеет дефекты в своей структуре либо не выделяется вовсе. Это генетическое нарушение выявляется у 30-40% больных, механизм наследования аутосомно-доминантный с неполной пенетрантностью. В некоторых случаях вместо нарушений формирования мозга возникают такие микросимптомы как отсутствие одного резца, отсутствие уздечки языка и судорожный синдром.
Среди других генетических дефектов, способных приводить к появлению голопрозэнцефалии, выделяют мутации ZIC2, TGIF, SIX3 и некоторых других генов. Почти половина всех случаев заболевания связана не с генетическими, а хромосомными аномалиями - например, синдромом Патау, синдромом Эдвардса и триплоидией. Помимо этого голопрозэнцефалия выявляется при делециях отдельных участков 2-й, 7-й, 13-й, 21-й хромосом, что указывает на возможность поражения локализованных там генов. Подобные пороки развития головного мозга и лица также могут выступать как часть симптомокомплекса синдрома Меккеля-Грубера и ряда других состояний. Иногда конкретный механизм развития голопрозэнцефалии при перечисленных состояниях и других хромосомных патологиях остается неизвестным. Установлено, что начало развития дефектов центральной нервной системы и элементов черепа приходится на период между 1-м и 4-м месяцем вынашивания ребенка. Чем раньше возникают нарушения - тем тяжелее будут проявления заболевания.
Определенное влияние на развитие аномалий формирования мозга могут оказывать различные приобретенные факторы и особенности течения беременности. Так, при наличии у матери выраженного инсулинозависимого сахарного диабета вероятность родить ребенка с голопрозэнцефалией составляет 1%, что примерно в 200 раз выше, чем у здоровой женщины. Употребление некоторых лекарственных средств во время беременности также может приводить к такому врожденному нарушению - например, установлена взаимосвязь между заболеванием и приемом антихолестериновых препаратов (статинов). Определенную роль играют распространенные тератогены: токсины, этиловый спирт, элементы табачного дыма, ретиноевая кислота. Установление причин развития голопрозэнцефалии имеет значение для принятия решения о планировании следующих беременностей - в зависимости от характера и этиологии этого состояния вероятность повторного рождения ребенка с данной аномалией сильно различается.
Классификация голопрозэнцефалии
В настоящее время выделяют несколько клинических форм голопрозэнцефалии, которые различаются между собой тяжестью проявлений, выраженностью пороков развития и распространенностью в популяции. Врачам-генетикам не удалось выявить четкой взаимосвязи между отдельными типами заболевания и генетическими мутациями или хромосомными нарушениями, поэтому причины развития той, а не иной формы патологии остаются неизвестными. Предполагается, что это может зависеть от пенетрантности дефектного гена, того, какой именно участок хромосомы был подвержен повреждениям, условий протекания беременности и ряда других факторов. На сегодняшний день различают четыре основные формы голопрозэнцефалии:
- Алобарная форма - наиболее тяжелая форма, характеризующаяся грубейшими пороками развития головного мозга, лица и других органов. Диагностируется в 15-25% случаев заболевания.
- Семилобарная форма - классический вариант голопрозэнцефалии, проявляющийся тяжелыми, но менее выраженными аномалиями развития. Она также является самым распространенным типом заболевания, составляющим от 40 до 60% всех эпизодов патологии.
- Лобарная форма - более сглаженный вариант голопрозэнцефалии, при котором посредством хирургической коррекции и симптоматической терапии можно улучшить качество жизни больного и продлить ее до взрослого возраста. Эта разновидность составляет примерно 15-20% всех случаев заболевания.
- Вариант среднего межполушарного слияния - наиболее редкая форма голопрозэнцефалии, которая характеризуется смазанными симптомами и зачастую сильно отличается от классических типов патологии. Рассматривается как мягкая форма этого порока развития с 1993 года.
Некоторые специалисты в качестве отдельного варианта выделяют так называемые абортивные формы голопрозэнцефалии у фенотипически здоровых лиц. Характерные симптомы заболевания отсутствуют, однако у пациентов может наблюдаться отсутствие одного резца или уздечки языка, аномалии строения носовой полости. Изредка возникают судорожные припадки. Все перечисленные микросимптомы указывают на предположительное наличие генетических дефектов, которые могут передаться потомству и становиться причиной развития полноценной формы голопрозэнцефалии. Лицам с такими симптомами следует особенно тщательно подходить к вопросам пренатальной диагностики в период планирования беременности и развития плода.
Симптомы голопрозэнцефалии
Проявления голопрозэнцефалии сильно различаются в зависимости от формы патологии. Тем не менее, существуют общие симптомы, характерные практически для всех разновидностей заболевания. В список таких симптомов входят расщепление твердого нёба и верхней губы, выявляющиеся почти у всех пациентов (за исключением варианта среднего межполушарного слияния). Кроме того, у всех больных голопрозэнцефалией наблюдаются судорожные припадки, тяжелая умственная отсталость, нарушение рефлексов, патологии роговицы и сетчатки. При наиболее тяжелой алобарной форме заболевания выявляется циклопизм, отсутствие носа, резкое уменьшение размера головы и многочисленные пороки других органов. При этом типе голопрозэнцефалии в 70% случаев происходит самопроизвольный аборт или мертворождение, выжившие младенцы крайне редко доживают до 6-ти месяцев.
Семилобарная форма заболевания характеризуется более мягкими симптомами. Глаза больных близко расположены (гипотелоризм), голова несколько уменьшена в размерах, нередко имеются дефекты носа (недоразвитие одного носового хода). Голопрозэнцефалия этого типа, тем не менее, является достаточно тяжелым состоянием, больные умирают в первые два года жизни. Лобарная форма характеризуется еще более легкими проявлениями. При своевременной хирургической коррекции дефектов нёба и верхней губы возможно достижение пациентами подросткового и даже взрослого возраста. Летальность при этой разновидности голопрозэнцефалии во многом зависит от наличия или отсутствия сопутствующих заболеваний и пороков развития. Вариант среднего межполушарного слияния характеризуется отсутствием аномалий развития лица, однако умственная отсталость, судорожные припадки и другие неврологические проявления сохраняются.
Практически все симптомы голопрозэнцефалии выявляются сразу при рождении ребенка или еще на этапе внутриутробного развития. У пациентов могут обнаруживаться эндокринные расстройства, дисплазии почек, яичников, легких и других органов. Согласно данным медицинской статистики, именно эти нарушения в большинстве случаев становятся причиной летального исхода у больных голопрозэнцефалией. Иногда у пациентов также диагностируются иммунологические расстройства, врожденные пороки сердца, арефлексия и другие патологии. Из-за слабости мышц и наличия дефектов полости рта кормление таких детей нередко бывает затруднено, из-за чего они медленно набирают вес и отстают в физическом развитии.
Диагностика
В педиатрии и неонатологии диагностика голопрозэнцефалии не представляет особых затруднений, поскольку даже стертый вариант среднего межполушарного слияния достаточно легко выявить методами современной медицинской визуализации. Нередко это заболевание диагностируется еще на пренатальном этапе при проведении профилактических ультразвуковых исследований (иногда - уже на 12-й неделе беременности). На УЗИ можно отчетливо увидеть аномальное строение черепа и головного мозга плода. При алобарной форме мозг выглядит как наполненный жидкостью пузырь без каких-либо признаков разделения на полушария. Семилобарный тип голопрозэнцефалии характеризуется наличием борозды в задней части мозга, соответствующей неполному или начальному разделению на полушария. Лобарная форма заболевания несколько сложнее обнаруживается при помощи УЗИ, поскольку признаки нарушения разделения мозга фиксируются только в его глубоких слоях - мозолистом теле, таламусе и желудочках.
Определить наличие голопрозэнцефалии на пренатальном этапе развития можно при помощи методов молекулярной генетики. Материал для исследования в подозрительных случаях (неоднозначные результаты УЗИ, наличие аналогичных нарушений у родственников или при прошлых беременностях, микросимптомы у родителей, сахарный диабет у матери) берут методом амниоцентеза или биопсии ворсин хориона. Генетическая диагностика голопрозэнцефалии может включать в себя прямое секвенирование гена SHH для выявления мутаций, а также исследование кариотипа плода или ребенка для выявления хромосомных патологий. Примерно в 60% случаев заболевания изменения кариотипа не обнаруживаются, поэтому методика считается низкоспецифичной.
Лечение голопрозэнцефалии
Специфического лечения голопрозэнцефалии не существует. Осуществляют хирургическую коррекцию аномалий развития лица, проводят симптоматическую терапию. При алобарной и семилобарной формах заболевания к помощи нейрохирургов прибегают редко из-за тяжести состояния больного - ребенок попросту может не вынести такую операцию. При лобарной форме голопрозэнцефалии в первые 6 месяцев стараются произвести хирургическое вмешательство для устранения расщепления нёба и губы и формирования нормального носа. При всех типах патологии используют противосудорожную терапию. Коррекцию других нарушений осуществляют при наличии показаний. Пациентам, дожившим до детского или взрослого возраста, необходимо лечение у психиатра, дефектолога и других специалистов по причине выраженных отставаний в умственном развитии.
Прогноз и профилактика
Прогноз при большинстве форм голопрозэнцефалии неблагоприятный - больные либо умирают в первые часы, дни, месяцы или годы жизни (алобарная и семилобарная формы), либо на всю жизнь остаются умственно отсталыми, страдают от судорожных припадков и других неврологических нарушений. Профилактика этого состояния сводится к ранней пренатальной диагностике методом ультразвукового исследования или генетических техник. При выявлении заболевания у плода ставится вопрос о прерывании беременности по медицинским показаниям. Пренатальная диагностика особенно актуальна, если кто-то из родителей имеет микросимптомы голопрозэнцефалии, если заболевание наблюдалось у близких родственников, если беременная страдает от сахарного диабета или подвергается воздействию тератогенов.
Голопрозэнцефалия — тяжелый порок развития головного мозга
Голопрозэнцефалия — это порок развития головного мозга (переднего), характеризующийся неполным разделением на полушария либо полным его отсутствием.
Данная патология довольно часто встречается в медицинской практике и в год количество пациентов составляет приблизительно 1250 человек. Таким образом, этот порок наиболее часто встречаемый среди других аномалий в развитии переднего мозга.
Что характерно, есть у голопрозэнцефалии и свои ареалы, где процент появления заболевания намного выше, чем у других.
Так, наиболее часто это порок развития мозга наблюдается у представителей дальневосточных стран Азии, филиппинцев, пакистанцев и жителей острова Гавайи. Что характерно, у женщин этих народов аномалия встречается гораздо чаще, чем у мужчин.
Тип наследования
Голопрозэнцефалия - порок, который может быть результатом заболеваний, характерных для Х-сцепленного, аутосомно-рецессивного и аутосомно-доминантного типа наследования.
Таким образом, для носителей аутосомно-доминантной голопрозэнцефалии процент рождения ребёнка со стёртой формой порока, составляет 14%, а с выраженной - 21%.
Данный порок весьма разнороден, поэтому его проявление у одного из членов семьи может быть обусловлено основным заболеванием: например, если мать больна сахарным диабетом, то есть риск родить ребёнка с голопрозэнцефалией и он составляет 1 %.
В случае, если у родителей присутствует синдромальная форма, то у детей может проявиться в случае повторения соответствующего синдрома.
Цитогенетическая аномалия может иметь повторение в случае наличия порока у одного из потенциальных родителей.
В случаях, если в роду не было ни одного случая проявления данного порока развития головного мозга, его появление может иметь место в 4-5% случаев. В некоторых из них возникновение аномалии объясняется дигенным наследованием.
Провоцирующие факторы и патогенез нарушения
Причины развития порока можно условно разделить на два вида: наследственные и экологические.
Наследственные являются хромосомными аномалиями, которые ведут к анеуплоидии (синдром триплоидии, трисомия 18, трисомия 13). По некоторым данным голопрозэнцефалия может наблюдаться у пациентов с синдромом Дауна, но это, скорее, совпадение.
Наиболее часто встречающиеся мутации, связанные с голопрозэнцефалией:
- синдром 13 q;
- синдром Генуя;
- хвостовой дисгенез;
- синдром Айкарди;
- псевдотрисомия 13;
- синдром Меккеля-Грубера.
К экологическим причинам относятся:
- наличие сахарного диабета у матери;
- снижение уровня холестерина;
- употребление алкогольных напитков;
- приём Аспирина;
- употребление ретиноевой кислоты;
- приём мизопростола;
- использование Метотрексата;
- употребление дифенилгидантоина.
Патогенез голопрозэнцефалии заключается в нарушениях формирования головного мозга по срединной линии. Зачастую, это происходит на 5-10 неделе беременности.
Алобарный порок — это последствие нарушений деления мозга в горизонтальной, вертикальной, сагиттальной плоскостях. В результате развития порока головного мозга параллельно могут проявляться и сопутствующие патологии.
Клинические виды с симптомами
В медицинской практике выделяют несколько видов голопрозэнцефалии:
- алобарная;
- семилобарная;
- лобарная;
- средний межполушарный вариант;
- септо-преотипический тип.
Голопрозэнцефалия алобарная
Алобарный вид порока является самым тяжёлым и характеризуется полным слиянием двух полушарий мозга. Проявляться он может в следующих симптомах:
- один или два глаза могут располагаться в одной орбите с хоботком над органом зрения — циклопия;
- циклопия без наличия хоботка;
- заячья губа двусторонняя;
- анофтальмия;
- заячья губа;
- очень близко посаженные глаза;
- глаза расположены очень близко друг к другу и между ними имеется нос с одной ноздрёй — цебоцефалия;
- глаза могут быть расположены чрезвычайно близко друг к другу, но разделяются хоботком и орбитами.
- у пациентов с мутациями в zic2 гене черты лица могут сохраняться нормальными.
Семилобарная форма нарушения
Семилобарная голопрозэнцефалия проявляется в слиянии лобных долей при наличии незначительной перегородки в задней части с присутствием серпа и межполушарной щели. Проявляться данная форма аномалии может по-разному:
- вид лица может быть нормальным;
- может отсутствовать носовая перегородка;
- анофтальмия;
- глаза часто посажены очень близко друг к другу;
- заячья губа двусторонняя;
- депрессии переносицы;
- может иметься срединная расщелина нёба и губы (нёба или губы).
Лобарная форма нарушения
Данный вид порока есть наименее серьёзным среди основных видов. Лобарная голопрозэнцефалия характеризуется слитыми лобными долями при разделённом мозге на левое и правое полушарие, в том числе присутствуют боковые желудочки.

Порок может проявляться как:
- депрессии переносицы;
- сравнительно нормальный вид лица;
- глаза, посаженные близко друг к другу;
- голова может иметь нехарактерно маленькие размеры;
- заячья губа двусторонняя;
- проблемное психомоторное развитие;
- судороги;
- тяжёлая умственная отсталость.
Слияние среднего межполушарного пространства
Среднее межполушарное слияние - это вид голопрозэнцефалии, обозначенный в 1993 году, когда уже были изучены и выделены три основных вида: алобарный, лобарный и семилобарный. Данному пороку присущи аномалии связей между теменной и лобной областями больших полушарий.
- отсутствие эндокринопатии;
- хорея, атетоз;
- узкий нос;
- глаза близко посажены;
- депрессии переносицы;
- черты лица в норме;
- проявляются эндокринные расстройства;
- часты приступы эпилепсии;
- умственная отсталость;
- атетоидные движения.
Септо-преоптический вид
Септо-преоптический тип встречается крайне редко. Характеризуется соединением преоптических и септальных участков мозга, при этом существенного слияния коры головного мозга (фронтальной) не наблюдается.

На фото МРТ головного мозга — септо-преоптический вид голопрозэнцефалии
- пороки развития, касающиеся черепа и лица незначительны;
- задержка речи;
- трудности обучения;
- расстройства поведения.
Диагностические критерии
В большинстве случаев голопрозэнцефалию можно диагностировать ещё во время внутриутробного развития плода при помощи ультразвукового исследования.
При визуализации головной мозг представляет собой одну область, также может быть в наличии киста верхних отделов мозга. Одним из характерных проявлений порока есть аномалии области лица.
Если во время беременности патология не была выявлена, её наличие может быть определено после появления малыша на свет. Так, если медицинский персонал определит по внешним признакам наличие отклонений от нормы, могут быть назначены МРТ и КТ. С помощью этих видов исследования можно определить подтип порока развития головного мозга.
В случаях, когда визуально определить проблему не удалось и никаких особенных проявлений не замечено, выявить аномалию можно будет только после достижения малышом одного года: в это время будут налицо задержки развития.
Молекулярно-генетическое тестирование может быть применимо в случаях, если в семье имели место быть случаи голопрозэнцефалии. Производится исследование путём изучения ДНК клеток эмбриона.
Оказание медицинской помощи и прогноз
Лечение голопрозэнцефалии, в основном, направлено на устранение симптомов. Также большую роль играют консультации и поддержка родителей, выявление причины порока.
Так, при наличии алобарного вида порока единственным лечением есть симптоматическое лечение: ни один из других методов не действует. В такой ситуации можно предложить родителям лишь один выход - улучшить качество жизни малыша. Хотя, согласно статистике, при определении данного порока женщинам предлагается аборт.
Симптоматическим есть лечение и при лобарном, семилобарном виде. Также в случае с лобарной голопрозэнцефалией применяется хирургической вмешательство для исправления черт лица (например, заячьей губы).
Такие операции можно проводить после достижения младенцем пяти месяцев. Устранение подобных проблем поможет улучшить качество жизни: например, упростить сосание молока.
Последствия во многом зависят от тяжести порока: если это алобарная голопрозэнцефалия, велик процент летального исхода. В большинстве случаев у пациентов имеются задержки развития, к которым присоединяются припадки эпилепсии, дисфункция ствола мозга, нарушения сна.
40% пациентов с алобарной голопрозэнцефалией не переживают пятимемячный возраст, 80% — один год. С лобарным видом порока младенец может прожить более года в 50% случаев.
Дородовая профилактика
Для того чтобы уберечь себя и малыша от развития патологий головного мозга, будущая мать должна быть предельно осторожна со своим здоровьем: регулярно следует посещать медицинское учреждение и лечащего врача.
В идеале, до зачатия необходимо сделать все необходимые анализы для минимизации процента проявления порока у малыша.
Кроме этого важно вести активный образ жизни, отказаться от вредных привычек и медикаментов, которые могут спровоцировать аномалию.
Не только МРТ. Что покажет КТ головного мозга?
Для выявления патологий головного мозга применяют разные методы диагностики. Один из них - компьютерная томография (КТ).
Когда необходима КТ головного мозга? Как её проводят? Насколько безопасно такое исследование? На эти и другие вопросы отвечает врач-рентгенолог «Клиника Эксперт» Курск Екатерина Александровна Нехаева.
— При возникновении проблем с головным мозгом один из часто назначаемых методов исследования - МРТ. Екатерина Александровна, а приходят ли к вам пациенты на КТ головного мозга?
— Да, на компьютерную томографию головного мозга пациенты приходят довольно часто.
— Расскажите, в чём суть этого метода исследования
— Компьютерная томография основана на применении рентгеновского излучения. Проходя через ткани, имеющие различную плотность, рентгеновские лучи в разной степени ослабевают. С помощью специальных математических алгоритмов компьютер обрабатывает параметры рентгеновского излучения и формирует графические изображения (срезы) органов человека на экране. После этого доктор интерпретирует полученные изображения.
Подробнее о компьютерной томографии можно узнать здесь: Когда КТ незаменима?
— Получается, что КТ основана на использовании рентгеновских лучей. В связи с этим может возникнуть вопрос, опасно ли проводить КТ головного мозга
— Так как при проведении такой диагностики пациент получает определённую (но не очень большую!) дозу облучения, КТ применяется только при наличии обоснованных медицинских показаний.
— В каких случаях может понадобиться КТ головного мозга?
— При черепно-мозговых травмах (в том числе, при клинически диагностированном сотрясении мозга), при подозрении на наличие опухоли или инородного предмета в тканях мозга. Это исследование могут назначить и при жалобах пациента на постоянные головные боли, головокружение, тошноту, возникших, например, после травм.
К компьютерной томографии головного мозга обращаются и в том случае, если пациенту противопоказана МРТ.
Читайте материалы по теме:
— Какие патологии может увидеть доктор? Что выявляет КТ головного мозга?
— Прежде всего мы можем подтвердить или исключить опухоли головного мозга, кровоизлияния, врождённые аномалии, кисты, некоторые нейродегенеративные процессы и атрофию мозгового вещества. Это, по сути, единственный метод диагностики при черепно-мозговой травме, с помощью которого можно в очень сжатые сроки (5-10 мин) обследовать пациента и получить необходимые сведения о состоянии костей черепа и головного мозга.
Этот метод используют и для динамического наблюдения после хирургических вмешательств на головном мозге.
— Чем КТ отличается от МРТ головного мозга? И можно ли сказать, что из них лучше?
— Компьютерная томография - это более чувствительный метод для оценки костных структур. МРТ, в свою очередь, информативнее для выявления очаговых изменений в белом веществе, ядрах и стволовых структурах мозга, гипофизе. Сказать, какой метод лучше, я бы не взялась, так как каждый имеет свои сильные стороны, оттого эти методы являются не взаимоисключающими, а скорее взаимодополняющими.
— Екатерина Александровна, нужно ли как-то готовиться к КТ головного мозга?
— Специальной подготовки нет, необходимо только снять с себя все металлические предметы, в том числе украшения.
— Расскажите нашим читателям, как делают КТ головного мозга
— Пациент ложится на спину на выдвижной стол томографа. Важный нюанс: во время сканирования необходимо сохранять неподвижность, чтобы изображения получились чёткими, поэтому в большинстве случаев мы фиксируем голову пациента.
Рентген-лаборант вносит в базу данные пациента, выбирает протокол исследования и выполняет сканирование. После завершения сканирования врач-рентгенолог обрабатывает и анализирует полученные изображения и выдаёт заключение.
— Сколько по времени длится КТ головного мозга?
— Вся процедура занимает 5-7 минут.
— А есть ли противопоказания к КТ головного мозга?
— Да, это беременность и период лактации. Для исследования с контрастированием противопоказаниями являются также аллергия на содержащие йод вещества и снижение выделительной функции почек.
— Можно ли с помощью этого метода диагностики обследовать детей?
— Можно, но при этом следует использовать специальные протоколы, в которых предусматривается максимально сниженная лучевая нагрузка на организм ребёнка. Тем не менее, КТ головного мозга выполняют детям только при наличии показаний и направления от лечащего врача.
— А нужно ли направление доктора, чтобы пройти КТ головного мозга взрослому?
— Да, направление от лечащего врача требуется в абсолютном большинстве случаев, как для детей, так и для взрослых.
Беседовала Севиля Ибраимова
Записаться на КТ головного мозга можно здесь
ВНИМАНИЕ: услуга доступна не во всех городах
Редакция рекомендует:
Для справки:
Нехаева Екатерина Александровна
Выпускница лечебного факультета Курского государственного медицинского университета 2013 года.
В 2015 году прошла профессиональную переподготовку по специальности «Рентгенология».
В настоящее время занимает должность врача-рентгенолога в «Клиника Эксперт» Курск. Принимает по адресу: ул. Карла Либкнехта, 7.
Другие статьи по теме
Компьютерная томография костей черепа - исследование довольно распространённое. Однако при некоторых болезнях. КТ височных костей: когда бывает нужно это исследование?
Доктор направил вас на МСКТ для определения количества кальция в артериях сердца. МСКТ для определения коронарного кальция: что это за исследование?
Компьютерная томография органов грудной клетки (КТ ОГК) - один из современных методов. КТ органов грудной клетки: что покажет и как поможет пациенту?
КТ и МРТ диагностика голопрозэнцефалии
Голопрозэнцефалия - это порок развития головного мозга, в результате которого нарушается разделение мозга на полушария.
- Форма нарушения вторичной нейруляции (дефект вентральной индукции)на 5—10-й неделе беременности
- Дефект дифференциации и деления переднего мозга в конце 5-й недели беременности
- Отсутствие различий в заболеваемости по полу
- Связана с трисомией 13, трисомией 18, лицевыми дизморфиями, к примеру, гипертелоризмом
Три формы: Алобарная, семилобарная и лобарная голопрозэнцефалия
Клинические проявления
- Обычно мертворожденные или младенцы, живущие очень короткое время.
- Небольшая или лишь умеренная задержка развития
- Гипоталамо-гипофизарная гипофункция
- Нарушение зрения.
Какой метод диагностики голопрозэнцефалии выбрать: МРТ, КТ, ангиографию
Методы выбора
- МРТ
- КТ информативна при алобарной и семилобарной голопрозэнцефалии.
Что покажут снимки МРТ и КТ головного мозга при голопрозэнцефалии
Алобарная голопрозэнцефалия:
- Слияние таламусов
- Отсутствуют третий желудочек, продольная щель, серп большого мозга и мозолистое тело
- Большой мозг припаян к ростральному отделу полости черепа
- Один большой желудочек, сообщающийся с большой задней кистой
- Возможно также слияние орбит
- Непарная передняя мозговая артерия.
Семилобарная голопрозэнцефалия:
- Продольная щель
- Имеются задние рудименты серпа большого мозга
- Лобный отдел мозга недоразвит и не разделен
- Таламусы частично разделены
- Рудиментарные височные рога боковых желудочков
- Неполный гиппокамп
- Отсутствует прозрачная перегородка
- Ствол мозолистого тела отсутствует; валик имеется.
Лобарная голопрозэнцефалия:
- КТ мало информативна
- Гипоплазия лобных рогов боковых желудочков б Наличие задней половины мозолистого тела
- Наличие продольной щели и серпа большого мозга, которые доходят до лобного отдела головного мозга
- Иногда встречается гипоплазия переднего отдела серпа большого мозга.
Что хотел бы знать лечащий врач
Какие заболевания имеют симптомы, схожие с голопрозэнцефалией
Дисгенезия мозолистого тела колъпоцефалией:
- Отсутствуют задние, а не передние отделы с мозолистого тела.
Лечение
Симптоматическое лечение гипоталамо-гипофизарной гипофункции.
Врачи каких специальностей диагностируют и лечат голопрозэнцефалию
- Невропатолог (определение неврологического дефецита)
- врач-функциональной диагностики (визуализация и заболевания и постановка окончательного диагноза)
-Эндокринолог — лечение метаболической дисфункции
- Генетик- подтверждение диагноза на генном уровне
Прогноз
Большинство детей с данным заболеванием нежизнеспособны.
При семилобарной форме-более благоприятный, однако очень большая частота нервно-психических нарушений.
Возможные осложнения и последствия голопроэнцефалии
Часто имеются сочетанные патологии: циклопия, аринэнцефалия.


Семилобарная голопрозэнцефалия. МРТ, Т1 -ВИ во фронтальной плоскости. Визуализируются рудиментарные височные рога боковых желудочков, неполный гиппокамп, частично разделенные таламусы, отсутствие прозрачной перегородки.
Читайте также:
- Шланговые противогазы для рабочих. Требования к противогазам на производстве
- Возраст возникновения мужского климакса: симптомы и лечение
- Техника эндоскопической ассистенции. Методика эндоскопической ассистенции.
- Корни легких на рентгенограмме. Лимфатические узлы корней легких
- Синдром хронической усталости
