Варианты инфаркта миокарда. Периоды инфаркта миокарда.
Добавил пользователь Владимир З. Обновлено: 31.01.2026
Острый инфаркт миокарда - это достоверно подтверждённый некроз участка сердечной мышцы в результате острого продолжительного нарушения кровообращения и ишемии.
Инфаркт миокарда во всём мире является одной из ведущих причин нетрудоспособности и занимает лидирующее место в структуре смертности населения.
Эпидемиология
Преобладающий возраст больных 40-70 лет, мужчины болеют чаще. Распространённость - 500:100000 у мужчин и 100:100000 у женщин.
Этиопатогенез
Продолжительное выраженное уменьшение кровоснабжение клеток сердечной мышцы становится причиной их гибели. Гибель клеток миокарда развивается не одномоментно, от образования микроскопических участков некроза до формирования некротических очагов, которые определяются при макро- и микроскопическом патологоанатомическом исследовании, проходит несколько часов.
Продолжительность ишемии, при которой возможно развитие некроза сердечной мышцы, составляет от 2-х до 4-х часов. Скорость развития этого процесса зависит от развитости коллатеральной сосудистой сети в области ишемии, стойкой или интермиттирующей окклюзии кровоснабжающей этот участок артерии, индивидуальной чувствительности клеток миокарда к недостаточности кровоснабжения, феномена ишемического прекондиционирования, индивидуальной потребности в кислороде и питательных веществах.
Патофизиологический процесс рубцевания обычно продолжается от 5-ти до 6-ти недель.
Восстановление кровоснабжения ишемизированного участка может оказать значительное влияние на макро- и микроскопическую картину.
1-й тип (спонтанный инфаркт миокарда) - развивается после разрыва атеросклеротической бляшки; при образовании эрозии, трещины, или диссекции с формированием тромба внутри одной или нескольких коронарных артерий, что становится причиной значительного уменьшения миокардиального кровотока или дистальной эмболии тромбоцитами, завершающихся гибелью кардиомиоцитов.
2-й тип (инфаркт миокарда, вторичный по отношению к ишемии) - гибель кардиомиоцитов происходит без связи с ишемической болезнью сердца: дисбаланс между потребностью в кислороде и/или его поступлением к кардиомиоцитам (дисфункция эндотелия, спазм коронарной артерии, эмболия коронарных артерий, тахи- или брадиаритмии, анемия, дыхательная недостаточность, снижение или повышение артериального давления).
3-й тип (инфаркт миокарда со смертельным исходом и невозможностью определить биомаркеры) - внезапная смерть с признаками, предполагающими возникновение ишемии миокарда, которые сопровождаются вновь возникшими характерными изменениями или новой блокадой левой ножки пучка Гиса на электрокардиограмме, и наступившая до момента нарастания сердечных биомаркеров в крови (в исключительных случаях биомаркеры могут быть не были определены по другим причинам).
4-й a тип (инфаркт миокарда, связанный с чрескожным коронарным вмешательством) - диагностируется при определении уровня тропонина 5х 99 перцентиль URL у больных с его нормальными значениями или нарастание его титра +20% при уже повышенном уровне.
4-й b тип (инфаркт миокарда, развившийся из-за тромбирования стента).
5-й тип (инфаркт миокарда, возникший при оперативном вмешательстве по поводу проведения коронарного шунтирования).
Клиническая картина
Развитию инфаркта миокарда может предшествовать появление или учащение привычных приступов стенокардии - продромальный период; продолжительность болевого синдрома превышает 20 минут.
Острейший - от первых проявлений приступа стенокардии до развития проявлений некроза мышцы сердца на электрокардиограмме (0-6 часов).
Острейший период может сопровождаться различными вариантами клинических проявлений:
• Ангинозный вариант - относится к наиболее распространённому клиническому дебюту инфаркта миокарда. Больные характеризуют возникшее ощущение как сильное сжатие, сдавление, тяжесть («зажало обручем, тисками»). Довольно часто боль бывает настолько выражена, что больные её отождествляют с «кинжальной», раздирающей, разрывающей, выжигающей, с вонзённым «колом в грудную клетку».
Боль может развиваться волнообразно, незначительно уменьшаясь, но не прекращается полностью. Каждое повторяющееся усиление боли отличается более выраженным проявлением.
Боль сосредоточена за грудиной в глубине грудной клетки, иногда больше слева от грудины или в надчревной области. В некоторых случаях центр боли может перемещаться в правую половину грудной клетки, шею, нижнюю челюсть.
Как правило, боль распространяется в левую лопатку, плечо, предплечье и кисть.
Болевые ощущения наиболее часто возникают внезапно в утреннее время и могут продолжаться несколько часов.
Повторный сублингвальный приём нитроглицерина полностью болевые ощущения не устраняет, хотя боль может в какой-то степени уменьшится.
• Аритмический вариант - отличается первоначальным возникновением инфаркта миокарда с нарушений сердечного ритма и/или проводимости. Болевые проявления незначительные или могут полностью отсутствовать. Чаще аритмический вариант проявляется фибрилляцией желудочков, реже - аритмическим шоком при возникновении приступа пароксизмальной тахикардии или острой брадикардией.
Очень часто аритмический вариант сопровождается обмороком, как одним из первых клинических проявлений.
• Цереброваскулярный вариант - чаще развивается на фоне отягощенного неврологического анамнеза, сопровождаясь выраженным снижением или повышением артериального давления.
Неврологические проявления имеют зависимость от степени выраженности нарушения мозгового кровообращения и характеризуются возникновением общемозговой симптоматики (головная боль, головокружение, тошнота, рвота, расстройства зрения и сознания различной степени выраженности). В более тяжёлых случаях может возникнуть очаговая неврологическая симптоматика.
• Астматический вариант инфаркта миокарда чаще возникает при ранее сформировавшейся недостаточности кровообращения или как повторный инфаркт. Подобный вариант инфаркта отличается внезапным, часто беспричинным приступом удушья или отёком лёгких.
• Абдоминальный вариант - может возникнуть при развитии инфаркта на задней стенке левого желудочка. Кроме смещения эпицентра боли в надчревную область, больного беспокоят тошнота, рвота, метеоризм, расстройство стула, явления пареза кишечника, нарастание температуры тела.
Нередко отмечаются цианоз, нарушение сердечного ритма, в то время как живот остаётся мягким, признаки раздражения брюшины не развиваются.
• Малосимптомная (безболевая) форма - инфаркта миокарда отличается атипичными проявлениями (общее недомогание, нарушения сна и настроения, чувство дискомфорта в грудной клетке). Данная форма больше характерна для лиц престарелого возраста, особенно страдающих сахарным диабетом, и часто характеризуется неблагоприятным течением.
Острый период характеризуется резорбцией некротических масс и начальными проявлениями образования рубца (от 6-ти часов до 7-ми суток). Разграничить острейший период от острого по клиническим проявлениям весьма затруднительно. Со вторых суток болезни развивается резорбционно-некротический синдром, проявляющийся нарастанием температуры тела в вечернее время, усилением потоотделения, повышением количества лейкоцитов в крови и ускоренным оседанием эритроцитов.
Подострый период - проявления сердечной недостаточности постепенно уменьшаются, проявления резорбционо-некротического синдрома регрессируют (от7-ми до 28 суток).
Послеинфарктный период (постинфарктный кардиосклероз) - рубец окончательно консолидируется, функционирование организма постепенно адаптируется к вновь сформировавшимся условиям. Этот период опасен возникновением повторного инфаркта миокарда, внезапной смертью (с 29-х суток).
Повторный инфаркт миокарда может развиться спустя 28 суток после уже произошедшего инфаркта миокарда.
Рецидив инфаркта миокарда - это возникновение инфаркта миокарда в течение 28 дней после перенесенного инфаркта миокарда.
Осложнения
Наиболее часто осложнения возникают в первые дни болезни. К осложнениям относят:
• разрыв стенки желудочка, отрыв сосочковой мышцы;
• нарушения ритма и проводимости;
• возникновение острой сердечной недостаточности;
• аневризма сердца (острая, хроническая);
Диагностика
Заподозрить развитие инфаркта миокарда возможно при наличии характерных клинических проявлений; выявления специфических изменений на электрокардиограмме (формирование патологического зубца Q или комплекса QS, изменение расположения сегмента ST по отношению к изолинии, изменение амплитуды зубцов R).
Нарастание маркеров повреждения миокарда (нарастание тропонинов I и T и активности MB-фракции креатинфосфокиназы); выявление окклюзии коронарной артерии при коронарографии.
Дифференциальная диагностика
Дифференциальный диагноз острого инфаркта миокарда проводится со следующими заболеваниями:
• продолжительный приступ стенокардии;
• расслаивающаяся аневризма аорты;
• тромбоэмболия лёгочной артерии;
• прободная язва желудка или двенадцатиперстной кишки; гастроэзофагорефлюксная болезнь, дискинезия пищевода;
Лечение
Современные подходы к лечению инфаркта миокарда в обязательном порядке включает быстрейшую госпитализацию больного в специализированное лечебное учреждение в течение 30-ти минут от времени первого контакта с медицинским работником.
К первоочередным мерам при возникновении ишемического дискомфорта в грудной клетке считается приём одной дозы нитроглицерина под язык (таблетка или спрей), при сохранении или нарастании болевых проявлений необходимо безотлагательно вызвать бригаду скорой медицинской помощи.
Следующим шагом оказания помощи является разжёвывание 150-325 мг аспирина без кишечнорастворимой оболочки, применение клопидогреля в нагрузочной дозировке.
Проведение адекватного обезболивания при помощи внутривенного введения морфина.
Не исключается возможность, при наличии показаний и отсутствия противопоказаний, проведения тромболизиса на догоспитальном этапе с последующей госпитализацией в отделение инвазивного лечения; проведение инвазивного восстановления кровотока в сердце с помощью баллонной ангиопластики, экстренного коронарного шунтирования.
Основные лечебные мероприятия направлены на ограничение размеров участка некроза, профилактику и устранение ранних осложнений (фибрилляции желудочков, иных нарушений сердечного ритма и проводимости, острой сердечной недостаточности, аритмического шока, разрыва сердца, острой аневризмы сердца).
В случаях неосложнённого инфаркта миокарда и при адекватной реперфузии нахождение в стационаре может сокращаться до 5-6-ти дней.
После завершения стационарного этапа лечения лечебные мероприятия продолжают в условиях поликлинического отделения или в кардиологическом санатории, которые должны уменьшить симптоматику заболевания с осуществлением контроля за нагрузкой на миокард.
Направление в санаторий осуществляется после обязательного стационарного определения переносимости больным физической нагрузки.
Санаторно-курортный этап реабилитации предусматривает восстановление физической трудоспособности, психологическую реадаптацию больных, подготовку больных к профессиональной деятельности, вторичную профилактику обострений ишемической болезни сердца, формирование здорового образа жизни, повышение качества жизни больного.
Прогноз
Прогноз для жизни серьёзный, риск смерти остаётся высоким в течение нескольких месяцев. Исход заболевания напрямую зависит от сроков обращения и своевременности восстановления проходимости инфарктобуславливающей коронарной артерии. К факторам риска ранней смерти (в течение 30-ти дней) после перенесенного острого инфаркта миокарда относятся:
• лечение острейшей фазы инфаркта вне отделения кардиореанимации;
• возникновение острой левожелудочковой недостаточности и кардиогенного шока;
• возникновение желудочковых аритмий и рецидива острого инфаркта миокарда в течение госпитального периода;
Профилактика
У лиц, отказавшихся от курения, достоверно уменьшается риск возникновения сердечно-сосудистых заболеваний, чем у лиц, которые не смогли отказаться от этой привычки.
Снижение уровня холестерина в крови способствует снижению риска заболеваемости и смертности из-за инфаркта миокарда, адекватное снижение повышенного артериального давления в значительной степени уменьшает риск развития инфаркта миокарда.
Больному необходимо разъяснить, что профилактические вмешательства должны осуществляться не спорадически, а регулярно и продолжительно.
Острый инфаркт миокарда (субэндокардиальный и трансмуральный)
Инфаркт миокарда (ИМ) - это ишемический некроз сердечной мышцы, развивающийся в результате острой недостаточности коронарного кровообращения.
ИМ является одной из самых распространенных причин смертности и инвалидизации населения, как в нашей стране, так и за рубежом.
В последние годы отмечается рост заболеваемости ИМ, особенно среди лиц молодого и среднего возраста. Несмотря на повсеместное снижение госпитальной летальности от ИМ, общая смертность от этого заболевания до сих пор остается высокой, достигая 30-50% от общего числа заболевших. Причем большая часть летальных исходов наступает на догоспитальном этапе.
Код протокола: E-013 "Острый инфаркт миокарда (субэндокардиальный и трансмуральный)"
Профиль: скорая медицинская помощь
Включено: инфаркт миокарда, уточненный как острый или установленной продолжительностью 4 недели (28 дней) или менее после возникновения острого начала

Автоматизация клиники: быстро и недорого!
- Подключено 300 клиник из 4 стран
- 800 RUB / 4500 KZT / 27 BYN - 1 рабочее место в месяц

Автоматизация клиники: быстро и недорого!
- Подключено 300 клиник из 4 стран
- 1 место - 800 RUB / 4500 KZT / 27 BYN в месяц
Мне интересно! Свяжитесь со мной
Классификация
При трансмуральном ИМ (инфаркте миокарда с зубцом Q) очаг некроза захватывает либо всю толщу сердечной мышцы от субэндокардиальных до субэпикардиальных слоев миокарда, либо большую его часть, что находит свое отражение на поверхностной ЭКГ в виде формирования патологического зубца Q или комплекса QS в нескольких электрокардиографических отведениях. Отсюда и синоним трансмурального ИМ - “инфаркт миокарда с зубцом Q”. Как правило, такое повреждение сердечной мышцы достаточно обширно и очаг некроза распространяется на 2 и больше сегментов левого желудочка (крупноочаговый ИМ).
При нетрансмуральном ИМ (инфаркте миокарда без зубца Q) очаг некроза захватывает только субэндокардиальные или интрамуральные отделы левого желудочка (ЛЖ) и не сопровождается патологическими изменениями комплекса QRS (“инфаркт миокарда без зубца Q”). В течение длительного времени в отечественной литературе для обозначения ИМ без зубца Q использовался термин “мелкоочаговый ИМ”. Действительно, в большинстве случаев ИМ без зубца Q существенно меньше по протяженности, чем трансмуральный инфаркт, хотя нередко встречаются случаи обширного субэндокардиального ИМ, распространяющегося на несколько сегментов ЛЖ, но затрагивающего только субэндокардиальные слои миокарда.
Первичный ИМ диагностируется при отсутствии анамнестических и инструментальных признаков перенесенного в прошлом ИМ.
Повторный ИМ диагностируется в тех случаях, когда у больного, у которого имеются документированные сведения о перенесенном в прошлом ИМ, появляются достоверные признаки нового очага некроза.
При рецидивирующем ИМ клинико-лабораторные и инструментальные признаки формирования новых очагов некроза появляются в сроки от 72 ч. (3 суток) до 28 дней после развития ИМ, т.е. до окончания основных процессов его рубцевания.
Иногда выделяют так называемый продромальный период, который в известной степени соответствует понятию нестабильной стенокардии, осложнившейся развитием ИМ.
Жалобы и анамнез
Главным клиническим признаком инфаркта миокарда является ангинозная боль, с которой заболевание начинается в 90-95% случаев.
Помимо ангинозной, при инфаркте миокарда встречаются и другие разновидности боли, различающиеся по причинам возникновения, характеру, длительности, прогностическому значению и методам оказания неотложной помощи.
Характер ангинозной боли при инфаркте миокарда аналогичен таковой при стенокардии, но выражена она сильнее, при большой интенсивности боль воспринимается как "кинжальная", раздирающая, разрывающая, жгучая, палящая, "кол в грудной клетке".
Локализация ангинозной боли - обычно за грудиной в глубине грудной клетки, реже - в левой половине грудной клетки или в надчревной области.
Начало ангинозной боли при инфаркте миокарда - внезапное, часто в утренние часы, длительность - несколько часов.
Особенности ангинозного болевого синдрома при инфаркте миокарда зависят от локализации и течения заболевания, фона, на котором оно развивается, и возраста пациента. У 90% молодых пациентов ангинозный статус проявляется ярко. У пациентов пожилого и старческого возраста типичная загрудинная боль встречается лишь в 65% случаев, а в 23% случаев в остром периоде инфаркта миокарда она вообще не наблюдается, причем при безболевой форме заболевание протекает тяжело. В большинстве случаев она не купируется полностью нитроглицерином, а иногда и повторными инъекциями наркотических анальгетиков.
По силе боль при инфаркте миокарда варьирует от сравнительно нетяжелой до чрезвычайно сильной, невыносимой. Больные чаще всего жалуются на сжимающие, давящие, реже - жгучие, режущие или покалывающие ощущения. Наиболее типично чувство сжатия или давления за грудиной. Иногда боль охватывает всю грудную клетку.
Локализация боли в надчревной области более характерна для нижнего (заднего) инфаркта миокарда. При атипичном болевом варианте может наблюдаться только боль в области иррадиации - например, в левой руке. Хотя сила и продолжительность болевого приступа не всегда соответствуют величине инфаркта, в целом при обширных поражениях болевой синдром более продолжителен и интенсивен.
Характерной особенностью боли при инфаркте миокарда является ее выраженная эмоциональная окраска. Она может сопровождаться чувством страха, возбуждения, беспокойства. В то же время следует отметить, что болевой синдром может быть смазанным, невыраженным и маскироваться обычным приступом стенокардии. В ряде случаев приступ может проходить самостоятельно.
Другие известные варианты начала инфаркта миокарда - астматический, абдоминальный, аритмический, цереброваскулярный или бессимптомный - в чистом виде встречаются значительно реже.
Астматический вариант чаще всего наблюдается у больных с обширным повторным инфарктом миокарда, при котором вследствие суммарного поражения сердечной мышцы быстро развивается клиника острой левожелудочковой недостаточности. В ряде случаев в процесс вовлекаются сосочковые мышцы, что обусловливает возникновение митральной регургитации вследствие относительной недостаточности митрального клапана.
Абдоминальный вариант характеризуется локализацией болевого синдрома в надчревной области и диспептическими расстройствами. Наиболее часто он развивается при нижнем инфаркте миокарда. Такой вариант течения заболевания необходимо дифференцировать с острым панкреатитом, перфоративной язвой, тромбозом мезентериальных сосудов.
Аритмический вариант наблюдается в тех случаях, когда в клинической картине преобладают выраженные расстройства ритма и проводимости - пароксизмы
суправентрикулярной либо желудочковой тахикардии, полная атриовентрикулярная блокада. Аритмия часто сопровождается выраженным снижением АД.
Цереброваскулярный вариант наиболее часто встречается у пациентов пожилого возраста со значительно нарушенным мозговым кровообращением. Он может проявляться обмороком, головокружением, тошнотой, рвотой, иногда - признаками преходящего нарушения мозгового кровообращения. Наконец, у части больных инфаркт миокарда протекает с минимальными жалобами либо они вообще отсутствуют.
1. У 90-95% больных отмечаются выраженный болевой синдром или выраженная одышка, что позволяет заподозрить начало инфаркта миокарда.
2. Следует госпитализировать и наблюдать больных с выраженной болью в надчревной области, которая не сопровождается признаками раздражения брюшины, выраженными нарушениями гемодинамики вследствие аритмий, а также больных с мозговыми эпизодами неясного генеза. Динамическое наблюдение и регистрация ЭКГ позволяют в большинстве таких случаев поставить правильный диагноз.
3. Крайне важно знать время начала инфаркта миокарда, которое чаще всего связывают с появлением интенсивного болевого синдрома. От этого зависит выбор тактики лечения.
Стадии развития инфаркта миокарда: длительность и характеристики
При поступлении больного в стационар я, как врач-кардиолог, всегда определяю, на каком этапе находится заболевание: провожу ЭКГ в динамике, оцениваю результаты анализа крови и общее состояние пациента. Это позволяет определиться с дальнейшими действиями по оказанию помощи. Давайте разберемся, какие выделяют стадии инфаркта миокарда по времени, чем они отличаются друг от друга и что происходит в каждый период с сердечной мышцей.
Инфаркт миокарда по стадиям
У большей части пациентов инфаркт миокарда развивается постепенно. Сначала у больного со стенокардией увеличивается частота и продолжительность сердечных приступов, снижается порог физической нагрузки, возникают боли в загрудинной области, которые не беспокоили уже много лет. А «Нитроглицерин» не купирует болевой синдром так быстро, как раньше.
После начала приступа и появления стойкой ишемии и некроза выделяется 4 стадии развития инфаркта, каждая имеет свои клинические симптомы и проявления на кардиограмме.
Острейшая стадия
Длительность — от 10-20 минут до нескольких часов. Нестабильная стенокардия перерастает в инфаркт:
- Резко возникшая боль уже не купируется нитратами и проходит после использования наркотических анальгетиков.
- Боль давящая, сжимающая, пекущая.
- При классическом проявлении определяется в груди слева, отдает под левую лопатку, ключицу, шею, нижнюю челюсть, половину головы.
При объективном осмотре:
- Бледные кожные покровы, холодный пот, синий носогубный треугольник.
- Аускультативно отмечается приглушение I тона в зоне верхушки.
- Частота пульса меняется. По данным статистики, нарушение ритма и проводимости, тахикардия или брадикардия, наблюдается у 90% больных.
- Давление сначала повышается, а потом падает.
- Появляется одышка, в некоторых случаях наблюдаются признаки легочной недостаточности.
- В анализе крови отмечается рост уровня тропонина и миоглобина.
На ЭКГ отмечается резкое снижение зубца R, значительный подъем ST выше изолинии и его слияние с T (монофазная кривая).
Морфология ткани изменяется. Очаг повреждения имеет отчетливые границы, миокард становится бледным, отечным. На вторые сутки область ишемии желтеет, у нее появляется демаркационная линия.
Подробнее о признаках инфаркта на ЭКГ можно прочесть здесь.
Острая
Продолжается до 10 дней. Ангинозная боль, характерная для острейшей стадии, проходит. Сохраняется пониженное давление, нарастают признаки сердечной недостаточности. Почти всегда прогрессируют нарушения ритма и проводимости. В первые двое суток на первое место выходит резорбционно-некротический синдром:
- Повышается температура, не выше 37,5 °C. Если показатель выше, то это свидетельствует о присоединении инфекции. Продолжается 5-7 дней.
- Увеличивается уровень лейкоцитов в крови, преимущественно нейтрофилов, увеличивается СОЭ.
- В крови определяются маркеры некроза сердечной мышцы (повышение миоглобина, АЛТ, АСТ, тропонина).
На кардиограмме острая стадия развившегося инфаркта миокарда проявляется четко, особенно при обширном поражении. В это время происходит формирование патологического зубца Q, T становится отрицательным, ST сохраняет позицию выше изолинии.

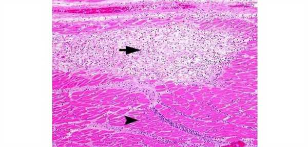
На гистологическом срезе хорошо виден участок повреждения с лизисом ядер и некротическим распадом клеток (стрелка вверху). Внизу указатель обозначает демаркационную область с инфильтрацией ткани лейкоцитами, образованием новых капилляров и отека. Она находится на границе области инфаркта и нормального миокарда.

Подострая
Подострая стадия инфаркта миокарда длится от 10 дней до 1-2 месяцев. Для этого периода характерными признаками являются:
- Полное прекращение боли в сердце.
- У многих больных — восстановление проводимости и ритма.
- Нормализация дыхания.
- Тоны сердца становятся громче или остаются приглушенными (в зависимости от степени повреждения).
- Температура и картина общего анализа крови приходит в норму.
- Давление нормализуется.
ЭКГ: Зубец Q переходит сразу в R, при крупноочаговом поражении R исчезает, желудочковый комплекс приобретает вид QS, ST возвращается к изоэлектрической линии, T становится отрицательным.
Если сделать срез в это время и рассмотреть микропрепарат, то на нем будет четко определяться область поражения серо-розового оттенка с красной каймой по периферии.
Рубцевание
Развивается на протяжении 2-6 месяцев от начала заболевания. В стадии рубцевания (формирования кардиосклероза) наблюдаются восстановительные процессы, миокард приспосабливается к работе в новых условиях:
- У многих пациентов развивается гипертрофия левого желудочка (компенсаторный механизм).
- Постепенно возвращается к исходным показаниям пороговая толерантность к физическим нагрузкам.
- Очень редко наблюдаются эпизоды нарушения ритма, у большей части больных ритм нормализуется.
- Возрастает вероятность появления истерий, фобий и других неврологических отклонений.
Кардиограмма показывает уменьшение патологического зубца Q, ST сохраняется на изолинии, снижается амплитуда отрицательного T или он переходит на изолинию. Это признак формирования рубца.
При гистологическом исследовании это выглядит как белое образование, немного западающее внутрь и состоящее из грануляций. Повторные инфаркты, стенокардия и гипертония приводят к развитию кардиосклероза там, где таких участков много и они не могут выполнять прежние функции. Морфогенез таких изменений хорошо виден на приложенном фото.

Ниже можно увидеть динамику изменения лабораторных показателей, в зависимости от времени развития некроза.
Клинический случай
В стационар поступил пациент с сильными загрудинными болями, которые отмечались на протяжении трех дней. Прием анальгетиков и «Нитроглицерина» не приносил облегчения. Ранее был поставлен диагноз стенокардии напряжения ФК II. За неделю до приступа испытал сильный стресс, состояние ухудшалось. На кардиограмме определился крупноочаговый инфаркт с локализацией в передней стенке, острая стадия. В крови — повышение миоглобина и тропонина.
Через месяц стационара пациент был выписан для лечения в амбулаторных условиях. ЭКГ показало рубцевание в области поражения, показатели крови пришли в норму.
Совет специалиста
При появлении первых признаков инфаркта меры следует принимать незамедлительно. Я советую сразу звонить в скорую помощь, и пока врач едет, обеспечить больному полный покой, усадить или уложить в такое положение, которое максимально облегчит состояние. Дать «Корвалол», «Нитроглицерин», «Аспирин», проветрить помещение.
Самым опасным является острейший период, который обычно проявляется очень сильной болью, одышкой, нарушениями ритма. От быстроты и правильности действий находящегося рядом человека зависит жизнь пациента. Лучше всего при вызове врача описать симптомы, чтобы могла приехать специализированная бригада, которая снимет ЭКГ, даст кислород и введет препараты для ограничения зоны некроза.
Для подготовки материала использовались следующие источники информации.
Симптомы, причины и лечение инфаркта
Острый инфаркт миокарда недаром считается самым опасным из всех ишемических заболеваний и при отсутствии лечения заканчивается он, в лучшем случае, развитием хронической сердечной недостаточности. Обширный некроз и гибель клеток сердца часто являются причиной смерти человека. В моей практике было немало примеров, когда при своевременном поступлении в реанимационное отделение удавалось эффективно ограничить зону поражения и спасти пациента. В этой статье я хочу подробно рассказать о том, как заподозрить, определить и лечить инфаркт.
Что это за болезнь и какие ее причины
Основной этиологической причиной развития острого инфаркта миокарда является атеросклеротическое поражение интимы (внутренней оболочки) коронарных артерий. В результате формирования отложений просвет сосуда сужается, и кровь начинает поступать в ограниченном количестве. Так начинается ИБС с приступами стенокардии. При воздействии провоцирующих факторов (физическая или эмоциональная нагрузка) происходит полное перекрытие артерии и развивается непреходящая ишемия с формированием участка некроза.
Другими (очень редкими) причинами инфаркта становятся состояния, при которых нарушается кровоток:
- ревматизм;
- васкулиты;
- опухоли;
- аллергия;
За время практики мне часто приходилось сталкиваться с тем, что многие пациенты не исключают вредные привычки и неправильное питание из своего образа жизни. Но эти факторы риска инфаркта миокарда часто приводят к фатальным последствиям.
Ухудшение снабжения сердца кровью происходит чаще у пожилых: остерегаться болезни нужно мужчинам после 45 лет и женщинам после 55 лет. Спровоцировать приступ могут психоэмоциональные встряски — немало пациентов поступает к нам в отделение после смерти близких людей, увольнения с работы, развода.
Классификация инфаркта миокарда осуществляется по нескольким принципам.
По времени возникновения различают:
- впервые возникший (первичный);
- рецидивирующий (повторяющийся в течение 1,5 месяцев после первого);
- повторный (возникший позднее 6 недель после первичного).
По локализации определяют следующие виды инфаркта миокарда:
- левого желудочка (передней, задней, боковой стенок и перегородочный); , с поражением сразу нескольких отделов; (возникает крайне редко, часто сопровождается поражением и других областей сердечной мышцы).
По степени распространенности ишемии и некроза бывают такие типы острого инфаркта миокарда:
- интрамуральный (находится в глубине стенки органа);
- субэндокардиальный (развивается во внутреннем слое); (проходит все три слоя сердца насквозь);
- субэпикардиальный (нарушение во внешней части органа).
Сколько инфарктов может перенести человек
Почти все пациенты, единожды перенесшие инфаркт, задают мне вопрос о повторном риске на приеме. Прекрасно понимая их беспокойство, все же скажу, что однозначного ответа в данном случае не даст ни один специалист. Нужно учитывать местонахождение рубца, глубину и ширину поражения, наличие осложнений. Степень восстановления функции сердца зависит от развития коллатерального кровообращения (дополнительных сосудистых путей). Я встречала случаи, когда пациент оставался жив после пятого эпизода, хотя гибель может наступить и в результате первичного инфаркта.

Стадии развития заболевания
Клиническое течение инфаркта проходит пять основных периодов:
- Подромальный или прединфарктный. Может быть коротким (до нескольких часов или суток) или довольно длинным (1-2 недели или месяц). В это время происходит учащение и удлинение болевых приступов. К такому же варианту относится инфаркт, который проявляется на фоне внезапно возникшей и быстропрогрессирующей стенокардии.
- Острейший. Заключается в стойкой ишемии с последующим развитием некроза. Продолжается от 20-30 минут до 2 часов (но не более). Ангинозная боль к этому времени становится слабее или совсем исчезает. Давление падает, появляются или нарастают признаки сердечной недостаточности.
- Острый. Некроз плавно перетекает в расплавление ткани сердца (может длиться от двух дней до двух недель).
- Подострый (от 1-го до 45 дней от начала эпизода). На данной стадии начинается формирование соединительной ткани в области поражения, а оставшиеся миокардиоциты адаптируются для продолжения дальнейшей работы. Рубец полностью организуется, на месте некроза появляются грануляции. Занимает от начала острой стадии от 1,5 месяцев до полугода.
Обращаю ваше внимание на тот факт, что оказание квалифицированной помощи во время ухудшения состояние при стенокардии или в острейший период инфаркта миокарда позволяет не допустить развития некроза. В этом случае процесс является обратимым, а прогноз - благоприятным.
Подробнее о том, что происходит и как правильно действовать на каждой из вышеперечисленных стадий инфаркта, читайте здесь.
Ранние признаки инфаркта
Большая часть пациентов (примерно от 60 до 80%), которые наблюдались мною с таким диагнозом, указывают на то, что заболевание у них не начиналось внезапно. Ему предшествовали предвестники инфаркта, или продромальный период. Наиболее благоприятный исход наблюдался у тех больных, которые обратились за помощью или были привезены бригадой в первые часы приступа.
Хочу сделать небольшую оговорку — ранние признаки инфаркта миокарда возникают не всегда, все зависит от болевого порога и состояния нервной системы пациента.
Но в большинстве случаев мне доводилось наблюдать такую симптоматику:
- Боли по передней поверхности грудной клетки с иррадиацией в левую руку, часть нижней челюсти, лопатку.
- Неприятное ощущение не купируется приемом нитросодержащих препаратов и проходит только после введения наркотических анальгетиков.
- Имеет постоянный, нарастающий или волнообразный характер с периодами затихания и возобновления.
- Продолжается более 20-30 минут.
- Больной покрывается потом, старается присесть или лечь как можно выше. Такая поза немного облегчает приступ.
- Развивается одышка, кожа становится бледной, синеет носогубный треугольник.
- Когда речь идет о первых признаках инфаркта миокарда, нельзя не отметить нарушения ритма. По моим наблюдениям, они отмечаются в 90% случаев на стадии развития ишемии и до формирования рубца.
Любое подозрение на инфаркт требует немедленного проведения ЭКГ, на которой будут выявляться все признаки ишемии, а в более поздней стадии - некроза и формирование рубца. Подробнее о том, какие изменения будут видны на пленке, читайте здесь.
Последствия и осложнения
В любой период от начала острого инфаркта и до его разрешения в виде формирования соединительнотканного рубца могут отмечаться следующие осложнения:
- кардиогенный шок;
- остановка сердца; ;
- разрыв стенки по причине миомаляции;
- формирование пристеночного тромба и тромбоэмболия; .
Летальный исход при данном заболевании фиксируется на ранних стадиях примерно в 35% случаев. Его причиной становится нарушение ритма, кардиогенный шок и острая недостаточность сердца. Позднее смерть может наступить в результате формирования аневризмы с разрывом, тромбоэмболических осложнений, острой тампонады перикарда.
После острого периода сердечная мышца адаптируется к новым условиям работы, но сохраняется высокий риск повторных эпизодов.
Лечение инфаркта миокарда должно осуществляться в условиях реанимационного отделения с квалифицированным персоналом и специальным оборудованием. Но начинать оказание помощи следует еще на догоспитальном этапе.
Делает это обычно бригада скорой помощи.
После снятия ЭКГ и установления предположительного диагноза следует:
- положить под язык таблетку «Нитроглицерина»;
- дать выпить 300 мг «Аспирина»;
- ввести наркотические анальгетики для устранения болевого синдрома;
- при необходимости использовать внутривенное введение антиаритмических средств;
- произвести реанимационные мероприятия при развитии остановки сердца и наступлении клинической смерти.
Больше о том, как правильно оказывать неотложную помощь пациенту с инфарктом читайте здесь.
Медикаментозная терапия
После поступления больного я и мои коллеги проводят оказание помощи, согласно установленному протоколу. Все мероприятия направляются на купирование боли, ограничение области некроза, предупреждение развития осложнений, восстановление кровотока по венечным артериям.
Лечение инфаркта миокарда начинается с устранения болевого синдрома. Так как обычные препараты в данном случае неэффективны, врачи используют внутривенное введение наркотических анальгетиков «Промедола» или «Морфина». Это помогает нормализовать эмоциональное состояние человека, снизить частоту пульса и выровнять давление. Когда снимаются неприятные ощущения, снижается вероятность наступления рефлекторного кардиогенного шока.
Острый инфаркт миокарда представляет собой коронарный тромбоз. Поэтому пациенту вводят прямой антикоагулянт, тем самым выполняя ему процедуру тромболизиса — растворения кровяного сгустка.
Современным и самым эффективным подходом считается проведение процедуры стентирования, которая позволяет мгновенно восстановить кровоток в пораженном сосуде сердца. После этого назначается «Клопидогрель» с «Ацетилсалициловой кислотой» на протяжении 2 лет для предупреждения агрегации тромбоцитов и развития повторного приступа.
Использование бета-блокаторов позволяет снизить нагрузку на сердце, а также предупредить развитие аритмии. Лечение инфаркта миокарда обязательно включает в себя пролонгированные нитраты («Кардикет»). Они позволяют путем расширения коронарных сосудов улучшить приток крови к сердцу и ограничить зону некроза.
Важным моментом является назначение высоких доз статинов («Розувастатин» до 40 мг, «Аторвастатин» до 80 мг) — препаратов . Их применение позволяет снизить степень воспалительной реакции.
Симптомы инфаркта миокарда и их особенности также учитываются во время лечения. Пациенту при выраженном беспокойстве даются седативные средства, если давление остается высоким используются гипотензивные лекарства.
Хочу заметить, что лечение после инфаркта не заканчивается. Пациенту в течение всей жизни нужно будет принимать кроворазжижающие средства и препараты для снижения холестерина (статины). О том, как правильно проходить реабилитацию после приступа читайте здесь.
Хирургические методы
При отсутствии эффективности от лечения и с целью предупреждения повторного развития инфаркта на том же самом участке применяются такие операции:
- . Заключается в восстановлении прохождения крови по сердечным артериям путем создания искусственного анастомоза.
- Балонная ангиопластика. В просвет сосуда вводится трубочка с шариком на конце. Дойдя до точки приложения, его надувают и прижимают атеросклеротическую бляшку к стенке, восстанавливая нормальный кровоток.
Я настоятельно рекомендую всем пациентам, кто страдает от стенокардии и у которых присутствуют факторы риска инфаркта миокарда внимательно следить за своим состоянием здоровья. Учащение и усиление приступов, эпизоды аритмии или одышки должны настораживать. Препараты необходимо принимать регулярно, также как и соблюдать диету. Это позволит успешно бороться с причиной инфаркта.
В стационар ко мне поступил пациент, у которого отмечались сильные боли за грудиной и другие типичные симптомы инфаркта миокарда. Был направлен из поликлиники, где была сделана кардиограмма, на которой обнаружился крупноочаговый некроз в острой стадии развития по передней стенки левого желудочка. Отмечает, что в последнее время наблюдались предвестники инфаркта - приступы стенокардии становились сильнее, плохо купировались «Нитроглицерином».
Пациент был направлен на чрескожное коронарное вмешательство — стентирование. На вторые сутки после процедуры больной чувствовал себя уже гораздо лучше, в связи с чем он был переведен в общее кардиологическое отделение. Были выданы рекомендации: соблюдать диету с ограничением жидкости и соли, а также исключением жирных блюд и продуктов с высоким содержанием холестерина, пожизненное применение «Аспирина» и статинов, адекватная физическая реабилитация.
Инфаркт миокарда
Сердце человека на протяжении всей жизни постоянно качает кровь, которая снабжает организм кислородом и питательными веществами. Весь этот процесс происходит благодаря коронарным артериям (это сосуды сердца, по которым циркулирует кровь).

При блокировании кровотока одной из этих артерий возникает тяжелое состояние, которое называют инфарктом миокарда или сердечным приступом. В результате чего к участку сердца, где произошло блокирование кровотока, поступает мало крови, и сердечная мышца становится слабой. Человек при этом ощущает сильную боль в сердце.
Чаще всего инфаркту подвержены мужчины от 45 лет и женщины от 50 лет. Но среди пациентов, перенесших инфаркт, встречаются и люди более молодого возраста. Образ жизни и факторы риска способствуют появлению болезни.
Причины инфаркта миокарда
Основная причина инфаркта миокарда - ишемическая болезнь сердца, в результате которой возникает атеросклероз сосудов.
Атеросклероз - заболевание, при котором происходит накопление холестерина на стенках сосудов. Жировые отложения или холестерин поступают в организм с пищей, со временем откладываются в виде бляшек и препятствуют току крови.
Такое состояние связано с повышенным уровнем холестерина. Липопротеины низкой плотности - это «плохой» холестерин, который и является причиной атеросклероза. Кроме него есть и «хороший» холестерин - липопротеины высокой плотности, который защищает сердце от сердечно-сосудистых заболеваний. На стенках сосудов накапливается именно «плохой» холестерин.
Бляшки способны находиться на сосудах долгие годы, а могут перекрыть сосуд сердца, вызвав инфаркт миокарда.
Инфаркт миокарда имеет множество факторов риска
- Возраст. Считается, что с возрастом риск развития инфаркта возрастает. Чаще всего это состояние появляется после 65 лет.
- Пол. Инфаркт миокарда развивается чаще всего у мужчин.
- Гипертония, или повышенное артериальное давление.
- За норму считается показатель артериального давления не более 130/80 мм ртутного столба. Давление выше 140/90 мм рт. ст. является повышенным. Такой показатель увеличивает риск развития инфаркта.
- Сахарный диабет. Люди с данным заболеванием также имеют высокий риск развития артериальной гипертонии и высокого холестерина, что может привести к инфаркту.
- Наследственность. Инфаркт миокарда чаще возникает у людей, чьи родители страдали от гипертонической болезни, повышенного холестерина или перенесли инфаркт.
- Лишний вес, в особенности ожирение.
- Малоподвижный образ жизни. Спорт и любые упражнения тонизируют сосуды, укрепляют их. При недостатке физической активности происходит быстрое накопление холестерина на стенках сосудов. Доказано, что люди, ведущие малоподвижный образ жизни, в два раза чаще страдают сердечными приступами.
- Вредные привычки.
Частое употребление алкоголя повышает риск развития сердечных приступов. Курение также опасно для сердца. Пристрастие к табаку вызывает высокое давление, а также повышает риск тромбообразования.
Симптомы сердечного приступа
Признаки инфаркта миокарда бывают разные. Это может быть легкая боль, дискомфорт. Встречаются и выраженные боли. Но есть общие симптомы, которые указывают на инфаркт.
Основной симптом - боль в груди. Давящая, жгучая, сжимающая,- обычно так описывают пациенты боль при сердечном приступе.
Часто эта боль распространяется в левую руку, плечо, в челюсть, в шею или спину. При этом нередко отмечается головокружение и головная боль, тошнота и рвота, затруднение дыхания.
При сердечном приступе боль длится несколько минут, потом может исчезнуть. Затем через некоторое время снова возвращается с большей интенсивностью. Часто пациенты с инфарктом отмечают потливость, сильное сердцебиение, беспокойство.
Некоторые люди ощущают не столько боль, сколько чувство тяжести и несварения в желудке. Как правило, боли не удается прекратить обычными сосудорасширяющими (валидол, нитроглицерин), а иногда даже наркотическими средствами. В некоторых случаях могут быть обмороки, потеря сознания.
Формы инфаркта миокарда
Инфаркт миокарда имеет несколько форм: Трансмуральный инфаркт, Q-инфаркт, Правожелудочковый. Каждая из них отличается показателями на электрокардиограмме и нуждается в специальном лечении.

Сердечный приступ у пожилых
Периоды инфаркта
- Предынфарктный период. Длится от нескольких минут до месяцев. В течение этого периода приступы усиливаются по интенсивности боли.
- Острейший период. При нем происходит некроз сердечной мышцы. Длится этот период до нескольких часов. Острейший период, в котором происходит развитие ишемии и некроз сердечной мышцы, длится до нескольких часов. Может иметь типичный и атипичный вариант течения.
- Острый период. Длится до 10 дней. Боли в сердце уменьшаются, может значительно упасть артериальное давление и подняться температура.
- Подострый период. Длится около двух месяцев. В этом периоде происходит формирование рубца. Боль отсутствует.
- Постинфарктный период. Человек не ощущает болевого синдрома. На ЭКГ видны изменения, которые остаются на всю жизнь.
Атипичные формы инфаркта миокарда
Как было уже сказано выше, основной симптом инфаркта - боль за грудиной. Но бывают и другие формы сердечного приступа, которые маскируются под другие болезни.
- Периферическая. Для такой формы характерна боль в левой руке, в горле. При этом пациенты также отмечают потливость и слабость.
- Астматическая форма. По симптомам очень схожа с бронхиальной астмой- появляется одышка, кашель и мокрота.
- Абдоминальная. При такой форме инфаркта у человека наблюдаются боли в правом подреберье, тошнота и рвота.
- Коллаптоидная. Эта форма инфаркта проявляется снижением артериального давления, головокружением, потемнением в глазах. Боли в сердце отсутствуют.
Осложнения после инфаркта миокарда
Чаще всего сердечная мышца начинает восстанавливаться сразу после сердечного приступа. На это у мышцы уходит приблизительно 2-3 месяца.
В том месте, где был некроз сердечной мышцы, остается рубец. В результате сердце не может качать столько же крови, как до сердечного приступа, и у человека может быть осложнение в виде сердечной недостаточности. Появляется слабость, кашель, отек ног и одышка.
Кроме того, довольно часто у лиц, перенесших инфаркт, могут наблюдаться нарушения ритма сердца. Это состояния, при которых сердечный ритм становится меньше или больше нормы. Чаще всего после перенесенного инфаркта встречаются такие нарушения ритма, как желудочковая экстрасистолия (нарушение, при котором происходит преждевременное сокращение желудочков сердца). Наличие повышенного давления, сахарного диабета и вредных привычек увеличивает риск развития нарушений ритма.
Кардиогенный шок - еще одно грозное осложнение инфаркта миокарда. При этом резко снижается артериальное давление- ниже 80 мм ртутного столба, происходит нарушение сознания, появляется синюшность кожи (цианоз), увеличивается частота сердечных сокращений (тахикардия).

Как и любое другое заболевание, инфаркт можно выявить и диагностировать.
- Основной метод диагностики - ЭКГ ( электрокардиограмма). Процедура позволяет определить участок сердца, в котором произошло нарушение, а также своевременно выявить осложнения.
- Анализы крови. Еще один важный метод выявления инфаркта миокарда - сдача крови (общий анализ крови, биохимический анализ). В данных анализах обращают внимание на некоторые показатели, которые имеют значение при сердечном приступе.
- Эхокардиография. Это метод диагностики сердца, который позволяет выявить повреждения в структурах сердца (клапаны, перегородки).
- Коронарография - обследование, основанное на принципе рентгена. Этот вид диагностики способно определить, в какой именно коронарной артерии произошло нарушение и участок сердца, в котором предположительно оно может случиться.
Как лечить инфаркта миокарда?
При появлении болей в груди можно помочь себе до приезда «скорой».
Что делать при сердечном приступе?
- Принять таблетку нитроглицерина под язык или одну дозу в виде аэрозоля.
- Позвонить «103».
- Дать больному разжевать таблетку аспирина.
- Срочно доставить больного в ближайшее отделение больницы для оказания врачебной помощи.
Лечение инфаркта миокарда включает в себя: остановку боли, которая возникает при инфаркте. Затем больному назначают антикоагулянты и тромболитики, которые не дают некрозу сердечной мышцы разрастаться.
Важно предупреждать осложнения. Как было уже сказано, инфаркт может иметь последствия, угрожающие жизни. С этой целью пациенту назначают препараты от аритмии, нарушений ритма.
Кроме лечения препаратами, существуют инструментальные методы, например, ангиопластика. Через специальный катетер вводят стент, который раздувается в поврежденном сосуде, отталкивая бляшки к стенкам сосуда. При этом кровоток восстанавливается.
Прогноз после перенесенного инфаркта может быть разным, в зависимости от тяжести состояния и образа жизни.
Если сердечная мышца повредилась довольно сильно, то это может привести к летальному исходу. У пациентов, которых был сердечный приступ, высок риск повторного приступа.
Избежать повторного инфаркта можно только улучшив свой образ жизни, а также при соблюдении лечения. Сердечный приступ увеличивает риск развития других заболеваний сердца, особенно у пожилых людей, лиц страдающих сахарным диабетом или заболеваниями сосудов.
Как предупредить инфаркт миокарда?
Для того, чтобы предупредить инфаркт миокарда, стоит соблюдать методы профилактики.
- Вести здоровый образ жизни, обеспечить себе разнообразное питание с низким содержанием «плохого» холестерина, с высоким содержанием клетчатки. Стоит уменьшить потребление насыщенных жиров, их должно быть менее 7% от общего числа калорий. А вот источник полезных жиров - увеличить. Для этого нужно употреблять в пищу больше омега-3-жирных кислот.
- Отказаться от курения, ограничить потребление алкогольных напитков.
- Контролировать артериальное давление - не более 130/80 мм ртутного столба.
- Контролировать вес тела. Лишний вес - большой враг здоровья. Ваш индекс массы тела (ИМТ) должно быть 18,5-24,8.
- Кроме общих рекомендаций по уменьшению риска развития инфаркта миокарда, есть и советы для тех, кто уже перенес сердечный приступ.
Врач может порекомендовать своему пациенту принимать на постоянной основе некоторые препараты, которые будут контролировать сердечный ритм и предупреждать повторные приступы (аспирин, ингибиторы АПФ, бета-блокаторы).
Читайте также:
- Лазеры применяемые в хирургии уха и их характеристика
- Цианотические приступы у детей. Бледные приступы у ребенка
- Характеристика головокружения. Тип, длительность, провоцирующие факторы головокружения
- Симптомы эпиглоттита у ребенка и его лечение
- Ретикуло-спинномозговые проводящие пути: нейроны, схема, функции
