Варианты нормы запястья на рентгенограмме, МРТ
Добавил пользователь Евгений Кузнецов Обновлено: 28.01.2026
Человек выполняет кистью множество мелких и точных движений. От нормальной работы рук зависят способность к самообслуживанию и профессиональная пригодность. Поэтому очень важно уметь выявлять заболевания кистей на самом раннем этапе. Лечение при этом более эффективное, занимает меньше времени, функция руки сохраняется в полном объеме.
То, что показывает МРТ кисти руки, часто используют в диагностике, потому что это самое информативное и точное обследование из современных медицинских методов. При соблюдении мер безопасности оно является абсолютно безвредным.
Какие заболевания покажет МРТ кистей рук?
Магнитно-резонансная томография в мельчайших подробностях покажет все патологические процессы, которые происходят с рукой. Как делают МРТ руки - с контрастом или без него, показания к исследованию определяет лечащий врач.
Воспалительные заболевания
Воспалительные процессы могут затрагивать:
- Суставы - артриты при ревматических болезнях, подагре, простудных заболеваниях.
- Мышцы - миозиты могут возникать при повторении однообразных движений кистью, часто связаны с определенной профессией.
- Нервы реагируют воспалением при общих заболеваниях организма или местных неблагоприятных факторах.
- Сухожилия мышц пальцев рук и оболочки вокруг них - тендиниты, тендовагиниты.

С помощью МРТ выявляют отек и клеточную инфильтрацию, утолщение воспаленных структур, изменение плотности сигнала от них.
При гнойном поражении (абсцесс, флегмона) есть риск распространения гноя в глубокие отделы кисти. Иногда наступает расплавление кости (остеомиелит), продукты распада и гноеродные бактерии попадают в кровь (сепсис), отдаленные части тела. На снимках видны границы гнойного очага, размеры, какие структуры вовлечены - мягкие ткани, кости.
Болезни суставов
МРТ кистей рук при болезни суставов выявляет отклонения при подагре, ревматических болезнях, дегенеративные процессы. Аллергические реакции могут сопровождаться выпотом в сустав невоспалительного характера.
Ревматоидный артрит поражает людей молодого возраста. Начинаются симптомы с мелких суставов кистей рук, стоп. МРТ руки следует сделать, так как можно заметить минимальные изменения в суставах: неровность контуров хряща, сужение щели или наоборот, выпот внутри сустава. Такие изменения вместе с лабораторными признаками позволяют поставить диагноз и начать лечение, пока больной не испытывает сильных болей, скованности, большинство суставов имеют нормальную структуру. Раннее лечение значительно улучшает качество жизни таких больных, предупреждает наступление множественных деформаций суставов и инвалидности.
Патология костей
МРТ визуализирует переломы, трещины костей, остеопороз (снижение плотности костной ткани), остеомиелит (гнойное воспаление). Можно оценить качество костной мозоли после перелома. Диагностировать асептический некроз запястных костей - ладьевидной, полулунной (болезнь Кинбека). Увидеть анкилоз сустава - полное сращение костей в суставе в результате артроза.
Травмы
Кисть довольно часто подвергается травматизации: при падении на руку, придавливании кисти тяжелым предметом, ударах. Травмы встречаются у спортсменов, на производствах и в домашних условиях. В ряде случаев МРТ видит небольшие повреждения лучше, чем КТ и рентген, за счет лучшей визуализации зоны отека и кровоизлияния, без нарушения костных структур.
От точного совмещения всех структур зависит функция руки в будущем. На рентгенограмме хорошо видны кости. Можно выявить перелом, вывих, подвывих.
Томографию кисти делают, чтобы выявить наличие растяжений сухожилий, разрывов, гематом внутри мягких тканей, повреждений мышц, нервов, сосудов. Вовремя выявленное ущемление нерва, сосуда между твердыми структурами помогает сохранить жизнеспособность нерва. Если человек долго терпит боль после травмы, в нерве могут наступить необратимые изменения. Даже проведение операции в запущенных случаях не сможет вернуть утраченные функции.
Опухоли
МРТ с введением контраста считается лучшим методом выявления опухолей на начальном этапе. Исследование делается, чтобы определить, из какой ткани развилось новообразование - жировой (липома), мышечной (рабдомиома), соединительной (фиброма), костной (остеома, остеосаркома), сосудистой (гемангиома). Также с большой вероятностью можно говорить о доброкачественном или злокачественном росте образования. Первичный очаг можно отличить от метастазов.
Болезни нервов
Нервы проходят на кисть через узкий канал. Он образован костями запястья с одной стороны и связкой, удерживающей сухожилия мышц-сгибателей пальцев, с другой стороны. При травмах, воспалительном, аллергическом отеке тканей в этом месте нервные стволы подвергаются сдавлению - туннельный синдром. Больной чувствует постоянные тягостные боли, онемение пальцев рук. Часто это встречается у людей, работа которых связана с длительным пребыванием за компьютером, за рулем. Неправильное положение рук вызывает перенапряжение отдельных мышц, спазм, отек и, как следствие, сдавление нерва.

На снимках МРТ можно разобраться, что явилось причиной сдавления нервов. Эффективно устранить этот фактор. Боли в кисти не всегда говорят о нарушении в этом отделе. Нервы могут поражаться на уровне локтя, плеча, шейного отдела позвоночника.
Патология сосудов
Воспалительные изменения мелких сосудов приводят к ухудшению кровоснабжения тканей кисти. Сопровождаются болями, температурой, ограничением движений. МРТ может обнаружить аномальное расположение и строение сосудов. Для хорошей визуализации обследование сосудов проводят с контрастом.
Аномалии развития
МРТ при переломе запястья
Травмы лучезапястного сустава и кисти - самая распространенная причина проведения МРТ кисти. При лечении перелома в ходе хирургического вмешательства требуется точная репозиция отломков, сшивание сухожилий, нервов. Изучают состояние лучезапястного сустава на МРТ, запястья, пястных костей и пальцев, окружающих их тканей.
Показания к МРТ кисти
МРТ назначают в таких случаях:
- Свежая травма руки.
- Последствия полученной ранее травмы в виде болей, неправильного сращения костей, ограничения подвижности суставов, ущемления нервов.
- Дегенеративные болезни суставов - артрозы, движения сопровождаются болью, хрустом, уменьшается объем движения, возможно заклинивание.
- Асептический некроз кости.
- Контрактура сухожилий мышц кисти.
- Воспалительные болезни в области руки, проявляются болью, отеком, покраснением, повышением температуры.
- Подозрение на опухоли, кисты, сосудистые нарушения.
Противопоказаниями считают присутствие металлических предметов в организме или вживленных электронных приборов типа ЭКС (электрокардиостимулятор), первый триместр беременности, несоответствие параметров тела пациента и томографа (вес превышает 120 кг или окружность больше 150 см).
Как делают МРТ кисти руки?
Процедуру МРТ кисти можно проводить в томографах закрытого и открытого типа. В большинстве клиник закрытые аппараты. При клаустрофобии, обследовании крупных пациентов, детей предпочтение отдают открытым томографам.

Перед тем, как делают МРТ руки, подготовка не требуется. Главное - снять элементы одежды и аксессуары, содержащие металл. Перед исследованием с введением контраста следует воздержаться от приема пищи за 6 - 8 часов до процедуры. Женщинам детородного возраста удостовериться в том, что они не беременны (посетить гинеколога, сделать тест). Больным с патологией почек необходимо сдать анализ на креатинин крови, позволяющий проверить выделительную функцию органа.
После переодевания обследуемый ложится на выдвижной стол. Руку укладывают в нужном положении. Предупреждают, чтобы человек не двигался во время обследования. Внутри цилиндрической части аппарата проходит само обследование. Магнитное поле вызывает реакцию атомов водорода внутри клеток. У всех тканей она отличается из-за разной структуры и содержания воды. В результате сканирования врач получает изображение срезов руки на компьютере, может получить объемную модель кисти.
После проведения томографического обследования пациент свободен, переодевается в свою одежду. Врач оценивает костные ткани и мягкотканные структуры, увиденные на снимках, пишет заключение.
По возможности пациент должен предоставить информацию, которую он имеет об истории болезни. Для правильной интерпретации и постановки диагноза сильно помогают результаты других методов исследования, комментарии узких специалистов. Также это позволяет пронаблюдать динамику патологических изменений: степень регресса или скорость роста образования, деструктивных изменений, реакцию на лечение.
КТ или МРТ кисти, что лучше?
Есть преимущества и недостатки диагностики каждым из способов.
Компьютерная томография делает серию послойных снимков, полученных путем рентгеновского облучения. КТ предоставляет исследователю информацию о состоянии костей, суставов. Из-за лучевой нагрузки на организм есть ограничения по использованию этого метода у детей, беременных женщин. Здоровым людям можно проходить это исследование 1 - 2 раза в год. При КТ в качестве контрастного вещества используются препараты йода, которые чаще провоцируют развитие аллергических реакций, чем гадолиний для МРТ.
МРТ тоже видит ткани в виде срезов в заданной плоскости. При КТ и МРТ возможна реконструкция снимков в трехмерное изображение для наглядности и простоты диагностики. МРТ показывает кровеносные сосуды, нервы, мышцы, сухожилия, апоневрозы, суставы, кости, кожу и подкожно-жировую клетчатку. Исследование считается более информативным по сравнению с КТ, когда дело касается мягких тканей. Также оно намного более безопасное.
Существование разных методов диагностики позволяет врачу выбирать исследование, наименее вредное для пациента и наиболее информативное. При имплантированных устройствах из металла выбирают КТ, если обследовать нужно беременную, ребенка - лучше МРТ. МРТ еще удобнее тем, что позволяет наблюдать за динамикой заболевания, так как не имеет ограничений по количеству исследований в год.
МРТ кисти помогает врачу поставить правильный диагноз. При наличии боли, дискомфорта, деформаций не затягивайте с обследованием. От этого зависит успех лечения.
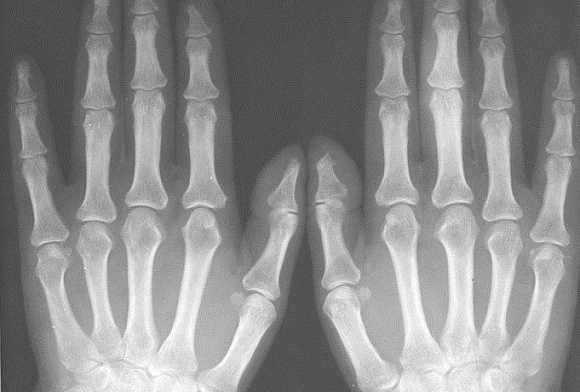
Рентген лучезапястного сустава и кисти рук: что это такое и что он показывает?
Рентген лучезапястного сустава и кисти рук - это наиболее распространённая диагностическая процедура, используемая для исследования строения, структуры, целостности костной ткани запястья и кисти рук. Её можно сделать практически в каждой государственной поликлинике или частной клинике. Рентген не требует особой подготовки - нужно просто снять с рук все кольца, часы, браслеты, наклеенный пластырь. Если на кисть ранее был наложен гипс, то, возможно, потребуется снять и его - точные рекомендации даст врач-рентгенолог.
Показания
Боль в кисти при движениях и в покое
Рентгенография кисти рук и лучезапястного сустава может назначаться пациентам, если они жалуются на боль в этой области. Боль может отмечаться как в состоянии покоя, так и в движении (сжимание, разжимание, вращательные движения и так далее). Причин возникновения боли в кистях и запястьях масса: переломы, ушибы, артрит, остеоартроз, перитендинит, ущемление срединного нерва, полиартрит и другие. Главная задача лечащего врача - с помощью рентгена распознать истинную причину боли и назначить правильное лечение.
Отечность и гиперемия мелких суставов
Отёчность кистей рук, а также их гиперемия - симптомы, которые могут сигнализировать о различных патологиях. Среди них: заболевания сердца, почек, печени, анемия, застой лимфы, аллергия и многие другие. Однако при подобных патологиях речь идёт о нарушении структуры мягких тканей. Чтобы исключить патологию костной ткани, проводят рентген кистей и запястья.
Деформации суставов
Заметная визуально деформация лучезапястного сустава, самой кисти или пальцев является достаточным показанием для проведения рентгена. Самые распространённые деформации - это узелки Гебердена (образуются на суставах крайних фаланг пальцев) и узелки Бушара (образуются на суставах срединных фаланг). Чаще всего такие деформации говорят о прогрессировании таких заболеваний, как артроз или артрит.
Перенесенные травмы с подозрением на перелом костей
Травмы, падения с высоты, ушибы - все эти факторы с высокой вероятностью могут стать причиной перелома кистей рук или запястья. Для подтверждения или опровержения перелома рентген необходимо сделать в первую очередь.
Воспалительные изменения в суставах кисти (артрозы, артриты)
Затруднённое движение кистей рук, сопровождающееся болевым синдромом, хрустом может стать свидетельством артрита или артроза. Рентген в этом случае покажет, насколько истончёна соединительная суставная ткань, хрящи, есть ли на костях солевые отложения и так далее.
Подозрение на деструкцию кости (остеомиелит)
Остеомиелит - гнойное инфекционное заболевание, поражающее костную ткань. Другими словами, при такой патологии наблюдается загнивание и разрушение (постепенное или скоротечное) костной ткани. Причиной возникновения остеомиелита является попадание бактерий в костную ткань либо в костный мозг или надкостницу. Случиться это может при травмах, в течение таких болезней, как корь, гнойная ангина, пневмония, фурункулёз и так далее. Для оценки состояния костной ткани, подтверждения или исключения остеомиелита, как правило, назначается рентген запястья и кистей рук.
Новообразования
Гигрома - одно из наиболее распространенных кистозных новообразований, локализация которого приходится на запястье или кисти рук. При помощи рентгена определить гигрому можно довольно точно, поэтому такой метод диагностики применяется наиболее часто.
Методика проведения
Рентген запястья и кисти делают в течение нескольких секунд. Пациента усаживают на стул рядом со столом рентген-аппарата. Затем укладывают его кисть на столешницу ладонью вниз, максимально распрямив её, и делают снимок. Возможно исполнение снимка и в других проекциях: прямая ладонью вверх, боковая, косая тыльная и косая ладонная. Перед тем как сделать снимок, тело пациента защищают специальным жилетом, который блокирует прохождение рентгеновских лучей.
В идеале рентгеновские снимки в нескольких проекциях должны отобразить все составляющие кости и суставы запястья и кисти: 3-гранная, полулунная, ладьевидная, гороховидная, крючковатая, головчатая, трапециевидная кости, лучезапястный сустав, пястные кости, запястно-пястные суставы, межзапястный сустав, фаланги.
При болях, нарушении функции кисти или запястья только на одной руке для определения отклонений от нормы могут сделать рентген-фото лучезапястного сустава и кистей обеих рук.
После того как снимки сделаны, рентгенолог приступает к их проявке и описанию. Как правило, занимает это 15-20 минут, в зависимости от сложности заболевания или травмы.
Какие изменения видны на рентгенограмме кисти?
Травматические повреждения
Травматические повреждения, такие как переломы, вывихи, трещины, смещения, - это первое, что можно обнаружить на рентгене лучезапястного сустава. Кости запястья, рентген которых показал перелом, имеют на снимке тёмные полосы различной локализации, размера и направления.
Поставить диагноз «Вывих» по рентгену можно, если на снимке видно, что суставные поверхности костей предплечья перекрещиваются или щель между костями лучезапястного сустава не видна.
Ревматические поражения
Поражения ревматического характера могут наблюдаться, например, при патологии соединительной ткани сустава (ревматоидный артрит, склеродермия) или при воспалительных заболеваниях, поражающих костную ткань кистей и запястья.
Типичными признаками артритов кистей рук являются кистозные изменения, визуализируемые на рентгене уже на ранних стадиях развития ревматоидной патологии. Обычно они имеют небольшой размер и округлую форму. Запущенные стадии артрита характеризуются формированием крупных и плотных костных эрозий.
Противопоказания
Негативное влияние ионизирующего излучения от рентгена определяет ряд запретов для проведения рентгенографии лучезапястного сустава и кисти рук.
Беременность
При беременности женщинам делать рентген нельзя, так как ионизирующее излучение может оказать негативное влияние на развитие плода. Однако в отдельных случаях, когда, например, речь идёт о серьёзном оскольчатом переломе кисти, рентген проводят. При этом предварительно тщательно закрывают живот женщины защитным жилетом или фартуком.
Дети до 15 лет
Детский возраст до 14-15 лет также считается противопоказанием для проведения рентгена. На неокрепший детский организм ионизирующее излучение может повлиять негативно, и главная опасность кроется в высокой вероятности злокачественного перерождения клеток, попадающих в зону облучения. В связи с этим детям рентген назначают крайне редко. В качестве альтернативного, максимально информативного, но при этом безопасного метода диагностики состояния костей кисти и запястья можно использовать МРТ.
Рентген кисти руки: подготовка к проведению, расшифровка и нормальные показатели

Рентген кисти рук - довольно распространённая диагностическая процедура, которую назначают для оценки состояния костей, выявления их патологий, повреждений и других отклонений. Рентген кисти - процедура неинвазивная, потому и безболезненная. Для её выполнения понадобится несколько минут. Лучевая нагрузка на организм человека при съёмке кисти минимальна, поэтому такое исследование допускается проводить несколько раз в год, если это необходимо.
Показания для проведения
В основном показаниями к рентгену кисти рук являются травмы, патологические процессы, которые влияют на функционирование руки и её форму (отклонение формы от нормы может быть видно невооруженным взглядом). Также рентген рекомендовано назначать в следующих случаях:
- болевые ощущения в кистях рук при движении и в состоянии покоя;
- деформации суставов;
- переломы, ушибы костей кисти;
- воспалительные заболевания костей кисти;
- доброкачественные и злокачественные новообразования;
- аномалии сустава, передающиеся наследственным путем.
Заболевания и травмы рук
Рентген кистей поможет выявить следующие заболевания рук:
- синовит - скопление жидкости в кистевых суставах;
- кальцификаты - первый признак артрита;
- тендинит и теносиновит - уплотнения и утолщения запястья, вызванные воспалением;
- остеопороз - истончение кортикального слоя диафиза короткотрубчатых костей;
- кисты - новообразования округлой формы, расположенные в центральном или субхондральном отделах костного эпифиза;
- остеофиты - костное разрастание края поверхности сустава в виде острого шипа.
Что покажет рентген костей кисти?
В структуре кисти - довольно много мелкоразмерных костей. Потому и видов переломов кисти существует тоже много:
- открытый и закрытый;
- абсолютный разлом или трещина;
- множественный или изолированный;
- диафизарный (линия перелома располагается на теле кости), околосуставной (линия перелома - между концом кости и ее телом) и внесуставной (линия надлома - на конце кости);
- первичный (появляется при первичном травмировании в момент воздействия силы) и вторичный (смещение случается позже, в результате воздействия прикрепленных к сломанным костям мышц);
- стабильный (отломки остаются на прежнем месте) и нестабильный (случается вторичное смещение отломков).
Рентген кистей рук при ревматоидном артрите - важная диагностическая процедура, которая позволяет точно выявить стадию развития заболевания. Главными рентген-признаками данной патологии являются припухлости мягких тканей сустава. Также об артрите свидетельствует незначительное сужение межсуставной щели и визуализируемый остеопороз. На более поздних стадиях развития патологии будут видны эрозии костей, которые имеют вид некрупных краевых дефектов в суставных концах костей. В эпифизах костей фаланг пальцев могут виднеться округлые просветления.
При проведении рентгена кистей рук с функцией увеличения изображения можно выявить нарушение целостности замыкающих пластинок уже на первых стадиях развития ревматоидного артрита. По мере прогрессирования заболевания будет наблюдаться ухудшение картины - сустав будет становиться всё уже, появятся очаги эрозии, станет ярче выраженность остеопороза. В результате разрушения суставных концов кости могут появиться подвывихи.
Подготовка к рентгену

Чтобы сделать рентген правой и левой кистей рук, предварительная подготовка не нужна. Перед процедурой надо снять кольца, браслеты, часы и расположить руки (или руку) на рабочем столе рентгеновского аппарата так, как скажет специалист-рентгенолог.
Для защиты от влияния ионизирующего излучения тех частей тела пациента, которые не участвуют в исследовании, используются специальные свинцовые фартуки или жилеты.
Как проходит обследование?
Для проведения рентгеновской съёмки пациента усаживают на стул рядом со столом рентгеновского аппарата. Руку нужно согнуть в локте, а кисть положить на стол. От того, насколько правильна будет произведена укладка кисти, зависит информативность получаемого снимка. На практике используется несколько вариантов укладки:
- Прямая проекция. Для такой съёмки кисть укладывается горизонтально, на стол - тыльной стороной или ладонью. Лучи рентгена будут проходить через кисть перпендикулярно кассете с плёнкой. На таком снимке будут определяться все кости запястья, за исключением гороховидной. Также будут видны лучезапястный сустав, пястные кости, запястно-пястные суставы, межзапястный сустав и фаланги пальцев.
- Боковая проекция. Для такой съёмки нужно расположить ладонь ульнарным краем на кассете. Большой палец при этом нужно слегка отвести вперёд. На таком снимке будут хорошо видны контуры костей запястья, пястные кости, фаланги. Такая проекция оказывается наиболее полезной в травматологии, когда нужно выявить смещения пястных костей.
- Косая тыльная проекция. Кисть нужно расположить так, чтобы её тыльная поверхность образовывала угол 45° с кассетой. Такой снимок покажет состояние трёхгранной кости, гороховидной, крючковатой, а также первой и пятой пястных костей.
- Косая ладонная проекция. Кисть располагается так, чтобы ладонная поверхность образовывала угол 45° с кассетой. На этом снимке будет видно ладьевидную, трапециевидную кости и кость-трапецию.
Расшифровка результатов

Расшифровку рентгена кистей рук делает специалист-рентгенолог сразу после завершения съёмки. Он оценивает взаимное расположение костей кисти, их соединение между собой, целостность. Также уделяется внимание оценке структуры и плотности костей.
Нормальные показатели
В норме кости кистей рук должны иметь однородную структуру. На снимках не должно быть затемнений на белых участках. Между костями должна присутствовать щель.
Если повреждению подверглась только одна кисть, для более точного диагностирования патологии могут сделать рентген и здоровой конечности. Так будет легче провести сравнение и выявить отклонения.
Противопоказания для проведения
Особых противопоказаний для рентгенографии кистей рук нет. С осторожностью стоит назначать данную процедуру беременным женщинам, а лучше перенести её на послеродовой период или заменить на МРТ.
Также не рекомендуется делать рентген детям в возрасте до 15 лет, если к тому нет серьезных показаний.
МРТ лучезапястного сустава и кистей рук: что это такое и что оно показывает
Лучезапястным называют сустав, соединяющий кости кисти и предплечья. Он состоит из 8 костей и соединяющих их хрящей и связок. Заболевания и повреждения этой области требуют детального обследования. Лучшим методом диагностики лучезапястного сустава является МРТ.
Показания к назначению МРТ
Несмотря на доступность лучезапястного сустава, не всегда есть возможность его диагностики без использования оборудования. В этих случаях получить достоверные данные о состоянии суставов кистей рук позволяет МРТ.
Наличие объемных образований в этой области после осмотра
Образования могут быть различного генезиса: отложения солей кальция, деформация хрящевой или костной ткани, а также избыточный рост соединительной. МРТ кисти и лучевого сустава поможет разобраться в причинах появления наростов.
Патологические изменения после проведения рентгенографии или КТ
Вследствие высокой степени облучения во время этих процедур, часто может последовать негативная реакция обследуемого органа. МРТ кисти руки абсолютно безвредна и не вызывает патологических изменений. Также эту процедуру назначают при неполной картине структуры тканей запястья, полученной иными методами диагностики.
Появление болей при наличии в анамнезе опухолей
Припухлость кисти обычно свидетельствует о переломе, вывихе или повреждении связок. МРТ лучезапястного сустава показывает, что является причиной такого симптома. Если же есть подозрение на новообразование, врач назначает МРТ кисти с контрастом.
Боль в запястье и кисти, резистентная к лечению
К болевым ощущениям может приводить нарушенный кровоток, защемление нервов или сухожилий. Иногда причину боли сложно установить без МРТ кисти и лучезапястного сустава. При этом без такой диагностики лечение будет малоэффективным, так как ни один другой метод исследования не показывает подобную картину состояния сустава.
Какие заболевания можно диагностировать?
Контрактура Дюпюитрена
Проявляется частичным неразгибанием одного или нескольких пальцев (обычно безымянного, среднего и мизинца). Происходит это из-за повреждения сухожилий и образования рубцов. При помощи МРТ кисти руки возможно выявить очаг заболевания для дальнейшего воздействия на него и облегчения симптомов.
Болезнь Кинбека
Это деформация и разрушение одной из костей лучезапястного сустава. Причинами считают ухудшение кровотока и нагрузку на сустав. МРТ суставов кисти выявляет данное заболевание на ранних стадиях для своевременного лечения. В противном случае болезнь прогрессирует, распространяется на другие кости и приводит к атрофии.
Нестабильность лучезапястного сустава
Нарушения в работе суставных стабилизаторов - мышц и связок. Часто бывает из-за травмы, вывиха или растяжения, а также некоторых заболеваний. Проявляется несогласованностью действий костей лучезапястного сустава, болью, щелчками и слабым сжатием кисти рук.
Тендиниты
Воспалительный процесс в части сухожилия, который происходит из-за микротравм данного органа. Различают острую и хроническую форму заболевания. Не всегда есть возможность выявить заболевание сразу, т. к. симптомы схожи с другими повреждениями запястья. Поэтому важно прибегать к своевременной диагностике, такой как МРТ кисти руки.
Абсцесс
Воспалительный процесс в мягких тканях с образованием гноя. Происходит при внешнем заражении микроорганизмами через открытую рану, укол или порез. Характеризуется покраснением, опухолью, зудом, повышением температуры как локально, так и всего тела. Развивается очень быстро, поражая новые ткани. Требует операционного вмешательства для чистки пораженной кисти с последующей установкой дренажа и промыванием раны.
Бурсит запястья
Заболевание, при котором воспаляется суставная сумка одной или нескольких костей запястья. Для правильной диагностики требуется проведение МРТ суставов кисти.
Подготовка к процедуре
На МРТ кистей рук при болезни суставов нужно прийти в свободной одежде, снять все металлические предметы и максимально подробно рассказать врачу об имеющихся аллергических реакциях, фобиях или противопоказаниях. Если будет применяться МРТ кисти с контрастом, то лучше воздержаться от приема пищи за несколько часов.
Как выполняется МРТ лучезапястного сустава и кистей рук?
В целом МРТ кисти руки ничем не отличается от подобных обследований других органов. Единственное, что обязательно необходимо соблюсти, - это неподвижность диагностируемого сустава. Для этого кисть закрепляют при помощи ремешков и валиков.
Противопоказания для проведения обследования
Противопоказаниями являются:
• беременность (первый триместр);
• металлические имплантаты;
• индивидуальная непереносимость, панические атаки, фобии.
Обычно МРТ лучевого сустава и кистей рук переносится пациентами очень легко. В нашей клинике вы сможете пройти полную диагностику с помощью МРТ не только суставов кистей, но и других органов.

Наши медицинские центры
- Взрослое отделение
- Диагностика
- Консультации
- Центр лечения боли
- Центр здоровья сердца
- Центр здоровья женщины
- Центр эндокринологии
- Детское отделение
- Массаж
- Нефрология
- Оториноларингология
- Офтальмология
- Эндокринология
Запись по ОМС на МРТ и КТ
Включить версию для слабовидящих?
Настоящим я даю своё согласие ООО «Диагностический центр «Энерго» (далее - Общество) (ИНН: 7810812758, юридический адрес - 196084, город Санкт-Петербург, ул. Киевская, д. 5 к. 4, помещ. 20-н), далее - «Оператор», и третьим лицам, осуществляющим обработку моих персональных данных по поручению Оператора, на обработку указанных сведений обо мне, в целях содействия в трудоустройстве.
Я соглашаюсь на сбор, запись, систематизацию, накопление, хранение, уточнение (обновление, изменение), извлечение, использование, передачу (предоставление, доступ), блокирование, удаление, уничтожение моих персональных данных, а также на осуществление любых других действий, предусмотренных действующим законодательством Российской Федерации, совершаемых с использованием средств автоматизации или без использования таких средств.
Настоящее согласие дано мною лично и добровольно. Настоящее согласие действует до момента его отзыва при отсутствии у Оператора других законных оснований для обработки персональных данных и может быть отозвано мной в любой момент в письменной форме путем направления уведомления Оператору по адресу, указанному выше.
Мы используем cookie-файлы, IP-адреса и данные об устройствах для аналитики, чтобы Ваше посещение сайта было удобным и персонализированным. Вы можете отключить cookie-файлы в настройках вашего браузера. Продолжая пользоваться нашим сайтом, Вы даете согласие на обработку перечисленных данных и принимаете условия Политики обработки и обеспечения безопасности ПДн.
МРТ кисти
МРТ кисти, как и МРТ других суставов, применяется для выявления различных повреждений, прежде всего связочного аппарата, костных переломов (в дополнение к рентгенографии) и оценки состояния суставов. В лучезапястном суставе оценивается конгруэнтность и наличие жидкости.
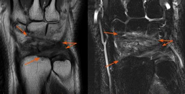
На рентгенограммах хорошо видны дистальные переломы лучевой кости. Проблема диагностики возникает когда нет костных повреждений, но есть нестабильность. Ее можно определить на рентгенограммах по косвенным признакам - нарушению характерной линии вдоль соединения костей и увеличению расстояния между некоторыми из них. Однако только МРТ дает возможность увидеть разрывы связок, приводящие к нарушению конфигурации в запястье.
Из связок при МРТ кисти, прежде всего, оценке подлежит ладьевидно-полулунная, полулунно-трехгранная и треугольный фиброзно-хрящевой комплекс. Дополнительное значение имеют внутренние связки запястья, которые сложным образом соединяют мелкие кости между собой, а также с лучевой костью. Толщина этих связок от 1 до 3 мм. Повреждение перечисленных связок, особенно, полное или частичное заднего компонента, приводит к нестабильности в суставе. Фиброзно-хрящевой комплекс состоит из треугольного фиброзно-хрящевого диска и нескольких коротких связок, соединяющих кости запястья между собой, а также проксимальные концы локтевой и лучевой костей.

МРТ кисти. Корональная Т1-взвешенная МРТ. Нормальное изображение ладьевидно-полулунной связки. Обозначения: S - ладьевидная кость (scaphoid), L - полулунная кость (lunatum), T- трехгранная кость (triquetrum).

МРТ кисти. Корональная градиентная МРТ. Нормальное изображение полулунно-трехгранной связки. Обозначения: S - ладьевидная кость (scaphoid), L - полулунная кость (lunatum), T- трехгранная кость (triquetrum).

МРТ кисти. Корональная Т1-взвешенная томограмма с подавлением сигнала от жира. Ладьевидно-трапецевидная связка в норме. Обозначения: S- ладьевидная кость, Td - трапециевидная кость, Tm - трапеция.

МРТ кисти. Разрыв радио-ульнарной связки - части треугольного фиброзно-хрящевого комплекса

МРТ кисти. Разрывы диска треугольного фиброзно-хрящевого комплекса.
Некоторые костные переломы запястья также трудно увидеть при рентгенографии или даже КТ. Это особенно относится к трабекулярным переломам, типичным для спортивной травмы.
МРТ кисти. Корональная Т1-взвешенная и Т2-взвешенная МРТ. Трабекулярный перелом лучевой кости без смещения.

МРТ кисти. Корональные Т1- и Т2-взвешенные МРТ. Повреждение задней группы связок.
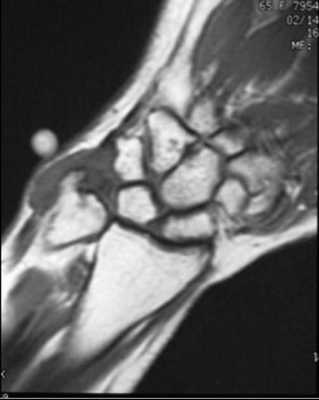
Очень сложны в диагностике переломы ладьевидной кости - они часто пропускаются на рентгенограммах. Осложнением такого перелома может стать асептический ее некроз. На Т2-взвешенных МРТ при переломах виден отек костного мозга, обычно частично охватывающий кость.

МРТ кисти. Т1-взвешенная корональная МРТ. Асептический некроз ладьевидной кости.
На асептический некроз (болезнь Кинбека, Kienböck) очень похож синдром локтевого вклинения, когда ладьевидная кость вклинивается в локтевую. МРТ мелких суставов кисти обсуждается в отдельной статье.
Опухоли кисти встречаются очень редко.
Теносиновиальная гигантоклеточная опухоль (пигментированная виллонодулярная опухоль)- опухоль обычно доброкачественная. Локализуется в области кисти, происходит из сухожилия и сопровождается отеком и болями. Выявляется у взрослых. На рентгенограммах опухоль, как правило, не видна . При УЗИ опухоль однородная гипоэхогенная, васкуляризованная. При МРТ опухоль очень напоминает виллонодулярный синовит, представляющий собой клеточную пролиферацию и скопление гемосидерина. Опухоль низкого сигнала на Т1-ВИ и Т2-ВИ и не всегда контрастируется. Дифференциальная диагностика проводится с синовитом, кистами ганглия и гломусными опухолями.

МРТ кисти. Гигантоклеточная опухоль. Т1-взвешенная МРТ.

МРТ кисти. Т1-взвешенная МРТ после контрастирования.
Еще одна из причин МРТ кисти и лучезапястного сустава - тоннельный синдром. Как правило, это карпальный (запястный) неврологический синдром; связанный с ущемлением медианного нерва в фиброзно-костном канале до его разделения на лучевой и локтевой каналы.
Очень редко встречаются асептические некрозы полулунной кости. При МРТ лучезапястного сустава и кисти виден измененный сигнал в острую фазу. При дальнейшем склерозировании яркий сигнал на Т2-взвешенных МРТ сменяется сниженным
Лишь немногие центры МРТ СПб имеют опыт исследования кисти. МРТ в СПб кисти и лучезапястного сустава мы обычно делаем на аппаратах открытого типа, так как условия пребывания пациента в магните комфортнее.
Читайте также:
