Вазомоторный монохондрит гортани. Аллергические заболевания гортани - нарушения голоса при аллергиях
Добавил пользователь Владимир З. Обновлено: 31.10.2025
Аллергия в горле по своей симптоматике, порой, схожа с простудой, ОРВИ. Вот почему зачастую ее путают с этими недугами. Такая аллергия в горле может возникать на пыльцу растений, домашнюю пыль, шерсть домашних животных и так далее. Аллергия в горле может проявлять себя в любое время года и длиться неопределенный срок (неделю, месяц).
По статистике аллергией страдает около 15% всего земного населения. Проявляется аллергия у каждого человека по-разному, индивидуально. То есть, все зависит от специфики иммунной системы человека. Кроме того, аллергическая реакция зависит и от самого аллергена.
Но практически всегда в первую очередь страдают верхние дыхательные пути — носовые ходы и горло, ведь именно они являются «защитным барьером» от чужеродных тел, попадающих в организм воздушно-капельным путем. Поэтому аллергия в горле является весьма распространенным заболеванием.
Аллергия в горле проявляется различными заболеваниями. Среди них встречаются фарингит, ларингит, трахеит и другие. Вот некоторые из них:

Аллергия в горле является
распространенным заболеванием
- Аллергическая фарингопатия: наблюдается отек горла, в том числе неба и язычка; происходит изменение тембра голоса, появляется чувство «кома» в горле, который нет возможности откашлять.
- Аллергический ларингит — проявляется воспалением гортани. Симптомы следующие: боль в горле, появление хрипоты, затруднение глотания и дыхания (что может привести к удушью). Также наблюдается отек гортани.
- Аллергический трахеит (воспаление трахеи). Симптомы схожи с аллергическим ларингитом, а также присоединяются следующие: кашель, дискомфорт в горле, царапанье, осиплость голоса.
Симптомы аллергии в горле
Симптомы аллергии в горле появляются из-за воспалительного процесса, который возникает в ответ на попадание аллергена. К симптомам аллергии в горле относится:
- Боль в горле при глотании (так как происходит раздражение слизистой оболочки глотки); , которое может осложняться насморком или зудом; , которое может сопровождаться жжением в глазах, насморком (ринореей) или заложенностью носа.
Кроме того, может наблюдаться затрудненное дыхание, одышка, сухой кашель, вплоть до развития приступов удушья. При аллергии в горле может ухудшаться общее состояние, появляется слабость, утомляемость раздражительность. Важным отличием аллергии в горле от ОРВИ является отсутствие повышения температуры тела.
Причины аллергии в горле
Причин для появления аллергии в горле достаточно много. Ниже перечислены основные из их:
- Наследственная предрасположенность к аллергии; у человека с раннего детства, что является следствием снижения иммунитета;
- Неправильное питание с детского возраста;
- Несвоевременная или неправильная вакцинация;
- Проживание в загрязненной аллергенами среде.
Аллергия в горле может возникать на табачный дым, пух тополя, пыльцу растений, шерсть домашних животных.
Иногда возникновение аллергической реакции в горле связано с вдыханием холодного воздуха.
Александр Сергеевич Пурясев —
главный врач клиники ЛОР-Астма, доктор медицинских наук
- Старайтесь знать те вещества, на которые у вас аллергия (пыльца, домашняя пыль, шерсть животных)
- По возможности избегайте контакта с аллергеном, особенно во время обострения заболевания
- При длительном контакте с аллергеном снижается общая работоспособность иммунной системы, в разы повышается риск бронхолегочных заболеваний
- Несвоевременная диагностика аллергии или некорректное лечение могут быть причиной возникновения очень серьезных последствий
- И помните, болезнь легче предотвратить чем вылечить
Лечение аллергии в горле
Лечение аллергии в горле обязательно, ведь без него заболевание имеет прогрессирующий характер, что может привести к тяжелым осложнениям, например, таким как бронхиальная астма. Лечение аллергии в горле лучшие специалисты проводят именно в нашей медицинской клинике «ЛОР-Астма». Наши опытные врачи обеспечат Вам качественное обследование, выявят причину аллергии и назначать эффективное лечение.
Из диагностических методов для установления точного диагноза используют:
- Исследование общего анализа крови;
- Проведение кожных проб;
- Исследование крови на содержание IgE (это самый достоверный и надежный метод, используемый для установления аллергической реакции).
Лечение аллергии в горле практически не отличается от лечения других видов аллергии, возникающих из-за других факторов. В качестве лечения аллергии в горле врач подберет для Вас антигистаминные препараты, при необходимости назначит глюкокортикостероиды, специфическую иммунотерапию. Для улучшения общего состояния Вам могут порекомендовать различные фитопрепараты, которые повышают иммунитет организма, уменьшают выраженность аллергической реакции. Лечение аллергии в горле направлено на устранение симптоматики, улучшение общего состояния больного и предотвращение возникновения рецидивов.
Кроме того, для уменьшения контакта с аллергеном врач порекомендует Вам:
- Ограничить выход на улицу в ветреную погоду;
- Приобрести для дома очиститель и увлажнитель воздуха;
- Проводить частую влажную уборку дома;
- Менять одежду после прихода с улицы, промывать нос, глаза и полоскать горло.
В клинике «ЛОР-Астма» наши врачи проводят диагностику и назначают комплексное и эффективное лечение аллергии в горле как у детей, так у взрослых. Кроме того, наши специалисты осуществляют коррекцию иммунитета, который может быть поврежден различными факторами, вплоть до врождённых нарушений иммунитета.
Обращайтесь в нашу медицинскую клинику «ЛОР-Астма». Именно здесь лучшие специалисты страны помогут Вам избавиться от ненавистных симптомов аллергии.
Видеоотзывы о лечении аллергии в клинике ЛОР-Астма
Видео и публикации об аллергии
Специальное интервью об аллергии у детей.
24 августа 2011 года в прямом эфире передачи канала телеканала ТДК «Наши дети» главный врач клиники «ЛОР-Астма», доктор медицинских наук Александр Сергеевич Пурясев отвечал на вопросы телезрителей об аллергии у детей. Были затронуты вопросы о причинах возникновения аллергии, симптомов и видов аллергии у детей.
Стоимость лечения
| Наименование | Стоимость, руб. | |
|---|---|---|
| 1 | Первичный прием врача, доктора медицинских наук | 7500 * |
| 2 | Процедуры в составе по назначению врача: | |
| УЗИС | 2700 | |
| Озононоультрафиолетовая санация | 450 | |
| Лазерная фотореактивная терапия | 1800-2600 | |
| Аппликация микрокомпресса в носовую полость | 700 | |
| Аппликация живично-прополисной суспензии на слизистые | 600 | |
| 3 | Заключительный осмотр врача по результатам лечения | 1000 |
* - При оплате полного курса лечебных процедур, стоимость приёма врача засчитывается в сумму лечения. Курс лечения назначается врачом. Длительность курса составляет 7-12 сеансов в зависимости от диагноза.
Записаться на консультацию об аллергии в горле
Вопросы пользователей на нашем сайте об аллергии в горле
Александр Пурясев,
доктор медицинских наук, главный врач клиники:Только личное присутствие и прохождение процедур. Курс лечения может занять 10-15 дней.
орви скажите пожалуйста БЛД как мне врач обесняла у нас не аллергичекая получается она сказала Что БЛД это 80% асматики вы лечите можете нам помочь?
Александр Пурясев,
доктор медицинских наук, главный врач клиники:Конечно, поможем. Специализируемся на лечении заболеваний легких, в частности — бронхиальной астмы. Постарайтесь приехать на 10-15 дней, столько времени займёт прохождении процедур. Чтобы не тратить времени на ожидание результатов анализов и обследования, заранее приготовьте (по месту жительства): ОАК, общий IgE, Хламидия пневмо IgM/G, Микоплазма пневмо IgM/G, CMV IgG (не ПЦР), EBV IgG капсидный, ранний, ядерный, мазки зев/нос/мокрота (по возможности). А также ФВД легких.
прошли, с 1,5 поставили диагноз бронхиальная астма. Аллергия пищевая-коровий белок, яйцо куриное, арахис, фундук. Находимся на базисной терапии, дышим пульмикортом 2мл по 0.25. 1 раз в день. До 3-х лет болезни сопровождались тяжелыми одышками, сейчас уже реже. С недавнего времени (4-х лет) неоднократно при болезни стал появлятся стеноз — ложный круп, если я не ошибаюсь. Раньше подобное не наблюдалось. Сейчас же в период с января по апрель был уже 3 раза. Брали мазок из зева на дифтерию- не подтвердилось. С чем связано столь частое проявление стеноза? Какое обследование следует сделать? На что обратить внимание? По поводу терапии с пульмикортом есть ли какие-либо аналоги негармональные?Прошу вас дайте совет))Я в растерянности( Местные врачи сетуют на особенность строения гортани, но раньше при болезнях у нас такое не наблюдалось. Говорят перерастет… А у меня жуткий страх за ребенка при проявлении хоть малейших соплей(((
Александр Пурясев,
доктор медицинских наук, главный врач клиники:Мне понятна ваша сложная ситуация. Такие больные часто обращаются в нашу клинику и мы им очень эффективсно помогаем. Что касается вашего случая, скажу так: если начинать вам всё объяснять (”разжевать” и ”разложить по полочкам”), то это на полчаса писанины (но на это нет времени), а как-попало не хочу, все равно не поймете. Так что, если хотите помочь ребенку, ждём вас на приём в клинике.
Александр Пурясев,
доктор медицинских наук, главный врач клиники:Лечим полипы эффективно и безоперационно. У всех результаты разные, хотя у всех они положительные! Кто-то выздоравливает полностью, а у кого-то наступает длительная ремиссия от нескольких мес. до нескольких лет. Но если у вас они не большие, т.к. недавно сделали операцию, то результат будет хорошим: во-первых, понадобиться небольшое колличество процедур (7-10), во-вторых, само лечение даст больше эффекта.
Потеря голоса — симптом аллергии или вирусной инфекции?
Потеря голоса или афония — это симптом, указывающий на нарушение в голосовых связках, ответственных за извлечение звуков. Афония часто возникает при вирусных инфекциях и аллергиях, но также может быть симптомом метаболических заболеваний и гормональных нарушений. Если потеря голоса сохраняется более двух недель, следует обратиться к ЛОР-специалисту.
Потеря голоса как симптом вирусной инфекции
Потеря голоса является одним из распространенных симптомов заболеваний средней дыхательной системы — воспаления гортани, трахеи и других. Смена тембра или отсутствие звука — следствие неправильной работы голосовых связок, лежащих между верхним и нижним отделами дыхательной системы.
Это симптом вирусных инфекций, чаще всего вызываемых вирусом парагриппа, который в первую очередь поражает детей в осенний сезон. Острый ларингит, трахеит и бронхит проявляется высокой температурой, лающим кашлем, одышкой, охриплостью, а затем афонией и усилением одышки при выдохе. Другой патоген, вызывающий ларингит и связанную с ним немоту, — вирусы RSV. При заражении этой этиологии беспокоят недуги со стороны верхних дыхательных путей, а не нижних. Кроме того, афония может возникать в результате инфицирования голосовой щели коронавирусом, адено- и риновирусами, а также вирусом кори Коксаки. Ларингит очень редко имеет бактериальное происхождение, но возможно — он вызывается Mycoplasma pneumoniae, а в случае вторичных инфекций — бактериями из семейства стрептококков — Streptococcus.
Самостоятельно купирующиеся вирусные инфекции трудно поддаются лечению. В современной медицине и аптеке нет лекарств, которые эффективно победили бы эти патогенные микробы, как в случае с лечением бактериальных инфекций. Хотя лекарств, вызывающих заболевание, не существует, существуют различные виды фармацевтических препаратов, облегчающих течение заболевания, а иногда даже сокращающих его продолжительность. Среди них важное место занимают глюкокортикостероиды. В терапии также используются нестероидные противовоспалительные препараты, ибупрофен или бензидамин, а также леденцы с прополисом или другими натуральными ингредиентами, которые увлажняют слизистую горла, помогая восстановить потерянный в результате болезни голос.
Шум при аллергии
Увлажнение слизистой оболочки глотки не менее важно при аллергических заболеваниях, которые также могут вызывать потерю голоса. Это происходит, когда под воздействием аллергенов в области гортани появляются отеки и воспаления — защитные реакции организма. Набухшая гортань нарушает функцию голосовых связок, которые находятся в самом центре этого органа. Аллергическая потеря голоса может быть результатом аллергии на продукты питания (яйца, орехи, цитрусовые), ингалянты (пыльца, шерсть животных, клещи домашней пыли, плесень) и быть побочным эффектом некоторых лекарств.
Афония — симптом аллергии или вирусной инфекции?
Хотя, это различить непросто, поскольку в обоих случаях наблюдаются очень похожие симптомы, в целом при вирусных инфекциях появляются системные симптомы (лихорадка, озноб, мышечные боли, мигрень, ринит, кашель, афония и т. д.), тогда как при аллергии симптомы скорее местные (ринит и слезотечение, кашель и афония, сыпь и зуд). Еще одним признаком может быть продолжительность болезни. Обычно простуды длятся около недели, а аллергия — дольше.
Другие причины потери голоса
Вирусная инфекция и аллергия — лишь две из множества причин потери голоса. Здесь также следует упомянуть афонию, которая является частью профессионального заболевания учителей, педагогов, актеров, юристов и всех остальных, чьим рабочим инструментом является их собственный голос. Тишина может быть результатом перегрузки органа голоса, а также работы с голосом в несоответствующих гигиенических условиях. Другой, не менее частой причиной потери голоса являются проблемы с психикой. Травма, тяжелый хронический стресс может проявляться по-разному, в том числе лишая способности говорить.
Точно так же депрессия, тревожные расстройства и изменения личности вызывают провисание гортани, что приводит к неспособности издавать звуки. Снижение голоса происходит при метаболических и эндокринных заболеваниях. Это может быть симптом рака гортани, а также других доброкачественных изменений. Наконец, следует подчеркнуть, что все заболевания, вызывающие изменения в голосовом аппарате, настолько опасны, что несут в себе риск обструкции дыхательных путей, что является реальной угрозой для жизни. Поэтому при потере голоса всегда следует консультироваться с врачом. Особенно, когда афония (или хотя бы изменение тембра голоса) длится более двух недель.
Причины и симптомы хронического ларингита
Хронический ларингит - вялотекущее инфекционное воспаление гортани с продолжительным течением и периодическими рецидивами. Заболевание редко развивается изолированно и чаще диагностируется на фоне хронического воспаления верхних отделов респираторного тракта - носовой полости, придаточных пазух, горла и т.д. Иногда поражение гортани наблюдается в случае распространения восходящей инфекции при воспалении легких, бронхите или туберкулезе.
Содержание статьи

Охриплость голоса и дискомфорт в горле - типичные признаки воспаления слизистой гортани. Спровоцировать поражение ЛОР-органов могут перегрев, переохлаждение, механическое повреждение слизистых, вдыхание загазованного или запыленного воздуха. Из-за активного развития болезнетворных агентов в респираторном тракте, возникает аллергическая реакция и, соответственно, сильный отек тканей. Впоследствии это может привести к затруднению дыхания и стенозирующего ларинготрахеита, который нередко является причиной приступов удушья.
Общее описание
Что такое хронический ларингит? Ларингитом называют воспаление слизистых гортани, которому в 97% случаев предшествуют инфекционные болезни - грипп, ОРВИ, скарлатина, тонзиллит, трахеобронхит, воспаление легких и т.д. Если вовремя не купировать воспаление при остром течении болезни, со временем ларингит перейдет в хроническую форму.
Следует отметить, что хронический ларингит - профессиональная болезнь, которая зачастую встречается у преподавателей, лекторов, певцов, актеров театров, теле- и радиоведущих. Одно из основных правил, которое необходимо соблюдать при лечении болезни - это полный голосовой покой. Известно, что даже при шепотной речи голосовые связки испытывают немалые нагрузки. Это может негативно отразиться на динамике выздоровления и вообще привести к хронитизации воспалительного процесса.
Неадекватная терапия или бездействие влекут за собой распространение инфекции по респираторному тракту. У больных вялотекущим ларингитом впоследствии могут диагностировать ларинготрахеит, при котором поражаются слизистые не только гортани, но и трахеи. Наибольшую опасность для человека представляет так называемый стенозирующий ларинготрахеит. При заболевании наблюдается сильное сужение просвета дыхательных путей, что в результате ведет к приступам удушья и асфиксии.
Запущенный ларингит может стать причиной возникновения ложного крупа, при котором происходит полная остановка дыхания.
Причины хронического ларингита
Почему появляется хронический ларингит? Вялотекущее воспаление гортани формируется на фоне часто повторяющегося острого ларингита. Недостаточное или неадекватное лечение также может стать причиной хронитизации воспаления в ЛОР-органах.
Ключевая причина развития патологии - активация условно-патогенных микроорганизмов. Снижение иммунной защиты, частые простуды, переохлаждение, употребление холодного питья могут спровоцировать размножение болезнетворных агентов - грибков, вирусов, простейших, микробов и т.д. Хроническое воспаление гортани чаще диагностируется у мужчин, которые больше женщин подвержены бытовым и профессиональным вредностям.
Провоцирующие факторы
Немаловажное значение в инфекционном поражении гортани играют экзогенные и эндогенные провоцирующие факторы. Прежде чем начинать лечение болезни, необходимо ликвидировать непосредственную причину ее возникновения. Спровоцировать хронический ларингит могут:

- неблагоприятная экология;
- работа на вредных производствах;
- табакокурение;
- перенапряжение голосовых связок;
- снижение общего иммунитета;
- склонность к аллергическим реакциям;
- разрастание полипов в носу;
- нарушения в работе ЖКТ;
- очаги хронического воспаления в носоглотке;
- вдыхание сухого и запыленного воздуха;
- недостаток в организме витаминов и микроэлементов;
- постоянный стресс и психоэмоциональная нестабильность.
Клинически доказано, что ларингиту больше подвержены люди с наследственной предрасположенностью и патологической узостью респираторного тракта в области гортани.
Кроме того, простудные и инфекционные болезни чаще встречаются у лиц, склонных к раздражению и депрессивному состоянию. Психосоматические причины развития хронического ларингита до конца не изучены, но ясно одно - болезнь «любит» тех, кто замалчивает свои обиды.
Клиническая картина
Как диагностировать заболевание? Стоит отметить, что симптомы хронического ларингита зависят от формы заболевания и особенностей протекания паталогических процессов в гортани. Как правило, больные жалуются на ухудшение качества голоса, снижение тембра и появление осиплости. К общим проявлениям вялотекущего воспаления гортани можно отнести:
- быструю утомляемость голоса;
- сухость и саднение в горле;
- «царапанье» в гортани при разговоре;
- ощущение кома в области кадыка;
- снижение силы голоса;
- затрудненное дыхание;
- покашливание по утрам;
- охриплость.
Отек слизистых оболочек может привести к развитию дыхательной недостаточности и возникновению цианоза, т.е. синюшного окраса губ и кожных покровов. Несмотря на то, что симптомы болезни выражены относительно слабо, постоянное воспаление мягких тканей в дальнейшем может привести к осложнениям. Поэтому при обнаружении патологических проявлений все-таки желательно пройти обследование у ЛОР-врача или терапевта.
Типы хронического ларингита

В отоларингологии принято выделять несколько форм вялотекущего ларингита. В зависимости от характера протекания воспалительных реакций, клинические проявления болезни могут несколько отличаться. Согласно общепринятой классификации, хронический ларингит может быть:
- катаральным - поверхностное воспаление слизистой гортани с довольно частыми обострениями; симптомы мало чем отличаются от проявлений острого ларингита - повышение температуры (до 37.5 °С), умеренная боль в горле, увеличение подчелюстных лимфоузлов, сухой кашель;
- атрофическим - истончение стенок гортани с последующим образованием сухих корочек на поверхности слизистой; чаще встречается у пожилых людей и мужчин, работающих на вредных производствах;
- гипертрофическим - диффузное (распространенное) или ограниченное уплотнение слизистой гортани в районе голосовых связок; сужение просвета респираторного тракта затрудняет дыхание, вследствие чего наблюдается кислородное голодание и, как следствие, головокружение, вялость, отсутствие аппетита и т.д.
Гипертрофический (гиперпластический) ларингит - предраковая патология, которая может переродиться в злокачественную опухоль.
Чтобы распознать конкретный вид заболевания, следует ознакомиться с особенностями и типичными проявлениями каждой формы хронического ларингита. Однако следует учесть, что даже при правильном диагностировании болезни лечение может быть назначено только специалистом. Неадекватная терапия - ключевая причина ухудшения самочувствия больного и развития осложнений. Некоторые из них приходится устранять посредством хирургической операции.
Катаральный ларингит
Катаральный хронический ларингит - наименее опасная форма заболевания, которая не вызывает патологических изменений в тканях гортани. При эндоскопическом осмотре гортаноглотки отмечается некоторое расширение кровеносных сосудов, разрыхление слизистой и изменение ее цвета. Поверхность гортани становится серовато-красной с небольшими пятнышками по всей поверхности слизистой.
Из-за воспаления бокаловидные клетки в гортани, которые выделяют слизь, начинают усиленно функционировать. Гиперсекреция слизи вызывает раздражение и покашливание с незначительным отделением мокроты. Со временем отек тканей приводит к изменению эластичности голосовых связок, поэтому у больных «садится» голос и появляется осиплость. В случае обострения воспаления кашель усиливается и становится постоянным. Чтобы ликвидировать патологические процессы в гортани и ускорить выздоровление, используют такие виды препаратов:
- антибактериальные средства пенициллинового и макролидного ряда для уничтожения болезнетворных микробов;
- муколитические (отхаркивающие) лекарства для выведения избыточного количества мокроты из дыхательных путей;
- антисептические пастилки для рассасывания, которые угнетают активность инфекционных агентов в ЛОР-органах;
- противовоспалительные и обеззараживающие растворы для полоскания, которые восстанавливают целостность тканей в гортани;
- иммуностимуляторы, повышающие общий и специфический иммунитет.

В амбулаторных условиях врач-отоларинголог проводит электрофорез и УВЧ-терапию, благодаря которой ускоряется процесс заживления слизистых оболочек. Как правило, облегчение наступает уже через 3-4 суток после применения средств комплексной терапии.
Гипертрофический ларингит
При гипертрофическом ларингите симптомы воспаления выражены наиболее ярко. Это самая опасная форма респираторного заболевания, при которой наблюдается гиперплазия (увеличение размеров) слизистых оболочек. Уплотнение стенок гортани приводит к сильному сужению просвета в дыхательных путях, поэтому больные могут испытывать недостаток кислорода. В зависимости от степени гиперплазии тканей, различают диффузный (разлитой) и ограниченный ларингит. В свою очередь ограниченную форму заболевания подразделяют на:
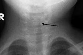
- монохондрит - воспалительные процессы протекают преимущественно в голосовых связках только с одной стороны гортани;
- отек Рейнке - полиповидное разращение слизистой оболочки, при котором наблюдается сильное сужение просвета дыхательных путей;
- гиперплазия ложных голосовых связок - сильное уплотнение мягких тканей непосредственно над голосовыми связками;
- «певческие узелки» - округлые плотные новообразования на голосовых связках, которые чаще всего встречаются у людей «голосовых» профессий;
- участки пахидермии - замещение клеток мерцательного эпителия клетками покровного, т.е. плоского эпителия.
Запущенную гипертрофию гортани и голосовых связок можно устранить только хирургическим путем, при которой хирург проводит резекцию (вырезание) кист, фибром и других новообразований.
Чтобы предупредить развитие злокачественных опухолей, при лечении гипертрофической формы ларингита используют сильнодействующие противоотечные и противовоспалительные средства - кортикостероиды и антигистаминные средства. Из физиотерапевтических процедур зачастую применяются лазеротерапия, криодеструкция и радиотерапия.
Атрофический ларингит
Атрофический ларингит чаще диагностируется у людей, работающих на вредных производствах. Вдыхание летучих химикатов приводит к нарушениям в работе слизистых оболочек гортани, вследствие чего ее стенки сильно истончаются. На ее поверхности образуются вязкие слизистые скопления, которые со временем подсыхают и образуют корочки. О развитии атрофического ларингита сигнализируют:
- першение в горле;
- периодический кашель;
- сухость во рту;
- покалывание в горле при глотании;
- ощущение инородного предмета в глотке.
Со временем плотные корки начинают отделяться от стенок гортани, вследствие чего образуются язвочки, которые могут кровоточить. Поэтому при откашливании мокроты в слизи могут обнаруживаться примеси крови. Для ликвидации воспалительных процессов применяют ингаляции, при которых в качестве растворов используют ранозаживляющие препараты с трипсином. Протеометрический фермент ускоряет клеточный метаболизм, за счет чего слизистая оболочка гортани быстрее восстанавливается.
Чтобы предупредить обострение хронического ларингита, нужно вовремя лечить простудные заболевания, риниты и стоматологические патологии (гингивит, пародонтит). Помимо этого следует укреплять иммунитет посредством приема витаминно-минеральных комплексов и продуктов с большим количеством полезных веществ. В случае воспаления горла рекомендуется строго соблюдать голосовой покой в течение 3-4 суток. На время лечения болезни нужно отказаться от употребления алкоголя и табакокурения, которое негативно влияет на состояние голосовых связок.
Как лечить аллергический ларингит

В одних случаях - ринит или конъюнктивит, в других - кожные высыпания или диарея. Аллергический ларингит также - одно из проявлений взаимодействия организма с опасным веществом. Аллергенами, способными вызвать развитие патологической реакции в организме, могут быть различные вещества:
- продукты питания;
- лекарственные препараты;
- опасные химические примеси в воздухе;
- продукты бытовой химии;
- пух, шерсть домашних животных;
- пыльца растений.
Клинические признаки острого течения
В зависимости от характера агента, реактивности организма, иммунитета, аллергический ларингит может быть острым или развиваться постепенно. Острое течение обычно развивается при укусе насекомого, воздействии лекарственных препаратов, опасных пищевых продуктов. Такое течение является более опасным.
Гортань принимает участие в проведении воздуха по дыхательным путям, и нарушение этой функции может привести к развитию тяжелых последствий. Если симптоматика нарастает остро, в течение нескольких минут, то компенсаторные механизмы не успевают срабатывать. Течение заболевания может принять более тяжелую форму.
Первым признаком является появление царапания в горле, шумного дыхания, слышного на расстоянии. Отмечается одышка с затрудненным вдохом.
Появляется резкая бледность кожи, особенно в районе носогубного треугольника. В зависимости от стадии ларингоспазма, могут присутствовать симптомы, свидетельствующие о вовлечении в процесс дыхания вспомогательной мускулатуры, западение надключичных впадин, подложечной области и межреберных промежутков.
Пациент может потерять сознание. Вся симптоматика обусловлена выраженным отеком гортани, в результате чего дыхательная щель оказывается резко суженной, а организм начинает испытывать недостаток в кислороде. При развитии острой дыхательной недостаточности необходимо срочное проведение неотложных мероприятий. В противном случае развивающийся отек гортани способствует развитию удушья и асфиксии.
Особенности хронического течения
Аллергический ларингит в случае хронического течения характеризуется следующей симптоматикой:
- постоянным першением и царапанием в горле;
- сухим приступообразным, лающим кашлем;
- охриплостью голоса;
Характерно нарастание симптоматики в ночное время, поскольку горизонтальное положение способствует распространению отека гортани. При этом температурные показатели обычно находятся в пределах нормы. Такое развитие наиболее характерно для ребенка в возрасте до четырех лет, что обусловлено анатомическим строением гортани и узостью голосовой щели. Более широкое распространение заболевания среди детей также объясняется особенностями детского организма.
В редких случаях при аллергии поражение гортани происходит изолированно. Чаще имеют место дополнительные симптомы, свидетельствующие о вовлечении в патологический процесс других органов и систем.
Обычно аллергический ларингит сочетается с ринитом, фарингитом или бронхитом.
Дополнительными признаками в этом случае являются
- насморк;
- заложенность носа;
- конъюнктивит;
- боль в горле;
- одышка смешанного характера.

Наличие дополнительных признаков значительно облегчает диагностику заболевания, позволяет заподозрить его аллергическую природу.
Диагностика
Уточнить аллергический ларингит, его характер поражения и локализацию возможно посредством ларингоскопии. Для такой природы поражения характерна бледность слизистых оболочек, в отличие от ее гиперемии при воспалительных процессах, обусловленных инфекционными агентами. При этом может отмечаться выраженный отек гортани.
Подтвердить аллергическое происхождение заболевания можно, проведя исследование крови на IgЕ.
Превышение нормального уровня эозинофилов в общем анализе крови также может свидетельствовать в пользу аллергии, хотя присутствует и при других патологических процессах.
Фактором, способствующим диагностике, является определение зависимости между воздействием аллергена и развитием патологической реакции. Уточнение аллергена способствует не только диагностике заболевания, но эффективное лечение пациента также напрямую зависит от идентификации опасного вещества. Исключив аллерген из обихода, можно добиться быстрого улучшения состояния.
Элиминация (устранение) аллергена является самым эффективным профилактическим мероприятием.
Однако только в редких случаях аллерген является очевиден. Чаще это происходит при развитии острой реакции. В большинстве случаев уточнение опасного агента является сложным процессом. Наиболее достоверным методом, способным уточнить аллергию и определить опасное вещество, приводящее к развитию патологической реакции, является проведение кожных аллергопроб. Кроме того, поскольку в основе патологического процесса при аллергии лежит реакция по нейтрализации антигенов, то важным методом уточнения аллергена является определение в крови предполагаемых антител.
Принципы лечения
Поскольку ухудшение состояния обусловлено сужением голосовой щели и развивающимся отеком, то нервозность, возбуждение могут привести к спазму мышц гортани и ларингоспазму. В данном случае лечение пациентов следует начинать с обеспечения пациента необходимым количеством кислорода и спокойной обстановкой. Для этого необходимо раскрыть форточки, обеспечив доступ чистого воздуха, расстегнуть ворот одежды пациента.
Поскольку причиной развития аллергического состояния является патологическая реакция, обусловленная выбросом биологически активных веществ, то лечение таких пациентов подразумевает обязательное использование антигистаминных средств. При остром течении заболевания могут приниматься инъекционные формы, или производиться капельное введение препаратов.

При развивающемся ларингоспазме лечение должно включать применение кортикостероидных препаратов, которые обладают выраженным противовоспалительным и противоотечным действием. Для снятия отека возможно применение мочегонных средств. Поскольку состояние обусловлено сужением дыхательной щели, то показано применение препаратов, обладающих бронхорасширяющим и муколитическим действием. Для быстрого купирования состояния используют средства в виде аэрозолей, Сальбутамол, Фенотерол. При хроническом течении более широкое применение нашли таблетированные формы муколитических средств, Бромгексин, АЦЦ.
Применение антигистаминных средств и кортикостероидных препаратов способно в течение короткого времени улучшить состояние пациента.
Однако 7-10 дней пациент должен находиться под контролем со стороны специалистов. В течение этого времени лечение должно заключаться в следующем: применение антигистаминных средств, а также кортикостероидов, плавно снижая их дозу; щелочное питье; полоскание горла содовым раствором; использование ингаляций со щелочными средствами.
Профилактические действия
Аллергическая реакция развивается при повторной встрече пациента с опасным веществом. Следовательно, лечение аллергического ларингита обязательно включает проведение профилактических мероприятий. В противном случае каждый новый контакт с опасным веществом будет приводить к развитию аналогичной реакции. Если аллерген уточнен, и без него в быту легко обходиться, то исключив опасное вещество из употребления, пациент будет оставаться здоров.
Пациенту необходимо вести пищевой дневник, куда он заносит все съеденные продукты и реакцию на них. Добавляя каждый день по одному продукту, можно составить суждение о влиянии данного компонента на организм.
При пыльцевой аллергии или реакции на бытовую пыль, пух, шерсть животных, самым эффективным методом профилактики является специфическая иммунотерапия. Она заключается в регулярном введении малых доз аллергена под кожу, развивая в организме привыкание. Благодаря такой методике повторное столкновение с реальным антигеном не вызовет тяжелой и опасной реакции.
Симптомы болезней голосовых связок
Каждый из нас, хотя б единожды сталкивался с такой проблемой как осиплость голоса или вовсе его отсутствие. Зачастую подобное наблюдается после сильного переохлаждения, употребления мороженного или холодных напитков. Кроме того, болят связки в горле после длительного крика или пения.
Голосовые связки, локализованные в гортани, представляют собой мышечно-соединительнотканные структуры, формирующие щель между собой. Размеры последней изменяются в зависимости от напряжения связок. Когда сомкнуты связки воздух не проходит через гортань, и голос отсутствует.
Голосовая осиплость обусловлена отечностью связок, что уменьшает просвет щели. Выраженное воспаление и отечность связок приводит к значительному сужению щели и изменению голоса.

Болезни голосовых связок развиваются вследствие:
- переохлаждения, когда холодовой фактор оказывает местное воздействие (при глубоком дыхании через рот, употреблении холодных напитков). Также признаки воспаления в гортани могут стать симптомом общего переохлаждения, помимо лихорадки, недомогания и кашля;
- перенапряжения связок. Особенно часто страдают люди, связанные с ораторской деятельностью (дикторы, учителя, вокалисты);
- длительного дыхания загрязненным воздухом (смог, производственные вредности), что приводит к сухости слизистой, ее раздражению и дисфункции звукоформирующего аппарата;
- хронического воспаления носо-, ротоглотки, например, синусита, тонзиллита, что предрасполагает распространению инфекции при обострении заболевания;
- инфекционного поражения (вирусы, бактерии);
- аллергической реакции;
- курения;
- травматического поражения;
- онкологических новообразований.
При негативном воздействии перечисленных факторов поражаются голосовые связки. В голосовых связках наблюдается отечность тканей и микротрещины на слизистой оболочке, что повышает риск вторичного инфицирования. Стоит выделить симптомы, которые встречаются практически в каждом случае поражения голософормирующего аппарата:
- голосовая охриплость, вплоть до афонии;
- першение, сухость;
- болезненность при глотании;
- гиперемия задней глоточной стенки;
- кашель сухого типа с возможным переходом во влажный;
- субфебрильная гипертермия.
Заметим, что у детей риск развития респираторной недостаточности значительно выше, что связано с меньшим диаметром дыхательных путей и выраженной отечностью тканей.
![Ларингит]()
Ларингит
В сравнении с другими заболеваниями, ларингит диагностируется в большей части случаев. Болезнь развивается вследствие бактериального или вирусного инфицирования, сильного переохлаждения, употребления холодных продуктов или вдыхания загрязненного воздуха.
Симптоматически патология проявляется:
- сухостью, першением;
- субфебрильной гипертермией;
- щекотанием в горле;
- комком в горле;
- голосовой осиплостью;
- сухим кашлем;
- болезненностью при глотании.
В случае хронизации патологического процесса симптомы беспокоят периодически и меньшей интенсивностью. При обострении заболевания развивается клиника острого ларингита.
Диагностика проводится с помощью ларингоскопии, при которой специалист визуализирует покраснение, отечность связок, на поверхности которых отмечается мокрота. При гриппе на связках возможны кровоизлияния. Для определения инфекционного возбудителя проводится бактериологическое исследование, материал для которого собирается со слизистой ротоглотки. В анализах крови регистрируется лейкоцитоз.
При хронической форме при ларингоскопии наблюдается гиперпластический или атрофический тип болезни. У вокалистов, воспитателей и дикторов на поверхности утолщенных связок визуализируются узелки.
Ларингит может развиваться на фоне дифтерии, гриппа, сибирской язвы, кори, коклюша, сапа, скарлатины и брюшного тифа.
| Заболевание | Симптомы | Диагностика | Осложнения |
|---|---|---|---|
| Дифтерийный ларингит | субфебрильная гипертермия, болезненность при глотании, заложенность носа, насморк, недомогание, бледность кожных покровов. | Ларингоскопия (гиперемия, отек слизистой, трудно снимающиеся с поверхности налеты зеленого, серого оттенка). Бакисследование (для выявления инфекционного возбудителя). | Круп проявляется фебрильной лихорадкой, голосовой осиплостью (афонией), шумным дыханием, одышкой, кашлем. |
| Гриппозный | Загрудинная боль, фебрильная лихорадка, кашель, ломота в теле, ринит, болезненность в горле, недомогание, артралгия, головная боль. | Ларингоскопия (гиперемия слизистой, кровоизлияния, фибриновые волокна). | Абсцесс, флегмона в области надгортанника. |
| Коревой | Зернистость задней глоточной стенки, пятна на слизистой щек, которые после слияния не визуализируются, экзантема на коже, фебрильная гипертермия, боль в горле, нарушение сна, кашель, ринит, конъюнктивит. | Ларингоскопия (отечность, гиперемия связок), лабораторные исследования. | Круп, бактериальная пневмония. |
| Ларингит при ветряной оспе | Субфебрильная гипертермия, недомогание, пузырьки на слизистой ротовой полости, кожных покровов, зуд. | Ларингоскопия (гиперемия, отечность связок, при язвенной форме визуализируются изъязвления), лабораторная диагностика. | Гнойные осложнения, спровоцированные вторичным инфицированием. |
| Ларингит при скарлатине | Сыпные признаки, фебрильная лихорадка, недомогание. | Ларингоскопия, лабораторные исследования. | Флегмона, перихондрит, трахеит, эзофагит. |
| Коклюшный | Приступообразный кашель, першение в горле, загрудинный дискомфорт, шумное дыхание, голосовая охриплость. | Ларингоскопия, лабораторные анализы. | Парез голосовых связок, пневмония, дыхательная недостаточность. |
Онкологические новообразования
Онкологическое заболевание голосовых связок доброкачественного или злокачественного генеза приводит к поражению не только голософормирующего аппарата, но и окружающих органов. Появление новообразования в зоне гортани способствует уменьшению просвета респираторного тракта. Симптоматически это проявляется:
- одышкой;
- болезненностью в горле;
- шумным дыханием;
- кашлем.
Недостаточное поступление кислорода внутренним органам приводит к кислородному голоданию и развитию органной дисфункции.
При прогрессии болезни новообразование распространяется на соседние органы, поражая пищевод. Из клинических симптомов наблюдается дисфагия, а в случае возникновения свища между органами пищеварительного и респираторного тракта происходит заброс пищи в дыхательные пути.
При злокачественном поражении близко расположенные лимфоузлы становятся плотными, с бугристой поверхностью и спаянными с соседними тканями.
Для диагностики используется ларингоскопия, фиброгастродуоденоскопия, бронхоскопия, рентгенологические, ультразвуковые исследования и томография.
Травматические повреждения

Когда связки болят, боль может быть обусловлена воздействием травматического фактора с поражением связок горла. Связки в горле не в состоянии полноценно выполнять свои функции из-за выраженной отечности, инфильтрации тканей, а также наличия гематомы.
Симптоматически патология проявляется дисфонией, нарушением глотательной функции, дыхания, кашлем, развитием болевого синдрома, кровотечения и кровохарканья.
Для выявления патологии назначается рентгенологическое, ультразвуковое исследование, эндоскопия и компьютерная томография. В лечении травматического повреждения гортани главное - обеспечить проходимость респираторных путей, вплоть до трахеостомии.
Аллергические реакции
Поражения голосовых связок - распространенное явление при аллергии.
После контакта аллергического фактора со слизистой гортани, поступления продуктов в пищеварительных тракт или приема лекарственного препарата возникает местный или системный ответ иммунной системы. Он выражается в виде аллергической реакции с появлением таких клинических симптомов:
- затрудненное дыхание;
- голосовая охриплость;
- комок в горле;
- сухость, щекотание в зеве;
- болезненность при глотании;
- конъюнктивит;
- слезотечение;
- ринорея.
В зависимости от реактивности иммунной систем и агрессивности контактирующего фактора аллергия может проявляться в виде отека Квине или анафилактического шока. Дл них характерна выраженная одышка, дыхательная недостаточность, кожная сыпь, снижение артериального давления и увеличение частоты сердцебиения.
Провоцирующим факторов в развитии аллергии может стать шерсть, шоколад, цитрусовые, пыль, пыльца, морепродукты, лекарственные препараты, пух и различные пищевые красители.
![Спастическая дисфония]()
Спастическая дисфония
В большинстве случаев патология регистрируется после в 35 лет. Она обусловлена нарушением психоэмоционального состояния при влиянии частых стрессов, постоянных переживаний и перегрузки голософормирующего аппарата.
В основе болезни лежит дисфункция связок (отсутствие их смыкания или размыкания). Симптоматически наблюдается утрата звучности голоса, появление шипения, голос становится неестественным. Трудности возникают при разговоре.
Профилактика потери голоса
Чтобы избежать дисфонии и поражения звукоформирующего аппарата, рекомендуется:
- своевременное лечение при появлении першения или боли в горле;
- предупреждение переохлаждения, влияния сквозняков;
- достаточный питьевой режим, что позволит поддержать водный баланс в норме;
- регулярное проветривание помещения, влажная уборка;
- увлажнение воздуха;
- не стоит пить холодные напитки;
- не нужно злоупотреблять холодными блюдами, продуктами (мороженое);
- отказ от курения, злоупотребления алкогольными напитками;
- не следует перенапрягать голосовые связки.
Соблюдая рекомендации можно предупредить поражение голосовых связок, а также снизить риск развития таких инфекционно-воспалительных болезней, как фарингит, ларингит или трахеит.
Читайте также:
- Нарушения мозгового кровообращения. Виды нарушения мозгового кровообращения
- Лечение гирсутизма. Удаление лишних волос
- УЗИ при эхогенном содержимом желчного пузыря
- Рекомендации по анализу рентгенограммы черепа и нижней челюсти в аксиальной ПЗ проекции по методу Тауна
- Элементы нервной системы. Физиология нервной системы


